CYSTIC LUNG DISEASES
Marwa Esmail Abdelaty
MB.B.CH.M.SC
Giza Chest Hospital
• Cyst Definition.
• Cyst and Cavity.
• Cyst Categories
• Systemic approach
to cystic lung
diseases
Agenda
A pulmonary cyst is a round
air space defined
pathologically by an epithelial
or fibrous outer wall and
radiologically as a round
parenchymal lucency or low
attenuation area with a well
defined interface with normal
lung.
What is Cyst?
-Cyst must be differentiated from
pulmonary cavity .
-A cavity is discrete air andor fluid –
containing space ,identifiable as focal
lucency or low attenuation area when
air –filled ,frequently identified as an
isolated lesion or lesions in association
with pulmonary consolidation and or
mass.
Cyst and Cavity
-Most importantly compared with cysts
that ,by definition ,have thin
walls(<2mm),cavities characteristically
present with a wall thickness >4 mm
Cyst can be conveniently divided into
five specific categories on basis of:
• Location.
• Number.
• Distribution.
• Associated CT findings.
Cyst Categories’ Basis
Cyst categories include:
• Subpleural cysts;either solitary or
multifocal
• Parenchymal cysts without
associated HRCT findings,either
solitary or multiple
• Parenchymal cysts seen in
association with nodules
• Parenchymal cysts seen in
association with ground glass
attenuation
Cyst Categories
• Q1.Are we dealing with true cysts?
• Q2.Are the cysts subpleural?
• Q3.Are parenchymal cysts without
associated HRCT finding:
-solitary
-multifocaldiffuse
• Q4.Are parenchymal cysts associated
with nodules?
• Q5.Are parenchymal cysts associated
with ground glass attenuation?
Systemic approach to
cystic lung diseases
Q1: Are there true cystic
lesions?
NEW WORK
NEW WORK
NEW WORK
NEW WORK
Q2: Are the cysts located
in subpleural areas?
Q3:Are cysts detected in lung
parenchyma without other
Radiographic abnormalities?
Q3A:Are the lung parenchymal cysts solitary?
Q3B: Are there More than one lung parenchymal cysts?
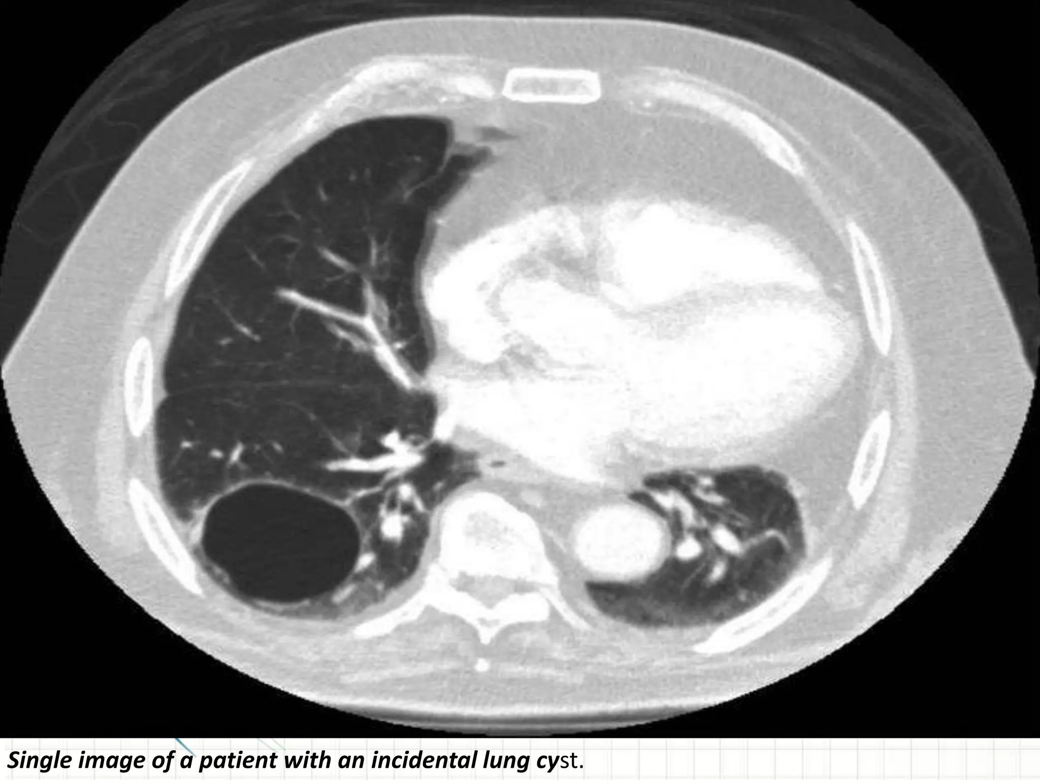
Single image of a patient with an incidental lung cyst.
The images show a well defined lesion of water attenuation in close proximity to the trachea
or bronchus, which is typical for a bronchogenic foregut cyst.
.
Pneumatocele. A 32-year-old woman with previous S. aureus pneumonia. CT shows thin-
walled cystic lesion (pneumatocele) in the right lower lobe.
What is BHD?
Birt-Hogg-Dubé syndrome (also known as BHD) is a hereditary
condition named after the three Canadian doctors that first
described it in 1977 – Arthur R. Birt, Georgina R. Hogg, and
William J. Dubé.
Birt-Hogg-Dubé syndrome is an autosomal dominant disorder
clinically manifested by fibrofolliculomas, renal cell carcinoma,
lung cysts, and spontaneous pneumothorax.
Cutaneous lesions are found in 82-92% of Birt-Hogg-Dubé
syndrome patients by age 25 years. [20, 21, 40, 44] Dermatologic
manifestations typically have an earlier onset than associated
renal cell cancer. Spontaneous pneumothorax develops most
frequently before age 40 years. [24]
| Multiple fibrofolliculomas on the face of a BHD patient
(arrows). b | Haematoxylin and eosin staining of a
fibrofolliculoma showing strands of epithelial cells surrounded
by fibrous stroma (arrow) with adjacent hair follicle; ×4
magnification. c,d | Chest CT scans of patients with BHD
showing bilateral multiple pulmonary cysts of various sizes
(arrows). Images for panels a and b are provided courtesy of
Dr Mary Eid and Dr Edward Cowen, Dermatology Branch,
National Cancer Institute, National Institutes of Health.
•HRCT finding:
•multiple thin- wall cysts in
>80 % of patients
•These cysts are
predominantly seen in
peripheral lung zones at
lung bases, along
mediastinum and along
pulomnary vein.
•pneumothorax in 24% of
patients.
Chest computed Chest computed Chest
computed tomography of metastatic testicular
cancer. (A) Pre-treatment: Note bilateral lung
nodules and masses. (B) Post-treatment: Note
thin-walled cystic lesions.
HRCT findings in lung
metastasis:
Multiple cysts with random
distribution
Notes : the wall of cavities in
some cases become thin from
inflation by a ball valve
mechanism transforming them
into true cystic lesions
Lymphangioleiomyomatosis:
(LAM) is a rare disorder resulting from proliferation in the lung, kidney,
and axial lymphatics of abnormal smooth muscle–like cells (LAM cells)
that exhibit features of neoplasia and neural crest origin.
Proliferation of lymphangioleiomyomatosis (LAM) cells may obstruct
bronchioles, possibly leading to airflow obstruction, air trapping,
formation of bullae, and pneumothoraces. Obstruction of lymphatics
may result in lymphangioleiomyomas, chylothorax, and chylous ascites.
Excessive proteolytic activity, which relates to an imbalance of the
elastase/alpha1-antitrypsin system or metalloprotease (MMPs) and
their inhibitors (tissue inhibitors of metalloproteases [TIMPs]), may be
important in lung destruction and formation of cysts.
Thoracic CT of a LAM patient, where
multiple thin-walled cystic lesions are
observed to be distributed in both lung
CT Findings in LAM:
1- Cysts :
- Thin-walled
- Diffuse involvement
- intervening lung is
normal
2-Chylous effusions
3-Spontaneous Pneumothorax
in 69 %
Pulmonary Langerhans Cell Histiocytosis(PLCH):
PLCH is a rare disease of lung and other organs characterized by
accumulation of Langerhans cells and other inflammatory cells in small
airways resulting in formation of inflammatory nodules
PLCH is seen commonly in young adult smokers between the ages of 20
and 40 years with no gender predilection
Most patients with PLCH are asymptomatic, but cough and dysnea are
common and pneumothorax may occur in about 15 % of patients
Systemic Symptoms like weight loss and fatigue may be seen in a few
patients.
Diabetes Insipidus (polydipsia and polyuria), pain due to skeltal
involvement and skin Rash are extrapulmonary manifestations of the
disease.
.
High-resolution computed tomography scan of the chest in a
patient with pulmonary Langerhans’ cell histiocytosis, showing
the typical combination of nodules, cavitated nodules, and thick-
and thin-walled cysts.
HRCT findings vary according to the stage
of disease :
•Nodules are seen in early stages and cysts
are seen in later stages
•Cysts are usually thin walled ranging in size
from 1 to 20 mm ,These can progress to form
thick irregular walled ,bizzare –shaped cysts.
•There is relative sparing of the lung bases
and costophrenic angles
•Pathological examination in early stages
shows destruction of distal bronchioles with
poorly formed granulomas comprised of
predominantly Langerhans cells
•In late stages , there are nodules of stellate
fibrosis alternating with cystic spaces
.
Axial HRCT shows central airway nodule in left
main stem bronchus .Diffuse bilateral upper
lobe cavitary and solid pulmonary nodules are
Tracheobronchial
papillomatosis:
Multiple squamous cell
papillomas involving trachea
and bronchi
It the most common benign
tumour in laryngeo –tracheal
region
HRCT findings :
•Thin walled cysts with nodular
wall
•Patchy opacities
•Nodules
•Areas of Fibrosis
Infection :
Cystic lesions can be seen in many pulmonary
infection
Chest CT scans in patients with PJP often disclose
multiple pulmonary cysts predominantly in upper
lobes
Although tuberculosis causes cavities that usually
resolve wiyh treatment ,they can persist as cystic
lesions
Atypical mycobacterial infections can also cause
thin wall cystic lesions
Lung cysts can be seen in paragonimiasis
,echinococcosis and coccidiomycosis
Cyst in a patient with
coccidiomycosis is well delinated
with littele reaction in
surrounding lung parenchyma
.
Chest X-ray showing diffuse alveolo-interstitial infiltrates (A), and computed tomography (B
and C) showing diffuse cystic lesions (asterisks) surrounded by ground-glass opacities (arrow),
and sometimes with thicker walls, mimicking an ‘air crescent sign’ (arrowhead). Cystic lung
lesions revealing a Pneumocystis jirovecii andAspergillus flavus co-infection in an HIV-infected
patient.
Q4:Are the Lung Parenchymal
Cysts Associated with
Nodules?
•
:Lymphocytic Interstitial Pneumonia
LIP is a benign lymphoproliferative disorder limited to
the lung characterized pathologically by
lymphocytic and plasma cell infilteration of alveolar
and interlobular septa.
Most commonly LIP is associated with connective
tissue diseases (sjogren syndrome , Rheumatoid
arthritis ,SLE) and immunodeficiency states such as
HIV infection.
LIP is more common in women than in men and is
most commonly seen in in 4th to 6th decades of life
Lymphocytic interstitial pneumonia in a female patient with Sjogren’s
disease. HRCT at the level of the upper lobes exhibits a mixed “ground-
glass and cystic pattern” characterised by the presence of diffuse
areas of ground-glass opacity and numerous thin-walled rounded and
lobulated cysts of variable size
.
CT Chest finding in LIP :
•Ground glass opacification
•Poorly defined centrilobular
nodules
•Small subpleural nodules
•Thickening of bronchovascular
bundles in patchy distribution
•Interlobular septal thickening
and mediastinal and hilar
lymphadenopathy
•Few thin-walled cysts,basilar or
perivascular.
Light Chain Deposition
Diseases:
-LCDD is a rare disorder of middle –
aged patients characterized by
deposition of monoclonal
immunoglobulin light chains in
various organs,including
kidneys,lungs,skin,joints or
blood vessels.
-75%of LCDD cases occur in
association with
multiple mylemo
or
macrogloublinemia .
a
HRCT Findings in Light Chain
Deposition Diseases:
-commonly include nodules, lymphadenopathy,
and cysts.
-The cysts are thin-walled, round, and
measure up to 2 cm in size.
-Cyst formation is believed to correspond to
dilation of the small airways.
-The associated nodules are irregular, multiple,
and can be bilateral or unilateral.
- Patchy areas of consolidation can also be seen.
-Pathology shows characteristic focii of
amorphous eosinophilic material
– A, Light-chain deposition disease
(LCDD). Cysts are thin-walled, round,
and may reach up to 2 cm in diameter
(white arrow). Associated
nodules are diffuse, irregular, and small.
Consolidation of lung parenchyma may
be present, as well as associated
mediastinal lymphadenopathy. B,
LCDD pathologic findings. (a) Low
power shows a subpleural cystic area.
(b) Focally in the wall of one of the cysts
is a nodular focus of amorphous
eosinophilic material characteristic of
LCDD (black arrow).
:Amyloidosis
-Amyloidosis of lung tends to occur in the 6th
decade of life .
-commonly in association with:
-sjogren,s syndrome (with or without LIP)
-Lymphoproliferative disease or mucosa -
associated lymphoid tissue (MALT)
lymphoma
HRCT Findings in Amyloidosis:
- large thin walled cysts wich
may have a peripheral
predilection.
- Nodules tend to be localized to
lower lobes and subpleural
areas.
-These nodules have sharp
smooth ,lobulated
contours,varying in size from
0.5 to 15 cm with slow growth
and often central cavitation or
calcification.
Amyloidosis,thin -walled cysts
with or without nodules.
Interlobular septal thickening
may be prominent .Ground glass
opacities can be seen,alongwith
associated mediastinal
lymphadenopathy.
Q.5:Are Cysts Associated with
Ground Glass opacities?
Q.5:Are Cysts Associated with
Ground Glass opacities?
Pneumocystis
Jirovecii
:Pneuomnia(PJP)
--- CT findings:
•Diffuse ground glass
attenuation
•Septal thickening
•Occasional cysts(long-
standing)
Desqumative Interstitial pneumonia:
- DIP usually occurs in patients 40 to 60 years of age.
- It occurs in men more commonly than in women
90% of cases occur in smokers.
- It can be associated with other conditions, including
inhalation of inorganic particles , connective tissue
disease,Rheumatoid arthritis and heavy use of
marijuana.
- The most striking feature is the presence of numerous
pigmented macrophages within distal airspaces,
mistaken as desquamated pneumocytes when the
disease was first described.
Characteristic CT Findings of DIP:
- Ground-glass attenuation seen most
prominently in lower lung zones
and subpleural regions.
-Cysts in DIP have imperceptible walls,they
are mostly discrete but occasionally they
can be clustered and are surrounded by
ground glass opacities.
The lung architecture is well preserved-
-cystic lesion seen in DIP may represent
dilatation of bronchioles and they can
disappear spontaneously or with treatment.
APPENDIX

Cystic Lung Diseases

  • 2.
    CYSTIC LUNG DISEASES MarwaEsmail Abdelaty MB.B.CH.M.SC Giza Chest Hospital
  • 3.
    • Cyst Definition. •Cyst and Cavity. • Cyst Categories • Systemic approach to cystic lung diseases Agenda
  • 4.
    A pulmonary cystis a round air space defined pathologically by an epithelial or fibrous outer wall and radiologically as a round parenchymal lucency or low attenuation area with a well defined interface with normal lung. What is Cyst?
  • 5.
    -Cyst must bedifferentiated from pulmonary cavity . -A cavity is discrete air andor fluid – containing space ,identifiable as focal lucency or low attenuation area when air –filled ,frequently identified as an isolated lesion or lesions in association with pulmonary consolidation and or mass. Cyst and Cavity -Most importantly compared with cysts that ,by definition ,have thin walls(<2mm),cavities characteristically present with a wall thickness >4 mm
  • 6.
    Cyst can beconveniently divided into five specific categories on basis of: • Location. • Number. • Distribution. • Associated CT findings. Cyst Categories’ Basis
  • 7.
    Cyst categories include: •Subpleural cysts;either solitary or multifocal • Parenchymal cysts without associated HRCT findings,either solitary or multiple • Parenchymal cysts seen in association with nodules • Parenchymal cysts seen in association with ground glass attenuation Cyst Categories
  • 8.
    • Q1.Are wedealing with true cysts? • Q2.Are the cysts subpleural? • Q3.Are parenchymal cysts without associated HRCT finding: -solitary -multifocaldiffuse • Q4.Are parenchymal cysts associated with nodules? • Q5.Are parenchymal cysts associated with ground glass attenuation? Systemic approach to cystic lung diseases
  • 10.
    Q1: Are theretrue cystic lesions?
  • 13.
  • 14.
  • 15.
  • 16.
  • 17.
    Q2: Are thecysts located in subpleural areas?
  • 23.
    Q3:Are cysts detectedin lung parenchyma without other Radiographic abnormalities? Q3A:Are the lung parenchymal cysts solitary? Q3B: Are there More than one lung parenchymal cysts?
  • 26.
    Single image ofa patient with an incidental lung cyst.
  • 27.
    The images showa well defined lesion of water attenuation in close proximity to the trachea or bronchus, which is typical for a bronchogenic foregut cyst.
  • 28.
    . Pneumatocele. A 32-year-oldwoman with previous S. aureus pneumonia. CT shows thin- walled cystic lesion (pneumatocele) in the right lower lobe.
  • 30.
    What is BHD? Birt-Hogg-Dubésyndrome (also known as BHD) is a hereditary condition named after the three Canadian doctors that first described it in 1977 – Arthur R. Birt, Georgina R. Hogg, and William J. Dubé. Birt-Hogg-Dubé syndrome is an autosomal dominant disorder clinically manifested by fibrofolliculomas, renal cell carcinoma, lung cysts, and spontaneous pneumothorax. Cutaneous lesions are found in 82-92% of Birt-Hogg-Dubé syndrome patients by age 25 years. [20, 21, 40, 44] Dermatologic manifestations typically have an earlier onset than associated renal cell cancer. Spontaneous pneumothorax develops most frequently before age 40 years. [24]
  • 31.
    | Multiple fibrofolliculomason the face of a BHD patient (arrows). b | Haematoxylin and eosin staining of a fibrofolliculoma showing strands of epithelial cells surrounded by fibrous stroma (arrow) with adjacent hair follicle; ×4 magnification. c,d | Chest CT scans of patients with BHD showing bilateral multiple pulmonary cysts of various sizes (arrows). Images for panels a and b are provided courtesy of Dr Mary Eid and Dr Edward Cowen, Dermatology Branch, National Cancer Institute, National Institutes of Health. •HRCT finding: •multiple thin- wall cysts in >80 % of patients •These cysts are predominantly seen in peripheral lung zones at lung bases, along mediastinum and along pulomnary vein. •pneumothorax in 24% of patients.
  • 32.
    Chest computed Chestcomputed Chest computed tomography of metastatic testicular cancer. (A) Pre-treatment: Note bilateral lung nodules and masses. (B) Post-treatment: Note thin-walled cystic lesions. HRCT findings in lung metastasis: Multiple cysts with random distribution Notes : the wall of cavities in some cases become thin from inflation by a ball valve mechanism transforming them into true cystic lesions
  • 33.
    Lymphangioleiomyomatosis: (LAM) is arare disorder resulting from proliferation in the lung, kidney, and axial lymphatics of abnormal smooth muscle–like cells (LAM cells) that exhibit features of neoplasia and neural crest origin. Proliferation of lymphangioleiomyomatosis (LAM) cells may obstruct bronchioles, possibly leading to airflow obstruction, air trapping, formation of bullae, and pneumothoraces. Obstruction of lymphatics may result in lymphangioleiomyomas, chylothorax, and chylous ascites. Excessive proteolytic activity, which relates to an imbalance of the elastase/alpha1-antitrypsin system or metalloprotease (MMPs) and their inhibitors (tissue inhibitors of metalloproteases [TIMPs]), may be important in lung destruction and formation of cysts.
  • 34.
    Thoracic CT ofa LAM patient, where multiple thin-walled cystic lesions are observed to be distributed in both lung CT Findings in LAM: 1- Cysts : - Thin-walled - Diffuse involvement - intervening lung is normal 2-Chylous effusions 3-Spontaneous Pneumothorax in 69 %
  • 35.
    Pulmonary Langerhans CellHistiocytosis(PLCH): PLCH is a rare disease of lung and other organs characterized by accumulation of Langerhans cells and other inflammatory cells in small airways resulting in formation of inflammatory nodules PLCH is seen commonly in young adult smokers between the ages of 20 and 40 years with no gender predilection Most patients with PLCH are asymptomatic, but cough and dysnea are common and pneumothorax may occur in about 15 % of patients Systemic Symptoms like weight loss and fatigue may be seen in a few patients. Diabetes Insipidus (polydipsia and polyuria), pain due to skeltal involvement and skin Rash are extrapulmonary manifestations of the disease.
  • 36.
    . High-resolution computed tomographyscan of the chest in a patient with pulmonary Langerhans’ cell histiocytosis, showing the typical combination of nodules, cavitated nodules, and thick- and thin-walled cysts. HRCT findings vary according to the stage of disease : •Nodules are seen in early stages and cysts are seen in later stages •Cysts are usually thin walled ranging in size from 1 to 20 mm ,These can progress to form thick irregular walled ,bizzare –shaped cysts. •There is relative sparing of the lung bases and costophrenic angles •Pathological examination in early stages shows destruction of distal bronchioles with poorly formed granulomas comprised of predominantly Langerhans cells •In late stages , there are nodules of stellate fibrosis alternating with cystic spaces
  • 37.
    . Axial HRCT showscentral airway nodule in left main stem bronchus .Diffuse bilateral upper lobe cavitary and solid pulmonary nodules are Tracheobronchial papillomatosis: Multiple squamous cell papillomas involving trachea and bronchi It the most common benign tumour in laryngeo –tracheal region HRCT findings : •Thin walled cysts with nodular wall •Patchy opacities •Nodules •Areas of Fibrosis
  • 38.
    Infection : Cystic lesionscan be seen in many pulmonary infection Chest CT scans in patients with PJP often disclose multiple pulmonary cysts predominantly in upper lobes Although tuberculosis causes cavities that usually resolve wiyh treatment ,they can persist as cystic lesions Atypical mycobacterial infections can also cause thin wall cystic lesions Lung cysts can be seen in paragonimiasis ,echinococcosis and coccidiomycosis Cyst in a patient with coccidiomycosis is well delinated with littele reaction in surrounding lung parenchyma
  • 39.
    . Chest X-ray showingdiffuse alveolo-interstitial infiltrates (A), and computed tomography (B and C) showing diffuse cystic lesions (asterisks) surrounded by ground-glass opacities (arrow), and sometimes with thicker walls, mimicking an ‘air crescent sign’ (arrowhead). Cystic lung lesions revealing a Pneumocystis jirovecii andAspergillus flavus co-infection in an HIV-infected patient.
  • 40.
    Q4:Are the LungParenchymal Cysts Associated with Nodules?
  • 42.
  • 43.
    :Lymphocytic Interstitial Pneumonia LIPis a benign lymphoproliferative disorder limited to the lung characterized pathologically by lymphocytic and plasma cell infilteration of alveolar and interlobular septa. Most commonly LIP is associated with connective tissue diseases (sjogren syndrome , Rheumatoid arthritis ,SLE) and immunodeficiency states such as HIV infection. LIP is more common in women than in men and is most commonly seen in in 4th to 6th decades of life
  • 44.
    Lymphocytic interstitial pneumoniain a female patient with Sjogren’s disease. HRCT at the level of the upper lobes exhibits a mixed “ground- glass and cystic pattern” characterised by the presence of diffuse areas of ground-glass opacity and numerous thin-walled rounded and lobulated cysts of variable size . CT Chest finding in LIP : •Ground glass opacification •Poorly defined centrilobular nodules •Small subpleural nodules •Thickening of bronchovascular bundles in patchy distribution •Interlobular septal thickening and mediastinal and hilar lymphadenopathy •Few thin-walled cysts,basilar or perivascular.
  • 45.
    Light Chain Deposition Diseases: -LCDDis a rare disorder of middle – aged patients characterized by deposition of monoclonal immunoglobulin light chains in various organs,including kidneys,lungs,skin,joints or blood vessels. -75%of LCDD cases occur in association with multiple mylemo or macrogloublinemia . a
  • 46.
    HRCT Findings inLight Chain Deposition Diseases: -commonly include nodules, lymphadenopathy, and cysts. -The cysts are thin-walled, round, and measure up to 2 cm in size. -Cyst formation is believed to correspond to dilation of the small airways. -The associated nodules are irregular, multiple, and can be bilateral or unilateral. - Patchy areas of consolidation can also be seen. -Pathology shows characteristic focii of amorphous eosinophilic material – A, Light-chain deposition disease (LCDD). Cysts are thin-walled, round, and may reach up to 2 cm in diameter (white arrow). Associated nodules are diffuse, irregular, and small. Consolidation of lung parenchyma may be present, as well as associated mediastinal lymphadenopathy. B, LCDD pathologic findings. (a) Low power shows a subpleural cystic area. (b) Focally in the wall of one of the cysts is a nodular focus of amorphous eosinophilic material characteristic of LCDD (black arrow).
  • 47.
    :Amyloidosis -Amyloidosis of lungtends to occur in the 6th decade of life . -commonly in association with: -sjogren,s syndrome (with or without LIP) -Lymphoproliferative disease or mucosa - associated lymphoid tissue (MALT) lymphoma
  • 48.
    HRCT Findings inAmyloidosis: - large thin walled cysts wich may have a peripheral predilection. - Nodules tend to be localized to lower lobes and subpleural areas. -These nodules have sharp smooth ,lobulated contours,varying in size from 0.5 to 15 cm with slow growth and often central cavitation or calcification. Amyloidosis,thin -walled cysts with or without nodules. Interlobular septal thickening may be prominent .Ground glass opacities can be seen,alongwith associated mediastinal lymphadenopathy.
  • 49.
    Q.5:Are Cysts Associatedwith Ground Glass opacities?
  • 50.
    Q.5:Are Cysts Associatedwith Ground Glass opacities?
  • 51.
    Pneumocystis Jirovecii :Pneuomnia(PJP) --- CT findings: •Diffuseground glass attenuation •Septal thickening •Occasional cysts(long- standing)
  • 52.
    Desqumative Interstitial pneumonia: -DIP usually occurs in patients 40 to 60 years of age. - It occurs in men more commonly than in women 90% of cases occur in smokers. - It can be associated with other conditions, including inhalation of inorganic particles , connective tissue disease,Rheumatoid arthritis and heavy use of marijuana. - The most striking feature is the presence of numerous pigmented macrophages within distal airspaces, mistaken as desquamated pneumocytes when the disease was first described.
  • 53.
    Characteristic CT Findingsof DIP: - Ground-glass attenuation seen most prominently in lower lung zones and subpleural regions. -Cysts in DIP have imperceptible walls,they are mostly discrete but occasionally they can be clustered and are surrounded by ground glass opacities. The lung architecture is well preserved- -cystic lesion seen in DIP may represent dilatation of bronchioles and they can disappear spontaneously or with treatment.
  • 55.