Thoracic Imaging Terms

By

Gamal Rabie Agmy , MD , FCCP

Professor of Chest Diseases ,Assiut University
ERS National Delegate of Egypt
Air Bronchogram
An air bronchogram is a pattern of air-filled
(low-attenuation) bronchi on a background
of opaque (high-attenuation) airless lung . The
sign implies
(a) patency of proximal airways and
(b) evacuation of alveolar air by means of
absorption (atelectasis) or replacement
(eg, pneumonia) or a combination of these
processes.
(c) In rare cases, the displacement of air is
the result of marked interstitial expansion
(eg, lymphoma) .
Air Crescent
An air crescent is a collection of air in a
crescentic shape that separates the wall of
a cavity from an inner mass .The air
crescent sign is often considered
characteristic
of
either
Aspergillus
colonization of preexisting cavities or
retraction of infarcted lung in angioinvasive
aspergillosis .However, the air crescent
sign has also been reported in other
conditions,
including
tuberculosis,
Wegener granulomatosis, intracavitary
hemorrhage, and lung cancer.
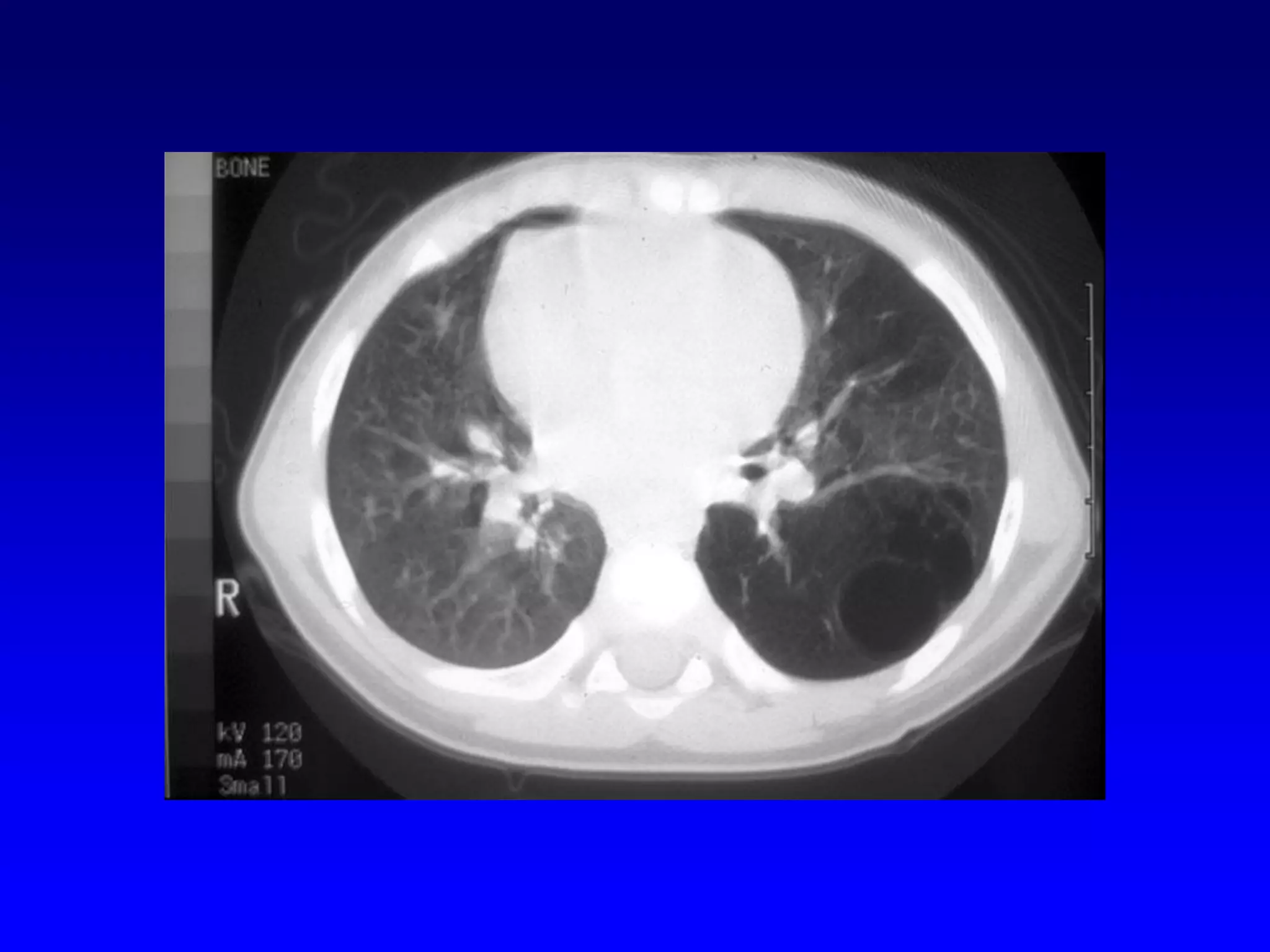
Air Trapping
Air trapping is retention of air in the lung
distal to an obstruction (usually partial). Air
trapping is seen on end-expiration CT
scans as parenchymal areas with less
than normal increase in attenuation and
lack of volume reduction. Comparison
between inspiratory and expiratory CT
scans can be helpful when air trapping is
subtle or diffuse. Differentiation from areas
of decreased attenuation resulting from
hypoperfusion as a consequence of an
occlusive vascular disorder (eg, chronic
thromboembolism) may be problematic ,
but other findings of airways versus
vascular disease are usually present.
Where is the pathology ???????
in the areas with increased density
meaning there is ground glass
in the areas with decreased density
meaning there is air trapping
Pathology in black areas
Airtrapping: Airway Disease
Bronchiolitis obliterans (constrictive bronchiolitis)
idiopathic, connective tissue diseases, drug reaction,
after transplantation, after infection

Hypersensitivity pneumonitis
granulomatous inflammation of bronchiolar wall

Sarcoidosis
granulomatous inflammation of bronchiolar wall

Asthma / Bronchiectasis / Airway diseases
Airway Disease
what you see……
In inspiration
sharply demarcated areas of seemingly increased
density (normal) and decreased density
demarcation by interlobular septa

In expiration
‘black’ areas remain in volume and density
‘white’ areas decrease in volume and increase in
density
INCREASE IN CONTRAST
DIFFERENCES
Bronchiolitis

obliterans
Aortopulmonary Window
Focal concavity in the left mediastinal
border below the aorta and above the left
pulmonary artery can be seen on a frontal
radiograph . Its appearance may be
modified by tortuosity of the aorta. The
aortopulmonary window is a common site
of lymphadenopathy in a variety of
inflammatory and neoplastic diseases.
Lymph
nodes

Enlarged hilar shadow with lobulated outlines
Normal
Lymph
nodes

Retrosternal
Prevascular
Retrocaval
Aortic window
Carinal
Subcarinal
Hilar
Z-esophageal
Circm-cardiac

Anatomic Considerations

3

3
Lymph
nodes

Anatomic Considerations
5

Retrosternal
Prevascular
Retrocaval
Aortic window
Carinal
Subcarinal
Hilar
Z-esophageal
Circm-cardiac

6
Lymph
nodes

Anatomic Considerations
7

Retrosternal
Prevascular
Retrocaval
Aortic window
Carinal
Subcarinal
Hilar
Z-esophageal
Circm-cardiac

7
8
9
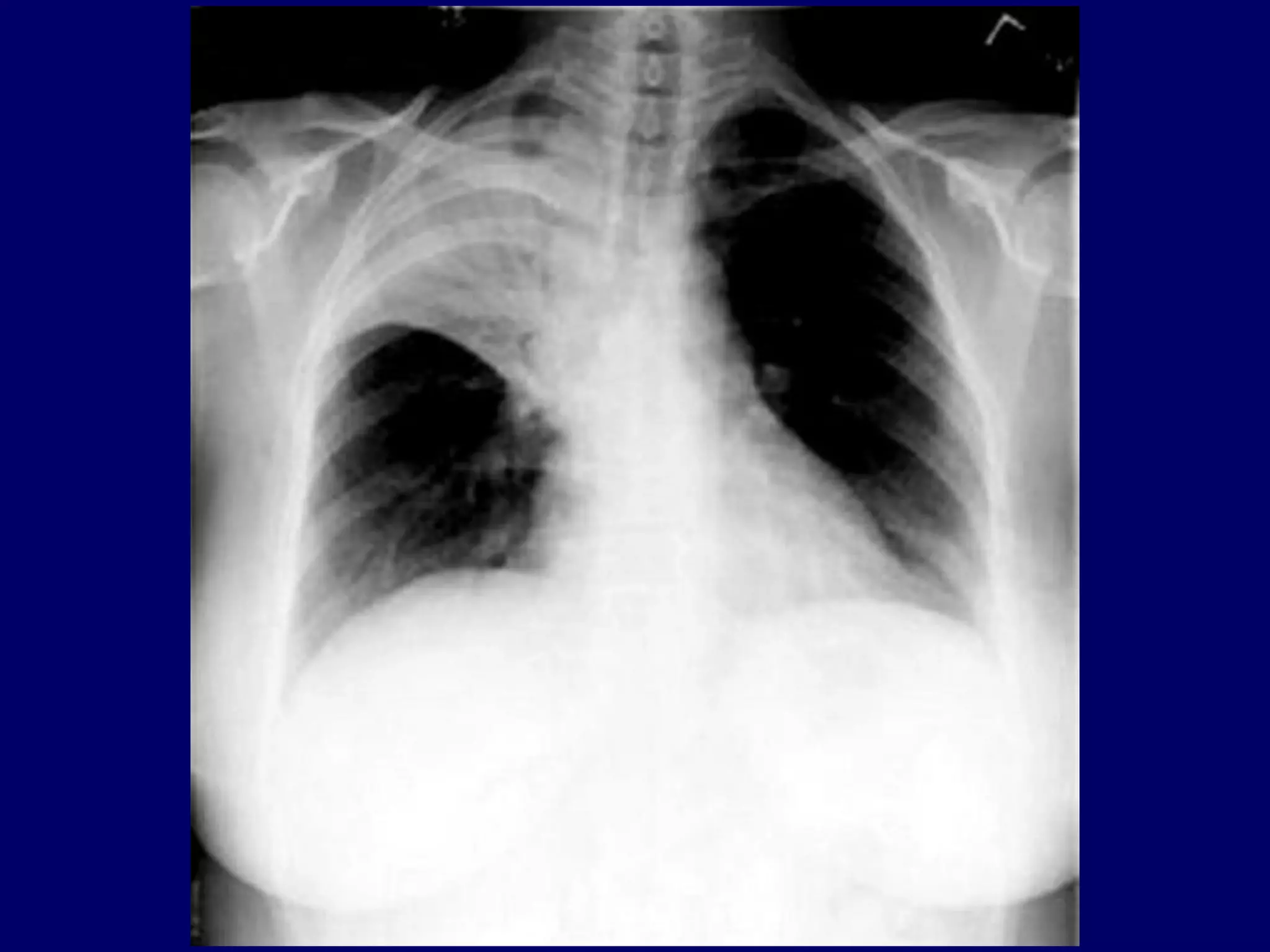
Apical Cap
The usual appearance is of homogeneous
soft-tissue attenuation capping the extreme lung
apex (uni- or bilaterally), with a sharp or irregular
lower border .Thickness is variable, ranging up to
about 30 mm . An apical cap occasionally mimics
apical consolidation on transverse CT scans.
Architectural Distortion
Lung anatomy has a distorted appearance
and is usually associated with pulmonary
fibrosis and accompanied by volume loss.
Atelectasis
Reduced volume is seen, accompanied by
increased opacity (chest radiograph) or
attenuation (CT scan) in the affected
part of the lung . Atelectasis is often
associated with abnormal displacement of
fissures,
bronchi,
vessels,diaphragm,
heart, or mediastinum .The distribution can
be lobar, segmental, or subsegmental.
Atelectasis is often qualified by descriptors
such as linear,discoid, or platelike.
Atelectasis

The definition of atelectasis is loss of air in the alveoli;
alveoli devoid of air (not replaced).
A diagnosis of atelectasis requires the following:
1-A density, representing lung devoid of air
2-Signs indicating loss of lung volume
Types of Atelectasis:
1-Absorption Atelectasis
When airways are obstructed there is no further
ventilation to the lungs and beyond. In the early
stages, blood flow continues and gradually the
oxygen and nitrogen get absorbed, resulting in
atelectasis.
Types of Atelectasis:

2-Relaxation Atelectasis
The lung is held close to the chest wall because of the
negative pressure in the pleural space. Once the
negative pressure is lost the lung tends to recoil due
to elastic properties and becomes atelectatic. This
occurs in patients with pneumothorax and pleural
effusion. In this instance, the loss of negative
pressure in the pleura permits the lung to relax, due
to elastic recoil. There is common misconception that
atelectasis is due to compression.
Types of Atelectasis:

3-Adhesive Atelectasis :
Surfactant reduces surface tension and keeps the
alveoli open. In conditions where there is loss of
surfactant, the alveoli collapse and become
atelectatic. In ARDS this occurs diffusely to both
lungs. In pulmonary embolism due to loss of blood
flow and lack of CO2, the integrity of surfactant
gets impaired.
Types of Atelectasis:

4-Cicatricial Atelectasis
– Alveoli gets trapped in scar and
becomes atelectatic in fibrotic
disorders
Types of Atelectasis:

.

5-Round Atelectasis
An instance where the lung gets trapped by
pleural disease and is devoid of air.
Classically encountered in asbestosis.
Types of Atelectasis:

.

6-Compression Atelectasis
Signs of Loss of Lung Volume:

Generalized
1-Shift of mediastinum: The trachea and heart gets shifted
towards the atelectatic lung.
2-Elevation of diaphragm: The diaphragm moves up and
the normal relationship between left and right side gets
altered.
3-Drooping of shoulder.
4-Crowding of ribs: The interspace between the ribs is
narrower compared to the opposite side.
Signs of Loss of Lung Volume:

Movement of Fissures
You need a lateral view to appreciate the movement of
oblique fissures. Forward movement of oblique fissure in
LUL atelectasis. Backward movement in lower lobe
atelectasis.
Movement of transverse fissure can be recognized in the
PA film.
Signs of Loss of Lung Volume:

Movement of Hilum
The right hilum is normally slightly lower than the left.
This relationship will change with lobar atelectasis.
Signs of Loss of Lung Volume:

Compensatory Hyperinflation
Compensatory hyperinflation as evidenced by increased
radiolucency and splaying of vessels can be seen with the
normal lobe or opposite lung.
Signs of Loss of Lung Volume:

Alterations in Proportion of Left and
Right Lung
The right lung is approximately 55% and left lung 45%. In
atelectasis this apportionment will change and can be a
clue to recognition of atelectasis. .
Signs of Loss of Lung Volume:

Hemithorax Asymmetry
In normals, the right and left hemithorax are equal in size.
The size of the hemithorax will be asymmetrical and
smaller on the side of atelectasis
Signs of Loss of Lung Volume:
Generalized
Shift of mediastinum: The trachea and heart gets shifted towards the atelectatic lung.
Elevation of diaphragm: The diaphragm moves up and the normal relationship between left
and right side gets altered.
Drooping of shoulder.
Crowding of ribs: The interspace between the ribs is narrower compared to the opposite side.
Movement of Fissures
You need a lateral view to appreciate the movement of oblique fissures. Forward movement of
oblique fissure in LUL atelectasis. Backward movement in lower lobe atelectasis.
Movement of transverse fissure can be recognized in the PA film.
Movement of Hilum
The right hilum is normally slightly lower than the left. This relationship will change with lobar
atelectasis.
Compensatory Hyperinflation
Compensatory hyperinflation as evidenced by increased radiolucency and splaying of vessels
can be seen with the normal lobe or opposite lung.
Alterations in Proportion of Left and Right Lung
The right lung is approximately 55% and left lung 45%. In atelectasis this apportionment will
change and can be a clue to recognition of atelectasis.
Hemithorax Asymmetry
In normals, the right and left hemithorax are equal in size. The size of the hemithorax will be
asymmetrical and smaller on the side of atelectasis
Atelectasis Right Lung
Homogenous density right hemithorax
Mediastinal shift to right
Right hemithorax smaller
Right heart and diaphragmatic silhouette are not identifiable
Atelectasis Left Lung
Homogenous density left hemithorax
Mediastinal shift to left
Left hemithorax smaller
Diaphragm and heart silhouette are not identifiable
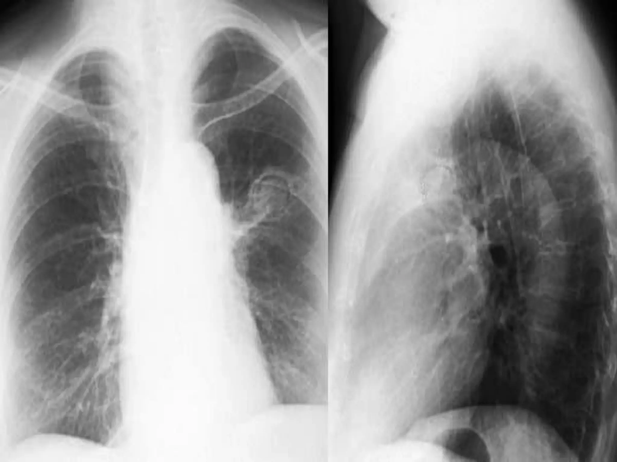
Left Lower Lobe Atelectasis
•
•
•
•

Inhomogeneous cardiac density
Left hilum pulled down
Non-visualization of left diaphragm
Triangular retrocardiac atelectatic LLL
Atelectasis Left Lower Lobe
Double density over heart
Inhomogenous cardiac density
 Triangular retrocardiac density
Left hilum pulled down
Other findings include:
Pneumomediastinum
Atelectasis Left
Upper Lobe
Mediastinal shift to left
Density left upper lung field
Loss of aortic knob and left hilar
silhouettes

Herniation of right lung
Atelectatic left upper lobe
Forward movement of left
oblique fissure "Bowing sign"
Atelectasis Left Upper
Lobe
Hazy density over left
upper lung field
Loss of left heart
silhouette
Tracheal shift to left

Lateral
A: Forward movement of
oblique fissure

B: Herniated right lung
C: Atelectatic LUL
Atelectasis Right Upper Lobe
Homogenous density right upper lung
field
Mediastinal shift to right
Loss of silhouette of ascending aorta

Lateral
Movement of oblique and transverse
fissures
Atelectasis Right Upper Lobe
Homogenous density right upper lung field
Mediastinal shift to right
Loss of silhouette of ascending aorta

Lateral
Movement of oblique and transverse
fissures
RML Atelectasis
Vague density in right lower lung field, almost normal
RML atelectasis in lateral view, not evident in PA view
Vague density in right lower lung field (almost a normal film).
Dramatic RML atelectasis in lateral view, not evident in PA view. Movement of
transverse fissure.
Other findings include: Azygous lobe
Atelectasis Right Lower Lobe
Density in right lower lung field
Indistinct right diaphragm
Right heart silhouette retained
Transverse fissure moved down
Right hilum moved down
Adhesive Atelectasis
Alveoli are kept open by the integrity of surfactant. When there is loss
of surfactant, alveoli collapse. ARDS is an example of diffuse alveolar
atelectasis.
Plate-like atelectasis is an example of focal loss of surfactant.
Relaxation Atelectasis
The lung is held in apposition to the chest wall because of negative pressure
in the pleura. When the negative pressure is lost, as in pneumothorax or
pleural effusion, the lung relaxes to its atelectatic position. The atelectasis is
a secondary event. The pleural problem is primary and dictates other
radiological findings.
Round Atelectasis
Mass like density
Pleural based
Base of lungs
Blunting of costophrenic angle
Pleural thickening
Pulmonary vasculature curving
into the density
Esophageal surgical clips
Round Atelectasis
Mass like density
Pleural based
Base of lungs
Blunting of costophrenic angle, pleural thickening
Pulmonary vasculature curving into the density
RML Lateral Segment Atelectasis
Sub-segmental Atelectasis
Atelectasis
Segmental
Anterior sub-segment of RUL
"Bronchial wedge"
Azygoesophageal Recess
The azygoesophageal recess on a frontal
chest radiograph, is seen as a vertically
oriented interface between the right lower
lobe and the adjacent mediastinum (the
medial limit of the recess). Superiorly, the
interface is seen as a smooth arc with
convexity to the left. Disappearance or
distortion of part of the interface suggests
disease (eg, subcarinal lymphadenopathy).
On CT scans, the recess merits
attentionbecause small lesions located in
the recess will often be invisible on chest
radiographs
Acute interstitial pneumonia, or AIP
In the acute phase, patchy bilateral
groundglass opacities are seen , often with
some sparing of individual lobules,
producing a geographic appearance;
dense opacification is seen in the
dependent lung .
In the organizing phase, architectural
distortion, traction bronchiectasis, cysts,
and reticular opacities are seen .
Azygos Fissure
Beaded Septum Sign
This sign consists of irregular and nodular
thickening of interlobular septa reminiscent
of a row of beads . It is frequently seen in
lymphangitic spread of cancer and less
often in sarcoidosis .
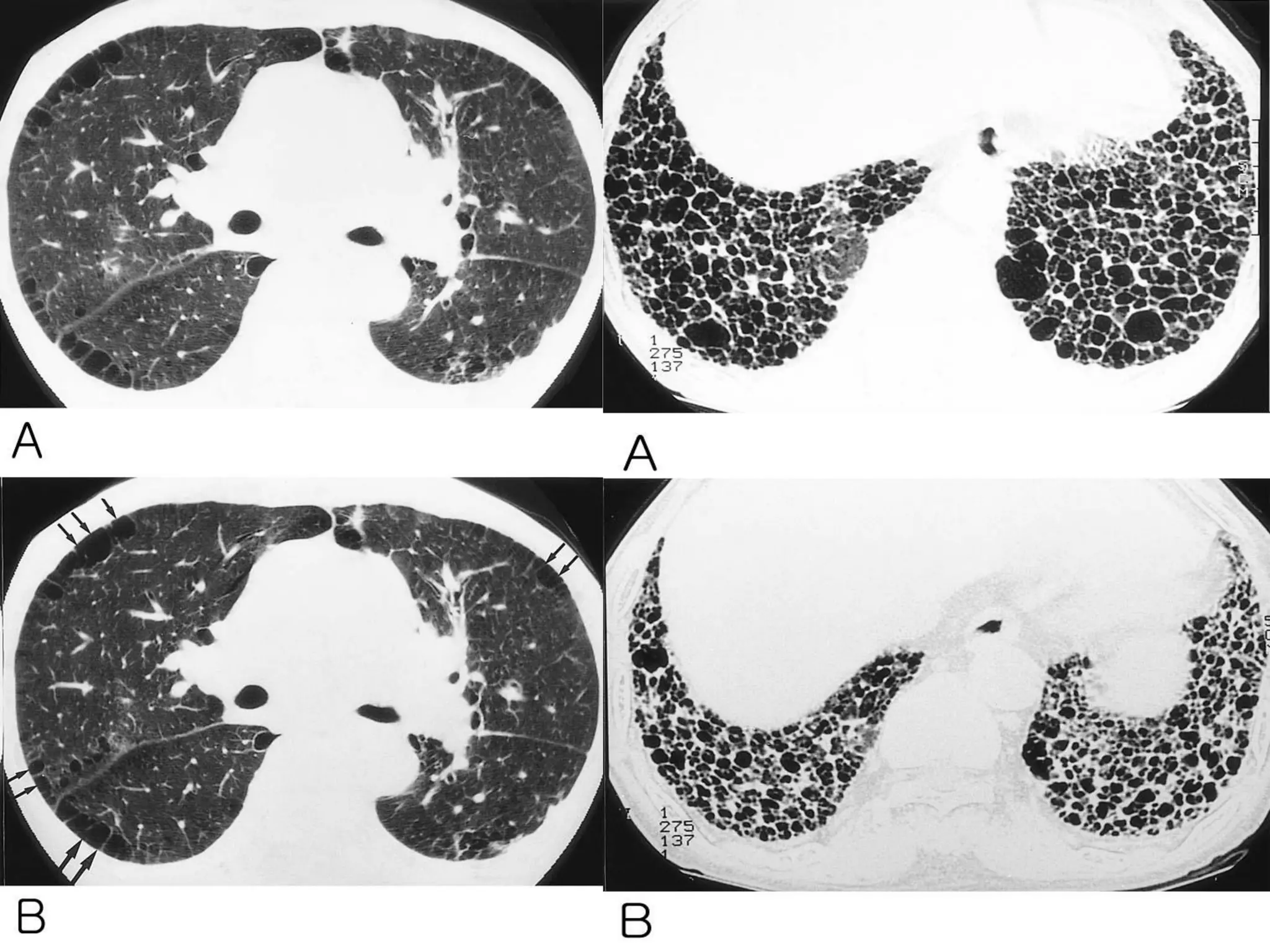
Bleb
Anatomy.—A bleb is a small gas-containing space
within the visceral pleura or in the subpleural lung,
not larger than 1 cm in diameter . CT scans.—A
bleb appears as a thin-walled cystic air space
contiguous with the pleura. Because the arbitrary
(size) distinction between a bleb andbulla is of little
clinical importance, the use of this term by
radiologists is discouraged.
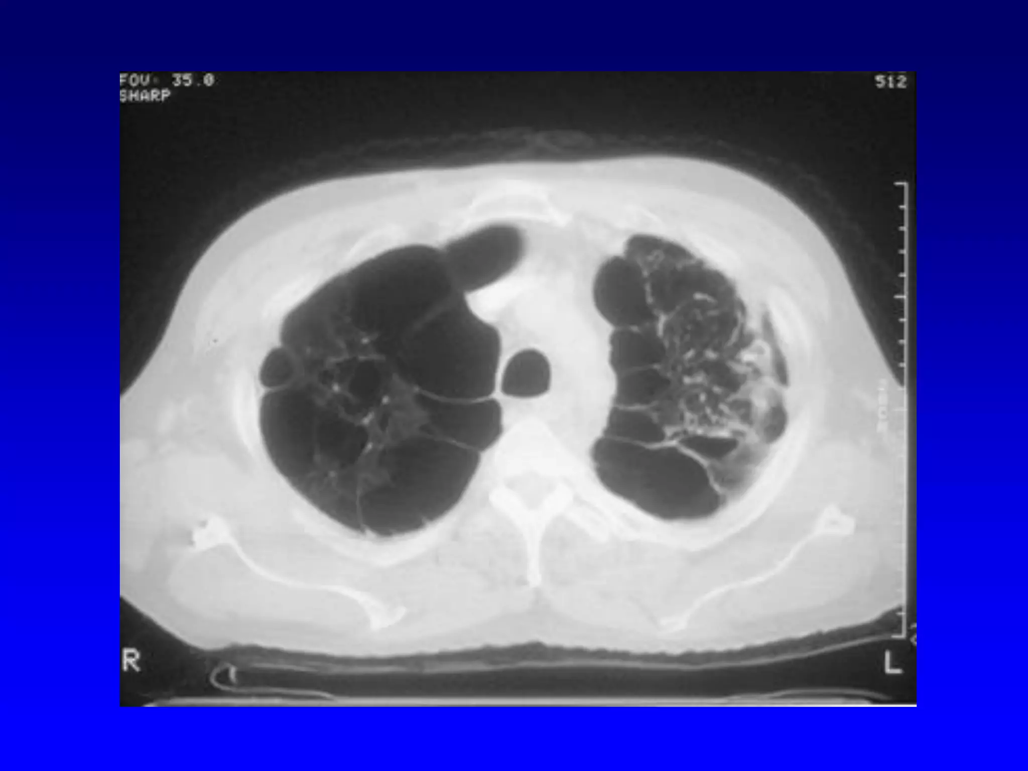
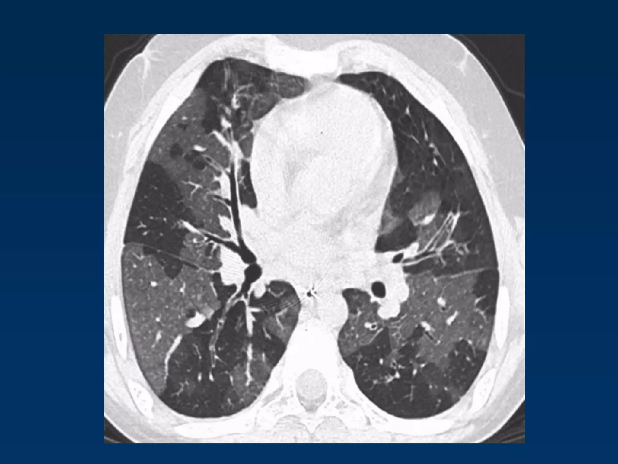
Cavitary lesions of lung
Bulla
<1mm wall
>1cm size

Pneumatocele Honey combing
<1mm wall
staph. infection

<1cm size
multiple equal

Cyst

Cavity

1-3mm wall
1-10 cm size

>3mm wall
Any size
Bulla
Definition
•Thin-walled–less than 1 mm
•Air-filled space
•In the lung> 1 cm in size and up to 75% of lung
•Walls may be formed by pleura, septa,
or compressed lung tissue.
•Results from destruction, dilatation and
confluence of airspaces distal to terminal
bronchioles.
•Bullous disease may be primary or associated
with emphysema or interstitial lung disease.
• Primary bullous lung disease may be familial
and has been associated with Marfan's, Ehler's
Danlos, IV drug users, HIV infection, and
vanishing lung syndrome.
•Bullae may occasionally become very large
and compromise respiratory function. Thus
has been referred as vanishing lung syndrome,
and may be seen in young men.
Upper lobe Bulla
Lower lobe Bulla
A: Xray shows bilateral bulla.

B: CT shows bilateral bulla.

C: CT after bullectomy.
Pneumatocele is a benign air containing cyst of lung, with
thin wall < 1mm as bulla but with different mechanism 
Infection with staph aureus is the commonest cause ( less
common causes are, trauma, barotrauma) lead to necrosis
and liquefaction followed by air leak and subpleural
dissection forming a thin walled cyst.
•Honeycombing is defined as multiple cysts < 1cm in diameter,with
well defined walls, in a background of fibrosis, tend to form
clusters and is considered as end stage lung .

•It is formed by extensive interstitial fibrosis of lung with residual
cystic areas.
A cyst is a ring
shadow > 1 cm in
diameter and up to
10 cm with wall
thickness from 1-3
mm.
Thin walled cysts of LAM
A cavity is > 1cm
in diameter, and its
wall thickness is
more than 3 mm.
Mechanism

•A central portion  necrosis and communicate to bronchus.
•The draining bronchus is visible (arrow). CT (2 mm slice thickness)
shows discrete air bronchograms in the consolidated area.
1. Site
A cavity in apicoposterior segment of left upper lobe
2.Number
Multiple cavities:
1. Aspiration.
2. TB
3. Fungal.
4. Metastatic.

5. Septic emboli.
6.Wegners granulomatosis
Multiple thick wall cavities from
adenocarcinoma of right lung

Multiple cysts of metastasis
from
squamous
cell
carcinoma.
3. Thickness and
irregularity

Irregular , nodular inner lining of thick wall abscess
Malignant cavity.
4. eccentric
Malignant
5. Relation to lymph
node enlargement
6. Contents
•Arrow head  Crescent sign.
•Black arrows  Fibrotic bands surrounding cavity
(Fibrocavitary TB).
Bronchiectasis
Morphologic criteria on thin-section CT
scans include bronchial dilatation with
respect to the accompanying pulmonary
artery (signet ring sign), lack of tapering
of bronchi, and identification of bronchi
within 1 cm of the pleural surface (27)
(Fig 11). Bronchiectasis may be classified
as cylindric, varicose, or cystic, depending
on the appearance of the affected bronchi.
It is often accompanied by bronchial wall
thickening, mucoid impaction, and smallairways abnormalities
Bronchiolectasis
When dilated bronchioles are filled with
exudate and are thick walled, they are
visible as a tree-in-bud pattern or as
centrilobular
nodules.
In
traction
bronchiolectasis, the dilated bronchioles
are seen as small, cystic, tubular
airspaces, associated with CT findings of
fibrosis
Bronchocele
bronchocele is a tubular or branching Yor
V-shaped structure that may resemble a
gloved finger (Fig 13). The CT attenuation
of the mucus is generally that of soft tissue
but may be modified by its composition
(eg, high-attenuation material in allergic
bronchopulmonary aspergillosis). In the
case of bronchial atresia, the surrounding
lung may be of decreased attenuation
because of reduced ventilation and, thus,
perfusion.
Bronchiolitis
This direct sign of bronchiolar inflammation
(eg, infectious cause) is most often seen
as the tree-inbud pattern, centrilobular
nodules, and bronchiolar wall thickening .
Bronchocentric
This descriptor is applied to disease that is
conspicuously centered on macroscopic
bronchovascular bundles . Examples of
diseases with a bronchocentric distribution
include sarcoidosis , Kaposi sarcoma , and
organizing pneumonia
Broncholith
The imaging appearance is of a small
calcific focus in or immediately adjacent to
anairway (Fig 15), most frequently the right
middle lobe bronchus. Broncholiths are
readily identified on CT scans . Distal
obstructive
changes
may
include
atelectasis,
mucoid
impaction,
and
bronchiectasis.
Bulla
An airspace measuring more than 1 cm—
usually several centimeters in diameter,
sharply demarcated by a thin wall that is no
greater than 1 mm in thickness. A bulla is
usually accompanied by emphysematous
changes in the adjacent lung.
Radiographs and CT scans.—
A bulla appears as a rounded focal lucency
or area of decreased attenuation, 1 cm or
more in diameter, bounded by a thin wall .
Multiple bullae are often present and are
associated with other signs of pulmonary
emphysema (centrilobular and paraseptal).
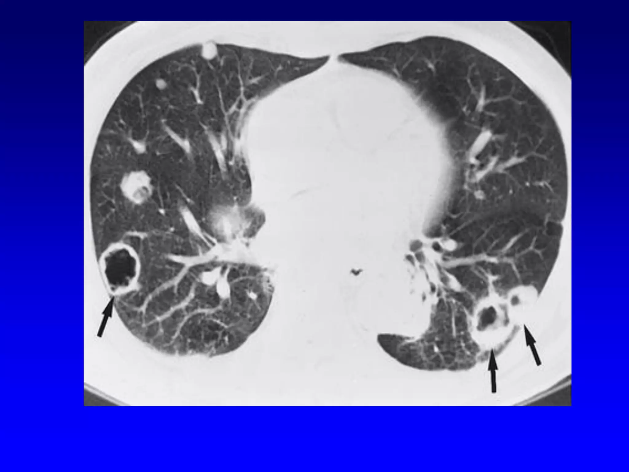
Cavity
A cavity is a gas-filled space, seen as a
lucency or low-attenuation area, within
pulmonary consolidation, a mass, or a
nodule . In the case of cavitating
consolidation, the original consolidation
may resolve and leave only a thin wall. A
cavity is usually produced by the expulsion
or drainage of a necrotic part of the lesion
via the bronchial tree. It sometimes
contains a fluid level. Cavity is not a
synonym for abscess.
Cavitary Lung Lesions
Number:
Multiple bilateral cavities would raise
suspicion for either bronchiogenous or
hematogenous process. You should consider:
Aspiration lung abscess
Septic emboli
Metastatic lesions
Vasculitis (Wegener's)
Coccidioidomycosis, tuberculosis
Location:
• Classical locations for aspiration lung abscess
are superior segment of the lower lobes
posterior segments of upper lobes.
• Tuberculous cavities are common in superior
segments of upper and lower lobes or posterior
segments of upper lobes.
• When a cavity in anterior segment is
encountered, a strong suspicion for lung cancer
should be raised. TB and aspiration lung
abscess are rare in anterior segments. Cancer
lung can occur in any segment.
Wall Thickness:
• Thick walls are seen in:
– Lung abscess
– Necrotizing squamous cell lung cancer
– Wegener's granulomatosis
– Blastomycosis
Wall Thickness:
• Thin walled cavities are seen in:
• Coccidioidomycosis
• Metastatic cavitating squamous cell
carcinoma from the cervix
• M. Kansasii infection
• Congenital or acquired bullae
• Post-traumatic cysts
• Open negative TB
Contents:
• The most common cause for air fluid level is
lung abscess. Air fluid levels can rarely be
seen in malignancy and in tuberculous
cavities from rupture of Rasmussen's
aneurysm.
• A fungous ball should make you consider
aspergillosis. A blood clot and fibrin ball will
have the same appearance.
• Floating Water Lily: The collapsed membrane
of a ruptured echinococcal cyst, floats giving
this appearance.
Lining of Wall:

The wall lining is irregular and nodular in
lung cancer or shaggy in lung abscess
Evolution of Lesion:
Many times review of old films to assess the
evolution of the radiological appearance of
the lesion extremely helpful. Examples
• Infected bullae
• Aspergilloma
• Sub acute necrotizing aspergillosis
• Bleeding from Rasmussen's aneurysm in a
tuberculous cavity
Associated Features:
Ipsilateral lymph nodes or lytic
lesions of the bone is seen
with malignancy
Centrilobular
A small dotlike or linear opacity in the center of a normal secondary
pulmonary lobule, most obvious within 1 cm of a pleural surface,
represents the intralobular artery (approximately1 mm in diameter) .
Centrilobular abnormalities include
(a) nodules,
(b) a tree-in-bud pattern indicating small-airways disease,
(c) increased vis-ibility of centrilobular structures due to thickening
or infiltration of the adjacent interstitium, or
(d) abnormal areas of low attenuation caused by centrilobular
emphysema
Centrilobular Emphysema
CT findings are centrilobular areas of
decreased attenuation, usually without visible
walls, of nonuniform distribution and
predominantly located in upper lung zones .
The term centriacinar emphysema is
synonymous.
Consolidation
Consolidation appears as a homogeneous
increase in pulmonary parenchymal
attenuation that obscures the margins of
vessels and airway walls .An air
bronchogram may be present. The
attenuation characteristics of consolidated
lung are only rarely helpful in differential
diagnosis (eg, decreased attenuation in
lipoid pneumonia and increased in
amiodarone toxicity
Crazy-paving Pattern
This pattern appears as thickened
interlobular septa and intralobular lines
superimposed on a background of groundglass opacity , resembling irregularly
shaped paving stones. The crazy-paving
pattern is often sharply demarcated from
more normal lung and may have a
geographic outline. It was originally
reported in patients with alveolar
proteinosis and is also encountered in
other diffuse lung diseases that affect both
the interstitial and airspace compartments,
such as lipoid pneumonia
Cyst
A cyst appears as a round parenchymal
lucency or low-attenuating area with a
well-defined interface with normal lung.
Cysts have variable wall thickness but
are usually thin-walled (2 mm) and
occur without associated pulmonary
emphysema . Cysts in the lung
usually contain air but occasionally contain
fluid or solid material. The term is
often used to describe enlarged thinwalled
airspaces
in
patients
with
lymphangioleiomyomatosis or Langerhans
cell
histiocytosis
;
thickerwalled
honeycomb cysts are seen in patients with
end-stage fibrosis .
Desquamative Interstitial Pneumonia
or DIP
Ground-glass opacity is the dominant
abnormality and tends to have a basal and
peripheral distribution . Microcystic or
honeycomb changes in the area of groundglass opacity are seen in some cases .
Ground-Glass Opacity or GGO
it appears as hazy increased opacity of
lung, with preservation of bronchial and
vascular margins .It is caused by partial
filling of airspaces, interstitial thickening
(due to fluid, cells, and/or fibrosis), partial
collapse of alveoli, increased capillary
blood volume, or a combination of these,
the common factor being the partial
displacement of air .Ground-glass opacity
is less opaque than consolidation, in which
bronchovascular margins are obscured.
Halo Sign
The halo sign is a CT finding
of ground-glass opacity surrounding a
nodule or mass .It was first
d e s c r i b e d a s a si g n o f h e mo r r h a g e
a r o u n d f o ci o f i n va si ve a sp er g ill o si s
. The halo sign is nonspecific and
ma y a l so b e ca u se d b y h e mo r r h a g e
associated with other types of nodules
o r b y l ocal pul monar y infiltr ation
b y n e o p l a s m ( e g , a d e n o c a r ci n o ma ) .
Honeycombing
On chest radiographs, honeycombing appears as
closely approximated ring shadows, typically 3–10
mm in diameter with walls 1–3 mm in thickness, that
resemble a honeycomb; the finding implies endstage lung disease. On CT scans, the appearance is
of clustered cystic air spaces, typically of
comparable diameters on the order of 3–10 mm but
occasionally as large as 2.5 cm . Honeycombing is
usually subpleural and is characterized by welldefined walls . It is a CT feature of established
pulmonary fibrosis . Because honeycombing is often
considered specific for pulmonary fibrosis and is an
important criterion in the diagnosis of usual
interstitial pneumonia (63), the term should be used
with care, as it may directly impact patient care.
Idiopathic pulmonary fibrosis
The typical imaging findings are reticular
opacities and honeycombing, with a
predominantly peripheral and basal
distribution . Ground-glass opacity, if
present, is less extensive than reticular and
honeycombing patterns. The typical
radiologic findings are also encountered in
usual interstitial pneumonia secondary to
specific causes, such as asbestos-induced
pulmonary fibrosis (asbestosis), and the
diagnosis is usually one of exclusion.
Infarction

A pulmonary infarct is typically triangular or
dome-shaped, with the base abutting the
pleura and the apex directed toward the
hilum.The
opacity
represents
local
hemorrhage with or without central tissue
necrosis
Interlobular septal thickening
This finding is seen on chest radiographs as thin linear
opacities at right angles to and in contact with the lateral
pleural surfaces near the lung bases (Kerley B lines); it is
seen most frequently in lymphangitic spread of cancer or
pulmonary edema. Kerley A lines are predominantly
situated in the upper lobes, are 2–6 cm long, and can be
seen as fine lines radially oriented toward the hila. In recent
years, the anatomically descriptive terms septal lines and
septal thickening have gained favor over Kerley lines. On
CT scans, disease affecting one of the components of the
septa (see interlobular septum) may be responsible for
thickening and so render septa visible. On thin-section CT
scans, septal thickening may be smooth or nodular , which
may help refine the differential diagnosis.
Interlobular septum

Interlobular septa appear as thin linear
opacities between lobules ; these septa are
to be distinguished from centrilobular
structures. They are not usually seen in the
healthy
lung
(normal
septa
are
approximately 0.1 mm thick) but are clearly
visible when thickened (eg, by pulmonary
edema).
Interstitial emphysema

Interstitial emphysema is rarely recognized
radiographically
in
adults
and
is
infrequently seen on CT scans . It appears
as perivascular lucent or lowattenuating
halos and small cysts
Intralobular lines
Intralobular lines are visible as fine linear
opacities in a lobule when the intralobular
interstitial tissue is abnormally thickened .
When numerous, they may appear as a
fine reticular pattern. Intralobular lines may
be seen in various conditions, including
interstitial fibrosis and alveolar proteinosis
Thoracic imaging terms part 1

Thoracic imaging terms part 1

  • 3.
    Thoracic Imaging Terms By GamalRabie Agmy , MD , FCCP Professor of Chest Diseases ,Assiut University ERS National Delegate of Egypt
  • 4.
    Air Bronchogram An airbronchogram is a pattern of air-filled (low-attenuation) bronchi on a background of opaque (high-attenuation) airless lung . The sign implies (a) patency of proximal airways and (b) evacuation of alveolar air by means of absorption (atelectasis) or replacement (eg, pneumonia) or a combination of these processes. (c) In rare cases, the displacement of air is the result of marked interstitial expansion (eg, lymphoma) .
  • 6.
    Air Crescent An aircrescent is a collection of air in a crescentic shape that separates the wall of a cavity from an inner mass .The air crescent sign is often considered characteristic of either Aspergillus colonization of preexisting cavities or retraction of infarcted lung in angioinvasive aspergillosis .However, the air crescent sign has also been reported in other conditions, including tuberculosis, Wegener granulomatosis, intracavitary hemorrhage, and lung cancer.
  • 7.
    Air Trapping Air trappingis retention of air in the lung distal to an obstruction (usually partial). Air trapping is seen on end-expiration CT scans as parenchymal areas with less than normal increase in attenuation and lack of volume reduction. Comparison between inspiratory and expiratory CT scans can be helpful when air trapping is subtle or diffuse. Differentiation from areas of decreased attenuation resulting from hypoperfusion as a consequence of an occlusive vascular disorder (eg, chronic thromboembolism) may be problematic , but other findings of airways versus vascular disease are usually present.
  • 9.
    Where is thepathology ??????? in the areas with increased density meaning there is ground glass in the areas with decreased density meaning there is air trapping
  • 10.
    Pathology in blackareas Airtrapping: Airway Disease Bronchiolitis obliterans (constrictive bronchiolitis) idiopathic, connective tissue diseases, drug reaction, after transplantation, after infection Hypersensitivity pneumonitis granulomatous inflammation of bronchiolar wall Sarcoidosis granulomatous inflammation of bronchiolar wall Asthma / Bronchiectasis / Airway diseases
  • 11.
    Airway Disease what yousee…… In inspiration sharply demarcated areas of seemingly increased density (normal) and decreased density demarcation by interlobular septa In expiration ‘black’ areas remain in volume and density ‘white’ areas decrease in volume and increase in density INCREASE IN CONTRAST DIFFERENCES
  • 12.
  • 13.
    Aortopulmonary Window Focal concavityin the left mediastinal border below the aorta and above the left pulmonary artery can be seen on a frontal radiograph . Its appearance may be modified by tortuosity of the aorta. The aortopulmonary window is a common site of lymphadenopathy in a variety of inflammatory and neoplastic diseases.
  • 14.
    Lymph nodes Enlarged hilar shadowwith lobulated outlines Normal
  • 15.
  • 16.
  • 17.
  • 19.
    Apical Cap The usualappearance is of homogeneous soft-tissue attenuation capping the extreme lung apex (uni- or bilaterally), with a sharp or irregular lower border .Thickness is variable, ranging up to about 30 mm . An apical cap occasionally mimics apical consolidation on transverse CT scans.
  • 20.
    Architectural Distortion Lung anatomyhas a distorted appearance and is usually associated with pulmonary fibrosis and accompanied by volume loss.
  • 21.
    Atelectasis Reduced volume isseen, accompanied by increased opacity (chest radiograph) or attenuation (CT scan) in the affected part of the lung . Atelectasis is often associated with abnormal displacement of fissures, bronchi, vessels,diaphragm, heart, or mediastinum .The distribution can be lobar, segmental, or subsegmental. Atelectasis is often qualified by descriptors such as linear,discoid, or platelike.
  • 22.
    Atelectasis The definition ofatelectasis is loss of air in the alveoli; alveoli devoid of air (not replaced). A diagnosis of atelectasis requires the following: 1-A density, representing lung devoid of air 2-Signs indicating loss of lung volume
  • 23.
    Types of Atelectasis: 1-AbsorptionAtelectasis When airways are obstructed there is no further ventilation to the lungs and beyond. In the early stages, blood flow continues and gradually the oxygen and nitrogen get absorbed, resulting in atelectasis.
  • 24.
    Types of Atelectasis: 2-RelaxationAtelectasis The lung is held close to the chest wall because of the negative pressure in the pleural space. Once the negative pressure is lost the lung tends to recoil due to elastic properties and becomes atelectatic. This occurs in patients with pneumothorax and pleural effusion. In this instance, the loss of negative pressure in the pleura permits the lung to relax, due to elastic recoil. There is common misconception that atelectasis is due to compression.
  • 25.
    Types of Atelectasis: 3-AdhesiveAtelectasis : Surfactant reduces surface tension and keeps the alveoli open. In conditions where there is loss of surfactant, the alveoli collapse and become atelectatic. In ARDS this occurs diffusely to both lungs. In pulmonary embolism due to loss of blood flow and lack of CO2, the integrity of surfactant gets impaired.
  • 26.
    Types of Atelectasis: 4-CicatricialAtelectasis – Alveoli gets trapped in scar and becomes atelectatic in fibrotic disorders
  • 27.
    Types of Atelectasis: . 5-RoundAtelectasis An instance where the lung gets trapped by pleural disease and is devoid of air. Classically encountered in asbestosis.
  • 28.
  • 29.
    Signs of Lossof Lung Volume: Generalized 1-Shift of mediastinum: The trachea and heart gets shifted towards the atelectatic lung. 2-Elevation of diaphragm: The diaphragm moves up and the normal relationship between left and right side gets altered. 3-Drooping of shoulder. 4-Crowding of ribs: The interspace between the ribs is narrower compared to the opposite side.
  • 30.
    Signs of Lossof Lung Volume: Movement of Fissures You need a lateral view to appreciate the movement of oblique fissures. Forward movement of oblique fissure in LUL atelectasis. Backward movement in lower lobe atelectasis. Movement of transverse fissure can be recognized in the PA film.
  • 31.
    Signs of Lossof Lung Volume: Movement of Hilum The right hilum is normally slightly lower than the left. This relationship will change with lobar atelectasis.
  • 32.
    Signs of Lossof Lung Volume: Compensatory Hyperinflation Compensatory hyperinflation as evidenced by increased radiolucency and splaying of vessels can be seen with the normal lobe or opposite lung.
  • 33.
    Signs of Lossof Lung Volume: Alterations in Proportion of Left and Right Lung The right lung is approximately 55% and left lung 45%. In atelectasis this apportionment will change and can be a clue to recognition of atelectasis. .
  • 34.
    Signs of Lossof Lung Volume: Hemithorax Asymmetry In normals, the right and left hemithorax are equal in size. The size of the hemithorax will be asymmetrical and smaller on the side of atelectasis
  • 35.
    Signs of Lossof Lung Volume: Generalized Shift of mediastinum: The trachea and heart gets shifted towards the atelectatic lung. Elevation of diaphragm: The diaphragm moves up and the normal relationship between left and right side gets altered. Drooping of shoulder. Crowding of ribs: The interspace between the ribs is narrower compared to the opposite side. Movement of Fissures You need a lateral view to appreciate the movement of oblique fissures. Forward movement of oblique fissure in LUL atelectasis. Backward movement in lower lobe atelectasis. Movement of transverse fissure can be recognized in the PA film. Movement of Hilum The right hilum is normally slightly lower than the left. This relationship will change with lobar atelectasis. Compensatory Hyperinflation Compensatory hyperinflation as evidenced by increased radiolucency and splaying of vessels can be seen with the normal lobe or opposite lung. Alterations in Proportion of Left and Right Lung The right lung is approximately 55% and left lung 45%. In atelectasis this apportionment will change and can be a clue to recognition of atelectasis. Hemithorax Asymmetry In normals, the right and left hemithorax are equal in size. The size of the hemithorax will be asymmetrical and smaller on the side of atelectasis
  • 36.
    Atelectasis Right Lung Homogenousdensity right hemithorax Mediastinal shift to right Right hemithorax smaller Right heart and diaphragmatic silhouette are not identifiable
  • 37.
    Atelectasis Left Lung Homogenousdensity left hemithorax Mediastinal shift to left Left hemithorax smaller Diaphragm and heart silhouette are not identifiable
  • 38.
    Left Lower LobeAtelectasis • • • • Inhomogeneous cardiac density Left hilum pulled down Non-visualization of left diaphragm Triangular retrocardiac atelectatic LLL
  • 39.
    Atelectasis Left LowerLobe Double density over heart Inhomogenous cardiac density  Triangular retrocardiac density Left hilum pulled down Other findings include: Pneumomediastinum
  • 40.
    Atelectasis Left Upper Lobe Mediastinalshift to left Density left upper lung field Loss of aortic knob and left hilar silhouettes Herniation of right lung Atelectatic left upper lobe Forward movement of left oblique fissure "Bowing sign"
  • 41.
    Atelectasis Left Upper Lobe Hazydensity over left upper lung field Loss of left heart silhouette Tracheal shift to left Lateral A: Forward movement of oblique fissure B: Herniated right lung C: Atelectatic LUL
  • 42.
    Atelectasis Right UpperLobe Homogenous density right upper lung field Mediastinal shift to right Loss of silhouette of ascending aorta Lateral Movement of oblique and transverse fissures
  • 43.
    Atelectasis Right UpperLobe Homogenous density right upper lung field Mediastinal shift to right Loss of silhouette of ascending aorta Lateral Movement of oblique and transverse fissures
  • 44.
    RML Atelectasis Vague densityin right lower lung field, almost normal RML atelectasis in lateral view, not evident in PA view
  • 45.
    Vague density inright lower lung field (almost a normal film). Dramatic RML atelectasis in lateral view, not evident in PA view. Movement of transverse fissure. Other findings include: Azygous lobe
  • 46.
    Atelectasis Right LowerLobe Density in right lower lung field Indistinct right diaphragm Right heart silhouette retained Transverse fissure moved down Right hilum moved down
  • 47.
    Adhesive Atelectasis Alveoli arekept open by the integrity of surfactant. When there is loss of surfactant, alveoli collapse. ARDS is an example of diffuse alveolar atelectasis. Plate-like atelectasis is an example of focal loss of surfactant.
  • 48.
    Relaxation Atelectasis The lungis held in apposition to the chest wall because of negative pressure in the pleura. When the negative pressure is lost, as in pneumothorax or pleural effusion, the lung relaxes to its atelectatic position. The atelectasis is a secondary event. The pleural problem is primary and dictates other radiological findings.
  • 49.
    Round Atelectasis Mass likedensity Pleural based Base of lungs Blunting of costophrenic angle Pleural thickening Pulmonary vasculature curving into the density Esophageal surgical clips
  • 50.
    Round Atelectasis Mass likedensity Pleural based Base of lungs Blunting of costophrenic angle, pleural thickening Pulmonary vasculature curving into the density
  • 51.
  • 52.
  • 53.
  • 54.
    Azygoesophageal Recess The azygoesophagealrecess on a frontal chest radiograph, is seen as a vertically oriented interface between the right lower lobe and the adjacent mediastinum (the medial limit of the recess). Superiorly, the interface is seen as a smooth arc with convexity to the left. Disappearance or distortion of part of the interface suggests disease (eg, subcarinal lymphadenopathy). On CT scans, the recess merits attentionbecause small lesions located in the recess will often be invisible on chest radiographs
  • 55.
    Acute interstitial pneumonia,or AIP In the acute phase, patchy bilateral groundglass opacities are seen , often with some sparing of individual lobules, producing a geographic appearance; dense opacification is seen in the dependent lung . In the organizing phase, architectural distortion, traction bronchiectasis, cysts, and reticular opacities are seen .
  • 56.
  • 57.
    Beaded Septum Sign Thissign consists of irregular and nodular thickening of interlobular septa reminiscent of a row of beads . It is frequently seen in lymphangitic spread of cancer and less often in sarcoidosis .
  • 58.
    Bleb Anatomy.—A bleb isa small gas-containing space within the visceral pleura or in the subpleural lung, not larger than 1 cm in diameter . CT scans.—A bleb appears as a thin-walled cystic air space contiguous with the pleura. Because the arbitrary (size) distinction between a bleb andbulla is of little clinical importance, the use of this term by radiologists is discouraged.
  • 59.
    Cavitary lesions oflung Bulla <1mm wall >1cm size Pneumatocele Honey combing <1mm wall staph. infection <1cm size multiple equal Cyst Cavity 1-3mm wall 1-10 cm size >3mm wall Any size
  • 60.
    Bulla Definition •Thin-walled–less than 1mm •Air-filled space •In the lung> 1 cm in size and up to 75% of lung •Walls may be formed by pleura, septa, or compressed lung tissue. •Results from destruction, dilatation and confluence of airspaces distal to terminal bronchioles.
  • 61.
    •Bullous disease maybe primary or associated with emphysema or interstitial lung disease. • Primary bullous lung disease may be familial and has been associated with Marfan's, Ehler's Danlos, IV drug users, HIV infection, and vanishing lung syndrome. •Bullae may occasionally become very large and compromise respiratory function. Thus has been referred as vanishing lung syndrome, and may be seen in young men.
  • 62.
  • 63.
  • 64.
    A: Xray showsbilateral bulla. B: CT shows bilateral bulla. C: CT after bullectomy.
  • 66.
    Pneumatocele is abenign air containing cyst of lung, with thin wall < 1mm as bulla but with different mechanism  Infection with staph aureus is the commonest cause ( less common causes are, trauma, barotrauma) lead to necrosis and liquefaction followed by air leak and subpleural dissection forming a thin walled cyst.
  • 67.
    •Honeycombing is definedas multiple cysts < 1cm in diameter,with well defined walls, in a background of fibrosis, tend to form clusters and is considered as end stage lung . •It is formed by extensive interstitial fibrosis of lung with residual cystic areas.
  • 69.
    A cyst isa ring shadow > 1 cm in diameter and up to 10 cm with wall thickness from 1-3 mm.
  • 71.
  • 72.
    A cavity is> 1cm in diameter, and its wall thickness is more than 3 mm.
  • 73.
    Mechanism •A central portion necrosis and communicate to bronchus. •The draining bronchus is visible (arrow). CT (2 mm slice thickness) shows discrete air bronchograms in the consolidated area.
  • 74.
  • 75.
    A cavity inapicoposterior segment of left upper lobe
  • 76.
    2.Number Multiple cavities: 1. Aspiration. 2.TB 3. Fungal. 4. Metastatic. 5. Septic emboli. 6.Wegners granulomatosis
  • 77.
    Multiple thick wallcavities from adenocarcinoma of right lung Multiple cysts of metastasis from squamous cell carcinoma.
  • 80.
    3. Thickness and irregularity Irregular, nodular inner lining of thick wall abscess Malignant cavity.
  • 81.
  • 82.
    5. Relation tolymph node enlargement
  • 83.
  • 84.
    •Arrow head Crescent sign. •Black arrows  Fibrotic bands surrounding cavity (Fibrocavitary TB).
  • 86.
    Bronchiectasis Morphologic criteria onthin-section CT scans include bronchial dilatation with respect to the accompanying pulmonary artery (signet ring sign), lack of tapering of bronchi, and identification of bronchi within 1 cm of the pleural surface (27) (Fig 11). Bronchiectasis may be classified as cylindric, varicose, or cystic, depending on the appearance of the affected bronchi. It is often accompanied by bronchial wall thickening, mucoid impaction, and smallairways abnormalities
  • 87.
    Bronchiolectasis When dilated bronchiolesare filled with exudate and are thick walled, they are visible as a tree-in-bud pattern or as centrilobular nodules. In traction bronchiolectasis, the dilated bronchioles are seen as small, cystic, tubular airspaces, associated with CT findings of fibrosis
  • 88.
    Bronchocele bronchocele is atubular or branching Yor V-shaped structure that may resemble a gloved finger (Fig 13). The CT attenuation of the mucus is generally that of soft tissue but may be modified by its composition (eg, high-attenuation material in allergic bronchopulmonary aspergillosis). In the case of bronchial atresia, the surrounding lung may be of decreased attenuation because of reduced ventilation and, thus, perfusion.
  • 89.
    Bronchiolitis This direct signof bronchiolar inflammation (eg, infectious cause) is most often seen as the tree-inbud pattern, centrilobular nodules, and bronchiolar wall thickening .
  • 90.
    Bronchocentric This descriptor isapplied to disease that is conspicuously centered on macroscopic bronchovascular bundles . Examples of diseases with a bronchocentric distribution include sarcoidosis , Kaposi sarcoma , and organizing pneumonia
  • 91.
    Broncholith The imaging appearanceis of a small calcific focus in or immediately adjacent to anairway (Fig 15), most frequently the right middle lobe bronchus. Broncholiths are readily identified on CT scans . Distal obstructive changes may include atelectasis, mucoid impaction, and bronchiectasis.
  • 92.
    Bulla An airspace measuringmore than 1 cm— usually several centimeters in diameter, sharply demarcated by a thin wall that is no greater than 1 mm in thickness. A bulla is usually accompanied by emphysematous changes in the adjacent lung. Radiographs and CT scans.— A bulla appears as a rounded focal lucency or area of decreased attenuation, 1 cm or more in diameter, bounded by a thin wall . Multiple bullae are often present and are associated with other signs of pulmonary emphysema (centrilobular and paraseptal).
  • 93.
    Cavity A cavity isa gas-filled space, seen as a lucency or low-attenuation area, within pulmonary consolidation, a mass, or a nodule . In the case of cavitating consolidation, the original consolidation may resolve and leave only a thin wall. A cavity is usually produced by the expulsion or drainage of a necrotic part of the lesion via the bronchial tree. It sometimes contains a fluid level. Cavity is not a synonym for abscess.
  • 94.
  • 95.
    Number: Multiple bilateral cavitieswould raise suspicion for either bronchiogenous or hematogenous process. You should consider: Aspiration lung abscess Septic emboli Metastatic lesions Vasculitis (Wegener's) Coccidioidomycosis, tuberculosis
  • 96.
    Location: • Classical locationsfor aspiration lung abscess are superior segment of the lower lobes posterior segments of upper lobes. • Tuberculous cavities are common in superior segments of upper and lower lobes or posterior segments of upper lobes. • When a cavity in anterior segment is encountered, a strong suspicion for lung cancer should be raised. TB and aspiration lung abscess are rare in anterior segments. Cancer lung can occur in any segment.
  • 97.
    Wall Thickness: • Thickwalls are seen in: – Lung abscess – Necrotizing squamous cell lung cancer – Wegener's granulomatosis – Blastomycosis
  • 98.
    Wall Thickness: • Thinwalled cavities are seen in: • Coccidioidomycosis • Metastatic cavitating squamous cell carcinoma from the cervix • M. Kansasii infection • Congenital or acquired bullae • Post-traumatic cysts • Open negative TB
  • 99.
    Contents: • The mostcommon cause for air fluid level is lung abscess. Air fluid levels can rarely be seen in malignancy and in tuberculous cavities from rupture of Rasmussen's aneurysm. • A fungous ball should make you consider aspergillosis. A blood clot and fibrin ball will have the same appearance. • Floating Water Lily: The collapsed membrane of a ruptured echinococcal cyst, floats giving this appearance.
  • 100.
    Lining of Wall: Thewall lining is irregular and nodular in lung cancer or shaggy in lung abscess
  • 101.
    Evolution of Lesion: Manytimes review of old films to assess the evolution of the radiological appearance of the lesion extremely helpful. Examples • Infected bullae • Aspergilloma • Sub acute necrotizing aspergillosis • Bleeding from Rasmussen's aneurysm in a tuberculous cavity
  • 102.
    Associated Features: Ipsilateral lymphnodes or lytic lesions of the bone is seen with malignancy
  • 103.
    Centrilobular A small dotlikeor linear opacity in the center of a normal secondary pulmonary lobule, most obvious within 1 cm of a pleural surface, represents the intralobular artery (approximately1 mm in diameter) . Centrilobular abnormalities include (a) nodules, (b) a tree-in-bud pattern indicating small-airways disease, (c) increased vis-ibility of centrilobular structures due to thickening or infiltration of the adjacent interstitium, or (d) abnormal areas of low attenuation caused by centrilobular emphysema
  • 104.
    Centrilobular Emphysema CT findingsare centrilobular areas of decreased attenuation, usually without visible walls, of nonuniform distribution and predominantly located in upper lung zones . The term centriacinar emphysema is synonymous.
  • 105.
    Consolidation Consolidation appears asa homogeneous increase in pulmonary parenchymal attenuation that obscures the margins of vessels and airway walls .An air bronchogram may be present. The attenuation characteristics of consolidated lung are only rarely helpful in differential diagnosis (eg, decreased attenuation in lipoid pneumonia and increased in amiodarone toxicity
  • 106.
    Crazy-paving Pattern This patternappears as thickened interlobular septa and intralobular lines superimposed on a background of groundglass opacity , resembling irregularly shaped paving stones. The crazy-paving pattern is often sharply demarcated from more normal lung and may have a geographic outline. It was originally reported in patients with alveolar proteinosis and is also encountered in other diffuse lung diseases that affect both the interstitial and airspace compartments, such as lipoid pneumonia
  • 107.
    Cyst A cyst appearsas a round parenchymal lucency or low-attenuating area with a well-defined interface with normal lung. Cysts have variable wall thickness but are usually thin-walled (2 mm) and occur without associated pulmonary emphysema . Cysts in the lung usually contain air but occasionally contain fluid or solid material. The term is often used to describe enlarged thinwalled airspaces in patients with lymphangioleiomyomatosis or Langerhans cell histiocytosis ; thickerwalled honeycomb cysts are seen in patients with end-stage fibrosis .
  • 108.
    Desquamative Interstitial Pneumonia orDIP Ground-glass opacity is the dominant abnormality and tends to have a basal and peripheral distribution . Microcystic or honeycomb changes in the area of groundglass opacity are seen in some cases .
  • 109.
    Ground-Glass Opacity orGGO it appears as hazy increased opacity of lung, with preservation of bronchial and vascular margins .It is caused by partial filling of airspaces, interstitial thickening (due to fluid, cells, and/or fibrosis), partial collapse of alveoli, increased capillary blood volume, or a combination of these, the common factor being the partial displacement of air .Ground-glass opacity is less opaque than consolidation, in which bronchovascular margins are obscured.
  • 110.
    Halo Sign The halosign is a CT finding of ground-glass opacity surrounding a nodule or mass .It was first d e s c r i b e d a s a si g n o f h e mo r r h a g e a r o u n d f o ci o f i n va si ve a sp er g ill o si s . The halo sign is nonspecific and ma y a l so b e ca u se d b y h e mo r r h a g e associated with other types of nodules o r b y l ocal pul monar y infiltr ation b y n e o p l a s m ( e g , a d e n o c a r ci n o ma ) .
  • 111.
    Honeycombing On chest radiographs,honeycombing appears as closely approximated ring shadows, typically 3–10 mm in diameter with walls 1–3 mm in thickness, that resemble a honeycomb; the finding implies endstage lung disease. On CT scans, the appearance is of clustered cystic air spaces, typically of comparable diameters on the order of 3–10 mm but occasionally as large as 2.5 cm . Honeycombing is usually subpleural and is characterized by welldefined walls . It is a CT feature of established pulmonary fibrosis . Because honeycombing is often considered specific for pulmonary fibrosis and is an important criterion in the diagnosis of usual interstitial pneumonia (63), the term should be used with care, as it may directly impact patient care.
  • 112.
    Idiopathic pulmonary fibrosis Thetypical imaging findings are reticular opacities and honeycombing, with a predominantly peripheral and basal distribution . Ground-glass opacity, if present, is less extensive than reticular and honeycombing patterns. The typical radiologic findings are also encountered in usual interstitial pneumonia secondary to specific causes, such as asbestos-induced pulmonary fibrosis (asbestosis), and the diagnosis is usually one of exclusion.
  • 113.
    Infarction A pulmonary infarctis typically triangular or dome-shaped, with the base abutting the pleura and the apex directed toward the hilum.The opacity represents local hemorrhage with or without central tissue necrosis
  • 114.
    Interlobular septal thickening Thisfinding is seen on chest radiographs as thin linear opacities at right angles to and in contact with the lateral pleural surfaces near the lung bases (Kerley B lines); it is seen most frequently in lymphangitic spread of cancer or pulmonary edema. Kerley A lines are predominantly situated in the upper lobes, are 2–6 cm long, and can be seen as fine lines radially oriented toward the hila. In recent years, the anatomically descriptive terms septal lines and septal thickening have gained favor over Kerley lines. On CT scans, disease affecting one of the components of the septa (see interlobular septum) may be responsible for thickening and so render septa visible. On thin-section CT scans, septal thickening may be smooth or nodular , which may help refine the differential diagnosis.
  • 115.
    Interlobular septum Interlobular septaappear as thin linear opacities between lobules ; these septa are to be distinguished from centrilobular structures. They are not usually seen in the healthy lung (normal septa are approximately 0.1 mm thick) but are clearly visible when thickened (eg, by pulmonary edema).
  • 116.
    Interstitial emphysema Interstitial emphysemais rarely recognized radiographically in adults and is infrequently seen on CT scans . It appears as perivascular lucent or lowattenuating halos and small cysts
  • 117.
    Intralobular lines Intralobular linesare visible as fine linear opacities in a lobule when the intralobular interstitial tissue is abnormally thickened . When numerous, they may appear as a fine reticular pattern. Intralobular lines may be seen in various conditions, including interstitial fibrosis and alveolar proteinosis