PULMONARY VENOUS HYPERTENSION-
STAGES, ASSESSMENT
& SKIAGRAPHIC CHANGES
SHYAM SASIDHARAN
MENU
• INTRODUCTION
• DEFINITION
• PATHOBIOLOGY AND STAGES
• SKIAGRAM
• IMAGING
• CARDIAC CATHETERISATION
CASE SCENARIO
• 65 year old female
• DOE FC II – III -6months
• T2DM&HTN – 15 yrs
• O/E – obese,pulse- 98/min irregular,BP-170/100
• JVP –raised,CVS-P2 loud
• ECG- AF
• CXR- cardiomegaly,prominent upper lobe veins
• Echo- EF 56%
• RHC – PAP- 38,PCWP-20
*5th WSPH Nice 2013
GROUP 2 - Pulmonary hypertension due to
left heart disease (PH-LHD)
• 2.1 Left ventricular systolic dysfunction
• 2.2 Left ventricular diastolic dysfunction
• 2.3 Valvular disease
• 2.4 Congenital/acquired left heart inflow/outflow
tract obstruction and congenital cardiomyopathies
Journal of the American College of Cardiology Vol. 62, No. 25, 2013
INTRODUCTION
• Pulmonary hypertension associated with left
heart disease is the most common form of
pulmonary hypertension.
• Pathophysiology remains poorly understood and
its treatment remains undefined.
• Up to 60% of patients with severe LV systolic
dysfunction and up to 70% of patients with
isolated LV diastolic dysfunction develop PH-
LHD
DEFINITION
• The current hemodynamic definition of PH-
LHD combines a resting mean pulmonary artery
pressure (mPAP) >25 mm Hg and a pulmonary
capillary wedge pressure (PCWP)>15mmHg.
PATHOBIOLOGY OF PH-LHD
Proposed relationship between LV dysfunction and secondary events that may contribute to
development of pulmonary hypertension.
Denzil L. Moraes et al. Circulation. 2000;102:1718-1723
Copyright © American Heart Association, Inc. All rights reserved.
PATHOPHYSIOLOGY : PH-LHD ;VHD
PREVALENCE ; PH IN VHD
Diagram showing the various hemodynamic stages observed in group 2 PH.
Marco Guazzi, and Barry A. Borlaug Circulation.
2012;126:975-990
Copyright © American Heart Association, Inc. All rights reserved.
Stuart Rich, and Marlene Rabinovitch Circulation.
2008;118:2190-2199
Copyright © American Heart Association, Inc. All rights reserved.
Pulmonary occlusive venopathy
• Congested alveolar capillaries
• Fibrous intimal thickening
• Marked lymphatic dilatation
• Focal thickening of alveolar
septa by proliferated
capillaries.
• Nodular capillary proliferation
SKIAGRAM - NORMAL PULMONARY
VASCULATURE
• REDISTRIBUTION
• PCWP : 13-18mm HgSTAGE 1
• Interstitial edema
• Kerley lines,peribronchial cuffing
• PCWP : 18 -24 mmHg
STAGE 2
• ALVEOLAR EDEMA
• Cotton wool appearance
• “Bat wing” appearance
• PCWP : >25 mmHg
STAGE 3
SKIAGRAPHIC STAGES OF PVH
STAGE 1(PCWP : 13-18 mm Hg)
Stage 2 PVH
• PCWP : 18 – 24 mm Hg
• Interstitial edema
• Kerley B lines
• Peribronchial cuffing
KERLEY LINES
PVH – STAGE 2 (PCWP : 18-24 mm Hg)
PVH STAGE 3 (PCWP : >25 mm Hg)
EVOLUTION OF X RAY CHANGES IN PVH
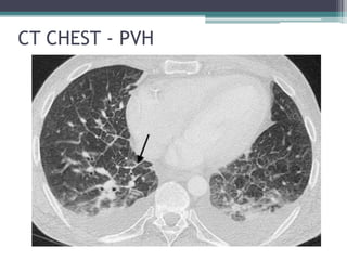
CT CHEST - PVH
OBJECTIVES OF FURTHER EVALUATION
• Confirming the group of PH
• Differentiating PAH and HFpEF
• Differentiate pre and post capillary PH
• Assessing pulmonary vascular reactivity to drugs
and exercise
PROPOSED EVALUATION ALGORITHM FOR PH-LHD
Clinical features
Age >65 yrs
Elevated systolic blood pressure
Obesity
Hypertension
Coronary artery disease
Diabetes mellitus
Atrial fibrillation
Symptomatic response to diuretic drugs
Exaggerated increase in systolic blood pressure with
exercise
DIASTOLIC HEART FAILURE - POINTERS
DIASTOLIC HEART FAILURE - POINTERS
Echocardiography
• Left atrial enlargement
• Concentric remodeling
• Left ventricular hypertrophy
• Elevated left ventricular filling pressures (grade
II to IV diastolic dysfunction)
CARDIAC CATHETERISATION
• Confirm PH (mPAP, sPAP, dPAP,PVR,LVEDP,LAP)
• Differentiate pre and post capillary PH-LHD
-Trans Pulmonary Gradient(TPG)
-Diastolic Pressure Difference(DPD).
• Assess reversibility
-vasoreactivity testing
TPG (TRANS PULMONARY GRADIENT)
• TPG = mPAP - PCWP
• “Out of proportion” /reactive PH/ combined
post- and pre-capillary PH is defined as mean
PAP ≥ 25 mm Hg and PVR ≥ 2.5-3Wood units (or a
TPG ≥ 12-15 mm Hg) in the presence of PAWP > 15
mm Hg.
• Both TPG and PVR are flow-dependent and may not
accurately reflect the presence of intrinsic
pulmonary arteriolar remodeling.
DIASTOLIC PRESSURE DIFFERENCE (DPD)
• DPD = dPAP – meanPCWP
• DPD is not flow dependent and has been shown to more
accurately identify the presence of pre-capillary
pulmonary arteriolar remodeling.
• In normal subjects,DPD is 1-3 mm Hg.
• Isolated post-capillary (mean PAP ≥ 25mm Hg,
PAWP > 15 mm Hg, and DPG < 7 mm Hg)
• Combined post-capillary and pre-capillaryPH
(mean PAP ≥ 25 mm HG, PAWP > 15 mm Hg, and DPG
≥ 7 mm Hg)
Journal of the American College of Cardiology Vol. 62, No. 25, 2013
Current Definition and Classification
of PH-LHD
TERMINOLOGY PCWP DIASTOLIC PAP –
PAWP (DPD)
ISOLATED POST
CAPILLARY
>15 mm Hg <7 mm Hg
COMBINED POST
CAPILLARY AND
PRE CAPILLARY
>15 mm Hg >7 mm Hg
Journal of the American College of Cardiology Vol. 62, No. 25, 2013
Distribution of PVR and TPG in a patients with group 2 PH due to HFrEF and HFpEF.
Marco Guazzi, and Barry A. Borlaug Circulation.
2012;126:975-990
Copyright © American Heart Association, Inc. All rights reserved.
ASSESSMENT OF PH-LHD
Date of download:
3/25/2015
Copyright © The American College of Cardiology.
All rights reserved.
From: Diagnosis, Assessment, and Treatment of Non-Pulmonary Arterial Hypertension Pulmonary
Hypertension
J Am Coll Cardiol. 2009;54(1s1):S85-S96. doi:10.1016/j.jacc.2009.04.008
Diagnostic Approach to Distinguish Between PAH and PH Caused by Diastolic Left Heart Disease
See Table 1 for risk factors for diastolic heart failure. DHF = diastolic heart failure; Dx = diagnosis; EF = ejection fraction;
HF = heart failure; NTG = nitroglycerine; OMT = optimized medical therapy; PAH = pulmonary arterial hypertension;
PCWP = pulmonary capillary wedge pressure; PH = pulmonary hypertension; PVR = pulmonary vascular resistance; RCT
= randomized controlled trial; RHC = right heart catheterization; WU = Wood units.
Figure Legend:
Pulmonary venous hypertension  stages & skiagraphic changes

Pulmonary venous hypertension stages & skiagraphic changes

  • 1.
    PULMONARY VENOUS HYPERTENSION- STAGES,ASSESSMENT & SKIAGRAPHIC CHANGES SHYAM SASIDHARAN
  • 2.
    MENU • INTRODUCTION • DEFINITION •PATHOBIOLOGY AND STAGES • SKIAGRAM • IMAGING • CARDIAC CATHETERISATION
  • 3.
    CASE SCENARIO • 65year old female • DOE FC II – III -6months • T2DM&HTN – 15 yrs • O/E – obese,pulse- 98/min irregular,BP-170/100 • JVP –raised,CVS-P2 loud • ECG- AF • CXR- cardiomegaly,prominent upper lobe veins • Echo- EF 56% • RHC – PAP- 38,PCWP-20
  • 5.
    *5th WSPH Nice2013 GROUP 2 - Pulmonary hypertension due to left heart disease (PH-LHD) • 2.1 Left ventricular systolic dysfunction • 2.2 Left ventricular diastolic dysfunction • 2.3 Valvular disease • 2.4 Congenital/acquired left heart inflow/outflow tract obstruction and congenital cardiomyopathies Journal of the American College of Cardiology Vol. 62, No. 25, 2013
  • 6.
    INTRODUCTION • Pulmonary hypertensionassociated with left heart disease is the most common form of pulmonary hypertension. • Pathophysiology remains poorly understood and its treatment remains undefined. • Up to 60% of patients with severe LV systolic dysfunction and up to 70% of patients with isolated LV diastolic dysfunction develop PH- LHD
  • 7.
    DEFINITION • The currenthemodynamic definition of PH- LHD combines a resting mean pulmonary artery pressure (mPAP) >25 mm Hg and a pulmonary capillary wedge pressure (PCWP)>15mmHg.
  • 8.
  • 9.
    Proposed relationship betweenLV dysfunction and secondary events that may contribute to development of pulmonary hypertension. Denzil L. Moraes et al. Circulation. 2000;102:1718-1723 Copyright © American Heart Association, Inc. All rights reserved.
  • 10.
  • 11.
  • 13.
    Diagram showing thevarious hemodynamic stages observed in group 2 PH. Marco Guazzi, and Barry A. Borlaug Circulation. 2012;126:975-990 Copyright © American Heart Association, Inc. All rights reserved.
  • 14.
    Stuart Rich, andMarlene Rabinovitch Circulation. 2008;118:2190-2199 Copyright © American Heart Association, Inc. All rights reserved. Pulmonary occlusive venopathy • Congested alveolar capillaries • Fibrous intimal thickening • Marked lymphatic dilatation • Focal thickening of alveolar septa by proliferated capillaries. • Nodular capillary proliferation
  • 15.
    SKIAGRAM - NORMALPULMONARY VASCULATURE
  • 16.
    • REDISTRIBUTION • PCWP: 13-18mm HgSTAGE 1 • Interstitial edema • Kerley lines,peribronchial cuffing • PCWP : 18 -24 mmHg STAGE 2 • ALVEOLAR EDEMA • Cotton wool appearance • “Bat wing” appearance • PCWP : >25 mmHg STAGE 3 SKIAGRAPHIC STAGES OF PVH
  • 17.
    STAGE 1(PCWP :13-18 mm Hg)
  • 18.
    Stage 2 PVH •PCWP : 18 – 24 mm Hg • Interstitial edema • Kerley B lines • Peribronchial cuffing
  • 19.
  • 20.
    PVH – STAGE2 (PCWP : 18-24 mm Hg)
  • 21.
    PVH STAGE 3(PCWP : >25 mm Hg)
  • 22.
    EVOLUTION OF XRAY CHANGES IN PVH
  • 23.
  • 24.
    OBJECTIVES OF FURTHEREVALUATION • Confirming the group of PH • Differentiating PAH and HFpEF • Differentiate pre and post capillary PH • Assessing pulmonary vascular reactivity to drugs and exercise
  • 25.
  • 26.
    Clinical features Age >65yrs Elevated systolic blood pressure Obesity Hypertension Coronary artery disease Diabetes mellitus Atrial fibrillation Symptomatic response to diuretic drugs Exaggerated increase in systolic blood pressure with exercise DIASTOLIC HEART FAILURE - POINTERS
  • 27.
    DIASTOLIC HEART FAILURE- POINTERS Echocardiography • Left atrial enlargement • Concentric remodeling • Left ventricular hypertrophy • Elevated left ventricular filling pressures (grade II to IV diastolic dysfunction)
  • 30.
    CARDIAC CATHETERISATION • ConfirmPH (mPAP, sPAP, dPAP,PVR,LVEDP,LAP) • Differentiate pre and post capillary PH-LHD -Trans Pulmonary Gradient(TPG) -Diastolic Pressure Difference(DPD). • Assess reversibility -vasoreactivity testing
  • 31.
    TPG (TRANS PULMONARYGRADIENT) • TPG = mPAP - PCWP • “Out of proportion” /reactive PH/ combined post- and pre-capillary PH is defined as mean PAP ≥ 25 mm Hg and PVR ≥ 2.5-3Wood units (or a TPG ≥ 12-15 mm Hg) in the presence of PAWP > 15 mm Hg. • Both TPG and PVR are flow-dependent and may not accurately reflect the presence of intrinsic pulmonary arteriolar remodeling.
  • 32.
    DIASTOLIC PRESSURE DIFFERENCE(DPD) • DPD = dPAP – meanPCWP • DPD is not flow dependent and has been shown to more accurately identify the presence of pre-capillary pulmonary arteriolar remodeling. • In normal subjects,DPD is 1-3 mm Hg. • Isolated post-capillary (mean PAP ≥ 25mm Hg, PAWP > 15 mm Hg, and DPG < 7 mm Hg) • Combined post-capillary and pre-capillaryPH (mean PAP ≥ 25 mm HG, PAWP > 15 mm Hg, and DPG ≥ 7 mm Hg) Journal of the American College of Cardiology Vol. 62, No. 25, 2013
  • 33.
    Current Definition andClassification of PH-LHD TERMINOLOGY PCWP DIASTOLIC PAP – PAWP (DPD) ISOLATED POST CAPILLARY >15 mm Hg <7 mm Hg COMBINED POST CAPILLARY AND PRE CAPILLARY >15 mm Hg >7 mm Hg Journal of the American College of Cardiology Vol. 62, No. 25, 2013
  • 34.
    Distribution of PVRand TPG in a patients with group 2 PH due to HFrEF and HFpEF. Marco Guazzi, and Barry A. Borlaug Circulation. 2012;126:975-990 Copyright © American Heart Association, Inc. All rights reserved.
  • 35.
  • 36.
    Date of download: 3/25/2015 Copyright© The American College of Cardiology. All rights reserved. From: Diagnosis, Assessment, and Treatment of Non-Pulmonary Arterial Hypertension Pulmonary Hypertension J Am Coll Cardiol. 2009;54(1s1):S85-S96. doi:10.1016/j.jacc.2009.04.008 Diagnostic Approach to Distinguish Between PAH and PH Caused by Diastolic Left Heart Disease See Table 1 for risk factors for diastolic heart failure. DHF = diastolic heart failure; Dx = diagnosis; EF = ejection fraction; HF = heart failure; NTG = nitroglycerine; OMT = optimized medical therapy; PAH = pulmonary arterial hypertension; PCWP = pulmonary capillary wedge pressure; PH = pulmonary hypertension; PVR = pulmonary vascular resistance; RCT = randomized controlled trial; RHC = right heart catheterization; WU = Wood units. Figure Legend:

Editor's Notes

  • #10 Proposed relationship between LV dysfunction and secondary events that may contribute to development of pulmonary hypertension. Increase in pulmonary ET and/or reduction in endothelium-derived NO may cause pathophysiological changes in vessel structure and function, which adversely affect long-term morbidity and mortality. EDP indicates end-diastolic pressure; EC, endothelial cell.
  • #14 Diagram showing the various hemodynamic stages observed in group 2 PH. A, Passive. The increase in pulmonary artery pressure (PAP) is thought to be exclusively due to downstream left atrial pressure (LAP) elevation and no component of the PH seems to result from abnormalities intrinsic to the arterial wall. B, Reactive. The increase in PAP is due to intrinsic vascular changes in addition to elevated LAP. The TPG is increased and may or may not reverse under pharmacological challenge. C, Out of proportion increase in PH. This condition refers to some cases of TPG increase occurring in the presence of mild or no increase in PCWP. The pathobiological arterial changes of this condition are not well defined, even though some evolving reactive precapillary component is thought to take place earlier in the expected course of the disease. PH indicates pulmonary hypertension; TPG, transpulmonary gradient; PCWP, pulmonary capillary wedge pressure; RV, right ventricle; and LA, left atrium.
  • #15 Figure 1. Pulmonary occlusive venopathy. A, Septal veins with nearly occluded lumens by fibrous intimal thickening (asterisk), marked lymphatic dilation (arrow), and congested alveolar capillaries. Verhoeff–van Gieson stain; magnification ×50. B, Obstructive fibrous intimal thickening and recanalization channels in a septal vein; pulmonary microvasculopathy. Magnification ×200. C, Focal thickening of alveolar septa by proliferated capillaries. Hematoxylin-eosin stain; magnification ×20. D, Nodular capillary proliferation, hemosiderin-laden alveolar macrophages, and type II pneumocytes (arrows); pulmonary venous disease. Hematoxylin-eosin stain; magnification ×300. Reprinted from Pietra et al,79 with permission from Elsevier. Copyright 2004, American College of Cardiology Foundation.
  • #35 Distribution of PVR and TPG in a patients with group 2 PH due to HFrEF and HFpEF. Data show a high prevalence of reactive PH, where 80% to 90% of patients with HFrEF and HFpEF displayed PVR >1.7 WU (2 SDs beyond normal), and over half displayed PVR >3 WU or TPG >15 mm Hg. Data adapted from Schwartzenberg et al.23 PVR indicates pulmonary vascular resistance; TPG, transpulmonary gradient; IQR, interquartile range; HFrEF, heart failure with reduced ejection fraction; and HFpEF, heart failure with preserved ejection fraction.