PULMONARY EMBOLISM
Dr Kulbhushan Badyal
• Pulmonary embolism (PE) and deep vein thrombosis (DVT)
together constitute one of the “big three” cardiovascular
diseases, the other two being myocardial infarction (MI) and
stroke.
• Venous thromboembolism (VTE) encompasses PE and DVT.
• Estimates of the global incidence of VTE range from 1.2 to 2.7
per 1000 per year
• In US, PE causes more than 100,000 deaths annually.
• PE has an approximately 4% in-hospital case fatality rate in
adults 65 years of age or older in US.
• 30-day readmission rate is 15%, and the 6-month mortality
rate jumps to 20% in this population
Pathophysiology
• The Virchow triad of stasis, hypercoagulability, and
endothelial injury often activates the pathophysiologic
cascade leading to VTE.
• Inflammation is not included in Virchow triad, but it is a key
precipitant.
• Infection and its associated inflammation lead to recruitment
of platelets—one of the first steps necessary for thrombus
initiation.
• Activated platelets release polyphosphates, procoagulant
microparticles and proinflammatory mediators.
• These activated platelets bind neutrophils and stimulate them
to release their nuclear material and to form weblike
extracellular networks containing DNA, histones, and
neutrophil granule constituents.
• These networks are called neutrophil extracellular traps (NETs) and
consist of DNA extruded from leukocytes
• NETs are prothrombotic and procoagulant. Histones stimulate
platelet aggregation and promote platelet-dependent thrombin
generation
• As venous thrombi start to organize, neutrophils infiltrate the NETs.
As thrombi mature, NETs provide the scaffold that binds red blood
cells and promotes further platelet aggregation.
• Venous thrombi contain fibrin, red blood cells, platelets, and
neutrophils
• These thrombi flourish in an environment of stasis, low oxygen
tension, oxidative stress, increased expression of proinflammatory
gene products, and impaired endothelial cell regulatory capacity.
• Inflammation resulting from infection, transfusion, or
erythropoiesis-stimulating factor activates a cascade of biochemical
reactions in the vein endothelium that promotes thrombosis
Massive Pulmonary Embolism
• Patients present with cardiogenic shock and multisystem
organ failure.
• Renal insufficiency, hepatic dysfunction, and altered
mentation occur commonly.
• It has high mortality rate & thrombosis is widespread,
affecting at least half of the pulmonary arterial vasculature.
• Clot typically is present bilaterally, sometimes as “saddle” PE
in the main pulmonary artery.
• Dyspnea usually is the most prominent symptom; chest pain is
unusual; transient cyanosis is common; and systemic arterial
hypotension requiring pressor support occurs frequently.
• Excessive fluid boluses may worsen right-sided heart failure,
rendering therapy more difficult.
• These patients may require extracorporeal membrane
oxygenation for survival
Submassive PE
• Patients present with normal systemic arterial pressure.
• The European Society of Cardiology PE Guidelines subdivide
submassive PE into high-risk and low-risk entities.
• Submassive PE- high risk, present with both right ventricular
hypokinesis and elevated cardiac biomarkers such as troponin,
pro-BNP, or BNP.
• Those with submassive PE- low risk, present either with right
ventricular dysfunction or elevated cardiac biomarkers, but not
both.
• One third or more of the pulmonary artery vasculature is
obstructed
• Sudden onset of moderate pulmonary arterial hypertension and
right ventricular enlargement occur commonly.
Low-Risk Pulmonary Embolism
• They exhibit no markers of an adverse prognosis.
• Patients present with normal systemic arterial pressure, no
cardiac biomarker release, and normal right ventricular
function.
• They often prove to have an anatomically small PE and appear
clinically stable.
• Adequate anticoagulation usually leads to an excellent clinical
outcome.
• They may be good candidates for home therapy.
Pulmonary Infarction
• Pulmonary infarction is characterized by pleuritic chest pain
that may be unremitting or may wax and wane.
• Hemoptysis occasionally accompanies the pleurisy.
• The embolus typically lodges in the peripheral pulmonary
arterial tree, near the pleura.
• Tissue infarction usually occurs 3 to 7 days after embolism.
• Signs and symptoms often include fever, leukocytosis,
elevated erythrocyte sedimentation rate,and radiologic
evidence of infarction.
Nonthrombotic Pulmonary Embolism
• Sources of embolism other than thrombus are uncommon.
• They include fat, tumor, air, and amniotic fluid.
• Fat embolism most often occurs after blunt trauma
complicated by long bone fractures.
• Air embolus can occur during placement or removal of a
central venous catheter.
• Amniotic fluid embolism may be catastrophic and is
characterized by respiratory failure, cardiogenic shock, and
disseminated intravascular coagulation.
• Intravenous drug abusers sometimes self-inject hair, talc, and
cotton as contaminants of the drug of abuse; these patients
also are susceptible to septic PE, which can cause endocarditis
of the tricuspid or pulmonic valve.
• PE should be suspected in hypotensive patients who have evidence
of
– venous thrombosis or predisposing VTE risk factors,
– acute cor pulmonale (acute right ventricular failure), with
features such as distended neck veins, right-sided S3 gallop,
right ventricular heave, tachycardia, or tachypnea,
– Especially, if there are echocardiographic findings of right
ventricular dilation and hypokinesis or electrocardiographic
evidence of acute cor pulmonale manifested by a new S1Q3T3
pattern
– new right bundle branch block, or right ventricular ischemia
with inferior T wave inversion, or T wave inversion in leads V1
through V4.
• Clinical decision rules can stratify patients into groups with a high
clinical likelihood of PE or without a high clinical likelihood of PE,
using a set of seven bedside assessment questions known as the
Wells criteria
Two-level PE Wells score
PE likely PE unlikely
1. Offer immediate CTPA 1. Offer a D-dimer test
2. If CTPA not immediately
available offer interim
parenteral anticoagulant
therapy followed by CTPA
2. If D-dimer positive offer
immediate CTPA
3. If CTPA negative and DVT
suspected consider proximal
leg vein ultrasound
3. If CTPA not immediately
available offer interim
parenteral anticoagulant
therapy followed by CTPA
Diagnostic Methods Other Than Imaging
Plasma D-Dimer Assay
• Blood screening test that relies on the following principle: Most patients with
PE have ongoing endogenous fibrinolysis that is not effective enough to
prevent PE but breaks down some of the fibrin clot to D-dimers.
• Although elevated plasma concentrations of D-dimers are sensitive for the
diagnosis of PE, they are not specific.
• Even in the absence of PE, levels are elevated for at least 1 week
postoperatively and also are abnormally high in patients with MI, sepsis,
cancer, or almost any other systemic illness.
• The plasma D-dimer assay therefore is ideally suited for screening outpatients
or emergency department patients who have suspected PE but no coexisting
acute systemic illness.
• This test generally is not useful for screening acutely ill hospitalized inpatients,
because they usually have elevated D-dimer levels.
• In addition to being a screening test for PE, an elevated D-dimer
independently correlates with increased rates of mortality and subsequent
VTE across a broad variety of disease states.
Electrocardiogram
• The electrocardiogram (ECG) helps exclude acute MI and acute
pericarditis.
• This test may lead clinician toward the diagnosis of PE among patients
with electrocardiographic manifestations of right sided heart strain.
• The most famous sign of right heart strain is S1Q3T3
• The most common sign is T wave inversion in leads V1 to V4.
• Keep in mind that right-sided heart strain is not specific for PE and may be
observed in patients with asthma, COPD, or idiopathic pulmonary
hypertension.
• In patients with massive PE, the ECG may not be especially remarkable
and may exhibit sinus tachycardia or slight ST-segment and T-wave
abnormalities, or may even have an entirely normal appearance.
Imaging Methods
Chest Radiography
• A near-normal radiographic appearance in the setting of
severe respiratory compromise is highly suggestive of massive
PE.
• Major chest radiographic abnormalities are uncommon.
• Focal oligemia (Westermark sign) indicates massive central
embolic occlusion.
• A peripheral wedge-shaped density above the diaphragm
(Hampton hump) usually indicates pulmonary infarction.
• A subtle abnormality suggestive of PE is enlargement of the
descending right pulmonary artery.
• The chest radiograph also can help identify patients with
diseases that mimic PE, such as lobar pneumonia and
pneumothorax, but patients with these illnesses also can have
concomitant PE.
Lung Scanning
• Pulmonary radionuclide perfusion scintigraphy (lung scanning) uses
radiolabeled aggregates of albumin or microspheres that lodge in the
pulmonary microvasculature.
• Patients with large PE often have multiple perfusion defects.
• If ventilation scanning is performed on a patient with PE but no intrinsic
lung disease, a normal ventilation study result is expected, yielding
ventilation-perfusion mismatch interpreted as a high probability of PE.
• However, many patients with low-probability scans but with clinical
findings strongly suggestive of PE do, in fact, have PE proven by invasive
pulmonary angiography.
• Thus, a clinical probability assessment helps in correct interpretation of
the scan results.
• Most lung scans are nondiagnostic. An unequivocal normal or high-
probability scan is the exception, not the rule.
• Interobserver variability is common, even among experts.
• Three principal indications for obtaining a lung scan are renal insufficiency,
anaphylaxis occurring in reaction to an intravenous contrast agent that
cannot be suppressed with high-dose corticosteroids, and pregnancy
(lower radiation exposure to the fetus than CT scanning).
Chest Computed Tomography
• Chest CT has supplanted pulmonary radionuclide perfusion scintigraphy as
the initial imaging test in most patients with suspected PE.
• Multidetector-row CT scanners can rapidly image the entire chest with
submillimeter resolution. Three-dimensional images can be reconstructed,
and color can be added electronically to enhance details of thrombus
localization.
• The CT scan helps determine surgical or catheter accessibility to the
thrombus. One cautionary note is that the CT scan may lead to
overdiagnosis of PE due to breathing motion artifact or beam-hardening
artifact.
• The latest generation of scanners can image thrombus in sixth-order
vessels. These thrombi are so tiny that their clinical significance is
uncertain.
• The chest CT scan also can detect other pulmonary diseases that manifest
in conjunction with PE or explain a clinical presentation that mimics PE.
These diseases include pneumonia, atelectasis, pneumothorax, and
pleural effusion, which may not be well visualized on the chest radiograph.
• A chest CT scan sometimes detects an incidental but critical finding, such
as a small lung carcinoma.
• For patients with PE, the CT scan serves as a prognostic and
diagnostic test.
• It shows a four-chamber view of the heart and images the
pulmonary arteries.
• Careful evaluation can detect signs of right ventricular dysfunction
by analyzing
– the right ventricular–to–left ventricular diameter ratio
– right ventricular–to–left ventricular volume ratio
– interventricular septal bowing, and
– reflux of contrast medium into the inferior vena cava.
Right ventricular enlargement on CT correlates with right
ventricular dysfunction and portends a complicated hospital
course often marked by clinical deterioration.
A right-to-left ventricular dimensional ratio of 0.9 or greater on a
chest CT scan is abnormal, indicates right ventricular
enlargement, and correlates with right ventricular dysfunction
on echocardiography.
Echocardiography
• About one half of unselected patients with acute PE have
normal echocardiographic findings, so this modality is not
recommended as a routine diagnostic test for PE.
• Echocardiography is, however, a rapid, practical, and sensitive
technique for detection of right ventricular overload among
patients with established PE.
• Moderate or severe right ventricular hypokinesis, persistent
pulmonary hypertension, patent foramen ovale, and free-
floating thrombus in the right atrium or right ventricle are
associated with a high risk of death or recurrent
thromboembolism.
• Echocardiography also can help identify illnesses that may
mimic PE, such as MI and pericardial disease.
Venous Ultrasonography
• The primary diagnostic criterion for DVT on ultrasound
imaging is loss of vein compressibility.
• Normally, the vein collapses completely when gentle pressure
is applied to the skin overlying it.
• Upper extremity DVT can be more difficult to diagnose than
leg DVT because the clavicle can hinder attempts to compress
the subclavian vein.
• At least one half of the patients with PE have no imaging
evidence of DVT, probably because the entire DVT embolized
to the pulmonary arteries.
• Therefore, if the level of clinical suspicion of PE is moderate or
high, patients without evidence of DVT should undergo
further investigation for PE.
Magnetic Resonance Imaging
• Gadolinium-enhanced magnetic resonance angiography
(MRA) is far less sensitive than CT for the detection of PE, but
unlike chest CT or catheter-based pulmonary angiography,
MRA does not require ionizing radiation or injection of an
iodinated contrast agent.
• Pulmonary MRA also can assess right ventricular size and
function.
• Three-dimensional MRA can be performed during a single
breath-hold and may provide high resolution from the main
pulmonary artery through the segmental pulmonary artery
branches.
• MRA has limited sensitivity for detection of distal PE and
cannot be used as a stand-alone test to exclude PE.
Pulmonary Angiography
• Invasive pulmonary angiography formerly was the reference
standard for the diagnosis of PE, but it is now rarely
performed as a diagnostic test.
• Use of this modality is routine, however, to plan interventions
such as pharmacomechanical catheter–assisted therapy.
• New thrombus usually has a concave edge.
• Chronic thrombus leads to bandlike defects called webs, in
addition to intimal irregularities and abrupt narrowing or
occlusion of lobar vessels.
Contrast Phlebography
• Although contrast phlebography was once the reference
standard for DVT diagnosis, this study is now rarely obtained
for diagnostic purposes.
• Venography is the first step, however, for evaluation of
patients with large femoral or iliofemoral DVT who will
undergo invasive pharmacomechanical catheter–directed
therapy.
Table 1: Rationale for PE History and Physical Examination
History / Examination clue Clinical relevance
No other diagnosis more likely than PE, an
established diagnosis of DVT.
The two most significant predictors of PE.
Patient presents with hypotension or signs of
shock.
Early definitive diagnosis is required, and
primary reperfusion started.
Recent surgery, trauma, immobilization (>2
weeks).
Imply for a PROVOKED episode, and the
need for a time limited treatment.
History of: prior DVT or PE, CVA or TIA at a
young age (below 50), multiple abortions,
family history of venous thrombosis.
Imply for an UNPROVOKED episode,
requiring lifelong treatment, possibly due to
an underlying thrombophilia.
History of active malignancy. A major cause for PE. Will necessitate long
term treatment, for as long as malignancy
active. Also, should consider LMWH
Patient pregnant, iodine allergy, end stage
renal failure.
Should consider V/Q scan over CTA for
diagnosis.
History of major bleeding (CNS or GI), age
above 75, previous stroke, recurrent falls,
low platelet count, use of concomitant anti-
platelet, hepatic or renal failure, active
cancer.
Suggest that a patient may be at high risk of
bleeding and thus risk of long-term
treatment should be carefully weighed
against benefit
Does the patient suffer from end stage renal
failure / dialysis?
NOAC other than apixaban / LMWH are not
an option. Should favor apixaban or VKA.
If: older age, tachycardia, tachypnea, low
blood pressure, O2 saturation below 90%
and altered mental state.
Not suitable for outpatient treatment
Patient already treated with NOAC or LMWH
at time of diagnosis with PE.
Asses for low compliance and occult
malignancy. Should switch NOAC's to LMWH.
If already on LMWH – increase dosage or
consider alternative agent (e.g.
fondaparinux).
CNS - Central nervous system, CTA - Computed tomography angiography, CVA / TIA -
Cerebrovascular accident / Transient ischemic attack, DOAC - Direct oral anti-coagulant, DVT
- Deep vein thrombosis, GI - Gastro intestinal, LMWH - Low molecular weight heparin, PE -
Pulmonary embolism, VKA – vitamin K antagonist, V/Q scan - Ventilation perfusion scan
Table 2: Relevant Laboratory Tests for Patients Suspected of Having PE
Laboratory test Main objective
Complete blood count Significant anemia or thrombocytopenia
might affect treatment.
Basic metabolic panel Impaired renal function might prevent CT
angiography and suggest one therapy over
another
Coagulation tests (PT/PTT) Assess bleeding risk before anti coagulation
or thrombolysis.
D-dimer Should be tested in low pre-test probability
patients. Helps exclude PE due to high
negative predictive value.
N terminal – pro Brain Natriuretic Peptide /
Troponin T or I
Reflect right ventricle pressure overload &
sub – endocardial ischemia respectively.
High levels associated with increased
mortality and render patients as high risk.
These patients should be monitored closely.
Importantly, whether or not they should be
treated differently is a matter of debate
Anti-phospholipid antibody panel Obtain when PE diagnosis confirmed.
Treatment with DOAC not an option and
should treat with VKA
CT – Computed tomography, DOAC - Direct oral anticoagulant, VKA - Vitamin K antagonist
Management of Acute Pulmonary
Embolism
Risk Stratification
• PE manifests with a wide spectrum of acuity, ranging from
mild to severe. Therefore, rapid and accurate risk stratification
assumes paramount importance.
• Low-risk patients have an excellent prognosis with
anticoagulation alone.
• High-risk patients may require intensive hemodynamic and
respiratory support with pressors, mechanical ventilation, or
extracorporeal membrane oxygenation.
• In addition to anticoagulation, advanced management options
include systemic thrombolysis, pharmacomechanical
catheter–assisted therapy, vena cava filter placement, or
surgical embolectomy
Figure 2
– PE Patient Treatment.
• Biomarkers – Troponin / Brain Natriuretic Peptide. CDT – Catheter Directed Thrombolysis. D/C – Discharge. DOAC –
Direct Oral Anticoagulant. ECHO – Echocardiography. ICU – Intensive Care Unit. LMWH – Low Molecular Weight
Heparin. OP – Outpatient. TT – Thrombolytic Therapy. UFH – Un Fractionated Heparin. Worsening signs of shock –
Significant drop in systolic blood pressure, Decreased urine output, decreased mental state.
• Stable / low risk patient – low clinical assessment risk (PESI I-II), no imaging findings or biomarkers
Parenteral Anticoagulation Therapy
• Anticoagulation is the cornerstone of treatment for acute PE.
• Unfractionated heparin (UFH) -The short half-life of UFH is
advantageous for patients who may require subsequent insertion
of an inferior vena cava filter, systemic thrombolysis, catheter-
directed pharmacomechanical therapy, or surgical embolectomy.
• Heparin acts primarily by binding to antithrombin, a protein that
inhibits the coagulation factors -thrombin (factor IIa) and factors
Xa, IXa, XIa, and XIIa.
• Heparin subsequently promotes a conformational change in
antithrombin that accelerates its activity approximately 100- to
1000-fold. This action prevents additional thrombus formation
and permits endogenous fibrinolytic mechanisms to lyse at least
some of the clot that has already formed.
• Heparin does not directly dissolve thrombus.
• Beyond its anticoagulant activity, heparin also exerts pleiotropic
effects, including antiinflammatory and vasodilatory properties.
• For patients with average bleeding risk, UFH should be started with
an intravenous bolus of 80 units/kg, followed by a continuous
infusion at 18 units/kg/hr.
• The aPTT should be targeted between 1.5 and 2.5 times the control
value.
• The therapeutic range commonly is 60 to 80 seconds.
• Monitoring continuous intravenous UFH infusions using anti-Xa
assays (instead of aPTT) is gaining popularity, because this approach
measures heparin's effect directly. This assay has special utility for
patients with a baseline elevation in aPTT, such as those with lupus
anticoagulant.
• The target level for therapeutic dosing is 0.3 to 0.7 units/mL.
Low-Molecular-Weight Heparin
• It consists of fragments of UFH that exhibit less binding to plasma proteins and
endothelial cells. It therefore has greater bioavailability, with a more predictable
dose response, and a longer half-life compared with UFH.
• These features permit weight-based LMWH dosing without laboratory tests,
because no dose adjustment is needed in most instances.
• The kidneys metabolize LMWH, and patients with renal impairment require
downward adjustment of LMWH dosing.
• If a quantitative assay is desired, an anti-Xa level can be obtained.
• Whether use of anti-Xa levels improves efficacy and safety remains controversial.
• LMWH is recommended as monotherapy without anticoagulation for cancer
patients with VTE.
• In one randomized trial, dalteparin monotherapy reduced by about half the
recurrent VTE rate compared with warfarin.
• In a subsequent trial of tinzaparin monotherapy versus warfarin in cancer patients,
patients treated with tinzaparin had a rate of bleeding about 40% lower than those
treated with warfarin.
• A randomized trial of edoxaban versus LMWH for treatment of VTE in cancer
patients is ongoing.
Fondaparinux
• Fondaparinux is an anticoagulant pentasaccharide that specifically
inhibits activated factor X.
• It can be thought of as an ultra–low-molecular-weight heparin.
• Fondaparinux's predictable and sustained pharmacokinetic
properties allow a fixed-dose, once-daily subcutaneous injection,
without the need for coagulation laboratory monitoring or dose
adjustment.
• Fondaparinux has a 17-hour half-life, and its elimination is
prolonged in patients with renal impairment.
• Fondaparinux is licensed for the initial treatment of acute PE and
acute DVT.
Warfarin Anticoagulation
• Warfarin is a vitamin K antagonist, first approved for clinical use in 1954.
• It prevents gammacarboxylation activation of coagulation factors II, VII, IX,
and X. The full anticoagulant effect of warfarin becomes evident after 5 to
7 days, even if the prothrombin time, used to monitor warfarin's effect,
becomes elevated more rapidly.
• For patients with VTE, the usual target international normalized ratio (INR)
range is between 2.0 and 3.0.
• Self-monitoring of INRs improves patient satisfaction and quality of life
and may reduce the rate of thromboembolic events.
Warfarin Overlap with Heparin
• Initiation of warfarin as monotherapy to treat acute VTE without UFH,
LMWH, or fondaparinux may paradoxically exacerbate hypercoagulability,
increasing the likelihood of recurrent thrombosis.
• Warfarin monotherapy decreases the levels of two endogenous
anticoagulants, proteins C and S—thus increasing thrombogenic potential.
• Overlapping warfarin for at least 5 days with an immediately effective
parenteral anticoagulant counteracts the procoagulant effect of
unopposed warfarin.
Dosing and Monitoring of Warfarin
• Most practitioners begin with 5 mg daily.
• Debilitated or elderly patients require a reduced dose.
• High INRs predispose to bleeding complications and constitute the most common
reason for emergency hospitalization for adverse drug events in older people.
• In contrast, subtherapeutic dosing makes patients vulnerable to recurrent VTE.
• All patients taking warfarin should wear a medical alert bracelet or necklace in
case they require rapid reversal of warfarin.
• Warfarin can have side effects other than hemorrhage, such as hair loss and
increased levels of arterial calcification.
• Some patients complain of “feeling cold” and fatigue.
• Warfarin use is plagued by multiple drug-drug and drug-food interactions. Most
antibiotics increase the INR, but some, like rifampin, lower the INR. Even
seemingly benign drugs such as acetaminophen increase the INR in a dose-
dependent manner.
• On the other hand, green leafy vegetables contain vitamin K, which lowers the
INR.
• Concomitant medications with antiplatelet effects may increase the bleeding risk
without increasing the INR. These include fish oil supplements, vitamin E, and
alcohol.
Novel Oral Anticoagulants
• Non–vitamin K antagonist oral anticoagulants (NOACs) have a rapid onset
of action and provide full anticoagulation within several hours of
ingestion.
• They are prescribed in fixed doses without laboratory coagulation
monitoring and have minimal drug-drug or drug-food interactions.
• These agents have a short half-life, so do not require bridging when they
are stopped for an invasive diagnostic or surgical procedure.
• For VTE treatment, they are noninferior to warfarin for efficacy and are
superior to warfarin for safety.
Evolution of Oral Anticoagulants for Pulmonary Embolism and Deep Vein
Thrombosis Treatment
• The limitations of warfarin prompted the development of NOACs.
• Four NOACs are licensed for VTE treatment: dabigatran (an oral thrombin
inhibitor) and three factor Xa inhibitors: rivaroxaban, apixaban, and
edoxaban.
• For extended therapy after an initial 6-month course of anticoagulation,
dabigatran was compared with warfarin and with placebo.
• Extended therapy studies against placebo were also carried out with
rivaroxaban83 and with apixaban.
2016 American College of Chest Physicians Guidelines
• The American College of Chest Physicians (ACCP) 2016 Guidelines
recommend NOACs rather than warfarin to treat acute VTE patients
(without cancer), regardless of whether short-term (3 to 6 months)
anticoagulation is planned or extended anticoagulation without a
stop date is planned.
• The 2016 Guidelines are based upon the pivotal trials used to
obtain Food and Drug Administration (FDA) approval for dabigatran,
rivaroxaban, apixaban, and edoxaban and characterize the evidence
favoring NOACs over warfarin as “moderate or high quality.”
• The Guidelines add: “Based on less bleeding with NOACs and
greater convenience for patients and health-care providers, we now
suggest that a NOAC is used in preference to vitamin K antagonists
for the initial and long-term treatment of VTE in patients without
cancer.”
Advanced Therapy (in Addition to Anticoagulation)
for Acute Pulmonary Embolism
• Patients with massive PE or high-risk submassive PE (with both right
ventricular dysfunction and troponin elevation due to right
ventricular injury) generally warrant advanced therapy.
• Options include full-dose systemic thrombolysis, half-dose systemic
thrombolysis, pharmacomechanical catheter–directed therapy
(usually with low-dose thrombolysis), surgical embolectomy, and
inferior vena cava filter placement.
Systemic Thrombolysis Administered Through a Peripheral Vein
• Thrombolysis reverses right-sided heart failure by physical
dissolution of anatomically obstructing pulmonary arterial
thrombus.
• The hallmarks of successful therapy are reduction of right
ventricular pressure overload and prevention of continued release
of serotonin and other neurohumoral factors that exacerbate
pulmonary hypertension.
• Dissolution of thrombus in the pelvic or deep leg veins theoretically
decreases the likelihood of recurrent PE.
• Thrombolysis may also improve pulmonary capillary blood flow and
reduce the likelihood of developing CTEPH.
• When prescribing thrombolysis, there are three intensities of dosing:
– full-dose systemic thrombolysis (licensed),
– half-dose systemic thrombolysis (prescribed off label), or
– low-dose thrombolysis as part of a strategy of using catheter-directed
pharmacomechanical therapy in the cardiac catheterization or
Interventional Radiology laboratory.64
• The FDA has approved alteplase for massive PE, in a dose of 100 mg
delivered through a peripheral vein as a continuous infusion over 2 hours,
without concomitant heparin.
• Patients who receive thrombolysis up to 14 days after onset of new
symptoms or signs can derive benefit, probably because of the effects on
the bronchial collateral circulation.
• Intracranial hemorrhage is the most feared and severe complication.
• Thrombolysis resulted in a 47% reduction in the all-cause mortality rate, a
60% decrease in recurrent PE, a 2.7-fold increased risk of major bleeding,
and a 4.6-fold increased risk of intracranial hemorrhage., when compared
to anticoagulation alone.
Advances in Pharmacomechanical Catheter–Directed Therapy, Including
Thrombolysis
• The 1% to 3% rate of intracranial hemorrhage in patients with PE receiving
full-dose systemic thrombolysis has dampened enthusiasm for this
potentially life-saving therapy.
• Pharmacomechanical catheter–directed reperfusion, however, holds the
promise of good efficacy, with lower rates of major bleeding owing to
lower doses of thrombolytic agent.
• The typical dose of tissue plasminogen activator in a pharmacomechanical
catheter–based procedure, for example, is 24 mg or less—compared with
100 mg for systemic administration.
• Interventional mechanical techniques usually performed in conjunction
with low-dose thrombolysis include mechanical fragmentation and
aspiration of thrombus through a standard pulmonary artery catheter, clot
pulverization with a rotating basket catheter, rheolytic thrombectomy, and
pigtail rotational catheter embolectomy.
• After reduction of thrombus burden, pulmonary artery balloon dilation
and stenting can be undertaken to treat residual vessel stenoses.
• Successful catheter embolectomy rapidly restores normal blood pressure
and decreases hypoxemia.
Low-intensity ultrasound–facilitated fibrinolysis is a novel approach.
• Ultrasound disaggregates fibrin strands, increases clot permeability,
and disperses infused fibrinolytic drug into the clot through acoustic
microstreaming effects.
• The SEATTLE II Trial studied 150 patients with massive or
submassive PE to evaluate the safety and efficacy of ultrasound-
facilitated, catheter-directed fibrinolysis using 24 mg of tissue
plasminogen activator.
• No patient suffered intracranial hemorrhage.
• This procedure decreased right ventricular dilation, reduced
pulmonary hypertension, and decreased the anatomic thrombus
burden.
Surgical Embolectomy
• Emergency surgical embolectomy has reemerged for the management of
patients with massive PE and systemic arterial hypotension or submassive
PE with severe right ventricular dysfunction, in whom contraindications
preclude thrombolysis.
• This procedure also is suitable for patients with acute PE who require
surgical excision of a right atrial thrombus or closure of a patent foramen
ovale.
• Surgical embolectomy also can be used as rescue therapy for patients in
whom PE is refractory to thrombolysis.
• Results are best when patients undergo surgery before they become
pressor-dependent and before the onset of cardiogenic shock and
multisystem organ failure.
• Avoidance of blind instrumentation of the fragile pulmonary arteries is
imperative.
• Extraction is limited to directly visible clots.
• In the largest single-center case series, 115 patients underwent surgical
pulmonary embolectomy. The overall 30-day mortality rate was 6.6%. In
the subgroup of 56 patients with submassive PE, the operative mortality
rate was 3.6%.
Inferior Vena Cava Filters
• IVC filters hold the promise of reducing PE rates by trapping DVTs that have
detached from pelvic and leg veins and are hurtling toward the heart.
• The negative side is that filters can cause complications, can add expense, and
have not been rigorously studied in critically ill patients.
• Use of IVC filters in the United States has increased about 25-fold in the past 20
years.
• In patients with IVC filters, the in-hospital mortality rate has fallen in the past
decade from about 8% to 4%.
• These patients with filters had a greater frequency of comorbidities such as cancer,
heart failure, atherosclerosis, and vascular disease.
• Filter use appears especially high in blacks, men, and octogenarians.
• Patients with massive PE benefit most from IVC filter insertion.
• In the International Cooperative PE Registry (ICOPER), 108 of 2392 patients
presented with massive PE. Their mortality rate was 52% at 90 days. However, 10
of the 11 patients who received IVC filters survived for 90 days.
• Among massive PE patients in the Nationwide Inpatient Sample, those receiving
filters had a lower mortality rate compared with other massive PE patients,
regardless of whether thrombolytic therapy was used in the patients without
filters
• Generally accepted consensus recommendations for IVC filter insertion include
(1) major bleeding even with full-dose anticoagulation,
(2) major contraindications to full-dose anticoagulation, and
(3) recurrent PE despite well-documented full-dose anticoagulation for an existing
VTE.
• There remain outside these consensus recommendations special populations in
whom benefits of IVC filter insertion may outweigh risks:
(1) patients with massive PE or high-risk submassive PE,
(2) patients undergoing surgical pulmonary embolectomy, and
(3) surgical patients during preoperative evaluation who are at high risk of VTE with a
concomitant high risk of bleeding if anticoagulated.
• The Angel catheter is a temporary device that combines the function of an IVC
filter with that of a triple-lumen central venous catheter. It is intended for bedside
placement without fluoroscopy, using standard venous access techniques.
• This device is designed to prevent clinically significant PE in patients with
recognized contraindications to standard pharmacologic thromboprophylaxis.
• In a European Angel Catheter Registry that had enrolled 60 patients, only one
developed a PE.
Role of Extracorporeal Membrane Oxygenation Therapy
(ECMO) in Massive PE
• Data to guide treatment of patients with massive PE and persistent
hemodynamic instability or shock despite TT are limited. Nonetheless,
ECMO may be suitable to stabilize PE patients until TT takes effect, as a
bridge for other treatments (e.g. embolectomy) or for the purpose of
post-surgical stabilization.
• ECMO relies on local expertise and is usually only available in selective
high-level centers.
Chronic Thromboembolic Pulmonary Hypertension
• Chronic thromboembolic pulmonary hypertension occurs in 2% to 4% of patients with
acute PE.
• CTEPH results from persistent obstruction of pulmonary arteries and progressive
vascular remodeling.
• Not all patients presenting with CTEPH have a history of clinically overt PE.
• The diagnostic workup should include ventilation-perfusion scintigraphy, which has high
sensitivity for detecting CTEPH and a negative predictive value of nearly 100%.
• CT angiography usually reveals mosaic perfusion, part or complete occlusion of
pulmonary arteries, and intraluminal bands and webs.
• Patients with suspected CTEPH should be referred to a specialized center for right-heart
catheterization and pulmonary angiography.
• Primary therapy for CTEPH is surgical pulmonary thromboendarterectomy, which
confers mostly excellent long-term results that are often curative. The operation entails
a median sternotomy, cardiopulmonary bypass, and deep hypothermia with circulatory
arrest periods.
• Some patients are not surgical candidates or have residual pulmonary arterial
vasoconstriction that may respond to sildenafil or bosentan.
• Percutaneous pulmonary artery balloon dilation shows promise in patients who are not
deemed eligible candidates for surgery.
• Riociguat, which stimulates soluble guanylate activity, is approved for patients with
inoperable CTEPH or those who have not had resolution of pulmonary hypertension
despite pulmonary thromboendarterectomy.
Prevention
Rationale for In-Hospital Prophylaxis
• PE is the most preventable cause of in-hospital death, but once PE occurs,
it is difficult to diagnose, expensive to treat, and potentially lethal despite
therapy.
• VTE prevention is of paramount importance because it is preferable to
diagnosis and treatment.
• Fortunately, low fixed-dose anticoagulant prophylaxis is effective and safe
during hospitalization.
• Commonly used regimens include minidose unfractionated heparin 5000
units twice or three times daily, enoxaparin 40 mg daily, and dalteparin
5000 units daily.
• In-Hospital Risk Factors for Venous Thromboembolism and Bleeding
Mechanical Prophylaxis in Medically Ill Patients
• Mechanical measures consist of intermittent pneumatic compression
devices, which enhance endogenous fibrinolysis and increase venous
blood flow, and graduated compression stockings.
• Pharmacologic thromboprophylaxis is more effective than mechanical
prophylaxis.
• Therefore, mechanical measures are prescribed primarily when there is a
contraindication to anticoagulation.
Advances in Venous Thromboembolism Prophylaxis in Major Orthopedic
Surgery
• Extended prophylaxis after hospital discharge decreases the risk of PE and
DVT among patients undergoing major orthopedic surgery, particularly
total hip or knee replacement, without increasing the frequency of major
bleeding events.
• There is evidence to support the use of virtually any prophylactic measure
in patients undergoing major orthopedic surgery.
• Approved approaches include LMWH, warfarin, NOACs, aspirin, and
mechanical measures.
• The PEPPER Trial , which is just getting under way, will randomize about
25,000 patients undergoing total knee or hip replacement to warfarin
(target INR 1.7 to 2.2) versus rivaroxaban 10 mg daily versus low-dose
aspirin 81 mg daily.
Future Perspectives
• Breakthroughs in understanding PE are advancing at a rapid pace.
Inflammation activates platelets, which play a central role in releasing
microparticles that accelerate the thrombotic process.
• VTE and atherothrombosis have overlapping risk factors and
pathophysiologic findings.
• Risk stratification is more critical than ever before.
• Not only must we decide which patients are too unstable for
anticoagulation alone, but we also need to identify those low-risk patients
with PE who can be managed as outpatients.
• For patients who have massive or submassive PE, data suggest that
thrombolysis reduces mortality rates among patients who initially are
hemodynamically unstable or who have stable blood pressure with right
ventricular dysfunction and elevated cardiac markers.
• Pharmacomechanical catheter–directed therapy is an innovative
technology that may reduce the thrombus burden by means of a lower
dose of thrombolysis than with peripheral intravenous administration
• Registry data also suggest that vena cava filter placement may reduce
mortality rates in hemodynamically unstable patients with PE.
• Inpatient pharmacologic prophylaxis is effective, safe, and standard
practice for VTE prevention in patients at moderate or high risk.
• We continue to investigate which drugs, dosages, and criteria are optimal
for extended out-of-hospital VTE prophylaxis among high-risk medical
patients.
• Consortia of clinicians, patients, and the public are working together to
improve VTE awareness and to advocate for implementing the cutting-
edge technologies, drugs, and best practices that we have discovered.
Summary
• Pulmonary embolism (PE) is a leading cause of cardiovascular
mortality worldwide.
• Clinical presentation can be diverse, and clinicians should have a
high index of suspicion regarding the diagnosis.
• Evaluation should include detailed history of possible risk factors,
physical examination and laboratory tests that would support the
diagnosis and help risk-stratify patients.
• Finally, a dedicated imaging study should be performed in order to
make a definitive diagnosis.
• Decisions regarding short-term, immediate, treatment are dictated
by PE risk category.
• Treatment of low and high-risk PE is relatively straightforward.
• But treating moderate risk PE is challenging since aggressive
treatment is not devoid of potential harm.
THANK YOU

Pulmonary embolism

  • 1.
  • 2.
    • Pulmonary embolism(PE) and deep vein thrombosis (DVT) together constitute one of the “big three” cardiovascular diseases, the other two being myocardial infarction (MI) and stroke. • Venous thromboembolism (VTE) encompasses PE and DVT. • Estimates of the global incidence of VTE range from 1.2 to 2.7 per 1000 per year • In US, PE causes more than 100,000 deaths annually. • PE has an approximately 4% in-hospital case fatality rate in adults 65 years of age or older in US. • 30-day readmission rate is 15%, and the 6-month mortality rate jumps to 20% in this population
  • 3.
    Pathophysiology • The Virchowtriad of stasis, hypercoagulability, and endothelial injury often activates the pathophysiologic cascade leading to VTE. • Inflammation is not included in Virchow triad, but it is a key precipitant. • Infection and its associated inflammation lead to recruitment of platelets—one of the first steps necessary for thrombus initiation. • Activated platelets release polyphosphates, procoagulant microparticles and proinflammatory mediators. • These activated platelets bind neutrophils and stimulate them to release their nuclear material and to form weblike extracellular networks containing DNA, histones, and neutrophil granule constituents.
  • 4.
    • These networksare called neutrophil extracellular traps (NETs) and consist of DNA extruded from leukocytes • NETs are prothrombotic and procoagulant. Histones stimulate platelet aggregation and promote platelet-dependent thrombin generation • As venous thrombi start to organize, neutrophils infiltrate the NETs. As thrombi mature, NETs provide the scaffold that binds red blood cells and promotes further platelet aggregation. • Venous thrombi contain fibrin, red blood cells, platelets, and neutrophils • These thrombi flourish in an environment of stasis, low oxygen tension, oxidative stress, increased expression of proinflammatory gene products, and impaired endothelial cell regulatory capacity. • Inflammation resulting from infection, transfusion, or erythropoiesis-stimulating factor activates a cascade of biochemical reactions in the vein endothelium that promotes thrombosis
  • 7.
    Massive Pulmonary Embolism •Patients present with cardiogenic shock and multisystem organ failure. • Renal insufficiency, hepatic dysfunction, and altered mentation occur commonly. • It has high mortality rate & thrombosis is widespread, affecting at least half of the pulmonary arterial vasculature. • Clot typically is present bilaterally, sometimes as “saddle” PE in the main pulmonary artery. • Dyspnea usually is the most prominent symptom; chest pain is unusual; transient cyanosis is common; and systemic arterial hypotension requiring pressor support occurs frequently. • Excessive fluid boluses may worsen right-sided heart failure, rendering therapy more difficult. • These patients may require extracorporeal membrane oxygenation for survival
  • 8.
    Submassive PE • Patientspresent with normal systemic arterial pressure. • The European Society of Cardiology PE Guidelines subdivide submassive PE into high-risk and low-risk entities. • Submassive PE- high risk, present with both right ventricular hypokinesis and elevated cardiac biomarkers such as troponin, pro-BNP, or BNP. • Those with submassive PE- low risk, present either with right ventricular dysfunction or elevated cardiac biomarkers, but not both. • One third or more of the pulmonary artery vasculature is obstructed • Sudden onset of moderate pulmonary arterial hypertension and right ventricular enlargement occur commonly.
  • 9.
    Low-Risk Pulmonary Embolism •They exhibit no markers of an adverse prognosis. • Patients present with normal systemic arterial pressure, no cardiac biomarker release, and normal right ventricular function. • They often prove to have an anatomically small PE and appear clinically stable. • Adequate anticoagulation usually leads to an excellent clinical outcome. • They may be good candidates for home therapy.
  • 10.
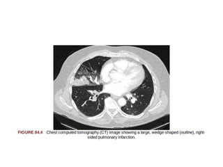
    Pulmonary Infarction • Pulmonaryinfarction is characterized by pleuritic chest pain that may be unremitting or may wax and wane. • Hemoptysis occasionally accompanies the pleurisy. • The embolus typically lodges in the peripheral pulmonary arterial tree, near the pleura. • Tissue infarction usually occurs 3 to 7 days after embolism. • Signs and symptoms often include fever, leukocytosis, elevated erythrocyte sedimentation rate,and radiologic evidence of infarction.
  • 11.
    Nonthrombotic Pulmonary Embolism •Sources of embolism other than thrombus are uncommon. • They include fat, tumor, air, and amniotic fluid. • Fat embolism most often occurs after blunt trauma complicated by long bone fractures. • Air embolus can occur during placement or removal of a central venous catheter. • Amniotic fluid embolism may be catastrophic and is characterized by respiratory failure, cardiogenic shock, and disseminated intravascular coagulation. • Intravenous drug abusers sometimes self-inject hair, talc, and cotton as contaminants of the drug of abuse; these patients also are susceptible to septic PE, which can cause endocarditis of the tricuspid or pulmonic valve.
  • 14.
    • PE shouldbe suspected in hypotensive patients who have evidence of – venous thrombosis or predisposing VTE risk factors, – acute cor pulmonale (acute right ventricular failure), with features such as distended neck veins, right-sided S3 gallop, right ventricular heave, tachycardia, or tachypnea, – Especially, if there are echocardiographic findings of right ventricular dilation and hypokinesis or electrocardiographic evidence of acute cor pulmonale manifested by a new S1Q3T3 pattern – new right bundle branch block, or right ventricular ischemia with inferior T wave inversion, or T wave inversion in leads V1 through V4. • Clinical decision rules can stratify patients into groups with a high clinical likelihood of PE or without a high clinical likelihood of PE, using a set of seven bedside assessment questions known as the Wells criteria
  • 16.
    Two-level PE Wellsscore PE likely PE unlikely 1. Offer immediate CTPA 1. Offer a D-dimer test 2. If CTPA not immediately available offer interim parenteral anticoagulant therapy followed by CTPA 2. If D-dimer positive offer immediate CTPA 3. If CTPA negative and DVT suspected consider proximal leg vein ultrasound 3. If CTPA not immediately available offer interim parenteral anticoagulant therapy followed by CTPA
  • 18.
    Diagnostic Methods OtherThan Imaging Plasma D-Dimer Assay • Blood screening test that relies on the following principle: Most patients with PE have ongoing endogenous fibrinolysis that is not effective enough to prevent PE but breaks down some of the fibrin clot to D-dimers. • Although elevated plasma concentrations of D-dimers are sensitive for the diagnosis of PE, they are not specific. • Even in the absence of PE, levels are elevated for at least 1 week postoperatively and also are abnormally high in patients with MI, sepsis, cancer, or almost any other systemic illness. • The plasma D-dimer assay therefore is ideally suited for screening outpatients or emergency department patients who have suspected PE but no coexisting acute systemic illness. • This test generally is not useful for screening acutely ill hospitalized inpatients, because they usually have elevated D-dimer levels. • In addition to being a screening test for PE, an elevated D-dimer independently correlates with increased rates of mortality and subsequent VTE across a broad variety of disease states.
  • 19.
    Electrocardiogram • The electrocardiogram(ECG) helps exclude acute MI and acute pericarditis. • This test may lead clinician toward the diagnosis of PE among patients with electrocardiographic manifestations of right sided heart strain. • The most famous sign of right heart strain is S1Q3T3 • The most common sign is T wave inversion in leads V1 to V4. • Keep in mind that right-sided heart strain is not specific for PE and may be observed in patients with asthma, COPD, or idiopathic pulmonary hypertension. • In patients with massive PE, the ECG may not be especially remarkable and may exhibit sinus tachycardia or slight ST-segment and T-wave abnormalities, or may even have an entirely normal appearance.
  • 21.
    Imaging Methods Chest Radiography •A near-normal radiographic appearance in the setting of severe respiratory compromise is highly suggestive of massive PE. • Major chest radiographic abnormalities are uncommon. • Focal oligemia (Westermark sign) indicates massive central embolic occlusion. • A peripheral wedge-shaped density above the diaphragm (Hampton hump) usually indicates pulmonary infarction. • A subtle abnormality suggestive of PE is enlargement of the descending right pulmonary artery. • The chest radiograph also can help identify patients with diseases that mimic PE, such as lobar pneumonia and pneumothorax, but patients with these illnesses also can have concomitant PE.
  • 25.
    Lung Scanning • Pulmonaryradionuclide perfusion scintigraphy (lung scanning) uses radiolabeled aggregates of albumin or microspheres that lodge in the pulmonary microvasculature. • Patients with large PE often have multiple perfusion defects. • If ventilation scanning is performed on a patient with PE but no intrinsic lung disease, a normal ventilation study result is expected, yielding ventilation-perfusion mismatch interpreted as a high probability of PE. • However, many patients with low-probability scans but with clinical findings strongly suggestive of PE do, in fact, have PE proven by invasive pulmonary angiography. • Thus, a clinical probability assessment helps in correct interpretation of the scan results. • Most lung scans are nondiagnostic. An unequivocal normal or high- probability scan is the exception, not the rule. • Interobserver variability is common, even among experts. • Three principal indications for obtaining a lung scan are renal insufficiency, anaphylaxis occurring in reaction to an intravenous contrast agent that cannot be suppressed with high-dose corticosteroids, and pregnancy (lower radiation exposure to the fetus than CT scanning).
  • 27.
    Chest Computed Tomography •Chest CT has supplanted pulmonary radionuclide perfusion scintigraphy as the initial imaging test in most patients with suspected PE. • Multidetector-row CT scanners can rapidly image the entire chest with submillimeter resolution. Three-dimensional images can be reconstructed, and color can be added electronically to enhance details of thrombus localization. • The CT scan helps determine surgical or catheter accessibility to the thrombus. One cautionary note is that the CT scan may lead to overdiagnosis of PE due to breathing motion artifact or beam-hardening artifact. • The latest generation of scanners can image thrombus in sixth-order vessels. These thrombi are so tiny that their clinical significance is uncertain. • The chest CT scan also can detect other pulmonary diseases that manifest in conjunction with PE or explain a clinical presentation that mimics PE. These diseases include pneumonia, atelectasis, pneumothorax, and pleural effusion, which may not be well visualized on the chest radiograph. • A chest CT scan sometimes detects an incidental but critical finding, such as a small lung carcinoma.
  • 31.
    • For patientswith PE, the CT scan serves as a prognostic and diagnostic test. • It shows a four-chamber view of the heart and images the pulmonary arteries. • Careful evaluation can detect signs of right ventricular dysfunction by analyzing – the right ventricular–to–left ventricular diameter ratio – right ventricular–to–left ventricular volume ratio – interventricular septal bowing, and – reflux of contrast medium into the inferior vena cava. Right ventricular enlargement on CT correlates with right ventricular dysfunction and portends a complicated hospital course often marked by clinical deterioration. A right-to-left ventricular dimensional ratio of 0.9 or greater on a chest CT scan is abnormal, indicates right ventricular enlargement, and correlates with right ventricular dysfunction on echocardiography.
  • 32.
    Echocardiography • About onehalf of unselected patients with acute PE have normal echocardiographic findings, so this modality is not recommended as a routine diagnostic test for PE. • Echocardiography is, however, a rapid, practical, and sensitive technique for detection of right ventricular overload among patients with established PE. • Moderate or severe right ventricular hypokinesis, persistent pulmonary hypertension, patent foramen ovale, and free- floating thrombus in the right atrium or right ventricle are associated with a high risk of death or recurrent thromboembolism. • Echocardiography also can help identify illnesses that may mimic PE, such as MI and pericardial disease.
  • 34.
    Venous Ultrasonography • Theprimary diagnostic criterion for DVT on ultrasound imaging is loss of vein compressibility. • Normally, the vein collapses completely when gentle pressure is applied to the skin overlying it. • Upper extremity DVT can be more difficult to diagnose than leg DVT because the clavicle can hinder attempts to compress the subclavian vein. • At least one half of the patients with PE have no imaging evidence of DVT, probably because the entire DVT embolized to the pulmonary arteries. • Therefore, if the level of clinical suspicion of PE is moderate or high, patients without evidence of DVT should undergo further investigation for PE.
  • 35.
    Magnetic Resonance Imaging •Gadolinium-enhanced magnetic resonance angiography (MRA) is far less sensitive than CT for the detection of PE, but unlike chest CT or catheter-based pulmonary angiography, MRA does not require ionizing radiation or injection of an iodinated contrast agent. • Pulmonary MRA also can assess right ventricular size and function. • Three-dimensional MRA can be performed during a single breath-hold and may provide high resolution from the main pulmonary artery through the segmental pulmonary artery branches. • MRA has limited sensitivity for detection of distal PE and cannot be used as a stand-alone test to exclude PE.
  • 36.
    Pulmonary Angiography • Invasivepulmonary angiography formerly was the reference standard for the diagnosis of PE, but it is now rarely performed as a diagnostic test. • Use of this modality is routine, however, to plan interventions such as pharmacomechanical catheter–assisted therapy. • New thrombus usually has a concave edge. • Chronic thrombus leads to bandlike defects called webs, in addition to intimal irregularities and abrupt narrowing or occlusion of lobar vessels.
  • 38.
    Contrast Phlebography • Althoughcontrast phlebography was once the reference standard for DVT diagnosis, this study is now rarely obtained for diagnostic purposes. • Venography is the first step, however, for evaluation of patients with large femoral or iliofemoral DVT who will undergo invasive pharmacomechanical catheter–directed therapy.
  • 40.
    Table 1: Rationalefor PE History and Physical Examination History / Examination clue Clinical relevance No other diagnosis more likely than PE, an established diagnosis of DVT. The two most significant predictors of PE. Patient presents with hypotension or signs of shock. Early definitive diagnosis is required, and primary reperfusion started. Recent surgery, trauma, immobilization (>2 weeks). Imply for a PROVOKED episode, and the need for a time limited treatment. History of: prior DVT or PE, CVA or TIA at a young age (below 50), multiple abortions, family history of venous thrombosis. Imply for an UNPROVOKED episode, requiring lifelong treatment, possibly due to an underlying thrombophilia. History of active malignancy. A major cause for PE. Will necessitate long term treatment, for as long as malignancy active. Also, should consider LMWH Patient pregnant, iodine allergy, end stage renal failure. Should consider V/Q scan over CTA for diagnosis. History of major bleeding (CNS or GI), age above 75, previous stroke, recurrent falls, low platelet count, use of concomitant anti- platelet, hepatic or renal failure, active cancer. Suggest that a patient may be at high risk of bleeding and thus risk of long-term treatment should be carefully weighed against benefit Does the patient suffer from end stage renal failure / dialysis? NOAC other than apixaban / LMWH are not an option. Should favor apixaban or VKA. If: older age, tachycardia, tachypnea, low blood pressure, O2 saturation below 90% and altered mental state. Not suitable for outpatient treatment Patient already treated with NOAC or LMWH at time of diagnosis with PE. Asses for low compliance and occult malignancy. Should switch NOAC's to LMWH. If already on LMWH – increase dosage or consider alternative agent (e.g. fondaparinux). CNS - Central nervous system, CTA - Computed tomography angiography, CVA / TIA - Cerebrovascular accident / Transient ischemic attack, DOAC - Direct oral anti-coagulant, DVT - Deep vein thrombosis, GI - Gastro intestinal, LMWH - Low molecular weight heparin, PE - Pulmonary embolism, VKA – vitamin K antagonist, V/Q scan - Ventilation perfusion scan
  • 41.
    Table 2: RelevantLaboratory Tests for Patients Suspected of Having PE Laboratory test Main objective Complete blood count Significant anemia or thrombocytopenia might affect treatment. Basic metabolic panel Impaired renal function might prevent CT angiography and suggest one therapy over another Coagulation tests (PT/PTT) Assess bleeding risk before anti coagulation or thrombolysis. D-dimer Should be tested in low pre-test probability patients. Helps exclude PE due to high negative predictive value. N terminal – pro Brain Natriuretic Peptide / Troponin T or I Reflect right ventricle pressure overload & sub – endocardial ischemia respectively. High levels associated with increased mortality and render patients as high risk. These patients should be monitored closely. Importantly, whether or not they should be treated differently is a matter of debate Anti-phospholipid antibody panel Obtain when PE diagnosis confirmed. Treatment with DOAC not an option and should treat with VKA CT – Computed tomography, DOAC - Direct oral anticoagulant, VKA - Vitamin K antagonist
  • 42.
    Management of AcutePulmonary Embolism Risk Stratification • PE manifests with a wide spectrum of acuity, ranging from mild to severe. Therefore, rapid and accurate risk stratification assumes paramount importance. • Low-risk patients have an excellent prognosis with anticoagulation alone. • High-risk patients may require intensive hemodynamic and respiratory support with pressors, mechanical ventilation, or extracorporeal membrane oxygenation. • In addition to anticoagulation, advanced management options include systemic thrombolysis, pharmacomechanical catheter–assisted therapy, vena cava filter placement, or surgical embolectomy
  • 44.
    Figure 2 – PEPatient Treatment. • Biomarkers – Troponin / Brain Natriuretic Peptide. CDT – Catheter Directed Thrombolysis. D/C – Discharge. DOAC – Direct Oral Anticoagulant. ECHO – Echocardiography. ICU – Intensive Care Unit. LMWH – Low Molecular Weight Heparin. OP – Outpatient. TT – Thrombolytic Therapy. UFH – Un Fractionated Heparin. Worsening signs of shock – Significant drop in systolic blood pressure, Decreased urine output, decreased mental state. • Stable / low risk patient – low clinical assessment risk (PESI I-II), no imaging findings or biomarkers
  • 46.
    Parenteral Anticoagulation Therapy •Anticoagulation is the cornerstone of treatment for acute PE. • Unfractionated heparin (UFH) -The short half-life of UFH is advantageous for patients who may require subsequent insertion of an inferior vena cava filter, systemic thrombolysis, catheter- directed pharmacomechanical therapy, or surgical embolectomy. • Heparin acts primarily by binding to antithrombin, a protein that inhibits the coagulation factors -thrombin (factor IIa) and factors Xa, IXa, XIa, and XIIa. • Heparin subsequently promotes a conformational change in antithrombin that accelerates its activity approximately 100- to 1000-fold. This action prevents additional thrombus formation and permits endogenous fibrinolytic mechanisms to lyse at least some of the clot that has already formed. • Heparin does not directly dissolve thrombus. • Beyond its anticoagulant activity, heparin also exerts pleiotropic effects, including antiinflammatory and vasodilatory properties.
  • 47.
    • For patientswith average bleeding risk, UFH should be started with an intravenous bolus of 80 units/kg, followed by a continuous infusion at 18 units/kg/hr. • The aPTT should be targeted between 1.5 and 2.5 times the control value. • The therapeutic range commonly is 60 to 80 seconds. • Monitoring continuous intravenous UFH infusions using anti-Xa assays (instead of aPTT) is gaining popularity, because this approach measures heparin's effect directly. This assay has special utility for patients with a baseline elevation in aPTT, such as those with lupus anticoagulant. • The target level for therapeutic dosing is 0.3 to 0.7 units/mL.
  • 48.
    Low-Molecular-Weight Heparin • Itconsists of fragments of UFH that exhibit less binding to plasma proteins and endothelial cells. It therefore has greater bioavailability, with a more predictable dose response, and a longer half-life compared with UFH. • These features permit weight-based LMWH dosing without laboratory tests, because no dose adjustment is needed in most instances. • The kidneys metabolize LMWH, and patients with renal impairment require downward adjustment of LMWH dosing. • If a quantitative assay is desired, an anti-Xa level can be obtained. • Whether use of anti-Xa levels improves efficacy and safety remains controversial. • LMWH is recommended as monotherapy without anticoagulation for cancer patients with VTE. • In one randomized trial, dalteparin monotherapy reduced by about half the recurrent VTE rate compared with warfarin. • In a subsequent trial of tinzaparin monotherapy versus warfarin in cancer patients, patients treated with tinzaparin had a rate of bleeding about 40% lower than those treated with warfarin. • A randomized trial of edoxaban versus LMWH for treatment of VTE in cancer patients is ongoing.
  • 49.
    Fondaparinux • Fondaparinux isan anticoagulant pentasaccharide that specifically inhibits activated factor X. • It can be thought of as an ultra–low-molecular-weight heparin. • Fondaparinux's predictable and sustained pharmacokinetic properties allow a fixed-dose, once-daily subcutaneous injection, without the need for coagulation laboratory monitoring or dose adjustment. • Fondaparinux has a 17-hour half-life, and its elimination is prolonged in patients with renal impairment. • Fondaparinux is licensed for the initial treatment of acute PE and acute DVT.
  • 50.
    Warfarin Anticoagulation • Warfarinis a vitamin K antagonist, first approved for clinical use in 1954. • It prevents gammacarboxylation activation of coagulation factors II, VII, IX, and X. The full anticoagulant effect of warfarin becomes evident after 5 to 7 days, even if the prothrombin time, used to monitor warfarin's effect, becomes elevated more rapidly. • For patients with VTE, the usual target international normalized ratio (INR) range is between 2.0 and 3.0. • Self-monitoring of INRs improves patient satisfaction and quality of life and may reduce the rate of thromboembolic events. Warfarin Overlap with Heparin • Initiation of warfarin as monotherapy to treat acute VTE without UFH, LMWH, or fondaparinux may paradoxically exacerbate hypercoagulability, increasing the likelihood of recurrent thrombosis. • Warfarin monotherapy decreases the levels of two endogenous anticoagulants, proteins C and S—thus increasing thrombogenic potential. • Overlapping warfarin for at least 5 days with an immediately effective parenteral anticoagulant counteracts the procoagulant effect of unopposed warfarin.
  • 51.
    Dosing and Monitoringof Warfarin • Most practitioners begin with 5 mg daily. • Debilitated or elderly patients require a reduced dose. • High INRs predispose to bleeding complications and constitute the most common reason for emergency hospitalization for adverse drug events in older people. • In contrast, subtherapeutic dosing makes patients vulnerable to recurrent VTE. • All patients taking warfarin should wear a medical alert bracelet or necklace in case they require rapid reversal of warfarin. • Warfarin can have side effects other than hemorrhage, such as hair loss and increased levels of arterial calcification. • Some patients complain of “feeling cold” and fatigue. • Warfarin use is plagued by multiple drug-drug and drug-food interactions. Most antibiotics increase the INR, but some, like rifampin, lower the INR. Even seemingly benign drugs such as acetaminophen increase the INR in a dose- dependent manner. • On the other hand, green leafy vegetables contain vitamin K, which lowers the INR. • Concomitant medications with antiplatelet effects may increase the bleeding risk without increasing the INR. These include fish oil supplements, vitamin E, and alcohol.
  • 52.
    Novel Oral Anticoagulants •Non–vitamin K antagonist oral anticoagulants (NOACs) have a rapid onset of action and provide full anticoagulation within several hours of ingestion. • They are prescribed in fixed doses without laboratory coagulation monitoring and have minimal drug-drug or drug-food interactions. • These agents have a short half-life, so do not require bridging when they are stopped for an invasive diagnostic or surgical procedure. • For VTE treatment, they are noninferior to warfarin for efficacy and are superior to warfarin for safety. Evolution of Oral Anticoagulants for Pulmonary Embolism and Deep Vein Thrombosis Treatment • The limitations of warfarin prompted the development of NOACs. • Four NOACs are licensed for VTE treatment: dabigatran (an oral thrombin inhibitor) and three factor Xa inhibitors: rivaroxaban, apixaban, and edoxaban. • For extended therapy after an initial 6-month course of anticoagulation, dabigatran was compared with warfarin and with placebo. • Extended therapy studies against placebo were also carried out with rivaroxaban83 and with apixaban.
  • 54.
    2016 American Collegeof Chest Physicians Guidelines • The American College of Chest Physicians (ACCP) 2016 Guidelines recommend NOACs rather than warfarin to treat acute VTE patients (without cancer), regardless of whether short-term (3 to 6 months) anticoagulation is planned or extended anticoagulation without a stop date is planned. • The 2016 Guidelines are based upon the pivotal trials used to obtain Food and Drug Administration (FDA) approval for dabigatran, rivaroxaban, apixaban, and edoxaban and characterize the evidence favoring NOACs over warfarin as “moderate or high quality.” • The Guidelines add: “Based on less bleeding with NOACs and greater convenience for patients and health-care providers, we now suggest that a NOAC is used in preference to vitamin K antagonists for the initial and long-term treatment of VTE in patients without cancer.”
  • 55.
    Advanced Therapy (inAddition to Anticoagulation) for Acute Pulmonary Embolism • Patients with massive PE or high-risk submassive PE (with both right ventricular dysfunction and troponin elevation due to right ventricular injury) generally warrant advanced therapy. • Options include full-dose systemic thrombolysis, half-dose systemic thrombolysis, pharmacomechanical catheter–directed therapy (usually with low-dose thrombolysis), surgical embolectomy, and inferior vena cava filter placement.
  • 56.
    Systemic Thrombolysis AdministeredThrough a Peripheral Vein • Thrombolysis reverses right-sided heart failure by physical dissolution of anatomically obstructing pulmonary arterial thrombus. • The hallmarks of successful therapy are reduction of right ventricular pressure overload and prevention of continued release of serotonin and other neurohumoral factors that exacerbate pulmonary hypertension. • Dissolution of thrombus in the pelvic or deep leg veins theoretically decreases the likelihood of recurrent PE. • Thrombolysis may also improve pulmonary capillary blood flow and reduce the likelihood of developing CTEPH.
  • 57.
    • When prescribingthrombolysis, there are three intensities of dosing: – full-dose systemic thrombolysis (licensed), – half-dose systemic thrombolysis (prescribed off label), or – low-dose thrombolysis as part of a strategy of using catheter-directed pharmacomechanical therapy in the cardiac catheterization or Interventional Radiology laboratory.64 • The FDA has approved alteplase for massive PE, in a dose of 100 mg delivered through a peripheral vein as a continuous infusion over 2 hours, without concomitant heparin. • Patients who receive thrombolysis up to 14 days after onset of new symptoms or signs can derive benefit, probably because of the effects on the bronchial collateral circulation. • Intracranial hemorrhage is the most feared and severe complication. • Thrombolysis resulted in a 47% reduction in the all-cause mortality rate, a 60% decrease in recurrent PE, a 2.7-fold increased risk of major bleeding, and a 4.6-fold increased risk of intracranial hemorrhage., when compared to anticoagulation alone.
  • 58.
    Advances in PharmacomechanicalCatheter–Directed Therapy, Including Thrombolysis • The 1% to 3% rate of intracranial hemorrhage in patients with PE receiving full-dose systemic thrombolysis has dampened enthusiasm for this potentially life-saving therapy. • Pharmacomechanical catheter–directed reperfusion, however, holds the promise of good efficacy, with lower rates of major bleeding owing to lower doses of thrombolytic agent. • The typical dose of tissue plasminogen activator in a pharmacomechanical catheter–based procedure, for example, is 24 mg or less—compared with 100 mg for systemic administration. • Interventional mechanical techniques usually performed in conjunction with low-dose thrombolysis include mechanical fragmentation and aspiration of thrombus through a standard pulmonary artery catheter, clot pulverization with a rotating basket catheter, rheolytic thrombectomy, and pigtail rotational catheter embolectomy. • After reduction of thrombus burden, pulmonary artery balloon dilation and stenting can be undertaken to treat residual vessel stenoses. • Successful catheter embolectomy rapidly restores normal blood pressure and decreases hypoxemia.
  • 59.
    Low-intensity ultrasound–facilitated fibrinolysisis a novel approach. • Ultrasound disaggregates fibrin strands, increases clot permeability, and disperses infused fibrinolytic drug into the clot through acoustic microstreaming effects. • The SEATTLE II Trial studied 150 patients with massive or submassive PE to evaluate the safety and efficacy of ultrasound- facilitated, catheter-directed fibrinolysis using 24 mg of tissue plasminogen activator. • No patient suffered intracranial hemorrhage. • This procedure decreased right ventricular dilation, reduced pulmonary hypertension, and decreased the anatomic thrombus burden.
  • 61.
    Surgical Embolectomy • Emergencysurgical embolectomy has reemerged for the management of patients with massive PE and systemic arterial hypotension or submassive PE with severe right ventricular dysfunction, in whom contraindications preclude thrombolysis. • This procedure also is suitable for patients with acute PE who require surgical excision of a right atrial thrombus or closure of a patent foramen ovale. • Surgical embolectomy also can be used as rescue therapy for patients in whom PE is refractory to thrombolysis. • Results are best when patients undergo surgery before they become pressor-dependent and before the onset of cardiogenic shock and multisystem organ failure. • Avoidance of blind instrumentation of the fragile pulmonary arteries is imperative. • Extraction is limited to directly visible clots. • In the largest single-center case series, 115 patients underwent surgical pulmonary embolectomy. The overall 30-day mortality rate was 6.6%. In the subgroup of 56 patients with submassive PE, the operative mortality rate was 3.6%.
  • 62.
    Inferior Vena CavaFilters • IVC filters hold the promise of reducing PE rates by trapping DVTs that have detached from pelvic and leg veins and are hurtling toward the heart. • The negative side is that filters can cause complications, can add expense, and have not been rigorously studied in critically ill patients. • Use of IVC filters in the United States has increased about 25-fold in the past 20 years. • In patients with IVC filters, the in-hospital mortality rate has fallen in the past decade from about 8% to 4%. • These patients with filters had a greater frequency of comorbidities such as cancer, heart failure, atherosclerosis, and vascular disease. • Filter use appears especially high in blacks, men, and octogenarians. • Patients with massive PE benefit most from IVC filter insertion. • In the International Cooperative PE Registry (ICOPER), 108 of 2392 patients presented with massive PE. Their mortality rate was 52% at 90 days. However, 10 of the 11 patients who received IVC filters survived for 90 days. • Among massive PE patients in the Nationwide Inpatient Sample, those receiving filters had a lower mortality rate compared with other massive PE patients, regardless of whether thrombolytic therapy was used in the patients without filters
  • 63.
    • Generally acceptedconsensus recommendations for IVC filter insertion include (1) major bleeding even with full-dose anticoagulation, (2) major contraindications to full-dose anticoagulation, and (3) recurrent PE despite well-documented full-dose anticoagulation for an existing VTE. • There remain outside these consensus recommendations special populations in whom benefits of IVC filter insertion may outweigh risks: (1) patients with massive PE or high-risk submassive PE, (2) patients undergoing surgical pulmonary embolectomy, and (3) surgical patients during preoperative evaluation who are at high risk of VTE with a concomitant high risk of bleeding if anticoagulated. • The Angel catheter is a temporary device that combines the function of an IVC filter with that of a triple-lumen central venous catheter. It is intended for bedside placement without fluoroscopy, using standard venous access techniques. • This device is designed to prevent clinically significant PE in patients with recognized contraindications to standard pharmacologic thromboprophylaxis. • In a European Angel Catheter Registry that had enrolled 60 patients, only one developed a PE.
  • 64.
    Role of ExtracorporealMembrane Oxygenation Therapy (ECMO) in Massive PE • Data to guide treatment of patients with massive PE and persistent hemodynamic instability or shock despite TT are limited. Nonetheless, ECMO may be suitable to stabilize PE patients until TT takes effect, as a bridge for other treatments (e.g. embolectomy) or for the purpose of post-surgical stabilization. • ECMO relies on local expertise and is usually only available in selective high-level centers.
  • 65.
    Chronic Thromboembolic PulmonaryHypertension • Chronic thromboembolic pulmonary hypertension occurs in 2% to 4% of patients with acute PE. • CTEPH results from persistent obstruction of pulmonary arteries and progressive vascular remodeling. • Not all patients presenting with CTEPH have a history of clinically overt PE. • The diagnostic workup should include ventilation-perfusion scintigraphy, which has high sensitivity for detecting CTEPH and a negative predictive value of nearly 100%. • CT angiography usually reveals mosaic perfusion, part or complete occlusion of pulmonary arteries, and intraluminal bands and webs. • Patients with suspected CTEPH should be referred to a specialized center for right-heart catheterization and pulmonary angiography. • Primary therapy for CTEPH is surgical pulmonary thromboendarterectomy, which confers mostly excellent long-term results that are often curative. The operation entails a median sternotomy, cardiopulmonary bypass, and deep hypothermia with circulatory arrest periods. • Some patients are not surgical candidates or have residual pulmonary arterial vasoconstriction that may respond to sildenafil or bosentan. • Percutaneous pulmonary artery balloon dilation shows promise in patients who are not deemed eligible candidates for surgery. • Riociguat, which stimulates soluble guanylate activity, is approved for patients with inoperable CTEPH or those who have not had resolution of pulmonary hypertension despite pulmonary thromboendarterectomy.
  • 66.
    Prevention Rationale for In-HospitalProphylaxis • PE is the most preventable cause of in-hospital death, but once PE occurs, it is difficult to diagnose, expensive to treat, and potentially lethal despite therapy. • VTE prevention is of paramount importance because it is preferable to diagnosis and treatment. • Fortunately, low fixed-dose anticoagulant prophylaxis is effective and safe during hospitalization. • Commonly used regimens include minidose unfractionated heparin 5000 units twice or three times daily, enoxaparin 40 mg daily, and dalteparin 5000 units daily.
  • 68.
    • In-Hospital RiskFactors for Venous Thromboembolism and Bleeding
  • 69.
    Mechanical Prophylaxis inMedically Ill Patients • Mechanical measures consist of intermittent pneumatic compression devices, which enhance endogenous fibrinolysis and increase venous blood flow, and graduated compression stockings. • Pharmacologic thromboprophylaxis is more effective than mechanical prophylaxis. • Therefore, mechanical measures are prescribed primarily when there is a contraindication to anticoagulation.
  • 70.
    Advances in VenousThromboembolism Prophylaxis in Major Orthopedic Surgery • Extended prophylaxis after hospital discharge decreases the risk of PE and DVT among patients undergoing major orthopedic surgery, particularly total hip or knee replacement, without increasing the frequency of major bleeding events. • There is evidence to support the use of virtually any prophylactic measure in patients undergoing major orthopedic surgery. • Approved approaches include LMWH, warfarin, NOACs, aspirin, and mechanical measures. • The PEPPER Trial , which is just getting under way, will randomize about 25,000 patients undergoing total knee or hip replacement to warfarin (target INR 1.7 to 2.2) versus rivaroxaban 10 mg daily versus low-dose aspirin 81 mg daily.
  • 71.
    Future Perspectives • Breakthroughsin understanding PE are advancing at a rapid pace. Inflammation activates platelets, which play a central role in releasing microparticles that accelerate the thrombotic process. • VTE and atherothrombosis have overlapping risk factors and pathophysiologic findings. • Risk stratification is more critical than ever before. • Not only must we decide which patients are too unstable for anticoagulation alone, but we also need to identify those low-risk patients with PE who can be managed as outpatients. • For patients who have massive or submassive PE, data suggest that thrombolysis reduces mortality rates among patients who initially are hemodynamically unstable or who have stable blood pressure with right ventricular dysfunction and elevated cardiac markers. • Pharmacomechanical catheter–directed therapy is an innovative technology that may reduce the thrombus burden by means of a lower dose of thrombolysis than with peripheral intravenous administration
  • 72.
    • Registry dataalso suggest that vena cava filter placement may reduce mortality rates in hemodynamically unstable patients with PE. • Inpatient pharmacologic prophylaxis is effective, safe, and standard practice for VTE prevention in patients at moderate or high risk. • We continue to investigate which drugs, dosages, and criteria are optimal for extended out-of-hospital VTE prophylaxis among high-risk medical patients. • Consortia of clinicians, patients, and the public are working together to improve VTE awareness and to advocate for implementing the cutting- edge technologies, drugs, and best practices that we have discovered.
  • 73.
    Summary • Pulmonary embolism(PE) is a leading cause of cardiovascular mortality worldwide. • Clinical presentation can be diverse, and clinicians should have a high index of suspicion regarding the diagnosis. • Evaluation should include detailed history of possible risk factors, physical examination and laboratory tests that would support the diagnosis and help risk-stratify patients. • Finally, a dedicated imaging study should be performed in order to make a definitive diagnosis. • Decisions regarding short-term, immediate, treatment are dictated by PE risk category. • Treatment of low and high-risk PE is relatively straightforward. • But treating moderate risk PE is challenging since aggressive treatment is not devoid of potential harm.
  • 74.