ULTRASOUND
ELASTOGRAPHY
PRESENTER – DR. MADHUSUDANA
Table of contents
1. What is elastography?
2. Physics behind elastography.
3. Methods and Types of elastography.
4. Clinical applications.
5. Conclusion.
What is elastography?
What is elastography?
● Ultrasound elastography provides a noninvasive method for evaluation of tissue stiffness.
● ‘VIRTUAL PALPATION’
● The basis of elastography is analogous to manual palpation
● Elastography is based on the principle that when body tissues are compressed, the softer
parts deform more easily than the harder parts. The amount of displacement at various
depths is determined by the ultrasound signals reflected by tissues before and after they are
compressed, and the corresponding strains are calculated from these displacements and
displayed visually.
Physics behind elastography
● Stress: It is defined as force per unit area.
-Stress can due to:
Compression- which acts perpendicular to the surface and causes
shortening of an object
Shear - which acts parallel to the surface and causes deformation.
● Strain: When subjected to stress an object tends to undergo deformation of its
original size and shape; the amount of deformation is known as strain.
● Elasticity: It is the property of the materials to return back to its original form after
stress is removed.
The aim of elastography is to assess tissue stiffness based on 3 steps:
Excitation: transmission of stress in a tissue (mechanical, vibrational, shear).
Acquisition: recording the signal induced by the tissue deformation due to the stress .
Analysis: analysis of tissue strain induced by the propagation of the stress.
● Tissue stiffness or elasticity is expressed by Young modulus— the ratio of
compression pressure (stress) and the resulting deformation (strain).
● E = σ/ε
E is Young modulus expressed in Pa (pascals),
σ is the stress, expressed in Newtons,
ε is displacement expressed in m2
• Stress = F/A
• Strain = DL/L0
•
• E = Stress/Strain
• The harder the tissue, the lesser will be the strain for a given force.
Conventionalultrasound
• Propagationof ultrasound dependsonbulkmodulus
• Bulkmodulusishomogeneousindifferent tissues
• Noinformationprovidedregardingtissuestiffness
Elastography
• Imaging of tissue stiffness
• Estimationof strainintissuesunderstress
• Imaging of shear waveswhose propagation isgoverned by tissue stiffness or Young’s
modulus(E)
• Young’s modulus exhibits important differences in tissues which is ideal for
characterizationof tissueswith excellent contrast.
• Young’s modulus is a quantitative estimation of clinician’s palpation and has
diagnostic value
Methods
&
Types of elastography
Elastography uses principally two different approaches
according to the type of compression force (excitation)
and elasticity evaluation:
○ Quasistatic/ Strain
elastography, with its
qualitative (based on
colorimetric maps) and
semiquantitative variants
(strain ratio value); and
○ Dynamic/ Shear wave
elastography [SWE], a
quantitative approach with
transducer-induced high
acoustic pulse and
measures of the speed of the
shear wave generated.
Strain elastography
● Strain elastography involves measurement of longitudinal tissue displacement before and
after compression, usually by manual manipulation of the ultrasound transducer.
● Speckle tracking using radiofrequency backscatter or Doppler is then used to evaluate
tissue motion.
● Strain elastography cannot determine the Young modulus because the compression
pressure (stress) cannot be measured directly.
● Instead, strain ratios are estimated by comparing lesion strain to surrounding normal tissues
and displayed in the image in different shades of gray or through color maps.
● Strain elastography provides an indication of relative stiffness of an area of interest
compared to its surroundings.
Strain elastography
In this example, the lesion is
compressed much less than the
surrounding tissue, indicating relative
stiffness.
SE is not quantitative and indicates only
the relative hardness or softness of
lesions compared to their surroundings
Strain Elastograms
STRAIN ELASTOGRAPHY
● Advantages
- First elastography technique developed; most widely used and validated.
- Does not require a complex software.
● Limitations
- Operator dependent.
- Absence of a specific quantification.
- Limited to superficial organs; i.e. breast, thyroid.
Shear wave elastography
● Longitudinal tissue compression results in the generation of transverse shear waves.
● In shear wave elastography, shear waves are generated by repetitive compression
produced by high-intensity pulses from the ultrasound transducer.
● In contrast to longitudinal compressional waves that propagate very quickly in the human
body (≈1540 m/sec), shear waves propagate slowly (≈1-50 m/sec).
● Shear waves are tracked with high frame rate images to determine their velocity.
● The propagation velocity of shear waves is directly proportional to Young modulus and
provides a quantitative estimate of tissue stiffness.
Shear wave elastography
In SWE high-intensity compression
pulses from the transducer are focused
on an area of interest, resulting in the
generation of low-frequency shear
waves.
Speckle displacement resulting from
shear (transverse) waves is tracked with
multiple imaging frames in order to
estimate shear wave velocity.
Shear wave velocity is directly related to
Young modulus, permitting a quantitative
estimate of tissue stiffness.
● SWE can be performed using acoustic radiation force impulse (ARFI) technology either in a
1. Point–shear wave elastography, (p-SWE) small region of interest (ROI) or
2. Two-dimensional shear wave elastography [2D-SWE] over a larger field of view using
color-coding to visually display the stiffness values
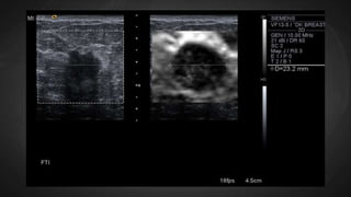
POINT Shear wave elastogram
2D shear wave elastography
2D shear wave elastography
2D shear wave elastography
2D shear wave elastography
Transient Elastography
● Principle- mechanical pulse induced at skin surface by an external vibrator
generates a transient shear wave (pulse) that propagates longitudinally.
● Probe (3.5 MHz) contains a vibrator and an ultrasound transducer.
● Not imaging guided system -probe is positioned randomly on skin
● Measures are done at a depth between 25 and 65 mm.
● Exam takes 5-10 minutes- consists of 10 measures at same location.
● Velocity & amplitude of shear wave are measured in ROI.
TRANSIENT ELASTOGRAPHY
● Advantages
- Easy to use.
- Quantification of tissue elasticity.
- Rapid, painless.
- Good reproducibility.
● Limitations
- Difficult in obese patients & in ascites.
- Lacks 2D image guidance of the measurement.
Clinical applications
● Liver
● Spleen
● Bowel
● Prostate
● Uterus
● Thyroid
● Lymph node
● Breast
● Placenta
Clinical applications
Liver
● Sonographic evaluation of liver morphology for the prediction of the presence and status of
cirrhosis is invaluable but subjective.
● At histology, liver fibrosis is graded using METAVIR staging.
● Patients with METAVIR stage F2 are felt to have clinically important fibrosis necessitating
special attention and referral to hepatology service as these patients are at risk for portal
hypertension, liver failure, and development of HCC.
● Today, the addition of elastography provides objective, noninvasive, and repeatable
evaluation of the status of liver fibrosis.
● VIRTUAL BIOPSY
APPLICATIONS IN LIVER
 Assessment of fibrosis.
 Prediction of cirrhosis-linked complications.
 Assessment of response to Anti-viral treatment.
 Characterization of Liver Tumors.
Liver
● SWE is performed of segments VII and VIII on a supine patient under direct
ultrasound visualization by obtaining multiple samples from the generation of
shear waves in the liver within a small region of interest with utilization of acoustic
radiation force impulse (ARFI) imaging.
● Results are expressed in either kPa or meters per second.
Various stages of liver fibrosis on SWE
LIMITATIONS OF US ELASTOGRAPHY OF LIVER
● Obesity
● Acute liver injury
● Extrahepatic cholestasis
● Ascites
● Narrow intercostal spaces
Prostate
● Tumors are about 5 to 28 times stiffer than normal prostate.
● Elastography of the prostate assumes that stiff areas such as tumors with increased
cellularity allow less internal movement.
● In strain elastography, force is applied by probe motion, a technique that is very operator
dependent and does not allow quantification.
● In shear wave elastography, the probe is held still and strain is provided by sound waves,
which allow better standardization and direct measurement of Young’s modulus.
Prostate
● Meta-analysis of elastography reports sensitivity of 71% to 82% and specificity of 60% to
90%.
● However, elastography does not evaluate the gland uniformly. Performance is better in the
peripheral zone, which is adjacent to the probe, especially the apex and midgland, and is
less accurate at the base, anterior gland, and transition zone.
● The technique remains operator dependent.
● False-positive results are seen with chronic inflammation and atrophy.
● Experience has shown that elastography is subjective and has a long learning curve and
that images are difficult to reproduce.
 Normal prostate – Homogenous appearance with elasticity values below 30 kPa.
 BPH – Central & transition zones become heterogeneous & hard, with increased
values of elasticity.
 Carcinoma – Peripheral zone cancer nodules with elasticity values >35 kPa.
Thyroid
● Main indication -Nodule characterization
● Four elastography patterns have been classified
Pattern 1: Elasticity in the whole nodule
Pattern 2: Elasticity in a large part of the nodule, with inconstant appearance of
anelastic areas
Pattern 3: Constant presence of large unelastic areas at the periphery
Pattern 4: Uniformly unelastic
Thyroid Nodule: Benign Nodular Hyperplasia (Pattern 1).
(A) Conventional longitudinal B-mode sonogram with color Doppler shows a hypoechoic solid nodule
(arrows) with peripheral halo, internal comet-tail artifacts, and perilesional blood low pattern.
(B) Longitudinal ultrasound elastography at same location demonstrates a “soft” color pattern.
Thyroid Nodule: Benign Nodular Hyperplasia With Cystic Changes (Pattern 2).
Left half of image shows a cystic, poorly denied nodule on conventional B-mode gray-scale sonogram.
Right half of elastogram of the nodule shows a predominantly elastic (green) pattern with a few internal
anelastic bandlike areas.
Thyroid Nodule: Papillary Thyroid Carcinoma (Pattern 3).
(A) Conventional longitudinal B-mode sonogram demonstrates a hypoechoic papillary carcinoma with
irregular, poorly denied margins (arrow).
(B) Ultrasound elastography shows a predominantly inelastic (blue) pattern with a few small, elastic
(green) areas in the posterior portion.
Thyroid Nodule: Papillary Thyroid Carcinoma (Pattern 4).
Right half of image shows a hypoechoic solid nodule (arrow) with microcalciications, typical of papillary
carcinoma.
Left half of image shows that on ultrasound elastography, the nodule is almost entirely inelastic (blue)
pattern 4. The small, elastic areas in the posterior portion of the lesion are artifacts caused by pulsations
of the underlying carotid artery.
Spleen
● Use of splenic elastography in patients with portal hypertension. Studies have
shown that use of elastography in patients at risk for cirrhosis can lead to
improved triage of patients with respect to degree of liver fibrosis as well as
esophageal varices and bleeding.
Bowel
● Elastography measures bowel wall stiffness, increasing in those with chronic
disease, helping to differentiate patients amenable to medical therapy from
those requiring surgical intervention.
Uterus
● Elastography could potentially help in the evaluation of fibroids, adenomyosis, or
sarcomas.
Lymph nodes
● Lyshchik and colleagues103 reported that with use of elastography, cervical lymph nodes
with a strain index greater than 1.5 are usually malignant (85% sensitivity and 98%
specificity).
BREAST
● Compared to gray-scale ultrasound, malignant lesions tend to be larger and
more irregular on elastography likely secondary to stiff peripheral
desmoplastic reaction.
● When measuring lesion size on elastography, the lesion should be measured
in the exact position on both the elastogram and B-mode image.
APPLICATIONS IN BREAST
 Characterization of Benign/Malignant solid lesions.
 Characterization of micro-calcification clusters.
 Elastography of lymph nodes.
 Monitoring treatment response to neo- adjuvant chemotherapy in
Ca Breast patients.
Benign Malignant
Softer Harder
Brighter on strain image Darker on strain image
Color red/green (soft) (vendor
specific)
Color blue (hard) (vendor
specific)
Tumor diameter<B-mode
diameter
Tumor diameter>B-mode
diameter
Musculoskeletal system
● In the musculoskeletal system, early application of elastography has shown
substantial promise in the evaluation of tendinosis.
● Normal tendon – green colour medium consistency
● Tendinopathy – red colour soft consistency
● In tendinosis, collagen disorganization and mucoid and lipoid degeneration result
in tendon softening, which can be visualized and quantified with
sonoelastography.
● Other emerging applications include diagnosis of muscle disorders such as
myositis and characterization of sot tissue masses.
Placenta
● Some studies have attempted to differentiate subchorionic hematoma from
placenta previa using elastography.
● More rigorous evaluations have shown that the use of both shear wave and strain
elastography of the placenta was different between normal pregnancies and
those that developed preeclampsia.
● This exciting novel area of placental research offers much promise for the future.
Conclusion
● Ultrasound imaging is based on tissue bulk modulus, reflecting interactions at the molecular
level.
● Changes in tissue stiffness based on the tissue shear modulus are important indications of
disease.
● Ultrasound elastography provides relative and quantitative assessment of tissue stiffness.
● Ultrasound elastography is based on tissue organization (strain modulus).
● Strain elastography provides an indication of relative tissue stiffness.
● Shear wave elastography provides a quantitative estimate of the tissue stiffness (strain
modulus)
Lets hope we get one of these in our
department
Resources
Diagnostic Ultrasound, 5th Edition, Authors: Carol Rumack Deborah
Levine
THANK YOU
#stopviolenceagainstdoctors

Ultrasound elastography

  • 1.
  • 2.
    Table of contents 1.What is elastography? 2. Physics behind elastography. 3. Methods and Types of elastography. 4. Clinical applications. 5. Conclusion.
  • 3.
  • 4.
    What is elastography? ●Ultrasound elastography provides a noninvasive method for evaluation of tissue stiffness. ● ‘VIRTUAL PALPATION’ ● The basis of elastography is analogous to manual palpation ● Elastography is based on the principle that when body tissues are compressed, the softer parts deform more easily than the harder parts. The amount of displacement at various depths is determined by the ultrasound signals reflected by tissues before and after they are compressed, and the corresponding strains are calculated from these displacements and displayed visually.
  • 5.
  • 6.
    ● Stress: Itis defined as force per unit area. -Stress can due to: Compression- which acts perpendicular to the surface and causes shortening of an object Shear - which acts parallel to the surface and causes deformation. ● Strain: When subjected to stress an object tends to undergo deformation of its original size and shape; the amount of deformation is known as strain. ● Elasticity: It is the property of the materials to return back to its original form after stress is removed.
  • 7.
    The aim ofelastography is to assess tissue stiffness based on 3 steps: Excitation: transmission of stress in a tissue (mechanical, vibrational, shear). Acquisition: recording the signal induced by the tissue deformation due to the stress . Analysis: analysis of tissue strain induced by the propagation of the stress.
  • 8.
    ● Tissue stiffnessor elasticity is expressed by Young modulus— the ratio of compression pressure (stress) and the resulting deformation (strain). ● E = σ/ε E is Young modulus expressed in Pa (pascals), σ is the stress, expressed in Newtons, ε is displacement expressed in m2
  • 9.
    • Stress =F/A • Strain = DL/L0 • • E = Stress/Strain • The harder the tissue, the lesser will be the strain for a given force.
  • 10.
    Conventionalultrasound • Propagationof ultrasounddependsonbulkmodulus • Bulkmodulusishomogeneousindifferent tissues • Noinformationprovidedregardingtissuestiffness Elastography • Imaging of tissue stiffness • Estimationof strainintissuesunderstress • Imaging of shear waveswhose propagation isgoverned by tissue stiffness or Young’s modulus(E) • Young’s modulus exhibits important differences in tissues which is ideal for characterizationof tissueswith excellent contrast. • Young’s modulus is a quantitative estimation of clinician’s palpation and has diagnostic value
  • 12.
  • 13.
    Elastography uses principallytwo different approaches according to the type of compression force (excitation) and elasticity evaluation: ○ Quasistatic/ Strain elastography, with its qualitative (based on colorimetric maps) and semiquantitative variants (strain ratio value); and ○ Dynamic/ Shear wave elastography [SWE], a quantitative approach with transducer-induced high acoustic pulse and measures of the speed of the shear wave generated.
  • 16.
    Strain elastography ● Strainelastography involves measurement of longitudinal tissue displacement before and after compression, usually by manual manipulation of the ultrasound transducer. ● Speckle tracking using radiofrequency backscatter or Doppler is then used to evaluate tissue motion. ● Strain elastography cannot determine the Young modulus because the compression pressure (stress) cannot be measured directly. ● Instead, strain ratios are estimated by comparing lesion strain to surrounding normal tissues and displayed in the image in different shades of gray or through color maps. ● Strain elastography provides an indication of relative stiffness of an area of interest compared to its surroundings.
  • 17.
    Strain elastography In thisexample, the lesion is compressed much less than the surrounding tissue, indicating relative stiffness. SE is not quantitative and indicates only the relative hardness or softness of lesions compared to their surroundings
  • 19.
  • 20.
    STRAIN ELASTOGRAPHY ● Advantages -First elastography technique developed; most widely used and validated. - Does not require a complex software. ● Limitations - Operator dependent. - Absence of a specific quantification. - Limited to superficial organs; i.e. breast, thyroid.
  • 21.
    Shear wave elastography ●Longitudinal tissue compression results in the generation of transverse shear waves. ● In shear wave elastography, shear waves are generated by repetitive compression produced by high-intensity pulses from the ultrasound transducer. ● In contrast to longitudinal compressional waves that propagate very quickly in the human body (≈1540 m/sec), shear waves propagate slowly (≈1-50 m/sec). ● Shear waves are tracked with high frame rate images to determine their velocity. ● The propagation velocity of shear waves is directly proportional to Young modulus and provides a quantitative estimate of tissue stiffness.
  • 22.
    Shear wave elastography InSWE high-intensity compression pulses from the transducer are focused on an area of interest, resulting in the generation of low-frequency shear waves. Speckle displacement resulting from shear (transverse) waves is tracked with multiple imaging frames in order to estimate shear wave velocity. Shear wave velocity is directly related to Young modulus, permitting a quantitative estimate of tissue stiffness.
  • 23.
    ● SWE canbe performed using acoustic radiation force impulse (ARFI) technology either in a 1. Point–shear wave elastography, (p-SWE) small region of interest (ROI) or 2. Two-dimensional shear wave elastography [2D-SWE] over a larger field of view using color-coding to visually display the stiffness values
  • 24.
    POINT Shear waveelastogram
  • 25.
    2D shear waveelastography
  • 26.
    2D shear waveelastography
  • 27.
    2D shear waveelastography
  • 28.
    2D shear waveelastography
  • 29.
    Transient Elastography ● Principle-mechanical pulse induced at skin surface by an external vibrator generates a transient shear wave (pulse) that propagates longitudinally. ● Probe (3.5 MHz) contains a vibrator and an ultrasound transducer. ● Not imaging guided system -probe is positioned randomly on skin ● Measures are done at a depth between 25 and 65 mm. ● Exam takes 5-10 minutes- consists of 10 measures at same location. ● Velocity & amplitude of shear wave are measured in ROI.
  • 30.
    TRANSIENT ELASTOGRAPHY ● Advantages -Easy to use. - Quantification of tissue elasticity. - Rapid, painless. - Good reproducibility. ● Limitations - Difficult in obese patients & in ascites. - Lacks 2D image guidance of the measurement.
  • 31.
  • 32.
    ● Liver ● Spleen ●Bowel ● Prostate ● Uterus ● Thyroid ● Lymph node ● Breast ● Placenta Clinical applications
  • 33.
    Liver ● Sonographic evaluationof liver morphology for the prediction of the presence and status of cirrhosis is invaluable but subjective. ● At histology, liver fibrosis is graded using METAVIR staging. ● Patients with METAVIR stage F2 are felt to have clinically important fibrosis necessitating special attention and referral to hepatology service as these patients are at risk for portal hypertension, liver failure, and development of HCC. ● Today, the addition of elastography provides objective, noninvasive, and repeatable evaluation of the status of liver fibrosis. ● VIRTUAL BIOPSY
  • 34.
    APPLICATIONS IN LIVER Assessment of fibrosis.  Prediction of cirrhosis-linked complications.  Assessment of response to Anti-viral treatment.  Characterization of Liver Tumors.
  • 36.
    Liver ● SWE isperformed of segments VII and VIII on a supine patient under direct ultrasound visualization by obtaining multiple samples from the generation of shear waves in the liver within a small region of interest with utilization of acoustic radiation force impulse (ARFI) imaging. ● Results are expressed in either kPa or meters per second.
  • 38.
    Various stages ofliver fibrosis on SWE
  • 39.
    LIMITATIONS OF USELASTOGRAPHY OF LIVER ● Obesity ● Acute liver injury ● Extrahepatic cholestasis ● Ascites ● Narrow intercostal spaces
  • 40.
    Prostate ● Tumors areabout 5 to 28 times stiffer than normal prostate. ● Elastography of the prostate assumes that stiff areas such as tumors with increased cellularity allow less internal movement. ● In strain elastography, force is applied by probe motion, a technique that is very operator dependent and does not allow quantification. ● In shear wave elastography, the probe is held still and strain is provided by sound waves, which allow better standardization and direct measurement of Young’s modulus.
  • 41.
    Prostate ● Meta-analysis ofelastography reports sensitivity of 71% to 82% and specificity of 60% to 90%. ● However, elastography does not evaluate the gland uniformly. Performance is better in the peripheral zone, which is adjacent to the probe, especially the apex and midgland, and is less accurate at the base, anterior gland, and transition zone. ● The technique remains operator dependent. ● False-positive results are seen with chronic inflammation and atrophy. ● Experience has shown that elastography is subjective and has a long learning curve and that images are difficult to reproduce.
  • 42.
     Normal prostate– Homogenous appearance with elasticity values below 30 kPa.  BPH – Central & transition zones become heterogeneous & hard, with increased values of elasticity.  Carcinoma – Peripheral zone cancer nodules with elasticity values >35 kPa.
  • 43.
    Thyroid ● Main indication-Nodule characterization ● Four elastography patterns have been classified Pattern 1: Elasticity in the whole nodule Pattern 2: Elasticity in a large part of the nodule, with inconstant appearance of anelastic areas Pattern 3: Constant presence of large unelastic areas at the periphery Pattern 4: Uniformly unelastic
  • 44.
    Thyroid Nodule: BenignNodular Hyperplasia (Pattern 1). (A) Conventional longitudinal B-mode sonogram with color Doppler shows a hypoechoic solid nodule (arrows) with peripheral halo, internal comet-tail artifacts, and perilesional blood low pattern. (B) Longitudinal ultrasound elastography at same location demonstrates a “soft” color pattern.
  • 45.
    Thyroid Nodule: BenignNodular Hyperplasia With Cystic Changes (Pattern 2). Left half of image shows a cystic, poorly denied nodule on conventional B-mode gray-scale sonogram. Right half of elastogram of the nodule shows a predominantly elastic (green) pattern with a few internal anelastic bandlike areas.
  • 46.
    Thyroid Nodule: PapillaryThyroid Carcinoma (Pattern 3). (A) Conventional longitudinal B-mode sonogram demonstrates a hypoechoic papillary carcinoma with irregular, poorly denied margins (arrow). (B) Ultrasound elastography shows a predominantly inelastic (blue) pattern with a few small, elastic (green) areas in the posterior portion.
  • 47.
    Thyroid Nodule: PapillaryThyroid Carcinoma (Pattern 4). Right half of image shows a hypoechoic solid nodule (arrow) with microcalciications, typical of papillary carcinoma. Left half of image shows that on ultrasound elastography, the nodule is almost entirely inelastic (blue) pattern 4. The small, elastic areas in the posterior portion of the lesion are artifacts caused by pulsations of the underlying carotid artery.
  • 48.
    Spleen ● Use ofsplenic elastography in patients with portal hypertension. Studies have shown that use of elastography in patients at risk for cirrhosis can lead to improved triage of patients with respect to degree of liver fibrosis as well as esophageal varices and bleeding.
  • 49.
    Bowel ● Elastography measuresbowel wall stiffness, increasing in those with chronic disease, helping to differentiate patients amenable to medical therapy from those requiring surgical intervention.
  • 50.
    Uterus ● Elastography couldpotentially help in the evaluation of fibroids, adenomyosis, or sarcomas.
  • 51.
    Lymph nodes ● Lyshchikand colleagues103 reported that with use of elastography, cervical lymph nodes with a strain index greater than 1.5 are usually malignant (85% sensitivity and 98% specificity).
  • 52.
    BREAST ● Compared togray-scale ultrasound, malignant lesions tend to be larger and more irregular on elastography likely secondary to stiff peripheral desmoplastic reaction. ● When measuring lesion size on elastography, the lesion should be measured in the exact position on both the elastogram and B-mode image.
  • 53.
    APPLICATIONS IN BREAST Characterization of Benign/Malignant solid lesions.  Characterization of micro-calcification clusters.  Elastography of lymph nodes.  Monitoring treatment response to neo- adjuvant chemotherapy in Ca Breast patients.
  • 54.
    Benign Malignant Softer Harder Brighteron strain image Darker on strain image Color red/green (soft) (vendor specific) Color blue (hard) (vendor specific) Tumor diameter<B-mode diameter Tumor diameter>B-mode diameter
  • 56.
    Musculoskeletal system ● Inthe musculoskeletal system, early application of elastography has shown substantial promise in the evaluation of tendinosis. ● Normal tendon – green colour medium consistency ● Tendinopathy – red colour soft consistency ● In tendinosis, collagen disorganization and mucoid and lipoid degeneration result in tendon softening, which can be visualized and quantified with sonoelastography. ● Other emerging applications include diagnosis of muscle disorders such as myositis and characterization of sot tissue masses.
  • 57.
    Placenta ● Some studieshave attempted to differentiate subchorionic hematoma from placenta previa using elastography. ● More rigorous evaluations have shown that the use of both shear wave and strain elastography of the placenta was different between normal pregnancies and those that developed preeclampsia. ● This exciting novel area of placental research offers much promise for the future.
  • 58.
  • 59.
    ● Ultrasound imagingis based on tissue bulk modulus, reflecting interactions at the molecular level. ● Changes in tissue stiffness based on the tissue shear modulus are important indications of disease. ● Ultrasound elastography provides relative and quantitative assessment of tissue stiffness. ● Ultrasound elastography is based on tissue organization (strain modulus). ● Strain elastography provides an indication of relative tissue stiffness. ● Shear wave elastography provides a quantitative estimate of the tissue stiffness (strain modulus)
  • 60.
    Lets hope weget one of these in our department
  • 61.
    Resources Diagnostic Ultrasound, 5thEdition, Authors: Carol Rumack Deborah Levine
  • 62.