Miocardite
Prof. R. Leo, FACP
Medicina Interna, 14.10.2016
Premessa
• Una delle diagnosi piu’ difficili in
Cardiologia
• Molte volte misconosciuta
• Spesso colpisce soggetti giovani e sani
• Fisiopatologia poco conosciuta
• Non c’e’ gold standard diagnostico
• Tutte le forme di trattamento attuale sono
controverse
• I casi effettivi sono probabilmente piu’ frequenti
rispetto a quelli attualmente diagnosticati,
soprattutto a causa delle manifestazioni
proteiformi della patologia e del fatto che ci si
affida alla biopsia miocardica per una diagnosi
istologica
• La disponibilita’ della RM cardiaca contribuisce a
facilitare la corretta identificazione dei casi
sospetti
Miocardite
Infiammazione del muscolo cardiaco causata, nella
maggior parte dei casi , da un’infezione da parte
di virus cardiotropi e dalla conseguente risposta
immunomediata dell’organismo
Puo’ compromettere: miociti
- Interstizio
- Elementi vascolari
- Con o senza coinvolgimento del pericardio
Epidemiologia
8-10 casi/100.000 abitanti
… probabile sottostima a causa delle diagnosi non corrette
casistiche autoptiche di giovani adulti deceduti per MI >
incidenza maggiore miocardite > ca. 8.6%
Se si considerano solo i pazienti con CMD idiopatica > 10-
40%
… in un numero considerevole dei casi la miocardite non
viene clinicamente sospettata, causando morte o
scompenso cardiaco grave
Miocardite
Forma primaria: infezione virale acuta o risposta
autoimmune post-virale
Forma secondaria: causata da un patogeno
specifico
Infettive: leptospirosi, schistosomiasi,
tripanosoma, etc.
Non infettive: reazioni allergiche, farmaci, vasculite
sistemica
Meccanismi di danno cardiaco
Infiltrazione diretta del miocardio
Produzione di tossine miocardiche
Danno miocardico mediato da risposta immune
Miocarditi virali
Adenovirus
Arbovirus (Dengue)
Arenavirus
Coxsackie
CMV
EBV
Enterovirus
HV
Influenza virus
Parvovirus B19
Rosolia
HIV
HCV
Miocarditi secondarie
Batteriche
Brucellosi
Difterite
Clostridium
Mycobacterium
Treponema pallidum
Mycoplasma pneumoniae
Stafilo/Strepto
Miceti
Actinomices
Aspergillus
Candida
Histoplasma
Miocarditi secondarie
Parassitarie (elminti)
Echinococco
Schistosoma
Trichinosi
Troxocara
Protozoi
Entamoeba
Leishmania
Toxoplasmaosi
Tripanosomiasi (Chagas)
Tossine
Antracicline
Cocaina
Miocarditi secondarie
Da ipersensibilita
Clozapina
Sulfonamidi
Cefalosporine
Penicillina
Triciclici
Autoimmunitaria
Vaccinazione antivaricella
Miocardite a cellule giganti
S. Di Churg-Strauss
S. Di Sjogren
MICI
Celiachia
Sarcoidosi
LES Arterite di Takayasu
Agenti eziologici specifici
La miocardite è provocata il piu’ delle volte da un fattore
infiammatorio esterno, come un virus, in grado di indurre
una risposta immunitaria dell’ospite, che puo’ variare da
una minima reazione transitoria fino a
un‘ infiammazione grave e fulminante
Manifestazioni cliniche
Nella maggioranza dei casi si tratta di un processo
paucisintomatico ed autolimitato, in seguito ad un
quadro virale aspecifico, e la compromissione miocardica
non viene diagnosticata
In altri casi puo’ simulare un quadro ischemico:
dolore toracico, alterazioni ECG e rialzo TnI, con successivo
riscontro CVG di cornarie indenni
Puo’ manifestarsi con aritmie in pazienti con cuore
strutturalmente sano
BAV o BBD o BBS intermittente
Rimodellamento cardiaco
A seguito a danno cardiaco puo’ influire in modo
significativo sulla struttura e sulla funzione cardiaca e
puo’ fare la differenza fra la guarigione e lo sviluppo di
CMD
Presentazione clinica
Variabile e cio’ rende difficili la diagnosi e la classificazione
della patologia
Nella pratica clinica, la miocardite puo’ presentarsi con
scompenso cardiaco, dolore toracico, aritmie o morte
improvvisa. Puo’ regredire, migliorare nel 40-50% dei
casi, recidivare, o causare danno miocardico permanente
sino ad evolvere in CMD
Per distinguere la miocardite dalla CMD idiopatica è bene
ricordare che quasi 1/3 dei pazienti con miocardite virale
riacquista la normale FE con un’adeguata terapia di
supporto, mentre questo e’ meno frequente nella CMD
genetica.
Presentazione clinica
Miocardite acuta
Miocardite fulminante
Miocardite a cellule giganti
Miocardite cronica attiva
Miocardite eosinofila
Cardiomiopatia periparto
Manifestazioni cliniche
Giorni 0-3
Giorni 3-14
Dopo 2 settimane
Aritmie SV o V, astenia, adinamia, febbre, prodromi virali,
dispnea, embolismi, dolore toracico (pericardite),
scompenso cardiaco, shock cardiogeno e aritmie
intrattabili
Criteri clinici
• Scompenso cardiaco
• Febbre
• Prodromi virali
• Dispnea da sforzo
• Dolore toracico
• Palpitazioni
• Presincope e sincope
Evoluzione clinica
Infezione virale
> asintomatica > guarigione completa
CMD dopo lunga latenza
> sintomatica > fulminante > decesso
> guarigione completa
> non fulminante > progressiva lenta (mesi)
> decesso
> trapianto
> guarigione spontanea
> asintomatica
> CMD dopo latenza
> guarigione dopo terapia
immunosoppressiva
Laboratorio
• BNP
• Studio immunologico (inclusi Ab anti
sarcolemma, alpha miosina)
BBS completo
Blocco AV 2:1Blocco AV 2:1
BAV avanzatoBAV avanzato
Approcci diagnostici
La diagnosi e’ altamente probabile se sono presenti 3 o piu’
dei criteri seguenti
- Sintomi clinici compatibili
- Evidenza di alterazioni cardiache strutturali o funzionali o
di danno miocardico, in assenza di ischemia miocardica
acuta regionale
- Delayed enhancement regionale del contrasto o aumento
del segnale T2 alla RM cardiaca
- Presenza di un infiltrato infiammatorio o positivita’ per
genomi virali alla biopsia o all’es. autoptico
… ovviamente la biopsia continua a fornire la diagnosi piu’
specifica di miocardite
Alterazioni strutturali o funzionali
cardiache in assenza di ischemia
coronarica regionale
• Reperti ecocardiografici: dilatazione cardiaca; ipocinesia
globale; bassa FE
• Rilascio di TnI
• TC cardio negativa
• Angiografia coronarica normale
• Assenza di ischemia inducibile con distribuzione
coronarica alla scintigrafia di perfusione
Figura: Donna con CMD postmiocarditica. L’ ETT mostra severa dilatazione e disfunzione
sistolica VSx (FE 18%), con normali spessori parietali (a sinistra: sezione apicale 4
camere, frame telediastolico). Al color Doppler si evidenzia una IM funzionale di grado
severo (al centro). La curva Doppler mitralica dimostra un pattern di riempimento
diastolico di tipo "restrittivo”, compatibile con severa disfunzione diastolica VSx (a
destra).
I quadri ETT variano da forme del tutto normali, in particolare nei casi a presentazione con
dolore toracico o aritmie, a forme con severa disfunzione VSx, soprattutto nei pazienti in cui
l’esordio clinico della malattia è lo SC. In quest’ultimo caso i ventricoli conservano
solitamente la normale geometria ellissoidale e non sono severamente rimodellati, nè le
pareti assottigliate. Inoltre, le alterazioni della cinetica segmentaria sono diffuse o
disomogenee e non corrispondono a distrettualità coronarica.
Figura: Uomo con peri-miocardite acuta. L’ ETT da sezione apicale 4 camere dimostra un VSx
moderatamente dilatato, con normali spessori parietali, diffusamente ipo-acinetico e con funzione
di pompa globale severamente ridotta (FE 12%). Anche il VDx è lievemente dilatato e
severamente disfunzionante. Vi è inoltre un lieve versamento pericardico circonferenziale
Altri segni ETT sono la disfunzione diastolica VSx, la disfunzione del VDx, il versamento
pericardico (soprattutto nei casi di peri-miocardite, la trombosi endoventricolare, la
pseudo-ipertrofia transitoria delle pareti (espressione dell’edema miocardico presente
soprattutto in fase acuta) e l'aumento dell’ecoriflettenza del miocardio (rilevabile con la
metodica ecocardiografica “integrated backscatter”).
Quadro ecocardiografico di peri-miocardite acuta con versamento pericardico circonferenziale di
spessore massimo 2.6 cm e con parziale organizzazione fibrinica, valutato da sezione
parasternale asse lungo (sinistra), asse corto (centro) e sottocostale (destra).
• Figura: Uomo con miocardite acuta esordita con severo SC. All‘ ETT eseguito all’esordio (in alto) si
riscontra severa dilatazione VSx (VTD indicizzato 108 ml/m2), con diffusa ipo-acinesia delle pareti
e severa disfunzione sistolica (FE 26%) (sezione apicale 4C focalizzata sul VSx in telediastole in
alto a sinistra e in telesistole in alto a destra). Al controllo dopo un mese di terapia
immunosoppressiva (in basso) si evidenzia una riduzione dei volumi del VSx (VTD indicizzato 90
ml/m2), e un miglioramento della cinetica regionale e della funzione sistolica globale (FE 44%)
(sezione apicale 4C focalizzata sul VSx in telediastole in basso a sinistra e in telesistole in basso a
destra).
ETT
• l’ecocardiografia è un esame di primo
livello molto importante in quanto può
fornire non solo indizi utili per la diagnosi,
ma anche informazioni utili per la
prognosi, e costituisce una metodica non
invasiva, economica e facilmente
disponibile per il follow-up dei pazienti con
miocardite
RM cardio
E’ molto utile perche’ permette di caratterizzare il tessuto
in base al contenuto di acqua e ai cambiamenti nella
cinetica del mdc
Consente di visualizzare tutto il miocardio e si presta ad
individuare le lesioni miocarditiche che sono focali
• Aumento di intensita’ del segnale miocardico in T2 nelle
sequenze Inversion Recovery
• Enhancement ritardato del contrasto dopo infusione di
gadolinio-DTPA
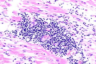
Biopsia miocardica: analisi istologica
e molecolare
• Reperti istologici compatibili con i criteri di Dallas
• Presenza di genoma virale rilevata mediante PCR o
ibridazione in situ
Classici criteri istologici di Dallas
Presenza di cellule infiammatorie associata a necrosi
miocitaria nella stessa sezione microscopica di una
biopsia miocardica
La forma borderline e’ caratterizzata da un infiltrato di
cellule infiammatorie in assenza di necrosi
Questi criteri sono stati criticati perchetroppo restrittivi
>> si e’ giunti ad una definizione piu’ ampa che comprende
la presenza di genoma virale o marcatori molecolari di
attivazione immunitaria
Prognosi
• Nella maggior parte dei casi i pazienti con miocardite
acuta e coinvolgimento cardiaco lieve guariscono senza
sequele
• I pazienti con una disfunzione cardiaca piu’ avanzata
hanno una prognosi estremamente variabile
• Paradossalmente alcuni pazienti con compromissione
emodinamica grave all’esordio (miocardite fulminante)
possono avere una prognosi favorevole
• I pazienti con miocardite a cellule giganti presentano una
prognosi estremamente sfavorevole, con una
sopravvivenza <6mesi e la maggior parte necessita di
trapianto
Terapia
Questi pazienti dovrebbero essere trattati come tutti i
pazienti con segni clinici di SC, somministrando
inizialmente diuretici per rimuovere, se presente, un
sovracarico di volume.
Possono inoltre trovare beneficio dalla somministrazione ev
di vasodilatatori, come la nitroglicerina, in dosi
appropiate e con un monitoraggio adeguato per
migliorare la GC e ridurre le pressioni di riempimento.
I farmaci indicati per lo SC,come gli ACEI o i sartani e i
betabloccanti, dovrebbero essere iniziati appena il
paziente e’ clinicamente stabile ed e’ in grado di tollerarli.
Terapia
Fulminante: SC, decesso o guarigione in 2 settimane
Subacuta:
Cronica attiva (2-3 aa.)
Trattamento: immunosoppressivo (es. azatioprina)
steroidi
FANS (controindicati in fase acuta)
Gamma globuline alte dosi (bambini)
Terapia di supporto: diuretici, ACEI, antiaritmici,
betabloccanti, vasodilatatori, inotropi/digossina
Supporto emodinamico: contropulsatore aortico;apparecchi
di assistenza ventricolare; ICD.
Miocardite Prof. Roberto Leo
Miocardite Prof. Roberto Leo
Miocardite Prof. Roberto Leo
Miocardite Prof. Roberto Leo
Miocardite Prof. Roberto Leo
Miocardite Prof. Roberto Leo

Miocardite Prof. Roberto Leo

  • 2.
    Miocardite Prof. R. Leo,FACP Medicina Interna, 14.10.2016
  • 3.
    Premessa • Una dellediagnosi piu’ difficili in Cardiologia • Molte volte misconosciuta • Spesso colpisce soggetti giovani e sani • Fisiopatologia poco conosciuta • Non c’e’ gold standard diagnostico • Tutte le forme di trattamento attuale sono controverse
  • 4.
    • I casieffettivi sono probabilmente piu’ frequenti rispetto a quelli attualmente diagnosticati, soprattutto a causa delle manifestazioni proteiformi della patologia e del fatto che ci si affida alla biopsia miocardica per una diagnosi istologica • La disponibilita’ della RM cardiaca contribuisce a facilitare la corretta identificazione dei casi sospetti
  • 5.
    Miocardite Infiammazione del muscolocardiaco causata, nella maggior parte dei casi , da un’infezione da parte di virus cardiotropi e dalla conseguente risposta immunomediata dell’organismo Puo’ compromettere: miociti - Interstizio - Elementi vascolari - Con o senza coinvolgimento del pericardio
  • 7.
    Epidemiologia 8-10 casi/100.000 abitanti …probabile sottostima a causa delle diagnosi non corrette casistiche autoptiche di giovani adulti deceduti per MI > incidenza maggiore miocardite > ca. 8.6% Se si considerano solo i pazienti con CMD idiopatica > 10- 40% … in un numero considerevole dei casi la miocardite non viene clinicamente sospettata, causando morte o scompenso cardiaco grave
  • 12.
    Miocardite Forma primaria: infezionevirale acuta o risposta autoimmune post-virale Forma secondaria: causata da un patogeno specifico Infettive: leptospirosi, schistosomiasi, tripanosoma, etc. Non infettive: reazioni allergiche, farmaci, vasculite sistemica
  • 13.
    Meccanismi di dannocardiaco Infiltrazione diretta del miocardio Produzione di tossine miocardiche Danno miocardico mediato da risposta immune
  • 15.
  • 16.
    Miocarditi secondarie Batteriche Brucellosi Difterite Clostridium Mycobacterium Treponema pallidum Mycoplasmapneumoniae Stafilo/Strepto Miceti Actinomices Aspergillus Candida Histoplasma
  • 17.
  • 18.
    Miocarditi secondarie Da ipersensibilita Clozapina Sulfonamidi Cefalosporine Penicillina Triciclici Autoimmunitaria Vaccinazioneantivaricella Miocardite a cellule giganti S. Di Churg-Strauss S. Di Sjogren MICI Celiachia Sarcoidosi LES Arterite di Takayasu
  • 19.
    Agenti eziologici specifici Lamiocardite è provocata il piu’ delle volte da un fattore infiammatorio esterno, come un virus, in grado di indurre una risposta immunitaria dell’ospite, che puo’ variare da una minima reazione transitoria fino a un‘ infiammazione grave e fulminante
  • 21.
    Manifestazioni cliniche Nella maggioranzadei casi si tratta di un processo paucisintomatico ed autolimitato, in seguito ad un quadro virale aspecifico, e la compromissione miocardica non viene diagnosticata In altri casi puo’ simulare un quadro ischemico: dolore toracico, alterazioni ECG e rialzo TnI, con successivo riscontro CVG di cornarie indenni Puo’ manifestarsi con aritmie in pazienti con cuore strutturalmente sano BAV o BBD o BBS intermittente
  • 22.
    Rimodellamento cardiaco A seguitoa danno cardiaco puo’ influire in modo significativo sulla struttura e sulla funzione cardiaca e puo’ fare la differenza fra la guarigione e lo sviluppo di CMD
  • 23.
    Presentazione clinica Variabile ecio’ rende difficili la diagnosi e la classificazione della patologia Nella pratica clinica, la miocardite puo’ presentarsi con scompenso cardiaco, dolore toracico, aritmie o morte improvvisa. Puo’ regredire, migliorare nel 40-50% dei casi, recidivare, o causare danno miocardico permanente sino ad evolvere in CMD Per distinguere la miocardite dalla CMD idiopatica è bene ricordare che quasi 1/3 dei pazienti con miocardite virale riacquista la normale FE con un’adeguata terapia di supporto, mentre questo e’ meno frequente nella CMD genetica.
  • 24.
    Presentazione clinica Miocardite acuta Miocarditefulminante Miocardite a cellule giganti Miocardite cronica attiva Miocardite eosinofila Cardiomiopatia periparto
  • 25.
    Manifestazioni cliniche Giorni 0-3 Giorni3-14 Dopo 2 settimane Aritmie SV o V, astenia, adinamia, febbre, prodromi virali, dispnea, embolismi, dolore toracico (pericardite), scompenso cardiaco, shock cardiogeno e aritmie intrattabili
  • 26.
    Criteri clinici • Scompensocardiaco • Febbre • Prodromi virali • Dispnea da sforzo • Dolore toracico • Palpitazioni • Presincope e sincope
  • 27.
    Evoluzione clinica Infezione virale >asintomatica > guarigione completa CMD dopo lunga latenza > sintomatica > fulminante > decesso > guarigione completa > non fulminante > progressiva lenta (mesi) > decesso > trapianto > guarigione spontanea > asintomatica > CMD dopo latenza > guarigione dopo terapia immunosoppressiva
  • 31.
    Laboratorio • BNP • Studioimmunologico (inclusi Ab anti sarcolemma, alpha miosina)
  • 33.
  • 34.
  • 35.
  • 36.
    Approcci diagnostici La diagnosie’ altamente probabile se sono presenti 3 o piu’ dei criteri seguenti - Sintomi clinici compatibili - Evidenza di alterazioni cardiache strutturali o funzionali o di danno miocardico, in assenza di ischemia miocardica acuta regionale - Delayed enhancement regionale del contrasto o aumento del segnale T2 alla RM cardiaca - Presenza di un infiltrato infiammatorio o positivita’ per genomi virali alla biopsia o all’es. autoptico … ovviamente la biopsia continua a fornire la diagnosi piu’ specifica di miocardite
  • 37.
    Alterazioni strutturali ofunzionali cardiache in assenza di ischemia coronarica regionale • Reperti ecocardiografici: dilatazione cardiaca; ipocinesia globale; bassa FE • Rilascio di TnI • TC cardio negativa • Angiografia coronarica normale • Assenza di ischemia inducibile con distribuzione coronarica alla scintigrafia di perfusione
  • 39.
    Figura: Donna conCMD postmiocarditica. L’ ETT mostra severa dilatazione e disfunzione sistolica VSx (FE 18%), con normali spessori parietali (a sinistra: sezione apicale 4 camere, frame telediastolico). Al color Doppler si evidenzia una IM funzionale di grado severo (al centro). La curva Doppler mitralica dimostra un pattern di riempimento diastolico di tipo "restrittivo”, compatibile con severa disfunzione diastolica VSx (a destra).
  • 40.
    I quadri ETTvariano da forme del tutto normali, in particolare nei casi a presentazione con dolore toracico o aritmie, a forme con severa disfunzione VSx, soprattutto nei pazienti in cui l’esordio clinico della malattia è lo SC. In quest’ultimo caso i ventricoli conservano solitamente la normale geometria ellissoidale e non sono severamente rimodellati, nè le pareti assottigliate. Inoltre, le alterazioni della cinetica segmentaria sono diffuse o disomogenee e non corrispondono a distrettualità coronarica. Figura: Uomo con peri-miocardite acuta. L’ ETT da sezione apicale 4 camere dimostra un VSx moderatamente dilatato, con normali spessori parietali, diffusamente ipo-acinetico e con funzione di pompa globale severamente ridotta (FE 12%). Anche il VDx è lievemente dilatato e severamente disfunzionante. Vi è inoltre un lieve versamento pericardico circonferenziale
  • 41.
    Altri segni ETTsono la disfunzione diastolica VSx, la disfunzione del VDx, il versamento pericardico (soprattutto nei casi di peri-miocardite, la trombosi endoventricolare, la pseudo-ipertrofia transitoria delle pareti (espressione dell’edema miocardico presente soprattutto in fase acuta) e l'aumento dell’ecoriflettenza del miocardio (rilevabile con la metodica ecocardiografica “integrated backscatter”). Quadro ecocardiografico di peri-miocardite acuta con versamento pericardico circonferenziale di spessore massimo 2.6 cm e con parziale organizzazione fibrinica, valutato da sezione parasternale asse lungo (sinistra), asse corto (centro) e sottocostale (destra).
  • 42.
    • Figura: Uomocon miocardite acuta esordita con severo SC. All‘ ETT eseguito all’esordio (in alto) si riscontra severa dilatazione VSx (VTD indicizzato 108 ml/m2), con diffusa ipo-acinesia delle pareti e severa disfunzione sistolica (FE 26%) (sezione apicale 4C focalizzata sul VSx in telediastole in alto a sinistra e in telesistole in alto a destra). Al controllo dopo un mese di terapia immunosoppressiva (in basso) si evidenzia una riduzione dei volumi del VSx (VTD indicizzato 90 ml/m2), e un miglioramento della cinetica regionale e della funzione sistolica globale (FE 44%) (sezione apicale 4C focalizzata sul VSx in telediastole in basso a sinistra e in telesistole in basso a destra).
  • 43.
    ETT • l’ecocardiografia èun esame di primo livello molto importante in quanto può fornire non solo indizi utili per la diagnosi, ma anche informazioni utili per la prognosi, e costituisce una metodica non invasiva, economica e facilmente disponibile per il follow-up dei pazienti con miocardite
  • 44.
    RM cardio E’ moltoutile perche’ permette di caratterizzare il tessuto in base al contenuto di acqua e ai cambiamenti nella cinetica del mdc Consente di visualizzare tutto il miocardio e si presta ad individuare le lesioni miocarditiche che sono focali • Aumento di intensita’ del segnale miocardico in T2 nelle sequenze Inversion Recovery • Enhancement ritardato del contrasto dopo infusione di gadolinio-DTPA
  • 48.
    Biopsia miocardica: analisiistologica e molecolare • Reperti istologici compatibili con i criteri di Dallas • Presenza di genoma virale rilevata mediante PCR o ibridazione in situ
  • 53.
    Classici criteri istologicidi Dallas Presenza di cellule infiammatorie associata a necrosi miocitaria nella stessa sezione microscopica di una biopsia miocardica La forma borderline e’ caratterizzata da un infiltrato di cellule infiammatorie in assenza di necrosi Questi criteri sono stati criticati perchetroppo restrittivi >> si e’ giunti ad una definizione piu’ ampa che comprende la presenza di genoma virale o marcatori molecolari di attivazione immunitaria
  • 56.
    Prognosi • Nella maggiorparte dei casi i pazienti con miocardite acuta e coinvolgimento cardiaco lieve guariscono senza sequele • I pazienti con una disfunzione cardiaca piu’ avanzata hanno una prognosi estremamente variabile • Paradossalmente alcuni pazienti con compromissione emodinamica grave all’esordio (miocardite fulminante) possono avere una prognosi favorevole • I pazienti con miocardite a cellule giganti presentano una prognosi estremamente sfavorevole, con una sopravvivenza <6mesi e la maggior parte necessita di trapianto
  • 57.
    Terapia Questi pazienti dovrebberoessere trattati come tutti i pazienti con segni clinici di SC, somministrando inizialmente diuretici per rimuovere, se presente, un sovracarico di volume. Possono inoltre trovare beneficio dalla somministrazione ev di vasodilatatori, come la nitroglicerina, in dosi appropiate e con un monitoraggio adeguato per migliorare la GC e ridurre le pressioni di riempimento. I farmaci indicati per lo SC,come gli ACEI o i sartani e i betabloccanti, dovrebbero essere iniziati appena il paziente e’ clinicamente stabile ed e’ in grado di tollerarli.
  • 58.
    Terapia Fulminante: SC, decessoo guarigione in 2 settimane Subacuta: Cronica attiva (2-3 aa.) Trattamento: immunosoppressivo (es. azatioprina) steroidi FANS (controindicati in fase acuta) Gamma globuline alte dosi (bambini) Terapia di supporto: diuretici, ACEI, antiaritmici, betabloccanti, vasodilatatori, inotropi/digossina Supporto emodinamico: contropulsatore aortico;apparecchi di assistenza ventricolare; ICD.