Acute Myelogenous Leukemia
Prof. Dr.S.TITO’s Unit M4
Dr.Rakesh Pinninti
• Definition
• Epidemiology
• Etiology & Pathogenesis; predisposing diseases.
• Molecular Pathogenesis
• Classification
• Cytogenetic
• Clinical Features & Special Clinical situations
• Lab findings
• Therapy
Definition
• Acute myelogenous leukemia (AML) is a
clonal, malignant disease of hematopoietic
tissues that is characterized by
(1)accumulation of abnormal (leukemic) blast
cells, principally in the marrow, and
(2)impaired production of normal blood cells.
AML is the result of a sequence of somatic mutations in a
multipotential primitive hematopoietic cell or, in some cases, a
more differentiated progenitor cell.
Epidemiology
• The incidence rate of AML is
• approx 1.5 / 100,000 in infants --- < 1 yr
approx 0.4 / 100,000 children ---- 5 to 9 yrs,
approx 1.0 / 100,000 ----------until age 25 yrs,
increases exponentially until the rate reaches
approx 25 per 100,000 persons in octogenarians
• The exception to this exponential age-related increase in incidence is
acute promyelocytic leukemia (APL), which does not change greatly in
incidence with age.
• AML accounts for 15 to 20 percent of the acute leukemias in
children and 80 percent of the acute leukemias in adults. It is
slightly more common in males.
Etiology and Pathogenesis
• Environmental factors
Radiation
Benzene
Cytotoxic drugs
Tobacco smoke
• Acquired diseases
a) Clonal myeloid diseases
1. Chronic myelogenous leukemia
2. Primary myelofibrosis
3. Essential thrombocythemia
4. Polycythemia vera
5. Clonal cytopenias
6. Paroxysmal nocturnal hemoglobinuria
Other hematopoietic disorders
Aplastic anemia Eosinophilic fasciitis Myeloma
• Inherited or Congenital Conditions
sibling with AML
Amegakaryocytic thrombocytopenia, congenital
Ataxia-pancytopenia
Bloom syndrome
Congenital agranulocytosis (Kostmann syndrome)
Chronic thrombocytopenia with chromosome 21q 22.12 microdel
Diamond-Blackfan syndrome
Down syndrome
Dubowitz syndrome
Dyskeratosis congenita
Familial (pure, nonsyndromic) AML
Familial platelet disorder
Fanconi anemia
Naxos syndrome
Neurofibromatosis
Noonan syndrome
Poland syndrome
Rothmund-Thomson syndrome
Seckel syndrome
Shwachman syndrome
Werner syndrome (progeria)
Classification
WHO classification is based on immunophenotype ,
clinical features, cytogenetic & molecular
abnormalities, in addition to morphology.
• A major difference btw WHO & FAB systems is the
blast cut-off for the diagnosis of AML as opposed to
MDS; it is 20% in WHO & 30% in FAB.
• The WHO classification is the 1st
luekemia classification
to incorporate genetic information. For example, AML FAB M3 is
designated as Acute promyelocytic leukemia (APL), based on the presence of
either the t(15,17)(q22;12) cytogenetic rearrangement or the PML/RARa product
of translocation.
Clinical Features
• Signs and Symptoms
GENERAL
• Nearly half have had symptoms for <3months, before
the leukemia is diagnosed.
• ½ mention fatigue as first symptom
• Fever with/without an identifiable infection is the
initial symptom in 10% of patients.
• Signs of abnormal hemostasis noted first in 5%
Major infections, such as pneumonia, pyelonephritis, and meningitis, are uncommon presenting features
of the disease, partly because absolute neutrophil counts less than 500/L (0.5 x 109
/L) are uncommon until
chemotherapy starts.
Specific Organ System Involvement
• Extramedullary involvement is most common in monocytic or
myelomonocytic leukemia
• A) Skin involvement
• B) The gastrointestinal tract
• C) The respiratory tract
• D) Cardiac involvement
• E) The urogenital system
• F) Osteoarticular
• H) Central or peripheral nervous system
• nonspecific lesions, leukemia
cutis, or granulocytic (myeloid)
sarcoma.
• Nonspecific lesions include
macules, papules, vesicles,
pyoderma gangrenosum,
vasculitis, neutrophilic dermatitis
(Sweet syndrome), cutis vertices
gyrata, and erythema multiforme
or nodosum.
• Gingival or periodontal infiltration and dental abscesses
• Ileotyphlitis (enterocolitis)
• Fever, abdominal pain, bloody diarrhea, or ileus
• intestinal perforation, an inflammatory mass, and
associated infection with enteric gram-negative bacilli
or clostridial species often are associated with a fatal
outcome.
• Proctitis, especially common in the monocytic variant
of AML, can be a presenting sign or a vexing problem
during periods of severe granulocytopenia and
diarrhea.
• Central or peripheral nervous system
involvement by infiltration of leukemic
cells is very uncommon, although
meningeal involvement is an important
consideration in the treatment of the
monocytic type of AML.
• An association of CNS involvement and
diabetes insipidus in AML with
monosomy 7 and inv 16 has been
reported.
Special Clinical situations
• Hyperleukocytosis
• Hypoplastic Leukemia
• Oligoblastic (Subacute, Smoldering) Leukemia
• Ph-Chromosome–Positive AML
• Marrow Necrosis
• Neonatal Myeloproliferation and Leukemia
• Myeloid (Granulocytic) Sarcoma
Hyperleukocytosis
• Leukocyte count is an independent prognostic factor in the
outcome of AML treatment.
• Approx 5 percent of patients with AML develop signs or
symptoms attributable to a markedly elevated blood blast cell
count, usually greater than 100 x 109
/L
• The circulations of the CNS, lungs, and penis are most sensitive
to the effects of leukostasis.
• Dizziness, stupor, dyspnea, and priapism may occur.
• Diabetes insipidus is another association.
• A high early mortality in patients with AML correlates with
hyperleukocytosis greater than 100 x 109
/L.
• Chemotherapy in hyperleukocytic patients may lead to a
pulmonary leukostatic syndrome, presumably from the effects
of rigid, effete blast cells, or the discharge of large amounts of
cell contents and resultant cell aggregation or other effects.274–
Myeloid (Granulocytic) Sarcoma
A) Myeloid sarcoma (also known as granulocytic sarcoma, chloroma,
myeloblastoma, monocytoma) is a tumor composed of
myeloblasts, monoblasts, or megakaryocyes.
B) The tumors originally were called chloromas because of the green
color imparted by the high concentration of the enzyme
myeloperoxidase present in myelogenous leukemic cells.
C) Biopsy specimens are positive for chloracetate esterase, lysozyme,
myeloperoxidase, and cluster of differentiation (CD) markers of
myeloid cells.
D) Patients having AML with t(8;21) have a propensity to develop
extramedullary leukemia, and such patients with myeloid sarcomas
have a poorer outcome after treatment.192,194
Laboratory Features
Blood Cell Findings
A) Anemia is a constant feature.
The reticulocyte count usually is between 0.5 and 2.0 percent.
Occasional poikilocytosis, Nucleated red cells or stippled erythrocytes may be present.
B) Thrombocytopenia is nearly always present at the time of diagnosis. Platelet count <1lakh are found
in 75% and about 25% have <25,000/ micL
C) The total leukocyte count is less than 5000/L (5 x 109
/L) in approximately half of patients at the
time of diagnosis
The absolute neutrophil count is less than 1000/L (1 x 109
/L) in more than half of cases at diagnosis.
• The median presenting leukocyte count is 15,000/micl
• <5% have no detectable leukemic cells in the blood.
• In 20% TC may be > 100,000/micl
• Cytochemical abnormalities of blood neutrophils include low or absent myeloperoxidase or low
alkaline phosphatase activity.
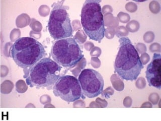
D) Myeloblasts almost always are present in the blood but may be infrequent in severely leukopenic
patients.Examination of a white cell concentrate (buffy coat) may permit their identification.
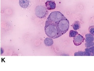
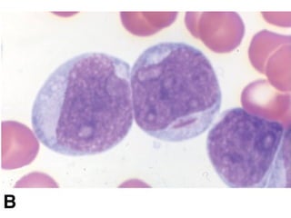
E) Auer rods are elliptical cytoplasmic inclusions approximately 1.5 m long and 0.5 m wide that derive
from azurophilic granules. The inclusions are present in the blast cells of approximately 15 percent of
cases, examined with polychrome stains.
An exception is APL, in which a high proportion of cells have Auer rods and some have multiple
(bundles) of rods.
Marrow Morphology
• The marrow always contains leukemic blast cells. From 3 to 95 percent of
marrow cells are blasts at the time of diagnosis or relapse.
• The World Health Organization (WHO) has invoked an arbitrary breakpoint
of 20 % of marrow nucleated cells being blast cells to distinguish
polyblastic AML (≥20% blasts) from oligoblastic myelogenous leukemia
(<20% blasts).
• The WHO choice of ≥20 percent blasts is an arbitrary, inconsistent, and
confusing standard.
• Myeloblasts are distinguished from lymphoblasts by any of three
pathognomonic features:
a) reactivity with specific histochemical stains;
b) Auer rods in the cells;
c) reactivity with a panel of monoclonal antibodies against epitopes
present on myeloblasts (e.g., CD13, CD33, CD117).
• Leukemic myeloblasts give positive histochemical reactions for peroxidase,
Sudan black B, or naphthyl AS-D-chloroacetate esterase stains.
A. Auer rods can be found in the marrow blast cells in approximately one-
sixth of cases.
B. Blast cells may express granulocytic (CD15, CD65) or monocytic
(CD11b, CD11c, CD14, CD64) surface antigens.
C. In a proportion of otherwise typical cases of AML, the cells may contain
terminal deoxynucleotidyl transferase (TdT).
D. Normal erythropoiesis, megakaryocytopoiesis, and granulopoiesis are
decreased or absent in the marrow aspirate.
E. Dysmorphic changes in hematopoietic cells may occur in 30 to 50
percent of patients with de novo AML.
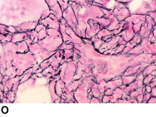
F. Marrow reticulin fibrosis is common but usually is slight to moderate
except in cases of megakaryoblastic leukemia, in which intense fibrosis
is the rule.
G. AML cytogenetic variants may result in marrow basophilia (usually
Immunologic Phenotypes of AML
Phenotype Usually Positive
Myeloblastic CD11b, CD13, CD15, CD33, CD117, HLA-DR
Myelomonocytic CD11b, CD13, CD14, CD15, CD32, CD3, HLA-
DR
Erythroid Glycophorin, spectrin, ABH antigens, carbonic
anhydrase I, HLA-DR
Promyelocytic CD13, CD33
Monocytic CD11b, 11c, CD13, CD14, CD33, CD65, HLA-
DR
Megakaryoblastic CD34, CD41, CD42, CD61, anti-von Willebrand
factor
Basophilic CD11b, CD13, CD33, CD123, CD203c
Mast cell CD13, CD33, CD117
Plasma Chemical Findings
• Severe hyponatremia associated with SIADH secretion has
occurred at presentation.
• Severe hypernatremia as a consequence of diabetes insipidus can
be an initial event.
• Hypokalemia is a more frequent finding at presentation and is
related to kaliuresis.
• Hypercalcemia can occur.
• Severe lactic acidosis prior to treatment has been reported.
• Hypophosphatemia as a result of phosphate uptake by leukemic
cells can occur.
• Uric acid and lactic dehydrogenase levels levels are higher in
myelomonocytic and monocytic AML than in other AML phenotypes
• Acute promyelocytic and acute monocytic leukemia are associated
with hypofibrinogenemia and other indicators of activation of
coagulation or fibrinolysis
• The levels of the shed form of L-selectinand anticardiolipin antibodies ,
levels of soluble VEGF receptor-1 (VEGFR-1) and VEGFR-2 are frquently
elevated
• The ratio of soluble VEGFR-1 to VEGF correlates with greater
leukemic blast cell burden and with less favorable outcome.
Poor prognostic markers
Older age
Unfavorable karyotypes
Multidrug resistance phenotype
Prior clonal hemopathy
Higher white cell count: Count >30,000/µL (30 x 109
/L) or a blast cell count >15,000/µL
Very low platelet count (<30,000/µL [<30 x 109
/L])
High serum lactic dehydrogenase, Low serum albumin or prealbumin
Low expression of retinoblastoma gene
Another medical disorder: extreme obesity, diabetes mellitus, chronic renal disease
Need for intubation or ventilator support during induction therapy
High BCL-2, MCL-1 expression, mutated KIT with t(8;21), MLL tandem duplications and
11p23/MLL abnormalities
Cytogenetics
Therapy
References
• Williams Hematology - 8th Edition
• Harrison’s Principles of Internal Medicine 17th
edition
• H
• aaa
Thank you

Acute Myelogenous Leukaemia

  • 1.
    Acute Myelogenous Leukemia Prof.Dr.S.TITO’s Unit M4 Dr.Rakesh Pinninti
  • 2.
    • Definition • Epidemiology •Etiology & Pathogenesis; predisposing diseases. • Molecular Pathogenesis • Classification • Cytogenetic • Clinical Features & Special Clinical situations • Lab findings • Therapy
  • 3.
    Definition • Acute myelogenousleukemia (AML) is a clonal, malignant disease of hematopoietic tissues that is characterized by (1)accumulation of abnormal (leukemic) blast cells, principally in the marrow, and (2)impaired production of normal blood cells. AML is the result of a sequence of somatic mutations in a multipotential primitive hematopoietic cell or, in some cases, a more differentiated progenitor cell.
  • 4.
    Epidemiology • The incidencerate of AML is • approx 1.5 / 100,000 in infants --- < 1 yr approx 0.4 / 100,000 children ---- 5 to 9 yrs, approx 1.0 / 100,000 ----------until age 25 yrs, increases exponentially until the rate reaches approx 25 per 100,000 persons in octogenarians • The exception to this exponential age-related increase in incidence is acute promyelocytic leukemia (APL), which does not change greatly in incidence with age. • AML accounts for 15 to 20 percent of the acute leukemias in children and 80 percent of the acute leukemias in adults. It is slightly more common in males.
  • 5.
    Etiology and Pathogenesis •Environmental factors Radiation Benzene Cytotoxic drugs Tobacco smoke • Acquired diseases a) Clonal myeloid diseases 1. Chronic myelogenous leukemia 2. Primary myelofibrosis 3. Essential thrombocythemia 4. Polycythemia vera 5. Clonal cytopenias 6. Paroxysmal nocturnal hemoglobinuria Other hematopoietic disorders Aplastic anemia Eosinophilic fasciitis Myeloma • Inherited or Congenital Conditions sibling with AML Amegakaryocytic thrombocytopenia, congenital Ataxia-pancytopenia Bloom syndrome Congenital agranulocytosis (Kostmann syndrome) Chronic thrombocytopenia with chromosome 21q 22.12 microdel Diamond-Blackfan syndrome Down syndrome Dubowitz syndrome Dyskeratosis congenita Familial (pure, nonsyndromic) AML Familial platelet disorder Fanconi anemia Naxos syndrome Neurofibromatosis Noonan syndrome Poland syndrome Rothmund-Thomson syndrome Seckel syndrome Shwachman syndrome Werner syndrome (progeria)
  • 6.
    Classification WHO classification isbased on immunophenotype , clinical features, cytogenetic & molecular abnormalities, in addition to morphology. • A major difference btw WHO & FAB systems is the blast cut-off for the diagnosis of AML as opposed to MDS; it is 20% in WHO & 30% in FAB. • The WHO classification is the 1st luekemia classification to incorporate genetic information. For example, AML FAB M3 is designated as Acute promyelocytic leukemia (APL), based on the presence of either the t(15,17)(q22;12) cytogenetic rearrangement or the PML/RARa product of translocation.
  • 7.
    Clinical Features • Signsand Symptoms GENERAL • Nearly half have had symptoms for <3months, before the leukemia is diagnosed. • ½ mention fatigue as first symptom • Fever with/without an identifiable infection is the initial symptom in 10% of patients. • Signs of abnormal hemostasis noted first in 5% Major infections, such as pneumonia, pyelonephritis, and meningitis, are uncommon presenting features of the disease, partly because absolute neutrophil counts less than 500/L (0.5 x 109 /L) are uncommon until chemotherapy starts.
  • 8.
    Specific Organ SystemInvolvement • Extramedullary involvement is most common in monocytic or myelomonocytic leukemia • A) Skin involvement • B) The gastrointestinal tract • C) The respiratory tract • D) Cardiac involvement • E) The urogenital system • F) Osteoarticular • H) Central or peripheral nervous system • nonspecific lesions, leukemia cutis, or granulocytic (myeloid) sarcoma. • Nonspecific lesions include macules, papules, vesicles, pyoderma gangrenosum, vasculitis, neutrophilic dermatitis (Sweet syndrome), cutis vertices gyrata, and erythema multiforme or nodosum. • Gingival or periodontal infiltration and dental abscesses • Ileotyphlitis (enterocolitis) • Fever, abdominal pain, bloody diarrhea, or ileus • intestinal perforation, an inflammatory mass, and associated infection with enteric gram-negative bacilli or clostridial species often are associated with a fatal outcome. • Proctitis, especially common in the monocytic variant of AML, can be a presenting sign or a vexing problem during periods of severe granulocytopenia and diarrhea. • Central or peripheral nervous system involvement by infiltration of leukemic cells is very uncommon, although meningeal involvement is an important consideration in the treatment of the monocytic type of AML. • An association of CNS involvement and diabetes insipidus in AML with monosomy 7 and inv 16 has been reported.
  • 9.
    Special Clinical situations •Hyperleukocytosis • Hypoplastic Leukemia • Oligoblastic (Subacute, Smoldering) Leukemia • Ph-Chromosome–Positive AML • Marrow Necrosis • Neonatal Myeloproliferation and Leukemia • Myeloid (Granulocytic) Sarcoma
  • 10.
    Hyperleukocytosis • Leukocyte countis an independent prognostic factor in the outcome of AML treatment. • Approx 5 percent of patients with AML develop signs or symptoms attributable to a markedly elevated blood blast cell count, usually greater than 100 x 109 /L • The circulations of the CNS, lungs, and penis are most sensitive to the effects of leukostasis. • Dizziness, stupor, dyspnea, and priapism may occur. • Diabetes insipidus is another association. • A high early mortality in patients with AML correlates with hyperleukocytosis greater than 100 x 109 /L. • Chemotherapy in hyperleukocytic patients may lead to a pulmonary leukostatic syndrome, presumably from the effects of rigid, effete blast cells, or the discharge of large amounts of cell contents and resultant cell aggregation or other effects.274–
  • 11.
    Myeloid (Granulocytic) Sarcoma A)Myeloid sarcoma (also known as granulocytic sarcoma, chloroma, myeloblastoma, monocytoma) is a tumor composed of myeloblasts, monoblasts, or megakaryocyes. B) The tumors originally were called chloromas because of the green color imparted by the high concentration of the enzyme myeloperoxidase present in myelogenous leukemic cells. C) Biopsy specimens are positive for chloracetate esterase, lysozyme, myeloperoxidase, and cluster of differentiation (CD) markers of myeloid cells. D) Patients having AML with t(8;21) have a propensity to develop extramedullary leukemia, and such patients with myeloid sarcomas have a poorer outcome after treatment.192,194
  • 12.
    Laboratory Features Blood CellFindings A) Anemia is a constant feature. The reticulocyte count usually is between 0.5 and 2.0 percent. Occasional poikilocytosis, Nucleated red cells or stippled erythrocytes may be present. B) Thrombocytopenia is nearly always present at the time of diagnosis. Platelet count <1lakh are found in 75% and about 25% have <25,000/ micL C) The total leukocyte count is less than 5000/L (5 x 109 /L) in approximately half of patients at the time of diagnosis The absolute neutrophil count is less than 1000/L (1 x 109 /L) in more than half of cases at diagnosis. • The median presenting leukocyte count is 15,000/micl • <5% have no detectable leukemic cells in the blood. • In 20% TC may be > 100,000/micl • Cytochemical abnormalities of blood neutrophils include low or absent myeloperoxidase or low alkaline phosphatase activity. D) Myeloblasts almost always are present in the blood but may be infrequent in severely leukopenic patients.Examination of a white cell concentrate (buffy coat) may permit their identification. E) Auer rods are elliptical cytoplasmic inclusions approximately 1.5 m long and 0.5 m wide that derive from azurophilic granules. The inclusions are present in the blast cells of approximately 15 percent of cases, examined with polychrome stains. An exception is APL, in which a high proportion of cells have Auer rods and some have multiple (bundles) of rods.
  • 17.
    Marrow Morphology • Themarrow always contains leukemic blast cells. From 3 to 95 percent of marrow cells are blasts at the time of diagnosis or relapse. • The World Health Organization (WHO) has invoked an arbitrary breakpoint of 20 % of marrow nucleated cells being blast cells to distinguish polyblastic AML (≥20% blasts) from oligoblastic myelogenous leukemia (<20% blasts). • The WHO choice of ≥20 percent blasts is an arbitrary, inconsistent, and confusing standard. • Myeloblasts are distinguished from lymphoblasts by any of three pathognomonic features: a) reactivity with specific histochemical stains; b) Auer rods in the cells; c) reactivity with a panel of monoclonal antibodies against epitopes present on myeloblasts (e.g., CD13, CD33, CD117). • Leukemic myeloblasts give positive histochemical reactions for peroxidase, Sudan black B, or naphthyl AS-D-chloroacetate esterase stains.
  • 18.
    A. Auer rodscan be found in the marrow blast cells in approximately one- sixth of cases. B. Blast cells may express granulocytic (CD15, CD65) or monocytic (CD11b, CD11c, CD14, CD64) surface antigens. C. In a proportion of otherwise typical cases of AML, the cells may contain terminal deoxynucleotidyl transferase (TdT). D. Normal erythropoiesis, megakaryocytopoiesis, and granulopoiesis are decreased or absent in the marrow aspirate. E. Dysmorphic changes in hematopoietic cells may occur in 30 to 50 percent of patients with de novo AML. F. Marrow reticulin fibrosis is common but usually is slight to moderate except in cases of megakaryoblastic leukemia, in which intense fibrosis is the rule. G. AML cytogenetic variants may result in marrow basophilia (usually
  • 19.
    Immunologic Phenotypes ofAML Phenotype Usually Positive Myeloblastic CD11b, CD13, CD15, CD33, CD117, HLA-DR Myelomonocytic CD11b, CD13, CD14, CD15, CD32, CD3, HLA- DR Erythroid Glycophorin, spectrin, ABH antigens, carbonic anhydrase I, HLA-DR Promyelocytic CD13, CD33 Monocytic CD11b, 11c, CD13, CD14, CD33, CD65, HLA- DR Megakaryoblastic CD34, CD41, CD42, CD61, anti-von Willebrand factor Basophilic CD11b, CD13, CD33, CD123, CD203c Mast cell CD13, CD33, CD117
  • 20.
    Plasma Chemical Findings •Severe hyponatremia associated with SIADH secretion has occurred at presentation. • Severe hypernatremia as a consequence of diabetes insipidus can be an initial event. • Hypokalemia is a more frequent finding at presentation and is related to kaliuresis. • Hypercalcemia can occur. • Severe lactic acidosis prior to treatment has been reported. • Hypophosphatemia as a result of phosphate uptake by leukemic cells can occur. • Uric acid and lactic dehydrogenase levels levels are higher in myelomonocytic and monocytic AML than in other AML phenotypes • Acute promyelocytic and acute monocytic leukemia are associated with hypofibrinogenemia and other indicators of activation of coagulation or fibrinolysis • The levels of the shed form of L-selectinand anticardiolipin antibodies , levels of soluble VEGF receptor-1 (VEGFR-1) and VEGFR-2 are frquently elevated • The ratio of soluble VEGFR-1 to VEGF correlates with greater leukemic blast cell burden and with less favorable outcome.
  • 22.
    Poor prognostic markers Olderage Unfavorable karyotypes Multidrug resistance phenotype Prior clonal hemopathy Higher white cell count: Count >30,000/µL (30 x 109 /L) or a blast cell count >15,000/µL Very low platelet count (<30,000/µL [<30 x 109 /L]) High serum lactic dehydrogenase, Low serum albumin or prealbumin Low expression of retinoblastoma gene Another medical disorder: extreme obesity, diabetes mellitus, chronic renal disease Need for intubation or ventilator support during induction therapy High BCL-2, MCL-1 expression, mutated KIT with t(8;21), MLL tandem duplications and 11p23/MLL abnormalities
  • 23.
  • 24.
  • 30.
    References • Williams Hematology- 8th Edition • Harrison’s Principles of Internal Medicine 17th edition • H • aaa Thank you