Reticular Pattern
Gamal Rabie Agmy, MD, FCCP
Professor of chest Diseases,
Assiut university
Reticular Pattern
A reticular pattern results from the summation
or superimposition of irregular linear opacities.
The term reticular is defined as meshed, or in
the form of a network. Reticular opacities can be
described as fine, medium, or coarse, as the
width of the opacities increases.
A classic reticular pattern is seen with
pulmonary fibrosis, in which multiple curvilinear
opacities form small cystic spaces along the
pleural margins and lung bases (honeycomb
lung)
HRCT of the lung
Reticular pattern – definition
Glossary of Terms for Thoracic Imaging – Radiology 2008; 246:697
HRCT of the lung
 thickening of the interstitial fiber network by
Reticular pattern – significance
 fluid
 fibrous tissue
 infiltration by cells or other material
 pulm. edema
 lymphangitic carcin.
 veno-occlusive dis.
 alveolar proteinosis
 IPF
 collagen vascular dis.
 drug-related fibrosis
 amyloidosis
Predominant pattern Associated / occasional
finding
 sarcoidosis
 pneumoconiosis
 pulm. hemorrhage
 asbestosis
HRCT of the lung
Reticular pattern – HRCT
numerous, clearly visible interlobular septa
outlining lobules of characteristic size and shape
interlobular septal thickening
very fine network of lines within visible lobules
intralobular interstitial thickening
several layers of air-filled cysts, 3-10 mm in diameter,
with thick walls (1-3 mm)
honeycombing
Reticular pattern
Interlobular septal thickening – dd
smooth
thickening
pulm. edema
pulm. hemorrhage
lymphangitic carc.
lymphoma
nodular
thickening
lymphangitic carc.
sarcoidosis
amyloidosis
irregular
thickening
fibrosis
Reticular pattern
Interlobular septal thickening – pulmonary edema
 smooth septal thickening, isolated or in combination
with ground-glass opacity
 peribronchovascular and subpleural interstitial th.
 perihilar and gravitational distribution, bilateral
 findings of CHF
Reticular pattern
Interlobular septal th. – lymphangitic carcinomatosis
 tumor filling of pulmonary vessels and lymphatics
 direct tumor infiltration of the interstitium
 vascular and lymphatic distension distally to tumor
emboli or obstruction
 breast ca.
 lung ca.
 stomach ca.
 pancreas ca.
Secondary to:
 prostate ca.
 adenoca. of
unknown origin
Reticular pattern
Interlobular septal th. – lymphangitic carcinomatosis
 smooth or nodular septal thickening
 smooth or nodular thickening of peribronchovascular
interstitium and fissures
 thickening of the intralobular axial interstitium
 focal or asymmetric distribution
Reticular pattern
Interlobular septal thickening – sarcoidosis
 reticulation is not a predominat finding
 distorsion of the lung architecture and secondary
lobule anatomy is common, especially when septal
thickening is present
 upper lobe predominance
Reticulation or not reticulation ……
“crazy paving”
Reticulation or not reticulation ……
alveolar proteinosis
Reticular pattern
Interlobular septal thickening – “crazy paving”
 scattered or diffuse ground-glass attenuation with
superimposed interlobular septal thickening and
intralobular lines
 described in a variety of infectious, neoplastic,
idiopathic, inhalation, and sanguineous disorders of
the lung
Rossi SE – Radiographics 2003; 23:1509
Reticular pattern
Honeycombing – significance
air-containing cystic spaces having thick,
fibrous walls lined by bronchiolar
epithelium

fibrosis is present
UIP is likely the histologic pattern
IPF is very likely, in the absence of a
known disease
Reticular pattern
Honeycombing – differential diagnosis
basal
distribution
middle/upper
distribution
chronic HP
sarcoidosis
IPF
collagen vasc. dis.
asbestosis
drugs
 honeycombing /
intralobular reticulation
 basal and peripheral
distribution
typical HRCT findings
sens. 77%
spec. 72%
PPV 85%
PPV 96%*
Swigris JJ – Chest 2005; 127:275
lung biopsy in patients who
do not show typical features
Reticular pattern
Honeycombing – idiopathic pulmonary fibrosis
* confident diagnosis
Reticular pattern
Honeycombing – collagen vascular diseases
 rheumatoid arthritis and scleroderma
 almost indistinguishable from UIP due to IPF
 associated findings, typical of the disease, may help in the
differential diagnosis
Reticular pattern
Honeycombing – drug reaction
 findings of fibrosis, similar to those seen in IPF
 peripheral and subpleural predominance
 highest incidence with cytotoxic agents
 temporal relationship between drug administration and
development of pulmonary abnormalities
Honeycombing – chronic hypersensitivity pneum.
 possible association with poorly
defined nodules, mosaic attenuation
or air-trapping
 upper and middle zone
predominance
Reticular pattern
Intralobular interstitial thickening – significance
thickening of the pulmonary interstitium
at a sublobular level
isolated (fibrosis)
in association with septal thickening
or the “crazy paving” pattern
very fine linear structures below the
resolution of HRCT (gg appearance)

Reticular pattern
adapted from: Webb RW – HRCT of the lung, III ed; 2001
interlobular septal thickening
irregular, lung
distorsion
nodularsmooth
•fibrosis
(sarcoidosis,
asbestosis)
•pulm. edema
•linf. carc.
•hemorrhage
• sarcoidosis
• linf. carc.
Reticular pattern
adapted from: Webb RW – HRCT of the lung, III ed; 2001
honeycombing
•IPF (60%)
•collagen vascular dis.
• drug reaction
•asbestosis (uncommon)
subpleural, posterior
LL predominance
• sarcoidosis
• chronic HP
• radiation
other distribution
(UL; parahilar)
Reticular pattern
adapted from: Webb RW – HRCT of the lung, III ed; 2001
intralobular interstitial thickening
& septal thickening & GGO
isolated
NSIP
findings of fibrosis
honeycombing
differential dx
Reticular pattern
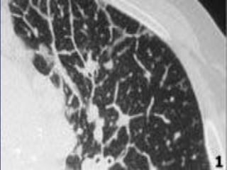
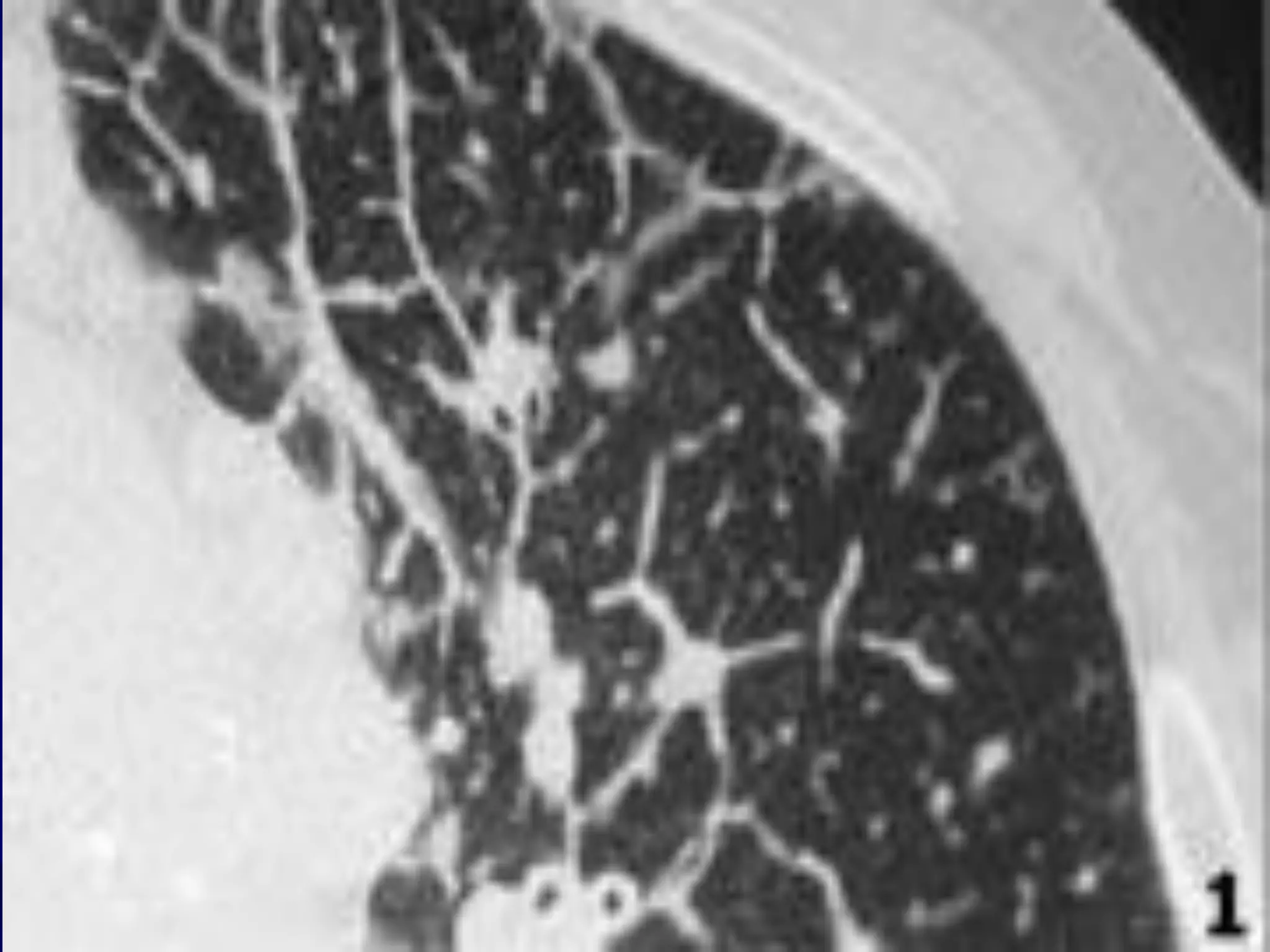
In the reticular pattern there are too many lines, either as
a result of thickening of the interlobular septa or as a
result of fibrosis as in honeycombing.
Focal septal thickening in lymphangitic carcinomatosis
Septal thickening and ground-glass opacity
with a gravitational distribution in a patient
with cardiogenic pulmonary edema.
Tree-in-bud
 Centrilobular nodules m/b further characterized by presence or
absence of ‘‘tree-in-bud.’’
 Tree-in-bud -- Impaction of centrilobular bronchus with mucous,
pus, or fluid, resulting in dilation of the bronchus, with associated
peribronchiolar inflammation .
 Dilated, impacted bronchi produce Y- or V-shaped structures
 This finding is almost always seen with pulmonary infections.
27
Tree-in-bud
Tree-in-buddescribesthe appearance of an irregularand often nodular
branchingstructure, most easily identifiedin the lung periphery.
Typical Tree-in-bud appearance in a patient with active TB.
Attenuation pattern
High Attenuation pattern
 GROUND GLASS
 CONSOLIDATION
Low Attenuation pattern
 Emphysema
 Lung cysts (LAM, LIP, Langerhans cell histiocytosis)
 Bronchiectasis
 Honeycombing
Dark bronchus sign in ground glass opacity.
Complete obscuration of vessels in consolidation.
Ground-glass opacity
Broncho-alveolar cell carcinoma with ground-glass
opacity and consolidation
Consolidation
Two patients with chronic consolidations as a result of COP
(cryptogenic organizing pneumonia)
Mosaic attenuation
The term 'mosaic attenuation' is used to describe density
differences between affected and non-affected lung areas.
Mosaic attenuation
Lung density and attenuation depends
partially on amount of blood in lung tissue.
May be due to
 vascular obstruction,
 abnormal ventilation or
 airway disease
37
Mosaic pattern in a patient with hypersensitivity pneumonitis
Mosaic pattern in a patient with chronic thromboemboli
Crazy Paving Pattern
Crazy Paving is a combination of ground glass opacity with
superimposed septal thickening
Crazy Paving can be seen in:
 Alveolar proteinosis
 Sarcoid
 NSIP
 Organizing pneumonia (COP/BOOP)
 Infection (PCP, viral, Mycoplasma, bacterial)
 Neoplasm (Bronchoalveolarca (BAC)
 Pulmonary hemorrhage
 Edema (heart failure, ARDS, AIP)
CRAZY PAVING PATTERN
It is scattered or diffuse ground-glass
attenuation with superimposed interlobular
septal thickening and intralobular lines.
Causes:
42
Crazy Paving in a patient with Alveolar proteinosis.
Crazy Paving
Combination of ground glass
opacity and septal thickening :
Alveolar proteinosis.
Combination of
ground glass opacity
and septal thickening
: Alveolar proteinosis45
Head cheese sign
It refers to mixed
densities which includes
# consolidation
# ground glass
opacities
# normal lung
# Mosaic perfusion
• Signifies mixed
infiltrative and
obstructive disease
Head cheese sign
Common cause are :
1. Hypersensitive pneumonitis
2. Sarcoidosis
3. DIP
47
Headcheese sign
Headcheese sign in
hypersensitivity
pneumonitis.
HRCT scan shows lung with
a geographic appearance,
which represents a
combination of patchy or
lobular ground-glass opacity
(small arrows) and mosaic
perfusion (large arrows).
Low Attenuation pattern
Emphysema
Lung cysts (LAM, LIP, Langerhans cell
histiocytosis)
Bronchiectasis
Honeycombing
Differential diagnosis of
interstitial lung diseases
Reticular pattern
Nodular pattern
High Attenuation pattern
Low Attenuation pattern
Lymphangitic
carcinomatosis:
irregular septal
thickening, usually
focal or unilateral
50% adenopathy',
known carcinoma.
 Cardiogenic
pulmonary edema:
incidental finding in
HRCT, smooth septal
thickening with basal
predominance (Kerley
B lines), ground-glass
opacity with a
gravitational and
perihilar distribution,
(peribronchial cuffing)
Cardiogenic
pulmonary edema
Lymphangitic
carcinomatosis
Lymphangitic
carcinomatosis with
hilar adenopathy
Nodular pattern
1.Hypersensitivity pneumonitis:
2.Miliary TB: random nodules
3.Sarcoidosis
4.Hypersensitivity pneumonitis
Nodular pattern
Hypersensitivity pneumonitis Miliary TB
Sarcoidosis Hypersensitivity pneumonitis
Low Attenuation pattern
Lymphangiomyomatosis (LAM) LCH
Honeycombing Centrilobular emphysema
Low Attenuation pattern (2)
Centrilobular emphysema: Langerhans cell histiocytosis (LCH)
Honeycombing. Lymphangiomyomatosis (LAM)
Reticular pattern

Reticular pattern

  • 2.
    Reticular Pattern Gamal RabieAgmy, MD, FCCP Professor of chest Diseases, Assiut university
  • 3.
    Reticular Pattern A reticularpattern results from the summation or superimposition of irregular linear opacities. The term reticular is defined as meshed, or in the form of a network. Reticular opacities can be described as fine, medium, or coarse, as the width of the opacities increases. A classic reticular pattern is seen with pulmonary fibrosis, in which multiple curvilinear opacities form small cystic spaces along the pleural margins and lung bases (honeycomb lung)
  • 4.
    HRCT of thelung Reticular pattern – definition Glossary of Terms for Thoracic Imaging – Radiology 2008; 246:697
  • 5.
    HRCT of thelung  thickening of the interstitial fiber network by Reticular pattern – significance  fluid  fibrous tissue  infiltration by cells or other material  pulm. edema  lymphangitic carcin.  veno-occlusive dis.  alveolar proteinosis  IPF  collagen vascular dis.  drug-related fibrosis  amyloidosis Predominant pattern Associated / occasional finding  sarcoidosis  pneumoconiosis  pulm. hemorrhage  asbestosis
  • 6.
    HRCT of thelung Reticular pattern – HRCT numerous, clearly visible interlobular septa outlining lobules of characteristic size and shape interlobular septal thickening very fine network of lines within visible lobules intralobular interstitial thickening several layers of air-filled cysts, 3-10 mm in diameter, with thick walls (1-3 mm) honeycombing
  • 7.
    Reticular pattern Interlobular septalthickening – dd smooth thickening pulm. edema pulm. hemorrhage lymphangitic carc. lymphoma nodular thickening lymphangitic carc. sarcoidosis amyloidosis irregular thickening fibrosis
  • 8.
    Reticular pattern Interlobular septalthickening – pulmonary edema  smooth septal thickening, isolated or in combination with ground-glass opacity  peribronchovascular and subpleural interstitial th.  perihilar and gravitational distribution, bilateral  findings of CHF
  • 9.
    Reticular pattern Interlobular septalth. – lymphangitic carcinomatosis  tumor filling of pulmonary vessels and lymphatics  direct tumor infiltration of the interstitium  vascular and lymphatic distension distally to tumor emboli or obstruction  breast ca.  lung ca.  stomach ca.  pancreas ca. Secondary to:  prostate ca.  adenoca. of unknown origin
  • 10.
    Reticular pattern Interlobular septalth. – lymphangitic carcinomatosis  smooth or nodular septal thickening  smooth or nodular thickening of peribronchovascular interstitium and fissures  thickening of the intralobular axial interstitium  focal or asymmetric distribution
  • 11.
    Reticular pattern Interlobular septalthickening – sarcoidosis  reticulation is not a predominat finding  distorsion of the lung architecture and secondary lobule anatomy is common, especially when septal thickening is present  upper lobe predominance
  • 12.
    Reticulation or notreticulation …… “crazy paving”
  • 13.
    Reticulation or notreticulation …… alveolar proteinosis
  • 14.
    Reticular pattern Interlobular septalthickening – “crazy paving”  scattered or diffuse ground-glass attenuation with superimposed interlobular septal thickening and intralobular lines  described in a variety of infectious, neoplastic, idiopathic, inhalation, and sanguineous disorders of the lung Rossi SE – Radiographics 2003; 23:1509
  • 15.
    Reticular pattern Honeycombing –significance air-containing cystic spaces having thick, fibrous walls lined by bronchiolar epithelium  fibrosis is present UIP is likely the histologic pattern IPF is very likely, in the absence of a known disease
  • 16.
    Reticular pattern Honeycombing –differential diagnosis basal distribution middle/upper distribution chronic HP sarcoidosis IPF collagen vasc. dis. asbestosis drugs
  • 17.
     honeycombing / intralobularreticulation  basal and peripheral distribution typical HRCT findings sens. 77% spec. 72% PPV 85% PPV 96%* Swigris JJ – Chest 2005; 127:275 lung biopsy in patients who do not show typical features Reticular pattern Honeycombing – idiopathic pulmonary fibrosis * confident diagnosis
  • 18.
    Reticular pattern Honeycombing –collagen vascular diseases  rheumatoid arthritis and scleroderma  almost indistinguishable from UIP due to IPF  associated findings, typical of the disease, may help in the differential diagnosis
  • 19.
    Reticular pattern Honeycombing –drug reaction  findings of fibrosis, similar to those seen in IPF  peripheral and subpleural predominance  highest incidence with cytotoxic agents  temporal relationship between drug administration and development of pulmonary abnormalities Honeycombing – chronic hypersensitivity pneum.  possible association with poorly defined nodules, mosaic attenuation or air-trapping  upper and middle zone predominance
  • 20.
    Reticular pattern Intralobular interstitialthickening – significance thickening of the pulmonary interstitium at a sublobular level isolated (fibrosis) in association with septal thickening or the “crazy paving” pattern very fine linear structures below the resolution of HRCT (gg appearance) 
  • 21.
    Reticular pattern adapted from:Webb RW – HRCT of the lung, III ed; 2001 interlobular septal thickening irregular, lung distorsion nodularsmooth •fibrosis (sarcoidosis, asbestosis) •pulm. edema •linf. carc. •hemorrhage • sarcoidosis • linf. carc.
  • 22.
    Reticular pattern adapted from:Webb RW – HRCT of the lung, III ed; 2001 honeycombing •IPF (60%) •collagen vascular dis. • drug reaction •asbestosis (uncommon) subpleural, posterior LL predominance • sarcoidosis • chronic HP • radiation other distribution (UL; parahilar)
  • 23.
    Reticular pattern adapted from:Webb RW – HRCT of the lung, III ed; 2001 intralobular interstitial thickening & septal thickening & GGO isolated NSIP findings of fibrosis honeycombing differential dx
  • 24.
    Reticular pattern In thereticular pattern there are too many lines, either as a result of thickening of the interlobular septa or as a result of fibrosis as in honeycombing.
  • 25.
    Focal septal thickeningin lymphangitic carcinomatosis
  • 26.
    Septal thickening andground-glass opacity with a gravitational distribution in a patient with cardiogenic pulmonary edema.
  • 27.
    Tree-in-bud  Centrilobular nodulesm/b further characterized by presence or absence of ‘‘tree-in-bud.’’  Tree-in-bud -- Impaction of centrilobular bronchus with mucous, pus, or fluid, resulting in dilation of the bronchus, with associated peribronchiolar inflammation .  Dilated, impacted bronchi produce Y- or V-shaped structures  This finding is almost always seen with pulmonary infections. 27
  • 28.
    Tree-in-bud Tree-in-buddescribesthe appearance ofan irregularand often nodular branchingstructure, most easily identifiedin the lung periphery.
  • 29.
    Typical Tree-in-bud appearancein a patient with active TB.
  • 30.
    Attenuation pattern High Attenuationpattern  GROUND GLASS  CONSOLIDATION Low Attenuation pattern  Emphysema  Lung cysts (LAM, LIP, Langerhans cell histiocytosis)  Bronchiectasis  Honeycombing
  • 31.
    Dark bronchus signin ground glass opacity. Complete obscuration of vessels in consolidation.
  • 32.
  • 33.
    Broncho-alveolar cell carcinomawith ground-glass opacity and consolidation
  • 34.
  • 35.
    Two patients withchronic consolidations as a result of COP (cryptogenic organizing pneumonia)
  • 36.
    Mosaic attenuation The term'mosaic attenuation' is used to describe density differences between affected and non-affected lung areas.
  • 37.
    Mosaic attenuation Lung densityand attenuation depends partially on amount of blood in lung tissue. May be due to  vascular obstruction,  abnormal ventilation or  airway disease 37
  • 39.
    Mosaic pattern ina patient with hypersensitivity pneumonitis
  • 40.
    Mosaic pattern ina patient with chronic thromboemboli
  • 41.
    Crazy Paving Pattern CrazyPaving is a combination of ground glass opacity with superimposed septal thickening Crazy Paving can be seen in:  Alveolar proteinosis  Sarcoid  NSIP  Organizing pneumonia (COP/BOOP)  Infection (PCP, viral, Mycoplasma, bacterial)  Neoplasm (Bronchoalveolarca (BAC)  Pulmonary hemorrhage  Edema (heart failure, ARDS, AIP)
  • 42.
    CRAZY PAVING PATTERN Itis scattered or diffuse ground-glass attenuation with superimposed interlobular septal thickening and intralobular lines. Causes: 42
  • 43.
    Crazy Paving ina patient with Alveolar proteinosis.
  • 44.
    Crazy Paving Combination ofground glass opacity and septal thickening : Alveolar proteinosis.
  • 45.
    Combination of ground glassopacity and septal thickening : Alveolar proteinosis45
  • 46.
    Head cheese sign Itrefers to mixed densities which includes # consolidation # ground glass opacities # normal lung # Mosaic perfusion • Signifies mixed infiltrative and obstructive disease
  • 47.
    Head cheese sign Commoncause are : 1. Hypersensitive pneumonitis 2. Sarcoidosis 3. DIP 47
  • 48.
    Headcheese sign Headcheese signin hypersensitivity pneumonitis. HRCT scan shows lung with a geographic appearance, which represents a combination of patchy or lobular ground-glass opacity (small arrows) and mosaic perfusion (large arrows).
  • 49.
    Low Attenuation pattern Emphysema Lungcysts (LAM, LIP, Langerhans cell histiocytosis) Bronchiectasis Honeycombing
  • 50.
    Differential diagnosis of interstitiallung diseases Reticular pattern Nodular pattern High Attenuation pattern Low Attenuation pattern
  • 52.
    Lymphangitic carcinomatosis: irregular septal thickening, usually focalor unilateral 50% adenopathy', known carcinoma.
  • 54.
     Cardiogenic pulmonary edema: incidentalfinding in HRCT, smooth septal thickening with basal predominance (Kerley B lines), ground-glass opacity with a gravitational and perihilar distribution, (peribronchial cuffing)
  • 55.
  • 56.
  • 57.
  • 58.
    Nodular pattern 1.Hypersensitivity pneumonitis: 2.MiliaryTB: random nodules 3.Sarcoidosis 4.Hypersensitivity pneumonitis
  • 59.
    Nodular pattern Hypersensitivity pneumonitisMiliary TB Sarcoidosis Hypersensitivity pneumonitis
  • 60.
    Low Attenuation pattern Lymphangiomyomatosis(LAM) LCH Honeycombing Centrilobular emphysema
  • 61.
    Low Attenuation pattern(2) Centrilobular emphysema: Langerhans cell histiocytosis (LCH) Honeycombing. Lymphangiomyomatosis (LAM)