Gamal Rabie Agmy, MD, FCCP
Professor of Chest Diseases, Assiut University
ERS National Delegate of Egypt
Bulla
<1mmwall
>1cmsize
Pneumatocele
<1mmwall
staph.infection
Honeycombing
<1cmsize
multipleequal
Cyst
1-3mmwall
1-10cmsize
Cavity
>3mmwall
Anysize
Cavitarylesionsoflung
Bulla
Definition
•Thin-walled–less than 1 mm
•Air-filled space
•In the lung> 1 cm in size and up to 75% of lung
•Walls may be formed by pleura, septa,
or compressed lung tissue.
•Results from destruction, dilatation and
confluence of airspaces distal to terminal
bronchioles.
•Bullous disease may be primary or associated
with emphysema or interstitial lung disease.
• Primary bullous lung disease may be familial
and has been associated with Marfan's, Ehler's
Danlos, IV drug users, HIV infection, and
vanishing lung syndrome.
•Bullae may occasionally become very large
and compromise respiratory function. Thus
has been referred as vanishing lung syndrome,
and may be seen in young men.
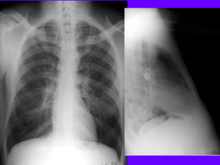
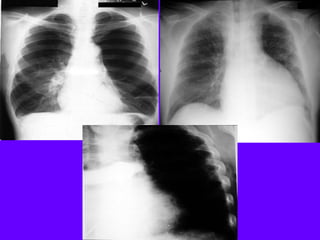
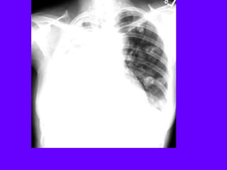
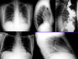
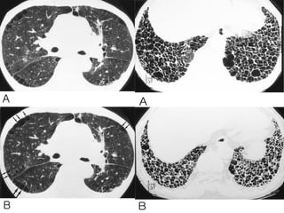
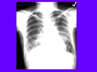
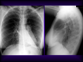
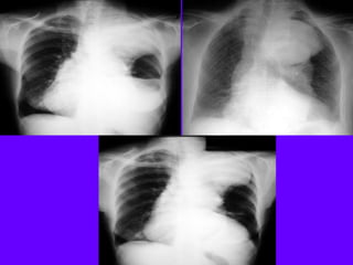
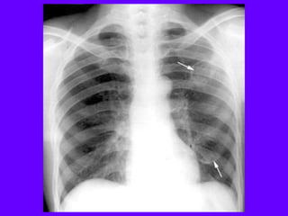
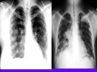
Upper lobe Bulla
Lower lobe Bulla
A: Xray shows bilateral bulla.
B: CT shows bilateral bulla.
C: CT after bullectomy.
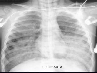
Pneumatocele is a benign air containing cyst of lung, with
thin wall < 1mm as bulla but with different mechanism 
Infection with staph aureus is the commonest cause ( less
common causes are, trauma, barotrauma) lead to necrosis
and liquefaction followed by air leak and subpleural
dissection forming a thin walled cyst.
•Honeycombing is defined as multiple cysts < 1cm in diameter,with
well defined walls, in a background of fibrosis, tend to form
clusters and is considered as end stage lung .
•It is formed by extensive interstitial fibrosis of lung with residual
cystic areas.
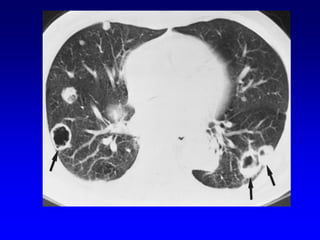
A cyst is a ring
shadow > 1 cm in
diameter and up to
10 cm with wall
thickness from 1-3
mm.
Thin walled cysts of LAM
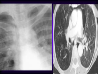
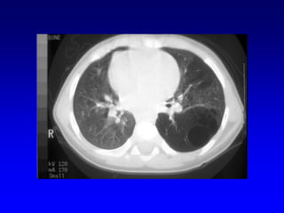
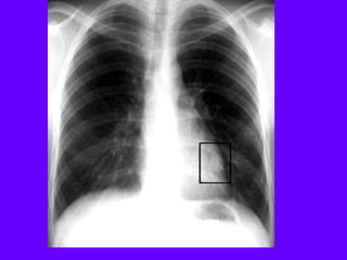
A cavity is > 1cm
in diameter, and its
wall thickness is
more than 3 mm.
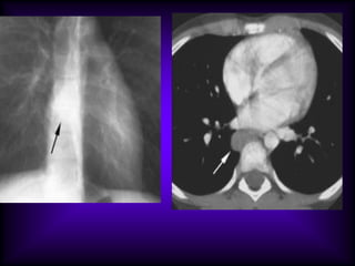
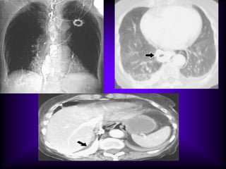
•A central portion  necrosis and communicate to bronchus.
•The draining bronchus is visible (arrow). CT (2 mm slice thickness)
shows discrete air bronchograms in the consolidated area.
Mechanism
1. Site
A cavity in apicoposterior segment of left upper lobe
2.Number
Multiple cavities:
1. Aspiration.
2. TB
3. Fungal.
4. Metastatic.
5. Septic emboli.
6.Wegners granulomatosis
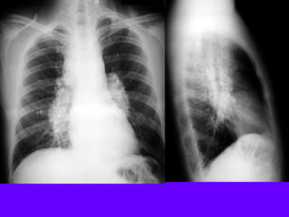
Multiple cysts of metastasis
from squamous cell
carcinoma.
Multiple thick wall cavities from
adenocarcinoma of right lung
Irregular , nodular inner lining of thick wall abscess
Malignant cavity.
3. Thickness and
irregularity
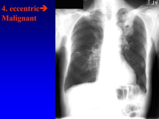
4. eccentric
Malignant
5. Relation to lymph
node enlargement
6. Contents
•Arrow head  Crescent sign.
•Black arrows  Fibrotic bands surrounding cavity
(Fibrocavitary TB).
Primary Lung Cancer
• Thick wall
• Shaggy lumen
• Eccentric cavitation
|
Squamous Cell Carcinoma Lung
LUL mass
Thick walled cavity
Eccentric location of cavity
Fungous Ball
Long standing cavity
Containing round density (A)
Mobile density
Adjacent pleural reaction (B) - characteristic of aspergilloma
Cavitating Metastasis
MultipleThin Walled Cavities
Cancer Cervix
Lung Cancer / Squamous Cell
Mass density
Anterior segment of LUL
Thick wall cavitation
SquamousCell Carcinoma
Anterior segment of LUL
Thick wall
Fluid level
Full hilum
SquamousCell Carcinoma Lung
Thick wall
Irregular lumen
left hilar LN
Etiology:
Cavity can be encountered in practically most lung
diseases.
Common diseases and their characteristics include:
Primary Lung Cancer
Thick wall
Shaggy lumen
Eccentric cavitation
Necrotizing Pneumonia
Lung abscess
Gravity dependant segments
Thick wall
Air-fluid levels
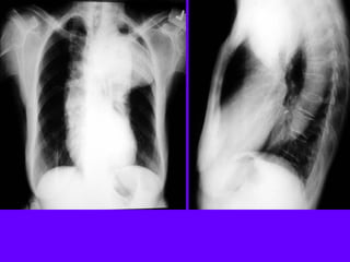
Tuberculosis
Superior segments
Infiltrate around
Bilateral
Fungal infections
Aspergillus
Fungous ball
Sub acute invasive aspergillosis
Metastatic disease
Thin walled (Squamous cell)
Thick wall (Adenoma)
Diffuse Alveolar Pneumonia
The most common causes for diffuse alveolar pneumonia are:
Pneumocystis
Cytomegalovirus
Consolidation Right
Upper Lobe /
Density in right upper lung
field
Lobar density
Loss of ascending aorta
silhouette
No shift of mediastinum
Transverse fissure not
significantly shifted
Air bronchogram
Necrotizing Pneumonia / Lung Abscess / Aspiration
Superior segment RLL dense pneumonia
Progression / Cavity
Radiation Pneumonia
Post Mediastinal Radiation
Air space disease (air bronchogram)
Over radiation port (vertical and paramediastinal)
Bilateral
Progression to fibrosis
Round Pneumonia
Round density
Shorter doubling time
Air bronchogram
The most common causes for round pneumonia are:
Fungal
Tuberculosis
Consolidation / Lingula
Density in left lower lung field
Loss of left heart silhouette
Diaphragmatic silhouette intact
No shift of mediastinum
Blunting of costophrenic angle
Lateral
Lobar density
Oblique fissure not
significantly shifted
Air bronchogram
Consolidation Left Lower Lobe
Density in left lower lung field
Left heart silhouette intact
Loss of diaphragmatic silhouette
No shift of mediastinum
Pneumatocele
One diaphragm only visible
Lobar density
Oblique fissure not significantly
shifted
Left Upper Lobe Consolidation
Density in the left upper lung field
Loss of silhouette of left heart margin
Density in the projection of LUL in lateral view
Air bronchogram in PA view
No significant loss of lung volume
Vague density right lower lung field
Indistinct right cardiac silhouette
Intact diaphragmatic silhouette
Density corresponding to RML
No loss of lung volume
RML pneumonia
Consolidation Right Upper Lobe /
Air Bronchogram
Density in right upper lung field
Lobar density
Loss of ascending aorta silhouette
No shift of mediastinum
Transverse fissure not significantly shifted
Air bronchogram
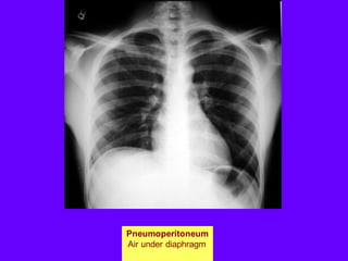
Pneumoperitoneum
Air under diaphragm
Elevated Diaphragm"
Note pneumoperitoneum
Supradiaphragmatic mass
Can be mistaken for elevated diaphragm
Pellets
Alveolar Cell Carcinoma - Progression
Old film on left
Solitary pulmonary nodule resected
Onset of diaphragmatic paralysis
Progression to multicentric acinar nodules
Hyperlucent Lung
Factors
Vasculature: Decrease
Air: Excess
Tissue : Decrease
Bilateral diffuse
Emphysema
Asthma
Unilateral
Swyer James syndrome
Agenesis of pulmonary artery
Absent breast or pectoral muscle
Partial airway obstruction
Compensatory hyperinflation
Localized
Bullae
Westermark's sign : Pulmonary embolus
Agenesis of Left Pulmonary Artery
Missing vascular markings in left lung
Left hilum not seen
Entire cardiac output to right lung
Missing Right Breast
"Hyperlucent" right base secondary to missing breast.
Unilateral Hyperlucent Lung
Left Upper Lobe Resection
Left lung hyper lucent
Left hilum pulled up
No abnormal density
Pneumomediastinum
Alveolar Proteinosis
Bilateral diffuse alveolar disease
Butterfly pattern
Medullary distribution
Air bronchograms
Adult Respiratory Distress Syndrome
Non-cardiogenic pulmonary edema
Distinguishing characteristics:
Normal size heart
No pleural effusion
Foreign Body Aspiration
Chest Tubes
Achalasia of
esophagus
• Inhomogeneous
cardiac density:
Right half more
dense than left
• Density crossing
midline (right black
arrow)
• Right sided inlet to
outlet shadow
• Right para spinal line
(left black arrow)
• Barium swallow
below: Dilated
esophagus
Aortic Aneurysms
• Location
– Ascending / Anterior mediastinum
– Arch / Middle mediastinum
– Descending / Posterior mediastinum
• Characteristics
– Mediastinal "mass" density
– Extrapleural
– Calcification of wall
• Dissecting
– Inward displacement of calcified intima
– Wavy margin
– Inlet to outlet shadow
– Left pleural effusion
Dissecting Aneurysm
Mediastinal widening
Inlet to outlet shadow
on left side
Retrocardiac: Intact
silhouette of left heart
margin
Pulmonary artery
overlay sign: Density
behind left lower lobe
Wavy margin
Pulmonary Metastsis
Colon in front of liver
Lymph Nodes
Thrombotic Pulmonary Embolism
Thrombotic Pulmonary Embolism
Thrombotic Pulmonary Embolism
Embolism Nonthrombotic Pulmonary
Embolism Nonthrombotic Pulmonary
Embolism Nonthrombotic Pulmonary
Embolism Nonthrombotic Pulmonary
Embolism Nonthrombotic Pulmonary
of PE Diagnostic Algorithm
1. Patients with normal chest radiographic findings
are evaluated with a perfusion scan and, if
necessary, an aerosol ventilation scan. Patients
with normal or very low probability scintigraphic
findings are presumed not to have pulmonary
emboli .
2-Patients with a high-probability scan usually
undergo anticoagulation therapy. All other patients
should be evaluated with helical CT pulmonary
angiography, conventional pulmonary
angiography, or lower-extremity US, depending on
the clinical situation
of PE Diagnostic Algorithm
3-Patients with abnormal chest radiographic findings, are
unlikely to have definitive scintigraphic findings. These
patients undergo helical CT pulmonary angiography as well
as axial CT of the inferior vena cava and the iliac, femoral,
and popliteal veins. If the findings at helical CT pulmonary
angiography are equivocal or technically inadequate (5%–
10% of cases) or clinical suspicion remains high despite
negative findings, additional imaging is required.
4-Patients who have symptoms of deep venous thrombosis
but not of pulmonary embolism initially undergo US, which
is a less expensive alternative. If the findings are negative,
imaging is usually discontinued; if they are positive, the
patient is evaluated for pulmonary embolism at the
discretion of the referring physician.
Developmental Anomalies
Developmental Anomalies
Developmental Anomalies
Developmental Anomalies
Developmental Anomalies
Pulmonary A-V Malformations
Pulmonary Edema
Pulmonary Artery Aneurysms
Pulmonary Artery Aneurysms
Pulmonary –Systemic Communications
Pulmonary –Systemic Communications
Pulmonary –Systemic ommunications
Abnormal Systemic Arteries
Pulmonary Hypertension
Pulmonary Hemorrhage
Pneumomediastinum
Potential Sources of Mediastinal Air
Intrathoracic
Trachea and major bronchi
Esophagus
Lung
Pleural space
Extrathoracic
Head and neck
Intraperitoneum and retroperitoneum
Radiographic Signs of Pneumomediastinum
Subcutaneous emphysema
Thymic sail sign
Pneumoprecardium
Ring around the artery sign
Tubular artery sign
Double bronchial wall sign
Continuous diaphragm sign
Extrapleural sign
Air in the pulmonary ligament
Mediastinal Cysts
The CT features of benign
mediastinal cyst are
(a) a smooth, oval or tubular mass with a well-
defined thin wall that usually enhances after
intravascular administration of contrast
material,
(b) homogeneous attenuation, usually in the
range of water attenuation (0–20 HU),
(c) no enhancement of cyst contents, and
(d) no infiltration of adjacent mediastinal
structures.
Cysts that contain serous fluid typically have
long T1 and T2 relaxation values, which
produce low signal intensity on T1-weighted
MR images and high signal intensity on T2-
weighted images.
Because cysts containing nonserous
fluid can have high attenuation at CT,
they may be mistaken for solid
lesions. MR imaging can be useful in
showing the cystic nature of these
masses because these cysts continue
to have characteristically high signal
intensity when imaged with T2-
weighted sequences regardless of the
nature of the cyst contents
Radionuclide imaging can be helpful in
detecting functioning thyroid tissue
(iodine-123 or I-131) or parathyroid
tissue (technetium-99m sestamibi) in
the mediastinal cystic mass . gallium-
67 scintigraphy may show increased
radiotracer uptake in the cystic
malignancy owing to necrosis such as
lymphoma or metastatic carcinoma.
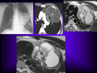
Ultrasonography (US) can be useful in
evaluating a mass adjacent to the
pleural surface or cardiophrenic angle.
At US, the benign cysts typically
appear as anechoic thin-walled
masses with increased through
transmission
Bronchogenic Cysts
Duplication Cyst
Pericardial Cyst
Meningocele
Thymic Cysts
Cystic Teratoma
Lymphangioma
Cystlike Lesions
•Mediastinal Pancreatic Pseudocyst
Mediastinal Abscess
Chest radiology part 3

Chest radiology part 3