GOALS
• Controls
• Transducers
• Doppler physics and instrumentation
• Spatial compound imaging
• Tissue harmonic imaging
• Extended field of view imaging
• Fusion imaging
• Contrast enhanced ultrasound
LAZZARO SPALLANZANI
(1729-1799)
Bats used ultrasound to navigate by echolocation
Uses Under-Water Church Bell to calculate Speed of Sound
through Water. Proved Sound Travelled Faster through Water
than Air.
Jean Daniel
Colladon
(1802-1855))
Christian Doppler an Austrian
physicist
PAUL LANEVIN CREATED QUARTZ BASED
TRANSDUCER CALLED HYDROPHONE
• It is recommended that all sonologists learn the different
capabilities of their own equipment to optimize image
quality and diagnosis.
1. Keyboard: Various capabilities as provided by
manufacturer
2. Transducer select: To chose one of the many transducer
probes attached to the transducer ports on the
ultrasound machine.
High Frequency Transducer
• Frequency range of 7.0 to 14.0 MHz
• Linear transducer mostly, sector transducer more suited
for children
• Provides increased resolution of images, however, with
reduced penetration
• Linear probes best for evaluation of superficial structure
like, thyroid, scrotum, etc.
Medium Frequency Transducer
• Frequency range of 3.0 to 5.0 MHz
• Curvilinear or sector transducers
• Most commonly used probe for adult abdominal
imaging
Low Frequency Transducer
• Frequency of 2.0 MHz
• Transducer is sector type
• Provides increased depth of penetration but also
results in loss of resolution
• More suited for ultrasound studies of obese
patients
3. Overall Gain Control: This is used to amplify all received
signals equally.
4 . Time Gain Compensation:
• With time gain compensation, a depth-dependent gain is
applied to the echoes.
• Simply put, echo signals from deep structures are amplified
more than signals from shallow structures.
• Time gain compensation is controlled in most machines
using a set of 6 to 10 gain knobs, each adjusting the receiver
gain at a different depth .
5. Near and far gains: These controls are used to
equalize the differences in echoes received from
various depths as they are displayed on the screen.
6.Compression:
• The wide range of amplitudes returning to the
transducer are compressed into a range ( dynamic
range) which can be displayed on screen.
• Dynamic range is the ratio of highest and lowest
amplitudes in decibels that can be displayed.
• In clinical applications the dynamic range may be
upto 120 db because the range of reflected signals
may vary by a factor of
• Most of the ultrasound machines apply logarithmic
compression to the echo signals emerging from the
receiver.
• amount of compression is under operator control.
The widest dynamic range shown (60 dB) permits the best differentiation of
subtle differences in echo intensity and is preferred for most imaging
applications
7.Depth: This control is used to adjust the size of
the image so that organs and adjacent
structures or regions of interest are equally well
visualized.
8.Focal point(s):
• This allows the operator to choose the level at
which the ultrasound beam is focused to
increase the resolution at a specific point or
points.
• This control should be set at the most posterior
aspect of the organ or structure being imaged .
9. Postprocessing :
This can be used to change the appearance of
echo signals, already stored in memory, on the
image.
Failure to properly adjust the gain control and/or
poor placement of focal point during scanning
may result in suboptimal image quality and
misdiagnosis.
TYPES OF TRANSDUCERS
Linear Array Transducer
• Optimal for superficially placed structures,
such as vessels, neck, testes.
• Final image is displayed as a rectangle.
• Each time only a group of elements work
together to transmit or receive. The
ultrasound beam is perpendicular to the
transducer surface
• Size of the field of view is equal in both the
far field and near field .
Curvilinear Array Transducer
• commonly used for routine
abdominal and pelvic imaging.
• array of elements instead of a
straight line (linear array) are
arranged across a
convex arc.
• This fan like arrangement of elements results in
a sector shaped imaging field.
• curved array provides a wider image at large
depths from a narrow scanning window.
Phased Array Transducer
• All the elements work together in phased array
(all elements are used for each beam line).
• Phase array steer the beam by applying different delay on
each element, and it requires small acoustic window.
• Its main advantage is in providing a very broad imaged field
at larger depths that too with a narrow transducer footprint.
• It is widely used in cardiac scanning as the transducer fits
easily between the ribs (rib gap is a small acoustic window).
DOPPLER INSTRUMENTS AND
PHYSICS
The information provided by a Doppler
examination includes presence or absence of
blood flow, direction of blood flow, type of
blood flow (arterial high resistance/venous,
presence and quantification of arterial
stenosis etc
• In clinical practice, three different
Doppler techniques are utilized.
CONTINUOUS WAVE DOPPLER
• The basic transducer for continuous wave
Doppler contains an oscillator,
two piezoelectric crystals and a demodulator
• Continuous wave Doppler is used for evaluation of peripheral
vessels and the fetal heart.
• It provides information regarding the blood flow but lacks
information regarding the depth from which the Doppler
signal is coming from.
Pulsed Doppler
• In this technique, very short bursts of the sound wave
are repetitively emitted by the transducer.
• A new pulse is not emitted till the returning signal
from the previous pulse is detected by the
transducer.
• The receiver is designed to be turned on for a short
period on at a specific moment.
• Provides information regarding the presence,
direction and depth from which the Doppler signal is
coming from.
• Pulsed Doppler does not provide information
regarding the intensity (or power) of the Doppler
signal.
Power Doppler :
• Power Doppler displays the power (or intensity)
of the Doppler signal, as it changes with time in
every region within the chosen area.
• However, there is no information available
regarding the velocity.
• The power Doppler has superior flow sensitivity
as compared to conventional color Doppler.
• So it is used to evaluate the presence and
characteristics of the flow in blood vessels that
are poorly imaged with conventional color
Doppler.
Tissue Harmonic Imaging
How Harmonics Are Generated
• The harmonic signals used in this form of
imaging do not come from the ultrasound
system itself.
• These signals are generated in the body as a
result of interactions with tissue or contrast
agents.
Interactions with Contrast Agents
Interactions with Tissue
Potential advantages of the harmonic signal.
Ultrasound beams formed with the harmonic signals have
some interesting properties.
• One of those properties is that the beam formed using the
harmonic signal is narrower and has lower sidelobes.
• The improvement in beamwidth and reduction in side
lobe significantly improves grayscale contrast resolution.
• Furthermore, since the harmonics are generated inside the
body, they only have to pass through the fat layer once (on
receive), not twice (transmit and receive).
• Potential advantages of harmonic imaging
include improved axial resolution due to
higher frequencies and better lateral
resolution due to narrower beams.
• Decreased noise from side lobes improves
signal-to noise ratios and reduces artifacts
• Body fat increases the intensity of harmonic
waves, thus lesion visibility is increased in
obese patients.
• Harmonic imaging increases diagnostic confidence in
differentiating cystic from solid hepatic lesions,
improves detection of gallbladder and biliary calculi,
improves pancreatic definition and allows distinction
of simple from complex renal cysts.
Spatial Compound Imaging
• An important source of image degradation and
loss of contrast is ultrasound speckle.
• Speckle results from the constructive and
destructive interaction of the acoustic fields
generated by the scattering of ultrasound
from small tissue reflectors.
• This interference pattern gives ultrasound
images their characteristic grainy appearance
reducing contrast and making the identification
of subtle features more difficult.
• in spatial compound sonography information is
obtained from several different angles of
insonation which are combined to produce a single
image .
• This is unlike conventional B-mode sonography, in
which each image is obtained from a single angle of
insonation.
• By averaging images from multiple angles of
insonation, SCI has been shown to reduce many
image artifacts inherent in conventional sonography.
• Application of SCI has been described in imaging of
breast, peripheral vessels, and musculoskeletal
system. It can also be combined with other
ultrasound applications, e.g. harmonic imaging.
EXTENDED FIELD OF VIEW
• Allows sonologists to visualize large anatomic
regions in a single image.
• It can be performed with a linear array
transducer or using a curvilinear probe, although
most of its applications are in superficial
structures.
• It differs from traditional US by allowing global
depiction of an abnormality and its relation to
adjacent anatomic structures within a single
image.
• Transducer is initially moved laterally across
the anatomic area of interest and multiple
images are acquired from many transducer
positions.
• Images are registered with respect to each
other.
• This registered data is subsequently combined
to form one complete large field of view
image.
FUSION IMAGING
• Fusion imaging or hybrid imaging means
combination of two imaging techniques.
• This can be in the form of ultrasound with MRI
or CT
• or it can be fusion of (ultrasound, CT or MRI)
with molecular imaging technique like SPECT or
PET
The advantages of incorporating ultrasound in image
fusion consist in the :
• real-time images (which enable image-guided
intervention),
• the lack of radiation to both patient and staff,
and
• the possibility of comparing findings on one
modality with another modality .
Software for fusion of real-time ultrasound images
with CT, MRI, or PET/CT is incorporated in several
high-end ultrasound systems.
• To fuse medical imaging information obtained
from different modalities at different times, a
spatial coregistration is mandatory to ensure
that the pixels from the various datasets
represent approximately the same volume.
• For a correct coregistration, a two-step
technique is performed automatically by a
computer:
a. image registration and
b. data reslicing.
STEPS OF FUSION
• During examination ultrasound screen is seen as split images
with virtual reconstructed CT/MR image on one side and
currently acquired USG image on other side of the screen.
• An attempt is made to match these two images with each
other using some clearly visible anatomic landmark (e.g.
portal vein bifurcation, superior most margin of kidney or
the lesion itself, etc.)
• For fusion imaging variety of tracking methods are used,
common are the optical tracking system and
electromagnetic tracking system.
• There are three components of the EM tracking-based
fusion imaging technique: the magnetic field generator,
position sensor, and position sensor unit.
• The magnetic field generator, which is located near
the patient, creates a magnetic field, thereby
inducing currents in the position sensor, which is
mounted on the US transducer.
• As the US probe moves, the magnitude of the
electrical current in the position sensor changes
with respect to the magnetic field.
• With this information, the position sensor unit
installed in the US machine calculates the exact
location of the position sensor and thus,
determines the direction and position of the US
transducer
• This enables the side-by-side or overlay display of
real-time US images and fused CT or MR images.
Clinical applications
• Isoechoic lesions not well appreciated on grey
scale.
• Previously ablated lesions with recurrence not
well visualized.
• Interventional treatment is easy.
3D and 4D Ultrasound
• This imaging technology involves acquiring a large number of data
sets of 2D images from patient.
• this volumetric data can be assessed with the use of many analysis
tools such as surface and volume rendering, multiplanar imaging and
volume calculation techniques, etc.
• like CT and MRI, the volumetric data can also be ‘post-processed’.
• It is possible to display information in any orientation and any of the
planes.
• If the 3D ultrasound is acquired and displayed over time, it is termed
as 4D ultrasound, live 3D ultrasound or real time 3D ultrasound.
• Currently two commonly used techniques are used to
acquire 3D volumetric data - free hand technique and
automated technique.
• In the free hand technique the examiner requires to
manually move the probe within the region of interest.
• In the automated technique dedicated 3D probes (also
called volume probes) are used. In this method probe is
held stationary and on activation the transducer
elements within the probes automatically sweep
through the ‘volume box’ which has been selected by
the operator.
• The resultant images are digitally stored and can be
‘processed’ later in various display modes for analysis
• Especially helpful in evaluation of congenital
anomalies of fetus, uterine anomalies,adnexal
lesions ,ectopic pregnancy ,localization of
iucds.
Midline facial defect trisomy 13
Unilateral cleft lip and palate
Elastography
• It is based on the fact that stiffness of tissue tends
to alter with disease and can be imaged by
measuring the tissue’s distortion (strain) under an
applied stress (compression from ultrasound
transducer). Images produced may be in grayscale,
color or both.
• now increasingly being evaluated in diagnosis of
breast lesions , complex cysts, liver cirrhosis,
characterization of thyroid nodules and metastatic
lymph nodes.
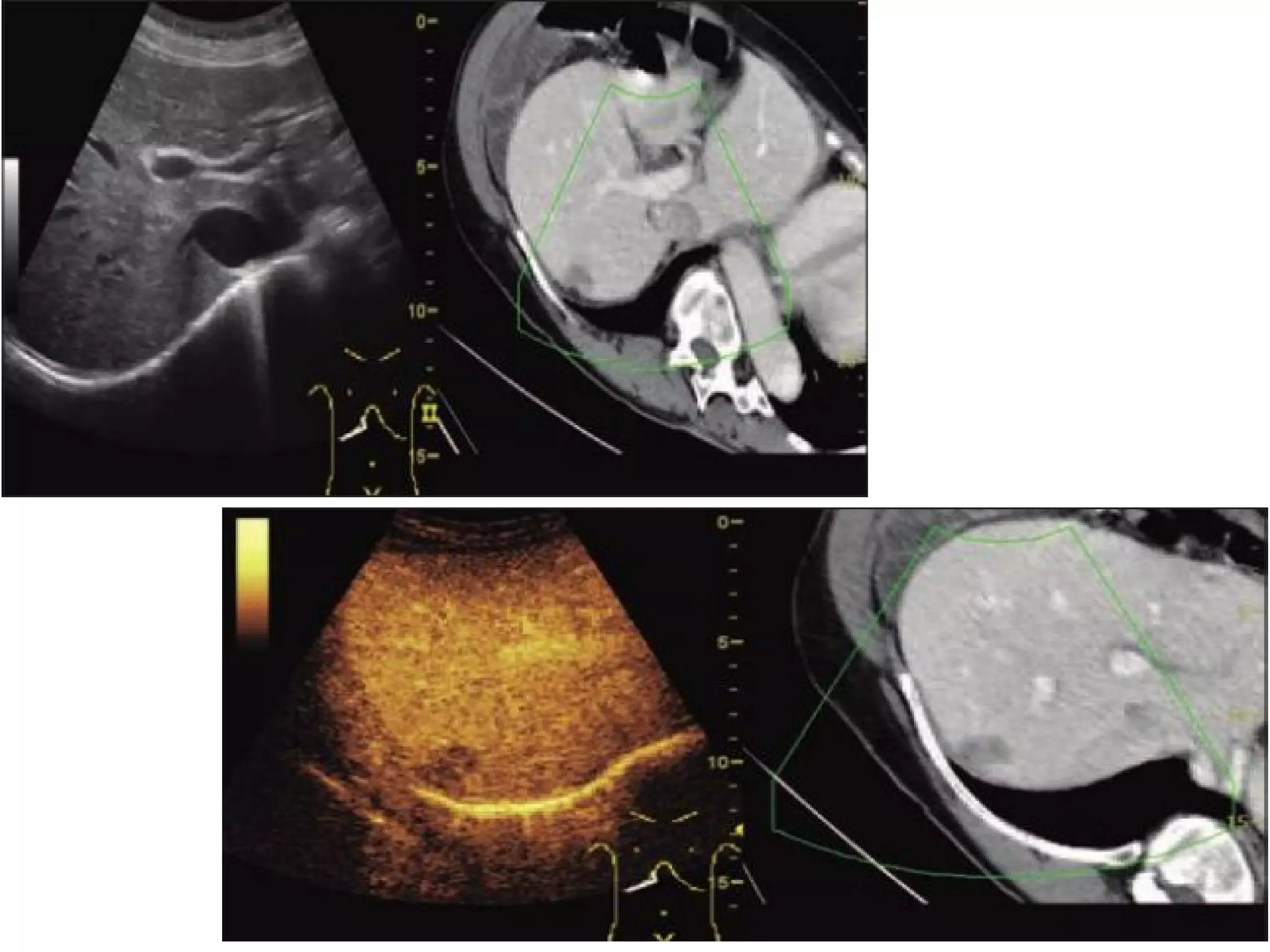
CONTRAST-ENHANCED
ULTRASONOGRAPHY
• US contrast media consists of air or other
gases which act as echo enhancers
• Contrary to other contrast media which get
distributed to extravascular space,
microbubbles remain confined to the vascular
system ( blood pool agents).
• Microbubbles may produce upto 25 db- more
than 300 fold increase in echo strength.
• Ist generation: don’t pass through pulmonary
circulation.
• 2nd
generation: sufficiently small and stable to
pass into systemic circulation. They are short
lived but the effect is over for few minutes
• 3rd
generation: even more echogenic and
stable.They may show perfusion, even in such
regions difficult regions as myocardium
PRINCIPLES
• BACKSCATERRING: At very low acoustic power
( MI <0.1) the bubbles act as simple but powerful echo
enhancers. This regimen is most useful for spectral
Doppler enhancement but is rarely used in the abdominal
organs.
• BUBBLE RESONANCE AND HARMONICS: At slightly higher
intensities (0.1 <MI > 0.5) the bubbles emit harmonics as
they undergo nonlinear oscillation. These nonlinear echoes
can be detected by contrast-specific imaging modes. Pulse
inversion imaging is an example of such a method.
BUBBLE RUPTURE: At high acoustic power ( MI>
0.5) bubbles can be disrupted deliberately,
creating a strong, transient echo. Detecting
this echo is one of the most sensitive means
available to image bubbles in very low
concentration
Ultrasound instrumentation practical applications
Ultrasound instrumentation practical applications
Ultrasound instrumentation practical applications
Ultrasound instrumentation practical applications
Ultrasound instrumentation practical applications
Ultrasound instrumentation practical applications

Ultrasound instrumentation practical applications

  • 2.
    GOALS • Controls • Transducers •Doppler physics and instrumentation • Spatial compound imaging • Tissue harmonic imaging • Extended field of view imaging • Fusion imaging • Contrast enhanced ultrasound
  • 3.
    LAZZARO SPALLANZANI (1729-1799) Bats usedultrasound to navigate by echolocation
  • 4.
    Uses Under-Water ChurchBell to calculate Speed of Sound through Water. Proved Sound Travelled Faster through Water than Air. Jean Daniel Colladon (1802-1855))
  • 5.
    Christian Doppler anAustrian physicist
  • 7.
    PAUL LANEVIN CREATEDQUARTZ BASED TRANSDUCER CALLED HYDROPHONE
  • 11.
    • It isrecommended that all sonologists learn the different capabilities of their own equipment to optimize image quality and diagnosis. 1. Keyboard: Various capabilities as provided by manufacturer 2. Transducer select: To chose one of the many transducer probes attached to the transducer ports on the ultrasound machine.
  • 12.
    High Frequency Transducer •Frequency range of 7.0 to 14.0 MHz • Linear transducer mostly, sector transducer more suited for children • Provides increased resolution of images, however, with reduced penetration • Linear probes best for evaluation of superficial structure like, thyroid, scrotum, etc. Medium Frequency Transducer • Frequency range of 3.0 to 5.0 MHz • Curvilinear or sector transducers • Most commonly used probe for adult abdominal imaging
  • 13.
    Low Frequency Transducer •Frequency of 2.0 MHz • Transducer is sector type • Provides increased depth of penetration but also results in loss of resolution • More suited for ultrasound studies of obese patients
  • 14.
    3. Overall GainControl: This is used to amplify all received signals equally. 4 . Time Gain Compensation: • With time gain compensation, a depth-dependent gain is applied to the echoes. • Simply put, echo signals from deep structures are amplified more than signals from shallow structures. • Time gain compensation is controlled in most machines using a set of 6 to 10 gain knobs, each adjusting the receiver gain at a different depth .
  • 15.
    5. Near andfar gains: These controls are used to equalize the differences in echoes received from various depths as they are displayed on the screen. 6.Compression: • The wide range of amplitudes returning to the transducer are compressed into a range ( dynamic range) which can be displayed on screen. • Dynamic range is the ratio of highest and lowest amplitudes in decibels that can be displayed. • In clinical applications the dynamic range may be upto 120 db because the range of reflected signals may vary by a factor of
  • 16.
    • Most ofthe ultrasound machines apply logarithmic compression to the echo signals emerging from the receiver. • amount of compression is under operator control. The widest dynamic range shown (60 dB) permits the best differentiation of subtle differences in echo intensity and is preferred for most imaging applications
  • 17.
    7.Depth: This controlis used to adjust the size of the image so that organs and adjacent structures or regions of interest are equally well visualized. 8.Focal point(s): • This allows the operator to choose the level at which the ultrasound beam is focused to increase the resolution at a specific point or points. • This control should be set at the most posterior aspect of the organ or structure being imaged .
  • 18.
    9. Postprocessing : Thiscan be used to change the appearance of echo signals, already stored in memory, on the image. Failure to properly adjust the gain control and/or poor placement of focal point during scanning may result in suboptimal image quality and misdiagnosis.
  • 19.
  • 20.
    Linear Array Transducer •Optimal for superficially placed structures, such as vessels, neck, testes. • Final image is displayed as a rectangle. • Each time only a group of elements work together to transmit or receive. The ultrasound beam is perpendicular to the transducer surface • Size of the field of view is equal in both the far field and near field .
  • 21.
    Curvilinear Array Transducer •commonly used for routine abdominal and pelvic imaging. • array of elements instead of a straight line (linear array) are arranged across a convex arc. • This fan like arrangement of elements results in a sector shaped imaging field. • curved array provides a wider image at large depths from a narrow scanning window.
  • 22.
    Phased Array Transducer •All the elements work together in phased array (all elements are used for each beam line). • Phase array steer the beam by applying different delay on each element, and it requires small acoustic window. • Its main advantage is in providing a very broad imaged field at larger depths that too with a narrow transducer footprint. • It is widely used in cardiac scanning as the transducer fits easily between the ribs (rib gap is a small acoustic window).
  • 26.
    DOPPLER INSTRUMENTS AND PHYSICS Theinformation provided by a Doppler examination includes presence or absence of blood flow, direction of blood flow, type of blood flow (arterial high resistance/venous, presence and quantification of arterial stenosis etc
  • 30.
    • In clinicalpractice, three different Doppler techniques are utilized. CONTINUOUS WAVE DOPPLER • The basic transducer for continuous wave Doppler contains an oscillator, two piezoelectric crystals and a demodulator • Continuous wave Doppler is used for evaluation of peripheral vessels and the fetal heart. • It provides information regarding the blood flow but lacks information regarding the depth from which the Doppler signal is coming from.
  • 31.
    Pulsed Doppler • Inthis technique, very short bursts of the sound wave are repetitively emitted by the transducer. • A new pulse is not emitted till the returning signal from the previous pulse is detected by the transducer. • The receiver is designed to be turned on for a short period on at a specific moment. • Provides information regarding the presence, direction and depth from which the Doppler signal is coming from. • Pulsed Doppler does not provide information regarding the intensity (or power) of the Doppler signal.
  • 32.
    Power Doppler : •Power Doppler displays the power (or intensity) of the Doppler signal, as it changes with time in every region within the chosen area. • However, there is no information available regarding the velocity. • The power Doppler has superior flow sensitivity as compared to conventional color Doppler. • So it is used to evaluate the presence and characteristics of the flow in blood vessels that are poorly imaged with conventional color Doppler.
  • 33.
  • 34.
    How Harmonics AreGenerated • The harmonic signals used in this form of imaging do not come from the ultrasound system itself. • These signals are generated in the body as a result of interactions with tissue or contrast agents.
  • 35.
  • 36.
  • 39.
    Potential advantages ofthe harmonic signal. Ultrasound beams formed with the harmonic signals have some interesting properties. • One of those properties is that the beam formed using the harmonic signal is narrower and has lower sidelobes. • The improvement in beamwidth and reduction in side lobe significantly improves grayscale contrast resolution. • Furthermore, since the harmonics are generated inside the body, they only have to pass through the fat layer once (on receive), not twice (transmit and receive).
  • 40.
    • Potential advantagesof harmonic imaging include improved axial resolution due to higher frequencies and better lateral resolution due to narrower beams. • Decreased noise from side lobes improves signal-to noise ratios and reduces artifacts • Body fat increases the intensity of harmonic waves, thus lesion visibility is increased in obese patients.
  • 42.
    • Harmonic imagingincreases diagnostic confidence in differentiating cystic from solid hepatic lesions, improves detection of gallbladder and biliary calculi, improves pancreatic definition and allows distinction of simple from complex renal cysts.
  • 44.
    Spatial Compound Imaging •An important source of image degradation and loss of contrast is ultrasound speckle. • Speckle results from the constructive and destructive interaction of the acoustic fields generated by the scattering of ultrasound from small tissue reflectors. • This interference pattern gives ultrasound images their characteristic grainy appearance reducing contrast and making the identification of subtle features more difficult.
  • 46.
    • in spatialcompound sonography information is obtained from several different angles of insonation which are combined to produce a single image . • This is unlike conventional B-mode sonography, in which each image is obtained from a single angle of insonation. • By averaging images from multiple angles of insonation, SCI has been shown to reduce many image artifacts inherent in conventional sonography. • Application of SCI has been described in imaging of breast, peripheral vessels, and musculoskeletal system. It can also be combined with other ultrasound applications, e.g. harmonic imaging.
  • 48.
    EXTENDED FIELD OFVIEW • Allows sonologists to visualize large anatomic regions in a single image. • It can be performed with a linear array transducer or using a curvilinear probe, although most of its applications are in superficial structures. • It differs from traditional US by allowing global depiction of an abnormality and its relation to adjacent anatomic structures within a single image.
  • 49.
    • Transducer isinitially moved laterally across the anatomic area of interest and multiple images are acquired from many transducer positions. • Images are registered with respect to each other. • This registered data is subsequently combined to form one complete large field of view image.
  • 51.
    FUSION IMAGING • Fusionimaging or hybrid imaging means combination of two imaging techniques. • This can be in the form of ultrasound with MRI or CT • or it can be fusion of (ultrasound, CT or MRI) with molecular imaging technique like SPECT or PET
  • 52.
    The advantages ofincorporating ultrasound in image fusion consist in the : • real-time images (which enable image-guided intervention), • the lack of radiation to both patient and staff, and • the possibility of comparing findings on one modality with another modality . Software for fusion of real-time ultrasound images with CT, MRI, or PET/CT is incorporated in several high-end ultrasound systems.
  • 53.
    • To fusemedical imaging information obtained from different modalities at different times, a spatial coregistration is mandatory to ensure that the pixels from the various datasets represent approximately the same volume. • For a correct coregistration, a two-step technique is performed automatically by a computer: a. image registration and b. data reslicing.
  • 54.
    STEPS OF FUSION •During examination ultrasound screen is seen as split images with virtual reconstructed CT/MR image on one side and currently acquired USG image on other side of the screen. • An attempt is made to match these two images with each other using some clearly visible anatomic landmark (e.g. portal vein bifurcation, superior most margin of kidney or the lesion itself, etc.) • For fusion imaging variety of tracking methods are used, common are the optical tracking system and electromagnetic tracking system. • There are three components of the EM tracking-based fusion imaging technique: the magnetic field generator, position sensor, and position sensor unit.
  • 55.
    • The magneticfield generator, which is located near the patient, creates a magnetic field, thereby inducing currents in the position sensor, which is mounted on the US transducer. • As the US probe moves, the magnitude of the electrical current in the position sensor changes with respect to the magnetic field. • With this information, the position sensor unit installed in the US machine calculates the exact location of the position sensor and thus, determines the direction and position of the US transducer • This enables the side-by-side or overlay display of real-time US images and fused CT or MR images.
  • 57.
    Clinical applications • Isoechoiclesions not well appreciated on grey scale. • Previously ablated lesions with recurrence not well visualized. • Interventional treatment is easy.
  • 60.
    3D and 4DUltrasound • This imaging technology involves acquiring a large number of data sets of 2D images from patient. • this volumetric data can be assessed with the use of many analysis tools such as surface and volume rendering, multiplanar imaging and volume calculation techniques, etc. • like CT and MRI, the volumetric data can also be ‘post-processed’. • It is possible to display information in any orientation and any of the planes. • If the 3D ultrasound is acquired and displayed over time, it is termed as 4D ultrasound, live 3D ultrasound or real time 3D ultrasound.
  • 61.
    • Currently twocommonly used techniques are used to acquire 3D volumetric data - free hand technique and automated technique. • In the free hand technique the examiner requires to manually move the probe within the region of interest. • In the automated technique dedicated 3D probes (also called volume probes) are used. In this method probe is held stationary and on activation the transducer elements within the probes automatically sweep through the ‘volume box’ which has been selected by the operator. • The resultant images are digitally stored and can be ‘processed’ later in various display modes for analysis
  • 62.
    • Especially helpfulin evaluation of congenital anomalies of fetus, uterine anomalies,adnexal lesions ,ectopic pregnancy ,localization of iucds.
  • 63.
  • 64.
  • 65.
    Elastography • It isbased on the fact that stiffness of tissue tends to alter with disease and can be imaged by measuring the tissue’s distortion (strain) under an applied stress (compression from ultrasound transducer). Images produced may be in grayscale, color or both. • now increasingly being evaluated in diagnosis of breast lesions , complex cysts, liver cirrhosis, characterization of thyroid nodules and metastatic lymph nodes.
  • 66.
    CONTRAST-ENHANCED ULTRASONOGRAPHY • US contrastmedia consists of air or other gases which act as echo enhancers • Contrary to other contrast media which get distributed to extravascular space, microbubbles remain confined to the vascular system ( blood pool agents). • Microbubbles may produce upto 25 db- more than 300 fold increase in echo strength.
  • 68.
    • Ist generation:don’t pass through pulmonary circulation. • 2nd generation: sufficiently small and stable to pass into systemic circulation. They are short lived but the effect is over for few minutes • 3rd generation: even more echogenic and stable.They may show perfusion, even in such regions difficult regions as myocardium
  • 70.
    PRINCIPLES • BACKSCATERRING: Atvery low acoustic power ( MI <0.1) the bubbles act as simple but powerful echo enhancers. This regimen is most useful for spectral Doppler enhancement but is rarely used in the abdominal organs. • BUBBLE RESONANCE AND HARMONICS: At slightly higher intensities (0.1 <MI > 0.5) the bubbles emit harmonics as they undergo nonlinear oscillation. These nonlinear echoes can be detected by contrast-specific imaging modes. Pulse inversion imaging is an example of such a method.
  • 71.
    BUBBLE RUPTURE: Athigh acoustic power ( MI> 0.5) bubbles can be disrupted deliberately, creating a strong, transient echo. Detecting this echo is one of the most sensitive means available to image bubbles in very low concentration