HRCT Interpretation
Padmanabhan Krishnan, MD
Raoof, S. , CHEST 2006; 129:805
Secondary Pulmonary Nodule
 Basic unit of lung structure and function
 Smallest unit of lung structure marginated by interlobular septa
 Septa more peripheral, less or absent centrally
 Polyhedral 10-25mm diameter
 Terminal bronchiole supplies the SPL
 Arteries paired with bronchi
 Veins run in the periphery of lobule
 Lymphatics are along axial skeleton perivascular peribronchial up to terminal
bronchioles and peripheral along interlobular septa and pleura
 SPL contains 5-15 acini – 8mm dia
 Acinus is the structure distal to end terminal bronchiole (30,000 TB) and
contains 2–5 generation of RB and alveolar duct and alveolar sacs (300 million)
 End terminal bronchiole 2.5mm from interlobular septae and pleura
 2nd generation RB site of small particle deposition less than 5 micron
 HRCT:
• PA > 0.2mm D at which point are present the distal terminal bronchiole, and 1st
generation RB (not seen)
• Acini at distal tip of peripheral branching artery
Abnormal secondary lobule
 Lymphatic distribution
 Nodular - perilymphatic
● SP, septal, axial
● SARC, SIL, BERY, Kap, lymphoma
 Septal thickening
● Interlobular
● LC
 Lobular / Acinar distribution – fibrosis
 Inter / Intralobular septae, reticular, honeycomb
 UIP, NSIP, CHP, Asbestosis
 Vascular distribution
 Nodular – random
● SP, septal, non-axial
● Mets, miliary
 Septal thickening – interlobular
● VOD, CH, MS
 Centrilobular nodule - tree-in-bud
● Tumor embolism
 Airway distribution
 Centrilobular nodule - Tree-in-bud
● Bronchiolitis
 Centrilobular nodule – ground glass
● SAHP, RBILD
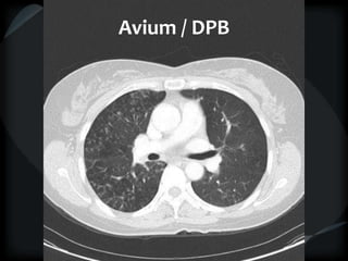
 Centrilobular nodule and ectasia
● M. avium, DPB
 Lobular / Acinar distribution - filling
 Ground glass, airspace, crazy paving
● COP, CEP, AP, BAC
Raoof, S. , CHEST 2006; 129:805
Abnormal secondary lobule
 Lymphatic distribution
 Nodular - perilymphatic
● SP, septal, axial
● SARC, SIL, BERY, Kap, lymphoma
 Septal thickening
● Interlobular
● LC
 Lobular / Acinar distribution – fibrosis
 Inter / Intralobular septae, reticular, honeycomb
 UIP, NSIP, CHP, Asbestosis
 Vascular distribution
 Nodular – random
● SP, septal, non-axial
● Mets, miliary
 Septal thickening – interlobular
● VOD, CH, MS
 Centrilobular nodule - tree-in-bud
● Tumor embolism
 Airway distribution
 Centrilobular nodule - Tree-in-bud
● Bronchiolitis
 Centrilobular nodule – ground glass
● SAHP, RBILD
 Centrilobular nodule and ectasia
● M. avium, DPB
 Lobular / Acinar distribution - filling
 Ground glass, airspace, crazy paving
● COP, CEP, AP, BAC
Raoof, S. , CHEST 2006; 129:805
HRCT – ILD/DPLD
Nodular
Lymph-
hematogenous
Reticular
Honeycomb
Cystic Septal
Interlobular
Airspace
Ground glass
Crazy paving
PL
SARC/ BRYL
Silicosis
Lymphoma
Kaposi
Random
Mets
Miliary TB
UIP
IPF
RA
HPS
CHP
Asbestosis
drug
parenchymal
LCH (gg)
LAM
LIP (gg)
Airway
Bronchiectasis
venous
MS
PVOD
PCH
COP
CEP
Alv proteinosis
Alv mcrlithia
DIP
AIP
AHP
SAHP
BAC
lymphatic
LC
Lymphoma
sarcoid
NSIP (gg)
AIP (gg)Bronchiolar
Bronchiolitis
SAHP (gg)
RB-ILD (gg)
LCH (gg)
Vascular
tumor emboli
HRCT PATTERNS
NODULAR PATTERN
 lymphohematogenous
 Bronchiolar terminal bronchiole
 Vascular intralobular artery
LYMPHOHEMATOGENOUS
 subpleural
 on fissures and septae
PERYLYMPHATIC RANDOM
axial skeleton end of vessels
perivascular / peribronchial cavitation
upper lobes basilar
-sarcoidosis -mets
-berylliosis -miliary TB/ histoplasmosis/crypto
-silicosis/ CWP -septic emboli
-lymphoma -vasculitis
-Kaposi's -amyloidosis
Raoof S., CHEST 2006;129:805
Raoof, S. , CHEST 2006; 129:805
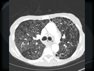
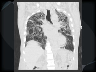
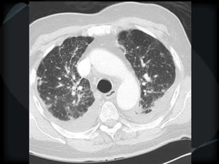
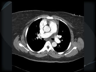
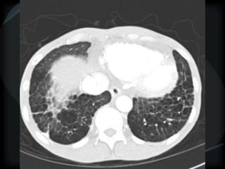
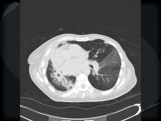
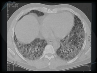
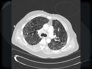
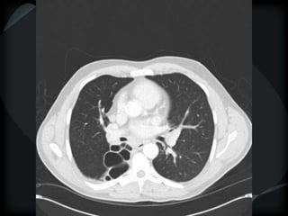
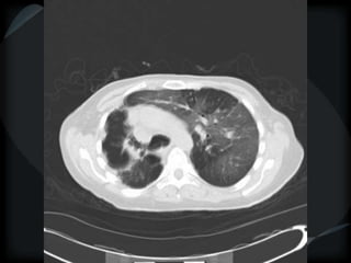
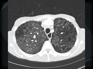
Sarcoid
perilymphatic
sarcoid
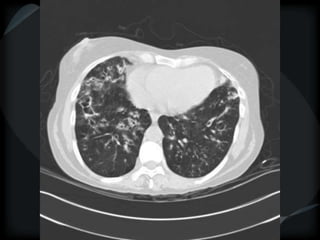
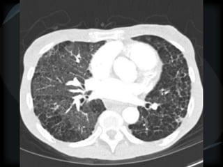
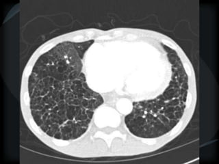
Lymphoma
perilymphatic
HRCT PATTERNS
NODULAR PATTERN
 lymphohematogenous
 Bronchiolar terminal bronchiole
 Vascular intralobular artery
LYMPHOHEMATOGENOUS
 subpleural
 on fissures and septae
PERYLYMPHATIC RANDOM
axial skeleton end of vessels
perivascular/ peribronchial cavitation
upper lobes basilar
-sarcoidosis -mets
-berylliosis -miliary TB/ histoplasmosis/crypto
-silicosis/ CWP -septic emboli
-lymphoma -vasculitis
-Kaposi's -amyloidosis
Raoof S., CHEST 2006;129:805
Raoof, S. , CHEST 2006; 129:805
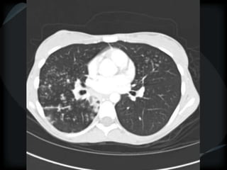
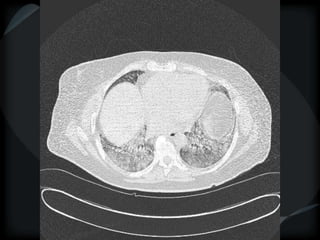
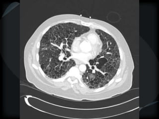
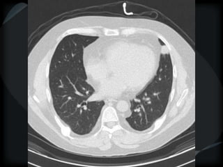
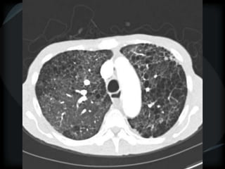
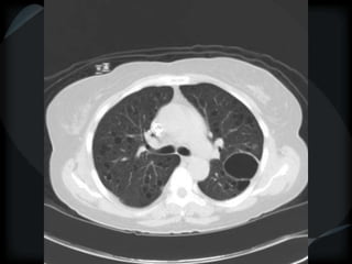
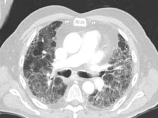
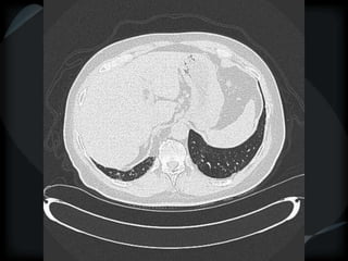
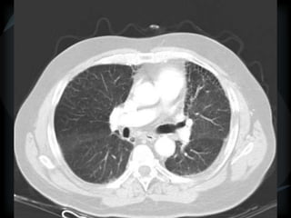
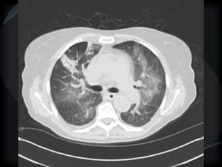
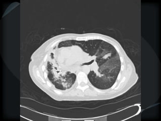
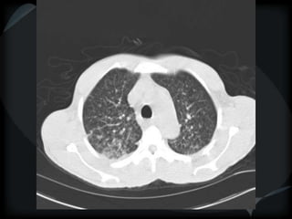
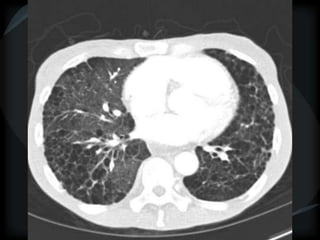
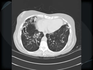
METS
random
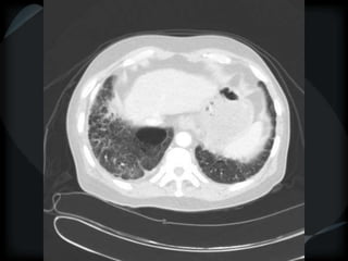
Wegener’s
random
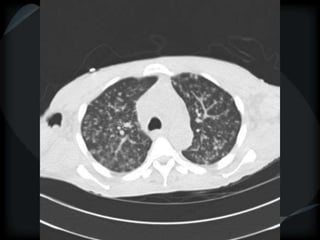
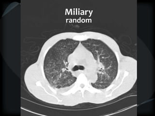
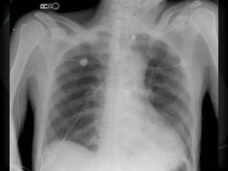
miliary
Miliary
random
HRCT PATTERNS
NODULAR PATTERN
 lymphohematogenous
 Bronchiolar terminal bronchiole
 Vascular intralobular artery
LYMPHOHEMATOGENOUS
 subpleural
 on fissures and septae
PERYLYMPHATIC RANDOM
axial skeleton end of vessels
perivascular / peribronchial cavitation
upper lobes basilar
-sarcoidosis -mets
-berylliosis -miliary TB/ histoplasmosis/crypto
-silicosis/ CWP -septic emboli
-lymphoma -vasculitis
-Kaposi's -amyloidosis
Raoof S., CHEST 2006;129:805
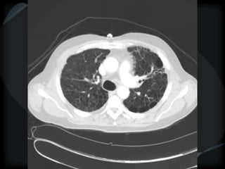
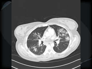
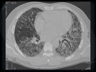
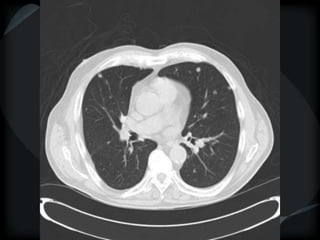
HRCT - Nodular Pattern
BRONCHIOLAR
 Centrilobular nodules: small airways of secondary lobule
 1-3mm away from pleura
 Not sub pleural
 Not on fissures or septae
Primary bronchiolar disease Mixed bronchiolar
Sharp branching nodules Peribronchiolar
Tree-in-bud ground glass nodules+/-tree-in-bud
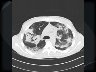
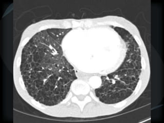
MAI, MTB sub acute HP
Aspergillus respiratory bronchiolitis - ILD
DPB, DAB LIP
Follicular bronchiolitis Early LCH
Immune bronchiolitis – UC metastatic Calcification (CRF)
mineral dust bronchiolitis
nylon flock workers disease
Secondary to bronchiectasis
silicosis
Vascular
• Tree-in-bud/ ground glass
tumor embolism
Plexogenic arteriopathy of PAH
Raoof, S. CHEST 2006; 129:805
Raoof, S. , CHEST 2006; 129:805
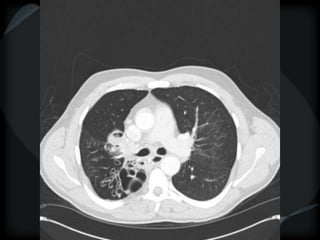
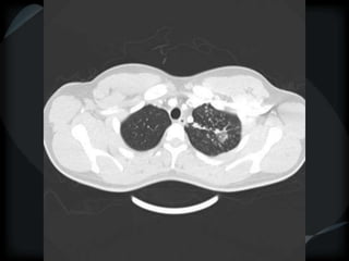
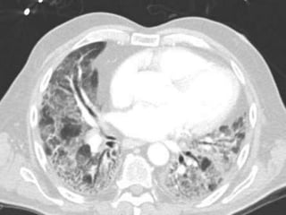
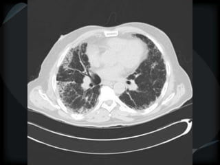
Tree-in-Bud Appearance
Bronchiolitis
Rare- tumor cell emboli – intralobular artery
Tree-in-bud / MAI
bronchiolar
Bronchiolitis - MTB
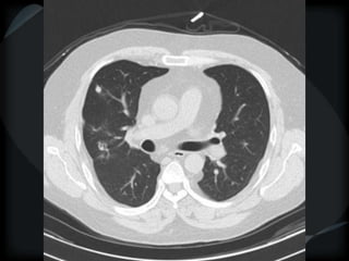
Subacute HP
bronch / peribronch / gg
RBILD
Avium / DPB
HRCT – ILD/DPLD
Nodular
Lymph-
hematogenous
Reticular
Honeycomb
Cystic Septal
Interlobular
Airspace
Ground glass
Crazy paving
PL
SARC/ BRYL
Silicosis
Lymphoma
Kaposi
Random
Mets
Miliary TB
UIP
IPF
RA
HPS
CHP
Asbestosis
drug
parenchymal
LCH (gg)
LAM
LIP (gg)
Airway
Bronchiectasis
venous
MS
PVOD
PCH
COP
CEP
Alv proteinosis
Alv mcrlithia
DIP
AIP
AHP
SAHP
BAC
lymphatic
LC
Lymphoma
sarcoid
NSIP (gg)
AIP (gg)Bronchiolar
Bronchiolitis
SAHP (gg)
RB-ILD (gg)
LCH (gg)
Vascular
tumor emboli
HRCT
RETICULAR PATTERN - UIP
 peripheral reticular lines / inter and intralobular septae
 honeycomb
 Traction bronchiectasis
 None or minimal ground glass
 Gradient increasing from apex to base
 Skip areas
 Diagnostic accuracy high
 Idiopathic
 Familial
 CVD - RA
 Drugs – NFT, Busulphan
 Asbestosis = basilar – bands – pleural calcification
 Chronic HP = upper and midzones
 Hermansky-Pudlak syndrome
Acute exacerbation of UIP
● above + ground glass
● Peripheral – better prognosis – Fibroblastic Foci+++
● Diffuse – worse prognosis – DAD
AMJRCCM.198:372;2008
AIP
● Diffuse ground glass + airspace
● Traction bronchiectasis
● honeycomb
UIP
Chronic HP
Asbestosis
HRCT
RETICULAR PATTERN - UIP (acinar fibrosis)
 peripheral reticular lines
 honeycomb
 Traction bronchiectasis
 None or minimal ground glass
 Gradient increasing from apex to base
 Skip areas
 Diagnostic accuracy high
 Idiopathic
 Familial
 CVD - RA
 Drugs – NFT, Busulphan
 Asbestosis = basilar – bands – pleural calcification
 Chronic HP = upper and midzones
 Hermansky-Pudlak syndrome
Acute exacerbation of UIP
 above + ground glass
 Peripheral – better prognosis – Fibroblastic Foci+++
 Diffuse – worse prognosis – DAD
AMJRCCM.198:372; 2008
AIP
 Diffuse ground glass + airspace
 Traction bronchiectasis
 honeycomb
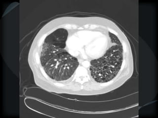
Acute Exacerbation UIP- peripheral
Acute exacerbation UIP- diffuse
HRCT
RETICULAR PATTERN - UIP (acinar fibrosis)
 peripheral reticular lines
 honeycomb
 Traction bronchiectasis
 None or minimal ground glass
 Gradient increasing from apex to base
 Skip areas
 Diagnostic accuracy high
 Idiopathic
 Familial
 CVD - RA
 Drugs – NFT, Busulphan
 Asbestosis = basilar – bands – pleural calcification
 Chronic HP = upper and midzones
 Hermansky-Pudlak syndrome
Acute exacerbation of UIP
 above + ground glass
 Peripheral – better prognosis – Fibroblastic Foci+++
 Diffuse – worse prognosis – DAD
AMJRCCM.198:372; 2008
AIP
 Diffuse ground glass + airspace
 Traction bronchiectasis
 honeycomb
AIP
HC/gg
Reticular Pattern - NSIP
inflammation and fibrosis
 Predominantly basilar
 Significant ground glass
 Subpleural sparing low sensitivity, high specificity
 No honeycombing, some cystic change
 Traction Bronchiectasis
Diagnostic accuracy 50%
 Cellular NSIP
 Fibrotic NSIP
 Associated with CVD
 Undifferentiated CVD – T. King
NSIP- cellular
NSIP-fibrotic
HRCT – ILD/DPLD
Nodular
Lymph-
hematogenous
Reticular
Honeycomb
Cystic Septal
Interlobular
Airspace
Ground glass
Crazy paving
PL
SARC/ BRYL
Silicosis
Lymphoma
Kaposi
Random
Mets
Miliary TB
UIP
IPF
RA
HPS
CHP
Asbestosis
drug
parenchymal
LCH (gg)
LAM
LIP (gg)
Airway
Bronchiectasis
venous
MS
PVOD
PCH
COP
CEP
Alv proteinosis
Alv mcrlithia
DIP
AIP
AHP
SAHP
BAC
lymphatic
LC
Lymphoma
sarcoid
NSIP (gg)
AIP (gg)Bronchiolar
Bronchiolitis
SAHP (gg)
RB-ILD (gg)
LCH (gg)
Vascular
tumor emboli
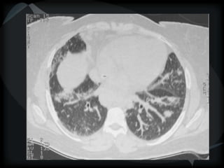
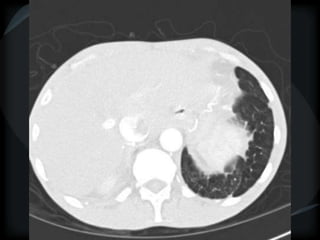
Cystic Pattern
 Parenchymal
 Bronchiectasis
 Parenchymal
LCH
 irregular shaped cysts, stellate:3-10mm; upper lobe
 Ground glass centrilobular nodules
 Air trapping – mosaic patterns
 Spares costophrenic angles
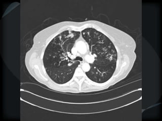
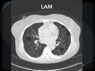
LAM
 Thin walled oval cysts
 Normal parenchyma
 Pleural effusion-chylous
 normal or hyperinflated lung
 angiomyolipoma
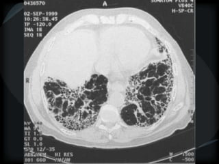
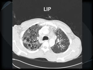
LIP
 Ground glass centrilobular nodules
 Diffuse ground glass
 Thin walled cysts
 PCP, papilomatosis, Birt-Hogg-Dube disease
LAM
LIP
PCP
Cystic Pattern
 Parenchymal
 Bronchiectasis
 Parenchymal
LCH
 irregular shaped cysts, stellate:3-10mm; upper lobe
 Ground glass centrilobular nodules
 Air trapping – mosaic patterns
 Spares costophrenic angles
LAM
 Thin walled oval cysts
 Normal parenchyma
 Pleural effusion-chylous
 normal or hyperinflated lung
 angiomyolipoma
LIP
 Ground glass centrilobular nodules
 Diffuse ground glass
 Thin walled cysts
 PCP, papilomatosis, Birt-Hogg-Dube disease
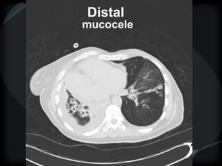
Bronchiectasis
Vessel at wall of cyst – signet ring
Cyst stacked in tubular orientation
Cyst stacked in branching pattern
Dilated, irregular, thickened airways
Mucus-filled airways
Diameter of peripheral airway to accompanying
artery = >1
● HGG ● CD
● ABPA ● tracheobronchomegaly
● CF ● α-1 antitrypsin deficiency
● DPB
Bronchiectasis
central
Distal
mucocele
Bronchiolarectasis
DPB
HRCT – ILD/DPLD
Nodular
Lymph-
hematogenous
Reticular
Honeycomb
Cystic Septal
Interlobular
Airspace
Ground glass
Crazy paving
PL
SARC/ BRYL
Silicosis
Lymphoma
Kaposi
Random
Mets
Miliary TB
UIP
IPF
RA
HPS
CHP
Asbestosis
drug
parenchymal
LCH (gg)
LAM
LIP (gg)
Airway
Bronchiectasis
venous
MS
PVOD
PCH
COP
CEP
Alv proteinosis
Alv mcrlithia
DIP
AIP
AHP
SAHP
BAC
lymphatic
LC
Lymphoma
sarcoid
NSIP (gg)
AIP (gg)Bronchiolar
Bronchiolitis
SAHP (gg)
RB-ILD (gg)
LCH (gg)
Vascular
tumor emboli
Raoof, S. , CHEST 2006; 129:805
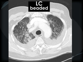
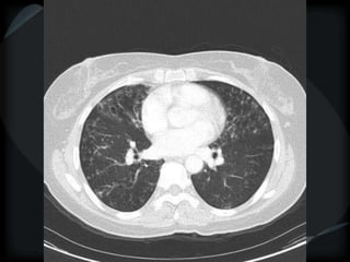
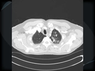
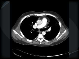
Septal Pattern – lymphatic/venous
 Secondary lobule outlined- interlobular septum
● Smooth – pulmonary veno-occlusive disease, mitral
stenosis, capillary hemangiomatosis, LC
● Beaded – lymphangitic carcinomatosis, lymphoma,
lymphangiomatosis, sarcoid
Rare = non-Langerhans’ cell histiocytosis (bone+pleura)
amyloidosis
smooth
LC
smooth
smooth
LC
beaded
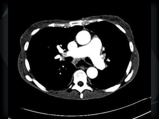
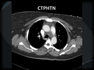
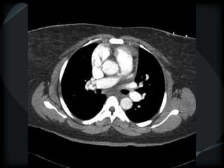
PHTN – PA 39mm
39.2mm
PHTN and septal thickening
? PVOD
HRCT – ILD/DPLD
Nodular
Lymph-
hematogenous
Reticular
Honeycomb
Cystic Septal
Interlobular
Airspace
Ground glass
Crazy paving
PL
SARC/ BRYL
Silicosis
Lymphoma
Kaposi
Random
Mets
Miliary TB
UIP
IPF
RA
HPS
CHP
Asbestosis
drug
parenchymal
LCH (gg)
LAM
LIP (gg)
Airway
Bronchiectasis
venous
MS
PVOD
PCH
COP
CEP
Alv proteinosis
Alv mcrlithia
DIP
AIP
AHP
SAHP
BAC
lymphatic
LC
Lymphoma
sarcoid
NSIP (gg)
AIP (gg)Bronchiolar
Bronchiolitis
SAHP (gg)
RB-ILD (gg)
LCH (gg)
Vascular
tumor emboli
Airspace Patterns
 Diffuse ground-glass
 Patchy consolidation (peripheral)
 Inter and intralobular septal thickening / ground glass/crazy paving
 Reverse halo/atoll sign
 Hogshead cheese sign
 Perilobular pattern
 Organising pneumonia – COP/BOOP
 Chronic eosinophilic pneumonia
 Alveolar proteinosis
 Desquamative interstitial pneumonitis
 Alveolar microlithiasis
 Alveolar sarcoid
 BAC
COP
(reverse halo/atoll sign)
COP – perilobular pattern
Sarcoid- Hogshead cheese
AHP/ Hogshead cheese
Crazy paving
Alveolar Sarcoid
HRCT – ILD/DPLD
Nodular
Lymph-
hematogenous
Reticular
Honeycomb
Cystic Septal
Interlobular
Airspace
Ground glass
Crazy paving
PL
SARC/ BRYL
Silicosis
Lymphoma
Kaposi
Random
Mets
Miliary TB
UIP
IPF
RA
HPS
CHP
Asbestosis
drug
parenchymal
LCH (gg)
LAM
LIP (gg)
Airway
Bronchiectasis
venous
MS
PVOD
PCH
COP
CEP
Alv proteinosis
Alv mcrlithia
DIP
AIP
AHP
SAHP
BAC
lymphatic
LC
Lymphoma
sarcoid
NSIP (gg)
AIP (gg)Bronchiolar
Bronchiolitis
SAHP (gg)
RB-ILD (gg)
LCH (gg)
Vascular
tumor emboli
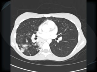
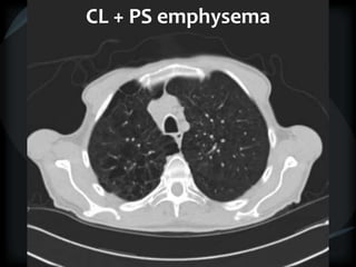
Emphysema - CL
Emphysema - PA
CL + PS emphysema
HRCT - ILD/DPLD
Nodular
PL LH
Sarc/Berylliosis Mets
Silicosis Miliary TB
Lymphoma
Kaposi
Bronchiolar
SAHP
RB-ILD
LCH
Bronchiolitis
Acinar fibrosis /Reticular/Honeycomb
UIP
CHP
Asbestosis
NSIP
AIP
Septal / Interlobular
Venous Lymphatic
CHF LC
MS Lymphoma
PVOD
Acinar filling/ ground glass
COP
CEP
Alveolar proteinosis
Alveolar microlithiasis
DIP
AIP
SAHP
AHP
BAC
Hyperlucency
Centrilobular emphysema
Paraseptal emphysema
Panacinar emphysema
Cystic
Parenchymal Bronchiectasis
LCH
LAM
LIP
Inter-observer variation in HRCT Diagnosis
131pts- Royal Brompton Hospital, London
Median (range) kw
Coefficient of agreement
IPF 0.63 (0.48-0.78)
NSIP 0.51 (0.27-0.78)
Sarcoidosis 0.70 (0.58-0.84)
Extrinsic allergic
alveolitis
0.60 (0.36-0.78)
COP 0.49 (0.06-0.76)
Smoking related ILD 0.51 (0.20-0.73)
For CT diagnosis of pulmonary embolus Kappa = 0.72-0.9
Aziz ZA, et al Thorax. 2004; 59:506-511
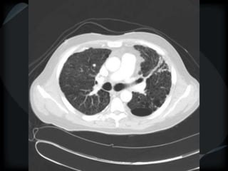
Interpretation of lung cysts
 Parenchymal cyst
•LAM, LIP, LCH, PCP
 Acinar cyst
•Honeycomb-UIP
 Bronchiectatic cyst
•ABPA, CF, CD
 Centrilobular and panacinar emphysema
LAM
Acinar cyst - honeycomb - UIP
Bronchiectatic cyst
CL + PS emphysema
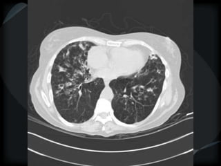
Pt with more than one form of cyst
CL emphysema + bronchiectasis + honeycomb
smoker with asbestosis
Bronchiectasis – ILD mimic
Centrilobular emphysema – mimic ILD
Dilated esophagus
Paraseptal Emphysema – mimic ILD
CT features of tuberculosis
 Cavity
 Transbronchial spread – tree-in-bud
 Transbronchial and hematogenous
Tuberculosis – TB spread
Tuberculoma – TB spread
Tuberculosis
bronchiolitis + hematogenous
TB bronchiolitis + hematogenous
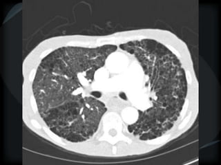
Mosaic CT Patterns
 Ground glass – inflammation/ fibrosis
 airway obstruction (best seen on expiration)
• COPD
• small airway disease
 Vascular obstruction
• chronic thrombotic pulmonary hypertension
• sickle cell disease
• vasculitis
Airway obstruction
Vascular obstruction
CTPHTN
ground glass
HRCT Interpretation
HRCT Interpretation

HRCT Interpretation

  • 1.
  • 3.
    Raoof, S. ,CHEST 2006; 129:805
  • 5.
    Secondary Pulmonary Nodule Basic unit of lung structure and function  Smallest unit of lung structure marginated by interlobular septa  Septa more peripheral, less or absent centrally  Polyhedral 10-25mm diameter  Terminal bronchiole supplies the SPL  Arteries paired with bronchi  Veins run in the periphery of lobule  Lymphatics are along axial skeleton perivascular peribronchial up to terminal bronchioles and peripheral along interlobular septa and pleura  SPL contains 5-15 acini – 8mm dia  Acinus is the structure distal to end terminal bronchiole (30,000 TB) and contains 2–5 generation of RB and alveolar duct and alveolar sacs (300 million)  End terminal bronchiole 2.5mm from interlobular septae and pleura  2nd generation RB site of small particle deposition less than 5 micron  HRCT: • PA > 0.2mm D at which point are present the distal terminal bronchiole, and 1st generation RB (not seen) • Acini at distal tip of peripheral branching artery
  • 8.
    Abnormal secondary lobule Lymphatic distribution  Nodular - perilymphatic ● SP, septal, axial ● SARC, SIL, BERY, Kap, lymphoma  Septal thickening ● Interlobular ● LC  Lobular / Acinar distribution – fibrosis  Inter / Intralobular septae, reticular, honeycomb  UIP, NSIP, CHP, Asbestosis  Vascular distribution  Nodular – random ● SP, septal, non-axial ● Mets, miliary  Septal thickening – interlobular ● VOD, CH, MS  Centrilobular nodule - tree-in-bud ● Tumor embolism  Airway distribution  Centrilobular nodule - Tree-in-bud ● Bronchiolitis  Centrilobular nodule – ground glass ● SAHP, RBILD  Centrilobular nodule and ectasia ● M. avium, DPB  Lobular / Acinar distribution - filling  Ground glass, airspace, crazy paving ● COP, CEP, AP, BAC
  • 9.
    Raoof, S. ,CHEST 2006; 129:805
  • 11.
    Abnormal secondary lobule Lymphatic distribution  Nodular - perilymphatic ● SP, septal, axial ● SARC, SIL, BERY, Kap, lymphoma  Septal thickening ● Interlobular ● LC  Lobular / Acinar distribution – fibrosis  Inter / Intralobular septae, reticular, honeycomb  UIP, NSIP, CHP, Asbestosis  Vascular distribution  Nodular – random ● SP, septal, non-axial ● Mets, miliary  Septal thickening – interlobular ● VOD, CH, MS  Centrilobular nodule - tree-in-bud ● Tumor embolism  Airway distribution  Centrilobular nodule - Tree-in-bud ● Bronchiolitis  Centrilobular nodule – ground glass ● SAHP, RBILD  Centrilobular nodule and ectasia ● M. avium, DPB  Lobular / Acinar distribution - filling  Ground glass, airspace, crazy paving ● COP, CEP, AP, BAC
  • 12.
    Raoof, S. ,CHEST 2006; 129:805
  • 13.
    HRCT – ILD/DPLD Nodular Lymph- hematogenous Reticular Honeycomb CysticSeptal Interlobular Airspace Ground glass Crazy paving PL SARC/ BRYL Silicosis Lymphoma Kaposi Random Mets Miliary TB UIP IPF RA HPS CHP Asbestosis drug parenchymal LCH (gg) LAM LIP (gg) Airway Bronchiectasis venous MS PVOD PCH COP CEP Alv proteinosis Alv mcrlithia DIP AIP AHP SAHP BAC lymphatic LC Lymphoma sarcoid NSIP (gg) AIP (gg)Bronchiolar Bronchiolitis SAHP (gg) RB-ILD (gg) LCH (gg) Vascular tumor emboli
  • 14.
    HRCT PATTERNS NODULAR PATTERN lymphohematogenous  Bronchiolar terminal bronchiole  Vascular intralobular artery LYMPHOHEMATOGENOUS  subpleural  on fissures and septae PERYLYMPHATIC RANDOM axial skeleton end of vessels perivascular / peribronchial cavitation upper lobes basilar -sarcoidosis -mets -berylliosis -miliary TB/ histoplasmosis/crypto -silicosis/ CWP -septic emboli -lymphoma -vasculitis -Kaposi's -amyloidosis Raoof S., CHEST 2006;129:805
  • 15.
    Raoof, S. ,CHEST 2006; 129:805
  • 16.
  • 19.
  • 23.
  • 25.
    HRCT PATTERNS NODULAR PATTERN lymphohematogenous  Bronchiolar terminal bronchiole  Vascular intralobular artery LYMPHOHEMATOGENOUS  subpleural  on fissures and septae PERYLYMPHATIC RANDOM axial skeleton end of vessels perivascular/ peribronchial cavitation upper lobes basilar -sarcoidosis -mets -berylliosis -miliary TB/ histoplasmosis/crypto -silicosis/ CWP -septic emboli -lymphoma -vasculitis -Kaposi's -amyloidosis Raoof S., CHEST 2006;129:805
  • 26.
    Raoof, S. ,CHEST 2006; 129:805
  • 27.
  • 29.
  • 32.
  • 34.
  • 37.
    HRCT PATTERNS NODULAR PATTERN lymphohematogenous  Bronchiolar terminal bronchiole  Vascular intralobular artery LYMPHOHEMATOGENOUS  subpleural  on fissures and septae PERYLYMPHATIC RANDOM axial skeleton end of vessels perivascular / peribronchial cavitation upper lobes basilar -sarcoidosis -mets -berylliosis -miliary TB/ histoplasmosis/crypto -silicosis/ CWP -septic emboli -lymphoma -vasculitis -Kaposi's -amyloidosis Raoof S., CHEST 2006;129:805
  • 38.
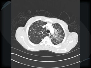
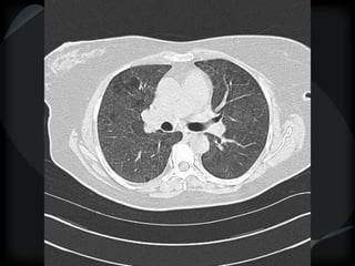
    HRCT - NodularPattern BRONCHIOLAR  Centrilobular nodules: small airways of secondary lobule  1-3mm away from pleura  Not sub pleural  Not on fissures or septae Primary bronchiolar disease Mixed bronchiolar Sharp branching nodules Peribronchiolar Tree-in-bud ground glass nodules+/-tree-in-bud MAI, MTB sub acute HP Aspergillus respiratory bronchiolitis - ILD DPB, DAB LIP Follicular bronchiolitis Early LCH Immune bronchiolitis – UC metastatic Calcification (CRF) mineral dust bronchiolitis nylon flock workers disease Secondary to bronchiectasis silicosis Vascular • Tree-in-bud/ ground glass tumor embolism Plexogenic arteriopathy of PAH Raoof, S. CHEST 2006; 129:805
  • 39.
    Raoof, S. ,CHEST 2006; 129:805
  • 40.
    Tree-in-Bud Appearance Bronchiolitis Rare- tumorcell emboli – intralobular artery
  • 41.
  • 43.
  • 44.
    Subacute HP bronch /peribronch / gg
  • 46.
  • 47.
  • 49.
    HRCT – ILD/DPLD Nodular Lymph- hematogenous Reticular Honeycomb CysticSeptal Interlobular Airspace Ground glass Crazy paving PL SARC/ BRYL Silicosis Lymphoma Kaposi Random Mets Miliary TB UIP IPF RA HPS CHP Asbestosis drug parenchymal LCH (gg) LAM LIP (gg) Airway Bronchiectasis venous MS PVOD PCH COP CEP Alv proteinosis Alv mcrlithia DIP AIP AHP SAHP BAC lymphatic LC Lymphoma sarcoid NSIP (gg) AIP (gg)Bronchiolar Bronchiolitis SAHP (gg) RB-ILD (gg) LCH (gg) Vascular tumor emboli
  • 50.
    HRCT RETICULAR PATTERN -UIP  peripheral reticular lines / inter and intralobular septae  honeycomb  Traction bronchiectasis  None or minimal ground glass  Gradient increasing from apex to base  Skip areas  Diagnostic accuracy high  Idiopathic  Familial  CVD - RA  Drugs – NFT, Busulphan  Asbestosis = basilar – bands – pleural calcification  Chronic HP = upper and midzones  Hermansky-Pudlak syndrome Acute exacerbation of UIP ● above + ground glass ● Peripheral – better prognosis – Fibroblastic Foci+++ ● Diffuse – worse prognosis – DAD AMJRCCM.198:372;2008 AIP ● Diffuse ground glass + airspace ● Traction bronchiectasis ● honeycomb
  • 52.
  • 55.
  • 58.
  • 62.
    HRCT RETICULAR PATTERN -UIP (acinar fibrosis)  peripheral reticular lines  honeycomb  Traction bronchiectasis  None or minimal ground glass  Gradient increasing from apex to base  Skip areas  Diagnostic accuracy high  Idiopathic  Familial  CVD - RA  Drugs – NFT, Busulphan  Asbestosis = basilar – bands – pleural calcification  Chronic HP = upper and midzones  Hermansky-Pudlak syndrome Acute exacerbation of UIP  above + ground glass  Peripheral – better prognosis – Fibroblastic Foci+++  Diffuse – worse prognosis – DAD AMJRCCM.198:372; 2008 AIP  Diffuse ground glass + airspace  Traction bronchiectasis  honeycomb
  • 63.
  • 65.
  • 68.
    HRCT RETICULAR PATTERN -UIP (acinar fibrosis)  peripheral reticular lines  honeycomb  Traction bronchiectasis  None or minimal ground glass  Gradient increasing from apex to base  Skip areas  Diagnostic accuracy high  Idiopathic  Familial  CVD - RA  Drugs – NFT, Busulphan  Asbestosis = basilar – bands – pleural calcification  Chronic HP = upper and midzones  Hermansky-Pudlak syndrome Acute exacerbation of UIP  above + ground glass  Peripheral – better prognosis – Fibroblastic Foci+++  Diffuse – worse prognosis – DAD AMJRCCM.198:372; 2008 AIP  Diffuse ground glass + airspace  Traction bronchiectasis  honeycomb
  • 69.
  • 74.
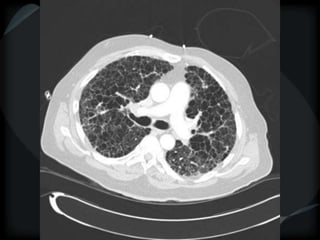
    Reticular Pattern -NSIP inflammation and fibrosis  Predominantly basilar  Significant ground glass  Subpleural sparing low sensitivity, high specificity  No honeycombing, some cystic change  Traction Bronchiectasis Diagnostic accuracy 50%  Cellular NSIP  Fibrotic NSIP  Associated with CVD  Undifferentiated CVD – T. King
  • 75.
  • 78.
  • 80.
    HRCT – ILD/DPLD Nodular Lymph- hematogenous Reticular Honeycomb CysticSeptal Interlobular Airspace Ground glass Crazy paving PL SARC/ BRYL Silicosis Lymphoma Kaposi Random Mets Miliary TB UIP IPF RA HPS CHP Asbestosis drug parenchymal LCH (gg) LAM LIP (gg) Airway Bronchiectasis venous MS PVOD PCH COP CEP Alv proteinosis Alv mcrlithia DIP AIP AHP SAHP BAC lymphatic LC Lymphoma sarcoid NSIP (gg) AIP (gg)Bronchiolar Bronchiolitis SAHP (gg) RB-ILD (gg) LCH (gg) Vascular tumor emboli
  • 81.
    Cystic Pattern  Parenchymal Bronchiectasis  Parenchymal LCH  irregular shaped cysts, stellate:3-10mm; upper lobe  Ground glass centrilobular nodules  Air trapping – mosaic patterns  Spares costophrenic angles LAM  Thin walled oval cysts  Normal parenchyma  Pleural effusion-chylous  normal or hyperinflated lung  angiomyolipoma LIP  Ground glass centrilobular nodules  Diffuse ground glass  Thin walled cysts  PCP, papilomatosis, Birt-Hogg-Dube disease
  • 82.
  • 85.
  • 87.
  • 88.
    Cystic Pattern  Parenchymal Bronchiectasis  Parenchymal LCH  irregular shaped cysts, stellate:3-10mm; upper lobe  Ground glass centrilobular nodules  Air trapping – mosaic patterns  Spares costophrenic angles LAM  Thin walled oval cysts  Normal parenchyma  Pleural effusion-chylous  normal or hyperinflated lung  angiomyolipoma LIP  Ground glass centrilobular nodules  Diffuse ground glass  Thin walled cysts  PCP, papilomatosis, Birt-Hogg-Dube disease
  • 89.
    Bronchiectasis Vessel at wallof cyst – signet ring Cyst stacked in tubular orientation Cyst stacked in branching pattern Dilated, irregular, thickened airways Mucus-filled airways Diameter of peripheral airway to accompanying artery = >1 ● HGG ● CD ● ABPA ● tracheobronchomegaly ● CF ● α-1 antitrypsin deficiency ● DPB
  • 90.
  • 94.
  • 97.
  • 98.
    HRCT – ILD/DPLD Nodular Lymph- hematogenous Reticular Honeycomb CysticSeptal Interlobular Airspace Ground glass Crazy paving PL SARC/ BRYL Silicosis Lymphoma Kaposi Random Mets Miliary TB UIP IPF RA HPS CHP Asbestosis drug parenchymal LCH (gg) LAM LIP (gg) Airway Bronchiectasis venous MS PVOD PCH COP CEP Alv proteinosis Alv mcrlithia DIP AIP AHP SAHP BAC lymphatic LC Lymphoma sarcoid NSIP (gg) AIP (gg)Bronchiolar Bronchiolitis SAHP (gg) RB-ILD (gg) LCH (gg) Vascular tumor emboli
  • 100.
    Raoof, S. ,CHEST 2006; 129:805
  • 101.
    Septal Pattern –lymphatic/venous  Secondary lobule outlined- interlobular septum ● Smooth – pulmonary veno-occlusive disease, mitral stenosis, capillary hemangiomatosis, LC ● Beaded – lymphangitic carcinomatosis, lymphoma, lymphangiomatosis, sarcoid Rare = non-Langerhans’ cell histiocytosis (bone+pleura) amyloidosis
  • 102.
  • 103.
  • 104.
  • 105.
  • 107.
    PHTN – PA39mm 39.2mm
  • 108.
    PHTN and septalthickening ? PVOD
  • 109.
    HRCT – ILD/DPLD Nodular Lymph- hematogenous Reticular Honeycomb CysticSeptal Interlobular Airspace Ground glass Crazy paving PL SARC/ BRYL Silicosis Lymphoma Kaposi Random Mets Miliary TB UIP IPF RA HPS CHP Asbestosis drug parenchymal LCH (gg) LAM LIP (gg) Airway Bronchiectasis venous MS PVOD PCH COP CEP Alv proteinosis Alv mcrlithia DIP AIP AHP SAHP BAC lymphatic LC Lymphoma sarcoid NSIP (gg) AIP (gg)Bronchiolar Bronchiolitis SAHP (gg) RB-ILD (gg) LCH (gg) Vascular tumor emboli
  • 111.
    Airspace Patterns  Diffuseground-glass  Patchy consolidation (peripheral)  Inter and intralobular septal thickening / ground glass/crazy paving  Reverse halo/atoll sign  Hogshead cheese sign  Perilobular pattern  Organising pneumonia – COP/BOOP  Chronic eosinophilic pneumonia  Alveolar proteinosis  Desquamative interstitial pneumonitis  Alveolar microlithiasis  Alveolar sarcoid  BAC
  • 112.
  • 113.
  • 114.
  • 115.
  • 116.
  • 117.
  • 118.
    HRCT – ILD/DPLD Nodular Lymph- hematogenous Reticular Honeycomb CysticSeptal Interlobular Airspace Ground glass Crazy paving PL SARC/ BRYL Silicosis Lymphoma Kaposi Random Mets Miliary TB UIP IPF RA HPS CHP Asbestosis drug parenchymal LCH (gg) LAM LIP (gg) Airway Bronchiectasis venous MS PVOD PCH COP CEP Alv proteinosis Alv mcrlithia DIP AIP AHP SAHP BAC lymphatic LC Lymphoma sarcoid NSIP (gg) AIP (gg)Bronchiolar Bronchiolitis SAHP (gg) RB-ILD (gg) LCH (gg) Vascular tumor emboli
  • 121.
  • 123.
  • 124.
    CL + PSemphysema
  • 125.
    HRCT - ILD/DPLD Nodular PLLH Sarc/Berylliosis Mets Silicosis Miliary TB Lymphoma Kaposi Bronchiolar SAHP RB-ILD LCH Bronchiolitis Acinar fibrosis /Reticular/Honeycomb UIP CHP Asbestosis NSIP AIP Septal / Interlobular Venous Lymphatic CHF LC MS Lymphoma PVOD Acinar filling/ ground glass COP CEP Alveolar proteinosis Alveolar microlithiasis DIP AIP SAHP AHP BAC Hyperlucency Centrilobular emphysema Paraseptal emphysema Panacinar emphysema Cystic Parenchymal Bronchiectasis LCH LAM LIP
  • 126.
    Inter-observer variation inHRCT Diagnosis 131pts- Royal Brompton Hospital, London Median (range) kw Coefficient of agreement IPF 0.63 (0.48-0.78) NSIP 0.51 (0.27-0.78) Sarcoidosis 0.70 (0.58-0.84) Extrinsic allergic alveolitis 0.60 (0.36-0.78) COP 0.49 (0.06-0.76) Smoking related ILD 0.51 (0.20-0.73) For CT diagnosis of pulmonary embolus Kappa = 0.72-0.9 Aziz ZA, et al Thorax. 2004; 59:506-511
  • 127.
    Interpretation of lungcysts  Parenchymal cyst •LAM, LIP, LCH, PCP  Acinar cyst •Honeycomb-UIP  Bronchiectatic cyst •ABPA, CF, CD  Centrilobular and panacinar emphysema
  • 128.
  • 129.
    Acinar cyst -honeycomb - UIP
  • 130.
  • 132.
    CL + PSemphysema
  • 133.
    Pt with morethan one form of cyst CL emphysema + bronchiectasis + honeycomb smoker with asbestosis
  • 136.
  • 143.
  • 155.
  • 158.
  • 160.
    CT features oftuberculosis  Cavity  Transbronchial spread – tree-in-bud  Transbronchial and hematogenous
  • 161.
  • 163.
  • 165.
  • 168.
    TB bronchiolitis +hematogenous
  • 172.
    Mosaic CT Patterns Ground glass – inflammation/ fibrosis  airway obstruction (best seen on expiration) • COPD • small airway disease  Vascular obstruction • chronic thrombotic pulmonary hypertension • sickle cell disease • vasculitis
  • 173.
  • 178.
  • 181.
  • 185.