By
Riham Hazem Raafat
Lecturer of Chest Diseases
Ainshams University
Pulmonary Emboli originate::
-Deep venous system of
the lower extremities (90-95%)
-Uterine and prostatic veins
-Upper extremities
-Renal veins
-Right side of the heart
Risk Factors
• Alteration of blood flow:
– Prolonged immobilisation,
– Obesity,
– Pregnancy,
– Cancer
• Factors in blood vessel wall:
– Surgery (risk in 1st
2 wks up to 3 Ms),
– Catheterisation,
– Trauma
• Hypercoagulable states:
– Estrogen containing OCP,
– Genetic thrombophilia (Factor V Leiden deficiency, Protein C and
Protein S deficiency, antithrombin III deficiency etc.),
– Acquired thrombophilia (antiphospholipid syndrome, nephrotic
syndrome, paroxysmal nocturnal hemoglobinuria)
What is PE?
- A pulmonary embolism refers to the obstruction of
a pulmonary artery or its branches
Incidence:
600,000/year
Mortality rate:
50,000 to 200,000/yr
Non-Thrombotic pulmonary embolismNon-Thrombotic pulmonary embolism
• Septic embolism- drug addicts, catheters & pacemaker wires,
septic thrombophlebitis  staph, anaerobes, G-ve  Abs
• Intravascular foreign bodies- broken catheters, guide wires,
vena cava filters, coils, silicone  removed as  sepsis + Throm
• Fat embolism- trauma, after liposuction, lipid infusion  PE,
ARDS (distress, peticheal rash, altered mental status in 12-36hrs)
 self limiting +/- high dose steroids
• Air embolism- venous >, 100-500ml fatal  Lt.Lat., 100% O2
• Amniotic fluid embolism- occur in 1/8000 – 1/80,000, high
maternal (21%) & fetal mortality  PE, ARDS  supportive
• Tumor embolism  treat underlying tumor
PathophysiologyPathophysiology
• Increased pulmonary vascular resistance
• Impaired gas exchange
• Alveolar hyperventilation
• Increased airway resistance
• Decreased pulmonary compliance
• More than 50% of the vascular bed has to be
occluded before PAP becomes substantially
elevated
• When obstruction approaches 75%, the RV must
generate systolic pressure in excess of 50 mmHg to
preserve pulmonary circulation
• The normal RV is unable to accomplish this acutely
and eventually fails
Clinical PresentationClinical Presentation

The Classic Triad: Occurs in < 20% of patients
Hemoptysis, Dyspnea, Chest Pain

Clinical Presentations:
• Massive Embolism or high risk PE: Acute PE with
obstructive shock or SBP <90 mmHg for > 15 minutes
• Submassive Embolism or intermediate risk PE: Acute
PE without systemic hypotension (SBP ≥90 mm Hg) but with
either RV dysfunction or myocardial necrosis
• Non-massive or low risk PE: None of the above severe
features.
Pleuritic (Infarction)
Central (RV ischemia)
• Submassive PE, angiographically defined blockage of flow to an
area served by less than two lobar arteries. These patients have
acute or unexplained dyspnea with exertion or at rest. So, they
can be easily confused with infection, asthma, CHF
• Massive PE, or a clot which obstructs two lobar arteries, so-called
“Saddle Embolus”. These patients have acute corpulmonale
often with syncope. You might think there having an MI or look
septic!
• Pulmonary infarction, may have pleuritic chest pain and can be
hard to distinguish between that patient with infection
pneumonitis
Symptom Percent
Dyspnea 84
Chest Pain, pleuritic 74
Anxiety 59
Cough 53
Hemoptysis 30
Sweating 27
Chest Pain, non-pleuritic 14
Syncope 13
Sign Percent
Tachypnea > 20/min 92
Rales 58
Accentuated S2 53
Tachycardia >100/min 44
Fever > 37.8 43
Diaphoresis 36
S3 or S4 gallop 34
Thrombophlebitis 32
Lower extremity edema 24
Diagnosis
• Risk stratification
• Clinical examination
• Bed side tests (ECG, ABG)
• Laboratory tests (D-dimer, Cardiac biomarkers)
• Imaging techniques (Ultrasound/ Doppler scan, CXR,
CTPA, V/Q scan, Echocardiogram)
Risk stratification
• PERC Rule
• Wells score for PE
• Modified Geneva score for PE
• PESI Index
PERC
Wells score for PE
3 Level Score 2 Level Score
Original Geneva scoreOriginal Geneva score
Revised Geneva scoreRevised Geneva score
Pulmonary Embolism Severity Index
(PESI)
PESI
to differentiate
Int from Low
Risk
Biomarkers (cardiac & non-cardiac)
• Troponin ‐ released from right ventricle Injury
• Cardiac BNP ‐ released from cardiac myocytes in response
to elevated pressures  RVD
*A normal troponin and BNP can safely exclude high risk
patients with a negative predictive value of 97-100%
• H-FABP (heart type fatty acid binding protein) – early
marker for injury (good for prognosis as well)
• NGAL (neutrophil gelatinase associated lipocalin) &
Cystatin C – both indicating kidney injury, also shown to
have prognostic value
ABG findings in PE
• pH= ↑
• PaO2= ↓
• PaCO2= ↓
• HCO3= Normal
• Aa gradient= Large
Aa gradient= PAO2- PaO2
Chest x-ray
• Mostly normal findings
• Done to exclude other pathology
• Pleural effusion/ Atelectatic bands
• Specific signs:
- Hampton’s hump (in infarction)
- Westermark sign
- Palla’s sign
- Fleischner sign (in massive embolism or PHTN)
ECG findings in PE
• Normal sinus rhythm
• Sinus tachycardia
• Tall peaked T waves in V1- V4
• S1Q3T3 pattern: Not specific. Can be seen in any Cor
pulmonale syndrome
• RBBB
S1Q3T3 pattern ECG
Echocardiogram in PE
- RV Strain
• An RV/LV ratio of >0.9 was shown to be and independent
predictive factor for HOSPITAL MORTALITY
• RV hypokinesia on baseline echo following PE with a ~40% higher
mortality rate
- Used also to detect TAPSE & Tricuspid Jet Velocity to
detect CTEPH
- TOE used to detect pulmonary artery emboli & its
branches
Doppler US
D-dimer in PE
• D-dimer is a type of Fibrin degradation product
• Can be raised due to a number of reasons
• Negative D-dimer rules out PE/DVT in 98% cases
• False positive D-dimer: infection, pregnancy, renal
failure, post-operative
– Qualitative
• Bed side RBC agglutination test
• Low Specificity and Sensitivity
– “SimpliRED D-dimer”
– Quantitative
• Enzyme linked immunosorbent assay “Dimertest”
• Positive assay is > 500ng/ml
• VIDAS D-dimer, 2nd
generation ELISA test
• Specificity decreases with age above 80 to 10% so
age-adjusted cut-off points are used for that
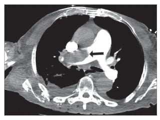
CTPA
Indications:
- Suspected PE
Contra-indications:
- Renal failure
- Pregnancy
- Allergy to radio-contrast
Procedure:
- Radioactive iodine administered IV
- CT scan performed
Pitfalls of CTPA:
• Average radiation exposure is 12.4-31.8 mSV.
• This was estimated to increase the risk of breast cancer by
1.004 to 1.042 and lung cancer from 1.005 to 1.076.
• The excess risk of cancer for individuals over 55 would be less
than 1%;
• In a young 20-year-old woman this would be estimated to
increase the relative lifetime risk of breast or lung cancer by
1.7 to 5.5%.
(Hurwitz et al. 2007)
Multidetector helical CTPA
• First line modality
• Cover all chest with high spatial resolution in one breath
• Detect peripheral smaller emboli
• Detect other pathologies
• Detect RV strain (straightening or leftward bowing of IV
septum)
• Available
BUT
• Needs expert in reading
• Costy
• Not portable
• Radiation Exposure
• # in renal failure and contrast allergy
Ventilation-perfusion scan
Indications:
- Renal failure
- Pregnancy
Procedure:
- Ventilation scan with Xenon inhalation
- Perfusion scan with Tc99m labelled radioactive dye
infusion
- Scan V/Q
- Result: unmatched V/Q
Interpretation:
Ancillary TestAncillary Test
 WBC
 Poor sensitivity and nonspecific (Can be as high
as 20,000 in some patients)
 Hgb/Hct
 PTE does not alter count but if extreme, consider
polycythemia, a known risk factor
 ESR
 Don’t get one, terrible test in regard to any
predictive value
DDX
Condition Differentiating signs/symptoms
MI Retrosternal pressure radiating to the jaw, arm, or neck.
Risk factors include long-standing hypertension, diabetes, or
hypercholesterolaemia.
Pneumonia Cough, purulent sputum.
Fever above 39.0°C generally higher than in PE.
Pneumothorax History of recent trauma to the chest.
Decreased breath sounds unilaterally
Hyperresonance on percussion of affected side.
Deviation of the trachea away from the affected lung.
CHF, acute
exacerbation
Orthopnoea, paroxysmal nocturnal dyspnoea,
Increased bilateral lower extremity swelling.
Diffuse crackles on pulmonary auscultation.
Elevated jugular venous pressure.
Pericarditis Chest pain improves when sitting up and worsens when supine.
Tamponade, cardiac Beck's triad of hypotension, muffled heart sounds, and elevated
jugular venous pressure
Panic disorder Sudden-onset anxiety, feeling faint, and palpitations.
Recurrent, discrete period of intense fear/discomfort.
Treatment options
• Symptomatic treatment:
– ABCD approach
– Oxygen (FIO2 0.6–1.0 to maintain SaO2 93–98%)
– Analgesia (morphine 5-10mg iv)
– Lie patient flat to increase venous return.
– Fluid challenge to optimize right heart filling.
– Epinephrine infusion if circulation still compromised.
– Mechanical ventilation may be needed. Gas exchange may
worsen due to loss of preferential shunting and decrease in
cardiac output.
• Anticoagulation:
– IV Heparin, S/C LMWH, Oral Warfarin
• IVC filter: If there is contra-indications for anti-coagulation
• Thrombolysis: tPA eg Alteplase, Tenectaplase
• Massive PE: Thrombolysis/embolectomy
• Sub-massive PE: Strongly consider thrombolysis/
embolectomy but need to balance risk of bleeding
• Non-massive PE: Anticoagulation (treated at home)
Intermediate Risk (Submassive) PE
• Definition: Acute PE without systemic hypotension (systolic
blood pressure 90 mm Hg) but with either:
-- RV dysfunction: Hypokinesia Or Dilatation: RV/LV diameter
>0.9 on MDCT or Echo
-- BNP >90 pg/ml
-- Appropriate ECG Changes (RBBB, etc.)
-- Myocardial necrosis: Troponin I > 0.14ng/ml
• Intermediate Risk PE therapy:
-- ANTICOAGULATION (AC)- HEPARIN
AC therapy prevents further clot growth
Consider Single Drug NOAC’s for stable patients
-- Oxygen supplementation
-- Telemetry monitoring
High-Risk (Massive) PE
• Definition: Acute PE with:
– Cardiac arrest / hemodynamic instability
– Sustained hypotension (systolic blood pressure 90 mm Hg for at
least 15 minutes OR requiring inotropic support not due to a
secondary cause (arrhythmia, sepsis)
*Remember: The presence of “lots” of PE isn’t enough to call it
“massive
• High-Risk PE therapy:
– Systemic Anticoagulation ASAP
– Supplemental oxygen for O2 sat <90%
– Admit to the intensive care unit: Significant hypoxemia,
Hemodynamic compromise  thrombolytic therapy
– Mechanical ventilation for respiratory failure
– For Hypotension: IVF, Vasopressor Support
Anticoagulation
IV Heparin
– 80 units/kg bolus followed by
– 18 units/kg infusion
• Monitor APTT 60-90 sec
• Side effects:
– HITS (Heparin induced thrombocytopenia
syndrome): paradoxical hypercoagulable state
leads to clots
– Bleeding
• Raschke Nomogram:Raschke Nomogram:
• Use of Heparin Before and After Thrombolysis:Use of Heparin Before and After Thrombolysis:
Low molecular weight Heparin (LMWH)
- Duration: 6 to 9 months
- Side effect: Low HITS
FondaparinuxFondaparinux
• Anticoagulant pentasaccharide that specifically
inhibits activated factor X
• By selectively binding to antithrombin, it
potentiates (about 300 times) the neutralization of
factor Xa by antithrombin
• It does not cross-react with heparin-induced
antibodies
• FDA has approved fondaparinux for initial
treatment of acute PE and acute DVT as a bridge to
oral anticoagulation with warfarin
Vitamin K antagonist
• Warfarin:
– 5mg PO initial dose
– Check regular INR 2-3
• Side effects:
– Bleeding
– Unusual bruises
– Headache
Novel Oral Anticoagulants (NOACs)Novel Oral Anticoagulants (NOACs)
• Promise immediate onset of action and administration
in fixed doses without routine laboratory coagulation
monitoring but not used in severe renal impairment
• Few interactions, making them more “user friendly”

Dabigatran: direct thrombin inhibitor (150mg bid)

Rivaroxaban: factor Xa inhibitor (15mg bid 3wks  20mg o.d)

Apixaban: factor Xa inhibitor (10mg bid 1wk  5mg bid)

Edoxaban: factor Xa inhibitor (60mg o.d, 30mg if low cr.cl. Or
wt < 60 kg)
*N.B.:
The results of the trials (RE-COVER, RECORD-3, EINSTEIN-PE,
AMPLIFY, Hokusai-VTE) using NOACs in the treatment of VTE
indicate that these agents are non-inferior (in terms of efficacy) and
possibly safer (particularly in terms of major bleeding) than the
standard heparin/VKA regimen.
High TTR values were achieved under VKA treatment in all trials; on the
other hand, the study populations included relatively young patients,
very few of whom had cancer.
Recommendations for Initial Anticoagulation forRecommendations for Initial Anticoagulation for
Acute PEAcute PE (AHA/ASC 2011, ACCP 2012)(AHA/ASC 2011, ACCP 2012)
• Therapeutic anticoagulation with SC LMWH, IV or SC UFH with
monitoring, unmonitored weight-based SC UFH, or SC
fondaparinux + VKA (till INR >2 for 24 hr) should be given to pts with
objectively confirmed PE and no # to anticoagulation (1B)
• Therapeutic parenteral anticoagulation during the diagnostic
workup should be given to pts with intermediate (if diag. delay >4hrs)
or high clinical probability of PE & no # to anticoagulation (2C)
• Therapeutic parenteral anticoagulation during the diagnostic
workup is not given in low probability (if diag. not delayed than 24 hrs)
(2C)
Preferred than UFH except if # (renal impairment, with thrombolysis or can’t afford)
Optimal Duration of AnticoagulationOptimal Duration of Anticoagulation
ACCP 2012
According to bleeding risk
(3Ms or Extended)
Thrombolysis
• Indications:
– Massive PE
– Sub-massive PE where risk of bleeding low (in RVD?!)
• Contraindications:
– Bleeding, recent stroke, HI, current GI bleeding,
bleeding PUD, surgery within 7 day, prolonged CPR
•Drugs:
(Most rapid)
• About administrationAbout administration
Intravenous route
-- primary method of delivery
Rapid infusion
-- Shorter regimens may not only prove efficacious
but also reduce the risk of hemorrhagic
complications
Catheter-directed therapy
-- for massive PE, may induce major bleeding
• General guidelines for administrationGeneral guidelines for administration
before after
• Potential Benefits and HarmPotential Benefits and Harm
Potential benefits include
 More rapid resolution of symptoms (eg, dyspnea, chest pain,
and psychological distress)
 Stabilization of respiratory and cardiovascular function
without need for mechanical ventilation or vasopressor support
 Reduction of RV damage
 Improved exercise tolerance
 Prevention of PE recurrence
 Increased probability of survival
Potential harm includes
 Disabling or fatal hemorrhage including intracerebral
hemorrhage
 Increased risk of minor hemorrhage, resulting in prolongation
of hospitalization and need for blood product replacement
ACC/AHA & ACCP RecommendationsACC/AHA & ACCP Recommendations
Through Peripheral Vein is better than Pulmonary Artery Catheter
IVC filter
• Indications:
- DVT with massive pulmonary embolus
- Recurrent PE not treatable with anticoagulation
- Absolute contra-indications for anti-coagulation
- Trauma patients
• Not used in:
- Patients with free-floating thrombi in the proximal veins
- Patients scheduled for systemic thrombolysis, surgical
embolectomy, or pulmonary thrombendarterectomy.
• Various inferior vena caval filtersVarious inferior vena caval filters::
A Greenfield filterA Greenfield filter
B Titanium Greenfield filterB Titanium Greenfield filter
C Simon-Nitinol filterC Simon-Nitinol filter
D LGM or Vena Tech filterD LGM or Vena Tech filter
E Amplatz filterE Amplatz filter
F Bird’s Nest filterF Bird’s Nest filter
G Günther filterG Günther filter
**Located mostly below renal veinsLocated mostly below renal veins
(Adapted from Becker et al.)
• Complications associated with IVC filterComplications associated with IVC filter
Early complications
• Device malposition (1.3%)
• Pneumothorax(0.02%),
• Hematoma (0.6%)
• Air embolism (0.2%)
• Inadvertent carotid artery
puncture (0.04%)
• Arteriovenous fistula
(0.02%)
Late complications
• Recurrent DVT (21%)
• IVC thrombosis (2% to
10%),
• IVC penetration (0.3%)
• Filter migration (0.3%)
• Recurrent PE (2-5%)
• Fatal PE (0.7%)
Recommendations on IVC Filters in theRecommendations on IVC Filters in the
Setting of Acute PESetting of Acute PE
Catheter-Based InterventionsCatheter-Based Interventions
• Performed as an alternative to thrombolysis
 When there are contraindications
 When emergency surgical thrombectomy is unavailable
or contraindicated
 Hybrid therapy that includes both catheter-based clot
fragmentation and local thrombolysis is an emerging
strategy
• Goals of catheter-based therapy include
 Rapidly reducing pulmonary artery pressure, RV strain,
and pulmonary vascular resistance (PVR)
 Increasing systemic perfusion
 Facilitating RV recovery
• Categories of percutaneous intervention
 Suction thrombectomy with aspiration catheters
 Thrombus fragmentation with pigtail or balloon catheters
 Rheolytic thrombectomy with hydrodynamic catheters
(saline jet or drug)
 Rotational thrombectomy
 Conventional catheter directed thrombolysis (drugs)
 U/S accelerated thrombolysis with CDT (inc permeability)
 Pharmaco-mechanical thrombolysis (combined technique)
• Catheter-directed therapyCatheter-directed therapy
Local delivery of streptokinase
-- Extensive lysis (by perfusion scan and pulmonary
arteriography at 12 to 24 hour follow-up)
Intrapulmonary versus peripheral alteplase
-- no advantage over the intravenous route
Direct delivery into clot
--Enhanced thrombolysis, relatively low doses (in an
animal model of PE)
-- Could prove advantageous over the intravenous route
• Side Effects (2%)
 Death from worsening RV failure,
 Distal embolization,
 Pulmonary artery perforation with lung hemorrhage,
 Systemic bleeding complications,
 Pericardial tamponade,
 Heart block or bradycardia,
 Haemolysis,
 Contrast-induced nephropathy, and
 Puncture-related complications
Surgical EmbolectomySurgical Embolectomy
• When contraindications preclude thrombolysis
• Surgical excision of a right atrial thrombus
• Rescue patients whose condition is refractory to
thrombolysis
• Older case series suggest a mortality rate between 20%
and 30%
• In a more recent study, 47 patients underwent surgical
embolectomy in a 4-year period, with a 96% survival rate
Am Heart J 2011;134:479-87
Recommendations (AHA – ACCP)Recommendations (AHA – ACCP)
PE in Pregnancy
• All three components of Virchow’s triad are affected during
pregnancy
• D-dimer has high negative predictive value. False positive
result is common
• Ultrasonography of the legs is the initial investigation.
• V/Q scan is preferred technique
• CTPA can be done if V/Q is inconclusive
• Preferred treatment option: LMWH
• Warfarin is contraindicated
PE in Cancer
Prevention of PE
• Control of obesity
• Stop smoking
• Stockings
• Heparin: 5000 units/day SC bid or tid
• Enoxaprin: 40 mg/day SC
1 Hospitalization with medical
illness
Enoxaparin 40 mg SC qd or
Dalteparin 5000 units SC qd or
Fondaparinux 2.5 mg SC qd (in patients with a
heparin allergy such as heparin-induced
thrombocytopenia) or
Graduated compression stockings or intermittent
pneumatic compression
2 General surgery Unfractionated heparin 5000 units SC bid or tid or
Enoxaparin 40 mg SC qd or
Dalteparin 2500 or 5000 units SC qd
3 Major orthopedic surgery Warfarin (target INR 2 to 3) or
Enoxaparin 30 mg SC bid or
Enoxaparin 40 mg SC qd or
Dalteparin 2500 or 5000 units SC qd or
Fondaparinux 2.5 mg SC qd
Rivaroxaban 10 mg qd (in Canada and Europe)
Dabigatran 220 mg bid (in Canada and Europe)
4 Oncologic surgery Enoxaparin 40 mg SC qd
5 Neurosurgery Unfractionated heparin 5000 units SC bid or
Enoxaparin 40 mg SC qd and
Graduated compression stockings or intermittent
pneumatic compression
Consider surveillance lower extremity ultrasonography
6 Thoracic surgery Unfractionated heparin 5000 units SC tid and
Graduated compression stockings or intermittent
pneumatic compression
CTEPH
 It is an important cause of pulmonary hypertension (Class IV-
mean PAP greater than 25 mm Hg) that either after PE is diagnosed
(0.1-9.1% in 2yrs after PE) or even without previous PE.
The only identifiable RFs for persistent pulmonary HTN: Age 70
years & Systolic PAP 50 mm Hg at the initial presentation ??
 Unresolved residual thrombus becomes organized and fibrosed,
leading to ongoing obstruction to pulmonary blood flow.
 Untreated, this leads to progressive pulmonary hypertension,
RV dysfunction, failure and death even on anticoagulation.
“Not a disease, but a
syndrome in which the
pressure in the pulmonary
circulation is raised”
Honeymoon Period
Progression of CTEPH
Acute or recurrent PTE in pulmonary arteries +/- inadequate
anticoagulation
Organisation these thrombi
Occurence in situ thrombus due to slow blood flow in obstructed
pulmonary arteries
Occurence of arteritis in non obstructed small distal pulmonary
arteries (remodelling)
•
Increased PVR, pulmonary hypertension
CTEPH
1. Hypertensive remodeling of the patent arteries
2. Chronic arteriopathy of the obstructed branches
3. Plexiform lesions  poor outcome after surgery
4. Development of pathological arterial shunts
5. In situ thrombosis
ACCORDING TO THE LENGTH OF THE DISEASE
Pathophysiology
Diagnosis of CTEPH
To confirm diagnosis,
support ttt decisions &
Measure PVR pre and postop
Echo Probability of PHTN
Other Echo Findings
Echo signs from at least two different categories (A/B/C) from the list should be
present to alter the level of echo probability of pulmonary hypertension.
Treatment of CTEPH
Operability/Inoperability
(subjective):
• Functional class II–IV
• Surgical accessibility of thrombi in the main, lobar, or segmental
pulmonary arteries  proximal cases
• Advanced age per se is no contraindication for surgery.
• There is no pulmonary vascular resistance threshold or measure of
RV dysfunction that absolutely precludes PEA.
• Balloon pulmonary angioplasty Vs Medical treatment
(anticoagulants, diuretics, O2)  in inoperable cases or distal cases
• Drugs of PHTN tried in cases with microvascular abnormalities: in
inoperable cases or persistent PHTN after surgery.
PEA
BPA
Diagnosis of CTEPH with functional impairment
and/or right heart failure
Surgically accessible obliteration
of pulmonary vessels
Estimated reduction in PVR>50%
Advanced pulmonary vascular disease
PVR disproportionately elevated
Estimated reduction in PVR <50%
Severe comorbidities
Precluding surgery
Severe comorbidities
Precluding surgery
PEA
Medical
Therapy
Lung transplant
Persistent symptomatic PHT Persistent symptomatic PHT
No Yes No
Circulation 2006;113;2011-2020
Anticoagulation
Yes
Humbert M et al. N Engl J Med. 2004;351:1425-1436.
Targets for Current or Emerging TherapiesTargets for Current or Emerging Therapies
Big EndothelinBig Endothelin
Endothelin-Endothelin-
convertingconverting
EnzymeEnzyme
EndothelinEndothelin
Receptor AReceptor A
EndothelinEndothelin
Receptor BReceptor B
VasoconstrictionVasoconstriction
andand
ProliferationProliferation
Endothelin
Receptor
Antagonists
Endothelin-1Endothelin-1
Endothelin PathwayEndothelin Pathway
ArginineArginine
Nitric OxideNitric Oxide
SynthaseSynthase
VasodilatationVasodilatation
andand
AntiproliferationAntiproliferation
Nitric OxideNitric Oxide
cGMPcGMP Exogenous
Nitric Oxide
Phosphodiesterase Type-5Phosphodiesterase Type-5
Phosphodiesterase
Type-5 Inhibitors
Nitric Oxide PathwayNitric Oxide Pathway
Arachidonic AcidArachidonic Acid
ProstacyclinProstacyclin
SynthaseSynthase
VasodilatationVasodilatation
andand
AntiproliferationAntiproliferation
ProstacyclinProstacyclin
cAMPcAMP
ProstacyclinProstacyclin
DerivativesDerivatives
Prostacyclin
Derivatives
Prostacyclin PathwayProstacyclin Pathway
Guanylate cyclase
stimulator
(Adem
pus)
2.5m
g
tds
Pulmonary Embolism and CTEPH

Pulmonary Embolism and CTEPH

  • 1.
    By Riham Hazem Raafat Lecturerof Chest Diseases Ainshams University
  • 2.
    Pulmonary Emboli originate:: -Deepvenous system of the lower extremities (90-95%) -Uterine and prostatic veins -Upper extremities -Renal veins -Right side of the heart
  • 3.
  • 4.
    • Alteration ofblood flow: – Prolonged immobilisation, – Obesity, – Pregnancy, – Cancer • Factors in blood vessel wall: – Surgery (risk in 1st 2 wks up to 3 Ms), – Catheterisation, – Trauma • Hypercoagulable states: – Estrogen containing OCP, – Genetic thrombophilia (Factor V Leiden deficiency, Protein C and Protein S deficiency, antithrombin III deficiency etc.), – Acquired thrombophilia (antiphospholipid syndrome, nephrotic syndrome, paroxysmal nocturnal hemoglobinuria)
  • 5.
    What is PE? -A pulmonary embolism refers to the obstruction of a pulmonary artery or its branches Incidence: 600,000/year Mortality rate: 50,000 to 200,000/yr
  • 6.
    Non-Thrombotic pulmonary embolismNon-Thromboticpulmonary embolism • Septic embolism- drug addicts, catheters & pacemaker wires, septic thrombophlebitis  staph, anaerobes, G-ve  Abs • Intravascular foreign bodies- broken catheters, guide wires, vena cava filters, coils, silicone  removed as  sepsis + Throm • Fat embolism- trauma, after liposuction, lipid infusion  PE, ARDS (distress, peticheal rash, altered mental status in 12-36hrs)  self limiting +/- high dose steroids • Air embolism- venous >, 100-500ml fatal  Lt.Lat., 100% O2 • Amniotic fluid embolism- occur in 1/8000 – 1/80,000, high maternal (21%) & fetal mortality  PE, ARDS  supportive • Tumor embolism  treat underlying tumor
  • 7.
    PathophysiologyPathophysiology • Increased pulmonaryvascular resistance • Impaired gas exchange • Alveolar hyperventilation • Increased airway resistance • Decreased pulmonary compliance
  • 8.
    • More than50% of the vascular bed has to be occluded before PAP becomes substantially elevated • When obstruction approaches 75%, the RV must generate systolic pressure in excess of 50 mmHg to preserve pulmonary circulation • The normal RV is unable to accomplish this acutely and eventually fails
  • 10.
    Clinical PresentationClinical Presentation  TheClassic Triad: Occurs in < 20% of patients Hemoptysis, Dyspnea, Chest Pain  Clinical Presentations: • Massive Embolism or high risk PE: Acute PE with obstructive shock or SBP <90 mmHg for > 15 minutes • Submassive Embolism or intermediate risk PE: Acute PE without systemic hypotension (SBP ≥90 mm Hg) but with either RV dysfunction or myocardial necrosis • Non-massive or low risk PE: None of the above severe features. Pleuritic (Infarction) Central (RV ischemia)
  • 11.
    • Submassive PE,angiographically defined blockage of flow to an area served by less than two lobar arteries. These patients have acute or unexplained dyspnea with exertion or at rest. So, they can be easily confused with infection, asthma, CHF • Massive PE, or a clot which obstructs two lobar arteries, so-called “Saddle Embolus”. These patients have acute corpulmonale often with syncope. You might think there having an MI or look septic! • Pulmonary infarction, may have pleuritic chest pain and can be hard to distinguish between that patient with infection pneumonitis
  • 14.
    Symptom Percent Dyspnea 84 ChestPain, pleuritic 74 Anxiety 59 Cough 53 Hemoptysis 30 Sweating 27 Chest Pain, non-pleuritic 14 Syncope 13
  • 15.
    Sign Percent Tachypnea >20/min 92 Rales 58 Accentuated S2 53 Tachycardia >100/min 44 Fever > 37.8 43 Diaphoresis 36 S3 or S4 gallop 34 Thrombophlebitis 32 Lower extremity edema 24
  • 16.
    Diagnosis • Risk stratification •Clinical examination • Bed side tests (ECG, ABG) • Laboratory tests (D-dimer, Cardiac biomarkers) • Imaging techniques (Ultrasound/ Doppler scan, CXR, CTPA, V/Q scan, Echocardiogram)
  • 18.
    Risk stratification • PERCRule • Wells score for PE • Modified Geneva score for PE • PESI Index
  • 19.
  • 20.
    Wells score forPE 3 Level Score 2 Level Score
  • 22.
  • 23.
  • 25.
  • 27.
  • 32.
    Biomarkers (cardiac &non-cardiac) • Troponin ‐ released from right ventricle Injury • Cardiac BNP ‐ released from cardiac myocytes in response to elevated pressures  RVD *A normal troponin and BNP can safely exclude high risk patients with a negative predictive value of 97-100% • H-FABP (heart type fatty acid binding protein) – early marker for injury (good for prognosis as well) • NGAL (neutrophil gelatinase associated lipocalin) & Cystatin C – both indicating kidney injury, also shown to have prognostic value
  • 33.
    ABG findings inPE • pH= ↑ • PaO2= ↓ • PaCO2= ↓ • HCO3= Normal • Aa gradient= Large Aa gradient= PAO2- PaO2
  • 34.
    Chest x-ray • Mostlynormal findings • Done to exclude other pathology • Pleural effusion/ Atelectatic bands • Specific signs: - Hampton’s hump (in infarction) - Westermark sign - Palla’s sign - Fleischner sign (in massive embolism or PHTN)
  • 37.
    ECG findings inPE • Normal sinus rhythm • Sinus tachycardia • Tall peaked T waves in V1- V4 • S1Q3T3 pattern: Not specific. Can be seen in any Cor pulmonale syndrome • RBBB
  • 38.
  • 40.
  • 41.
    - RV Strain •An RV/LV ratio of >0.9 was shown to be and independent predictive factor for HOSPITAL MORTALITY • RV hypokinesia on baseline echo following PE with a ~40% higher mortality rate - Used also to detect TAPSE & Tricuspid Jet Velocity to detect CTEPH - TOE used to detect pulmonary artery emboli & its branches
  • 42.
  • 43.
    D-dimer in PE •D-dimer is a type of Fibrin degradation product • Can be raised due to a number of reasons • Negative D-dimer rules out PE/DVT in 98% cases • False positive D-dimer: infection, pregnancy, renal failure, post-operative
  • 44.
    – Qualitative • Bedside RBC agglutination test • Low Specificity and Sensitivity – “SimpliRED D-dimer” – Quantitative • Enzyme linked immunosorbent assay “Dimertest” • Positive assay is > 500ng/ml • VIDAS D-dimer, 2nd generation ELISA test • Specificity decreases with age above 80 to 10% so age-adjusted cut-off points are used for that
  • 45.
    CTPA Indications: - Suspected PE Contra-indications: -Renal failure - Pregnancy - Allergy to radio-contrast Procedure: - Radioactive iodine administered IV - CT scan performed
  • 46.
    Pitfalls of CTPA: •Average radiation exposure is 12.4-31.8 mSV. • This was estimated to increase the risk of breast cancer by 1.004 to 1.042 and lung cancer from 1.005 to 1.076. • The excess risk of cancer for individuals over 55 would be less than 1%; • In a young 20-year-old woman this would be estimated to increase the relative lifetime risk of breast or lung cancer by 1.7 to 5.5%. (Hurwitz et al. 2007)
  • 48.
    Multidetector helical CTPA •First line modality • Cover all chest with high spatial resolution in one breath • Detect peripheral smaller emboli • Detect other pathologies • Detect RV strain (straightening or leftward bowing of IV septum) • Available BUT • Needs expert in reading • Costy • Not portable • Radiation Exposure • # in renal failure and contrast allergy
  • 51.
    Ventilation-perfusion scan Indications: - Renalfailure - Pregnancy Procedure: - Ventilation scan with Xenon inhalation - Perfusion scan with Tc99m labelled radioactive dye infusion - Scan V/Q - Result: unmatched V/Q
  • 54.
  • 55.
    Ancillary TestAncillary Test WBC  Poor sensitivity and nonspecific (Can be as high as 20,000 in some patients)  Hgb/Hct  PTE does not alter count but if extreme, consider polycythemia, a known risk factor  ESR  Don’t get one, terrible test in regard to any predictive value
  • 57.
    DDX Condition Differentiating signs/symptoms MIRetrosternal pressure radiating to the jaw, arm, or neck. Risk factors include long-standing hypertension, diabetes, or hypercholesterolaemia. Pneumonia Cough, purulent sputum. Fever above 39.0°C generally higher than in PE. Pneumothorax History of recent trauma to the chest. Decreased breath sounds unilaterally Hyperresonance on percussion of affected side. Deviation of the trachea away from the affected lung. CHF, acute exacerbation Orthopnoea, paroxysmal nocturnal dyspnoea, Increased bilateral lower extremity swelling. Diffuse crackles on pulmonary auscultation. Elevated jugular venous pressure. Pericarditis Chest pain improves when sitting up and worsens when supine. Tamponade, cardiac Beck's triad of hypotension, muffled heart sounds, and elevated jugular venous pressure Panic disorder Sudden-onset anxiety, feeling faint, and palpitations. Recurrent, discrete period of intense fear/discomfort.
  • 59.
    Treatment options • Symptomatictreatment: – ABCD approach – Oxygen (FIO2 0.6–1.0 to maintain SaO2 93–98%) – Analgesia (morphine 5-10mg iv) – Lie patient flat to increase venous return. – Fluid challenge to optimize right heart filling. – Epinephrine infusion if circulation still compromised. – Mechanical ventilation may be needed. Gas exchange may worsen due to loss of preferential shunting and decrease in cardiac output. • Anticoagulation: – IV Heparin, S/C LMWH, Oral Warfarin • IVC filter: If there is contra-indications for anti-coagulation • Thrombolysis: tPA eg Alteplase, Tenectaplase
  • 60.
    • Massive PE:Thrombolysis/embolectomy • Sub-massive PE: Strongly consider thrombolysis/ embolectomy but need to balance risk of bleeding • Non-massive PE: Anticoagulation (treated at home)
  • 62.
    Intermediate Risk (Submassive)PE • Definition: Acute PE without systemic hypotension (systolic blood pressure 90 mm Hg) but with either: -- RV dysfunction: Hypokinesia Or Dilatation: RV/LV diameter >0.9 on MDCT or Echo -- BNP >90 pg/ml -- Appropriate ECG Changes (RBBB, etc.) -- Myocardial necrosis: Troponin I > 0.14ng/ml • Intermediate Risk PE therapy: -- ANTICOAGULATION (AC)- HEPARIN AC therapy prevents further clot growth Consider Single Drug NOAC’s for stable patients -- Oxygen supplementation -- Telemetry monitoring
  • 64.
    High-Risk (Massive) PE •Definition: Acute PE with: – Cardiac arrest / hemodynamic instability – Sustained hypotension (systolic blood pressure 90 mm Hg for at least 15 minutes OR requiring inotropic support not due to a secondary cause (arrhythmia, sepsis) *Remember: The presence of “lots” of PE isn’t enough to call it “massive • High-Risk PE therapy: – Systemic Anticoagulation ASAP – Supplemental oxygen for O2 sat <90% – Admit to the intensive care unit: Significant hypoxemia, Hemodynamic compromise  thrombolytic therapy – Mechanical ventilation for respiratory failure – For Hypotension: IVF, Vasopressor Support
  • 66.
    Anticoagulation IV Heparin – 80units/kg bolus followed by – 18 units/kg infusion • Monitor APTT 60-90 sec • Side effects: – HITS (Heparin induced thrombocytopenia syndrome): paradoxical hypercoagulable state leads to clots – Bleeding
  • 67.
  • 68.
    • Use ofHeparin Before and After Thrombolysis:Use of Heparin Before and After Thrombolysis:
  • 69.
    Low molecular weightHeparin (LMWH) - Duration: 6 to 9 months - Side effect: Low HITS
  • 70.
    FondaparinuxFondaparinux • Anticoagulant pentasaccharidethat specifically inhibits activated factor X • By selectively binding to antithrombin, it potentiates (about 300 times) the neutralization of factor Xa by antithrombin • It does not cross-react with heparin-induced antibodies • FDA has approved fondaparinux for initial treatment of acute PE and acute DVT as a bridge to oral anticoagulation with warfarin
  • 71.
    Vitamin K antagonist •Warfarin: – 5mg PO initial dose – Check regular INR 2-3 • Side effects: – Bleeding – Unusual bruises – Headache
  • 72.
    Novel Oral Anticoagulants(NOACs)Novel Oral Anticoagulants (NOACs) • Promise immediate onset of action and administration in fixed doses without routine laboratory coagulation monitoring but not used in severe renal impairment • Few interactions, making them more “user friendly”  Dabigatran: direct thrombin inhibitor (150mg bid)  Rivaroxaban: factor Xa inhibitor (15mg bid 3wks  20mg o.d)  Apixaban: factor Xa inhibitor (10mg bid 1wk  5mg bid)  Edoxaban: factor Xa inhibitor (60mg o.d, 30mg if low cr.cl. Or wt < 60 kg)
  • 73.
    *N.B.: The results ofthe trials (RE-COVER, RECORD-3, EINSTEIN-PE, AMPLIFY, Hokusai-VTE) using NOACs in the treatment of VTE indicate that these agents are non-inferior (in terms of efficacy) and possibly safer (particularly in terms of major bleeding) than the standard heparin/VKA regimen. High TTR values were achieved under VKA treatment in all trials; on the other hand, the study populations included relatively young patients, very few of whom had cancer.
  • 75.
    Recommendations for InitialAnticoagulation forRecommendations for Initial Anticoagulation for Acute PEAcute PE (AHA/ASC 2011, ACCP 2012)(AHA/ASC 2011, ACCP 2012) • Therapeutic anticoagulation with SC LMWH, IV or SC UFH with monitoring, unmonitored weight-based SC UFH, or SC fondaparinux + VKA (till INR >2 for 24 hr) should be given to pts with objectively confirmed PE and no # to anticoagulation (1B) • Therapeutic parenteral anticoagulation during the diagnostic workup should be given to pts with intermediate (if diag. delay >4hrs) or high clinical probability of PE & no # to anticoagulation (2C) • Therapeutic parenteral anticoagulation during the diagnostic workup is not given in low probability (if diag. not delayed than 24 hrs) (2C) Preferred than UFH except if # (renal impairment, with thrombolysis or can’t afford)
  • 76.
    Optimal Duration ofAnticoagulationOptimal Duration of Anticoagulation ACCP 2012 According to bleeding risk (3Ms or Extended)
  • 77.
    Thrombolysis • Indications: – MassivePE – Sub-massive PE where risk of bleeding low (in RVD?!) • Contraindications: – Bleeding, recent stroke, HI, current GI bleeding, bleeding PUD, surgery within 7 day, prolonged CPR
  • 79.
  • 80.
    • About administrationAboutadministration Intravenous route -- primary method of delivery Rapid infusion -- Shorter regimens may not only prove efficacious but also reduce the risk of hemorrhagic complications Catheter-directed therapy -- for massive PE, may induce major bleeding
  • 81.
    • General guidelinesfor administrationGeneral guidelines for administration
  • 82.
  • 84.
    • Potential Benefitsand HarmPotential Benefits and Harm Potential benefits include  More rapid resolution of symptoms (eg, dyspnea, chest pain, and psychological distress)  Stabilization of respiratory and cardiovascular function without need for mechanical ventilation or vasopressor support  Reduction of RV damage  Improved exercise tolerance  Prevention of PE recurrence  Increased probability of survival
  • 85.
    Potential harm includes Disabling or fatal hemorrhage including intracerebral hemorrhage  Increased risk of minor hemorrhage, resulting in prolongation of hospitalization and need for blood product replacement
  • 86.
    ACC/AHA & ACCPRecommendationsACC/AHA & ACCP Recommendations Through Peripheral Vein is better than Pulmonary Artery Catheter
  • 87.
    IVC filter • Indications: -DVT with massive pulmonary embolus - Recurrent PE not treatable with anticoagulation - Absolute contra-indications for anti-coagulation - Trauma patients • Not used in: - Patients with free-floating thrombi in the proximal veins - Patients scheduled for systemic thrombolysis, surgical embolectomy, or pulmonary thrombendarterectomy.
  • 89.
    • Various inferiorvena caval filtersVarious inferior vena caval filters:: A Greenfield filterA Greenfield filter B Titanium Greenfield filterB Titanium Greenfield filter C Simon-Nitinol filterC Simon-Nitinol filter D LGM or Vena Tech filterD LGM or Vena Tech filter E Amplatz filterE Amplatz filter F Bird’s Nest filterF Bird’s Nest filter G Günther filterG Günther filter **Located mostly below renal veinsLocated mostly below renal veins (Adapted from Becker et al.)
  • 90.
    • Complications associatedwith IVC filterComplications associated with IVC filter Early complications • Device malposition (1.3%) • Pneumothorax(0.02%), • Hematoma (0.6%) • Air embolism (0.2%) • Inadvertent carotid artery puncture (0.04%) • Arteriovenous fistula (0.02%) Late complications • Recurrent DVT (21%) • IVC thrombosis (2% to 10%), • IVC penetration (0.3%) • Filter migration (0.3%) • Recurrent PE (2-5%) • Fatal PE (0.7%)
  • 91.
    Recommendations on IVCFilters in theRecommendations on IVC Filters in the Setting of Acute PESetting of Acute PE
  • 93.
    Catheter-Based InterventionsCatheter-Based Interventions •Performed as an alternative to thrombolysis  When there are contraindications  When emergency surgical thrombectomy is unavailable or contraindicated  Hybrid therapy that includes both catheter-based clot fragmentation and local thrombolysis is an emerging strategy • Goals of catheter-based therapy include  Rapidly reducing pulmonary artery pressure, RV strain, and pulmonary vascular resistance (PVR)  Increasing systemic perfusion  Facilitating RV recovery
  • 94.
    • Categories ofpercutaneous intervention  Suction thrombectomy with aspiration catheters  Thrombus fragmentation with pigtail or balloon catheters  Rheolytic thrombectomy with hydrodynamic catheters (saline jet or drug)  Rotational thrombectomy  Conventional catheter directed thrombolysis (drugs)  U/S accelerated thrombolysis with CDT (inc permeability)  Pharmaco-mechanical thrombolysis (combined technique)
  • 95.
    • Catheter-directed therapyCatheter-directedtherapy Local delivery of streptokinase -- Extensive lysis (by perfusion scan and pulmonary arteriography at 12 to 24 hour follow-up) Intrapulmonary versus peripheral alteplase -- no advantage over the intravenous route Direct delivery into clot --Enhanced thrombolysis, relatively low doses (in an animal model of PE) -- Could prove advantageous over the intravenous route
  • 97.
    • Side Effects(2%)  Death from worsening RV failure,  Distal embolization,  Pulmonary artery perforation with lung hemorrhage,  Systemic bleeding complications,  Pericardial tamponade,  Heart block or bradycardia,  Haemolysis,  Contrast-induced nephropathy, and  Puncture-related complications
  • 98.
    Surgical EmbolectomySurgical Embolectomy •When contraindications preclude thrombolysis • Surgical excision of a right atrial thrombus • Rescue patients whose condition is refractory to thrombolysis • Older case series suggest a mortality rate between 20% and 30% • In a more recent study, 47 patients underwent surgical embolectomy in a 4-year period, with a 96% survival rate Am Heart J 2011;134:479-87
  • 99.
    Recommendations (AHA –ACCP)Recommendations (AHA – ACCP)
  • 102.
    PE in Pregnancy •All three components of Virchow’s triad are affected during pregnancy • D-dimer has high negative predictive value. False positive result is common • Ultrasonography of the legs is the initial investigation. • V/Q scan is preferred technique • CTPA can be done if V/Q is inconclusive • Preferred treatment option: LMWH • Warfarin is contraindicated
  • 105.
  • 106.
    Prevention of PE •Control of obesity • Stop smoking • Stockings • Heparin: 5000 units/day SC bid or tid • Enoxaprin: 40 mg/day SC
  • 107.
    1 Hospitalization withmedical illness Enoxaparin 40 mg SC qd or Dalteparin 5000 units SC qd or Fondaparinux 2.5 mg SC qd (in patients with a heparin allergy such as heparin-induced thrombocytopenia) or Graduated compression stockings or intermittent pneumatic compression 2 General surgery Unfractionated heparin 5000 units SC bid or tid or Enoxaparin 40 mg SC qd or Dalteparin 2500 or 5000 units SC qd 3 Major orthopedic surgery Warfarin (target INR 2 to 3) or Enoxaparin 30 mg SC bid or Enoxaparin 40 mg SC qd or Dalteparin 2500 or 5000 units SC qd or Fondaparinux 2.5 mg SC qd Rivaroxaban 10 mg qd (in Canada and Europe) Dabigatran 220 mg bid (in Canada and Europe)
  • 108.
    4 Oncologic surgeryEnoxaparin 40 mg SC qd 5 Neurosurgery Unfractionated heparin 5000 units SC bid or Enoxaparin 40 mg SC qd and Graduated compression stockings or intermittent pneumatic compression Consider surveillance lower extremity ultrasonography 6 Thoracic surgery Unfractionated heparin 5000 units SC tid and Graduated compression stockings or intermittent pneumatic compression
  • 109.
    CTEPH  It isan important cause of pulmonary hypertension (Class IV- mean PAP greater than 25 mm Hg) that either after PE is diagnosed (0.1-9.1% in 2yrs after PE) or even without previous PE. The only identifiable RFs for persistent pulmonary HTN: Age 70 years & Systolic PAP 50 mm Hg at the initial presentation ??  Unresolved residual thrombus becomes organized and fibrosed, leading to ongoing obstruction to pulmonary blood flow.  Untreated, this leads to progressive pulmonary hypertension, RV dysfunction, failure and death even on anticoagulation.
  • 111.
    “Not a disease,but a syndrome in which the pressure in the pulmonary circulation is raised”
  • 112.
  • 113.
    Progression of CTEPH Acuteor recurrent PTE in pulmonary arteries +/- inadequate anticoagulation Organisation these thrombi Occurence in situ thrombus due to slow blood flow in obstructed pulmonary arteries Occurence of arteritis in non obstructed small distal pulmonary arteries (remodelling) • Increased PVR, pulmonary hypertension CTEPH
  • 115.
    1. Hypertensive remodelingof the patent arteries 2. Chronic arteriopathy of the obstructed branches 3. Plexiform lesions  poor outcome after surgery 4. Development of pathological arterial shunts 5. In situ thrombosis ACCORDING TO THE LENGTH OF THE DISEASE Pathophysiology
  • 118.
    Diagnosis of CTEPH Toconfirm diagnosis, support ttt decisions & Measure PVR pre and postop
  • 119.
  • 120.
    Other Echo Findings Echosigns from at least two different categories (A/B/C) from the list should be present to alter the level of echo probability of pulmonary hypertension.
  • 121.
  • 122.
    Operability/Inoperability (subjective): • Functional classII–IV • Surgical accessibility of thrombi in the main, lobar, or segmental pulmonary arteries  proximal cases • Advanced age per se is no contraindication for surgery. • There is no pulmonary vascular resistance threshold or measure of RV dysfunction that absolutely precludes PEA. • Balloon pulmonary angioplasty Vs Medical treatment (anticoagulants, diuretics, O2)  in inoperable cases or distal cases • Drugs of PHTN tried in cases with microvascular abnormalities: in inoperable cases or persistent PHTN after surgery.
  • 123.
  • 124.
    Diagnosis of CTEPHwith functional impairment and/or right heart failure Surgically accessible obliteration of pulmonary vessels Estimated reduction in PVR>50% Advanced pulmonary vascular disease PVR disproportionately elevated Estimated reduction in PVR <50% Severe comorbidities Precluding surgery Severe comorbidities Precluding surgery PEA Medical Therapy Lung transplant Persistent symptomatic PHT Persistent symptomatic PHT No Yes No Circulation 2006;113;2011-2020 Anticoagulation Yes
  • 125.
    Humbert M etal. N Engl J Med. 2004;351:1425-1436. Targets for Current or Emerging TherapiesTargets for Current or Emerging Therapies Big EndothelinBig Endothelin Endothelin-Endothelin- convertingconverting EnzymeEnzyme EndothelinEndothelin Receptor AReceptor A EndothelinEndothelin Receptor BReceptor B VasoconstrictionVasoconstriction andand ProliferationProliferation Endothelin Receptor Antagonists Endothelin-1Endothelin-1 Endothelin PathwayEndothelin Pathway ArginineArginine Nitric OxideNitric Oxide SynthaseSynthase VasodilatationVasodilatation andand AntiproliferationAntiproliferation Nitric OxideNitric Oxide cGMPcGMP Exogenous Nitric Oxide Phosphodiesterase Type-5Phosphodiesterase Type-5 Phosphodiesterase Type-5 Inhibitors Nitric Oxide PathwayNitric Oxide Pathway Arachidonic AcidArachidonic Acid ProstacyclinProstacyclin SynthaseSynthase VasodilatationVasodilatation andand AntiproliferationAntiproliferation ProstacyclinProstacyclin cAMPcAMP ProstacyclinProstacyclin DerivativesDerivatives Prostacyclin Derivatives Prostacyclin PathwayProstacyclin Pathway Guanylate cyclase stimulator
  • 126.

Editor's Notes

  • #4 Stasis Due to immobilization Hypercoagulable state Malignancy; protein C or protein S deficiency; antithrombin III deficiency; factor V Leiden deficiency; hyperestrogen states such as pregnancy, oral contraceptive use, smoking ) ,
  • #11 All the above symptoms are a manifestation of cardiopulmonary stress caused by the cloth in the lung. These produce symptoms perceived by the patient and the signs observed by you! There are three common clinical presentations that you should be aware of: 1. Patient’s with pulmonary infarction may have pleuritic chest pain and can be hard to distinguish between that patient with infection pneumonitis 2. Submassive embolism are the hardest of all. By definition, they have an angiographically defined blockage of flow to an area served by less than two lobar arteries. These patients have acute or unexplained dyspnea with exertion or at rest. So, they can be easily confused with infection, asthma, CHF and the like. 3. Finally, Massive PE, or a clot which obstructs two lobar arteries, so-called “Saddle Embolus”. These patients have acute cor pulmonaly often with syncope. You might think there having an MI or look septic!
  • #15 These are the common symptoms that are associated with PE As we mentioned in the previous slide, dyspnea and chest pain are not always preset. The explanation is that with a small V/Q mismatch, the adaptive physiology of the pulmonary vasculature and bronchi produce intermittent shortness of breath. Because of this, we are easily distracted and looking for a cardiogenic cause of the dyspnea. What about pleuritic chest pain, still not a home run! In fact, up to 25% of patients ultimately diagnosed with a PE, never had any chest pain! This is what makes the diagnosis so difficult!
  • #16 Lets look a t a couple of these: Tachycardia! Myth #2 We are all taught this is a key component of the diagnosis. Right? In fact, actually not having tachycardia is more commonly seen in patients who are found to have a PE! What about fever? If a patient has a fever, it must not be a PE, right? Not true. Although not common, Among patients with PE and no other source of fever, fever was present in one study in 43 of 311 patients (14%).
  • #45 Two types, Qualitative RBC agglutination assay, low sensitivity and specificity and not good enough to comfortably rule out PE. Quantitative, which measure the accurately the amount using a spectrophotometer. Our lab uses the 2nd generation VIDAS d-dimer with a negative predictive value of 99.3%!