Chronic leukemias &Chronic leukemias &
Myeloproliferative disordersMyeloproliferative disorders
- Chronic leukemia lymphoid malignancies- Chronic leukemia lymphoid malignancies
- Chronic myeloid leukemia- Chronic myeloid leukemia
- Myelofibrosis- Myelofibrosis
Dr.CSBR.Prasad, M.D.
Differences –Differences –
Acute and Chronic leukemiasAcute and Chronic leukemias
Feature Acute leukemia Chronic leukemia
TLC Vary Elevated - always
HGB Anemia Normal / Anemia
Platelet count Low - always Normal / Elevated
Blasts 20% or more Absent or 1-2%
Leukemia / Lymphoma
• Leukemia (Blood & BM)
• Lymphoma (Solid tissue)
• Lymphoma / Leukemia
(Solid tissue + Blood & BM)
Chronic leukemia lymphoidChronic leukemia lymphoid
malignanciesmalignancies
• B cell CLL
• B cell Prolymphocytic Leukemia (B-PLL)
• T cell Prolymphocytic Leukemia (T-PLL)
• Hairy cell leukemia
• Large granular lymphocytic leukemia (LGLL)
• Sezary syndrome
Chronic lymphocytic leukemia /Chronic lymphocytic leukemia /
Small Lymphocytic LymphomaSmall Lymphocytic Lymphoma
CLL / SLLCLL / SLL
CLL / SLLCLL / SLL
• Peripheral B-Cell Neoplasms
• 4% of all NHLs
• Diagnostic requirement for CLL:
Sustained Absolute lymphocyte count
=/>5000 per mm3
Criteria for diagnosis of CLL
A International CLL workshop (1989) criteria
1-Sustained lymphocyte count of 5000 cells/cumm – mature lymphocytes
2-BM >30% lymphoctytes
3-B-cell phenotype
Diagnosis
Criterion 1+Criterion 2 or 3 OR
If count is <10,000 then criteria 2+3 must be present
B The NCI-WG (1996) criteria
1-Lymphocyte count >5000/cumm with <55% atypical cells. The cells should
have
B-cell Ags CD19, 20, 23
CD 5 positivity
Kappa or Lambda sIg
Low density sIg
2-BM >30% lymphcoytes
CLL / SLL –CLL / SLL – Clinical featuresClinical features
• Older age group >60yrs
• M:F=2:1
• Painless lymphadenopathy
• Autoimmune hemolytic anemia
• Hepatosplenomegaly
CLL – Blood & BMCLL – Blood & BM
• Small lymphocytes
• No nucleoli
• Smudge / basket cells
• Prolymphocytes (having Nucleoli) <2%
• Nodular / diffuse infiltrates in the BM
• CD 5, 19, 20 +
• Low level expression of sIg
• CD 10 and cyclin D1 invariably negative
• Trisomy 12
• Richter’s transformation
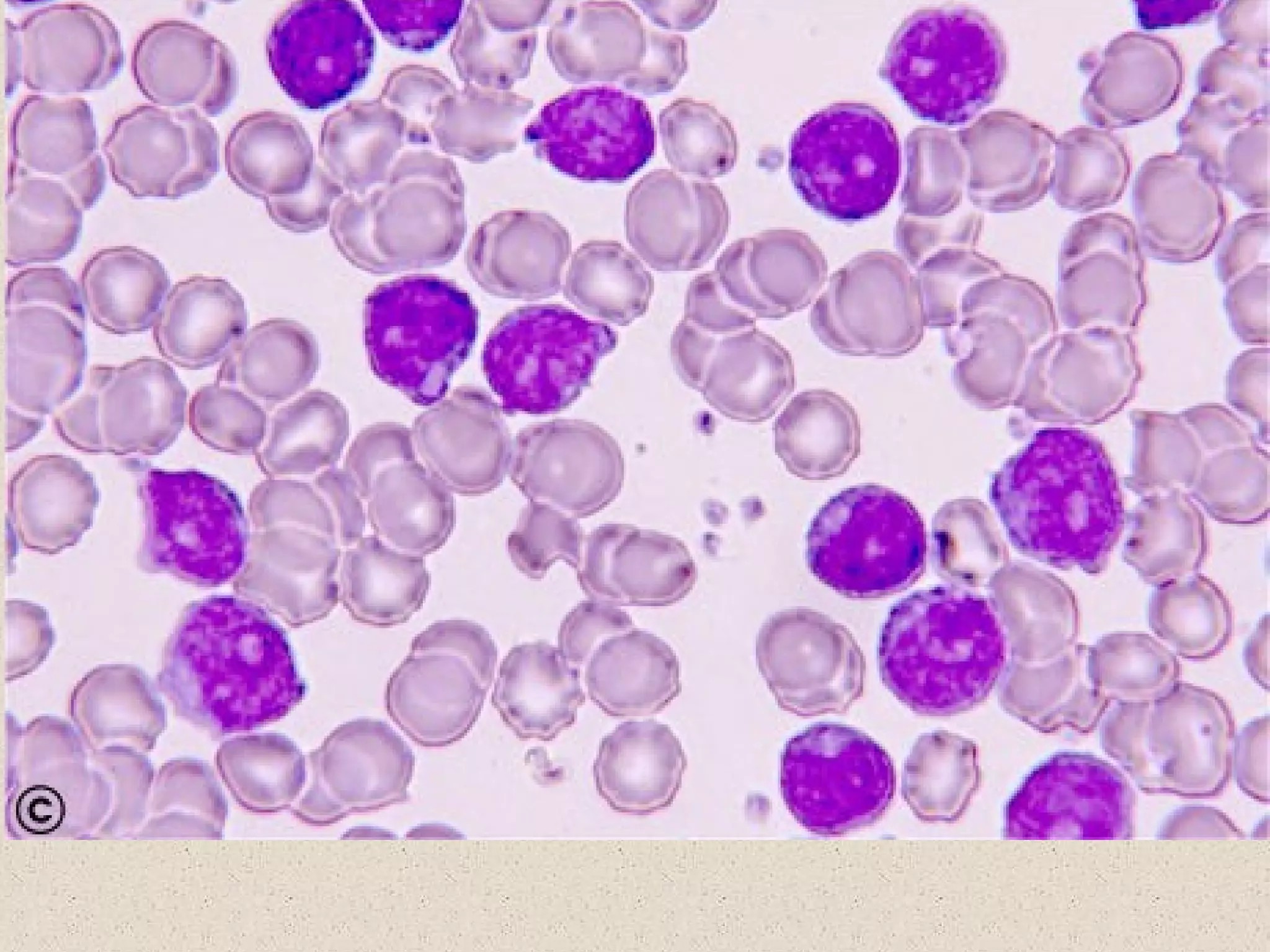
B-CELL CLLB-CELL CLL
Blood smear from an adult male with
a marked lymphocytosis. The
predominant lymphocytes have very
sparse pale cytoplasm, round to
slightly oval nuclei, and no evident
nucleoli. Three damaged cells are
present. This morphology is
characteristic of the majority of cases
of B CLL. (Wright-Giemsa stain)
These mature lymphocytes are increased markedly in number. They are indicative of
chronic lymphocytic leukemia, a disease most often seen in older adults. This disease
responds poorly to treatment, but it is indolent.
B-CELL CLL, MIXED CELL TYPEB-CELL CLL, MIXED CELL TYPE
Blood smear from a man with recently
diagnosed B CLL and a leukocyte count
of 175x109/L. There is variability in the
size of the lymphocytes. The larger cells
have abundant pale cytoplasm. Some
cells have nucleoli that are not
prominent. One cell has features of a
prolymphocyte. (Wright-Giemsa stain)
B-CELL CHRONIC LYMPHOCYTIC LEUKEMIA: TRISOMY 12
Karyotype of a lymphocyte from a patient with B CLL showing an extra copy of
chromosome 12. (G-banded, Wright-Giemsa stained)
Lymphnode / Liver / SpleenLymphnode / Liver / Spleen
Morphology:
• Lymph nodes are diffusely effaced by an
infiltrate of predominantly small
lymphocytes
• Proliferation centers: Pathognomonic for
CLL/SLL
• Nodular / diffuse infiltrates in the BM
• Infiltrates are also virtually always seen in
the splenic white and red pulp and the
hepatic portal tracts
LN – Proliferation centers
SLL / CLL involving the liver
These infiltrates in the liver are composed of small lymphocytes. The involvement of
tissues in cases of chronic lymphocytic leukemia (CLL) is known as small lymphocytic
lymphoma (SLL). This disease, CLL/SLL, has an indolent course.
CHRONIC LYMPHOCYTIC
LEUKEMIA:
RICHTER TRANSFORMATION
A marrow biopsy from a patient with a
history of B CLL with a recent onset of
weight loss and fatigue. The marrow
biopsy shows a large focus of
pleomorphic cells which reacted with
B-cell antibodies. The large cells are
partially encircled by small
lymphocytes. (Hematoxylin and eosin
stain)
Molecular PathogenesisMolecular Pathogenesis
• Common: del of 13q14.3, 11q, and 17p
• Trisomy 12
• Deletions on Chr 13: Implicated two
microRNAs, miR-15a and miR-16-1, as
possible tumor suppressor genes
Course and Prognosis
• Indolent disease, incurable
• Variable and depends on the clinical stage.
• Median survival: 4 - 6 years, but over 10 years in
individuals with minimal tumor burden
• Worse outcome seen in:
– the presence of deletions of 11q and 17p,
– a lack of somatic hypermutation, and
– the expression of ZAP-70, a protein that augments signals
produced by the Ig receptor
• Patients are generally treated with “gentle”
chemotherapy to control symptoms
Target Tx
Immunotherapy with antibodies
against CD20CD20 and CD52CD52, is finding
increasing use
Staging
• Rai staging
– Lymphocytosis
– Splenomegaly
– Lymphadenopathy
– Anemia
– Thrombocytopenia
• Binet staging
HAIRY CELL LEUKEMIAHAIRY CELL LEUKEMIA
HAIRY CELL LEUKEMIAHAIRY CELL LEUKEMIA
• B cell leukemia
• Middle age
• Men 7x
• Massive splenomegaly
• No lymphadenopathy
HAIRY CELL LEUKEMIAHAIRY CELL LEUKEMIA
• B cell neoplasm
• Extensive BM involvement - PANCYTOPENIA
• Monocytopenia – Susceptible to TB
• Hairy cells
• BM – “fried egg” appearance of cells
• BM – islands of neoplastic cells surrounded by
fibrosis – BM aspiration results in DRY TAP
• Flow cytometry: CD 19, 20, 22, 25, 103, 11c
• TRAP is positive
Hairy cellsHairy cells
HAIRY CELL LEUKEMIAHAIRY CELL LEUKEMIA
Spleen:
• Marked expansion of red pulp
• “Fried egg” appearance
• Pseudosinuses (Red cell lakes in between tumor
cells)
HAIRY CELL LEUKEMIAHAIRY CELL LEUKEMIA
• Indolent disease
• Long standing remissions with:
– 2-Chlorodeoxyadenosine (2-CDA/Cladribine)
– Deoxycofromycin (Pentostatin)
OTHERSOTHERS
Prolymphocytic LeukemiaProlymphocytic Leukemia
B cell PLLB cell PLL
• 70% PLL are B cell origin
• Aggressive leukemia
• Males 4x
• May develop de novo or from CLL
• DD: CLL Vs PLL
– PLL marked splenomegaly
– PLL minimal lymphadenopathy
– Prolymphocytes #
• <10% in CLL
• >55% in PLL
• Note: cases in between 10&55% are CLL/PLL. Course is
unpredictable
B cell PLLB cell PLL
DD: CLL Vs PLL
– PLL marked splenomegaly
– PLL minimal lymphadenopathy
– Prolymphocytes #
• <10% in CLL
• >55% in PLL
• Note: cases in between 10&55% are CLL/PLL. Course is
unpredictable
• Strong sIg, CD20, 22, FMC-7
• CD 23-
• Trisomy12, 14q+, 6q-, p53 mutation.
B cell PLLB cell PLL
• Absolute lymphocytosis
• Anemia
• Thrombocytopenia
• Large granular lymphocytes
T cell PLLT cell PLL
• Aggressive (survival 7months)
• Marked lymphocytosis
• Lymphadenopathy / hepatomegaly
• Skin lesions
• T cell PLL:
– Prominent nucleolus
– Convoluted nucleus
• CD 2, 3, 4, 5, 7+ TdT-
• Inv14, 11q-, trisomy 8q
• Target Tx: anti-CD 52 (CAMPATH)
LARGE GRANULARLARGE GRANULAR
LYMPHOCYTIC LEUKEMIALYMPHOCYTIC LEUKEMIA
LGL LeukemiaLGL Leukemia
LGL LeukemiaLGL Leukemia
• T cell neoplasm
• Large granular lymphocytes
• >15% of lymphocytes
• NK like T cells (CD3+) or NK cells (CD3-)
• DD: Reactive lymphocytosis
• By molecular diagnostics or
• By cytogenetics
LGL LeukemiaLGL Leukemia
Two types:
–T cell type [80%]
[CD 2,3,5,7,8,16, 56+ & 4, 57-]
–NK cell type
LGL LeukemiaLGL Leukemia
T cell type
• 80%
• >50yrs
• T-LGLL may have anemia, neutropenia,
thrombocytopenia
• Lymphadenopathy and hepatomegaly –
uncommon
• 25% of patients may have Rhe.arthritis
• Indolent course (10yr survival >80%)
• CD 2,3,5,7,8,16, 57+ & 4, 56-
LGL LeukemiaLGL Leukemia
NK cell type
• 20%
• ~40yrs
• Presentation is like acute leukemia
• Fever and hepatosplenomegaly
• Neutropenia is rare
• 25% of patients may have Rhe.arthritis
• Felty’s syndrome
• Aggressive (Death with in 2months)
• CD 2,7,16, 56+ & 3,4,8,57-
Chronic Myeloid LeukemiaChronic Myeloid Leukemia
CMLCML
Chronic Myeloid LeukemiaChronic Myeloid Leukemia
CMLCML
Def:
CML is a myeloproliferative disorder
originating from an abnormal
pluripotent stem cell and
It’s associated consistently with
Philadelphia chromosome (Ph’) and
or BCR/ABL fusion gene.
Chronic Myeloid LeukemiaChronic Myeloid Leukemia
CMLCML
Chronic myeloid leukemia (CML) is
distinguished from other
myeloproliferative disorders by the
presence of a chimeric BCR-ABL
gene derived from portions of the
BCR gene on chromosome 22 and
the ABL gene on chromosome 9.
CML – Clinical featuresCML – Clinical features
• 15-20% of leukemias
• 5th
& 6th
decade, can occur at any age
• More common in males
• Blood and BM is primarily involved
• Most of the patients are asymptomatic
• Night sweats, wt loss, anemia
• Massive splenomegaly
• Left quadrant abdominal pain
Hypermetabolism due
to increased cell
turnover
Chronic Myeloid LeukemiaChronic Myeloid Leukemia
CMLCML
Remember
CML is a disease of “One MillionOne Million”
Parameter Interpretation
One million RBCs Anemia
One million WBCs Leucocytosis
One million PLTs Thrombocytosis
CMLCML
• White count 170k
• Predominant cells are myelocytes and segmented
neutrophils
• Blast count <2%
• Basophilia
• Eosinophilia
• PLT count usually increased (1000k)
• Mild anemia
• BM: blasts <5%, paratrabacular polys 5-10 cell thick
CMLCML
Phases
1-Chronic phase (CML- CP)
2-Accelarated phase (CML- AP)
3-Blast phase (CML- BP)
CML - APCML - AP
• Blasts 10-19% in blood / BM
• Basophilia >20%
• Thrombocytopenia not related to Tx
• Increasing spleen size despite Tx
• Cytogenetic evidence of clonal
evolution
Note: for diagnosis, one or more the above
findings should be present
Cytochemistry and
immunophenotyping
• CML – CP markedly <NAP (LAP) score
• CML – BP may show markers of myeloid
(CD 13, 33), monocytic (CD 15, lysozyme),
MKc (CD41, 61) or erythroid (glcophorin-A,
HGB-A)
• Lymphoblastic blast phase will express
lymphoid markers (CD10,19,34 TdT et.c.)
• In 90-95% of cases - Characteristic t(9,22)
(q34; q11) (Ph’)
Philadelphia chromosome Ph’Ph’
• t(9,22)(q34; q11)
• Fuses BCR gene on chr# 22 with
ABL gene on chr# 9
• Others may have variations in translocation
involving other chromosomes 3, 4 in addition to 9
& 22
• BCR (on 22), break occurs in
major BCR (fusion protein p210)
µ BCR (fusion protein p 190)
m BCR (fusion protein p 230)
• Products has Tyrosine kinase activity
• Philadelphia chromosome is #22
Prognosis
• Age at diagnosis
• Spleen size
• # of blasts and basophils in BM
• Marrow fibrosis
Tx:
Imatinib
Allogenic BM transplantation
This is a markedly enlarged spleen (the ruler is 15 cm long). Such massive
splenomegaly is usually indicative of some myeloproliferative disease such as chronic
myelogenous leukemia or myelofibrosis. There are subcapsular yellow-tan infarcts.
Congestive splenomegaly (as with portal hypertension in cirrhosis of the liver)
is unlikely to increase the size of the spleen over 800 gm. A spleen >1000 gm
suggests a myeloproliferative, lymphoproliferative, or hematopoietic disorder.
Splenic rupture results most often from blunt abdominal trauma. Seen here are two
large capsular lacerations in a patient who was involved in a motor vehicle accident.
Note the hematoma resulting from the splenic rupture. Enlargement of the spleen from
a condition such as malaria may render the spleen prone to rupture even with minor
trauma.
The CBC here is from a patient with CML. Note the markedly increased WBC count.
740
CML case-1 Thrombocytosis Blood smear, May-Giemsa
stain, x400
There are numerous granulocytic forms seen here, including immature myeloid cells
and bands. This condition is one of the myeloproliferative states and is known as
chronic myelogenous leukemia (CML) that is most prevalent in middle-aged adults. A
useful test to help distinguish this disease is the leukocyte alkaline phosphatase (LAP)
score, which should be low with CML and high with a leukemoid reaction.
Here is another view of a peripheral blood smear in a patient with CML. Often, the
numbers of basophils and eosinophils, as well as bands and more immature myeloid
cells (metamyelocytes and myelocytes) are increased. Unlike AML, there are not many
blasts with CML.
CML case-2 BLAST CRISIS (Myeloid) Blood smear, MGG stain, x200
CML case-2 BLAST CRISIS (Myeloid) Blood smear,
May-Giemsa stain, 1000x
A characteristic finding in CMLA characteristic finding in CML
Presence of scattered macrophages with
abundant wrinkled, green-blue cytoplasm
so-called sea-blue histiocytes
Myeloid cells of CML are also characterized by the Philadelphia chromosome (Ph1) on karyotyping. This
is a translocation of a portion of the q arm of chromosome 22 to the q arm of chromosome 9, designated
t(9:22). This translocation brings the c-abl proto-oncogene on chromosome 9 in approximation with the
bcr (breakpoint cluster) gene on chromosome 22. The hybrid bcr-c-abl gene encodes a tyrosine kinase
that has growth promoting effects through nuclear stimulation.
FISH technique is diagrammed above with interphase nuclei. In the left panel, probes specific for the breakpoint regions
of chromosome 8(q22) in green and chromosome 21(q22) in red identify a translocation t(8;21) in a patient with acute
myelogenous leukemia. In the center panel, probes to chromosomes 11 (green) and 13 (red) identify a deletion of 11q23
in a patient with small lymphocytic lymphoma. In the right panel, a red fluorescent tag to the BCR gene of chromosome
22 and a green tag to the ABL gene of chromosome 9 are seen, but the yellow dot identifies the abnormal BCR-ABL
fusion gene in a case of chronic myelogenous leukemia with the "Philadelphia chromosome".
AML t(8,21) SLL del 11q CML BCR-ABL fusion
Ph’
CML / CLL
• CML -- Women in beach
• CLL -- Children in convent
Here is another view of a peripheral blood smear in a patient with CML. Often, the
numbers of basophils and eosinophils, as well as bands and more immature myeloid
cells (metamyelocytes and myelocytes) are increased. Unlike AML, there are not many
blasts with CML.
B-CELL CHRONIC LYMPHOCYTIC
LEUKEMIA
Blood smear from an adult male with
a marked lymphocytosis. The
predominant lymphocytes have very
sparse pale cytoplasm, round to
slightly oval nuclei, and no
evident nucleoli. Three damaged cells
are present. This morphology is
characteristic of the majority of cases
of B CLL. (Wright-Giemsa stain)
CMLCML CLLCLL
The Philadelphia chromosomeThe Philadelphia chromosome
in CML and ALLin CML and ALL
References
• Clinical laboratory hematology by
McKenzie 2nd
Edition.
• Robbin’s pathologic basis of disease 8th
Edition.

Chronic leukemias csbrp

  • 1.
    Chronic leukemias &Chronicleukemias & Myeloproliferative disordersMyeloproliferative disorders - Chronic leukemia lymphoid malignancies- Chronic leukemia lymphoid malignancies - Chronic myeloid leukemia- Chronic myeloid leukemia - Myelofibrosis- Myelofibrosis Dr.CSBR.Prasad, M.D.
  • 2.
    Differences –Differences – Acuteand Chronic leukemiasAcute and Chronic leukemias Feature Acute leukemia Chronic leukemia TLC Vary Elevated - always HGB Anemia Normal / Anemia Platelet count Low - always Normal / Elevated Blasts 20% or more Absent or 1-2%
  • 3.
    Leukemia / Lymphoma •Leukemia (Blood & BM) • Lymphoma (Solid tissue) • Lymphoma / Leukemia (Solid tissue + Blood & BM)
  • 4.
    Chronic leukemia lymphoidChronicleukemia lymphoid malignanciesmalignancies • B cell CLL • B cell Prolymphocytic Leukemia (B-PLL) • T cell Prolymphocytic Leukemia (T-PLL) • Hairy cell leukemia • Large granular lymphocytic leukemia (LGLL) • Sezary syndrome
  • 5.
    Chronic lymphocytic leukemia/Chronic lymphocytic leukemia / Small Lymphocytic LymphomaSmall Lymphocytic Lymphoma CLL / SLLCLL / SLL
  • 6.
    CLL / SLLCLL/ SLL • Peripheral B-Cell Neoplasms • 4% of all NHLs • Diagnostic requirement for CLL: Sustained Absolute lymphocyte count =/>5000 per mm3
  • 7.
    Criteria for diagnosisof CLL A International CLL workshop (1989) criteria 1-Sustained lymphocyte count of 5000 cells/cumm – mature lymphocytes 2-BM >30% lymphoctytes 3-B-cell phenotype Diagnosis Criterion 1+Criterion 2 or 3 OR If count is <10,000 then criteria 2+3 must be present B The NCI-WG (1996) criteria 1-Lymphocyte count >5000/cumm with <55% atypical cells. The cells should have B-cell Ags CD19, 20, 23 CD 5 positivity Kappa or Lambda sIg Low density sIg 2-BM >30% lymphcoytes
  • 8.
    CLL / SLL–CLL / SLL – Clinical featuresClinical features • Older age group >60yrs • M:F=2:1 • Painless lymphadenopathy • Autoimmune hemolytic anemia • Hepatosplenomegaly
  • 9.
    CLL – Blood& BMCLL – Blood & BM • Small lymphocytes • No nucleoli • Smudge / basket cells • Prolymphocytes (having Nucleoli) <2% • Nodular / diffuse infiltrates in the BM • CD 5, 19, 20 + • Low level expression of sIg • CD 10 and cyclin D1 invariably negative • Trisomy 12 • Richter’s transformation
  • 10.
    B-CELL CLLB-CELL CLL Bloodsmear from an adult male with a marked lymphocytosis. The predominant lymphocytes have very sparse pale cytoplasm, round to slightly oval nuclei, and no evident nucleoli. Three damaged cells are present. This morphology is characteristic of the majority of cases of B CLL. (Wright-Giemsa stain)
  • 11.
    These mature lymphocytesare increased markedly in number. They are indicative of chronic lymphocytic leukemia, a disease most often seen in older adults. This disease responds poorly to treatment, but it is indolent.
  • 12.
    B-CELL CLL, MIXEDCELL TYPEB-CELL CLL, MIXED CELL TYPE Blood smear from a man with recently diagnosed B CLL and a leukocyte count of 175x109/L. There is variability in the size of the lymphocytes. The larger cells have abundant pale cytoplasm. Some cells have nucleoli that are not prominent. One cell has features of a prolymphocyte. (Wright-Giemsa stain)
  • 13.
    B-CELL CHRONIC LYMPHOCYTICLEUKEMIA: TRISOMY 12 Karyotype of a lymphocyte from a patient with B CLL showing an extra copy of chromosome 12. (G-banded, Wright-Giemsa stained)
  • 14.
    Lymphnode / Liver/ SpleenLymphnode / Liver / Spleen Morphology: • Lymph nodes are diffusely effaced by an infiltrate of predominantly small lymphocytes • Proliferation centers: Pathognomonic for CLL/SLL • Nodular / diffuse infiltrates in the BM • Infiltrates are also virtually always seen in the splenic white and red pulp and the hepatic portal tracts
  • 15.
  • 16.
    SLL / CLLinvolving the liver
  • 17.
    These infiltrates inthe liver are composed of small lymphocytes. The involvement of tissues in cases of chronic lymphocytic leukemia (CLL) is known as small lymphocytic lymphoma (SLL). This disease, CLL/SLL, has an indolent course.
  • 18.
    CHRONIC LYMPHOCYTIC LEUKEMIA: RICHTER TRANSFORMATION Amarrow biopsy from a patient with a history of B CLL with a recent onset of weight loss and fatigue. The marrow biopsy shows a large focus of pleomorphic cells which reacted with B-cell antibodies. The large cells are partially encircled by small lymphocytes. (Hematoxylin and eosin stain)
  • 19.
    Molecular PathogenesisMolecular Pathogenesis •Common: del of 13q14.3, 11q, and 17p • Trisomy 12 • Deletions on Chr 13: Implicated two microRNAs, miR-15a and miR-16-1, as possible tumor suppressor genes
  • 20.
    Course and Prognosis •Indolent disease, incurable • Variable and depends on the clinical stage. • Median survival: 4 - 6 years, but over 10 years in individuals with minimal tumor burden • Worse outcome seen in: – the presence of deletions of 11q and 17p, – a lack of somatic hypermutation, and – the expression of ZAP-70, a protein that augments signals produced by the Ig receptor • Patients are generally treated with “gentle” chemotherapy to control symptoms
  • 21.
    Target Tx Immunotherapy withantibodies against CD20CD20 and CD52CD52, is finding increasing use
  • 22.
    Staging • Rai staging –Lymphocytosis – Splenomegaly – Lymphadenopathy – Anemia – Thrombocytopenia • Binet staging
  • 23.
  • 24.
    HAIRY CELL LEUKEMIAHAIRYCELL LEUKEMIA • B cell leukemia • Middle age • Men 7x • Massive splenomegaly • No lymphadenopathy
  • 25.
    HAIRY CELL LEUKEMIAHAIRYCELL LEUKEMIA • B cell neoplasm • Extensive BM involvement - PANCYTOPENIA • Monocytopenia – Susceptible to TB • Hairy cells • BM – “fried egg” appearance of cells • BM – islands of neoplastic cells surrounded by fibrosis – BM aspiration results in DRY TAP • Flow cytometry: CD 19, 20, 22, 25, 103, 11c • TRAP is positive
  • 26.
  • 28.
    HAIRY CELL LEUKEMIAHAIRYCELL LEUKEMIA Spleen: • Marked expansion of red pulp • “Fried egg” appearance • Pseudosinuses (Red cell lakes in between tumor cells)
  • 29.
    HAIRY CELL LEUKEMIAHAIRYCELL LEUKEMIA • Indolent disease • Long standing remissions with: – 2-Chlorodeoxyadenosine (2-CDA/Cladribine) – Deoxycofromycin (Pentostatin)
  • 31.
  • 32.
  • 33.
    B cell PLLBcell PLL • 70% PLL are B cell origin • Aggressive leukemia • Males 4x • May develop de novo or from CLL • DD: CLL Vs PLL – PLL marked splenomegaly – PLL minimal lymphadenopathy – Prolymphocytes # • <10% in CLL • >55% in PLL • Note: cases in between 10&55% are CLL/PLL. Course is unpredictable
  • 34.
    B cell PLLBcell PLL DD: CLL Vs PLL – PLL marked splenomegaly – PLL minimal lymphadenopathy – Prolymphocytes # • <10% in CLL • >55% in PLL • Note: cases in between 10&55% are CLL/PLL. Course is unpredictable • Strong sIg, CD20, 22, FMC-7 • CD 23- • Trisomy12, 14q+, 6q-, p53 mutation.
  • 35.
    B cell PLLBcell PLL • Absolute lymphocytosis • Anemia • Thrombocytopenia • Large granular lymphocytes
  • 36.
    T cell PLLTcell PLL • Aggressive (survival 7months) • Marked lymphocytosis • Lymphadenopathy / hepatomegaly • Skin lesions • T cell PLL: – Prominent nucleolus – Convoluted nucleus • CD 2, 3, 4, 5, 7+ TdT- • Inv14, 11q-, trisomy 8q • Target Tx: anti-CD 52 (CAMPATH)
  • 38.
    LARGE GRANULARLARGE GRANULAR LYMPHOCYTICLEUKEMIALYMPHOCYTIC LEUKEMIA LGL LeukemiaLGL Leukemia
  • 39.
    LGL LeukemiaLGL Leukemia •T cell neoplasm • Large granular lymphocytes • >15% of lymphocytes • NK like T cells (CD3+) or NK cells (CD3-) • DD: Reactive lymphocytosis • By molecular diagnostics or • By cytogenetics
  • 40.
    LGL LeukemiaLGL Leukemia Twotypes: –T cell type [80%] [CD 2,3,5,7,8,16, 56+ & 4, 57-] –NK cell type
  • 41.
    LGL LeukemiaLGL Leukemia Tcell type • 80% • >50yrs • T-LGLL may have anemia, neutropenia, thrombocytopenia • Lymphadenopathy and hepatomegaly – uncommon • 25% of patients may have Rhe.arthritis • Indolent course (10yr survival >80%) • CD 2,3,5,7,8,16, 57+ & 4, 56-
  • 42.
    LGL LeukemiaLGL Leukemia NKcell type • 20% • ~40yrs • Presentation is like acute leukemia • Fever and hepatosplenomegaly • Neutropenia is rare • 25% of patients may have Rhe.arthritis • Felty’s syndrome • Aggressive (Death with in 2months) • CD 2,7,16, 56+ & 3,4,8,57-
  • 46.
    Chronic Myeloid LeukemiaChronicMyeloid Leukemia CMLCML
  • 47.
    Chronic Myeloid LeukemiaChronicMyeloid Leukemia CMLCML Def: CML is a myeloproliferative disorder originating from an abnormal pluripotent stem cell and It’s associated consistently with Philadelphia chromosome (Ph’) and or BCR/ABL fusion gene.
  • 48.
    Chronic Myeloid LeukemiaChronicMyeloid Leukemia CMLCML Chronic myeloid leukemia (CML) is distinguished from other myeloproliferative disorders by the presence of a chimeric BCR-ABL gene derived from portions of the BCR gene on chromosome 22 and the ABL gene on chromosome 9.
  • 49.
    CML – ClinicalfeaturesCML – Clinical features • 15-20% of leukemias • 5th & 6th decade, can occur at any age • More common in males • Blood and BM is primarily involved • Most of the patients are asymptomatic • Night sweats, wt loss, anemia • Massive splenomegaly • Left quadrant abdominal pain Hypermetabolism due to increased cell turnover
  • 50.
    Chronic Myeloid LeukemiaChronicMyeloid Leukemia CMLCML Remember CML is a disease of “One MillionOne Million” Parameter Interpretation One million RBCs Anemia One million WBCs Leucocytosis One million PLTs Thrombocytosis
  • 51.
    CMLCML • White count170k • Predominant cells are myelocytes and segmented neutrophils • Blast count <2% • Basophilia • Eosinophilia • PLT count usually increased (1000k) • Mild anemia • BM: blasts <5%, paratrabacular polys 5-10 cell thick
  • 52.
    CMLCML Phases 1-Chronic phase (CML-CP) 2-Accelarated phase (CML- AP) 3-Blast phase (CML- BP)
  • 53.
    CML - APCML- AP • Blasts 10-19% in blood / BM • Basophilia >20% • Thrombocytopenia not related to Tx • Increasing spleen size despite Tx • Cytogenetic evidence of clonal evolution Note: for diagnosis, one or more the above findings should be present
  • 54.
    Cytochemistry and immunophenotyping • CML– CP markedly <NAP (LAP) score • CML – BP may show markers of myeloid (CD 13, 33), monocytic (CD 15, lysozyme), MKc (CD41, 61) or erythroid (glcophorin-A, HGB-A) • Lymphoblastic blast phase will express lymphoid markers (CD10,19,34 TdT et.c.) • In 90-95% of cases - Characteristic t(9,22) (q34; q11) (Ph’)
  • 55.
    Philadelphia chromosome Ph’Ph’ •t(9,22)(q34; q11) • Fuses BCR gene on chr# 22 with ABL gene on chr# 9 • Others may have variations in translocation involving other chromosomes 3, 4 in addition to 9 & 22 • BCR (on 22), break occurs in major BCR (fusion protein p210) µ BCR (fusion protein p 190) m BCR (fusion protein p 230) • Products has Tyrosine kinase activity • Philadelphia chromosome is #22
  • 57.
    Prognosis • Age atdiagnosis • Spleen size • # of blasts and basophils in BM • Marrow fibrosis Tx: Imatinib Allogenic BM transplantation
  • 58.
    This is amarkedly enlarged spleen (the ruler is 15 cm long). Such massive splenomegaly is usually indicative of some myeloproliferative disease such as chronic myelogenous leukemia or myelofibrosis. There are subcapsular yellow-tan infarcts. Congestive splenomegaly (as with portal hypertension in cirrhosis of the liver) is unlikely to increase the size of the spleen over 800 gm. A spleen >1000 gm suggests a myeloproliferative, lymphoproliferative, or hematopoietic disorder.
  • 59.
    Splenic rupture resultsmost often from blunt abdominal trauma. Seen here are two large capsular lacerations in a patient who was involved in a motor vehicle accident. Note the hematoma resulting from the splenic rupture. Enlargement of the spleen from a condition such as malaria may render the spleen prone to rupture even with minor trauma.
  • 61.
    The CBC hereis from a patient with CML. Note the markedly increased WBC count. 740
  • 62.
    CML case-1 ThrombocytosisBlood smear, May-Giemsa stain, x400
  • 63.
    There are numerousgranulocytic forms seen here, including immature myeloid cells and bands. This condition is one of the myeloproliferative states and is known as chronic myelogenous leukemia (CML) that is most prevalent in middle-aged adults. A useful test to help distinguish this disease is the leukocyte alkaline phosphatase (LAP) score, which should be low with CML and high with a leukemoid reaction.
  • 64.
    Here is anotherview of a peripheral blood smear in a patient with CML. Often, the numbers of basophils and eosinophils, as well as bands and more immature myeloid cells (metamyelocytes and myelocytes) are increased. Unlike AML, there are not many blasts with CML.
  • 65.
    CML case-2 BLASTCRISIS (Myeloid) Blood smear, MGG stain, x200
  • 66.
    CML case-2 BLASTCRISIS (Myeloid) Blood smear, May-Giemsa stain, 1000x
  • 67.
    A characteristic findingin CMLA characteristic finding in CML Presence of scattered macrophages with abundant wrinkled, green-blue cytoplasm so-called sea-blue histiocytes
  • 68.
    Myeloid cells ofCML are also characterized by the Philadelphia chromosome (Ph1) on karyotyping. This is a translocation of a portion of the q arm of chromosome 22 to the q arm of chromosome 9, designated t(9:22). This translocation brings the c-abl proto-oncogene on chromosome 9 in approximation with the bcr (breakpoint cluster) gene on chromosome 22. The hybrid bcr-c-abl gene encodes a tyrosine kinase that has growth promoting effects through nuclear stimulation.
  • 69.
    FISH technique isdiagrammed above with interphase nuclei. In the left panel, probes specific for the breakpoint regions of chromosome 8(q22) in green and chromosome 21(q22) in red identify a translocation t(8;21) in a patient with acute myelogenous leukemia. In the center panel, probes to chromosomes 11 (green) and 13 (red) identify a deletion of 11q23 in a patient with small lymphocytic lymphoma. In the right panel, a red fluorescent tag to the BCR gene of chromosome 22 and a green tag to the ABL gene of chromosome 9 are seen, but the yellow dot identifies the abnormal BCR-ABL fusion gene in a case of chronic myelogenous leukemia with the "Philadelphia chromosome". AML t(8,21) SLL del 11q CML BCR-ABL fusion Ph’
  • 70.
    CML / CLL •CML -- Women in beach • CLL -- Children in convent
  • 71.
    Here is anotherview of a peripheral blood smear in a patient with CML. Often, the numbers of basophils and eosinophils, as well as bands and more immature myeloid cells (metamyelocytes and myelocytes) are increased. Unlike AML, there are not many blasts with CML.
  • 72.
    B-CELL CHRONIC LYMPHOCYTIC LEUKEMIA Bloodsmear from an adult male with a marked lymphocytosis. The predominant lymphocytes have very sparse pale cytoplasm, round to slightly oval nuclei, and no evident nucleoli. Three damaged cells are present. This morphology is characteristic of the majority of cases of B CLL. (Wright-Giemsa stain)
  • 73.
  • 74.
    The Philadelphia chromosomeThePhiladelphia chromosome in CML and ALLin CML and ALL
  • 75.
    References • Clinical laboratoryhematology by McKenzie 2nd Edition. • Robbin’s pathologic basis of disease 8th Edition.

Editor's Notes

  • #6 For UG level CLL and Hairy cell leuekemia are important.
  • #7 Here define lymphoma and leukemia again before proceeding to CLL.
  • #8 Most affected patients have sufficient lymphocytosis to fulfill the diagnostic requirement for CLL (absolute lymphocyte count &amp;gt;4000 per mm3 .
  • #9 Most affected patients have sufficient lymphocytosis to fulfill the diagnostic requirement for CLL (absolute lymphocyte count &amp;gt;4500 per mm3 . Note: CD5 is a T-cell marker.
  • #12 B-CELL CHRONIC LYMPHOCYTIC LEUKEMIA Blood smear from an adult male with a marked lymphocytosis. The predominant lymphocytes have very sparse pale cytoplasm, round to slightly oval nuclei, and no evident nucleoli. Three damaged cells are present. This morphology is characteristic of the majority of cases of B CLL. (Wright-Giemsa stain) Brunning, RD and McKenna, RW. Tumors of the bone marrow. Atlas of Tumor Pathology, 3rd Series, Fascicle 9. Washington D.C.:Armed Forces Institute of Pathology, 1993. p.257.
  • #14 B-CELL CHRONIC LYMPHOCYTIC LEUKEMIA, MIXED CELL TYPE Blood smear from a man with recently diagnosed B CLL and a leukocyte count of 175x109/L. There is variability in the size of the lymphocytes. The larger cells have abundant pale cytoplasm. Some cells have nucleoli that are not prominent. One cell has features of a prolymphocyte. (Wright-Giemsa stain) Brunning, RD and McKenna, RW. Tumors of the bone marrow. Atlas of Tumor Pathology, 3rd Series, Fascicle 9. Washington D.C.:Armed Forces Institute of Pathology, 1993. p.258.
  • #15 B-CELL CHRONIC LYMPHOCYTIC LEUKEMIA: TRISOMY FOR CHROMOSOME 12 Karyotype of a lymphocyte from a patient with B CLL showing an extra copy of chromosome 12. (G-banded, Wright-Giemsa stained) Brunning, RD and McKenna, RW. Tumors of the bone marrow. Atlas of Tumor Pathology, 3rd Series, Fascicle 9. Washington D.C.:Armed Forces Institute of Pathology, 1993. p.264.
  • #16 Morphology. Lymph nodes are diffusely effaced by an infiltrate of predominantly small lymphocytes 6 to 12 μm in diameter with round to slightly irregular nuclei, condensed chromatin, and scant cytoplasm ( Fig. 13-7 ). Admixed are variable numbers of larger activated lymphocytes that often gather in loose aggregates referred to as proliferation centers, which contain mitotically active cells. When present, proliferation centers are pathognomonic for CLL/SLL. The blood contains large numbers of small round lymphocytes with scant cytoplasm ( Fig. 13-8 ). Some of these cells are usually disrupted in the process of making smears, producing so-called smudge cells. The bone marrow is almost always involved by interstitial infiltrates or aggregates of tumor cells. Infiltrates are also virtually always seen in the splenic white and red pulp and the hepatic portal tracts
  • #17 Images taken form WHO classifiaction of tumors of hematopoietic and lymphoid tissue. And caption is from Robbin’s path 8th Ed. FIGURE 13-7  Small lymphocytic lymphoma/chronic lymphocytic leukemia (lymph node). A, Low-power view shows diffuse efface-ment of nodal architecture. B, At high power the majority of the tumor cells are small round lymphocytes. A “prolymphocyte,” a larger cell with a centrally placed nucleolus, is also present in this field (arrow).  (A, Courtesy of Dr. José Hernandez, Department of Pathology, University of Texas Southwestern Medical School, Dallas, TX.)
  • #18 FIGURE 13-9  Small lymphocytic lymphoma/chronic lymphocytic leukemia involving the liver. Low-power view of a typical periportal lymphocytic infiltrate.  (Courtesy of Dr. Mark Fleming, Department of Pathology, Children&amp;apos;s Hospital, Boston, MA.)
  • #20 CHRONIC LYMPHOCYTIC LEUKEMIA: RICHTER TRANSFORMATION A marrow biopsy from a patient with a history of B CLL with a recent onset of weight loss and fatigue. The marrow biopsy shows a large focus of pleomorphic cells which reacted with B-cell antibodies. The large cells are partially encircled by small lymphocytes. (Hematoxylin and eosin stain) Brunning, RD and McKenna, RW. Tumors of the bone marrow. Atlas of Tumor Pathology, 3rd Series, Fascicle 9. Washington D.C.:Armed Forces Institute of Pathology, 1993. p.268.
  • #22 Variable and depends on the clinical stage. Overall median survival is 4 to 6 years, but over 10 years in individuals with minimal tumor burdens at diagnosis Other variables that correlate with a worse outcome include (1) the presence of deletions of 11q and 17p, (2) a lack of somatic hypermutation, and (3) the expression of ZAP-70, a protein that augments signals produced by the Ig receptor. Patients are generally treated with “gentle” chemotherapy to control symptoms.
  • #23 Immunotherapy with antibodies against proteins found on the surface of CLL/SLL cells, such as CD20 and CD52, is finding increasing use
  • #27 Hairy cells: They are only a few in the peripheral blood. Circumferential cytoplasmic projections - hairy processes. Nuclei are oval / reniform with relatively fine chromatin. B-cell markers CD 19, 20 are strongly positive and other CD markers include 22, 25, 103 &amp;11c are also positive.
  • #30 Hairy cells: They are only a few in the peripheral blood. Circumferential cytoplasmic projections - hairy processes. Nuclei are oval / reniform with relatively fine chromatin. B-cell markers CD 19, 20 are strongly positive and other CD markers include 22, 25, 103 &amp;11c are also positive.
  • #32 Fried egg appearance.
  • #37 Large granular lymphocytes: Large cells with moderate amounts of pale blue cytoplasm and azorophilic granules. Nuclear chromatin is condensed and have single prominent nucleolus.
  • #38 Large granular lymphocytes: Large cells with moderate amounts of pale blue cytoplasm and azorophilic granules. Nuclear chromatin is condensed and have single prominent nucleolus.
  • #45 [LARGE GRANULAR LYMPHOCYTIC LEUKEMIA, T-CELL TYPE]. Large granular lymphocytic (LGL) leukemia, T-cell type (LGL-T) is generally an indolent chronic lymphoproliferative disorder most commonly seen in adults with unexplained anemia and /or neutropenia. The disease always involves blood and bone marrow and also commonly involves spleen and liver. This marrow shows many small-appearing lymphocytes (5 are shown with arrows) that contain granules. At this magnification granules may not be apparent in all cells. Note that some cells have indented nuclear lobes and may appear dumbbell-shaped.
  • #46 [LARGE GRANULAR LYMPHOCYTIC LEUKEMIA, T-CELL TYPE]. A higher magnification shows a large granular lymphocyte with cytoplasmic granules. Note that the large granular lymphocyte appears “small” in a bone marrow aspirate smear in contrast to larger appearance on a blood smear.
  • #47 [LARGE GRANULAR LYMPHOCYTIC LEUKEMIA, T-CELL TYPE]. Higher magnification of the core biopsy –BM- shows numerous small irregular lymphocytes present in a small cluster. Note that LGL cells in the core biopsy are often irregular with oval to elongated nuclei but are otherwise indistinguishable from other low grade B and T-cell lymphoproliferative disorders.
  • #49 Chronic myeloid leukemia (CML) is distinguished from other myeloproliferative disorders by the presence of a chimeric BCR-ABL gene derived from portions of the BCR gene on chromosome 22 and the ABL gene on chromosome 9.
  • #50 Chronic myeloid leukemia (CML) is distinguished from other myeloproliferative disorders by the presence of a chimeric BCR-ABL gene derived from portions of the BCR gene on chromosome 22 and the ABL gene on chromosome 9.
  • #57 The Philadelphia chromosome in CML and ALL: ============================== Q. I have a question about the Philadelphia chromosome. The Philadelphia chromosome is present in chronic myeloid leukemia. It’s also present in some case of precursor-B acute lymphoblastic leukemia. I guess I am assuming that the translocation will result in a similar gene product, but just in a different cell line. You mentioned that the Ph+ B-ALL in adults is a bad prognosis. I am wondering if this malignancy would be treated with imatinib, like CML, due to the drug targeting the specific protein that is formed (bcr-abl). If so, would there still be a bad prognosis? Thanks! A. Great question! You are correct: a t(9;22) translocation involving the bcr and abl genes occurs in both CML and rare cases of precursor-B ALL. In some of the cases of Ph+ ALL, the genetic mutation (and gene product) is exactly the same as it is in CML; in others the breakpoint is slightly different, and a slightly different fusion protein is produced (but it is still a mutant tyrosine kinase with presumably similar effects on the malignant cells). Most cases of Ph+ ALL occurring in children have this different fusion protein, whereas only half of the cases occurring in adults have this different fusion protein (the other half of the adult cases have exactly the same breakpoint and product as is present in CML). It doesn’t seem to have any effect on prognosis whether you have the same fusion protein as in CML or the slightly different one. You’re also correct that the genetic mutation occurs in different cell lines in each disease: in CML it is in the myeloid cell line, whereas in Ph+ ALL it is in the lymphoid cell line. One weird thing, though, is that in CML you can often find the Ph’ in lymphoid cells too. Strange. It indicates that the translocation between 9 and 22 occurs way back in a very early precursor stem cell, one that has not yet committed itself to the myeloid or lymphoid lineage. The occasional appearance of lymphoid blast crisis in CML indicates the same thing. We don’t see a similar picture in Ph+ ALL, though (there is no phase of the disease that involves myeloid cells). So perhaps in Ph+ ALL the translocation occurs in a lymphoid stem cell. As for the treatment, it appears that imatinib is useful in Ph+ ALL. It doesn’t appear to get the patients into a long-term remission like it does in CML, unfortunately. But it does help get the patient into at least a first remission so that they can go on to bone marrow transplant (the official way to say this is that it improves early event-free survival). So the prognosis has improved somewhat for Ph+ ALL – but the outcome is nothing like the miraculous outcome in CML. Prognosis for Ph+ ALL is still very poor, both for kids and adults – in fact, Ph+ ALL has the worst prognosis of all the types of ALL.
  • #61 Gleevec is a protein-tyrosine kinase inhibitor that inhibits the BCR-ABL tyrosine kinase created by philadelphia chromosome. It inhibits proliferation and induces apoptosis in BCR-ABL positive cell line .
  • #64 Splenectomy for CML.
  • #71 A characteristic finding is the presence of scattered macrophages with abundant wrinkled, green-blue cytoplasm so-called sea-blue histiocytes.
  • #72 Myeloid cells of CML are also characterized by the Philadelphia chromosome (Ph1) on karyotyping. This is a translocation of a portion of the q arm of chromosome 22 to the q arm of chromosome 9, designated t(9:22). This translocation brings the c-abl proto-oncogene on chromosome 9 in approximation with the bcr (breakpoint cluster) gene on chromosome 22. The hybrid bcr-c-abl gene encodes a tyrosine kinase that has growth promoting effects through nuclear stimulation.
  • #73 The fluorescent in situ hybridization (FISH) technique is diagrammed above with interphase nuclei. A specific DNA probe with a fluorescent tag identifies a specific region of a chromosome. Different colored fluorescent tags for probes allow identification of various abnormalities. In the left panel, probes specific for the breakpoint regions of chromosome 8(q22) in green and chromosome 21(q22) in red identify a translocation t(8;21) in a patient with acute myelogenous leukemia. In the center panel, probes to chromosomes 11 (green) and 13 (red) identify a deletion of 11q23 in a patient with small lymphocytic lymphoma. In the right panel, a red fluorescent tag to the BCR gene of chromosome 22 and a green tag to the ABL gene of chromosome 9 are seen, but the yellow dot identifies the abnormal BCR-ABL fusion gene in a case of chronic myelogenous leukemia with the &amp;quot;Philadelphia chromosome&amp;quot;.
  • #76 B-CELL CHRONIC LYMPHOCYTIC LEUKEMIA Blood smear from an adult male with a marked lymphocytosis. The predominant lymphocytes have very sparse pale cytoplasm, round to slightly oval nuclei, and no evident nucleoli. Three damaged cells are present. This morphology is characteristic of the majority of cases of B CLL. (Wright-Giemsa stain) Brunning, RD and McKenna, RW. Tumors of the bone marrow. Atlas of Tumor Pathology, 3rd Series, Fascicle 9. Washington D.C.:Armed Forces Institute of Pathology, 1993. p.257.
  • #79 Q. I have a question about the Philadelphia chromosome. The Philadelphia chromosome is present in chronic myeloid leukemia. It’s also present in some case of precursor-B acute lymphoblastic leukemia. I guess I am assuming that the translocation will result in a similar gene product, but just in a different cell line. You mentioned that the Ph+ B-ALL in adults is a bad prognosis. I am wondering if this malignancy would be treated with imatinib, like CML, due to the drug targeting the specific protein that is formed (bcr-abl). If so, would there still be a bad prognosis? Thanks! A. Great question! You are correct: a t(9;22) translocation involving the bcr and abl genes occurs in both CML and rare cases of precursor-B ALL. In some of the cases of Ph+ ALL, the genetic mutation (and gene product) is exactly the same as it is in CML; in others the breakpoint is slightly different, and a slightly different fusion protein is produced (but it is still a mutant tyrosine kinase with presumably similar effects on the malignant cells). Most cases of Ph+ ALL occurring in children have this different fusion protein, whereas only half of the cases occurring in adults have this different fusion protein (the other half of the adult cases have exactly the same breakpoint and product as is present in CML). It doesn’t seem to have any effect on prognosis whether you have the same fusion protein as in CML or the slightly different one. You’re also correct that the genetic mutation occurs in different cell lines in each disease: in CML it is in the myeloid cell line, whereas in Ph+ ALL it is in the lymphoid cell line. One weird thing, though, is that in CML you can often find the Ph’ in lymphoid cells too. Strange. It indicates that the translocation between 9 and 22 occurs way back in a very early precursor stem cell, one that has not yet committed itself to the myeloid or lymphoid lineage. The occasional appearance of lymphoid blast crisis in CML indicates the same thing. We don’t see a similar picture in Ph+ ALL, though (there is no phase of the disease that involves myeloid cells). So perhaps in Ph+ ALL the translocation occurs in a lymphoid stem cell. As for the treatment, it appears that imatinib is useful in Ph+ ALL. It doesn’t appear to get the patients into a long-term remission like it does in CML, unfortunately. But it does help get the patient into at least a first remission so that they can go on to bone marrow transplant (the official way to say this is that it improves early event-free survival). So the prognosis has improved somewhat for Ph+ ALL – but the outcome is nothing like the miraculous outcome in CML. Prognosis for Ph+ ALL is still very poor, both for kids and adults – in fact, Ph+ ALL has the worst prognosis of all the types of ALL.