PULMONARY EMBOLISM
DR. ASRAF HUSSAIN
DM CARDIOLOGY RESIDENT (1ST YEAR)
Definition
• Pulmonary thromboembolism :
• Thrombosis originating in venous system and embolizing to pulmonary arterial
circulation.
INTRODUCTION
• PE contributes to 5 to 10% of deaths in hospitalized cases (Alikhan et al.2004)
• Also accounts for 20-30% of deaths associated with pregnancy and delivery
• As per systemic review literature on the global disease burden (Western
Europe,North America, Australia and Sothern latin America)
• Annual incidence of pulmonary embolism ranges between 0.75 to 2.69 per 1000
populations
• Incidence increased to between 2 to 7 per 1000 population of age above 70 years.
• About 70% of cases of Acute PE are caused by pelvic or leg thromboses.
• DVT and PE are different presentations of the same underlying pathophysiological
event i.e venous thromboembolism (VTE).
• One of the big three cardiovascular killer along with MI and stroke.
Predisposing factors
• Virchows triad for thrombogenesis
• Stasis: bed rest, inactivity, CHF, CVA within 3 mnth, air travel>6 h
• Injury to endothelium: trauma, surgery, prior DVT , inflammation
• Thrombophilia; protein c or s deficiency, prothrombin gene mutatuion,,
increased factor VIII, hyperhomocysteinemia, HIT, OCP, HRT, Tamoxifen,
raloxifene
• Malignancy (12% of idiopathic DVT/PE)
• Inflammation
• White infarct and red infarct a myth in present day understanding
• Obesity
• Hypertension
• Smoking
• Hypercholesterolemia
• White clot vs red clot????
- Risk of arterial cardiovascular events doubles in VTE patients*
- *Becattini C et al, Incidence of arterial cardiovascular events after venous thromboembolism: a systemic review and meta analysis
PREDISPOSING FACTORS
Pathophysiology
Symptoms
• Dyspnea(sudden onset) most common
• Chest pain(pleuritic or atypical)
• Anxiety
• Cough and hemoptysis
• Dizziness or syncope (due to right heart failure)
Signs
• Tachypnea/tachycardia
• Hypoxia/cyanosis
• Low grade fever
• Cardiac :gallop rhythm,Jugular venous distension, loud P2, RV heave, widely
split S2., TR.
• Haemoptysis
• Leg oedema, erythema, tenderness(signs of DVT)
• Systemic hypotension and cardiogenic shock.
Long term complications
• Recurrent VTE
• Post PE syndrome
• Chronic thromboembolic pulmonary hypertension
• Post thrombotic syndrome (venous insufficiency)
Assessment of clinical probability
• Clinical judgement lacks standardization , therefore clinical prediction rules have
been developed
• Commonly used is the one offered by Wells et al.
• The revised Geneva rule is also simple and standardized
WELL’S SCORE CRITERIA FOR PE
Classification of pulmonary embolism
category presentation
Massive pulmonary embolism(5%-10%) Systolic blood pressure<90 mm hg or poor tissue
perfusion or multisystem organ failure plus extensive
thrombus, such as “saddle” PE or right or left main
pulmonary artery thrombus
Submassive pulmonary embolism(20%-25%) Haemodynamically stable but moderate or severe
right ventricular dysfunction or enlargement, coupled
with biomarker elevation indicative of right ventricular
microinfarction and/or right ventricular pressure
overload
Small to moderate pulmonary embolism(70%) Normal haemodynamics and normal right ventricular
size and function
Diagnostic tests
labaratory
• Arterial blood gas: may reveal hypoxemia, hypocapnia and respiratory alkalosis
• Brain natriuretic peptide: BNP levels are greater in patient with PE compared to
other patients: elevation of BNP level correlates with risk of subsequent
complications and prolonged hospitalization.
• Troponin: serum troponin I and T are elevated in 30 to 50 % who have moderate
to large pulmonary embolism.
D-DIMER TESTING
• Simultaneous activation of coagulation and fibrinolysis in presence of acute
thrombosis causes elevated D-dimer levels
• Sensitivity of about 96% (Brown et al 2002). But low specificity.
• Negative predictive value of D-dimer testing is high and a normal D-dimer level
renders acute PE or DVT unlikely
• Fibrin is also produced in various condtions such as cancer, inflammation,
bleeding, trauma , surgery and necrosis, accordingly positive predictive value of
elevated D-dimer level is low and D-dimer testing is not useful for confirmation of
PE
• After age of 80 significance decreases
• New D-dimer cut-off value:
• –< 50 years-old 500 ng/mL
• –> 50 years-old Patient age X 10 (e.g. 78-year-old patient, cut-off 780
ng/mL)
• Age-adjusted cut-off would increase the diagnostic yield of D-dimer by 10%
(from 25 to 35% of all patients tested)
Diagnostic Tests
ECG
• Sinus Tachycardia
• Atrial fibrillation
• P pulmonale
• RV strain patterns suggest severe PE
• Inverted T waves V1-V4
• Incomplete RBBB
• S1Q3T3 (first described by McGinn and White in JAMA in 1935) has sensitivity
of 54% and specificity of 62% (Ferrari et al 1997)
Rauniyar b, Adhikari cm at gnhc
S1Q3T3 and T wave changes
Diagnostic Tests
CXR
Chest radiograph findings in patient with pulmonary embolism
Result
Cardiomegaly
Normal study
Atelectasis
Elevated Hemidiaphragm
Pulmonary Artery Enlargement
Pleural Effusion
Parenchymal Pulmonary Infiltrate
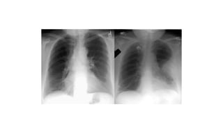
Chest X-ray Eponyms of PE
29
Westermark's sign
• Focal , demarcated oligaemia
• Hampton’s Hump
• A triangular or rounded pleural-based infiltrate with the apex toward the hilum,
usually located adjacent to the hilum.
• Palla’s sign
• prominent right descending pulmonary artery
Figure 1. Chest radiograph demonstrating focal oligemia in the right lung (area between white
arrowheads) and a prominent right descending pulmonary artery (black arrow).
Shiva Sreenivasan et al. Circulation. 2007;115:e211
Copyright © American Heart Association, Inc. All rights reserved.
• MELTING SIGN (rapid clearing in contrast to pneumonic consolidation)
• FLEISHNER’S SIGN (prominent central artery secondary to PHTN or
large PE)
ECHOCARDIOGRAPHY
• Acute PE may lead to RV pressure overload and dysfunction, which can be detected by
echocardiography
• Disturbed RV ejection pattern (so-called ‘60–60 sign’) or on depressed contractility of the RV
free wall compared with the RV apex (‘McConnell sign’)
• Echocardiographic examination is not recommended as part of the diagnostic work-up in
haemodynamically stable, normotensive patients with suspected (not high-risk) PE
• This is in contrast to suspected high-risk PE, in which the absence of echocardiographic signs
of RV overload or dysfunction practically excludes PE as the cause of haemodynamic
instability
• Mobile right heart thrombi are detected by transthoracic or transoesophageal
echocardiography (or by CT angiography)
LUNG ULTRASOUND
• Subpleural parenchymal consolidations in up to 75% of the patients
DIAGNOSTIC TESTS
CT Angiography
• Studies have shown sensitivity of close to 95% with an experienced observer
• One of the most commonly cited benefits of CTA is its ability to detect alternative
pulmonary abnormalities that may explain the patient's symptoms and sign
• It allows adequate visualization of the pulmonary arteries down to at least the
segmental level.
• Contrast enhanced MDCT-PA is currently the preferred method of diagnosis.
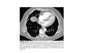
• RV to LV dimensional ratio of 0.9 or greater
• IVS septal bowing towards LV
• Reflux of contrast medium into inferior venacavae
Diagnostic tests
PULMONARY ANGIOGRAPHY
• Definite diagnostic test or gold standard in diagnosis of PE (less preferred)
• A filling defect or abrupt cutoff of a small vessel is indicative of embolus
• A negative pulmonary angiogram excludes clinically relevant PE
V/Q SCAN
• Normal V/Q sensitivity 99% (r/o PE)
• High prob. V/Q specificity 96% (r/I PE)
• Lung scan results are frequently classified according to the criteria established in
the PIOPED study: normal or near-normal, low, intermediate (non-diagnostic), and
high probability of PE
DIAGNOSTIC TESTS
MAGNETIC RESONANCE ANGIOGRAPHY
• The use of MRA for diagnosis of PE is limited by respiratory and cardiac motion
artefact
Diagnostic tests
LOWER LIMB ULTRASONOGRAPHY
• Proximal DVT in a patient with clinical suspicion of PE confirms PE
• Distal DVT further testing should be considered to confirm PE
• Almost 50% patients with symptomatic DVT have asymptomatic PE.
Treatment
• Respiratory support: supplemental oxygen if hypoxemia exists
• Hemodynamic support: patient with PE and hypotension, hemodynamic support
should be instituted
• Intravenous fluid administration
• Intravenous vasopressors: norepinephrine, dopamine or epinephrine may be
effective
• Dobutamine increases myocardial contractility and causes vasodilatation and
is ideal for cardiogenic shock
Treatment
Thrombolytic treatment
• Thrombolysis restores pulmonary perfusion more rapidly than anticoagulation
with UFH alone leading to a prompt reduction in pulmonary artery pressure and
resistance, with a concomitant improvement in RV function
• The greatest benefit is observed when treatment is initiated within 48 hours after
the onset of symptoms, but thrombolysis can still be effective in patients who
have had symptoms for up to 14 days
• Fibrinolysis results in 47% reduction in all cause mortality, 60% decrease in
recurrent PE at cost of 2.7 X risk of major bleeding and 4.6 X risk if ICH*
-*Chatterjee S. Chakraborty et al Thrombolysis for PE and risk of all cause mortality, major bleeding and ICH: a meta analysis
Treatment
Indication of thrombolysis
• Systemic thrombolysis should be considered only after acute PE has been confirmed
• Persistent hypotension ( systolic blood pressure of<90 mm hg or decrease in systolic BP by
>/40mm Hg from baseline
• Severe hypoxemia
• Large perfusion defect on ventilation perfusion scans
• Extensive embolic burden on CT
• Right ventricular dysfunction
• Free floating right atrial or ventricular thrombus
• Patent foramen ovale
Advances in Catheter Based Therapy
• SEATTLE II trial with 24 mg t-PA
• Major bleeding in 10% with no ICH (vs 1% to 3% patients developing
ICH in patients receiving systemic thrombolysis.)
• Promising modality
• INDIGO thrombectomy system- microaspiration without using
fibrinolysis (US FDA approved 2019)
Treatment
Initiation of anticoagulation therapy
• Anticoagulation is recommended, with the objective of preventing both early death and
recurrent symptomatic or fatal VTE
• Consists of administering parenteral anticoagulation [unfractionated heparin (UFH), low
molecular weight heparin (LMWH), or fondaparinux] over the first 5–10 days
• Parenteral heparin should overlap with the initiation of a vitamin K antagonist (VKA);
alternatively, it can be followed by administration of one of the new oral anticoagulants:
dabigatran or edoxaban. rivaroxaban or apixaban
• Oral treatment with one of these agents should be started directly or after a 1–2 day
administration of UFH, LMWH or fondaparinux
• In this latter case, acute-phase treatment consists of an increased dose of the oral
anticoagulant over the first 3 weeks (for rivaroxaban), or over the first 7 days (for apixaban)
Treatment
Parenteral anticoagulation
• LMWH or fondaparinux are preferred over UFH for initial anticoagulation in PE, as they carry a
lower risk of major bleeding and heparin-induced thrombocytopenia (HIT)
• UFH is recommended for patients in whom primary reperfusion is considered, as well as for
those with serious renal impairment (creatinine clearance <30 mL/min), or severe obesity
• These recommendations are based on the short half-life of UFH, the ease of monitoring its
anticoagulant effects, and its rapid reversal by protamine. The dosing of UFH is adjusted,
based on the activated partial thromboplastin time (aPTT)
Adjustment of UFH dose
Treatment
Vitamin K antagonists
• Oral anticoagulants should be initiated as soon as possible, and preferably on the same
day as the parenteral anticoagulant
• VKAs have been the ‘gold standard' in oral anticoagulation for more than 50 years and
warfarin remain the predominant anticoagulants prescribed for PE
• Anticoagulation with UFH, LMWH, or fondaparinux should be continued for at least 5 days
and until the international normalized ratio (INR) has been 2.0–3.0 for two consecutive
days
• Warfarin can be started at a dose of 10 mg in younger (e.g. <60 years of age), otherwise
healthy outpatients, and at a dose of 5 mg in older patients and in those who are
hospitalized
• The daily dose is adjusted according to the INR over the next 5–7 days
NEW ORAL ANTICOAGULANTS
Treatment
Surgical embolectomy
• The first successful surgical pulmonary embolectomy was performed in
1924(Kirschner a pupil of Trendelenburg in Germany), several decades before the
introduction of medical treatment for PE.
• Reserved for patients with absolute contraindications to thrombolysis and in
those in whom thrombolysis has failed to improve the hemodynamic status.
Percutaneous catheter embolectomy and
fragmentation
• If surgical embolectomy not available.
Treatment
Venous filters
• Venous filters (Mobin Uddin Umbrella) are usually placed in the infrarenal portion
of the inferior vena cava (IVC)
• Venous filters are indicated in patients with acute PE who have absolute
contraindications to anticoagulant drugs, and in patients with objectively
confirmed recurrent PE despite adequate anticoagulation treatment
ESC GUIDELINES 2019
Mechanical VTE Prophylaxis
• Intermittent pneumatic compression
• Graduated compression stockings
Role in doubt
Medical prophylaxis
THANK YOU

Pulmonary Embolism

  • 1.
    PULMONARY EMBOLISM DR. ASRAFHUSSAIN DM CARDIOLOGY RESIDENT (1ST YEAR)
  • 2.
    Definition • Pulmonary thromboembolism: • Thrombosis originating in venous system and embolizing to pulmonary arterial circulation.
  • 3.
    INTRODUCTION • PE contributesto 5 to 10% of deaths in hospitalized cases (Alikhan et al.2004) • Also accounts for 20-30% of deaths associated with pregnancy and delivery • As per systemic review literature on the global disease burden (Western Europe,North America, Australia and Sothern latin America) • Annual incidence of pulmonary embolism ranges between 0.75 to 2.69 per 1000 populations • Incidence increased to between 2 to 7 per 1000 population of age above 70 years.
  • 4.
    • About 70%of cases of Acute PE are caused by pelvic or leg thromboses. • DVT and PE are different presentations of the same underlying pathophysiological event i.e venous thromboembolism (VTE). • One of the big three cardiovascular killer along with MI and stroke.
  • 5.
    Predisposing factors • Virchowstriad for thrombogenesis • Stasis: bed rest, inactivity, CHF, CVA within 3 mnth, air travel>6 h • Injury to endothelium: trauma, surgery, prior DVT , inflammation • Thrombophilia; protein c or s deficiency, prothrombin gene mutatuion,, increased factor VIII, hyperhomocysteinemia, HIT, OCP, HRT, Tamoxifen, raloxifene • Malignancy (12% of idiopathic DVT/PE) • Inflammation • White infarct and red infarct a myth in present day understanding
  • 6.
    • Obesity • Hypertension •Smoking • Hypercholesterolemia • White clot vs red clot???? - Risk of arterial cardiovascular events doubles in VTE patients* - *Becattini C et al, Incidence of arterial cardiovascular events after venous thromboembolism: a systemic review and meta analysis
  • 7.
  • 8.
  • 10.
    Symptoms • Dyspnea(sudden onset)most common • Chest pain(pleuritic or atypical) • Anxiety • Cough and hemoptysis • Dizziness or syncope (due to right heart failure)
  • 11.
    Signs • Tachypnea/tachycardia • Hypoxia/cyanosis •Low grade fever • Cardiac :gallop rhythm,Jugular venous distension, loud P2, RV heave, widely split S2., TR. • Haemoptysis • Leg oedema, erythema, tenderness(signs of DVT) • Systemic hypotension and cardiogenic shock.
  • 12.
    Long term complications •Recurrent VTE • Post PE syndrome • Chronic thromboembolic pulmonary hypertension • Post thrombotic syndrome (venous insufficiency)
  • 13.
    Assessment of clinicalprobability • Clinical judgement lacks standardization , therefore clinical prediction rules have been developed • Commonly used is the one offered by Wells et al. • The revised Geneva rule is also simple and standardized
  • 14.
  • 16.
    Classification of pulmonaryembolism category presentation Massive pulmonary embolism(5%-10%) Systolic blood pressure<90 mm hg or poor tissue perfusion or multisystem organ failure plus extensive thrombus, such as “saddle” PE or right or left main pulmonary artery thrombus Submassive pulmonary embolism(20%-25%) Haemodynamically stable but moderate or severe right ventricular dysfunction or enlargement, coupled with biomarker elevation indicative of right ventricular microinfarction and/or right ventricular pressure overload Small to moderate pulmonary embolism(70%) Normal haemodynamics and normal right ventricular size and function
  • 21.
    Diagnostic tests labaratory • Arterialblood gas: may reveal hypoxemia, hypocapnia and respiratory alkalosis • Brain natriuretic peptide: BNP levels are greater in patient with PE compared to other patients: elevation of BNP level correlates with risk of subsequent complications and prolonged hospitalization. • Troponin: serum troponin I and T are elevated in 30 to 50 % who have moderate to large pulmonary embolism.
  • 22.
    D-DIMER TESTING • Simultaneousactivation of coagulation and fibrinolysis in presence of acute thrombosis causes elevated D-dimer levels • Sensitivity of about 96% (Brown et al 2002). But low specificity. • Negative predictive value of D-dimer testing is high and a normal D-dimer level renders acute PE or DVT unlikely • Fibrin is also produced in various condtions such as cancer, inflammation, bleeding, trauma , surgery and necrosis, accordingly positive predictive value of elevated D-dimer level is low and D-dimer testing is not useful for confirmation of PE • After age of 80 significance decreases
  • 23.
    • New D-dimercut-off value: • –< 50 years-old 500 ng/mL • –> 50 years-old Patient age X 10 (e.g. 78-year-old patient, cut-off 780 ng/mL) • Age-adjusted cut-off would increase the diagnostic yield of D-dimer by 10% (from 25 to 35% of all patients tested)
  • 24.
    Diagnostic Tests ECG • SinusTachycardia • Atrial fibrillation • P pulmonale • RV strain patterns suggest severe PE • Inverted T waves V1-V4 • Incomplete RBBB • S1Q3T3 (first described by McGinn and White in JAMA in 1935) has sensitivity of 54% and specificity of 62% (Ferrari et al 1997)
  • 25.
  • 27.
    S1Q3T3 and Twave changes
  • 28.
    Diagnostic Tests CXR Chest radiographfindings in patient with pulmonary embolism Result Cardiomegaly Normal study Atelectasis Elevated Hemidiaphragm Pulmonary Artery Enlargement Pleural Effusion Parenchymal Pulmonary Infiltrate
  • 29.
    Chest X-ray Eponymsof PE 29 Westermark's sign • Focal , demarcated oligaemia • Hampton’s Hump • A triangular or rounded pleural-based infiltrate with the apex toward the hilum, usually located adjacent to the hilum. • Palla’s sign • prominent right descending pulmonary artery
  • 31.
    Figure 1. Chestradiograph demonstrating focal oligemia in the right lung (area between white arrowheads) and a prominent right descending pulmonary artery (black arrow). Shiva Sreenivasan et al. Circulation. 2007;115:e211 Copyright © American Heart Association, Inc. All rights reserved.
  • 32.
    • MELTING SIGN(rapid clearing in contrast to pneumonic consolidation) • FLEISHNER’S SIGN (prominent central artery secondary to PHTN or large PE)
  • 34.
    ECHOCARDIOGRAPHY • Acute PEmay lead to RV pressure overload and dysfunction, which can be detected by echocardiography • Disturbed RV ejection pattern (so-called ‘60–60 sign’) or on depressed contractility of the RV free wall compared with the RV apex (‘McConnell sign’) • Echocardiographic examination is not recommended as part of the diagnostic work-up in haemodynamically stable, normotensive patients with suspected (not high-risk) PE • This is in contrast to suspected high-risk PE, in which the absence of echocardiographic signs of RV overload or dysfunction practically excludes PE as the cause of haemodynamic instability • Mobile right heart thrombi are detected by transthoracic or transoesophageal echocardiography (or by CT angiography)
  • 37.
    LUNG ULTRASOUND • Subpleuralparenchymal consolidations in up to 75% of the patients
  • 38.
    DIAGNOSTIC TESTS CT Angiography •Studies have shown sensitivity of close to 95% with an experienced observer • One of the most commonly cited benefits of CTA is its ability to detect alternative pulmonary abnormalities that may explain the patient's symptoms and sign • It allows adequate visualization of the pulmonary arteries down to at least the segmental level. • Contrast enhanced MDCT-PA is currently the preferred method of diagnosis.
  • 39.
    • RV toLV dimensional ratio of 0.9 or greater • IVS septal bowing towards LV • Reflux of contrast medium into inferior venacavae
  • 43.
    Diagnostic tests PULMONARY ANGIOGRAPHY •Definite diagnostic test or gold standard in diagnosis of PE (less preferred) • A filling defect or abrupt cutoff of a small vessel is indicative of embolus • A negative pulmonary angiogram excludes clinically relevant PE
  • 45.
    V/Q SCAN • NormalV/Q sensitivity 99% (r/o PE) • High prob. V/Q specificity 96% (r/I PE) • Lung scan results are frequently classified according to the criteria established in the PIOPED study: normal or near-normal, low, intermediate (non-diagnostic), and high probability of PE
  • 47.
    DIAGNOSTIC TESTS MAGNETIC RESONANCEANGIOGRAPHY • The use of MRA for diagnosis of PE is limited by respiratory and cardiac motion artefact
  • 48.
    Diagnostic tests LOWER LIMBULTRASONOGRAPHY • Proximal DVT in a patient with clinical suspicion of PE confirms PE • Distal DVT further testing should be considered to confirm PE • Almost 50% patients with symptomatic DVT have asymptomatic PE.
  • 51.
    Treatment • Respiratory support:supplemental oxygen if hypoxemia exists • Hemodynamic support: patient with PE and hypotension, hemodynamic support should be instituted • Intravenous fluid administration • Intravenous vasopressors: norepinephrine, dopamine or epinephrine may be effective • Dobutamine increases myocardial contractility and causes vasodilatation and is ideal for cardiogenic shock
  • 52.
    Treatment Thrombolytic treatment • Thrombolysisrestores pulmonary perfusion more rapidly than anticoagulation with UFH alone leading to a prompt reduction in pulmonary artery pressure and resistance, with a concomitant improvement in RV function • The greatest benefit is observed when treatment is initiated within 48 hours after the onset of symptoms, but thrombolysis can still be effective in patients who have had symptoms for up to 14 days • Fibrinolysis results in 47% reduction in all cause mortality, 60% decrease in recurrent PE at cost of 2.7 X risk of major bleeding and 4.6 X risk if ICH* -*Chatterjee S. Chakraborty et al Thrombolysis for PE and risk of all cause mortality, major bleeding and ICH: a meta analysis
  • 53.
    Treatment Indication of thrombolysis •Systemic thrombolysis should be considered only after acute PE has been confirmed • Persistent hypotension ( systolic blood pressure of<90 mm hg or decrease in systolic BP by >/40mm Hg from baseline • Severe hypoxemia • Large perfusion defect on ventilation perfusion scans • Extensive embolic burden on CT • Right ventricular dysfunction • Free floating right atrial or ventricular thrombus • Patent foramen ovale
  • 55.
    Advances in CatheterBased Therapy • SEATTLE II trial with 24 mg t-PA • Major bleeding in 10% with no ICH (vs 1% to 3% patients developing ICH in patients receiving systemic thrombolysis.) • Promising modality • INDIGO thrombectomy system- microaspiration without using fibrinolysis (US FDA approved 2019)
  • 56.
    Treatment Initiation of anticoagulationtherapy • Anticoagulation is recommended, with the objective of preventing both early death and recurrent symptomatic or fatal VTE • Consists of administering parenteral anticoagulation [unfractionated heparin (UFH), low molecular weight heparin (LMWH), or fondaparinux] over the first 5–10 days • Parenteral heparin should overlap with the initiation of a vitamin K antagonist (VKA); alternatively, it can be followed by administration of one of the new oral anticoagulants: dabigatran or edoxaban. rivaroxaban or apixaban • Oral treatment with one of these agents should be started directly or after a 1–2 day administration of UFH, LMWH or fondaparinux • In this latter case, acute-phase treatment consists of an increased dose of the oral anticoagulant over the first 3 weeks (for rivaroxaban), or over the first 7 days (for apixaban)
  • 57.
    Treatment Parenteral anticoagulation • LMWHor fondaparinux are preferred over UFH for initial anticoagulation in PE, as they carry a lower risk of major bleeding and heparin-induced thrombocytopenia (HIT) • UFH is recommended for patients in whom primary reperfusion is considered, as well as for those with serious renal impairment (creatinine clearance <30 mL/min), or severe obesity • These recommendations are based on the short half-life of UFH, the ease of monitoring its anticoagulant effects, and its rapid reversal by protamine. The dosing of UFH is adjusted, based on the activated partial thromboplastin time (aPTT)
  • 59.
  • 60.
    Treatment Vitamin K antagonists •Oral anticoagulants should be initiated as soon as possible, and preferably on the same day as the parenteral anticoagulant • VKAs have been the ‘gold standard' in oral anticoagulation for more than 50 years and warfarin remain the predominant anticoagulants prescribed for PE • Anticoagulation with UFH, LMWH, or fondaparinux should be continued for at least 5 days and until the international normalized ratio (INR) has been 2.0–3.0 for two consecutive days • Warfarin can be started at a dose of 10 mg in younger (e.g. <60 years of age), otherwise healthy outpatients, and at a dose of 5 mg in older patients and in those who are hospitalized • The daily dose is adjusted according to the INR over the next 5–7 days
  • 61.
  • 63.
    Treatment Surgical embolectomy • Thefirst successful surgical pulmonary embolectomy was performed in 1924(Kirschner a pupil of Trendelenburg in Germany), several decades before the introduction of medical treatment for PE. • Reserved for patients with absolute contraindications to thrombolysis and in those in whom thrombolysis has failed to improve the hemodynamic status.
  • 64.
    Percutaneous catheter embolectomyand fragmentation • If surgical embolectomy not available.
  • 65.
    Treatment Venous filters • Venousfilters (Mobin Uddin Umbrella) are usually placed in the infrarenal portion of the inferior vena cava (IVC) • Venous filters are indicated in patients with acute PE who have absolute contraindications to anticoagulant drugs, and in patients with objectively confirmed recurrent PE despite adequate anticoagulation treatment
  • 66.
  • 70.
    Mechanical VTE Prophylaxis •Intermittent pneumatic compression • Graduated compression stockings Role in doubt
  • 71.
  • 72.