Pneumothorax
DR RAMDHAN KUMAR KAMAT
PG JLNMCH, BHAGALPUR
1
2
WHAT IS PNEUMOTHORAX
•Pneumothorax is defined as presence of air in
the pleural space.
Pneumothorax
3
Pathophysiology
• Blebs and bullae are also known as emphysema-like
changes (ELCs)
• The probable cause of pneumothorax is rupture of an
apical bleb or bulla
• Because the compliance of blebs or bullae in the apices
is lower compared with that of similar lesions situated in
the lower parts of the lungs
4
Pathophysiology
• It is often hard to assess whether bullae are the site of
leakage, and where the site of rupture of the visceral
pleura is
• Smoking causes a 9-fold increase in the relative risk of a
pneumothorax in females
• A 22-fold increase in male smokers
• With a dose-response relationship between the number
of cigarettes smoked per day and occurrence of PSP
5
Mechanism
• In normal people, the pressure in pleural space is
negative during the entire respiratory cycle.
• Two opposite forces result in negative pressure in pleural
space(outward pull of the chest wall and elastic recoil of
the lung)
• The negative pressure will be disappeared if any
communication develops .
6
• When a communication
develops between an
alveolus or other
intrapulmonary air space
and pleural space, air will
flow into the pleural space
until there is no longer a
pressure difference or the
communication is sealed
7
Pathophysiology
Negative pressure eliminated
The lung recoil-& lung-volume decrease
V/Q low –anatomic shunt
hypoxia
Positive pressure
o Compress blood vessels and heart
o Decreased cardiac output
o Impaired venous return
o Hypotension
Result in
o A decrease in vital capacity
o A decrease in PaO2
8
Etiology
Pneumothorax
Spontaneous
Primary Secondary
Traumatic
Iatrogenic
Interventional
procedures.
Positive pressure
ventilation
Non iatrogenic
Penetrating
trauma
Blunt trauma.
Primary spontaneous pneumothorax
• It occurs in young healthy individuals without
underlying lung disease.
• It is due to rupture of apical
sub-pleural bleb or bullae
Predisposing factors:
 Smoking.
 Tall, thin male.
 Airway inflammation (distal)
 Structural abnormalities of bronchial tree
 Genetic contribution
10
Secondary spontaneous pneumothorax
Most common cause.
 TB
 Asthma
 COPD
 Suppurative pneumonia
 Cystic fibrosis
Rare cause
 ILD
 Eosinophilic granuloma
 Sarcoidosis
 Lymphangioleiomyomatosis
 AIDS.
11
 Primary lung carcinoma
 Complication of
chemotherapy
 Connective tissue disease
 Scleroderma
 Marfans syndrome
 Histiocytosis- x
 Rheumatoid disease
 Pulmonary infarct
 Wegener’s
granulomatosis…
12
13
Clinical
manifestation
Clinical manifestation
Dyspnea
Chest pain ( pleuritic)
Uncommon manifestation
Cough
Hemoptysis
Orthopnea
Cyanosis
Mod tachycardia
14
Traumatic pneumothorax
Accidental trauma:(non-iatrogenic)
Blunt trauma: with fracture ribs.
Penetrating trauma: stab wound or gun shot injury.
Iatrogenic :
Positive pressure ventilation:
Alveolar rupture  interstitial emphysema
pneumothorax.(B/L PNX)
Interventional procedures:
Biopsy, thoraco-centesis, CVP line,trachestomy etc..
15
16
Clinical type of PNX
Pneumothorax
Closed
pneumothorax
Open
pneumothorax
Tension
pneumothorax
17
Closed
pneumothorax
Open
pneumothorax
Tension
pneumothorax
The pleural tear
Is sealed
The pleural tear
is open
The pleural tear
act as a ball &
valve mechanism
The pleural
cavity pressure
is < the
atmospheric
pressure
The pleural
cavity pressure
is = the
atmospheric
pressure
The pleural cavity
pressure is > the
atmospheric
pressure
Clinical manifestation
• Tension pneumothorax
o RAPIDLY PROGRESSIVE DYSPNIA.
o Cyanosis
o Marked tachycardia
o Hypotension
• Patient who suddenly deteriorate clinically,
be suspected in the patient with
o Mechanical ventilation (b/l PNX)
o Cardiopulmonary resuscitation
18
Physical examination
o Depend on size of pneumothorax
o The vital signs usually normal
o Unilateral Chest movements
o The trachea may be shifted toward the contralateral side if
the pneumothorax is large
o Tactile fremitus is absent
o The percussion note is hyperresonant
o The breath sounds are reduced or absent on the affected
side
o The lower edge of the liver may be shifted inferiorly with a
right-side pneumothorax
19
Investigations and
Diagnosis
20
RADIOLOGICAL
MANIFESTATION
21
Pneumothorax
in erect position
Pneumothorax
in supine position
Air in apicolateral pleural
space
Air in anteromedial pleural
space.
Pneumothorax
Erect
Small
pneumothorax
Apical lucency
Visceral
pleural line
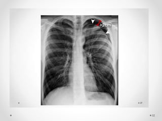
Large
pneumothorax
Apical lucency
(>2cm in width)
Visceral
pleural line
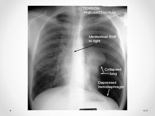
Tension
pneumothorax
Lung collapse
Mediastinal
shift
Low flat
diaphragm
Supine
Deep
Costophrenic
sulcus
Lucent
Cardiophrenic
sulcus
Sharp
Mediastinal
contour
Double
diaphragm
Quantification of the size
T
h
e
s
i
m
p
l
e
m
e
t
h
o
d
t
o
e
s
t
i
m
a
t
e
t
h
e
s
i
z
e
S
2424
Quantification of the size
The simple method to estimate the size
Small, a visible rim of < 2 cm between the lung margin and the chest wall
Large, a visible rim of ≥2 cm between the lung margin and chest wall
Light index
Measure transverse
Diameters of lung and
Compare it with diameter
hemithorax
2525
Hemithorax (HT)
Lung (L)
26
Estimation of pneumothorax volume
 Light equation
pneumothorax%=(1-
L3/HT3) 100
 Kircher equation
pneumothorax%
Thorax area-lung area
Thorax area
 Collins equation
4.2+[4.7(A+B+C)]
100
Hemithorax (HT)
Lung (L)
27
 A pneumothorax of 2 cm on the PA chest
radiograph occupies about 49% of the
hemithorax volume
 Lung is 8 cm, hemithorax is 10 cm in diameter
 Equation
Volume of pneumothorax = (HT3 – L3) ÷ HT3
= (103 – 83) ÷ 103
= (1000 – 512) ÷1000
= 0.49
Plane chest X-ray film
Small pneumothorax
29
30
Small pneumothorax
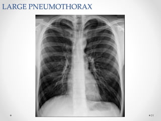
LARGE PNEUMOTHORAX
31
32
Visceral pleural line
33
DD of visceral pleural line
Skin fold:
• Positive mash band (optical edge enhancement).
• Extend beyond the chest wall.
• Lung markings extend beyond it.
DD of visceral pleural line
Scapular edge
Tension pneumothorax
36
37
38
39
Deep costophrenic sulcus
40
Lucent cardiophrenic sulcus
41
Sharp mediastinal contour
42
Double diaphragm sign
subpulmonic pneumothorax
43
CT scanning
 It is recommended in difficult cases such as
patients in whom the lungs are obscured by
overlying surgical emphysema
 To differentiate a pneumothorax from suspected
bulla in complex cystic lung disease
44
CT can diagnose easily
pneumothroax
CT can diagnose easily
pneumothroax
4747
CT scanning
4848
CT scanning
Small
pneumothorax
Subcutaneous emphysema
U/S in pneumothorax
• Ultrasound found to be more sensitive than CXR in
diagnosis of pneumothorax.
U/S signs of
pneumothorax
• Loss of lung sliding.
• Loss of comet tails.
• loss of seashore sign (M mode).
• Stratosphere sign or bar code sign(M mode).
51
52
54
Stratosphere or bar code sign
MANAGMENT
 Goals
o To promote lung expansion
o To eliminate the pathogenesis/cause
o To decrease pneumothorax recurrence
 Treatment options according to
o Classification of pneumothorax
o Pathogenesis
o The extension of lung collapse
o Severity of disease
o Complication and concomitant underlying
diseases
61
63
O2 TREATMENT-- PSP or SSP
68
 Inhalation of high concentration of {10
l/m} oxygen may reduce the total pressure
of gases in pleural capillaries by reducing
the partial pressure of nitrogen
 This should increase the pressure gradient
between the pleural capillaries and the
pleural cavity
 Thereby increasing absorption of air from
the pleural cavity
69
 The rate of resolution/reabsorption of
spontaneous pneumothorax is
1.25 – 1.8% of volume of hemithorax
every 24 hours (ABOUT 50 DAYS TO
TAKE if 40% pnx)
 The addition of high flow oxygen
therapy has been shown to result in a 4-
fold increase in the rate of
pneumothorax reabsorption during the
periods of oxygen supplementation
70
Simple aspiration
 Simple aspiration is recommended as first line
treatment for all PSP requiring intervention
 Simple aspiration is less likely to succeed in
secondary pneumothoraces and in this situation,
is only recommended as an initial treatment in
small (<2 cm) pneumothoraces in minimally
breathless patients under the age of 50 years
 Patients should be admitted to hospital and
observed for at least 24 hours before discharge.
71
 Repeated aspiration is reasonable for
primary pneumothorax when the first
aspiration has been unsuccessful
 A volume of < 2.5 L has been aspirated on
the first attempt
 The aspiration can be done by needle or
catheter
Catheter aspiration
Intercostal tube drainage
• INDICATIONS
o Tension pneumothorax
o Severe dyspnea
o Large/complete pneumothorax
o Intermittent positive pressure ventilation pneumothorax
o Recurrent pneumothorax
o Bilateral pneumothorax
o Presence of pleural fluid
o Simple aspiration or catheter aspiration drainage is unsuccessful in controlling
symptoms
72
7373
 A common site of chest tube insertion is in the
2nd ICS in mid-clavicular line.
An alternative site now commonly used is
midaxillary line of 4th and 5th intercostal
space for cosmetic reason and also for when
pleural effusion.
Intercostal tube drainage
Trocar tube thoracostomy
74
 Insertion of trocar into the pleural space.
Trocar tube thoracostomy
75
 Insertion of the chest tube through the
trocar
Observation of drainage
77
 No bubble released
◦ The lung re-expansion
◦ The chest tube is obstructed by secretion or blood clot
◦ The chest tube shift to chest wall, the hole of the chest
tube is located in the chest wall
 If the lung re expanded, removing the chest tube 24
hours after re expansion.
 Otherwise, the chest tube will be inserted again or
regulated the position.
Complications of intercostal tube drainage
78
 Penetration of major organs
◦ Lung, stomach, spleen, liver, heart and great vessels
◦ It occurs more commonly when a sharp metal trocar is
inappropriately applied
 Pleural infection
◦ Empyema, the rate of 1%
 Surgical emphysema
◦ Subcutaneous emphysema
Chemical pleurodesis
79
 Goals
◦ To prevent pneumothorax recurrence
◦ To produce inflammation of pleura and
adhesions
 Indications
◦ Persist air leak and repeated pneumothorax
◦ Bilateral pneumothorax
◦ Complicated with bullae
◦ Lung dysfunction, not tolerate to operation
Chemical pleurodesis
80
 Sclerosing agents
◦ Tetracycline
◦ Doxycycline
◦ Talc
◦ Erythromycin
◦ 10% povidine iodine
 The instillation of sclerosing agents into the pleural
space lead to an aseptic inflammation with dense
adhesions.
Chemical pleurodesis
81
 Methods
◦ Via chest tube or by surgical mean
◦ Administration of intrapleural local anaesthesia, 200 – 300 mg
lidocaine intrapleurally injection
◦ Agents diluted by 60 – 100 ml saline
◦ Injected to pleural space
◦ Clamp the tube 4hours
◦ Drainage again
◦ Observed by chest X-ray film, if air of pleural space is absorbed,
remove the chest tube
◦ If pneumothorax still exist, repeated pleurodesis.
Chemical pleurodesis
82
82
 Side effect
◦ Chest pain
◦ Fever
◦ Dyspnea
◦ Acute respiratory distress syndrome
◦ Acute respiratory failure
Surgical treatment
83
 Indications
◦ No response to medical treatment
◦ Persistant air leak
◦ Hemopneumothorax
◦ Bilateral pneumothoraces
◦ Recurrent pneumothorax
◦ Tension pneumothorax failed to drainage
◦ Thickened pleura making lung unable to
reexpand
◦ Multiple blebs or bullae
Complications of pneumothorax
Recurrence of spontaneous pneumothorax
Tension pneumothorax
Hydropneumothorax
Encysted pneumothorax
Failure of expansion of the collapsed lung
Re-expansion pulmonary edema
Broncho-pleural fistula
Pneumomediastinum
Recurrence of spontaneous
pneumothorax
• 50% on the same side.
• 15% on the contralateral side.
More common in
• secondary spontaneous pneumothorax.
Tension pneumothorax
• It is life threatening condition.
• The pleural pressure is more than the atmospheric
pressure.
Radiological manifestations of large pneumothorax
• Mediastinal shift,
• Flattening of the hemidiaphragm &
• Lung collapse.
Associated with clinical manifestations of rapidly
progressive breathlessness and circulatory
collapse (tachycardia, hypotension & sweating).
It is more common with
• Positive pressure ventilation &
• Traumatic pneumothorax.
Tension pneumothorax
Hydropneumothorax
• Due to rupture of pleural adhesions.
• Bronchopleural fistula.
Encysted pneumothorax
• Due to pleural adhesions.
Failure of re-expansion of the
collapsed lung
• Due to pleural adhesions.
• Or tracheobronchial injury.
93
 Mediastinal and subcutaneous emphysema
◦ Alveoli rupture, the air enter into pulmonary
interstitial, and then goes into mediastinal and
subcutaneous tissues.
◦ After aspiration or intercostal chest tube insertion, the
air enters the subcutaneous by the needle hole or
incision – surgical emphysema
◦ Physical exam – crepitus is present.
Subcutaneous
emphysema
95
THANK YOU

Pneumothorax

  • 1.
    Pneumothorax DR RAMDHAN KUMARKAMAT PG JLNMCH, BHAGALPUR 1
  • 2.
    2 WHAT IS PNEUMOTHORAX •Pneumothoraxis defined as presence of air in the pleural space.
  • 3.
  • 4.
    Pathophysiology • Blebs andbullae are also known as emphysema-like changes (ELCs) • The probable cause of pneumothorax is rupture of an apical bleb or bulla • Because the compliance of blebs or bullae in the apices is lower compared with that of similar lesions situated in the lower parts of the lungs 4
  • 5.
    Pathophysiology • It isoften hard to assess whether bullae are the site of leakage, and where the site of rupture of the visceral pleura is • Smoking causes a 9-fold increase in the relative risk of a pneumothorax in females • A 22-fold increase in male smokers • With a dose-response relationship between the number of cigarettes smoked per day and occurrence of PSP 5
  • 6.
    Mechanism • In normalpeople, the pressure in pleural space is negative during the entire respiratory cycle. • Two opposite forces result in negative pressure in pleural space(outward pull of the chest wall and elastic recoil of the lung) • The negative pressure will be disappeared if any communication develops . 6
  • 7.
    • When acommunication develops between an alveolus or other intrapulmonary air space and pleural space, air will flow into the pleural space until there is no longer a pressure difference or the communication is sealed 7
  • 8.
    Pathophysiology Negative pressure eliminated Thelung recoil-& lung-volume decrease V/Q low –anatomic shunt hypoxia Positive pressure o Compress blood vessels and heart o Decreased cardiac output o Impaired venous return o Hypotension Result in o A decrease in vital capacity o A decrease in PaO2 8
  • 9.
  • 10.
    Primary spontaneous pneumothorax •It occurs in young healthy individuals without underlying lung disease. • It is due to rupture of apical sub-pleural bleb or bullae Predisposing factors:  Smoking.  Tall, thin male.  Airway inflammation (distal)  Structural abnormalities of bronchial tree  Genetic contribution 10
  • 11.
    Secondary spontaneous pneumothorax Mostcommon cause.  TB  Asthma  COPD  Suppurative pneumonia  Cystic fibrosis Rare cause  ILD  Eosinophilic granuloma  Sarcoidosis  Lymphangioleiomyomatosis  AIDS. 11  Primary lung carcinoma  Complication of chemotherapy  Connective tissue disease  Scleroderma  Marfans syndrome  Histiocytosis- x  Rheumatoid disease  Pulmonary infarct  Wegener’s granulomatosis…
  • 12.
  • 13.
  • 14.
    Clinical manifestation Dyspnea Chest pain( pleuritic) Uncommon manifestation Cough Hemoptysis Orthopnea Cyanosis Mod tachycardia 14
  • 15.
    Traumatic pneumothorax Accidental trauma:(non-iatrogenic) Blunttrauma: with fracture ribs. Penetrating trauma: stab wound or gun shot injury. Iatrogenic : Positive pressure ventilation: Alveolar rupture  interstitial emphysema pneumothorax.(B/L PNX) Interventional procedures: Biopsy, thoraco-centesis, CVP line,trachestomy etc.. 15
  • 16.
    16 Clinical type ofPNX Pneumothorax Closed pneumothorax Open pneumothorax Tension pneumothorax
  • 17.
    17 Closed pneumothorax Open pneumothorax Tension pneumothorax The pleural tear Issealed The pleural tear is open The pleural tear act as a ball & valve mechanism The pleural cavity pressure is < the atmospheric pressure The pleural cavity pressure is = the atmospheric pressure The pleural cavity pressure is > the atmospheric pressure
  • 18.
    Clinical manifestation • Tensionpneumothorax o RAPIDLY PROGRESSIVE DYSPNIA. o Cyanosis o Marked tachycardia o Hypotension • Patient who suddenly deteriorate clinically, be suspected in the patient with o Mechanical ventilation (b/l PNX) o Cardiopulmonary resuscitation 18
  • 19.
    Physical examination o Dependon size of pneumothorax o The vital signs usually normal o Unilateral Chest movements o The trachea may be shifted toward the contralateral side if the pneumothorax is large o Tactile fremitus is absent o The percussion note is hyperresonant o The breath sounds are reduced or absent on the affected side o The lower edge of the liver may be shifted inferiorly with a right-side pneumothorax 19
  • 20.
  • 21.
  • 22.
    Pneumothorax in erect position Pneumothorax insupine position Air in apicolateral pleural space Air in anteromedial pleural space.
  • 23.
    Pneumothorax Erect Small pneumothorax Apical lucency Visceral pleural line Large pneumothorax Apicallucency (>2cm in width) Visceral pleural line Tension pneumothorax Lung collapse Mediastinal shift Low flat diaphragm Supine Deep Costophrenic sulcus Lucent Cardiophrenic sulcus Sharp Mediastinal contour Double diaphragm
  • 24.
    Quantification of thesize T h e s i m p l e m e t h o d t o e s t i m a t e t h e s i z e S 2424
  • 25.
    Quantification of thesize The simple method to estimate the size Small, a visible rim of < 2 cm between the lung margin and the chest wall Large, a visible rim of ≥2 cm between the lung margin and chest wall Light index Measure transverse Diameters of lung and Compare it with diameter hemithorax 2525 Hemithorax (HT) Lung (L)
  • 26.
    26 Estimation of pneumothoraxvolume  Light equation pneumothorax%=(1- L3/HT3) 100  Kircher equation pneumothorax% Thorax area-lung area Thorax area  Collins equation 4.2+[4.7(A+B+C)] 100 Hemithorax (HT) Lung (L)
  • 27.
    27  A pneumothoraxof 2 cm on the PA chest radiograph occupies about 49% of the hemithorax volume  Lung is 8 cm, hemithorax is 10 cm in diameter  Equation Volume of pneumothorax = (HT3 – L3) ÷ HT3 = (103 – 83) ÷ 103 = (1000 – 512) ÷1000 = 0.49 Plane chest X-ray film
  • 28.
  • 29.
  • 30.
  • 31.
  • 32.
  • 33.
    DD of visceralpleural line Skin fold: • Positive mash band (optical edge enhancement). • Extend beyond the chest wall. • Lung markings extend beyond it.
  • 34.
    DD of visceralpleural line Scapular edge
  • 35.
  • 36.
  • 37.
  • 38.
  • 39.
  • 40.
  • 41.
  • 42.
  • 43.
    CT scanning  Itis recommended in difficult cases such as patients in whom the lungs are obscured by overlying surgical emphysema  To differentiate a pneumothorax from suspected bulla in complex cystic lung disease 44
  • 44.
    CT can diagnoseeasily pneumothroax
  • 45.
    CT can diagnoseeasily pneumothroax
  • 46.
  • 47.
  • 48.
    U/S in pneumothorax •Ultrasound found to be more sensitive than CXR in diagnosis of pneumothorax.
  • 49.
    U/S signs of pneumothorax •Loss of lung sliding. • Loss of comet tails. • loss of seashore sign (M mode). • Stratosphere sign or bar code sign(M mode).
  • 50.
  • 51.
  • 52.
  • 55.
  • 57.
    MANAGMENT  Goals o Topromote lung expansion o To eliminate the pathogenesis/cause o To decrease pneumothorax recurrence  Treatment options according to o Classification of pneumothorax o Pathogenesis o The extension of lung collapse o Severity of disease o Complication and concomitant underlying diseases 61
  • 58.
  • 59.
    O2 TREATMENT-- PSPor SSP 68  Inhalation of high concentration of {10 l/m} oxygen may reduce the total pressure of gases in pleural capillaries by reducing the partial pressure of nitrogen  This should increase the pressure gradient between the pleural capillaries and the pleural cavity  Thereby increasing absorption of air from the pleural cavity
  • 60.
    69  The rateof resolution/reabsorption of spontaneous pneumothorax is 1.25 – 1.8% of volume of hemithorax every 24 hours (ABOUT 50 DAYS TO TAKE if 40% pnx)  The addition of high flow oxygen therapy has been shown to result in a 4- fold increase in the rate of pneumothorax reabsorption during the periods of oxygen supplementation
  • 61.
    70 Simple aspiration  Simpleaspiration is recommended as first line treatment for all PSP requiring intervention  Simple aspiration is less likely to succeed in secondary pneumothoraces and in this situation, is only recommended as an initial treatment in small (<2 cm) pneumothoraces in minimally breathless patients under the age of 50 years  Patients should be admitted to hospital and observed for at least 24 hours before discharge.
  • 62.
    71  Repeated aspirationis reasonable for primary pneumothorax when the first aspiration has been unsuccessful  A volume of < 2.5 L has been aspirated on the first attempt  The aspiration can be done by needle or catheter Catheter aspiration
  • 63.
    Intercostal tube drainage •INDICATIONS o Tension pneumothorax o Severe dyspnea o Large/complete pneumothorax o Intermittent positive pressure ventilation pneumothorax o Recurrent pneumothorax o Bilateral pneumothorax o Presence of pleural fluid o Simple aspiration or catheter aspiration drainage is unsuccessful in controlling symptoms 72
  • 64.
    7373  A commonsite of chest tube insertion is in the 2nd ICS in mid-clavicular line. An alternative site now commonly used is midaxillary line of 4th and 5th intercostal space for cosmetic reason and also for when pleural effusion. Intercostal tube drainage
  • 65.
    Trocar tube thoracostomy 74 Insertion of trocar into the pleural space.
  • 66.
    Trocar tube thoracostomy 75 Insertion of the chest tube through the trocar
  • 67.
    Observation of drainage 77 No bubble released ◦ The lung re-expansion ◦ The chest tube is obstructed by secretion or blood clot ◦ The chest tube shift to chest wall, the hole of the chest tube is located in the chest wall  If the lung re expanded, removing the chest tube 24 hours after re expansion.  Otherwise, the chest tube will be inserted again or regulated the position.
  • 68.
    Complications of intercostaltube drainage 78  Penetration of major organs ◦ Lung, stomach, spleen, liver, heart and great vessels ◦ It occurs more commonly when a sharp metal trocar is inappropriately applied  Pleural infection ◦ Empyema, the rate of 1%  Surgical emphysema ◦ Subcutaneous emphysema
  • 69.
    Chemical pleurodesis 79  Goals ◦To prevent pneumothorax recurrence ◦ To produce inflammation of pleura and adhesions  Indications ◦ Persist air leak and repeated pneumothorax ◦ Bilateral pneumothorax ◦ Complicated with bullae ◦ Lung dysfunction, not tolerate to operation
  • 70.
    Chemical pleurodesis 80  Sclerosingagents ◦ Tetracycline ◦ Doxycycline ◦ Talc ◦ Erythromycin ◦ 10% povidine iodine  The instillation of sclerosing agents into the pleural space lead to an aseptic inflammation with dense adhesions.
  • 71.
    Chemical pleurodesis 81  Methods ◦Via chest tube or by surgical mean ◦ Administration of intrapleural local anaesthesia, 200 – 300 mg lidocaine intrapleurally injection ◦ Agents diluted by 60 – 100 ml saline ◦ Injected to pleural space ◦ Clamp the tube 4hours ◦ Drainage again ◦ Observed by chest X-ray film, if air of pleural space is absorbed, remove the chest tube ◦ If pneumothorax still exist, repeated pleurodesis.
  • 72.
    Chemical pleurodesis 82 82  Sideeffect ◦ Chest pain ◦ Fever ◦ Dyspnea ◦ Acute respiratory distress syndrome ◦ Acute respiratory failure
  • 73.
    Surgical treatment 83  Indications ◦No response to medical treatment ◦ Persistant air leak ◦ Hemopneumothorax ◦ Bilateral pneumothoraces ◦ Recurrent pneumothorax ◦ Tension pneumothorax failed to drainage ◦ Thickened pleura making lung unable to reexpand ◦ Multiple blebs or bullae
  • 74.
    Complications of pneumothorax Recurrenceof spontaneous pneumothorax Tension pneumothorax Hydropneumothorax Encysted pneumothorax Failure of expansion of the collapsed lung Re-expansion pulmonary edema Broncho-pleural fistula Pneumomediastinum
  • 75.
    Recurrence of spontaneous pneumothorax •50% on the same side. • 15% on the contralateral side. More common in • secondary spontaneous pneumothorax.
  • 76.
    Tension pneumothorax • Itis life threatening condition. • The pleural pressure is more than the atmospheric pressure. Radiological manifestations of large pneumothorax • Mediastinal shift, • Flattening of the hemidiaphragm & • Lung collapse. Associated with clinical manifestations of rapidly progressive breathlessness and circulatory collapse (tachycardia, hypotension & sweating). It is more common with • Positive pressure ventilation & • Traumatic pneumothorax.
  • 77.
  • 78.
    Hydropneumothorax • Due torupture of pleural adhesions. • Bronchopleural fistula.
  • 79.
    Encysted pneumothorax • Dueto pleural adhesions.
  • 80.
    Failure of re-expansionof the collapsed lung • Due to pleural adhesions. • Or tracheobronchial injury.
  • 81.
    93  Mediastinal andsubcutaneous emphysema ◦ Alveoli rupture, the air enter into pulmonary interstitial, and then goes into mediastinal and subcutaneous tissues. ◦ After aspiration or intercostal chest tube insertion, the air enters the subcutaneous by the needle hole or incision – surgical emphysema ◦ Physical exam – crepitus is present. Subcutaneous emphysema
  • 82.