Basic
Dr Nor Hidayah Zainool Abidin (MBBS, IIUM)
Supervisor:
Dr Fazilawati & Dr Wan Nasharudin
in ICU
ECHO - FOCUS
CHEST ultrasound
Abdominal ultrasound-
FAST
Intravascular cannulation
FOCUS ECHO
• Hemodynamic monitoring using echo
• For monitoring and therapeutic
• Assess CO, fluid responsiveness, myocardial contractility,
recognize other medical emergency like cardiac tamponade
and acute cor-pulmonale.
• For quick diagnosis and management
• Challenges:
– Mechanical ventilated
– High inotropic support
– Underlying illness that can interfere with ECHO
– Hyperinflated lungs by IPPV, emphysema, surgical incision and
drains, dressings, inadequate exposure and positioning
Several factors could alter the CVS
physiology of critically ill patients
•Positive pressure ventilation
•Sedation
•Inotropic agents and CO2 tension
Practical use of ECHO is ICU
• To correlates ECHO findings with clinical
examination
– Significant proportion of patients admitted to ICU
with non cardiac illness have underlying cardiac
abnormalities which can be detected by
surveillance ECHO at the time of admission
– Specifics indication
• Evaluation of hypotension or hemodynamic instability,
MI or infarction, respiratory failure and PE.
Goal directed therapy
– Detailed cardiac examination including valvular
function, congenital abnormalities intracardiac
shunt and estimation of pulmonary pressure is
best done by certified ECHO MA with
cardiologist consultation.
– Rapid cardiac assessment(RCA), FADE, RACE,
FOCUS, FATE, used bedside  conducted
systematically and must be correlated with
patient clinical status
At the end of assessment, must be able to
answer this questions..
What is the left heart function?
What is the right heart function?
Is there any evidence or pericardial
effusion, and tamponade?
What is the volume status?
The RUSH exam:
Heart, Inferior vena cava (IVC), Morrison’s/FAST abdominal
views, Aorta, and Pneumothorax (HI-MAP).
Basic MODE
• 2D ECHO, M-Mode
• Doppler ECHO
– Supplemented with 2D and M-mode ECHO
– Provide intracardiac hemodynamics – systolic and
diastolic flow, blood velocity and volume, severity of
valvular lesions, location and severity of intracardiac
shunts and assessment of diastolic function
• Views
– Parastrenal long axis
– Parasternal short axis
– Apical view 4 chamber view
– Substernal 4 chamber view
Parasternal short axis view
Apical view
Volume status and preload
responsiveness assessment
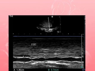
Theoritical method to measure IVC
2-D image of the IVC
entering the right
atrium
make sure IVC
visualization is not lost
during movements of
respiration
place a M-mode line
through the IVC 1 cm
caudal from its
junction with the
hepatic vein
record the M-mode
through 3 or 4
respiratory cycles.
Freeze the M-mode
image
using calipers,
measure the
maximum and
minimum diameter
from anterior to
posterior wall.
IVC diameter
• Low CVP is increasingly is likely as
• IVC diameter (IVCD) < 1 cm
• high CVP increasingly likely as IVCD > 2cm.
Simultaneous measurements of the central venous pressure (CVP) and IVC diameter
at the end of expiration in 108 mechanically ventilated patients
Physiological respiratory variations in IVC diameter in a healthy volunteer breathing
quietly
Respiratory variations in IVC diameter in a patient on controlled ventilation
IVC collapsibility index
• Measurement of IVC diameter in different
phases of respiration
• In a spontaneously breathing, cyclic variations
in pleural pressure transmitted to the right
atrium
• produce cyclic variations in VR increased by
inspiration  inspiratory reduction of IVC
diameter.
Assessment of volume status
• CI = (Exp Dmax – Insp Dmax)/ Exp Dmax
• 15%
• [(maximumIVCdiameter−minimumIVCdiamete
r)/maximumIVCdiameter]
Signs that may suggest the patient
would deteriorate after a fluid bolus
• A dilated LV with impaired contractility
• Dilated right heart chambers with impaired RV
contractility
• Dilated IVC with little or no respiratory
variation
• Paradoxical interventricular septal movement
(septal bounce); A ‘D shaped’ LV
• Interatrial septal deviation to the left
Left ventricular function
Overall
size
Wall
thickness
Doppler

regurgitation
Contractility
Left heart chambers:
• Is there a small or normal sized LV? Does it
have good contractility? Are there kissing
ventricles?
• Is the wall hypertrophied?
• Is the LA dilated?
• Is there paradoxical interventricular septal
motion (septal bounce)?
Right heart chambers: Is the RV a normal size
with good contractility? Is the RA dilated?
IVC: Is the IVC 2cm or greater? Does it change
with respiratory variation- is it >50%
CHEST ULTRASOUND
• Ultrasound wave unable to penetrate aerated
lung tissue.
Historically, this has limited usage for evaluation
of the lung pathology accept pleural effusion.
• However, in the recent years, the recognition
that analysis of ultrasound artefacts arising
from the pleura can provide valuable
information about underlying lung pathology
• US wave are able to penetrate non aerated tissues.
• Thus pleural fluid, and non-aerated lungs pathology
(such as consolidation or complete atelectasis) can
be readily visualized.
• Compared with chest radiography and computed
tomography (CT)
– Rapid, portable, real time imaging inexpensive and safe
Aims
To understand the basic principles and practical
application of transthoracic ultrasound
To be familiar with the sonographic appearance
of the normal thorax
To identify basic thoracic pathology
Equipment
• Phased array, low freq (3-5MHz) evaluation of
pulmonary edema and pleural effusion
• Microconvex 5-8MHz – better artefact
visualization than lower frequency transducers,
but depth of penetration may be insufficient for
large patient
• High frequency linear array transducer (6-
13MHz) allow detailed pleural line analysis, and is
optimal for pneumothorax detextion but has
limited applicability
• Anterior zone -
extrapleural air
(pneumothotax)
• Posterior/ Lateral –
consolidation,
Effusion
• All zones –
interstitial or
alveolar fluid a.k.a
extracappilaties
lung water
Examination technique
A lines
The horizontal bright
(hyperechoic) pleural line (P)
and A line (A) flanked on each
side by dark rib shadows
The pleural line is the reference line for artefact
analysis and lung sliding analysis.
A-line artefacts
these are bright horizontal repetitions of the
pleural line due to reverberation artefacts, and
are a normal finding
B artifacts
• previously known as comet-tail artefacts
or ultrasound lung comets
• Discrete vertical bright lines originating at
the pleural line and fanning out to the
bottom of the screen without fading
• Arise from reverberation artefacts
generated at the interface of fluid-filled or
fibrosed interlobular septa abutting the
visceral pleura
• The presence of multiple B lines, termed ‘B
pattern’, erases the A-line artefact.
• With greater loss
of aeration the B
lines become
more closely
spaced, or
confluent (white-
out)
B lines are equivalent to Kerley B lines seen on the chest radiograph although they may be
present before radiographic changes are visible. Isolated B lines or short, ill-defined vertical
artefacts are of uncertain significance
What is B lines?
• Hyperechoic
• Starts at pleura
• Moves with respiration
• Extend off the screen
• Erases A-lines
Lung sliding analysis
• With tidal inflation of the normal lung, the
visceral pleura slides against the parietal
pleura.
• On ultrasound this is seen as movement
below the pleural line.
• The movement is best appreciated using M-
mode imaging, which shows an image
reminiscent of the seashore
Lung sliding (sea shore sign)
• The smooth
horizontal lines
above the pleural line
(P)
• The ‘sandy’
appearance below
the pleural line
artefact from visceral pleural
sliding with tidal ventilation
extrapleural tissues static over time
Pneumothorax
Absent lung
sliding
demonstrated
with a 1–5 MHz
phased array
transducer in M-
mode.
Note the smooth horizontal lines
above and below the bright
(hyperechoic) pleural line (P).
Specific pathologies
• US is also sensitive to the changes in severity
of disease and can thus be used to monitor
disease progression and make timely clinical
decision.
• Normal lung has A lines and lung sliding.
• About a quarter of population has one or two
B lines in the lung bases but other artifact
should be absent.
Pleural effusion
• US enable to detect small pleural effusion
(<50ml) not visible on chest radiograph
• Provide nature of effusion  septated pleural
collection are better characterized with US than
CT scan.
• Identification of diaphragm on scanning over the
lower lateral chest
• Diaphragm appear as smooth bright hyperechoic
overlying the abdominal content (liver as spleen)
• Pleural fluid manifest as hyperechoic
(homogenous dark)
Liver (L), diaphragm (D), pleural effusion and collapsed/consolidated lung (C)
demonstrated with a 1–5 MHz phased array transducer aligned with the
longitudinal axis of the patient in the basal right mid-axillary line.
Pleural fluid quantification
• In supine mechanically ventilated patient 
Posterior pleural fluid separation >5cm
strongly predict drainage > 500ml
• In semirecumbant mechanically ventilated
patient the maximum pleural separation (in
mm) multiplied by 20 give estimation of
drainage volume
• However precise volume measurement is
rarely necessary for clinical decision making.
Complex septate effusion (viewed with low-frequency ultrasonography) with multiple
septa (S) and loculations (L).
Thoracocentesis
• US guided thoracocentesis decrease
complications and improves fluid collection
rates
• Allow identification of the optimal site for
drainage, measurement of depth of the pleural
space.
• Potential hazard such as diphragm and pleural
adherences can be avoided
Alveolar consolidation
Dark (hypoechoic) diagonal region representing the oblique fissure,
and the bright (hyperechoic) punctiform air bronchograms.
The lung pulse sign consists of vibrations in the M-mode trace (below the pleural line) due
to transmitted cardiac pulsation
Complete lobar collapse
ABDOMINAL ULTRASOUND
Right upper quadrant FAST scan
- free intraperitoneal fluid in the hepatorenal
recess (Morison’s pouch).
INTRAVASCULAR CANNULATION
transverse (short axis) plane
The vein has an oval contour without external compression
Appears slit-like when light external compression is
applied
Acquisition of ultrasound proficiency is best achieved
with a combination of
1. Theoretical learning (basic physics of ultrasound,
relevant anatomy, image interpretation),
2. Direct supervision of image acquisition
3. Practice
Conclusion
Image
interpretation
Image integration
into care path
Image
acquization
Bedside US has 3 distict
skill requirement:
References
• Oh’s Intensive care Manual
• Hemodynamic monitoring Using ECHO in the
critically ill patients by Wan Nasrudin WI, MSA
Year book 2013/2014
• http://www.criticalecho.com/content/tutorial-
4-volume-status-and-preload-responsiveness-
assessment

Basic ultrasound in icu

  • 1.
    Basic Dr Nor HidayahZainool Abidin (MBBS, IIUM) Supervisor: Dr Fazilawati & Dr Wan Nasharudin in ICU
  • 2.
    ECHO - FOCUS CHESTultrasound Abdominal ultrasound- FAST Intravascular cannulation
  • 3.
    FOCUS ECHO • Hemodynamicmonitoring using echo • For monitoring and therapeutic • Assess CO, fluid responsiveness, myocardial contractility, recognize other medical emergency like cardiac tamponade and acute cor-pulmonale. • For quick diagnosis and management • Challenges: – Mechanical ventilated – High inotropic support – Underlying illness that can interfere with ECHO – Hyperinflated lungs by IPPV, emphysema, surgical incision and drains, dressings, inadequate exposure and positioning
  • 4.
    Several factors couldalter the CVS physiology of critically ill patients •Positive pressure ventilation •Sedation •Inotropic agents and CO2 tension
  • 5.
    Practical use ofECHO is ICU • To correlates ECHO findings with clinical examination – Significant proportion of patients admitted to ICU with non cardiac illness have underlying cardiac abnormalities which can be detected by surveillance ECHO at the time of admission – Specifics indication • Evaluation of hypotension or hemodynamic instability, MI or infarction, respiratory failure and PE.
  • 6.
    Goal directed therapy –Detailed cardiac examination including valvular function, congenital abnormalities intracardiac shunt and estimation of pulmonary pressure is best done by certified ECHO MA with cardiologist consultation. – Rapid cardiac assessment(RCA), FADE, RACE, FOCUS, FATE, used bedside  conducted systematically and must be correlated with patient clinical status
  • 7.
    At the endof assessment, must be able to answer this questions.. What is the left heart function? What is the right heart function? Is there any evidence or pericardial effusion, and tamponade? What is the volume status?
  • 8.
    The RUSH exam: Heart,Inferior vena cava (IVC), Morrison’s/FAST abdominal views, Aorta, and Pneumothorax (HI-MAP).
  • 9.
    Basic MODE • 2DECHO, M-Mode • Doppler ECHO – Supplemented with 2D and M-mode ECHO – Provide intracardiac hemodynamics – systolic and diastolic flow, blood velocity and volume, severity of valvular lesions, location and severity of intracardiac shunts and assessment of diastolic function • Views – Parastrenal long axis – Parasternal short axis – Apical view 4 chamber view – Substernal 4 chamber view
  • 12.
  • 14.
  • 16.
    Volume status andpreload responsiveness assessment
  • 17.
    Theoritical method tomeasure IVC 2-D image of the IVC entering the right atrium make sure IVC visualization is not lost during movements of respiration place a M-mode line through the IVC 1 cm caudal from its junction with the hepatic vein record the M-mode through 3 or 4 respiratory cycles. Freeze the M-mode image using calipers, measure the maximum and minimum diameter from anterior to posterior wall.
  • 18.
    IVC diameter • LowCVP is increasingly is likely as • IVC diameter (IVCD) < 1 cm • high CVP increasingly likely as IVCD > 2cm.
  • 19.
    Simultaneous measurements ofthe central venous pressure (CVP) and IVC diameter at the end of expiration in 108 mechanically ventilated patients
  • 20.
    Physiological respiratory variationsin IVC diameter in a healthy volunteer breathing quietly
  • 21.
    Respiratory variations inIVC diameter in a patient on controlled ventilation
  • 22.
    IVC collapsibility index •Measurement of IVC diameter in different phases of respiration • In a spontaneously breathing, cyclic variations in pleural pressure transmitted to the right atrium • produce cyclic variations in VR increased by inspiration  inspiratory reduction of IVC diameter.
  • 24.
    Assessment of volumestatus • CI = (Exp Dmax – Insp Dmax)/ Exp Dmax • 15% • [(maximumIVCdiameter−minimumIVCdiamete r)/maximumIVCdiameter]
  • 26.
    Signs that maysuggest the patient would deteriorate after a fluid bolus • A dilated LV with impaired contractility • Dilated right heart chambers with impaired RV contractility • Dilated IVC with little or no respiratory variation • Paradoxical interventricular septal movement (septal bounce); A ‘D shaped’ LV • Interatrial septal deviation to the left
  • 27.
  • 33.
    Left heart chambers: •Is there a small or normal sized LV? Does it have good contractility? Are there kissing ventricles? • Is the wall hypertrophied? • Is the LA dilated? • Is there paradoxical interventricular septal motion (septal bounce)? Right heart chambers: Is the RV a normal size with good contractility? Is the RA dilated? IVC: Is the IVC 2cm or greater? Does it change with respiratory variation- is it >50%
  • 34.
    CHEST ULTRASOUND • Ultrasoundwave unable to penetrate aerated lung tissue. Historically, this has limited usage for evaluation of the lung pathology accept pleural effusion. • However, in the recent years, the recognition that analysis of ultrasound artefacts arising from the pleura can provide valuable information about underlying lung pathology
  • 35.
    • US waveare able to penetrate non aerated tissues. • Thus pleural fluid, and non-aerated lungs pathology (such as consolidation or complete atelectasis) can be readily visualized. • Compared with chest radiography and computed tomography (CT) – Rapid, portable, real time imaging inexpensive and safe
  • 36.
    Aims To understand thebasic principles and practical application of transthoracic ultrasound To be familiar with the sonographic appearance of the normal thorax To identify basic thoracic pathology
  • 37.
    Equipment • Phased array,low freq (3-5MHz) evaluation of pulmonary edema and pleural effusion • Microconvex 5-8MHz – better artefact visualization than lower frequency transducers, but depth of penetration may be insufficient for large patient • High frequency linear array transducer (6- 13MHz) allow detailed pleural line analysis, and is optimal for pneumothorax detextion but has limited applicability
  • 38.
    • Anterior zone- extrapleural air (pneumothotax) • Posterior/ Lateral – consolidation, Effusion • All zones – interstitial or alveolar fluid a.k.a extracappilaties lung water Examination technique
  • 39.
    A lines The horizontalbright (hyperechoic) pleural line (P) and A line (A) flanked on each side by dark rib shadows The pleural line is the reference line for artefact analysis and lung sliding analysis. A-line artefacts these are bright horizontal repetitions of the pleural line due to reverberation artefacts, and are a normal finding
  • 40.
    B artifacts • previouslyknown as comet-tail artefacts or ultrasound lung comets • Discrete vertical bright lines originating at the pleural line and fanning out to the bottom of the screen without fading • Arise from reverberation artefacts generated at the interface of fluid-filled or fibrosed interlobular septa abutting the visceral pleura • The presence of multiple B lines, termed ‘B pattern’, erases the A-line artefact.
  • 41.
    • With greaterloss of aeration the B lines become more closely spaced, or confluent (white- out) B lines are equivalent to Kerley B lines seen on the chest radiograph although they may be present before radiographic changes are visible. Isolated B lines or short, ill-defined vertical artefacts are of uncertain significance
  • 42.
    What is Blines? • Hyperechoic • Starts at pleura • Moves with respiration • Extend off the screen • Erases A-lines
  • 43.
    Lung sliding analysis •With tidal inflation of the normal lung, the visceral pleura slides against the parietal pleura. • On ultrasound this is seen as movement below the pleural line. • The movement is best appreciated using M- mode imaging, which shows an image reminiscent of the seashore
  • 44.
    Lung sliding (seashore sign) • The smooth horizontal lines above the pleural line (P) • The ‘sandy’ appearance below the pleural line artefact from visceral pleural sliding with tidal ventilation extrapleural tissues static over time
  • 45.
    Pneumothorax Absent lung sliding demonstrated with a1–5 MHz phased array transducer in M- mode. Note the smooth horizontal lines above and below the bright (hyperechoic) pleural line (P).
  • 46.
    Specific pathologies • USis also sensitive to the changes in severity of disease and can thus be used to monitor disease progression and make timely clinical decision. • Normal lung has A lines and lung sliding. • About a quarter of population has one or two B lines in the lung bases but other artifact should be absent.
  • 47.
    Pleural effusion • USenable to detect small pleural effusion (<50ml) not visible on chest radiograph • Provide nature of effusion  septated pleural collection are better characterized with US than CT scan. • Identification of diaphragm on scanning over the lower lateral chest • Diaphragm appear as smooth bright hyperechoic overlying the abdominal content (liver as spleen) • Pleural fluid manifest as hyperechoic (homogenous dark)
  • 48.
    Liver (L), diaphragm(D), pleural effusion and collapsed/consolidated lung (C) demonstrated with a 1–5 MHz phased array transducer aligned with the longitudinal axis of the patient in the basal right mid-axillary line.
  • 49.
    Pleural fluid quantification •In supine mechanically ventilated patient  Posterior pleural fluid separation >5cm strongly predict drainage > 500ml • In semirecumbant mechanically ventilated patient the maximum pleural separation (in mm) multiplied by 20 give estimation of drainage volume • However precise volume measurement is rarely necessary for clinical decision making.
  • 50.
    Complex septate effusion(viewed with low-frequency ultrasonography) with multiple septa (S) and loculations (L).
  • 51.
    Thoracocentesis • US guidedthoracocentesis decrease complications and improves fluid collection rates • Allow identification of the optimal site for drainage, measurement of depth of the pleural space. • Potential hazard such as diphragm and pleural adherences can be avoided
  • 52.
    Alveolar consolidation Dark (hypoechoic)diagonal region representing the oblique fissure, and the bright (hyperechoic) punctiform air bronchograms.
  • 53.
    The lung pulsesign consists of vibrations in the M-mode trace (below the pleural line) due to transmitted cardiac pulsation Complete lobar collapse
  • 54.
  • 55.
    Right upper quadrantFAST scan - free intraperitoneal fluid in the hepatorenal recess (Morison’s pouch).
  • 56.
    INTRAVASCULAR CANNULATION transverse (shortaxis) plane The vein has an oval contour without external compression
  • 57.
    Appears slit-like whenlight external compression is applied
  • 58.
    Acquisition of ultrasoundproficiency is best achieved with a combination of 1. Theoretical learning (basic physics of ultrasound, relevant anatomy, image interpretation), 2. Direct supervision of image acquisition 3. Practice Conclusion Image interpretation Image integration into care path Image acquization Bedside US has 3 distict skill requirement:
  • 59.
    References • Oh’s Intensivecare Manual • Hemodynamic monitoring Using ECHO in the critically ill patients by Wan Nasrudin WI, MSA Year book 2013/2014 • http://www.criticalecho.com/content/tutorial- 4-volume-status-and-preload-responsiveness- assessment

Editor's Notes

  • #2 Operator dependant technique
  • #9 A more simple method is to think of: Pump (Heart): Tamponade, LVEF, and RV size Tank (Intravascular): IVC, thoracic and abdominal compartments Pipes (Large Arteries/Veins): Aorta and femoral/popliteal veins
  • #18 This placement ensures that we do not measure the intrathoracic ICV dring any part of the respiratory cycle.
  • #19  Measuring the maximum and minimum diameters in a M-mode tracing of the IVC showing insignificant IVC variability
  • #20 The relation pressure/IVC diameter is characterized by an initial ascending curve (arrow 1) where the compliance index (slope) does not vary, and an almost horizontal end part where the compliance index progressively decreases, because of the distension
  • #24 Measuring the maximum and minimum diameters in a M-mode tracing of the IVC showing marked IVC variability
  • #26 Respiratory variations in IVC diameter in a patient on controlled ventilation: IVC diameter increases on each inspiration. 
  • #27 combine your clinical assessment with basic echo findings to guide fluid administration - all of which may indicate right sided volume or pressure overload
  • #29 Figure 10. Extracardiac ultrasound signs of fluid overload. (A) Internal jugular vein (IJV), (B) inferior vena cava (IVC), (C) hepatic venous flow, (D) portal venous flow, (E) optic nerve diameter, (F) transcranial Doppler, (G) pulmonary B-lines, and (H) renal interlobar vein Doppler. AR, atrial reversal; D, diastolic; HV, hepatic vein; RA, right atrium; S, systolic
  • #35 This has led to wider application of lung ultrasound
  • #39 Scanning bilaterally over 4 quandrants of the anterior chest wall
  • #45 above the pleural line there are a series of horizontal lines created by extrapleural tissue static in time (the sea), and below the pleural line there is a grainy appearance due to reflection from moving visceral pleura (the beach)
  • #53 Consolidated lung demonstrated with a 1–5 MHz phased array transducer aligned with the longitudinal axis of the patient in the mid left mid-axillary line. Note the
  • #54 Complete lobar collapse may occur with bronchial intubation or mucus plugging. This can be detected immediately on ultrasound by absence of lung sliding and the lung pulse sign.12 These signs are best appreciated using M-mode imaging with a high-frequency transducer. s