Approach To
Interstitial Lung Diseases
or
Diffuse Parenchymal Lung
Diseases
Gamal Rabie Agmy, MD, FCCP
Professor of Chest Diseases, Assiut university
The interstitium of the lung is not normally visible radiographic-
ally; it becomes visible only when disease (e.g., edema,
fibrosis, tumor) increases its volume and attenuation.
The interstitial space is defined as continuum of loose
connective tissue throughout the lung composed of three
subdivisions:
(i) the bronchovascular (axial), surrounding the bronchi,
arteries, and veins from the lung root to the level of the
respiratory bronchiole
(ii) the parenchymal (acinar), situated between the alveolar
and capillary basement membranes
(iii) the subpleural, situated beneath the pleura, as well as in
the interlobular septae.
The Lung Interstitium
Secondary pulmonary lobular
anatomy
The terminal bronchiole in the center
divides into respiratory bronchioles with
acini that contain alveoli.
Lymphatics and veins run within the
interlobular septa
Centrilobular area in blue (left)
and perilymphatic area in yellow
(right)
Ideal ILD doctor
Radiologist
Pathologist
Pulmonologist
DPLD of known
cause (e.g. drugs,
dust exposure,
collagen vascular
disease)
Idiopathic
interstitial
pneumonias
Granulomatous
DPLD (e.g.
sarcoidosis)
Other forms of DPLD
(e.g. LAM, HX,
eosin. pneum. etc.)
Diffuse Parenchymal Lung Disease
IIP other than
idiopathic
pulmonary fibrosis
Idiopathic
pulmonary
fibrosis (IPF)
Desquamativeinterstitial
pneumonia (DIP)
Acute interstitial
pneumonia (AIP)
Lymphocytic interstitial
pneumonia (LIP)
Nonspecific interstitial
pneumonia (NSIP)
Cryptogenic organising
pneumonia (COP)
Respiratory bronchiolitis/
Interst. lung dis. (RBILD)
Incident Cases of ILD
Sarcoidosis
8%
Occupation
11% DILD
5% DAH
4%
CTD
9%
Other
11%
Pulmonary Fibrosis
52%
CoultasAJRCCM 1994; 150:967
(Incidence of IPF=26-31 per 100,000)
Adapted from Ryu JH, et al. Mayo Clin Proc. 1998;73:1085-1101.
Adapted from ATS/ERS. Am J Respir Crit Care Med. 2002;165:277-304.
1970
Liebow and Carington
2002
ATS/ERS
UIP
NSIP
DIP-RBILD
AIP
UIP/IPF
NSIP
DIP
RB-
ILD
AIP
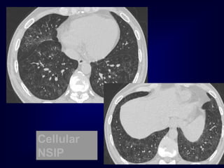
Cellular
Fibrotic
COP
LIP
Historical Classification of IIP
UIP
DIP
UIP-BO
LIP
Giant cell IP
1997
Katzenstein
Major idiopathic interstitial pneumonias
Idiopathic pulmonary fibrosis
Idiopathic nonspecific interstitial pneumonia
Respiratory bronchiolitis-interstitial lung disease
Desquamative interstitial pneumonia
Cryptogenic organising pneumonia
Acute interstitial pneumonia
Rare idiopathic interstitial pneumonias
Idiopathic lymphoid interstitial pneumonia
Idiopathic pleuroparenchymal fibroelastosis
Unclassifiable idiopathic interstitial pneumonias
Table 2.Update of the classification of idiopathic interstitial pneumoniasUpdate of the classification of idiopathic
interstitial pneumonias
Rare IIPs
• Idiopathic Lymphoid Interstitial
Pneumonia
• Idiopathic Pleuroparenchymal
Fibroelastosis
• Acute Fibrinous and Organizing
Pneumonia
• Bronchiolocentric Patterns of
Interstitial Pneumonia
Revision of the IIP classification
• The main entities are preserved .
• However, there are several important changes.
• First, cryptogenic fibrosing alveolitis is removed,
leaving idiopathic pulmonary fibrosis (IPF) as
the sole clinical term for this diagnosis.
• Second, idiopathic nonspecific interstitial
pneumonia (NSIP) is now accepted as a distinct
clinical entity with removal of the term
“provisional”.
Revision of the IIP classification
• Third, major IIPs are distinguished from rare
IIPs and unclassifiable cases.
• Fourth, rare histologic patterns of acute
fibrinous and organizing pneumonia (AFOP)
and interstitial pneumonias with a
bronchiolocentric distribution are recognized.
Revision of the IIP classification
• Fifth, the major IIPs are grouped into chronic
fibrosing (IPF and NSIP; ), smoking-related
(RB-ILD and DIP), acute/subacute IIPs (COP)
and acute interstitial pneumonia [AIP]
• Sixth, a clinical disease behavior classification
is proposed.
• Last, molecular and genetic features are
reviewed.
IDIOPATHIC INTERSTITIAL PNEUMONIAS:
CLASSIFICATION ACCORDING TO DISEASE
BEHAVIOR
Clinical Behavior Treatment Goal Monitoring Strategy
Reversible and self-limited
(e.g., many cases of RB-ILD)
Remove possible cause Short-term (3- to 6-mo)
observation to confirm
disease regression
Reversible disease with risk
of progression (e.g., cellular
NSIP and some fibrotic NSIP,
DIP, COP)
Initially achieve response
and then rationalize longer
term therapy
Short-term observation to
confirm treatment response.
Long-term observation to
ensure that gains are
preserved
Stable with residual disease
(e.g., some fibrotic NSIP)
Maintain status Long-term observation to
assess disease course
Progressive, irreversible
disease with potential for
stabilization (e.g., some
fibrotic NSIP)
Stabilize Long-term observation to
assess disease course
Progressive, irreversible
disease despite therapy
(e.g., IPF, some fibrotic
NSIP)
Slow progression Long-term observation to
assess disease course and
need for transplant or
effective palliation
Correlation with HRCT patterns
 7 clinical-radiological-pathological categories
ATS/ERS International Multidisciplinary Consensus Classification of the
Idiopathic Interstitial Pneumonias, AJRCCM Vol 165. pp 277-304, 2002
UIP
+
NSIP
+
OP
+
DAD
+
DIP
+
RB
+
LIP
+
=
IPF
=
NSIP
=
COP
=
AIP
=
DIP
=
RB-ILD
=
LIP
Idiopathic Pleuroparenchymal Fibroelastosis
PPFE is a rare condition that consists of fibrosis involving the pleura
and subpleural lung parenchyma, predominantly in the upper lobes.
HRCT shows dense subpleural consolidation with traction
bronchiectasis, architectural distortion, and upper lobe volume loss
The principal HRCT findings are bilateral basal
opacities and areas of consolidation .The dominant
histologic pattern is intraalveolar fibrin deposition and
associated organizing pneumonia
Acute Fibrinous and Organizing Pneumonia
Clinical Assessment
• History
• Physical Exam
• Chest Radiograph
• Pulmonary Function Testing
– At Rest
– Exercise
• Serologic Studies
• Tissue examination
History
• Age
• Gender
• Smoking history
• Medications
• Duration of symptoms
• Environmental exposure
• Occupational exposure
• Family history
History: Age and Gender
– LAM
– Tuberous sclerosis
– Pneumoconiosis
Age Gender
History: Smoking
• All of the following
DPLD are associated
with smoking except:
a) IPF
b) RBILD
c) DIP
d) HP
e) Histiocytosis X
• In Goodpasture‟s
syndrome
– 100% of smokers vs. 20%
of nonsmokers
experience pulmonary
hemorrhage
• Individuals exposed to
asbestos who smoke are
more likely to develop
asbestosis
www.pneumotox.com
History: Medications
Schwartz, ILD text book, 4th edition
History: Occupational and
Environmental
INORGANIC
ORGANIC: Hypersensitivity Pneumonitis
Occupational ????
2. Subacute Diseases (weeks to months)
• HSP, Sarcoid, Cellular NSIP, Drug,
“Chronic” EP, Bronchiolitis/ SAD
__________________________________________________________________________________________________________________
3. Chronic Diseases (months to years)
• UIP, Fibrotic NSIP, Pneumoconioses,
CVD-related, Chronic HSP
Smoking (RBILD and PLCH)
1. Acute Diseases (Days to weeks)
• DAD (AIP), EP, Vasculitis/DPH, Drug, CVD
________________________________________________________________________________________________________________
History: Duration of Illness
Physical Findings
• Resting Tachypnea
• Shallow breathing
• Dry crackles
• Digital clubbing
• Pulmonary HTN
• Non-pulmonary
findings
Laboratory
ILD: Evaluation
• Rdiographic
– CXR
– HRCT
• Physiologic testing
– PFT
– Exercise test
• Lung Sampling
– BAL
– Lung biopsy: (TBBx, Surgical)
CXR: LlMITATIONS
• CXR is normal:
– in 10 to 15 % of symptomatic patients with
proven infiltrative lung disease
– 30% of those with bronchiectasis
– ~ 60 % of patients with emphysema
• CXR has a sensitivity of 80% and a
specificity of 82% percent for detection
of DPLD
• CXR can provide a confident diagnosis
in ~ 23 % of cases
A normal CXR does not rule
out the presence of DPLD
Cystic Lung Lesions
By
Gamal Rabie Agmy , MD , FCCP
Professor of Chest Diseases ,Assiut University
DECREASED
LUNG
ATTENUATION
Lung Cysts
Pulmonary fibrosis (Honeycombing)
Lymphangiomyomatosis
Langerhanscell histiocytosis
Lymphocytic Interstitial Pneumonia (LIP)
Differential Diagnosis
Rough Reticular Fine Reticular
Traction
Bronchiectasis
and
Interface
sign
Honey
combing
UIP UIP or NSIP
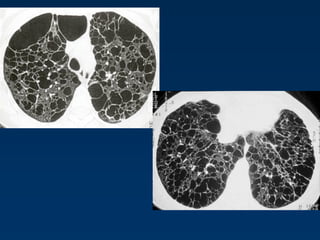
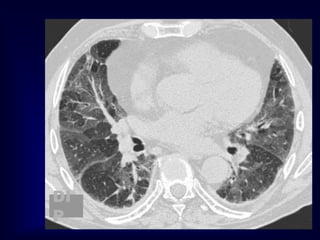
Usual Interstitial Pneumonia UIP
HRCT Findings
Reticular opacities, thickened intra- and
interlobular septa
Irregular interfaces
Honey combing and parenchymal distorsion
Ground glass opacities (never prominent)
Basal and subpleural predominance
Basal and subpleural distribution
UIP
Lymphangioleiomyomatosis (LAM)
HRCT Morphology
Thin-walled cysts (2mm - 5cm)
Uniform in size / rarely confluent
Homogeneous distribution
Chylous pleural effusion
Lymphadenopathy
in young women
Lymphangioleiomyomatosis (LAM)
Tuberous Sclerosis (young man)
Langerhans Cell
Histiocytosis
Langerhans Cell Histiocytosis
HRCT Findings
Small peribronchiolar nodules (1-5mm)
Thin-walled cysts (< 1cm),
Bizarre and confluent
Ground glass opacities
Late signs: irreversible / parenchymal fibrosis
Honey comb lung, septal thickening,
bronchiectasis
1 year later
Peribronchiolar Nodules Cavitating nodules and cysts
Langerhans Cell Histiocytosis
Langerhans Cell Histiocytosis
Langerhans Cell Histiozytosis
Key Features
Upper lobe predominance
Combination of cysts and noduli
Characteristic stages
Increased Lung volume
Sparing of costophrenic angle
S
M
O
K
I
N
G
Langerhans Cell Histiocytosis
Langerhans Cell Histiocytosis
Differential Diagnosis
Only small nodules
Sarkoidosis, Silikosis
Only cysts
idiopathic Fibrosis
LAM
Destruktive emphysema
A professional diver.............
.......after cessation of smoking
Benign lymphoproliferative
disorder
Diffuse interstitial infiltration of
mononuclear cells
Not limited to the air ways as
in follicular Bronchiolitis
LIP
= Lymphocytic Interstitial Pneumonia
Sjögren: LIP
LIP
= Lymphocytic Interstitial Pneumonia
Rarely idiopathic
In association with:
Sjögren‟s syndrome
Immune deficiency syndromes, AIDS
Primary biliary cirrhosis
Multicentric Castlemean‟s disease
Sjoegren disease
Dry eye and dry mouth
Fibrosis, bronchitis and bronchiolitis
LIP
Overlap
Sarcoid, DM/PM, MXCT
SLE, RA (pleural effusion)
Up to 40 x increased risk for lymphoma (mediastinal
adenopathy) and
2 x times increased risk for neoplasma
Summary..................................Quiz
Young woman Dry mouth Smoker
LAM LIP Histiocytosis
Emphysema Fibrosis (UIP)
Wegener„s disease
Rheumatoid Arthritis
Emphysema
histopathological definition
…..permanent abnormal enlargement of
airspaces distal to the bronchioles terminales
and
…...destruction of the walls of the involved
airspaces
Centrilobular Emphysema
Panlobular Emphysema
CLE and PLE in one Patient
Fibrosis and Emphysema
What is Your Diagnosis ?
Cystic Changes and Decreased Density
Quiz
LAMEmphysema Fibrosis
LCHEmphysema
FibrosisEmphysema
Emphysema
Emphysema typically presents as
areas of low attenuation without
visible walls as a result of
parenchymal destruction.
EMPHYSEMA
Permanent, abnormal enlargement of air
spaces distal to the terminal bronchiole
and accompanied by the destruction of
the walls of the involved air spaces.
78
Centrilobular emphysema
Most common type
Irreversible destruction of alveolar
walls in the centrilobular portion of the
lobule
Upper lobe predominance and
uneven distribution
Strongly associated with smoking.
Centrilobular (proximal or
centriacinar) emphysema
Found most commonly in the upper lobes
Manifests as multiple small areas of low attenuation without a
perceptible wall, producing a punched-out appearance.
Often the centrilobular artery is visible within the
centre of these lucencies.
80
Centrilobular emphysema due to smoking. The periphery of
the lung is spared (blue arrows). Centrilobular artery (yellow
arrows) is seen in the center of the hypodense area.
Panlobular emphysema
Affects the whole secondary lobule
Lower lobe predominance
In alpha-1-antitrypsin deficiency, but
also seen in smokers with advanced
emphysema
PANLOBULAR EMPHYSEMA
Affects the entire secondary pulmonary
lobule and is more pronounced in the lower
zones
Complete destruction of the entire pulmonary
lobule.
Results in an overall decrease in lung
attenuation and a reduction in size of
pulmonary vessels
83
PANLOBULAR EMPHYSEMA
84
Panlobular emphysema
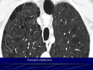
Paraseptal (distal acinar)
emphysema
Affects the peripheral parts of
the secondary pulmonary lobule
Produces subpleural lucencies.
86
Paraseptal emphysema
Bronchiectasis
Bronchiectasis is defined as localized bronchial
dilatation. (signet-ring sign)
bronchial wall thickening
lack of normal tapering with visibility of airways
in the peripheral lung
mucus retention in the broncial lumen
associated atelectasis and sometimes air
trapping
ABPA: glove-fingershadow dueto mucoid impaction in central
bronchiectasisin a patientwith asthma.
Signet-Ring Sign
A signet-ring sign represents an axial cut of a dilated bronchus
(ring) with its accompanying small artery (signet).
Tram Tracks
Bronchial dilation with lack of tapering .
HONEYCOMBING
Defined as - small cystic spaces with
irregularly thickened walls composed of
fibrous tissue.
Predominate in the peripheral and subpleural
lung regions
Subpleural honeycomb cysts typically occur
in several contiguous layers. D/D- paraseptal
emphysema in which subpleural cysts usually
94
Honeycombing
Honeycombing is defined by the presence of small cystic
spaces with irregularly thickened walls composed of
fibrous tissue.
Causes
Lower lobe predominance :
1. UIP or interstitial fibrosis
2. Connective tissue disorders
3. Hypersensitivity pneumonitis
4. Asbestosis
5. NSIP (rare)
Upper lobe predominance :
1. End stage sarcodosis
2. Radiation
3. Hypersensitivity Pneumonitis
4. End stage ARDS
96
Honeycombing
HRCT showing
subpleural
broncheolectasis
Honeycombing and traction bronchiectasis in UIP.
Typical UIP with honeycombing and traction
bronchiectasis in a patient with idiopathic
pulmonary fibrosis (IPF)
Distribution within the lung
Nodular Patternitie
By
Gamal Rabie Agmy , MD , FCCP
Professor of Chest Diseases ,Assiut University
Nodular Pattern
Nodular pattern
 A nodular pattern consists of multiple round opacities,
generally ranging in diameter from 1 mm to 1 cm
 Nodular opacities may be described as miliary (1 to 2 mm,
the size of millet seeds), small, medium, or large, as the
diameter of the opacities increases
 A nodular pattern, especially with predominant distribution,
suggests a specific differential diagnosis
Perilymphatic distribution
Centrilobular distribution
Random distribution
ARE NODULES IN CONTACT
WITH PLEURA
NO
CENTRILOBULAR
YES
PERILYMPHATIC RANDOM
TO SUM UP..
• Random
– touch pleura
– scattered in lung
• Centrilobular
–away from pleura
• Perilymphatic
– around vessels, bronchi
– touch pleura or fissure
Size, Distribution, Appearance
Nodules and Nodular Opacities
Size
Small Nodules:<10 mm Miliary - <3 mm
Large Nodules: >10 mm Masses - >3 cms
Appearance
Interstitial opacity:
 Well-defined, homogenous,
Soft-tissue density
Obscures the edges of vessels or adjacent structure
Air space:
Ill-defined, inhomogeneous.
Less dense than adjacent vessel – GGO
small nodule is difficult to identify
Interstitial
nodules
Air space opacity
Miliary tuberculosis
sarcoidosis
in a lung transplant patient
with bronchopneumonia
RANDOM: no consistent relationship to any structures
PERILYMPHATIC: corresponds to distribution of lymphatic
CENTRILOBULAR: related to centrilobular structuresDistribution
113
Angiocentric
Bronchocentric, ill Defined
Bronchocentric, well Defined
Lymphocentric
Disseminated histoplasmosis and nodular ILD.
CT scan shows multiple bilateral round circumscribed
pulmonary nodules.
Notice the nodules along the fissures indicating a
perilymphatic distribution (red arrows).
The majority of nodules located along the bronchovascular
bundle (yellow arrow).
Sarcoidosis
The majority of nodules located
along the bronchovascular bundle
(yellow arrow).
PERILYMPHATIC NODULES
Perilymphatic and Random distribution of
nodules , seen in sarcoidosis.
Centrilobular distribution
Hypersensitivity pneumonitis
Respiratory bronchiolitis in
smokers
infectious airways diseases
(endobronchial spread of
tuberculosis or
nontuberculous
mycobacteria,
bronchopneumonia)
Uncommon in
bronchioloalveolar
carcinoma, pulmonary
edema, vasculitis
Random distribution
Small random nodules
are seen in:
 Hematogenous
metastases
 Miliary tuberculosis
 Miliary fungal infections
 Sarcoidosis may mimick
this pattern, when very
extensive
 Langerhans cell
histiocytosis (early
nodular stage)
Langerhans cell histiocytosis: early nodular stage before the typical
cysts appear.
Differential diagnosis of a nodular
pattern of interstitial lung disease
SHRIMP
Sarcoidosis
Histiocytosis (Langerhan cell
histiocytosis)
Hypersensitivity pneumonitis
Rheumatoid nodules
Infection (mycobacterial, fungal, viral)
Metastases, Miliary TB
Microlithiasis, alveolar
Pneumoconioses (silicosis, coal
worker's, berylliosis)
Reticulonodular pattern
A reticulonodular pattern results from a
combination of reticular and nodular opacities.
This pattern is often difficult to distinguish from
a purely reticular or nodular pattern, and in
such a case a differential diagnosis should be
developed based on the predominant pattern.
If there is no predominant pattern, causes of both
nodular and reticular patterns should be
considered.
Reticular Pattern
Gamal Rabie Agmy, MD, FCCP
Professor of chest Diseases,
Assiut university
Linear Pattern
A linear pattern is seen when there is
thickening of the interlobular septa,
producing Kerley lines.
Kerley B lines
KerleyA lines
The interlobular septa contain
pulmonary veins and lymphatics.
The most common cause of interlobular
septal thickening, producing Kerley A
and B lines, is pulmonary edema, as a
result of pulmonary venous
hypertension and distension of the
lymphatics.
Kerley B lines
Kerley A lines
DD of Kerly Lines:
Pulmonary edema is the most common cause
Mitral stenosis
Lymphangitic carcinomatosis
Malignant lymphoma
Congenital lymphangiectasia
Idiopathic pulmonary fibrosis
Pneumoconiosis
Sarcoidosis
Reticular Pattern
A reticular pattern results from the summation
or superimposition of irregular linear opacities.
The term reticular is defined as meshed, or in
the form of a network. Reticular opacities can be
described as fine, medium, or coarse, as the
width of the opacities increases.
A classic reticular pattern is seen with
pulmonary fibrosis, in which multiple curvilinear
opacities form small cystic spaces along the
pleural margins and lung bases (honeycomb
lung)
HRCT of the lung
Reticular pattern – definition
Glossary of Terms for Thoracic Imaging – Radiology 2008; 246:697
HRCT of the lung
 thickening of the interstitial fiber network by
Reticular pattern – significance
 fluid
 fibrous tissue
 infiltration by cells or other material
 pulm. edema
 lymphangitic carcin.
 veno-occlusive dis.
 alveolar proteinosis
 IPF
 collagen vascular dis.
 drug-related fibrosis
 amyloidosis
Predominant pattern Associated / occasional
finding
 sarcoidosis
 pneumoconiosis
 pulm. hemorrhage
 asbestosis
HRCT of the lung
Reticular pattern – HRCT
numerous, clearly visible interlobular septa
outlining lobules of characteristic size and shape
interlobular septal thickening
very fine network of lines within visible lobules
intralobular interstitial thickening
several layers of air-filled cysts, 3-10 mm in diameter,
with thick walls (1-3 mm)
honeycombing
Reticular pattern
Interlobular septal thickening – dd
smooth
thickening
pulm. edema
pulm. hemorrhage
lymphangitic carc.
lymphoma
nodular
thickening
lymphangitic carc.
sarcoidosis
amyloidosis
irregular
thickening
fibrosis
Reticular pattern
Interlobular septal thickening – pulmonary edema
 smooth septal thickening, isolated or in combination
with ground-glass opacity
 peribronchovascular and subpleural interstitial th.
 perihilar and gravitational distribution, bilateral
 findings of CHF
Reticular pattern
Interlobular septal th. – lymphangitic carcinomatosis
 tumor filling of pulmonary vessels and lymphatics
 direct tumor infiltration of the interstitium
 vascular and lymphatic distension distally to tumor
emboli or obstruction
 breast ca.
 lung ca.
 stomach ca.
 pancreas ca.
Secondary to:
 prostate ca.
 adenoca. of
unknown origin
Reticular pattern
Interlobular septal th. – lymphangitic carcinomatosis
 smooth or nodular septal thickening
 smooth or nodular thickening of peribronchovascular
interstitium and fissures
 thickening of the intralobular axial interstitium
 focal or asymmetric distribution
Reticular pattern
Interlobular septal thickening – sarcoidosis
 reticulation is not a predominat finding
 distorsion of the lung architecture and secondary
lobule anatomy is common, especially when septal
thickening is present
 upper lobe predominance
Reticulation or not reticulation ……
“crazy paving”
Reticulation or not reticulation ……
alveolar proteinosis
Reticular pattern
Interlobular septal thickening – “crazy paving”
 scattered or diffuse ground-glass attenuation with
superimposed interlobular septal thickening and
intralobular lines
 described in a variety of infectious, neoplastic,
idiopathic, inhalation, and sanguineous disorders of
the lung
Rossi SE – Radiographics 2003; 23:1509
Reticular pattern
Honeycombing – significance
air-containing cystic spaces having thick,
fibrous walls lined by bronchiolar
epithelium

fibrosis is present
UIP is likely the histologic pattern
IPF is very likely, in the absence of a
known disease
Reticular pattern
Honeycombing – differential diagnosis
basal
distribution
middle/upper
distribution
chronic HP
sarcoidosis
IPF
collagen vasc. dis.
asbestosis
drugs
 honeycombing /
intralobular reticulation
 basal and peripheral
distribution
typical HRCT findings
sens. 77%
spec. 72%
PPV 85%
PPV 96%*
Swigris JJ – Chest 2005; 127:275
lung biopsy in patients who
do not show typical features
Reticular pattern
Honeycombing – idiopathic pulmonary fibrosis
* confident diagnosis
Reticular pattern
Honeycombing – collagen vascular diseases
 rheumatoid arthritis and scleroderma
 almost indistinguishable from UIP due to IPF
 associated findings, typical of the disease, may help in the
differential diagnosis
Reticular pattern
Honeycombing – drug reaction
 findings of fibrosis, similar to those seen in IPF
 peripheral and subpleural predominance
 highest incidence with cytotoxic agents
 temporal relationship between drug administration and
development of pulmonary abnormalities
Honeycombing – chronic hypersensitivity pneum.
 possible association with poorly
defined nodules, mosaic attenuation
or air-trapping
 upper and middle zone
predominance
Reticular pattern
Intralobular interstitial thickening – significance
thickening of the pulmonary interstitium
at a sublobular level
isolated (fibrosis)
in association with septal thickening
or the “crazy paving” pattern
very fine linear structures below the
resolution of HRCT (gg appearance)

Reticular pattern
adapted from: Webb RW – HRCT of the lung, III ed; 2001
interlobular septal thickening
irregular, lung
distorsion
nodularsmooth
•fibrosis
(sarcoidosis,
asbestosis)
•pulm. edema
•linf. carc.
•hemorrhage
• sarcoidosis
• linf. carc.
Reticular pattern
adapted from: Webb RW – HRCT of the lung, III ed; 2001
honeycombing
•IPF (60%)
•collagen vascular dis.
• drug reaction
•asbestosis (uncommon)
subpleural, posterior
LL predominance
• sarcoidosis
• chronic HP
• radiation
other distribution
(UL; parahilar)
Reticular pattern
adapted from: Webb RW – HRCT of the lung, III ed; 2001
intralobular interstitial thickening
& septal thickening & GGO
isolated
NSIP
findings of fibrosis
honeycombing
differential dx
Inconsistentwith UIP
pattern (any one of
seven features
PossibleUIP pattern (all
three features)
UIP pattern (all four
features)
•Upperor mid lung
predominance
subpleural basal
predominance
•subpleural basal
predominance
•peribronchovascular
predominance
reticular abnormality•reticular abnormality
•extensive groundglass
abnormality(extent> reticular
abnormality)
•honeycombing with or
without traction
bronchiectasis
•profuse micronodules
(bilateral, predominantlyupper
lobes
Absence of features
listed as inconsistent
with UIP pattern
Absence of features
listed as inconsistent
with UIP pattern
•discrete cysts (multiple
bilateral, awayfrom areas of
honeycombing)
•diffuse mosaic attenuation/air
trapping (bilateralin three or
more lobes)
•consolidationin broncho-
pulmonarysegment(s)/lobe(s)
Radiological features of idiopathic pulmonary fibrosis: 2011
Focal septal thickening in lymphangitic carcinomatosis
Tree-in-bud
 Centrilobular nodules m/b further characterized by presence or
absence of „„tree-in-bud.‟‟
 Tree-in-bud -- Impaction of centrilobular bronchus with mucous,
pus, or fluid, resulting in dilation of the bronchus, with associated
peribronchiolar inflammation .
 Dilated, impacted bronchi produce Y- or V-shaped structures
 This finding is almost always seen with pulmonary infections.
153
Tree-in-bud
Tree-in-buddescribesthe appearance of an irregularand often nodular
branchingstructure, most easily identifiedin the lung periphery.
Typical Tree-in-bud appearance in a patient with active TB.
Attenuation pattern
High Attenuation pattern
 GROUND GLASS
 CONSOLIDATION
Low Attenuation pattern
 Emphysema
 Lung cysts (LAM, LIP, Langerhans cell histiocytosis)
 Bronchiectasis
 Honeycombing
Dark bronchus sign in ground glass opacity.
Complete obscuration of vessels in consolidation.
Ground-glass opacity
Broncho-alveolar cell carcinoma with ground-glass
opacity and consolidation
Consolidation
Two patients with chronic consolidations as a result of COP
(cryptogenic organizing pneumonia)
Head cheese sign
It refers to mixed
densities which includes
# consolidation
# ground glass
opacities
# normal lung
# Mosaic perfusion
• Signifies mixed
infiltrative and
obstructive disease
Head cheese sign
Common cause are :
1. Hypersensitive pneumonitis
2. Sarcoidosis
3. DIP
163
Headcheese sign
Headcheese sign in
hypersensitivity
pneumonitis.
HRCT scan shows lung with
a geographic appearance,
which represents a
combination of patchy or
lobular ground-glass opacity
(small arrows) and mosaic
perfusion (large arrows).
Mosaic Patternitie
By
Gamal Rabie Agmy , MD , FCCP
Professor of Chest Diseases ,Assiut University
Mosiac pattern
Where is the pathology ???????
in the areas with increased density
meaning there is ground glass
in the areas with decreased density
meaning there is air trapping
Pathology in black areas
Airtrapping: Airway
Disease
Bronchiolitis obliterans (constrictive bronchiolitis)
idiopathic, connective tissue diseases, drug reaction,
after transplantation, after infection
Hypersensitivity pneumonitis
granulomatous inflammation of bronchiolar wall
Sarcoidosis
granulomatous inflammation of bronchiolar wall
Asthma / Bronchiectasis / Airway diseases
Airway Disease
what you see……
In inspiration
sharply demarcated areas of seemingly increased
density (normal) and decreased density
demarcation by interlobular septa
In expiration
„black‟ areas remain in volume and density
„white‟ areas decrease in volume and increase in
density
INCREASE IN CONTRAST
DIFFERENCES
AIRTRAPPING
Bronchiolitis
obliterans
Early Sarcoidosis
Chronic
EAA
Hypersensitivity pneumonitis
Extr. Allerg. Alveolitis (EAA) HRCT
Morphology
chronic: fibrosis
Intra- / interlobular septal thickening
Irregular interfaces
Traction bronchiectasis
acute - subacute
acinar (centrilobular) unsharp densities
ground glass (patchy - diffuse)
Pathology in white Areas
Alveolitis / Pneumonitis
Ground glass
desquamative intertitial pneumoinia (DIP)
nonspecific interstitial pneumonia (NSIP)
organizing pneumonia
In expiration
both areas (white and black) decrease in
volume and increase in density
DECREASE IN CONTRAST
DIFFERENCES
DI
P
Cellular
NSIP
Mosaic Perfusion
Chronic pulmonary embolism
LOOK FOR
Pulmonary hypertension
idiopathic, cardiac disease, pulmonary
disease
CTEPH =
Chronic thrombembolic
pulmonary hypertension
Smoking-related ILDs
By
Gamal Rabie Agmy , MD , FCCP
Professor of Chest Diseases ,Assiut University
Histopathological Patterns of IIPs
ThannickalVJ,et al. Annu Rev Med.2004;55:395-417.
Age
Genetic factors
Environmental factors
Nature of injury
– Etiologic agent
– Recurrentvs single
– Endothelialvs epithelial
Histopathologic Pattern
DIP RB-ILD LIP COP NSIP AIP UIP
Inflammation
Fibrosis
LUNG INJURY
Table 1. Smoking-related ILDs
RB-ILD
Epidemiologic and Clinical Features
*RB-ILD usually affects current smokers 30–40 years of
age with a 30 pack-year or greater history of cigarette
smoking.
*There is a slight male predominance.
*Mild cough and dyspnea are the most common
presenting symptoms.
*Inspiratory crackles are present in one-half of patients,
and digital clubbing is rare .
*PFT results may be normal or show a mixed obstructive-
restrictive pattern with reduced diffusing capacity .
RB-ILD
RB-ILD
RB-ILD
Treatment and Outcome
Patients with RB-ILD generally have a good prognosis.
The condition of most patients remains stable or
improves, and no deaths have been attributed to RB-ILD,
to our knowledge. Progressive fibrotic lung disease does
not occur. Smoking cessation is the most important
treatment of RB-ILD. Corticosteroids have little role in
most cases, although beneficial results have been
reported in anecdotal symptomatic cases
Desquamative Interstitial Pneumonitis
It is considered a misnomer, as the predominant
pathologic feature is the intraalveolar accumulation of
pigmented macrophages and not desquamation of
epithelial cells as previously thought. The condition
represents the end spectrum of RB-ILD with similar
pathologic findings and an almost invariable
association with smoking.
Desquamative Interstitial Pneumonitis
Epidemiologic and Clinical Features
*DIP is an uncommon form of IIP that primarily affects cigarette smokers in
their 4th or 5th decades. Males are affected nearly twice as often as
females. Approximately 90% of patients with DIP are smokers.
*DIP can occasionally be seen in nonsmokers in associationwith systemic
disorders, infections, and exposure to occupational or environmental
agents or drugs .
*Dyspnea and dry cough are the most common presenting symptoms, and
the onset is usually insidious. Inspiratory crackles are heard in 60% of
patients, and digital clubbing occurs in nearly one-half of patients .
*The most common and striking PFT abnormality is marked reduction in
diffusing capacity, with reductions of 50% or more being common.
Restrictivedefects are also common. Patients with advanced disease may
have hypoxemia at rest or with exertion.
Desquamative Interstitial Pneumonitis
Desquamative Interstitial Pneumonitis
Desquamative Interstitial Pneumonitis
Desquamative Interstitial Pneumonitis
Treatment and Outcome
*Smoking cessation is the primary treatment for DIP and may lead to disease
regression.
*Most patients with DIP receive oral corticosteroids. Although no randomized trials
have demonstrated the efficacy of this therapy, it is generally recommended for
patients with significant symptoms, PFT abnormalities, and progressive disease.
*A higher percentage of patients with DIP respond to corticosteroid therapy than
do patients with UIP; approximately two-thirds of DIP patients show stabilization
or improvement of symptoms, and complete recovery is possible. The response to
corticosteroids is not uniform, as approximately 25% of patients may continue to
progress despite treatment .
*The role of cytotoxic and other immunosuppressive agents remains undefined.
The 5- and 10-year survival rates are 95.2% and 69.6%, respectively .Late
relapse and recurrence in a transplanted lung have been reported
Pulmonary Langerhans Cell Histiocytosis
The term Langerhans cell histiocytosis refers to a group of diseases of unknown
etiology often recognized in childhood, in which Langerhans cell accumulations
involve one or more body systems, including bone, lung, pituitary gland, mucous
membranes, skin, lymph nodes, and liver. This disease is also referred to as
histiocytosis X or eosinophilic granuloma. The term pulmonary Langerhans cell
histiocytosis refers to disease in adults that affects the lung, usually in isolation
and less commonly in addition to other organ systems
Pulmonary Langerhans Cell Histiocytosis
Epidemiologic and Clinical Features
*Ninety percent to 100% of adults with PLCH are current or former smokers .The
condition is uncommon, with a prevalence of 3.4% in a series of 502 patients
undergoing surgical lung biopsy for chronic diffuse infiltrative lung disease .
*The peak occurrence is at 20–40 years of age. Men and women are equally affected.
PLCH is more common in white patients. Up to 25% of patients are asymptomatic,
with the disease discovered incidentally during radiologic studies.
*The most common presenting symptoms are nonproductive cough and dyspnea.
Constitutional symptoms, such as weight loss, fever, night sweats, and anorexia,
occur in up to one-third of patients. In 10% of patients, PLCH manifests as
spontaneous pneumothorax.
Pulmonary Langerhans Cell Histiocytosis
Epidemiologic and Clinical Features
*PLCH in adults is usually isolated to the lungs. Extrapulmonary manifestations may
occur in 5%–15% of patients and include bone lesions, diabetes insipidus, and skin
lesions .
*Crackles and wheezes may occasionally be heard, and in advanced cases breath
sounds are decreased. Clubbing is rare. At the time of presentation, PFTs show
normal results or demonstrate mild obstructive, restrictive, or mixed abnormalities;
however, the most frequent PFT abnormality is a reduction in diffusion capacity in
60%–90% of patients .
*The prevalence and severity of pulmonary hypertension in advanced PLCH are
much greater than in other chronic lung diseases and appear to be at least in part
independent of chronic hypoxemia and abnormal pulmonary mechanics. Intrinsic
pulmonary vascular disease characterized by a severe diffuse pulmonary
vasculopathy involving the pulmonary muscular arteries and interlobar veins is likely
to be responsible .
Pulmonary Langerhans Cell Histiocytosis
Pulmonary Langerhans Cell Histiocytosis
Pulmonary Langerhans Cell Histiocytosis
Treatment and Outcome
*Smoking cessation is essential and leads to stabilization of symptoms in most
patients. In a substantial proportion, this may be the only intervention required .
*Corticosteroids are the mainstay of medical therapy for PLCH. Chemotherapeutic
agents such as vinblastine, methotrexate, cyclophosphamide, etoposide, and
cladribine have been used in patients with progressive disease unresponsive to
corticosteroids or with multiorgan involvement .
*Lung transplantation is considered for patients with advanced PLCH associated with
severe respiratory impairment and limited life expectancy.
The natural history is variable and unpredictable in an individual patient .
*Approximately 50% of patients experience a favorable outcome with partial or
complete clearing of radiologic abnormalities and symptom resolution. In 30%–40% of
patients, symptoms of variable severity persist; in 10%–20%, recurrent pneumothorax
or progressive respiratory failure with cor pulmonale occurs. A few cases of
recurrence despite smoking cessation have been reported.
Idiopathic Pulmonary Fibrosis
Relationship of IPF to Smoking
*A relationship between cigarette smoking and IPF has been recognized for many
years. Alveolar wall fibrosis in addition to coexistent emphysema was
demonstrated at histopathologic analysis in early autopsy studies of smokers
dying from emphysema .A high prevalence of current or former smokers is noted
in series of IPF patients, varying from 41%–83%
*There is an independent strong association between smoking and the
development of familial interstitial pneumonia of various subtypes including UIP .
*Recent work suggests that smoking may have a detrimental effect on IPF
survival, with survival and severity-adjusted survival being higher in nonsmokers
than in former smokers or in a combined group of former and current smokers
Idiopathic Pulmonary Fibrosis
Epidemiologic and Clinical Features
IPF is the most common form of idiopathic ILD, manifesting in the 6th–7th
decades with a slight male predominance.
Clinical features include gradually progressing dyspnea, chronic cough,
and bibasilar inspiratory crackles .
Digital clubbing is seen in approximately two-thirds of patients.
PFTs usually demonstrate a restrictive defect with reduced lung volumes
and diffusing capacity.
Idiopathic Pulmonary Fibrosis
Rough Reticular
Traction
Bronchiectasis
and
Interface
sign
Honey
combing
UIP
Idiopathic Pulmonary Fibrosis
Idiopathic Pulmonary Fibrosis
Treatment and Outcome
The clinical course is gradual deterioration with a median survival of 2.5–3.5 years.
Treatment remains largely supportive; the response to steroids is poor, and no drug
therapy has clearly demonstrated a survival benefit.
A number of novel investigational agents are being studied, and lung transplantation
is an option .
Combined Pulmonary Fibrosis and Emphysema
The combination of emphysema in the upper lobes and fibrosis in the
lower lobes (CPFE) is being increasingly recognized as a distinct entity in
smokers .
Patients are almost exclusively men in their 6th and 7th decades.
Lung volumes are relatively preserved despite markedly impaired diffusion
capacity and hypoxemia during exercise.
Honeycombing, reticular opacities, and traction bronchiectasis are the
most frequent findings at high-resolution CT in the lower lungs, while the
upper lungs exhibit paraseptal and centrilobular emphysema
Combined Pulmonary Fibrosis and Emphysema
In some cases of CPFE, emphysema and fibrosis may co-occur in the
same area of the lung . The resultant low-attenuation emphysematous
foci may have apparent walls due to thickening of the adjacent
interlobular septa. Such a high-resolution CT pattern may be confused
with other cystic lung disease such as lymphangioleiomyomatosis and
PLCH. Clinical correlation and attention to other imaging features such
as nodules in PLCH and diffuse cystic change in
lymphangioleiomyomatosis may be helpful.
There is a high prevalence of pulmonary hypertension in CPFE, and
this is a critical determinant of prognosis. Median survival is reported to
be 6.1 years, better than in patients with IPF alone but worse than
expected for emphysema in the absence of fibrosis.
Combined Pulmonary Fibrosis and Emphysema
Overlap and Relationship between the Different SR-ILDs
The clinical, radiologic, and histologic features overlap among the different SR-
ILDs. The overlap is most significant between RB-ILD and DIP. They may be
different components of the same histopathologic disease spectrum, representing
diverse degrees of severity of the same process caused by chronic smoking.
Respiratory bronchiolitis or DIP changes at histologic analysis are very common
in patients with PLCH, correlating with the cumulative exposure to cigarette
smoke, and are often accompanied by significant ground-glass attenuation at
high-resolution CT .
Smokers who develop IPF often have RB-ILD and DIP changes at high-resolution
CT and histopathologic analysis , and patients with DIP may develop a high-
resolution CT pattern of fibrotic NSIP over time .
A combination of SR-ILD–related high-resolution CT findings, such as ground-
glass opacities, cysts, micronodules, septal thickening, and honeycombing, can
be seen in the same patient, confounding radiologic classification into a discrete
smoking-related entity.
Overlap and Relationship between the Different SR-ILDs
Diagnostic Approach to Patients with SR-ILDs
An integrated clinical, radiologic, and pathologic approach to the
diagnosis of SR-ILD is recommended, as with other diffuse
parenchymal lung diseases . The diagnostic process begins with a
clinical evaluation that includes history, physical examination,
chest radiography, and pulmonary function tests. High-resolution
CT plays an integral role in evaluation. In the appropriate clinical
context, the presence of typical changes at high-resolution CT,
such as nodules and cysts in PLCH and honeycombing and
emphysema in smoking-related IPF, renders the diagnosis almost
certain and may obviate further testing. Surgical lung biopsy is
indicated when the findings at high-resolution CT are relatively
nonspecific, as in RB-ILD and DIP, or when a confident definitive
diagnosis is needed.
Diagnostic Approach to Patients with SR-ILDs
A final diagnosis of an SR-ILD and identification of the
specific entity can be made with certainty only after the
pulmonologist, radiologist, and pathologist have reviewed all
of the clinical, radiologic, and pathologic data. Distinction of
SR-ILD from other forms of diffuse parenchymal lung
disease and recognition of the specific pattern of SR-ILD, in
particular the separation of RB-ILD, DIP, and PLCH from IPF,
have important clinical implications. Smoking cessation is an
important component in the management of SR-ILD, though
the natural history of SR-ILD and the influence of smoking on
the clinical course of these patients have not been fully
delineated. Smoking cessation may lead to improvement in
many patients with RB-ILD and general stabilization or
improvement in DIP and PLCH. In general, the prognosis for
RB-ILD, DIP, and PLCH is significantly better than that for
IPF.
Acute exacerbations in patients
with idiopathic pulmonary fibrosis
By
Gamal Rabie Agmy , MD , FCCP
Professor of Chest Diseases ,Assiut University
Histopathological Patterns of IIPs
ThannickalVJ,et al. Annu Rev Med.2004;55:395-417.
Age
Genetic factors
Environmental factors
Nature of injury
– Etiologic agent
– Recurrentvs single
– Endothelialvs epithelial
Histopathologic Pattern
DIP RB-ILD LIP COP NSIP AIP UIP
Inflammation
Fibrosis
LUNG INJURY
50%
Years
Respiratory
Function/Symptoms
1 2 3 4
FVC
Traditional View of UIP/IPF Progression
Progression of IPF: Acute Exacerbation vs
Slow Decline
FVC = forced vital capacity
50%
Years
Respiratory
Function/Symptoms
1 2 3
Acute exacerbation
Step Theory of UIP/IPF Progression
Progression of IPF: Acute Exacerbation vs
Slow Decline
FVC
0 4
Am J RespirCell Mol Biol. 2003;29(3suppl):S1-S105.
=hits
Multiple Hypotheses for the
Pathogenesis of IPF
• Inflammation causes fibrosis
• Noninflammatory (multiple hit) hypothesis:
fibrosis results from epithelial injury and
abnormal wound healing in the absence of
chronic inflammation
• Vascular remodeling: aberrant vascular
remodeling supports fibrosis, and may contribute
to increased shunt and hypoxemia
Noble PW, HomerRJ. Clin ChestMed.2004;25:749-758,vii.
Raghu G, Chang J. Clin ChestMed.2004;25:621-636,v.
Strieter R. Am J RespirCell Mol Biol. 2003;29(3suppl):S67-S69.
• Inflammation causes fibrosis
– Inflammatory concept was dominant in the 1970s and
1980s
• IPF resulted from unremitting inflammatory response
to injury culminating in progressive fibrosis
– Role of inflammation remains controversial
• Lack of efficacy of corticosteroids
Noble PW, HomerRJ. Clin ChestMed.2004;25:749-758,vii.
Raghu G, Chang J. Clin ChestMed.2004;25:621-636,v.
Injury Inflammation Fibrosis
Inflammatory Hypothesis
Injury
Epithelial cells
Slide courtesyof PaulNoble,MD.
Progression of Lung Fibrosis
Capillary
Endothelial
cells
?
Epithelial cells
Collagen
Myofibroblast
Cell death
Growth factors and other
products of epithelial
cell Injury
Slide courtesyof PaulNoble,MD.
Tissue Model of Lung Fibrosis
Capillary
Endothelial
cells
• Fibrosis results from epithelial/endothelial injury
and abnormal wound healing in the absence of
chronic inflammation
– Recurrent, unknown injury to distal pulmonary parenchyma
causes repeated epithelial cell injury and apoptosis
– Loss of alveolar epithelium exposes basement membrane
to oxidative injury and degradation
– Failure of re-epithelialization/re-endothelialization provides
stimulus for persistent profibrotic growth factor production,
persistent fibroblast proliferation, excessive deposition of
ECM, and progressive fibrosis
Noble PW, HomerRJ. Clin ChestMed.2004;25:749-758,vii.
Raghu G, Chang J. Clin ChestMed.2004;25:621-636,v.
Selman M, et al. Drugs.2004;64:405-430.
Noninflammatory (multiple hit)
Hypothesis
Noninflammatory (multiple hit) Hypothesis
Recurrent
pulmonary
injury
Epithelial/
endothelial
injury and
apoptosis
Loss of basement
membrane
Failure of
re-epithelialization/
re-endothelialization
ECM
deposition
Fibroblast
proliferation
Release of
profibrotic
growth factors
(TGF-b, PDGF,
IGF-1)
Progressive fibrosis with loss of
lung architecture
TGF-b= transforminggrowth factor-beta
PDGF = plateletderived growth factor
IGF-1 = insulin-like growth factor-1
Noble PW, HomerRJ. Clin ChestMed.2004;25:749-758,vii.
Raghu G, Chang J.Clin ChestMed.2004;25:621-636,v. Selman M, et al. Drugs.2004;64:405-430.
• Aberrant vascular remodeling supports fibrosis and may
contribute to increased shunt and hypoxemia
 Increased angiogenesis results from imbalance of pro-angiogenic
chemokines (IL-8, ENA-78) and anti-angiogenic, IFN-inducible
chemokines (IP-10)
 Vascular remodeling leads to anastomoses between the
systemic/pulmonary microvasculature, increasing right-to-left shunt,
contributing to hypoxemia
Chemokine
imbalance
Increased
angiogenesis
Fibrosis
Noble PW, HomerRJ. Clin ChestMed.2004;25:749-758,vii.
Strieter RM, et al. Am J RespirCell Mol Biol. 2003;29(3suppl):S67-S69.
Vascular Remodeling Hypothesis
Aberrant
vascular
remodeling
Defects in Host Defense Mechanisms
May Contribute to Fibrosis
• Defects in endogenous host defense
mechanisms (eg, IFN-g, PGE2 production) that
limit fibrosis after acute lung injury may
contribute to progressive fibrosis
Noble PW, HomerRJ. Clin ChestMed.2004;25:749-758,vii.
NHLBI in an attempt to standardize the diagnostic
criteria used across studies . This committee defined
AEx-IPF as an acute, clinically significant deterioration
of unidentifiable cause and proposed five diagnostic
criteria.
Definition of AEx-IPF
1- Previous or concurrent diagnosis of IPF
2- Unexplained worsening or development of dyspnea within 30
days
3- HRCT with new bilateral ground-glass abnormality and/or
consolidation superimposed on a background reticular or
honeycomb pattern consistent with UIP pattern
4- No evidence of pulmonary infection by endotracheal aspirate
or BAL
5- Exclusion of alternative causes, including:
• Left heart failure
• Pulmonary embolism
• Identifiable cause of acute lung injury.
Diagnostic criteria for AEx-IPF
Incidence of AEx-IPF
*American Thoracic Society (ATS), European
Respiratory Society (ERS), Japanese Respiratory
Society (JRS) and Latin American Thoracic Association
(ALAT) on the diagnosis and treatment of IPF state
that AEx- IPF occurs in approximately 5–10% of
patients with diagnosed IPF annually
*A recent retrospective study of data collected from
461 patients with diagnosed IPF found 1-year and 3-
year incidences of AEx-IPF of 14.2% and 20.7%,
respectively .
*However, the incidence rates of AEx-IPF reported in
clinical trials have tended to be lower than this.
Pathophysiology of AEx-IPF
A variety of patterns of acute lung injury have been observed in
AEx-IPF . The most common histopathological finding is diffuse
alveolar damage superimposed on the underlying usual
interstitial pneumonia (UIP) pattern , but organizing pneumonia
and extensive fibroblastic foci have also been reported.
Several hypotheses for the etiology of AEx-IPF have been
proposed. AEx-IPF may represent a sudden acceleration of the
underlying disease process due to unknown acute injury to the
lung, or a biologically distinct pathological process due to a
clinically occult condition, such as infection or gastroesophageal
reflux disease (GERD)
Pathophysiology of AEx-IPF
As AEx-IPF have a clinical presentation that shares a number of
features with viral respiratory infections (e.g. fever, cough, myalgia), it
has been suggested that occult viral infection may contribute to the
pathophysiology of AEx-IPF.
Several hypotheses for the etiology of AEx-IPF have been proposed.
AEx-IPF may represent a sudden acceleration of the underlying
disease process due to unknown acute injury to the lung, or a
biologically distinct pathological process due to a clinically occult
condition, such as infection or gastroesophageal reflux disease
(GERD).
However, the evidence supporting the involvement of viral
infections in AEx- IPF is mixed .The most recent and extensive
study, which used genomic-based technologies to investigate the
role of viruses in the etiology of AEx-IPF, suggested that viral
infection is not a common cause ofAEx-IPF.
Pathophysiology of AEx-IPF
Activation of the immune system, disordered coagulation/fibrinolysis, and oxidative
stress may all contribute to the pathophysiology of AEx-IPF. Immune cells (e.g.
neutrophils, macrophages) ,inflammatory mediators (e.g. interleukin 6, high mobility
group protein B1) ,markers of coagulation/fibrinolysis (e.g. protein C,
thrombomodulin, and plasma activator inhibitor-1) , and markers of oxidative stress
(thioredoxin 1) are all elevated in patients with AEx-IPF.
Epithelial cell damage in patients with IPF is demonstrated by over-expression of
matrix metalloproteinase (MMP)-7, MMP-9 , and Krebs von den Lungen- 6 (KL-6) .
Accelerated epithelial cell proliferation, with increases in the proliferation markers
CCNA2 and Ki-67, in patients with AEx-IPF may be a compensatory response to
injury, and is associated with epithelial cell death. Transforming growth factor (TGF)-
beta, a fibrogenic cytokine, is upregulated in IPF and galectin-3, a mediator of
fibrosis induced by TGF-beta, is elevated in the lungs and serum of patients with
stable IPF and AEx-IPF . Circulating bone marrowderived fibrocytes may also provide
a source of lung fibroblasts and myofibroblasts, as the number of circulating
fibrocytes has been shown to be higher in patients with IPF and AEx-IPF, compared
with healthy subjects
Risk factors and precipitating factors for AEx-IPF
*Lower total lung capacity, lower forced vital capacity (FVC)
and/or lower diffusing capacity of the lung for carbon
monoxide (DLco).
*A higher degree of dyspnea (score ≥2 on the modified
Medical Research Council dyspnea scale) or of fibrosis on HRCT
has been shown to increase the risk of AEx-IPF, as has the
presence of concomitant conditions such as emphysema or
pulmonary hypertension.
*Invasive examinations such as bronchoscopy ,
bronchoalveolar lavage (BAL), and pulmonary resection for
lung cancer can precipitate AEx-IPF.
Risk factors and precipitating factors for AEx-IPF
*surgical lung biopsy is a precipitating factor for AEx-IPF;
however, the risk of AEx-IPF from video-assisted thoracoscopic
operation appears to be elevated only in patients with severe
physiologic impairment or substantial comorbidity
*In some patients with AEx-IPF, pepsin levels were found to be
elevated in BAL fluid, suggesting a possible role for GERD in
the pathogenesis of AEx-IPF .There is some evidence to
suggest that the treatment of GERD in patients with IPF
reduces mortality rates .
Impact of AEx-IPF on patients
*AEx-IPF are certainly a leading cause of hospitalization and
death among patients with IPF. Median survival after an AEx-
IPF has been reported to be between 22 days and 4.2 months.
*There is some evidence that patients with better lung
function (FVC, PaO2, DLCO) prior to AEx-IPF are more likely to
survive an AEx-IPF , suggesting that preservation of lung
function may be an important way of reducing the impact of
AEx-IPF in patients with IPF.
Management of AEx-IPF
*The latest international treatment guidelines state that
supportive care remains the mainstay of treatment for AEx-IPF,
but also give a weak recommendation for the treatment of the
majority of patients with AEx-IPF with corticosteroids.
*In clinical practice, the treatment of AEx-IPF is variable.
Corticosteroids (e.g. prednisone, methylprednisolone) are used
in the majority of patients who suffer an AEx-IPF, usually in
pulse doses. Preliminary data suggest that response to high-
dose corticosteroid treatment may depend on the type of HRCT
lesion, with better responses achieved in those with a
peripheral pattern
Management of AEx-IPF
*Broad-spectrum antibiotics and immunosuppressants
(cyclosporin or cyclophosphamide) are sometimes used in
addition to corticosteroids .However, the efficacy of
immunosuppressants in the treatment of AEx-IPF is based on a
few small retrospective studies that do not provide conclusive
evidence for benefit.
*Mechanical ventilation is often used in patients with AEx-IPF,
but the data on its effects on outcomes are mixed.
*Other treatments for AEx-IPF that havebeen investigated in
small studies include polymyxin Bimmobilized fiber column
(PMX) hemoperfusion and tacrolimus, a cytokine transcription
inhibitor ,usually administered in addition to corticosteroids.
Reducing the risk of exacerbations
*A trial of sildenafil, a phosphodiesterase-5 inhibitor, showed a
numerical reduction in AEx-IPF in patients given sildenafil versus
placebo (3 [3.4%] vs. 7 [7.6%]), but the number of events was
small and the difference was not statistically significant .
*Imatinib, a tyrosine kinase inhibitor , bosentan, an endothelin
receptor antagonist, the anticoagulant warfarin , and inhaled
Nacetylcysteine , numerically higher rates of AEx-IPF were found
in the active treatment arms compared with the placebo arms.
*triple therapy with prednisone, azathioprine,and N-
acetylcysteine in patients with IPF, a significantly higher rate of
AEx-IPF was observed in patients receiving triple therapy versus
placebo
Reducing the risk of exacerbations
*Pirfenidone, an anti-fibrotic molecule that has been licensed for the
treatment of IPF in Japan, India, China, Europe, and Canada, but was not
approved in the United States, has shown inconsistent effects on AEx-IPF.
*Nintedanib (formerly known as BIBF 1120) is a tyrosine kinase inhibitor in
clinical development for the treatment of IPF. It reported a lower incidence of
AEx-IPF was observed in patients treated with nintedanib 300 mg/day than
placebo (2.4 vs. 15.7 AEx-IPF per 100 patient years)
*It is interesting that nintedanib may have an effect on AEx-IPF whereas the
tyrosine kinase inhibitor imatinib, which inhibits the platelet-derived growth
factor receptor (PDGFR), did not . Nintedanib is an inhibitor of PDGFR,
vascular endothelial growth factor receptor (VEGFR), and fibroblast growth
factor receptor (FGFR) and this specificity of inhibition may be key to its
effects on AEx-IPF
Reducing the risk of exacerbations
*Anti-acid treatment might decrease the frequency of AEx-IPF
by reducing the acidity of the microaspirate .
How To Approach
a Practical
Diagnosis?
An acute appearance suggests:
pulmonary edema
Pneumonia
Miliary TB
DAD
Rule no. 1
Reticulonodular lower lung predominant
distribution with decreased lung volumes
suggests: (APC)
1. Asbestosis
2. Aspiration (chronic)
3. Pulmonary fibrosis (idiopathic)
4.Collagen vascular disease
Rule no. 2
Asbestos-related
pleural disease and
asbestosis
Pulmonary fibrosis and rheumatoid arthritis.
Systemic sclerosis.
A: PA chest radiograph shows a bibasilar and subpleural distribution of fine
reticular ILD. The presence of a dilated esophagus (arrows) provides a clue
to the correct diagnosis.
B: CT scan shows peripheral ILD and a dilated esophagus (arrow).
A middle or upper lung predominant distribution
suggests: (Mycobacterium Settle Superiorly in
Lung)
1. Mycobacterial or fungal disease
2. Silicosis
3. Sarcoidosis
4. Langerhans Cell Histiocytosis
Rule no. 3
Complicated silicosis. PA chest radiograph shows multiple
nodules involving the upper and middle lungs, with coalescence
of nodules in the left upper lobe resulting in early progressive
massive fibrosis
Sarcoidosis. CT scan shows nodular thickening of the bronchovascular
bundles (solid arrow) and subpleural nodules (dashed arrow), illustrating the
typical perilymphatic distribution of sarcoidosis.
Langerhan cell histiocytosis.
This 50-year-old man had a
30 pack-year history of
cigarette smoking.
A: PA chest radiograph
shows hyperinflation of the
lungs and fine bilateral
reticular ILD.
B: CT scan shows multiple
cysts (solid arrow) and
nodules (dashed arrow).
Associated lymphadenopathy suggests :
1.Sarcoidosis
2.neoplasm (lymphangitic carcinomatosis,
lymphoma, metastases)
3. infection (viral, mycobacterial, or fungal)
4. Silicosis
5-LAM
6-progressive systemic sclerosis
7-TB or fungal diseases
Rule no. 4
Simple silicosis.
A: CT scan with lung windowing shows numerous
circumscribed pulmonary nodules, 2 to 3 mm in diameter
(arrows).
B: CT scan with mediastinal windowing shows densely
calcified hilar (solid arrows) and subcarinal (dashed arrow)
nodes.
Associated pleural thickening and/or
calcification suggest asbestosis.
Rule no. 5
Associated pleural effusion suggests :
1.pulmonary edema
2.lymphangitic carcinomatosis
3.lymphoma
4.collagen vascular disease
Rule no. 6
Cardiogenic pulmonary edema.
PA chest radiograph shows enlargement of the cardiac
silhouette, bilateral ILD, enlargement of the azygos vein
(solid arrow), and peribronchial cuffing (dashed arrow).
Lymphangitic carcinomatosis. This 53-year-old man
presented with chronic obstructive pulmonary disease and
large-cell bronchogenic carcinoma of the right lung.
CT scan shows unilateral nodular thickening (arrows) and a
malignant right pleural effusion.
Associated pneumothorax suggests
lymphangioleiomyomatosis or LCH.
Rule no. 7
Lymphangioleiomyomatosis
(LAM).
A: PA chest radiograph shows a
right basilar pneumothorax and
two right pleural drainage
catheters. The lung volumes are
increased, which is
characteristic of LAM, and there
is diffuse reticular ILD.
B: CT scan shows bilateral thin-
walled cysts and a loculated
right pneumothorax (P).
Tell me the rules
again?
1. Acute
•P.Edema
•Pneumonia
2. Pleural effusion
•1.pulmonary edema
•2.lymphangitic carcinomatosis
•3.lymphoma
•4.collagen vascular disease
3.Pneumothorax
•lymphangioleiomyom
atosis
•LCH
4.Predominantly Below with
reduced volume
1.Asbestosis
2. Aspiration (chronic)
3. Pulmonary fibrosis (idiopathic)
4.Collagen vascular disease
5. A middle or upper lung predominant
1. Mycobacterial or fungal disease
2. Silicosis
3. Sarcoidosis
4. Langerhans Cell Histiocytosis
6. Associated lymphadenopathy
1.Sarcoidosis
2.neoplasm (lymphangitic
carcinomatosis, lymphoma,
metastases)
3. infection (viral, mycobacterial, or
fungal)
4. silicosis
7. Pleural Thickening
and or Calcification
•Asbestosis
Approach to the ILD Patient
Martinez F, Flaherty K. Available at: http://www.chestnet.org/education/online/pccu/vol18/lessons03_04/lesson03.php.
Patient with Suspected
ILD
Hx, PE, CXR, PFT, Labs
STOP
HRCT
Hx and HRCT
consistent
with IPF
Hx and HRCT
Dx of other
ILD
Suspected
other ILD
Atypical
clinical or CT
features of IPF
STOP STOP
STOP
VATS
UIP Non IIPLIPOPDADDIPNSIP RBILD
Yes
No
Yes
No
Dx likely by
bronch?
Is bronch
diagnostic?
Dx likely by
bronch?
Is bronch
diagnostic?
Yes
Yes
No
Diffuse parenchymal lung diseases (Postgraduate course)

Diffuse parenchymal lung diseases (Postgraduate course)

  • 2.
    Approach To Interstitial LungDiseases or Diffuse Parenchymal Lung Diseases Gamal Rabie Agmy, MD, FCCP Professor of Chest Diseases, Assiut university
  • 4.
    The interstitium ofthe lung is not normally visible radiographic- ally; it becomes visible only when disease (e.g., edema, fibrosis, tumor) increases its volume and attenuation. The interstitial space is defined as continuum of loose connective tissue throughout the lung composed of three subdivisions: (i) the bronchovascular (axial), surrounding the bronchi, arteries, and veins from the lung root to the level of the respiratory bronchiole (ii) the parenchymal (acinar), situated between the alveolar and capillary basement membranes (iii) the subpleural, situated beneath the pleura, as well as in the interlobular septae. The Lung Interstitium
  • 5.
  • 6.
    The terminal bronchiolein the center divides into respiratory bronchioles with acini that contain alveoli. Lymphatics and veins run within the interlobular septa Centrilobular area in blue (left) and perilymphatic area in yellow (right)
  • 7.
  • 8.
    DPLD of known cause(e.g. drugs, dust exposure, collagen vascular disease) Idiopathic interstitial pneumonias Granulomatous DPLD (e.g. sarcoidosis) Other forms of DPLD (e.g. LAM, HX, eosin. pneum. etc.) Diffuse Parenchymal Lung Disease IIP other than idiopathic pulmonary fibrosis Idiopathic pulmonary fibrosis (IPF) Desquamativeinterstitial pneumonia (DIP) Acute interstitial pneumonia (AIP) Lymphocytic interstitial pneumonia (LIP) Nonspecific interstitial pneumonia (NSIP) Cryptogenic organising pneumonia (COP) Respiratory bronchiolitis/ Interst. lung dis. (RBILD)
  • 9.
    Incident Cases ofILD Sarcoidosis 8% Occupation 11% DILD 5% DAH 4% CTD 9% Other 11% Pulmonary Fibrosis 52% CoultasAJRCCM 1994; 150:967 (Incidence of IPF=26-31 per 100,000)
  • 10.
    Adapted from RyuJH, et al. Mayo Clin Proc. 1998;73:1085-1101. Adapted from ATS/ERS. Am J Respir Crit Care Med. 2002;165:277-304. 1970 Liebow and Carington 2002 ATS/ERS UIP NSIP DIP-RBILD AIP UIP/IPF NSIP DIP RB- ILD AIP Cellular Fibrotic COP LIP Historical Classification of IIP UIP DIP UIP-BO LIP Giant cell IP 1997 Katzenstein
  • 11.
    Major idiopathic interstitialpneumonias Idiopathic pulmonary fibrosis Idiopathic nonspecific interstitial pneumonia Respiratory bronchiolitis-interstitial lung disease Desquamative interstitial pneumonia Cryptogenic organising pneumonia Acute interstitial pneumonia Rare idiopathic interstitial pneumonias Idiopathic lymphoid interstitial pneumonia Idiopathic pleuroparenchymal fibroelastosis Unclassifiable idiopathic interstitial pneumonias Table 2.Update of the classification of idiopathic interstitial pneumoniasUpdate of the classification of idiopathic interstitial pneumonias
  • 12.
    Rare IIPs • IdiopathicLymphoid Interstitial Pneumonia • Idiopathic Pleuroparenchymal Fibroelastosis • Acute Fibrinous and Organizing Pneumonia • Bronchiolocentric Patterns of Interstitial Pneumonia
  • 13.
    Revision of theIIP classification • The main entities are preserved . • However, there are several important changes. • First, cryptogenic fibrosing alveolitis is removed, leaving idiopathic pulmonary fibrosis (IPF) as the sole clinical term for this diagnosis. • Second, idiopathic nonspecific interstitial pneumonia (NSIP) is now accepted as a distinct clinical entity with removal of the term “provisional”.
  • 14.
    Revision of theIIP classification • Third, major IIPs are distinguished from rare IIPs and unclassifiable cases. • Fourth, rare histologic patterns of acute fibrinous and organizing pneumonia (AFOP) and interstitial pneumonias with a bronchiolocentric distribution are recognized.
  • 15.
    Revision of theIIP classification • Fifth, the major IIPs are grouped into chronic fibrosing (IPF and NSIP; ), smoking-related (RB-ILD and DIP), acute/subacute IIPs (COP) and acute interstitial pneumonia [AIP] • Sixth, a clinical disease behavior classification is proposed. • Last, molecular and genetic features are reviewed.
  • 16.
    IDIOPATHIC INTERSTITIAL PNEUMONIAS: CLASSIFICATIONACCORDING TO DISEASE BEHAVIOR Clinical Behavior Treatment Goal Monitoring Strategy Reversible and self-limited (e.g., many cases of RB-ILD) Remove possible cause Short-term (3- to 6-mo) observation to confirm disease regression Reversible disease with risk of progression (e.g., cellular NSIP and some fibrotic NSIP, DIP, COP) Initially achieve response and then rationalize longer term therapy Short-term observation to confirm treatment response. Long-term observation to ensure that gains are preserved Stable with residual disease (e.g., some fibrotic NSIP) Maintain status Long-term observation to assess disease course Progressive, irreversible disease with potential for stabilization (e.g., some fibrotic NSIP) Stabilize Long-term observation to assess disease course Progressive, irreversible disease despite therapy (e.g., IPF, some fibrotic NSIP) Slow progression Long-term observation to assess disease course and need for transplant or effective palliation
  • 17.
    Correlation with HRCTpatterns  7 clinical-radiological-pathological categories ATS/ERS International Multidisciplinary Consensus Classification of the Idiopathic Interstitial Pneumonias, AJRCCM Vol 165. pp 277-304, 2002 UIP + NSIP + OP + DAD + DIP + RB + LIP + = IPF = NSIP = COP = AIP = DIP = RB-ILD = LIP
  • 18.
    Idiopathic Pleuroparenchymal Fibroelastosis PPFEis a rare condition that consists of fibrosis involving the pleura and subpleural lung parenchyma, predominantly in the upper lobes. HRCT shows dense subpleural consolidation with traction bronchiectasis, architectural distortion, and upper lobe volume loss
  • 19.
    The principal HRCTfindings are bilateral basal opacities and areas of consolidation .The dominant histologic pattern is intraalveolar fibrin deposition and associated organizing pneumonia Acute Fibrinous and Organizing Pneumonia
  • 20.
    Clinical Assessment • History •Physical Exam • Chest Radiograph • Pulmonary Function Testing – At Rest – Exercise • Serologic Studies • Tissue examination
  • 21.
    History • Age • Gender •Smoking history • Medications • Duration of symptoms • Environmental exposure • Occupational exposure • Family history
  • 22.
    History: Age andGender – LAM – Tuberous sclerosis – Pneumoconiosis Age Gender
  • 23.
    History: Smoking • Allof the following DPLD are associated with smoking except: a) IPF b) RBILD c) DIP d) HP e) Histiocytosis X • In Goodpasture‟s syndrome – 100% of smokers vs. 20% of nonsmokers experience pulmonary hemorrhage • Individuals exposed to asbestos who smoke are more likely to develop asbestosis
  • 24.
  • 25.
  • 26.
  • 27.
  • 28.
    2. Subacute Diseases(weeks to months) • HSP, Sarcoid, Cellular NSIP, Drug, “Chronic” EP, Bronchiolitis/ SAD __________________________________________________________________________________________________________________ 3. Chronic Diseases (months to years) • UIP, Fibrotic NSIP, Pneumoconioses, CVD-related, Chronic HSP Smoking (RBILD and PLCH) 1. Acute Diseases (Days to weeks) • DAD (AIP), EP, Vasculitis/DPH, Drug, CVD ________________________________________________________________________________________________________________ History: Duration of Illness
  • 29.
    Physical Findings • RestingTachypnea • Shallow breathing • Dry crackles • Digital clubbing • Pulmonary HTN • Non-pulmonary findings
  • 34.
  • 35.
    ILD: Evaluation • Rdiographic –CXR – HRCT • Physiologic testing – PFT – Exercise test • Lung Sampling – BAL – Lung biopsy: (TBBx, Surgical)
  • 36.
    CXR: LlMITATIONS • CXRis normal: – in 10 to 15 % of symptomatic patients with proven infiltrative lung disease – 30% of those with bronchiectasis – ~ 60 % of patients with emphysema • CXR has a sensitivity of 80% and a specificity of 82% percent for detection of DPLD • CXR can provide a confident diagnosis in ~ 23 % of cases
  • 37.
    A normal CXRdoes not rule out the presence of DPLD
  • 38.
    Cystic Lung Lesions By GamalRabie Agmy , MD , FCCP Professor of Chest Diseases ,Assiut University
  • 39.
  • 40.
    Lung Cysts Pulmonary fibrosis(Honeycombing) Lymphangiomyomatosis Langerhanscell histiocytosis Lymphocytic Interstitial Pneumonia (LIP) Differential Diagnosis
  • 41.
    Rough Reticular FineReticular Traction Bronchiectasis and Interface sign Honey combing UIP UIP or NSIP
  • 42.
    Usual Interstitial PneumoniaUIP HRCT Findings Reticular opacities, thickened intra- and interlobular septa Irregular interfaces Honey combing and parenchymal distorsion Ground glass opacities (never prominent) Basal and subpleural predominance
  • 43.
    Basal and subpleuraldistribution UIP
  • 44.
    Lymphangioleiomyomatosis (LAM) HRCT Morphology Thin-walledcysts (2mm - 5cm) Uniform in size / rarely confluent Homogeneous distribution Chylous pleural effusion Lymphadenopathy in young women
  • 47.
  • 48.
  • 49.
  • 50.
    Langerhans Cell Histiocytosis HRCTFindings Small peribronchiolar nodules (1-5mm) Thin-walled cysts (< 1cm), Bizarre and confluent Ground glass opacities Late signs: irreversible / parenchymal fibrosis Honey comb lung, septal thickening, bronchiectasis
  • 51.
    1 year later PeribronchiolarNodules Cavitating nodules and cysts Langerhans Cell Histiocytosis
  • 52.
  • 53.
    Langerhans Cell Histiozytosis KeyFeatures Upper lobe predominance Combination of cysts and noduli Characteristic stages Increased Lung volume Sparing of costophrenic angle S M O K I N G
  • 54.
  • 55.
    Langerhans Cell Histiocytosis DifferentialDiagnosis Only small nodules Sarkoidosis, Silikosis Only cysts idiopathic Fibrosis LAM Destruktive emphysema
  • 56.
  • 57.
  • 58.
    Benign lymphoproliferative disorder Diffuse interstitialinfiltration of mononuclear cells Not limited to the air ways as in follicular Bronchiolitis LIP = Lymphocytic Interstitial Pneumonia
  • 59.
  • 60.
    LIP = Lymphocytic InterstitialPneumonia Rarely idiopathic In association with: Sjögren‟s syndrome Immune deficiency syndromes, AIDS Primary biliary cirrhosis Multicentric Castlemean‟s disease
  • 61.
    Sjoegren disease Dry eyeand dry mouth Fibrosis, bronchitis and bronchiolitis LIP Overlap Sarcoid, DM/PM, MXCT SLE, RA (pleural effusion) Up to 40 x increased risk for lymphoma (mediastinal adenopathy) and 2 x times increased risk for neoplasma
  • 62.
  • 63.
    Young woman Drymouth Smoker LAM LIP Histiocytosis
  • 64.
  • 65.
  • 66.
  • 67.
    Emphysema histopathological definition …..permanent abnormalenlargement of airspaces distal to the bronchioles terminales and …...destruction of the walls of the involved airspaces
  • 68.
  • 69.
  • 70.
    CLE and PLEin one Patient
  • 71.
  • 72.
    What is YourDiagnosis ? Cystic Changes and Decreased Density Quiz
  • 73.
  • 74.
  • 75.
  • 77.
    Emphysema Emphysema typically presentsas areas of low attenuation without visible walls as a result of parenchymal destruction.
  • 78.
    EMPHYSEMA Permanent, abnormal enlargementof air spaces distal to the terminal bronchiole and accompanied by the destruction of the walls of the involved air spaces. 78
  • 79.
    Centrilobular emphysema Most commontype Irreversible destruction of alveolar walls in the centrilobular portion of the lobule Upper lobe predominance and uneven distribution Strongly associated with smoking.
  • 80.
    Centrilobular (proximal or centriacinar)emphysema Found most commonly in the upper lobes Manifests as multiple small areas of low attenuation without a perceptible wall, producing a punched-out appearance. Often the centrilobular artery is visible within the centre of these lucencies. 80
  • 81.
    Centrilobular emphysema dueto smoking. The periphery of the lung is spared (blue arrows). Centrilobular artery (yellow arrows) is seen in the center of the hypodense area.
  • 82.
    Panlobular emphysema Affects thewhole secondary lobule Lower lobe predominance In alpha-1-antitrypsin deficiency, but also seen in smokers with advanced emphysema
  • 83.
    PANLOBULAR EMPHYSEMA Affects theentire secondary pulmonary lobule and is more pronounced in the lower zones Complete destruction of the entire pulmonary lobule. Results in an overall decrease in lung attenuation and a reduction in size of pulmonary vessels 83
  • 84.
  • 85.
  • 86.
    Paraseptal (distal acinar) emphysema Affectsthe peripheral parts of the secondary pulmonary lobule Produces subpleural lucencies. 86
  • 87.
  • 88.
    Bronchiectasis Bronchiectasis is definedas localized bronchial dilatation. (signet-ring sign) bronchial wall thickening lack of normal tapering with visibility of airways in the peripheral lung mucus retention in the broncial lumen associated atelectasis and sometimes air trapping
  • 89.
    ABPA: glove-fingershadow duetomucoid impaction in central bronchiectasisin a patientwith asthma.
  • 90.
    Signet-Ring Sign A signet-ringsign represents an axial cut of a dilated bronchus (ring) with its accompanying small artery (signet).
  • 92.
  • 93.
    Bronchial dilation withlack of tapering .
  • 94.
    HONEYCOMBING Defined as -small cystic spaces with irregularly thickened walls composed of fibrous tissue. Predominate in the peripheral and subpleural lung regions Subpleural honeycomb cysts typically occur in several contiguous layers. D/D- paraseptal emphysema in which subpleural cysts usually 94
  • 95.
    Honeycombing Honeycombing is definedby the presence of small cystic spaces with irregularly thickened walls composed of fibrous tissue.
  • 96.
    Causes Lower lobe predominance: 1. UIP or interstitial fibrosis 2. Connective tissue disorders 3. Hypersensitivity pneumonitis 4. Asbestosis 5. NSIP (rare) Upper lobe predominance : 1. End stage sarcodosis 2. Radiation 3. Hypersensitivity Pneumonitis 4. End stage ARDS 96
  • 97.
  • 98.
    Honeycombing and tractionbronchiectasis in UIP.
  • 99.
    Typical UIP withhoneycombing and traction bronchiectasis in a patient with idiopathic pulmonary fibrosis (IPF)
  • 100.
  • 102.
    Nodular Patternitie By Gamal RabieAgmy , MD , FCCP Professor of Chest Diseases ,Assiut University
  • 103.
  • 104.
    Nodular pattern  Anodular pattern consists of multiple round opacities, generally ranging in diameter from 1 mm to 1 cm  Nodular opacities may be described as miliary (1 to 2 mm, the size of millet seeds), small, medium, or large, as the diameter of the opacities increases  A nodular pattern, especially with predominant distribution, suggests a specific differential diagnosis
  • 105.
  • 106.
    ARE NODULES INCONTACT WITH PLEURA NO CENTRILOBULAR YES PERILYMPHATIC RANDOM
  • 109.
    TO SUM UP.. •Random – touch pleura – scattered in lung • Centrilobular –away from pleura • Perilymphatic – around vessels, bronchi – touch pleura or fissure
  • 111.
    Size, Distribution, Appearance Nodulesand Nodular Opacities Size Small Nodules:<10 mm Miliary - <3 mm Large Nodules: >10 mm Masses - >3 cms Appearance Interstitial opacity:  Well-defined, homogenous, Soft-tissue density Obscures the edges of vessels or adjacent structure Air space: Ill-defined, inhomogeneous. Less dense than adjacent vessel – GGO small nodule is difficult to identify
  • 112.
    Interstitial nodules Air space opacity Miliarytuberculosis sarcoidosis in a lung transplant patient with bronchopneumonia
  • 113.
    RANDOM: no consistentrelationship to any structures PERILYMPHATIC: corresponds to distribution of lymphatic CENTRILOBULAR: related to centrilobular structuresDistribution 113
  • 114.
  • 115.
  • 116.
  • 117.
  • 118.
    Disseminated histoplasmosis andnodular ILD. CT scan shows multiple bilateral round circumscribed pulmonary nodules.
  • 119.
    Notice the nodulesalong the fissures indicating a perilymphatic distribution (red arrows). The majority of nodules located along the bronchovascular bundle (yellow arrow).
  • 120.
    Sarcoidosis The majority ofnodules located along the bronchovascular bundle (yellow arrow).
  • 121.
    PERILYMPHATIC NODULES Perilymphatic andRandom distribution of nodules , seen in sarcoidosis.
  • 122.
    Centrilobular distribution Hypersensitivity pneumonitis Respiratorybronchiolitis in smokers infectious airways diseases (endobronchial spread of tuberculosis or nontuberculous mycobacteria, bronchopneumonia) Uncommon in bronchioloalveolar carcinoma, pulmonary edema, vasculitis
  • 123.
    Random distribution Small randomnodules are seen in:  Hematogenous metastases  Miliary tuberculosis  Miliary fungal infections  Sarcoidosis may mimick this pattern, when very extensive  Langerhans cell histiocytosis (early nodular stage)
  • 124.
    Langerhans cell histiocytosis:early nodular stage before the typical cysts appear.
  • 125.
    Differential diagnosis ofa nodular pattern of interstitial lung disease SHRIMP Sarcoidosis Histiocytosis (Langerhan cell histiocytosis) Hypersensitivity pneumonitis Rheumatoid nodules Infection (mycobacterial, fungal, viral) Metastases, Miliary TB Microlithiasis, alveolar Pneumoconioses (silicosis, coal worker's, berylliosis)
  • 126.
    Reticulonodular pattern A reticulonodularpattern results from a combination of reticular and nodular opacities. This pattern is often difficult to distinguish from a purely reticular or nodular pattern, and in such a case a differential diagnosis should be developed based on the predominant pattern. If there is no predominant pattern, causes of both nodular and reticular patterns should be considered.
  • 127.
    Reticular Pattern Gamal RabieAgmy, MD, FCCP Professor of chest Diseases, Assiut university
  • 128.
    Linear Pattern A linearpattern is seen when there is thickening of the interlobular septa, producing Kerley lines. Kerley B lines KerleyA lines The interlobular septa contain pulmonary veins and lymphatics. The most common cause of interlobular septal thickening, producing Kerley A and B lines, is pulmonary edema, as a result of pulmonary venous hypertension and distension of the lymphatics. Kerley B lines Kerley A lines
  • 129.
    DD of KerlyLines: Pulmonary edema is the most common cause Mitral stenosis Lymphangitic carcinomatosis Malignant lymphoma Congenital lymphangiectasia Idiopathic pulmonary fibrosis Pneumoconiosis Sarcoidosis
  • 130.
    Reticular Pattern A reticularpattern results from the summation or superimposition of irregular linear opacities. The term reticular is defined as meshed, or in the form of a network. Reticular opacities can be described as fine, medium, or coarse, as the width of the opacities increases. A classic reticular pattern is seen with pulmonary fibrosis, in which multiple curvilinear opacities form small cystic spaces along the pleural margins and lung bases (honeycomb lung)
  • 131.
    HRCT of thelung Reticular pattern – definition Glossary of Terms for Thoracic Imaging – Radiology 2008; 246:697
  • 132.
    HRCT of thelung  thickening of the interstitial fiber network by Reticular pattern – significance  fluid  fibrous tissue  infiltration by cells or other material  pulm. edema  lymphangitic carcin.  veno-occlusive dis.  alveolar proteinosis  IPF  collagen vascular dis.  drug-related fibrosis  amyloidosis Predominant pattern Associated / occasional finding  sarcoidosis  pneumoconiosis  pulm. hemorrhage  asbestosis
  • 133.
    HRCT of thelung Reticular pattern – HRCT numerous, clearly visible interlobular septa outlining lobules of characteristic size and shape interlobular septal thickening very fine network of lines within visible lobules intralobular interstitial thickening several layers of air-filled cysts, 3-10 mm in diameter, with thick walls (1-3 mm) honeycombing
  • 134.
    Reticular pattern Interlobular septalthickening – dd smooth thickening pulm. edema pulm. hemorrhage lymphangitic carc. lymphoma nodular thickening lymphangitic carc. sarcoidosis amyloidosis irregular thickening fibrosis
  • 135.
    Reticular pattern Interlobular septalthickening – pulmonary edema  smooth septal thickening, isolated or in combination with ground-glass opacity  peribronchovascular and subpleural interstitial th.  perihilar and gravitational distribution, bilateral  findings of CHF
  • 136.
    Reticular pattern Interlobular septalth. – lymphangitic carcinomatosis  tumor filling of pulmonary vessels and lymphatics  direct tumor infiltration of the interstitium  vascular and lymphatic distension distally to tumor emboli or obstruction  breast ca.  lung ca.  stomach ca.  pancreas ca. Secondary to:  prostate ca.  adenoca. of unknown origin
  • 137.
    Reticular pattern Interlobular septalth. – lymphangitic carcinomatosis  smooth or nodular septal thickening  smooth or nodular thickening of peribronchovascular interstitium and fissures  thickening of the intralobular axial interstitium  focal or asymmetric distribution
  • 138.
    Reticular pattern Interlobular septalthickening – sarcoidosis  reticulation is not a predominat finding  distorsion of the lung architecture and secondary lobule anatomy is common, especially when septal thickening is present  upper lobe predominance
  • 139.
    Reticulation or notreticulation …… “crazy paving”
  • 140.
    Reticulation or notreticulation …… alveolar proteinosis
  • 141.
    Reticular pattern Interlobular septalthickening – “crazy paving”  scattered or diffuse ground-glass attenuation with superimposed interlobular septal thickening and intralobular lines  described in a variety of infectious, neoplastic, idiopathic, inhalation, and sanguineous disorders of the lung Rossi SE – Radiographics 2003; 23:1509
  • 142.
    Reticular pattern Honeycombing –significance air-containing cystic spaces having thick, fibrous walls lined by bronchiolar epithelium  fibrosis is present UIP is likely the histologic pattern IPF is very likely, in the absence of a known disease
  • 143.
    Reticular pattern Honeycombing –differential diagnosis basal distribution middle/upper distribution chronic HP sarcoidosis IPF collagen vasc. dis. asbestosis drugs
  • 144.
     honeycombing / intralobularreticulation  basal and peripheral distribution typical HRCT findings sens. 77% spec. 72% PPV 85% PPV 96%* Swigris JJ – Chest 2005; 127:275 lung biopsy in patients who do not show typical features Reticular pattern Honeycombing – idiopathic pulmonary fibrosis * confident diagnosis
  • 145.
    Reticular pattern Honeycombing –collagen vascular diseases  rheumatoid arthritis and scleroderma  almost indistinguishable from UIP due to IPF  associated findings, typical of the disease, may help in the differential diagnosis
  • 146.
    Reticular pattern Honeycombing –drug reaction  findings of fibrosis, similar to those seen in IPF  peripheral and subpleural predominance  highest incidence with cytotoxic agents  temporal relationship between drug administration and development of pulmonary abnormalities Honeycombing – chronic hypersensitivity pneum.  possible association with poorly defined nodules, mosaic attenuation or air-trapping  upper and middle zone predominance
  • 147.
    Reticular pattern Intralobular interstitialthickening – significance thickening of the pulmonary interstitium at a sublobular level isolated (fibrosis) in association with septal thickening or the “crazy paving” pattern very fine linear structures below the resolution of HRCT (gg appearance) 
  • 148.
    Reticular pattern adapted from:Webb RW – HRCT of the lung, III ed; 2001 interlobular septal thickening irregular, lung distorsion nodularsmooth •fibrosis (sarcoidosis, asbestosis) •pulm. edema •linf. carc. •hemorrhage • sarcoidosis • linf. carc.
  • 149.
    Reticular pattern adapted from:Webb RW – HRCT of the lung, III ed; 2001 honeycombing •IPF (60%) •collagen vascular dis. • drug reaction •asbestosis (uncommon) subpleural, posterior LL predominance • sarcoidosis • chronic HP • radiation other distribution (UL; parahilar)
  • 150.
    Reticular pattern adapted from:Webb RW – HRCT of the lung, III ed; 2001 intralobular interstitial thickening & septal thickening & GGO isolated NSIP findings of fibrosis honeycombing differential dx
  • 151.
    Inconsistentwith UIP pattern (anyone of seven features PossibleUIP pattern (all three features) UIP pattern (all four features) •Upperor mid lung predominance subpleural basal predominance •subpleural basal predominance •peribronchovascular predominance reticular abnormality•reticular abnormality •extensive groundglass abnormality(extent> reticular abnormality) •honeycombing with or without traction bronchiectasis •profuse micronodules (bilateral, predominantlyupper lobes Absence of features listed as inconsistent with UIP pattern Absence of features listed as inconsistent with UIP pattern •discrete cysts (multiple bilateral, awayfrom areas of honeycombing) •diffuse mosaic attenuation/air trapping (bilateralin three or more lobes) •consolidationin broncho- pulmonarysegment(s)/lobe(s) Radiological features of idiopathic pulmonary fibrosis: 2011
  • 152.
    Focal septal thickeningin lymphangitic carcinomatosis
  • 153.
    Tree-in-bud  Centrilobular nodulesm/b further characterized by presence or absence of „„tree-in-bud.‟‟  Tree-in-bud -- Impaction of centrilobular bronchus with mucous, pus, or fluid, resulting in dilation of the bronchus, with associated peribronchiolar inflammation .  Dilated, impacted bronchi produce Y- or V-shaped structures  This finding is almost always seen with pulmonary infections. 153
  • 154.
    Tree-in-bud Tree-in-buddescribesthe appearance ofan irregularand often nodular branchingstructure, most easily identifiedin the lung periphery.
  • 155.
    Typical Tree-in-bud appearancein a patient with active TB.
  • 156.
    Attenuation pattern High Attenuationpattern  GROUND GLASS  CONSOLIDATION Low Attenuation pattern  Emphysema  Lung cysts (LAM, LIP, Langerhans cell histiocytosis)  Bronchiectasis  Honeycombing
  • 157.
    Dark bronchus signin ground glass opacity. Complete obscuration of vessels in consolidation.
  • 158.
  • 159.
    Broncho-alveolar cell carcinomawith ground-glass opacity and consolidation
  • 160.
  • 161.
    Two patients withchronic consolidations as a result of COP (cryptogenic organizing pneumonia)
  • 162.
    Head cheese sign Itrefers to mixed densities which includes # consolidation # ground glass opacities # normal lung # Mosaic perfusion • Signifies mixed infiltrative and obstructive disease
  • 163.
    Head cheese sign Commoncause are : 1. Hypersensitive pneumonitis 2. Sarcoidosis 3. DIP 163
  • 164.
    Headcheese sign Headcheese signin hypersensitivity pneumonitis. HRCT scan shows lung with a geographic appearance, which represents a combination of patchy or lobular ground-glass opacity (small arrows) and mosaic perfusion (large arrows).
  • 165.
    Mosaic Patternitie By Gamal RabieAgmy , MD , FCCP Professor of Chest Diseases ,Assiut University
  • 166.
  • 167.
    Where is thepathology ??????? in the areas with increased density meaning there is ground glass in the areas with decreased density meaning there is air trapping
  • 168.
    Pathology in blackareas Airtrapping: Airway Disease Bronchiolitis obliterans (constrictive bronchiolitis) idiopathic, connective tissue diseases, drug reaction, after transplantation, after infection Hypersensitivity pneumonitis granulomatous inflammation of bronchiolar wall Sarcoidosis granulomatous inflammation of bronchiolar wall Asthma / Bronchiectasis / Airway diseases
  • 169.
    Airway Disease what yousee…… In inspiration sharply demarcated areas of seemingly increased density (normal) and decreased density demarcation by interlobular septa In expiration „black‟ areas remain in volume and density „white‟ areas decrease in volume and increase in density INCREASE IN CONTRAST DIFFERENCES AIRTRAPPING
  • 170.
  • 171.
  • 172.
  • 173.
    Hypersensitivity pneumonitis Extr. Allerg.Alveolitis (EAA) HRCT Morphology chronic: fibrosis Intra- / interlobular septal thickening Irregular interfaces Traction bronchiectasis acute - subacute acinar (centrilobular) unsharp densities ground glass (patchy - diffuse)
  • 176.
    Pathology in whiteAreas Alveolitis / Pneumonitis Ground glass desquamative intertitial pneumoinia (DIP) nonspecific interstitial pneumonia (NSIP) organizing pneumonia In expiration both areas (white and black) decrease in volume and increase in density DECREASE IN CONTRAST DIFFERENCES
  • 177.
  • 178.
  • 179.
    Mosaic Perfusion Chronic pulmonaryembolism LOOK FOR Pulmonary hypertension idiopathic, cardiac disease, pulmonary disease
  • 180.
  • 181.
    Smoking-related ILDs By Gamal RabieAgmy , MD , FCCP Professor of Chest Diseases ,Assiut University
  • 182.
    Histopathological Patterns ofIIPs ThannickalVJ,et al. Annu Rev Med.2004;55:395-417. Age Genetic factors Environmental factors Nature of injury – Etiologic agent – Recurrentvs single – Endothelialvs epithelial Histopathologic Pattern DIP RB-ILD LIP COP NSIP AIP UIP Inflammation Fibrosis LUNG INJURY
  • 183.
  • 184.
    RB-ILD Epidemiologic and ClinicalFeatures *RB-ILD usually affects current smokers 30–40 years of age with a 30 pack-year or greater history of cigarette smoking. *There is a slight male predominance. *Mild cough and dyspnea are the most common presenting symptoms. *Inspiratory crackles are present in one-half of patients, and digital clubbing is rare . *PFT results may be normal or show a mixed obstructive- restrictive pattern with reduced diffusing capacity .
  • 185.
  • 186.
  • 187.
    RB-ILD Treatment and Outcome Patientswith RB-ILD generally have a good prognosis. The condition of most patients remains stable or improves, and no deaths have been attributed to RB-ILD, to our knowledge. Progressive fibrotic lung disease does not occur. Smoking cessation is the most important treatment of RB-ILD. Corticosteroids have little role in most cases, although beneficial results have been reported in anecdotal symptomatic cases
  • 188.
    Desquamative Interstitial Pneumonitis Itis considered a misnomer, as the predominant pathologic feature is the intraalveolar accumulation of pigmented macrophages and not desquamation of epithelial cells as previously thought. The condition represents the end spectrum of RB-ILD with similar pathologic findings and an almost invariable association with smoking.
  • 189.
    Desquamative Interstitial Pneumonitis Epidemiologicand Clinical Features *DIP is an uncommon form of IIP that primarily affects cigarette smokers in their 4th or 5th decades. Males are affected nearly twice as often as females. Approximately 90% of patients with DIP are smokers. *DIP can occasionally be seen in nonsmokers in associationwith systemic disorders, infections, and exposure to occupational or environmental agents or drugs . *Dyspnea and dry cough are the most common presenting symptoms, and the onset is usually insidious. Inspiratory crackles are heard in 60% of patients, and digital clubbing occurs in nearly one-half of patients . *The most common and striking PFT abnormality is marked reduction in diffusing capacity, with reductions of 50% or more being common. Restrictivedefects are also common. Patients with advanced disease may have hypoxemia at rest or with exertion.
  • 190.
  • 191.
  • 192.
  • 193.
    Desquamative Interstitial Pneumonitis Treatmentand Outcome *Smoking cessation is the primary treatment for DIP and may lead to disease regression. *Most patients with DIP receive oral corticosteroids. Although no randomized trials have demonstrated the efficacy of this therapy, it is generally recommended for patients with significant symptoms, PFT abnormalities, and progressive disease. *A higher percentage of patients with DIP respond to corticosteroid therapy than do patients with UIP; approximately two-thirds of DIP patients show stabilization or improvement of symptoms, and complete recovery is possible. The response to corticosteroids is not uniform, as approximately 25% of patients may continue to progress despite treatment . *The role of cytotoxic and other immunosuppressive agents remains undefined. The 5- and 10-year survival rates are 95.2% and 69.6%, respectively .Late relapse and recurrence in a transplanted lung have been reported
  • 194.
    Pulmonary Langerhans CellHistiocytosis The term Langerhans cell histiocytosis refers to a group of diseases of unknown etiology often recognized in childhood, in which Langerhans cell accumulations involve one or more body systems, including bone, lung, pituitary gland, mucous membranes, skin, lymph nodes, and liver. This disease is also referred to as histiocytosis X or eosinophilic granuloma. The term pulmonary Langerhans cell histiocytosis refers to disease in adults that affects the lung, usually in isolation and less commonly in addition to other organ systems
  • 195.
    Pulmonary Langerhans CellHistiocytosis Epidemiologic and Clinical Features *Ninety percent to 100% of adults with PLCH are current or former smokers .The condition is uncommon, with a prevalence of 3.4% in a series of 502 patients undergoing surgical lung biopsy for chronic diffuse infiltrative lung disease . *The peak occurrence is at 20–40 years of age. Men and women are equally affected. PLCH is more common in white patients. Up to 25% of patients are asymptomatic, with the disease discovered incidentally during radiologic studies. *The most common presenting symptoms are nonproductive cough and dyspnea. Constitutional symptoms, such as weight loss, fever, night sweats, and anorexia, occur in up to one-third of patients. In 10% of patients, PLCH manifests as spontaneous pneumothorax.
  • 196.
    Pulmonary Langerhans CellHistiocytosis Epidemiologic and Clinical Features *PLCH in adults is usually isolated to the lungs. Extrapulmonary manifestations may occur in 5%–15% of patients and include bone lesions, diabetes insipidus, and skin lesions . *Crackles and wheezes may occasionally be heard, and in advanced cases breath sounds are decreased. Clubbing is rare. At the time of presentation, PFTs show normal results or demonstrate mild obstructive, restrictive, or mixed abnormalities; however, the most frequent PFT abnormality is a reduction in diffusion capacity in 60%–90% of patients . *The prevalence and severity of pulmonary hypertension in advanced PLCH are much greater than in other chronic lung diseases and appear to be at least in part independent of chronic hypoxemia and abnormal pulmonary mechanics. Intrinsic pulmonary vascular disease characterized by a severe diffuse pulmonary vasculopathy involving the pulmonary muscular arteries and interlobar veins is likely to be responsible .
  • 197.
  • 198.
  • 200.
    Pulmonary Langerhans CellHistiocytosis Treatment and Outcome *Smoking cessation is essential and leads to stabilization of symptoms in most patients. In a substantial proportion, this may be the only intervention required . *Corticosteroids are the mainstay of medical therapy for PLCH. Chemotherapeutic agents such as vinblastine, methotrexate, cyclophosphamide, etoposide, and cladribine have been used in patients with progressive disease unresponsive to corticosteroids or with multiorgan involvement . *Lung transplantation is considered for patients with advanced PLCH associated with severe respiratory impairment and limited life expectancy. The natural history is variable and unpredictable in an individual patient . *Approximately 50% of patients experience a favorable outcome with partial or complete clearing of radiologic abnormalities and symptom resolution. In 30%–40% of patients, symptoms of variable severity persist; in 10%–20%, recurrent pneumothorax or progressive respiratory failure with cor pulmonale occurs. A few cases of recurrence despite smoking cessation have been reported.
  • 201.
    Idiopathic Pulmonary Fibrosis Relationshipof IPF to Smoking *A relationship between cigarette smoking and IPF has been recognized for many years. Alveolar wall fibrosis in addition to coexistent emphysema was demonstrated at histopathologic analysis in early autopsy studies of smokers dying from emphysema .A high prevalence of current or former smokers is noted in series of IPF patients, varying from 41%–83% *There is an independent strong association between smoking and the development of familial interstitial pneumonia of various subtypes including UIP . *Recent work suggests that smoking may have a detrimental effect on IPF survival, with survival and severity-adjusted survival being higher in nonsmokers than in former smokers or in a combined group of former and current smokers
  • 202.
    Idiopathic Pulmonary Fibrosis Epidemiologicand Clinical Features IPF is the most common form of idiopathic ILD, manifesting in the 6th–7th decades with a slight male predominance. Clinical features include gradually progressing dyspnea, chronic cough, and bibasilar inspiratory crackles . Digital clubbing is seen in approximately two-thirds of patients. PFTs usually demonstrate a restrictive defect with reduced lung volumes and diffusing capacity.
  • 203.
  • 204.
  • 205.
  • 206.
    Idiopathic Pulmonary Fibrosis Treatmentand Outcome The clinical course is gradual deterioration with a median survival of 2.5–3.5 years. Treatment remains largely supportive; the response to steroids is poor, and no drug therapy has clearly demonstrated a survival benefit. A number of novel investigational agents are being studied, and lung transplantation is an option .
  • 207.
    Combined Pulmonary Fibrosisand Emphysema The combination of emphysema in the upper lobes and fibrosis in the lower lobes (CPFE) is being increasingly recognized as a distinct entity in smokers . Patients are almost exclusively men in their 6th and 7th decades. Lung volumes are relatively preserved despite markedly impaired diffusion capacity and hypoxemia during exercise. Honeycombing, reticular opacities, and traction bronchiectasis are the most frequent findings at high-resolution CT in the lower lungs, while the upper lungs exhibit paraseptal and centrilobular emphysema
  • 208.
    Combined Pulmonary Fibrosisand Emphysema In some cases of CPFE, emphysema and fibrosis may co-occur in the same area of the lung . The resultant low-attenuation emphysematous foci may have apparent walls due to thickening of the adjacent interlobular septa. Such a high-resolution CT pattern may be confused with other cystic lung disease such as lymphangioleiomyomatosis and PLCH. Clinical correlation and attention to other imaging features such as nodules in PLCH and diffuse cystic change in lymphangioleiomyomatosis may be helpful. There is a high prevalence of pulmonary hypertension in CPFE, and this is a critical determinant of prognosis. Median survival is reported to be 6.1 years, better than in patients with IPF alone but worse than expected for emphysema in the absence of fibrosis.
  • 209.
  • 211.
    Overlap and Relationshipbetween the Different SR-ILDs The clinical, radiologic, and histologic features overlap among the different SR- ILDs. The overlap is most significant between RB-ILD and DIP. They may be different components of the same histopathologic disease spectrum, representing diverse degrees of severity of the same process caused by chronic smoking. Respiratory bronchiolitis or DIP changes at histologic analysis are very common in patients with PLCH, correlating with the cumulative exposure to cigarette smoke, and are often accompanied by significant ground-glass attenuation at high-resolution CT . Smokers who develop IPF often have RB-ILD and DIP changes at high-resolution CT and histopathologic analysis , and patients with DIP may develop a high- resolution CT pattern of fibrotic NSIP over time . A combination of SR-ILD–related high-resolution CT findings, such as ground- glass opacities, cysts, micronodules, septal thickening, and honeycombing, can be seen in the same patient, confounding radiologic classification into a discrete smoking-related entity.
  • 212.
    Overlap and Relationshipbetween the Different SR-ILDs
  • 213.
    Diagnostic Approach toPatients with SR-ILDs An integrated clinical, radiologic, and pathologic approach to the diagnosis of SR-ILD is recommended, as with other diffuse parenchymal lung diseases . The diagnostic process begins with a clinical evaluation that includes history, physical examination, chest radiography, and pulmonary function tests. High-resolution CT plays an integral role in evaluation. In the appropriate clinical context, the presence of typical changes at high-resolution CT, such as nodules and cysts in PLCH and honeycombing and emphysema in smoking-related IPF, renders the diagnosis almost certain and may obviate further testing. Surgical lung biopsy is indicated when the findings at high-resolution CT are relatively nonspecific, as in RB-ILD and DIP, or when a confident definitive diagnosis is needed.
  • 214.
    Diagnostic Approach toPatients with SR-ILDs A final diagnosis of an SR-ILD and identification of the specific entity can be made with certainty only after the pulmonologist, radiologist, and pathologist have reviewed all of the clinical, radiologic, and pathologic data. Distinction of SR-ILD from other forms of diffuse parenchymal lung disease and recognition of the specific pattern of SR-ILD, in particular the separation of RB-ILD, DIP, and PLCH from IPF, have important clinical implications. Smoking cessation is an important component in the management of SR-ILD, though the natural history of SR-ILD and the influence of smoking on the clinical course of these patients have not been fully delineated. Smoking cessation may lead to improvement in many patients with RB-ILD and general stabilization or improvement in DIP and PLCH. In general, the prognosis for RB-ILD, DIP, and PLCH is significantly better than that for IPF.
  • 215.
    Acute exacerbations inpatients with idiopathic pulmonary fibrosis By Gamal Rabie Agmy , MD , FCCP Professor of Chest Diseases ,Assiut University
  • 216.
    Histopathological Patterns ofIIPs ThannickalVJ,et al. Annu Rev Med.2004;55:395-417. Age Genetic factors Environmental factors Nature of injury – Etiologic agent – Recurrentvs single – Endothelialvs epithelial Histopathologic Pattern DIP RB-ILD LIP COP NSIP AIP UIP Inflammation Fibrosis LUNG INJURY
  • 217.
    50% Years Respiratory Function/Symptoms 1 2 34 FVC Traditional View of UIP/IPF Progression Progression of IPF: Acute Exacerbation vs Slow Decline FVC = forced vital capacity
  • 218.
    50% Years Respiratory Function/Symptoms 1 2 3 Acuteexacerbation Step Theory of UIP/IPF Progression Progression of IPF: Acute Exacerbation vs Slow Decline FVC 0 4 Am J RespirCell Mol Biol. 2003;29(3suppl):S1-S105. =hits
  • 219.
    Multiple Hypotheses forthe Pathogenesis of IPF • Inflammation causes fibrosis • Noninflammatory (multiple hit) hypothesis: fibrosis results from epithelial injury and abnormal wound healing in the absence of chronic inflammation • Vascular remodeling: aberrant vascular remodeling supports fibrosis, and may contribute to increased shunt and hypoxemia Noble PW, HomerRJ. Clin ChestMed.2004;25:749-758,vii. Raghu G, Chang J. Clin ChestMed.2004;25:621-636,v. Strieter R. Am J RespirCell Mol Biol. 2003;29(3suppl):S67-S69.
  • 220.
    • Inflammation causesfibrosis – Inflammatory concept was dominant in the 1970s and 1980s • IPF resulted from unremitting inflammatory response to injury culminating in progressive fibrosis – Role of inflammation remains controversial • Lack of efficacy of corticosteroids Noble PW, HomerRJ. Clin ChestMed.2004;25:749-758,vii. Raghu G, Chang J. Clin ChestMed.2004;25:621-636,v. Injury Inflammation Fibrosis Inflammatory Hypothesis
  • 221.
    Injury Epithelial cells Slide courtesyofPaulNoble,MD. Progression of Lung Fibrosis Capillary Endothelial cells ?
  • 222.
    Epithelial cells Collagen Myofibroblast Cell death Growthfactors and other products of epithelial cell Injury Slide courtesyof PaulNoble,MD. Tissue Model of Lung Fibrosis Capillary Endothelial cells
  • 223.
    • Fibrosis resultsfrom epithelial/endothelial injury and abnormal wound healing in the absence of chronic inflammation – Recurrent, unknown injury to distal pulmonary parenchyma causes repeated epithelial cell injury and apoptosis – Loss of alveolar epithelium exposes basement membrane to oxidative injury and degradation – Failure of re-epithelialization/re-endothelialization provides stimulus for persistent profibrotic growth factor production, persistent fibroblast proliferation, excessive deposition of ECM, and progressive fibrosis Noble PW, HomerRJ. Clin ChestMed.2004;25:749-758,vii. Raghu G, Chang J. Clin ChestMed.2004;25:621-636,v. Selman M, et al. Drugs.2004;64:405-430. Noninflammatory (multiple hit) Hypothesis
  • 224.
    Noninflammatory (multiple hit)Hypothesis Recurrent pulmonary injury Epithelial/ endothelial injury and apoptosis Loss of basement membrane Failure of re-epithelialization/ re-endothelialization ECM deposition Fibroblast proliferation Release of profibrotic growth factors (TGF-b, PDGF, IGF-1) Progressive fibrosis with loss of lung architecture TGF-b= transforminggrowth factor-beta PDGF = plateletderived growth factor IGF-1 = insulin-like growth factor-1 Noble PW, HomerRJ. Clin ChestMed.2004;25:749-758,vii. Raghu G, Chang J.Clin ChestMed.2004;25:621-636,v. Selman M, et al. Drugs.2004;64:405-430.
  • 225.
    • Aberrant vascularremodeling supports fibrosis and may contribute to increased shunt and hypoxemia  Increased angiogenesis results from imbalance of pro-angiogenic chemokines (IL-8, ENA-78) and anti-angiogenic, IFN-inducible chemokines (IP-10)  Vascular remodeling leads to anastomoses between the systemic/pulmonary microvasculature, increasing right-to-left shunt, contributing to hypoxemia Chemokine imbalance Increased angiogenesis Fibrosis Noble PW, HomerRJ. Clin ChestMed.2004;25:749-758,vii. Strieter RM, et al. Am J RespirCell Mol Biol. 2003;29(3suppl):S67-S69. Vascular Remodeling Hypothesis Aberrant vascular remodeling
  • 226.
    Defects in HostDefense Mechanisms May Contribute to Fibrosis • Defects in endogenous host defense mechanisms (eg, IFN-g, PGE2 production) that limit fibrosis after acute lung injury may contribute to progressive fibrosis Noble PW, HomerRJ. Clin ChestMed.2004;25:749-758,vii.
  • 227.
    NHLBI in anattempt to standardize the diagnostic criteria used across studies . This committee defined AEx-IPF as an acute, clinically significant deterioration of unidentifiable cause and proposed five diagnostic criteria. Definition of AEx-IPF
  • 228.
    1- Previous orconcurrent diagnosis of IPF 2- Unexplained worsening or development of dyspnea within 30 days 3- HRCT with new bilateral ground-glass abnormality and/or consolidation superimposed on a background reticular or honeycomb pattern consistent with UIP pattern 4- No evidence of pulmonary infection by endotracheal aspirate or BAL 5- Exclusion of alternative causes, including: • Left heart failure • Pulmonary embolism • Identifiable cause of acute lung injury. Diagnostic criteria for AEx-IPF
  • 229.
    Incidence of AEx-IPF *AmericanThoracic Society (ATS), European Respiratory Society (ERS), Japanese Respiratory Society (JRS) and Latin American Thoracic Association (ALAT) on the diagnosis and treatment of IPF state that AEx- IPF occurs in approximately 5–10% of patients with diagnosed IPF annually *A recent retrospective study of data collected from 461 patients with diagnosed IPF found 1-year and 3- year incidences of AEx-IPF of 14.2% and 20.7%, respectively . *However, the incidence rates of AEx-IPF reported in clinical trials have tended to be lower than this.
  • 230.
    Pathophysiology of AEx-IPF Avariety of patterns of acute lung injury have been observed in AEx-IPF . The most common histopathological finding is diffuse alveolar damage superimposed on the underlying usual interstitial pneumonia (UIP) pattern , but organizing pneumonia and extensive fibroblastic foci have also been reported. Several hypotheses for the etiology of AEx-IPF have been proposed. AEx-IPF may represent a sudden acceleration of the underlying disease process due to unknown acute injury to the lung, or a biologically distinct pathological process due to a clinically occult condition, such as infection or gastroesophageal reflux disease (GERD)
  • 231.
    Pathophysiology of AEx-IPF AsAEx-IPF have a clinical presentation that shares a number of features with viral respiratory infections (e.g. fever, cough, myalgia), it has been suggested that occult viral infection may contribute to the pathophysiology of AEx-IPF. Several hypotheses for the etiology of AEx-IPF have been proposed. AEx-IPF may represent a sudden acceleration of the underlying disease process due to unknown acute injury to the lung, or a biologically distinct pathological process due to a clinically occult condition, such as infection or gastroesophageal reflux disease (GERD). However, the evidence supporting the involvement of viral infections in AEx- IPF is mixed .The most recent and extensive study, which used genomic-based technologies to investigate the role of viruses in the etiology of AEx-IPF, suggested that viral infection is not a common cause ofAEx-IPF.
  • 232.
    Pathophysiology of AEx-IPF Activationof the immune system, disordered coagulation/fibrinolysis, and oxidative stress may all contribute to the pathophysiology of AEx-IPF. Immune cells (e.g. neutrophils, macrophages) ,inflammatory mediators (e.g. interleukin 6, high mobility group protein B1) ,markers of coagulation/fibrinolysis (e.g. protein C, thrombomodulin, and plasma activator inhibitor-1) , and markers of oxidative stress (thioredoxin 1) are all elevated in patients with AEx-IPF. Epithelial cell damage in patients with IPF is demonstrated by over-expression of matrix metalloproteinase (MMP)-7, MMP-9 , and Krebs von den Lungen- 6 (KL-6) . Accelerated epithelial cell proliferation, with increases in the proliferation markers CCNA2 and Ki-67, in patients with AEx-IPF may be a compensatory response to injury, and is associated with epithelial cell death. Transforming growth factor (TGF)- beta, a fibrogenic cytokine, is upregulated in IPF and galectin-3, a mediator of fibrosis induced by TGF-beta, is elevated in the lungs and serum of patients with stable IPF and AEx-IPF . Circulating bone marrowderived fibrocytes may also provide a source of lung fibroblasts and myofibroblasts, as the number of circulating fibrocytes has been shown to be higher in patients with IPF and AEx-IPF, compared with healthy subjects
  • 233.
    Risk factors andprecipitating factors for AEx-IPF *Lower total lung capacity, lower forced vital capacity (FVC) and/or lower diffusing capacity of the lung for carbon monoxide (DLco). *A higher degree of dyspnea (score ≥2 on the modified Medical Research Council dyspnea scale) or of fibrosis on HRCT has been shown to increase the risk of AEx-IPF, as has the presence of concomitant conditions such as emphysema or pulmonary hypertension. *Invasive examinations such as bronchoscopy , bronchoalveolar lavage (BAL), and pulmonary resection for lung cancer can precipitate AEx-IPF.
  • 234.
    Risk factors andprecipitating factors for AEx-IPF *surgical lung biopsy is a precipitating factor for AEx-IPF; however, the risk of AEx-IPF from video-assisted thoracoscopic operation appears to be elevated only in patients with severe physiologic impairment or substantial comorbidity *In some patients with AEx-IPF, pepsin levels were found to be elevated in BAL fluid, suggesting a possible role for GERD in the pathogenesis of AEx-IPF .There is some evidence to suggest that the treatment of GERD in patients with IPF reduces mortality rates .
  • 235.
    Impact of AEx-IPFon patients *AEx-IPF are certainly a leading cause of hospitalization and death among patients with IPF. Median survival after an AEx- IPF has been reported to be between 22 days and 4.2 months. *There is some evidence that patients with better lung function (FVC, PaO2, DLCO) prior to AEx-IPF are more likely to survive an AEx-IPF , suggesting that preservation of lung function may be an important way of reducing the impact of AEx-IPF in patients with IPF.
  • 236.
    Management of AEx-IPF *Thelatest international treatment guidelines state that supportive care remains the mainstay of treatment for AEx-IPF, but also give a weak recommendation for the treatment of the majority of patients with AEx-IPF with corticosteroids. *In clinical practice, the treatment of AEx-IPF is variable. Corticosteroids (e.g. prednisone, methylprednisolone) are used in the majority of patients who suffer an AEx-IPF, usually in pulse doses. Preliminary data suggest that response to high- dose corticosteroid treatment may depend on the type of HRCT lesion, with better responses achieved in those with a peripheral pattern
  • 237.
    Management of AEx-IPF *Broad-spectrumantibiotics and immunosuppressants (cyclosporin or cyclophosphamide) are sometimes used in addition to corticosteroids .However, the efficacy of immunosuppressants in the treatment of AEx-IPF is based on a few small retrospective studies that do not provide conclusive evidence for benefit. *Mechanical ventilation is often used in patients with AEx-IPF, but the data on its effects on outcomes are mixed. *Other treatments for AEx-IPF that havebeen investigated in small studies include polymyxin Bimmobilized fiber column (PMX) hemoperfusion and tacrolimus, a cytokine transcription inhibitor ,usually administered in addition to corticosteroids.
  • 238.
    Reducing the riskof exacerbations *A trial of sildenafil, a phosphodiesterase-5 inhibitor, showed a numerical reduction in AEx-IPF in patients given sildenafil versus placebo (3 [3.4%] vs. 7 [7.6%]), but the number of events was small and the difference was not statistically significant . *Imatinib, a tyrosine kinase inhibitor , bosentan, an endothelin receptor antagonist, the anticoagulant warfarin , and inhaled Nacetylcysteine , numerically higher rates of AEx-IPF were found in the active treatment arms compared with the placebo arms. *triple therapy with prednisone, azathioprine,and N- acetylcysteine in patients with IPF, a significantly higher rate of AEx-IPF was observed in patients receiving triple therapy versus placebo
  • 239.
    Reducing the riskof exacerbations *Pirfenidone, an anti-fibrotic molecule that has been licensed for the treatment of IPF in Japan, India, China, Europe, and Canada, but was not approved in the United States, has shown inconsistent effects on AEx-IPF. *Nintedanib (formerly known as BIBF 1120) is a tyrosine kinase inhibitor in clinical development for the treatment of IPF. It reported a lower incidence of AEx-IPF was observed in patients treated with nintedanib 300 mg/day than placebo (2.4 vs. 15.7 AEx-IPF per 100 patient years) *It is interesting that nintedanib may have an effect on AEx-IPF whereas the tyrosine kinase inhibitor imatinib, which inhibits the platelet-derived growth factor receptor (PDGFR), did not . Nintedanib is an inhibitor of PDGFR, vascular endothelial growth factor receptor (VEGFR), and fibroblast growth factor receptor (FGFR) and this specificity of inhibition may be key to its effects on AEx-IPF
  • 240.
    Reducing the riskof exacerbations *Anti-acid treatment might decrease the frequency of AEx-IPF by reducing the acidity of the microaspirate .
  • 241.
    How To Approach aPractical Diagnosis?
  • 242.
    An acute appearancesuggests: pulmonary edema Pneumonia Miliary TB DAD Rule no. 1
  • 243.
    Reticulonodular lower lungpredominant distribution with decreased lung volumes suggests: (APC) 1. Asbestosis 2. Aspiration (chronic) 3. Pulmonary fibrosis (idiopathic) 4.Collagen vascular disease Rule no. 2
  • 244.
  • 245.
    Pulmonary fibrosis andrheumatoid arthritis.
  • 246.
    Systemic sclerosis. A: PAchest radiograph shows a bibasilar and subpleural distribution of fine reticular ILD. The presence of a dilated esophagus (arrows) provides a clue to the correct diagnosis. B: CT scan shows peripheral ILD and a dilated esophagus (arrow).
  • 247.
    A middle orupper lung predominant distribution suggests: (Mycobacterium Settle Superiorly in Lung) 1. Mycobacterial or fungal disease 2. Silicosis 3. Sarcoidosis 4. Langerhans Cell Histiocytosis Rule no. 3
  • 248.
    Complicated silicosis. PAchest radiograph shows multiple nodules involving the upper and middle lungs, with coalescence of nodules in the left upper lobe resulting in early progressive massive fibrosis
  • 249.
    Sarcoidosis. CT scanshows nodular thickening of the bronchovascular bundles (solid arrow) and subpleural nodules (dashed arrow), illustrating the typical perilymphatic distribution of sarcoidosis.
  • 250.
    Langerhan cell histiocytosis. This50-year-old man had a 30 pack-year history of cigarette smoking. A: PA chest radiograph shows hyperinflation of the lungs and fine bilateral reticular ILD. B: CT scan shows multiple cysts (solid arrow) and nodules (dashed arrow).
  • 251.
    Associated lymphadenopathy suggests: 1.Sarcoidosis 2.neoplasm (lymphangitic carcinomatosis, lymphoma, metastases) 3. infection (viral, mycobacterial, or fungal) 4. Silicosis 5-LAM 6-progressive systemic sclerosis 7-TB or fungal diseases Rule no. 4
  • 252.
    Simple silicosis. A: CTscan with lung windowing shows numerous circumscribed pulmonary nodules, 2 to 3 mm in diameter (arrows). B: CT scan with mediastinal windowing shows densely calcified hilar (solid arrows) and subcarinal (dashed arrow) nodes.
  • 253.
    Associated pleural thickeningand/or calcification suggest asbestosis. Rule no. 5
  • 254.
    Associated pleural effusionsuggests : 1.pulmonary edema 2.lymphangitic carcinomatosis 3.lymphoma 4.collagen vascular disease Rule no. 6
  • 255.
    Cardiogenic pulmonary edema. PAchest radiograph shows enlargement of the cardiac silhouette, bilateral ILD, enlargement of the azygos vein (solid arrow), and peribronchial cuffing (dashed arrow).
  • 256.
    Lymphangitic carcinomatosis. This53-year-old man presented with chronic obstructive pulmonary disease and large-cell bronchogenic carcinoma of the right lung. CT scan shows unilateral nodular thickening (arrows) and a malignant right pleural effusion.
  • 257.
  • 258.
    Lymphangioleiomyomatosis (LAM). A: PA chestradiograph shows a right basilar pneumothorax and two right pleural drainage catheters. The lung volumes are increased, which is characteristic of LAM, and there is diffuse reticular ILD. B: CT scan shows bilateral thin- walled cysts and a loculated right pneumothorax (P).
  • 259.
    Tell me therules again?
  • 260.
    1. Acute •P.Edema •Pneumonia 2. Pleuraleffusion •1.pulmonary edema •2.lymphangitic carcinomatosis •3.lymphoma •4.collagen vascular disease 3.Pneumothorax •lymphangioleiomyom atosis •LCH 4.Predominantly Below with reduced volume 1.Asbestosis 2. Aspiration (chronic) 3. Pulmonary fibrosis (idiopathic) 4.Collagen vascular disease
  • 261.
    5. A middleor upper lung predominant 1. Mycobacterial or fungal disease 2. Silicosis 3. Sarcoidosis 4. Langerhans Cell Histiocytosis 6. Associated lymphadenopathy 1.Sarcoidosis 2.neoplasm (lymphangitic carcinomatosis, lymphoma, metastases) 3. infection (viral, mycobacterial, or fungal) 4. silicosis 7. Pleural Thickening and or Calcification •Asbestosis
  • 263.
    Approach to theILD Patient Martinez F, Flaherty K. Available at: http://www.chestnet.org/education/online/pccu/vol18/lessons03_04/lesson03.php. Patient with Suspected ILD Hx, PE, CXR, PFT, Labs STOP HRCT Hx and HRCT consistent with IPF Hx and HRCT Dx of other ILD Suspected other ILD Atypical clinical or CT features of IPF STOP STOP STOP VATS UIP Non IIPLIPOPDADDIPNSIP RBILD Yes No Yes No Dx likely by bronch? Is bronch diagnostic? Dx likely by bronch? Is bronch diagnostic? Yes Yes No