Dr Nirav Dhinoja
Pneumothorax is the accumulation of 
extrapulmonary air within the chest. 
Most commonly from leakage of air from 
within the lung.
Term “pneumothorax” was first coined by Itard in 
1803. 
Laennec described the clinical picture of 
pneumothorax occurring in patients with 
pulmonary tuberculosis in 1819. 
Description of primary spontaneous pneumothorax 
occurring in healthy people was provided by 
Kjaergard in 1932
Pneumothorax 
Spontaneous 
Primary Secondary 
Traumatic 
Iatrogenic 
Interventional 
procedures. 
Positive pressure 
ventilation 
Non iatrogenic 
Penetrating 
trauma 
Blunt trauma.
In normal people, the 
pressure in pleural space 
is negative during the 
entire respiratory cycle. 
Two opposite forces result 
in negative pressure in 
pleural space. 
Inherent outward pull of 
the chest wall and 
inherent elastic recoil of 
the lung. 
The negative pressure will 
be disappeared if any 
communication develops .
When a 
communication 
develops between an 
alveolus or other 
intrapulmonary air 
space and pleural 
space, air will flow 
into the pleural 
space until there is 
no longer a pressure 
difference or until 
the communication 
is sealed.
Negative pressure eliminated 
◦ The lung recoil-small lung-volume decrease 
◦ V/Q decrease-shunt increase 
Positive pressure 
◦ Compress blood vessels and heart 
◦ Decreased cardiac output 
◦ Impaired venous return 
◦ Hypotension 
◦ Shock 
Result in 
◦ A decrease in vital capacity 
◦ A decrease in PaO2
9 
closed communicated tension 
Rupture small large valve-like 
sealed open in,not out 
Pressure P or N atmosphere high 
After 
Aspiration N atmosphere high again
Abrupt onset. 
Severity depends on : 
◦ Extent of lung collapse. 
◦ Amount of pre-existing lung disease. 
Pain – severity of pain does not reflect extent 
of collapse. 
Dyspnea. 
Cyanosis.
Tension pneumothorax 
◦ Distressed with rapid labored respiration 
◦ Cyanosis 
◦ Marked tachycardia 
◦ Profuse diaphoresis 
Patient who suddenly deteriorate 
clinically,should be suspected in the patient 
with 
◦ Mechanical ventilation 
◦ Cardiopulmonary resuscitation
The side with pneumothorax is larger than the contralateral side. 
Chest moves less during the respiratory cycle. 
Tactile fremitus is absent. 
The percussion note is hyperresonant. 
The breath sounds are reduced or absent on the affected side. 
The lower edge of the liver may be shifted inferiorly with a right-side 
pneumothorax. 
The trachea may be shifted toward the contralateral side if the 
pneumothorax is large.
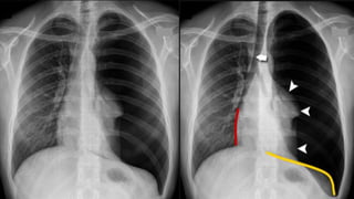
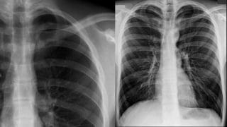
The characteristics of 
pneumothorax 
◦ Pleural line 
◦ No lung markings in 
pneumothorax 
The outer margin of 
visceral pleura separated 
from the parietal pleura 
by a lucent gas space 
devoid of pulmonary 
vessels
Pneumothorax 
in erect position 
Pneumothorax 
in supine position 
Air in apicolateral pleural space Air in anteromedial pleural space.
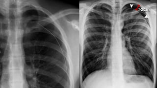
Pneumothorax 
Erect 
Small 
pneumothorax 
Apical lucency 
Visceral 
pleural line 
Large 
pneumothorax 
Apical lucency 
(>2cm in width) 
Visceral 
pleural line 
Tension 
pneumothorax 
Lung collapse 
Mediastinal shift 
Low flat 
diaphragm 
Supine 
Deep 
Costophrenic 
sulcus 
Lucent 
Cardiophrenic 
sulcus 
Sharp 
Mediastinal 
contour 
Double 
diaphragm
It is very important to 
differentiate the pleural line 
of a pneumothorax from 
that of a skinfold, clothing, 
tubing, or chest wall artifact. 
Artifact extends beyond the 
thorax, or that lung 
markings are visible beyond 
the apparent pleural line.
CT scanning is done if accurate size 
estimates are required. 
It is only recommended to difficult cases such 
as patients in whom the lungs are obscured 
by overlying surgical emphysema. 
To differentiate a pneumothorax from 
suspected bulla in complex cystic lung 
disease.
Goals 
◦ To promote lung expansion. 
◦ To eliminate the pathogenesis. 
◦ To decrease pneumothorax 
recurrence. 
Treatment options according 
to 
◦ Classification of pneumothorax. 
◦ Pathogenesis. 
◦ Pneumothorax frequency. 
◦ The extension of lung collapse. 
◦ Severity of disease. 
◦ Complication and concomitant 
underlying diseases.
24 
Small, closed mildly symptomatic spontaneous 
pneumothoraces. 
Do not require hospital admission 
It should be stressed to patient that they should be return 
directly to hospital in the event of developing breathlessness.
25 
Small SSP of less than 1 cm depth or isolated apical 
pneumothoraces in asymptomatic patients. 
Hospitalisation is recommended in these cases. 
All other cases will require active intervention ( aspiration or 
chest drain insertion)
26 
Marked breathlessness in a patient with a small 
(<2 cm) PSP may herald tension pneumothorax. 
Observation alone is inappropriate and active 
intervation is required. 
If a patient is hospitalised for observation, 
supplemental high flow (10 l/min) oxygen should 
be given.
27 
Inhalation of high concentration of oxygen may reduce the total 
pressure of gases in pleural capillaries by reducing the partial 
pressure of nitrogen. 
This should increase the pressure gradient between the pleural 
capillaries and the pleural cavity. 
Thereby increasing absorption of air from the pleural cavity.
28 
The rate of resolution/reabsorption of spontaneous 
pneumothoraces is 1.25 – 1.8% of volume of hemithorax 
every 24 hours. 
High flow oxygen therapy has been shown to result in a 4- 
fold increase in the rate of pneumothorax reabsorption 
during the periods of oxygen supplementation.
29 
It is recommended as first line treatment for all PSP requiring intervention. 
It is less likely to succeed in secondary pneumothoraces and in this situation,it is 
only recommended as an initial treatment in small (<2 cm) pneumothoraces in 
minimally breathless patients under the age of 50 years. 
Patients with secondary pneumothoraces treated successfully with simple 
aspiration should be admitted to hospital and observed for at least 24 hours 
before discharge.
Repeated aspiration is reasonable for primary pneumothorax 
when the first aspiration has been unsuccessful. 
A volume of < 2.5 L has been aspirated on the first attempt. 
The aspiration can be used by needle or catheter.
31 
Making a small incision 
Using a forceps to extend the hole 
Inserting a catheter into pleural cavity 
Fix the catheter and cover with gauze
32 
INDICATIONS 
◦ Unstable pneumothorax 
◦ Severe dyspnea 
◦ Large lung collapse 
◦ Open or tension pneumothoraces 
◦ Frequent recurrent pneumothoraces 
◦ Simple aspiration or catheter aspiration drainage is 
unsuccessful in controlling symptoms
33 
Position of intercostal tube 
The chest tube should be positioned in the 
uppermost part of the pleural space, where 
residual air accumulates 
This procedure permits the air in the pleural 
space to be evacuated rapidly
34 
The site of chest 
tube insertion is in 
the midclavicular 
line of 2nd and 3rd 
intercostal or 
anterior axillary line 
of 5th and 6th 
intercostal space.
35
36 
Making a small skin 
incision slightly 
larger than the 
diameter of the 
chest tube
37 
Introduction of 18- 
gauge needle into 
the pleural space
38 
Insertion of wire 
with “J” end into the 
pleural space
39 
With guidewire in 
space, the tract is 
enlarged by 
advancing 
progressively larger 
dilators over the 
wire guide
40 
Introduction the 
chest tube 
inserter/chest tube 
assembly over the 
guidewire
41 
The guidewire and 
chest tube inserter 
have been removed, 
leaving the chest 
tube positioned with 
the pleural space
42 
Insertion of trocar into the pleural space.
43 
Insertion of the chest tube through the trocar
44 
The physician’s 
index finger is used 
to enlarge the 
opening and to 
explore the pleural 
space
45 
Placement of chest 
tube intrapleurally 
using large 
hemostat
46 
No bubble released 
◦ The lung reexpansion 
◦ The chest tube is obstructed by secretion or blood clot 
◦ The chest tube shift to chest wall, the hole of the chest tube is 
located in the chest wall 
If the lung reexpansion, removing the chest tube 24 
hours after reexpansion. 
Otherwise, the chest tube will be inserted again or 
regulated the position.
47 
Penetration of major organs 
◦ Lung, stomach, spleen, liver, heart and great 
vessels 
◦ It occurs more commonly when a sharp metal trocar 
is inappropriately applied 
Pleural infection 
◦ Empyema, the rate of 1% 
Surgical emphysema 
◦ Subcutaneous emphysema
48 
Goals 
◦ To prevent pneumothorax recurrence 
◦ To produce inflammation of pleura and adhesions 
Indications 
◦ Persist air leak and repeated pneumothorax 
◦ Bilateral pneumothoraces 
◦ Complicated with bullae 
◦ Lung dysfunction, not tolerate to operation
49 
Sclerosing agents 
◦ Tetracycline 
◦ Minocycline 
◦ Doxycline 
◦ Talc 
◦ Erythromycin 
The instillation of sclerosing agents into the pleural 
space should lead to an aseptic inflammation with 
dense adhesions.
50 
Methods 
◦ Via chest tube or by surgical mean 
◦ Administration of intrapleural local anaesthesia, 200 – 400 mg lidocaine intrapleurally 
injection 
◦ Agents diluted by 60 – 100 ml saline 
◦ Injected to pleural space 
◦ Clamp the tube 1 – 2 hours 
◦ Drainage again 
◦ Observed by chest X-ray film, if air of pleural space is absorption, remove the chest tube 
◦ If pneumothorax still exist, repeated pleurodesis.
51 
Side effct 
◦ Chest pain 
◦ Fever 
◦ Dyspnea 
◦ Acute respiratory distress syndrome 
◦ Acute respiratory failure
52 
Indication 
◦ No response to medical treatment 
◦ Persist air leak 
◦ Hemopneumothorax 
◦ Bilateral pneumothoraces 
◦ Recurrent pneumothorax 
◦ Tension pneumothorax failed to dainage 
◦ Thicken pleura makes lung unable to reexpansion 
◦ Multiple blebs or bullae
53 
Pyopneumothorax 
◦ Caused by aspiration or intercostal chest tube insertion 
(iatrogenic) 
◦ Also results from necrotic pneumonia, lung abscess, or 
caseous pneumonia 
Hydropneumothorax. 
Hemopneumotorax 
◦ Bleeding in pleural space. 
◦ Common cause is rupture of vessels in adhesions. 
◦ When lung reexpansion, bleeding will stop. 
◦ When bleeding persists, surgical ligation will be needed.
54 
Mediastinal and subcutaneous emphysema 
◦ Alveoli rupture, the air enter into pulmonary 
interstitial, and then goes into mediastinal and 
subcutaneous tissues. 
◦ After aspiration or intercostal chest tube insertion, 
the air enters the subcutaneous by the needle hole 
or incision – surgical emphysema 
◦ Physical exam – crepitus is present.
55 
Subcutaneous 
emphysema
56 
Treatment 
◦ Automatic absorption when pneumothorax is gone 
◦ Inhalation of high concentration of oxygen 
◦ Making a small incision in suprasternal pit for 
draining the air from mediastinal and subcutaneous 
tissues.
Pneumothorax

Pneumothorax

  • 1.
  • 2.
    Pneumothorax is theaccumulation of extrapulmonary air within the chest. Most commonly from leakage of air from within the lung.
  • 3.
    Term “pneumothorax” wasfirst coined by Itard in 1803. Laennec described the clinical picture of pneumothorax occurring in patients with pulmonary tuberculosis in 1819. Description of primary spontaneous pneumothorax occurring in healthy people was provided by Kjaergard in 1932
  • 4.
    Pneumothorax Spontaneous PrimarySecondary Traumatic Iatrogenic Interventional procedures. Positive pressure ventilation Non iatrogenic Penetrating trauma Blunt trauma.
  • 6.
    In normal people,the pressure in pleural space is negative during the entire respiratory cycle. Two opposite forces result in negative pressure in pleural space. Inherent outward pull of the chest wall and inherent elastic recoil of the lung. The negative pressure will be disappeared if any communication develops .
  • 7.
    When a communication develops between an alveolus or other intrapulmonary air space and pleural space, air will flow into the pleural space until there is no longer a pressure difference or until the communication is sealed.
  • 8.
    Negative pressure eliminated ◦ The lung recoil-small lung-volume decrease ◦ V/Q decrease-shunt increase Positive pressure ◦ Compress blood vessels and heart ◦ Decreased cardiac output ◦ Impaired venous return ◦ Hypotension ◦ Shock Result in ◦ A decrease in vital capacity ◦ A decrease in PaO2
  • 9.
    9 closed communicatedtension Rupture small large valve-like sealed open in,not out Pressure P or N atmosphere high After Aspiration N atmosphere high again
  • 10.
    Abrupt onset. Severitydepends on : ◦ Extent of lung collapse. ◦ Amount of pre-existing lung disease. Pain – severity of pain does not reflect extent of collapse. Dyspnea. Cyanosis.
  • 11.
    Tension pneumothorax ◦Distressed with rapid labored respiration ◦ Cyanosis ◦ Marked tachycardia ◦ Profuse diaphoresis Patient who suddenly deteriorate clinically,should be suspected in the patient with ◦ Mechanical ventilation ◦ Cardiopulmonary resuscitation
  • 12.
    The side withpneumothorax is larger than the contralateral side. Chest moves less during the respiratory cycle. Tactile fremitus is absent. The percussion note is hyperresonant. The breath sounds are reduced or absent on the affected side. The lower edge of the liver may be shifted inferiorly with a right-side pneumothorax. The trachea may be shifted toward the contralateral side if the pneumothorax is large.
  • 13.
    The characteristics of pneumothorax ◦ Pleural line ◦ No lung markings in pneumothorax The outer margin of visceral pleura separated from the parietal pleura by a lucent gas space devoid of pulmonary vessels
  • 14.
    Pneumothorax in erectposition Pneumothorax in supine position Air in apicolateral pleural space Air in anteromedial pleural space.
  • 15.
    Pneumothorax Erect Small pneumothorax Apical lucency Visceral pleural line Large pneumothorax Apical lucency (>2cm in width) Visceral pleural line Tension pneumothorax Lung collapse Mediastinal shift Low flat diaphragm Supine Deep Costophrenic sulcus Lucent Cardiophrenic sulcus Sharp Mediastinal contour Double diaphragm
  • 20.
    It is veryimportant to differentiate the pleural line of a pneumothorax from that of a skinfold, clothing, tubing, or chest wall artifact. Artifact extends beyond the thorax, or that lung markings are visible beyond the apparent pleural line.
  • 21.
    CT scanning isdone if accurate size estimates are required. It is only recommended to difficult cases such as patients in whom the lungs are obscured by overlying surgical emphysema. To differentiate a pneumothorax from suspected bulla in complex cystic lung disease.
  • 23.
    Goals ◦ Topromote lung expansion. ◦ To eliminate the pathogenesis. ◦ To decrease pneumothorax recurrence. Treatment options according to ◦ Classification of pneumothorax. ◦ Pathogenesis. ◦ Pneumothorax frequency. ◦ The extension of lung collapse. ◦ Severity of disease. ◦ Complication and concomitant underlying diseases.
  • 24.
    24 Small, closedmildly symptomatic spontaneous pneumothoraces. Do not require hospital admission It should be stressed to patient that they should be return directly to hospital in the event of developing breathlessness.
  • 25.
    25 Small SSPof less than 1 cm depth or isolated apical pneumothoraces in asymptomatic patients. Hospitalisation is recommended in these cases. All other cases will require active intervention ( aspiration or chest drain insertion)
  • 26.
    26 Marked breathlessnessin a patient with a small (<2 cm) PSP may herald tension pneumothorax. Observation alone is inappropriate and active intervation is required. If a patient is hospitalised for observation, supplemental high flow (10 l/min) oxygen should be given.
  • 27.
    27 Inhalation ofhigh concentration of oxygen may reduce the total pressure of gases in pleural capillaries by reducing the partial pressure of nitrogen. This should increase the pressure gradient between the pleural capillaries and the pleural cavity. Thereby increasing absorption of air from the pleural cavity.
  • 28.
    28 The rateof resolution/reabsorption of spontaneous pneumothoraces is 1.25 – 1.8% of volume of hemithorax every 24 hours. High flow oxygen therapy has been shown to result in a 4- fold increase in the rate of pneumothorax reabsorption during the periods of oxygen supplementation.
  • 29.
    29 It isrecommended as first line treatment for all PSP requiring intervention. It is less likely to succeed in secondary pneumothoraces and in this situation,it is only recommended as an initial treatment in small (<2 cm) pneumothoraces in minimally breathless patients under the age of 50 years. Patients with secondary pneumothoraces treated successfully with simple aspiration should be admitted to hospital and observed for at least 24 hours before discharge.
  • 30.
    Repeated aspiration isreasonable for primary pneumothorax when the first aspiration has been unsuccessful. A volume of < 2.5 L has been aspirated on the first attempt. The aspiration can be used by needle or catheter.
  • 31.
    31 Making asmall incision Using a forceps to extend the hole Inserting a catheter into pleural cavity Fix the catheter and cover with gauze
  • 32.
    32 INDICATIONS ◦Unstable pneumothorax ◦ Severe dyspnea ◦ Large lung collapse ◦ Open or tension pneumothoraces ◦ Frequent recurrent pneumothoraces ◦ Simple aspiration or catheter aspiration drainage is unsuccessful in controlling symptoms
  • 33.
    33 Position ofintercostal tube The chest tube should be positioned in the uppermost part of the pleural space, where residual air accumulates This procedure permits the air in the pleural space to be evacuated rapidly
  • 34.
    34 The siteof chest tube insertion is in the midclavicular line of 2nd and 3rd intercostal or anterior axillary line of 5th and 6th intercostal space.
  • 35.
  • 36.
    36 Making asmall skin incision slightly larger than the diameter of the chest tube
  • 37.
    37 Introduction of18- gauge needle into the pleural space
  • 38.
    38 Insertion ofwire with “J” end into the pleural space
  • 39.
    39 With guidewirein space, the tract is enlarged by advancing progressively larger dilators over the wire guide
  • 40.
    40 Introduction the chest tube inserter/chest tube assembly over the guidewire
  • 41.
    41 The guidewireand chest tube inserter have been removed, leaving the chest tube positioned with the pleural space
  • 42.
    42 Insertion oftrocar into the pleural space.
  • 43.
    43 Insertion ofthe chest tube through the trocar
  • 44.
    44 The physician’s index finger is used to enlarge the opening and to explore the pleural space
  • 45.
    45 Placement ofchest tube intrapleurally using large hemostat
  • 46.
    46 No bubblereleased ◦ The lung reexpansion ◦ The chest tube is obstructed by secretion or blood clot ◦ The chest tube shift to chest wall, the hole of the chest tube is located in the chest wall If the lung reexpansion, removing the chest tube 24 hours after reexpansion. Otherwise, the chest tube will be inserted again or regulated the position.
  • 47.
    47 Penetration ofmajor organs ◦ Lung, stomach, spleen, liver, heart and great vessels ◦ It occurs more commonly when a sharp metal trocar is inappropriately applied Pleural infection ◦ Empyema, the rate of 1% Surgical emphysema ◦ Subcutaneous emphysema
  • 48.
    48 Goals ◦To prevent pneumothorax recurrence ◦ To produce inflammation of pleura and adhesions Indications ◦ Persist air leak and repeated pneumothorax ◦ Bilateral pneumothoraces ◦ Complicated with bullae ◦ Lung dysfunction, not tolerate to operation
  • 49.
    49 Sclerosing agents ◦ Tetracycline ◦ Minocycline ◦ Doxycline ◦ Talc ◦ Erythromycin The instillation of sclerosing agents into the pleural space should lead to an aseptic inflammation with dense adhesions.
  • 50.
    50 Methods ◦Via chest tube or by surgical mean ◦ Administration of intrapleural local anaesthesia, 200 – 400 mg lidocaine intrapleurally injection ◦ Agents diluted by 60 – 100 ml saline ◦ Injected to pleural space ◦ Clamp the tube 1 – 2 hours ◦ Drainage again ◦ Observed by chest X-ray film, if air of pleural space is absorption, remove the chest tube ◦ If pneumothorax still exist, repeated pleurodesis.
  • 51.
    51 Side effct ◦ Chest pain ◦ Fever ◦ Dyspnea ◦ Acute respiratory distress syndrome ◦ Acute respiratory failure
  • 52.
    52 Indication ◦No response to medical treatment ◦ Persist air leak ◦ Hemopneumothorax ◦ Bilateral pneumothoraces ◦ Recurrent pneumothorax ◦ Tension pneumothorax failed to dainage ◦ Thicken pleura makes lung unable to reexpansion ◦ Multiple blebs or bullae
  • 53.
    53 Pyopneumothorax ◦Caused by aspiration or intercostal chest tube insertion (iatrogenic) ◦ Also results from necrotic pneumonia, lung abscess, or caseous pneumonia Hydropneumothorax. Hemopneumotorax ◦ Bleeding in pleural space. ◦ Common cause is rupture of vessels in adhesions. ◦ When lung reexpansion, bleeding will stop. ◦ When bleeding persists, surgical ligation will be needed.
  • 54.
    54 Mediastinal andsubcutaneous emphysema ◦ Alveoli rupture, the air enter into pulmonary interstitial, and then goes into mediastinal and subcutaneous tissues. ◦ After aspiration or intercostal chest tube insertion, the air enters the subcutaneous by the needle hole or incision – surgical emphysema ◦ Physical exam – crepitus is present.
  • 55.
  • 56.
    56 Treatment ◦Automatic absorption when pneumothorax is gone ◦ Inhalation of high concentration of oxygen ◦ Making a small incision in suprasternal pit for draining the air from mediastinal and subcutaneous tissues.