Malattie del pericardio
Prof. R. Leo, FACP
Medicina Interna, 14.10.2016
ANATOMIA
Il pericardio è un sacco
fibroso che avvolge il
cuore,
l’origine dei grossi vasi e
lo sbocco delle vv.
afferenti.
E’ formato da 2 foglietti:
p. fibroso o parietale, a
doppio strato
p. viscerale, a singolo
strato mesoteliale
Anatomia del pericardio
• Due maggiori componenti
– sierosa (pericardio viscerale)
strato di cellule mesoteliali
facilita lo scambio di fluidi e di ioni
– fibrosa (pericardio parietale)
tessuto fibrocollageno
• Fluido pericardico
– 15-50 ml di plasma chiaro ultrafiltrato
• Connessioni legamentose
– Allo sterno, alla colonna vertebrale, al
diaframma
Fisiologia del pericardio
• Non necessario per la vita
• Funzioni fisiologiche
– Limita la dilatazione cardiaca
– Mantiene la normale compliance ventricolare
– Riduce l’attrito durante i movimenti cardiaci
– Barriera contro l’infiammazione
Fisiopatologia del pericardio
• Il pericardio è un “sacco distendibile” che
influenza modestamente la gittata cardiaca per
cambiamenti “fisiologici”“fisiologici” del volume
intrapericardico e della pressione transmurale.
• L’influenza diventa sostanziale solo per
importanti variazioni di volume e pressione
pericardica, in particolar modo per bruschibruschi e
consistenticonsistenti sovraccarichi di volume.
Curva pressione/volume del
pericardio
In caso di bruschi e consistenti sovraccarichi di volume la curva
pressione-volume raggiunge la porzione esponenziale: la pressione
pericardica aumenta, il pericardio limita fortemente una successiva
dilatazione cardiaca e si contrappone al riempimento diastolico.
0
5
10
15
20
25
100
150
200
250
270
275
350
400
450
500
550
570
580
600
Volume (ml)
Pressione(mmHg)
normale
sovraccarico
di volume
Definizione di pericardite acuta
Sindrome dovuta all’infiammazione
dei foglietti pericardici; è
caratterizzata da:
• Dolore toracico posturale
• Sfregamenti pericardici
• Alterazioni ECGgrafiche
Epidemiologia
• Mancano dati certi di prevalenza ed
incidenza delle pericarditi nella
popolazione generale
• Diagnosi in 1/1000 ospedalizzazioni
• Incidenza 2-6% su casistiche
autoptiche
Classificazione
Eziologica
Patogenetica
Istopatologica
Classificazione eziologica
1. Idiopatica
2. Infettiva (virali, micobatteriche, batteriche, fungine, protozoi,
rickettsie, parassiti, anaerobi, altri)
3. Infarto miocardico acuto (S. di Dressler)
4. Uremia (uremia non trattata, associata ad emodialisi)
5. Neoplasie (k polmonare e mammario, leucemia, LDH, linfomi)
6. Traumi (toracici, impianto PM, procedure diagnostiche
cardiologiche)
7. Malattie autoimmuni (RAA, LES, AR, Sclerodermia, connettivite
mista)
8. Farmaci (procainamide, INI, penicillina, doxorubicina, dantrolene)
9. Radiazioni
10. Aneurisma dissecante dell’aorta
11. Mixedema
12. Chilopericardio
Classificazione istopatogenetica
• Sierose (idiopatiche, virali, da patologie sistemiche)
• Fibrinose e sierofibrinose (post-
chirurgiche, post-infartuali, uremiche e da collagenopatia)
• Emorragiche (tubercolari, neoplastiche)
• Purulente (batteriche, micotiche)
• Caseose (tubercolari)
Patogenesi delle pericaridti
• Contiguità
– Polmoni, pleure, linfonodi mediastinici,
miocardio, aorta, esofago, fegato, ascessi
sottodiaframmatici
• Via ematogena
– Setticemie, tossine, tumori, alterazioni
metaboliche
• Via linfatica
• Traumi e radiazioni
Pericarditi: alterazioni
anatomiche
• L’infiammazione provoca un essudato ricco
di fibrina
• I normali foglietti pericardici trasparenti e
translucidi si opacano e gradualmente si
raggrinzano
• L’esito è costituito da diversi gradi di
fibrosi
Pericardite acuta: cause comuni
• Pazienti non ospedalizzati
– di solito idiopatica
– Probabilmente secondaria a virosi
– I virus Coxsackie A e B (elevato
cardiotrofismo) costituiscono la causa piu’
comune di pericardite e miocardite
– Altri virus: echovirus, adenovirus, morbillo,
varicella-zoster, influenza, EBV, CMV, HIV
Pericardite acuta: cause comuni
• Pazienti ospedalizzati
T = Trauma, TUMOR
U = Uremia
M = Myocardial infarction (acuto, post)
Medicinali (idralazina,
procainamide)
O = Other infections (batteriche, fungine,
TBC)
R = Rheumatoid (disordini autoimmuni) e
Radiazioni
Pericardite acuta: come fare la
diagnosi
• Anamnesi
Rapida comparsa di toracoalgia “posturale” ,
anteriore, pleuritica e sottosternale
• Esame obiettivo
All’ascoltazione presenza di due o tre rumori
aggiunti
• ECG
• Ecocardio
Sintomi e segni clinici
• Dolore toracico (infiammazione dei foglietti pericardici e spesso
della pleura, e/o distensione del sacco pericardico in caso di abbondante
versamento)
• Tachicardia
• Febbre
• Tosse
• Dispnea (correlata a necessità di respiro superficiale per evitare dolore
o a ripercussioni emodinamiche da abbondante versamento)
• Sfregamento pericardico (patognomonico; la sua assenza non
esclude la diagnosi)
• Perdita di peso (se malattia sistemica sottostante)
Toracoalgia della pericardite:
diagnosi differenziale dall’
l’angina
• Caratteristiche simili
– Retrosternale o precordiale con irradiazione al giugulo,
in regione interscapolare, alla spalla o al braccio
sinistro
• Caratteristiche specifiche (pericardite)
– Dolore insidioso, prolungato, diffuso, pleurico
↑ con la tosse, l’inspirazione ed le torsioni del dorso
– Si accentua con il decubito supino e si allevia con la
posizione seduta ed il piegamento in avanti
Confronto clinico tra il dolore nella
pericardite e nella cardiopatia ischemica
PericarditePericardite Cardiopatia ischemicaCardiopatia ischemica
• Localizzazione precordiale, margine retrosternale, braccio sinistro
sinistro del trapezio
• Tipo acuto, pleuritico, raramente costrittivo, gravativo
sordo o oppressivo
• Influenza dei ↑ dai movimenti toracici nessun effetto
movimenti toracici
• Durata ore o giorno angina fino a 20 min,
IMA da 30 min a ore
• Sforzo nessuna relazione angina stabile, AI, IMA
• Influenza della si allevia con inclinazione nessun effetto
postura in avanti e in ortostatismo
• Fenomeni neurovegetativi assenti nausea, vomito, sudorazione
Rumori cardiaci nella pericardite
• Gli sfregamenti pericardici sono
patognomonici di pericardite
• Sono rumori di vai e vieni
• Hanno classicamente tre componenti
– Rumore presistolico durante la contrazione
atriale
– Rumore sistolico ventricolare (eiezione)
– Rumore ventricolare diastolico
Strumenti diagnostici
•ECG
•Rx torace
•Indici bioumorali
•Ecocardiogramma
•Pericardiocentesi
ECG
• Il test diagnostico più semplice ed
utilizzato
• Le alterazioni sono dovute ad una corrente
di lesione per l’infiammazione miocardica
subepicardica o dell’atrio e possono
manifestarsi dopo ore o giorni dall’esordio
del dolore
ECG
• Sopraslivellamento ST nella maggioranza delle
derivazioni
• Sottoslivellamento PR
• Ritmo sinusale (di solito); occasionalmente FA
o FlA
• Le onde T diventano negative solo dopo che i
tratti ST ritornano all’isoelettrica
• I voltaggi del QRS diminuiscono se è presente
un versamento pericardico considerevole
• Alternanza elettrica occasionale (più frequente
nel tamponamento pericardico)
Condizioni di sopraslivellamento ST
oltre allo STEMI
Condizioni
varie
Ipertrofia ventricolare
sinistra
BBS
Pericardite acuta
Iperpotassiemia
ECG
• ST-sopra
– Riflette l’infiammazione
epicardica
• ST concavo verso l’alto
– ST nello STEMI è concavo
verso il basso
• Sottoslivellamento di PR
stadi iniziali
• Inversione onda T
– dopo che ST è tornato
all’isoelettrica
Pericardite
STEMI Ripolarizzazione precoce
Rx torace
• Scarso valore diagnostico
• Utile nel definire l’eziologia (pericardite
secondaria a TBC, neoplasia o polmonite)
• Se presente versamento abbondante (>
250 ml) caratteristico aspetto dell’ombra
cardiaca a “bottiglia d’acqua”.
Indici bioumorali
• Emocolture (per escludere batteriemie)
• Tampone faringeo e feci (se si sospetta
eziologia virale)
• Quantiferon
• Analisi istologica liquido pleurico, succo
gastrico, espettorato (se si sospetta infezione
specifica)
• TAS
• Crioglobuline (infezione da mycoplasma)
• Test per la mononucleosi e la toxoplasmosi
• Indici tiroidei (ipotiroidismo)
• Azotemia e creatinina (eziologia uremica)
• ANA, ENA, ANCA e fattore reumatoide (LES e
AR)
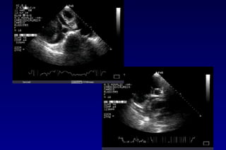
Ecocardiogramma
E’ possibile evidenziare un’iperrifrangenza
dei foglietti pericardici come segno di
pericardite pregressa o in atto
Tecnica estremamente accurata e rapida
nella valutazione di un versamento
pericardico
L’ecocardiografia è la metodica di
scelta
1. E’ in grado di evidenziare anche minime
quantità di fluido intrapericardico e
l’eventuale ispessimento dei foglietti
(sensibilità e specificità diagnostiche circa
90%)
2. consente una valutazione (semi)quantitativa
dei versamenti
3. può fornire informazioni circa l’eziologia
L’ecocardiografia è la metodica di
scelta
4. permette di monitorare il decorso delle
malattie pericardiche e la loro risposta alla
terapia medica
5. è determinante nella diagnosi di
tamponamento e di costrizione pericardica
6. costituisce una preziosa guida alla
pericardiocentesi
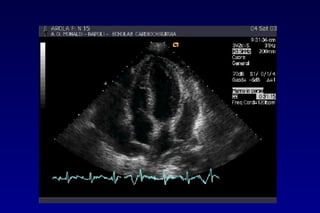
METODOLOGIA DI STUDIO DEL VERSAMENTO
PERICARDICO
• L’accumulo patologico
di fluido determina la
separazione sisto-
diastolica tra i due
foglietti con comparsa
di un’immagine a
doppio contorno che
racchiude uno spazio
relativamente privo di
echi
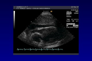
METODOLOGIA DI STUDIOMETODOLOGIA DI STUDIO
Il fluido tende a
raccogliersi
inizialmente
dietro la parete
posteriore del VSx
Man mano che
aumenta
la quantità del
versamento il foglietto
parietale diventa
immobile
METODOLOGIA DI STUDIO
L’accumulo di quantità
maggiori di liquido
determina l’estensione
dello spazio eco-privo
lungo il bordo laterale
del cuore e
anteriormente
fino a circondare
completamente le
cavità cardiache
METODOLOGIA DI STUDIO
Uno studio completo del pericardio richiede diversi
approcci: parasternale asse lungo e asse corto,
apicale, sottocostale.
METODOLOGIA DI STUDIO
Uno studio completo del pericardio richiede
diversi approcci: parasternale asse lungo e
asse corto, apicale, sottocostale.
METODOLOGIA DI STUDIO
Uno studio completo del pericardio richiede diversi
approcci: parasternale asse lungo e asse corto,
apicale, sottocostale.
METODOLOGIA DI STUDIO VALUTAZIONE
SEMIQUANTITATIVA
• Lo spazio eco-privo solo sistolico tra i due foglietti
NON è considerato patologico
• Separazione sisto-diastolica: VP lieve, corrispondente
a 15-35cc.; se il versamento è circonferenziale: circa
300 cc.
• Se spazio eco-privo diastolico posteriore >10 mm: VP
> 500 cc.
• Se spazio eco-privo diast. post. >20mm: VP >700cc
 swinging heart (pseudo PM, movim. paradosso
siv)
>2cm
1.5 cm
<1cm
Versamento di lieve entità
(15-35 cc  300 cc)
Versamento di entità
Moderata (300-700 cc)
Versamento di
entità severa
(>700 cc)
Spessore max del versamento in diastole
METODOLOGIA DI STUDIOMETODOLOGIA DI STUDIO PITFALLSPITFALLS
METODOLOGIA DI STUDIO DELMETODOLOGIA DI STUDIO DEL
VERSAMENTO PERICARDICO:VERSAMENTO PERICARDICO: PITFALLSPITFALLS
METODOLOGIA DI STUDIO DELMETODOLOGIA DI STUDIO DEL
VERSAMENTO PERICARDICO:VERSAMENTO PERICARDICO: PITFALLSPITFALLS
METODOLOGIA DI STUDIO DELMETODOLOGIA DI STUDIO DEL
VERSAMENTO PERICARDICO:VERSAMENTO PERICARDICO: PITFALLSPITFALLS
Linfoma mediastinico
Valutazione quantitativa? CT?
Valutazione quantitativa?
ETE?
Utile nello studio di versamenti pericardici saccati.
VALUTAZIONE QUANTITATIVA?
RM?
Basale Dopo terapia
Basale Dopo terapia
Black blood
T2
Spin echo
Cine
L.E.
Complicanze
• Recidiva
• Miocarditi
• Tamponamento
• Pericardite costrittiva
Versamento pericardico
Si distinguono due forme:
• Senza compressione cardiaca
• Con compressione cardiaca
L’aumento della pressione intrapericardica dipende
da:
1. Volume assoluto del versamento
2. Velocità di formazione del versamento
3. Caratteristiche fisiche del versamento
Tamponamento cardiaco
Ecocardiografia nel versamento
pericardico
• Identifica il motivo della compressione
pericardica.
• Valuta la gravità della compressione e
gli effetti emodinamici.
• Utile nella diagnosi differenziale con
versamenti di altro tipo.
• Utile nel valutare la terapia.
Segni ecocardiografici di
tamponamento
o Collasso diastolico del ventricolo destro
o Collasso telediastolico dell’atrio destro
o Aspetto ondeggiante del cuore
all’interno del versamento pericardico
(swinging heart)
o Vena cava inferiore dilatata e con
ridotte escursioni respiratorie (<50%
del diametro in inspirazione
Terapia del tamponamento
oPericardiocentesi ecoguidata
oDrenaggio chirurgico
oPericardiectomia chirurgica parziale o
completa
Ecocardiografia nella
pericardiocentesi
o Localizza la sede migliore per la puntura
(profondità del versamento >1 cm)
o Conferma il posizionamento dell’ago nello
spazio pericardico attraverso la
visualizzazione del contrasto
o Permette la valutazione dei risultati della
procedura terapeutica
E' bene effettuare la manovra in maniera ecoguidata
Tecnica:
• Si disinfetta la cute e si effettua un ponfo di anestesia sotto
l'appendice xifoidea, reperita con l'indice della mano sinistra.
• Si punge dirigendo l'ago a 45° sulla linea mediana, proprio
sotto l'estremità caudale o leggermente a sinistra
dell'appendice xifoidea dello sterno.
• Si procede lentamente, ma decisamente in aspirazione,
rasentando la faccia posteriore dello sterno, dirigendosi verso
l'alto puntando la clavicola di sinistra nel punto di mezzo, fino
a ottenere un reflusso franco del versamento.
• Il prelievo di pochi cc decomprime il tamponamento e
migliora l'emodinamica
Pericardiocentesi
PERICARDIOCENTESI
La pericardiocentesi è eminentemente una procedura terapeutica,
in quanto il potenziale diagnostico fornito dall’analisi del liquido
raramente aggiunge dati significativi all’identificazione eziologica
e ancor meno alla terapia.
13 Comunque, visto il minimo impatto economico e organizzativo,
è opportuno, almeno alla prima procedura in un paziente con
eziologia ignota, inviare campioni per l’analisi batteriologica
(in particolare ricerca del BK), biochimica e citologica.
Indicazioni a pericardiocentesi
E’ la procedura in grado di salvare la vita a
una persona con tamponamento cardiaco
In assenza di compromissione emodinamica la
pericardiocentesi raramente è indicata per indagare le cause
del versamento
ESC Guidelines Eur Heart J. 2004 Apr;25(7):587-610
Se il liquido aspirato è emorragico, è consigliabile
iniettare pochi millilitri di soluzione fisiologica agitata
sotto controllo ecocardiografico: se si evidenziano
microbolle nel versamento pericardico si ha la certezza
che l’ago è in sacco pericardico
E’ anche possibile che le microbolle si evidenzino in una
camera cardiaca (in prevalenza il ventricolo dx)
definendo una situazione di possibile complicanza da
procedura
In tal caso sarà possibile ritirare l’ago e, una volta in
pericardio, lasciare solo il cateterino per aspirare il
versamento’
Terapia del tamponamento
oPericardiocentesi ecoguidata
oDrenaggio chirurgico
oPericardiectomia chirurgica parziale o
completa
Terapia del tamponamento
o Necessario in caso di emopericardio, specie
se post traumatico o iatrogeno
o Necessario quando non c’è possibilità di
eseguire una pericardiocentesi (assenza di
spazio di sicurezza, versamento saccato, etc.)
Terapia del tamponamento
o Solitamente riservata a versamenti
pericardici recidivanti
Rischi e complicanze della
pericardiocentesi
• Complicanze mortali < 5%
• Emopericardio acuto
• Aritmie
• Gravi crisi vagali
Conclusioni
o La pericardiocentesi è in classe I solo in caso di
tamponamento
o Per la pericardiocentesi è necessario lo spazio di
sicurezza
o In caso di emopericardio no pericardiocentesino pericardiocentesi
o La pericardiocentesi è una procedura cardiologica
Tamponamento cardiaco
• Aumento della pressione intrapericardica tale
da limitare il riempimento diastolico
ventricolare e determinare ipotensione e
ridotta perfusione d’organo
• Se il versamento pericardico supera il volume
di riserva pericardica la pressione pericardica
salirà in modo notevole determinando una
caduta quasi a zero della pressione
transmurale del VD
• Il tamponamento cardiaco può non
evidenziarsi in caso di ipovolemia e
determinare una condizione emodinamica di
tamponamento a bassa pressione, senza segni
di ipertensione venosa
Cause di tamponamento cardiaco
Neoplasie maligne 32-58%
Pericardite idiopatica 14%
Uremia 9-14%
IMA 9%
Perforazione cardiaca iatrogena 7,5%
Infezioni batteriche 5-7%
Tbc 1-5%
Radiazioni 4%
Mixedema 4%
Aneurisma dissecante dell’aorta 4%
Reperti obiettivi di
tamponamento cardiaco
• Pressione venosa sistemica elevata (100%)
• Polso paradosso (98%)
• Frequenza respiratoria > 20/min (80%)
• Frequenza cardiaca ≥ 100 bpm (77%)
• Pressione arteriosa sistolica < 100 mmHg (64%)
• Toni cardiaci attenuati (34%)
• Rumori di sfregamento pericardico (29%)
• Rapido calo della pressione arteriosa (25%)
Polso paradosso
• Caduta della PA > 10 mmHg o totale
scomparsa del polso durante l’inspirazione
• E’ un’esagerazione della lieve normale
riduzione inspiratoria della pressione
transmurale del VS (diminuisce la pressione
intratoracica e pericardica; aumenta il
riempimento atriale dx e del VD e la gittata
sistolica dx, il SIV si sposta a sinistra; poiché il
cuore opera in un volume finito, il riempimento
del VS e la sua gittata sistolica ↓)
• Si osserva anche in: BPCO, EP, shock
emorragico o settico, pericardite costrittiva,
cardiomiopatia restrittiva
Pulsus Peridoxus
an exaggerated drop in SBP with inspiration (>10mmHg)
Pericardite costrittiva
Si verifica quando una densa
fibrosi, calcificazione e
adesione dei foglietti
pericardici creano un guscio
rigido attorno al cuore
limitandone il riempimento
Eziologia della pericardite
costrittiva
• Idiopatica
• Post-attinica
• Post-cardiochirurgica
• Post-pericardite non specifica
• Post-infettiva
• Neoplastica
• Uremica
• Post-traumatica
Sintomi e segni della pericardite
costrittiva
Sintomi
-astenia
-ortopnea
-tosse
-dispnea da sforzo
-disturbi addominali
-distensione addominale
Segni
-edema
-ascite
-epatomegalia
-versamento pleurico
-polso paradosso (1/3)
-segno di Kussmaul
-pressione venosa elevata
-Knock pericardico
-Retrazione sistolica itto
della punta
Knock pericardico: tono aggiunto
protodiastolico lungo la marginosternale
di sinistra, corrisponde alla brusca
cessazione del riempimento rapido
Segno di Kussmaul: turgore delle vene
del collo in inspirazione per aumento
della pressione atriale destra (presente
anche nell’IMA dx, nella stenosi della
tricuspide, nelle cardiomiopatie
restrittive; non nel tamponamento
cardiaco)
VERSAMENTO PERICARDICO
CRONICO IDIOPATICO
• NON SI RISCONTRA CAUSA DEL VERSAMENTO
• NO PROGRESSIONE DI MALATTIA DURANTE
PERIODO DI OSSERAVAZIONE
• ALL’ECO: VERSAMENTO ANTERIORE
+VERSAMENTO POSTERIORE>20 MM A FINE
DIASTOLE
• PERSISTENZA PER PIU’ DI TRE MESI
RACCOMANDAZIONI PER VERSAMENTO
PERICARDICO CRONICO
• PERICARDIOCENTESI, NON
OSSERVAZIONE
• PERICARDIECTOMIA SOLO SE
RECIDIVA DI VERSAMENTO DOPO
PERICARDIOCENTESI
Pericardite acuta recidivante
Definizione: attacchi ripetuti di pericardite in
pazienti senza evidenza di malattie sistemiche
Devono essere soddisfatti i seguenti criteri:
1. La pericardite deve essere idiopatica
2. Deve essere documentata dalla presenza di
versamento pericardico, sfregamenti
pericardici, tipiche alterazioni ECGrafiche
Patogenesi
Uno stimolo iniziale potrebbe determinare una
flogosi che si automantiene con meccanismi
immunologici:
1. E’ stata riscontrata un’alta prevalenza di
anticorpi antimiocardio nelle recidive di
pericardite idiopatica o postinfartuale
2. E’ stato suggerito un meccanismo da citolisi da
linfociti T (NK)
3. E’ stata ipotizzata un’infezione virale
persistente da enterovirus
Decorso
• La frequenza delle recidive è del 15-32%.
• Il problema delle recidive è di qualità della
vita per il dolore toracico che può essere
invalidante
• Il decorso è benigno e nel 40% dei casi si
ha una remissione spontanea: raramente è
stata segnalata l’evoluzione in costrizione
o tamponamento cardiaco
Terapia pericardite
Scopo della terapia:
1. Alleviare i sintomi
2. Ridurre o guarire l’infiammazione
3. Rimuovere o curare la causa patogena
responsabile, se riconoscibile.
4. Intervenire sulle complicanze
Terapia pericardite
Nella pericardite acuta idiopatica e virale la terapia
è basata sull’uso di:
 FANS (eccellente profilo di sicurezza)
- Ibuprofene (600-800 mg, per 3 volte al giorno)
- Indometacina (25-50 mg, per 3 volte al giorno)
- ASA (800 mg per 3 volte al giorno)
n.b. gastroprotezione con PPI
FANS
- La terapia verra’ interrotta se il dolore
scompare dopo 2 settimane
- Molti pazienti rispondono positivamente
gia’ dopo la prima o la seconda
somministrazione di FANS
- La maggior parte presentano un recupero
totale e non necessita di ulteriori terapie
Ricovero ospedaliero
• I pz. che presentano solo versamenti di
grado lieve e che rispondono bene ai FANS
non vanno ricoverati
• Il ricovero va riservato a quelli che non
rispondono alla terapia, che presentano
versamenti di maggiore entita’ e per i
quali si ipotizza un’eziologia diversa da
quella idiopatica/virale
Colchicina
• Riservata ai pazienti che rispondono
lentamente o inadeguatamente ai FANS
• Dose carico 2-3 mg
• Dose giornaliera 1 mg per 10-14 giorni
• ADR nausea e diarrea > riduzione o
sospensione nel 15%
Steroidi
• Evitare gli steroidi > favoriscono le
recidive
• Se nel trattamento di un episodio iniziale
e’ impossibile farne a meno…
Prednisone: 40-60 mg/die subito a scalare
(tapering) con graduale riduzione del
dosaggio
Terapia recidive pericardite
La terapia delle recidive è difficile, perché spesso
inefficace e frustrante
Il 15-30% dei paz. che risponde positivamente
sviluppa una recidiva
Sara’ opportuno rivalutare le cause, specie disturbi
autoimmuni
Il tasso di complicanze, inclusa la pericardite
costrittiva è piuttosto basso
Pericardite cronica recidivante
• Successivo ciclo di FANS e colchicina
(anche in profilassi ed in associazione)
• La terapia cronica con steroidi deve essere
per quanto possibile evitata
• La steroido-dipendenza può richiedere una
riduzione graduale anche di mesi
• La pericardiectomia per l’alleviamento dei
sintomi spesso non è efficace
Sindrome di Dressler
(pleuropericardite)
• Descritta da Dressler nel 1956
• Febbre, pericardite, pleurite
(tipicamente febbricola e sfregamenti
pericardici)
• Avviene da pochi giorni sino ad alcune
settimane dopo uno STEMI o un intervento di
cardiochirurgia
• Incidenza del 6-25%
• Trattamento: alte dosi di aspirina
Pericardite batterica
• Condizione clinica rara in era antibiotica (rapido
decremento di incidenza negli ultimi 50 aa.)
• Di solito secondaria a infezioni di “contiguità”
intratoraciche (polmoniti, empiemi, mediastiniti,
endocarditi, traumi, chirurgia) o
sottodiaframmatiche (ascessi)
• Di solito fatale senza un adeguato trattamento
• Diagnosi di solito misconosciuta
• Le caratteristiche cliniche possono essere anche
difformi da quelle classiche

Pericardite

  • 2.
    Malattie del pericardio Prof.R. Leo, FACP Medicina Interna, 14.10.2016
  • 3.
    ANATOMIA Il pericardio èun sacco fibroso che avvolge il cuore, l’origine dei grossi vasi e lo sbocco delle vv. afferenti. E’ formato da 2 foglietti: p. fibroso o parietale, a doppio strato p. viscerale, a singolo strato mesoteliale
  • 4.
    Anatomia del pericardio •Due maggiori componenti – sierosa (pericardio viscerale) strato di cellule mesoteliali facilita lo scambio di fluidi e di ioni – fibrosa (pericardio parietale) tessuto fibrocollageno • Fluido pericardico – 15-50 ml di plasma chiaro ultrafiltrato • Connessioni legamentose – Allo sterno, alla colonna vertebrale, al diaframma
  • 5.
    Fisiologia del pericardio •Non necessario per la vita • Funzioni fisiologiche – Limita la dilatazione cardiaca – Mantiene la normale compliance ventricolare – Riduce l’attrito durante i movimenti cardiaci – Barriera contro l’infiammazione
  • 6.
    Fisiopatologia del pericardio •Il pericardio è un “sacco distendibile” che influenza modestamente la gittata cardiaca per cambiamenti “fisiologici”“fisiologici” del volume intrapericardico e della pressione transmurale. • L’influenza diventa sostanziale solo per importanti variazioni di volume e pressione pericardica, in particolar modo per bruschibruschi e consistenticonsistenti sovraccarichi di volume.
  • 7.
    Curva pressione/volume del pericardio Incaso di bruschi e consistenti sovraccarichi di volume la curva pressione-volume raggiunge la porzione esponenziale: la pressione pericardica aumenta, il pericardio limita fortemente una successiva dilatazione cardiaca e si contrappone al riempimento diastolico. 0 5 10 15 20 25 100 150 200 250 270 275 350 400 450 500 550 570 580 600 Volume (ml) Pressione(mmHg) normale sovraccarico di volume
  • 8.
    Definizione di pericarditeacuta Sindrome dovuta all’infiammazione dei foglietti pericardici; è caratterizzata da: • Dolore toracico posturale • Sfregamenti pericardici • Alterazioni ECGgrafiche
  • 9.
    Epidemiologia • Mancano daticerti di prevalenza ed incidenza delle pericarditi nella popolazione generale • Diagnosi in 1/1000 ospedalizzazioni • Incidenza 2-6% su casistiche autoptiche
  • 10.
  • 11.
    Classificazione eziologica 1. Idiopatica 2.Infettiva (virali, micobatteriche, batteriche, fungine, protozoi, rickettsie, parassiti, anaerobi, altri) 3. Infarto miocardico acuto (S. di Dressler) 4. Uremia (uremia non trattata, associata ad emodialisi) 5. Neoplasie (k polmonare e mammario, leucemia, LDH, linfomi) 6. Traumi (toracici, impianto PM, procedure diagnostiche cardiologiche) 7. Malattie autoimmuni (RAA, LES, AR, Sclerodermia, connettivite mista) 8. Farmaci (procainamide, INI, penicillina, doxorubicina, dantrolene) 9. Radiazioni 10. Aneurisma dissecante dell’aorta 11. Mixedema 12. Chilopericardio
  • 12.
    Classificazione istopatogenetica • Sierose(idiopatiche, virali, da patologie sistemiche) • Fibrinose e sierofibrinose (post- chirurgiche, post-infartuali, uremiche e da collagenopatia) • Emorragiche (tubercolari, neoplastiche) • Purulente (batteriche, micotiche) • Caseose (tubercolari)
  • 13.
    Patogenesi delle pericaridti •Contiguità – Polmoni, pleure, linfonodi mediastinici, miocardio, aorta, esofago, fegato, ascessi sottodiaframmatici • Via ematogena – Setticemie, tossine, tumori, alterazioni metaboliche • Via linfatica • Traumi e radiazioni
  • 14.
    Pericarditi: alterazioni anatomiche • L’infiammazioneprovoca un essudato ricco di fibrina • I normali foglietti pericardici trasparenti e translucidi si opacano e gradualmente si raggrinzano • L’esito è costituito da diversi gradi di fibrosi
  • 15.
    Pericardite acuta: causecomuni • Pazienti non ospedalizzati – di solito idiopatica – Probabilmente secondaria a virosi – I virus Coxsackie A e B (elevato cardiotrofismo) costituiscono la causa piu’ comune di pericardite e miocardite – Altri virus: echovirus, adenovirus, morbillo, varicella-zoster, influenza, EBV, CMV, HIV
  • 16.
    Pericardite acuta: causecomuni • Pazienti ospedalizzati T = Trauma, TUMOR U = Uremia M = Myocardial infarction (acuto, post) Medicinali (idralazina, procainamide) O = Other infections (batteriche, fungine, TBC) R = Rheumatoid (disordini autoimmuni) e Radiazioni
  • 17.
    Pericardite acuta: comefare la diagnosi • Anamnesi Rapida comparsa di toracoalgia “posturale” , anteriore, pleuritica e sottosternale • Esame obiettivo All’ascoltazione presenza di due o tre rumori aggiunti • ECG • Ecocardio
  • 18.
    Sintomi e segniclinici • Dolore toracico (infiammazione dei foglietti pericardici e spesso della pleura, e/o distensione del sacco pericardico in caso di abbondante versamento) • Tachicardia • Febbre • Tosse • Dispnea (correlata a necessità di respiro superficiale per evitare dolore o a ripercussioni emodinamiche da abbondante versamento) • Sfregamento pericardico (patognomonico; la sua assenza non esclude la diagnosi) • Perdita di peso (se malattia sistemica sottostante)
  • 19.
    Toracoalgia della pericardite: diagnosidifferenziale dall’ l’angina • Caratteristiche simili – Retrosternale o precordiale con irradiazione al giugulo, in regione interscapolare, alla spalla o al braccio sinistro • Caratteristiche specifiche (pericardite) – Dolore insidioso, prolungato, diffuso, pleurico ↑ con la tosse, l’inspirazione ed le torsioni del dorso – Si accentua con il decubito supino e si allevia con la posizione seduta ed il piegamento in avanti
  • 20.
    Confronto clinico trail dolore nella pericardite e nella cardiopatia ischemica PericarditePericardite Cardiopatia ischemicaCardiopatia ischemica • Localizzazione precordiale, margine retrosternale, braccio sinistro sinistro del trapezio • Tipo acuto, pleuritico, raramente costrittivo, gravativo sordo o oppressivo • Influenza dei ↑ dai movimenti toracici nessun effetto movimenti toracici • Durata ore o giorno angina fino a 20 min, IMA da 30 min a ore • Sforzo nessuna relazione angina stabile, AI, IMA • Influenza della si allevia con inclinazione nessun effetto postura in avanti e in ortostatismo • Fenomeni neurovegetativi assenti nausea, vomito, sudorazione
  • 21.
    Rumori cardiaci nellapericardite • Gli sfregamenti pericardici sono patognomonici di pericardite • Sono rumori di vai e vieni • Hanno classicamente tre componenti – Rumore presistolico durante la contrazione atriale – Rumore sistolico ventricolare (eiezione) – Rumore ventricolare diastolico
  • 22.
    Strumenti diagnostici •ECG •Rx torace •Indicibioumorali •Ecocardiogramma •Pericardiocentesi
  • 23.
    ECG • Il testdiagnostico più semplice ed utilizzato • Le alterazioni sono dovute ad una corrente di lesione per l’infiammazione miocardica subepicardica o dell’atrio e possono manifestarsi dopo ore o giorni dall’esordio del dolore
  • 24.
    ECG • Sopraslivellamento STnella maggioranza delle derivazioni • Sottoslivellamento PR • Ritmo sinusale (di solito); occasionalmente FA o FlA • Le onde T diventano negative solo dopo che i tratti ST ritornano all’isoelettrica • I voltaggi del QRS diminuiscono se è presente un versamento pericardico considerevole • Alternanza elettrica occasionale (più frequente nel tamponamento pericardico)
  • 25.
    Condizioni di sopraslivellamentoST oltre allo STEMI Condizioni varie Ipertrofia ventricolare sinistra BBS Pericardite acuta Iperpotassiemia
  • 26.
    ECG • ST-sopra – Riflettel’infiammazione epicardica • ST concavo verso l’alto – ST nello STEMI è concavo verso il basso • Sottoslivellamento di PR stadi iniziali • Inversione onda T – dopo che ST è tornato all’isoelettrica
  • 27.
  • 28.
    Rx torace • Scarsovalore diagnostico • Utile nel definire l’eziologia (pericardite secondaria a TBC, neoplasia o polmonite) • Se presente versamento abbondante (> 250 ml) caratteristico aspetto dell’ombra cardiaca a “bottiglia d’acqua”.
  • 29.
    Indici bioumorali • Emocolture(per escludere batteriemie) • Tampone faringeo e feci (se si sospetta eziologia virale) • Quantiferon • Analisi istologica liquido pleurico, succo gastrico, espettorato (se si sospetta infezione specifica) • TAS • Crioglobuline (infezione da mycoplasma) • Test per la mononucleosi e la toxoplasmosi • Indici tiroidei (ipotiroidismo) • Azotemia e creatinina (eziologia uremica) • ANA, ENA, ANCA e fattore reumatoide (LES e AR)
  • 30.
    Ecocardiogramma E’ possibile evidenziareun’iperrifrangenza dei foglietti pericardici come segno di pericardite pregressa o in atto Tecnica estremamente accurata e rapida nella valutazione di un versamento pericardico
  • 31.
    L’ecocardiografia è lametodica di scelta 1. E’ in grado di evidenziare anche minime quantità di fluido intrapericardico e l’eventuale ispessimento dei foglietti (sensibilità e specificità diagnostiche circa 90%) 2. consente una valutazione (semi)quantitativa dei versamenti 3. può fornire informazioni circa l’eziologia
  • 32.
    L’ecocardiografia è lametodica di scelta 4. permette di monitorare il decorso delle malattie pericardiche e la loro risposta alla terapia medica 5. è determinante nella diagnosi di tamponamento e di costrizione pericardica 6. costituisce una preziosa guida alla pericardiocentesi
  • 33.
    METODOLOGIA DI STUDIODEL VERSAMENTO PERICARDICO • L’accumulo patologico di fluido determina la separazione sisto- diastolica tra i due foglietti con comparsa di un’immagine a doppio contorno che racchiude uno spazio relativamente privo di echi
  • 34.
    METODOLOGIA DI STUDIOMETODOLOGIADI STUDIO Il fluido tende a raccogliersi inizialmente dietro la parete posteriore del VSx Man mano che aumenta la quantità del versamento il foglietto parietale diventa immobile
  • 35.
    METODOLOGIA DI STUDIO L’accumulodi quantità maggiori di liquido determina l’estensione dello spazio eco-privo lungo il bordo laterale del cuore e anteriormente fino a circondare completamente le cavità cardiache
  • 36.
    METODOLOGIA DI STUDIO Unostudio completo del pericardio richiede diversi approcci: parasternale asse lungo e asse corto, apicale, sottocostale.
  • 37.
    METODOLOGIA DI STUDIO Unostudio completo del pericardio richiede diversi approcci: parasternale asse lungo e asse corto, apicale, sottocostale.
  • 38.
    METODOLOGIA DI STUDIO Unostudio completo del pericardio richiede diversi approcci: parasternale asse lungo e asse corto, apicale, sottocostale.
  • 39.
    METODOLOGIA DI STUDIOVALUTAZIONE SEMIQUANTITATIVA • Lo spazio eco-privo solo sistolico tra i due foglietti NON è considerato patologico • Separazione sisto-diastolica: VP lieve, corrispondente a 15-35cc.; se il versamento è circonferenziale: circa 300 cc. • Se spazio eco-privo diastolico posteriore >10 mm: VP > 500 cc. • Se spazio eco-privo diast. post. >20mm: VP >700cc  swinging heart (pseudo PM, movim. paradosso siv)
  • 40.
    >2cm 1.5 cm <1cm Versamento dilieve entità (15-35 cc  300 cc) Versamento di entità Moderata (300-700 cc) Versamento di entità severa (>700 cc) Spessore max del versamento in diastole
  • 41.
    METODOLOGIA DI STUDIOMETODOLOGIADI STUDIO PITFALLSPITFALLS
  • 42.
    METODOLOGIA DI STUDIODELMETODOLOGIA DI STUDIO DEL VERSAMENTO PERICARDICO:VERSAMENTO PERICARDICO: PITFALLSPITFALLS
  • 43.
    METODOLOGIA DI STUDIODELMETODOLOGIA DI STUDIO DEL VERSAMENTO PERICARDICO:VERSAMENTO PERICARDICO: PITFALLSPITFALLS
  • 44.
    METODOLOGIA DI STUDIODELMETODOLOGIA DI STUDIO DEL VERSAMENTO PERICARDICO:VERSAMENTO PERICARDICO: PITFALLSPITFALLS Linfoma mediastinico
  • 45.
  • 46.
    Valutazione quantitativa? ETE? Utile nellostudio di versamenti pericardici saccati.
  • 47.
    VALUTAZIONE QUANTITATIVA? RM? Basale Dopoterapia Basale Dopo terapia Black blood T2 Spin echo Cine L.E.
  • 48.
    Complicanze • Recidiva • Miocarditi •Tamponamento • Pericardite costrittiva
  • 49.
    Versamento pericardico Si distinguonodue forme: • Senza compressione cardiaca • Con compressione cardiaca L’aumento della pressione intrapericardica dipende da: 1. Volume assoluto del versamento 2. Velocità di formazione del versamento 3. Caratteristiche fisiche del versamento
  • 51.
  • 52.
    Ecocardiografia nel versamento pericardico •Identifica il motivo della compressione pericardica. • Valuta la gravità della compressione e gli effetti emodinamici. • Utile nella diagnosi differenziale con versamenti di altro tipo. • Utile nel valutare la terapia.
  • 54.
    Segni ecocardiografici di tamponamento oCollasso diastolico del ventricolo destro o Collasso telediastolico dell’atrio destro o Aspetto ondeggiante del cuore all’interno del versamento pericardico (swinging heart) o Vena cava inferiore dilatata e con ridotte escursioni respiratorie (<50% del diametro in inspirazione
  • 59.
    Terapia del tamponamento oPericardiocentesiecoguidata oDrenaggio chirurgico oPericardiectomia chirurgica parziale o completa
  • 60.
    Ecocardiografia nella pericardiocentesi o Localizzala sede migliore per la puntura (profondità del versamento >1 cm) o Conferma il posizionamento dell’ago nello spazio pericardico attraverso la visualizzazione del contrasto o Permette la valutazione dei risultati della procedura terapeutica
  • 61.
    E' bene effettuarela manovra in maniera ecoguidata Tecnica: • Si disinfetta la cute e si effettua un ponfo di anestesia sotto l'appendice xifoidea, reperita con l'indice della mano sinistra. • Si punge dirigendo l'ago a 45° sulla linea mediana, proprio sotto l'estremità caudale o leggermente a sinistra dell'appendice xifoidea dello sterno. • Si procede lentamente, ma decisamente in aspirazione, rasentando la faccia posteriore dello sterno, dirigendosi verso l'alto puntando la clavicola di sinistra nel punto di mezzo, fino a ottenere un reflusso franco del versamento. • Il prelievo di pochi cc decomprime il tamponamento e migliora l'emodinamica Pericardiocentesi
  • 63.
    PERICARDIOCENTESI La pericardiocentesi èeminentemente una procedura terapeutica, in quanto il potenziale diagnostico fornito dall’analisi del liquido raramente aggiunge dati significativi all’identificazione eziologica e ancor meno alla terapia. 13 Comunque, visto il minimo impatto economico e organizzativo, è opportuno, almeno alla prima procedura in un paziente con eziologia ignota, inviare campioni per l’analisi batteriologica (in particolare ricerca del BK), biochimica e citologica.
  • 64.
    Indicazioni a pericardiocentesi E’la procedura in grado di salvare la vita a una persona con tamponamento cardiaco In assenza di compromissione emodinamica la pericardiocentesi raramente è indicata per indagare le cause del versamento
  • 67.
    ESC Guidelines EurHeart J. 2004 Apr;25(7):587-610
  • 68.
    Se il liquidoaspirato è emorragico, è consigliabile iniettare pochi millilitri di soluzione fisiologica agitata sotto controllo ecocardiografico: se si evidenziano microbolle nel versamento pericardico si ha la certezza che l’ago è in sacco pericardico E’ anche possibile che le microbolle si evidenzino in una camera cardiaca (in prevalenza il ventricolo dx) definendo una situazione di possibile complicanza da procedura In tal caso sarà possibile ritirare l’ago e, una volta in pericardio, lasciare solo il cateterino per aspirare il versamento’
  • 71.
    Terapia del tamponamento oPericardiocentesiecoguidata oDrenaggio chirurgico oPericardiectomia chirurgica parziale o completa
  • 73.
    Terapia del tamponamento oNecessario in caso di emopericardio, specie se post traumatico o iatrogeno o Necessario quando non c’è possibilità di eseguire una pericardiocentesi (assenza di spazio di sicurezza, versamento saccato, etc.)
  • 75.
    Terapia del tamponamento oSolitamente riservata a versamenti pericardici recidivanti
  • 76.
    Rischi e complicanzedella pericardiocentesi • Complicanze mortali < 5% • Emopericardio acuto • Aritmie • Gravi crisi vagali
  • 77.
    Conclusioni o La pericardiocentesiè in classe I solo in caso di tamponamento o Per la pericardiocentesi è necessario lo spazio di sicurezza o In caso di emopericardio no pericardiocentesino pericardiocentesi o La pericardiocentesi è una procedura cardiologica
  • 78.
    Tamponamento cardiaco • Aumentodella pressione intrapericardica tale da limitare il riempimento diastolico ventricolare e determinare ipotensione e ridotta perfusione d’organo • Se il versamento pericardico supera il volume di riserva pericardica la pressione pericardica salirà in modo notevole determinando una caduta quasi a zero della pressione transmurale del VD • Il tamponamento cardiaco può non evidenziarsi in caso di ipovolemia e determinare una condizione emodinamica di tamponamento a bassa pressione, senza segni di ipertensione venosa
  • 79.
    Cause di tamponamentocardiaco Neoplasie maligne 32-58% Pericardite idiopatica 14% Uremia 9-14% IMA 9% Perforazione cardiaca iatrogena 7,5% Infezioni batteriche 5-7% Tbc 1-5% Radiazioni 4% Mixedema 4% Aneurisma dissecante dell’aorta 4%
  • 80.
    Reperti obiettivi di tamponamentocardiaco • Pressione venosa sistemica elevata (100%) • Polso paradosso (98%) • Frequenza respiratoria > 20/min (80%) • Frequenza cardiaca ≥ 100 bpm (77%) • Pressione arteriosa sistolica < 100 mmHg (64%) • Toni cardiaci attenuati (34%) • Rumori di sfregamento pericardico (29%) • Rapido calo della pressione arteriosa (25%)
  • 81.
    Polso paradosso • Cadutadella PA > 10 mmHg o totale scomparsa del polso durante l’inspirazione • E’ un’esagerazione della lieve normale riduzione inspiratoria della pressione transmurale del VS (diminuisce la pressione intratoracica e pericardica; aumenta il riempimento atriale dx e del VD e la gittata sistolica dx, il SIV si sposta a sinistra; poiché il cuore opera in un volume finito, il riempimento del VS e la sua gittata sistolica ↓) • Si osserva anche in: BPCO, EP, shock emorragico o settico, pericardite costrittiva, cardiomiopatia restrittiva
  • 82.
    Pulsus Peridoxus an exaggerateddrop in SBP with inspiration (>10mmHg)
  • 83.
    Pericardite costrittiva Si verificaquando una densa fibrosi, calcificazione e adesione dei foglietti pericardici creano un guscio rigido attorno al cuore limitandone il riempimento
  • 84.
    Eziologia della pericardite costrittiva •Idiopatica • Post-attinica • Post-cardiochirurgica • Post-pericardite non specifica • Post-infettiva • Neoplastica • Uremica • Post-traumatica
  • 85.
    Sintomi e segnidella pericardite costrittiva Sintomi -astenia -ortopnea -tosse -dispnea da sforzo -disturbi addominali -distensione addominale Segni -edema -ascite -epatomegalia -versamento pleurico -polso paradosso (1/3) -segno di Kussmaul -pressione venosa elevata -Knock pericardico -Retrazione sistolica itto della punta
  • 86.
    Knock pericardico: tonoaggiunto protodiastolico lungo la marginosternale di sinistra, corrisponde alla brusca cessazione del riempimento rapido Segno di Kussmaul: turgore delle vene del collo in inspirazione per aumento della pressione atriale destra (presente anche nell’IMA dx, nella stenosi della tricuspide, nelle cardiomiopatie restrittive; non nel tamponamento cardiaco)
  • 87.
    VERSAMENTO PERICARDICO CRONICO IDIOPATICO •NON SI RISCONTRA CAUSA DEL VERSAMENTO • NO PROGRESSIONE DI MALATTIA DURANTE PERIODO DI OSSERAVAZIONE • ALL’ECO: VERSAMENTO ANTERIORE +VERSAMENTO POSTERIORE>20 MM A FINE DIASTOLE • PERSISTENZA PER PIU’ DI TRE MESI
  • 88.
    RACCOMANDAZIONI PER VERSAMENTO PERICARDICOCRONICO • PERICARDIOCENTESI, NON OSSERVAZIONE • PERICARDIECTOMIA SOLO SE RECIDIVA DI VERSAMENTO DOPO PERICARDIOCENTESI
  • 89.
    Pericardite acuta recidivante Definizione:attacchi ripetuti di pericardite in pazienti senza evidenza di malattie sistemiche Devono essere soddisfatti i seguenti criteri: 1. La pericardite deve essere idiopatica 2. Deve essere documentata dalla presenza di versamento pericardico, sfregamenti pericardici, tipiche alterazioni ECGrafiche
  • 90.
    Patogenesi Uno stimolo inizialepotrebbe determinare una flogosi che si automantiene con meccanismi immunologici: 1. E’ stata riscontrata un’alta prevalenza di anticorpi antimiocardio nelle recidive di pericardite idiopatica o postinfartuale 2. E’ stato suggerito un meccanismo da citolisi da linfociti T (NK) 3. E’ stata ipotizzata un’infezione virale persistente da enterovirus
  • 91.
    Decorso • La frequenzadelle recidive è del 15-32%. • Il problema delle recidive è di qualità della vita per il dolore toracico che può essere invalidante • Il decorso è benigno e nel 40% dei casi si ha una remissione spontanea: raramente è stata segnalata l’evoluzione in costrizione o tamponamento cardiaco
  • 92.
    Terapia pericardite Scopo dellaterapia: 1. Alleviare i sintomi 2. Ridurre o guarire l’infiammazione 3. Rimuovere o curare la causa patogena responsabile, se riconoscibile. 4. Intervenire sulle complicanze
  • 93.
    Terapia pericardite Nella pericarditeacuta idiopatica e virale la terapia è basata sull’uso di:  FANS (eccellente profilo di sicurezza) - Ibuprofene (600-800 mg, per 3 volte al giorno) - Indometacina (25-50 mg, per 3 volte al giorno) - ASA (800 mg per 3 volte al giorno) n.b. gastroprotezione con PPI
  • 94.
    FANS - La terapiaverra’ interrotta se il dolore scompare dopo 2 settimane - Molti pazienti rispondono positivamente gia’ dopo la prima o la seconda somministrazione di FANS - La maggior parte presentano un recupero totale e non necessita di ulteriori terapie
  • 95.
    Ricovero ospedaliero • Ipz. che presentano solo versamenti di grado lieve e che rispondono bene ai FANS non vanno ricoverati • Il ricovero va riservato a quelli che non rispondono alla terapia, che presentano versamenti di maggiore entita’ e per i quali si ipotizza un’eziologia diversa da quella idiopatica/virale
  • 96.
    Colchicina • Riservata aipazienti che rispondono lentamente o inadeguatamente ai FANS • Dose carico 2-3 mg • Dose giornaliera 1 mg per 10-14 giorni • ADR nausea e diarrea > riduzione o sospensione nel 15%
  • 97.
    Steroidi • Evitare glisteroidi > favoriscono le recidive • Se nel trattamento di un episodio iniziale e’ impossibile farne a meno… Prednisone: 40-60 mg/die subito a scalare (tapering) con graduale riduzione del dosaggio
  • 98.
    Terapia recidive pericardite Laterapia delle recidive è difficile, perché spesso inefficace e frustrante Il 15-30% dei paz. che risponde positivamente sviluppa una recidiva Sara’ opportuno rivalutare le cause, specie disturbi autoimmuni Il tasso di complicanze, inclusa la pericardite costrittiva è piuttosto basso
  • 99.
    Pericardite cronica recidivante •Successivo ciclo di FANS e colchicina (anche in profilassi ed in associazione) • La terapia cronica con steroidi deve essere per quanto possibile evitata • La steroido-dipendenza può richiedere una riduzione graduale anche di mesi • La pericardiectomia per l’alleviamento dei sintomi spesso non è efficace
  • 100.
    Sindrome di Dressler (pleuropericardite) •Descritta da Dressler nel 1956 • Febbre, pericardite, pleurite (tipicamente febbricola e sfregamenti pericardici) • Avviene da pochi giorni sino ad alcune settimane dopo uno STEMI o un intervento di cardiochirurgia • Incidenza del 6-25% • Trattamento: alte dosi di aspirina
  • 101.
    Pericardite batterica • Condizioneclinica rara in era antibiotica (rapido decremento di incidenza negli ultimi 50 aa.) • Di solito secondaria a infezioni di “contiguità” intratoraciche (polmoniti, empiemi, mediastiniti, endocarditi, traumi, chirurgia) o sottodiaframmatiche (ascessi) • Di solito fatale senza un adeguato trattamento • Diagnosi di solito misconosciuta • Le caratteristiche cliniche possono essere anche difformi da quelle classiche