By
Dr. Syed Jaffar
Raza
1
FURCATION Involvement
& its THERAPY
2
3
4
5
6
Definition
“Furcation defect : Term used to describe bone loss, usually a result of
periodontal disease, affecting the base of the root trunk of a tooth
where two or more roots meet.”
OR
“Invasion of bifurcation and trifurcation
of multi-rooted teeth by periodontal
Disease”
7
8
9
10
11
Classification
Horizantal
Component
involvement
Vertical
component
involvement
12
Hamp et al. (1975) classification
• Degree I: Horizontal loss of periodontal support not
exceeding 1/3 of the width of the tooth
• Degree II: Horizontal loss of periodontal support
exceeding 1/3 of the width of the tooth, but not
encompassing the total width of the furcation area
• Degree III: Horizontal "through and through" de-
struction of the periodontal tissues in the furcation
area
13
14
15
Glickman`s Classification
 Grade I:
 early stage of furcation involvement
 supra bony pocket
 increase probing depth due to early bone loss
 radiographic changes not found
 Grade II:
 cul-de-sac with definitely horizantal component
 portion of bone remain in the furcation region
 vertical bone loss may or may not be present.
16
Glickman`s Classification
 Grade III:
 bone is not attached to dome of furcation
 Complete loss of interadicular bone
 appearance of radiolucent area with pocket
formation
 Grade IV:
 loss of attachment and gingival recession
 furcation is clinically visible
 Probe passes easily through and through.
17
Glickman`s Classification
18
Diagnosis
• The following parameters should be recorded
to evaluate the amount of tissue loss in
periodontal disease and also to identify the
apical extension of the inflammatory lesion
 pocket depth (probing depth)
 attachment level (probing attachment
level)
 furcation involvement (
measured with nabers probe)
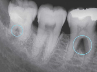
 Radiographs
Radiographs
periapical
bitewing
19
Pocket Depth
20
Nabers probe for furcation areas
21
Technique of Nabers Probe
22
Therapy
Furcation I
Scalling and
root planning
Furcation
plasty
Furcation II
Furcation
Plasty
Tunnel
preparation
RSR
GTR
Furcation III
Tunnel
preparation
RSR
Tooth
extration
23
Therapy
Objectives
Removal of the
Bacterial Plaque
Restoration of
Healthy anatomy
Of periodontium
24
25
26
27
Furcation plasty
• Tooth substance is removed (odontoplasty) and the alveolar
bone crest is remodeled (osteoplasty) at the level of the
furcation entrance
28
Furcation plasty procedure
 Reflection of soft tissue flap.
 Removal of the inflammatory soft tissue
 scaling and root planning of the exposed root surfaces.
 The removal of crown and root substance in the
furcation area (odontoplasty)
 The recontouring of the alveolar bone crest
(osteoplasty)
 positioning and the suturing of the mucosal
flaps at the level of the alveolar crest in order to
cover the furcation entrance with soft tissue.
29
Tunnel preparation
 Technique used to treat deep degree II and degree III
furcation defects in mandibular molars
 Following hard and soft tissue resection enough space
has been established in the furcation region to allow
access for cleaning devices to be used during self
performed plaque control
 The flaps are apically positioned
 The exposed root surfaces should be treated by
topical application of chlorhexidine digluconate and
fluoride varnish. Because of pronounced risk for root
sensitivity and for carious lesions developing on the
denuded root surfaces within artificially prepared
tunnels
30
Tunnel preparation
31
32
33
Root separation and resection (RSR)
 Root separation involves the sectioning of the root
complex and the maintenance of all roots.
 Root resection involves the sectioning and the
removal of one or two roots of a multirooted tooth.
 RSR is frequently used in cases of deep degree II
and degree III furcation involved molars.
34
35
36
Criteria for RSR
• The length of the root trunk
A tooth with a short root trunk is a good candidate for RSR;
• The divergence between the root cones
Roots with a short divergence are technically more difficult to separate
than roots which are wide apart
• The length and the shape of the root cones
Short and small root cones following separation tend to exhibit an
increased mobility
• Amount of remaining support around individual roots
This should be determined by probing the entire circumference of the
separated roots
• Stability of individual roots
• Access for oral hygiene devices 37
Regeneration of furcation defects
• "guided tissue regeneration" (GTR) therapy is provided
• GTR is more successful in degree II furcation involvements then in
degree III involvements
38
39
GTR limits
• The morphology of the periodontal defect 
Horizantal bone loss
• The anatomy of the Furcation with complex
morphology  more in maxillary than mandibular
tooth
• The varying and changing location of the soft tissue
margins during the early phase of healing with a
possible recession of the flap margin and early
exposure of both the membrane material and the
fornix of the Furcation
40
GTR feasibility improves if
• Adequate debridement area of exposed root
surface
• The membrane material is properly placed
• A plaque control program is put in place.
This should include daily rinsing with a
chlorhexidine solution and professional
toothcleaning once a week for the first month, and
once every 2-3 weeks for at least another 6
months of healing following the surgical
procedure
41
42
43
Extraction option
• Through and through Furcation defects (degree III and IV)
• Advance attachment loss
• Un-adequate plaque control
• High caries activity
• Non compliance of the patient
44
45

Furcation Involvement and its Therapy.pptx

  • 1.
    By Dr. Syed Jaffar Raza 1 FURCATIONInvolvement & its THERAPY
  • 2.
  • 3.
  • 4.
  • 5.
  • 6.
  • 7.
    Definition “Furcation defect :Term used to describe bone loss, usually a result of periodontal disease, affecting the base of the root trunk of a tooth where two or more roots meet.” OR “Invasion of bifurcation and trifurcation of multi-rooted teeth by periodontal Disease” 7
  • 8.
  • 9.
  • 10.
  • 11.
  • 12.
  • 13.
    Hamp et al.(1975) classification • Degree I: Horizontal loss of periodontal support not exceeding 1/3 of the width of the tooth • Degree II: Horizontal loss of periodontal support exceeding 1/3 of the width of the tooth, but not encompassing the total width of the furcation area • Degree III: Horizontal "through and through" de- struction of the periodontal tissues in the furcation area 13
  • 14.
  • 15.
  • 16.
    Glickman`s Classification  GradeI:  early stage of furcation involvement  supra bony pocket  increase probing depth due to early bone loss  radiographic changes not found  Grade II:  cul-de-sac with definitely horizantal component  portion of bone remain in the furcation region  vertical bone loss may or may not be present. 16
  • 17.
    Glickman`s Classification  GradeIII:  bone is not attached to dome of furcation  Complete loss of interadicular bone  appearance of radiolucent area with pocket formation  Grade IV:  loss of attachment and gingival recession  furcation is clinically visible  Probe passes easily through and through. 17
  • 18.
  • 19.
    Diagnosis • The followingparameters should be recorded to evaluate the amount of tissue loss in periodontal disease and also to identify the apical extension of the inflammatory lesion  pocket depth (probing depth)  attachment level (probing attachment level)  furcation involvement ( measured with nabers probe)  Radiographs Radiographs periapical bitewing 19
  • 20.
  • 21.
    Nabers probe forfurcation areas 21
  • 22.
  • 23.
    Therapy Furcation I Scalling and rootplanning Furcation plasty Furcation II Furcation Plasty Tunnel preparation RSR GTR Furcation III Tunnel preparation RSR Tooth extration 23
  • 24.
    Therapy Objectives Removal of the BacterialPlaque Restoration of Healthy anatomy Of periodontium 24
  • 25.
  • 26.
  • 27.
  • 28.
    Furcation plasty • Toothsubstance is removed (odontoplasty) and the alveolar bone crest is remodeled (osteoplasty) at the level of the furcation entrance 28
  • 29.
    Furcation plasty procedure Reflection of soft tissue flap.  Removal of the inflammatory soft tissue  scaling and root planning of the exposed root surfaces.  The removal of crown and root substance in the furcation area (odontoplasty)  The recontouring of the alveolar bone crest (osteoplasty)  positioning and the suturing of the mucosal flaps at the level of the alveolar crest in order to cover the furcation entrance with soft tissue. 29
  • 30.
    Tunnel preparation  Techniqueused to treat deep degree II and degree III furcation defects in mandibular molars  Following hard and soft tissue resection enough space has been established in the furcation region to allow access for cleaning devices to be used during self performed plaque control  The flaps are apically positioned  The exposed root surfaces should be treated by topical application of chlorhexidine digluconate and fluoride varnish. Because of pronounced risk for root sensitivity and for carious lesions developing on the denuded root surfaces within artificially prepared tunnels 30
  • 31.
  • 32.
  • 33.
  • 34.
    Root separation andresection (RSR)  Root separation involves the sectioning of the root complex and the maintenance of all roots.  Root resection involves the sectioning and the removal of one or two roots of a multirooted tooth.  RSR is frequently used in cases of deep degree II and degree III furcation involved molars. 34
  • 35.
  • 36.
  • 37.
    Criteria for RSR •The length of the root trunk A tooth with a short root trunk is a good candidate for RSR; • The divergence between the root cones Roots with a short divergence are technically more difficult to separate than roots which are wide apart • The length and the shape of the root cones Short and small root cones following separation tend to exhibit an increased mobility • Amount of remaining support around individual roots This should be determined by probing the entire circumference of the separated roots • Stability of individual roots • Access for oral hygiene devices 37
  • 38.
    Regeneration of furcationdefects • "guided tissue regeneration" (GTR) therapy is provided • GTR is more successful in degree II furcation involvements then in degree III involvements 38
  • 39.
  • 40.
    GTR limits • Themorphology of the periodontal defect  Horizantal bone loss • The anatomy of the Furcation with complex morphology  more in maxillary than mandibular tooth • The varying and changing location of the soft tissue margins during the early phase of healing with a possible recession of the flap margin and early exposure of both the membrane material and the fornix of the Furcation 40
  • 41.
    GTR feasibility improvesif • Adequate debridement area of exposed root surface • The membrane material is properly placed • A plaque control program is put in place. This should include daily rinsing with a chlorhexidine solution and professional toothcleaning once a week for the first month, and once every 2-3 weeks for at least another 6 months of healing following the surgical procedure 41
  • 42.
  • 43.
  • 44.
    Extraction option • Throughand through Furcation defects (degree III and IV) • Advance attachment loss • Un-adequate plaque control • High caries activity • Non compliance of the patient 44
  • 45.