Mr.rajan 38 yr old smoker C/O swelling all over the body - past 4 months 5months back-he developed Cough-productive,scant mucoid sputum  chest pain-diffuse pricking increases with cough Breathlessness-Class iii(NO orthopnoea/PND) No chest pain/palpitation No haemoptysis/fever No oliguria/dysuria/haematuria
On  Examination Pt conscious oriented  Afebrile No pallor /icterus / cyanosis/clubbing B/L pitting pedal edema Not dyspnoeic No generalised lymphadenopathy JVP not elevated PR 86/min  BP 110/70mm Hg
 
 
 
 
 
 
 
 
INFECTIVE CAUSES mycobacterial  – Bacterial-  staph aureus,klebsiella,psuedomonas,nocardiosis, anaerobes Fungal- aspergillus,blastomycosis,coccioidomycosis, histoplasmosis Septic emboli Lung abscess DIFFERENTIALS FOR MULTIPLE CAVITARY LESIONS
TRAUMA  Pulmonary contusion Septic emboli Lung abscess GRANULOMATOUS, INFLAMMATORY DISORDERS Necrotizing sarcoid granulomatosis/lung Wegeners granulomatosis COLLAGEN VASCULAR DISORDERS Polyarteritis nodosa Rheumatoid lung disease VASCULAR DISORDERS Pulmonary infarction with cavitation NEOPLASTIC DISORDERS Lymphomas Metastatic lung disease carcinoma of lung
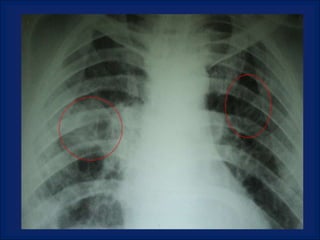
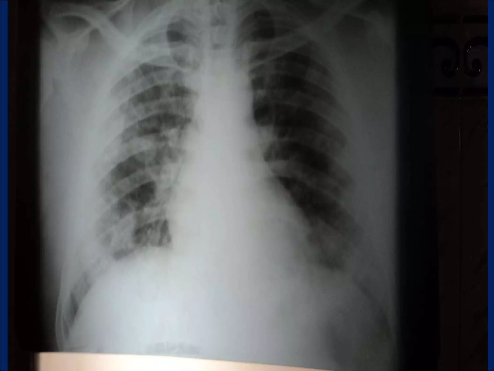
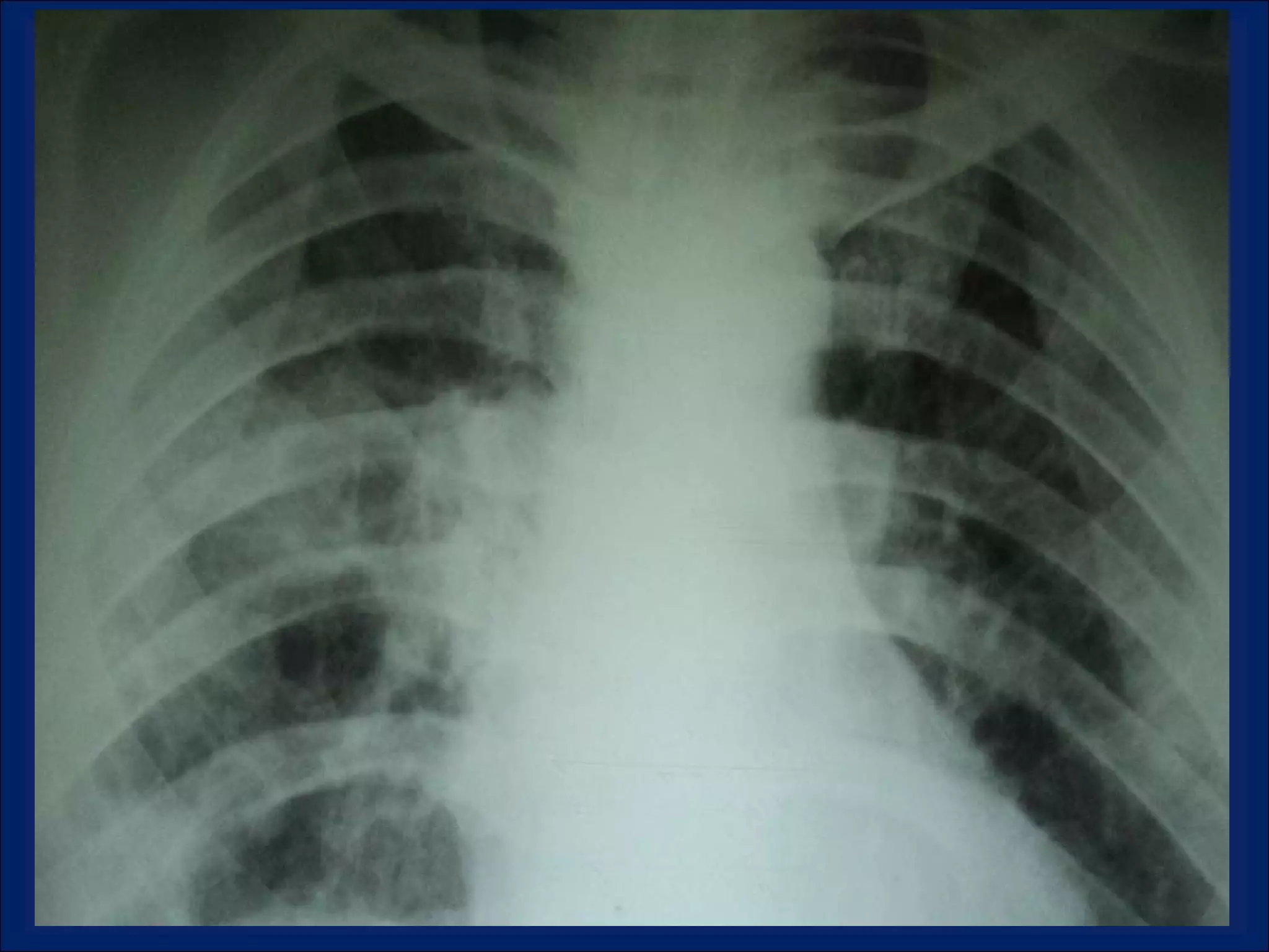
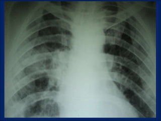
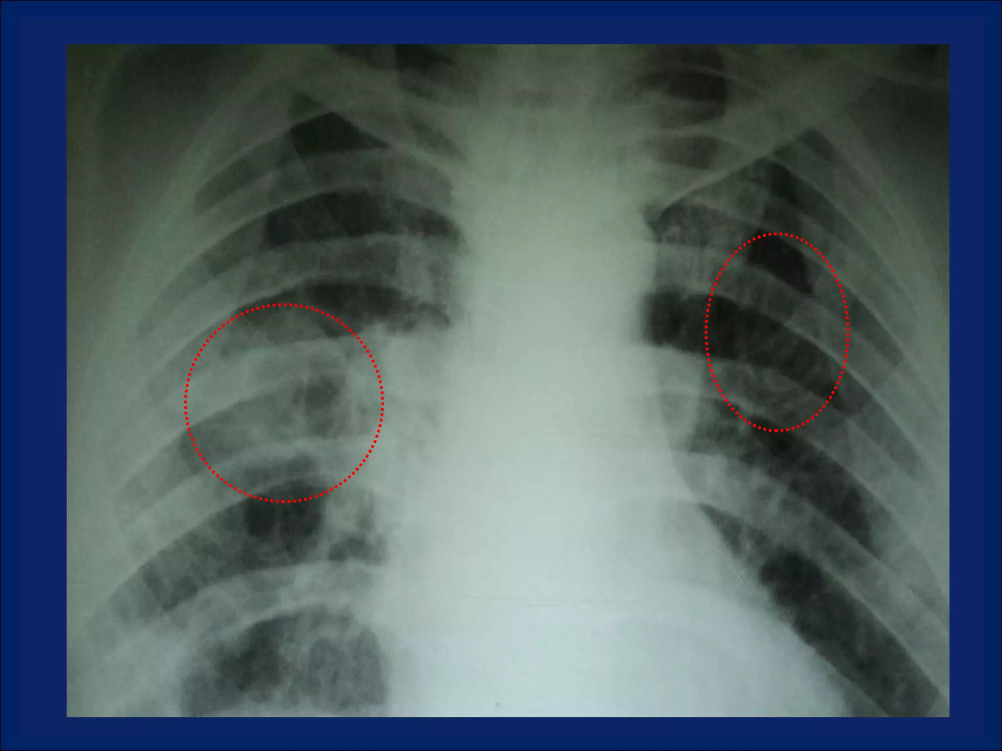
LOOKING  AT  CAVITIES What is the anatomic distribution?  Is It single or multiple?  If multiple , are they focally located or diffusely seen in multiple lobes of both lungs? Is are the characteristics of the cavity? Is the cavity wall thick or thin? Is the interior lining nodular, shaggy, or smooth? Are there any other associated radiographic abnormalities?
INVESTIGATIONS Urine routine-protein 2+, 3-5 RBCs TC 13800 DC P66 L 32 E2 ESR 56mm/hr Platlets 1,45,000 Hb 12.8 g Urea -17 mg Creatinine 0.8 mg
HIV – NR SPUTUM AFB negative Sputum c/s no growth RF – neg ANA – Neg CRP elevated ENT OPINION : Polyp from Lt middle meatus, VLS-normal
FNAC OF A NODULE(CT GUIDED)
 
POSSIBILITIES 1.WEGENER’S GRANULOMATOSIS 2.PULMONARY LANGERHANS CELL HISTIOCYTOSIS
P-ANCA … POSITIVE Approximately 90% of patients with active Wegener’s granulomatosis have a positive antiproteinase-3 ANCA. A small percentage of patients with Wegener’s granulomatosis may have antimyeloperoxidase rather than antiproteinase-3 antibodies.
Points in favour Renal involvement P-ANCA positivity Radiolgical features Paranasal sinus involvement
Wegener  granulomatosis Granulomatous, necrotizing, small & medium vessel vasculitis Any age (40-55 yrs.) Frequency of 3 per 100,000 persons TRIAD RENAL -Microscopic hematuria, proteinuria, and rapidly progressive RF UPPER AIRWAYS-  recurrent / nonresolving sinusitis, epistaxis, nasal septal perforation (saddle nose deformity)  LOWER AIRWAY-  subglottic stenosis. Single or multiple cavitating/noncavitating  Pulmonary nodules  or diffuse alveolar hemorrhage
Wegener  granulomatosis Skin rash, migratory arthritis Ocular involvement (scleritis, corneal ulceration,orbital dis.) Mononeuritis multiplex or CNS involvement with or without pachymeningitis ANCA (180pt., 96%with severe dis.,83%with limited dis.) Lung biopsy  yield 91% of cases Upper airway biopsy yield only 21%of cases Renal  biopsy:focal, segmental necrotizing, crescentic glomerulonephritis with few to no immune complexes
ANCA ANCA plays a central role Antibodies directed against certain cytoplasmic proteins in neutrophils and monocytes Two major categories based on IF– C & P  ANCA Present in high percentage in systemic vasculitis
Kallenberg CGM  et al.  (2006) Mechanisms of Disease: pathogenesis and treatment of ANCA-associated vasculitides  Nat Clin Pract  Rheumatol   2:   661 – 670  doi:10.1038/ ncprheum0355 Figure 1  Cytoplasmic components of ethanol-fixed neutrophils, stained by indirect immunofluorescence, in a serum sample from a patient with active Wegener's granulomatosis and antineutrophil cytoplasmic autoantibodies to proteinase 3
RENO-PULMONARY SYNDROMES 1.ANTI-GBM ANTIBODIES:  Goodpasture’s syndrome 2.ANCA-POSITIVE VASCULITIS Wegener’s granulomatosis Microscopic polyangiitis Churg–Strauss syndrome 3.ANCA-NEGATIVE  VASCULITIS Henoch–Schönlein purpura Mixed cryoglobulinaemia Behçet’s disease IgA nephropathy 4.INFECTIONS 5.DRUGS Propylthiouracil D-Penicillamine Hydralazine Allopurinol 6.RHEUMATIC DISEASES  (immune complexes) Systemic lupus erythematosus Scleroderma Polymyositis Rheumatoid arthritis Mixed collagen vascular disease
 

Imaging: Multiple Pulmonary Cavitary Lesions

  • 1.
  • 2.
    Mr.rajan 38 yrold smoker C/O swelling all over the body - past 4 months 5months back-he developed Cough-productive,scant mucoid sputum chest pain-diffuse pricking increases with cough Breathlessness-Class iii(NO orthopnoea/PND) No chest pain/palpitation No haemoptysis/fever No oliguria/dysuria/haematuria
  • 3.
    On ExaminationPt conscious oriented Afebrile No pallor /icterus / cyanosis/clubbing B/L pitting pedal edema Not dyspnoeic No generalised lymphadenopathy JVP not elevated PR 86/min BP 110/70mm Hg
  • 4.
  • 5.
  • 6.
  • 7.
  • 8.
  • 9.
  • 10.
  • 11.
  • 12.
    INFECTIVE CAUSES mycobacterial – Bacterial- staph aureus,klebsiella,psuedomonas,nocardiosis, anaerobes Fungal- aspergillus,blastomycosis,coccioidomycosis, histoplasmosis Septic emboli Lung abscess DIFFERENTIALS FOR MULTIPLE CAVITARY LESIONS
  • 13.
    TRAUMA Pulmonarycontusion Septic emboli Lung abscess GRANULOMATOUS, INFLAMMATORY DISORDERS Necrotizing sarcoid granulomatosis/lung Wegeners granulomatosis COLLAGEN VASCULAR DISORDERS Polyarteritis nodosa Rheumatoid lung disease VASCULAR DISORDERS Pulmonary infarction with cavitation NEOPLASTIC DISORDERS Lymphomas Metastatic lung disease carcinoma of lung
  • 14.
    LOOKING AT CAVITIES What is the anatomic distribution? Is It single or multiple? If multiple , are they focally located or diffusely seen in multiple lobes of both lungs? Is are the characteristics of the cavity? Is the cavity wall thick or thin? Is the interior lining nodular, shaggy, or smooth? Are there any other associated radiographic abnormalities?
  • 15.
    INVESTIGATIONS Urine routine-protein2+, 3-5 RBCs TC 13800 DC P66 L 32 E2 ESR 56mm/hr Platlets 1,45,000 Hb 12.8 g Urea -17 mg Creatinine 0.8 mg
  • 16.
    HIV – NRSPUTUM AFB negative Sputum c/s no growth RF – neg ANA – Neg CRP elevated ENT OPINION : Polyp from Lt middle meatus, VLS-normal
  • 17.
    FNAC OF ANODULE(CT GUIDED)
  • 18.
  • 19.
    POSSIBILITIES 1.WEGENER’S GRANULOMATOSIS2.PULMONARY LANGERHANS CELL HISTIOCYTOSIS
  • 20.
    P-ANCA … POSITIVEApproximately 90% of patients with active Wegener’s granulomatosis have a positive antiproteinase-3 ANCA. A small percentage of patients with Wegener’s granulomatosis may have antimyeloperoxidase rather than antiproteinase-3 antibodies.
  • 21.
    Points in favourRenal involvement P-ANCA positivity Radiolgical features Paranasal sinus involvement
  • 22.
    Wegener granulomatosisGranulomatous, necrotizing, small & medium vessel vasculitis Any age (40-55 yrs.) Frequency of 3 per 100,000 persons TRIAD RENAL -Microscopic hematuria, proteinuria, and rapidly progressive RF UPPER AIRWAYS- recurrent / nonresolving sinusitis, epistaxis, nasal septal perforation (saddle nose deformity) LOWER AIRWAY- subglottic stenosis. Single or multiple cavitating/noncavitating Pulmonary nodules or diffuse alveolar hemorrhage
  • 23.
    Wegener granulomatosisSkin rash, migratory arthritis Ocular involvement (scleritis, corneal ulceration,orbital dis.) Mononeuritis multiplex or CNS involvement with or without pachymeningitis ANCA (180pt., 96%with severe dis.,83%with limited dis.) Lung biopsy yield 91% of cases Upper airway biopsy yield only 21%of cases Renal biopsy:focal, segmental necrotizing, crescentic glomerulonephritis with few to no immune complexes
  • 24.
    ANCA ANCA playsa central role Antibodies directed against certain cytoplasmic proteins in neutrophils and monocytes Two major categories based on IF– C & P ANCA Present in high percentage in systemic vasculitis
  • 25.
    Kallenberg CGM et al. (2006) Mechanisms of Disease: pathogenesis and treatment of ANCA-associated vasculitides Nat Clin Pract Rheumatol 2: 661 – 670 doi:10.1038/ ncprheum0355 Figure 1 Cytoplasmic components of ethanol-fixed neutrophils, stained by indirect immunofluorescence, in a serum sample from a patient with active Wegener's granulomatosis and antineutrophil cytoplasmic autoantibodies to proteinase 3
  • 26.
    RENO-PULMONARY SYNDROMES 1.ANTI-GBMANTIBODIES: Goodpasture’s syndrome 2.ANCA-POSITIVE VASCULITIS Wegener’s granulomatosis Microscopic polyangiitis Churg–Strauss syndrome 3.ANCA-NEGATIVE VASCULITIS Henoch–Schönlein purpura Mixed cryoglobulinaemia Behçet’s disease IgA nephropathy 4.INFECTIONS 5.DRUGS Propylthiouracil D-Penicillamine Hydralazine Allopurinol 6.RHEUMATIC DISEASES (immune complexes) Systemic lupus erythematosus Scleroderma Polymyositis Rheumatoid arthritis Mixed collagen vascular disease
  • 27.