Acute Leukemia
Dr Anil Kumar G
Asst Prof Dept of Medicine
MVJ MEDICAL COLLEGE
- Is a group of malignant (neoplastic) disorders , characterized
by the clonal expansion and accumulation of one or more blood
cell line(s) , with eventual involvement of all hematopoietic
organs and other organs.
Leukemia
• Prolonged life (immortal) resistant to apoptosis
• Growth factor independent growth
• Insensitivity to growth-inhibitory signals
• Ability to invade and metastasize
• Blockage of intracellular differentiation
Tow or more Mutations within the genome of HSC or multipotential
progenitors/precursors
Activation of specific proto-oncogene
De-activation of tumor suppressor genes
Leukemia
Clone of cells with characteristics of a malignant cell
Leukemia
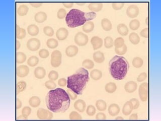
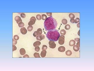
• CBC and blood film examination :
- Normocytic normochromic anemia (mild to severe)
- Platelets count: reduced to normal
- WBC’s count: decreased mature leukocytes
- The appearance of abnormally circulating blood cells (malignant
cells)
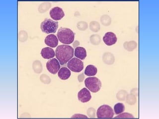
• BM aspirate and/or biopsy
- B.M. hyperactivation and hyperplasia
- Blasts : represents greater than 20 - 30% depends on the type of
Classification and type of Leukemia .
Hematopoietic
stem cell
Neutrophils
Eosinophils
Basophils
Monocytes
Platelets
Red cells
Myeloid
progenitor
Lymphoid
progenitor
B-lymphocytes
T-lymphocytes
Plasma
cells
naïve
ALL
AML
Leukemia
• Cytochemistry:
Blasts Identified
Cellular Element
Stained
Cytochemical Reaction
Myeloblasts strong positive;
monoblasts faint positive
Lymphoblast Negative
Neutrophil primary
granules
Myeloperoxidase (MPO)
Myeloblasts strong positive;
monoblasts faint positive
Lymphoblast Negative
PhospholipidsSudan Black B (SBB)
Promyelocyte stage positiveCellular enzymeSpecific esterase
Monoblasts strong positive
Others Negative
Cellular enzyme
Nonspecific esterase
(NSE)
lymphoblast's and pronormoblasts
Negative to Positive .
Myeloblasts usually negative.
Metamyelocyte & PMN Strong +ve
Glycogen and
related substances
Periodic acid-Schiff
Acute Myeloid Leukemia
- Malignant neoplastic proliferation and accumulation
of immature and nonfunctional myeloid line of blood
cells in the bone marrow .
- Also known as acute myelogenous leukemia or acute
nonlymphocytic leukemia (ANLL)
- Most common Acute Leukemia affecting adults.
- As an Acute Leukemia, AML progresses rapidly and is typically
fatal within weeks or months if left untreated .
Myeloid maturation
myeloblast promyelocyte myelocyte metamyelocyte band neutrophil
MATURATION
Adapted and modified from U Va website
Etiology
• Heredity
– Down syndrome
– Fanconi anemia
– Bloom syndrome
– ataxia-telangiectasia
– Congenital neutropenia (Kostmann syndrome)
• Radiation
– High-dose radiation (atomic bombs survivors)
• chemical and occupational
exposures
– Benzene
– petroleum products
– Paint
– embalming fluids
– ethylene oxide
– Herbicides
– smoking
•
• Drugs
– Alkylating agent
– Topoisomerase II inhibitor
– Chloramphenicol
– Phenylbutazone
– Chloroquine
– methoxypsoralen
Acute Myeloid Leukemia
Pathophysiology
- In AML, a single myeloblast genetic changes which "freeze"
the cell in its immature state and prevent differentiation.
- When such a "differentiation arrest" is combined with other
mutations which disrupt genes controlling proliferation, the
result is an uncontrolled growth of an immature clone of
cells, leading to the clinical entity of AML .
-
Acute Myeloid Leukemia
- Thegrowth of leukemic clone cells, which tends to displace
or interfere with the development of normal blood cells in
the bone marrow .
- This leads to neutropenia, anemia, and thrombocytopenia.
The symptoms of AML are often due to the low numbers of
these normal blood elements.
Pathophysiology
Clinical Presentation
• Nonspecific symptoms
• Fatigue
• Anorexia
• Weight loss
• Fever
• Bleeding, easy bruising
• Bone pain, lymphadenopathy, nonspecific
cough, headache, or diaphoresis
Physical Findings
• Fever
• Splenomegaly
• Hepatomegaly
• Lymphadenopathy
• Sternal tenderness
• Evidence of infection and hemorrhage
Gum hypertrophy
Leukemia cutis
Acute Myeloid Leukemia
Laboratory findings:
1- Peripheral Blood:
- The leukocyte count ranges from < 1X109 to >100X109 .
- Presence of blast on the blood smear.
- Neoplastic blast have few granules in the RNA rich
cytoplasm.
Acute Myeloid Leukemia
- Erythrocyte decreased, Hb less than 10g/dl
- Slightly Macrocytic because of the inability to compete
the neoplastic cell for folate and vitB12 or early release of
Retic cells.
2- Bone marrow:
- Typically, hypocellular with increased fat content .
Laboratory findings:
- Special Stains and Percentage of Blasts aid in the Diagnosis .
Acute Myeloid Leukemia
Classification :
1- FAB Group Classification , Based on :
- The Morphological criteria of PB and BM .
- The Immunophenotyping of Leukemic cells .
- The cytochemistry of Leukemic Cells .
- For Diagnosis, Blast count in PB or BM is >30% .
2- WHO Classification :
- Molecular/Genetic Features of Malignancies .
- FAB Class. Incorporated into WHO Class.
- For Diagnosis, Blast count in PB or BM is >20% .
FAB Classification: AML
M0: Acute myeloblastic leukemia
with minimal differentiation
• Most common in adult patients
• 5% of AML
• Leukocytosis in 40% and > 50% with leukocytopenia
• Diagnosis
 Less than 3% of the blasts are positive for peroxidase or the
Sudan black B reaction
 Blasts are positive for the myeloid-associated markers CD13,
CD14, CD15 or CD33, CD34 and negative for B or T lineage
marker (CD3, CD10, CD19 and CD5)
 Almost no mature myeloid cells are seen
• Morphology:
 The blasts are small to
medium-sized round cells
with an eccentric nucleus
 The nucleus has a flattened
shape and sometimes
lobulated or cleaved and
contain fine chromatin with
several distinct nucleoli
 The cytoplasm is lightly
basophilic without granules
 Auer rods are not found
M1: Acute myeloblastic leukemia
without maturation
• Highest incidence seen in adult and in
infants less than a year old
• 10% AML cases
• Predominant cell in the peripheral
blood is usually a poorly differentiated
myeloblast with fine reticular
chromatin and prominent nucleoli
M2: Acute myeloblastic leukemia
with maturation
• Presenting symptoms for M2 AML are
similar to those of the M1 type
• 30% to 45% of cases of AML
• Blasts show azurophilic granules and
Auer rods
• Evidence of maturation is present, with
>10% of the marrow cells being
promyelocytes, myelocytes,
and mature neutrophils and <20%
being monocytes
M3: Acute promyelocytic leukemia
(APML)
• Younger adults
• Median survival is about 18 months
• Fusion of a truncated retinoic acid receptor alpha (RAR-alpha)
gene on chromosome 17 to a transcription unit called PML (for
promyelocytic leukemia) on chromosome 15
• The blasts are large with abundant cytoplasm, completely
occupied by closely packed large granules, staining bright pink,
red or purple
• The nucleus is often bilobed or markedly indented with a
prominent nucleolus
• Cells containing bundles of Auer rods "faggots" randomly
distributed in the cytoplasm are characteristic, but are not
present in all cases
• Cytochemistry:
 MPO and Sudan black B are strong
positive
 PAS is negative and NSE is weak
positive
• IHC: positive for CD13, CD15, CD1
and CD33 myeloid antigens
• Cytogenetic studies: 50% cases
show translocation t(15; 17)
M4: Acute myelomonocytic leukemia
(AMML)
• 15% to 25%
• Usually in the elderly
• Sometimes in patients who have had preceding chronic
myelomonocytic leukemia
• Both neutrophilic and monocytic cells and their precursors are
present, each constituting at least 20% of the marrow cells
• Monocytosis (≥5×10⁹/l)
• Serum and urine levels of muramidase (lysozyme) are usually
elevated because of the monocytic proliferation
• Positive reactions for Sudan black B, MPO and both specific
and non-specific esterase
• Positivity for CD13, CD33, CD11b and CD14
• inv(16) (p13; q22) and del (16)(q22)
• Morphology:
 Monoblasts: large cells with
round nuclei, one or more
prominent nucleoli and
abundant basophilic
cytoplasm, sometimes with
fine azurophilic granules,
vacuoles, and pseudopod
formation
 Promonocytes: less
basophilic and more
granulated cytoplasm,
occasional vacuoles and
azurophilic granules. The
nuclei are irregular and
indented
M5: Acute monoblastic leukemia
(AMoL)
• M5a: (Acute monoblastic Leukemia)
 Granulocyte <20% and monocytes >80%; >80% monoblasts
 Children
• M5b: (Acute monocytic leukemia)
 Granulocyte <20% and monocytes >80%; <80%
monoblasts; all developmental stages of monocytes seen
 Adults
• Serum and urinary muramidase levels are often extremely high
• Cytochemistry: NSE positive and PAS is negative
• IHC: positivity with CD11b and CD14
M5a
M5b
M6: Acute erythroid leukemias
• Erythroleukemia: 5% of AML cases
 Both erythroid and myeloid cells
 At least 50% of the nucleated cells in the bone marrow are
erythroid and at least 20% of the non-erythroid cells are
myeloblasts
 Erythroid cells are dysplastic, megaloblastoid nuclei, the
cytoplasm often possessing poorly delineated, coalescing
vacuoles
 Myeloblasts are similar to those in AML with and without
maturation
• Pure erythroid leukemia: very rare
 >80% of the marrow cells are erythroid
 Erythroblasts have deeply basophilic, often agranular,
cytoplasm may contain poorly delineated vacuoles. The nuclei
have fine chromatin and one or more nucleoli
• Howell-Jolly bodies, ring
sideroblast, megaloblastoid
and dyserythropoietic changes
• Coarse positivity of PAS
• IHC: glycophorin A
M7: Acute megakaryoblastic leukemia
(AMkL)
• Rare
• 5% of AML
• At least 50% of the blasts are from the megakaryocytic
lineage.
• The megakaryoblasts are often pleomorphic and have a
basophilic, agranular cytoplasm that may demonstrate
pseudopod and bleb formation, indicating budding
platelets
• Dysplastic platelets may be visible in the blood
• Circulating micromegakaryocytes and megakaryocyte
fragments
Acute Myeloid Leukemia
WHO Classification of AML
1- AML with recurrent Cytogenetic abnormalities
- usually translocation, in most cases the chromosomal
rearrangement create a fusion gene, encoding a novel
fusion protein.
I. AML with t(8;21)(q22;q22);(ETO/AML1):
- Present morphological as AML with maturation.
- The fusion protein blocks the normal function of CBF, and
induce abnormal gene activation and gene repression, this
will lead to increase proliferation with blocked
differentiation.
Acute Myeloid Leukemia
WHO Classification of AML
II. AML with abnormal B.M eosinphils
inv (16)(p13;q22) or t(16;16)(p13;q22)(CBFB/MYH11):
- Present morphology as AML with monocytic and granulocytic
maturation and presence of abnormal eosinphils in B.M.
- Combination of acute myelomonocytic leukemia (AMML) with
abnormal eosinphilis is morphologically AMML Eo.
- Abnormal immature ( basophilic ) granules in the eosinphils,
promyelocyte, and myelocyte stages.
-
Acute Myeloid Leukemia
WHO Classification of AML
III . AML with t(15;17)(q22;q12)(PML/RARa) and variants:
- it is acute promyelocytic leukemia(APL), an AML in which abnormal
promyelocyte predominate.
- The presenting signs are DIC and bleeding .
- The typical t(15;17) gene rearrangement result in the fusion of
(PML/RARa) gene and reciprocal ( RARa/PML) gene.
Acute Myeloid Leukemia
WHO Classification of AML
- PML is growth suppressor nuclear protein normally found in
complex macromolecular structure.
- The PML/RARa fusion protein leads to formation of co-repressor
complex molecules that enhance the oncogenesis of APL .
Acute Myeloid Leukemia
WHO Classification of AML
IV. AML with 11q23(MLL) abnormalities:
- These leukemia associated with monocytic features ( monoblasts
and promonocyte).
- The MLL protein is a DNA binding protein that interact with other
nuclear protein and permits the association of transcription factor
which regulate transcription.
Acute Myeloid Leukemia
WHO Classification of AML
2- AML with multilinage Dysplasia ( with or without prior MDS)
-It is an Acute leukemia ( >20% blast) with dysplasia in more
than 50% of the cells in two or more myeloid cell lines.
-It is occurs with or following MDS / MPD.
-examples of dysplasia include: hypogranular PMNs, psuedo-
pelger-Huet anomaly, megaloblastic erythrocyte, ringed
sideroblast.
- - poor prognosis.
Acute Myeloid Leukemia
WHO Classification of AML
3- AML and Myelodysplastic syndrome, therapy releated:
-These disorder arise as a result of cytotoxic chemotherapy and
/ or radiation therapy.
Two major subtypes:
I. Alkylating agent/ radiation treatment: initially it start with
MDS and eventually evolving AML.
II. Topoisomerase II inhibitor treatment.
Acute Myeloid Leukemia
WHO Classification of AML
4- Acute Myeloid leukemias not otherwise categorized:
- Include all AML cases that not fulfill criteria for any of other
described.
- The subtypes of this AML are classified according to
differentiated on morphology and cytochemical features.
I. AML Minimally Differentiated
II. AML without Maturation
III. AML with Maturation
IV. Acute Myelomonocytic leukemia (AMML)
V. Acute monoblastic leukemia and Acute monocytic leukemia
VI. Acute Erythroid leukemia (AEL)
VII. Acute Megakaryoblastic leukemia
Acute Myeloid Leukemia
WHO Classification of AML
VIII. Acute Basophilic leukemia
- The most characteristic feature by cytochemistry is metachromatic
positivity with toluindine blue.
IX. Acute panmyelosis with mylofibrosis
- it is occur with or following chemo and radio therapy.
X. Myeloid Sarcoma
- a tumor of myeloblast or immature myeloid cells occures in the
extramedullary site or in the bone.
AML
Cytogenetics & Prognosis
 Favorable
t(8;21), t(15;17), inv(16)
 Intermediate (Most patients)
normal, +8, +21, +22,
del(7q), del(9q),
 Adverse
-5, -7, del(5q),
abnormal 3q,
complex karyotype (> 3 -
5 abnormalities)
 Group CR 5 year
survival
 Favorable 91% 65-75%
 Intermediate 86% 40-50%

 Adverse 63% <15%
AML Treatment:
Induction Chemotherapy
 Anthracycline (Idarubicin) for 3 days and Cytosine
arabinoside (Ara-C) for 7 days (3+7, Younger/fit patients
only)
 Supportive care red cell and platelet transfusions,
prophylactic antibacterial, antifungals and antivirals
AML:
Response to Induction
 Remission status determined by bone marrow at end
of month following induction therapy (e.g. Day 14 &
28)
Complete remission:CR is defined-
 Blood neutrophil count -1000/L
 Platelet count 100,000/L.
 Circulating blasts - absent.
 The bone marrow <5% blasts
 Auer rods -absent.
 Extramedullary leukemia -absent
AML Treatment:
Consolidation
Following induction into Complete Remission
 3-4 cycles of high dose cytosine arabinoside (HiDAC)
administered approximately every 5-6 weeks
OR
 Bone marrow (peripheral blood stem cell) transplant
(Depends on degree of risk)
AML-M3 or APL
 Acute Promyelocytic Leukemia (APL M3)
 Blasts and promyelocytes heavily granulated,
Auer rods often abundant
 Disseminated intravascular coagulation (DIC)
common
 Treatment differs from all other AML subtypes
once had the worst prognosis now the best
prognosis
AML-M3 or APL
 Treated with a derivative of Vitamin A (all trans retinoic
acid or ATRA)
 Favorable prognosis if diagnosed just prior to starting
chemotherapy (>80% cured)
 Has chromosomal translocation, t(15;17) involving the
retinoic acid receptor-a gene that blocks normal
granulocyte differentiation
Dan Longo, Anthony Fauci, Dennis Kasper et al Harrison's Principles of Internal
Medicine 18th Ed. 2011
Acute Lymphoid Leukemia
Malignant neoplastic proliferation and accumulation
of immature and nonfunctional Lymphoid line of
blood cells in the bone marrow
Acute lymphocytic leukemia is the most common
type of cancer in children
.
Acute Lymphoid Leukemia
Signs and Symptoms
- Generalized weakness and fatigue
- Anemia
- Frequent or unexplained fever and infection
- Weight loss and/or loss of appetite
- Bone pain, joint pain (caused by the spread of "blast" cells
to the surface of the bone or into the joint from the
marrow cavity)
- Breathlessness
- Enlarged lymph nodes, liver and/or spleen
-Pitting edema (swelling) in the lower limbs and/or
abdomen
- Petechiae, which are tiny red spots or lines in the skin
Acute Lymphoid Leukemia
- Damage to DNA that leads to uncontrolled cellular growth and
spread throughout the body.
Pathophysiology
- This damage may be caused by environmental factors such as
chemicals, drugs or radiation.
- Some evidence suggests that secondary leukemia can develop
in individuals treated for other cancers with radiation and
chemotherapy as a result of that treatment
- Damage can be caused through the formation of fusion genes,
as well as the dysregulation.
Initial Laboratory finding characteristic of ALL
Peripheral Blood: 1- Leukocyte count usually increased but may be normal or decreased.
2- Neutropenia
3- Lymphoblast
4- Thrombocytopenia
Bone Marrow: 1- Hypercellular
2- >20% lymphoblast ( WHO)
Other laboratory finding: 1- associated with increased cellular metabolism and turn over such:
Hyperuricemia.
incrased serum LD.
hypercalacemia due to increased BM resorption.
2- Renal failure.
3- increased CSF lymphblast.
Acute Lymphoid Leukemia
- Terminal Deoxynucleotidyl transferase (TdT):
- - TdT, is the most important enzyme that is helpful in the
identifying cellular subtypes.
- TdT is a DNA polymerase found in cell nuclei , this enzyme not
present in the normal mature lymphocyte but can be found in
65% of the thymic population of lymphocyte.
Acute Lymphoid Leukemia
Classification
- Based on FAB classification, ALL is categorized into three
catergories ALL-L1, ALL-L2 and ALL-L3 .
- Immunohistochemistry and immunophenotyping are
almost always necessary to distinguish ALL from AML.
- On other hand WHO identify of malignant cell as T, B and
on the degree of maturation.
Acute Lymphoid Leukemia
- Blasts in ALL-L1 are with high N/C ratio.
- Delicate diffuse chromatin pattern and small prominent
nucleoli.
- Scant cytoplasm .
- Affects primarily children
FAB classification
ALL-L1
Acute Lymphoid Leukemia
FAB classification
ALL-L2
- The blasts are larger than those of L1, have more plentiful
cytoplasm and are more pleomorphic.
- Abundant cytoplasm, predominant nucleoli, nuclear
clefting .
- Affects adults
Acute Lymphoid Leukemia
FAB classification
ALL-L3 : Burkitt's type
- L3 blasts cells are fairly regular in shape with strong
basophilic cytoplasm and prominent cytoplasmic
vaculation .
Affects adults and children
FAB Classification of ALL
Morphology TdT CD10
ALL-L1 Small lymphocyte scant cytoplasm; + +
Moderately clumped chromatin;
Inconspicuous nucleoli
ALL-L2 Small and medium size lymphblast; + +
Mixed chromatin patterns;
Inconspicuous nucleoli
ALL-L3Burkitt- type Large lymphblast; large nucleus with - +/-
nucleoli; cytoplasm vacuolization;
Intense cytoplasm basophilia
Acute Lymphoid Leukemia
WHO classification
- WHO classification considers ALL and lymphblastic
lymphoma to be single disease with different clinical
presentation.
- Precursor T- and B-cell neoplasm with B.M and
peripheral blood involvement are ALL, while precursor T-
and B-cell neoplasm presenting solid tumors are
lymphoma.
Acute Lymphoid Leukemia
WHO classification
WHO classification defines two subgroups of ALL:
1- Precursor B- and T-cell neoplasm ( leukemia/ lymphoma)
which include L1 and L2 .
2- Burkitt type ALL (L3).
Acute Lymphoid Leukemia
WHO classification
1- Precursor B- cell leukemia:
- it is a neoplasm of lymphoblast committed to the B- cell
linage, involve B.M, peripheral blood
- some cases may present with primary involvement of
lymph node and exranodal site ( lymphoma).
- Rearrangement of immunoglobulin genes can be detected
by molecular testing.
- Additional markers of B linage commitment required for
dignosis. CD10/CD19/CD20/CD22 , TdT = +ve
Acute Lymphoid Leukemia
WHO classification
1- Precursor B- cell leukemia:
- Cytogenetic abnormalities associated with B-ALL include
translocation, hypodiploidy, and hyperdiploidy.
- The most common is t(12;21)(p13;q22)
- Produce TEL-AML1 fusion gene.
- Hyperdiploid B-ALL have a mutation in the receptor
tyrosine Kinase FLT-3 , resulting in constitutive activation of
the receptor.
- t(1;19) PBX1-E2A , t(4;11) AF4-MLL
- Precursor B- cell has good prognosis.
Acute Lymphoid Leukemia
WHO classification
2- Precursor T- cell leukemia:
- It is a neoplasm of lymphoblasts committed to T- cell
linage, involving B.M and peripheral blood.
- High WBC count, lymphoblast and cytochemistry similar to
B-cell, but acid phosphatase shoe intense positivity in T-
ALL.
- T- cell linage can be detected by rearrangement of the T
cell receptor genes by molecular studies.
- There are four TCR genes capable of rearranging, coding
for the a ,B, Y and & chain of the TCR.
Acute Lymphoid Leukemia
WHO classification
- Cytogenetic studies show translocation involving
alpha and Delta TCR loci (14q11.2), the beta locus
(7q35) or gamma locus (7p14-15).
- Transcription factors.
CD2/CD3/CD5/CD7/CD10 = +ve
2- Precursor T- cell leukemia:
Acute Lymphoid Leukemia
WHO classification
3- ALL- Burkitt type :
- Cell Large in size.
- Nuclear chromatin : fine and homogeneous
- Nuclear shape : Regular, oval to round.
- Nucleoli prominent, one or more.
- Cytoplasm amount : Moderately Abundant.
- Vaculation Often prominent.
- This tumor has a high proliferation rate and many
mitotic figures may be seen in the B.M smear.
Acute Lymphoid Leukemia
WHO classification
- Burkitt's cell show clonal rearrangement of the
immunoglobulin heavy and light chain genes
3- ALL- Burkitt type :
All cases have translocation of the MYC gene (8q14) to
the:
1. heavy chain region on chromosome 14{t(8;14)} or
2. light chain loci on chromosome 2p12{t(2;8)} or
3. chromosome 22q11{t(8;22)}.
AMLALL
Common in adultCommon in childrenAge
Anemia, neutropenia,
thrompocytopenia,
myeloblast, Promyelocyte.
Anemia, neutropenia,
thrompocytopenia,
Lymphoblast, Prolymphcytes
Hematologic prsentation
Medium to large myeloblast
with distinct nucleoli, fine
nuclear chromatin and
abundant basophilic
cytoplasm, Auer rod can be
present
Small to medium lymphoblast,
fine chromatin with scanty to
abundant cytoplasm, indistinct
nucleoli
Prominent cell morphology
PAS negative, Peroxidase and
SBB are positive,TdT may
positive or negative
PAS and TdT are Positive,
Peroxidase and SBB are
negative
Cytochemistry
Acute Leukemia
Prognosis :
1- ALL :
- Prognosis Varies from Poor to Good According to :
1- Type of Cytogenetic abnormalities
2- Diploidy , Hyper or Hypo
3- Metastasis
Cytogenetic change Risk category
t(4;11)(q21;q23) Poor prognosis
t(8;14)(q24.1;q32) Poor prognosis
Complex karyotype (more than four
abnormalities)
Poor prognosis
Low hypodiploidy or near triploidy Poor prognosis
High hyperdiploidy (specifically, trisomy 4, 10,
17)
Good prognosis
del(9p) Good prognosis
Treatment of ALL:
• Induction phase I (4 weeks)
– Prednisone, vincristine, daunorubicin, L-asparaginase
– No benefit to adding cyclophosphamide, high-dose
cytarabine, or high-dose anthracycline
• Induction phase II (4 weeks)
– Cyclophosphamide, cytarabine, 6-mercaptopurine
• Consolidation
– 4-7 cycles of intensive multiagent chemotherapy
– Delayed reinduction
Central Nervous System Prophylaxis
• Less than 10% of ALL presents with CNS
involvement however, with no CNS prophylaxis 
CNS relapse can occur in 60% of patients.
• Risk factors for CNS involvement in adults
– mature B-cell ALL
– high serum lactate dehydrogenase levels > 600 U/L)
– presence of a high proliferative index at diagnosis ( >14% of lymphoblasts
in the S and G2/M phase of the cell cycle)
• If symptomatic CNS disease present at diagnosis 
concurrent cranial irradiation + IT chemotherapy
• For CNS prophylaxis in all other cases :
– IT-MTX and systemic high-dose MTX or some regimens
incorporate “triple” therapy ( IT MTX +ARA-
C+Corticosteroids)
ALL - Supportive care
• Cytopenias : .
– Transfusion support : Platelets and Packed red cell transfusion when necessary (
leukodepleted and irradiated to prevent GVHD)
– G-CSF Support
• Prevention of Tumor Lysis Syndrome ( Risk highest in Burkitt-ALL
and T-Cell ALL)
– Intravenos hydration 100ml/hr
– Allopurinol
– Rasburicase
– Correction of electrolyte disturbances (Hypocalcemia, Hyperphospahtemia)
• Antibiotic Prophylaxis while on aggressive chemotherapies :
– Acyclovir prophylaxis for all HSV seropositive adults
– Prophylaxis with antibiotics (quinolones) and/or antifungals during neutropenia.
– Trimtheoprim/sulfamethoxazole for PCP prophylaxis
– Ganciclovir prophylaxis for CMV seropositive patients
Adult ALL: Maintenance Therapy
• Weekly methotrexate + daily 6-mercaptopurine
– Monthly Vincristine/prednisone pulses
• Duration: 2-3 years
• Appropriate for all cases except B-cell and Ph+
ALL
• Poor outcome if omitted
• No randomized trials in adults
ALL -SPECIAL GROUPS
• All in older adults
• Ph+ all
• Mature b-cell / burkitt- all (l3)
• T-cell all
ALL in Older Adults
• Low CR and survival rates
• Lower rate of T-cell ALL
• High rate of Ph-positive ALL ( more than 50%
of ALL in age > 65)
• Often excluded from clinical trials
• Often receive attenuated chemotherapy
Complications Observed in Older
Adults With ALL
• Comorbid conditions
• More severe mucositis related to pain medications
• Events associated with specific chemotherapies
– Vincristine: neuropathy, constipation
– Steroids: hyperglycemia, infections
– L-asparaginase: encephalopathy ( more lethargy and
somnolence occur in older adults)
• Low marrow reserve
– Adding G-CSF improves CR rate
Philadelphia Chromosome (Ph+) ALL
• t(9;22) bcr/abl translocation
• Precursor B cell
• Incidence continuously increasing with age
• Associated with very poor outcome
– No cure with intensive ALL chemotherapy (all ages).
Despite intensive chemotherapy, long term survival <
10%
– Cure with SCT possible
• Allo SCT is recommended for all patients with PH+ ALL who
achieve a CR.
Imatinib in Ph+ ALL
• Induces high response rate as single agent
– Response generally not durable
• In combination with ALL chemotherapy (
preferred choice)for induction
– Higher CR rate: 90% to 97% and improved outcome
compared with chemotherapy alone
– Concurrent administration of imatinib +
chemotherapy superior to alternating schedule
B-Cell ALL (FAB L3): Burkitt’s Leukemia
• Rapid cell proliferation and very high LDH
• t(8;14), t(2;8), t(8;22)
– Rearrangement of myc protooncogene (ch 8) with Ig heavy
chains (ch 14) or light chains (ch 2 or 22)
• High expression of CD20
• Treatment option : Short intensive chemotherapy
– High-dose MTX and cyclophosphamide
– Role of anti-CD20 : Addition of rituximab
– Intensive CNS prophylaxis
• No maintenance required ( high cure rates after
intensive chemotherapy)
• Cure rate: 60%; relapses are rare 6 months after CR
T-CELL ALL
• Current therapies for T-cell acute lymphoblastic
leukemia (ALL) produce high responses,
• but approximately one half of patients will relapse
within 2 years.
• Nelarabine demonstrates antineoplastic activity in
patients with relapsed/refractory T-cell ALL. In a recent
study by the Cancer and Leukemia Group B, nelarabine
treatment produced complete remission rates of 26%
with minimal toxicities in relapsed/refractory ALL
patients.
Late Complications of therapy
• Late complications of therapy
• Brain tumors (cerebral irradiation)
• Secondary AML from topoisomerase inhibitors and alkylating
agents
• Cardiomyopathy (anthracyclines)
• Osteoporosis (corticosteroids)
• Growth disturbances
• Thyroid dysfunction (cranial irradiation)
• Obesity (uncertain etiology)
• Neuropsychiatric disturbances and seizures (IT MTX and cranial
irradiation)
• Emotional problems
• Discrimination with insurance, job applications and military
service
ALL: New Chemotherapies
• Antimetabolites
– Nelarabine (relapsed T-ALL)
– Clofarabine
– Trimetrexate (dihydrofolate reductase inhibitor)
• Liposomal or pegylated agents
– Pegylated L-asparaginase
– Liposomal daunorubicin
– Liposomal vincristine
• Cytarabine liposome injection (IT)
ALL: Novel Management Approaches
• Minimal residual disease evaluation
– Define prognostic groups for treatment selection
• Microarray analysis (gene expression profiles)
– Prognosis
– Identify new targets
Treatment of ALL: Summary and
Future Directions
• Preferable to treat adult patients in clinical trials
• Trials for young adults and adolescents needed
• For patients not in trials, a number of existing
chemotherapy regimens available
• Adult patients with Ph-positive ALL: imatinib
– Options in imatinib-resistant disease now available
• Allo SCT appropriate in high-risk ALL
– Role of auto SCT not yet defined
Biphenotypic Acute Leukemia
• Single population of blasts coexpressing markers of two different lineages
• Rare
• Biphenotypic acute leukemia is defined when scores are >2 for the myeloid
lineage and >1 for the lymphoid lineage
• The prognosis of biphenotypic acute leukemia patients is poor
•
• Higher incidence of CD34 antigen expression, complex
abnormal karyotype, extramedullary infiltration, relapse, and resistance to
therapy after relapse
All
Risk stratification
• After induction of complete remission (CR),
patients must be risk-stratified in order to
identify the best post-remission strategy (
Consolidation therapy)
• Standard risk
» Decreasing age (continuous variable; < 35 years)
» Decreasing WBC (continuous variable)
• < 30,000 for B-cell lineage
• < 100,000 for T-cell lineage
» T-cell lineage ( Thymic T-cell better, early T-cell is adverse risk)
» CR within 4 weeks
• High Risk: any of the following:
» High WBC at diagnosis (ie, >30,000 in B-ALL or >100,000 in T-ALL).
» Clonal cytogenetic abnormalities — t(4;11), t(1;19), t(9;22), or bcr-abl
gene positivity. The prognostic value of t(1;19) in adult ALL is less clear
than in pediatric ALL
» Time to attain CR after start of induction therapy > four weeks is of lesser
importance.
» Older age — >60 years old is high risk, 30 to 59 years old is intermediate
risk.
Prognostic Indicators
All - CONSOLIDATION
• Standard risk ALL in CR1
– Proceed with consolidation and maintenance chemotherapy rather than either allogeneic or
autologous HCT .
– This preference places a relatively high value on avoiding the higher short-term mortality and long-
term morbidity associated with HCT and a low value on the potential, but uncertain, ability of the
more intensive transplant therapy to eliminate residual disease.
• High Risk ALL
– For young patients with high-risk ALL in CR1 who have an HLA-matched donor : allogeneic HCT
preferred rather than consolidation chemotherapy or autologous HCT
– For patients with high-risk ALL in CR1 who are not candidates for allogeneic HCT ( older adults, co-
morbidities), consolidation chemotherapy preferred than autologous HCT .
– For patients with Philadelphia chromosome positive ALL in CR1, a matched sibling HCT preferred
than consolidation chemotherapy or autologous HCT . In patients without an HLA-identical sibling,
unrelated donor marrow transplantation is an effective option.
• For patients who are still in CR after completing consolidation chemotherapy 
proceed with two to three years of maintenance chemotherapy rather than observation
The most commonly used regimen is daily 6-mercaptopurine , weekly methotrexate,
and monthly pulses of vincristine and prednisone
(ie, POMP) or dexamethasone for three years.
Stem Cell Transplantation (SCT):
CIMBTR Recommendations
• First CR
– Allo SCT or MUD in high-risk patients
– Role in standard-risk patients unclear but not
recommended
– Auto SCT: no benefit over chemotherapy
• Second CR ( the CR after relapse)
– Allo SCT
. CIBMTR, Center for International Blood and Marrow Transplant Research
ALL: SCT at First CR
Study Endpoint CHT Auto SCT Allo SCT Improved
Outcome
CIBMTR vs
German
studies
LFS 32% -- 34% NS
JALSG 93 OS 40% -- 46% NS
LALA 87 OS 35% 48% NS
LALA 87 SR OS 45% 51% NS
LALA 87 HR OS 20% 44% Allo
LALA 94 HR OS 35% 44% 51% Allo
GOELAL02
HR
OS -- 40% 75% Allo
Several trials comparing chemotherapy vs. autologous stem cell transplant vs.
Allo-SCT reveal improved survival with allo-SCT in High Risk patients as shown
above.
Allo BMT vs Auto BMT in Patients With
Ph- ALL: MRC UKALL XII/ECOG E2993
Rowe JM, et al. ASH 2006. Abstract 2.
Patients with
Ph- ALL aged < 55 yrs
in complete remission after
induction therapy
(N = 919)
Sibling Allo BMT
(n = 389)
High-Dose
Methotrexate
(3 doses)
HLA-matched sibling
donor available?
Yes
High-Dose
Methotrexate
(3 doses)
Auto BMT
Consolidation/Maintenance
Chemotherapy:
2.5 years
(n = 530)
No
Allo BMT vs Auto BMT in Patients With
Ph- ALL: 5-Year Results
MRC/UK-ALL
• Improved OS with allo BMT vs auto BMT or postinduction
chemotherapy in standard-risk Ph- patients
– 5-year OS for allo BMT vs chemotherapy only: 54% vs 44%, respectively (P < .02)
– No advantage in high-risk patients ( older patients, WBC > 30,000 [B cell] or >
100,000 [T cell])
Outcome by Risk Group, % Donor
(n = 389)
No Donor
(n = 530)
P Value
Overall 5-yr survival 53 45 .02
 High risk 40 36 .50
 Standard risk 63 51 .01
10-yr relapse rate
 High risk 39 62 < .0001
 Standard risk 27 50 < .0001
Rowe JM, et al. ASH 2006. Abstract 2.
ALL – SALVAGE THERAPY
Relapsed/ refractory all Prognostic
Factors
Poor Prognostic Factors for CR Poor Prognostic Factors for Survival
Albumin level < 3 g/L* Albumin level < 3 g/L*
Duration of first CR < 36 mos* Duration of first CR < 36 mos*
Hemoglobin level < 10 g/dL Hemoglobin level < 10 g/dL
Platelet count ≤ 50 x 109/L* Platelet count ≤ 50 x 109/L*
Percent bone marrow blasts > 50% Percent bone marrow blasts > 50%*
Peripheral blood blasts ≥ 1% Percent peripheral blood blasts ≥ 1%
White blood cell count > 20 x 109/L
Independent prognostic factors associated with achieving CR during
salvage therapy include duration of first CR and platelet count. Several
factors are associated with poor survival rates : - short duration of first CR,
thrombocytopenia, elevated percent bone marrow blasts, and low albumin
level
L-asparaginase in ALL
• Used only in ALL
• Derived from bacterial enzyme
• Enzyme that depletes serum L-asparagine ( Normal cells can
reproduce their own asparagine by asparagine synthetase
but ALL cells can not and therefore, dependent on plasma
asparagine  depletion of plasma asparagine causes protein
synthesis inhibition  depletes synthesis of RNA and DNA 
apoptotic cell death of leukemic cells).
• Activity related to serum L-asparagine depletion
• No myelosuppression
• No late effects
• Unique adverse effects
L-asparaginase: Mechanism of Action*
*Sensitivity of ALL cells to asparaginase due to low asparagine synthetase in leukemic cells.
Blood
L-asparagine
L-asparaginase
NH3 + L-aspartate
Cell
L-asparagine
Asparagine synthetase
Glutamine
L-aspartate L-asparagine
+
Glutamate
+
L-asparaginase in Adult ALL
• No randomized trials in adults
• Well tolerated in adults
– Usually given at lower total doses than in children
• Importance in childhood disease suggests benefit of
increased treatment and longer schedules in adults
• Antibody formation unknown
L-asparaginase: Toxicity
• Hypersensitivity
– Neutralizing antibodies
• Liver dysfunction
– Liver enzymes, bilirubin, low albumin
• Hemostasis
– Bleeding: low clotting factors
– Clotting: low antithrombin III, protein S
• Pancreatitis, diabetes mellitus, CNS effects
(lethargy, somnolence)
Treatment of ALL: Summary and
Future Directions (cont’d)
• Future treatment decision may be based on
evaluation of MRD at critical time points
– At CR and after CR
• Therapy selection through gene expression
profiling
• Molecular markers with possible prognostic
significance currently being investigated
ALL: Targeted Treatments
ALL Subtype Target Treatment
Ph+ BCR/ABL Imatinib, dasatinib, nilotinib
T cell
NUP214-ABL1
NOTCH1 mutation
Imatinib, dasatinib, nilotinib
Gamma secretase inhibitor
Mature B cell CD20 Rituximab
Precursor B cell CD20 Rituximab
All subtypes CD52 Alemtuzumab
MLL and hyperdiploidly FLT3 overexpression CEP701, PKC 212
• Targets include BCR/ABL, CD 20, and FLT3
overexpression, among others
Pegylated Asparaginase
• Pegylated E. coli
L-asparaginase
• Less immunogenic
• Long half-life
– Less frequent dosing
– Continuous asparagine
depletion
• In children
– More rapid reduction in
marrow blasts during
induction
– Lower incidence of
neutralizing antibodies
– Similar safety profile as native
form
• In adults
– Similar toxicity to native form
after single and multiple
doses
.
Clofarabine in ALL
• Approved in relapsed or refractory Pediatric ALL
• Children (N = 61)[1]; median of 3 prior regimens
– 52 mg/m2 on Days 1-5
• CR + CRp in 12 patients (20%); PR in 6 patients (10%)
• Median survival:13 weeks
• 9 responders proceeded to SCT
• Adults (N = 12)[2]
– Dose 40 mg/m2 on Days 1-5
– CR in 2 patients (17%)
• Toxicity : hepatotoxicity, palmarplantar erythrodysesthesia, druf
fever, rash 1. Jeha S, et al. J Clin Oncol. 2006;24:1917-1923.
2. Kantarjian H, et al. Blood. 2003;102:2379-2386.
T-Cell ALL: Gamma Secretase Inhibitor
MK 0752
• NOTCH 1 gain-of-function mutations in 50% of
T-ALL
• Gamma secretase inhibitors abrogate
stimulatory effects of NOTCH 1
• Phase I trial
– Gamma secretase inhibitor MK-0752
– 4 patients: NOTCH1 activated mutations
– 1 patient: decrease in size of mediastinal mass
DeAngelo D, et al. ASCO 2006. Abstract 6585.

Acute leukemia

  • 1.
    Acute Leukemia Dr AnilKumar G Asst Prof Dept of Medicine MVJ MEDICAL COLLEGE
  • 2.
    - Is agroup of malignant (neoplastic) disorders , characterized by the clonal expansion and accumulation of one or more blood cell line(s) , with eventual involvement of all hematopoietic organs and other organs. Leukemia
  • 3.
    • Prolonged life(immortal) resistant to apoptosis • Growth factor independent growth • Insensitivity to growth-inhibitory signals • Ability to invade and metastasize • Blockage of intracellular differentiation Tow or more Mutations within the genome of HSC or multipotential progenitors/precursors Activation of specific proto-oncogene De-activation of tumor suppressor genes Leukemia Clone of cells with characteristics of a malignant cell
  • 4.
    Leukemia • CBC andblood film examination : - Normocytic normochromic anemia (mild to severe) - Platelets count: reduced to normal - WBC’s count: decreased mature leukocytes - The appearance of abnormally circulating blood cells (malignant cells) • BM aspirate and/or biopsy - B.M. hyperactivation and hyperplasia - Blasts : represents greater than 20 - 30% depends on the type of Classification and type of Leukemia .
  • 5.
  • 6.
    Leukemia • Cytochemistry: Blasts Identified CellularElement Stained Cytochemical Reaction Myeloblasts strong positive; monoblasts faint positive Lymphoblast Negative Neutrophil primary granules Myeloperoxidase (MPO) Myeloblasts strong positive; monoblasts faint positive Lymphoblast Negative PhospholipidsSudan Black B (SBB) Promyelocyte stage positiveCellular enzymeSpecific esterase Monoblasts strong positive Others Negative Cellular enzyme Nonspecific esterase (NSE) lymphoblast's and pronormoblasts Negative to Positive . Myeloblasts usually negative. Metamyelocyte & PMN Strong +ve Glycogen and related substances Periodic acid-Schiff
  • 7.
    Acute Myeloid Leukemia -Malignant neoplastic proliferation and accumulation of immature and nonfunctional myeloid line of blood cells in the bone marrow . - Also known as acute myelogenous leukemia or acute nonlymphocytic leukemia (ANLL) - Most common Acute Leukemia affecting adults. - As an Acute Leukemia, AML progresses rapidly and is typically fatal within weeks or months if left untreated .
  • 8.
    Myeloid maturation myeloblast promyelocytemyelocyte metamyelocyte band neutrophil MATURATION Adapted and modified from U Va website
  • 9.
    Etiology • Heredity – Downsyndrome – Fanconi anemia – Bloom syndrome – ataxia-telangiectasia – Congenital neutropenia (Kostmann syndrome) • Radiation – High-dose radiation (atomic bombs survivors)
  • 10.
    • chemical andoccupational exposures – Benzene – petroleum products – Paint – embalming fluids – ethylene oxide – Herbicides – smoking • • Drugs – Alkylating agent – Topoisomerase II inhibitor – Chloramphenicol – Phenylbutazone – Chloroquine – methoxypsoralen
  • 11.
    Acute Myeloid Leukemia Pathophysiology -In AML, a single myeloblast genetic changes which "freeze" the cell in its immature state and prevent differentiation. - When such a "differentiation arrest" is combined with other mutations which disrupt genes controlling proliferation, the result is an uncontrolled growth of an immature clone of cells, leading to the clinical entity of AML . -
  • 12.
    Acute Myeloid Leukemia -Thegrowth of leukemic clone cells, which tends to displace or interfere with the development of normal blood cells in the bone marrow . - This leads to neutropenia, anemia, and thrombocytopenia. The symptoms of AML are often due to the low numbers of these normal blood elements. Pathophysiology
  • 13.
    Clinical Presentation • Nonspecificsymptoms • Fatigue • Anorexia • Weight loss • Fever • Bleeding, easy bruising • Bone pain, lymphadenopathy, nonspecific cough, headache, or diaphoresis
  • 14.
    Physical Findings • Fever •Splenomegaly • Hepatomegaly • Lymphadenopathy • Sternal tenderness • Evidence of infection and hemorrhage
  • 15.
  • 16.
  • 17.
    Acute Myeloid Leukemia Laboratoryfindings: 1- Peripheral Blood: - The leukocyte count ranges from < 1X109 to >100X109 . - Presence of blast on the blood smear. - Neoplastic blast have few granules in the RNA rich cytoplasm.
  • 18.
    Acute Myeloid Leukemia -Erythrocyte decreased, Hb less than 10g/dl - Slightly Macrocytic because of the inability to compete the neoplastic cell for folate and vitB12 or early release of Retic cells. 2- Bone marrow: - Typically, hypocellular with increased fat content . Laboratory findings: - Special Stains and Percentage of Blasts aid in the Diagnosis .
  • 19.
    Acute Myeloid Leukemia Classification: 1- FAB Group Classification , Based on : - The Morphological criteria of PB and BM . - The Immunophenotyping of Leukemic cells . - The cytochemistry of Leukemic Cells . - For Diagnosis, Blast count in PB or BM is >30% . 2- WHO Classification : - Molecular/Genetic Features of Malignancies . - FAB Class. Incorporated into WHO Class. - For Diagnosis, Blast count in PB or BM is >20% .
  • 20.
  • 21.
    M0: Acute myeloblasticleukemia with minimal differentiation • Most common in adult patients • 5% of AML • Leukocytosis in 40% and > 50% with leukocytopenia • Diagnosis  Less than 3% of the blasts are positive for peroxidase or the Sudan black B reaction  Blasts are positive for the myeloid-associated markers CD13, CD14, CD15 or CD33, CD34 and negative for B or T lineage marker (CD3, CD10, CD19 and CD5)  Almost no mature myeloid cells are seen
  • 22.
    • Morphology:  Theblasts are small to medium-sized round cells with an eccentric nucleus  The nucleus has a flattened shape and sometimes lobulated or cleaved and contain fine chromatin with several distinct nucleoli  The cytoplasm is lightly basophilic without granules  Auer rods are not found
  • 23.
    M1: Acute myeloblasticleukemia without maturation • Highest incidence seen in adult and in infants less than a year old • 10% AML cases • Predominant cell in the peripheral blood is usually a poorly differentiated myeloblast with fine reticular chromatin and prominent nucleoli
  • 24.
    M2: Acute myeloblasticleukemia with maturation • Presenting symptoms for M2 AML are similar to those of the M1 type • 30% to 45% of cases of AML • Blasts show azurophilic granules and Auer rods • Evidence of maturation is present, with >10% of the marrow cells being promyelocytes, myelocytes, and mature neutrophils and <20% being monocytes
  • 25.
    M3: Acute promyelocyticleukemia (APML) • Younger adults • Median survival is about 18 months • Fusion of a truncated retinoic acid receptor alpha (RAR-alpha) gene on chromosome 17 to a transcription unit called PML (for promyelocytic leukemia) on chromosome 15 • The blasts are large with abundant cytoplasm, completely occupied by closely packed large granules, staining bright pink, red or purple • The nucleus is often bilobed or markedly indented with a prominent nucleolus • Cells containing bundles of Auer rods "faggots" randomly distributed in the cytoplasm are characteristic, but are not present in all cases
  • 26.
    • Cytochemistry:  MPOand Sudan black B are strong positive  PAS is negative and NSE is weak positive • IHC: positive for CD13, CD15, CD1 and CD33 myeloid antigens • Cytogenetic studies: 50% cases show translocation t(15; 17)
  • 27.
    M4: Acute myelomonocyticleukemia (AMML) • 15% to 25% • Usually in the elderly • Sometimes in patients who have had preceding chronic myelomonocytic leukemia • Both neutrophilic and monocytic cells and their precursors are present, each constituting at least 20% of the marrow cells • Monocytosis (≥5×10⁹/l) • Serum and urine levels of muramidase (lysozyme) are usually elevated because of the monocytic proliferation • Positive reactions for Sudan black B, MPO and both specific and non-specific esterase • Positivity for CD13, CD33, CD11b and CD14 • inv(16) (p13; q22) and del (16)(q22)
  • 28.
    • Morphology:  Monoblasts:large cells with round nuclei, one or more prominent nucleoli and abundant basophilic cytoplasm, sometimes with fine azurophilic granules, vacuoles, and pseudopod formation  Promonocytes: less basophilic and more granulated cytoplasm, occasional vacuoles and azurophilic granules. The nuclei are irregular and indented
  • 29.
    M5: Acute monoblasticleukemia (AMoL) • M5a: (Acute monoblastic Leukemia)  Granulocyte <20% and monocytes >80%; >80% monoblasts  Children • M5b: (Acute monocytic leukemia)  Granulocyte <20% and monocytes >80%; <80% monoblasts; all developmental stages of monocytes seen  Adults • Serum and urinary muramidase levels are often extremely high • Cytochemistry: NSE positive and PAS is negative • IHC: positivity with CD11b and CD14
  • 30.
  • 31.
    M6: Acute erythroidleukemias • Erythroleukemia: 5% of AML cases  Both erythroid and myeloid cells  At least 50% of the nucleated cells in the bone marrow are erythroid and at least 20% of the non-erythroid cells are myeloblasts  Erythroid cells are dysplastic, megaloblastoid nuclei, the cytoplasm often possessing poorly delineated, coalescing vacuoles  Myeloblasts are similar to those in AML with and without maturation • Pure erythroid leukemia: very rare  >80% of the marrow cells are erythroid  Erythroblasts have deeply basophilic, often agranular, cytoplasm may contain poorly delineated vacuoles. The nuclei have fine chromatin and one or more nucleoli
  • 32.
    • Howell-Jolly bodies,ring sideroblast, megaloblastoid and dyserythropoietic changes • Coarse positivity of PAS • IHC: glycophorin A
  • 33.
    M7: Acute megakaryoblasticleukemia (AMkL) • Rare • 5% of AML • At least 50% of the blasts are from the megakaryocytic lineage. • The megakaryoblasts are often pleomorphic and have a basophilic, agranular cytoplasm that may demonstrate pseudopod and bleb formation, indicating budding platelets • Dysplastic platelets may be visible in the blood • Circulating micromegakaryocytes and megakaryocyte fragments
  • 36.
    Acute Myeloid Leukemia WHOClassification of AML 1- AML with recurrent Cytogenetic abnormalities - usually translocation, in most cases the chromosomal rearrangement create a fusion gene, encoding a novel fusion protein. I. AML with t(8;21)(q22;q22);(ETO/AML1): - Present morphological as AML with maturation. - The fusion protein blocks the normal function of CBF, and induce abnormal gene activation and gene repression, this will lead to increase proliferation with blocked differentiation.
  • 37.
    Acute Myeloid Leukemia WHOClassification of AML II. AML with abnormal B.M eosinphils inv (16)(p13;q22) or t(16;16)(p13;q22)(CBFB/MYH11): - Present morphology as AML with monocytic and granulocytic maturation and presence of abnormal eosinphils in B.M. - Combination of acute myelomonocytic leukemia (AMML) with abnormal eosinphilis is morphologically AMML Eo. - Abnormal immature ( basophilic ) granules in the eosinphils, promyelocyte, and myelocyte stages. -
  • 38.
    Acute Myeloid Leukemia WHOClassification of AML III . AML with t(15;17)(q22;q12)(PML/RARa) and variants: - it is acute promyelocytic leukemia(APL), an AML in which abnormal promyelocyte predominate. - The presenting signs are DIC and bleeding . - The typical t(15;17) gene rearrangement result in the fusion of (PML/RARa) gene and reciprocal ( RARa/PML) gene.
  • 39.
    Acute Myeloid Leukemia WHOClassification of AML - PML is growth suppressor nuclear protein normally found in complex macromolecular structure. - The PML/RARa fusion protein leads to formation of co-repressor complex molecules that enhance the oncogenesis of APL .
  • 40.
    Acute Myeloid Leukemia WHOClassification of AML IV. AML with 11q23(MLL) abnormalities: - These leukemia associated with monocytic features ( monoblasts and promonocyte). - The MLL protein is a DNA binding protein that interact with other nuclear protein and permits the association of transcription factor which regulate transcription.
  • 41.
    Acute Myeloid Leukemia WHOClassification of AML 2- AML with multilinage Dysplasia ( with or without prior MDS) -It is an Acute leukemia ( >20% blast) with dysplasia in more than 50% of the cells in two or more myeloid cell lines. -It is occurs with or following MDS / MPD. -examples of dysplasia include: hypogranular PMNs, psuedo- pelger-Huet anomaly, megaloblastic erythrocyte, ringed sideroblast. - - poor prognosis.
  • 42.
    Acute Myeloid Leukemia WHOClassification of AML 3- AML and Myelodysplastic syndrome, therapy releated: -These disorder arise as a result of cytotoxic chemotherapy and / or radiation therapy. Two major subtypes: I. Alkylating agent/ radiation treatment: initially it start with MDS and eventually evolving AML. II. Topoisomerase II inhibitor treatment.
  • 43.
    Acute Myeloid Leukemia WHOClassification of AML 4- Acute Myeloid leukemias not otherwise categorized: - Include all AML cases that not fulfill criteria for any of other described. - The subtypes of this AML are classified according to differentiated on morphology and cytochemical features. I. AML Minimally Differentiated II. AML without Maturation III. AML with Maturation IV. Acute Myelomonocytic leukemia (AMML) V. Acute monoblastic leukemia and Acute monocytic leukemia VI. Acute Erythroid leukemia (AEL) VII. Acute Megakaryoblastic leukemia
  • 44.
    Acute Myeloid Leukemia WHOClassification of AML VIII. Acute Basophilic leukemia - The most characteristic feature by cytochemistry is metachromatic positivity with toluindine blue. IX. Acute panmyelosis with mylofibrosis - it is occur with or following chemo and radio therapy. X. Myeloid Sarcoma - a tumor of myeloblast or immature myeloid cells occures in the extramedullary site or in the bone.
  • 46.
    AML Cytogenetics & Prognosis Favorable t(8;21), t(15;17), inv(16)  Intermediate (Most patients) normal, +8, +21, +22, del(7q), del(9q),  Adverse -5, -7, del(5q), abnormal 3q, complex karyotype (> 3 - 5 abnormalities)  Group CR 5 year survival  Favorable 91% 65-75%  Intermediate 86% 40-50%   Adverse 63% <15%
  • 47.
    AML Treatment: Induction Chemotherapy Anthracycline (Idarubicin) for 3 days and Cytosine arabinoside (Ara-C) for 7 days (3+7, Younger/fit patients only)  Supportive care red cell and platelet transfusions, prophylactic antibacterial, antifungals and antivirals
  • 48.
    AML: Response to Induction Remission status determined by bone marrow at end of month following induction therapy (e.g. Day 14 & 28) Complete remission:CR is defined-  Blood neutrophil count -1000/L  Platelet count 100,000/L.  Circulating blasts - absent.  The bone marrow <5% blasts  Auer rods -absent.  Extramedullary leukemia -absent
  • 49.
    AML Treatment: Consolidation Following inductioninto Complete Remission  3-4 cycles of high dose cytosine arabinoside (HiDAC) administered approximately every 5-6 weeks OR  Bone marrow (peripheral blood stem cell) transplant (Depends on degree of risk)
  • 50.
    AML-M3 or APL Acute Promyelocytic Leukemia (APL M3)  Blasts and promyelocytes heavily granulated, Auer rods often abundant  Disseminated intravascular coagulation (DIC) common  Treatment differs from all other AML subtypes once had the worst prognosis now the best prognosis
  • 51.
    AML-M3 or APL Treated with a derivative of Vitamin A (all trans retinoic acid or ATRA)  Favorable prognosis if diagnosed just prior to starting chemotherapy (>80% cured)  Has chromosomal translocation, t(15;17) involving the retinoic acid receptor-a gene that blocks normal granulocyte differentiation
  • 52.
    Dan Longo, AnthonyFauci, Dennis Kasper et al Harrison's Principles of Internal Medicine 18th Ed. 2011
  • 53.
    Acute Lymphoid Leukemia Malignantneoplastic proliferation and accumulation of immature and nonfunctional Lymphoid line of blood cells in the bone marrow Acute lymphocytic leukemia is the most common type of cancer in children .
  • 54.
    Acute Lymphoid Leukemia Signsand Symptoms - Generalized weakness and fatigue - Anemia - Frequent or unexplained fever and infection - Weight loss and/or loss of appetite - Bone pain, joint pain (caused by the spread of "blast" cells to the surface of the bone or into the joint from the marrow cavity) - Breathlessness - Enlarged lymph nodes, liver and/or spleen -Pitting edema (swelling) in the lower limbs and/or abdomen - Petechiae, which are tiny red spots or lines in the skin
  • 55.
    Acute Lymphoid Leukemia -Damage to DNA that leads to uncontrolled cellular growth and spread throughout the body. Pathophysiology - This damage may be caused by environmental factors such as chemicals, drugs or radiation. - Some evidence suggests that secondary leukemia can develop in individuals treated for other cancers with radiation and chemotherapy as a result of that treatment - Damage can be caused through the formation of fusion genes, as well as the dysregulation.
  • 56.
    Initial Laboratory findingcharacteristic of ALL Peripheral Blood: 1- Leukocyte count usually increased but may be normal or decreased. 2- Neutropenia 3- Lymphoblast 4- Thrombocytopenia Bone Marrow: 1- Hypercellular 2- >20% lymphoblast ( WHO) Other laboratory finding: 1- associated with increased cellular metabolism and turn over such: Hyperuricemia. incrased serum LD. hypercalacemia due to increased BM resorption. 2- Renal failure. 3- increased CSF lymphblast.
  • 57.
    Acute Lymphoid Leukemia -Terminal Deoxynucleotidyl transferase (TdT): - - TdT, is the most important enzyme that is helpful in the identifying cellular subtypes. - TdT is a DNA polymerase found in cell nuclei , this enzyme not present in the normal mature lymphocyte but can be found in 65% of the thymic population of lymphocyte.
  • 58.
    Acute Lymphoid Leukemia Classification -Based on FAB classification, ALL is categorized into three catergories ALL-L1, ALL-L2 and ALL-L3 . - Immunohistochemistry and immunophenotyping are almost always necessary to distinguish ALL from AML. - On other hand WHO identify of malignant cell as T, B and on the degree of maturation.
  • 59.
    Acute Lymphoid Leukemia -Blasts in ALL-L1 are with high N/C ratio. - Delicate diffuse chromatin pattern and small prominent nucleoli. - Scant cytoplasm . - Affects primarily children FAB classification ALL-L1
  • 61.
    Acute Lymphoid Leukemia FABclassification ALL-L2 - The blasts are larger than those of L1, have more plentiful cytoplasm and are more pleomorphic. - Abundant cytoplasm, predominant nucleoli, nuclear clefting . - Affects adults
  • 63.
    Acute Lymphoid Leukemia FABclassification ALL-L3 : Burkitt's type - L3 blasts cells are fairly regular in shape with strong basophilic cytoplasm and prominent cytoplasmic vaculation . Affects adults and children
  • 65.
    FAB Classification ofALL Morphology TdT CD10 ALL-L1 Small lymphocyte scant cytoplasm; + + Moderately clumped chromatin; Inconspicuous nucleoli ALL-L2 Small and medium size lymphblast; + + Mixed chromatin patterns; Inconspicuous nucleoli ALL-L3Burkitt- type Large lymphblast; large nucleus with - +/- nucleoli; cytoplasm vacuolization; Intense cytoplasm basophilia
  • 66.
    Acute Lymphoid Leukemia WHOclassification - WHO classification considers ALL and lymphblastic lymphoma to be single disease with different clinical presentation. - Precursor T- and B-cell neoplasm with B.M and peripheral blood involvement are ALL, while precursor T- and B-cell neoplasm presenting solid tumors are lymphoma.
  • 67.
    Acute Lymphoid Leukemia WHOclassification WHO classification defines two subgroups of ALL: 1- Precursor B- and T-cell neoplasm ( leukemia/ lymphoma) which include L1 and L2 . 2- Burkitt type ALL (L3).
  • 68.
    Acute Lymphoid Leukemia WHOclassification 1- Precursor B- cell leukemia: - it is a neoplasm of lymphoblast committed to the B- cell linage, involve B.M, peripheral blood - some cases may present with primary involvement of lymph node and exranodal site ( lymphoma). - Rearrangement of immunoglobulin genes can be detected by molecular testing. - Additional markers of B linage commitment required for dignosis. CD10/CD19/CD20/CD22 , TdT = +ve
  • 69.
    Acute Lymphoid Leukemia WHOclassification 1- Precursor B- cell leukemia: - Cytogenetic abnormalities associated with B-ALL include translocation, hypodiploidy, and hyperdiploidy. - The most common is t(12;21)(p13;q22) - Produce TEL-AML1 fusion gene. - Hyperdiploid B-ALL have a mutation in the receptor tyrosine Kinase FLT-3 , resulting in constitutive activation of the receptor. - t(1;19) PBX1-E2A , t(4;11) AF4-MLL - Precursor B- cell has good prognosis.
  • 70.
    Acute Lymphoid Leukemia WHOclassification 2- Precursor T- cell leukemia: - It is a neoplasm of lymphoblasts committed to T- cell linage, involving B.M and peripheral blood. - High WBC count, lymphoblast and cytochemistry similar to B-cell, but acid phosphatase shoe intense positivity in T- ALL. - T- cell linage can be detected by rearrangement of the T cell receptor genes by molecular studies. - There are four TCR genes capable of rearranging, coding for the a ,B, Y and & chain of the TCR.
  • 71.
    Acute Lymphoid Leukemia WHOclassification - Cytogenetic studies show translocation involving alpha and Delta TCR loci (14q11.2), the beta locus (7q35) or gamma locus (7p14-15). - Transcription factors. CD2/CD3/CD5/CD7/CD10 = +ve 2- Precursor T- cell leukemia:
  • 72.
    Acute Lymphoid Leukemia WHOclassification 3- ALL- Burkitt type : - Cell Large in size. - Nuclear chromatin : fine and homogeneous - Nuclear shape : Regular, oval to round. - Nucleoli prominent, one or more. - Cytoplasm amount : Moderately Abundant. - Vaculation Often prominent. - This tumor has a high proliferation rate and many mitotic figures may be seen in the B.M smear.
  • 73.
    Acute Lymphoid Leukemia WHOclassification - Burkitt's cell show clonal rearrangement of the immunoglobulin heavy and light chain genes 3- ALL- Burkitt type : All cases have translocation of the MYC gene (8q14) to the: 1. heavy chain region on chromosome 14{t(8;14)} or 2. light chain loci on chromosome 2p12{t(2;8)} or 3. chromosome 22q11{t(8;22)}.
  • 74.
    AMLALL Common in adultCommonin childrenAge Anemia, neutropenia, thrompocytopenia, myeloblast, Promyelocyte. Anemia, neutropenia, thrompocytopenia, Lymphoblast, Prolymphcytes Hematologic prsentation Medium to large myeloblast with distinct nucleoli, fine nuclear chromatin and abundant basophilic cytoplasm, Auer rod can be present Small to medium lymphoblast, fine chromatin with scanty to abundant cytoplasm, indistinct nucleoli Prominent cell morphology PAS negative, Peroxidase and SBB are positive,TdT may positive or negative PAS and TdT are Positive, Peroxidase and SBB are negative Cytochemistry
  • 75.
    Acute Leukemia Prognosis : 1-ALL : - Prognosis Varies from Poor to Good According to : 1- Type of Cytogenetic abnormalities 2- Diploidy , Hyper or Hypo 3- Metastasis Cytogenetic change Risk category t(4;11)(q21;q23) Poor prognosis t(8;14)(q24.1;q32) Poor prognosis Complex karyotype (more than four abnormalities) Poor prognosis Low hypodiploidy or near triploidy Poor prognosis High hyperdiploidy (specifically, trisomy 4, 10, 17) Good prognosis del(9p) Good prognosis
  • 76.
    Treatment of ALL: •Induction phase I (4 weeks) – Prednisone, vincristine, daunorubicin, L-asparaginase – No benefit to adding cyclophosphamide, high-dose cytarabine, or high-dose anthracycline • Induction phase II (4 weeks) – Cyclophosphamide, cytarabine, 6-mercaptopurine • Consolidation – 4-7 cycles of intensive multiagent chemotherapy – Delayed reinduction
  • 77.
    Central Nervous SystemProphylaxis • Less than 10% of ALL presents with CNS involvement however, with no CNS prophylaxis  CNS relapse can occur in 60% of patients. • Risk factors for CNS involvement in adults – mature B-cell ALL – high serum lactate dehydrogenase levels > 600 U/L) – presence of a high proliferative index at diagnosis ( >14% of lymphoblasts in the S and G2/M phase of the cell cycle) • If symptomatic CNS disease present at diagnosis  concurrent cranial irradiation + IT chemotherapy • For CNS prophylaxis in all other cases : – IT-MTX and systemic high-dose MTX or some regimens incorporate “triple” therapy ( IT MTX +ARA- C+Corticosteroids)
  • 78.
    ALL - Supportivecare • Cytopenias : . – Transfusion support : Platelets and Packed red cell transfusion when necessary ( leukodepleted and irradiated to prevent GVHD) – G-CSF Support • Prevention of Tumor Lysis Syndrome ( Risk highest in Burkitt-ALL and T-Cell ALL) – Intravenos hydration 100ml/hr – Allopurinol – Rasburicase – Correction of electrolyte disturbances (Hypocalcemia, Hyperphospahtemia) • Antibiotic Prophylaxis while on aggressive chemotherapies : – Acyclovir prophylaxis for all HSV seropositive adults – Prophylaxis with antibiotics (quinolones) and/or antifungals during neutropenia. – Trimtheoprim/sulfamethoxazole for PCP prophylaxis – Ganciclovir prophylaxis for CMV seropositive patients
  • 79.
    Adult ALL: MaintenanceTherapy • Weekly methotrexate + daily 6-mercaptopurine – Monthly Vincristine/prednisone pulses • Duration: 2-3 years • Appropriate for all cases except B-cell and Ph+ ALL • Poor outcome if omitted • No randomized trials in adults
  • 80.
    ALL -SPECIAL GROUPS •All in older adults • Ph+ all • Mature b-cell / burkitt- all (l3) • T-cell all
  • 81.
    ALL in OlderAdults • Low CR and survival rates • Lower rate of T-cell ALL • High rate of Ph-positive ALL ( more than 50% of ALL in age > 65) • Often excluded from clinical trials • Often receive attenuated chemotherapy
  • 82.
    Complications Observed inOlder Adults With ALL • Comorbid conditions • More severe mucositis related to pain medications • Events associated with specific chemotherapies – Vincristine: neuropathy, constipation – Steroids: hyperglycemia, infections – L-asparaginase: encephalopathy ( more lethargy and somnolence occur in older adults) • Low marrow reserve – Adding G-CSF improves CR rate
  • 83.
    Philadelphia Chromosome (Ph+)ALL • t(9;22) bcr/abl translocation • Precursor B cell • Incidence continuously increasing with age • Associated with very poor outcome – No cure with intensive ALL chemotherapy (all ages). Despite intensive chemotherapy, long term survival < 10% – Cure with SCT possible • Allo SCT is recommended for all patients with PH+ ALL who achieve a CR.
  • 84.
    Imatinib in Ph+ALL • Induces high response rate as single agent – Response generally not durable • In combination with ALL chemotherapy ( preferred choice)for induction – Higher CR rate: 90% to 97% and improved outcome compared with chemotherapy alone – Concurrent administration of imatinib + chemotherapy superior to alternating schedule
  • 85.
    B-Cell ALL (FABL3): Burkitt’s Leukemia • Rapid cell proliferation and very high LDH • t(8;14), t(2;8), t(8;22) – Rearrangement of myc protooncogene (ch 8) with Ig heavy chains (ch 14) or light chains (ch 2 or 22) • High expression of CD20 • Treatment option : Short intensive chemotherapy – High-dose MTX and cyclophosphamide – Role of anti-CD20 : Addition of rituximab – Intensive CNS prophylaxis • No maintenance required ( high cure rates after intensive chemotherapy) • Cure rate: 60%; relapses are rare 6 months after CR
  • 86.
    T-CELL ALL • Currenttherapies for T-cell acute lymphoblastic leukemia (ALL) produce high responses, • but approximately one half of patients will relapse within 2 years. • Nelarabine demonstrates antineoplastic activity in patients with relapsed/refractory T-cell ALL. In a recent study by the Cancer and Leukemia Group B, nelarabine treatment produced complete remission rates of 26% with minimal toxicities in relapsed/refractory ALL patients.
  • 87.
    Late Complications oftherapy • Late complications of therapy • Brain tumors (cerebral irradiation) • Secondary AML from topoisomerase inhibitors and alkylating agents • Cardiomyopathy (anthracyclines) • Osteoporosis (corticosteroids) • Growth disturbances • Thyroid dysfunction (cranial irradiation) • Obesity (uncertain etiology) • Neuropsychiatric disturbances and seizures (IT MTX and cranial irradiation) • Emotional problems • Discrimination with insurance, job applications and military service
  • 88.
    ALL: New Chemotherapies •Antimetabolites – Nelarabine (relapsed T-ALL) – Clofarabine – Trimetrexate (dihydrofolate reductase inhibitor) • Liposomal or pegylated agents – Pegylated L-asparaginase – Liposomal daunorubicin – Liposomal vincristine • Cytarabine liposome injection (IT)
  • 89.
    ALL: Novel ManagementApproaches • Minimal residual disease evaluation – Define prognostic groups for treatment selection • Microarray analysis (gene expression profiles) – Prognosis – Identify new targets
  • 90.
    Treatment of ALL:Summary and Future Directions • Preferable to treat adult patients in clinical trials • Trials for young adults and adolescents needed • For patients not in trials, a number of existing chemotherapy regimens available • Adult patients with Ph-positive ALL: imatinib – Options in imatinib-resistant disease now available • Allo SCT appropriate in high-risk ALL – Role of auto SCT not yet defined
  • 91.
    Biphenotypic Acute Leukemia •Single population of blasts coexpressing markers of two different lineages • Rare • Biphenotypic acute leukemia is defined when scores are >2 for the myeloid lineage and >1 for the lymphoid lineage • The prognosis of biphenotypic acute leukemia patients is poor • • Higher incidence of CD34 antigen expression, complex abnormal karyotype, extramedullary infiltration, relapse, and resistance to therapy after relapse
  • 94.
    All Risk stratification • Afterinduction of complete remission (CR), patients must be risk-stratified in order to identify the best post-remission strategy ( Consolidation therapy)
  • 95.
    • Standard risk »Decreasing age (continuous variable; < 35 years) » Decreasing WBC (continuous variable) • < 30,000 for B-cell lineage • < 100,000 for T-cell lineage » T-cell lineage ( Thymic T-cell better, early T-cell is adverse risk) » CR within 4 weeks • High Risk: any of the following: » High WBC at diagnosis (ie, >30,000 in B-ALL or >100,000 in T-ALL). » Clonal cytogenetic abnormalities — t(4;11), t(1;19), t(9;22), or bcr-abl gene positivity. The prognostic value of t(1;19) in adult ALL is less clear than in pediatric ALL » Time to attain CR after start of induction therapy > four weeks is of lesser importance. » Older age — >60 years old is high risk, 30 to 59 years old is intermediate risk. Prognostic Indicators
  • 96.
    All - CONSOLIDATION •Standard risk ALL in CR1 – Proceed with consolidation and maintenance chemotherapy rather than either allogeneic or autologous HCT . – This preference places a relatively high value on avoiding the higher short-term mortality and long- term morbidity associated with HCT and a low value on the potential, but uncertain, ability of the more intensive transplant therapy to eliminate residual disease. • High Risk ALL – For young patients with high-risk ALL in CR1 who have an HLA-matched donor : allogeneic HCT preferred rather than consolidation chemotherapy or autologous HCT – For patients with high-risk ALL in CR1 who are not candidates for allogeneic HCT ( older adults, co- morbidities), consolidation chemotherapy preferred than autologous HCT . – For patients with Philadelphia chromosome positive ALL in CR1, a matched sibling HCT preferred than consolidation chemotherapy or autologous HCT . In patients without an HLA-identical sibling, unrelated donor marrow transplantation is an effective option. • For patients who are still in CR after completing consolidation chemotherapy  proceed with two to three years of maintenance chemotherapy rather than observation The most commonly used regimen is daily 6-mercaptopurine , weekly methotrexate, and monthly pulses of vincristine and prednisone (ie, POMP) or dexamethasone for three years.
  • 97.
    Stem Cell Transplantation(SCT): CIMBTR Recommendations • First CR – Allo SCT or MUD in high-risk patients – Role in standard-risk patients unclear but not recommended – Auto SCT: no benefit over chemotherapy • Second CR ( the CR after relapse) – Allo SCT . CIBMTR, Center for International Blood and Marrow Transplant Research
  • 98.
    ALL: SCT atFirst CR Study Endpoint CHT Auto SCT Allo SCT Improved Outcome CIBMTR vs German studies LFS 32% -- 34% NS JALSG 93 OS 40% -- 46% NS LALA 87 OS 35% 48% NS LALA 87 SR OS 45% 51% NS LALA 87 HR OS 20% 44% Allo LALA 94 HR OS 35% 44% 51% Allo GOELAL02 HR OS -- 40% 75% Allo Several trials comparing chemotherapy vs. autologous stem cell transplant vs. Allo-SCT reveal improved survival with allo-SCT in High Risk patients as shown above.
  • 99.
    Allo BMT vsAuto BMT in Patients With Ph- ALL: MRC UKALL XII/ECOG E2993 Rowe JM, et al. ASH 2006. Abstract 2. Patients with Ph- ALL aged < 55 yrs in complete remission after induction therapy (N = 919) Sibling Allo BMT (n = 389) High-Dose Methotrexate (3 doses) HLA-matched sibling donor available? Yes High-Dose Methotrexate (3 doses) Auto BMT Consolidation/Maintenance Chemotherapy: 2.5 years (n = 530) No
  • 100.
    Allo BMT vsAuto BMT in Patients With Ph- ALL: 5-Year Results MRC/UK-ALL • Improved OS with allo BMT vs auto BMT or postinduction chemotherapy in standard-risk Ph- patients – 5-year OS for allo BMT vs chemotherapy only: 54% vs 44%, respectively (P < .02) – No advantage in high-risk patients ( older patients, WBC > 30,000 [B cell] or > 100,000 [T cell]) Outcome by Risk Group, % Donor (n = 389) No Donor (n = 530) P Value Overall 5-yr survival 53 45 .02  High risk 40 36 .50  Standard risk 63 51 .01 10-yr relapse rate  High risk 39 62 < .0001  Standard risk 27 50 < .0001 Rowe JM, et al. ASH 2006. Abstract 2.
  • 101.
  • 102.
    Relapsed/ refractory allPrognostic Factors Poor Prognostic Factors for CR Poor Prognostic Factors for Survival Albumin level < 3 g/L* Albumin level < 3 g/L* Duration of first CR < 36 mos* Duration of first CR < 36 mos* Hemoglobin level < 10 g/dL Hemoglobin level < 10 g/dL Platelet count ≤ 50 x 109/L* Platelet count ≤ 50 x 109/L* Percent bone marrow blasts > 50% Percent bone marrow blasts > 50%* Peripheral blood blasts ≥ 1% Percent peripheral blood blasts ≥ 1% White blood cell count > 20 x 109/L Independent prognostic factors associated with achieving CR during salvage therapy include duration of first CR and platelet count. Several factors are associated with poor survival rates : - short duration of first CR, thrombocytopenia, elevated percent bone marrow blasts, and low albumin level
  • 103.
    L-asparaginase in ALL •Used only in ALL • Derived from bacterial enzyme • Enzyme that depletes serum L-asparagine ( Normal cells can reproduce their own asparagine by asparagine synthetase but ALL cells can not and therefore, dependent on plasma asparagine  depletion of plasma asparagine causes protein synthesis inhibition  depletes synthesis of RNA and DNA  apoptotic cell death of leukemic cells). • Activity related to serum L-asparagine depletion • No myelosuppression • No late effects • Unique adverse effects
  • 104.
    L-asparaginase: Mechanism ofAction* *Sensitivity of ALL cells to asparaginase due to low asparagine synthetase in leukemic cells. Blood L-asparagine L-asparaginase NH3 + L-aspartate Cell L-asparagine Asparagine synthetase Glutamine L-aspartate L-asparagine + Glutamate +
  • 105.
    L-asparaginase in AdultALL • No randomized trials in adults • Well tolerated in adults – Usually given at lower total doses than in children • Importance in childhood disease suggests benefit of increased treatment and longer schedules in adults • Antibody formation unknown
  • 106.
    L-asparaginase: Toxicity • Hypersensitivity –Neutralizing antibodies • Liver dysfunction – Liver enzymes, bilirubin, low albumin • Hemostasis – Bleeding: low clotting factors – Clotting: low antithrombin III, protein S • Pancreatitis, diabetes mellitus, CNS effects (lethargy, somnolence)
  • 107.
    Treatment of ALL:Summary and Future Directions (cont’d) • Future treatment decision may be based on evaluation of MRD at critical time points – At CR and after CR • Therapy selection through gene expression profiling • Molecular markers with possible prognostic significance currently being investigated
  • 108.
    ALL: Targeted Treatments ALLSubtype Target Treatment Ph+ BCR/ABL Imatinib, dasatinib, nilotinib T cell NUP214-ABL1 NOTCH1 mutation Imatinib, dasatinib, nilotinib Gamma secretase inhibitor Mature B cell CD20 Rituximab Precursor B cell CD20 Rituximab All subtypes CD52 Alemtuzumab MLL and hyperdiploidly FLT3 overexpression CEP701, PKC 212 • Targets include BCR/ABL, CD 20, and FLT3 overexpression, among others
  • 109.
    Pegylated Asparaginase • PegylatedE. coli L-asparaginase • Less immunogenic • Long half-life – Less frequent dosing – Continuous asparagine depletion • In children – More rapid reduction in marrow blasts during induction – Lower incidence of neutralizing antibodies – Similar safety profile as native form • In adults – Similar toxicity to native form after single and multiple doses .
  • 110.
    Clofarabine in ALL •Approved in relapsed or refractory Pediatric ALL • Children (N = 61)[1]; median of 3 prior regimens – 52 mg/m2 on Days 1-5 • CR + CRp in 12 patients (20%); PR in 6 patients (10%) • Median survival:13 weeks • 9 responders proceeded to SCT • Adults (N = 12)[2] – Dose 40 mg/m2 on Days 1-5 – CR in 2 patients (17%) • Toxicity : hepatotoxicity, palmarplantar erythrodysesthesia, druf fever, rash 1. Jeha S, et al. J Clin Oncol. 2006;24:1917-1923. 2. Kantarjian H, et al. Blood. 2003;102:2379-2386.
  • 111.
    T-Cell ALL: GammaSecretase Inhibitor MK 0752 • NOTCH 1 gain-of-function mutations in 50% of T-ALL • Gamma secretase inhibitors abrogate stimulatory effects of NOTCH 1 • Phase I trial – Gamma secretase inhibitor MK-0752 – 4 patients: NOTCH1 activated mutations – 1 patient: decrease in size of mediastinal mass DeAngelo D, et al. ASCO 2006. Abstract 6585.