Artrite reumatoide
Prof. R. Leo, FACP
Medicina Interna, 30.11.2018
Definizione
L’ AR è una delle principali malattie
infiammatorie croniche caratterizzata da una
poliartrite progressiva, aggiuntiva e non
sostitutiva, a carico delle articolazioni
sinoviali che determina una sinovite cronica,
simmetrica ed erosiva, generalmente
interessante le articolazioni periferiche
L’interessamento sistemico si può
manifestare con noduli sottocutanei,
vasculite, pericardite, noduli polmonari o
fibrosi interstiziale, mononeurite multipla,
episclerite o sclerite
Storia naturale
Nella sua forma cronica conduce a perdita di funzionalità ed
anchilosi delle articolazioni coinvolte, disabilità e morte
prematura (prevalentemente per eventi cardiovascolari)
Alcuni pz. presentano soltanto una lieve sintomatologia
oligoarticolare di breve durata con minimo danno articolare.
Il quadro evolutivo è comunque vario: nella fase iniziale
l’artrite è spesso indifferenziata; questa può rimanere tale,
risolversi spontaneamente, progredire verso un’altra artropatia
definita o sfociare in una franca AR.
Una diagnosi precoce e l’impostazione immediata di una
terapia con farmaci antireumatici modificanti il decorso della
malattia (DMARDs) sono elementi fondamentali per prevenire i
danni articolari ed extra-articolari di tale malattia
AR
Nei paesi industrializzati l’AR ha una prevalenza di 0,5-1% della popolazione
adulta, con un’incidenza di nuovi casi annui pari a 5-50 su 100.000 abitanti
Circa lo 0,6% della popolazione italiana è affetto da Artrite Reumatoide, con
maggior prevalenza nel sesso femminile (4:1). L’esordio giovanile (<15 anni)
non
è comune; l’incidenza cresce infatti con l’età fino agli 80 anni con picco in
quinta
decade per le donne, qualche anno più tardi per gli uomini
Grazie alle nuove tecnologie genetiche moderne sono stati scoperti diversi
polimorfismi genetici correlati al rischio di sviluppare l’AR, molti dei quali
implicano meccanismi immunitari
Il sistema HLA (particolarmente HLA-DRB1) rimane quello più influente nella
patogenesi di questa malattia
L‘AR è una malattia autoimmune caratterizzata da
infiammazione e progressivo danno articolare
Nel mondo sono > 23 milioni pz
In Italia prevalenza > 400mila casi
Interessa prevalentemente le donne con un rapporto di 3:1
sugli uomini, con un picco di incidenza nella quinta decade di
vita
Comorbidita’
Importante fattore di rischio per MCV.
> del 50% dei decessi prematuri nei pz con AR è imputabile
a eventi cardiaci (vasculite, ATS)
IMPATTO SULLA VITA QUOTIDIANA
AR evolve in un danno alle articolazioni e porta a
progressiva disabilità con conseguenze sulla vita
quotidiana, tra cui impossibilità a compiere azioni
semplici come vestirsi oppure lavorare
50% dei pz riporta vari gradi di invalidità o non
autosufficienza entro 20 anni dall'esordio della
malattia
Le manifestazioni cliniche della malattia non
curata in modo ottimale portano a disabilità
nell'80% dei casi
CRITERI DIAGNOSTCI
I nuovi criteri sono disegnati per la classificazione di pz che
hanno almeno un’articolazione con sinovite clinica
La classificazione prevede un algoritmo a punteggio, in cui
bisogna sommare lo score di quattro categorie (A-D):
coinvolgimento articolare (A),
sierologia (B),
durata dei sintomi (C)
reattanti di fase acuta (D)
CRITERI DIAGNOSTCI
Coinvolgimento articolare: si riferisce ad articolazioni clinicamente dolenti o tumefatte, che possono
essere confermate attraverso il riscontro di sinovite con tecniche di imaging. Sono escluse dalla
valutazione le interfalangee distali (IFD), le prime carpometacarpali e le prime metatarsofalangee (MTF).
Vengono considerate grandi articolazioni le spalle, i gomiti, le anche, le ginocchia e le caviglie; vengono
considerate piccole articolazioni le metacarpofalangee (MCF), le interfalangee prossimali (IFP), le
metatarsofalangee.
Sierologia: gli esami di laboratorio forniscono un importante ausilio ai fini diagnostici e prognostici. Oltre
infatti agli indici di flogosi (rilevatori dell’attività di malattia), esistono autoanticorpi dosabili con diversa
specificità e sensibilità, in grado di evidenziare un quadro patologico anche molti anni prima della
manifestazione clinica. L’autoanticorpo utilizzato storicamente come marker sierologico per l’AR è il
Fattore Reumatoide (FR), un anticorpo di classe IgM diretto contro il frammento Fc dell’immunoglobulina
G umana. Una negatività del FR non esclude tuttavia la diagnosi, poiché in circa il 15% dei casi l’artrite è
sieronegativa. D’altro canto una positività non è necessariamente sinonimo di malattia, dal momento che
il FR è positivo approssimativamente nel 3-5% della popolazione sana, in altre patologie autoimmuni (ad
esempio nella sindrome di Sjögren primaria, viene riscontrata positività per il FR nel 70% circa dei casi) e
in corso di varie malattie infettive croniche come per esempio l’Epatite C. A causa della sua bassa
specificità sono stati sviluppati nuovi test sierologici, tra cui la 16 rilevazione degli anticorpi anti peptide
ciclico citrullinato (anticorpi anti-CCP) che possiedono una specificità del 95% (sensibilità 67%) e sono
migliori predittori di un decorso sfavorevole con una più grave e rapida distruzione articolare. Nei nuovi
criteri classificativi viene valutata la positività del FR e degli anticorpi anti-CCP e, per la prima volta, è
stato considerato il titolo anticorpale alto o basso (più o meno di 3 volte il limite superiore del test
impiegato). Questo rappresenta però un aspetto di criticità in quanto l’attendibilità dei laboratori nel
misurare FR ed anticorpi anti-CCP non risulta uniforme
CRITERI DIAGNOSTCI
Durata dei sintomi: si riferisce alla durata dei segni o sintomi di sinovite
(dolore, tumefazione, dolorabilità) indipendentemente dalla terapia in atto.
Reattanti di fase acuta: si riferiscono al valore della VES e/o alla PCR (è
sufficiente avere uno dei due parametri elevato). Per classificare un paziente
come affetto da AR definita è necessario un punteggio totale > 6. I pazienti
con un punteggio inferiore dovrebbero essere monitorati nel tempo.
IMAGING
Ruolo fondamentale
Radiografia: gold standard per la valutazione del danno erosivo;
particolarmente utile per il followup della malattia, per definirne la severità in
un determinato momento e determinare l’efficacia della terapia (follow-up
annuale o addirittura semestrale).
>metodo di Larsen e metodo di Sharp
IMAGING
RMN: informazioni utili specie nelle fasi iniziali della malattia, in grado
di valutare lo stato della membrana sinoviale, una sua eventuale
imbibizione edematosa e l'entità della vascolarizzazione a livello delle
articolazioni interessate.
Inoltre, trova applicazione nella precisa definizione di talune
complicanze, quali la sub-lussazione atlanto-epistrofea o
l’osteonecrosi.
Ecografia: sta assumendo un’importanza sempre crescente; permette
infatti una valutazione diretta della vascolarizzazione sinoviale, dello
stato di tendini e guaine tendinee, il riconoscimento di edema
infiammatorio capsulo-sinoviale, la presenza di erosioni ossee ed
alterazioni della cartilagine articolare con possibilità di studio dinamico
dell’articolazione
Erosioni articolari
• L’ Rx convenzionale rappresenta il mezzo più diffuso, rapido
ed economico per evidenziare le erosioni articolari; in realtà
tale tecnica non ne consente, in molti casi, una
individuazione precoce
• Viene quindi ribadita l’importanza dello strumento ecografico
e in particolare dell’eco power-doppler, in quanto mezzo
certamente più economico della RM e più efficace dell’ Rx
convenzionale per evidenziare precocemente le erosioni e la
attività infiammatoria del panno sinoviale
• tutte le metodiche diagnostiche sono comunque utili, ma
l’ecografia è più sensibile
• La presenza di erosioni (a prescindere dalla tecnica
impiegata per la diagnosi) è un importante indice di
aggressività
Da non dimenticare
Sublussazione di C1 su C2
L’AR puo’ causare un’instabilita’ asintomatica del collo
La manipolazione durante sedazione puo’ causare una lesion midollare
MISURE DI OUTCOME
Per valutare la risposta terapeutica è necessario utilizzare dei parametri
obiettivi e ripetibili che tengano conto del target di malattia.
 il controllo del dolore, dell’infiammazione e della progressione radiologica
DAS (Disease Activity Score): score che tiene conto del numero di articolazioni
dolenti e tumefatte, degli indici di funzionalità e della valutazione globale del
paziente sul suo stato di salute su una scala visiva analogica. 20 In origine il
DAS utilizzava l’indice articolare di Ritchie (RAI) per contare la dolorabilità di
53 articolazioni e la tumefazione di 44 di esse.
DAS28, più utilizzato per semplicità nella pratica clinica, impiega una conta
articolare semplificata a 28 articolazioni che include: spalle, gomiti, polsi, MCF
e IFP, interfalangea del 1° dito e ginocchia. Esclude invece: anche, caviglie e
piedi.
In entrambi vengono considerati anche il valore dei reattanti di fase acuta
(VES o PCR) e una valutazione globale del paziente su una scala analogica
visiva (VAS, da 0 a 100 mm). I quattro parametri vengono quindi sommati
secondo formule. Nella pratica clinica esistono dei calcolatori automatici di DAS
e DAS28 che semplificano e velocizzano la valutazione.
La remissione è definita per un DAS ≤ 1,6 o un DAS28 ≤ 2,6.
Grado di attività dell’AR
La valutazione di attività viene
routinariamente fatta utilizzando il DAS
(Disease Activity Score) e
precisamente il DAS28
Grado di attività > DAS28
Remissione: DAS28 < 2,6
• - Bassa attività (low disease activity):
DAS28 < 3,2
• - Attività moderata: DAS28 >3.2 e < 5.1
• - Attività elevata: DAS28 > 5.1
• Il calcolo del DAS dovrebbe essere
eseguito almeno in 2 occasioni a distanza
di 1 mese
Principali fattori prognostici di gravità
- elevato numero di articolazioni
tumefatte e dolenti
- presenza di erosioni o comunque di
progressione Rx
- livelli elevati di anticorpi anti peptidi
ciclicicitrullinati (anti citrullina)
- presenza di malattia extra articolare
Il fattore tempo è cruciale nel
trattamento dell’AR
• Il trattamento va iniziato il più
rapidamente possibile
• Il trattamento inefficace va modificato il
più rapidamente possibile
• La risposta al trattamento (remissione)
va ottenuta il più rapidamente
possibile
Early rheumatoid arthritis
• quadro clinico di AR con esordio non
oltre i 6 mesi
AR aggressiva
• presente almeno una erosione
articolare e/o è presente una elevata
attività clinica di malattia
Le componenti del
dolore:
- nocicettivo
- neuropatico
- centrale
DOLORE
Meccanico
• Insorge
improvvisamente
• Insorge dopo lavoro
• Migliora con il riposo
• Dura pochi giorni
• Migliora poco con
FANS
Infiammatorio
• Insorge
subdolamente
• Insorge a riposo
• Migliora con
movimento
• Dura a lungo
• Meglio assai con
FANS
AR
ARTROSI
• Il dolore è esacerbato
dal movimento
• Il dolore regredisce
con il riposo
• Rigidità mattutina <
30’
• Dolore infiammatorio a
riposo
• Bilateralità e
simmetria
• Rigidità mattutina >
60’
Esiti a lungo termine
Ridotta
qualità
e
aspettativa
di vita
Distruzione articolare
Inabilità al lavoro
Alterazioni psicologiche
Disabilità
Effetti collaterali farmaci
Comorbidità
VISSUTO
• infanzia
• ruolo sociale
• famiglia
PRESENTE
• benessere
• umore/autostima
• responsabilità
FUTURO
• progetti
• impegni assunti
• aspettative
Le percezioni dei malati:
– Si attendono una vita con dolore (70%)
– Temono di non poter contribuire al bilancio familiare (51%)
– Temono di non potersi permettere la terapia (53%)
– Solo 22% dichiarano di aspettarsi una vita normale
– 46% sono soddisfatti del trattamento
 pazienti con AR più aggressiva hanno peggiore “attesa” per il futuro
 donne e gli anziani hanno maggior timore di non potere in futuro accudire se stessi o di non potersi
permettere i farmaci
 tra questi vi è una maggiore incidenza di depressione
J Rheumatol 2005;32:1013–9)
Non suicide
Sharpe L, Sensky T, Allard S. The course of depression in recent onset rheumatoid
arthritis: the predictive role of disability, illness perceptions, pain and coping. J
Psychosom Res 2001;51:713–9.
• Un certo grado di depressione viene rilevato nei pazienti con recente diagnosi di AR, come nei pazienti con malattia di
lunga durata
• Depressione può associarsi a iperalgesia centrale (FM)
• Depressione correla con PCR e TNF aumentati
Importanza di terapia cognitivo-comportamentale e ruolo dello psicologo
INCAPACITA’
FUNZIONALE
DOLORE
INSONNIA
STANCHEZZA
RIDUZIONE
TONO
DELL’UMORE
CRONICIZZAZIONE
Il dolore cronico è una condizione fisica ed
esistenziale che C. Saunders ha definito
“dolore totale”
Esso coinvolge:
la sfera fisica
la sfera psichica
la sfera socio-economica
la sfera spirituale
Mentre il dolore acuto è funzionale alla
conservazione dell’integrità dei tessuti e
informa circa eventuali alterazioni
organiche,
il dolore cronico spesso non è più un
sintomo, ma diventa esso stesso malattia
con forti implicazioni psicosomatiche ed
emozionali
Il dolore è un’esperienza soggettiva e in quanto
tale, personale e unica.
Infatti, la sensibilità al dolore, le modalità della
sua percezione e organizzazione cognitiva, cioè
il vissuto soggettivo del dolore è proprio di ogni
individuo,
è legata al soggetto ed alla sua storia ed è, in
ogni momento, sintesi viva e memoria inconscia
delle esperienze emozionali e relazionali di
piacere/dispiacere
Il dolore cronico scatena risposte emozionali di
ansia, depressione, angoscia, le quali a loro
volta accrescono il dolore, il quale aumenta
l’intensità delle risposte emozionali, e così via.
La distinzione tra dolore fisico e mentale è
spesso difficile:
• condizioni fisiche dolorose creano dolori
mentali
• condizioni psicologicamente stressanti
possono provocare dolori fisici
Il medico
• Contestualizzare e comunicare la diagnosi
• Esplicare il percorso di cura e gli “snodi”
• Discutere e condividere le opzioni terapeutiche e gli obiettivi (remissione)
• Coinvolgimento del paziente nella gestione delle azioni di cura
• Supporto futuro
LA CURA
Deve considerare la persona e non solo la
malattia
• Viene da fuori
– Farmaci, chirurgia, fisiochinesiterapia,
agopuntura
• Viene da dentro
– Adesione, comportamento, meditazione
• AGIRE PER IL BENESSERE COMPLESSIVO
• La cultura del benessere
– Norme dietetiche e controllo ponderale
– Il movimento scelta di vita
– L’abitudine all’esercizio
– La protezione articolare
– Il sonno riposato
La cura e la prevenzione
• Non solo farmaci:
– Terapia cognitivo-comportamentale
– Rinforzo muscolare
– Shiatsu e meditazione
– Gruppi di auto-aiuto
– Mindfulness
– Thai Chi, yoga
• Non solo in ospedale
– Ruolo del Comune e del volontariato
CONTRIBUTO AL BENESSERE
• SIGNIFICA CONTRIBUIRE ALLA
COSTRUZIONE DI UNA SOCIETA’ MIGLIORE
DOVE NESSUNO RESTA SOLO
• PER IMPARARE A STARE INSIEME, LEGATI
DA VALORI UNIVERSALI QUALI LA
SOLIDARIETA’, LA GENTILEZZA E LA
CORTESIA
LASCIAMO IL MONDO MIGLIORE DI COME L’ABBIAMO TROVATO
Baden Powell
Da non dimenticare
La gastropatia jatrogena da FANS e’
subdola e puo’ essere fatale…
TRATTAMENTO DELL’ARTRITE
REUMATOIDE
Da più di un decennio l’approccio terapeutico è notevolmente
cambiato.
Fino alla fine degli anni ’80-’90, il trattamento si basava
sull’uso di FANS e steroidi, spesso a cicli, riservando i farmaci
di fondo (al tempo era disponibile sostanzialmente solo il MTX)
ai soli casi refrattari o recidivanti al trattamento anti-
infiammatorio. In quegli anni si è assistito alla cosiddetta
inversione della piramide terapeutica, indicando i DMARDs,
spesso anche in combinazione, come trattamento iniziale
dell’AR e relegando gli anti-infiammatori e lo steroide a terapia
di supporto nei momenti di riacutizzazione della malattia.
La terapia è comunque multidisciplinare, dovendo combinare
presidi farmacologici (FANS, steroidi, DMARDs, farmaci
biologici) e non farmacologici (riabilitazione, correzione
chirurgica, approccio psicologico)
TRATTAMENTO DELL’ARTRITE
REUMATOIDE
Si raccomanda oggi un approccio “treat to target” al
fine di ottenere in tempi rapidi la remissione o una
bassa attività di malattia.
> un trattamento aggressivo e precoce è in grado di
ritardare o addirittura impedire l’instaurarsi del
danno articolare radiologico. Per intraprendere una
terapia precoce è quindi fondamentale una diagnosi
precoce, in grado di individuare quei pazienti a
rischio di evoluzione verso una franca AR ad esito
sfavorevole rispetto a quelli destinati probabilmente
a rimanere in uno stadio di artrite indifferenziata o
di mild arthritis
DMARDs: disease modifying
antirheumatic drugs
Finalizzati a ridurre l’infiammazione e il conseguente
danno strutturale
DMARDs sintetici e DMARDs biologici.
I DMARDs sintetici sono classificati a loro volta in
DMARDs sintetici convenzionali e DMARDs sintetici
target
Quest’ultimi sono rappresentati da farmaci con un
altro meccanismo d’azione e il target principale è
rappresentato dalle proteine JAK
scDMARDs (sintetici convenzionali)
METHOTREXATE potente immunosoppressore che agisce come analogo delle purine
inibendo in modo competitivo e reversibile la diidrofolato reduttasi. La sua azione è
maggiore sulle cellule ad alto tasso di replicazione. Considerata la notevole efficacia e i
numerosi dati di sicurezza disponibili in letteratura viene considerato il farmaco di prima
scelta. Può essere somministrato per via orale oppure, preferibilmente, per via
intramuscolare o sottocutanea. Nel corso del trattamento è importante monitorare
l’emocromo (per la possibile insorgenza di leucopenia o di pancitopenia) e la funzionalità
epatica. Incrementi delle transaminasi oltre 3 volte il range di normalità impongono la
sospensione del farmaco o quantomeno una riduzione del suo dosaggio.
LEFLUNOMIDE potente immunosoppressore che agisce inibendo la formazione delle
pirimidine. La sua azione è maggiore sulle cellule ad alto tasso di replicazione. Fino a
pochi anni fa considerato un farmaco efficace come monoterapia di prima linea, nelle
ultime linee guida americane è stato proposto anche nelle terapie di combinazione con il
methotrexate. Anche in questo caso è importante controllare l’emocromo (per possibili
interferenze sulla sintesi sia della linea mieloide che linfoide) e la funzione epatica. L’uso
cronico può accompagnarsi a rialzi pressori che possono determinare la sospensione del
trattamento.
CICLOSPORINA efficace nell’AR ma soprattutto nella AP, utilizzato prevalentemente in
Europa (tant’è che non viene indicato nelle linee guida americane). L’alta frequenza di
ADR, prevalentemente ipertensione, nefrotossicità ed ipertricosi, ne limita talvolta l’utilizzo
nella pratica clinica.
scDMARDs (sintetici convenzionali)
SULFASALAZINA ben tollerato ma con una blanda azione. La potenza relativamente bassa
ed il ridotto numero di studi a supporto della sua efficacia fanno sì che nelle linee guida il
farmaco venga raccomandato solo in assenza di fattori prognostici sfavorevoli. Il numero
elevato di compresse da assumere per raggiungere il dosaggio terapeutico (fino a 6
cpr/die) può compromettere la compliance da parte del paziente. Viene spesso consigliato
come farmaco nelle terapie di combinazione. Nel corso della terapia è importante
monitorare l’emocromo (descritte agranulocitosi) e sospendere il trattamento in caso di
comparsa di eruzioni cutanee.
IDROSSICLOROCHINA soprattutto nelle terapie di associazione. In monoterapia,
analogamente a quanto accade per la sulfasalazina, conservano un valore terapeutico solo
nei pz con malattia molto lieve o che hanno controindicazioni all’uso di altri DMARDs.
Nell’uso cronico è necessario monitorare il fondo dell’occhio per la possibile formazione di
depositi retinici (rischio presente soprattutto per dosaggi superiori a 400 mg/die).
AZATIOPRINA farmaco immunosoppressore in grado di ridurre l'attività della malattia.
Tuttavia non sono stati pubblicati dati positivi sull’effetto del farmaco sulla progressione
radiologica e lo stato funzionale a lungo termine. Nella pratica clinica l’alto livello di
tossicità (soprattutto ematologica ed epatica) ne limita l'utilizzo. Nei pazienti con morbo di
Chron, trattati con una terapia di associazione che prevedeva adalimumab ed azatioprina,
sono stati descritti un numero significativo di linfomi a cellule T. Questo dato influenza
negativamente la scelta dell’azatioprina anche nei pazienti reumatologici.
Choy EHS. NEJM 2001;344:907-12
Choy EHS. NEJM 2001
abatacept
Anti-CD20
Anti-TNFα
IL1-RA
Tocilizumabdenosumab
Quali bersagli terapeutici nell’AR ?
Adapted with permission from Choy EHS, Panayi GS. N Engl J Med. 2001;344:907–916.
Copyright © 2001 Massachusetts Medical Society. All rights reserved.
Come agiscono i farmaci biotecnologici ?
1) Inibizione delle citochine infiammatorie
CK infiammatoria
Interazione normale
Neutralizzazione della CK
recettore
Recettore
solubile
Anticorpo
monoclonale
Nessun
segnale
Segnale di
attivazione della
infiammazione
Antagonista
recettoriale
T-Linfocito
antigeneMHC II TCR
attivazione
proliferazione
Recettore solubile
modified from Kremer JM, et al. J Clin Rheumatol 2005.
Come agiscono I farmaci biotecnologici ?
2) Inibizione dell’interazione tra cellule
anticorpo
monoclonale
CD 20
attivazione del
complemento e lisi
della membrana
cellulare
attivazione di segnali
di “autodistruzione”
membrana cellulare
B-linfocito
Come agiscono I farmaci bioptecnologici ?
3) distruzione mirata delle cellule
• TNF alpha inhibition (MoAbs)
– Infliximab IV
– Adalimumab SC
– certolizumab pegol SC
– Golimumab SC
• TNF alpha inhibition (soluble receptor)
– Etanercept SC
• IL1 inhibition (receptor antagonist)
– anakinra SC
• IL6 receptor inhibition (MoAb)
– Tocilizumab IV
• CTLA4-Ig (soluble receptor)
– Abatacept IV
• Anti-CD20 (MoAb)
– Rituximab IV
FIRST LINE
BIOLOGIC
AGENTS
2nd LINE
Quali sono i farmaci biotecnologici per
l’AR oggi disponibili ?
2000 2001 2002 2003 2004 2005 2006 2007 2008 2009 2010 2011
Etanercept
2000
Infliximab
2000
Adalimumab
2003 Golimumab
2009
Adapted from European Medicines Agency website )(EPARs
(http://www.ema.europa.eu/ema/index.jsp?curl=pages/medicines/landing/epar_search.jsp&murl=menus/medicines/me
dicines.jsp&mid=WC0b01ac058001d125)
Certolizumab
2010Rituximab
TNF failure
2006
Abatacept
TNF failure
2007
Tocilizumab
2009
Da quanto tempo sono disponibili i
farmaci biotecnologici per l’AR?
bDMARDs (biologici)
• molecole ottenute con la tecnologia del DNA ricombinate, in
grado di bloccare selettivamente una citochina od una
particolare interazione cellulare individuate come punti
chiave nella patogenesi della malattia.
• hanno permesso la remissione clinica in un’alta percentuale
di pazienti e si sono dimostrati capaci di rallentare (in alcuni
casi e condizioni bloccare) la progressione radiologica dell’
AR.
Quelli attualmente in commercio per l’AR hanno come bersagli
molecolari il TNFα (Tumor Necrosis Factor α), il recettore per
l’interleuchina 1, il recettore per l’IL-6, il CD-20, il CD-80 ed il
CD86 (noti anche come B7-1 e B7-2, entrambi fondamentali
per la co-stimolazione linfociti B - linfociti T)
bDMARDs (biologici)
l’infiammazione cronica è determinata ed alimentata dalla
rottura dell’equilibrio fisiologico tra citochine e chemochine pro-
infiammatorie ed anti-infiammatorie che portano all’induzione
della cascata infiammatoria.
rottura di questo equilibrio e nelle sedi articolari permangono
cronicamente elevate e prevalenti le proteine proinfiammatorie
> dolore, tumefazione e rigidità articolare.
Una delle citochine di maggior interesse è il Tumor Necrosis
Factor α (TNFα), verso il quale sono diretti i primi farmaci
biologici.
Altre citochine chiave nel processo fisiopatologico delle artriti
infiammatorie sono IL1, IL6, IL17 e rappresentano il target di
altri farmaci biologici.
bDMARDs (biologici)
Nell’infiammazione, inoltre, sono coinvolte diverse cellule del
sistema immunitario che hanno un ruolo fondamentale nello
sviluppo e nel mantenimento dello stato infiammatorio. Fanno
parte di queste, i linfociti T e B, che sono il target di altri
farmaci biologici.
Come definire la risposta al trattamento con i
cDMARDs o bDMARDs?
Obiettivo del trattamento è la remissione clinica e funzionale o almeno
il raggiungimento di uno stato di Low Disease Activity (LDA) e la
mancata progressione radiologica della malattia
In particolare col trattamento ci si propone:
• un miglioramento clinico e funzionale e cioè:
• il controllo dei sintomi (dolore, astenia, rigidità articolare, ecc.)
• la riduzione dell’attività di malattia (controllo degli indici di flogosi)
• il miglioramento della funzione motoria
• un rallentamento o arresto del danno osteo-articolare
• la prevenzione della disabilità
AR: elenco biologici
Infliximab (Remicade®)
Infliximab (Inflectra®)
Infliximab (Remsima®)
Adalimumab (Humira®)
Golimumab (Simponi®)
Etanercept (Enbrel®)
Certolizumab (Cimzia®)
Tocilizumab (RoActemra®)
Abatacept (Orencia®)
Anakinra (Kineret®)
Rituximab (Mabthera®)
ANTI-TNF α
Gli inibitori del TNFα attualmente disponibili fanno parte di due classi differenti: gli
anticorpi monoclonali e i recettori solubili.
INFLIXIMAB è un anticorpo chimerico murino ed è stato il primo anti-TNFα utilizzato
nell’AR. E’ l’unico anti-TNFα che deve essere somministrato e.v. La posologia è di 3 mg/Kg
ogni 6 settimane per AR e 5 mg/kg per AP e SA. Ci sono attualmente in commercio due
biosimilari di infliximab che negli studi PLANETAS (studio di farmacocinetica in SA) e
PLANETRA (studio di fase III in AR) hanno dimostrato una quadro di efficacia e safety
sovrapponibile all’originator.
ADALIMUMAB è un anticorpo monoclonale completamente umano. E’ somministrato per
via sottocutanea al dosaggio di 40 mg/2 settimane.
GOLIMUMAB è un altro anticorpo monoclonale di tipo umano che viene somministrato
sottocute, ma con frequenza mensile alla dose di 50mg.
CERTOLIZUMAB PEGOL è un frammento Fab' PEGilato di un anticorpo monoclonale
umanizzato (200 mg/2 settimane per via s.c.). La pegilazione permetterebbe una maggior
penetrazione nei tessuti infiammati.
ETANERCEPT è una proteina di fusione completamente umana, costituita da due copie del
recettore umano p75 per il TNF (recettore solubile del TNFα). La dose raccomandata per
l’AR è 50 mg/settimana s.c. (in 1 o 2 somministrazioni). E’ attualmente disponibile un
biosimilare di etanercept che nei pazienti affetti da AR ha dimostrato pari efficacia e un
quadro di safety tranquillizzante.
ALTRI BIOLOGICI
TOCILIZUMAB è un anticorpo monoclonale umanizzato diretto contro il recettore per l’IL-6. Viene somministrato per via e.v. al
dosaggio di 8 mg/kg/4 settimane. Negli ultimi anni si è resa disponibile una formulazione sottocutanea da 165 mg da
effettuarsi settimanalmente. Sono stati condotti studi in monoterapia, senza associazione con il methotrexate, in cui
tocilizumab è risultato parimenti efficace sia che fosse o non fosse associato a terapia di fondo [22]. Questo ne fa un’opzione
terapeutica importante per quei 5 pazienti che non tollerano o hanno avuto eventi avversi severi con DMARDs tradizionali.
ABATACEPT è una proteina di fusione composta dalla regione Fc delle IgG1 e dal dominio extracellulare di CTLA-4. E’ in grado
di legare CD80 (B7-1) e CD86 (B7-2) modulando il legame tra le cellule presentanti l’antigene e i linfociti T. Ci sono due
formulazioni del farmaco: per via endovenosa e per via sottocutanea. Il farmaco per via endovenosa viene somministrato ogni
4 settimane a dosaggio variabile secondo il peso del paziente (500 mg se ≤ 60 kg, 750 mg tra 60 e 100 kg, 1000 mg sopra i
100 kg). Abatacept per via sottocutanea (SC) invece può essere iniziato con o senza una dose di carico endovenosa (EV) e
deve essere somministrato una volta a settimana al dosaggio di 125 mg per iniezione sottocutanea indipendentemente dal
peso.
ANAKINRA è un antagonista recettoriale dell’interleuchina-1 (IL-1) che blocca l’eccessiva segnalazione infiammatoria associata
all’artrite; viene somministrato per via s.c. al dosaggio di 100 mg/die tramite siringhe predosate. Nei pazienti con AR, la
concentrazione dell’antagonista naturale del recettore per l’IL-1 a livello della sinovia e del liquido sinoviale sembra non essere
adeguata, con uno sbilanciamento dell’equilibrio omeostatico verso il frangente infiammatorio [25]. L’IL-1 induce tra l’altro
una perdita di proteoglicani, causando danni tissutali quali degradazione cartilaginea e riassorbimento osseo. Nella maggior
parte degli studi è sempre stato somministrato in combinazione con methotrexate. Non esistono studi di confronto tra
anakinra ed anti-TNFα, ma dati 6 indiretti suggerirebbero un’efficacia inferiore del primo sui secondi (38% vs 50%
dell’infliximab, secondo i criteri di remissione ACR 20). Prima di iniziare il trattamento occorre valutare la conta dei neutrofili,
che dovrebbe essere ripetuta mensilmente per i primi 3 mesi di terapia, e successivamente ogni 4 mesi per almeno un anno
[26].
RITUXIMAB è un anticorpo chimerico (umano/murino) che ha come bersaglio l’antigene CD20 situato sulla superficie dei
linfociti B. Il farmaco va somministrato al dosaggio di 1000 mg in 2 infusioni (la seconda dopo 2 settimane dalla prima) per
via e.v. da ripetere ogni 6 mesi. L’idea di utilizzare questo farmaco nell’artrite reumatoide è nata dall’osservazione che nei
pazienti colpiti da linfoma che erano anche affetti da AR vi era un netto miglioramento della sintomatologia articolare quando
venivano trattati con rituximab per il linfoma. Sono stati pertanto disegnati studi ad hoc che hanno permesso di documentare
miglioramenti clinicamente significativi nei pazienti con AR attiva di lunga durata ed una risposta inadeguata ad uno o più
anti-TNFα precedentemente utilizzati [27- 29]. Il farmaco va somministrato per via e.v. una volta ogni 6 mesi. L’infusione ha
una durata maggiore di quanto non sia necessario per gli altri farmaci e deve essere eseguita dopo premedicazione con
steroidi, anti-istaminici ed antipiretici per l’alta percentuale di reazioni infusionali (anche fatali) che si accompagnano
soprattutto alla prima somministrazione del farmaco. E’ l’unico farmaco che a meno di motivazioni cliniche specifiche non può
essere utilizzato in prima linea
AR: cosa c’e’ di nuovo
Negli ultimi due decenni il trattamento è stato completamente rivoluzionato
dall’acquisizione di concetti chiave che ad oggi rappresentano il cardine della
strategia di gestione di questa patologia, quali
importanza della diagnosi precoce, con relativa rivisitazione dei criteri
classificativi al fine di renderli più consoni all’identificazione di quadri di recente
insorgenza
l’approccio terapeutico secondo una logica di treat-to-target (T2T), che
presuppone l’adeguamento della terapia in rapporto al costante monitoraggio
dell’attività di malattia con specifici indici compositi;
la necessità di una personalizzazione del trattamento sul singolo individuo nel
contesto del principio di “precision medicine”, la cui applicazione è in costante
espansione nella maggior parte delle branche mediche
in base ai dati di registro disponibili non più
del 50% dei pz trattati raggiunge ad oggi il
target di una remissione clinica e la proporzione
di soggetti in remissione “drug-free”, pur nelle
condizioni ideali di applicazione della strategia
di diagnosi precoce e T2T di trial clinici dedicati
non supera il 15-20%...
Le ragioni di questo successo solo parziale sono da
ricercarsi in diversi aspetti ancora non ottimizzati
della gestione della malattia
Le strategie di early referral dei pz con sospetta AR
all’esordio verso un centro di reumatologia
specializzato (le cosiddette Early Arthritis Clinic) non
hanno finora completamente consentito di operare
una diagnosi sufficientemente precoce
il crescente numero di agenti biologici con diversi
meccanismi di azione, se da un lato ha certamente
ampliato le possibili opzioni di trattamento (peraltro
non consentendo di coprire la totalità dei pz, alcuni
dei quali risultano multipli non responders a tutti gli
agenti biologici disponibili, dall’altro ha fatto
emergere il problema di come operare la scelta
corretta del farmaco ideale per ogni singolo soggetto
in un contesto di scarsa evidenza scientifica in
merito a specifici biomarkers in grado di orientare
l’approccio di terapia
Inibitori Janus Kinasi (anti-JAK)
stDMARDs (sintetici target)
l’ introduzione in commercio di una nuova classe di farmaci targeted,
rappresenta un’importante opportunità per far fronte ad una parte dei
bisogni insoddisfatti
dal punto di vista patogenetico, l’inibizione delle JAK consente di
avere a disposizione un meccanismo di azione in grado di inibire la
trasduzione all’interno della cellula del segnale generato
dall’interazione di una citochina (o fattore di crescita) con il suo
specifico recettore collocato sulla parete cellulare.
In ragione della diffusione delle JAK su numerose pathways di
segnale, l’uso di inibitori delle JAK consente di poter bloccare
contemporaneamente più vie citochiniche (anziché inibire un unico
segnale come è possibile fare con la maggior parte dei farmaci
biologici), offrendo così uno spettro di azione certamente più ampio e
potenzialmente più efficace
Inibitori Janus Kinasi (anti-JAK)
stDMARDs (sintetici target)
La famiglia JAK si compone di almeno 4 sottotipi (JAK1, JAK2,
JAK3 e TYK2), ognuno dei quali è variamente coinvolto nella
via di trasduzione del segnale di diverse citochine pro-
infiammatorie con effetti fisiologici e patogenetici
conseguentemente differenti
La ricerca di inibitori farmacologici si è quindi indirizzata verso
la produzione di farmaci con attività più o meno selettiva sulle
singole kinasi e tra i prodotti attualmente in fase avanzata di
sviluppo troviamo farmaci con azione mirata su tutte le JAK
(pan-JAK inibitori come tofacitinib) o con azione selettiva su
alcuni di essi, come baricitinib (anti-JAK 1-2), upadacitinib e
filgotinib (anti-JAK 1), peficitinib (anti-JAK 1-3) e decernotinib
(anti-JAK 3)
scDMARDs: POCHI BENEFICI DALLE
CURE
40-50% dei pz assenza miglioramenti dal trattamento di prima
linea che solitamente si basa sull'uso del MTX
L'efficacia della terapia con MTX viene valutata a 3 mesi e poi a
6, per capire il raggiungimento di uno stato di controllo dei
sintomi e, possibilmente, di remissione della patologia
Se il paziente non risponde e non ne trae beneficio, è
necessario passare a terapie di seconda linea
stDMARDs: Baricitinib (Oluminant)
Meccanismo innovativo > inibisce infatti gli enzimi Janus chinasi 1 e 2,
molecole intracellulari che modulano i segnali delle citochine
infiammatorie responsabili dello sviluppo e della progressione della
malattia
A differenza dei farmaci biologici in uso da circa vent'anni diretti verso
un singolo bersaglio extracellulare, i nuovi farmaci come baracitinib
attraversano la parete cellulare e possono bloccare
contemporaneamente l'effetto di diverse proteine (citochine) pro-
infiammatorie
1 cpr 4 mg/die ha determina miglior controllo della malattia, in
particolare del dolore, già dalle prime settimane per poi
confermarsi dopo 24 e 52 settimane di trattamento
stDMARDs: Baricitinib (Oluminant)
Puo’ essere somministrato in momoterapia o
in associazione con MTX
28 cpr 4 mg euro 1.035,13
stDMARDs: Baricitinib (Oluminant)
La nuova molecola è indicata per i pz che non ottengono miglioramenti
significativi, o risultano intolleranti, ad uno o più farmaci biologici anti-
reumatici, tra cui il MTX, sia in monoterapia che in combinazione tra di
loro.
Poter disporre di un farmaco efficace sin dalle prime settimane di
trattamento rappresenta un grande vantaggio in quanto permette di
controllare rapidamente le manifestazioni cliniche
L'approvazione del farmaco si basa sui risultati di quattro studi clinici di
fase III in pz affetti da AR attiva da moderata a severa.
In tutti gli studi di fase III è stata riscontrata una diminuzione del 20%,
50% e 70% della condizione clinica di partenza, misurata secondo i
criteri dell'American College of Rheumatology.
stDMARDs: Baricitinib
(Oluminant)
Altro importante vantaggio: per os e monosomministrazione
Migliore aderenza ai trattamenti rispetto ai farmaci iniettivi.
 risparmio in ore di lavoro, spostamenti e richieste di supporto a
familiari e/o caregiver.
 una terapia orale è più accettabile perché l'ago fa sempre paura, e
proprio per questo motivo spesso il malato non è aderente ai
trattamenti iniettivi
 disporre di una compressa ci facilita la gestione della malattia
anche negli spostamenti, nei viaggi, sul lavoro, con un vantaggio in
termini di qualità della vita
stDMARDs: Tofacitinib (Xeljanz)
pan-JAK-inibitore: primo ad essere approvato al dosaggio di 5 mg per
2 volte al giorno
AR in fase attiva da moderata a severa, in pz adulti che hanno
risposto in maniera inadeguata o sono intolleranti ad uno o piu’
farmaci DMARDs.
In associazione a MTX o in monoterapia in caso di intolleranza a MTX
o quando MTX non e’ appropriato
Costo 182 cpr Riv 5 mg euro 3.866.89
Conclusioni
Nonostante l’introduzione dei farmaci biologici abbia
consentito di migliorare sensibilmente l’applicazione
nella pratica clinica delle attuali strategie di gestione
dell’AR, a tutt’oggi rimangono degli importanti
bisogni insoddisfatti nel trattamento della patologia.
L’avvento di una nuova classe di targeted therapies
come i JAK inibitori rappresenta in tal senso una
sicura opportunità per far fronte agli attuali unmet
needs e per migliorare sensibilmente l’outcome
clinico di una fetta consistente della popolazione di
soggetti affetti da AR
Artrite Reumatoide Prof. Roberto Leo

Artrite Reumatoide Prof. Roberto Leo

  • 1.
    Artrite reumatoide Prof. R.Leo, FACP Medicina Interna, 30.11.2018
  • 3.
    Definizione L’ AR èuna delle principali malattie infiammatorie croniche caratterizzata da una poliartrite progressiva, aggiuntiva e non sostitutiva, a carico delle articolazioni sinoviali che determina una sinovite cronica, simmetrica ed erosiva, generalmente interessante le articolazioni periferiche L’interessamento sistemico si può manifestare con noduli sottocutanei, vasculite, pericardite, noduli polmonari o fibrosi interstiziale, mononeurite multipla, episclerite o sclerite
  • 4.
    Storia naturale Nella suaforma cronica conduce a perdita di funzionalità ed anchilosi delle articolazioni coinvolte, disabilità e morte prematura (prevalentemente per eventi cardiovascolari) Alcuni pz. presentano soltanto una lieve sintomatologia oligoarticolare di breve durata con minimo danno articolare. Il quadro evolutivo è comunque vario: nella fase iniziale l’artrite è spesso indifferenziata; questa può rimanere tale, risolversi spontaneamente, progredire verso un’altra artropatia definita o sfociare in una franca AR. Una diagnosi precoce e l’impostazione immediata di una terapia con farmaci antireumatici modificanti il decorso della malattia (DMARDs) sono elementi fondamentali per prevenire i danni articolari ed extra-articolari di tale malattia
  • 5.
    AR Nei paesi industrializzatil’AR ha una prevalenza di 0,5-1% della popolazione adulta, con un’incidenza di nuovi casi annui pari a 5-50 su 100.000 abitanti Circa lo 0,6% della popolazione italiana è affetto da Artrite Reumatoide, con maggior prevalenza nel sesso femminile (4:1). L’esordio giovanile (<15 anni) non è comune; l’incidenza cresce infatti con l’età fino agli 80 anni con picco in quinta decade per le donne, qualche anno più tardi per gli uomini Grazie alle nuove tecnologie genetiche moderne sono stati scoperti diversi polimorfismi genetici correlati al rischio di sviluppare l’AR, molti dei quali implicano meccanismi immunitari Il sistema HLA (particolarmente HLA-DRB1) rimane quello più influente nella patogenesi di questa malattia
  • 6.
    L‘AR è unamalattia autoimmune caratterizzata da infiammazione e progressivo danno articolare Nel mondo sono > 23 milioni pz In Italia prevalenza > 400mila casi Interessa prevalentemente le donne con un rapporto di 3:1 sugli uomini, con un picco di incidenza nella quinta decade di vita Comorbidita’ Importante fattore di rischio per MCV. > del 50% dei decessi prematuri nei pz con AR è imputabile a eventi cardiaci (vasculite, ATS)
  • 7.
    IMPATTO SULLA VITAQUOTIDIANA AR evolve in un danno alle articolazioni e porta a progressiva disabilità con conseguenze sulla vita quotidiana, tra cui impossibilità a compiere azioni semplici come vestirsi oppure lavorare 50% dei pz riporta vari gradi di invalidità o non autosufficienza entro 20 anni dall'esordio della malattia Le manifestazioni cliniche della malattia non curata in modo ottimale portano a disabilità nell'80% dei casi
  • 9.
    CRITERI DIAGNOSTCI I nuovicriteri sono disegnati per la classificazione di pz che hanno almeno un’articolazione con sinovite clinica La classificazione prevede un algoritmo a punteggio, in cui bisogna sommare lo score di quattro categorie (A-D): coinvolgimento articolare (A), sierologia (B), durata dei sintomi (C) reattanti di fase acuta (D)
  • 10.
    CRITERI DIAGNOSTCI Coinvolgimento articolare:si riferisce ad articolazioni clinicamente dolenti o tumefatte, che possono essere confermate attraverso il riscontro di sinovite con tecniche di imaging. Sono escluse dalla valutazione le interfalangee distali (IFD), le prime carpometacarpali e le prime metatarsofalangee (MTF). Vengono considerate grandi articolazioni le spalle, i gomiti, le anche, le ginocchia e le caviglie; vengono considerate piccole articolazioni le metacarpofalangee (MCF), le interfalangee prossimali (IFP), le metatarsofalangee. Sierologia: gli esami di laboratorio forniscono un importante ausilio ai fini diagnostici e prognostici. Oltre infatti agli indici di flogosi (rilevatori dell’attività di malattia), esistono autoanticorpi dosabili con diversa specificità e sensibilità, in grado di evidenziare un quadro patologico anche molti anni prima della manifestazione clinica. L’autoanticorpo utilizzato storicamente come marker sierologico per l’AR è il Fattore Reumatoide (FR), un anticorpo di classe IgM diretto contro il frammento Fc dell’immunoglobulina G umana. Una negatività del FR non esclude tuttavia la diagnosi, poiché in circa il 15% dei casi l’artrite è sieronegativa. D’altro canto una positività non è necessariamente sinonimo di malattia, dal momento che il FR è positivo approssimativamente nel 3-5% della popolazione sana, in altre patologie autoimmuni (ad esempio nella sindrome di Sjögren primaria, viene riscontrata positività per il FR nel 70% circa dei casi) e in corso di varie malattie infettive croniche come per esempio l’Epatite C. A causa della sua bassa specificità sono stati sviluppati nuovi test sierologici, tra cui la 16 rilevazione degli anticorpi anti peptide ciclico citrullinato (anticorpi anti-CCP) che possiedono una specificità del 95% (sensibilità 67%) e sono migliori predittori di un decorso sfavorevole con una più grave e rapida distruzione articolare. Nei nuovi criteri classificativi viene valutata la positività del FR e degli anticorpi anti-CCP e, per la prima volta, è stato considerato il titolo anticorpale alto o basso (più o meno di 3 volte il limite superiore del test impiegato). Questo rappresenta però un aspetto di criticità in quanto l’attendibilità dei laboratori nel misurare FR ed anticorpi anti-CCP non risulta uniforme
  • 11.
    CRITERI DIAGNOSTCI Durata deisintomi: si riferisce alla durata dei segni o sintomi di sinovite (dolore, tumefazione, dolorabilità) indipendentemente dalla terapia in atto. Reattanti di fase acuta: si riferiscono al valore della VES e/o alla PCR (è sufficiente avere uno dei due parametri elevato). Per classificare un paziente come affetto da AR definita è necessario un punteggio totale > 6. I pazienti con un punteggio inferiore dovrebbero essere monitorati nel tempo.
  • 12.
    IMAGING Ruolo fondamentale Radiografia: goldstandard per la valutazione del danno erosivo; particolarmente utile per il followup della malattia, per definirne la severità in un determinato momento e determinare l’efficacia della terapia (follow-up annuale o addirittura semestrale). >metodo di Larsen e metodo di Sharp
  • 13.
    IMAGING RMN: informazioni utilispecie nelle fasi iniziali della malattia, in grado di valutare lo stato della membrana sinoviale, una sua eventuale imbibizione edematosa e l'entità della vascolarizzazione a livello delle articolazioni interessate. Inoltre, trova applicazione nella precisa definizione di talune complicanze, quali la sub-lussazione atlanto-epistrofea o l’osteonecrosi. Ecografia: sta assumendo un’importanza sempre crescente; permette infatti una valutazione diretta della vascolarizzazione sinoviale, dello stato di tendini e guaine tendinee, il riconoscimento di edema infiammatorio capsulo-sinoviale, la presenza di erosioni ossee ed alterazioni della cartilagine articolare con possibilità di studio dinamico dell’articolazione
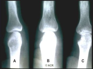
  • 14.
    Erosioni articolari • L’Rx convenzionale rappresenta il mezzo più diffuso, rapido ed economico per evidenziare le erosioni articolari; in realtà tale tecnica non ne consente, in molti casi, una individuazione precoce • Viene quindi ribadita l’importanza dello strumento ecografico e in particolare dell’eco power-doppler, in quanto mezzo certamente più economico della RM e più efficace dell’ Rx convenzionale per evidenziare precocemente le erosioni e la attività infiammatoria del panno sinoviale • tutte le metodiche diagnostiche sono comunque utili, ma l’ecografia è più sensibile • La presenza di erosioni (a prescindere dalla tecnica impiegata per la diagnosi) è un importante indice di aggressività
  • 17.
    Da non dimenticare Sublussazionedi C1 su C2 L’AR puo’ causare un’instabilita’ asintomatica del collo La manipolazione durante sedazione puo’ causare una lesion midollare
  • 18.
    MISURE DI OUTCOME Pervalutare la risposta terapeutica è necessario utilizzare dei parametri obiettivi e ripetibili che tengano conto del target di malattia.  il controllo del dolore, dell’infiammazione e della progressione radiologica DAS (Disease Activity Score): score che tiene conto del numero di articolazioni dolenti e tumefatte, degli indici di funzionalità e della valutazione globale del paziente sul suo stato di salute su una scala visiva analogica. 20 In origine il DAS utilizzava l’indice articolare di Ritchie (RAI) per contare la dolorabilità di 53 articolazioni e la tumefazione di 44 di esse. DAS28, più utilizzato per semplicità nella pratica clinica, impiega una conta articolare semplificata a 28 articolazioni che include: spalle, gomiti, polsi, MCF e IFP, interfalangea del 1° dito e ginocchia. Esclude invece: anche, caviglie e piedi. In entrambi vengono considerati anche il valore dei reattanti di fase acuta (VES o PCR) e una valutazione globale del paziente su una scala analogica visiva (VAS, da 0 a 100 mm). I quattro parametri vengono quindi sommati secondo formule. Nella pratica clinica esistono dei calcolatori automatici di DAS e DAS28 che semplificano e velocizzano la valutazione. La remissione è definita per un DAS ≤ 1,6 o un DAS28 ≤ 2,6.
  • 19.
    Grado di attivitàdell’AR La valutazione di attività viene routinariamente fatta utilizzando il DAS (Disease Activity Score) e precisamente il DAS28
  • 20.
    Grado di attività> DAS28 Remissione: DAS28 < 2,6 • - Bassa attività (low disease activity): DAS28 < 3,2 • - Attività moderata: DAS28 >3.2 e < 5.1 • - Attività elevata: DAS28 > 5.1 • Il calcolo del DAS dovrebbe essere eseguito almeno in 2 occasioni a distanza di 1 mese
  • 21.
    Principali fattori prognosticidi gravità - elevato numero di articolazioni tumefatte e dolenti - presenza di erosioni o comunque di progressione Rx - livelli elevati di anticorpi anti peptidi ciclicicitrullinati (anti citrullina) - presenza di malattia extra articolare
  • 44.
    Il fattore tempoè cruciale nel trattamento dell’AR • Il trattamento va iniziato il più rapidamente possibile • Il trattamento inefficace va modificato il più rapidamente possibile • La risposta al trattamento (remissione) va ottenuta il più rapidamente possibile
  • 51.
    Early rheumatoid arthritis •quadro clinico di AR con esordio non oltre i 6 mesi AR aggressiva • presente almeno una erosione articolare e/o è presente una elevata attività clinica di malattia
  • 67.
    Le componenti del dolore: -nocicettivo - neuropatico - centrale
  • 69.
    DOLORE Meccanico • Insorge improvvisamente • Insorgedopo lavoro • Migliora con il riposo • Dura pochi giorni • Migliora poco con FANS Infiammatorio • Insorge subdolamente • Insorge a riposo • Migliora con movimento • Dura a lungo • Meglio assai con FANS
  • 70.
    AR ARTROSI • Il doloreè esacerbato dal movimento • Il dolore regredisce con il riposo • Rigidità mattutina < 30’ • Dolore infiammatorio a riposo • Bilateralità e simmetria • Rigidità mattutina > 60’
  • 71.
    Esiti a lungotermine Ridotta qualità e aspettativa di vita Distruzione articolare Inabilità al lavoro Alterazioni psicologiche Disabilità Effetti collaterali farmaci Comorbidità
  • 72.
    VISSUTO • infanzia • ruolosociale • famiglia PRESENTE • benessere • umore/autostima • responsabilità FUTURO • progetti • impegni assunti • aspettative
  • 73.
    Le percezioni deimalati: – Si attendono una vita con dolore (70%) – Temono di non poter contribuire al bilancio familiare (51%) – Temono di non potersi permettere la terapia (53%) – Solo 22% dichiarano di aspettarsi una vita normale – 46% sono soddisfatti del trattamento  pazienti con AR più aggressiva hanno peggiore “attesa” per il futuro  donne e gli anziani hanno maggior timore di non potere in futuro accudire se stessi o di non potersi permettere i farmaci  tra questi vi è una maggiore incidenza di depressione
  • 74.
    J Rheumatol 2005;32:1013–9) Nonsuicide Sharpe L, Sensky T, Allard S. The course of depression in recent onset rheumatoid arthritis: the predictive role of disability, illness perceptions, pain and coping. J Psychosom Res 2001;51:713–9. • Un certo grado di depressione viene rilevato nei pazienti con recente diagnosi di AR, come nei pazienti con malattia di lunga durata • Depressione può associarsi a iperalgesia centrale (FM) • Depressione correla con PCR e TNF aumentati Importanza di terapia cognitivo-comportamentale e ruolo dello psicologo
  • 75.
  • 76.
    Il dolore cronicoè una condizione fisica ed esistenziale che C. Saunders ha definito “dolore totale” Esso coinvolge: la sfera fisica la sfera psichica la sfera socio-economica la sfera spirituale
  • 77.
    Mentre il doloreacuto è funzionale alla conservazione dell’integrità dei tessuti e informa circa eventuali alterazioni organiche, il dolore cronico spesso non è più un sintomo, ma diventa esso stesso malattia con forti implicazioni psicosomatiche ed emozionali
  • 78.
    Il dolore èun’esperienza soggettiva e in quanto tale, personale e unica. Infatti, la sensibilità al dolore, le modalità della sua percezione e organizzazione cognitiva, cioè il vissuto soggettivo del dolore è proprio di ogni individuo, è legata al soggetto ed alla sua storia ed è, in ogni momento, sintesi viva e memoria inconscia delle esperienze emozionali e relazionali di piacere/dispiacere
  • 79.
    Il dolore cronicoscatena risposte emozionali di ansia, depressione, angoscia, le quali a loro volta accrescono il dolore, il quale aumenta l’intensità delle risposte emozionali, e così via. La distinzione tra dolore fisico e mentale è spesso difficile: • condizioni fisiche dolorose creano dolori mentali • condizioni psicologicamente stressanti possono provocare dolori fisici
  • 80.
    Il medico • Contestualizzaree comunicare la diagnosi • Esplicare il percorso di cura e gli “snodi” • Discutere e condividere le opzioni terapeutiche e gli obiettivi (remissione) • Coinvolgimento del paziente nella gestione delle azioni di cura • Supporto futuro
  • 82.
    LA CURA Deve considerarela persona e non solo la malattia • Viene da fuori – Farmaci, chirurgia, fisiochinesiterapia, agopuntura • Viene da dentro – Adesione, comportamento, meditazione • AGIRE PER IL BENESSERE COMPLESSIVO
  • 83.
    • La culturadel benessere – Norme dietetiche e controllo ponderale – Il movimento scelta di vita – L’abitudine all’esercizio – La protezione articolare – Il sonno riposato
  • 84.
    La cura ela prevenzione • Non solo farmaci: – Terapia cognitivo-comportamentale – Rinforzo muscolare – Shiatsu e meditazione – Gruppi di auto-aiuto – Mindfulness – Thai Chi, yoga • Non solo in ospedale – Ruolo del Comune e del volontariato
  • 85.
    CONTRIBUTO AL BENESSERE •SIGNIFICA CONTRIBUIRE ALLA COSTRUZIONE DI UNA SOCIETA’ MIGLIORE DOVE NESSUNO RESTA SOLO • PER IMPARARE A STARE INSIEME, LEGATI DA VALORI UNIVERSALI QUALI LA SOLIDARIETA’, LA GENTILEZZA E LA CORTESIA LASCIAMO IL MONDO MIGLIORE DI COME L’ABBIAMO TROVATO Baden Powell
  • 88.
    Da non dimenticare Lagastropatia jatrogena da FANS e’ subdola e puo’ essere fatale…
  • 95.
    TRATTAMENTO DELL’ARTRITE REUMATOIDE Da piùdi un decennio l’approccio terapeutico è notevolmente cambiato. Fino alla fine degli anni ’80-’90, il trattamento si basava sull’uso di FANS e steroidi, spesso a cicli, riservando i farmaci di fondo (al tempo era disponibile sostanzialmente solo il MTX) ai soli casi refrattari o recidivanti al trattamento anti- infiammatorio. In quegli anni si è assistito alla cosiddetta inversione della piramide terapeutica, indicando i DMARDs, spesso anche in combinazione, come trattamento iniziale dell’AR e relegando gli anti-infiammatori e lo steroide a terapia di supporto nei momenti di riacutizzazione della malattia. La terapia è comunque multidisciplinare, dovendo combinare presidi farmacologici (FANS, steroidi, DMARDs, farmaci biologici) e non farmacologici (riabilitazione, correzione chirurgica, approccio psicologico)
  • 96.
    TRATTAMENTO DELL’ARTRITE REUMATOIDE Si raccomandaoggi un approccio “treat to target” al fine di ottenere in tempi rapidi la remissione o una bassa attività di malattia. > un trattamento aggressivo e precoce è in grado di ritardare o addirittura impedire l’instaurarsi del danno articolare radiologico. Per intraprendere una terapia precoce è quindi fondamentale una diagnosi precoce, in grado di individuare quei pazienti a rischio di evoluzione verso una franca AR ad esito sfavorevole rispetto a quelli destinati probabilmente a rimanere in uno stadio di artrite indifferenziata o di mild arthritis
  • 97.
    DMARDs: disease modifying antirheumaticdrugs Finalizzati a ridurre l’infiammazione e il conseguente danno strutturale DMARDs sintetici e DMARDs biologici. I DMARDs sintetici sono classificati a loro volta in DMARDs sintetici convenzionali e DMARDs sintetici target Quest’ultimi sono rappresentati da farmaci con un altro meccanismo d’azione e il target principale è rappresentato dalle proteine JAK
  • 98.
    scDMARDs (sintetici convenzionali) METHOTREXATEpotente immunosoppressore che agisce come analogo delle purine inibendo in modo competitivo e reversibile la diidrofolato reduttasi. La sua azione è maggiore sulle cellule ad alto tasso di replicazione. Considerata la notevole efficacia e i numerosi dati di sicurezza disponibili in letteratura viene considerato il farmaco di prima scelta. Può essere somministrato per via orale oppure, preferibilmente, per via intramuscolare o sottocutanea. Nel corso del trattamento è importante monitorare l’emocromo (per la possibile insorgenza di leucopenia o di pancitopenia) e la funzionalità epatica. Incrementi delle transaminasi oltre 3 volte il range di normalità impongono la sospensione del farmaco o quantomeno una riduzione del suo dosaggio. LEFLUNOMIDE potente immunosoppressore che agisce inibendo la formazione delle pirimidine. La sua azione è maggiore sulle cellule ad alto tasso di replicazione. Fino a pochi anni fa considerato un farmaco efficace come monoterapia di prima linea, nelle ultime linee guida americane è stato proposto anche nelle terapie di combinazione con il methotrexate. Anche in questo caso è importante controllare l’emocromo (per possibili interferenze sulla sintesi sia della linea mieloide che linfoide) e la funzione epatica. L’uso cronico può accompagnarsi a rialzi pressori che possono determinare la sospensione del trattamento. CICLOSPORINA efficace nell’AR ma soprattutto nella AP, utilizzato prevalentemente in Europa (tant’è che non viene indicato nelle linee guida americane). L’alta frequenza di ADR, prevalentemente ipertensione, nefrotossicità ed ipertricosi, ne limita talvolta l’utilizzo nella pratica clinica.
  • 99.
    scDMARDs (sintetici convenzionali) SULFASALAZINAben tollerato ma con una blanda azione. La potenza relativamente bassa ed il ridotto numero di studi a supporto della sua efficacia fanno sì che nelle linee guida il farmaco venga raccomandato solo in assenza di fattori prognostici sfavorevoli. Il numero elevato di compresse da assumere per raggiungere il dosaggio terapeutico (fino a 6 cpr/die) può compromettere la compliance da parte del paziente. Viene spesso consigliato come farmaco nelle terapie di combinazione. Nel corso della terapia è importante monitorare l’emocromo (descritte agranulocitosi) e sospendere il trattamento in caso di comparsa di eruzioni cutanee. IDROSSICLOROCHINA soprattutto nelle terapie di associazione. In monoterapia, analogamente a quanto accade per la sulfasalazina, conservano un valore terapeutico solo nei pz con malattia molto lieve o che hanno controindicazioni all’uso di altri DMARDs. Nell’uso cronico è necessario monitorare il fondo dell’occhio per la possibile formazione di depositi retinici (rischio presente soprattutto per dosaggi superiori a 400 mg/die). AZATIOPRINA farmaco immunosoppressore in grado di ridurre l'attività della malattia. Tuttavia non sono stati pubblicati dati positivi sull’effetto del farmaco sulla progressione radiologica e lo stato funzionale a lungo termine. Nella pratica clinica l’alto livello di tossicità (soprattutto ematologica ed epatica) ne limita l'utilizzo. Nei pazienti con morbo di Chron, trattati con una terapia di associazione che prevedeva adalimumab ed azatioprina, sono stati descritti un numero significativo di linfomi a cellule T. Questo dato influenza negativamente la scelta dell’azatioprina anche nei pazienti reumatologici.
  • 101.
    Choy EHS. NEJM2001;344:907-12 Choy EHS. NEJM 2001 abatacept Anti-CD20 Anti-TNFα IL1-RA Tocilizumabdenosumab Quali bersagli terapeutici nell’AR ?
  • 102.
    Adapted with permissionfrom Choy EHS, Panayi GS. N Engl J Med. 2001;344:907–916. Copyright © 2001 Massachusetts Medical Society. All rights reserved. Come agiscono i farmaci biotecnologici ? 1) Inibizione delle citochine infiammatorie CK infiammatoria Interazione normale Neutralizzazione della CK recettore Recettore solubile Anticorpo monoclonale Nessun segnale Segnale di attivazione della infiammazione Antagonista recettoriale
  • 103.
    T-Linfocito antigeneMHC II TCR attivazione proliferazione Recettoresolubile modified from Kremer JM, et al. J Clin Rheumatol 2005. Come agiscono I farmaci biotecnologici ? 2) Inibizione dell’interazione tra cellule
  • 104.
    anticorpo monoclonale CD 20 attivazione del complementoe lisi della membrana cellulare attivazione di segnali di “autodistruzione” membrana cellulare B-linfocito Come agiscono I farmaci bioptecnologici ? 3) distruzione mirata delle cellule
  • 105.
    • TNF alphainhibition (MoAbs) – Infliximab IV – Adalimumab SC – certolizumab pegol SC – Golimumab SC • TNF alpha inhibition (soluble receptor) – Etanercept SC • IL1 inhibition (receptor antagonist) – anakinra SC • IL6 receptor inhibition (MoAb) – Tocilizumab IV • CTLA4-Ig (soluble receptor) – Abatacept IV • Anti-CD20 (MoAb) – Rituximab IV FIRST LINE BIOLOGIC AGENTS 2nd LINE Quali sono i farmaci biotecnologici per l’AR oggi disponibili ?
  • 106.
    2000 2001 20022003 2004 2005 2006 2007 2008 2009 2010 2011 Etanercept 2000 Infliximab 2000 Adalimumab 2003 Golimumab 2009 Adapted from European Medicines Agency website )(EPARs (http://www.ema.europa.eu/ema/index.jsp?curl=pages/medicines/landing/epar_search.jsp&murl=menus/medicines/me dicines.jsp&mid=WC0b01ac058001d125) Certolizumab 2010Rituximab TNF failure 2006 Abatacept TNF failure 2007 Tocilizumab 2009 Da quanto tempo sono disponibili i farmaci biotecnologici per l’AR?
  • 108.
    bDMARDs (biologici) • molecoleottenute con la tecnologia del DNA ricombinate, in grado di bloccare selettivamente una citochina od una particolare interazione cellulare individuate come punti chiave nella patogenesi della malattia. • hanno permesso la remissione clinica in un’alta percentuale di pazienti e si sono dimostrati capaci di rallentare (in alcuni casi e condizioni bloccare) la progressione radiologica dell’ AR. Quelli attualmente in commercio per l’AR hanno come bersagli molecolari il TNFα (Tumor Necrosis Factor α), il recettore per l’interleuchina 1, il recettore per l’IL-6, il CD-20, il CD-80 ed il CD86 (noti anche come B7-1 e B7-2, entrambi fondamentali per la co-stimolazione linfociti B - linfociti T)
  • 109.
    bDMARDs (biologici) l’infiammazione cronicaè determinata ed alimentata dalla rottura dell’equilibrio fisiologico tra citochine e chemochine pro- infiammatorie ed anti-infiammatorie che portano all’induzione della cascata infiammatoria. rottura di questo equilibrio e nelle sedi articolari permangono cronicamente elevate e prevalenti le proteine proinfiammatorie > dolore, tumefazione e rigidità articolare. Una delle citochine di maggior interesse è il Tumor Necrosis Factor α (TNFα), verso il quale sono diretti i primi farmaci biologici. Altre citochine chiave nel processo fisiopatologico delle artriti infiammatorie sono IL1, IL6, IL17 e rappresentano il target di altri farmaci biologici.
  • 110.
    bDMARDs (biologici) Nell’infiammazione, inoltre,sono coinvolte diverse cellule del sistema immunitario che hanno un ruolo fondamentale nello sviluppo e nel mantenimento dello stato infiammatorio. Fanno parte di queste, i linfociti T e B, che sono il target di altri farmaci biologici.
  • 112.
    Come definire larisposta al trattamento con i cDMARDs o bDMARDs? Obiettivo del trattamento è la remissione clinica e funzionale o almeno il raggiungimento di uno stato di Low Disease Activity (LDA) e la mancata progressione radiologica della malattia In particolare col trattamento ci si propone: • un miglioramento clinico e funzionale e cioè: • il controllo dei sintomi (dolore, astenia, rigidità articolare, ecc.) • la riduzione dell’attività di malattia (controllo degli indici di flogosi) • il miglioramento della funzione motoria • un rallentamento o arresto del danno osteo-articolare • la prevenzione della disabilità
  • 113.
    AR: elenco biologici Infliximab(Remicade®) Infliximab (Inflectra®) Infliximab (Remsima®) Adalimumab (Humira®) Golimumab (Simponi®) Etanercept (Enbrel®) Certolizumab (Cimzia®) Tocilizumab (RoActemra®) Abatacept (Orencia®) Anakinra (Kineret®) Rituximab (Mabthera®)
  • 115.
    ANTI-TNF α Gli inibitoridel TNFα attualmente disponibili fanno parte di due classi differenti: gli anticorpi monoclonali e i recettori solubili. INFLIXIMAB è un anticorpo chimerico murino ed è stato il primo anti-TNFα utilizzato nell’AR. E’ l’unico anti-TNFα che deve essere somministrato e.v. La posologia è di 3 mg/Kg ogni 6 settimane per AR e 5 mg/kg per AP e SA. Ci sono attualmente in commercio due biosimilari di infliximab che negli studi PLANETAS (studio di farmacocinetica in SA) e PLANETRA (studio di fase III in AR) hanno dimostrato una quadro di efficacia e safety sovrapponibile all’originator. ADALIMUMAB è un anticorpo monoclonale completamente umano. E’ somministrato per via sottocutanea al dosaggio di 40 mg/2 settimane. GOLIMUMAB è un altro anticorpo monoclonale di tipo umano che viene somministrato sottocute, ma con frequenza mensile alla dose di 50mg. CERTOLIZUMAB PEGOL è un frammento Fab' PEGilato di un anticorpo monoclonale umanizzato (200 mg/2 settimane per via s.c.). La pegilazione permetterebbe una maggior penetrazione nei tessuti infiammati. ETANERCEPT è una proteina di fusione completamente umana, costituita da due copie del recettore umano p75 per il TNF (recettore solubile del TNFα). La dose raccomandata per l’AR è 50 mg/settimana s.c. (in 1 o 2 somministrazioni). E’ attualmente disponibile un biosimilare di etanercept che nei pazienti affetti da AR ha dimostrato pari efficacia e un quadro di safety tranquillizzante.
  • 116.
    ALTRI BIOLOGICI TOCILIZUMAB èun anticorpo monoclonale umanizzato diretto contro il recettore per l’IL-6. Viene somministrato per via e.v. al dosaggio di 8 mg/kg/4 settimane. Negli ultimi anni si è resa disponibile una formulazione sottocutanea da 165 mg da effettuarsi settimanalmente. Sono stati condotti studi in monoterapia, senza associazione con il methotrexate, in cui tocilizumab è risultato parimenti efficace sia che fosse o non fosse associato a terapia di fondo [22]. Questo ne fa un’opzione terapeutica importante per quei 5 pazienti che non tollerano o hanno avuto eventi avversi severi con DMARDs tradizionali. ABATACEPT è una proteina di fusione composta dalla regione Fc delle IgG1 e dal dominio extracellulare di CTLA-4. E’ in grado di legare CD80 (B7-1) e CD86 (B7-2) modulando il legame tra le cellule presentanti l’antigene e i linfociti T. Ci sono due formulazioni del farmaco: per via endovenosa e per via sottocutanea. Il farmaco per via endovenosa viene somministrato ogni 4 settimane a dosaggio variabile secondo il peso del paziente (500 mg se ≤ 60 kg, 750 mg tra 60 e 100 kg, 1000 mg sopra i 100 kg). Abatacept per via sottocutanea (SC) invece può essere iniziato con o senza una dose di carico endovenosa (EV) e deve essere somministrato una volta a settimana al dosaggio di 125 mg per iniezione sottocutanea indipendentemente dal peso. ANAKINRA è un antagonista recettoriale dell’interleuchina-1 (IL-1) che blocca l’eccessiva segnalazione infiammatoria associata all’artrite; viene somministrato per via s.c. al dosaggio di 100 mg/die tramite siringhe predosate. Nei pazienti con AR, la concentrazione dell’antagonista naturale del recettore per l’IL-1 a livello della sinovia e del liquido sinoviale sembra non essere adeguata, con uno sbilanciamento dell’equilibrio omeostatico verso il frangente infiammatorio [25]. L’IL-1 induce tra l’altro una perdita di proteoglicani, causando danni tissutali quali degradazione cartilaginea e riassorbimento osseo. Nella maggior parte degli studi è sempre stato somministrato in combinazione con methotrexate. Non esistono studi di confronto tra anakinra ed anti-TNFα, ma dati 6 indiretti suggerirebbero un’efficacia inferiore del primo sui secondi (38% vs 50% dell’infliximab, secondo i criteri di remissione ACR 20). Prima di iniziare il trattamento occorre valutare la conta dei neutrofili, che dovrebbe essere ripetuta mensilmente per i primi 3 mesi di terapia, e successivamente ogni 4 mesi per almeno un anno [26]. RITUXIMAB è un anticorpo chimerico (umano/murino) che ha come bersaglio l’antigene CD20 situato sulla superficie dei linfociti B. Il farmaco va somministrato al dosaggio di 1000 mg in 2 infusioni (la seconda dopo 2 settimane dalla prima) per via e.v. da ripetere ogni 6 mesi. L’idea di utilizzare questo farmaco nell’artrite reumatoide è nata dall’osservazione che nei pazienti colpiti da linfoma che erano anche affetti da AR vi era un netto miglioramento della sintomatologia articolare quando venivano trattati con rituximab per il linfoma. Sono stati pertanto disegnati studi ad hoc che hanno permesso di documentare miglioramenti clinicamente significativi nei pazienti con AR attiva di lunga durata ed una risposta inadeguata ad uno o più anti-TNFα precedentemente utilizzati [27- 29]. Il farmaco va somministrato per via e.v. una volta ogni 6 mesi. L’infusione ha una durata maggiore di quanto non sia necessario per gli altri farmaci e deve essere eseguita dopo premedicazione con steroidi, anti-istaminici ed antipiretici per l’alta percentuale di reazioni infusionali (anche fatali) che si accompagnano soprattutto alla prima somministrazione del farmaco. E’ l’unico farmaco che a meno di motivazioni cliniche specifiche non può essere utilizzato in prima linea
  • 117.
    AR: cosa c’e’di nuovo Negli ultimi due decenni il trattamento è stato completamente rivoluzionato dall’acquisizione di concetti chiave che ad oggi rappresentano il cardine della strategia di gestione di questa patologia, quali importanza della diagnosi precoce, con relativa rivisitazione dei criteri classificativi al fine di renderli più consoni all’identificazione di quadri di recente insorgenza l’approccio terapeutico secondo una logica di treat-to-target (T2T), che presuppone l’adeguamento della terapia in rapporto al costante monitoraggio dell’attività di malattia con specifici indici compositi; la necessità di una personalizzazione del trattamento sul singolo individuo nel contesto del principio di “precision medicine”, la cui applicazione è in costante espansione nella maggior parte delle branche mediche
  • 118.
    in base aidati di registro disponibili non più del 50% dei pz trattati raggiunge ad oggi il target di una remissione clinica e la proporzione di soggetti in remissione “drug-free”, pur nelle condizioni ideali di applicazione della strategia di diagnosi precoce e T2T di trial clinici dedicati non supera il 15-20%...
  • 119.
    Le ragioni diquesto successo solo parziale sono da ricercarsi in diversi aspetti ancora non ottimizzati della gestione della malattia Le strategie di early referral dei pz con sospetta AR all’esordio verso un centro di reumatologia specializzato (le cosiddette Early Arthritis Clinic) non hanno finora completamente consentito di operare una diagnosi sufficientemente precoce
  • 120.
    il crescente numerodi agenti biologici con diversi meccanismi di azione, se da un lato ha certamente ampliato le possibili opzioni di trattamento (peraltro non consentendo di coprire la totalità dei pz, alcuni dei quali risultano multipli non responders a tutti gli agenti biologici disponibili, dall’altro ha fatto emergere il problema di come operare la scelta corretta del farmaco ideale per ogni singolo soggetto in un contesto di scarsa evidenza scientifica in merito a specifici biomarkers in grado di orientare l’approccio di terapia
  • 121.
    Inibitori Janus Kinasi(anti-JAK) stDMARDs (sintetici target) l’ introduzione in commercio di una nuova classe di farmaci targeted, rappresenta un’importante opportunità per far fronte ad una parte dei bisogni insoddisfatti dal punto di vista patogenetico, l’inibizione delle JAK consente di avere a disposizione un meccanismo di azione in grado di inibire la trasduzione all’interno della cellula del segnale generato dall’interazione di una citochina (o fattore di crescita) con il suo specifico recettore collocato sulla parete cellulare. In ragione della diffusione delle JAK su numerose pathways di segnale, l’uso di inibitori delle JAK consente di poter bloccare contemporaneamente più vie citochiniche (anziché inibire un unico segnale come è possibile fare con la maggior parte dei farmaci biologici), offrendo così uno spettro di azione certamente più ampio e potenzialmente più efficace
  • 122.
    Inibitori Janus Kinasi(anti-JAK) stDMARDs (sintetici target) La famiglia JAK si compone di almeno 4 sottotipi (JAK1, JAK2, JAK3 e TYK2), ognuno dei quali è variamente coinvolto nella via di trasduzione del segnale di diverse citochine pro- infiammatorie con effetti fisiologici e patogenetici conseguentemente differenti La ricerca di inibitori farmacologici si è quindi indirizzata verso la produzione di farmaci con attività più o meno selettiva sulle singole kinasi e tra i prodotti attualmente in fase avanzata di sviluppo troviamo farmaci con azione mirata su tutte le JAK (pan-JAK inibitori come tofacitinib) o con azione selettiva su alcuni di essi, come baricitinib (anti-JAK 1-2), upadacitinib e filgotinib (anti-JAK 1), peficitinib (anti-JAK 1-3) e decernotinib (anti-JAK 3)
  • 123.
    scDMARDs: POCHI BENEFICIDALLE CURE 40-50% dei pz assenza miglioramenti dal trattamento di prima linea che solitamente si basa sull'uso del MTX L'efficacia della terapia con MTX viene valutata a 3 mesi e poi a 6, per capire il raggiungimento di uno stato di controllo dei sintomi e, possibilmente, di remissione della patologia Se il paziente non risponde e non ne trae beneficio, è necessario passare a terapie di seconda linea
  • 124.
    stDMARDs: Baricitinib (Oluminant) Meccanismoinnovativo > inibisce infatti gli enzimi Janus chinasi 1 e 2, molecole intracellulari che modulano i segnali delle citochine infiammatorie responsabili dello sviluppo e della progressione della malattia A differenza dei farmaci biologici in uso da circa vent'anni diretti verso un singolo bersaglio extracellulare, i nuovi farmaci come baracitinib attraversano la parete cellulare e possono bloccare contemporaneamente l'effetto di diverse proteine (citochine) pro- infiammatorie 1 cpr 4 mg/die ha determina miglior controllo della malattia, in particolare del dolore, già dalle prime settimane per poi confermarsi dopo 24 e 52 settimane di trattamento
  • 125.
    stDMARDs: Baricitinib (Oluminant) Puo’essere somministrato in momoterapia o in associazione con MTX 28 cpr 4 mg euro 1.035,13
  • 126.
    stDMARDs: Baricitinib (Oluminant) Lanuova molecola è indicata per i pz che non ottengono miglioramenti significativi, o risultano intolleranti, ad uno o più farmaci biologici anti- reumatici, tra cui il MTX, sia in monoterapia che in combinazione tra di loro. Poter disporre di un farmaco efficace sin dalle prime settimane di trattamento rappresenta un grande vantaggio in quanto permette di controllare rapidamente le manifestazioni cliniche L'approvazione del farmaco si basa sui risultati di quattro studi clinici di fase III in pz affetti da AR attiva da moderata a severa. In tutti gli studi di fase III è stata riscontrata una diminuzione del 20%, 50% e 70% della condizione clinica di partenza, misurata secondo i criteri dell'American College of Rheumatology.
  • 127.
    stDMARDs: Baricitinib (Oluminant) Altro importantevantaggio: per os e monosomministrazione Migliore aderenza ai trattamenti rispetto ai farmaci iniettivi.  risparmio in ore di lavoro, spostamenti e richieste di supporto a familiari e/o caregiver.  una terapia orale è più accettabile perché l'ago fa sempre paura, e proprio per questo motivo spesso il malato non è aderente ai trattamenti iniettivi  disporre di una compressa ci facilita la gestione della malattia anche negli spostamenti, nei viaggi, sul lavoro, con un vantaggio in termini di qualità della vita
  • 128.
    stDMARDs: Tofacitinib (Xeljanz) pan-JAK-inibitore:primo ad essere approvato al dosaggio di 5 mg per 2 volte al giorno AR in fase attiva da moderata a severa, in pz adulti che hanno risposto in maniera inadeguata o sono intolleranti ad uno o piu’ farmaci DMARDs. In associazione a MTX o in monoterapia in caso di intolleranza a MTX o quando MTX non e’ appropriato Costo 182 cpr Riv 5 mg euro 3.866.89
  • 129.
    Conclusioni Nonostante l’introduzione deifarmaci biologici abbia consentito di migliorare sensibilmente l’applicazione nella pratica clinica delle attuali strategie di gestione dell’AR, a tutt’oggi rimangono degli importanti bisogni insoddisfatti nel trattamento della patologia. L’avvento di una nuova classe di targeted therapies come i JAK inibitori rappresenta in tal senso una sicura opportunità per far fronte agli attuali unmet needs e per migliorare sensibilmente l’outcome clinico di una fetta consistente della popolazione di soggetti affetti da AR