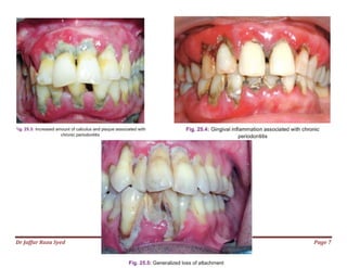
Dr Jaffar Raza Syed
Chronic Periodontitis
“Chronic Periodontitis is defined as an infectious disease
In inflammation within the supporting tissues of
to progressive attachment and bone loss
Chronic Periodontitis is defined as an infectious disease resulting
inflammation within the supporting tissues of the teeth leading
attachment and bone loss”
Page 1
resulting
the teeth leading
Dr Jaffar Raza Syed
CLASSIFICATION
• Localized  ≤ 30% of the sites are affected
• Generalized  > 30% of the sites are affected
≤ 30% of the sites are affected
> 30% of the sites are affected
Page 2
Dr Jaffar Raza Syed Page 3
Severity can be categorized on the basis of the amount of
Clinical attachment loss (CAL) as follows:
• Slight = 1 to 2 mm CAL
• Moderate = 3 to 4 mm CAL
• Severe ≥ 5 mm CAL
Dr Jaffar Raza Syed Page 4
Clinical Features
1. Age of onset is usually 30 to 35 years.
2. The disease is usually generalized, although some
areas are more deeply involved than the other areas.
3. No consistent pattern of distribution of lesion is seen,
except that they are usually not isolated to one or two
sites.
4. Highly acute inflammatory sites are not seen, mostly
gingiva appear to be slight to moderately swollen and
color may range from pale-red to magenta
Dr Jaffar Raza Syed Page 5
5. Loss of stippling, blunt or rolled gingival margins and
flattened or cratered papillae may be seen.
6. Spontaneous bleeding and inflammation related
exudate from the pockets may also be found.
7. When the pocket occludes it may result in abscess
formation.
8. Pocket depths are variable and both suprabony and
infrabony pockets can be found.
9. Conditions that enhance plaque accumulation like
open interdental contacts, defective restorative
margins and malposed teeth may be frequently seen.
Dr Jaffar Raza Syed Page 6
10. The amount of microbial deposits are consistent with
severity of the disease.
11. Tooth mobility is seen in advanced cases.
12. No serum neutrophil/monocyte abnormalities are seen
Dr Jaffar Raza Syed Page 7
Dr Jaffar Raza Syed Page 8
Microbiological Features
Causative organisms of chronic periodontitis are:
• Porphyromonas gingivalis (P. gingivalis)
• Prevotella intermedia (P. intermedia)
• Capnocytophaga
• A.actinomycetemcomitans (A.a)
• Eikenella corrodens (E. corrodens)
• Campylobacter rectus (C. rectus)
Dr Jaffar Raza Syed Page 9
Dr Jaffar Raza Syed Page 10
Treatment Considerations in Chronic Periodontitis
I. Non-surgical therapy
• Initial therapy (scaling and root planing)
• Antimicrobial therapy—as an adjunct to routine periodontal therapy
• Instructions, reinforcement, evaluation of plaque control records
• Removal of all the factors contributing to plaque accumulation, e.g. correction of
ill-fitting appliances, overcontoured crowns, overhanging restorations, etc.
II. Surgical therapy
1. Periodontal flap surgery
2. Pocket elimination procedures
3. Regenerative therapy including bone grafts and barrier membranes

025.chronic periodontitis

  • 1.
    Dr Jaffar RazaSyed Chronic Periodontitis “Chronic Periodontitis is defined as an infectious disease In inflammation within the supporting tissues of to progressive attachment and bone loss Chronic Periodontitis is defined as an infectious disease resulting inflammation within the supporting tissues of the teeth leading attachment and bone loss” Page 1 resulting the teeth leading
  • 2.
    Dr Jaffar RazaSyed CLASSIFICATION • Localized  ≤ 30% of the sites are affected • Generalized  > 30% of the sites are affected ≤ 30% of the sites are affected > 30% of the sites are affected Page 2
  • 3.
    Dr Jaffar RazaSyed Page 3 Severity can be categorized on the basis of the amount of Clinical attachment loss (CAL) as follows: • Slight = 1 to 2 mm CAL • Moderate = 3 to 4 mm CAL • Severe ≥ 5 mm CAL
  • 4.
    Dr Jaffar RazaSyed Page 4 Clinical Features 1. Age of onset is usually 30 to 35 years. 2. The disease is usually generalized, although some areas are more deeply involved than the other areas. 3. No consistent pattern of distribution of lesion is seen, except that they are usually not isolated to one or two sites. 4. Highly acute inflammatory sites are not seen, mostly gingiva appear to be slight to moderately swollen and color may range from pale-red to magenta
  • 5.
    Dr Jaffar RazaSyed Page 5 5. Loss of stippling, blunt or rolled gingival margins and flattened or cratered papillae may be seen. 6. Spontaneous bleeding and inflammation related exudate from the pockets may also be found. 7. When the pocket occludes it may result in abscess formation. 8. Pocket depths are variable and both suprabony and infrabony pockets can be found. 9. Conditions that enhance plaque accumulation like open interdental contacts, defective restorative margins and malposed teeth may be frequently seen.
  • 6.
    Dr Jaffar RazaSyed Page 6 10. The amount of microbial deposits are consistent with severity of the disease. 11. Tooth mobility is seen in advanced cases. 12. No serum neutrophil/monocyte abnormalities are seen
  • 7.
    Dr Jaffar RazaSyed Page 7
  • 8.
    Dr Jaffar RazaSyed Page 8 Microbiological Features Causative organisms of chronic periodontitis are: • Porphyromonas gingivalis (P. gingivalis) • Prevotella intermedia (P. intermedia) • Capnocytophaga • A.actinomycetemcomitans (A.a) • Eikenella corrodens (E. corrodens) • Campylobacter rectus (C. rectus)
  • 9.
    Dr Jaffar RazaSyed Page 9
  • 10.
    Dr Jaffar RazaSyed Page 10 Treatment Considerations in Chronic Periodontitis I. Non-surgical therapy • Initial therapy (scaling and root planing) • Antimicrobial therapy—as an adjunct to routine periodontal therapy • Instructions, reinforcement, evaluation of plaque control records • Removal of all the factors contributing to plaque accumulation, e.g. correction of ill-fitting appliances, overcontoured crowns, overhanging restorations, etc. II. Surgical therapy 1. Periodontal flap surgery 2. Pocket elimination procedures 3. Regenerative therapy including bone grafts and barrier membranes