ACUTELYMPHOBLASTICLEUKEMIA
LEUKEMIA
• Leukemia are the neoplastic proliferation of
hemopoietic cells.
• Acute leukemias are defined as neoplsam
• AML - more than 20 % blast
• ALL- more than 25% blast.
• Commonest form of malignancy in childhood.
• Peak incidence at 4 – 5 yrs of age.
• Acute onset with short history of duration.
• 85% are B cell , 15% are T cell.
ACUTE LYMPHOBLASTIC
LEUKEMIA
• HEREDITARY
• ACQUIRED
• Ionizing radiations
• Therapeutic radiations
• Nuclear fallout
• Diagnostic Xrays
• Chemical agents
• Viruses
PREDISPOSING FACTORS
• Activation of a proto-oncogene to an oncogene when it
is translocated to a transcriptionally active site
• Formation of a chimeric transcription factor
• Formation of a fusion protein with enhanced tyrosine
kinase activity
• Activation of FTL3 receptor
• Inactivation of tumour suppressor gene pathway
MECHANISM OF LEUKAEMOGENESIS
SYMPTOMS
• FEVER
• FATIGUE
• BONE /JOINTS PAIN
• WEIGHT LOSS
• PURPURA AND BLEEDING MANIFESTATION
• LYMPHADENOPATHY
• HEPATOSPLENOMEGALY
• STERNAL TENDERNESS
• MEDIASTENAL MASS
FAB CLASSIFICATION
• Based on morphology and cytochemistry.
•
stain AML ALL
MPO + -
SBB + -
NSE + IN M4, M5 AND M7 -
PAS FINE + IN M6 , M7 + , BLOCK
ACID PHOSPHATASE - +, T ALL
FAB CLASSIFICATION
 ALL L1
 ALL L2
 ALL L3
 In childhood – L1 is the most common type
 In adults – L2 is the most common type
FAB classification
Morphology L1 L2 L3
1 Size of blast Small Large
heterogeneous
Large
homogenous
2 Cytoplasm Scanty Moderate Moderate,
intensely
basophilic
3 N/C Ratio High Lower Lower
4 Cytoplasmic vacuoles +/- +/- Prominent
5 Nuclear membrane Regular Irregular with clef
ting
Regular
6 Nucleoli Invisible /
indistinct
Prominent 1-2 Prominent 1-2
CRITICISM OF FAB CLASSIFICATION
1- It dose not include
• Immunophenotyping
• Cytogentics
• Molecular characteristics
2- immunological subtype of ALL
3-biphenotypic leukemia
4- Limited relevance to therapeutic or
prognostic implications.
WHO CLASSIFIACTION OF ALL (2008)
1-B lymphoblastic leukemia/lymphoma nos
2- B lymphoblastic leukemia/lymphoma with recurrent
abnormalities
• t( 9; 22) , BCR ABL1
• t( v; 11q23) MLL rearangement
• t (12;21) ETV6-RUNX1
• With hypodiploidy
• With hyperdiploidy
• t (5;14) il3 –igh
• t ( 1;19) E2A-PBX1 (tcf3-pbx1)
3-T lymphoblastic leukemia/lymphoma
IMMUNOLOGICAL CLLASIFICATION
• 1- B ALL
• PRO B ALL
• EARLY PRE B ALL
• PRE B ALL
• MATURE B ALL
• 2- T ALL
• 3- MIXED LINEAGE ACUTE LEUKEMIA
• 4-Undifferentiated acute leukemia
IMMUNOLOGICAL CLLASIFICATION
SUBTYPE HLA DR TdT CD 10 cIg smIg
Pro B ALL +_ + - - -
COMMON ALL + + + - -
Pre BALL + - - + -
Mature B ALL - - - - +
T ALL
• PAS negative acid phosphatase positive
• CNS involvement and mediastenal mass
• CD3 ,2 and 7 positive
Scoring system for biphenotypic leukemia
points B lineage T lineage Myeloid
2.0 CD 79a
CD 22.
CD 3 MPO
1.0 CD 10 CD 1 CD 13
0.5 TdT TdT, CD 7 CD 11b
CD 11c
Score above 2 from two lineage is diagnostic of biphenotypic leukemia
Uncommon variants of ALL
• Small cell variant- blast cells are small and
may be mistaken for lymphocytes.
• Hand mirror variants- a subtype with
cytoplasmic protrusion .
• ALL with eosinophilia
• Granular cell ALL- The cells are large and
demonstrate azurophilic granulaes .
Hand mirror variants
• Peripheral Blood smear
• Bone marrow aspiration smear
• Cytochemistry
• Immunophenotyping
• Cytogenetic analysis
• Molecular genetic analysis
DIAGNOSIS OF ACUTE LEUKEMIA
PERIPHERAL BLOOD EXAMINATION
• Total leucocyte count raised , normal or low.
• Normocytic normochromic anaemia.
• Thrombocytopenia.
• Subleukemic leukemia-Total leukocyte count
is normal or low , but blast are seen in the
peripheral blood.
• Aleukemic leukemia- Blast are not seen in the
peripheral blood , but are demonstrable only
in bone marrow.
BONE MARROW EXAMINATION
• Hypercellular
• Normal hematopoietic elements diminished
ALL L1
Size – small.
Cytoplasm scanty basophilic.
N/C Ratio – high.
Nuclear membrane – regular.
Nucleoli – invisible or indistinct.
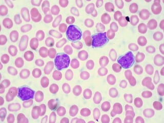
BONE MARROW SMEAR
BLAST
ALL L2
 Size of blast – large & heterogenous
 Cytoplasm – moderate
 N/C Ratio – lower
 Cytoplasmic vacuoles – variable
 Nuclear membrane – irregular with clefting
 Nucleoli – prominent ,1-2
BONE MARROW SMEAR
ALL L3
 Size of blast – large & homogenous
 Cytoplasm – moderate & intensely basophilic
 N/C Ratio – lower
 Cytoplasmic vacuoles – prominent
 Nuclear membrane – regular
 Nucleoli – prominent , 1-2
BONE MARROW SMEAR
LYMPHOBLAST WITH CYTOPLASMIC VACUOLES &
NUCLEOLI
STARRY SKY PATTERN
PAS STAIN
LYMPHOBLAST WITH BLOCK & COARSE GRANULAR STAINING
STAINS
METHYL GREEN PYRONINE OIL RED
O(VACUOLES)
• Diagnosis and classification.
• Assessment of prognosis.
• Monitoring of minimum residual disease.
IMMUNOPHENOTYPING
• Establishment of lineage-DNA analysis.
• Identification of translocation.
• Detection of relapse.
• Detection of minimum residual disease.
Molecular Genetics-
OTHER INVESTIGATIONS
• Lumbar puncture.
• Testicular biopsy.
• X-Ray chest.
DIFFERENTIAL DIAGNOSIS
• Leukemic phase of Non Hodgkins Lymphoma
• Reactive lymphocytosis due to infections
• Metastatic tumours in bone marrow
• AML
ALL Vs AML
ALL AML
Age Mainly children Mainly adults
Lymphadenopathy Usually present Usually absent
Hepatosplenomegaly +ve mild +ve mild
Gum hypertrophy -ve +ve in M4/M5
Skin infiltration -ve +ve in M4/M5
CNS involvement +ve in some +ve in some
Granulocytic sarcoma -ve +ve in few cases
Mediastinal mass +ve in T-ALL -
Associated DIC -ve +ve in M3
Serum muramidase Normal In M4/M5 (monocytic type)
Prognosis Good Bad
MorphologyLymphoblast Myeloblast
Nuclear chromatin Coarse Fine
Nucleoli 1-2 3-5
N:C ratio High High
Auer rod -ve +ve
Accompanying
cells
Lymphocytes Myeloid precursor
Myelo peroxidase -ve +ve
Sudan Black B -ve +ve
PAS stain Block positivity -ve in blast
AML ALL
PROGNOSTIC FACTORS
Factor Good prognosis Bad prognosis
Race White Black
Age 2-8 yrs <1yr.,adult, >10 yrs
Sex Female Male
Meningeal involvement - +
Lymphadenopathy, liver,
spleen
- Massively enlarged
Mediastinal mass - +
TLC <20x109
/L >50 x109
/L
Type of ALL L1 L2,L3
Cytogenetics Hyperdiploidy >50
chromosomes
Pseudodiploidy, t (4;11),t (9;22), BCR-ABL
fusion m RNA, MLL-AF4 fusion mRNA.
Immuno-phenotype B-ALL,CD 10+, Early pre-B
cell
T-ALL in children
Minimal residual disease detection
– ALL – B cell
– Cd20/cd10/cd19/cd45
– Cd9/cd34/cd19/cd45
– Cd58/cd10/cd38/cd19
– Cd20/cd10/cd19/cd34
– ALL –T cell
– TdT/CD5/CD3/CD7
• MODERATOR— Prof. Dr. C. V. KULKARNI
• SPEAKER- DR. NARMADA PRASAD TIWARI
• AML
• CD34/CD33/HLA-DR/CD45
• CD34/CD117/CD33/CD45
• CD115/CD117/CD33/CD34
• HLA-DR/CD117/CD33/CD34
• CLL
• CD20/CD79a/CD19/CD5
Factors Predisposing to Childhood
Leukemia
• GENETIC CONDITIONS
Down syndrome
• Fanconi syndrome
• Bloom syndrome
• Diamond-Blackfan
anemia
• Schwachman syndrome
• Klinefelter syndrome
• Turner syndrome
• Neurofibromatosis
• Ataxia-telangiectasia
• Severe combined
immune deficiency
• Paroxysmal nocturnal
hemoglobinuria
• Li-Fraumeni syndrome
• ENVIRONMENTAL FACTORS
• Ionizing radiation
• Drugs
• Alkylating agents
• Nitrosourea
• Epipodophyllotoxin
• Benzene exposure
• Advanced maternal age

Acute lymphoblastic leukemia dr narmada

  • 1.
  • 2.
    LEUKEMIA • Leukemia arethe neoplastic proliferation of hemopoietic cells. • Acute leukemias are defined as neoplsam • AML - more than 20 % blast • ALL- more than 25% blast.
  • 3.
    • Commonest formof malignancy in childhood. • Peak incidence at 4 – 5 yrs of age. • Acute onset with short history of duration. • 85% are B cell , 15% are T cell. ACUTE LYMPHOBLASTIC LEUKEMIA
  • 4.
    • HEREDITARY • ACQUIRED •Ionizing radiations • Therapeutic radiations • Nuclear fallout • Diagnostic Xrays • Chemical agents • Viruses PREDISPOSING FACTORS
  • 5.
    • Activation ofa proto-oncogene to an oncogene when it is translocated to a transcriptionally active site • Formation of a chimeric transcription factor • Formation of a fusion protein with enhanced tyrosine kinase activity • Activation of FTL3 receptor • Inactivation of tumour suppressor gene pathway MECHANISM OF LEUKAEMOGENESIS
  • 6.
    SYMPTOMS • FEVER • FATIGUE •BONE /JOINTS PAIN • WEIGHT LOSS • PURPURA AND BLEEDING MANIFESTATION • LYMPHADENOPATHY • HEPATOSPLENOMEGALY • STERNAL TENDERNESS • MEDIASTENAL MASS
  • 7.
    FAB CLASSIFICATION • Basedon morphology and cytochemistry. • stain AML ALL MPO + - SBB + - NSE + IN M4, M5 AND M7 - PAS FINE + IN M6 , M7 + , BLOCK ACID PHOSPHATASE - +, T ALL
  • 8.
    FAB CLASSIFICATION  ALLL1  ALL L2  ALL L3  In childhood – L1 is the most common type  In adults – L2 is the most common type
  • 9.
    FAB classification Morphology L1L2 L3 1 Size of blast Small Large heterogeneous Large homogenous 2 Cytoplasm Scanty Moderate Moderate, intensely basophilic 3 N/C Ratio High Lower Lower 4 Cytoplasmic vacuoles +/- +/- Prominent 5 Nuclear membrane Regular Irregular with clef ting Regular 6 Nucleoli Invisible / indistinct Prominent 1-2 Prominent 1-2
  • 10.
    CRITICISM OF FABCLASSIFICATION 1- It dose not include • Immunophenotyping • Cytogentics • Molecular characteristics 2- immunological subtype of ALL 3-biphenotypic leukemia 4- Limited relevance to therapeutic or prognostic implications.
  • 11.
    WHO CLASSIFIACTION OFALL (2008) 1-B lymphoblastic leukemia/lymphoma nos 2- B lymphoblastic leukemia/lymphoma with recurrent abnormalities • t( 9; 22) , BCR ABL1 • t( v; 11q23) MLL rearangement • t (12;21) ETV6-RUNX1 • With hypodiploidy • With hyperdiploidy • t (5;14) il3 –igh • t ( 1;19) E2A-PBX1 (tcf3-pbx1) 3-T lymphoblastic leukemia/lymphoma
  • 12.
    IMMUNOLOGICAL CLLASIFICATION • 1-B ALL • PRO B ALL • EARLY PRE B ALL • PRE B ALL • MATURE B ALL • 2- T ALL • 3- MIXED LINEAGE ACUTE LEUKEMIA • 4-Undifferentiated acute leukemia
  • 13.
    IMMUNOLOGICAL CLLASIFICATION SUBTYPE HLADR TdT CD 10 cIg smIg Pro B ALL +_ + - - - COMMON ALL + + + - - Pre BALL + - - + - Mature B ALL - - - - +
  • 14.
    T ALL • PASnegative acid phosphatase positive • CNS involvement and mediastenal mass • CD3 ,2 and 7 positive
  • 15.
    Scoring system forbiphenotypic leukemia points B lineage T lineage Myeloid 2.0 CD 79a CD 22. CD 3 MPO 1.0 CD 10 CD 1 CD 13 0.5 TdT TdT, CD 7 CD 11b CD 11c Score above 2 from two lineage is diagnostic of biphenotypic leukemia
  • 16.
    Uncommon variants ofALL • Small cell variant- blast cells are small and may be mistaken for lymphocytes. • Hand mirror variants- a subtype with cytoplasmic protrusion . • ALL with eosinophilia • Granular cell ALL- The cells are large and demonstrate azurophilic granulaes .
  • 17.
  • 18.
    • Peripheral Bloodsmear • Bone marrow aspiration smear • Cytochemistry • Immunophenotyping • Cytogenetic analysis • Molecular genetic analysis DIAGNOSIS OF ACUTE LEUKEMIA
  • 19.
    PERIPHERAL BLOOD EXAMINATION •Total leucocyte count raised , normal or low. • Normocytic normochromic anaemia. • Thrombocytopenia.
  • 21.
    • Subleukemic leukemia-Totalleukocyte count is normal or low , but blast are seen in the peripheral blood. • Aleukemic leukemia- Blast are not seen in the peripheral blood , but are demonstrable only in bone marrow.
  • 22.
    BONE MARROW EXAMINATION •Hypercellular • Normal hematopoietic elements diminished
  • 23.
    ALL L1 Size –small. Cytoplasm scanty basophilic. N/C Ratio – high. Nuclear membrane – regular. Nucleoli – invisible or indistinct.
  • 24.
  • 25.
    ALL L2  Sizeof blast – large & heterogenous  Cytoplasm – moderate  N/C Ratio – lower  Cytoplasmic vacuoles – variable  Nuclear membrane – irregular with clefting  Nucleoli – prominent ,1-2
  • 26.
  • 27.
    ALL L3  Sizeof blast – large & homogenous  Cytoplasm – moderate & intensely basophilic  N/C Ratio – lower  Cytoplasmic vacuoles – prominent  Nuclear membrane – regular  Nucleoli – prominent , 1-2
  • 28.
    BONE MARROW SMEAR LYMPHOBLASTWITH CYTOPLASMIC VACUOLES & NUCLEOLI
  • 29.
  • 30.
    PAS STAIN LYMPHOBLAST WITHBLOCK & COARSE GRANULAR STAINING
  • 31.
    STAINS METHYL GREEN PYRONINEOIL RED O(VACUOLES)
  • 32.
    • Diagnosis andclassification. • Assessment of prognosis. • Monitoring of minimum residual disease. IMMUNOPHENOTYPING
  • 33.
    • Establishment oflineage-DNA analysis. • Identification of translocation. • Detection of relapse. • Detection of minimum residual disease. Molecular Genetics-
  • 34.
    OTHER INVESTIGATIONS • Lumbarpuncture. • Testicular biopsy. • X-Ray chest.
  • 35.
    DIFFERENTIAL DIAGNOSIS • Leukemicphase of Non Hodgkins Lymphoma • Reactive lymphocytosis due to infections • Metastatic tumours in bone marrow • AML
  • 36.
    ALL Vs AML ALLAML Age Mainly children Mainly adults Lymphadenopathy Usually present Usually absent Hepatosplenomegaly +ve mild +ve mild Gum hypertrophy -ve +ve in M4/M5 Skin infiltration -ve +ve in M4/M5 CNS involvement +ve in some +ve in some Granulocytic sarcoma -ve +ve in few cases Mediastinal mass +ve in T-ALL - Associated DIC -ve +ve in M3 Serum muramidase Normal In M4/M5 (monocytic type) Prognosis Good Bad
  • 37.
    MorphologyLymphoblast Myeloblast Nuclear chromatinCoarse Fine Nucleoli 1-2 3-5 N:C ratio High High Auer rod -ve +ve Accompanying cells Lymphocytes Myeloid precursor Myelo peroxidase -ve +ve Sudan Black B -ve +ve PAS stain Block positivity -ve in blast
  • 38.
  • 39.
    PROGNOSTIC FACTORS Factor Goodprognosis Bad prognosis Race White Black Age 2-8 yrs <1yr.,adult, >10 yrs Sex Female Male Meningeal involvement - + Lymphadenopathy, liver, spleen - Massively enlarged Mediastinal mass - + TLC <20x109 /L >50 x109 /L Type of ALL L1 L2,L3 Cytogenetics Hyperdiploidy >50 chromosomes Pseudodiploidy, t (4;11),t (9;22), BCR-ABL fusion m RNA, MLL-AF4 fusion mRNA. Immuno-phenotype B-ALL,CD 10+, Early pre-B cell T-ALL in children
  • 40.
    Minimal residual diseasedetection – ALL – B cell – Cd20/cd10/cd19/cd45 – Cd9/cd34/cd19/cd45 – Cd58/cd10/cd38/cd19 – Cd20/cd10/cd19/cd34 – ALL –T cell – TdT/CD5/CD3/CD7
  • 42.
    • MODERATOR— Prof.Dr. C. V. KULKARNI • SPEAKER- DR. NARMADA PRASAD TIWARI
  • 43.
    • AML • CD34/CD33/HLA-DR/CD45 •CD34/CD117/CD33/CD45 • CD115/CD117/CD33/CD34 • HLA-DR/CD117/CD33/CD34 • CLL • CD20/CD79a/CD19/CD5
  • 44.
    Factors Predisposing toChildhood Leukemia • GENETIC CONDITIONS Down syndrome • Fanconi syndrome • Bloom syndrome • Diamond-Blackfan anemia • Schwachman syndrome • Klinefelter syndrome • Turner syndrome • Neurofibromatosis • Ataxia-telangiectasia • Severe combined immune deficiency • Paroxysmal nocturnal hemoglobinuria • Li-Fraumeni syndrome
  • 45.
    • ENVIRONMENTAL FACTORS •Ionizing radiation • Drugs • Alkylating agents • Nitrosourea • Epipodophyllotoxin • Benzene exposure • Advanced maternal age