Pneumothorax 
- CME – 
Mohamed Siruhan 
Supervisor: Dr. Ian
Outline 
• Classification of pneumothorax 
• Epidemiology 
• Pathophysiology and etiology 
• Clinical features 
• Radiological features 
• Management of spontaneous pneumothorax – case based 
• Recommendations on air travel and diving. 
• Practice questions
Etiological Classification of pneumothorax 
• Spontaneous 
• Primary: Pneumothorax occurring in persons without clinically apparent lung disease 
• Secondary: Pneumothorax occurring in the setting of underlying pulmonary disease 
• Traumatic 
• Penetrating chest injury 
• Blunt chest injury 
• Iatrogenic Pneumothorax 
• Transthoracic needle aspiration 
• Placement of catheter in subclavian or jugular vein 
• Thoracentesis and pleural biopsy 
• Mechanical ventilation
Etiology - Secondary spontaneous 
pneumothorax 
• Airway disease 
• COPD 
• Cystic fibrosis 
• Asthma 
• Infectious lung diseases 
• Tuberculosis 
• Pneumocystis 
pneumonia 
• Necrotizing pneumonia 
(anaerobic, Gram negative, 
staphylococcus) 
• Interstitial Lung Disease 
• Sarcoidosis 
• Idiopathic Pulmonary fibrosis 
• Langerhans’ cell granulomatosis 
• Lymphangioleiomyomatosis 
• Tuberous sclerosis 
• Connective Tissue disease 
• Rhumatoid arthritis 
• Ankylosing spondylitis 
• Polymyosistis and dermatomyositis 
• Scleroderma 
• Marfan’s syndrome 
• Ehlers–Danlos syndrome
• Cancer 
• Sarcoma 
• Lung cancer 
• Catamenial pneumothorax – Pneumothorax related to mensturation 
• Postulated to occur in the setting of endometriosis affecting the lung.
Epidemiology of pneumothorax 
Incidence(/100000) 
Male female 
Age group predisposition Recurrence Symptoms 
Primary spontaneous 18-28 1.2 – 6 Age 10 -30 years 
Rare in >40 years 
Thin 
Tall 
Smoking (up to 20x) 
16 – 52% Symptoms 
less 
Secondary spontaneous 6.3 2 60 – 65 years COPD (26/100000) 
HIV ( PCP) 
39 – 47% Most often 
symptomatic 
Catamenial 30 – 40 yrs H/O endometriosis 50% with 
Hormone 
therapy 
Within 72 
hours of 
onset of 
menses
Pathophysiology of primary spontaneous 
pneumothorax (PSP) 
• Subpleural bullae/blebs/porosities 
• 76 -100% on VATS (Video assisted thoracoscopic surgery )1 
• All most all the patients undergoing thoracotomy 1 
• 79- 96% of patients on contralateral lung, those who were managed by 
sternotomy.1 
• 89% ipsilateral bullae and blebs on CT ( compared to 20% age and smoking 
matched controls)1 
• Subpleural bullae formation remains speculative 
• Smoking related influx of neutrophils and macrophages 
• Degredation of elastic fibers 
• Imbalance in the protease-antiprotease and oxidant-antioxidant systems.1 
1. Spontaneous pneumothorax. Sahn SA, Heffner JE N Engl J Med. 2000;342(12):868
Pathophysiology…(PSP) 
• Inflammation induced obstruction of the small airways increases 
alveolar pressure, causes air leak in to interstitium 
• Air moves to hilum, causing pneumomediastium. 
• As pneumomediastinum causes rise in pressure and rupture of 
mediastinal parietal pleura, causing pneumothorax.
Pathophysiology…..(PSP) 
Reduced FVC 
Increase alveolar-arterial 
Oxygen 
gradient 
Low ventilation-perfusion 
ration 
(V/Q) and Shunting 
Hypoxemia 
( Hypercapnia occurs 
in secondary spontan. 
pneumothorax)
Pathophysiology in secondary spontaneous 
pneumothorax 
Alveolar pressure > 
interstitium pressure ( 
Alveolar rupture) 
Air in the interstitium 
traverses to hilum 
and cause 
pneumomediastinum 
Rupture of 
mediastinal parietal 
pleura and 
pneumothorax 
develops 
Air from 
ruptured alveoli 
Crosses to 
pleural cavity 
via necrosed 
lung (eg. PCP) 
Pneumothorax
Thoracoscopic images 
Subpleural blebs 
Air filled spaces between the lung 
parenchyma and the visceral pleura 
Subpleural bullae 
Air filled spaces within the lung 
parenchyma itself
Thoracoscopic images…… 
Blebs Bullae
• Smoking and the Increased Risk of Contracting Spontaneous 
Pneumothorax Bense, M.D., FC.C.P.;* Gunar Ekiund, Ph.D., Odont. D. 
and Lars-Gösta Wiman, M.D., EC.C.P1- CHEST I 92 I 6 I DECEMBER, 1987 
1.Smoking and the increased risk of contracting spontaneous pneumothorax.Bense L, Eklund G, Wiman LGChest. 
1987;92(6):1009.
Relative risk of spontaneous 
pneumothorax for males and 
females based on total population 
according to daily cigarette consumption. 
• Life time relative risk of first 
spontaneous pneumothorax 
among smokers 
• 9 (Women), 
• 22(men) 1. 
1.Smoking and the increased risk of contracting spontaneous 
pneumothorax.Bense L, Eklund G, Wiman LGChest. 1987;92(6):1009.
Clinical presentation 
• Ipsiliateral pleuritic chest pain 
• Acute dyspnea 
• Symptoms usually resolve within 24 hours, even if the pneumothorax 
remains untreated and does not resolve1 
• Patients with a small pneumothorax (<15%) may have a normal physical 
examination1. 
• Tachycardia is the most common finding1. 
• Clinical signs: decreased movement of the chest wall, a hyperresonant 
percussion note, diminished fremitus, and decreased or absent breath 
sounds on the affected side. 
• Sever tachycardia, Hypotension, cyanosis raise suspicion for tension 
pneumothorax 
1. Spontaneous pneumothorax. Sahn SA, Heffner JE N Engl J Med. 2000;342(12):868
standard PA erect CXR - Radiological features 
• Visceral pleural line – necessary to make a 
definitive diagnosis 
• Visceral pleural line parallels the curvature 
of the chest wall (ie. Convex outwards) 
• Pneumothorax mimic conditions do not 
maintain this spatial relationship. Eg.bullae, 
artifacts. 
• Usually there is absence of lung markings 
peripheral to pleural line. 
• Pleural adhesions – lung markings may be 
visible beyond the pleural line
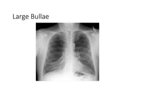
Large Bullae
Radiological features CXR… 
• Airfluid interface when present 
confirms presence of pneumothorax. 
• Supine CXR - Air collects anteriorly and 
inferiorly 
• Deep sulcus sign 
• Displaces costopherenic sulcus 
inferiorly 
• Increased lucency of 
costopherenic sulcus 
• Double diaphragm sign
Luftsichel, “air crescent,” sign 
• Seen in setting of left upper lobe 
atelectasis 
• indirect sign of overinflation 
characterized by hyperexpansion of 
the superior segment of lower lobe 
on the left side and its insinuation 
between collapse upper lobe and 
mediastinum.
• Tension pneumothorax 
• Shift of mobile 
mediastinal structures to 
the opposite side 
• Inversion of 
hemidiaphragm 
• Flatting of heart contour 
on the side under 
tension.
Other modalities 
• Lateral X-rays 
• Expiratory films 
• Supine and lateral decubitus X – rays 
• Less sensitive and not recommended routinely based on current 
guidelines
Imaging… 
• USG 
• Main value in managing supine trauma patients 
• CT scan 
• This can be regarded as the ‘gold standard’ – able to detect 
small pneumothorax, estimate size 
• Identify aberrant chest drain placement. 
• To determine the best treatment for persistent air leaks or to 
plan a surgical intervention. (ACCP)
• Apex – cupola 
distance(ACCP) - 2001 
• a ≥ 3cms small 
• a < 3cms large 
• Interpleural distance at 
hilum (BTS) - 2010 
• b ≥ 2cms small 
• b < 2cms large 
Size of pneumothorax
Size of pneumothorax….. 
THE SPANISH SOCIETY OF PULMONOLOGY AND THORACIC SURGERY (SEPAR) 
Partial Complete without lung collapse Complete with total lung collapse
CASE 1 
• 34yrs/Malay/Male 
• No known medical illness 
• Ex-smoker 20 pack years ( 
stopped 4/12, now on e-cigarettes) 
• C/O Shortness of breath 
and left sided pleuritic chest 
pain x 3 days 
O/E 
• Mildly tachypnoeic RR 
24/min 
• Pulse: 78/min BP 147/85 
mmHg SpO2 100% NP 
• Lungs: Reduced air entry on 
left side, hyperresonant on 
percussion.
CASE 1.. 34yrs/Male/ex-smoker 
CXR – on presentation CXR – post left chest tube
CASE 1.. 34yrs/Male/ex-smoker 
CXR – post chest tube removal D4 CXR – Post chest tube reinsertion
CXR – Post op (VATS) 
CASE 1.. 34yrs/Male/ex-smoker 
CT – pre op
Management and Outcome 
• Diagnosis: 
• Primary spontaneous pneumothorax 
• Management 
• Chest Tube insertion 
• Gumco suction D2 
• Chest tube removal on D4 and reinsertion due to recurrence ( persistant air 
leak) 
• VATS ( Video assisted thoracosopic surgery) 
• Outcome 
• Discharged well on D2 post op. 
• Lung fully expanded and asymptomatic.
Management issues……..controversies and pitfalls 
• General measures ? 
• Use of High flow oxygen? 
• Will you aspirate or insert chest tube? 
• Admit or Discharge? 
• Apply suction after Chest tube? 
• Will you clamp the chest tube, prior to its removal? 
• When will surgical referral needed? 
• Surgical options available? 
• Chemical pleurodesis as an alternative to surgery?
General measures 
• Adequate analgesia – for pneumothorax and to cover for chest drain etc. 
• Bed rest - There is no evidence that confining the patient to bed favors air 
absorption or lung expansion (ACCP) 
• Supplemental oxygen:- (Grade B recommendation) 
• Spontaneous rate of reabsorption 1.25% to 1.8% (50-75 mL) of the total volume/24 
hours 
• Supplemental oxygen increases the rate of absorption by a factor of 41 
• It reduces partial pressure of nitrogen in the pleural capillaries. And enhances the 
reabsorption of air in the pleural cavity. 
1.British Medical Journal, 1971, 4, 86-8 T. C. NORTHFIELD
General measures….. 
• High Flow Oxygen (for example, 10 L/min), is recommended 
• Caution in COPD - risk of hypercapnia 
• Cessation of smoking.
Oxygen therapy for 
spontaneous pneumothorax1. 
• Group 1 – (12 males, Room air) 
• Group 2 - 10 patients received Air and 
oxygen(16 litres/min) alternatively 
• 9- 38 hours of oxygen alternate with room air. 
• FiO2 not measured but estimated to be higher 
than 50 -60% and unlikely to be 100% 
• Oxygen therapy resulted in a 4 fold 
increase in the mean rate of 
absorption(P<0.01). 
• Pneumothorax < 30% ( 2.2 fold) (P<0.01). 
• Pneumothorax >30% ( 5.2 fold) (P<0.01). 
1.British Medical Journal, 1971, 4, 86-8 T. C. NORTHFIELD
Oxygen therapy for spontaneous pneumothorax1 
• The calculated time for full re-expansion with 
daily oxygen therapy ranged from 3 -8 days, 
with a mean of 5 days. 
1.British Medical Journal, 1971, 4, 86-8 T. C. NORTHFIELD
Light’s index
ACCP 2001 BTS 2010 
Drainage Yes • Majority need drainage 
• Minimally symtptomatic - conservative. 
Admission • Most patients need admission 
• Selected patients may be discharged with small bore 
catheter and Heimlich valve if lung has expanded 
Admission required 
Method of drainage • Under water seal 
• Heimlich valve 
• Needle (14-16 G) aspiration (NA) ( One 
attempt) 
• If failed NA small bore chest drain(<14) 
Applying suction • If lung fails to reexpand quickly (good consesnsus) 
• Immediately after under water seal ( some 
consensus) 
• When persistant air leak is suspected 
(48hrs) 
• Addition of suction too early may cause 
Reexpansion Pulmonary oedema) 
• Not routinely recommended 
• low pressure High Volume ( -10 to – 20 
cmH2O) 
Size of chest tube • Chest tube 16 – 24 F 
• Chest tube 24 – 28 F ( Positive pressure ventilation / 
large air leak) 
• Small bore catheter 
Needle (14 – 16 G) 
Chest Tube ( <14 F) 
Small bore catheter
ACCP 2001 BTS 2010 
Chest Tube removal • Staged manner 
- Confirm no persisting leak ( No more bubbling) 
- CXR – Confirm resolution 
- Stop any suction if applied 
• Regardless of clamping, CXR is recommended after 5 
– 12 hrs post last evidence of air leak (62% panel 
members) 
Chest Tube clamping • 53% of panel members would never clamp a chest 
tube 
• Remaining panel members would clamp after 4hrs of 
last evidence of air leak, 
Surgical opinion • Observe for 4 days 
• After 4 days, need to evaluate for surgery 
• 3-5 days of persisting air leak 
Preferred Surgical 
methods 
• Thoracoscopy is the preferred management 
• If Unfit or refuse for surgery chemical pleurodesis 
• Open thoracotomy and pleurectomy 
(recurrence 1%) 
• VATS with pleurectomy and pleural 
abrasion is better tolerated (recurrenc 
5%) 
Agent for pleurodesis • Doxycycline, Talc slurry • Tetracycline, Talc
CASE 2 
• 78yrs/Chinese/male 
• ex-smoker (80 pack years) 
• COPD stage III 
• recent hospitalization for CAP and 
AECOPD 
• IHD – 50% LAD ( angiogram) 
• Presented with History of cough, 
chest pain and hemoptysis x 2/7 
• O/E: 
• Tachypnoeic 
• Pulse 110/min 
• BP: 200/70mmHg 
• RR: 30 /min 
• Lungs; reduced air entry bilateral, 
bilateral rhonchi and prolonged 
expiratory phase. 
• ABG: pH 7.4 pco2: 35 Hco3: 27.6 
pO2:67
CASE 2… – 78/Male BGx: COPD stage III 
CXR on previous admission 1 month ago CXR current
CASE2.. 78yrs/Male BGx COPD stage III - 
Discussion 
• Diagnosis 
• Acute Management 
• Surgical management – to prevent recurrence 
• Medical management – to prevent recurrence
Management and outcome! 
• Left side Chest Tube insertion 
• Suction 
• Chest tube removal on Day 6 after 
full expansion confirmed on CXR 
• Plan for pleurodesis after CT scan 
as patient unfit for surgery 
• Outcome: Patient died on Day 8 
Cause of death: Acute 
coronary Syndrome
CASE 3 
• 19 years / Male 
• No known medical illness 
• Non-smoker 
• Acute onset Shortness of 
breath and Right sided chest 
pain for 2 days 
• O/E: 
HR: 130/min BP 140/80mm Hg 
Tachpnoeic RR: 40/minute 
Lungs: Reduced breath sound on 
Right side with Hyperresonance 
on percussion
CXR post chest tube – 6hrs 
Chest – X-ray 
• Diagnosis: 
• Tension 
Pneumotho 
rax 
• Management 
• Emergency 
Chest tube 
insertion 
• Outcome 
• Discharged 
after 
Chest X-Ray on arrival
Tension pneumothorax 
• Pathophysiology 
• One-way valve system at the breach permitting air to enter the pleural cavity 
during inspiration but preventing egress of air during expiration 
• Increase in the intrapleural pressure such that it exceeds atmospheric 
pressure for much of the respiratory cycle. 
• Impaired venous return and reduced cardiac output results in the typical 
features of hypoxemia and hemodynamic compromise
Management 
• Insert Needle at 2nd intercostal space 
anteriorly, at mid clavicular line, 
• Observe for egress of air 
• Insert Chest drain, keep the needle 
until chest drain secured and 
connected to underwater drainage 
system.
CASE 4 
• A 38-year-old female smoker 
• Background Hx Pelvic 
endometriosis 
• Intermittent recurrent Right 
sided chest pain. Usually occur 
by Day 2 of menstruation 
• Admitted on Day 2 of menses. 
With shortness of breath and 
Right sided chest pain.
CASE4 38yrs/Female Bgx.Pneumothorax… 
• VATS on the fifth day of menstruation 
showed numerous brownish oval lesions 
scattered on the diaphragm – endometrial 
implants 
DIAGNOSIS: CATAMENIAL PNEUMOTHORAX 
• Talc poudrage was applied, and treatment 
with a GNRH analogue was started, 6 month 
follow up patient asymptomatic 
Christoph M. Kronauer, 'Catamenial Pneumothorax', New England 
Journal of Medicine, 355 (2006), e9.
CASE 5 
• 34 yrs / Indonesian / Female 
• G4 P2 L1 [21 weeks pregnant] 
• BGHx: 
• PDA under cardio follow up detected 
2006 during 3rd pregnancy 
• ECHO: PDA 0.47cm, Left to Right shunt, 
No evidence of Pulm. HTN 
• Detected to have ? Lung disease in 
2008 not worked up. 
• Presented with Shortness of breath 
for 10/7 and cough x 3/7 
• O/E 
• Mildy tachpneoic, RR 24/min 
• Speaking in full sentences 
• Pulse: 88/min 
• BP: 130/70 mmHg 
• sPO2: 97% Room air 
• Lungs: Reduced air entry on 
the right side with 
hyperresonant on right side
BASELINE - 2008 On presentation
CASE 5. 34yrs/Indonesian 
• Diagnosis 
• Secondary spontaneous pneumothorax 
• Community Acquired Pneumonia 
• To work up for underlying Chronic Lung 
Disease – TRO TB 
• Treatment 
• Chest drain in ED 
• High flow oxygen 
• Monitoring in HDW 
• Fetal well being monitoring. 
• Gumco suction 5cm H2o from day 2 
• Subcutaneous emphysema - 
• Persisting air leak 
• Discharged on Day 10 with pneumostat 
• Early review in Clinic Day 16 
Day 8 admission
CASE 5. 34yrs/Indonesian / 24 weeks pregnant– 
second presentation 
• Shortness of breath x 1/7 
• After dressing change and 
dislodged Chest drain 
• O/E 
• Mildly tachypneoic 
• HR: 90/min BP: 130/80mmHg 
• SpO2: 96% (NP 3Lt) 
• Lungs: Reduced air entry right 
side. With hyperresonance
Managment 
• Chest drain with Gumco suction 
(5cmH2O) 
• No evidence of Air leak on Day 4 
• Persisting Pneumothorax on Day 5 
• CT scan once delivery and definitive 
surgical management.
Air travel advice – BTS (September 2011)1 
1. Managing passengers with stable respiratory disease planning air travel: British Thoracic Society recommendations 
British Thoracic Society Air Travel Working GroupSeptember 2011 Volume 66 Supplement 1
International Air Transport Association (IATA) – 
20131 
6 days or less after full inflation ( 
Assessment by doctor with 
aviation medicine experience) 
If general condition is adequate, early transportation with ―Heimlich 
type drain and a doctor or nurse escort is acceptable 
Spontaneous pneumothorax 
non-surgical means 
7 days after full inflation 
traumatic pneumothorax 14 days after full inflation 
Chest surgery like – pleurectomy, 
lobectomy, open lung biopsy 
Allow if ≥ 11 days and uncomplicated recovery 
If ≤ 10 days , need assessment by doctor with aviation medicine 
experience 
1.Medical Manual ISBN 978-92-9252-195-0 © 2013 International Air Transport Association. Montreal—Geneva
Recommendation on diving-BTS 2003 guideline1 
• Barotrauma: is caused by compression or expansion of gas filled 
spaces during descent or ascent, respectively 
• Expansion of the lungs during ascent may cause lung rupture leading to 
pneumothorax, pneumomediastinum, and arterial gas embolism. 
Lung bullae or cysts increase risk of barotrauma and are contraindications to diving.1 
Previous spontaneous pneumothorax is a contraindication unless treated by bilateral surgical 
thoracotomy and pleurectomy and associated with normal lung function and thoracic CT scan 
performed after surgery.1 
Previous traumatic pneumothorax may not be a contraindication if healed and associated with 
normal lung function, including flow-volume loop and thoracic CT scan1 
1.British Thoracic Society guidelines on respiratory aspects of fitness for diving British Thoracic Society Fitness to Dive 
Group, a Subgroup of the British Thoracic Society Standards of Care Committee Thorax 2003;58:3–13
Practice question 
• Q1 – 38 y/o male presented with 
difficulty in breathing. 5 days duration. 
Intermittent chest discomfort. No fever 
or productive cough . He smokes for 10 
pack years. He was seen in the local 
klinik kesihatan which the attending 
doctor thought was a tension 
pneumothorax. Inserted a urgent needle 
decompression. He was subsequently 
refer to ED because of worsening SOB 
with no repeated CXR.
What is your action plan 
ABCDE - > oxygen - > urgent CXR, gases. -> manage as per 2 
pneumothorax. 
What could have occur 
? Iatrogenic pneumothorax
• Question 2 – 38 year old man admitted with intermittent fever for 1 
months duration & progressive worsening in effort tolerance. 
• CXR showed
• Q3 – 40 year old co-pilot came to ED 
complaining worsening shortness of 
breath 2 days duration. Deny 
symptoms of infection. (pls get a cxr 
showing very small pneumothorax) 
How are you going to manage him ? 
Answer – counsel & refer to CTC
• 24 year old young man came with 
sudden onset of shortness of 
breath. He is a active young man 
who leads his football team in the 
school & national level 
• Does he need a chest drainage ? Or 
surgical intervention in view of his 
possible professional involvement in 
football ?
Pneumothorax case based

Pneumothorax case based

  • 1.
    Pneumothorax - CME– Mohamed Siruhan Supervisor: Dr. Ian
  • 2.
    Outline • Classificationof pneumothorax • Epidemiology • Pathophysiology and etiology • Clinical features • Radiological features • Management of spontaneous pneumothorax – case based • Recommendations on air travel and diving. • Practice questions
  • 3.
    Etiological Classification ofpneumothorax • Spontaneous • Primary: Pneumothorax occurring in persons without clinically apparent lung disease • Secondary: Pneumothorax occurring in the setting of underlying pulmonary disease • Traumatic • Penetrating chest injury • Blunt chest injury • Iatrogenic Pneumothorax • Transthoracic needle aspiration • Placement of catheter in subclavian or jugular vein • Thoracentesis and pleural biopsy • Mechanical ventilation
  • 4.
    Etiology - Secondaryspontaneous pneumothorax • Airway disease • COPD • Cystic fibrosis • Asthma • Infectious lung diseases • Tuberculosis • Pneumocystis pneumonia • Necrotizing pneumonia (anaerobic, Gram negative, staphylococcus) • Interstitial Lung Disease • Sarcoidosis • Idiopathic Pulmonary fibrosis • Langerhans’ cell granulomatosis • Lymphangioleiomyomatosis • Tuberous sclerosis • Connective Tissue disease • Rhumatoid arthritis • Ankylosing spondylitis • Polymyosistis and dermatomyositis • Scleroderma • Marfan’s syndrome • Ehlers–Danlos syndrome
  • 5.
    • Cancer •Sarcoma • Lung cancer • Catamenial pneumothorax – Pneumothorax related to mensturation • Postulated to occur in the setting of endometriosis affecting the lung.
  • 6.
    Epidemiology of pneumothorax Incidence(/100000) Male female Age group predisposition Recurrence Symptoms Primary spontaneous 18-28 1.2 – 6 Age 10 -30 years Rare in >40 years Thin Tall Smoking (up to 20x) 16 – 52% Symptoms less Secondary spontaneous 6.3 2 60 – 65 years COPD (26/100000) HIV ( PCP) 39 – 47% Most often symptomatic Catamenial 30 – 40 yrs H/O endometriosis 50% with Hormone therapy Within 72 hours of onset of menses
  • 7.
    Pathophysiology of primaryspontaneous pneumothorax (PSP) • Subpleural bullae/blebs/porosities • 76 -100% on VATS (Video assisted thoracoscopic surgery )1 • All most all the patients undergoing thoracotomy 1 • 79- 96% of patients on contralateral lung, those who were managed by sternotomy.1 • 89% ipsilateral bullae and blebs on CT ( compared to 20% age and smoking matched controls)1 • Subpleural bullae formation remains speculative • Smoking related influx of neutrophils and macrophages • Degredation of elastic fibers • Imbalance in the protease-antiprotease and oxidant-antioxidant systems.1 1. Spontaneous pneumothorax. Sahn SA, Heffner JE N Engl J Med. 2000;342(12):868
  • 8.
    Pathophysiology…(PSP) • Inflammationinduced obstruction of the small airways increases alveolar pressure, causes air leak in to interstitium • Air moves to hilum, causing pneumomediastium. • As pneumomediastinum causes rise in pressure and rupture of mediastinal parietal pleura, causing pneumothorax.
  • 9.
    Pathophysiology…..(PSP) Reduced FVC Increase alveolar-arterial Oxygen gradient Low ventilation-perfusion ration (V/Q) and Shunting Hypoxemia ( Hypercapnia occurs in secondary spontan. pneumothorax)
  • 10.
    Pathophysiology in secondaryspontaneous pneumothorax Alveolar pressure > interstitium pressure ( Alveolar rupture) Air in the interstitium traverses to hilum and cause pneumomediastinum Rupture of mediastinal parietal pleura and pneumothorax develops Air from ruptured alveoli Crosses to pleural cavity via necrosed lung (eg. PCP) Pneumothorax
  • 11.
    Thoracoscopic images Subpleuralblebs Air filled spaces between the lung parenchyma and the visceral pleura Subpleural bullae Air filled spaces within the lung parenchyma itself
  • 12.
  • 13.
    • Smoking andthe Increased Risk of Contracting Spontaneous Pneumothorax Bense, M.D., FC.C.P.;* Gunar Ekiund, Ph.D., Odont. D. and Lars-Gösta Wiman, M.D., EC.C.P1- CHEST I 92 I 6 I DECEMBER, 1987 1.Smoking and the increased risk of contracting spontaneous pneumothorax.Bense L, Eklund G, Wiman LGChest. 1987;92(6):1009.
  • 14.
    Relative risk ofspontaneous pneumothorax for males and females based on total population according to daily cigarette consumption. • Life time relative risk of first spontaneous pneumothorax among smokers • 9 (Women), • 22(men) 1. 1.Smoking and the increased risk of contracting spontaneous pneumothorax.Bense L, Eklund G, Wiman LGChest. 1987;92(6):1009.
  • 15.
    Clinical presentation •Ipsiliateral pleuritic chest pain • Acute dyspnea • Symptoms usually resolve within 24 hours, even if the pneumothorax remains untreated and does not resolve1 • Patients with a small pneumothorax (<15%) may have a normal physical examination1. • Tachycardia is the most common finding1. • Clinical signs: decreased movement of the chest wall, a hyperresonant percussion note, diminished fremitus, and decreased or absent breath sounds on the affected side. • Sever tachycardia, Hypotension, cyanosis raise suspicion for tension pneumothorax 1. Spontaneous pneumothorax. Sahn SA, Heffner JE N Engl J Med. 2000;342(12):868
  • 16.
    standard PA erectCXR - Radiological features • Visceral pleural line – necessary to make a definitive diagnosis • Visceral pleural line parallels the curvature of the chest wall (ie. Convex outwards) • Pneumothorax mimic conditions do not maintain this spatial relationship. Eg.bullae, artifacts. • Usually there is absence of lung markings peripheral to pleural line. • Pleural adhesions – lung markings may be visible beyond the pleural line
  • 17.
  • 18.
    Radiological features CXR… • Airfluid interface when present confirms presence of pneumothorax. • Supine CXR - Air collects anteriorly and inferiorly • Deep sulcus sign • Displaces costopherenic sulcus inferiorly • Increased lucency of costopherenic sulcus • Double diaphragm sign
  • 19.
    Luftsichel, “air crescent,”sign • Seen in setting of left upper lobe atelectasis • indirect sign of overinflation characterized by hyperexpansion of the superior segment of lower lobe on the left side and its insinuation between collapse upper lobe and mediastinum.
  • 20.
    • Tension pneumothorax • Shift of mobile mediastinal structures to the opposite side • Inversion of hemidiaphragm • Flatting of heart contour on the side under tension.
  • 21.
    Other modalities •Lateral X-rays • Expiratory films • Supine and lateral decubitus X – rays • Less sensitive and not recommended routinely based on current guidelines
  • 22.
    Imaging… • USG • Main value in managing supine trauma patients • CT scan • This can be regarded as the ‘gold standard’ – able to detect small pneumothorax, estimate size • Identify aberrant chest drain placement. • To determine the best treatment for persistent air leaks or to plan a surgical intervention. (ACCP)
  • 23.
    • Apex –cupola distance(ACCP) - 2001 • a ≥ 3cms small • a < 3cms large • Interpleural distance at hilum (BTS) - 2010 • b ≥ 2cms small • b < 2cms large Size of pneumothorax
  • 24.
    Size of pneumothorax….. THE SPANISH SOCIETY OF PULMONOLOGY AND THORACIC SURGERY (SEPAR) Partial Complete without lung collapse Complete with total lung collapse
  • 26.
    CASE 1 •34yrs/Malay/Male • No known medical illness • Ex-smoker 20 pack years ( stopped 4/12, now on e-cigarettes) • C/O Shortness of breath and left sided pleuritic chest pain x 3 days O/E • Mildly tachypnoeic RR 24/min • Pulse: 78/min BP 147/85 mmHg SpO2 100% NP • Lungs: Reduced air entry on left side, hyperresonant on percussion.
  • 27.
    CASE 1.. 34yrs/Male/ex-smoker CXR – on presentation CXR – post left chest tube
  • 29.
    CASE 1.. 34yrs/Male/ex-smoker CXR – post chest tube removal D4 CXR – Post chest tube reinsertion
  • 30.
    CXR – Postop (VATS) CASE 1.. 34yrs/Male/ex-smoker CT – pre op
  • 31.
    Management and Outcome • Diagnosis: • Primary spontaneous pneumothorax • Management • Chest Tube insertion • Gumco suction D2 • Chest tube removal on D4 and reinsertion due to recurrence ( persistant air leak) • VATS ( Video assisted thoracosopic surgery) • Outcome • Discharged well on D2 post op. • Lung fully expanded and asymptomatic.
  • 32.
    Management issues……..controversies andpitfalls • General measures ? • Use of High flow oxygen? • Will you aspirate or insert chest tube? • Admit or Discharge? • Apply suction after Chest tube? • Will you clamp the chest tube, prior to its removal? • When will surgical referral needed? • Surgical options available? • Chemical pleurodesis as an alternative to surgery?
  • 33.
    General measures •Adequate analgesia – for pneumothorax and to cover for chest drain etc. • Bed rest - There is no evidence that confining the patient to bed favors air absorption or lung expansion (ACCP) • Supplemental oxygen:- (Grade B recommendation) • Spontaneous rate of reabsorption 1.25% to 1.8% (50-75 mL) of the total volume/24 hours • Supplemental oxygen increases the rate of absorption by a factor of 41 • It reduces partial pressure of nitrogen in the pleural capillaries. And enhances the reabsorption of air in the pleural cavity. 1.British Medical Journal, 1971, 4, 86-8 T. C. NORTHFIELD
  • 34.
    General measures….. •High Flow Oxygen (for example, 10 L/min), is recommended • Caution in COPD - risk of hypercapnia • Cessation of smoking.
  • 35.
    Oxygen therapy for spontaneous pneumothorax1. • Group 1 – (12 males, Room air) • Group 2 - 10 patients received Air and oxygen(16 litres/min) alternatively • 9- 38 hours of oxygen alternate with room air. • FiO2 not measured but estimated to be higher than 50 -60% and unlikely to be 100% • Oxygen therapy resulted in a 4 fold increase in the mean rate of absorption(P<0.01). • Pneumothorax < 30% ( 2.2 fold) (P<0.01). • Pneumothorax >30% ( 5.2 fold) (P<0.01). 1.British Medical Journal, 1971, 4, 86-8 T. C. NORTHFIELD
  • 36.
    Oxygen therapy forspontaneous pneumothorax1 • The calculated time for full re-expansion with daily oxygen therapy ranged from 3 -8 days, with a mean of 5 days. 1.British Medical Journal, 1971, 4, 86-8 T. C. NORTHFIELD
  • 37.
  • 38.
    ACCP 2001 BTS2010 Drainage Yes • Majority need drainage • Minimally symtptomatic - conservative. Admission • Most patients need admission • Selected patients may be discharged with small bore catheter and Heimlich valve if lung has expanded Admission required Method of drainage • Under water seal • Heimlich valve • Needle (14-16 G) aspiration (NA) ( One attempt) • If failed NA small bore chest drain(<14) Applying suction • If lung fails to reexpand quickly (good consesnsus) • Immediately after under water seal ( some consensus) • When persistant air leak is suspected (48hrs) • Addition of suction too early may cause Reexpansion Pulmonary oedema) • Not routinely recommended • low pressure High Volume ( -10 to – 20 cmH2O) Size of chest tube • Chest tube 16 – 24 F • Chest tube 24 – 28 F ( Positive pressure ventilation / large air leak) • Small bore catheter Needle (14 – 16 G) Chest Tube ( <14 F) Small bore catheter
  • 39.
    ACCP 2001 BTS2010 Chest Tube removal • Staged manner - Confirm no persisting leak ( No more bubbling) - CXR – Confirm resolution - Stop any suction if applied • Regardless of clamping, CXR is recommended after 5 – 12 hrs post last evidence of air leak (62% panel members) Chest Tube clamping • 53% of panel members would never clamp a chest tube • Remaining panel members would clamp after 4hrs of last evidence of air leak, Surgical opinion • Observe for 4 days • After 4 days, need to evaluate for surgery • 3-5 days of persisting air leak Preferred Surgical methods • Thoracoscopy is the preferred management • If Unfit or refuse for surgery chemical pleurodesis • Open thoracotomy and pleurectomy (recurrence 1%) • VATS with pleurectomy and pleural abrasion is better tolerated (recurrenc 5%) Agent for pleurodesis • Doxycycline, Talc slurry • Tetracycline, Talc
  • 40.
    CASE 2 •78yrs/Chinese/male • ex-smoker (80 pack years) • COPD stage III • recent hospitalization for CAP and AECOPD • IHD – 50% LAD ( angiogram) • Presented with History of cough, chest pain and hemoptysis x 2/7 • O/E: • Tachypnoeic • Pulse 110/min • BP: 200/70mmHg • RR: 30 /min • Lungs; reduced air entry bilateral, bilateral rhonchi and prolonged expiratory phase. • ABG: pH 7.4 pco2: 35 Hco3: 27.6 pO2:67
  • 41.
    CASE 2… –78/Male BGx: COPD stage III CXR on previous admission 1 month ago CXR current
  • 42.
    CASE2.. 78yrs/Male BGxCOPD stage III - Discussion • Diagnosis • Acute Management • Surgical management – to prevent recurrence • Medical management – to prevent recurrence
  • 43.
    Management and outcome! • Left side Chest Tube insertion • Suction • Chest tube removal on Day 6 after full expansion confirmed on CXR • Plan for pleurodesis after CT scan as patient unfit for surgery • Outcome: Patient died on Day 8 Cause of death: Acute coronary Syndrome
  • 44.
    CASE 3 •19 years / Male • No known medical illness • Non-smoker • Acute onset Shortness of breath and Right sided chest pain for 2 days • O/E: HR: 130/min BP 140/80mm Hg Tachpnoeic RR: 40/minute Lungs: Reduced breath sound on Right side with Hyperresonance on percussion
  • 45.
    CXR post chesttube – 6hrs Chest – X-ray • Diagnosis: • Tension Pneumotho rax • Management • Emergency Chest tube insertion • Outcome • Discharged after Chest X-Ray on arrival
  • 46.
    Tension pneumothorax •Pathophysiology • One-way valve system at the breach permitting air to enter the pleural cavity during inspiration but preventing egress of air during expiration • Increase in the intrapleural pressure such that it exceeds atmospheric pressure for much of the respiratory cycle. • Impaired venous return and reduced cardiac output results in the typical features of hypoxemia and hemodynamic compromise
  • 48.
    Management • InsertNeedle at 2nd intercostal space anteriorly, at mid clavicular line, • Observe for egress of air • Insert Chest drain, keep the needle until chest drain secured and connected to underwater drainage system.
  • 49.
    CASE 4 •A 38-year-old female smoker • Background Hx Pelvic endometriosis • Intermittent recurrent Right sided chest pain. Usually occur by Day 2 of menstruation • Admitted on Day 2 of menses. With shortness of breath and Right sided chest pain.
  • 50.
    CASE4 38yrs/Female Bgx.Pneumothorax… • VATS on the fifth day of menstruation showed numerous brownish oval lesions scattered on the diaphragm – endometrial implants DIAGNOSIS: CATAMENIAL PNEUMOTHORAX • Talc poudrage was applied, and treatment with a GNRH analogue was started, 6 month follow up patient asymptomatic Christoph M. Kronauer, 'Catamenial Pneumothorax', New England Journal of Medicine, 355 (2006), e9.
  • 51.
    CASE 5 •34 yrs / Indonesian / Female • G4 P2 L1 [21 weeks pregnant] • BGHx: • PDA under cardio follow up detected 2006 during 3rd pregnancy • ECHO: PDA 0.47cm, Left to Right shunt, No evidence of Pulm. HTN • Detected to have ? Lung disease in 2008 not worked up. • Presented with Shortness of breath for 10/7 and cough x 3/7 • O/E • Mildy tachpneoic, RR 24/min • Speaking in full sentences • Pulse: 88/min • BP: 130/70 mmHg • sPO2: 97% Room air • Lungs: Reduced air entry on the right side with hyperresonant on right side
  • 52.
    BASELINE - 2008On presentation
  • 53.
    CASE 5. 34yrs/Indonesian • Diagnosis • Secondary spontaneous pneumothorax • Community Acquired Pneumonia • To work up for underlying Chronic Lung Disease – TRO TB • Treatment • Chest drain in ED • High flow oxygen • Monitoring in HDW • Fetal well being monitoring. • Gumco suction 5cm H2o from day 2 • Subcutaneous emphysema - • Persisting air leak • Discharged on Day 10 with pneumostat • Early review in Clinic Day 16 Day 8 admission
  • 54.
    CASE 5. 34yrs/Indonesian/ 24 weeks pregnant– second presentation • Shortness of breath x 1/7 • After dressing change and dislodged Chest drain • O/E • Mildly tachypneoic • HR: 90/min BP: 130/80mmHg • SpO2: 96% (NP 3Lt) • Lungs: Reduced air entry right side. With hyperresonance
  • 55.
    Managment • Chestdrain with Gumco suction (5cmH2O) • No evidence of Air leak on Day 4 • Persisting Pneumothorax on Day 5 • CT scan once delivery and definitive surgical management.
  • 56.
    Air travel advice– BTS (September 2011)1 1. Managing passengers with stable respiratory disease planning air travel: British Thoracic Society recommendations British Thoracic Society Air Travel Working GroupSeptember 2011 Volume 66 Supplement 1
  • 57.
    International Air TransportAssociation (IATA) – 20131 6 days or less after full inflation ( Assessment by doctor with aviation medicine experience) If general condition is adequate, early transportation with ―Heimlich type drain and a doctor or nurse escort is acceptable Spontaneous pneumothorax non-surgical means 7 days after full inflation traumatic pneumothorax 14 days after full inflation Chest surgery like – pleurectomy, lobectomy, open lung biopsy Allow if ≥ 11 days and uncomplicated recovery If ≤ 10 days , need assessment by doctor with aviation medicine experience 1.Medical Manual ISBN 978-92-9252-195-0 © 2013 International Air Transport Association. Montreal—Geneva
  • 58.
    Recommendation on diving-BTS2003 guideline1 • Barotrauma: is caused by compression or expansion of gas filled spaces during descent or ascent, respectively • Expansion of the lungs during ascent may cause lung rupture leading to pneumothorax, pneumomediastinum, and arterial gas embolism. Lung bullae or cysts increase risk of barotrauma and are contraindications to diving.1 Previous spontaneous pneumothorax is a contraindication unless treated by bilateral surgical thoracotomy and pleurectomy and associated with normal lung function and thoracic CT scan performed after surgery.1 Previous traumatic pneumothorax may not be a contraindication if healed and associated with normal lung function, including flow-volume loop and thoracic CT scan1 1.British Thoracic Society guidelines on respiratory aspects of fitness for diving British Thoracic Society Fitness to Dive Group, a Subgroup of the British Thoracic Society Standards of Care Committee Thorax 2003;58:3–13
  • 59.
    Practice question •Q1 – 38 y/o male presented with difficulty in breathing. 5 days duration. Intermittent chest discomfort. No fever or productive cough . He smokes for 10 pack years. He was seen in the local klinik kesihatan which the attending doctor thought was a tension pneumothorax. Inserted a urgent needle decompression. He was subsequently refer to ED because of worsening SOB with no repeated CXR.
  • 60.
    What is youraction plan ABCDE - > oxygen - > urgent CXR, gases. -> manage as per 2 pneumothorax. What could have occur ? Iatrogenic pneumothorax
  • 61.
    • Question 2– 38 year old man admitted with intermittent fever for 1 months duration & progressive worsening in effort tolerance. • CXR showed
  • 62.
    • Q3 –40 year old co-pilot came to ED complaining worsening shortness of breath 2 days duration. Deny symptoms of infection. (pls get a cxr showing very small pneumothorax) How are you going to manage him ? Answer – counsel & refer to CTC
  • 63.
    • 24 yearold young man came with sudden onset of shortness of breath. He is a active young man who leads his football team in the school & national level • Does he need a chest drainage ? Or surgical intervention in view of his possible professional involvement in football ?