Pneumothorax
By:
MAHMOUD SALLAM
CARDIOTHORACIC SURGERY Dept.
DEFINITION
• Pneumothorax is the presence of air in the pleural space Causing
partial or complete lung collapse depending on etiology and volume of
the pneumothorax and the resultant intrapleural pressure and condition
of the underlying lung.
Anatomy
• The pleural space is lined by the visceral and parietal pleurae
• The visceral pleura is a thin layer (usually one cell thick) intimately covering the outer
surface of the lung. It adheres to the lung parenchyma via connective tissue (elastic fibers).
There is therefore no true cleavage plane between the visceral pleura and the lung parenchyma
that it envelops.
• The visceral pleura has no somatic innervation.
• The parietal pleura is lines the inside of the chest wall, diaphragm, and mediastinum
and is attached to these by a fibrous and connective tissue layer known as the endothoracic
fascia which is the dissection plane that allows the parietal pleura to be stripped off of the chest
wall and other structures. It is thickest along the chest wall, overlying the ribs, and thinnest as it
covers the mediastinal structuresand beneath thesternum.
• The parietal pleura is innervated by somatic, sympathetic, and parasympathetic nerve fibers via
the intercostal nerves
Physiology
• The elastic and retractive nature of the chest wall and lung pull
the parietal and visceral pleurae away from one another, thus
creating a negative intrapleural pressure usually in the range of
-2 to -5 cm H2O.
• During inspiration, the outward chest wall and diaphragmatic
forces counteracting the normal elastic recoil of the lung
parenchyma can create intrapleural pressures of -20 to -35 cm
H2O.
• Gravity also exerts an influence on this negative intrapleural
pressure. In the upright position, the apex has a greater
negative intrapleural pressure than the base of the lung in the
region of the costophrenic sulci (0.25 cm H2O/cm of height).
This phenomenon may contribute to some degree to creating
increased distention of alveoli in the apex and a greater
predisposition to spontaneous pneumothoraces by rupture of
apical blebs.
• Pressure gradient between the gases in the venous blood and
those of the arterial system and pleural space usually between
54 and 72 cm H2O, ensures against spontaneous gas formation
in the pleural space as long as the intrapleural pressures do not
become less than -72 cm H2O.
• More practically, this also explains how pleural air, such as in
the case of a pneumothorax, can be gradually reabsorbed by
diffusion into the venous circulation.
classification
• Classified accord to cause
1. Spontaneous
2. Acquired
• Spontaneous classified accord to underlying lung
disease into
1. PSP
2. SSP
• classified further as depending on the presence or
absence of air leak at the time of presentation and
intervention
1. open
2. closed
incidence
• Psp male 18-28 female 2-6 /100000/y
• Ssp male 6.4 female 2/100000/y
• Recurrence 30% psp 43% ssp
• 2nd recurrence rates 67% if 1st episode not
treated properly
• RF
1. Young age
2. Older <40 ys
3. CF
4. Increase ht/wt ratio
5. CT evidence of ELCs
psp
• No underlying lung disease
• The 1ry cause is subpleural bleb rupture
• Ptn usually had ELCs 81%
• Typical ptn
1. Tall
2. Thin
3. Young age ( 16-30ys)
4. Smooking
psp
• Mech of bleb formation:
1. Degradation of elastic element ( smoking)
2. Rapid increase in vertical chest diameter in childhood
• ELCs usually bilat and affect apical segments of
UL&LL
• OTHE FACTORS:
1. Familial inheritance
2. Respiratory bronchiolitis (81% of smokers)
3. Pleural porosity
SSP
B- Acquired
1. Iatrogenic
– Transthoracic needle biopsy
– Subclavian (percutaneous) catheterization
• Central lines
• Pacemaker insertion
– Transbronchial lung biopsy
– Thoracocentesis
– Chest tube malfunction
– After laparoscopic surgery
2. Barotrauma
3. Traumatic
– Blunt trauma
• Motor vehicle accidents
• Falls
• Sports-related
– Penetrating trauma
• Gunshot wounds
• Stab wounds
IATROGENICPNTHX
• 5 Leading causes
1. TRANSTHORACIC NEEDLE ASPIRATION 24%
2. SCVs puncture 22%
3. Thoracocentesis 22%
4. Pleural biobsy 8%
5. Mechanical ventilation 7%
• Others
1. Acupuncture
2. Illicit drugs
3. Radiofrequency ablation
4. Intubation git endoscopy
• Rf for needle aspiration
1. Subpleural lesion
2. Wide cannula < 18fr
3. Wide Trajector angle
4. Lesion >2cm
5. Several pleural planes
• Management
1. Coservation
2. Intervention20%
– Ict 14 fr
– Simple aspiration
IATROGENICPNTHX
catamenial pneumothorax
• pneumothorax that occurs, and recurs, during the
first 3 days of menses, may occur in the ovulatory
phase
• Part of TES
• SITE:
1. pulmonary
2. Pleural
3. Diaph
4. Tracheobronchial( rare)
• Include:
1. Cataminial pneumothorax
2. Catamnial hemothorax
3. Cataminial hemoptysis
4. Lung nodule
• Age: 35ys
• Bilat in pulm and unilat Rt in others
• AE: unknown may due to diaph. fenestration and ndometrial implants
• C/P : cough ,dyspnea &chstpain
• BROWN IMPLANT OR CHOCLATE CYST
• MANAGMENT
catamenial pneumothorax
• PNEUMOTHORAX WITH PREGNANCY
• ATMOSPHERIC PNEUMOTHORAX
Spontaneous rupture of the esophagus
• Forcible emesis against closed
cricopharengeus
• Usually lt posterolat. Part near diaphragm
Barotrauma pneumothorax
• Defined as that occurring in a patient receiving positive-pressure
ventilation.
• Often attributed to areas of the lung that become overdistended
during mechanical ventilation as other areas are consolidated and
poorly ventilated.
• As a general rule, any barotrauma pneumothorax is an indication
for tube thoracostomy
Pathologicaltypes
A. Simple (closed) pneumothorax.
B. Open pneumothorax.
C. Tension pneumothorax.
PRESENTATION
• Sudden onset of chest pain
• Shortness of breath
• Cough
• The physical findings
• Tachyardia
i. Hyperresonance to percussion
ii. Decreased breath sounds on the affected side.
iii. In instances of mild collapse, physical findings can be
misleadingly normal, so that if the history suggests
pneumothorax and yet the physical examination is normal, a
chest radiograph should be obtained
True tension pneumothorax
- Accompanied by tachycardia, sweating, hypotension, and
pallor
- That result from mediastinal shift, reduced preload, and
intense stimulation of the sympathetic nervous system
RADIOGRAPHICDIAGNOSIS
1- CXR
The standard procedure in making the diagnosis.
 It should be upright and preferably in the posteroanterior
projection. It is possible to miss a pneumothorax in a
semisupine portable anteroposterior view. If the patient
cannot be upright, a lateral decubitus view with the suspect
side positioned up may be helpful.
 A giant bulla can mimic a pneumothorax. Subtle lines demarcate
a bulla, which tends to be surrounded by thickened visceral pleura.
In addition, a pleural line can frequently be seen with lung
markings visible beyond the suspected bulla (double wall sign)
• British Thoracic Society guidelines for the
management of spontaneous pneumothorax,
recommend defining pneumothoraces as:
I. small defined as small rim of air around the
lung
II. moderate as lung collapsed halfway towards
the heart border
III. complete as airless lung, separate from the
diaphragm.
2- CT CHEST
 CT is seldom required for routine diagnosis of SP
 it can help differentiate between SP and a giant bulla.
 Controversy exists about the significance of routine chest CT to evaluate
for subpleural blebs. However identification of large or multiple subpleural
blebs on CT is an indication for early surgical intervention to prevent
recurrence.
COMPLICATIONS
• PRESISTENT AIR LEAKE
• PNEUMOMEDIASTINUM
• TPT
• HEMOPNEMOTHORAX
• RECURRENCE
TREATMENT
• Treatment Options for Pneumothorax
1) Observation
2) Needle aspiration
3) Percutaneous catheter to drainage
– Water-seal or Pleur-evac type
– Heimlich valve
4) Tube thoracostomy
– Water-seal or Pleur-evac
– Heimlich valve
5) Tube thoracostomy with instillation of pleural irritant
6) Video-assisted thoracic surgery (VATS)
7) Thoracotomy
Observation
• Indication:
i. Small pneumothoraces are those that are less than 3 cm in distance between the
apical parietal pleura and the thoracic cupula, with no lateral component.
ii. Asymptomatic patients
• Methods:
I. 24-26 by close monitoring & physical examination.
II. Supplying extra oxygen to such patients theoretically hastens the resolution of
the pneumothorax .
III. continuous pulse oximetry.
IV. Repeated chest radiography within 6 hours.
 Our practice is to monitor patients in the hospital for a minimum of 24
hours. Even though some patients with stable radiographic features may
be discharged from the hospital with follow-up within 12 to 24 hours,24
the potential for catastrophic consequences from a missed tension
pneumothorax is a great risk.
 Small pneumothoraces usually resolve without intervention, but
recurrence is possible.
 If chest radiography reveals that the SP is enlarging, immediate
intervention is crucial..
• The results of observational therapy have been under question
Needle or small-catheter aspiration
 In mild to moderate spontaneous pneumothorax ,it may hasten the
resolution if a persistent leak is absent.
 The British Thoracic Society, recommends it as a primary
treatment option for primary spontaneous pneumothorax.
 American College of Chest Physicians, found that there is
increasing support in America for initial aspiration of clinically
stable patients with small pneumothoraces.
Seldinger technique
• Tech:
1. which uses a small, single-lumen central line placed over the
superior rib edge in the second interspace in the midclavicular line.
2. A three-way stopcock and large syringe are used to aspirate until
resistance is felt usually signifying full lung expansion
3. Chest radiography is then performed to confirm the findings, and
the catheter is Removed
• Complications of aspiration:
1. bleeding
2. possible lung injury
Tube Thoracostomy
• Tube thoracostomy is recommended for patients with large or
symptomatic SP and for most patients with SSPs
• Tech:
1. Through the fifth intercostal space in the midaxillary line
2. Apical placement speeds resolution, and a subcutaneous track prevents
“sucking air” during removal.
3. 28 French is preferable &directed toward apex
4. The chest tube is left in place between 24 and 48 hours
• Tube thoracostomy successfully resolves PSP in approximately 90% of
patients for the first occurrence, 50% for the first recurrence, and 15% after
a second recurrence.
• For this reason, tube thoracostomy is recommended only for definitive
management of PSP for the first event
• If an air leak persists, a Heimlich valve can be
placed. The patient can then be discharged for
outpatient management.
Pleurodesis
• After tube thoracostomy, chemical pleurodesis may help prevent SP
recurrence. Sclerosing agents are instilled to create pleural symphysis.
• Agents :
 sterile talc.
 doxycycline solution & bleomycin.
 Blood .
• Because adult respiratory distress syndrome may be triggered by high
doses of talc, use should be limited to 5 g.
• Talc has the potential to induce malignant transformation after decades of
use, but thus far, this has not been demonstrated in humans.
• Nonetheless, our agent of preference is doxycycline to sclerose
benign pleural processes. A total of 500 mg of doxycycline
combined with lidocaine is infused through the chest tube, and
• The patient’s position is shifted from side to side to distribute
the sclerosant.
• Suction is then placed for 48 hours.
• Recurrence of SP in patients treated with bedside pleurodesis is
high, ranging from 8% to 40%.38,40,41 In our institution, this
treatment is reserved for patients who are not considered good
operative candidates, most commonly patients with SSP
• Indication
1) Large or/& Persistent air leak
2) Recurrent pneumothorax
3) First episode in a patient with prior pneumonectomy
4) First episode with occupational hazard
– Airplane pilot
– Diver
5) history of bilateral SP
6) Heamo-pneumothorax with bleeding in ICT >3ml/kg/h
SURGICAL MANAGEMENT
• Approaches of surgeries:
1. Video-assisted thoracoscopic surgery (VATS) is the surgical
procedure of choice for SP
2. limited lateral or axillary incision
3. bilateral pneumothoraces (concurrent or separate) can be
considered for bilateral treatment via median sternotomy.
Bilateral VATS procedures at a single sitting may also be
considered.
 The entire lung is carefully inspected, with particular attention to the apex
and superior segments, as these are typical bullae locations.
 Saline flooding of the hemithorax during gentle lung inflation can help
locate a ruptured bleb.
 Some surgeons resect the apex of the lung even if no bleb is located,
although our practice is to perform lung resection only when a bleb is
identified .
 Intraoperative pleurodesis should be performed in addition to blebectomy.
Mechanical pleurodesis is our most common method and is performed with
use of a Bovie scratch pad with aggressive abrasion of the parietal pleura .
chemical sclerosing agents, such as talc, at the time of surgery with good
results and minimal impairment of pulmonary function over time.
 Another effective method of obtaining pleural symphysis is parietal
pleurectomy, by either VATS or open techniques.
One should make every effort to control air leak before leaving the
operating room.
Apical chest tube placement is crucial to full lung expansion.
Postoperatively, we prefer 48 hours of suction before removal.
VATS successfully resolves SP and prevents recurrence in more than 90%
of patients. Whereas some studies show that recurrence of SP is slightly
higher with VATS compared with thoracotomy, this small increment does
not justify the discomfort and lost work days in this generally young
population.
 Thoracotomy is reserved for VATS failures and complex giant bleb
resections not amenable to VATS.
THANK YOU
• SUBISTON&SPENCER 8TH EDITION
• SHILDS THORACIC SURGER

Pneumothorax (surgical management)

  • 1.
  • 2.
    DEFINITION • Pneumothorax isthe presence of air in the pleural space Causing partial or complete lung collapse depending on etiology and volume of the pneumothorax and the resultant intrapleural pressure and condition of the underlying lung.
  • 3.
    Anatomy • The pleuralspace is lined by the visceral and parietal pleurae • The visceral pleura is a thin layer (usually one cell thick) intimately covering the outer surface of the lung. It adheres to the lung parenchyma via connective tissue (elastic fibers). There is therefore no true cleavage plane between the visceral pleura and the lung parenchyma that it envelops. • The visceral pleura has no somatic innervation. • The parietal pleura is lines the inside of the chest wall, diaphragm, and mediastinum and is attached to these by a fibrous and connective tissue layer known as the endothoracic fascia which is the dissection plane that allows the parietal pleura to be stripped off of the chest wall and other structures. It is thickest along the chest wall, overlying the ribs, and thinnest as it covers the mediastinal structuresand beneath thesternum. • The parietal pleura is innervated by somatic, sympathetic, and parasympathetic nerve fibers via the intercostal nerves
  • 5.
    Physiology • The elasticand retractive nature of the chest wall and lung pull the parietal and visceral pleurae away from one another, thus creating a negative intrapleural pressure usually in the range of -2 to -5 cm H2O. • During inspiration, the outward chest wall and diaphragmatic forces counteracting the normal elastic recoil of the lung parenchyma can create intrapleural pressures of -20 to -35 cm H2O.
  • 6.
    • Gravity alsoexerts an influence on this negative intrapleural pressure. In the upright position, the apex has a greater negative intrapleural pressure than the base of the lung in the region of the costophrenic sulci (0.25 cm H2O/cm of height). This phenomenon may contribute to some degree to creating increased distention of alveoli in the apex and a greater predisposition to spontaneous pneumothoraces by rupture of apical blebs.
  • 7.
    • Pressure gradientbetween the gases in the venous blood and those of the arterial system and pleural space usually between 54 and 72 cm H2O, ensures against spontaneous gas formation in the pleural space as long as the intrapleural pressures do not become less than -72 cm H2O. • More practically, this also explains how pleural air, such as in the case of a pneumothorax, can be gradually reabsorbed by diffusion into the venous circulation.
  • 8.
    classification • Classified accordto cause 1. Spontaneous 2. Acquired • Spontaneous classified accord to underlying lung disease into 1. PSP 2. SSP • classified further as depending on the presence or absence of air leak at the time of presentation and intervention 1. open 2. closed
  • 9.
    incidence • Psp male18-28 female 2-6 /100000/y • Ssp male 6.4 female 2/100000/y • Recurrence 30% psp 43% ssp • 2nd recurrence rates 67% if 1st episode not treated properly • RF 1. Young age 2. Older <40 ys 3. CF 4. Increase ht/wt ratio 5. CT evidence of ELCs
  • 10.
    psp • No underlyinglung disease • The 1ry cause is subpleural bleb rupture • Ptn usually had ELCs 81% • Typical ptn 1. Tall 2. Thin 3. Young age ( 16-30ys) 4. Smooking
  • 11.
    psp • Mech ofbleb formation: 1. Degradation of elastic element ( smoking) 2. Rapid increase in vertical chest diameter in childhood • ELCs usually bilat and affect apical segments of UL&LL • OTHE FACTORS: 1. Familial inheritance 2. Respiratory bronchiolitis (81% of smokers) 3. Pleural porosity
  • 12.
  • 13.
    B- Acquired 1. Iatrogenic –Transthoracic needle biopsy – Subclavian (percutaneous) catheterization • Central lines • Pacemaker insertion – Transbronchial lung biopsy – Thoracocentesis – Chest tube malfunction – After laparoscopic surgery 2. Barotrauma 3. Traumatic – Blunt trauma • Motor vehicle accidents • Falls • Sports-related – Penetrating trauma • Gunshot wounds • Stab wounds
  • 14.
    IATROGENICPNTHX • 5 Leadingcauses 1. TRANSTHORACIC NEEDLE ASPIRATION 24% 2. SCVs puncture 22% 3. Thoracocentesis 22% 4. Pleural biobsy 8% 5. Mechanical ventilation 7% • Others 1. Acupuncture 2. Illicit drugs 3. Radiofrequency ablation 4. Intubation git endoscopy
  • 15.
    • Rf forneedle aspiration 1. Subpleural lesion 2. Wide cannula < 18fr 3. Wide Trajector angle 4. Lesion >2cm 5. Several pleural planes • Management 1. Coservation 2. Intervention20% – Ict 14 fr – Simple aspiration IATROGENICPNTHX
  • 16.
    catamenial pneumothorax • pneumothoraxthat occurs, and recurs, during the first 3 days of menses, may occur in the ovulatory phase • Part of TES • SITE: 1. pulmonary 2. Pleural 3. Diaph 4. Tracheobronchial( rare)
  • 17.
    • Include: 1. Cataminialpneumothorax 2. Catamnial hemothorax 3. Cataminial hemoptysis 4. Lung nodule • Age: 35ys • Bilat in pulm and unilat Rt in others • AE: unknown may due to diaph. fenestration and ndometrial implants • C/P : cough ,dyspnea &chstpain • BROWN IMPLANT OR CHOCLATE CYST • MANAGMENT catamenial pneumothorax
  • 18.
    • PNEUMOTHORAX WITHPREGNANCY • ATMOSPHERIC PNEUMOTHORAX
  • 19.
    Spontaneous rupture ofthe esophagus • Forcible emesis against closed cricopharengeus • Usually lt posterolat. Part near diaphragm
  • 20.
    Barotrauma pneumothorax • Definedas that occurring in a patient receiving positive-pressure ventilation. • Often attributed to areas of the lung that become overdistended during mechanical ventilation as other areas are consolidated and poorly ventilated. • As a general rule, any barotrauma pneumothorax is an indication for tube thoracostomy
  • 21.
    Pathologicaltypes A. Simple (closed)pneumothorax. B. Open pneumothorax. C. Tension pneumothorax.
  • 22.
    PRESENTATION • Sudden onsetof chest pain • Shortness of breath • Cough
  • 25.
    • The physicalfindings • Tachyardia i. Hyperresonance to percussion ii. Decreased breath sounds on the affected side. iii. In instances of mild collapse, physical findings can be misleadingly normal, so that if the history suggests pneumothorax and yet the physical examination is normal, a chest radiograph should be obtained
  • 26.
    True tension pneumothorax -Accompanied by tachycardia, sweating, hypotension, and pallor - That result from mediastinal shift, reduced preload, and intense stimulation of the sympathetic nervous system
  • 27.
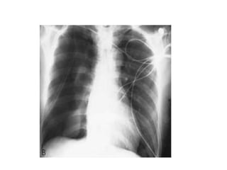
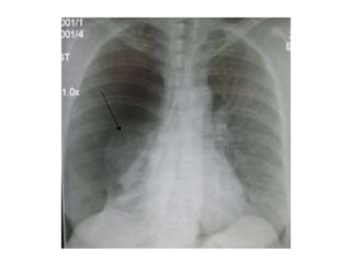
    RADIOGRAPHICDIAGNOSIS 1- CXR The standardprocedure in making the diagnosis.  It should be upright and preferably in the posteroanterior projection. It is possible to miss a pneumothorax in a semisupine portable anteroposterior view. If the patient cannot be upright, a lateral decubitus view with the suspect side positioned up may be helpful.
  • 28.
     A giantbulla can mimic a pneumothorax. Subtle lines demarcate a bulla, which tends to be surrounded by thickened visceral pleura. In addition, a pleural line can frequently be seen with lung markings visible beyond the suspected bulla (double wall sign)
  • 29.
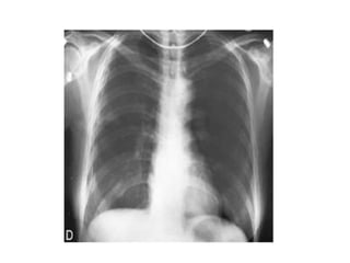
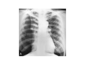
    • British ThoracicSociety guidelines for the management of spontaneous pneumothorax, recommend defining pneumothoraces as: I. small defined as small rim of air around the lung II. moderate as lung collapsed halfway towards the heart border III. complete as airless lung, separate from the diaphragm.
  • 32.
    2- CT CHEST CT is seldom required for routine diagnosis of SP  it can help differentiate between SP and a giant bulla.  Controversy exists about the significance of routine chest CT to evaluate for subpleural blebs. However identification of large or multiple subpleural blebs on CT is an indication for early surgical intervention to prevent recurrence.
  • 34.
    COMPLICATIONS • PRESISTENT AIRLEAKE • PNEUMOMEDIASTINUM • TPT • HEMOPNEMOTHORAX • RECURRENCE
  • 35.
    TREATMENT • Treatment Optionsfor Pneumothorax 1) Observation 2) Needle aspiration 3) Percutaneous catheter to drainage – Water-seal or Pleur-evac type – Heimlich valve 4) Tube thoracostomy – Water-seal or Pleur-evac – Heimlich valve 5) Tube thoracostomy with instillation of pleural irritant 6) Video-assisted thoracic surgery (VATS) 7) Thoracotomy
  • 38.
    Observation • Indication: i. Smallpneumothoraces are those that are less than 3 cm in distance between the apical parietal pleura and the thoracic cupula, with no lateral component. ii. Asymptomatic patients • Methods: I. 24-26 by close monitoring & physical examination. II. Supplying extra oxygen to such patients theoretically hastens the resolution of the pneumothorax . III. continuous pulse oximetry. IV. Repeated chest radiography within 6 hours.
  • 39.
     Our practiceis to monitor patients in the hospital for a minimum of 24 hours. Even though some patients with stable radiographic features may be discharged from the hospital with follow-up within 12 to 24 hours,24 the potential for catastrophic consequences from a missed tension pneumothorax is a great risk.  Small pneumothoraces usually resolve without intervention, but recurrence is possible.  If chest radiography reveals that the SP is enlarging, immediate intervention is crucial.. • The results of observational therapy have been under question
  • 41.
    Needle or small-catheteraspiration  In mild to moderate spontaneous pneumothorax ,it may hasten the resolution if a persistent leak is absent.  The British Thoracic Society, recommends it as a primary treatment option for primary spontaneous pneumothorax.  American College of Chest Physicians, found that there is increasing support in America for initial aspiration of clinically stable patients with small pneumothoraces.
  • 43.
    Seldinger technique • Tech: 1.which uses a small, single-lumen central line placed over the superior rib edge in the second interspace in the midclavicular line. 2. A three-way stopcock and large syringe are used to aspirate until resistance is felt usually signifying full lung expansion 3. Chest radiography is then performed to confirm the findings, and the catheter is Removed • Complications of aspiration: 1. bleeding 2. possible lung injury
  • 45.
    Tube Thoracostomy • Tubethoracostomy is recommended for patients with large or symptomatic SP and for most patients with SSPs • Tech: 1. Through the fifth intercostal space in the midaxillary line 2. Apical placement speeds resolution, and a subcutaneous track prevents “sucking air” during removal. 3. 28 French is preferable &directed toward apex 4. The chest tube is left in place between 24 and 48 hours • Tube thoracostomy successfully resolves PSP in approximately 90% of patients for the first occurrence, 50% for the first recurrence, and 15% after a second recurrence. • For this reason, tube thoracostomy is recommended only for definitive management of PSP for the first event
  • 46.
    • If anair leak persists, a Heimlich valve can be placed. The patient can then be discharged for outpatient management.
  • 47.
    Pleurodesis • After tubethoracostomy, chemical pleurodesis may help prevent SP recurrence. Sclerosing agents are instilled to create pleural symphysis. • Agents :  sterile talc.  doxycycline solution & bleomycin.  Blood . • Because adult respiratory distress syndrome may be triggered by high doses of talc, use should be limited to 5 g. • Talc has the potential to induce malignant transformation after decades of use, but thus far, this has not been demonstrated in humans.
  • 48.
    • Nonetheless, ouragent of preference is doxycycline to sclerose benign pleural processes. A total of 500 mg of doxycycline combined with lidocaine is infused through the chest tube, and • The patient’s position is shifted from side to side to distribute the sclerosant. • Suction is then placed for 48 hours. • Recurrence of SP in patients treated with bedside pleurodesis is high, ranging from 8% to 40%.38,40,41 In our institution, this treatment is reserved for patients who are not considered good operative candidates, most commonly patients with SSP
  • 49.
    • Indication 1) Largeor/& Persistent air leak 2) Recurrent pneumothorax 3) First episode in a patient with prior pneumonectomy 4) First episode with occupational hazard – Airplane pilot – Diver 5) history of bilateral SP 6) Heamo-pneumothorax with bleeding in ICT >3ml/kg/h SURGICAL MANAGEMENT
  • 50.
    • Approaches ofsurgeries: 1. Video-assisted thoracoscopic surgery (VATS) is the surgical procedure of choice for SP 2. limited lateral or axillary incision 3. bilateral pneumothoraces (concurrent or separate) can be considered for bilateral treatment via median sternotomy. Bilateral VATS procedures at a single sitting may also be considered.
  • 51.
     The entirelung is carefully inspected, with particular attention to the apex and superior segments, as these are typical bullae locations.  Saline flooding of the hemithorax during gentle lung inflation can help locate a ruptured bleb.  Some surgeons resect the apex of the lung even if no bleb is located, although our practice is to perform lung resection only when a bleb is identified .  Intraoperative pleurodesis should be performed in addition to blebectomy. Mechanical pleurodesis is our most common method and is performed with use of a Bovie scratch pad with aggressive abrasion of the parietal pleura . chemical sclerosing agents, such as talc, at the time of surgery with good results and minimal impairment of pulmonary function over time.
  • 53.
     Another effectivemethod of obtaining pleural symphysis is parietal pleurectomy, by either VATS or open techniques. One should make every effort to control air leak before leaving the operating room. Apical chest tube placement is crucial to full lung expansion. Postoperatively, we prefer 48 hours of suction before removal. VATS successfully resolves SP and prevents recurrence in more than 90% of patients. Whereas some studies show that recurrence of SP is slightly higher with VATS compared with thoracotomy, this small increment does not justify the discomfort and lost work days in this generally young population.  Thoracotomy is reserved for VATS failures and complex giant bleb resections not amenable to VATS.
  • 59.
    THANK YOU • SUBISTON&SPENCER8TH EDITION • SHILDS THORACIC SURGER