Embed presentation
Downloaded 21 times


















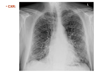
A 63-year-old male with a history of prostate adenocarcinoma and COPD presented with worsening dyspnea on exertion and significant weight loss. Examination revealed paraseptal emphysema and combined pulmonary fibrosis with emphysema syndrome (CPFE), with evidence of pulmonary hypertension. Despite partial improvement with steroids, the patient experienced progressive symptoms, necessitating further investigations.
















