HRCT-BASIC INTERPRETATION
SECONDARY LOBULE
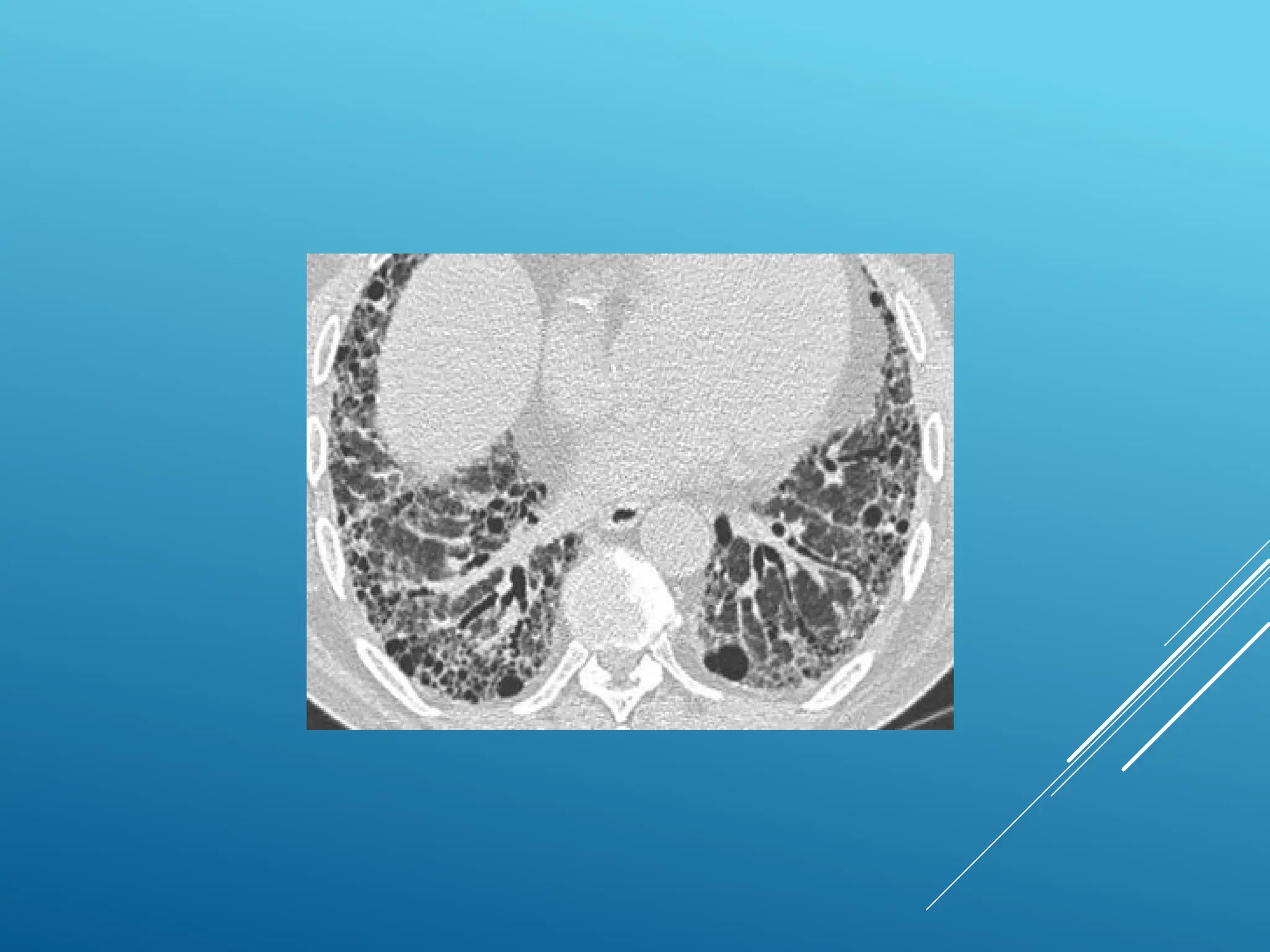
• Basic anatomic unit
• Smallest lung unit surrounded by connective tissue
septa
• Measures 1-2 cm
• Made up of 5-15 pulmonary acini, that contain the
alveoli
• Supplied by a small bronchiole (terminal bronchiole)
in the center, that is parallelled by the centrilobular
artery
• Pulmonary veins and lymphatics run in the periphery
of the lobule within the interlobular septa
• Two lymphatic systems: central network-
bronchovascular bundle towards the centre of the
lobule ; peripheral network- within the interlobular
septa and along the pleural linings
What is the dominant HR-pattern:
❖ Reticular
❖ Nodular
❖ High attenuation (ground-glass, consolidation)
❖ Low attenuation (emphysema, cystic)
Where is it located within the secondary lobule (centrilobular,
perilymphatic or random)
Is there an upper versus lower zone or a central versus
peripheral predominance
Are there additional findings (pleural fluid, lymphadenopathy,
traction bronchiectasis)
BASIC
INTERPRETATION
RETICULAR PATTERN
Thickening of the interlobular septa / fibrosis as in
honeycombing
SEPTAL THICKENING
Thickening of lung interstitium by fluid, fibrous tissue, or
infiltration by cells results in a pattern of reticular
opacities due to thickening of the interlobular septa
Focal septal thickening in lymphangitic carcinomatosis
NODULAR
PATTERN
SARCOIDOSIS
Centrilobular nodules of ground glass density-Hypersensitivity pneumonitis
✓ TREE-IN-BUD APPEARANCE:
✓ Irregular and nodular branching structure, most easily identified in
the lung periphery
✓ Represents dilated and impacted (mucus or pus-filled) centrilobular
bronchioles
Tree-in-bud indicates the presence of:
Endobronchial spread of infection (TB, MAC, any
bacterial bronchopneumonia)
Airway disease associated with infection (cystic fibrosis,
bronchiectasis)
Airway disease associated primarily with mucus retention
(allergic bronchopulmonary aspergillosis, asthma)
ACTIVE TB-TREE IN BUD
RANDOM NODULES
 Result of the hematogenous spread of the infection
Small random nodules are seen in:
• Haematogenous metastases
 Miliary tuberculosis
 Sarcoidosis may mimick this pattern, when very
extensive.
 Langerhans cell histiocytosis (early nodular stage)
✓ Ground-glass-opacity = hazy increase in lung opacity
without obscuration of underlying vessels
✓ Consolidation = increase in lung opacity which
obscures the vessels
HIGH ATTENUATION PATTERN
GROUND-GLASS OPACITY →FILLING OF THE
ALVEOLAR SPACES WITH PUS, EDEMA,
HEMORRHAGE, INFLAMMATION OR TUMOR
CELLS→THICKENING OF THE INTERSTITIUM OR
ALVEOLAR WALLS BELOW THE SPATIAL
RESOLUTION OF THE HRCT AS SEEN IN FIBROSIS
✓ Upper zone predominance: Respiratory bronchiolitis,
PCP
✓ Lower zone predominance: UIP, NSIP, DIP
✓ Centrilobular distribution: Hypersensitivity pneumonitis,
Respiratory bronchiolitis
'Mosaic attenuation' = density differences between affected
and non-affected lung areas
When ground glass opacity presents as mosaic attenuation
to consider:
Infiltrative process adjacent to normal lung
Normal lung appearing relatively dense adjacent to
lung with air-trapping
Hyperperfused lung adjacent to oligemic lung due
to chronic thromboembolic disease
MOSAIC ATTENUATION
CRAZY PAVING
Combination of ground glass opacity with superimposed
septal thickening
• Alveolar proteinosis
• Sarcoid
• NSIP
• Organizing pneumonia (COP/BOOP)
• Infection (PCP, viral, Mycoplasma, bacterial)
• Neoplasm (Bronchoalveolarca (BAC)
• Pulmonary hemorrhage
• Edema (heart failure, ARDS, AIP)
ALVEOLAR PROTEINOSIS
CONSOLIDATION
✓ Consolidation → Airspace disease
✓ Pus, edema, blood ,tumor cells or fibrosis=Replace
air
Chronic eosinophilic granuloma
LOW ATTENUATION PATTERN
Decreased lung attenuation or air-filled lesions.
These include:
Emphysema
Lung cysts (LAM, LIP, Langerhans cell
histiocytosis)
Bronchiectasis
Honeycombing
Areas of low attenuation without visible walls as a result of
parenchymal destruction
Centrilobular emphysema
✓ Most common type
✓ Irreversible destruction of alveolar walls in the
centrilobular portion of the lobule
✓ Upper lobe predominance and uneven
distribution
✓ Strongly associated with smoking
EMPHYSEM
A
Panlobular emphysema
✓ Affects the whole secondary lobule
✓ Lower lobe predominance
✓ In alpha-1-antitrypsin deficiency, but also seen i
n
smokers with advanced emphysema
Paraseptal emphysema
✓ Adjacent to the pleura and interlobar fissures
✓ Can be isolated phenomenon in young adults, or i
n
older patients with centrilobular emphysema
✓ In young adults = spontaneous pneumothorax


Lung cysts: Radiolucent areas with wall thickness
of less than 4mm
Cavities -Radiolucent areas with wall thickness of
more than 4mm and are seen in infection (TB,
Staph, fungal, hydatid), septic emboli, squamous
cell carcinoma and Wegener's disease
CYSTIC LUNG DISEASE
LANGERHANS CELL
HISTIOCYTOSIS
Bronchiectasis is defined as localized bronchial dilatation
Bronchial dilatation (signet-ring sign)
Bronchial wall thickeningLack of normal tapering with
visibility of airways in the peripheral lung
Mucus retention in the bronchial lumen
Associated atelectasis and sometimes air trapping
A signet-ring sign represents an axial cut of a dilated
bronchus (ring) with its accompanying small artery (signet)
BRONCHIECTASI
S



Honeycombing is defined by the presence of small
cystic spaces with irregularly thickened walls
composed of fibrous tissue
Predominate in the peripheral and subpleural lung
regions
Subpleural honeycomb cysts occur in several
contiguous layers
HONEYCOMBI
NG
DISTRIBUTION WITHIN THE
LUNG
IDIOPATHIC INTERSTITIAL
PNEUMONIAS
Also are group of diseases with predominantly reticular or linear
pattern of opacities. Most common in the group is known as Idiopathic
Pulmonary Fibrosis.
In the past, the lack of standarised international classification resulted in
variable and confusin diagnostic criteria and terminology.
An international consensus statement defining the clinical, pathology and
radiological features of patients with IIP was adopted by American
throracic society and European Respiratory society in 2001. Revised in
2013.
The ATS/ERS classification classified it into 7 categories.
IDIOPATHIC INTERSTITIAL FIBROSIS
(IDIOPATHIC PULMONARY FIBROSIS)
Most common
It is the term used for clinical syndrome associated with
morphological pattern of UIP.
Clinically-
M>F ( slightly), usually older than 50 years, smoker.
Progressive dyspnea , cough, F/O right heart failure
Median survival time after diagnosis- 2.5-3.5 years.
• Histologically- scattered
fibroblastic foci, heterogenous
lung involvement. Patchy lung
involvement ( hence HRCT needed
for biopsy samples).
Plain radiograph-
 Low lung
volumes,
coarse
reticular
opacities,
honeycombing
 Basal
predominance
HRCT-
Bilateral , patchy, subpleural ,
basilar reticular opacities
Presence of apicobasal
gradient
Associated with architectural
distortion, honeycombing and
traction bronchiectasis.
GGO may be seen, less
prominent than reticular
opacities.
Levels of certainty with HRCT
Diagnostic features of UIP-
Reticular opacities and traction
bronchiectasis
Honeycombing ( critical for
diagnosis)
Subpleural and basal
distribution
Architectural distortion from lung
fibrosis
Absence of inconsistent features.
Heterogenous area with regions of
fibrotic lung alternating with normal
lung
UIP pattern in HRCT correlates with
UIP pattern at surgical lung biopsy
Inconsistent features
Upper or mid lung predominance
Peribronchovascular predominance
Extensive ground glass
Multiple micronodules
Discrete cysts
Consolidation
Mosaic attenuation
Possible UIP
Reticular opacities often associated with traction
bronchiectasis.
Distribution subpleural and basal
Absence of inconsistent features
Absence of honeycombing.
NONSPECIFIC
INTERSTITIAL
PNEUMONIAS
Very good prognosis and responds well to steroid treatment.
Although called idiopathic, morphological pattern is associated with patterns
in connective tissue disorders, drug induced pneumonitis, hypersensetive
pneumonitis, infection and immunodificiency. Once the pattern of NSIP has
been determined, secondary forms of NSIP should be excluded out by clinician.
Clinical-
F>M, smokers and nonsmokers both, 40-50 years ( decade younger than patients
with UIP)
Dyspnea, cough and weight loss
• Histologically-
Temporally and
histologically homogenous
lung involvement ( key
differentiating feature
from UIP)
 Xray-
Initially normal, later Reticular
opacities in lower lobes without
honeycombing
No apicobasal gradient
HRCT-
Bilateral , predominantly lower lobes, subpleural,
symmetricity.
Traction bronchiectasis
Volume loss
No honeycombing or microcystic honeycombing (
in comparision to macrocystic honeycombing in
UIP)
Ground Glass opacities are the predominant
feature (50% cases).
 Prognosis – Good
 Steroid responsive
 5 year mortality rate <18 percent.
COMPARISION- UIP
VS NSIP
CRYPTOGENIC ORGANISING
PNEUMONIA
Previously called Bronchiolitis Obliterans Organizing Pneumonia (BOOP).
A non specific inflammatory response by the lung to various forms of injury.
Inflammatory process where the healing process is characterized by the
organization of the exudate rather than by resorption( unresolved pneumonia).
Clinical-
Mild SOB, fever, cough, chills, weight loss, myalgia.
Most are non smokers and most respond to
steroids. male= females, onset: 55yrs.
Most patients report respiratory tract infection
preceeding the illness.
• As with other interstitial pneumonias, pattern may occur in a wide variety of
entities, notably collagen vascular disease, infectios, hence final diagnosis should
be rendered only after exlusion of differntials.
• Histopathology-
granulation tissue polyps in
alveolar ducts/ alveeoli
CXR-
Unilateral or bilateral patchy
consolidation that resembles
pneumonic infiltrates.
Lung volumes usually
preserved.
CT findings more extensive than expected from Xray
Characteristic peripheral and peribronchial distribution
Lower lung lobes more involved.
In some cases, outermost subpleural areas spared.
Lung opacities range from GGO to consolidation.
Opacities have tendency to migrate with change in
location and shape even without treatment.
In appropriate clinical setting, consolidation that
increases over several weeks despite antibiotics may be
suggestive.
Reverse halo sign- specific finding in COP. (20% cases)
Crazy paving pattern ( infrequent).
Atypical findings include- irregular linear opacities,
solitary focal lesions, multiple nodules with cavitations.
RESPIRATORY BRONCHIOLITIS
RELATED INTERSTITIAL LUNG DISEASE
(RB-ILD)
Very small percentage of typically young heavy smokers.
exclusively in current or former cigarette smokers
30 to 40 years old
male-to-female ratio of 2:1.
Symptomatic with decreased diffusing capacity.
RB-ILD have good prognosis following smoking cessation.
No arbitrary cut off between RB and RB-ILD on HRCT.
Chest radiographic -thickening of the walls of the central and
peripheral bronchi and diffuse bilateral reticulonodular opacities.
normal in 20% of patients
HRCT- RB-ILD
• Small centrilobular ground-glass
nodules, patchy GGO, and
bronchial wall thickening - the
most common finding on HRCT, but
fine centrilobular nodules may also
be seen.
• Although emphysematous changes
may be present, subpleural
honeycombing and traction
bronchiectasis are absent.
DESQUAMATIVE
INTERSTITIAL
PNEUMONIA
Rare , strongly associated with cigarette
smoking.
Clinical- 30-40 years, male , smoker, average
smoking
Clin/path/rad distinction between RBILD and
DIP blurred but 6-30% mortality
Ground glass more extensive and diffuse as
compared to RB-ILD, may be subpleural
and basal. Centrilobular nodules
uncommon.
Mid and lower lungs predominately involved
with a peripheral predilection.
–/+ reticulation, cysts, emphysema
ACUTE INTERSTITIAL
PNEUMONIAS
Only entity in IIP with acute onset of
symptoms.
Rapidly progressive interstitial pneumonia
with poor prognosis
Histologically – diffuse alveolar damage,
hyaline membrane formation and
indistinguishable from ARDS.
Clinical-
Mean age – 50 years, M=F.
Preceeding flu like illness followed by rapidly
progressive dyspnea in few weeks.
murali high resolution computed tomography
murali high resolution computed tomography
murali high resolution computed tomography
murali high resolution computed tomography

murali high resolution computed tomography

  • 1.
  • 2.
  • 3.
    • Basic anatomicunit • Smallest lung unit surrounded by connective tissue septa • Measures 1-2 cm • Made up of 5-15 pulmonary acini, that contain the alveoli • Supplied by a small bronchiole (terminal bronchiole) in the center, that is parallelled by the centrilobular artery • Pulmonary veins and lymphatics run in the periphery of the lobule within the interlobular septa • Two lymphatic systems: central network- bronchovascular bundle towards the centre of the lobule ; peripheral network- within the interlobular septa and along the pleural linings
  • 7.
    What is thedominant HR-pattern: ❖ Reticular ❖ Nodular ❖ High attenuation (ground-glass, consolidation) ❖ Low attenuation (emphysema, cystic) Where is it located within the secondary lobule (centrilobular, perilymphatic or random) Is there an upper versus lower zone or a central versus peripheral predominance Are there additional findings (pleural fluid, lymphadenopathy, traction bronchiectasis) BASIC INTERPRETATION
  • 9.
    RETICULAR PATTERN Thickening ofthe interlobular septa / fibrosis as in honeycombing SEPTAL THICKENING Thickening of lung interstitium by fluid, fibrous tissue, or infiltration by cells results in a pattern of reticular opacities due to thickening of the interlobular septa
  • 11.
    Focal septal thickeningin lymphangitic carcinomatosis
  • 12.
  • 14.
  • 15.
    Centrilobular nodules ofground glass density-Hypersensitivity pneumonitis
  • 16.
    ✓ TREE-IN-BUD APPEARANCE: ✓Irregular and nodular branching structure, most easily identified in the lung periphery ✓ Represents dilated and impacted (mucus or pus-filled) centrilobular bronchioles
  • 17.
    Tree-in-bud indicates thepresence of: Endobronchial spread of infection (TB, MAC, any bacterial bronchopneumonia) Airway disease associated with infection (cystic fibrosis, bronchiectasis) Airway disease associated primarily with mucus retention (allergic bronchopulmonary aspergillosis, asthma)
  • 18.
  • 19.
    RANDOM NODULES  Resultof the hematogenous spread of the infection Small random nodules are seen in: • Haematogenous metastases  Miliary tuberculosis  Sarcoidosis may mimick this pattern, when very extensive.  Langerhans cell histiocytosis (early nodular stage)
  • 21.
    ✓ Ground-glass-opacity =hazy increase in lung opacity without obscuration of underlying vessels ✓ Consolidation = increase in lung opacity which obscures the vessels HIGH ATTENUATION PATTERN
  • 22.
    GROUND-GLASS OPACITY →FILLINGOF THE ALVEOLAR SPACES WITH PUS, EDEMA, HEMORRHAGE, INFLAMMATION OR TUMOR CELLS→THICKENING OF THE INTERSTITIUM OR ALVEOLAR WALLS BELOW THE SPATIAL RESOLUTION OF THE HRCT AS SEEN IN FIBROSIS ✓ Upper zone predominance: Respiratory bronchiolitis, PCP ✓ Lower zone predominance: UIP, NSIP, DIP ✓ Centrilobular distribution: Hypersensitivity pneumonitis, Respiratory bronchiolitis
  • 24.
    'Mosaic attenuation' =density differences between affected and non-affected lung areas When ground glass opacity presents as mosaic attenuation to consider: Infiltrative process adjacent to normal lung Normal lung appearing relatively dense adjacent to lung with air-trapping Hyperperfused lung adjacent to oligemic lung due to chronic thromboembolic disease MOSAIC ATTENUATION
  • 26.
    CRAZY PAVING Combination ofground glass opacity with superimposed septal thickening • Alveolar proteinosis • Sarcoid • NSIP • Organizing pneumonia (COP/BOOP) • Infection (PCP, viral, Mycoplasma, bacterial) • Neoplasm (Bronchoalveolarca (BAC) • Pulmonary hemorrhage • Edema (heart failure, ARDS, AIP)
  • 27.
  • 28.
    CONSOLIDATION ✓ Consolidation →Airspace disease ✓ Pus, edema, blood ,tumor cells or fibrosis=Replace air
  • 29.
  • 30.
    LOW ATTENUATION PATTERN Decreasedlung attenuation or air-filled lesions. These include: Emphysema Lung cysts (LAM, LIP, Langerhans cell histiocytosis) Bronchiectasis Honeycombing
  • 32.
    Areas of lowattenuation without visible walls as a result of parenchymal destruction Centrilobular emphysema ✓ Most common type ✓ Irreversible destruction of alveolar walls in the centrilobular portion of the lobule ✓ Upper lobe predominance and uneven distribution ✓ Strongly associated with smoking EMPHYSEM A
  • 34.
    Panlobular emphysema ✓ Affectsthe whole secondary lobule ✓ Lower lobe predominance ✓ In alpha-1-antitrypsin deficiency, but also seen i n smokers with advanced emphysema
  • 35.
    Paraseptal emphysema ✓ Adjacentto the pleura and interlobar fissures ✓ Can be isolated phenomenon in young adults, or i n older patients with centrilobular emphysema ✓ In young adults = spontaneous pneumothorax
  • 36.
      Lung cysts: Radiolucentareas with wall thickness of less than 4mm Cavities -Radiolucent areas with wall thickness of more than 4mm and are seen in infection (TB, Staph, fungal, hydatid), septic emboli, squamous cell carcinoma and Wegener's disease CYSTIC LUNG DISEASE
  • 37.
  • 38.
    Bronchiectasis is definedas localized bronchial dilatation Bronchial dilatation (signet-ring sign) Bronchial wall thickeningLack of normal tapering with visibility of airways in the peripheral lung Mucus retention in the bronchial lumen Associated atelectasis and sometimes air trapping A signet-ring sign represents an axial cut of a dilated bronchus (ring) with its accompanying small artery (signet) BRONCHIECTASI S
  • 39.
       Honeycombing is definedby the presence of small cystic spaces with irregularly thickened walls composed of fibrous tissue Predominate in the peripheral and subpleural lung regions Subpleural honeycomb cysts occur in several contiguous layers HONEYCOMBI NG
  • 42.
  • 45.
    IDIOPATHIC INTERSTITIAL PNEUMONIAS Also aregroup of diseases with predominantly reticular or linear pattern of opacities. Most common in the group is known as Idiopathic Pulmonary Fibrosis. In the past, the lack of standarised international classification resulted in variable and confusin diagnostic criteria and terminology. An international consensus statement defining the clinical, pathology and radiological features of patients with IIP was adopted by American throracic society and European Respiratory society in 2001. Revised in 2013. The ATS/ERS classification classified it into 7 categories.
  • 46.
    IDIOPATHIC INTERSTITIAL FIBROSIS (IDIOPATHICPULMONARY FIBROSIS) Most common It is the term used for clinical syndrome associated with morphological pattern of UIP. Clinically- M>F ( slightly), usually older than 50 years, smoker. Progressive dyspnea , cough, F/O right heart failure Median survival time after diagnosis- 2.5-3.5 years.
  • 47.
    • Histologically- scattered fibroblasticfoci, heterogenous lung involvement. Patchy lung involvement ( hence HRCT needed for biopsy samples). Plain radiograph-  Low lung volumes, coarse reticular opacities, honeycombing  Basal predominance
  • 48.
    HRCT- Bilateral , patchy,subpleural , basilar reticular opacities Presence of apicobasal gradient Associated with architectural distortion, honeycombing and traction bronchiectasis. GGO may be seen, less prominent than reticular opacities.
  • 49.
    Levels of certaintywith HRCT Diagnostic features of UIP- Reticular opacities and traction bronchiectasis Honeycombing ( critical for diagnosis) Subpleural and basal distribution Architectural distortion from lung fibrosis Absence of inconsistent features. Heterogenous area with regions of fibrotic lung alternating with normal lung UIP pattern in HRCT correlates with UIP pattern at surgical lung biopsy Inconsistent features Upper or mid lung predominance Peribronchovascular predominance Extensive ground glass Multiple micronodules Discrete cysts Consolidation Mosaic attenuation Possible UIP Reticular opacities often associated with traction bronchiectasis. Distribution subpleural and basal Absence of inconsistent features Absence of honeycombing.
  • 51.
    NONSPECIFIC INTERSTITIAL PNEUMONIAS Very good prognosisand responds well to steroid treatment. Although called idiopathic, morphological pattern is associated with patterns in connective tissue disorders, drug induced pneumonitis, hypersensetive pneumonitis, infection and immunodificiency. Once the pattern of NSIP has been determined, secondary forms of NSIP should be excluded out by clinician. Clinical- F>M, smokers and nonsmokers both, 40-50 years ( decade younger than patients with UIP) Dyspnea, cough and weight loss
  • 52.
    • Histologically- Temporally and histologicallyhomogenous lung involvement ( key differentiating feature from UIP)  Xray- Initially normal, later Reticular opacities in lower lobes without honeycombing No apicobasal gradient
  • 53.
    HRCT- Bilateral , predominantlylower lobes, subpleural, symmetricity. Traction bronchiectasis Volume loss No honeycombing or microcystic honeycombing ( in comparision to macrocystic honeycombing in UIP) Ground Glass opacities are the predominant feature (50% cases).  Prognosis – Good  Steroid responsive  5 year mortality rate <18 percent.
  • 54.
  • 55.
    CRYPTOGENIC ORGANISING PNEUMONIA Previously calledBronchiolitis Obliterans Organizing Pneumonia (BOOP). A non specific inflammatory response by the lung to various forms of injury. Inflammatory process where the healing process is characterized by the organization of the exudate rather than by resorption( unresolved pneumonia). Clinical- Mild SOB, fever, cough, chills, weight loss, myalgia. Most are non smokers and most respond to steroids. male= females, onset: 55yrs. Most patients report respiratory tract infection preceeding the illness. • As with other interstitial pneumonias, pattern may occur in a wide variety of entities, notably collagen vascular disease, infectios, hence final diagnosis should be rendered only after exlusion of differntials.
  • 56.
    • Histopathology- granulation tissuepolyps in alveolar ducts/ alveeoli CXR- Unilateral or bilateral patchy consolidation that resembles pneumonic infiltrates. Lung volumes usually preserved.
  • 57.
    CT findings moreextensive than expected from Xray Characteristic peripheral and peribronchial distribution Lower lung lobes more involved. In some cases, outermost subpleural areas spared. Lung opacities range from GGO to consolidation. Opacities have tendency to migrate with change in location and shape even without treatment. In appropriate clinical setting, consolidation that increases over several weeks despite antibiotics may be suggestive. Reverse halo sign- specific finding in COP. (20% cases) Crazy paving pattern ( infrequent). Atypical findings include- irregular linear opacities, solitary focal lesions, multiple nodules with cavitations.
  • 59.
    RESPIRATORY BRONCHIOLITIS RELATED INTERSTITIALLUNG DISEASE (RB-ILD) Very small percentage of typically young heavy smokers. exclusively in current or former cigarette smokers 30 to 40 years old male-to-female ratio of 2:1. Symptomatic with decreased diffusing capacity. RB-ILD have good prognosis following smoking cessation. No arbitrary cut off between RB and RB-ILD on HRCT. Chest radiographic -thickening of the walls of the central and peripheral bronchi and diffuse bilateral reticulonodular opacities. normal in 20% of patients
  • 60.
    HRCT- RB-ILD • Smallcentrilobular ground-glass nodules, patchy GGO, and bronchial wall thickening - the most common finding on HRCT, but fine centrilobular nodules may also be seen. • Although emphysematous changes may be present, subpleural honeycombing and traction bronchiectasis are absent.
  • 61.
    DESQUAMATIVE INTERSTITIAL PNEUMONIA Rare , stronglyassociated with cigarette smoking. Clinical- 30-40 years, male , smoker, average smoking Clin/path/rad distinction between RBILD and DIP blurred but 6-30% mortality Ground glass more extensive and diffuse as compared to RB-ILD, may be subpleural and basal. Centrilobular nodules uncommon. Mid and lower lungs predominately involved with a peripheral predilection. –/+ reticulation, cysts, emphysema
  • 62.
    ACUTE INTERSTITIAL PNEUMONIAS Only entityin IIP with acute onset of symptoms. Rapidly progressive interstitial pneumonia with poor prognosis Histologically – diffuse alveolar damage, hyaline membrane formation and indistinguishable from ARDS. Clinical- Mean age – 50 years, M=F. Preceeding flu like illness followed by rapidly progressive dyspnea in few weeks.