Extern Conference
June 11th, 2018.
Kiarttiyot Tuntiseranee
Case
• ผู้ป่วยหญิงไทยคู่ 58 ปี อาชีพปลูกผัก (ถูกส่งตัวมาจากโรงพยาบาลชุมพวง)
• CC : อ่อนแรงแขนซ้ายมากขึ้น 5 สัปดาห์
ประวัติจากใบส่งตัว
• ประวัติจากใบส่งตัว
 1 สัปดาห์ก่อนไปโรงพยาบาลชุมพวง มีอาการอ่อนแรงขณะนั่งมัดผักอยู่ มีอาการแขนซ้ายอ่อนแรงลง ชาแขนซ้ายและปลายมือ ไม่มี
ขาอ่อนแรง ไม่มีปากเบี้ยว ไม่มีลิ้นแข็ง
 ตรวจร่างกาย
 HEENT : not pale, no Jx
 Heart : Normal S1 S2, no murmur, regular rhythm
 Lung : Equal breath sound, no adventitious sound
 Abdomen : soft, not tender
 Ext : no pitting edema
 Neuro : E4V5M6, pupil 3 mm RTLBE, no facial palsy, no dysarthria,
motor Lt elbow F/E IV/V, wrist F/E IV/IV hand grip IV other Gr.V all,
impair PPS of Lt arm, Leg Gr V intact PPS, neck full ROM compression
test neg
 Imp : Mononeuropathy
Present illness
Present illness
• 5 สัปดาห์ก่อน มีอาการอ่อนแรงขณะนั่งมัดผักอยู่ มีอ่อนแรงเฉพาะที่แขนซ้ายร่วมกับมีอาการชา
ไม่มีหน้าเบี้ยว แขนขวาและขาทั้งสองข้างมีแรงดี มีอาการปวดบริเวณต้นคอถึงไหล่ด้านซ้าย เคย
มีอาการปวดไหล่ซ้ายแบบนี้เป็นๆหายๆมาก่อน ไม่มีประวัติอุบัติเหตุ จึงไปที่โรงพยาบาลชุมพวง
• 4 สัปดาห์ก่อน ถูกส่งตัวมาจากชุมพวง แพทย์ให้การวินิจฉัยเป็นโรคเอ็นอักเสบที่หัวไหล่ นัด
ติดตามอาการ 1 เดือน
• วันนี้มาตามนัด ยังมีอาการอ่อนแรงที่แขนซ้าย เป็นๆหายๆ ไม่ได้เป็นตลอดเวลา รู้สึกว่าแขนซ้าย
ล้าง่าย มีถือแก้วน้าแล้วหลุดมือแตกหลายครั้ง
Past history
• โรคประจาตัว : โรคกระเพาะ
• ไม่มียาใช้ประจา ไม่ใช้ยาต้มยาหม้อ ยาลูกกลอน ยาสมุนไพร
• ไม่เคยมีประวัติอุบัติเหตุบริเวณคอหรือหัวไหล่ ไม่เคยมีอุบัติเหตุร้ายแรง
Personal history
• ไม่สูบบุหรี่
• ดื่มสุราตามเทศกาล
• ทางานปลูกผัก ขายผัก ต้องยกของหนักเป็นประจา
Physical Examination
• General appearance : A middle-aged Thai female, good
consciousness, well co-operative
• Vital signs : BP 137/63 mmHg, P 79 bpm, RR 16 /min, Temp ไม่มีเครื่องวัด
• HEENT : not pale, no jaundice
• Heart : normal S1 S2, no murmur
• Lung : equal expansion, equal breath sound, no adventitious sound
• Abdomen : soft, not tender
• Extremities : no edema, no rash, tender over left supraclavicular
area
Neurological Examination
• Pinprick sensation intact
• Reflex 2+ all extremities
• Spurling’s test –ve
• Hoffmann’s sign –ve both side
• Inverted radial reflex –ve both side
Motor Rt Lt
Deltoid V IV
Biceps V IV
Wrist extensors V IV
Triceps V IV
Finger flexors V V
Finger abductors V V
Other V V
• Consciousness : Alert
• Cranial nerve : pupil 3mm RTLBE, no facial palsy, no hearing loss
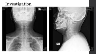
Investigation
Investigation
Diagnosis ??
Thoracic Outlet
Syndrome
Thoracic Outlet Syndrome
• TOS is the syndrome that arise from compression of neurovascular bundle
by various structures in the area just above the first rib and behind the
clavicle, within the confined space of the thoracic outlet.
Pathophysiology
• anatomic predisposition with superimposed neck trauma (acute or chronic
repetitive stress)
• scalene muscle abnormalities
• fibromuscular bands
• Pancoast tumor
• schwannoma of the brachial plexus
• cervical rib, prominent C7 transverse process
• abnormal clavicle or first rib
• chronic repetitive shoulder overuse
Sign & Symptoms
• Neurogenic TOS
 upper extremity weakness, numbness and paresthesias
 pain over the neck, trapezius, chest, shoulder and/or arm
• Venous TOS
 Pain
 Cyanosis
 DVT
• Arterial TOS
 Pain
 Pallor
 Paresthesia
 Coldness
 Unilateral Raynaud phenomenon
Special test
• Supraclavicular pressure test
• Technique : patient seated with arm resting at side, apply pressure to upper
trapezius and anterior scalene muscle, squeezing for 30 seconds
• Positive when patient reproduced pain or paresthesias
Special test
• Adson test
• Technique : patient seated with shoulder slightly abducted and externally
rotated, elbow extended, forearm supinated, examiner palpates radial pulse,
patient maximally extends and laterally rotates the neck towards side being
tested, then inhales and holds breath
• Positive when redial pulse is reduced in amplitude
Special test
• Costoclavicular maneuver
• Technique : patient seated with the arm at the side, elbow extended, forearm
supinated, examiner palpates radial pulse, patient retracts and depresses
the bilateral shoulders, protruding the chest anteriorly and superiorly ("at
attention" stance), examiner extends the shoulder ~30° for 1 minute
• Positive when redial pulse is reduced in amplitude
Investigation
• No gold standard for diagnosis
• Radiographs : chest radiograph and cervical spine radiographs
 cervical rib
 prominent C7 transverse process
 low lying shoulder girdle
 Pancoast tumor
• Three-dimensional imaging CT and MRI
• Nerve conduction studies
• Vascular studies
• Angiography
Treatment
• Non-operative
 activity modification
 limiting repetitive overhead motion
 changing employment if necessary
 pain control
 NSAIDs, muscle relaxants
 physical therapy
 core and back strengthening, shoulder girdle strengthening, improving
posture and relaxation techniques
 modalities
 transcutaneous electrical nerve stimulation
 anterior scalene blocks : lidocaine or botulinum toxin injection
• Operative -> thoracic outlet decompression
 Indications
 symptoms that have failed conservative treatment for 6 months
 progressive muscle atrophy and/or worsening neurologic deficits

Extern conference..

  • 1.
    Extern Conference June 11th,2018. Kiarttiyot Tuntiseranee
  • 2.
    Case • ผู้ป่วยหญิงไทยคู่ 58ปี อาชีพปลูกผัก (ถูกส่งตัวมาจากโรงพยาบาลชุมพวง) • CC : อ่อนแรงแขนซ้ายมากขึ้น 5 สัปดาห์
  • 3.
    ประวัติจากใบส่งตัว • ประวัติจากใบส่งตัว  1สัปดาห์ก่อนไปโรงพยาบาลชุมพวง มีอาการอ่อนแรงขณะนั่งมัดผักอยู่ มีอาการแขนซ้ายอ่อนแรงลง ชาแขนซ้ายและปลายมือ ไม่มี ขาอ่อนแรง ไม่มีปากเบี้ยว ไม่มีลิ้นแข็ง  ตรวจร่างกาย  HEENT : not pale, no Jx  Heart : Normal S1 S2, no murmur, regular rhythm  Lung : Equal breath sound, no adventitious sound  Abdomen : soft, not tender  Ext : no pitting edema  Neuro : E4V5M6, pupil 3 mm RTLBE, no facial palsy, no dysarthria, motor Lt elbow F/E IV/V, wrist F/E IV/IV hand grip IV other Gr.V all, impair PPS of Lt arm, Leg Gr V intact PPS, neck full ROM compression test neg  Imp : Mononeuropathy
  • 4.
  • 5.
    Present illness • 5สัปดาห์ก่อน มีอาการอ่อนแรงขณะนั่งมัดผักอยู่ มีอ่อนแรงเฉพาะที่แขนซ้ายร่วมกับมีอาการชา ไม่มีหน้าเบี้ยว แขนขวาและขาทั้งสองข้างมีแรงดี มีอาการปวดบริเวณต้นคอถึงไหล่ด้านซ้าย เคย มีอาการปวดไหล่ซ้ายแบบนี้เป็นๆหายๆมาก่อน ไม่มีประวัติอุบัติเหตุ จึงไปที่โรงพยาบาลชุมพวง • 4 สัปดาห์ก่อน ถูกส่งตัวมาจากชุมพวง แพทย์ให้การวินิจฉัยเป็นโรคเอ็นอักเสบที่หัวไหล่ นัด ติดตามอาการ 1 เดือน • วันนี้มาตามนัด ยังมีอาการอ่อนแรงที่แขนซ้าย เป็นๆหายๆ ไม่ได้เป็นตลอดเวลา รู้สึกว่าแขนซ้าย ล้าง่าย มีถือแก้วน้าแล้วหลุดมือแตกหลายครั้ง
  • 6.
    Past history • โรคประจาตัว: โรคกระเพาะ • ไม่มียาใช้ประจา ไม่ใช้ยาต้มยาหม้อ ยาลูกกลอน ยาสมุนไพร • ไม่เคยมีประวัติอุบัติเหตุบริเวณคอหรือหัวไหล่ ไม่เคยมีอุบัติเหตุร้ายแรง Personal history • ไม่สูบบุหรี่ • ดื่มสุราตามเทศกาล • ทางานปลูกผัก ขายผัก ต้องยกของหนักเป็นประจา
  • 7.
    Physical Examination • Generalappearance : A middle-aged Thai female, good consciousness, well co-operative • Vital signs : BP 137/63 mmHg, P 79 bpm, RR 16 /min, Temp ไม่มีเครื่องวัด • HEENT : not pale, no jaundice • Heart : normal S1 S2, no murmur • Lung : equal expansion, equal breath sound, no adventitious sound • Abdomen : soft, not tender • Extremities : no edema, no rash, tender over left supraclavicular area
  • 8.
    Neurological Examination • Pinpricksensation intact • Reflex 2+ all extremities • Spurling’s test –ve • Hoffmann’s sign –ve both side • Inverted radial reflex –ve both side Motor Rt Lt Deltoid V IV Biceps V IV Wrist extensors V IV Triceps V IV Finger flexors V V Finger abductors V V Other V V • Consciousness : Alert • Cranial nerve : pupil 3mm RTLBE, no facial palsy, no hearing loss
  • 10.
  • 11.
  • 12.
  • 13.
  • 14.
    Thoracic Outlet Syndrome •TOS is the syndrome that arise from compression of neurovascular bundle by various structures in the area just above the first rib and behind the clavicle, within the confined space of the thoracic outlet.
  • 15.
    Pathophysiology • anatomic predispositionwith superimposed neck trauma (acute or chronic repetitive stress) • scalene muscle abnormalities • fibromuscular bands • Pancoast tumor • schwannoma of the brachial plexus • cervical rib, prominent C7 transverse process • abnormal clavicle or first rib • chronic repetitive shoulder overuse
  • 16.
    Sign & Symptoms •Neurogenic TOS  upper extremity weakness, numbness and paresthesias  pain over the neck, trapezius, chest, shoulder and/or arm • Venous TOS  Pain  Cyanosis  DVT • Arterial TOS  Pain  Pallor  Paresthesia  Coldness  Unilateral Raynaud phenomenon
  • 17.
    Special test • Supraclavicularpressure test • Technique : patient seated with arm resting at side, apply pressure to upper trapezius and anterior scalene muscle, squeezing for 30 seconds • Positive when patient reproduced pain or paresthesias
  • 18.
    Special test • Adsontest • Technique : patient seated with shoulder slightly abducted and externally rotated, elbow extended, forearm supinated, examiner palpates radial pulse, patient maximally extends and laterally rotates the neck towards side being tested, then inhales and holds breath • Positive when redial pulse is reduced in amplitude
  • 19.
    Special test • Costoclavicularmaneuver • Technique : patient seated with the arm at the side, elbow extended, forearm supinated, examiner palpates radial pulse, patient retracts and depresses the bilateral shoulders, protruding the chest anteriorly and superiorly ("at attention" stance), examiner extends the shoulder ~30° for 1 minute • Positive when redial pulse is reduced in amplitude
  • 20.
    Investigation • No goldstandard for diagnosis • Radiographs : chest radiograph and cervical spine radiographs  cervical rib  prominent C7 transverse process  low lying shoulder girdle  Pancoast tumor • Three-dimensional imaging CT and MRI • Nerve conduction studies • Vascular studies • Angiography
  • 21.
    Treatment • Non-operative  activitymodification  limiting repetitive overhead motion  changing employment if necessary  pain control  NSAIDs, muscle relaxants  physical therapy  core and back strengthening, shoulder girdle strengthening, improving posture and relaxation techniques  modalities  transcutaneous electrical nerve stimulation  anterior scalene blocks : lidocaine or botulinum toxin injection • Operative -> thoracic outlet decompression  Indications  symptoms that have failed conservative treatment for 6 months  progressive muscle atrophy and/or worsening neurologic deficits