Chest
Diffuse Lung Lesions
Mohamed Zaitoun
Assistant Lecturer-Diagnostic Radiology
Department , Zagazig University Hospitals
Egypt
FINR (Fellowship of Interventional
Neuroradiology)-Switzerland
zaitoun82@gmail.com
Knowing as much as
possible about your enemy
precedes successful battle
and learning about the
disease process precedes
successful management
Diffuse Lung Lesions
a) Reticular Interstitial Pattern
b) Ground Glass Pattern
c) Nodular Pattern
d) Cystic Pattern
e) Mosaic Pattern
a) Reticular Interstitial Pattern :
1-Definition
2-Description
3-Etiology
1-Definition :
-Linear shadows (multiple lines) appearing
as mesh or net
-It can either mean a plain film or HRCT/CT
feature
2-Description :
-Interstitial lung disease
-Diffuse lung pathology showing multiple
widespread reticular infiltrations
+ Peribronchial cuffing (bronchial wall thickening +
perivascular wall thickening)
+ Septal lines (Kerley B) : short lines
perpendicular to the pleura
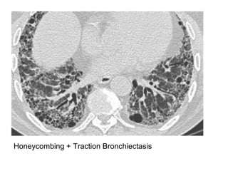
+ Honey combing : multiple peripheral and
subpleural cysts (mm-cm) , thick walls
+ Traction bronchiectasis
-N.B. :
Causes of septal (Kerley B) lines :
a) Pulmonary Venous Engorgement :
1-LVF
2-MS
3-PVOD
b) Lymphatic / Interstitial Infiltration :
1-Lymphangitis carcinomatosis
2-Pneumoconiosis
3-Sarcoidosis
4-Idiopathic bronchiectasis
5-Erdheim-Chester disease (ECD)
6-Diffuse pulmonary hemorrhage
7-Diffuse pulmonary lymphangiomyomatosis
8-Congenital lymphangiectasia
9-Alveolar proteinosis
10-Alveolar microlithiasis
11-Amyloidosis
Honeycombing + Traction Bronchiectasis
Honeycombing
-Interstitial lung disease sparing (e.g. apex , lower
lobe , etc) :
*Pneumonia is mainly peripheral with clear center
*Fibrosis (no sparing)
-Interstitial pulmonary edema (enlarged cardiac
shadow mainly left ventricle)
-Hilar lymph nodes + Interstitial lung disease, if :
a) Symmetrical >>> Sarcoidosis
b) Asymmetrical >>> Lymphangitis carcinomatosis
3-Etiology :
1-Idiopathic Interstitial Pneumonia
2-Interstitial Fibrosis (Asbestosis)
3-Interstitial pulmonary Edema
4-Drug Induced
5-Collagen Vascular Disease
6-Radiation Induced
7-With Adenopathy (Sarcoidosis or Lymphangitis
Carcinomatosis)
1-Idiopathic Interstitial Pneumonia (IIP) :
a) Usual Interstitial Pneumonia (UIP)
b) Non-specific Interstitial Pneumonia (NSIP)
c) Cryptogenic Organizing Pneumonia (COP)
d) Respiratory bronchiolitis-interstitial lung disease
(RB-ILD)
e) Desquamative Interstitial Pneumonia (DIP)
f) Lymphocytic Interstitial Pneumonia (LIP)
g) Acute Interstitial Pneumonia (AIP)
a) Usual Interstitial Pneumonia (UIP) : Honeycombing
-Also known as Idiopathic pulmonary fibrosis (IPF)
-Apicobasal gradient is even better seen on high-resolution
CT images
-Together with subpleural reticular opacities and
macrocystic honeycombing combined with traction
bronchiectasis, the apicobasal gradient represents a trio
of signs that is highly suggestive of UIP
-Therefore, UIP should be considered in patients who
present with low lung volumes, subpleural reticular
opacities, macrocystic honeycombing, and traction
bronchiectasis, the extent of which increases from the
apex to the bases of the lungs
Distribution of UIP, the distribution is subpleural with an apicobasal
gradient (red area in a), CT shows honeycombing (green areas
in c), reticular opacities (blue areas in c), traction bronchiectasis
(red area in c), and focal ground-glass opacity (gray area in c)
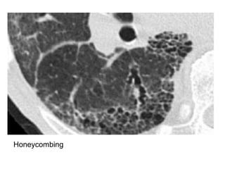
Honey combing
-Defined by the presence of small cystic spaces
with irregularly thickened walls composed of
fibrous tissue
-Honeycomb cysts often predominate in the
peripheral and subpleural lung regions
regardless of their cause
-Subpleural honeycomb cysts typically occur in
several contiguous layers, this finding can allow
honeycombing to be distinguished from
paraseptal emphysema in which subpleural
cysts usually occur in a single layer
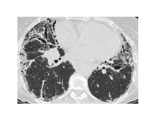
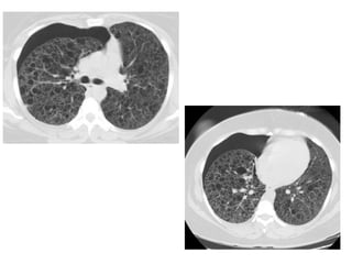
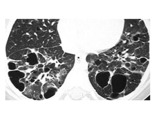
Honeycombing & traction bronchiectasis in UIP
Honeycombing comprises reticular densities caused by the thick walls of the cysts.
Whenever you see a chest film with long standing reticulation with a lower lobe and
peripheral preference
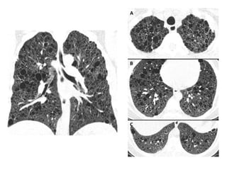
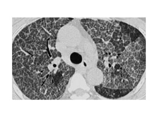
A, Unenhanced axial high-resolution CT through left mid (A) and lower (B) lung
show peripheral honeycombing, which is greatest in lower lobe,
accompanied by traction bronchiectasis and scattered peripheral reticular
opacities. Honeycombing is most prominent feature in this patient, typical for
idiopathic pulmonary fibrosis
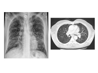
b) Non-specific Interstitial Pneumonia (NSIP) :
Subpleural Ground-glass
-NSIP is less common than UIP
-In non-smokers
-High-resolution CT typically reveals a subpleural and
rather symmetric distribution of lung abnormalities
-The most common manifestation consists of patchy
ground-glass opacities combined with irregular linear or
reticular opacities and scattered micronodules
-In advanced disease, traction bronchiectasis and
consolidation can be seen; however, ground-glass
opacities remain the most obvious high-resolution CT
feature in the typical patient with NSIP
Distribution of NSIP, the distribution is subpleural with no obvious
gradient (red area in a), CT shows ground-glass opacity (gray areas
in c), irregular linear and reticular opacities (blue areas in c),
micronodules (red areas in c), and microcystic honeycombing
(green areas in c)
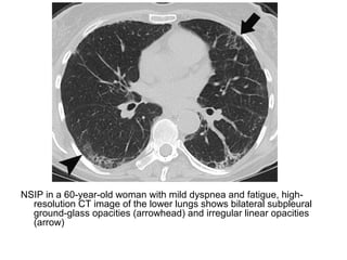
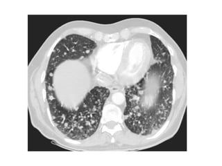
NSIP in a 60-year-old woman with mild dyspnea and fatigue, high-
resolution CT image of the lower lungs shows bilateral subpleural
ground-glass opacities (arrowhead) and irregular linear opacities
(arrow)
NSIP in a 53-year-old man with mild dyspnea, coronal CT image shows
diffuse lung involvement consisting of peripherally located irregular
linear opacities with ground-glass opacities (arrows), small cystic
lesions are seen (arrowhead)
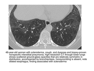
48-year-old woman with scleroderma, cough, and dyspnea and biopsy-proven
nonspecific interstitial pneumonia, high-resolution CT through lower lungs
shows scattered ground-glass opacities that are relatively symmetric in
distribution, accompanied by bronchiectasis, honeycombing is absent, note
dilated esophagus, finding associated with scleroderma
(a) UIP is characterized by heterogeneous lung abnormalities consisting of
subpleural honeycombing (arrowhead), reticular opacities, and traction
bronchiectasis, (b) NSIP demonstrates homogeneous lung involvement with
predominance of ground-glass opacity combined with sub-pleural linear
opacities and micronodules. The microcysts in NSIP (arrowhead) are much
smaller than the honeycombing in UIP
c) Cryptogenic Organizing Pneumonia (COP) : Ground-
glass (peribronchial, peripheral not subpleural) &
Consolidation
-The lung abnormalities show a characteristic peripheral or
peribronchial distribution, and the lower lung lobes are
more frequently involved
-In some cases, the outermost subpleural area is spared
-Typically, the appearance of the lung opacities varies from
ground glass to consolidation; in the latter, air
bronchograms and mild cylindrical bronchial dilatation
are a common finding
-In the appropriate clinical context, that is, consolidation
that increases over several weeks despite antibiotics, the
CT features of COP are often suggestive
Distribution of COP, the distribution is peripheral or peribronchial with a
basal predominance (red areas in a), CT shows consolidation with
air bronchograms (dark gray areas in c), ground-glass opacities
(light gray areas in c), linear opacities (blue areas in c), and mild
bronchial dilatation (red areas in c)
COP in a 54-year-old woman, coronal CT image shows extensive
bilateral peribronchial consolidation and ground-glass opacities
(arrows). An endotracheal tube is present (arrowhead), indicating
the need for mechanical ventilation
COP in a 69-year-old man, high-resolution CT image shows
peripherally located consolidation with air bronchograms and
sparing of the subpleural space (arrow)
d) Respiratory Bronchiolitis-Interstitial Lung Disease
(RB-ILD) : Centrilobular nodules + ground-glass
-RB-ILD is a smoking-related interstitial lung disease and is
thought to represent an exaggerated and symptomatic
form of the histologically common and incidental finding
of respiratory bronchiolitis
-Because of the significant overlap in clinical, imaging, and
histologic features between RB-ILD and DIP, these
entities are considered a pathomorphologic continuum,
representing different degrees of severity of the same
disease process
-The key high-resolution CT features of RB-ILD are
centrilobular nodules in combination with ground-glass
opacities and bronchial wall thickening
Distribution of RB-ILD, RB-ILD has an upper lung predominance (red
area in a), CT shows ground-glass opacity (gray area in c) and
centrilobular nodules (red areas in c)
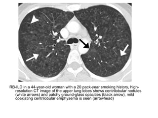
RB-ILD in a 44-year-old woman with a 20 pack-year smoking history, high-
resolution CT image of the upper lung lobes shows centrilobular nodules
(white arrows) and patchy ground-glass opacities (black arrow), mild
coexisting centrilobular emphysema is seen (arrowhead)
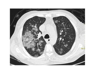
50-year-old man with long-standing history of heavy cigarette smoking,
dyspnea, cough, and smoking-related interstitial lung disease,
proven at biopsy, unenhanced axial CT image through mid to lower
lungs shows diffuse centrilobular ground-glass nodules bilaterally
e) Desquamative Interstitial Pneumonia (DIP) : Diffuse
ground-glass
-DIP is strongly associated with cigarette smoking and is
considered to represent the end of a spectrum of RB-ILD
-At high-resolution CT, DIP is characterized by diffuse
ground-glass opacities
-Usually, there is a peripheral and lower lung lobe
predominance
-Other frequent CT findings include spatially limited
irregular linear opacities and small cystic spaces, which
are indicative of fibrotic changes
-Despite differences in the CT appearance of RB-ILD and
DIP, imaging findings may overlap and may be
indistinguishable from each other, to improve diagnostic
accuracy, lung biopsy is required in all cases of
suspected RB-ILD or DIP
Distribution of DIP, DIP has a peripheral predominance (red areas
in a), CT shows ground-glass opacity (gray area in c), irregular
linear opacities (blue areas in c), and cysts (green areas in c)
DIP in a 55-year-old man, high-resolution CT image of the lower lung
lobes shows extensive bilateral ground-glass opacities (arrowhead),
coexisting moderate bronchial wall thickening is present (arrow)
DIP in a 43-year-old man with a history of smoking, high-resolution CT
image of the lower lung zones shows patchy ground-glass opacities
in both lungs, predominantly in the subpleural region (arrowheads),
small cystic spaces are present in these areas (arrow)
49-year-old woman with persistent and progressive cough, dyspnea, and hypoxemia,
prompting biopsy of her lungs, which revealed chronic desquamative interstitial
pneumonia (DIP) related to extensive cigarette smoking history, CT images through
mid and lower lungs show patchy ground-glass opacities in all lobes of both lungs
with peripheral predilection accompanied by lower lobe bronchial wall thickening, note
small cysts scattered mostly in right lung in regions of ground-glass attenuation,
finding that can occur in DIP
f) Lymphocytic Interstitial Pneumonia (LIP) : Female +
Sjogren syndrome + ground-glass + perivascular cysts
-As an idiopathic disease, LIP is exceedingly rare
-It is far more common as a secondary disease in
association with systemic disorders, most notably
Sjögren syndrome, human immunodeficiency virus
infection, and variable immunodeficiency syndromes
-More common in women than in men
-The dominant high-resolution CT feature in patients with
LIP is ground-glass attenuation
-Another frequent finding is thin-walled perivascular cysts,
in contrast to the subpleural, lower lung cystic changes
in UIP, the cysts of LIP are usually within the lung
parenchyma throughout the mid lung zones and
presumably result from air trapping due to
peribronchiolar cellular infiltration
-In combination with ground-glass opacities, these cysts
are highly suggestive of LIP
Distribution of LIP, the distribution is diffuse (red area in a), CT shows
ground-glass opacity (gray area in c) and perivascular cysts (green
areas in c)
LIP in a 47-year-old woman, high-resolution CT image shows diffuse
ground-glass opacity (arrow) with multiple perivascular cysts
(arrowheads) and reticular abnormalities (*)
58-year-old woman with Sj??gren syndrome, persistent dyspnea, and
biopsy-proven lymphoid interstitial pneumonia, unenhanced axial
CT image through mid lungs reveals centrilobular ground-glass
nodule
73-year-old woman with Sjogren syndrome symptoms, including dyspnea and
arthralgias, and biopsy-proven lymphoid interstitial pneumonia (LIP),
contrast-enhanced coronal reformatted image through lungs shows
numerous thin-walled cysts mostly located adjacent to blood vessels, these
perivascular cysts are identified in most patients with LIP
71-year-old woman with Sjogren syndrome, chest pain, cough,
dyspnea, and biopsy-proven lymphoid interstitial pneumonia (LIP).,
contrast-enhanced axial CT image shows both perivascular cysts
and lower lobe ground-glass opacities, combination of findings that
strongly supports diagnosis of LIP
g) Acute Interstitial Pneumonia (AIP) : Acute onset +
early (ground-glass), late (fibrosis)
-AIP is the only entity among the IIPs with acute onset of
symptoms, in most cases of AIP, the clinical and imaging
criteria for acute respiratory distress syndrome are
fulfilled
-High-resolution CT features of AIP are similar to those of
acute respiratory distress syndrome; however, patients
with AIP are more likely to have a symmetric, bilateral
distribution with a lower lobe predominance
-The costophrenic angles are often spared
-In the early phase of AIP (Exudative phase), ground-glass
opacities are the dominant CT pattern
-In the late phase of AIP (Fibrotic phase), architectural
distortion, traction bronchiectasis, and honeycombing
are the most striking CT features and are more severe in
the nondependent areas of the lung
Distribution of AIP, AIP has a basal predominance (red area in a), CT
shows airspace consolidation (dark gray areas in c), ground-glass
opacities (light gray areas in c), and bronchial dilatation (red areas
in c)
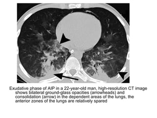
Exudative phase of AIP in a 22-year-old man, high-resolution CT image
shows bilateral ground-glass opacities (arrowheads) and
consolidation (arrow) in the dependent areas of the lungs, the
anterior zones of the lungs are relatively spared
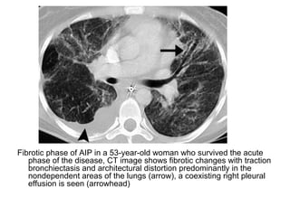
Fibrotic phase of AIP in a 53-year-old woman who survived the acute
phase of the disease, CT image shows fibrotic changes with traction
bronchiectasis and architectural distortion predominantly in the
nondependent areas of the lungs (arrow), a coexisting right pleural
effusion is seen (arrowhead)
2-Interstitial Fibrosis (Asbestosis) :
-Asbestosis refers exclusively to asbestos-related interstitial
pulmonary fibrosis
-The changes of asbestosis are more pronounced in the
lower lobes and subpleurally but often extend to involve
the middle lobe and lingula, upper lobes can be involved
in advanced cases
-Honeycombing, as in other fibrotic lung diseases, can
occur in advanced disease
-Features on chest radiographs include ground-glass
opacification, small nodular opacities, “shaggy” cardiac
silhouette, and ill-defined diaphragmatic contours, it has
been reported that 80% of patients with asbestosis have
coexistent pleural disease at chest radiography, fibrous
bands are sometimes seen to radiate inward from the
pleura
(a) PA radiograph of a patient with asbestosis shows “shaggy”
mediastinal and diaphragmatic contours, (b) Localized view of the
lung bases of the same patient further illustrates the diffuse
interstitial opacification
PA radiograph shows diffuse fine nodular and reticular opacification
with irregularity of mediastinal and diaphragmatic contours, the
costophrenic angles are blunted because of pleural thickening
PA radiograph of an asbestos-exposed person shows parenchymal
bands radiating in from the pleura in both mid zones (arrows),
diffuse pleural thickening is predominantly left-sided
-HRCT :
*An early feature is a subpleural curvilinear opacity, this
finding represents peribronchiolar fibrosis
*Parenchymal band-shaped opacities project in from the
pleura and represent fibrosis along bronchovascular
sheaths or interlobular septa
*Other features that have been reported include ground-
glass opacification (due to mild alveolar wall fibrosis
beyond the resolving power of CT, subpleural nodular or
dotlike opacities, thickening of interlobular septa, and
honeycombing
Axial high-resolution CT scan shows a subpleural curvilinear opacity
(arrows) thought to represent peribronchiolar fibrosis
High-resolution CT scan obtained with the patient in a prone position
shows early subpleural curvilinear opacity (arrows)
HRCT scan shows bilateral parenchymal bands (arrows)
HRCT scan shows subpleural areas of ground-glass attenuation
(arrows)
HRCT scan shows subpleural nodular and dotlike opacities (solid wide
arrows) that coalesce to form subpleural curvilinear lines (open
arrows), there are also interlobular (solid thin arrows) and
intralobular (arrowheads) interstitial lines
HRCT scan shows interlobular septal thickening (arrowheads)
HRCT scan depicts subpleural honeycombing (open arrows),
interlobular septal thickening (solid arrows), and subpleural nodular
opacities (arrowheads)
HRCT scan shows subpleural honeycombing
-N.B. :
Asbestos exposure causes a variety of
manifestations :
a) Pleura :
1-Pleural plaques (hyalinized collagen)
2-Diffuse thickening
3-Benign pleural effusion (most common
manifestation)
4-Pleural calcification
PA radiograph shows extensive calcified pleural plaques (arrows) that
affect the chest wall, diaphragm, and pericardium, the costophrenic
angles and apices are spared
PA radiograph of an asbestos-exposed patient shows a
right-sided pleural effusion (arrows)
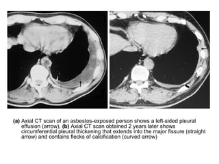
(a) Axial CT scan of an asbestos-exposed person shows a left-sided pleural
effusion (arrow), (b) Axial CT scan obtained 2 years later shows
circumferential pleural thickening that extends into the major fissure (straight
arrow) and contains flecks of calcification (curved arrow)
(a) PA radiograph shows pleural thickening with obliteration of the left
costophrenic angle (arrows), there are also some associated linear
parenchymal opacities (arrowheads), (b) Axial CT scan of the same
patient shows circumferential pleural thickening (arrows)
CT scans obtained with soft-tissue window settings show
calcified anterior and paravertebral plaques (arrows)
b) Lung :
1-Interstitial fibrosis (asbestosis)
2-Rounded atelectasis with comet tail sign of
vessel leading to atelectatic lung
3-Fibrous masses
c) Malignancy :
1-Malignant mesothelioma
2-Bronchogenic carcinoma
3-Carcinoma of the larynx
4-GI malignancies
Round atelectasis, (a) PA radiograph shows an opacity in the right
middle zone (arrows), (b) Axial CT scan of the same patient shows
a peripheral mass that abuts thickened pleura, with comet tail
distortion of the vascular structures (arrows)
Axial CT scan shows an ovoid mass, pleural thickening, and linear
comet tail of rounded atelectasis
PA radiograph shows left-sided lobulated thickening (arrowheads) and
pleural effusion (arrow), findings characteristic of malignant
mesothelioma
Axial CT scan of a patient with a right-sided mesothelioma shows a
benign pleural plaque (arrow) engulfed by tumor tissue
Axial CT scan shows a right-sided mesothelioma with extension along
the major fissure (arrow) and chest wall invasion (arrowhead)
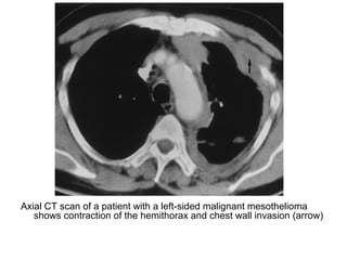
Axial CT scan of a patient with a left-sided malignant mesothelioma
shows contraction of the hemithorax and chest wall invasion (arrow)
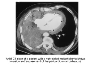
Axial CT scan of a patient with a right-sided mesothelioma shows
invasion and encasement of the pericardium (arrowheads)
Axial CT scan shows a left-sided mesothelioma with mediastinal encasement
and lymphadenopathy (arrowheads)
Axial CT scan shows a large left lower lobe carcinoma in a
patient with asbestos-related plaques (arrows)
**N.B. : Fibrotic changes
D.D. of lower lobe fibrotic changes :
1-Idiopathic pulmonary fibrosis
2-End-stage asbestosis
3-NSIP (nonspecific interstitial pneumonia)
D.D. of upper lobe fibrotic changes :
Although IPF is the most common cause of pulmonary
fibrosis, fibrosis is primarily affecting the upper lobe
should raise concern for an alternative diagnosis, such
as :
1-End-stage sarcoidosis
2-Chronic hypersensitivity pneumonitis
3-End-stage silicosis
3-Interstitial Pulmonary Edema :
-Only in early stages
-Late shows ground glass opacities
Increased hydrostatic pressure edema in a 33-year-old man with acute myelocytic
leukemia who was admitted for fluid overload with renal and cardiac failure,
successive chest radiographs demonstrate progressive lobar vessel enlargement,
peribronchial cuffing (arrows in b), bilateral Kerley lines (arrowheads in c), and late
alveolar edema with nodular areas of increased opacity, the fluid overload is
confirmed by the increasing size of the azygos vein
4-Drug Induced Interstitial Disease :
-Radiographic Features : as before
5-Collagen Vascular Disease :
-The two thoracic manifestations with the greatest
clinical importance in patients with collagen
vascular diseases are :
1-Interstitial Lung Disease
2-Pulmonary Arterial Hypertension
1-Patterns of Interstitial Lung Disease :
1-Usual interstitial pneumonia (UIP)
2-Nonspecific interstitial pneumonia (NSIP)
3-Cryptogenic organizing pneumonia (COP)
4-Diffuse alveolar damage (DAD)
5-Lymphocytic interstitial pneumonia (LIP)
6-Apical fibrosis
2-Pulmonary Arterial Hypertension :
a) Definition
b) Incidence
c) Radiographic Features
a) Definition :
-Pulmonary arterial hypertension is defined
by a mean resting pulmonary artery
pressure of ≥25 mm Hg and a pulmonary
capillary wedge pressure of ≤15 mm Hg
b) Incidence :
-Patients with collagen vascular diseases are
considered to have a higher risk for pulmonary
arterial hypertension which may occur in
isolation or in combination with interstitial lung
disease
-Pulmonary arterial hypertension is more common
in patients with progressive systemic sclerosis
and mixed connective tissue disease, it is less
common in systemic lupus erythematosus and
even rarer in patients with rheumatoid arthritis,
polymyositis or dermatomyositis or Sjögren
syndrome
c) Radiographic Features :
-Increased diameter of the pulmonary arterial trunk
(>2.9 cm), the main pulmonary arteries and their
segments and in more advanced cases , the
right heart chambers and azygos-hemiazygos
venous system
-Contrast material reflux into the inferior vena cava
and hepatic veins , a result of elevated right
heart pressures also may be seen
-Associated pericardial effusion is a common
finding that portends a poor prognosis
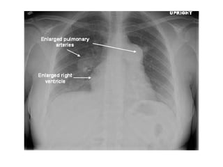
(a) Frontal chest radiograph shows a prominent main pulmonary artery (arrow) , dilated
right interlobar artery (arrowhead) and pruning of peripheral pulmonary vascularity ,
(b) Lateral chest radiograph shows filling of the retrosternal airspace (arrow) a result
of right ventricular dilatation , the right ventricle is in contact with more than one-third
of the distance from the sternodiaphragmatic angle (black arrowhead) to the point
where the trachea meets the sternum (white arrowhead)
Yellow arrow shows enlarged right main pulmonary artery ,
red arrow shows the enlarged left pulmonary artery
-Vascular signs of
pulmonary hypertension
-Axial multidetector CT
angiogram shows
dilatation (29 mm or
more) of the main
pulmonary artery
-The ratio of the main
pulmonary arterial
diameter to that of the
ascending aorta is also
greater than or equal to 1,
another useful sign of
pulmonary hypertension
-(A) Markedly enlarged
pulmonary arteries with
tiny branching smaller
vessels
-(B) Enlarged right ventricle
and the smaller left
ventricle , the septum is
pushed towards the left
ventricle due to very high
pressure inside the right
ventricle
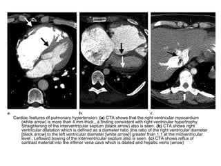
Cardiac features of pulmonary hypertension. (a) CTA shows that the right ventricular myocardium
(white arrow) is more than 4 mm thick , a finding consistent with right ventricular hypertrophy.
Straightening of the interventricular septum (black arrow) also is seen. (b) CTA shows right
ventricular dilatation which is defined as a diameter ratio (the ratio of the right ventricular diameter
[black arrow] to the left ventricular diameter [white arrow]) greater than 1:1 at the midventricular
level , Leftward bowing of the interventricular septum also is seen. (c) CTA shows reflux of
contrast material into the inferior vena cava which is dilated and hepatic veins (arrow)
6-Radiation Induced Interstitial Lung
Disease :
-Radiation induced pulmonary fibrosis
-Radiographic Features : as before
7-With Adenopathy (Sarcoidosis or
Lymphangitis Carcinomatosis) :
a) Sarcoidosis :
1-Incidence
2-Classification
3-Radiographic Features
1-Incidence :
-Pulmonary manifestations are present in
approximately 90% of patients
-Pulmonary sarcoidosis most commonly
affects patients between 20 and 40 years
of age although it is seen essentially at
any age
-There is a slight female predominance
2-Classification :
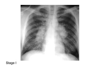
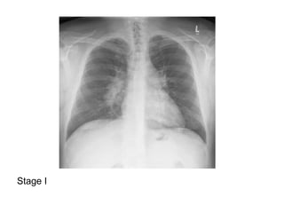
-May be classified on a chest radiograph into 5
stages :
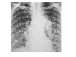
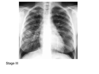
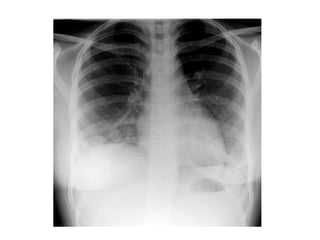
Stage 0 : normal chest radiograph
Stage I : hilar or mediastinal nodal enlargement
only
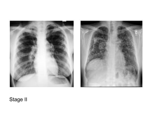
Stage II : nodal enlargement and parenchymal
disease
Stage III : parenchymal disease only
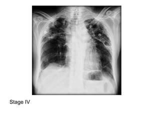
Stage IV : end-stage lung (pulmonary fibrosis)
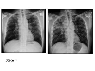
Stage I
Stage II
Stage III
Stage IV
3-Radiographic Features :
1-Lymph Node Enlargement
2-Reticulonodular Opacities
3-Air Space Like Opacities (Alveolar
Sarcoidosis)
4-Peripheral Cavitation , atelectasis &
effusion
5-End Stage Fibrosis
1-Lymph Node Enlargement :
-The most common manifestation is bilateral
hilar and mediastinal nodal enlargement
-Classically the distribution is of bilateral
hilar and right paratracheal nodal
enlargement which is known as the 1-2-3
sign or Garland triad
- calcification of intrathoracic nodes is seen
in 20% of cases after 10 years
2-Reticulonodular Opacities :
-Most common : 75-90% of stage II and III
cases
-Middle and upper zone distribution
-Bilateral and symmetric
-Nodularity may be prominent and appear
as miliary opacities
Nodular peribronchovascular interstitial thickening in a patient with
sarcoidosis , numerous small nodules surround central bronchi and
vessels
3-Air Space Like Opacities (Alveolar
Sarcoidosis) :
-Simulating acute inflammatory disease
4-Peripheral Cavitation , Atelectasis & Effusion:
-Rare
5-End Stage Fibrosis :
-Permanent coarse linear opacities
-Typically radiating laterally from the hilum into the
adjacent upper and middle zones
Stage I
Stage II
1-Lymphadenopathy and ground glass appearance of the lungs, 2-
Lymphadenopathy, 1-2-3 sign, 3-Bulky lymphadenopathy, 4-1-2-3
sign, 5-Nodular lung pattern , no lymphadenopathy, 6-Hilar and
paratracheal lymphadenopathy
b) Lymphangitis Carcinomatosis :
1-Incidence
2-Radiographic Features
1-Incidence :
-Is the term given to tumor spread through the
lymphatics of the lung and is most commonly
seen secondary to adenocarcinoma such as :
1-Breast cancer , most common
2-Lung cancer (bronchogenic adenocarcinoma)
3-Colon cancer
4-Stomach cancer
5-Prostate cancer
6-Cervical cancer
7-Thyroid cancer
2-Radiographic Features :
-Typically the appearance is that
of interlobular septal thickening most
often nodular and irregular although
smooth thickening may also sometimes be
seen
-Mediastinal and/or hilar lymphadenopathy
-Peribronchovascular thickening
-Pleural effusions
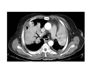
A central bronchogenic carcinoma (blue arrow) is producing unilateral interstitial edema
(blue circles) characteristic of lymphangitic carcinomatosis with a pleural effusion
(red arrow) , thickening and irregularity of the bronchovascular bundles (yellow
arrow) and thickening of the interlobular septa (light blue arrow)
b) Ground Glass Pattern :
1-Definition
2-Description
3-Etiology
1-Definition :
-Air space filling disease
-A hazy area of increased attenuation in the lung with
preserved bronchial and vascular markings
-Filling of the alveolar spaces with pus , edema ,
hemorrhage , inflammation or tumor cells
-Ground glass in itself is very unspecific , may be
diagnostic in ;
a) AIDS + ground glass = Pneumocystitis cranii pneumonia
b) Lung transplant + ground glass = CMV pneumonia or
rejection
2-Description :
-Three presentations :
a) Ground glass density
b) Nodules (few mm-1 cm)
c) Confluent opacities ,frank consolidation
with air bronchogram
3-Etiology :
a) Pneumonia
b) Pulmonary Edema
c) Pulmonary Hemorrhage
d) Bronchoalveolar Carcinoma
e) Alveolar Proteinosis
a) Pneumonia :
-Peripherally located lesion
-See (Pulmonary Infections & Idiopathic
Interstitial Pneumonia)
b) Pulmonary Edema :
-See pulmonary edema
Bat wing edema in a 71-year-old woman with fluid overload and cardiac
failure, chest radiograph (a) and high-resolution CT
scan (b) demonstrate bat wing alveolar edema with a central
distribution and sparing of the lung cortex, the infiltrates resolved
within 32 hours
c) Pulmonary Hemorrhage :
1-Incidence
2-Radiographic Features
1-Incidence :
-Diagnosed when there are :
1-Hemoptysis
2-Anaemia
3-Air space opacities on imaging
-Divided into :
1-Diffuse pulmonary hemorrhage
2-Localized pulmonary hemorrhage
Localized Diffuse
2-Radiographic Features :
-Appears rapidly and clear within few days
-Spare the lung apex & peripheral zones
-Looks like pulmonary edema but heart is
normal and no pleural effusion
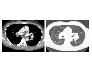
d) Bronchoalveolar Carcinoma (BAC) :
1-Incidence
2-Clinical Picture
3-Radiographic Findings
1-Incidence :
-Sub-group of adenocarcinomas of the lung
accounting for 2-9% of primary lung
lesions
-A disease presenting in the 6th and 7th
decades with a 3:2 male predominance
2-Clinical Picture :
-Nearly half of patients with BAC are asymptomatic
at presentation with cough , chest pain and
weight loss most common among those with
symptoms
-If the tumor is mucin secreting , a productive
cough with abundant mucoid expectoration can
be seen
-This classic finding of (marked) bronchorrhea is
an uncommon and late finding
3-Radiographic Findings : 3 Patterns
a) Solitary Nodule
b) Consolidated Form
c) Diffuse or Multicentric Form
a) Solitary Nodule :
-Usually a well-circumscribed focal mass
located in the periphery of the lung with
spiculated borders
-A pleural tag or "tail sign" is common and
describes linear strands extending from
nodule to pleura
Solitary peripheral nodule with pleural tags
Solitary peripheral nodule with bubblelike lucencies
b) Consolidated Form :
-May be segmental or involve an entire lobe
-The combination of growth along the air spaces
with the production of mucin may cause the
features of airspace consolidation with air-
bronchograms
-If a large amount of mucin is present it may cause
consolidation of low attenuation and following
the administration of I.V. , the vessels will be
seen within the consolidation , this is referred to
as the CT angiogram sign and is suggestive of
BAC
-A characteristic finding of BAC is the
presence of bubble like lucencies or
pseudocavitation which corresponds to
patent small bronchi or air-containing
cystic spaces in papillary tumors
Isolated lobar consolidation with bulging of major fissure
and cystic air spaces
Isolated lobar consolidation with the angiogram sign
c) Diffuse or Multicentric Form :
-Widespread disease in multiple lobes of
both lungs
*N.B. :
-Classic radiographic findings in BAC
include a solitary spiculated mass with
air bronchograms
-Airspace consolidation and a diffuse
multicentric presentation are also common
Multinodular pattern with foci of calcifications within one of
the nodules
Multinodular pattern with cavitation of some nodules
a) Solitary nodule , 2 cm ,
note the bubble like
lucencies inside the
nodule
b) Isolated lobar
consolidation , 15 months
later , note the angiogram
inside the consolidation
c) Contralateral
consolidation , 4 months
later after left lower
lobectomy
e) Alveolar Proteinosis :
1-Etiology
2-Radiographic Features
1-Etiology :
-Alveoli filled by proteineus material
a) Idiopathic (90%)
b) Occupational
c) Drug induced
d) Immune compromise
2-Radiographic Features :
a) Plain radiography :
-Non-specific
-batwing pulmonary opacities
b) HRCT :
-Crazy Paving :
A combination of ground glass opacity with
superimposed septal thickening
-The distribution is typically central with
sparing of the periphery
**N.B. : D.D. of crazy paving :
1-Alveolar proteinosis
2-Pneumocystitis Jiroveci pneumonia
3-Organizing pneumonia
4-BAC (mucinous subtype)
5-Lipid pneumonia
6-ARDS
7-Pulmonary hemorrhage
c) Nodular Pattern :
1-Definition
2-Description
3-Etiology
1-Definition :
-Multiple rounded opacities 1-10 mm (miliary
= 1-2 mm)
2-Description :
-In most cases small nodules can be placed
into one of three categories : (PCR)
a) Random distribution
b) Centrilobular distribution
c) Perilymphatic distribution
1-Random distribution , nodules are
randomly distributed relative to
structures of the lung and secondary
lobule , nodules can usually be seen to
involve the pleural surfaces and
fissures but lack the subpleural
predominance often seen in patients
with a perilymphatic distribution
2-Centrilobular distribution , unlike
perilymphatic and random nodules ,
centrilobular nodules spare the pleural
surfaces , the most peripheral nodules
are centered 5-10mm from fissures or
the pleural surface
3-Perilymphatic distribution , nodules
are seen in relation to pleural
surfaces , interlobular septa and the
peribronchovascular interstitium ,
nodules are almost always visible in a
subpleural location particularly in
relation to the fissures
3-Etiology :
a) Miliary T.B.
b) Fungal Infection
c) Miliary Mets
d) Pneumoconiosis
e) Wegner’s Granulomatosis
f) Pulmonary Alveolar Microlithiasis
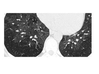
a) Miliary Pulmonary Tuberculosis :
-It represents hematogenous dissemination
of an uncontrolled tuberculous infection
-It is seen both in primary and post-primary
tuberculosis
-Miliary deposits appear as 1-3 mm
diameter nodules which are uniform in
size and uniformly distributed (no
calcification)
-Differential Diagnosis of multiple micronodules (0.5-2
mm) :
1-Miliary TB
2-Fungal Infection
3-Coal Miner’s Pneumoconiosis
4-Sarcoidosis
5-Hemosiderosis
6-Silicosis
7-Siderosis
8-Stannosis
9-Barytosis
b) Fungal Infection :
-Two broad categories :
a) Endemic human mycoses (prevalent
only in certain geographic areas) :
1-Histoplasmosis
2-Coccidioidomycosis
3-Blastomycosis
b) Opportunistic mycoses (worldwide in
distribution) occur primarily in
immunocompromised patients (aspergillosis and
cryptococcosis may also occur in
immunocompetent hosts)
1-Aspergillosis (invasive)
2-Candidiasis
3-Cryptococcosis
4-Mucormycosis
c) Miliary Mets :
1-Thyroid carcinoma
2-Renal cell carcinoma
3-Breast carcinoma
4-Malignant melanoma
5-Pancreatic neoplasms
6-Osteosarcoma
7-Trophoblastic disease
d) Pneumoconiosis :
1-Etiology
2-Radiographic Features
1-Etiology :
-Caused by inhalation of inorganic dust
particles that overwhelm the normal
clearance mechanism of the respiratory
tract :
1-Silica >>Silicosis
2-Coal workers' pneumoconiosis (CWP)
3-Asbestose >>Asbestosis
2-Radiographic Features :
a) Nodules
b) Progressive Massive Fibrosis
c) Other features : with asbestosis
Pleural thickening , plaques
Pleural calcification , diffuse
a) Nodules :
-Dense multiple nodules sparing the apex
and the base
-Calcification may occur
-Egg shell calcification of lymph nodes
-Hilar lymph nodes
b) Progressive Massive Fibrosis :
-Nodules enlarge and coalesce to form
masses >>progressive massive fibrosis
-Bilateral almost symmetrical , almost
always in the upper half of the lung
c) Other features : with asbestosis
Pleural thickening, plaques (See before)
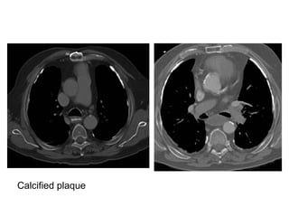
Calcified plaque
Calcified plaque
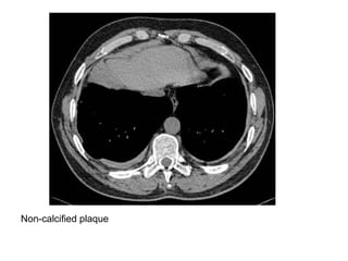
Non-calcified plaque
e) Wegner’s Granulomatosis :
1-Incidence
2-Radiographic Features
1-Incidence :
-Systemic granulomatous process with
destructive angiitis involving lung , upper
respiratory tract and kidney (necrotizing
glomerulonephritis) , Type IV immune
mechanism
2-Radiographic Features :
-Interstitial lung disease + multiple nodules
with cavitation (common)
f) Pulmonary Alveolar Microlithiasis :
1-Incidence
2-Radiographic Features
3-Differential Diagnosis
1-Incidence :
-Is a rare idiopathic condition characterised
by widespread intra alveolar deposition of
spherical calcium phosphate microliths
2-Radiographic Features :
-Typically demonstrates sand like
calcification distributed throughout the
lungs
-Distribution is bilateral with middle to lower
zone predilection
-Black pleura sign (pleura appear as a
lucent line lying between the pulmonary
infiltrate & the adjacent ribs)
Nearly uniform
distribution of typical
fine, sandlike mottling
in the lungs
The tangential shadow
of the pleura is
displayed along the
lateral wall of the
chest as a dark lucent
strip (arrows)
Multiple calcific densities in both lungs with thickening and increased density
along the fissure and along the mediastinal margin , a black pleural line is
noted
3-Differential Diagnosis of multiple small (pin
point) micronodules :
1-Post lymphangiography
2-Silicosis
3-Stannosis (inhalation of tin oxide)
4-Barytosis (inhalation of barytes)
5-Limestone & marble workers
6-Alveolar microlithiasis
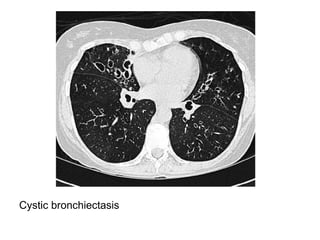
d) Cystic Pattern :
1-Definition
2-Description
3-Etiology
1-Definition :
-Defined as radiolucent areas with a wall
thickness of less than 4mm
2-Description :
-Multiple thin walled air containing lesions 1
cm or more (Not seen by x-rays except for
bronchiectasis)
3-Etiology :
a) Langerhan’s Cell Histiocytosis (LCH)
b) Lymphangioleiomyomatosis (LAM)
c) Tuberous Sclerosis (TS)
d) Emphysema
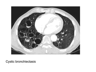
e) Cystic Bronchiectasis
f) Lymphocytic Interstitial Pneumonia (LIP)
a) Langerhan’s Cell Histiocytosis :
1-Incidence
2-Types
3-Radiographic Features
4-Differential Diagnosis
1-Incidence :
-Is a rare multi-system disease with a wide
and heterogeneous clinical spectrum and
variable extent of involvement
-The disease is more common in the
pediatric population with a peak incidence
between 1 and 3 years of age
2-Types :
-Langerhan’s cell histiocytosis consists of three
clinical syndromes :
a) Letterer-Siwe disease :
-Acute disseminated form
b) Hand-Schuller-Christian disease (HSC) :
-Chronic disseminated form
c) Eosinophilic Granuloma (EG) :
-Solitary bone lesion + small cystic spaces in lung
parenchyma
3-Radiographic Features : EG
-Solitary bone lesion
-Small cystic spaces in lung parenchyma
(spares the lower lung zones)
-3 to 10 mm pulmonary nodules
-Apical reticulonodular pattern
-Pneumothorax , 30 %
4-Differential Diagnosis :
-From diffuse lung diseases with preserved lung
volumes :
1-LCH
2-LAM / Tuberous sclerosis complex
3-Cystic fibrosis
4-Sarcoidosis
5-Idiopathic pulmonary fibrosis with emphysema
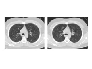
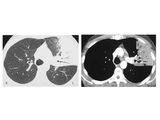
b) Lymphangioleiomyomatosis (LAM) :
1-Incidence
2-Radiographic Features
1-Incidence :
-It almost exclusively affects women of child
bearing age
2-Radiographic Features :
-Numerous cystic spaces , 90%
Size of cysts usually <5 to 10 mm
Thin walled
Surrounded by normal lung
-Recurrent pneumothorax , 70%
-Chylous pleural effusions , 25%
c) Tuberous Sclerosis (TS) :
-Pulmonary involvement of TS includes
Lymphangioleiomyomatosis (LAM) and
multifocal micronodular pneumocyte
hyperplasia (MMPH)
-AML of the kidney & liver may help in the
diagnosis
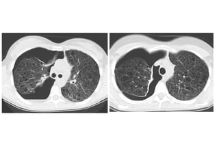
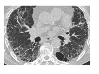
Pulmonary LAM in a 29-year-old woman, thin-section CT scan
demonstrates multiple lung cysts with well-defined thin walls, these
cysts are distributed randomly throughout the lung
Pulmonary LAM in a 37-year-old woman, thin-section CT image shows
bilateral numerous cysts associated with reticular opacities
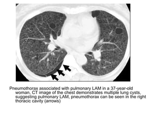
Pneumothorax associated with pulmonary LAM in a 37-year-old
woman, CT image of the chest demonstrates multiple lung cysts,
suggesting pulmonary LAM, pneumothorax can be seen in the right
thoracic cavity (arrows)
MMPH in a 19-year-old man, CT scan demonstrates multiple tiny
nodules (arrows), with random distribution in the lungs
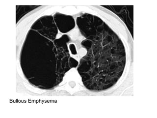
d) Emphysema :
-See Air way diseases
Centrilobular Emphysema
Panlobular Emphysema
Paraseptal Emphysema
Bullous Emphysema
e) Cystic Bronchiectasis :
-See Bronchiectasis
-More in the lower lobes
-Diseases causing cystic bronchiectasis :
1-Tracheobronchomegaly :
-The trachea is involved
2-Cystic Fibrosis :
-Upper lung predominance
-N.B. : Cystic bronchiectasis always seen with
tubular bronchiectasis
Cystic bronchiectasis
Cystic bronchiectasis
f) Lymphocytic Interstitial Pneumonia
(LIP) :
-See before
N.B. : Differential Diagnosis of
Pulmonary Cysts
a) Diffuse Lung Diseases
b) Congenital
c) Post-infective
d) Hydatid Cyst
e) Post-traumatic
f) Neoplastic
a) Diffuse lung diseases :
1-Langerhan’s Cell Histiocytosis
2-Lymphangioleiomyomatosis (LAM)
3-Tuberous Sclerosis (TS)
4-Emphysema
5-Cystic Bronchiectasis
6-Lymphocytic Interstitial Pneumonia (LIP)
b) Congenital : (See congenital pulmonary
lesions)
1-Congenital Pulmonary Adenomatoid
Malformation
2-Bronchogenic cyst
c) Post-infective :
-Cysts can appear during the first 2 weeks of the
pneumonia and may resolve over several
months
1-Staphylococcus aureus : a characteristic feature
of childhood staphylococcal pneumonia ,
developing in 40-60 % of cases
2-Streptococcus pneumonia
3-E.Coli
4-Klebsiella pneumonia
5-Haemophilus influenza
Post infectious pneumatocele, the initial chest x-ray shows
consolidation in the right lung, follow up chest done, when the
patient was asymptomatic, shows multiple thin walled lucencies in
the right lung
(a) Initial CXR shows a dense right upper lobe consolidation, (b) CXR a
week later shows a round cyst with thin walls in the right upper lobe
d) Hydatid Cyst :
-See Infection
e) Post-traumatic :
-Lung laceration, cyst measuring up to 5 cm
in diameter, resolution over time
Air meniscus in the superior aspect of the lesion as a result of the enlarging
cyst communicating with an adjacent bronchiole
Water Lilly
f) Neoplastic :
1-Following treatment of pulmonary metastases ,
bladder cancer and germ cell tumors , may be
visible only on CT
2-Hyalinazing Granulomas :
-Rare disorder of unknown etiology but possible
association with infection and autoimmunity
-Multiple ill-defined / well-defined nodules & cysts
3-Metastatic epithelioid sarcoma
e) Mosaic Pattern :
1-Definition
2-Description
3-Etiology
1-Definition :
-Used to describe density differences
between affected and non-affected lung
areas , there are patchy areas of black
and white lung
2-Description :
-Is the description given to the appearance
at CT where there is a patchwork of
regions of differing attenuation
-It is a non-specific finding
3-Etiology :
a) Obstructive Small Airway Disease
b) Occlusive Vascular Disease
c) Parenchymal Disease
a) Obstructive Small Airway Disease :
-Low attenuation regions are abnormal and
reflect decreased perfusion of the poorly
ventilated regions
-e.g. bronchiectasis ,cystic fibrosis &
constrictive bronchiolitis (See airway
disease)
b) Occlusive Vascular Disease :
-Can be termed a mosaic perfusion pattern
in this setting , low attenuation regions are
abnormal and reflect relative
oligaemia , e.g. chronic pulmonary
embolism (See pulmonary embolism)
c) Parenchymal Disease :
-High attenuation regions are abnormal and
represent ground-glass opacity
Mosaic pattern with pulmonary embolism
-Occluded contracted left
lower lobe pulmonary
artery (arrowhead) , there
is decrease in lung
attenuation of left lower
and right upper lobes and
more normally perfused
lung contributes to
mosaic pattern of lung
attenuation (arrows) ,
incidental note is made of
centrilobular emphysema
Diagnostic Imaging of Diffuse Lung Lesions

Diagnostic Imaging of Diffuse Lung Lesions

  • 1.
  • 2.
    Mohamed Zaitoun Assistant Lecturer-DiagnosticRadiology Department , Zagazig University Hospitals Egypt FINR (Fellowship of Interventional Neuroradiology)-Switzerland zaitoun82@gmail.com
  • 5.
    Knowing as muchas possible about your enemy precedes successful battle and learning about the disease process precedes successful management
  • 6.
    Diffuse Lung Lesions a)Reticular Interstitial Pattern b) Ground Glass Pattern c) Nodular Pattern d) Cystic Pattern e) Mosaic Pattern
  • 7.
    a) Reticular InterstitialPattern : 1-Definition 2-Description 3-Etiology
  • 8.
    1-Definition : -Linear shadows(multiple lines) appearing as mesh or net -It can either mean a plain film or HRCT/CT feature
  • 12.
    2-Description : -Interstitial lungdisease -Diffuse lung pathology showing multiple widespread reticular infiltrations + Peribronchial cuffing (bronchial wall thickening + perivascular wall thickening) + Septal lines (Kerley B) : short lines perpendicular to the pleura + Honey combing : multiple peripheral and subpleural cysts (mm-cm) , thick walls + Traction bronchiectasis
  • 13.
    -N.B. : Causes ofseptal (Kerley B) lines : a) Pulmonary Venous Engorgement : 1-LVF 2-MS 3-PVOD b) Lymphatic / Interstitial Infiltration : 1-Lymphangitis carcinomatosis 2-Pneumoconiosis 3-Sarcoidosis 4-Idiopathic bronchiectasis 5-Erdheim-Chester disease (ECD) 6-Diffuse pulmonary hemorrhage 7-Diffuse pulmonary lymphangiomyomatosis 8-Congenital lymphangiectasia 9-Alveolar proteinosis 10-Alveolar microlithiasis 11-Amyloidosis
  • 15.
  • 16.
  • 17.
    -Interstitial lung diseasesparing (e.g. apex , lower lobe , etc) : *Pneumonia is mainly peripheral with clear center *Fibrosis (no sparing) -Interstitial pulmonary edema (enlarged cardiac shadow mainly left ventricle) -Hilar lymph nodes + Interstitial lung disease, if : a) Symmetrical >>> Sarcoidosis b) Asymmetrical >>> Lymphangitis carcinomatosis
  • 18.
    3-Etiology : 1-Idiopathic InterstitialPneumonia 2-Interstitial Fibrosis (Asbestosis) 3-Interstitial pulmonary Edema 4-Drug Induced 5-Collagen Vascular Disease 6-Radiation Induced 7-With Adenopathy (Sarcoidosis or Lymphangitis Carcinomatosis)
  • 19.
    1-Idiopathic Interstitial Pneumonia(IIP) : a) Usual Interstitial Pneumonia (UIP) b) Non-specific Interstitial Pneumonia (NSIP) c) Cryptogenic Organizing Pneumonia (COP) d) Respiratory bronchiolitis-interstitial lung disease (RB-ILD) e) Desquamative Interstitial Pneumonia (DIP) f) Lymphocytic Interstitial Pneumonia (LIP) g) Acute Interstitial Pneumonia (AIP)
  • 20.
    a) Usual InterstitialPneumonia (UIP) : Honeycombing -Also known as Idiopathic pulmonary fibrosis (IPF) -Apicobasal gradient is even better seen on high-resolution CT images -Together with subpleural reticular opacities and macrocystic honeycombing combined with traction bronchiectasis, the apicobasal gradient represents a trio of signs that is highly suggestive of UIP -Therefore, UIP should be considered in patients who present with low lung volumes, subpleural reticular opacities, macrocystic honeycombing, and traction bronchiectasis, the extent of which increases from the apex to the bases of the lungs
  • 21.
    Distribution of UIP,the distribution is subpleural with an apicobasal gradient (red area in a), CT shows honeycombing (green areas in c), reticular opacities (blue areas in c), traction bronchiectasis (red area in c), and focal ground-glass opacity (gray area in c)
  • 22.
    Honey combing -Defined bythe presence of small cystic spaces with irregularly thickened walls composed of fibrous tissue -Honeycomb cysts often predominate in the peripheral and subpleural lung regions regardless of their cause -Subpleural honeycomb cysts typically occur in several contiguous layers, this finding can allow honeycombing to be distinguished from paraseptal emphysema in which subpleural cysts usually occur in a single layer
  • 23.
    Honeycombing & tractionbronchiectasis in UIP
  • 26.
    Honeycombing comprises reticulardensities caused by the thick walls of the cysts. Whenever you see a chest film with long standing reticulation with a lower lobe and peripheral preference
  • 27.
    A, Unenhanced axialhigh-resolution CT through left mid (A) and lower (B) lung show peripheral honeycombing, which is greatest in lower lobe, accompanied by traction bronchiectasis and scattered peripheral reticular opacities. Honeycombing is most prominent feature in this patient, typical for idiopathic pulmonary fibrosis
  • 28.
    b) Non-specific InterstitialPneumonia (NSIP) : Subpleural Ground-glass -NSIP is less common than UIP -In non-smokers -High-resolution CT typically reveals a subpleural and rather symmetric distribution of lung abnormalities -The most common manifestation consists of patchy ground-glass opacities combined with irregular linear or reticular opacities and scattered micronodules -In advanced disease, traction bronchiectasis and consolidation can be seen; however, ground-glass opacities remain the most obvious high-resolution CT feature in the typical patient with NSIP
  • 29.
    Distribution of NSIP,the distribution is subpleural with no obvious gradient (red area in a), CT shows ground-glass opacity (gray areas in c), irregular linear and reticular opacities (blue areas in c), micronodules (red areas in c), and microcystic honeycombing (green areas in c)
  • 30.
    NSIP in a60-year-old woman with mild dyspnea and fatigue, high- resolution CT image of the lower lungs shows bilateral subpleural ground-glass opacities (arrowhead) and irregular linear opacities (arrow)
  • 31.
    NSIP in a53-year-old man with mild dyspnea, coronal CT image shows diffuse lung involvement consisting of peripherally located irregular linear opacities with ground-glass opacities (arrows), small cystic lesions are seen (arrowhead)
  • 32.
    48-year-old woman withscleroderma, cough, and dyspnea and biopsy-proven nonspecific interstitial pneumonia, high-resolution CT through lower lungs shows scattered ground-glass opacities that are relatively symmetric in distribution, accompanied by bronchiectasis, honeycombing is absent, note dilated esophagus, finding associated with scleroderma
  • 33.
    (a) UIP ischaracterized by heterogeneous lung abnormalities consisting of subpleural honeycombing (arrowhead), reticular opacities, and traction bronchiectasis, (b) NSIP demonstrates homogeneous lung involvement with predominance of ground-glass opacity combined with sub-pleural linear opacities and micronodules. The microcysts in NSIP (arrowhead) are much smaller than the honeycombing in UIP
  • 34.
    c) Cryptogenic OrganizingPneumonia (COP) : Ground- glass (peribronchial, peripheral not subpleural) & Consolidation -The lung abnormalities show a characteristic peripheral or peribronchial distribution, and the lower lung lobes are more frequently involved -In some cases, the outermost subpleural area is spared -Typically, the appearance of the lung opacities varies from ground glass to consolidation; in the latter, air bronchograms and mild cylindrical bronchial dilatation are a common finding -In the appropriate clinical context, that is, consolidation that increases over several weeks despite antibiotics, the CT features of COP are often suggestive
  • 35.
    Distribution of COP,the distribution is peripheral or peribronchial with a basal predominance (red areas in a), CT shows consolidation with air bronchograms (dark gray areas in c), ground-glass opacities (light gray areas in c), linear opacities (blue areas in c), and mild bronchial dilatation (red areas in c)
  • 36.
    COP in a54-year-old woman, coronal CT image shows extensive bilateral peribronchial consolidation and ground-glass opacities (arrows). An endotracheal tube is present (arrowhead), indicating the need for mechanical ventilation
  • 37.
    COP in a69-year-old man, high-resolution CT image shows peripherally located consolidation with air bronchograms and sparing of the subpleural space (arrow)
  • 38.
    d) Respiratory Bronchiolitis-InterstitialLung Disease (RB-ILD) : Centrilobular nodules + ground-glass -RB-ILD is a smoking-related interstitial lung disease and is thought to represent an exaggerated and symptomatic form of the histologically common and incidental finding of respiratory bronchiolitis -Because of the significant overlap in clinical, imaging, and histologic features between RB-ILD and DIP, these entities are considered a pathomorphologic continuum, representing different degrees of severity of the same disease process -The key high-resolution CT features of RB-ILD are centrilobular nodules in combination with ground-glass opacities and bronchial wall thickening
  • 39.
    Distribution of RB-ILD,RB-ILD has an upper lung predominance (red area in a), CT shows ground-glass opacity (gray area in c) and centrilobular nodules (red areas in c)
  • 40.
    RB-ILD in a44-year-old woman with a 20 pack-year smoking history, high- resolution CT image of the upper lung lobes shows centrilobular nodules (white arrows) and patchy ground-glass opacities (black arrow), mild coexisting centrilobular emphysema is seen (arrowhead)
  • 41.
    50-year-old man withlong-standing history of heavy cigarette smoking, dyspnea, cough, and smoking-related interstitial lung disease, proven at biopsy, unenhanced axial CT image through mid to lower lungs shows diffuse centrilobular ground-glass nodules bilaterally
  • 42.
    e) Desquamative InterstitialPneumonia (DIP) : Diffuse ground-glass -DIP is strongly associated with cigarette smoking and is considered to represent the end of a spectrum of RB-ILD -At high-resolution CT, DIP is characterized by diffuse ground-glass opacities -Usually, there is a peripheral and lower lung lobe predominance -Other frequent CT findings include spatially limited irregular linear opacities and small cystic spaces, which are indicative of fibrotic changes -Despite differences in the CT appearance of RB-ILD and DIP, imaging findings may overlap and may be indistinguishable from each other, to improve diagnostic accuracy, lung biopsy is required in all cases of suspected RB-ILD or DIP
  • 43.
    Distribution of DIP,DIP has a peripheral predominance (red areas in a), CT shows ground-glass opacity (gray area in c), irregular linear opacities (blue areas in c), and cysts (green areas in c)
  • 44.
    DIP in a55-year-old man, high-resolution CT image of the lower lung lobes shows extensive bilateral ground-glass opacities (arrowhead), coexisting moderate bronchial wall thickening is present (arrow)
  • 45.
    DIP in a43-year-old man with a history of smoking, high-resolution CT image of the lower lung zones shows patchy ground-glass opacities in both lungs, predominantly in the subpleural region (arrowheads), small cystic spaces are present in these areas (arrow)
  • 46.
    49-year-old woman withpersistent and progressive cough, dyspnea, and hypoxemia, prompting biopsy of her lungs, which revealed chronic desquamative interstitial pneumonia (DIP) related to extensive cigarette smoking history, CT images through mid and lower lungs show patchy ground-glass opacities in all lobes of both lungs with peripheral predilection accompanied by lower lobe bronchial wall thickening, note small cysts scattered mostly in right lung in regions of ground-glass attenuation, finding that can occur in DIP
  • 47.
    f) Lymphocytic InterstitialPneumonia (LIP) : Female + Sjogren syndrome + ground-glass + perivascular cysts -As an idiopathic disease, LIP is exceedingly rare -It is far more common as a secondary disease in association with systemic disorders, most notably Sjögren syndrome, human immunodeficiency virus infection, and variable immunodeficiency syndromes -More common in women than in men -The dominant high-resolution CT feature in patients with LIP is ground-glass attenuation -Another frequent finding is thin-walled perivascular cysts, in contrast to the subpleural, lower lung cystic changes in UIP, the cysts of LIP are usually within the lung parenchyma throughout the mid lung zones and presumably result from air trapping due to peribronchiolar cellular infiltration -In combination with ground-glass opacities, these cysts are highly suggestive of LIP
  • 48.
    Distribution of LIP,the distribution is diffuse (red area in a), CT shows ground-glass opacity (gray area in c) and perivascular cysts (green areas in c)
  • 49.
    LIP in a47-year-old woman, high-resolution CT image shows diffuse ground-glass opacity (arrow) with multiple perivascular cysts (arrowheads) and reticular abnormalities (*)
  • 50.
    58-year-old woman withSj??gren syndrome, persistent dyspnea, and biopsy-proven lymphoid interstitial pneumonia, unenhanced axial CT image through mid lungs reveals centrilobular ground-glass nodule
  • 51.
    73-year-old woman withSjogren syndrome symptoms, including dyspnea and arthralgias, and biopsy-proven lymphoid interstitial pneumonia (LIP), contrast-enhanced coronal reformatted image through lungs shows numerous thin-walled cysts mostly located adjacent to blood vessels, these perivascular cysts are identified in most patients with LIP
  • 52.
    71-year-old woman withSjogren syndrome, chest pain, cough, dyspnea, and biopsy-proven lymphoid interstitial pneumonia (LIP)., contrast-enhanced axial CT image shows both perivascular cysts and lower lobe ground-glass opacities, combination of findings that strongly supports diagnosis of LIP
  • 53.
    g) Acute InterstitialPneumonia (AIP) : Acute onset + early (ground-glass), late (fibrosis) -AIP is the only entity among the IIPs with acute onset of symptoms, in most cases of AIP, the clinical and imaging criteria for acute respiratory distress syndrome are fulfilled -High-resolution CT features of AIP are similar to those of acute respiratory distress syndrome; however, patients with AIP are more likely to have a symmetric, bilateral distribution with a lower lobe predominance -The costophrenic angles are often spared -In the early phase of AIP (Exudative phase), ground-glass opacities are the dominant CT pattern -In the late phase of AIP (Fibrotic phase), architectural distortion, traction bronchiectasis, and honeycombing are the most striking CT features and are more severe in the nondependent areas of the lung
  • 54.
    Distribution of AIP,AIP has a basal predominance (red area in a), CT shows airspace consolidation (dark gray areas in c), ground-glass opacities (light gray areas in c), and bronchial dilatation (red areas in c)
  • 55.
    Exudative phase ofAIP in a 22-year-old man, high-resolution CT image shows bilateral ground-glass opacities (arrowheads) and consolidation (arrow) in the dependent areas of the lungs, the anterior zones of the lungs are relatively spared
  • 56.
    Fibrotic phase ofAIP in a 53-year-old woman who survived the acute phase of the disease, CT image shows fibrotic changes with traction bronchiectasis and architectural distortion predominantly in the nondependent areas of the lungs (arrow), a coexisting right pleural effusion is seen (arrowhead)
  • 57.
    2-Interstitial Fibrosis (Asbestosis): -Asbestosis refers exclusively to asbestos-related interstitial pulmonary fibrosis -The changes of asbestosis are more pronounced in the lower lobes and subpleurally but often extend to involve the middle lobe and lingula, upper lobes can be involved in advanced cases -Honeycombing, as in other fibrotic lung diseases, can occur in advanced disease -Features on chest radiographs include ground-glass opacification, small nodular opacities, “shaggy” cardiac silhouette, and ill-defined diaphragmatic contours, it has been reported that 80% of patients with asbestosis have coexistent pleural disease at chest radiography, fibrous bands are sometimes seen to radiate inward from the pleura
  • 58.
    (a) PA radiographof a patient with asbestosis shows “shaggy” mediastinal and diaphragmatic contours, (b) Localized view of the lung bases of the same patient further illustrates the diffuse interstitial opacification
  • 59.
    PA radiograph showsdiffuse fine nodular and reticular opacification with irregularity of mediastinal and diaphragmatic contours, the costophrenic angles are blunted because of pleural thickening
  • 60.
    PA radiograph ofan asbestos-exposed person shows parenchymal bands radiating in from the pleura in both mid zones (arrows), diffuse pleural thickening is predominantly left-sided
  • 61.
    -HRCT : *An earlyfeature is a subpleural curvilinear opacity, this finding represents peribronchiolar fibrosis *Parenchymal band-shaped opacities project in from the pleura and represent fibrosis along bronchovascular sheaths or interlobular septa *Other features that have been reported include ground- glass opacification (due to mild alveolar wall fibrosis beyond the resolving power of CT, subpleural nodular or dotlike opacities, thickening of interlobular septa, and honeycombing
  • 62.
    Axial high-resolution CTscan shows a subpleural curvilinear opacity (arrows) thought to represent peribronchiolar fibrosis
  • 63.
    High-resolution CT scanobtained with the patient in a prone position shows early subpleural curvilinear opacity (arrows)
  • 64.
    HRCT scan showsbilateral parenchymal bands (arrows)
  • 65.
    HRCT scan showssubpleural areas of ground-glass attenuation (arrows)
  • 66.
    HRCT scan showssubpleural nodular and dotlike opacities (solid wide arrows) that coalesce to form subpleural curvilinear lines (open arrows), there are also interlobular (solid thin arrows) and intralobular (arrowheads) interstitial lines
  • 67.
    HRCT scan showsinterlobular septal thickening (arrowheads)
  • 68.
    HRCT scan depictssubpleural honeycombing (open arrows), interlobular septal thickening (solid arrows), and subpleural nodular opacities (arrowheads)
  • 69.
    HRCT scan showssubpleural honeycombing
  • 70.
    -N.B. : Asbestos exposurecauses a variety of manifestations : a) Pleura : 1-Pleural plaques (hyalinized collagen) 2-Diffuse thickening 3-Benign pleural effusion (most common manifestation) 4-Pleural calcification
  • 71.
    PA radiograph showsextensive calcified pleural plaques (arrows) that affect the chest wall, diaphragm, and pericardium, the costophrenic angles and apices are spared
  • 72.
    PA radiograph ofan asbestos-exposed patient shows a right-sided pleural effusion (arrows)
  • 73.
    (a) Axial CTscan of an asbestos-exposed person shows a left-sided pleural effusion (arrow), (b) Axial CT scan obtained 2 years later shows circumferential pleural thickening that extends into the major fissure (straight arrow) and contains flecks of calcification (curved arrow)
  • 74.
    (a) PA radiographshows pleural thickening with obliteration of the left costophrenic angle (arrows), there are also some associated linear parenchymal opacities (arrowheads), (b) Axial CT scan of the same patient shows circumferential pleural thickening (arrows)
  • 75.
    CT scans obtainedwith soft-tissue window settings show calcified anterior and paravertebral plaques (arrows)
  • 76.
    b) Lung : 1-Interstitialfibrosis (asbestosis) 2-Rounded atelectasis with comet tail sign of vessel leading to atelectatic lung 3-Fibrous masses c) Malignancy : 1-Malignant mesothelioma 2-Bronchogenic carcinoma 3-Carcinoma of the larynx 4-GI malignancies
  • 77.
    Round atelectasis, (a)PA radiograph shows an opacity in the right middle zone (arrows), (b) Axial CT scan of the same patient shows a peripheral mass that abuts thickened pleura, with comet tail distortion of the vascular structures (arrows)
  • 78.
    Axial CT scanshows an ovoid mass, pleural thickening, and linear comet tail of rounded atelectasis
  • 79.
    PA radiograph showsleft-sided lobulated thickening (arrowheads) and pleural effusion (arrow), findings characteristic of malignant mesothelioma
  • 80.
    Axial CT scanof a patient with a right-sided mesothelioma shows a benign pleural plaque (arrow) engulfed by tumor tissue
  • 81.
    Axial CT scanshows a right-sided mesothelioma with extension along the major fissure (arrow) and chest wall invasion (arrowhead)
  • 82.
    Axial CT scanof a patient with a left-sided malignant mesothelioma shows contraction of the hemithorax and chest wall invasion (arrow)
  • 83.
    Axial CT scanof a patient with a right-sided mesothelioma shows invasion and encasement of the pericardium (arrowheads)
  • 84.
    Axial CT scanshows a left-sided mesothelioma with mediastinal encasement and lymphadenopathy (arrowheads)
  • 85.
    Axial CT scanshows a large left lower lobe carcinoma in a patient with asbestos-related plaques (arrows)
  • 86.
    **N.B. : Fibroticchanges D.D. of lower lobe fibrotic changes : 1-Idiopathic pulmonary fibrosis 2-End-stage asbestosis 3-NSIP (nonspecific interstitial pneumonia) D.D. of upper lobe fibrotic changes : Although IPF is the most common cause of pulmonary fibrosis, fibrosis is primarily affecting the upper lobe should raise concern for an alternative diagnosis, such as : 1-End-stage sarcoidosis 2-Chronic hypersensitivity pneumonitis 3-End-stage silicosis
  • 87.
    3-Interstitial Pulmonary Edema: -Only in early stages -Late shows ground glass opacities
  • 88.
    Increased hydrostatic pressureedema in a 33-year-old man with acute myelocytic leukemia who was admitted for fluid overload with renal and cardiac failure, successive chest radiographs demonstrate progressive lobar vessel enlargement, peribronchial cuffing (arrows in b), bilateral Kerley lines (arrowheads in c), and late alveolar edema with nodular areas of increased opacity, the fluid overload is confirmed by the increasing size of the azygos vein
  • 89.
    4-Drug Induced InterstitialDisease : -Radiographic Features : as before 5-Collagen Vascular Disease : -The two thoracic manifestations with the greatest clinical importance in patients with collagen vascular diseases are : 1-Interstitial Lung Disease 2-Pulmonary Arterial Hypertension
  • 90.
    1-Patterns of InterstitialLung Disease : 1-Usual interstitial pneumonia (UIP) 2-Nonspecific interstitial pneumonia (NSIP) 3-Cryptogenic organizing pneumonia (COP) 4-Diffuse alveolar damage (DAD) 5-Lymphocytic interstitial pneumonia (LIP) 6-Apical fibrosis
  • 91.
    2-Pulmonary Arterial Hypertension: a) Definition b) Incidence c) Radiographic Features
  • 92.
    a) Definition : -Pulmonaryarterial hypertension is defined by a mean resting pulmonary artery pressure of ≥25 mm Hg and a pulmonary capillary wedge pressure of ≤15 mm Hg
  • 93.
    b) Incidence : -Patientswith collagen vascular diseases are considered to have a higher risk for pulmonary arterial hypertension which may occur in isolation or in combination with interstitial lung disease -Pulmonary arterial hypertension is more common in patients with progressive systemic sclerosis and mixed connective tissue disease, it is less common in systemic lupus erythematosus and even rarer in patients with rheumatoid arthritis, polymyositis or dermatomyositis or Sjögren syndrome
  • 94.
    c) Radiographic Features: -Increased diameter of the pulmonary arterial trunk (>2.9 cm), the main pulmonary arteries and their segments and in more advanced cases , the right heart chambers and azygos-hemiazygos venous system -Contrast material reflux into the inferior vena cava and hepatic veins , a result of elevated right heart pressures also may be seen -Associated pericardial effusion is a common finding that portends a poor prognosis
  • 95.
    (a) Frontal chestradiograph shows a prominent main pulmonary artery (arrow) , dilated right interlobar artery (arrowhead) and pruning of peripheral pulmonary vascularity , (b) Lateral chest radiograph shows filling of the retrosternal airspace (arrow) a result of right ventricular dilatation , the right ventricle is in contact with more than one-third of the distance from the sternodiaphragmatic angle (black arrowhead) to the point where the trachea meets the sternum (white arrowhead)
  • 96.
    Yellow arrow showsenlarged right main pulmonary artery , red arrow shows the enlarged left pulmonary artery
  • 98.
    -Vascular signs of pulmonaryhypertension -Axial multidetector CT angiogram shows dilatation (29 mm or more) of the main pulmonary artery -The ratio of the main pulmonary arterial diameter to that of the ascending aorta is also greater than or equal to 1, another useful sign of pulmonary hypertension
  • 99.
    -(A) Markedly enlarged pulmonaryarteries with tiny branching smaller vessels -(B) Enlarged right ventricle and the smaller left ventricle , the septum is pushed towards the left ventricle due to very high pressure inside the right ventricle
  • 101.
    Cardiac features ofpulmonary hypertension. (a) CTA shows that the right ventricular myocardium (white arrow) is more than 4 mm thick , a finding consistent with right ventricular hypertrophy. Straightening of the interventricular septum (black arrow) also is seen. (b) CTA shows right ventricular dilatation which is defined as a diameter ratio (the ratio of the right ventricular diameter [black arrow] to the left ventricular diameter [white arrow]) greater than 1:1 at the midventricular level , Leftward bowing of the interventricular septum also is seen. (c) CTA shows reflux of contrast material into the inferior vena cava which is dilated and hepatic veins (arrow)
  • 102.
    6-Radiation Induced InterstitialLung Disease : -Radiation induced pulmonary fibrosis -Radiographic Features : as before
  • 103.
    7-With Adenopathy (Sarcoidosisor Lymphangitis Carcinomatosis) : a) Sarcoidosis : 1-Incidence 2-Classification 3-Radiographic Features
  • 104.
    1-Incidence : -Pulmonary manifestationsare present in approximately 90% of patients -Pulmonary sarcoidosis most commonly affects patients between 20 and 40 years of age although it is seen essentially at any age -There is a slight female predominance
  • 105.
    2-Classification : -May beclassified on a chest radiograph into 5 stages : Stage 0 : normal chest radiograph Stage I : hilar or mediastinal nodal enlargement only Stage II : nodal enlargement and parenchymal disease Stage III : parenchymal disease only Stage IV : end-stage lung (pulmonary fibrosis)
  • 107.
  • 108.
  • 109.
  • 110.
  • 111.
    3-Radiographic Features : 1-LymphNode Enlargement 2-Reticulonodular Opacities 3-Air Space Like Opacities (Alveolar Sarcoidosis) 4-Peripheral Cavitation , atelectasis & effusion 5-End Stage Fibrosis
  • 112.
    1-Lymph Node Enlargement: -The most common manifestation is bilateral hilar and mediastinal nodal enlargement -Classically the distribution is of bilateral hilar and right paratracheal nodal enlargement which is known as the 1-2-3 sign or Garland triad - calcification of intrathoracic nodes is seen in 20% of cases after 10 years
  • 113.
    2-Reticulonodular Opacities : -Mostcommon : 75-90% of stage II and III cases -Middle and upper zone distribution -Bilateral and symmetric -Nodularity may be prominent and appear as miliary opacities
  • 114.
    Nodular peribronchovascular interstitialthickening in a patient with sarcoidosis , numerous small nodules surround central bronchi and vessels
  • 115.
    3-Air Space LikeOpacities (Alveolar Sarcoidosis) : -Simulating acute inflammatory disease 4-Peripheral Cavitation , Atelectasis & Effusion: -Rare 5-End Stage Fibrosis : -Permanent coarse linear opacities -Typically radiating laterally from the hilum into the adjacent upper and middle zones
  • 116.
  • 117.
  • 121.
    1-Lymphadenopathy and groundglass appearance of the lungs, 2- Lymphadenopathy, 1-2-3 sign, 3-Bulky lymphadenopathy, 4-1-2-3 sign, 5-Nodular lung pattern , no lymphadenopathy, 6-Hilar and paratracheal lymphadenopathy
  • 122.
    b) Lymphangitis Carcinomatosis: 1-Incidence 2-Radiographic Features
  • 123.
    1-Incidence : -Is theterm given to tumor spread through the lymphatics of the lung and is most commonly seen secondary to adenocarcinoma such as : 1-Breast cancer , most common 2-Lung cancer (bronchogenic adenocarcinoma) 3-Colon cancer 4-Stomach cancer 5-Prostate cancer 6-Cervical cancer 7-Thyroid cancer
  • 124.
    2-Radiographic Features : -Typicallythe appearance is that of interlobular septal thickening most often nodular and irregular although smooth thickening may also sometimes be seen -Mediastinal and/or hilar lymphadenopathy -Peribronchovascular thickening -Pleural effusions
  • 125.
    A central bronchogeniccarcinoma (blue arrow) is producing unilateral interstitial edema (blue circles) characteristic of lymphangitic carcinomatosis with a pleural effusion (red arrow) , thickening and irregularity of the bronchovascular bundles (yellow arrow) and thickening of the interlobular septa (light blue arrow)
  • 127.
    b) Ground GlassPattern : 1-Definition 2-Description 3-Etiology
  • 128.
    1-Definition : -Air spacefilling disease -A hazy area of increased attenuation in the lung with preserved bronchial and vascular markings -Filling of the alveolar spaces with pus , edema , hemorrhage , inflammation or tumor cells -Ground glass in itself is very unspecific , may be diagnostic in ; a) AIDS + ground glass = Pneumocystitis cranii pneumonia b) Lung transplant + ground glass = CMV pneumonia or rejection
  • 129.
    2-Description : -Three presentations: a) Ground glass density b) Nodules (few mm-1 cm) c) Confluent opacities ,frank consolidation with air bronchogram
  • 130.
    3-Etiology : a) Pneumonia b)Pulmonary Edema c) Pulmonary Hemorrhage d) Bronchoalveolar Carcinoma e) Alveolar Proteinosis
  • 131.
    a) Pneumonia : -Peripherallylocated lesion -See (Pulmonary Infections & Idiopathic Interstitial Pneumonia)
  • 135.
    b) Pulmonary Edema: -See pulmonary edema
  • 136.
    Bat wing edemain a 71-year-old woman with fluid overload and cardiac failure, chest radiograph (a) and high-resolution CT scan (b) demonstrate bat wing alveolar edema with a central distribution and sparing of the lung cortex, the infiltrates resolved within 32 hours
  • 137.
    c) Pulmonary Hemorrhage: 1-Incidence 2-Radiographic Features
  • 138.
    1-Incidence : -Diagnosed whenthere are : 1-Hemoptysis 2-Anaemia 3-Air space opacities on imaging -Divided into : 1-Diffuse pulmonary hemorrhage 2-Localized pulmonary hemorrhage
  • 139.
  • 140.
    2-Radiographic Features : -Appearsrapidly and clear within few days -Spare the lung apex & peripheral zones -Looks like pulmonary edema but heart is normal and no pleural effusion
  • 143.
    d) Bronchoalveolar Carcinoma(BAC) : 1-Incidence 2-Clinical Picture 3-Radiographic Findings
  • 144.
    1-Incidence : -Sub-group ofadenocarcinomas of the lung accounting for 2-9% of primary lung lesions -A disease presenting in the 6th and 7th decades with a 3:2 male predominance
  • 145.
    2-Clinical Picture : -Nearlyhalf of patients with BAC are asymptomatic at presentation with cough , chest pain and weight loss most common among those with symptoms -If the tumor is mucin secreting , a productive cough with abundant mucoid expectoration can be seen -This classic finding of (marked) bronchorrhea is an uncommon and late finding
  • 146.
    3-Radiographic Findings :3 Patterns a) Solitary Nodule b) Consolidated Form c) Diffuse or Multicentric Form
  • 147.
    a) Solitary Nodule: -Usually a well-circumscribed focal mass located in the periphery of the lung with spiculated borders -A pleural tag or "tail sign" is common and describes linear strands extending from nodule to pleura
  • 148.
    Solitary peripheral nodulewith pleural tags
  • 149.
    Solitary peripheral nodulewith bubblelike lucencies
  • 150.
    b) Consolidated Form: -May be segmental or involve an entire lobe -The combination of growth along the air spaces with the production of mucin may cause the features of airspace consolidation with air- bronchograms -If a large amount of mucin is present it may cause consolidation of low attenuation and following the administration of I.V. , the vessels will be seen within the consolidation , this is referred to as the CT angiogram sign and is suggestive of BAC
  • 151.
    -A characteristic findingof BAC is the presence of bubble like lucencies or pseudocavitation which corresponds to patent small bronchi or air-containing cystic spaces in papillary tumors
  • 152.
    Isolated lobar consolidationwith bulging of major fissure and cystic air spaces
  • 153.
    Isolated lobar consolidationwith the angiogram sign
  • 155.
    c) Diffuse orMulticentric Form : -Widespread disease in multiple lobes of both lungs *N.B. : -Classic radiographic findings in BAC include a solitary spiculated mass with air bronchograms -Airspace consolidation and a diffuse multicentric presentation are also common
  • 156.
    Multinodular pattern withfoci of calcifications within one of the nodules
  • 157.
    Multinodular pattern withcavitation of some nodules
  • 160.
    a) Solitary nodule, 2 cm , note the bubble like lucencies inside the nodule b) Isolated lobar consolidation , 15 months later , note the angiogram inside the consolidation c) Contralateral consolidation , 4 months later after left lower lobectomy
  • 161.
    e) Alveolar Proteinosis: 1-Etiology 2-Radiographic Features
  • 162.
    1-Etiology : -Alveoli filledby proteineus material a) Idiopathic (90%) b) Occupational c) Drug induced d) Immune compromise
  • 163.
    2-Radiographic Features : a)Plain radiography : -Non-specific -batwing pulmonary opacities b) HRCT : -Crazy Paving : A combination of ground glass opacity with superimposed septal thickening -The distribution is typically central with sparing of the periphery
  • 167.
    **N.B. : D.D.of crazy paving : 1-Alveolar proteinosis 2-Pneumocystitis Jiroveci pneumonia 3-Organizing pneumonia 4-BAC (mucinous subtype) 5-Lipid pneumonia 6-ARDS 7-Pulmonary hemorrhage
  • 168.
    c) Nodular Pattern: 1-Definition 2-Description 3-Etiology
  • 169.
    1-Definition : -Multiple roundedopacities 1-10 mm (miliary = 1-2 mm)
  • 170.
    2-Description : -In mostcases small nodules can be placed into one of three categories : (PCR) a) Random distribution b) Centrilobular distribution c) Perilymphatic distribution
  • 171.
    1-Random distribution ,nodules are randomly distributed relative to structures of the lung and secondary lobule , nodules can usually be seen to involve the pleural surfaces and fissures but lack the subpleural predominance often seen in patients with a perilymphatic distribution 2-Centrilobular distribution , unlike perilymphatic and random nodules , centrilobular nodules spare the pleural surfaces , the most peripheral nodules are centered 5-10mm from fissures or the pleural surface 3-Perilymphatic distribution , nodules are seen in relation to pleural surfaces , interlobular septa and the peribronchovascular interstitium , nodules are almost always visible in a subpleural location particularly in relation to the fissures
  • 173.
    3-Etiology : a) MiliaryT.B. b) Fungal Infection c) Miliary Mets d) Pneumoconiosis e) Wegner’s Granulomatosis f) Pulmonary Alveolar Microlithiasis
  • 174.
    a) Miliary PulmonaryTuberculosis : -It represents hematogenous dissemination of an uncontrolled tuberculous infection -It is seen both in primary and post-primary tuberculosis -Miliary deposits appear as 1-3 mm diameter nodules which are uniform in size and uniformly distributed (no calcification)
  • 175.
    -Differential Diagnosis ofmultiple micronodules (0.5-2 mm) : 1-Miliary TB 2-Fungal Infection 3-Coal Miner’s Pneumoconiosis 4-Sarcoidosis 5-Hemosiderosis 6-Silicosis 7-Siderosis 8-Stannosis 9-Barytosis
  • 180.
    b) Fungal Infection: -Two broad categories : a) Endemic human mycoses (prevalent only in certain geographic areas) : 1-Histoplasmosis 2-Coccidioidomycosis 3-Blastomycosis
  • 181.
    b) Opportunistic mycoses(worldwide in distribution) occur primarily in immunocompromised patients (aspergillosis and cryptococcosis may also occur in immunocompetent hosts) 1-Aspergillosis (invasive) 2-Candidiasis 3-Cryptococcosis 4-Mucormycosis
  • 182.
    c) Miliary Mets: 1-Thyroid carcinoma 2-Renal cell carcinoma 3-Breast carcinoma 4-Malignant melanoma 5-Pancreatic neoplasms 6-Osteosarcoma 7-Trophoblastic disease
  • 186.
  • 187.
    1-Etiology : -Caused byinhalation of inorganic dust particles that overwhelm the normal clearance mechanism of the respiratory tract : 1-Silica >>Silicosis 2-Coal workers' pneumoconiosis (CWP) 3-Asbestose >>Asbestosis
  • 188.
    2-Radiographic Features : a)Nodules b) Progressive Massive Fibrosis c) Other features : with asbestosis Pleural thickening , plaques Pleural calcification , diffuse
  • 189.
    a) Nodules : -Densemultiple nodules sparing the apex and the base -Calcification may occur -Egg shell calcification of lymph nodes -Hilar lymph nodes
  • 193.
    b) Progressive MassiveFibrosis : -Nodules enlarge and coalesce to form masses >>progressive massive fibrosis -Bilateral almost symmetrical , almost always in the upper half of the lung
  • 195.
    c) Other features: with asbestosis Pleural thickening, plaques (See before)
  • 196.
  • 197.
  • 198.
  • 199.
    e) Wegner’s Granulomatosis: 1-Incidence 2-Radiographic Features
  • 200.
    1-Incidence : -Systemic granulomatousprocess with destructive angiitis involving lung , upper respiratory tract and kidney (necrotizing glomerulonephritis) , Type IV immune mechanism
  • 201.
    2-Radiographic Features : -Interstitiallung disease + multiple nodules with cavitation (common)
  • 205.
    f) Pulmonary AlveolarMicrolithiasis : 1-Incidence 2-Radiographic Features 3-Differential Diagnosis
  • 206.
    1-Incidence : -Is arare idiopathic condition characterised by widespread intra alveolar deposition of spherical calcium phosphate microliths
  • 207.
    2-Radiographic Features : -Typicallydemonstrates sand like calcification distributed throughout the lungs -Distribution is bilateral with middle to lower zone predilection -Black pleura sign (pleura appear as a lucent line lying between the pulmonary infiltrate & the adjacent ribs)
  • 210.
    Nearly uniform distribution oftypical fine, sandlike mottling in the lungs The tangential shadow of the pleura is displayed along the lateral wall of the chest as a dark lucent strip (arrows)
  • 211.
    Multiple calcific densitiesin both lungs with thickening and increased density along the fissure and along the mediastinal margin , a black pleural line is noted
  • 212.
    3-Differential Diagnosis ofmultiple small (pin point) micronodules : 1-Post lymphangiography 2-Silicosis 3-Stannosis (inhalation of tin oxide) 4-Barytosis (inhalation of barytes) 5-Limestone & marble workers 6-Alveolar microlithiasis
  • 213.
    d) Cystic Pattern: 1-Definition 2-Description 3-Etiology
  • 214.
    1-Definition : -Defined asradiolucent areas with a wall thickness of less than 4mm 2-Description : -Multiple thin walled air containing lesions 1 cm or more (Not seen by x-rays except for bronchiectasis)
  • 215.
    3-Etiology : a) Langerhan’sCell Histiocytosis (LCH) b) Lymphangioleiomyomatosis (LAM) c) Tuberous Sclerosis (TS) d) Emphysema e) Cystic Bronchiectasis f) Lymphocytic Interstitial Pneumonia (LIP)
  • 216.
    a) Langerhan’s CellHistiocytosis : 1-Incidence 2-Types 3-Radiographic Features 4-Differential Diagnosis
  • 217.
    1-Incidence : -Is arare multi-system disease with a wide and heterogeneous clinical spectrum and variable extent of involvement -The disease is more common in the pediatric population with a peak incidence between 1 and 3 years of age
  • 218.
    2-Types : -Langerhan’s cellhistiocytosis consists of three clinical syndromes : a) Letterer-Siwe disease : -Acute disseminated form b) Hand-Schuller-Christian disease (HSC) : -Chronic disseminated form c) Eosinophilic Granuloma (EG) : -Solitary bone lesion + small cystic spaces in lung parenchyma
  • 219.
    3-Radiographic Features :EG -Solitary bone lesion -Small cystic spaces in lung parenchyma (spares the lower lung zones) -3 to 10 mm pulmonary nodules -Apical reticulonodular pattern -Pneumothorax , 30 %
  • 223.
    4-Differential Diagnosis : -Fromdiffuse lung diseases with preserved lung volumes : 1-LCH 2-LAM / Tuberous sclerosis complex 3-Cystic fibrosis 4-Sarcoidosis 5-Idiopathic pulmonary fibrosis with emphysema
  • 224.
    b) Lymphangioleiomyomatosis (LAM): 1-Incidence 2-Radiographic Features
  • 225.
    1-Incidence : -It almostexclusively affects women of child bearing age
  • 226.
    2-Radiographic Features : -Numerouscystic spaces , 90% Size of cysts usually <5 to 10 mm Thin walled Surrounded by normal lung -Recurrent pneumothorax , 70% -Chylous pleural effusions , 25%
  • 232.
    c) Tuberous Sclerosis(TS) : -Pulmonary involvement of TS includes Lymphangioleiomyomatosis (LAM) and multifocal micronodular pneumocyte hyperplasia (MMPH) -AML of the kidney & liver may help in the diagnosis
  • 233.
    Pulmonary LAM ina 29-year-old woman, thin-section CT scan demonstrates multiple lung cysts with well-defined thin walls, these cysts are distributed randomly throughout the lung
  • 234.
    Pulmonary LAM ina 37-year-old woman, thin-section CT image shows bilateral numerous cysts associated with reticular opacities
  • 235.
    Pneumothorax associated withpulmonary LAM in a 37-year-old woman, CT image of the chest demonstrates multiple lung cysts, suggesting pulmonary LAM, pneumothorax can be seen in the right thoracic cavity (arrows)
  • 236.
    MMPH in a19-year-old man, CT scan demonstrates multiple tiny nodules (arrows), with random distribution in the lungs
  • 237.
    d) Emphysema : -SeeAir way diseases
  • 238.
  • 239.
  • 240.
  • 241.
  • 242.
    e) Cystic Bronchiectasis: -See Bronchiectasis -More in the lower lobes -Diseases causing cystic bronchiectasis : 1-Tracheobronchomegaly : -The trachea is involved 2-Cystic Fibrosis : -Upper lung predominance -N.B. : Cystic bronchiectasis always seen with tubular bronchiectasis
  • 243.
  • 244.
  • 245.
    f) Lymphocytic InterstitialPneumonia (LIP) : -See before
  • 247.
    N.B. : DifferentialDiagnosis of Pulmonary Cysts a) Diffuse Lung Diseases b) Congenital c) Post-infective d) Hydatid Cyst e) Post-traumatic f) Neoplastic
  • 248.
    a) Diffuse lungdiseases : 1-Langerhan’s Cell Histiocytosis 2-Lymphangioleiomyomatosis (LAM) 3-Tuberous Sclerosis (TS) 4-Emphysema 5-Cystic Bronchiectasis 6-Lymphocytic Interstitial Pneumonia (LIP)
  • 249.
    b) Congenital :(See congenital pulmonary lesions) 1-Congenital Pulmonary Adenomatoid Malformation 2-Bronchogenic cyst
  • 250.
    c) Post-infective : -Cystscan appear during the first 2 weeks of the pneumonia and may resolve over several months 1-Staphylococcus aureus : a characteristic feature of childhood staphylococcal pneumonia , developing in 40-60 % of cases 2-Streptococcus pneumonia 3-E.Coli 4-Klebsiella pneumonia 5-Haemophilus influenza
  • 251.
    Post infectious pneumatocele,the initial chest x-ray shows consolidation in the right lung, follow up chest done, when the patient was asymptomatic, shows multiple thin walled lucencies in the right lung
  • 252.
    (a) Initial CXRshows a dense right upper lobe consolidation, (b) CXR a week later shows a round cyst with thin walls in the right upper lobe
  • 253.
    d) Hydatid Cyst: -See Infection e) Post-traumatic : -Lung laceration, cyst measuring up to 5 cm in diameter, resolution over time
  • 255.
    Air meniscus inthe superior aspect of the lesion as a result of the enlarging cyst communicating with an adjacent bronchiole
  • 256.
  • 257.
    f) Neoplastic : 1-Followingtreatment of pulmonary metastases , bladder cancer and germ cell tumors , may be visible only on CT 2-Hyalinazing Granulomas : -Rare disorder of unknown etiology but possible association with infection and autoimmunity -Multiple ill-defined / well-defined nodules & cysts 3-Metastatic epithelioid sarcoma
  • 258.
    e) Mosaic Pattern: 1-Definition 2-Description 3-Etiology
  • 259.
    1-Definition : -Used todescribe density differences between affected and non-affected lung areas , there are patchy areas of black and white lung
  • 260.
    2-Description : -Is thedescription given to the appearance at CT where there is a patchwork of regions of differing attenuation -It is a non-specific finding
  • 263.
    3-Etiology : a) ObstructiveSmall Airway Disease b) Occlusive Vascular Disease c) Parenchymal Disease
  • 264.
    a) Obstructive SmallAirway Disease : -Low attenuation regions are abnormal and reflect decreased perfusion of the poorly ventilated regions -e.g. bronchiectasis ,cystic fibrosis & constrictive bronchiolitis (See airway disease)
  • 265.
    b) Occlusive VascularDisease : -Can be termed a mosaic perfusion pattern in this setting , low attenuation regions are abnormal and reflect relative oligaemia , e.g. chronic pulmonary embolism (See pulmonary embolism) c) Parenchymal Disease : -High attenuation regions are abnormal and represent ground-glass opacity
  • 266.
    Mosaic pattern withpulmonary embolism
  • 267.
    -Occluded contracted left lowerlobe pulmonary artery (arrowhead) , there is decrease in lung attenuation of left lower and right upper lobes and more normally perfused lung contributes to mosaic pattern of lung attenuation (arrows) , incidental note is made of centrilobular emphysema