OUTLINE
-Definition.
-Classification
-Clinical features & histopathology
-Pocket composition
-Pathogenesis
-Pocket as a healing lesion
-Periodontal pocket detection
-Management
Definition
• Periodontal pocket is defined as pathologic
deepeningof the gingivalsulcus
1)Gingival pocket
2)Periodontal pocket
Classified according to :
a) The relation to the crestal bone
b) The number of surfaces involved
• Gingivalpocket
(pseudopocket):
gingival enlargement
without destruction of the
underlying periodontal
tissues
• Periodontalpocket:
This type of pocket occurs
with destruction of the
supporting periodontal
tissues
1. According to the relation to the
crestal bone
Suprabony
supracrestal/
supraalveolar
Intrabony
subcrestal/
intraalveolar
Suprabony pocket
1.Base of pocket is coronal
to the level of alveolar
bone.
2.Horizontal pattern of
bone destruction.
3. pdl fibers beneath
pocket follow their normal
Horizontal- oblique course.
4.Transeptal fibers are
arranged horizontally.
Infrabonypocket
1.Base of pocket is apical to crest of
alveolar bone , intrabony pockets
most often occur interproximally
but may be located on the facial or
the lingual tooth surfaces.
2.Vertical (angular) pattern of bone
destruction.
3.Pdl fibers follow angular pattern.
4. Transeptal fibers are arranged
obliquely.
2. According to the number of surfaces
involved
Simple: Pocket involving one tooth surface
Compound: Pockets involving more than one tooth surface
Complex: (spiral ) originating on one tooth surface and
twisting around the tooth to involve one or more additional
surfaces
This type of pockets is most common in furcation areas
Symptoms
Localized Pain and sometimes radiating
deep into bone.
 Sensitivity to hot and cold
Food impaction
Foul taste in localized areas
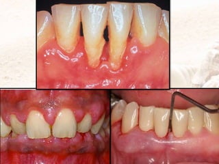
CLINICALFEATURES
1.Various degrees of bluish red
discoloration.
-Flaccidity.
-Smoothshiny surface.
-Pitting on pressure.
2.Gingival wall may be pink and firm.
3.Bleeding on probing.
4.Onprobing inner aspectof wall is
generallypainful.
5.Pus may be expressedon applying
digital pressure.
HISTOPATHOLOGICFEATURES
1.Circulatory stagnation.
-Destruction of gingival fibers.
-Atrophyof epithelium.
-Edema
2.Fibrotic changes .
3.Increasedvascularity, thinning and
degenerationof epithelium.
4.Ulcerationof inner aspect of pocket
wall.
5.Suppuratiove inflammation of inner
wall.
1)Soft tissue wall
2)Hard tissue wall
3) pocket content
First : pocket content
1. Microorganisms and their products (enzymes, endotoxins,
and other metabolic products),
2. Gingival fluid
3. Food remnants
4. Salivary mucin
5. Desquamated epithelial cells, and leukocytes.
6. Plaque-coveredcalculus usually projects from the tooth
surface
7. Purulentexudate
Significance of Pus formation
Pus is a common feature of periodontal
disease, but it is only a SECONDARY
SIGN
It is NOT AN INDICATION OF THE
DEPTH of the pocket or the severity of
the destruction of the supporting tissues
Second: soft tissue wall
Inflammatory changes in the connective tissue wall :
= Destruction of collagen fibers just apical to the junction
epithelium , as this area becomes occupied by inflammatory
cells and edema
=As a consequence of the loss of collagen, the apical cells of
the junctional epithelium proliferate along the root,
extending fingerlike projection two or three cells in thickness
= PMNLs invade the coronal end of the junctional epithelium
When the volume of PMNLs reach 60% of the junctional
epithelium, the tissues looses cohesiveness and detach from
the tooth structure
Collagen loss is caused by 2 mecahnisms
PMNLs and
macrophages
secrete collagenase
and other lysosymes
extracelluaraly and
destroy collagen
fibers in gingival CT
(matrix
metalloproteinases)
Fibroblast
phagocytize fibers
by extending
cytoplasmic process
to the ligament
cementum interface
and degrade the
collagen fibers in
the cementum
matrix
Collagen loss is followed by Degeneration of the
junctional epithelium and
pocket formation
• The coronal portion
of the junctional epithelium
detaches from the root as the
apical portions migrates
• The apical cells
of the junctional epithelium
proliferate along the root
extending fingerlike projections
Migration of the junctional
epithelium requires healthy, viable
cells
Therefore, marked degeneration or
necrosis of the junctional
epithelium retards rather than
accelerates pocket formation
Third : Root surface wall
• Collagen fibers embedded in the cementum
(Sharpey’s Fibers) are destroyed
• Cementum becomes exposed to the oral cavity
• Bacterial penetration in to cementum leads to
breakdown of the cementum surface and necrotic
cementum results that will be separated from
tooth by masses of bacteria.
• In the course of treatment,
these necrotic areas are
removed by root planing
until a hard smooth surface
is reached.
• Cementum is very thin in
the cervical areas, and
scaling and root planing
often removes it entirely,
exposing the underlying
dentin.
• Sensitivity to cold may
result until secondary
dentin is formed by the
pulp tissue
Surface Morphology of Pocket Walls
Five zones can be seen
the base of the pocket
1. Cementum covered by
calculus.
2. Attached plaque
3. Zone of unattached
plaque.
4. Zone where the junction
epithelium is attached to
the tooth.
5. The zone of semi
destroyed C.T. fibers.
(3, 4, 5 called plaque free
zone)
-The initial lesion in the development of periodontitis is the
inflammation of the gingiva in response to a bacterial
challenge.
-Changes involved in the transition from the normal
gingival sulcus to the pathologic periodontal pocket
are associated with different proportions of bacterial cells
in dental plaque.
-Healthy gingiva is associated with few microorganisms,
mostly coccoid cells and straight rods.
While Diseased gingiva is associated with increased numbers
of spirochetes and motile rods
Early concepts :
assumed that after the initial bacterial attack,
periodontal tissue destruction continued to be linked
to bacterial action.
More recently:
it was established that the host’s
immunoinflammatory response to the initial and
persistent bacterial attack unleashes mechanisms
that lead to collagen and bone destruction.
Genetics and Interventional
studies implicating complement
C3 as a major target for the
treatment of periodontitis
J Immunol. 2014 Jun 15;192(12):6020-7. doi:
10.4049/jimmunol.1400569. Epub 2014 May 7.
Chronic periodontitis leads to inflammatory
destruction of tooth-supporting tissues
C3 complement is a point of convergence of
complement activation mechanisms,
but its involvement in periodontitis was not
previously addressed.
We investigated this question using two animal species
models, namely,
* C3-deficient or wild-type mice
with the local application of C3 complement
In mice, C3 was required for maximal periodontal inflammation
and bone loss.
* nonhuman primates (NHPs)
locally treated with a potent C3 inhibitor.
local treatment of NHPs with C3 inhibitor inhibited ligature-
induced periodontal inflammation and bone loss, together with
lower gingival crevicular fluid levels of proinflammatory
mediators (e.g., IL-17 and RANKL) as compared with control
treatment.
Conclusion
This is the first time to prove that:
complement inhibition inhibit inflammatory
processes that lead to bone loss.
These data strongly support the feasibility of
C3-targeted intervention for the treatment of
human periodontitis.
Overexpression and Potential
Regulatory Role of IL-17F in
Pathogenesis of Chronic
Periodontitis.
Inflammation 2014 Nov 11. Epub 2014 Nov 11
Zhenhua Luo, Hui Wang, Jiajun Chen, Jian Kang, Zheng Sun, Yafei
Wu
1) Periodontal local tissues were obtained from chronic
periodontitis (CP) and healthy controls (HC) for real-time
PCR (RT-PCR) detection with IL-17F and IL-17A messenger
RNA (mRNA).
2) Primary human gingival fibroblasts (HGF) were
derived from patients receiving crown-lengthening
procedures.
Elevated levels of IL-17F and IL-17A mRNA in CP gingival
tissues compared with HC group .
There is a correlation between IL-17F and IL-17A mRNA
in CP group with the probing depth
3) IL-17F and IL-17A were used to stimulate the HGF
cells.
4) Production of pro-inflammatory cytokines induced
by IL-17F and IL-17A was detected by RT-PCR.
Both IL-17F and IL-17A could promote the
inflammatory cytokines IL-6, CXCL8, and CCL20
production
This study indicates that IL-17F may be involved in
pathogenesis of periodontitis like IL-17A.
The role of IL-17F in disease pathogenesis needs to be
further investigated
PERIODONTAL
DISEASE ACTIVITY
Periodontal pockets go through periods of
exacerbation and quiescence
Periods o f quiescence
• Reduced inflammatory
response
• little or no loss of bone and
connective tissue
attachment
Period o f exacerbation
• Bone and connective tissue
attachment are lost and the
pocket deepens
• Bleeding, either
spontaneously or with
probing
• Greater amounts of
gingival exudate
Periodontal pockets constantly
undergoing repair.
Complete healing does not occur because
of the persistence of thelocal irritants.
The condition of the soft tissue wall of
the periodontal pocket result from the
destructive& constructivetissue
changes.
The balance between the destructive &
constructive changes determines the
clinical features ;
(color ,consistency ,surface texture of the
pocket wall.)
Thus pocket wall can be either
Soft & friable pocket wall
Fibrotic pocket wall
Probing depth:
It ‘s the distance between the point of resistance
under light pressure at the base of the pocket and
the crest of the gingival margin
Attachment loss:
It ‘s the distance between the point of resistance
under light pressure at the base of the pocket and
the cementoenamel junction
Severity of bone loss is generally, but not always,
correlated with pocket depth
Extensive attachment loss & bone loss may be
accompanied with shallow pockets in case of
gingival recession
And slight bone loss can occur with deep
pockets
Pocket Probing
The two different pocket depths
are:
 Biologic or histologic depth
 Clinical or probing depth
Biological Depth -Vs -Clinical Depth
• The distance between the
gingival margin and the
base of the pocket can be
measured only in carefully
prepared histologic
sections.
The distance to which the
probe penetrates into the
pocket clinically
clinical depth
Histological depth
DETECTION OF
POCKETS
The only accurate method of
detecting and measuring periodontal
pockets is careful exploration with a
periodontal probe
Limitations of radiograph
• The periodontal pocket is a soft tissue change.
• Radiographs indicate areas of bone loss where
pockets may be suspected
• They do not show pocket presence or depth,
and consequently they show no difference
before or after pocket elimination unless bone
has been modified.
Gutta Percha points or
Calibrated Silver points can
be used with radiograph to
assist in determining the level
of attachment of periodontal
pocket.
Management of periodontal pockets include
I) Non surgical management ; Including:
a) phase I therapy
b) local drug delivery
c) systemic antimicrobials
II) Surgical management ; including :
a) resective surgeries
- gingival currettage
- gingivectomy
- flap operation
b) regenerative surgeries.
Randomized Controlled Trial Assessing
Efficacy and Safety of Glycine Powder
Air Polishing in Moderate-to-Deep
Periodontal Pockets
This study assesses efficacy and safety of
subgingivally applied glycine powder air polishing
(SubGPAP) in moderate-to-deep periodontal pockets
Thomas F. Flemmig,* Daniyel Arushanov,* Diane Daubert,* Marilynn Rothen,†
Gregory Mueller,†and Brian G. Leroux Submitted June 21, 2011.
Subgingival debridement was performed in deep periodontal pockets by SubGPAP
using a thin nozzle inserted into the periodontal pocket (A)
in shallow periodontal sites by SupraGPAP using a conventional hand piece aimed
directly into the periodontal pocket (B).
Supragingival biofilm and stain were removed in all sites by SupraGPAP directed
perpendicular to the tooth surface (C).
SubGPAP resulted in significantly lower total viable
bacterial counts (as it is more efficacious in removing
subgingival biofilm) in moderate-to-deep pockets
when compared to SRP .
full-mouth GPAP may result in a beneficial shift of the
oral microbiota and appears to be well tolerated
There were no adverse events related to full-mouth
GPAP.
Effect of tetracycline HCl in
the treatment of chronic
periodontitis - A clinical
study.
Sinha S1, Kumar S2, Dagli N3, Dagli RJ4.
J Int Soc Prev Community Dent. 2014 Sep;4(3)
This study was aimed to evaluate the efficacy of the
adjunctive use of tetracycline fibers (Periodontal Plus
AB(®)) as a local drug delivery with scaling and root
planing,
as compared with the results of one episode of
scaling and root planing for the treatment of chronic
periodontitis.
RESULTS:
Significant improvement was found in all the
variables, including reduction in p.d and gain in C.A.L,
in both test and control groups in 3 months
But Mean reduction in P.D and gain in C.A.L were
more in test than in control group.
CONCLUSION:
Tetracycline fiber therapy along with scaling and root
planing improves the healing outcome, namely,
reduction in pocket depth and gain in clinical
attachment level, when compared to scaling and root
planing alone.
In the treatment of periodontal infections
The local application of antibiotics in periodontal pockets
may be a promising approach to achieve
sustained/controlled drug release, high antimicrobial
activity and low systemic side effects.
the effectiveness of conventional nonsurgical treatment is
limited by lack of accessibility to bacteria in deeper
periodontal pockets.
Development of local drug delivery systems provides an
answer.
Novel local drug delivery agents used for the
treatment of periodontal diseases are alendronate
and simvastatin delivered as gels.
Alendronate is a novel bisphosphonate is a very
potent inhibitor of bone resorption.
The net effect of alendronate on bone formation
might be explained by its inhibition of osteoclasts,
thus affecting bone maturation and remodeling.
Once taken up by bone, alendronate has a prolonged skeletal
retention (half-life up to several years)
Alendronate gel has been found to increase bone formation on
local delivery into the periodontal pocket.
In patients with type 2 diabetes mellitus and chronic
periodontitis, local delivery of 1% alendronate gel into
periodontal pockets resulted in:
a significant increase in the probing depth (p.d)reduction,
clinical attachment level (A.L)gain, and improved bone fill
compared to placebo gel as an adjunct to scaling and root
planning
.PradeepAR, SharmaA, Rao NS, BajajP, NaikSB, Kumari M. Local drugdeliveryof alendronate
gel for the treatment of patients withchronic periodontitisJPeriodontol. 2012.
Simvastatin (SMV) is a specific competitive inhibitor
of 3-hydroxy-2-methyl-glutaryl coenzyme-A
reductase.
Pardeep et al [35] showed :
a greater decrease in gingival index and probing
depth and a clinical attachment level gain at sites
treated with scaling and root planing plus locally
delivered SMV gel in patients with chronic
periodontitis.
PradeepAR, Thorat MS. Clinical effectof subgingivally deliveredsimvastatinin the
treatment of patients withchronicperiodontitis: a randomizedclinical trial. JPeriodontol.
2010
Impact of Local and Systemic
Alendronate on Simvastatin-Induced
New Bone Around Periodontal Defects
Amy C. Killeen,* Pota A. Rakes,* Marian J. Schmid,† Yijia Zhang,‡
Nagamani Narayana,†
David B. Marx,§ Jeffrey B. Payne,* Dong Wang,‡ and Richard A.
Reinhardt*
December 2012
Simvastatin has been shown to stimulate new
bone growth on rat mandibles, but much of the bone is
lost over time
The purpose of this study:
is to evaluate the impactof a systemically applied anti
resorptive agent (alendronate) on simvastatin-induced
bone formation
Conclusion:
The use of a short course of systemic ALN during the
healing period after bone anabolic SIM injections has
the potential to enhance local bone augmentation.
Boric acid irrigation as an adjunct
to mechanical periodontal therapy
in patients with chronic
periodontitis: a randomized clinical
trial
Sağlam M1, Arslan U, Buket Bozkurt Ş, Hakki SSJ
Periodontol. 2013 Sep;84(9):1297-308. doi:
10.1902/jop.2012.120467. Epub 2012 Nov 3.
The purpose of this clinical trial was to evaluate the effects
of boric acid irrigation as an adjunct to SRP on clinical and
microbiologic parameters and compare this method with
chlorhexidine irrigation and SRP alone in patients with
chronic periodontitis (CP)
boric acid could be an alternative to chlorhexidine,
and it might be more favorable because boric acid
was superior in whole-mouth BOP as well as PD and
CAL reduction for moderate pockets.
Photo disinfection of Periodontal
Pockets
Written by Véronique Benhamou, BSc, DDS
March 2009
Photodisinfection of Periodontal
Pockets
• Methylene blue dye is gently injected into the
periodontal pocket
The dye binds to the Peptidoglycan layer on the cell
walls of both gram-negative and gram-positive
bacteria
Because of a
difference in
thickness of the
peptidoglycan layer in
their cell walls,
GRAM-NEGATIVE
Bacteria take up the
methylene blue stain
FASTER.
• Meanwhile, the Periowave nonthermal diode laser
produces photons whose frequency matches that of the
molecule of the methylene blue dye.
• When the photons hit the dye molecules, they initiate the
photodynamic chain of events.
• The oxygen molecules surrounding the dye are caused to
lose an electron, and thus become free radicals.
• The free oxygen radicals are toxic to the bacterial cell
walls and disrupt them, leading to the destruction of the
bacteria.
Photodisinfection treatment is not
meant to replace traditional
mechanical SRP therapy but rather
to complement it.
Photodisinfection may also be used during
periodontal surgery to “disinfect” areas that
may be difficult to instrument (such as
furcations), particularly prior to regenerative
procedures
Gingival Pocket (pseudopocket)
Management
Treatment of pockets includes:
PHASE 1 THERAPY
then surgical removal of gingiva is
done
(Gingivectomy)
Periodontal Pocket Management
I)Suprabony Pocket
• Phase 1Therapy
• Maintenance
• Flap surgery
Flap Surgery
Infrabony Pocket
The use of a membrane:
1) maintaining space for clot stabilization.
2) Is for the prevention of epithelial migration along the
cemental wall of the pocket thus temporarily separating
them from the gingival epithelium and connective tissue
Excluding the epithelium and the gingival connective
tissue from the root surface during the postsurgical
healing phase not only prevents epithelial migration into
the wound but also favors repopulation of the area by
cells from the periodontal ligament and the bone
Bone graft materials are evaluated based on their
osteogenic,
osteoinductive, or osteoconductive potential.
Osteogenesis
refers to the formation of new bone by cells contained
in the graft.
Osteoinduction
is a chemical process by which molecules contained in
the graft (e.g., bone morphogenetic proteins) convert
the neighboring cells into osteoblasts, which in turn
form bone.
Osteoconduction
is a physical effect by which the matrix of the graft
forms a scaffold that favors outside cells to
penetratethe graft and form new bone
Clinical Effectiveness of Diode Laser
Therapy as an Adjunct to Non-Surgical
Periodontal Treatment: A Randomized
Clinical Study
-August 2013
The use of 980 nm diode laser in adjunct to scalling
and root planning in comparison to scaling and root
planning only
Laser therapy showed improvement only in probing
depth in moderate pockets ( 4-6 mm) while no difference
in Bleeding on probing nor Clinical attachment loss
For patients with aggressive periodontitis the adjunct
use of diode laser with scaling and root planing ( SRP)
has shown superior effect over SRP alone
Morphological Alterations of
Periodontal Pocket Epithelium
Following Nd:YAG Laser
Irradiation
Ting Chun-Chan, Fukuda Mitsuo, Watanabe Tomohisa, Sanaoka Atsushi,
Mitani Akio, and Noguchi Toshihide. Photomedicine and Laser Surgery.
November 13, 2014
Conclusion
The scanning electron microscopy and histologic
findings demonstrated the feasibility & effectivity of
ablating pocket epithelium with an Nd:YAG laser
irradiation
Effects of citric acid and EDTA
conditioning on exposed root dentin:
An immunohistochemical analysis of
collagen and proteoglycans
Alessandra Ruggeri Jr.a, Carlo Pratib, Annalisa Mazzonia,
Cesare Nuccib, Roberto Di Lenardac, Giovanni Mazzottia,
Lorenzo Breschic jan 2007
Conclusions
This study supports the hypothesis that:
manual or ultrasonic instrumentation alone is not
able to expose the sound dentin matrix,
whereas a subsequent acidic conditioning exposes collagen
fibrils and associated proteoglycans.
The immunohistochemical technique revealed that
despite their acidity, both citric acid and EDTA were
able to preserve the structural and biochemical
properties of the exposed dentin matrix
Results
- Use of 10% citric acid revealed intense labeling
“marking” for collagen fibrils and proteoglycans
- lower labeling was found after EDTA conditioning.
- unetched specimens showed residual smear layer
on the dentin surface resulting in no evident surface
labeling
Stem Cells for Periodontal
Regeneration
Balkan J Med Genet. Jun 2013; 16(1): 7 – 12
Published online Oct 3, 2013. doi: 10.2478/bjmg-2013-0012
Periodontal regeneration of damaged tissue is the
main goal of the periodontal treatment
This review provides an overview of adult human
stem cells and their potential use in periodontal
regeneration
One approach to periodontal regeneration involves
incorporation of progenitor cells in a periodontal
defect .
Autologous bone marrow, mesenchymal and
adipose-derived stem cells do regenerate alveolar
bone and periodontal ligament-like structures after
transplantation
An ideal source may be human adult dermal
fibroblasts reprogrammed to pluripotency and
to production of enough cells for regenerative
periodontal therapy
Enhanced stem cells techniques will be a way
to achieve the desired periodontal
regeneration
THANK

Periodontal pocket

  • 2.
    OUTLINE -Definition. -Classification -Clinical features &histopathology -Pocket composition -Pathogenesis -Pocket as a healing lesion -Periodontal pocket detection -Management
  • 3.
    Definition • Periodontal pocketis defined as pathologic deepeningof the gingivalsulcus
  • 4.
    1)Gingival pocket 2)Periodontal pocket Classifiedaccording to : a) The relation to the crestal bone b) The number of surfaces involved
  • 5.
    • Gingivalpocket (pseudopocket): gingival enlargement withoutdestruction of the underlying periodontal tissues • Periodontalpocket: This type of pocket occurs with destruction of the supporting periodontal tissues
  • 6.
    1. According tothe relation to the crestal bone Suprabony supracrestal/ supraalveolar Intrabony subcrestal/ intraalveolar
  • 7.
    Suprabony pocket 1.Base ofpocket is coronal to the level of alveolar bone. 2.Horizontal pattern of bone destruction. 3. pdl fibers beneath pocket follow their normal Horizontal- oblique course. 4.Transeptal fibers are arranged horizontally. Infrabonypocket 1.Base of pocket is apical to crest of alveolar bone , intrabony pockets most often occur interproximally but may be located on the facial or the lingual tooth surfaces. 2.Vertical (angular) pattern of bone destruction. 3.Pdl fibers follow angular pattern. 4. Transeptal fibers are arranged obliquely.
  • 8.
    2. According tothe number of surfaces involved Simple: Pocket involving one tooth surface Compound: Pockets involving more than one tooth surface Complex: (spiral ) originating on one tooth surface and twisting around the tooth to involve one or more additional surfaces This type of pockets is most common in furcation areas
  • 10.
    Symptoms Localized Pain andsometimes radiating deep into bone.  Sensitivity to hot and cold Food impaction Foul taste in localized areas
  • 11.
    CLINICALFEATURES 1.Various degrees ofbluish red discoloration. -Flaccidity. -Smoothshiny surface. -Pitting on pressure. 2.Gingival wall may be pink and firm. 3.Bleeding on probing. 4.Onprobing inner aspectof wall is generallypainful. 5.Pus may be expressedon applying digital pressure. HISTOPATHOLOGICFEATURES 1.Circulatory stagnation. -Destruction of gingival fibers. -Atrophyof epithelium. -Edema 2.Fibrotic changes . 3.Increasedvascularity, thinning and degenerationof epithelium. 4.Ulcerationof inner aspect of pocket wall. 5.Suppuratiove inflammation of inner wall.
  • 13.
    1)Soft tissue wall 2)Hardtissue wall 3) pocket content
  • 14.
    First : pocketcontent 1. Microorganisms and their products (enzymes, endotoxins, and other metabolic products), 2. Gingival fluid 3. Food remnants 4. Salivary mucin 5. Desquamated epithelial cells, and leukocytes. 6. Plaque-coveredcalculus usually projects from the tooth surface 7. Purulentexudate
  • 15.
    Significance of Pusformation Pus is a common feature of periodontal disease, but it is only a SECONDARY SIGN It is NOT AN INDICATION OF THE DEPTH of the pocket or the severity of the destruction of the supporting tissues
  • 16.
    Second: soft tissuewall Inflammatory changes in the connective tissue wall : = Destruction of collagen fibers just apical to the junction epithelium , as this area becomes occupied by inflammatory cells and edema =As a consequence of the loss of collagen, the apical cells of the junctional epithelium proliferate along the root, extending fingerlike projection two or three cells in thickness = PMNLs invade the coronal end of the junctional epithelium When the volume of PMNLs reach 60% of the junctional epithelium, the tissues looses cohesiveness and detach from the tooth structure
  • 17.
    Collagen loss iscaused by 2 mecahnisms PMNLs and macrophages secrete collagenase and other lysosymes extracelluaraly and destroy collagen fibers in gingival CT (matrix metalloproteinases) Fibroblast phagocytize fibers by extending cytoplasmic process to the ligament cementum interface and degrade the collagen fibers in the cementum matrix
  • 18.
    Collagen loss isfollowed by Degeneration of the junctional epithelium and pocket formation • The coronal portion of the junctional epithelium detaches from the root as the apical portions migrates • The apical cells of the junctional epithelium proliferate along the root extending fingerlike projections
  • 19.
    Migration of thejunctional epithelium requires healthy, viable cells Therefore, marked degeneration or necrosis of the junctional epithelium retards rather than accelerates pocket formation
  • 20.
    Third : Rootsurface wall • Collagen fibers embedded in the cementum (Sharpey’s Fibers) are destroyed • Cementum becomes exposed to the oral cavity • Bacterial penetration in to cementum leads to breakdown of the cementum surface and necrotic cementum results that will be separated from tooth by masses of bacteria.
  • 21.
    • In thecourse of treatment, these necrotic areas are removed by root planing until a hard smooth surface is reached. • Cementum is very thin in the cervical areas, and scaling and root planing often removes it entirely, exposing the underlying dentin. • Sensitivity to cold may result until secondary dentin is formed by the pulp tissue
  • 22.
    Surface Morphology ofPocket Walls Five zones can be seen the base of the pocket 1. Cementum covered by calculus. 2. Attached plaque 3. Zone of unattached plaque. 4. Zone where the junction epithelium is attached to the tooth. 5. The zone of semi destroyed C.T. fibers. (3, 4, 5 called plaque free zone)
  • 24.
    -The initial lesionin the development of periodontitis is the inflammation of the gingiva in response to a bacterial challenge. -Changes involved in the transition from the normal gingival sulcus to the pathologic periodontal pocket are associated with different proportions of bacterial cells in dental plaque. -Healthy gingiva is associated with few microorganisms, mostly coccoid cells and straight rods. While Diseased gingiva is associated with increased numbers of spirochetes and motile rods
  • 25.
    Early concepts : assumedthat after the initial bacterial attack, periodontal tissue destruction continued to be linked to bacterial action. More recently: it was established that the host’s immunoinflammatory response to the initial and persistent bacterial attack unleashes mechanisms that lead to collagen and bone destruction.
  • 26.
    Genetics and Interventional studiesimplicating complement C3 as a major target for the treatment of periodontitis J Immunol. 2014 Jun 15;192(12):6020-7. doi: 10.4049/jimmunol.1400569. Epub 2014 May 7.
  • 27.
    Chronic periodontitis leadsto inflammatory destruction of tooth-supporting tissues C3 complement is a point of convergence of complement activation mechanisms, but its involvement in periodontitis was not previously addressed.
  • 28.
    We investigated thisquestion using two animal species models, namely, * C3-deficient or wild-type mice with the local application of C3 complement In mice, C3 was required for maximal periodontal inflammation and bone loss. * nonhuman primates (NHPs) locally treated with a potent C3 inhibitor. local treatment of NHPs with C3 inhibitor inhibited ligature- induced periodontal inflammation and bone loss, together with lower gingival crevicular fluid levels of proinflammatory mediators (e.g., IL-17 and RANKL) as compared with control treatment.
  • 29.
    Conclusion This is thefirst time to prove that: complement inhibition inhibit inflammatory processes that lead to bone loss. These data strongly support the feasibility of C3-targeted intervention for the treatment of human periodontitis.
  • 30.
    Overexpression and Potential RegulatoryRole of IL-17F in Pathogenesis of Chronic Periodontitis. Inflammation 2014 Nov 11. Epub 2014 Nov 11 Zhenhua Luo, Hui Wang, Jiajun Chen, Jian Kang, Zheng Sun, Yafei Wu
  • 31.
    1) Periodontal localtissues were obtained from chronic periodontitis (CP) and healthy controls (HC) for real-time PCR (RT-PCR) detection with IL-17F and IL-17A messenger RNA (mRNA). 2) Primary human gingival fibroblasts (HGF) were derived from patients receiving crown-lengthening procedures. Elevated levels of IL-17F and IL-17A mRNA in CP gingival tissues compared with HC group . There is a correlation between IL-17F and IL-17A mRNA in CP group with the probing depth
  • 32.
    3) IL-17F andIL-17A were used to stimulate the HGF cells. 4) Production of pro-inflammatory cytokines induced by IL-17F and IL-17A was detected by RT-PCR. Both IL-17F and IL-17A could promote the inflammatory cytokines IL-6, CXCL8, and CCL20 production This study indicates that IL-17F may be involved in pathogenesis of periodontitis like IL-17A. The role of IL-17F in disease pathogenesis needs to be further investigated
  • 33.
  • 34.
    Periodontal pockets gothrough periods of exacerbation and quiescence Periods o f quiescence • Reduced inflammatory response • little or no loss of bone and connective tissue attachment Period o f exacerbation • Bone and connective tissue attachment are lost and the pocket deepens • Bleeding, either spontaneously or with probing • Greater amounts of gingival exudate
  • 36.
    Periodontal pockets constantly undergoingrepair. Complete healing does not occur because of the persistence of thelocal irritants.
  • 37.
    The condition ofthe soft tissue wall of the periodontal pocket result from the destructive& constructivetissue changes. The balance between the destructive & constructive changes determines the clinical features ; (color ,consistency ,surface texture of the pocket wall.)
  • 38.
    Thus pocket wallcan be either Soft & friable pocket wall Fibrotic pocket wall
  • 40.
    Probing depth: It ‘sthe distance between the point of resistance under light pressure at the base of the pocket and the crest of the gingival margin Attachment loss: It ‘s the distance between the point of resistance under light pressure at the base of the pocket and the cementoenamel junction
  • 41.
    Severity of boneloss is generally, but not always, correlated with pocket depth Extensive attachment loss & bone loss may be accompanied with shallow pockets in case of gingival recession And slight bone loss can occur with deep pockets
  • 42.
    Pocket Probing The twodifferent pocket depths are:  Biologic or histologic depth  Clinical or probing depth
  • 43.
    Biological Depth -Vs-Clinical Depth • The distance between the gingival margin and the base of the pocket can be measured only in carefully prepared histologic sections. The distance to which the probe penetrates into the pocket clinically clinical depth Histological depth
  • 45.
  • 46.
    The only accuratemethod of detecting and measuring periodontal pockets is careful exploration with a periodontal probe
  • 47.
    Limitations of radiograph •The periodontal pocket is a soft tissue change. • Radiographs indicate areas of bone loss where pockets may be suspected • They do not show pocket presence or depth, and consequently they show no difference before or after pocket elimination unless bone has been modified.
  • 48.
    Gutta Percha pointsor Calibrated Silver points can be used with radiograph to assist in determining the level of attachment of periodontal pocket.
  • 50.
    Management of periodontalpockets include I) Non surgical management ; Including: a) phase I therapy b) local drug delivery c) systemic antimicrobials II) Surgical management ; including : a) resective surgeries - gingival currettage - gingivectomy - flap operation b) regenerative surgeries.
  • 51.
    Randomized Controlled TrialAssessing Efficacy and Safety of Glycine Powder Air Polishing in Moderate-to-Deep Periodontal Pockets This study assesses efficacy and safety of subgingivally applied glycine powder air polishing (SubGPAP) in moderate-to-deep periodontal pockets Thomas F. Flemmig,* Daniyel Arushanov,* Diane Daubert,* Marilynn Rothen,† Gregory Mueller,†and Brian G. Leroux Submitted June 21, 2011.
  • 52.
    Subgingival debridement wasperformed in deep periodontal pockets by SubGPAP using a thin nozzle inserted into the periodontal pocket (A) in shallow periodontal sites by SupraGPAP using a conventional hand piece aimed directly into the periodontal pocket (B). Supragingival biofilm and stain were removed in all sites by SupraGPAP directed perpendicular to the tooth surface (C).
  • 53.
    SubGPAP resulted insignificantly lower total viable bacterial counts (as it is more efficacious in removing subgingival biofilm) in moderate-to-deep pockets when compared to SRP . full-mouth GPAP may result in a beneficial shift of the oral microbiota and appears to be well tolerated There were no adverse events related to full-mouth GPAP.
  • 54.
    Effect of tetracyclineHCl in the treatment of chronic periodontitis - A clinical study. Sinha S1, Kumar S2, Dagli N3, Dagli RJ4. J Int Soc Prev Community Dent. 2014 Sep;4(3)
  • 55.
    This study wasaimed to evaluate the efficacy of the adjunctive use of tetracycline fibers (Periodontal Plus AB(®)) as a local drug delivery with scaling and root planing, as compared with the results of one episode of scaling and root planing for the treatment of chronic periodontitis.
  • 56.
    RESULTS: Significant improvement wasfound in all the variables, including reduction in p.d and gain in C.A.L, in both test and control groups in 3 months But Mean reduction in P.D and gain in C.A.L were more in test than in control group. CONCLUSION: Tetracycline fiber therapy along with scaling and root planing improves the healing outcome, namely, reduction in pocket depth and gain in clinical attachment level, when compared to scaling and root planing alone.
  • 57.
    In the treatmentof periodontal infections The local application of antibiotics in periodontal pockets may be a promising approach to achieve sustained/controlled drug release, high antimicrobial activity and low systemic side effects. the effectiveness of conventional nonsurgical treatment is limited by lack of accessibility to bacteria in deeper periodontal pockets. Development of local drug delivery systems provides an answer.
  • 58.
    Novel local drugdelivery agents used for the treatment of periodontal diseases are alendronate and simvastatin delivered as gels. Alendronate is a novel bisphosphonate is a very potent inhibitor of bone resorption. The net effect of alendronate on bone formation might be explained by its inhibition of osteoclasts, thus affecting bone maturation and remodeling.
  • 59.
    Once taken upby bone, alendronate has a prolonged skeletal retention (half-life up to several years) Alendronate gel has been found to increase bone formation on local delivery into the periodontal pocket. In patients with type 2 diabetes mellitus and chronic periodontitis, local delivery of 1% alendronate gel into periodontal pockets resulted in: a significant increase in the probing depth (p.d)reduction, clinical attachment level (A.L)gain, and improved bone fill compared to placebo gel as an adjunct to scaling and root planning .PradeepAR, SharmaA, Rao NS, BajajP, NaikSB, Kumari M. Local drugdeliveryof alendronate gel for the treatment of patients withchronic periodontitisJPeriodontol. 2012.
  • 60.
    Simvastatin (SMV) isa specific competitive inhibitor of 3-hydroxy-2-methyl-glutaryl coenzyme-A reductase. Pardeep et al [35] showed : a greater decrease in gingival index and probing depth and a clinical attachment level gain at sites treated with scaling and root planing plus locally delivered SMV gel in patients with chronic periodontitis. PradeepAR, Thorat MS. Clinical effectof subgingivally deliveredsimvastatinin the treatment of patients withchronicperiodontitis: a randomizedclinical trial. JPeriodontol. 2010
  • 61.
    Impact of Localand Systemic Alendronate on Simvastatin-Induced New Bone Around Periodontal Defects Amy C. Killeen,* Pota A. Rakes,* Marian J. Schmid,† Yijia Zhang,‡ Nagamani Narayana,† David B. Marx,§ Jeffrey B. Payne,* Dong Wang,‡ and Richard A. Reinhardt* December 2012
  • 62.
    Simvastatin has beenshown to stimulate new bone growth on rat mandibles, but much of the bone is lost over time The purpose of this study: is to evaluate the impactof a systemically applied anti resorptive agent (alendronate) on simvastatin-induced bone formation Conclusion: The use of a short course of systemic ALN during the healing period after bone anabolic SIM injections has the potential to enhance local bone augmentation.
  • 63.
    Boric acid irrigationas an adjunct to mechanical periodontal therapy in patients with chronic periodontitis: a randomized clinical trial Sağlam M1, Arslan U, Buket Bozkurt Ş, Hakki SSJ Periodontol. 2013 Sep;84(9):1297-308. doi: 10.1902/jop.2012.120467. Epub 2012 Nov 3.
  • 64.
    The purpose ofthis clinical trial was to evaluate the effects of boric acid irrigation as an adjunct to SRP on clinical and microbiologic parameters and compare this method with chlorhexidine irrigation and SRP alone in patients with chronic periodontitis (CP) boric acid could be an alternative to chlorhexidine, and it might be more favorable because boric acid was superior in whole-mouth BOP as well as PD and CAL reduction for moderate pockets.
  • 65.
    Photo disinfection ofPeriodontal Pockets Written by Véronique Benhamou, BSc, DDS March 2009
  • 66.
    Photodisinfection of Periodontal Pockets •Methylene blue dye is gently injected into the periodontal pocket The dye binds to the Peptidoglycan layer on the cell walls of both gram-negative and gram-positive bacteria
  • 67.
    Because of a differencein thickness of the peptidoglycan layer in their cell walls, GRAM-NEGATIVE Bacteria take up the methylene blue stain FASTER.
  • 68.
    • Meanwhile, thePeriowave nonthermal diode laser produces photons whose frequency matches that of the molecule of the methylene blue dye. • When the photons hit the dye molecules, they initiate the photodynamic chain of events. • The oxygen molecules surrounding the dye are caused to lose an electron, and thus become free radicals. • The free oxygen radicals are toxic to the bacterial cell walls and disrupt them, leading to the destruction of the bacteria.
  • 69.
    Photodisinfection treatment isnot meant to replace traditional mechanical SRP therapy but rather to complement it. Photodisinfection may also be used during periodontal surgery to “disinfect” areas that may be difficult to instrument (such as furcations), particularly prior to regenerative procedures
  • 70.
    Gingival Pocket (pseudopocket) Management Treatmentof pockets includes: PHASE 1 THERAPY then surgical removal of gingiva is done (Gingivectomy)
  • 71.
    Periodontal Pocket Management I)SuprabonyPocket • Phase 1Therapy • Maintenance • Flap surgery
  • 72.
  • 73.
  • 74.
    The use ofa membrane: 1) maintaining space for clot stabilization. 2) Is for the prevention of epithelial migration along the cemental wall of the pocket thus temporarily separating them from the gingival epithelium and connective tissue Excluding the epithelium and the gingival connective tissue from the root surface during the postsurgical healing phase not only prevents epithelial migration into the wound but also favors repopulation of the area by cells from the periodontal ligament and the bone
  • 75.
    Bone graft materialsare evaluated based on their osteogenic, osteoinductive, or osteoconductive potential. Osteogenesis refers to the formation of new bone by cells contained in the graft. Osteoinduction is a chemical process by which molecules contained in the graft (e.g., bone morphogenetic proteins) convert the neighboring cells into osteoblasts, which in turn form bone. Osteoconduction is a physical effect by which the matrix of the graft forms a scaffold that favors outside cells to penetratethe graft and form new bone
  • 76.
    Clinical Effectiveness ofDiode Laser Therapy as an Adjunct to Non-Surgical Periodontal Treatment: A Randomized Clinical Study -August 2013 The use of 980 nm diode laser in adjunct to scalling and root planning in comparison to scaling and root planning only
  • 77.
    Laser therapy showedimprovement only in probing depth in moderate pockets ( 4-6 mm) while no difference in Bleeding on probing nor Clinical attachment loss For patients with aggressive periodontitis the adjunct use of diode laser with scaling and root planing ( SRP) has shown superior effect over SRP alone
  • 78.
    Morphological Alterations of PeriodontalPocket Epithelium Following Nd:YAG Laser Irradiation Ting Chun-Chan, Fukuda Mitsuo, Watanabe Tomohisa, Sanaoka Atsushi, Mitani Akio, and Noguchi Toshihide. Photomedicine and Laser Surgery. November 13, 2014
  • 79.
    Conclusion The scanning electronmicroscopy and histologic findings demonstrated the feasibility & effectivity of ablating pocket epithelium with an Nd:YAG laser irradiation
  • 80.
    Effects of citricacid and EDTA conditioning on exposed root dentin: An immunohistochemical analysis of collagen and proteoglycans Alessandra Ruggeri Jr.a, Carlo Pratib, Annalisa Mazzonia, Cesare Nuccib, Roberto Di Lenardac, Giovanni Mazzottia, Lorenzo Breschic jan 2007
  • 81.
    Conclusions This study supportsthe hypothesis that: manual or ultrasonic instrumentation alone is not able to expose the sound dentin matrix, whereas a subsequent acidic conditioning exposes collagen fibrils and associated proteoglycans. The immunohistochemical technique revealed that despite their acidity, both citric acid and EDTA were able to preserve the structural and biochemical properties of the exposed dentin matrix
  • 82.
    Results - Use of10% citric acid revealed intense labeling “marking” for collagen fibrils and proteoglycans - lower labeling was found after EDTA conditioning. - unetched specimens showed residual smear layer on the dentin surface resulting in no evident surface labeling
  • 83.
    Stem Cells forPeriodontal Regeneration Balkan J Med Genet. Jun 2013; 16(1): 7 – 12 Published online Oct 3, 2013. doi: 10.2478/bjmg-2013-0012 Periodontal regeneration of damaged tissue is the main goal of the periodontal treatment This review provides an overview of adult human stem cells and their potential use in periodontal regeneration
  • 84.
    One approach toperiodontal regeneration involves incorporation of progenitor cells in a periodontal defect . Autologous bone marrow, mesenchymal and adipose-derived stem cells do regenerate alveolar bone and periodontal ligament-like structures after transplantation
  • 85.
    An ideal sourcemay be human adult dermal fibroblasts reprogrammed to pluripotency and to production of enough cells for regenerative periodontal therapy Enhanced stem cells techniques will be a way to achieve the desired periodontal regeneration
  • 86.

Editor's Notes

  • #25 Referring to the attached plaque
  • #42 The most severe degenerative changes in periodontal tissues occur adjacent to the tooth surface and subgingival plaque. In some cases, inflammation and ulceration on the inside of the pocket are walled off by fibrous tissue on the outer aspect. Outwardly the pocket appears pink and fibrotic, despite the inflammatory changes occurring within.
  • #83 Bone fillers : ex; tricalcium phosphate doesn’t resorb nor does it allow new bone formation but it prevents further bone resorption