นพท.คุณัสนันท์ ธนาวุฒิชยานันท์ วพม.
 Chiefcomplain : ปวดข้อมือซ้าย 2 ชั่วโมง PTA
 Present illness :
› 2ชั่วโมง PTA ; ผู้ป่วยให้ประวัติว่า ขับรถมอเตอร์ไซด์ตก
หลุมแอ่งน้า เอามือซ้ายลง ขณะขับใส่หมวกกันน๊อค
ศีรษะไม่กระแทก ไม่สลบ จาเหตุการณ์ได้ตลอด หลังเกิด
เหตุปวดบริเวณข้อมือซ้าย Pain score 7/10 ข้อมือซ้าย
ผิดรูป บวม ขยับข้อมือได้ลาบาก ไม่มีอาการชา จึงส่งมา
รักษาที่รพ.มหาราช
 A- no stridor,can flex,extend,rotation neck
 B-equal breath sound ,CCT-negative
 C-Pulse 83/min , BP 131/79
 D-E4V5M6 ,pupil 3 mm. react to light
 E- No back lesion
• No underlyingdisease
• No history of drugallergy
• No familyhistory of malignancy,
Hypertension,Type2 DM, Dyslipidemia,
Coronaryartery disease
 Vitalsign : BP 131/79 mmhg PR 83/min
BT 36.8 èC RR 20/min
 General appearance: Goodconscious,Alert, Awake
 HEENT:no evidence of head trauma, notpale
conjunctivae,Anictericsclerae
 Chest: Clear, equal breathsoundbothlungs
 Abdomen:soft,not tender, normoactivebowel
sound
 Orthopaedicexamination:
left forearm;
ono swelling, noexternalwound
o Leftforearmand wrist deformity
oLimit ROM of wrist joint
Can move finger
Paresthsia at left dorsal hand
Capillary refill< 2 seconds
 no wrist drop ,motor :can’t evaluate
 Pulse 2+ allextremities
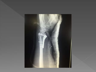
 Intra-articular fracture
 ORIF c LCP distal radius (VA) c locking
screw
 หลังผ่าตัดใส่ posterior long arm slab ในท่า supination
2-4 wks
Ortho case

Ortho case

  • 1.
  • 2.
     Chiefcomplain :ปวดข้อมือซ้าย 2 ชั่วโมง PTA  Present illness : › 2ชั่วโมง PTA ; ผู้ป่วยให้ประวัติว่า ขับรถมอเตอร์ไซด์ตก หลุมแอ่งน้า เอามือซ้ายลง ขณะขับใส่หมวกกันน๊อค ศีรษะไม่กระแทก ไม่สลบ จาเหตุการณ์ได้ตลอด หลังเกิด เหตุปวดบริเวณข้อมือซ้าย Pain score 7/10 ข้อมือซ้าย ผิดรูป บวม ขยับข้อมือได้ลาบาก ไม่มีอาการชา จึงส่งมา รักษาที่รพ.มหาราช
  • 3.
     A- nostridor,can flex,extend,rotation neck  B-equal breath sound ,CCT-negative  C-Pulse 83/min , BP 131/79  D-E4V5M6 ,pupil 3 mm. react to light  E- No back lesion
  • 4.
    • No underlyingdisease •No history of drugallergy • No familyhistory of malignancy, Hypertension,Type2 DM, Dyslipidemia, Coronaryartery disease
  • 5.
     Vitalsign :BP 131/79 mmhg PR 83/min BT 36.8 èC RR 20/min  General appearance: Goodconscious,Alert, Awake  HEENT:no evidence of head trauma, notpale conjunctivae,Anictericsclerae  Chest: Clear, equal breathsoundbothlungs  Abdomen:soft,not tender, normoactivebowel sound
  • 6.
     Orthopaedicexamination: left forearm; onoswelling, noexternalwound o Leftforearmand wrist deformity oLimit ROM of wrist joint
  • 7.
    Can move finger Paresthsiaat left dorsal hand Capillary refill< 2 seconds  no wrist drop ,motor :can’t evaluate  Pulse 2+ allextremities
  • 13.
  • 15.
     ORIF cLCP distal radius (VA) c locking screw
  • 19.
     หลังผ่าตัดใส่ posteriorlong arm slab ในท่า supination 2-4 wks