BByy DDrr.. HHyytthhaamm NNaaffaaddyy
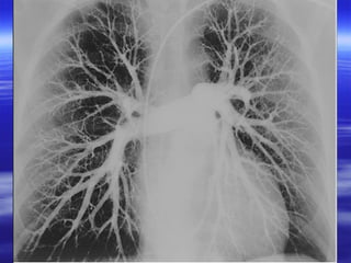
SSeeggmmeennttaall aannaattoommyy ooff tthhee lluunngg
Truncus anterior 
Interlobar artery 
Basal trunk
 In the cceennttrraall ppoorrttiioonnss ooff tthhee lluunnggss,, tthhee 
uuppppeerr lloobbee aarrtteerriieess aarree ggeenneerraallllyy cceennttrraall ttoo 
tthheeiirr aassssoocciiaatteedd bbrroonncchhii;; aanndd tthhee mmiiddddllee aanndd 
lloowweerr lloobbee aanndd lliinngguullaarr aarrtteerriieess aarree 
ggeenneerraallllyy ppeerriipphheerraall ttoo tthheeiirr aassssoocciiaatteedd 
bbrroonncchhii ((1122)).. TThhee ppuullmmoonnaarryy vveeiinnss aarree 
ggeenneerraallllyy aanntteerriioorr ttoo tthhee aarrtteerriieess eexxcceepptt iinn 
tthhee rriigghhtt uuppppeerr lloobbee..
PPaatthhoollooggyy
NNoonn tthhrroommbbttiicc ppuullmmoonnaarryy 
eemmbboolliissmm 
 FFaatt eemmbboolliissmm.. 
 AAiirr eemmbboolliissmm.. 
 AAmmnniioottiicc fflluuiidd eemmbboolliissmm.. 
 TTuummoorr eemmbboolliissmm ((HHCCCC && RRCCCC))..
TThhrroommbboottiicc ppuullmmoonnaarryy 
eemmbboolliissmm 
RRiisskk ffaaccttoorrss:: 
 PPrriimmaarryy hhyyppeerrccooaagguullaabbllee ssttaatteess 
– pprrootteeiinn CC ddeeffiicciieennccyy 
– lluuppuuss aannttiiccooaagguullaanntt 
 PPoossttooppeerraattiivvee 
 PPrreeggnnaannccyy 
 PPrroolloonnggeedd bbeedd rreesstt // iimmmmoobbiilliittyy 
 PPaarraanneeooppllaassttiicc ssyynnddrroommee 
 PPiillllss ((OOrraall ccoonnttrraacceeppttiivveess))
LLooccaattiioonn 
 MMuullttiippllee 6655%% 
 LLoowweerr lloobbee 5500%% 
 BBiillaatteerraall 4422%%
CC..PP ooff AAccuuttee ppuullmmoonnaarryy 
eemmbboolliissmm 
AAccuuttee ppuullmmoonnaarryy eemmbboolliissmm hhaass aa wwiiddee ssppeeccttrruumm ooff 
cclliinniiccaall mmaanniiffeessttaattiioonnss rraannggiinngg ffrroomm aabbsseennccee ooff 
ssyymmppttoommss ttoo ssuuddddeenn ddeeaatthh.. 
11.. MMoosstt ppaattiieennttss aarree aassyymmppttoommaattiicc.. 
22.. DDyyssppnneeaa,, ttaacchhyyppnneeaa && pplleeuurriittiicc cchheesstt ppaaiinn.. 
33.. SSyynnccooppee.. 
44.. EECCGG eevviiddeennccee ooff rriigghhtt vveennttrriiccuullaarr oovveerrllooaadd..
DDVVTT 
 NNoonn--ccoommpprreessssiibbllee vveennoouuss sseeggmmeenntt 
 IInnccrreeaasseedd vveennoouuss ddiiaammeetteerr :: aaccuuttee tthhrroommbbuuss 
 DDeeccrreeaasseedd vveennoouuss ddiiaammeetteerr :: cchhrroonniicc tthhrroommbbuuss 
 LLoossss ooff pphhaassiicc ffllooww oonn VVaallssaallvvaa mmaanneeuuvveerr 
 AAbbsseenntt ccoolloouurr ffllooww :: iiff ccoommpplleetteellyy oocccclluussiivvee 
 IInnccrreeaasseedd ffllooww iinn ssuuppeerrffiicciiaall vveeiinnss 
 LLaacckk ooff ffllooww aauuggmmeennttaattiioonn ooff ccaallff ssqquueeeezzee
AAbbsseenntt ccoolloorr ffllooww
SSeerrllooggiiccaall tteessttss 
((DD ddiimmeerr ((EELLIISSAA 
 SSeennssiittiivviittyy && --vvee pprreeddiiccttiivvee vvaalluuee:: ((110000%%((.. 
 SSppeecciiffiicciittyy:: ((5500%%(( 
 FFaallssee ppoossiittiivveess:: 
 iinnffllaammmmaattoorryy ccoonnddiittiioonnss,, 
 pprreeggnnaannccyy,, 
 aanneemmiiaa,, aanndd 
 lleeuukkooccyyttoossiiss..
IImmaaggiinngg mmooddaalliittiieess ffoorr aaccuuttee 
..ppuullmmoonnaarryy eemmbboolliissmm 
 CChheesstt xx--rraayy.. 
 VVeennttiillaattiioonn ppeerrffuussiioonn lluunngg ssccaann:: 
UUssiinngg TTeecchhnneettiiuumm--9999mm llaabbeelleedd mmaaccrroo aaggggrreeggaatteedd 
aallbbuummiinn ((MMAAAA(( ffoorr ppeerrffuussiioonn ssccaannss && XXeennoonn--113333 
ffoorr vveennttiillaattiioonn ssccaannss.. 
 HHeelliiccaall CCTT aannggiiooggrraapphhyy aanndd iinnddiirreecctt CCTT 
vveennooggrraapphhyy.. 
 MMRRAA 
 PPuullmmoonnaarryy aannggiiooggrraapphhyy
CChheesstt xx--rraayy 
AAddvvaannttaaggeess:: 
TThhee mmaaiinn rroollee ooff cchheesstt xx--rraayy iiss ttoo eexxcclluuddee ootthheerr 
ddiisseeaasseess ssuucchh aass ppnneeuummoonniiaa oorr ppnneeuummootthhoorraaxx 
tthhaatt mmaayy mmiimmiicc ppuullmmoonnaarryy eemmbboolliissmm cclliinniiccaallllyy.. 
AAllssoo cchheesstt xx--rraayy hheellppss iinn tthhee iinntteerrpprreettaattiioonn ooff 
vveennttiillaattiioonn ppeerrffuussiioonn lluunngg ssccaannss ((PPIIOOPPEEDD ccrriitteerriiaa((.. 
DDiissaaddvvaannttaaggeess:: 
CChheesstt xx--rraayy hhaass aa llooww sseennssiittiivviittyy && ssppeecciiffiicciittyy iinn 
ddiiaaggnnoossiiss ooff aaccuuttee ppuullmmoonnaarryy eemmbboolliissmm..
Radiographic ssiiggnnss ooff aaccuuttee 
ppuullmmoonnaarryy eemmbboolliissmm 
SSiiggnnss wwiitthh rreellaattiivvee hhiigghh ssppeecciiffiicciittyy bbuutt llooww sseennssiittiivviittyy ffoorr 
aaccuuttee ppuullmmoonnaarryy eemmbboolliissmm:: 
 DDeeccrreeaasseedd vvaassccuullaarriittyy iinn tthhee ppeerriipphheerraall lluunngg ((WWeesstteerrmmaarrkk 
ssiiggnn((.. 
 EEnnllaarrggeemmeenntt ooff tthhee cceennttrraall ppuullmmoonnaarryy aarrtteerryy ((FFlleeiisscchhnneerr 
ssiiggnn((.. 
 PPlleeuurraall bbaasseedd aarreeaass ooff iinnccrreeaasseedd ooppaacciittyy ((HHaammppttoonn hhuummpp((.. 
 HHeemmiiddiiaapphhrraaggmm eelleevvaattiioonn.. 
NNoonn ssppeecciiffiicc ssiiggnnss aassssoocciiaatteedd wwiitthh aaccuuttee ppuullmmoonnaarryy 
eemmbboolliissmm tthhaatt mmaayy bbee aassssoocciiaatteedd wwiitthh ootthheerr ddiisseeaasseess:: 
 FFooccaall aarreeaa ooff iinnccrreeaasseedd ooppaacciittyy.. 
 LLiinneeaarr aatteelleeccttaassiiss.. 
 PPlleeuurraall eeffffuussiioonn..
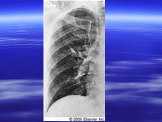
WWeesstteerrmmaarrkk’’ss ssiiggnn
Westermark sign, with hilar enlargement
HHaammppttoonn’’ss hhuummpp
HHaammppttoonn’’ss hhuummpp 
 DDoommee sshhaappeedd pplleeuurraall bbaasseedd ooppaacciittyy dduuee ttoo 
lluunngg iinnffaarrccttiioonn.. 
 PPuullmmoonnaarryy iinnffaarrcctt iiss ddoommee sshhaappeedd iinnsstteeaadd 
ooff bbeeiinngg wweeddggee sshhaappeedd bbeeccaauussee ooff ddoouubbllee 
bblloooodd ssuuppppllyy wwiitthh pprreesseerrvveedd bbrroonncchhiiaall 
aarrtteerriieess rreessuullttiinngg iinn ssppaarriinngg ooff tthhee eexxppeecctteedd 
aappeexx ooff tthhee wweeddggee..
SScciinnttiiggrraapphhyy 
((((vveennttiillaattiioonn ppeerrffuussiioonn lluunngg ssccaann 
AAddvvaannttaaggeess:: 
VVeerryy hhiigghh sseennssiittiivviittyy 9988%% ((iitt wwaass tthhee iimmaaggiinngg 
mmooddaalliittyy ooff cchhooiiccee iinn ddiiaaggnnoossiiss ooff ppuullmmoonnaarryy 
eemmbboolliissmm((.. 
DDiissaaddvvaannttaaggeess:: 
TThhee mmaaiinn oonnee wwaass hhiigghh ppeerrcceennttaaggee ooff nnoonn 
ddiiaaggnnoossttiicc iinntteerrmmeeddiiaattee pprroobbaabbiilliittyy ssccaannss.. 
VVeerryy llooww ssppeecciiffiicciittyy 1100%%..
Scintigraphic ffiinnddiinnggss ffoorr aaccuuttee 
ppuullmmoonnaarryy eemmbboolliissmm 
 VVeennttiillllaattiioonn ppeerrffuussiioonn mmiissmmaattcchh..
Ventillation scan Perfusion scan 
Normal 
Ventilation LUL PE
MMooddiiffiieedd PPIIOOPPEEDD ccrriitteerriiaa ffoorr 
..ddiiaaggnnoossiiss ooff ppuullmmoonnaarryy eemmbboolliissmm 
 HHiigghh pprroobbaabbiilliittyy.. 
 IInntteerrmmeeddiiaattee pprroobbaabbiilliittyy.. 
 LLooww pprroobbaabbiilliittyy.. 
 NNoorrmmaall..
HHeelliiccaall CCTT aannggiiooggrraapphhyy 
&& 
iinnddiirreecctt CCTT vveennooggrraapphhyy 
AAddvvaannttaaggeess:: 
 MMoorree aaccccuurraattee tthhaann sscciinnttiiggrraapphhyy.. 
 RRaappiidd.. 
 NNoonn iinnvvaassiivvee.. 
 RReeaaddiillyy aavvaaiillaabbllee.. 
 AAllssoo iinn ppaattiieennttss wwiitthhoouutt ppuullmmoonnaarryy 
eemmbboolliissmm hheelliiccaall CCTT pprroovviiddeess aann aalltteerrnnaattiivvee 
ddiiaaggnnoossiiss.. 
DDiissaaddvvaannttaaggeess:: 
VVaarriioouuss ppiittffaallllss..
CT findings ooff aaccuuttee ppuullmmoonnaarryy 
eemmbboolliissmm 
VVaassccuullaarr aabbnnoorrmmaalliittiieess:: 
 IInnttrraalluummiinnaall ffiilllliinngg ddeeffeeccttss tthhaatt ffoorrmmss aann aaccuuttee 
aannggllee wwiitthh tthhee vveesssseell wwaallll && mmaayy bbee ssuurrrroouunnddeedd 
bbyy ccoonnttrraasstt mmaatteerriiaall ((ppoolloo mmiinntt ssiiggnn oorr rraaiillwwaayy 
ssiiggnn((.. 
 TToottaall ccuuttooffff ooff vvaassccuullaarr eennhhaanncceemmeenntt.. 
 EEnnllaarrggeemmeenntt ooff tthhee oocccclluuddeedd vveesssseell.. 
AAnncciillllaarryy ffiinnddiinnggss:: 
 PPlleeuurraall bbaasseedd wweeddggee sshhaappeedd aarreeaass ooff iinnccrreeaasseedd 
aatttteennuuaattiioonn wwiitthh nnoo ccoonnttrraasstt eennhhaanncceemmeenntt.. 
 LLiinneeaarr aatteelleeccttaassiiss..
e Partial ecccceennttrriicc ffiilllliinngg ddeeffeecctt wwiitthh 
aaccuuttee aannggllee wwiitthh tthhee vveesssseell wwaallll
IInnttrraalluummiinnaall ffiilllliinngg ddeeffeecctt 
((((ppoolloo mmiinntt ssiiggnn
IInnttrraalluummiinnaall ffiilllliinngg ddeeffeecctt 
((((rraaiillwwaayy ttrraacckk ssiiggnn
EEnnllaarrggmmeenntt ooff tthhee oocccclluuddeedd 
vveesssseell
Ancillary findings ooff aaccuuttee ppuullmmoonnaarryy 
eemmbboolliissmm 
((((aatteelleeccttaattiicc bbaanndd
MMRRAA 
AAddvvaannttaaggeess:: 
DDiissaaddvvaannttaaggeess ((PPiittffaallllss aanndd aarrttiiffaaccttss((:: 
PPaattiieenntt rreellaatteedd:: 
rreessppiirraattoorryy mmoottiioonn.. 
MMRR rreeccoonnssttrruuccttiioonn rreellaatteedd:: 
GGiibbbbss aarrttiiffaacctt 
WWrraapp aarroouunndd.. 
AAmmpplliiffiieerr oovveerr rraannggiinngg.. 
CCoonnttrraasstt iinnjjeeccttiioonn rreellaatteedd:: 
TTrraannssiieenntt iinntteerrrruuppttiioonn ooff bboolluuss..
MMRRAA ffiinnddiinnggss 
 VViissuuaalliizzaattiioonn ooff tthhee iinnttrraavvaassccuullaarr ffiilllliinngg 
ddeeffeecctt.. 
 PPrroovviiddee pphhyyssiioollooggiicc iinnffoorrmmaattiioonn iinncclluuddiinngg 
tthhee rreeggiioonnaall ddiissttrriibbuuttiioonn ooff vveennttiillaattiioonn && 
ppeerrffuussiioonn..
PPuullmmoonnaarryy MMRRAA 
 PPuullmmoonnaarryy hhyyppeerrtteennssiioonn wwiitthh ddiillaatteedd cceennttrraall 
ppuullmmoonnaarryy aarrtteerriieess aanndd pprruunniinngg ooff 
ppeerriipphheerraall ppuullmmoonnaarryy aarrtteerriieess
PPuullmmoonnaarryy aannggiiooggrraapphhyy 
AAddvvaannttaaggeess:: 
TThhee mmoosstt ddeeffiinniittiivvee tteecchhnniiqquuee ffoorr ddiiaaggnnoossiiss ooff aaccuuttee 
ppuullmmoonnaarryy eemmbboolliissmm.. 
DDiissaaddvvaannttaaggeess:: 
IInnvvaassiivvee tteecchhnniiqquuee wwiitthh tthhee ffoolllloowwiinngg ppoossssiibbllee 
ccoommpplliiccaattiioonnss,, 
BBlleeeeddiinngg iinn tthhee ggrrooiinn.. 
RReeccuurrrreenntt vveennttrriiccuullaarr aarrrrhhyytthhmmiiaass.. 
RReessppiirraattoorryy aarrrreesstt rreeqquuiirriinngg vveennttiillaattoorryy ssuuppppoorrtt..
PPuullmmoonnaarryy aannggiiooggrraapphhiicc ffiinnddiinnggss 
PPrriimmaarryy ssiiggnnss:: 
TThhee oonnllyy pprriimmaarryy ssiiggnn ooff aaccuuttee ppuullmmoonnaarryy 
eemmbboolliissmm iiss ffiilllliinngg ddeeffeecctt.. 
SSeeccoonnddaarryy ssiiggnnss:: 
AAbbrruupptt oocccclluussiioonn ooff ppuullmmoonnaarryy aarrtteerryy.. 
AArreeaass ooff oolliiggeemmiiaa wwiitthh pprruunniinngg ooff tthhee 
bbrraanncchhiinngg vveesssseellss..
Chronic thromboembolic ppuullmmoonnaarryy 
eemmbboolliissmm 
 PPaattiieennttss wwiitthh cchhrroonniicc tthhrroommbbooeemmbboolliicc 
ppuullmmoonnaarryy eemmbboolliissmm aarree eevvaalluuaatteedd ffoorr tthhee 
ppoossssiibbllee tthhmmbbooeennddaarrtteerreeccttoommyy::
Pulmonary embolism
Pulmonary embolism
Pulmonary embolism

Pulmonary embolism

  • 1.
  • 2.
  • 4.
    Truncus anterior Interlobarartery Basal trunk
  • 7.
     In thecceennttrraall ppoorrttiioonnss ooff tthhee lluunnggss,, tthhee uuppppeerr lloobbee aarrtteerriieess aarree ggeenneerraallllyy cceennttrraall ttoo tthheeiirr aassssoocciiaatteedd bbrroonncchhii;; aanndd tthhee mmiiddddllee aanndd lloowweerr lloobbee aanndd lliinngguullaarr aarrtteerriieess aarree ggeenneerraallllyy ppeerriipphheerraall ttoo tthheeiirr aassssoocciiaatteedd bbrroonncchhii ((1122)).. TThhee ppuullmmoonnaarryy vveeiinnss aarree ggeenneerraallllyy aanntteerriioorr ttoo tthhee aarrtteerriieess eexxcceepptt iinn tthhee rriigghhtt uuppppeerr lloobbee..
  • 8.
  • 9.
    NNoonn tthhrroommbbttiicc ppuullmmoonnaarryy eemmbboolliissmm  FFaatt eemmbboolliissmm..  AAiirr eemmbboolliissmm..  AAmmnniioottiicc fflluuiidd eemmbboolliissmm..  TTuummoorr eemmbboolliissmm ((HHCCCC && RRCCCC))..
  • 10.
    TThhrroommbboottiicc ppuullmmoonnaarryy eemmbboolliissmm RRiisskk ffaaccttoorrss::  PPrriimmaarryy hhyyppeerrccooaagguullaabbllee ssttaatteess – pprrootteeiinn CC ddeeffiicciieennccyy – lluuppuuss aannttiiccooaagguullaanntt  PPoossttooppeerraattiivvee  PPrreeggnnaannccyy  PPrroolloonnggeedd bbeedd rreesstt // iimmmmoobbiilliittyy  PPaarraanneeooppllaassttiicc ssyynnddrroommee  PPiillllss ((OOrraall ccoonnttrraacceeppttiivveess))
  • 11.
    LLooccaattiioonn  MMuullttiippllee6655%%  LLoowweerr lloobbee 5500%%  BBiillaatteerraall 4422%%
  • 12.
    CC..PP ooff AAccuutteeppuullmmoonnaarryy eemmbboolliissmm AAccuuttee ppuullmmoonnaarryy eemmbboolliissmm hhaass aa wwiiddee ssppeeccttrruumm ooff cclliinniiccaall mmaanniiffeessttaattiioonnss rraannggiinngg ffrroomm aabbsseennccee ooff ssyymmppttoommss ttoo ssuuddddeenn ddeeaatthh.. 11.. MMoosstt ppaattiieennttss aarree aassyymmppttoommaattiicc.. 22.. DDyyssppnneeaa,, ttaacchhyyppnneeaa && pplleeuurriittiicc cchheesstt ppaaiinn.. 33.. SSyynnccooppee.. 44.. EECCGG eevviiddeennccee ooff rriigghhtt vveennttrriiccuullaarr oovveerrllooaadd..
  • 13.
    DDVVTT  NNoonn--ccoommpprreessssiibblleevveennoouuss sseeggmmeenntt  IInnccrreeaasseedd vveennoouuss ddiiaammeetteerr :: aaccuuttee tthhrroommbbuuss  DDeeccrreeaasseedd vveennoouuss ddiiaammeetteerr :: cchhrroonniicc tthhrroommbbuuss  LLoossss ooff pphhaassiicc ffllooww oonn VVaallssaallvvaa mmaanneeuuvveerr  AAbbsseenntt ccoolloouurr ffllooww :: iiff ccoommpplleetteellyy oocccclluussiivvee  IInnccrreeaasseedd ffllooww iinn ssuuppeerrffiicciiaall vveeiinnss  LLaacckk ooff ffllooww aauuggmmeennttaattiioonn ooff ccaallff ssqquueeeezzee
  • 14.
  • 15.
    SSeerrllooggiiccaall tteessttss ((DDddiimmeerr ((EELLIISSAA  SSeennssiittiivviittyy && --vvee pprreeddiiccttiivvee vvaalluuee:: ((110000%%((..  SSppeecciiffiicciittyy:: ((5500%%((  FFaallssee ppoossiittiivveess::  iinnffllaammmmaattoorryy ccoonnddiittiioonnss,,  pprreeggnnaannccyy,,  aanneemmiiaa,, aanndd  lleeuukkooccyyttoossiiss..
  • 16.
    IImmaaggiinngg mmooddaalliittiieess ffoorraaccuuttee ..ppuullmmoonnaarryy eemmbboolliissmm  CChheesstt xx--rraayy..  VVeennttiillaattiioonn ppeerrffuussiioonn lluunngg ssccaann:: UUssiinngg TTeecchhnneettiiuumm--9999mm llaabbeelleedd mmaaccrroo aaggggrreeggaatteedd aallbbuummiinn ((MMAAAA(( ffoorr ppeerrffuussiioonn ssccaannss && XXeennoonn--113333 ffoorr vveennttiillaattiioonn ssccaannss..  HHeelliiccaall CCTT aannggiiooggrraapphhyy aanndd iinnddiirreecctt CCTT vveennooggrraapphhyy..  MMRRAA  PPuullmmoonnaarryy aannggiiooggrraapphhyy
  • 17.
    CChheesstt xx--rraayy AAddvvaannttaaggeess:: TThhee mmaaiinn rroollee ooff cchheesstt xx--rraayy iiss ttoo eexxcclluuddee ootthheerr ddiisseeaasseess ssuucchh aass ppnneeuummoonniiaa oorr ppnneeuummootthhoorraaxx tthhaatt mmaayy mmiimmiicc ppuullmmoonnaarryy eemmbboolliissmm cclliinniiccaallllyy.. AAllssoo cchheesstt xx--rraayy hheellppss iinn tthhee iinntteerrpprreettaattiioonn ooff vveennttiillaattiioonn ppeerrffuussiioonn lluunngg ssccaannss ((PPIIOOPPEEDD ccrriitteerriiaa((.. DDiissaaddvvaannttaaggeess:: CChheesstt xx--rraayy hhaass aa llooww sseennssiittiivviittyy && ssppeecciiffiicciittyy iinn ddiiaaggnnoossiiss ooff aaccuuttee ppuullmmoonnaarryy eemmbboolliissmm..
  • 18.
    Radiographic ssiiggnnss ooffaaccuuttee ppuullmmoonnaarryy eemmbboolliissmm SSiiggnnss wwiitthh rreellaattiivvee hhiigghh ssppeecciiffiicciittyy bbuutt llooww sseennssiittiivviittyy ffoorr aaccuuttee ppuullmmoonnaarryy eemmbboolliissmm::  DDeeccrreeaasseedd vvaassccuullaarriittyy iinn tthhee ppeerriipphheerraall lluunngg ((WWeesstteerrmmaarrkk ssiiggnn((..  EEnnllaarrggeemmeenntt ooff tthhee cceennttrraall ppuullmmoonnaarryy aarrtteerryy ((FFlleeiisscchhnneerr ssiiggnn((..  PPlleeuurraall bbaasseedd aarreeaass ooff iinnccrreeaasseedd ooppaacciittyy ((HHaammppttoonn hhuummpp((..  HHeemmiiddiiaapphhrraaggmm eelleevvaattiioonn.. NNoonn ssppeecciiffiicc ssiiggnnss aassssoocciiaatteedd wwiitthh aaccuuttee ppuullmmoonnaarryy eemmbboolliissmm tthhaatt mmaayy bbee aassssoocciiaatteedd wwiitthh ootthheerr ddiisseeaasseess::  FFooccaall aarreeaa ooff iinnccrreeaasseedd ooppaacciittyy..  LLiinneeaarr aatteelleeccttaassiiss..  PPlleeuurraall eeffffuussiioonn..
  • 19.
  • 20.
    Westermark sign, withhilar enlargement
  • 22.
  • 23.
    HHaammppttoonn’’ss hhuummpp DDoommee sshhaappeedd pplleeuurraall bbaasseedd ooppaacciittyy dduuee ttoo lluunngg iinnffaarrccttiioonn..  PPuullmmoonnaarryy iinnffaarrcctt iiss ddoommee sshhaappeedd iinnsstteeaadd ooff bbeeiinngg wweeddggee sshhaappeedd bbeeccaauussee ooff ddoouubbllee bblloooodd ssuuppppllyy wwiitthh pprreesseerrvveedd bbrroonncchhiiaall aarrtteerriieess rreessuullttiinngg iinn ssppaarriinngg ooff tthhee eexxppeecctteedd aappeexx ooff tthhee wweeddggee..
  • 24.
    SScciinnttiiggrraapphhyy ((((vveennttiillaattiioonn ppeerrffuussiioonnlluunngg ssccaann AAddvvaannttaaggeess:: VVeerryy hhiigghh sseennssiittiivviittyy 9988%% ((iitt wwaass tthhee iimmaaggiinngg mmooddaalliittyy ooff cchhooiiccee iinn ddiiaaggnnoossiiss ooff ppuullmmoonnaarryy eemmbboolliissmm((.. DDiissaaddvvaannttaaggeess:: TThhee mmaaiinn oonnee wwaass hhiigghh ppeerrcceennttaaggee ooff nnoonn ddiiaaggnnoossttiicc iinntteerrmmeeddiiaattee pprroobbaabbiilliittyy ssccaannss.. VVeerryy llooww ssppeecciiffiicciittyy 1100%%..
  • 25.
    Scintigraphic ffiinnddiinnggss ffoorraaccuuttee ppuullmmoonnaarryy eemmbboolliissmm  VVeennttiillllaattiioonn ppeerrffuussiioonn mmiissmmaattcchh..
  • 26.
    Ventillation scan Perfusionscan Normal Ventilation LUL PE
  • 27.
    MMooddiiffiieedd PPIIOOPPEEDD ccrriitteerriiaaffoorr ..ddiiaaggnnoossiiss ooff ppuullmmoonnaarryy eemmbboolliissmm  HHiigghh pprroobbaabbiilliittyy..  IInntteerrmmeeddiiaattee pprroobbaabbiilliittyy..  LLooww pprroobbaabbiilliittyy..  NNoorrmmaall..
  • 28.
    HHeelliiccaall CCTT aannggiiooggrraapphhyy && iinnddiirreecctt CCTT vveennooggrraapphhyy AAddvvaannttaaggeess::  MMoorree aaccccuurraattee tthhaann sscciinnttiiggrraapphhyy..  RRaappiidd..  NNoonn iinnvvaassiivvee..  RReeaaddiillyy aavvaaiillaabbllee..  AAllssoo iinn ppaattiieennttss wwiitthhoouutt ppuullmmoonnaarryy eemmbboolliissmm hheelliiccaall CCTT pprroovviiddeess aann aalltteerrnnaattiivvee ddiiaaggnnoossiiss.. DDiissaaddvvaannttaaggeess:: VVaarriioouuss ppiittffaallllss..
  • 29.
    CT findings ooffaaccuuttee ppuullmmoonnaarryy eemmbboolliissmm VVaassccuullaarr aabbnnoorrmmaalliittiieess::  IInnttrraalluummiinnaall ffiilllliinngg ddeeffeeccttss tthhaatt ffoorrmmss aann aaccuuttee aannggllee wwiitthh tthhee vveesssseell wwaallll && mmaayy bbee ssuurrrroouunnddeedd bbyy ccoonnttrraasstt mmaatteerriiaall ((ppoolloo mmiinntt ssiiggnn oorr rraaiillwwaayy ssiiggnn((..  TToottaall ccuuttooffff ooff vvaassccuullaarr eennhhaanncceemmeenntt..  EEnnllaarrggeemmeenntt ooff tthhee oocccclluuddeedd vveesssseell.. AAnncciillllaarryy ffiinnddiinnggss::  PPlleeuurraall bbaasseedd wweeddggee sshhaappeedd aarreeaass ooff iinnccrreeaasseedd aatttteennuuaattiioonn wwiitthh nnoo ccoonnttrraasstt eennhhaanncceemmeenntt..  LLiinneeaarr aatteelleeccttaassiiss..
  • 30.
    e Partial ecccceennttrriiccffiilllliinngg ddeeffeecctt wwiitthh aaccuuttee aannggllee wwiitthh tthhee vveesssseell wwaallll
  • 31.
  • 32.
    IInnttrraalluummiinnaall ffiilllliinngg ddeeffeecctt ((((rraaiillwwaayy ttrraacckk ssiiggnn
  • 33.
    EEnnllaarrggmmeenntt ooff tthheeoocccclluuddeedd vveesssseell
  • 34.
    Ancillary findings ooffaaccuuttee ppuullmmoonnaarryy eemmbboolliissmm ((((aatteelleeccttaattiicc bbaanndd
  • 35.
    MMRRAA AAddvvaannttaaggeess:: DDiissaaddvvaannttaaggeess((PPiittffaallllss aanndd aarrttiiffaaccttss((:: PPaattiieenntt rreellaatteedd:: rreessppiirraattoorryy mmoottiioonn.. MMRR rreeccoonnssttrruuccttiioonn rreellaatteedd:: GGiibbbbss aarrttiiffaacctt WWrraapp aarroouunndd.. AAmmpplliiffiieerr oovveerr rraannggiinngg.. CCoonnttrraasstt iinnjjeeccttiioonn rreellaatteedd:: TTrraannssiieenntt iinntteerrrruuppttiioonn ooff bboolluuss..
  • 36.
    MMRRAA ffiinnddiinnggss VViissuuaalliizzaattiioonn ooff tthhee iinnttrraavvaassccuullaarr ffiilllliinngg ddeeffeecctt..  PPrroovviiddee pphhyyssiioollooggiicc iinnffoorrmmaattiioonn iinncclluuddiinngg tthhee rreeggiioonnaall ddiissttrriibbuuttiioonn ooff vveennttiillaattiioonn && ppeerrffuussiioonn..
  • 37.
    PPuullmmoonnaarryy MMRRAA PPuullmmoonnaarryy hhyyppeerrtteennssiioonn wwiitthh ddiillaatteedd cceennttrraall ppuullmmoonnaarryy aarrtteerriieess aanndd pprruunniinngg ooff ppeerriipphheerraall ppuullmmoonnaarryy aarrtteerriieess
  • 38.
    PPuullmmoonnaarryy aannggiiooggrraapphhyy AAddvvaannttaaggeess:: TThhee mmoosstt ddeeffiinniittiivvee tteecchhnniiqquuee ffoorr ddiiaaggnnoossiiss ooff aaccuuttee ppuullmmoonnaarryy eemmbboolliissmm.. DDiissaaddvvaannttaaggeess:: IInnvvaassiivvee tteecchhnniiqquuee wwiitthh tthhee ffoolllloowwiinngg ppoossssiibbllee ccoommpplliiccaattiioonnss,, BBlleeeeddiinngg iinn tthhee ggrrooiinn.. RReeccuurrrreenntt vveennttrriiccuullaarr aarrrrhhyytthhmmiiaass.. RReessppiirraattoorryy aarrrreesstt rreeqquuiirriinngg vveennttiillaattoorryy ssuuppppoorrtt..
  • 39.
    PPuullmmoonnaarryy aannggiiooggrraapphhiicc ffiinnddiinnggss PPrriimmaarryy ssiiggnnss:: TThhee oonnllyy pprriimmaarryy ssiiggnn ooff aaccuuttee ppuullmmoonnaarryy eemmbboolliissmm iiss ffiilllliinngg ddeeffeecctt.. SSeeccoonnddaarryy ssiiggnnss:: AAbbrruupptt oocccclluussiioonn ooff ppuullmmoonnaarryy aarrtteerryy.. AArreeaass ooff oolliiggeemmiiaa wwiitthh pprruunniinngg ooff tthhee bbrraanncchhiinngg vveesssseellss..
  • 40.
    Chronic thromboembolic ppuullmmoonnaarryy eemmbboolliissmm  PPaattiieennttss wwiitthh cchhrroonniicc tthhrroommbbooeemmbboolliicc ppuullmmoonnaarryy eemmbboolliissmm aarree eevvaalluuaatteedd ffoorr tthhee ppoossssiibbllee tthhmmbbooeennddaarrtteerreeccttoommyy::