Case conference
ดวงสมณญ์ ธนกิจมานะชัย
Patient profile
 ผู้ป่วยชายไทย อายุ45 ปี
 Chief complaint : เจ็บไหล่ขวา 4 ชั่วโมงก่อนมา รพ
 Present illness : 4 ชั่วโมงก่อนมา รพ ขณะทางาน เกิดอุบัติเหตุ แขนขวาติด
เข้าไปในลูกกลิ้ง(เครื่องสาวกระสอบ) ในท่าเอื้อมแขนไปด้านหน้า หลังจากนั้นเกิดการ
เจ็บบริเวณไหล่ขวาขึ้นมาทันที ไหล่ผิดรูป ขยับไหล่ไม่ได้ ไม่มีแผลเปิด ยังสามารถงอศอก
ได้ แต่เจ็บบริเวณไหล่ ไม่มีชาบริเวณมือและแขน
Patient profile
 ปฏิเสธโรคประจาตัว
 ปฏิเสธแพ้ยา แพ้อาหาร
Primary survey
 A : spontaneous breathing , not tender along c-spine
 B : can breath ,equal breath sound
 C : normal s1s2 , no murmur
 D : E4V5M6 , pupil 3 mm RTLBE
 E : abrasion wound at right arm & shoulder
Physical examination
 GA : A Thai middle aged man , good consiousness ,
well co-operative
 HEENT : no external wound , not pale , no jaundice
 Heart : normal s1s2 , no murmur
 Lung : clear BS both lung
 Abdomen : soft , not tender , no wound
Physical examination
 Extremities :
Right shoulder
- Swelling
- Abrasion wound
- Deformity
- Tender
- Limit ROM all
direction
- Neurovascular intact
Special test
- Ruler test +
- Duga’s test +
investigation
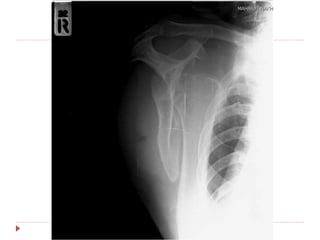
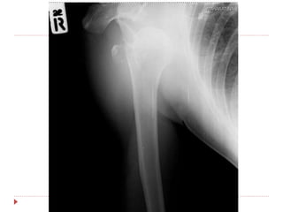
 Film right shoulder AP , transcapular
 Film right humerous AP , lateral
Imp :
Right anterior shoulder dislocation
with avulsion fracture right greater
tuberosity
Treatment
 Closed reduction
 Pain control : pethidine 1 amp iv stat
 Sedation : valium 1 amp iv stat
 Traction-countertraction
 Interlocking arm sling
 Flim right shoulder AP , transcapular หลัง CR
 F/U 2 week
Shoulder dislocate
(glenohumeral disloction)
anatomy
 เนิ้บ บริเวณ”หล่
 โรเตเต้อคัฟ
 Recurrent /
treatment
 Non-operative
 Closed reduction
 analgesia/sedative : iv , intra-articular , GA
 Under intra-articular
 Reduction confirmed by x-ray
 Immobilization : interlocking sling
 Rehabilitation
 isometric exercise
 ROM exercise & strengthening exercise
 Operative
Closed reduction
 Hippocretes method
 Stimson’s method
 Traction-countertraction
 Milch’s technique
Indication refer
 Old dislocation
 Prolong dislocation (>3wk)
 Dislocate with fracture greater tuberosity with failure
non-operative
 Dislocate with fracture glenoid rim
operative
 Indication
 Failed non-operative treatment
 Irreducible dislocation
 Open dislocation
 Recurrent dislocation in young age
 First dislocation in young age with high demand activity

Case conference shoulder dislocation

  • 1.
  • 2.
    Patient profile  ผู้ป่วยชายไทยอายุ45 ปี  Chief complaint : เจ็บไหล่ขวา 4 ชั่วโมงก่อนมา รพ  Present illness : 4 ชั่วโมงก่อนมา รพ ขณะทางาน เกิดอุบัติเหตุ แขนขวาติด เข้าไปในลูกกลิ้ง(เครื่องสาวกระสอบ) ในท่าเอื้อมแขนไปด้านหน้า หลังจากนั้นเกิดการ เจ็บบริเวณไหล่ขวาขึ้นมาทันที ไหล่ผิดรูป ขยับไหล่ไม่ได้ ไม่มีแผลเปิด ยังสามารถงอศอก ได้ แต่เจ็บบริเวณไหล่ ไม่มีชาบริเวณมือและแขน
  • 3.
    Patient profile  ปฏิเสธโรคประจาตัว ปฏิเสธแพ้ยา แพ้อาหาร
  • 4.
    Primary survey  A: spontaneous breathing , not tender along c-spine  B : can breath ,equal breath sound  C : normal s1s2 , no murmur  D : E4V5M6 , pupil 3 mm RTLBE  E : abrasion wound at right arm & shoulder
  • 5.
    Physical examination  GA: A Thai middle aged man , good consiousness , well co-operative  HEENT : no external wound , not pale , no jaundice  Heart : normal s1s2 , no murmur  Lung : clear BS both lung  Abdomen : soft , not tender , no wound
  • 6.
    Physical examination  Extremities: Right shoulder - Swelling - Abrasion wound - Deformity - Tender - Limit ROM all direction - Neurovascular intact Special test - Ruler test + - Duga’s test +
  • 7.
    investigation  Film rightshoulder AP , transcapular  Film right humerous AP , lateral
  • 12.
    Imp : Right anteriorshoulder dislocation with avulsion fracture right greater tuberosity
  • 13.
    Treatment  Closed reduction Pain control : pethidine 1 amp iv stat  Sedation : valium 1 amp iv stat  Traction-countertraction  Interlocking arm sling  Flim right shoulder AP , transcapular หลัง CR  F/U 2 week
  • 16.
  • 17.
  • 20.
     เนิ้บ บริเวณ”หล่ โรเตเต้อคัฟ  Recurrent /
  • 21.
    treatment  Non-operative  Closedreduction  analgesia/sedative : iv , intra-articular , GA  Under intra-articular  Reduction confirmed by x-ray  Immobilization : interlocking sling  Rehabilitation  isometric exercise  ROM exercise & strengthening exercise  Operative
  • 22.
    Closed reduction  Hippocretesmethod  Stimson’s method  Traction-countertraction  Milch’s technique
  • 23.
    Indication refer  Olddislocation  Prolong dislocation (>3wk)  Dislocate with fracture greater tuberosity with failure non-operative  Dislocate with fracture glenoid rim
  • 24.
    operative  Indication  Failednon-operative treatment  Irreducible dislocation  Open dislocation  Recurrent dislocation in young age  First dislocation in young age with high demand activity