FIBRILLAZIONE ATRIALEFIBRILLAZIONE ATRIALE
Prof. R. Leo, MD, FACPProf. R. Leo, MD, FACP
Argomenti di discussione
 Perché la fibrillazione atriale è trombogenica?
 Quali sono i fattori associati a maggiore rischio trombo embolico
 Ruolo della durata degli episodi di FA
 Efficacia degli antipiastrinici nella prevenzione del tromboembolismo
 Comparazione tra TAO ed antipiastrinici
 Indicazioni alla TAO sec il rischio tromboembolico
 Rischio emorragico e punteggi di rischio emorragico
 NAO: Dabigatran e Rivaroxaban

Altre opzioni. Chiusura percutanea dell’auricola
DefinizioneDefinizione
Aritmia caratterizzata da una rapida e disordinata
attivazione elettrica degli atri (400-600 b/m) con perdita
della contrazione atriale.
La trasmissione degli impulsi atriali ai ventricoli è parziale,
per cui il battito cardiaco risulta irregolare e spesso rapido.
Fibrillazione atriale
Aritmia ipercinetica caratterizzata dalla mancanza di una
depolarizzazione coordinata del miocardio atriale
ElettrocardiogrammaElettrocardiogramma
Pulsus Inaequalis et Irregularis
Einthoven W. Le télécardiogramme. Arch Int Physiol 1906;4:132-164.
•Parossistica
•Persistente
•Permanente
Atrial fibrillation – ECG
1 sec
Holter monitor
Benefits
Limitations
• Every heartbeat recorded over 24 hours
• Paroxysmal episodes recorded even
without symptoms
• Additional information gathered
preceding the event
• Only 24 hours of information
• Low probability of having an event
during the 24 hour observation period
Fibrillazione atrialeFibrillazione atriale
Fibrillazione atrialeFibrillazione atriale
Fibrillazione atriale: elevata rvm
FA a bassa rvm
FA: sovracarico VSx-ischemia
subendocardica
Fibrillazione Atriale + BBS
Interruzione FA e ripristino RS
Fibrillazione atriale (AIAC 2013)
 Parossistica: forme che terminano entro 48h o
che sono interrotte entro questo periodo da CVF
o CVE
 Persistente: forme che persistono oltre 48h (fino
a 1 anno) e/o che sono interrotte da CV dopo
questo periodo (*)
 Permanente: tentativi di CV inefficaci, o con
recidiva immediata della FA
Fibrillazione atriale (AIAC 2013)
 Di nuova insorgenza: forme documentate per la
prima volta
 Ricorrente: qualsiasi forma di recidiva
 Silente (o asintomatica): diagnosticata a seguito
di una complicanza della FA (es. ictus,
tachicardiomiopatia o controllo ECG generico);
comprende qualsiasi forma temporale di FA
Fibrillazione atriale (AIAC 2013)
 Secondaria: forme in cui e’ possibile identificare
la causa, o condizione favorente o associata
 Primitiva (o isolata): forme che colpiscono
individui di giovane eta’ (< 60 aa) senza segni
clinici o eco di concomitante patologia
cardiopolmonare ne’ ipertensione (diagnosi di
esclusione)
Fibrillazione atriale (AIAC 2013)
 Le diverse forme di FA non sono esclusive nello
stesso pz. , ma nel tempo ogni forma puo’ virare
in un’altra.
 L’aritmia va quindi etichettata tenendo conto
della forma di FA prevalente negli ultimi 6 mesi.
EpidemiologiaEpidemiologia
 E’ l’aritmia sostenutaE’ l’aritmia sostenuta più frequentepiù frequente nellanella
pratica clinica.pratica clinica.
 1-2% della popolazione generale nei paesi
occidentali.
 In Italia
– 500.000 sono i pazienti in FA
– 60.000 nuovi casi ogni anno
– Nel 2050 si prevede un raddoppio di tali
numeri
Prevalenza della FA nella popolazione generale
0
2
4
6
8
10
Prevalenza%
50-59 60-69 70-79 80-89
Età
Uomo/donna: 1,5/1
FIBRILLAZIONE ATRIALE: diagnosi
 Caratteristiche del polso (polso aritmico con
variabilità dell’ampiezza).
 ECG: Perdita dell’onda P (attivazione atriale) e
comparsa dell’onda F.
 Fibrillazione atriale (>350 bpm) o flutter atriale (250-
350 bpm).
Atrial fibrillation is associated with
worsening CV disease
Stroke CHF MIStroke
mortality
Non-
stroke
CV
mortality
Non-
CV
mortality
CV
mortality
Total
mortality
Adjusted relative
risk
0.0
0.5
1.0
1.5
2.0
2.5
3.0
3.5 Mortality Morbidity
Krahn AD et al. Am J Med 1995;98:476–84
Conditions related to atrial fibrillation
• Hypertensive heart disease
• Valvular disease
• Coronary artery disease
• Cardiomyopathy (all forms)
• Pericardial disease
• Intracardiac masses
• Electrical disease
- Sinus node dysfunction
- Familial causes
• Cardiothoracic surgery
• Congenital heart disease
• Autonomically mediated
(sympathetic or
parasympathetic)
• Toxin expoxure
• Endocrinopathy (especially
thyroid disease)
• Pulmonary disease
• Neurologic disorders
• Idiopathic
Cardiac causes Non cardiac causes
Predisposition to
atrial fibrillation
Atrial fibrillation and age
Cardiovascular risk
factors at baseline
• Be older
• Have cardiovascular risk
factors
• Have cardiovascular
disease
Atrial fibrillation patients are
more likely to:
40 50 60 70 80 90
0
4
8
12
16
Age
Prevalence
%
Adapted from Wolf PA et al. Stroke 1992;23:1551-5
Prevalence of AF increases with heart failure,
valvular heart disease or CAD
50IV (most severe)
20–29III–IV
10–26II–III
4I (least severe)
Prevalence of AF (%)NYHA class
Fuster V et al. Eur Heart J 2006;27:1979–2030.
Increased potential
for atrial fibrillation
Increased atrial
pressures
Hypertension
High left
ventricular pressures
Hypertension increases the risk of developing
AF almost two-fold
Slowing of atrial
conduction velocity
Impaired ventricular filling
Left atrial enlargement
Left ventricular hypertrophy
AF is a progressive disease
• 1 in 5 patients will progress to permanent AF
• Electrical and anatomical remodelling
- Promotes occurrence and maintenance of AF
• Shorter atrial refractory period
• Reduced contractility
• The longer AF persists, the harder it becomes
to restore and maintain sinus rhythm
.
Triggers of AF
Atrial distension
• Stretching the atrium
• Little evidence of stretch-mediated ion
channels
• May enhance fibrosis and promote
reentrant circuits
• Increased left atrial pressure due to:
- congestive heart failure
- hypertension
• Increased right atrial pressure due to:
- pneumonia
- pulmonary embolism
- hypoxia
- chronic obstructive pulmonary disease
(COPD) and OSAS
Triggers of AF
Vagal stimuli
• Increased vagal tone
• Involves acetylcholine-mediated
ion channels
• Often at night
• Slow heart rate, pain, cold
beverages
• Associated with diverticulitis and
gastric reflux
Triggers of AF
Thyroid disease
• Hypothyroidism or
hyperthyroidism both linked to
atrial fibrillation
• Thyroid receptors in the heart,
but no mechanism defined
Triggers of AF
Metabolic factors
• “Holiday heart” (alcohol-
associated atrial fibrillation)
• Factors that increases
sympathetic tone
- stimulants
- amphetamines
- bronchodilators
- stress
A
T
R
I
A
L
F
I
B
Alcohol
Thyroid disease
Rheumatic heart disease
Ischaemic heart disease
Atrial myxoma
Lung (pulmonary embolism)
Phaeochromocytoma
Idiopathic
Blood pressure (hypertension)
Other causes are known
What causes AF?
AF – pathogenesis
• Multiple re-entry circuits with
shorter wavelengths
• Atrial tissues with highly variable,
shorter effective refractory periods
Spiral wave of contraction
Rapid atrial rate
Pulmonary veins
Right atrium
Left atrium
Site of origin
AF – pathogenesis
• Multiple re-entry circuits with
shorter wavelengths
• Atrial tissues with highly variable,
shorter effective refractory periods
Spiral wave of contraction
Rapid atrial rate
Pulmonary veins
Right atrium
Left atrium
Site of origin
Maintenance:
• Lengthen the waiting
(refractory) period between
excitations
AF – pathogenesis
Atrial remodelling
Mechanical
remodelling
Continued
atrial fibrillation
Facilitated
micro-re-entry
Shortening of
action potential
duration
“Atrial fibrillation begets atrial fibrillation”
Atrial flutter
Generation of atrial flutter
Macro-re-entrant circuit
(between tricuspid valve
and inferior vena cava)
250-350 BPM
Atrial flutter and atrial fibrillation
Both may occur in the same patient
Atrial flutter Atrial fibrillatonRelation not understood
Atrial fibrillation – consequences
•Loss of atrial systolic function (atrial
contribution to ventricular filling is lost)
•Irregular rapid ventricular contractions
•Abnormal blood flow and stasis in
the atria
Cardiac output reduced
Formation of intra-atrial thrombus
Right
atrium
Left
atrium
Left atrial appendage (LAA)
Pulmonary trunk
LAA is the most common site of
intracardial thrombus formation in AF
Auricola sinistra
2. Unstable thrombotic mass
(transoesophageal echocardiography)
A transoesophageal view clearly shows a large
thrombus (red arrow) in the left auricle that may break
away at any moment.
4. Fibrin threads
(scanning electron micrograph)
Fibrin forms rapidly in stagnant blood. Thrombin plays a
pivotal role in the polymerisation of the fibrin strands.
Red blood cells become trapped in the fibrin network as
the thrombus grows.
3. Thrombus formation in the left auricle
(computer graphics superimposed on in-body
photograph)
The irregular beating of the heart in atrial fibrillation
creates ideal conditions for thrombus formation in the left
auricle, especially in patients with mitral valve
insufficiency.
5. Fragmentation of the thrombus
(computer graphics superimposed on in-body
photograph)
As the size of the thrombotic mass increases, it
becomes more of a threat. Especially if the heart rate is
normalised, fragments of the thrombus may break away
to be swept into the circulation.
6. Thrombotic material in the aortic arch
(computer graphics superimposed on in-body
photograph)
Once fragments of the thrombus are in the blood stream
they may be carried to any part of the body. Small
fragments may result in a transient cerebral ischaemic
attack. Larger pieces may have more devastating
consequences.
7. Cerebral thromboembolism
(computer graphics superimposed on in-body
photograph)
25 percent of the blood flow from the heart is pumped to
the brain. Cerebral thromboemboli most frequently affect
the middle cerebral artery.
FA: DIMENSIONE ATTUALE DEL PROBLEMA
MORTE O GRAVE INVALIDITA’ NEL 40%
DEGLI STROKE DOVUTI A FA !!!
5656
Hemodynamic Changes in LAA with AF
AFSinus Rhythm
Mean peak velocity 52 cm/s Mean peak velocity 26 cm/s
Clot in the LAA on MRI Clot in the LAA on Echo Thrombus
LAA Emptying Flow Velocity Echo Signals
With AF, LAA blood flow velocity decreases, increasing risk of thrombus formation
5757
A. 3-D CT
B. Angio: Red arrow—normal MCA
White arrow– absence of MCA
C. CAT scan: Arrow showing LAA clot
MM00453 (01) Intl 06/09
Association of LAA Clot and Stroke
La FA aumenta il rischio di strokeLa FA aumenta il rischio di stroke
• La FA comporta una condizione pro-tromboticaLa FA comporta una condizione pro-trombotica
• Il rischio di ictus è lo stesso indipendentemente dal fatto cheIl rischio di ictus è lo stesso indipendentemente dal fatto che
il paziente sia affetto da forma parossistica o persistenteil paziente sia affetto da forma parossistica o persistente
• Lo stroke cardioembolico presenta una mortalità a 30 giorniLo stroke cardioembolico presenta una mortalità a 30 giorni
del 25%del 25%
• L’ictus relato alla FA comporta una mortalità di ~50% a 1L’ictus relato alla FA comporta una mortalità di ~50% a 1
annoanno
1. Wolf PA, et al. Stroke 1991;22:983-988; 2. Rosamond W et al. Circulation. 2008;117:e25–146; 3.Hart RG, et al. J Am Coll Cardiol 2000;35:183-187;
4. Lin H-J, et al. Stroke 1996; 27:1760-1764; 5. Marini C, et al. Stroke 2005;36:1115-1119.
Gladstone DJ et al. Stroke. 2009; 40:235-240
Effetti del primo evento ischemico in patienti con FA (n=597)
Gravità dell’ictus in pazienti con FAGravità dell’ictus in pazienti con FA
%patienti
Invalidante Fatale
60%
40%
0%
50%
30%
20%
10%
Atrial fibrillation – manifestations
• Palpitations
• Rapid heartbeat
• Sudden pounding in the chest
• Dizziness
• Syncope
• Chest discomfort
• Shortness of breath
Symptoms of AF
Fibrillazione atriale: sintomi 1Fibrillazione atriale: sintomi 1
100100
8080
6060
4040
2020
00
SincopeSincope IntolleranzaIntolleranza
all’esercizioall’esercizio
Pazienti(%)Pazienti(%)
AnginaAngina VertiginiVertigini DispneaDispnea
1414
2929
3333
4949
6868 6969
7878
AffaticabilitàAffaticabilità PalpitazioniPalpitazioni
• Urgency of restoring heart
rhythm
• Identification and
management of factors
associated with arrhythmia
Impact on quality of life determines
Quality of life
Awareness of arrhythmia
Palpitations; a sensation that the heart is skipping
beats, or being inappropriately fast or slow
Aware Unaware
Exercise tolerance
• Loss of atrial kick
• Inappropriate heart
rate response
Reduced exercise
tolerance
Atrial fibrillation – echocardiography
• Provides important information for initial evaluation
• Either transthoracic or transoesophageal
echocardiography may be appropriate
• Initial goal: Establish presence or absence of structural
heart disease
• Left atrial size is an important predictor of outcome
• Transoesophageal approach needed to detect thrombi or
asses left atrial apendage anatomy
Left atrial appendage
FIBRILLAZIONE ATRIALE: quadro clinico
 Elevata risposta ventricolare (>100 bpm)
 Normale risposta ventricolare (50-100 bpm)
 Ridotta risposta ventricolare (<50 bpm)
FIBRILLAZIONE ATRIALE
RISCHIO TROMBO EMBOLICO
 La mancata contrazione atriale comporta stasi
del flusso ematico.
 Rischio di formazione di trombi intra atriali.
 Rischio di emboli arteriosi (soprattutto circolo
cerebrale)
Progressione della FAProgressione della FA
 La FA è una malattia progressiva:La FA è una malattia progressiva:
* nel 14-24% la FA parossistica evolve in FA* nel 14-24% la FA parossistica evolve in FA
persistentepersistente
* nel 30% la FA “lone” evolve in FA permanente* nel 30% la FA “lone” evolve in FA permanente
 Se non viene gestita adeguatamente la FA puo’Se non viene gestita adeguatamente la FA puo’
determinare conseguenze temibili: dannodeterminare conseguenze temibili: danno
emodinamico, ictus, scompenso cardiaco, morteemodinamico, ictus, scompenso cardiaco, morte
FIBRILLAZIONE ATRIALE:
DIMENSIONE ATTUALE DEL
PROBLEMA
 1 % PREVALENZA NELLA POPOLAZIONE GENERALE
 10% PREVALENZA DOPO 80 ANNI
 4,5%/anno RISCHIO MEDIO DI STROKE
 12%/anno RISCHIO DI RECIDIVA DI STROKE
 15% PERCENTUALE DI STROKE SECONDARI A FA
 23% PERCENTUALE DI STROKE SECONDARI A FA DOPO 80 aa
Bialy D, Lehmann MH, Schumacher DN. JACC. 1992;19:41A
La FA e’ l’aritmia che causa il maggior numero
di ospedalizzazioni
Benjamin EJ et al. Circulation 1998; 98: 946-952
Rischio di morte: studio di
Framingham
n = 5209; Follow-up = 40 anni
8080
6060
4040
00
00 22 44 66 88 1010
%decessinelfollow-up
Follow-up (anni)
7070
5050
2020
3030
1010
9977553311
Uomini senza FA
Donne senza FA
Donne FA
Uomini con FA
In pazienti senza
rilevante malattia
cardiovascolare la
sola presenza della
FA aumenta il
rischio di mortalità di
1.5 volte negli
uomini e 1.9 nelle
donne.
Risk of dementia in stroke-free patients diagnosed with
atrial fibrillation: data from a community-based cohort
Yoko Miyasaka1,4, Marion E. Barnes1, Ronald C. Petersen2, Stephen S. Cha3, Kent R. Bailey3,
Bernard J. Gersh1, Grace Casaclang-Verzosa1, Walter P. Abhayaratna1, James B. Seward1,
Toshiji Iwasaka4, and Teresa S.M. Tsang1*
European Heart Journal (2007) 28, 1962–1967
Demenza e deficit cognitivo sono frequenti dopo la diagnosi di FA
STRATIFICAZIONE DEL RISCHIO
ISCHEMICO: CHADS2 SCORE
C = CONGESTIVE HEART FAILURE
H = HYPERTENSION
A = AGE > 75 YEARS
D = DIABETES
S2 = STROKE OR TIA
1 punto per ciascuna delle seguenti
condizioni: scompenso, ipertensione, età,
diabete. 2 punti per pregresso stroke o tia
CHADS2 % stroke/anno
0 1,9
1 2,8
2 4
3 5,9
4 8,5
5 12,5
6 18,2
JAMA 2010
ESC GUIDELINES ON AF
CHA2DS2VASc % embolie/anno
0 0
1 1.3
2 2.2
3 3,2
4 4,0
5 6,7
6 9,8
7 10,0
8 11,1
9 19
C = CONGESTIVE HEART FAILURE
H = HYPERTENSION
A2 = AGE > 75 YEARS
D = DIABETES
S2 = STROKE, TIA, EMBOLISM
V = VASCULAR DISEASE
A = AGE 65 – 74
Sc = SEX CATEGORY (female sex)
CHA2DS2VASc score
Meccanismi della FAMeccanismi della FA
PULMONARY
VEINS
MACROREENTRANT
TACHYCARDIAS
HIGH
FREQUENCY
SOURCES
GANGLIONATED
PLEXY
Barbieri C et al Best Practice dell'Istituto Italiano di Ricerche Cliniche ed Epidemiologiche (IST.RI.C.E.)
therapeutic Approachtherapeutic Approach
Atrial FibrillationAtrial Fibrillation
Leadership. Knowledge. Community.
Drug Management of Atrial Fibrillation
(Rate and Rhythm Control)
Strategies for treating atrial fibrillation
• Rhythm control (including cardioversion)
OR
• Rate control
PLUS
• Anticoagulation therapy
Rhythm and rate control approaches
Rhythm control
• Cardioversion
(electrical or
pharmacological)
• Pharmacological agents
(Class IC and III
antiarrhythmics)
• Surgery
(maze procedure, ablation)
• Device implantation
(pacemaker)
Rate control
• Pharmacological agents
(AV node blockers)
• Surgery with device
implantation (ablation plus
pacemaker insertion)
Pacemaker image courtesy of
St Jude Medical, Inc
Rhythm control approaches
• Electrical cardioversion
• Pharmacological agents
• Non-pharmacological approaches
Rhythm control: aims
• Restore normal sinus rhythm
- Cardioversion
• Maintain normal sinus rhythm
- Prevention of relapses of AF
Strategie controllo ritmo vs. controllo
frequenza (AIAC 2013)
• Superiorità della strategia del controllo del ritmo
rispetto a quella del controllo della frequenza nella
prevenzione del rischio di ictus/TIA
Cardioversion
• Restoration of normal sinus rhythm
• Pharmacological or electrical
• Small acute risk of embolic events
- Effective anticoagulation therapy required
prior to cardioversion
Electrical cardioversion
ECGMetal
paddle
Heart rhythm
in atrial fibrillation
Cardioversion
shock
Normal heart
rhythm
Electrical cardioversion
Recommendations for successful cardioversion:
• Antiarrhythmic drugs to maintain normal sinus rhythm
• Anticoagulation >3 weeks before and >1 month after chemical or
electrical cardioversion, or permanently if necessary
• Transoesophageal echocardiogram (TEE) to detect any clot in the
left atrial appendage before cardioversion
• Successful cardioversion is more likely if the patient:
- has no other cardiovascular problems
- has normal sized atria
- has been in atrial fibrillation for a relatively short period
- had factors contributing to atrial fibrillation (e.g., hyper- or
hypothyroidism)
Heart rhythm
in atrial fibrillation
Cardioversion
shock
Normal heart
rhythm
ECGMetal
paddle
Electrical cardioversion
• Specialised equipment and
expertise required
• Unpleasant experience for patients
• Good cardioversion rates but risk of immediate
or long-term recurrence
• Pharmacological therapy required to prevent
recurrences of AF
Fuster V et al. Eur Heart J 2006;27:1979–2030
www.medicinenet.com
Vaughan Williams classification of antiarrhythmic agents
Verapamil, diltiazemCalcium channel blockIV
Ibutilide, sotalol*,
dofetilide, amiodarone*
Potassium channel block, increase
repolarisation and refractoriness
III
Propanolol, esmolol,
atenolol, sotalol*
β-adrenergic blockade, slow sinus
rhythm, prolong PR interval
II
Propafenone, flecainide,
amiodarone*
Little effect on repolarisation
(most potent Na+
channel block)
IC
Lidocaine, tocainideShorten repolarisationIB
Quinidine, procainamide,
disopyramide, amiodarone*
Prolong repolarisationIA
Sodium channel blockI
ExamplesActionClass
Antiarrhythmics used for: 1. Conversion of AF
2. Prevention of recurrence of AF
* mixed effects across different classes
Chaudhry GM & Haffajee CI. Crit Care Med 2000;28:N158–64
Amiodarone (AIAC 2013)
• Classe III
• Riduzione velocità depolarizzazione e conducibilità
• Prolungamento durata potenziale azione miocardio
atriale, ventricolare e delle fibre del Purkinje
• Prolungamento del periodo refrattario effettivo del
nodo AV
• Azione antiadrenergica alfa e beta di tipo non
competitivo
Amiodarone (AIAC 2013)
• CVF FA e FlA;
• Preparazione CVE di FA e FlA;
• Applicazione elettiva nei pz. Con CAD,
cardiomiopatie, valvulopatie
Amiodarone (AIAC 2013)
• Controindicazioni: tireopatie, s. bradi-tachi (SSS)
• Precauzioni: monitorare PA, FC, ECG
• Valutare sempre FT3, FT4, TSH prima
dell’infusione
• Il bolo iniziale va somministrato lentamente per il
rischio ipotensione
• Possibili flebiti
Amiodarone (AIAC 2013)
• Carico rapido > 150 mg in 10 min. > 1 fl + 100 ml
SG 5%
• Infusione > 6-8 fl in 500 ml SG 5% in 24h
Amiodarone e tireotossicosi (AIAC 2013)
Analogie strutturali con la tiroxina. Il 37% del suo
peso e’ costituito da iodio. 200 mg > 75 mg
• AIT tipo 1: tireopatia sottostante > eco: flusso
parenchimale irregolare o aumentato > antitiroidei
(metimazolo o propiltiouracile e perclorato di
potassio)
• AIT tipo 2: azione distruente diretta del farmaco
(assenza di pregressa tireopatia) > eco:
vascolarizzazione assente > cortisonici
Flecainide (AIAC 2013)
Classe IC
• Non modifica durata potenziale azione
• Diminuisce velocità di depolarizzazione
• Deprime la conducibilità a tutti i livelli
• Marcato effetto depressivo a livello delle vie
accessorie
Flecainide (AIAC 2013)
Carico: 1-2 mg/kg in 10 min.
Infusione: 0.20 mg/kg/h
Propafenone (AIAC 2013)
Classe IC
• Blocca i canali rapidi del sodio
• Depressione della velocita’ di conduzione a livello
di tutte le strutture cardiache
> ipotensione, bradicardia, blocchi conduzione,
sincronizzazione aritmie SV
Propafenone (AIAC 2013)
• Carico rapido: 2 mg/kg in 10 min
• Infusione: 0.0078 mg/kg/min > 2 fl in 210 ml SG 5%
a 58 ml/h (per 70 kg)
Vernakalant (AIAC 2013)
• In corso di registrazione anche in Italia.
• Nuovo antiaritmico relativamente atrio selettivo che
blocca molteplici correnti del potassio e del sodio,
causando unprolungamento del periodo refrattario
effettivo atriale.
• Piu’ efficace dell’amiodarone nel ripristinare il RS
entro 90 min. dall’inizio dell’infusione ev
• 3mg/kg ev in 10 min. > se FA persiste > 2 mg/kg in
15 min.
Pharmacological cardioversion
• Most effective if performed early after AF onset
• Less effective than electrical cardioversion
(about 50% conversion)
• Risk of proarrhythmias
• Class IC agents not suitable for patients with
structural heart disease
Fuster V et al. Eur Heart J 2006;27:1979–2030
www.medicinenet.com
McNamara RL et al. Ann Intern Med 2003;139:1018–33
Class IC agents Class III agents
(most commonly used) (most commonly used)
Propafenone, flecainide Amiodarone, ibutilide, sotalol
Prevention of recurrence of atrial fibrillation
• Normal sinus rhythm must be maintained after
cardioversion
- Pharmacological or non-pharmacological strategies
• Risk of embolic events
- Continued effective anticoagulation required
Trattamento upstream con farmaci non
antiaritmici (AIAC 2013)
• ACEI e ARB: modifica cardiopatia di fondo >
riduzione insorgenza FA (prev. primaria)
• Statine: effetti pleiotropici sul rimodellamento atriale
(antinfiammatorio e antiossidante)
• Omega 3: idem
Permanent pacemaker therapy
• AF is not an accepted
indication unless bradycardia
is present
• Moderately effective in some
patients
• Highly effective in some
patients with strictly vagal AF
• Specific preventive algorithms
under development
Ventricular rate control
• Pharmacological agents
• Surgical procedures with
device implantation
Basics of ventricular rate control
• Target heart rate of 60–80 beats
per minute at rest
• Slow or stop conduction through AV node
• Dosing of pharmacological agents requires
careful monitoring
Control ventricular rate while
the heart stays in AF
Verapamil, diltiazem
Rate control - calcium channel blockers
• Reduce contractions by blocking the entry
of calcium into heart cells
• Preferred in patients with heart or lung
disease
• Verapamil most commonly prescribed
• Can cause prolonged hypotension
Rate control - β-blockers:
E.g. propranolol, atenol, bisoprolol
• Decrease sensitivity to adrenaline
• Preferred for young, active patients
• Not suitable for patients with asthma
• Can cause hypotension and bradycardia
Rate control - digoxin
• Most widely prescribed for rate control
• Promotes AF by shortening atrial refractory
period
• Slow onset of effect
• Little effect on ventricular rate in active patients
• Sometimes used for conversion or prevention of
recurrence of AF – lack of evidence to support
this approach
Limitations of rate control
• Atrial fibrillation still present – normal sinus
rhythm not restored
• Careful dose titration required
• Administration with 2 or more rate-control
agents is common
• Can cause ‘sick sinus syndrome’ in patients
with a diseased AV node
Disadvantages of cardioversion
• The high relapse rate of atrial fibrillation
• The risk of thromboembolism
Recommendations for anticoagulation in
cardioversion of atrial fibrillation
Duration Anticoagulation Anticoagulation
of arrhythmia before cardioversion after cardioversion
<48 hours Not required Optional
>48 hours Vitamin K antagonists to Vitamin K antagonists to
achieve INR of 2.0-3.0 for achieve INR of 2.0-3.0 for
3 weeks, or >4 weeks, or
Transoesophageal Heparin, then Vitamin K
echocardiogram negative antagonists to achieve INR
for thrombus of 2.0-3-0 for >4 weeks
Fuster V et al. Eur Heart J 2006;27:1979–2030
ABLAZIONE DELLA FA
Ablazione transcatetere della
fa (IVP)
 Procedura di efficacia consolidata, con
complicanze definite e nel complesso non
gravi
 Valida indicazione da eseguire in centri
qualificati, quando la FA sia fortemente
sintomatica, ed i farmaci antiaritmici
(almeno uno) siano inefficaci
 Più efficace nei pazienti con fa parossistica
(meno rimodellati)
Catheter Ablation of AF:
Isolation of the pulmonary veins
Ablazione (AIAC 2013) – L’isolamento
elettrico vv. polmonari
 Buoni risultati nella FA parossistica (dove prevalgono
triggers a partenza dalle vv. polmonari)
 Ma non nella FA persistente specie di lunga durata
(substrato dilatazione e fibrosi AS) > ablazione dei
potenziali elettrici atriali frammentati o CFAE (complex
fractioned atrial electrograms) e/o lesioni lineari a livello
dell’istmo mitralico, della parete posteriore e del tetto
dell’atrio sinistro.
Ablazione della FA
VP  Trigger di FA (Haissaguerre et al.
NEJM 1998)
VP ed AS  Substrato della FA (Mandapati et al. Circ.
2000; Wu et al. Circ. 2001; Mansour et al. Circ. 2001)
F A Parossistica:F A Parossistica:
Ablazione TranscatetereAblazione Transcatetere
F A Persistente:F A Persistente:
Ablazione TranscatetereAblazione Transcatetere
SUBSTRATO Ablazioni lineari
CFAEs
Ablazione transcatetere (AIAC
2013) – Estensione ablazione ad
altre zone AS
 Maggior danno atriale
 Rischio piu’ elevato di complicanze: perforazione
cardiaca e pro-aritmia (FlA atipico e TA da
macrorientro)
Ablazione transcatetere (AIAC
2013) – anticoagulazione
 La prosecuzione della TAO con INR congruo è
piu’ sicura rispetto alla strategia tradizionale di
sospensione ed embricazione con eparina
frazionata
 Si riducono cosi’ le complicanze cardioemboliche
senza aumento di emorragie maggiori o di
tamponamento
 Non ci sono dati conclusivi con i NAO
Ablazione transcatetere dellaAblazione transcatetere della
FAFA
I farmaci sono più sicuri?I farmaci sono più sicuri?
Mappaggio elettroanatomico
Malattie Cardiovascolari II – Ospedale S.Chiara – Azienda Ospedaliero Universitaria Pisana
Mapping elettroanatomico
Mapping elettroanatomico CARTOMERGE™ integrato
Mapping elettroanatomico
CARTOMERGE™ integrato
RMN  3D Map  Segmentazione
Procedura ablativa vene polmonari
Mappaggio elettroanatomico Eco integrato
CartoSound – Carto 3 (Biosense Webster)
Mappaggio elettroanatomico Eco integrato
CartoMerge – Carto 3 (Biosense Webster)
Ablazione transcatetere (AIAC
2013) – Efficacia a breve-medio
termine (1 anno)
 FA parossistica: 60-75% dopo singola procedura
 FA persistente: 45-60% dopo singola procedura
 L’efficacia aumenta di un’addizionale 10-15%
dopo multiple procedure
Ablazione transcatetere (AIAC
2013) – Efficacia a lungo termine (>
1 anno)
 A 2-5 aa.: 8-79% dopo singola procedura
 FA persistente di lunga durata: 20% dopo singola
procedura; 45% dopo multiple procedure (5 aa.
di follow up)
 L’ablazione non puo’ quindi essere considerata
ad oggi come una cura definitiva, ma come
un’opzione terapeutica, al pari dei farmaci
antiaritmici, da utilizzare per un miglior controllo
dell’aritmia e dei suoi sintomi.
WARFARIN:
una storia esemplare nella ricerca in medicina
Wisconsin
Alumni
Research
Foundation
1933
1953
1940
RIDUZIONE DEL RISCHIO DI STROKE:
METANALISI DEI PRINCIPALI TRIALS
100% 50% 0 - 50% - 100%
Riduzione del rischio relativo
Warfarin meglio Warfarin peggio
AFASAK I 1989
SPAF I 1991
CAFA 1991
SPINAF 1992
BAATAF 1990
EAFT 1993
TUTTI I TRIALS
Hart RG, Ann Intern Med, 2007;146:857
WARFARIN vs PLACEBO O CONTROLLO
RIDUZIONE DEL RISCHIO DI STROKE:
METANALISI DEI PRINCIPALI TRIALS
WARFARIN VS ANTIAGGREGANTI
Riduzione del rischio relativo
AFASAK I 1989
AFASAK II 1998
Chinese ATAFS 2006
EAFT 1993
PATAF 1999
SPAF II 1994
Età < 75
Età > 75
TRIALS CON ASPIRINA
SIFA 1997
ACTIWE - W 2006
NASPEAF 2004
TRIALS CON TUTTI GLI
ANTIAGGREGANTI
Antiaggreganti meglio
Hart RG, Ann Intern Med, 2007;146:857
Warfarin meglio
100% - 100%50% - 50%0
LINEE GUIDA DI PROFILASSI
ANTITROMBOTICA NELLA FANV
CATEGORIA DI RISCHIO TRATTAMENTO
ELEVATO:
pregresso stroke/tia/tromboembolia sistemica
o
≥ 2 fattori di rischio tra: età > 75 aa, storia di ipertensione,
diabete, scompenso o disfunzione ventricolare sinistra
TAO (INR 2.0 -3.0)
INTERMEDIO:
1 fattore di rischio tra: età > 75 aa, storia di ipertensione,
diabete, scompenso o disfunzione ventricolare sinistra
TAO (INR 2.0 -3.0)
O ASPIRINA
BASSO:
Età ≤ 75 aa, nessun fattore di rischio
ASPIRINA
ACC/AHA/ESC Guidelines 2006
ACCP Guidelines 2008
(parossistica, persistente, permanente)
ESC GUIDELINES ON ATRIAL
FIBRILLATION
CATEGORIA DI RISCHIO TRATTAMENTO
ELEVATO (CHA2DS2VASc ≥ 2) TAO
INTERMEDIO (CHA2DS2VASc = 1)
TAO O ASPIRINA
(meglio TAO)
BASSO (CHA2DS2VASc = 0) ASPIRINA o niente
(meglio niente)
Target
INR
(2.0–3.0)
I VKA hanno un ristretto range
terapeutico
International Normalized Ratio (INR)
<1.5 1.5–1.9 2.0–2.5 2.6–3.0 3.1–3.5 3.6–4.0 4.1–4.5 >4.5
0
20
40
60
80
Eventi/1000pazienti-anno
L’effetto
anticoagulante dei
VKA è ottimale quando
le dosi terapeutiche
vengono mantenute
entro un range molto
stretto
Hylek EM, et al. N Eng J Med 2003;349:1019-1026.
Ictus ischemico
Emorragia intracranica
CONTROLLO DELL’INR NEL MONDO REALE:
usual care vs anticoagulation services
0
5
10
15
20
25
30
0-20% 21-40% 41-60% 61-80% 81-100%
% time spent in therapeutic INR range
%dipazienti
60% of time in INR range in clinical trials and in anticoagulation services
Witt DM, Chest 2005
Anticoagulation service
Usual care
ANTICOAGULATION CLINIC
vs
USUAL MEDICAL CARE
AC UMC p
EMORRAGIE MAGGIORI (%/anno) 1,6 3,9 < 0,05
TROMBOEMBOLISMO (%/anno) 3,3 11,8 < 0,05
% VALORI DI INR > 5 (TARGET 2-3) 7 14,7 < 0,001
% VALORI DI INR < 2 (TARGET 2,5 – 4,5) 13 23,8 < 0,001
INR MEDIO AL TEMPO DELL’EVENTO
(emorragia maggiore)
5,6 35,51 < 0,05
COSTI DELLE OSPEDALIZZAZIONI
CORRELATE ALLA TAO (per paz x anno)
343 $ 1642 $
Chiquette E, Arch Intern Med 1998; 158: 1641-1647
ESC GUIDELINES ON ATRIAL FIBRILLATION
HAS – BLED bleeding risk score
H Hypertension 1 point
A Abnormal renal and liver
function
1 point for each
S Stroke 1 point
B Bleeding 1 point
L Labile INR 1 point
E Elderly (age > 65) 1 point
D Drugs or alcohol 1 point for each
…Score ≥ 3 indicates high risk and some caution and regular review of
the patient is needed following initiation antithrombotic therapy…..
FIBRILLAZIONE ATRIALE + MALATTIA CORONARICA:
DIMENSIONE DEL PROBLEMA
1-2% PREVALENZA DELLA FA NELLA POPOLAZIONE GENERALE
70-80% DEI PAZIENTI IN FA HANNO INDICAZIONE A TAO
MALATTIA CORONARICA NEL 20-30% DEI PAZIENTI CON FA E
INDICAZIONE A TAO
1-2 MILIONI DI PAZIENTI ANTICOAGULATI IN EUROPA SONO
CANDIDATI A RIVASCOLARIZZAZIONE, DI SOLITO PERCUTANEA,
DI SOLITO CON STENT
Lip GYH, Thromb Haemost 2010
Haemorrhagic risk Clinical Setting Stent implanted Anticoagulation regimen
ESC guidelines atrial fibrillation 2010
STRATEGIE ANTITROMBOTICHE DOPO STENTING CORONARICO IN PAZIENTI
CON INDICAZIONE A TERAPIA ANTICOAGULANTE ORALE PER FA
LA DIFFICILE GESTIONE DEL FARMACO
+ ??
NAO: non necessitano monitoraggio
INR
(anti IIa) Dabigatran
(anti Xa) Rivaroxaban
Apixaban
Endoxaban
NAO: quale scegliere
Un confronto diretto fra le varie
molecole non e’ ancora possibile in
considerazione delle differenze
farmacocinetiche e farmacodinamiche
NAO: nei pz. Warfarin-naive son da
preferire al warfarin in presenza di:
Difficoltà logistiche TAO;
Pregresso ictus ischemico;
Pregressa emorragia intracranica;
Giovane eta’.
Paziente candidato alla CVE.
NAO: nei pz. Warfarin-experienced è
proponibile lo switch
Difficoltà logistiche TAO;
Labilità INR;
Impiego giornaliero bassi dosaggi Warfarin (8-10
mg/sett.);
Pregressa emorragia maggiore;
Impiego lungo termine farmaci interferenti con il
Warfarin;
Pregressa emorragia cerebrale in corso di terapia con
Warfarin con INR in range terapeutico;
Pregresso ictus/TIA in corso di terapia con Warfarin
con INR in range terapeutico.
NAO: vantaggio farmacodinamico
- mantengono inalterati i livelli di PC e PS, vit. K-
dip., che svolgono un importante ruolo di feed-
back negativo sulla formazione di trombina;
- sono in grado di inibire sia i substrati in fase
fluida che quelli legati alla fibrina;
- hanno anche attività profibrinolitica;
- presentano un grado di interferenza con farmaci
e dieta chiaramente inferiore a quanto si riscontra
con i VKA.
NAO: potenziali svantaggi
- mancanza di antidoti in caso di
sovradosaggio o emorragie;
-necessità di un aggiustamento empirico del
dosaggio, essendo difficile monitorare il
loro effetto con gli attuali test
laboratoristici;
- difficoltà di controllare l'aderenza del
paziente (che spesso ha poca
consapevolezza).
Dabigatran etexilato
• Dabigatran etexilato, molecola di piccole dimensioni, è un nuovo
inibitore diretto e reversibile della trombina (DTI)
• Il profarmaco dabigatran etexilate si somministra per via orale
Dabigatran etexilato
NH2 N
NH
N
N
CH3
N
OO
O
N
O
O CH3
CH3
Factor IIFactor II
(Prothrombin)(Prothrombin)
FibrinogenFibrinogen
XII VII
X
XI
IX
Direct Thrombin Inhibition
XIIaXIIa
ThrombinThrombin
VIIaVIIaXIaXIa
FibrinFibrin
IXaIXa
XaXa
TissueTissue
FactorFactor
Dabigatran (oral)Dabigatran (oral)
Warfarin
Inibitori Xa - Trombina
NAO: Dabigatran exilato
- viene somministrato come profarmaco;
- la sua concentrazione plasmatica è proporzionale
alla dose;
- il massimo effetto sui parametri della
coagulazione coincide con la massima
concentrazione plasmatica (Tmax 0,5-2 ore);
- assorbimento rapido, come la comparsa degli
effetti farmacologici.
- una volta attivo, è in grado di inibire
direttamente, con elevata affinità e specificità, sia
la trombina libera che quella legata al coagulo,
consentendo la prevenzione della formazione del
trombo e la lisi di quello già formatosi.
NAO: Dabigatran exilato
Farmacocinetica
- biodisponibilità assoluta pari a ca. il 65%
(la bassa biodisponibilità è la ragione per cui
le capsule contengono dosaggi
relativamente elevati di profarmaco);
-basso potenziale di legame alle proteine
plasmatiche;
- emivita di 12-14 h;
- escrezione prevalentemente renale (85%);
NAO: Dabigatran exilato
- il profarmaco ed i suoi metaboliti non
sono metabolizzati dal cit. P450, cosicchè
assai scarso risulta il livello di interazione
farmaco-farmaco e quello con gli alimenti.
- il profilo farmacodinamico e
farmacocinetico è, in sostanza, del tutto
prevedibile e riproducibile ed è
caratterizzato da una bassa variabilità intra-
individuale.
NAO: Dabigatran – interazione con la Gp-P,
responsabile del riassorbimento nel lume
intestinale
- Potenti induttori: rifampicina, carbamazepina, fenitoina,
inibitori delle proteasi ne riducono l’esposizione sistemica
e non sono non indicati in associazione.
- Forti inibitori: antifungini (itraconazolo e ketoconazolo ad
uso sistemico), ciclosporina, tacrolimus, ed il Dronedarone,
ne aumentano il tempo di esposizione e sono, quindi
controindicati in associazione.
Inibitori meno potenti della Gp-P: aspirina, FANS, SSRI o
SNRI, Clopridogrel e Ticagrelor > necessità aggiustamento
di dosaggio.
Tra i farmaci utilizzati per il controllo della frequenza nella
FA, richiedono una riduzione della posologia Amiodarone e
Verapamil, anch’essi inibitori della Gp-P.
NAO: Dabigatran – dosaggio
150 mg b.i.d. > 110 mg b.i.d.
- pazienti > 80 aa
- elevato rischio di sanguinamento (HAS-BLED ≥ 3),
- insufficienza renale cronica (filtrato glomerulare
30-49 ml/min);
- già in terapia con Verapamil.
Sovradosaggio > non esiste un antidoto in grado di
neutralizzarne gli effetti.
L’emodialisi rimuove circa il 62% del farmaco a 2
ore e il 64% a 4 ore (dato il suo scarso legame con
le proteine plasmatiche)
Conclusioni
Entrambi i dosaggi di dabigatran forniscono vantaggi
diversi e complementari rispetto a warfarin
– 150 mg due volte al giorno presenta una efficacia
superiore con un’incidenza di sanguinamento
maggiore sovrapponibile
– 110 mg due volte al giorno presenta un’incidenza
significativamente inferiore di sanguinamenti
maggiori con efficacia sovrapponibile
– E’ stato osservato un beneficio clinico netto
sovrapponibile con i due dosaggi di dabigatran
.
DABIGATRAN vs WARFARIN
• Dose fissa
• Breve emivita
• Farmacocinetica prevedibile
• Poche interazioni con altri farmaci
• NON NECESSARIO MONITORAGGIO DELLA
COAGULAZIONE
X
COSTI DELLA PROFILASSI EMBOLICA*
Un mese di warfarin (5 mg die) = 2,13 euro
Un mese di dabigatran (110 mg x 2) = 143,70 euro
Il warfarin è uno dei 15 farmaci più prescritti
* In Irlanda: Barry M, N Engl JMed 2009
Riduzione dei costi delle complicanze emorragiche (dabigatran 110 mg x 2)
Riduzione dei costi dello stroke ischemico (dabigatran 150 mg x 2)
Necessità di considerare i costi del monitoraggio con il warfarin
Gage B.F. N Engl JMed 2009
NAO: Rivaroxaban - dosaggio
20 mg/die > da regolare in base alla
funzionalità renale:
GFR ≥ 50ml/min: 20 mg/die
GFR 50-30ml/min: riduzione a 15mg/die,
GFR 30-15ml/min: 15 mg/die ma sotto
stretto monitoraggio della funzionalità
renale,
GFR < 15ml/min, è controindicato.
Chiusura percutanea dell’auricola sinistra
Possibili indicazioni
• Eventi tromboembolici durante corretta
terapia anticoagulante
• Rischio emorragico di terapia
anticoagulante molto elevato (HAS_BLED
> 3)
Chiusura percutanea dell’auricola sinistra
Procedura
• Percutanea accedendo all’ASx per via
transettale
• Dispositivi disponibili: Watchman e
Amplazer Cardiac Plug
Messaggi da portare a casa
• La fibrillazione atriale è aritmia ad elevato
rischio di eventi tromboembolici
• Età, ipertensione , diabete, malattia
cardiovascolare, pregresso evento
tromboembolico sono fattori di rischio per
eventi TE
• La terapia con anticoagulante orale è
indicata per ridurre gli eventi in caso di
rischio medio o elevato.
Messaggi da portare a casa (2)
• La TAO comporta un aumento del rischio
emorragico. Anche se il risultato netto è
favorevole, il rischio emorragico va
considerato nell’indicazione alla TAO
• I NAO dabigatran e rivaroxaban sono una
valida alternativa ai VKA: non richiedono il
monitoraggio INR
Messaggi da portare a casa (3)
• Una ulteriore alternativa, da utilizzarsi in
alternativa alla TAO, è la chiusura
meccanica dell’auricola. Al momento la
procedura presenta un eccesso di
complicanze periprocedurali

Fibrillazione atriale

  • 1.
    FIBRILLAZIONE ATRIALEFIBRILLAZIONE ATRIALE Prof.R. Leo, MD, FACPProf. R. Leo, MD, FACP
  • 3.
    Argomenti di discussione Perché la fibrillazione atriale è trombogenica?  Quali sono i fattori associati a maggiore rischio trombo embolico  Ruolo della durata degli episodi di FA  Efficacia degli antipiastrinici nella prevenzione del tromboembolismo  Comparazione tra TAO ed antipiastrinici  Indicazioni alla TAO sec il rischio tromboembolico  Rischio emorragico e punteggi di rischio emorragico  NAO: Dabigatran e Rivaroxaban  Altre opzioni. Chiusura percutanea dell’auricola
  • 4.
    DefinizioneDefinizione Aritmia caratterizzata dauna rapida e disordinata attivazione elettrica degli atri (400-600 b/m) con perdita della contrazione atriale. La trasmissione degli impulsi atriali ai ventricoli è parziale, per cui il battito cardiaco risulta irregolare e spesso rapido.
  • 5.
    Fibrillazione atriale Aritmia ipercineticacaratterizzata dalla mancanza di una depolarizzazione coordinata del miocardio atriale
  • 6.
    ElettrocardiogrammaElettrocardiogramma Pulsus Inaequalis etIrregularis Einthoven W. Le télécardiogramme. Arch Int Physiol 1906;4:132-164. •Parossistica •Persistente •Permanente
  • 7.
  • 8.
  • 9.
    Holter monitor Benefits Limitations • Everyheartbeat recorded over 24 hours • Paroxysmal episodes recorded even without symptoms • Additional information gathered preceding the event • Only 24 hours of information • Low probability of having an event during the 24 hour observation period
  • 10.
  • 11.
  • 12.
  • 13.
  • 14.
  • 15.
  • 16.
    Interruzione FA eripristino RS
  • 17.
    Fibrillazione atriale (AIAC2013)  Parossistica: forme che terminano entro 48h o che sono interrotte entro questo periodo da CVF o CVE  Persistente: forme che persistono oltre 48h (fino a 1 anno) e/o che sono interrotte da CV dopo questo periodo (*)  Permanente: tentativi di CV inefficaci, o con recidiva immediata della FA
  • 18.
    Fibrillazione atriale (AIAC2013)  Di nuova insorgenza: forme documentate per la prima volta  Ricorrente: qualsiasi forma di recidiva  Silente (o asintomatica): diagnosticata a seguito di una complicanza della FA (es. ictus, tachicardiomiopatia o controllo ECG generico); comprende qualsiasi forma temporale di FA
  • 19.
    Fibrillazione atriale (AIAC2013)  Secondaria: forme in cui e’ possibile identificare la causa, o condizione favorente o associata  Primitiva (o isolata): forme che colpiscono individui di giovane eta’ (< 60 aa) senza segni clinici o eco di concomitante patologia cardiopolmonare ne’ ipertensione (diagnosi di esclusione)
  • 20.
    Fibrillazione atriale (AIAC2013)  Le diverse forme di FA non sono esclusive nello stesso pz. , ma nel tempo ogni forma puo’ virare in un’altra.  L’aritmia va quindi etichettata tenendo conto della forma di FA prevalente negli ultimi 6 mesi.
  • 21.
    EpidemiologiaEpidemiologia  E’ l’aritmiasostenutaE’ l’aritmia sostenuta più frequentepiù frequente nellanella pratica clinica.pratica clinica.  1-2% della popolazione generale nei paesi occidentali.  In Italia – 500.000 sono i pazienti in FA – 60.000 nuovi casi ogni anno – Nel 2050 si prevede un raddoppio di tali numeri
  • 22.
    Prevalenza della FAnella popolazione generale 0 2 4 6 8 10 Prevalenza% 50-59 60-69 70-79 80-89 Età Uomo/donna: 1,5/1
  • 23.
    FIBRILLAZIONE ATRIALE: diagnosi Caratteristiche del polso (polso aritmico con variabilità dell’ampiezza).  ECG: Perdita dell’onda P (attivazione atriale) e comparsa dell’onda F.  Fibrillazione atriale (>350 bpm) o flutter atriale (250- 350 bpm).
  • 24.
    Atrial fibrillation isassociated with worsening CV disease Stroke CHF MIStroke mortality Non- stroke CV mortality Non- CV mortality CV mortality Total mortality Adjusted relative risk 0.0 0.5 1.0 1.5 2.0 2.5 3.0 3.5 Mortality Morbidity Krahn AD et al. Am J Med 1995;98:476–84
  • 25.
    Conditions related toatrial fibrillation • Hypertensive heart disease • Valvular disease • Coronary artery disease • Cardiomyopathy (all forms) • Pericardial disease • Intracardiac masses • Electrical disease - Sinus node dysfunction - Familial causes • Cardiothoracic surgery • Congenital heart disease • Autonomically mediated (sympathetic or parasympathetic) • Toxin expoxure • Endocrinopathy (especially thyroid disease) • Pulmonary disease • Neurologic disorders • Idiopathic Cardiac causes Non cardiac causes
  • 26.
    Predisposition to atrial fibrillation Atrialfibrillation and age Cardiovascular risk factors at baseline • Be older • Have cardiovascular risk factors • Have cardiovascular disease Atrial fibrillation patients are more likely to: 40 50 60 70 80 90 0 4 8 12 16 Age Prevalence % Adapted from Wolf PA et al. Stroke 1992;23:1551-5
  • 27.
    Prevalence of AFincreases with heart failure, valvular heart disease or CAD 50IV (most severe) 20–29III–IV 10–26II–III 4I (least severe) Prevalence of AF (%)NYHA class Fuster V et al. Eur Heart J 2006;27:1979–2030.
  • 28.
    Increased potential for atrialfibrillation Increased atrial pressures Hypertension High left ventricular pressures Hypertension increases the risk of developing AF almost two-fold Slowing of atrial conduction velocity Impaired ventricular filling Left atrial enlargement Left ventricular hypertrophy
  • 29.
    AF is aprogressive disease • 1 in 5 patients will progress to permanent AF • Electrical and anatomical remodelling - Promotes occurrence and maintenance of AF • Shorter atrial refractory period • Reduced contractility • The longer AF persists, the harder it becomes to restore and maintain sinus rhythm .
  • 30.
    Triggers of AF Atrialdistension • Stretching the atrium • Little evidence of stretch-mediated ion channels • May enhance fibrosis and promote reentrant circuits • Increased left atrial pressure due to: - congestive heart failure - hypertension • Increased right atrial pressure due to: - pneumonia - pulmonary embolism - hypoxia - chronic obstructive pulmonary disease (COPD) and OSAS
  • 31.
    Triggers of AF Vagalstimuli • Increased vagal tone • Involves acetylcholine-mediated ion channels • Often at night • Slow heart rate, pain, cold beverages • Associated with diverticulitis and gastric reflux
  • 32.
    Triggers of AF Thyroiddisease • Hypothyroidism or hyperthyroidism both linked to atrial fibrillation • Thyroid receptors in the heart, but no mechanism defined
  • 33.
    Triggers of AF Metabolicfactors • “Holiday heart” (alcohol- associated atrial fibrillation) • Factors that increases sympathetic tone - stimulants - amphetamines - bronchodilators - stress
  • 34.
    A T R I A L F I B Alcohol Thyroid disease Rheumatic heartdisease Ischaemic heart disease Atrial myxoma Lung (pulmonary embolism) Phaeochromocytoma Idiopathic Blood pressure (hypertension) Other causes are known What causes AF?
  • 35.
    AF – pathogenesis •Multiple re-entry circuits with shorter wavelengths • Atrial tissues with highly variable, shorter effective refractory periods Spiral wave of contraction Rapid atrial rate Pulmonary veins Right atrium Left atrium Site of origin
  • 36.
    AF – pathogenesis •Multiple re-entry circuits with shorter wavelengths • Atrial tissues with highly variable, shorter effective refractory periods Spiral wave of contraction Rapid atrial rate Pulmonary veins Right atrium Left atrium Site of origin Maintenance: • Lengthen the waiting (refractory) period between excitations
  • 37.
    AF – pathogenesis Atrialremodelling Mechanical remodelling Continued atrial fibrillation Facilitated micro-re-entry Shortening of action potential duration “Atrial fibrillation begets atrial fibrillation”
  • 38.
    Atrial flutter Generation ofatrial flutter Macro-re-entrant circuit (between tricuspid valve and inferior vena cava) 250-350 BPM
  • 39.
    Atrial flutter andatrial fibrillation Both may occur in the same patient Atrial flutter Atrial fibrillatonRelation not understood
  • 40.
    Atrial fibrillation –consequences •Loss of atrial systolic function (atrial contribution to ventricular filling is lost) •Irregular rapid ventricular contractions •Abnormal blood flow and stasis in the atria Cardiac output reduced Formation of intra-atrial thrombus Right atrium Left atrium
  • 41.
    Left atrial appendage(LAA) Pulmonary trunk LAA is the most common site of intracardial thrombus formation in AF
  • 42.
  • 47.
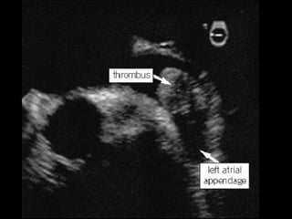
    2. Unstable thromboticmass (transoesophageal echocardiography) A transoesophageal view clearly shows a large thrombus (red arrow) in the left auricle that may break away at any moment.
  • 48.
    4. Fibrin threads (scanningelectron micrograph) Fibrin forms rapidly in stagnant blood. Thrombin plays a pivotal role in the polymerisation of the fibrin strands. Red blood cells become trapped in the fibrin network as the thrombus grows.
  • 49.
    3. Thrombus formationin the left auricle (computer graphics superimposed on in-body photograph) The irregular beating of the heart in atrial fibrillation creates ideal conditions for thrombus formation in the left auricle, especially in patients with mitral valve insufficiency.
  • 50.
    5. Fragmentation ofthe thrombus (computer graphics superimposed on in-body photograph) As the size of the thrombotic mass increases, it becomes more of a threat. Especially if the heart rate is normalised, fragments of the thrombus may break away to be swept into the circulation.
  • 51.
    6. Thrombotic materialin the aortic arch (computer graphics superimposed on in-body photograph) Once fragments of the thrombus are in the blood stream they may be carried to any part of the body. Small fragments may result in a transient cerebral ischaemic attack. Larger pieces may have more devastating consequences.
  • 52.
    7. Cerebral thromboembolism (computergraphics superimposed on in-body photograph) 25 percent of the blood flow from the heart is pumped to the brain. Cerebral thromboemboli most frequently affect the middle cerebral artery.
  • 53.
    FA: DIMENSIONE ATTUALEDEL PROBLEMA MORTE O GRAVE INVALIDITA’ NEL 40% DEGLI STROKE DOVUTI A FA !!!
  • 56.
    5656 Hemodynamic Changes inLAA with AF AFSinus Rhythm Mean peak velocity 52 cm/s Mean peak velocity 26 cm/s Clot in the LAA on MRI Clot in the LAA on Echo Thrombus LAA Emptying Flow Velocity Echo Signals With AF, LAA blood flow velocity decreases, increasing risk of thrombus formation
  • 57.
    5757 A. 3-D CT B.Angio: Red arrow—normal MCA White arrow– absence of MCA C. CAT scan: Arrow showing LAA clot MM00453 (01) Intl 06/09 Association of LAA Clot and Stroke
  • 58.
    La FA aumentail rischio di strokeLa FA aumenta il rischio di stroke • La FA comporta una condizione pro-tromboticaLa FA comporta una condizione pro-trombotica • Il rischio di ictus è lo stesso indipendentemente dal fatto cheIl rischio di ictus è lo stesso indipendentemente dal fatto che il paziente sia affetto da forma parossistica o persistenteil paziente sia affetto da forma parossistica o persistente • Lo stroke cardioembolico presenta una mortalità a 30 giorniLo stroke cardioembolico presenta una mortalità a 30 giorni del 25%del 25% • L’ictus relato alla FA comporta una mortalità di ~50% a 1L’ictus relato alla FA comporta una mortalità di ~50% a 1 annoanno 1. Wolf PA, et al. Stroke 1991;22:983-988; 2. Rosamond W et al. Circulation. 2008;117:e25–146; 3.Hart RG, et al. J Am Coll Cardiol 2000;35:183-187; 4. Lin H-J, et al. Stroke 1996; 27:1760-1764; 5. Marini C, et al. Stroke 2005;36:1115-1119.
  • 59.
    Gladstone DJ etal. Stroke. 2009; 40:235-240 Effetti del primo evento ischemico in patienti con FA (n=597) Gravità dell’ictus in pazienti con FAGravità dell’ictus in pazienti con FA %patienti Invalidante Fatale 60% 40% 0% 50% 30% 20% 10%
  • 60.
    Atrial fibrillation –manifestations • Palpitations • Rapid heartbeat • Sudden pounding in the chest • Dizziness • Syncope • Chest discomfort • Shortness of breath Symptoms of AF
  • 61.
    Fibrillazione atriale: sintomi1Fibrillazione atriale: sintomi 1 100100 8080 6060 4040 2020 00 SincopeSincope IntolleranzaIntolleranza all’esercizioall’esercizio Pazienti(%)Pazienti(%) AnginaAngina VertiginiVertigini DispneaDispnea 1414 2929 3333 4949 6868 6969 7878 AffaticabilitàAffaticabilità PalpitazioniPalpitazioni
  • 62.
    • Urgency ofrestoring heart rhythm • Identification and management of factors associated with arrhythmia Impact on quality of life determines Quality of life
  • 63.
    Awareness of arrhythmia Palpitations;a sensation that the heart is skipping beats, or being inappropriately fast or slow Aware Unaware
  • 64.
    Exercise tolerance • Lossof atrial kick • Inappropriate heart rate response Reduced exercise tolerance
  • 65.
    Atrial fibrillation –echocardiography • Provides important information for initial evaluation • Either transthoracic or transoesophageal echocardiography may be appropriate • Initial goal: Establish presence or absence of structural heart disease • Left atrial size is an important predictor of outcome • Transoesophageal approach needed to detect thrombi or asses left atrial apendage anatomy Left atrial appendage
  • 68.
    FIBRILLAZIONE ATRIALE: quadroclinico  Elevata risposta ventricolare (>100 bpm)  Normale risposta ventricolare (50-100 bpm)  Ridotta risposta ventricolare (<50 bpm)
  • 69.
    FIBRILLAZIONE ATRIALE RISCHIO TROMBOEMBOLICO  La mancata contrazione atriale comporta stasi del flusso ematico.  Rischio di formazione di trombi intra atriali.  Rischio di emboli arteriosi (soprattutto circolo cerebrale)
  • 70.
    Progressione della FAProgressionedella FA  La FA è una malattia progressiva:La FA è una malattia progressiva: * nel 14-24% la FA parossistica evolve in FA* nel 14-24% la FA parossistica evolve in FA persistentepersistente * nel 30% la FA “lone” evolve in FA permanente* nel 30% la FA “lone” evolve in FA permanente  Se non viene gestita adeguatamente la FA puo’Se non viene gestita adeguatamente la FA puo’ determinare conseguenze temibili: dannodeterminare conseguenze temibili: danno emodinamico, ictus, scompenso cardiaco, morteemodinamico, ictus, scompenso cardiaco, morte
  • 71.
    FIBRILLAZIONE ATRIALE: DIMENSIONE ATTUALEDEL PROBLEMA  1 % PREVALENZA NELLA POPOLAZIONE GENERALE  10% PREVALENZA DOPO 80 ANNI  4,5%/anno RISCHIO MEDIO DI STROKE  12%/anno RISCHIO DI RECIDIVA DI STROKE  15% PERCENTUALE DI STROKE SECONDARI A FA  23% PERCENTUALE DI STROKE SECONDARI A FA DOPO 80 aa
  • 72.
    Bialy D, LehmannMH, Schumacher DN. JACC. 1992;19:41A La FA e’ l’aritmia che causa il maggior numero di ospedalizzazioni
  • 73.
    Benjamin EJ etal. Circulation 1998; 98: 946-952 Rischio di morte: studio di Framingham n = 5209; Follow-up = 40 anni 8080 6060 4040 00 00 22 44 66 88 1010 %decessinelfollow-up Follow-up (anni) 7070 5050 2020 3030 1010 9977553311 Uomini senza FA Donne senza FA Donne FA Uomini con FA In pazienti senza rilevante malattia cardiovascolare la sola presenza della FA aumenta il rischio di mortalità di 1.5 volte negli uomini e 1.9 nelle donne.
  • 74.
    Risk of dementiain stroke-free patients diagnosed with atrial fibrillation: data from a community-based cohort Yoko Miyasaka1,4, Marion E. Barnes1, Ronald C. Petersen2, Stephen S. Cha3, Kent R. Bailey3, Bernard J. Gersh1, Grace Casaclang-Verzosa1, Walter P. Abhayaratna1, James B. Seward1, Toshiji Iwasaka4, and Teresa S.M. Tsang1* European Heart Journal (2007) 28, 1962–1967 Demenza e deficit cognitivo sono frequenti dopo la diagnosi di FA
  • 76.
    STRATIFICAZIONE DEL RISCHIO ISCHEMICO:CHADS2 SCORE C = CONGESTIVE HEART FAILURE H = HYPERTENSION A = AGE > 75 YEARS D = DIABETES S2 = STROKE OR TIA 1 punto per ciascuna delle seguenti condizioni: scompenso, ipertensione, età, diabete. 2 punti per pregresso stroke o tia CHADS2 % stroke/anno 0 1,9 1 2,8 2 4 3 5,9 4 8,5 5 12,5 6 18,2 JAMA 2010
  • 77.
    ESC GUIDELINES ONAF CHA2DS2VASc % embolie/anno 0 0 1 1.3 2 2.2 3 3,2 4 4,0 5 6,7 6 9,8 7 10,0 8 11,1 9 19 C = CONGESTIVE HEART FAILURE H = HYPERTENSION A2 = AGE > 75 YEARS D = DIABETES S2 = STROKE, TIA, EMBOLISM V = VASCULAR DISEASE A = AGE 65 – 74 Sc = SEX CATEGORY (female sex) CHA2DS2VASc score
  • 78.
    Meccanismi della FAMeccanismidella FA PULMONARY VEINS MACROREENTRANT TACHYCARDIAS HIGH FREQUENCY SOURCES GANGLIONATED PLEXY
  • 81.
    Barbieri C etal Best Practice dell'Istituto Italiano di Ricerche Cliniche ed Epidemiologiche (IST.RI.C.E.)
  • 82.
    therapeutic Approachtherapeutic Approach AtrialFibrillationAtrial Fibrillation
  • 83.
    Leadership. Knowledge. Community. DrugManagement of Atrial Fibrillation (Rate and Rhythm Control)
  • 84.
    Strategies for treatingatrial fibrillation • Rhythm control (including cardioversion) OR • Rate control PLUS • Anticoagulation therapy
  • 85.
    Rhythm and ratecontrol approaches Rhythm control • Cardioversion (electrical or pharmacological) • Pharmacological agents (Class IC and III antiarrhythmics) • Surgery (maze procedure, ablation) • Device implantation (pacemaker) Rate control • Pharmacological agents (AV node blockers) • Surgery with device implantation (ablation plus pacemaker insertion) Pacemaker image courtesy of St Jude Medical, Inc
  • 86.
    Rhythm control approaches •Electrical cardioversion • Pharmacological agents • Non-pharmacological approaches
  • 87.
    Rhythm control: aims •Restore normal sinus rhythm - Cardioversion • Maintain normal sinus rhythm - Prevention of relapses of AF
  • 88.
    Strategie controllo ritmovs. controllo frequenza (AIAC 2013) • Superiorità della strategia del controllo del ritmo rispetto a quella del controllo della frequenza nella prevenzione del rischio di ictus/TIA
  • 89.
    Cardioversion • Restoration ofnormal sinus rhythm • Pharmacological or electrical • Small acute risk of embolic events - Effective anticoagulation therapy required prior to cardioversion
  • 90.
    Electrical cardioversion ECGMetal paddle Heart rhythm inatrial fibrillation Cardioversion shock Normal heart rhythm
  • 91.
    Electrical cardioversion Recommendations forsuccessful cardioversion: • Antiarrhythmic drugs to maintain normal sinus rhythm • Anticoagulation >3 weeks before and >1 month after chemical or electrical cardioversion, or permanently if necessary • Transoesophageal echocardiogram (TEE) to detect any clot in the left atrial appendage before cardioversion • Successful cardioversion is more likely if the patient: - has no other cardiovascular problems - has normal sized atria - has been in atrial fibrillation for a relatively short period - had factors contributing to atrial fibrillation (e.g., hyper- or hypothyroidism) Heart rhythm in atrial fibrillation Cardioversion shock Normal heart rhythm ECGMetal paddle
  • 92.
    Electrical cardioversion • Specialisedequipment and expertise required • Unpleasant experience for patients • Good cardioversion rates but risk of immediate or long-term recurrence • Pharmacological therapy required to prevent recurrences of AF Fuster V et al. Eur Heart J 2006;27:1979–2030 www.medicinenet.com
  • 93.
    Vaughan Williams classificationof antiarrhythmic agents Verapamil, diltiazemCalcium channel blockIV Ibutilide, sotalol*, dofetilide, amiodarone* Potassium channel block, increase repolarisation and refractoriness III Propanolol, esmolol, atenolol, sotalol* β-adrenergic blockade, slow sinus rhythm, prolong PR interval II Propafenone, flecainide, amiodarone* Little effect on repolarisation (most potent Na+ channel block) IC Lidocaine, tocainideShorten repolarisationIB Quinidine, procainamide, disopyramide, amiodarone* Prolong repolarisationIA Sodium channel blockI ExamplesActionClass Antiarrhythmics used for: 1. Conversion of AF 2. Prevention of recurrence of AF * mixed effects across different classes Chaudhry GM & Haffajee CI. Crit Care Med 2000;28:N158–64
  • 94.
    Amiodarone (AIAC 2013) •Classe III • Riduzione velocità depolarizzazione e conducibilità • Prolungamento durata potenziale azione miocardio atriale, ventricolare e delle fibre del Purkinje • Prolungamento del periodo refrattario effettivo del nodo AV • Azione antiadrenergica alfa e beta di tipo non competitivo
  • 95.
    Amiodarone (AIAC 2013) •CVF FA e FlA; • Preparazione CVE di FA e FlA; • Applicazione elettiva nei pz. Con CAD, cardiomiopatie, valvulopatie
  • 96.
    Amiodarone (AIAC 2013) •Controindicazioni: tireopatie, s. bradi-tachi (SSS) • Precauzioni: monitorare PA, FC, ECG • Valutare sempre FT3, FT4, TSH prima dell’infusione • Il bolo iniziale va somministrato lentamente per il rischio ipotensione • Possibili flebiti
  • 97.
    Amiodarone (AIAC 2013) •Carico rapido > 150 mg in 10 min. > 1 fl + 100 ml SG 5% • Infusione > 6-8 fl in 500 ml SG 5% in 24h
  • 98.
    Amiodarone e tireotossicosi(AIAC 2013) Analogie strutturali con la tiroxina. Il 37% del suo peso e’ costituito da iodio. 200 mg > 75 mg • AIT tipo 1: tireopatia sottostante > eco: flusso parenchimale irregolare o aumentato > antitiroidei (metimazolo o propiltiouracile e perclorato di potassio) • AIT tipo 2: azione distruente diretta del farmaco (assenza di pregressa tireopatia) > eco: vascolarizzazione assente > cortisonici
  • 99.
    Flecainide (AIAC 2013) ClasseIC • Non modifica durata potenziale azione • Diminuisce velocità di depolarizzazione • Deprime la conducibilità a tutti i livelli • Marcato effetto depressivo a livello delle vie accessorie
  • 100.
    Flecainide (AIAC 2013) Carico:1-2 mg/kg in 10 min. Infusione: 0.20 mg/kg/h
  • 101.
    Propafenone (AIAC 2013) ClasseIC • Blocca i canali rapidi del sodio • Depressione della velocita’ di conduzione a livello di tutte le strutture cardiache > ipotensione, bradicardia, blocchi conduzione, sincronizzazione aritmie SV
  • 102.
    Propafenone (AIAC 2013) •Carico rapido: 2 mg/kg in 10 min • Infusione: 0.0078 mg/kg/min > 2 fl in 210 ml SG 5% a 58 ml/h (per 70 kg)
  • 103.
    Vernakalant (AIAC 2013) •In corso di registrazione anche in Italia. • Nuovo antiaritmico relativamente atrio selettivo che blocca molteplici correnti del potassio e del sodio, causando unprolungamento del periodo refrattario effettivo atriale. • Piu’ efficace dell’amiodarone nel ripristinare il RS entro 90 min. dall’inizio dell’infusione ev • 3mg/kg ev in 10 min. > se FA persiste > 2 mg/kg in 15 min.
  • 104.
    Pharmacological cardioversion • Mosteffective if performed early after AF onset • Less effective than electrical cardioversion (about 50% conversion) • Risk of proarrhythmias • Class IC agents not suitable for patients with structural heart disease Fuster V et al. Eur Heart J 2006;27:1979–2030 www.medicinenet.com McNamara RL et al. Ann Intern Med 2003;139:1018–33 Class IC agents Class III agents (most commonly used) (most commonly used) Propafenone, flecainide Amiodarone, ibutilide, sotalol
  • 105.
    Prevention of recurrenceof atrial fibrillation • Normal sinus rhythm must be maintained after cardioversion - Pharmacological or non-pharmacological strategies • Risk of embolic events - Continued effective anticoagulation required
  • 106.
    Trattamento upstream confarmaci non antiaritmici (AIAC 2013) • ACEI e ARB: modifica cardiopatia di fondo > riduzione insorgenza FA (prev. primaria) • Statine: effetti pleiotropici sul rimodellamento atriale (antinfiammatorio e antiossidante) • Omega 3: idem
  • 107.
    Permanent pacemaker therapy •AF is not an accepted indication unless bradycardia is present • Moderately effective in some patients • Highly effective in some patients with strictly vagal AF • Specific preventive algorithms under development
  • 108.
    Ventricular rate control •Pharmacological agents • Surgical procedures with device implantation
  • 109.
    Basics of ventricularrate control • Target heart rate of 60–80 beats per minute at rest • Slow or stop conduction through AV node • Dosing of pharmacological agents requires careful monitoring Control ventricular rate while the heart stays in AF
  • 110.
    Verapamil, diltiazem Rate control- calcium channel blockers • Reduce contractions by blocking the entry of calcium into heart cells • Preferred in patients with heart or lung disease • Verapamil most commonly prescribed • Can cause prolonged hypotension
  • 111.
    Rate control -β-blockers: E.g. propranolol, atenol, bisoprolol • Decrease sensitivity to adrenaline • Preferred for young, active patients • Not suitable for patients with asthma • Can cause hypotension and bradycardia
  • 112.
    Rate control -digoxin • Most widely prescribed for rate control • Promotes AF by shortening atrial refractory period • Slow onset of effect • Little effect on ventricular rate in active patients • Sometimes used for conversion or prevention of recurrence of AF – lack of evidence to support this approach
  • 113.
    Limitations of ratecontrol • Atrial fibrillation still present – normal sinus rhythm not restored • Careful dose titration required • Administration with 2 or more rate-control agents is common • Can cause ‘sick sinus syndrome’ in patients with a diseased AV node
  • 114.
    Disadvantages of cardioversion •The high relapse rate of atrial fibrillation • The risk of thromboembolism
  • 115.
    Recommendations for anticoagulationin cardioversion of atrial fibrillation Duration Anticoagulation Anticoagulation of arrhythmia before cardioversion after cardioversion <48 hours Not required Optional >48 hours Vitamin K antagonists to Vitamin K antagonists to achieve INR of 2.0-3.0 for achieve INR of 2.0-3.0 for 3 weeks, or >4 weeks, or Transoesophageal Heparin, then Vitamin K echocardiogram negative antagonists to achieve INR for thrombus of 2.0-3-0 for >4 weeks Fuster V et al. Eur Heart J 2006;27:1979–2030
  • 116.
  • 117.
    Ablazione transcatetere della fa(IVP)  Procedura di efficacia consolidata, con complicanze definite e nel complesso non gravi  Valida indicazione da eseguire in centri qualificati, quando la FA sia fortemente sintomatica, ed i farmaci antiaritmici (almeno uno) siano inefficaci  Più efficace nei pazienti con fa parossistica (meno rimodellati)
  • 118.
    Catheter Ablation ofAF: Isolation of the pulmonary veins
  • 119.
    Ablazione (AIAC 2013)– L’isolamento elettrico vv. polmonari  Buoni risultati nella FA parossistica (dove prevalgono triggers a partenza dalle vv. polmonari)  Ma non nella FA persistente specie di lunga durata (substrato dilatazione e fibrosi AS) > ablazione dei potenziali elettrici atriali frammentati o CFAE (complex fractioned atrial electrograms) e/o lesioni lineari a livello dell’istmo mitralico, della parete posteriore e del tetto dell’atrio sinistro.
  • 120.
    Ablazione della FA VP Trigger di FA (Haissaguerre et al. NEJM 1998) VP ed AS  Substrato della FA (Mandapati et al. Circ. 2000; Wu et al. Circ. 2001; Mansour et al. Circ. 2001)
  • 121.
    F A Parossistica:FA Parossistica: Ablazione TranscatetereAblazione Transcatetere
  • 122.
    F A Persistente:FA Persistente: Ablazione TranscatetereAblazione Transcatetere SUBSTRATO Ablazioni lineari CFAEs
  • 123.
    Ablazione transcatetere (AIAC 2013)– Estensione ablazione ad altre zone AS  Maggior danno atriale  Rischio piu’ elevato di complicanze: perforazione cardiaca e pro-aritmia (FlA atipico e TA da macrorientro)
  • 124.
    Ablazione transcatetere (AIAC 2013)– anticoagulazione  La prosecuzione della TAO con INR congruo è piu’ sicura rispetto alla strategia tradizionale di sospensione ed embricazione con eparina frazionata  Si riducono cosi’ le complicanze cardioemboliche senza aumento di emorragie maggiori o di tamponamento  Non ci sono dati conclusivi con i NAO
  • 125.
    Ablazione transcatetere dellaAblazionetranscatetere della FAFA I farmaci sono più sicuri?I farmaci sono più sicuri?
  • 126.
    Mappaggio elettroanatomico Malattie CardiovascolariII – Ospedale S.Chiara – Azienda Ospedaliero Universitaria Pisana
  • 128.
  • 129.
    Mapping elettroanatomico CARTOMERGE™integrato Mapping elettroanatomico CARTOMERGE™ integrato
  • 131.
    RMN  3DMap  Segmentazione
  • 132.
  • 135.
    Mappaggio elettroanatomico Ecointegrato CartoSound – Carto 3 (Biosense Webster)
  • 136.
    Mappaggio elettroanatomico Ecointegrato CartoMerge – Carto 3 (Biosense Webster)
  • 137.
    Ablazione transcatetere (AIAC 2013)– Efficacia a breve-medio termine (1 anno)  FA parossistica: 60-75% dopo singola procedura  FA persistente: 45-60% dopo singola procedura  L’efficacia aumenta di un’addizionale 10-15% dopo multiple procedure
  • 138.
    Ablazione transcatetere (AIAC 2013)– Efficacia a lungo termine (> 1 anno)  A 2-5 aa.: 8-79% dopo singola procedura  FA persistente di lunga durata: 20% dopo singola procedura; 45% dopo multiple procedure (5 aa. di follow up)  L’ablazione non puo’ quindi essere considerata ad oggi come una cura definitiva, ma come un’opzione terapeutica, al pari dei farmaci antiaritmici, da utilizzare per un miglior controllo dell’aritmia e dei suoi sintomi.
  • 139.
    WARFARIN: una storia esemplarenella ricerca in medicina Wisconsin Alumni Research Foundation 1933 1953 1940
  • 140.
    RIDUZIONE DEL RISCHIODI STROKE: METANALISI DEI PRINCIPALI TRIALS 100% 50% 0 - 50% - 100% Riduzione del rischio relativo Warfarin meglio Warfarin peggio AFASAK I 1989 SPAF I 1991 CAFA 1991 SPINAF 1992 BAATAF 1990 EAFT 1993 TUTTI I TRIALS Hart RG, Ann Intern Med, 2007;146:857 WARFARIN vs PLACEBO O CONTROLLO
  • 141.
    RIDUZIONE DEL RISCHIODI STROKE: METANALISI DEI PRINCIPALI TRIALS WARFARIN VS ANTIAGGREGANTI Riduzione del rischio relativo AFASAK I 1989 AFASAK II 1998 Chinese ATAFS 2006 EAFT 1993 PATAF 1999 SPAF II 1994 Età < 75 Età > 75 TRIALS CON ASPIRINA SIFA 1997 ACTIWE - W 2006 NASPEAF 2004 TRIALS CON TUTTI GLI ANTIAGGREGANTI Antiaggreganti meglio Hart RG, Ann Intern Med, 2007;146:857 Warfarin meglio 100% - 100%50% - 50%0
  • 142.
    LINEE GUIDA DIPROFILASSI ANTITROMBOTICA NELLA FANV CATEGORIA DI RISCHIO TRATTAMENTO ELEVATO: pregresso stroke/tia/tromboembolia sistemica o ≥ 2 fattori di rischio tra: età > 75 aa, storia di ipertensione, diabete, scompenso o disfunzione ventricolare sinistra TAO (INR 2.0 -3.0) INTERMEDIO: 1 fattore di rischio tra: età > 75 aa, storia di ipertensione, diabete, scompenso o disfunzione ventricolare sinistra TAO (INR 2.0 -3.0) O ASPIRINA BASSO: Età ≤ 75 aa, nessun fattore di rischio ASPIRINA ACC/AHA/ESC Guidelines 2006 ACCP Guidelines 2008 (parossistica, persistente, permanente)
  • 143.
    ESC GUIDELINES ONATRIAL FIBRILLATION CATEGORIA DI RISCHIO TRATTAMENTO ELEVATO (CHA2DS2VASc ≥ 2) TAO INTERMEDIO (CHA2DS2VASc = 1) TAO O ASPIRINA (meglio TAO) BASSO (CHA2DS2VASc = 0) ASPIRINA o niente (meglio niente)
  • 144.
    Target INR (2.0–3.0) I VKA hannoun ristretto range terapeutico International Normalized Ratio (INR) <1.5 1.5–1.9 2.0–2.5 2.6–3.0 3.1–3.5 3.6–4.0 4.1–4.5 >4.5 0 20 40 60 80 Eventi/1000pazienti-anno L’effetto anticoagulante dei VKA è ottimale quando le dosi terapeutiche vengono mantenute entro un range molto stretto Hylek EM, et al. N Eng J Med 2003;349:1019-1026. Ictus ischemico Emorragia intracranica
  • 145.
    CONTROLLO DELL’INR NELMONDO REALE: usual care vs anticoagulation services 0 5 10 15 20 25 30 0-20% 21-40% 41-60% 61-80% 81-100% % time spent in therapeutic INR range %dipazienti 60% of time in INR range in clinical trials and in anticoagulation services Witt DM, Chest 2005 Anticoagulation service Usual care
  • 146.
    ANTICOAGULATION CLINIC vs USUAL MEDICALCARE AC UMC p EMORRAGIE MAGGIORI (%/anno) 1,6 3,9 < 0,05 TROMBOEMBOLISMO (%/anno) 3,3 11,8 < 0,05 % VALORI DI INR > 5 (TARGET 2-3) 7 14,7 < 0,001 % VALORI DI INR < 2 (TARGET 2,5 – 4,5) 13 23,8 < 0,001 INR MEDIO AL TEMPO DELL’EVENTO (emorragia maggiore) 5,6 35,51 < 0,05 COSTI DELLE OSPEDALIZZAZIONI CORRELATE ALLA TAO (per paz x anno) 343 $ 1642 $ Chiquette E, Arch Intern Med 1998; 158: 1641-1647
  • 147.
    ESC GUIDELINES ONATRIAL FIBRILLATION HAS – BLED bleeding risk score H Hypertension 1 point A Abnormal renal and liver function 1 point for each S Stroke 1 point B Bleeding 1 point L Labile INR 1 point E Elderly (age > 65) 1 point D Drugs or alcohol 1 point for each …Score ≥ 3 indicates high risk and some caution and regular review of the patient is needed following initiation antithrombotic therapy…..
  • 148.
    FIBRILLAZIONE ATRIALE +MALATTIA CORONARICA: DIMENSIONE DEL PROBLEMA 1-2% PREVALENZA DELLA FA NELLA POPOLAZIONE GENERALE 70-80% DEI PAZIENTI IN FA HANNO INDICAZIONE A TAO MALATTIA CORONARICA NEL 20-30% DEI PAZIENTI CON FA E INDICAZIONE A TAO 1-2 MILIONI DI PAZIENTI ANTICOAGULATI IN EUROPA SONO CANDIDATI A RIVASCOLARIZZAZIONE, DI SOLITO PERCUTANEA, DI SOLITO CON STENT Lip GYH, Thromb Haemost 2010
  • 149.
    Haemorrhagic risk ClinicalSetting Stent implanted Anticoagulation regimen ESC guidelines atrial fibrillation 2010 STRATEGIE ANTITROMBOTICHE DOPO STENTING CORONARICO IN PAZIENTI CON INDICAZIONE A TERAPIA ANTICOAGULANTE ORALE PER FA
  • 150.
    LA DIFFICILE GESTIONEDEL FARMACO + ??
  • 151.
    NAO: non necessitanomonitoraggio INR (anti IIa) Dabigatran (anti Xa) Rivaroxaban Apixaban Endoxaban
  • 152.
    NAO: quale scegliere Unconfronto diretto fra le varie molecole non e’ ancora possibile in considerazione delle differenze farmacocinetiche e farmacodinamiche
  • 153.
    NAO: nei pz.Warfarin-naive son da preferire al warfarin in presenza di: Difficoltà logistiche TAO; Pregresso ictus ischemico; Pregressa emorragia intracranica; Giovane eta’. Paziente candidato alla CVE.
  • 154.
    NAO: nei pz.Warfarin-experienced è proponibile lo switch Difficoltà logistiche TAO; Labilità INR; Impiego giornaliero bassi dosaggi Warfarin (8-10 mg/sett.); Pregressa emorragia maggiore; Impiego lungo termine farmaci interferenti con il Warfarin; Pregressa emorragia cerebrale in corso di terapia con Warfarin con INR in range terapeutico; Pregresso ictus/TIA in corso di terapia con Warfarin con INR in range terapeutico.
  • 155.
    NAO: vantaggio farmacodinamico -mantengono inalterati i livelli di PC e PS, vit. K- dip., che svolgono un importante ruolo di feed- back negativo sulla formazione di trombina; - sono in grado di inibire sia i substrati in fase fluida che quelli legati alla fibrina; - hanno anche attività profibrinolitica; - presentano un grado di interferenza con farmaci e dieta chiaramente inferiore a quanto si riscontra con i VKA.
  • 156.
    NAO: potenziali svantaggi -mancanza di antidoti in caso di sovradosaggio o emorragie; -necessità di un aggiustamento empirico del dosaggio, essendo difficile monitorare il loro effetto con gli attuali test laboratoristici; - difficoltà di controllare l'aderenza del paziente (che spesso ha poca consapevolezza).
  • 157.
    Dabigatran etexilato • Dabigatranetexilato, molecola di piccole dimensioni, è un nuovo inibitore diretto e reversibile della trombina (DTI) • Il profarmaco dabigatran etexilate si somministra per via orale Dabigatran etexilato NH2 N NH N N CH3 N OO O N O O CH3 CH3
  • 158.
    Factor IIFactor II (Prothrombin)(Prothrombin) FibrinogenFibrinogen XIIVII X XI IX Direct Thrombin Inhibition XIIaXIIa ThrombinThrombin VIIaVIIaXIaXIa FibrinFibrin IXaIXa XaXa TissueTissue FactorFactor Dabigatran (oral)Dabigatran (oral)
  • 159.
  • 160.
    NAO: Dabigatran exilato -viene somministrato come profarmaco; - la sua concentrazione plasmatica è proporzionale alla dose; - il massimo effetto sui parametri della coagulazione coincide con la massima concentrazione plasmatica (Tmax 0,5-2 ore); - assorbimento rapido, come la comparsa degli effetti farmacologici. - una volta attivo, è in grado di inibire direttamente, con elevata affinità e specificità, sia la trombina libera che quella legata al coagulo, consentendo la prevenzione della formazione del trombo e la lisi di quello già formatosi.
  • 161.
    NAO: Dabigatran exilato Farmacocinetica -biodisponibilità assoluta pari a ca. il 65% (la bassa biodisponibilità è la ragione per cui le capsule contengono dosaggi relativamente elevati di profarmaco); -basso potenziale di legame alle proteine plasmatiche; - emivita di 12-14 h; - escrezione prevalentemente renale (85%);
  • 162.
    NAO: Dabigatran exilato -il profarmaco ed i suoi metaboliti non sono metabolizzati dal cit. P450, cosicchè assai scarso risulta il livello di interazione farmaco-farmaco e quello con gli alimenti. - il profilo farmacodinamico e farmacocinetico è, in sostanza, del tutto prevedibile e riproducibile ed è caratterizzato da una bassa variabilità intra- individuale.
  • 163.
    NAO: Dabigatran –interazione con la Gp-P, responsabile del riassorbimento nel lume intestinale - Potenti induttori: rifampicina, carbamazepina, fenitoina, inibitori delle proteasi ne riducono l’esposizione sistemica e non sono non indicati in associazione. - Forti inibitori: antifungini (itraconazolo e ketoconazolo ad uso sistemico), ciclosporina, tacrolimus, ed il Dronedarone, ne aumentano il tempo di esposizione e sono, quindi controindicati in associazione. Inibitori meno potenti della Gp-P: aspirina, FANS, SSRI o SNRI, Clopridogrel e Ticagrelor > necessità aggiustamento di dosaggio. Tra i farmaci utilizzati per il controllo della frequenza nella FA, richiedono una riduzione della posologia Amiodarone e Verapamil, anch’essi inibitori della Gp-P.
  • 164.
    NAO: Dabigatran –dosaggio 150 mg b.i.d. > 110 mg b.i.d. - pazienti > 80 aa - elevato rischio di sanguinamento (HAS-BLED ≥ 3), - insufficienza renale cronica (filtrato glomerulare 30-49 ml/min); - già in terapia con Verapamil. Sovradosaggio > non esiste un antidoto in grado di neutralizzarne gli effetti. L’emodialisi rimuove circa il 62% del farmaco a 2 ore e il 64% a 4 ore (dato il suo scarso legame con le proteine plasmatiche)
  • 165.
    Conclusioni Entrambi i dosaggidi dabigatran forniscono vantaggi diversi e complementari rispetto a warfarin – 150 mg due volte al giorno presenta una efficacia superiore con un’incidenza di sanguinamento maggiore sovrapponibile – 110 mg due volte al giorno presenta un’incidenza significativamente inferiore di sanguinamenti maggiori con efficacia sovrapponibile – E’ stato osservato un beneficio clinico netto sovrapponibile con i due dosaggi di dabigatran .
  • 166.
    DABIGATRAN vs WARFARIN •Dose fissa • Breve emivita • Farmacocinetica prevedibile • Poche interazioni con altri farmaci • NON NECESSARIO MONITORAGGIO DELLA COAGULAZIONE X
  • 167.
    COSTI DELLA PROFILASSIEMBOLICA* Un mese di warfarin (5 mg die) = 2,13 euro Un mese di dabigatran (110 mg x 2) = 143,70 euro Il warfarin è uno dei 15 farmaci più prescritti * In Irlanda: Barry M, N Engl JMed 2009 Riduzione dei costi delle complicanze emorragiche (dabigatran 110 mg x 2) Riduzione dei costi dello stroke ischemico (dabigatran 150 mg x 2) Necessità di considerare i costi del monitoraggio con il warfarin Gage B.F. N Engl JMed 2009
  • 168.
    NAO: Rivaroxaban -dosaggio 20 mg/die > da regolare in base alla funzionalità renale: GFR ≥ 50ml/min: 20 mg/die GFR 50-30ml/min: riduzione a 15mg/die, GFR 30-15ml/min: 15 mg/die ma sotto stretto monitoraggio della funzionalità renale, GFR < 15ml/min, è controindicato.
  • 169.
    Chiusura percutanea dell’auricolasinistra Possibili indicazioni • Eventi tromboembolici durante corretta terapia anticoagulante • Rischio emorragico di terapia anticoagulante molto elevato (HAS_BLED > 3)
  • 170.
    Chiusura percutanea dell’auricolasinistra Procedura • Percutanea accedendo all’ASx per via transettale • Dispositivi disponibili: Watchman e Amplazer Cardiac Plug
  • 171.
    Messaggi da portarea casa • La fibrillazione atriale è aritmia ad elevato rischio di eventi tromboembolici • Età, ipertensione , diabete, malattia cardiovascolare, pregresso evento tromboembolico sono fattori di rischio per eventi TE • La terapia con anticoagulante orale è indicata per ridurre gli eventi in caso di rischio medio o elevato.
  • 172.
    Messaggi da portarea casa (2) • La TAO comporta un aumento del rischio emorragico. Anche se il risultato netto è favorevole, il rischio emorragico va considerato nell’indicazione alla TAO • I NAO dabigatran e rivaroxaban sono una valida alternativa ai VKA: non richiedono il monitoraggio INR
  • 173.
    Messaggi da portarea casa (3) • Una ulteriore alternativa, da utilizzarsi in alternativa alla TAO, è la chiusura meccanica dell’auricola. Al momento la procedura presenta un eccesso di complicanze periprocedurali

Editor's Notes

  • #8 Chest leads V1 and V2 are shown. Notice the irregularly irregular RR intervals and the oscillations on the baseline caused by the rapid, chaotic atrial electrical activity.
  • #9 No distinguished P wave and irregular ventricular activation (QRS) are main characteristics of atrial fibrillation (AF) compared to the normal sinus rhythm ECG.
  • #10 With a Holter monitor, every heartbeat is recorded over a 24-hour interval. With this technique, paroxysmal episodes of AF could be recorded even if the patient is not having any symptoms. Additional information can be provided about the heart rate preceding the event to assess whether autonomic function may be a factor in the arrhythmia. Having only 24 hours of information is the major limitation of this technique, as there is often a low probability of someone having an event in the 24-hour period being recorded.
  • #18 (*) Non si e’ considerato opportuno mantenere il limite di 7 giorni come discriminante fra FA parossistica e persistente in quanto ritenuto privo di reale significato clinico. Si e’ invece preferito utilizzare un kut off di 48h per le implicazioni terapeutiche che esso comporta; dopo tale periodo, infatti, diventa obbligatorio instaurare una TA prima di poter eseguire CVE o CVF,
  • #25 AF is associated with an increased risk of morbidity and mortality from CV and non-CV causes. An observational study demonstrated that AF independently increased the risk of stroke, CHF and MI (Krahn et al 1995). AF is also associated with a 1.31 times increased risk of total mortality and a 1.41 times increased risk of CV mortality. The highest increased risk of mortality was associated with stroke (2.48 times increased risk), but it is clear that stroke is not the only serious consequence of AF. Reference: Krahn AD, Manfreda J, Tate RB, et al. The natural history of atrial fibrillation: incidence, risk factors, and prognosis in the Manitoba Follow-up Study. Am J Med 1995;98:476–84.
  • #26 AF may occur in both cardiac (such as hypertension, valvular heart disease, coronary artery disease, cardiomyopathy, etc) and noncardiac disease (such as thyroid disease) or it may present in the absence of any overt condition. In the developed countries, hypertensive heart disease is currently the most common underlying disorder in patients who have AF, accounting for approximately 50% of the cases (the Framingham study). Valvular disease is a particularly important cause of AF because its presence substantially increases thromboembolic risk for patients with AF. A low proportion of patients who have coronary artery disease develop AF unless there are associated complicating factors such as heart failure or hypertension. However, because of the high prevalence of advanced coronary artery disease in the population, it remains a frequent cause of AF. AF is present in up to 28% of patients who have hypertrophic cardiomyopathy and up to 20% of patients who have dilated cardiomyopathy. AF occurs in about 20-25% of older patients who have overt thyrotoxicosis, but is uncommon in patients under the age of 30 years. In some cases AF occurs in the absence of any apparent cause. Classified as “lone” AF, this can present in younger patients with no evidence of cardiac or non-cardiac predisposing conditions. By convention, AF that occurs in the absence of rheumathic mitral stenosis, arotic stenosis or a prosthetic heart valve is termed non-valvular AF.
  • #27 Age is the most consistent risk factor, with the risk of developing AF highest in older patients with structural heart disease. Reference: Wolf PA, D´Agostino RB, O´Neal MA, Sytkowski P, Kase CS, Belanger AJ, et al. Secular trends in stroke incidence and mortality. The Framingham Study. Stroke 1992;23:1551-5.
  • #28 AF is prevalent in patients with pre-existing cardiac conditions such as heart failure and valvular heart disease, and the probability of AF increases with severity of these pre-existing conditions (Fuster et al 2001). AF is present in about 4% of patients with New York Heart Association (NYHA) classification I, whereas 50% of patients with the most severe NYHA classification (class IV) have AF (Fuster et al 2001). References: Fuster V, Ryden LE, Asinger RW, et al. ACC/AHA/ESC guidelines for the management of patients with atrial fibrillation. Eur Heart J 2001;22:1852–1923.
  • #29 Hypertension is a known risk factor for AF and coexists in about 50% of patients (Healey and Connoly 2003). Hypertension leads to structural remodelling resulting in left ventricular hypertrophy (LVH) – thickening of the wall of the left ventricle – and enlargement of the left atrium. This remodelling predisposes the heart to AF. The reverse relationship also exists: the remodelling that occurs during AF can lead to LVH or hypertension. Hypertension is associated with left ventricular hypertrophy, impaired ventricular filling, left atrial enlargement and slowing of atrial conduction velocity. The high left ventricular pressures in a hypertensive heart result in increased atrial pressures and an increased potential for AF. References: Healey JS, Connolly SJ. Atrial fibrillation: Hypertension as a causative agent, risk factor for complications, and potential therapeutic target. Am J Cardiol 2003;91:9G–14G.
  • #30 AF is a progressive disease and patients with paroxysmal AF often progress to permanent AF. A retrospective cohort study found that 1 in 5 patients with intermittent AF progressed to permanent AF within 4 years (Al-Khatib et al 2000). There is increasing evidence to suggest that AF produces changes in atrial structure and function that promote initiation and maintenance of AF. Electrical remodelling develops within days and contributes to the stability of AF (Allessie et al 2002). Evidence linking electrical remodelling with the progressive nature of the disease was obtained in patients with paroxysmal or permanent AF: the atrial effective refractory period (AERP) was significantly shorter in patients with AF than those with normal sinus rhythm, and patients with permanent AF had shorter AERPs than patients with paroxysmal AF (Hertevig et al 2002). A shorter refractory period allows the atria to recover more quickly from an electrical impulse and be available earlier for subsequent stimulation by another impulse, thus allowing fibrillation to develop more easily. In order to reverse the electrical remodelling, and restore electrical refractoriness and normal sinus rhythm, cardioversion should be performed as early as possible after AF onset Fuster et al 2001). The electrophysiological changes may become irreversible if AF continues for prolonged periods (Rodrigez et al 1999). Anatomical remodelling can also occur during prolonged AF and cause increased atrial dilation, reduced contractility and reduced systolic pulmonary venous flow – these all result in suboptimal functioning of the heart and contribute to the risk of atrial thrombus (clot) formation (Fuster et al 2001; Lindgren et al 2003). References: Al-Khatib SM, Wilkinson WE, Sanders LL, et al. Observations on the transition from intermittent to permanent atrial fibrillation. Am Heart J 2000;140:142–5. Allessie M, Ausma J, Schotten U. Electrical, contractile and structural remodelling during atrial fibrillation. Cardiovasc Res 2002;54:230–46. Hertervig EJ, Yuan S, Carlson J, et al. Evidence for electrical remodelling of the atrial myocardium in patients with atrial fibrillation. A study using the monophasic action potential recording technique. Clin Physiol Funct Imaging 2002;22:8–12. Fuster V, Ryden LE, Cannom DS, et al. ACC/AHA/ESC guidelines for the management of patients with atrial fibrillation – executive summary. Eur Heart J 2006;27:1979–2030. Rodriguez L-M, Timmermans C, Wellens HJ. Are electrophysiological changes induced by longer lasting atrial fibrillation reversible? Circulation 1999;100:113–6. Lindgren KS, Pekka Raatikainen MJ, Juhani Airaksinen KE, et al. Relationship between the frequency of paroxysmal episodes of atrial fibrillation and pulmonary venous flow pattern. Europace 2003;5:17–23.
  • #31 The triggers of atrial fibrillation relate to several different conditions, some of which are better understood than others. One of the factors in developing AF has been thought to relate to stretching the atrium.
  • #32 Increased vagal tone may precipitate AF, probably through acetylcholine mediated ion channels in the atrium. Vagally mediated AF often occurs at night, with slowing of the heart rate or with vagal stimuli such as pain or drinking a cold beverage. AF has also been reported in assiciation with diverculitis and with gastric reflux as vagal stimuli.
  • #33 Both low thyroid levels (hypothyroidism) and high thyroid levels (hyperthyroidism) are associated with AF. Although thyroid receptors have been reported in the heart, there has not been any direct mechanistic relationship defined.
  • #34 Although there has long been an association with alcohol use and AF, causing a syndrome called “holiday heart”, it is not known why some people are more sensitive to this than others. Other factors, which seem to increase sympathetic tone, such as stimulants, amphetamines, bronchodilators and stress have also been reported in association with AF.
  • #35 The acronym ‘atrial fib’ (see slide) is a useful way of remembering some of the most important causes of AF – the four most common causes are indicated in blue. This list is not exhaustive and other causes of AF are known. Acute, temporary causes of AF include surgery, electrocution, myocardial infarction (MI), excessive alcohol consumption, pulmonary embolism, hyperthyroidism and pericarditis. In these circumstances, successful treatment of the underlying condition may cure AF (Fuster et al 2001). AF is often associated with other cardiovascular (CV) conditions, including valvular heart disease, coronary artery disease (CAD), hypertension, heart failure, congenital heart disease and rheumatic heart disease (Fuster et al 2001). In some patients, no underlying cause can be identified and AF is said to be idiopathic. The four most common causes of AF are rheumatic heart disease, ischaemic heart disease, idiopathy and hypertension (high blood pressure). Reference: Fuster V, Ryden LE, Cannom DS, et al. ACC/AHA/ESC guidelines for the management of patients with atrial fibrillation – executive summary. Eur Heart J 2006;27:1979–2030.
  • #36 During AF, different areas of the atrium are being excited at different times, generating a “spiral vawe” of conduction. Atrial tissues from these areas show an increased variability in length of the effective refractory period often with a shortened ERP, resulting in a rapid atrial rate.
  • #37 During AF different areas of the atrium are being excited at different times, generating a “spiral vawe” of conduction. Atrial tissues from these areas show an increased variability in length of the effective refractory period often with a shortened ERP, resulting in a rapid atrial rate. The re-entry wavelength may also have animportant role in determining susceptibility to re-entrant cardiac arrhythimas, including AF.
  • #38 A Dutch pharmacologist, Maurits Alessie, had described the atrial remodelling that occurs with AF as “AF begets AF”. In response to periods of AF, the atrial refractory period shortens, with a greater proportional effect noted at longer cycle lengths. Reinitiation of AF with single extra stimuli is facilitated. Repeat episodes result in longer duration of each episode until the arrhythmia becomes persistent. Sinus node function is also depressed. All of these changes are reversible over time after restoration of sinus rhythm.
  • #39 Atrial flutter is a related condition that can occur and is treated together with AF. It is characterised by a regular, rapid heart rhythm with an atrial rate of 250-350 beats per minute, resulting in a “saw-toothed” ECG pattern. A macro-re-entry circuit encompassing the entire right atrium is responsible for the generation of atrial flutter. This macro-re-entrant circuit involves the isthmus area between the tricuspid valve and the inferior vena cava.
  • #40 How atrial flutter and AF are interrelated is not precisely understood and both types of arrhythmia may occur in the same patient.
  • #41 The clinical manifestations of AF relate to the loss of atrial systolic function (atrial contribution to ventricular filling is lost) and an irregular, ventricular response. This causes a fall in cardiac output of approximately 10% in normal subjects, with a greater decrease seen at fast ventricular rates. This becomes more clinically important with increasing age and progressive impairment of left ventricular systolic and diastolic function, because in these conditions atrial systole makes a greater contribution towards the overall stroke volume. A disturbance of the rhythm and loss of atrial systolic function also results in abnormal blood flow and stasis in the atria (especially a sluggish blood flow in the left atrial appendage), factors that predispose to the formation of intra-atrial blood clots.
  • #42 The left-atrial appendage (LAA) is the most common site of intracardial thrombus formation in patients with atrial fibrillation (AF) because of anatomical reasons (sluggish blood flow).
  • #46 The left atrial appendage (LAA) is the most common site of intracardiac thrombus formation in patients with AF because of anatomical reasons (sluggish blood flow).
  • #47 Thrombus from the left atrial appendage (LAA).
  • #48 The left atrial appendage (LAA) is the most common site of intracardiac thrombus formation in patients with atrial fibrillation (AF). A thrombus in the LAA is indicated at the echocardiogram.
  • #49 When confined to the heart, a thrombus is typically asymptomatic.
  • #50 Part or all of the thrombus may become dislodged and subsequently ejected out of the heart at high pressure. This embolus, which is carried through the arterial system…
  • #51 Part or all of the thrombus may become dislodged and subsequently ejected out of the heart at high pressure. This embolus, which is carried throgh the arterial system…
  • #52 Part or all of the thrombus may become dislodged and subsequently ejected out of the heart at high pressure. This embolus, which is carried throgh the arterial system…
  • #53 …then becomes lodged in the small blood vessels, commonly a small artery of the brain.
  • #55 Occlusion of an artery in the brain results in an ischaemic stroke, one of the most severe complications of atrial fibrillation (AF).
  • #56 Occlusion of an artery in the brain results in an ischaemic stroke, one of the most severe complications of atrial fibrillation (AF).
  • #60 In a recent study by Gladstone and colleagues of nearly 600 patients who were admitted to the hospital with a first ischemic stroke from AF, 60% were disabling and 20% were fatal.
  • #61 A patient may or may not be aware of his or her arrhythmia. The symptoms vary with each patient and include palpitations, a rapid heartbeat, or a sudden pounding in the chest, dizziness, syncope, chest discomfort or shortness of breath.
  • #62 i più frequenti dei quali sono, in ordine decrescente, palpitazioni, astenia, intolleranza allo sforzo, dispnea, angina, vertigini e sincopi
  • #63 The impact that symptoms have on functional status or quality of life is a major factor in determining how soon a normal rhythm needs to be restored. The patient’s history is critical for eliciting what factors are associated with the occurrence of the arrhythmia and whether those factors need to be addressed before proceeding with treating the arrhythmia.
  • #64 Patients with AF may be exquisitely sensitive to the change in rhythm, while others do not notice it at all, or modify their lifestyle to cope with their symptoms. Often patients are aware of “palpitations”, a sensation that the heart is skipping beats or being inappropriately fast or slow.
  • #65 Some patients with AF notice a reduced exercise tolerance. Some of this may relate to the loss of atrial kick, others may have an inappropriate heart rate response to exercise, either too slow or too fast.
  • #66 An echocardiogram, which uses ultrasound to image the heart, provides important information for the initial evaluation of most patients with AF. Either transthoracic echocardiography or transoesophageal echocardiography, or a combination of the two may be appropriate. The initial goal of the echocardiography evaluation should be to establish the presence or absence of structural heart disease including valvular abnormalities, congenital abnormalities, chamber distensions, pericardial thickening of effusions, ventricular function and presence of thrombus. Left atrial size is an important predictor of outcome in patients with AF. Left atrial enlargement may increase the risk of stroke, owing to the greater potential for stasis in the dilated chamber. Although transthoracic echocardiography is adequate for assessing chamber size, detection of thrombi or the assessment of left atrial appendage anatomy and function requires the transoesophageal (TEE) approach. Although this is a helpful diagnostic tool to establish the stroke risk it is not often used in routine clinical practice.
  • #67 The left atrial appendage (LAA) is the most common site of intracardiac thrombus formation in patients with AF. (Transoesophageal echocardiography).
  • #68 The left atrial appendage (LAA) is the most common site of intracardiac thrombus formation in patients with AF. (Transoesophageal echocardiography)
  • #74 come è ben visibile dalle curve di sopravvivenza attuariale relative allo studio.
  • #79 Figure 1 Mechanisms of atrial fibrillation (AF). Endoscopic three-dimensional computed tomographic image of the left atrium is shown. Pulmonary vein tachycardias (green lightening bolts), macroreentrant tachycardias (blue wavelets), high-frequency sources (red circuits), and ganglionated plexi (yellow marks) have been implicated in the genesis of AF and targeted during catheter ablation of AF. LI left inferior; LAA left atrial appendage; LS left superior; PV pulmonary vein; RI right inferior; RS right superior.
  • #80 Questi concetti, in apparenza complessi, vengono esemplificati paragonando l&amp;apos;atrio a un laghetto, perfettamente circolare, e il ritmo sinusale a una biglia, che cade al centro del laghetto generando un fronte d&amp;apos;onda circolare e concentrico che arriva ai margini del laghetto per poi richiudersi al centro (come un ritmo sinusale con la sua depolarizzazione e ripolarizzazione) ( 8). Se sono presenti degli ostacoli o dei rallentamenti, al cadere della biglia il fronte d&amp;apos;onda non sarà più circolare ma subirà delle riflessioni che agiteranno le acque del lago: un po&amp;apos; quello che succede negli atri con dei blocchi alla conduzione o dei rallentamenti della velocità di conduzione determinati da zone di fibrosi ( 9). Allo stesso modo, se si genera una falla nella diga a monte del laghetto e scende troppa acqua, il lago straripa e diventa più grande con dei margini irregolari, il fronte d&amp;apos;onda al momento di riflettersi subisce dei problemi e il laghetto si agita: la medesima dinamica che si riscontra negli atri molto dilatati come quelli di pazienti con valvulopatie, dove è molto facile l&amp;apos;insorgenza di FA ( 10).
  • #81 Questi concetti, in apparenza complessi, vengono esemplificati paragonando l&amp;apos;atrio a un laghetto, perfettamente circolare, e il ritmo sinusale a una biglia, che cade al centro del laghetto generando un fronte d&amp;apos;onda circolare e concentrico che arriva ai margini del laghetto per poi richiudersi al centro (come un ritmo sinusale con la sua depolarizzazione e ripolarizzazione) ( 8). Se sono presenti degli ostacoli o dei rallentamenti, al cadere della biglia il fronte d&amp;apos;onda non sarà più circolare ma subirà delle riflessioni che agiteranno le acque del lago: un po&amp;apos; quello che succede negli atri con dei blocchi alla conduzione o dei rallentamenti della velocità di conduzione determinati da zone di fibrosi ( 9). Allo stesso modo, se si genera una falla nella diga a monte del laghetto e scende troppa acqua, il lago straripa e diventa più grande con dei margini irregolari, il fronte d&amp;apos;onda al momento di riflettersi subisce dei problemi e il laghetto si agita: la medesima dinamica che si riscontra negli atri molto dilatati come quelli di pazienti con valvulopatie, dove è molto facile l&amp;apos;insorgenza di FA ( 10).
  • #85 Current treatment strategies for AF consist of rhythm or rate control, plus anticoagulation therapy. Rhythm-control therapy aims to restore and maintain normal heart rhythm, as well as reduce symptoms and morbidity/mortality associated with AF. Rate-control therapy aims to control the ventricular rate and minimise symptoms of AF. Anticoagulation therapy is necessary to reduce the risk of stroke and systemic embolism. Recent trials suggest that anticoagulation therapy is underused in patients with AF at risk of stroke (Thibault et al 2004). Anticoagulation therapy should therefore be continued in all patients regardless of whether a rhythm or rate control strategy is used. Reference: Thibault B, Talajic M, Dubuc M, et al. Thromboembolic events occur despite sinus rhythm maintenance in patients treated for atrial fibrillation: The Canadian Trial of Atrial Fibrillation experience. Can J Cardiol 2004;20:195–9.
  • #86 The options available for achieving and maintaining rhythm control are electrical or pharmacological cardioversion, antiarrhythmic agents, surgical procedures (e.g. maze procedure, ablation) and device implantation (e.g. pacemaker). Each of these options will be covered in more detail in the rhythm control section. The methods available for rate control include atrioventricular (AV) node blockers, and surgical procedures with device implantation (e.g. ablation with pacemaker insertion). The rate control section will cover these techniques in more detail.
  • #87 The rhythm control approach to treating AF includes use of electrical cardioversion, pharmacological agents and non-pharmacological approaches (e.g. surgery and pacemaker implantation).
  • #88 The goal of rhythm-control therapy for AF is to restore normal sinus rhythm by electrical or pharmacological cardioversion, and to maintain normal sinus rhythm, preventing relapses of AF.
  • #90 Cardioversion to restore sinus rhythm is often performed electively in patients with persistent AF. It can be performed with drugs (pharmacological cardioversion) or electric shocks (electrical cardioversion), and can be guided by transoesophageal echocardiography (TEE). There is a risk of thromboembolism and preventative anticoagulant therapy with current agents requires administration 3–4 weeks before cardioversion. Successful conversion can alleviate symptoms, increase exercise tolerance and improve quality of life. If acute onset of AF creates a life-threatening situation (i.e. pulmonary oedema), immediate electrical cardioversion is indicated. When a period of anticoagulation is required before attempting cardioversion (electrical or pharmacological), some physicians choose to also prescribe low doses of oral antiarrhythmic agents (sometimes referred to as ‘loading doses’). The loading doses may help to facilitate effective conversion during the cardioversion procedure or, occasionally, may actually induce spontaneous conversion to normal sinus rhythm during the loading period.
  • #91 For persistent or highly symptomatic paroxysmal AF, normal sinus rhythm can be restored with drugs (pharmacological cardioversion) or with an electrical shock (electrical cardioversion). Electrical cardioversion involves the use of an electrical current through the chest wall to convert the abnormal rhythm back to normal, while the patient is under short-acting anaesthesia.
  • #92 Antiarrhythmic drugs are often used to maintain normal sinus rhythm in the early period after electrical cardioversion, and may be needed on a chronic basis to prevent recurrences of AF. Three to four weeks before a planned electrocardioversion, oral anticoagulant and antiarrhythmic drugs are commonly prescribed.
  • #93 Electrical cardioversions have to be performed in hospital using specialised equipment. An electric shock is administered across the chest, which briefly stops the chaotic electrical activity in the heart and allows restoration of normal rhythm. The whole experience can be unpleasant for the patient and requires conscious sedation or anaesthesia (Fuster et al 2001). This method of cardioversion is commonly used and is successful in up to 95% of patients but it is not curative – two-thirds of patients have a recurrence of AF within 12–24 months (Lee 2004). Therefore, pharmacological maintenance therapy is required to prevent recurrence. The major side-effect of electrical cardioversion is thromboembolism so anticoagulant therapy before and after cardioversion is essential. References: Fuster V, Ryden LE, Cannom DS, et al. ACC/AHA/ESC guidelines for the management of patients with atrial fibrillation – executive summary. Eur Heart J 2006;27:1979–2030. Lee D. Atrial fibrillation. Available from: http://www.medicinenet.com/script/main/art.asp?articlekey=286&amp;pf=3&amp;track=qpa286 [Accessed November 2004].
  • #94 Antiarrhythmic agents are used for both conversion of AF to normal sinus rhythm and maintenance of normal sinus rhythm. The table shows the Vaughan Williams classification of antiarrhythmic agents. These agents can be divided into four classes based on their mechanism of action. Class I agents block sodium channels and are divided into three subclasses based on their effects on repolarisation. Class II agents block -adrenergic receptors, slow sinus rhythm and prolong PR interval. Class III agents block potassium channels, prolonging the action potential duration and repolarisation. This class contains some of the most widely used antiarrhythmic agents (Chaundhry &amp; Haffajee 2000). Class IV agents are calcium channel blockers that slow sinus rhythm and prolong the PR interval. Reference: Chaudhry GM, Haffajee CI. Antiarrhythmic agents and proarrhythmia. Crit Care Med 2000;28:N158–64.
  • #98 b
  • #99 b
  • #100 b
  • #101 b
  • #102 b
  • #103 b
  • #105 Pharmacological cardioversion is most effective if initiated early after AF onset (Fuster et al 2006). Antiarrhythmic agents used for pharmacological cardioversion include class IC and class III agents. Propafenone and flecainide (oral or intravenous) have been shown to be effective in placebo-controlled trials of recent-onset AF, although efficacy is reduced in patients with persistent AF. These agents have limited clinical use as they cannot be used in patients with structural heart disease. Amiodarone is modestly effective in recent-onset AF and has shown effectiveness in cardioversion of persistent AF (Fuster et al 2006). Available data on amiodarone are confusing as it can be administered intravenously, orally or by both routes concurrently. Intravenous ibutilide has also shown effectiveness in rapid cardioversion of recent onset AF (Fuster et al 2006; McNamara et al 2003). Insufficient evidence has been found for efficacy of cardioversion with sotalol (McNamara et al 2003). All these agents have conversion rates of around 50%, and therefore pharmacological cardioversion is believed to be less effective than electrical cardioversion (Fuster et al 2006; Lee 2004). In addition, many of these drugs are proarrhythmic and are associated with a risk of torsade de pointes. Amiodarone has one of the lowest proarrhythmic potentials but frequently causes side-effects and drug–drug interactions with long-term use (Lee 2004). References: Fuster V, Ryden LE, Cannom DS, et al. ACC/AHA/ESC guidelines for the management of patients with atrial fibrillation – executive summary. Eur Heart J 2006;27:1979–2030. McNamara RL, Tamariz LJ, Segal JB, et al. Management of atrial fibrillation: Review of the evidence for the role of pharmacologic therapy, electrical cardioversion, and echocardiography. Ann Intern Med 2003;139:1018–33. Lee D. Atrial fibrillation. Available from: http://www.medicinenet.com/script/main/art.asp?articlekey=286&amp;pf=3&amp;track=qpa286 [Accessed November 2004].
  • #106 Once AF has been converted, normal sinus rhythm must be maintained by pharmacological agents or surgical procedures. Due to the potential for relapses of AF (symptomatic or asymptomatic), the risk of embolic events remains and continued effective anticoagulation therapy is therefore necessary.
  • #108 AF is not an accepted indication for pacemaker implantation unless bradycardia (slow heart rate) is present. It is moderately successful in some patients but can be highly effective in patients with vagal AF. Pacemakers are battery-operated devices that send small electrical impulses to the heart tissue. They usually prevent episodes of AF by providing permanent atrial pacing at a heart rate above the intrinsic heart rate (overdrive stimulation). However, there are specific preventive algorithms under development for prevention of episodes of AF in patients with or without conventional bradycardia.
  • #110 The aim of rate-control therapy is to minimise symptoms of AF by reducing the frequency of ventricular contractions, returning the heart rate back to the normal range of between 60 and 80 beats per minute at rest, or between 90 and 115 beats per minute during exercise. Drugs effective in rate control include calcium blockers, -blockers and digoxin. These agents work by reducing the speed of conduction of the electrical signal through the AV node. Rate control drugs require careful dose titration to ensure a normal heart rate is achieved with minimal adverse effects.
  • #111 Calcium channel blockers (e.g. verapamil and diltiazem) work by preventing entry of calcium into the muscle cells of the heart. Calcium channel blockers can be used in patients with circulatory problems, including those with heart or lung disease, and are often used in patients who cannot take -blockers. Verapamil is the most commonly prescribed calcium channel blocker used in AF, but can lower blood pressure leading to prolonged hypotension. Diltiazem can also cause hypotension. References Atrial fibrillation. Resources for patients. Available from: http://a-fib.com/Cures.htm [Accessed November 2004]. Acute management of atrial fibrillation. Available from: http://www.theberries.ns.ca/Archives/afib.html [Accessed November 2004]. Fuster V, Ryden LE, Cannom DS, et al. ACC/AHA/ESC guidelines for the management of patients with atrial fibrillation – executive summary. Eur Heart J 2006;27:1979–2030.
  • #112 -blockers (e.g. atenolol and propranolol) work by inhibiting the effect of adrenaline (epinephrine) on the heart. Adrenaline is responsible for the increase in heart rate observed during exercise, excitement or fear. -blockers slow the heart rate and reduce the force of muscular contraction. They are most effective in the control of heart rate during exercise and are therefore the preferred treatment in young, active patients. However, -blockers are not suitable for patients with asthma. The effect of reducing heart rate can lead to bradycardia, and -blockers also lower blood pressure, which can lead to hypotension. Sotalol is a -blocker with class III antiarrhythmic activity that should not be used for rate control therapy as other -blockers are considered better tolerated for this type of approach. However, higher doses of sotalol (240–320 mg/day) are sometimes used for rhythm control therapy. Reference: Palpitations. Your medical source. Available from: http://www.yourmedicalsource.com/library/palpitations/PAL_treatment.html [Accessed November 2004].
  • #113 Digoxin is currently the most widely prescribed agent for rate control during AF, often used in combination with calcium channel blockers or -blockers. It slows electrical conduction through the AV node. This reduces the rate of stimulation of the ventricles, which contract less frequently as a result. It also shortens the refractory period of the atria and can therefore have the unwanted effect of promoting AF. Digoxin has a slow onset of effect, even when administered intravenously and is of limited use in active patients. Reference: DiMarco JP. Adenosine and digoxin. In: Zipes DP, Jalife J, eds. Cardiac electrophysiology. 4th edn. Philadelphia: Saunders, 2004:942–9.
  • #114 As rate control agents work by reducing the ventricular rate and do not re-establish normal sinus rhythm, the heart can remain in AF (www.medicinenet.com). Careful dose titration is required with these agents and administration of two or more rate-control agents is often necessary to achieve optimal ventricular rate (Wyse et al 2002). The mechanism of action of rate-control agents involves slowed signal conduction across the AV node, which can have dangerous consequences in patients with a diseased AV node – this is more common in the elderly, and can lead to a dangerously slow heart rate even with small doses of rate control agents. This condition is known as ‘sick sinus syndrome’ (www.merck.com). References: Atrial fibrillation. Available from: http://www.medicinenet.com/atrial_fibrillation/page4.htm [Accessed November 2004]. Wyse DG, Waldo AL, DiMarco JP, et al. A comparison of rate control and rhythm control in patients with atrial fibrillation. Atrial Fibrillation Follow-up Investigation of Rhythm Management (AFFIRM) Investigators. N Engl J Med 2002;347:1825–33. Sick sinus syndrome. Available from: http://www.merck.com/mrkshared/mmanual/section16/chapter205/205o.jsp [Accessed November 2004].
  • #115 The principal disadvantage of all forms of cardioversion is risk of thromboembolism, which appears to be greatest when AF has persisted for over 48 hours. Anticoagulation therapy is therefore recommended in the majority of patients when cardioversion is performed.
  • #116 The principal disadvantage of all forms of cardioversion is a small risk of thromboembolism, which appears to be greatest when AF has persisted for over 48 hours. Anticoagulation therapy is therefore recommended in the majority of patients when cardioversion is performed. Reference: Fuster V, Ryden LE, Cannom DS, et al. ACC/AHA/ESC guidelines for the management of patients with atrial fibrillation – executive summary. Eur Heart J 2006;27:1979–2030.
  • #120 (*) Non si e’ considerato opportuno mantenere il limite di 7 giorni come discriminante fra FA parossistica e persistente in quanto ritenuto privo di reale significato clinico. Si e’ invece preferitobutilizzare un kut off di 48h per le implicazioni terapeutiche che esso comporta; dopo tale periodo, infatti, diventa obbligatorio instaurare una TA prima di poter eseguire CVE o CVF,
  • #121 Costituito da trigger e substrato. I differenti tipi di FA (parox e persist hanno approcci ablativi differenti)
  • #123 Different hypotheses could account for the incremental value of the CFAE on long-term SR maintenance. These include: (1) ablation of non-PV antra triggers, (2) more extensive atrial debulking, which leads to a smaller amount of atrium able to fibrillate, or (3) ablation of regions pivotal to the maintenance of AF. The relevance of each hypothesis remains to be determined.
  • #124 (*) Non si e’ considerato opportuno mantenere il limite di 7 giorni come discriminante fra FA parossistica e persistente in quanto ritenuto privo di reale significato clinico. Si e’ invece preferitobutilizzare un kut off di 48h per le implicazioni terapeutiche che esso comporta; dopo tale periodo, infatti, diventa obbligatorio instaurare una TA prima di poter eseguire CVE o CVF,
  • #127 Il mapping elettro-anatomico prevede la ricostruzione di un modello tridimensionale della camera atriale a partire dai punti registrati dall’apice del catetere. La ricostruzione anatomica dipende dalla quantità dei punti registrati e dalla loro distribuzione: infatti il modello rappresenterà la sola area anatomica in cui il catetere sarà stato posizionato. Alcune variazioni anatomiche come aneurismi, vene sovrannumerarie, correzioni chirurgiche, dislocazioni congenite nascondono aree critiche al mapping del catetere (navigazione) e ne escludono la rappresentazione sulla mappa elettrica. La ricostruzione anatomica che si ottiene per mezzo di tale sistema (ovvero il mappaggio elettroanatomico CARTO) è inficiata però da una notevole grado di approssimazione che non consente una visualizzazione dettagliata della morfologia cardiaca come invece è possibile tramite le ricostruzioni 3D ottenute per mezzo della TC o della RMN cardiaca.
  • #128 Il mapping elettro-anatomico prevede la ricostruzione di un modello tridimensionale della camera atriale a partire dai punti registrati dall’apice del catetere. La ricostruzione anatomica dipende dalla quantità dei punti registrati e dalla loro distribuzione: infatti il modello rappresenterà la sola area anatomica in cui il catetere sarà stato posizionato. Alcune variazioni anatomiche come aneurismi, vene sovrannumerarie, correzioni chirurgiche, dislocazioni congenite nascondono aree critiche al mapping del catetere (navigazione) e ne escludono la rappresentazione sulla mappa elettrica. La ricostruzione anatomica che si ottiene per mezzo di tale sistema (ovvero il mappaggio elettroanatomico CARTO) è inficiata però da una notevole grado di approssimazione che non consente una visualizzazione dettagliata della morfologia cardiaca come invece è possibile tramite le ricostruzioni 3D ottenute per mezzo della TC o della RMN cardiaca.
  • #129 Il mapping elettro-anatomico prevede la ricostruzione di un modello tridimensionale della camera atriale a partire dai punti registrati dall’apice del catetere. La ricostruzione anatomica dipende dalla quantità dei punti registrati e dalla loro distribuzione: infatti il modello rappresenterà la sola area anatomica in cui il catetere sarà stato posizionato. Alcune variazioni anatomiche come aneurismi, vene sovrannumerarie, correzioni chirurgiche, dislocazioni congenite nascondono aree critiche al mapping del catetere (navigazione) e ne escludono la rappresentazione sulla mappa elettrica. La ricostruzione anatomica che si ottiene per mezzo di tale sistema (ovvero il mappaggio elettroanatomico CARTO) è inficiata però da una notevole grado di approssimazione che non consente una visualizzazione dettagliata della morfologia cardiaca come invece è possibile tramite le ricostruzioni 3D ottenute per mezzo della TC o della RMN cardiaca.
  • #130 La necessità di una navigazione all’interno di una anatomia cardiaca meglio definita è stata soddisfatta dal sistema CARTOMERGE™ fornito dalla Biosense Webster. Con esso infatti è possibile effettuare una procedura ablativa all’interno di una camera cardiaca 3D acquisita precedentemente tramite TC o RMN. Tuttavia l’accuratezza di tale nuova modalità di navigazione non è ancora stata validata.
  • #132 Effettuata l’angio RMN cardiaca abbiamo importato le multiple sezioni coronali (immagini di sommazione della fase prescelta) nel computer facendogli ricostruire in 3D le strutture anatomiche prossimali all’atrio di sinistra compreso. Per mezzo poi delle funzioni di editing (segmentazione, inclusione, ed esclusione di voxel) abbiamo isolato la camera di interesse e con la funzione di cut eliminato i prolungamenti dei rami distali delle vene polmonari e il residuo (erroneamente identificato come atriale dalla macchina) della porzione sottovalvolare mitralica.
  • #134 VP sinistre
  • #135 VP destre
  • #136 E’ presente una sonda per ecocardiografia intracardiaca phased array con aggiunto un sensore magnetico.
  • #137 E’ presente una sonda per ecocardiografia intracardiaca phased array con aggiunto un sensore magnetico.
  • #145 I VKA hanno un ristretto range terapeutico I VKA (antagonisti della Vitamina K), come warfarin, hanno un intervallo terapeutico molto stretto entro il quale l’attività anticoagulante fornisce una protezione sufficiente dall’ictus con un basso rischio di complicanze emorragiche.1 L’attività anticoagulante dei VKA viene monitorato usando l’ International Normalized Ratio (INR), che fornisce una misura standardizzata della tendenza di un campione di sangue a coagularsi. Questa diapositiva presenta tassi di ictus ischemico e di emorragia intracranica rapportati all’INR utilizzando dati ottenuti da uno studio di coorte retrospettivo su 13.559 pazienti con FA non valvolare arruolati presso un ente per il mantenimento della salute nella California del Nord.1 Quando l’INR si riduce al di sotto di 2,0, il rischio di ictus ischemico aumenta nettamente indicando che l’attività anticoagulante è scarsa.1 Quando l’INR aumenta al di sopra di 3,0, il rischio di emorragia intracranica – che è una complicanza emorragica pericolosa  aumenta, mostrando un’eccessiva attività anticoagulante.1 Pertanto, l’obiettivo con i VKA generalmente è di ottenere e poi mantenere un INR compreso nell’intervallo 2,03,0.2 Tuttavia, in pratica, il conseguimento ed il mantenimento di INR nell’intervallo desiderato è spesso difficile, dato che l’insorgenza e la cessazione dell’attività dei VKA sono lente e soggette a numerose interazioni con il cibo e con altri medicinali. Conseguentemente, è necessario un monitoraggio continuo e regolare della terapia con i VKA. Bibliografia Hylek EM, Go AS, Chang Y, et al. Effect of intensity of oral anticoagulation on stroke severity and mortality in atrial fibrillation. N Engl J Med 2003;349:10191026. Fuster V, Rydén LE, Cannom DS, et al. ACC/AHA/ESC guidelines for the management of patients with atrial fibrillation. Circulation 2006;114:e257–354 &amp; Eur Heart J 2006;27:1979–2030.
  • #162 Dabigatran etexilato Dabigatran etexilato è:13 Un anticoagulante orale nuovo che è stato sviluppato per il trattamento e la prevenzione di una serie di patologie tromboemboliche, inclusa la prevenzione dell’ictus nei pazienti con FA Un inibitore diretto e reversibile della trombina: la trombina ha un ruolo fondamentale nel processo della coagulazione del sangue e pertanto costituisce un bersaglio efficace per l’inibizione della coagulazione Una piccola molecola; questo significa che dabigatran può penetrare nei trombi per inibire sia la trombina legata al coagulo che quella libera Un profarmaco somministrato per via orale che viene rapidamente assorbito e trasformato nella sua forma attiva, dabigatran. Bibliografia Stangier J, Rathgen K, Stähle H, et al. The pharmacokinetics, pharmacodynamics and tolerability of dabigatran etexilate, a new oral direct thrombin inhibitor, in healthy male subjects. Br J Clin Pharmacol 2007; 64:292303. Sorbera LA, Bozza J, Castaner J, et al. Dabigatran/dabigatran etexilate: prevention of DVT, prevention of ischemic stroke, thrombin inhibitor. Drugs Future 2005;30:877885. Blech S, Ebner T, Ludwig-Schwellinger E, et al. The metabolism and disposition of the oral direct thrombin inhibitor, dabigatran, in humans. Drug Metab Dispos 2008;36:386399.
  • #163 This slide needs some “re-animation”: First click: To appear “intrinsic and extrinsic activation and the arrows including factor IX and VII leading to factor X” Second click: Arrow from factor X to factor Xa and all downward reactions leding to fibrin. Please delete “32 U” Third click: The three arrows on the right side (TFPI and antithrombin). Please delete “1 ug” and “1000 ug”. Fourth click: The orange text on the left side and simultaneously orange circles around II, VII, IX and X
  • #165 Dabigatran exilato Tra i nuovi farmaci anticoagulanti inibitori diretti della trombina, quello che, attualmente, suscita più interesse è il Dabigatran etexilato. Il Dabigatran viene somministrato come profarmaco e la sua concentrazione plasmatica è proporzionale alla dose ed il massimo effetto sui parametri della coagulazione coincide con la massima concentrazione plasmatica (Tmax 0,5-2 ore); il suo assorbimento è rapido, così come la comparsa degli effetti farmacologici. Una volta attivo, esso è in grado di inibire direttamente, con elevata affinità e specificità, sia la trombina libera che quella legata al coagulo, consentendo la prevenzione della formazione del trombo e la lisi di quello già formatosi.
  • #166 Dal punto di vista farmacocinetico, il Dabigatran ha una biodisponibilità assoluta pari a circa il 65% (la bassa biodisponibilità è la ragione per cui le capsule contengono dosaggi relativamente elevati di profarmaco), un basso potenziale di legame alle proteine plasmatiche, un’emivita di 12-14 ore ed un’escrezione prevalentemente renale (85%); il Dabigatran ed i suoi metaboliti non sono metabolizzati dal citocromo P450, cosicchè assai scarso risulta il livello di interazione farmaco-farmaco e quello con gli alimenti (Fig.2). Il profilo farmacodinamico e farmacocinetico di tale farmaco è, in sostanza, del tutto prevedibile e riproducibile ed è caratterizzato da una bassa variabilità intra-individuale.
  • #167 Dal punto di vista farmacocinetico, il Dabigatran ha una biodisponibilità assoluta pari a circa il 65% (la bassa biodisponibilità è la ragione per cui le capsule contengono dosaggi relativamente elevati di profarmaco), un basso potenziale di legame alle proteine plasmatiche, un’emivita di 12-14 ore ed un’escrezione prevalentemente renale (85%); il Dabigatran ed i suoi metaboliti non sono metabolizzati dal citocromo P450, cosicchè assai scarso risulta il livello di interazione farmaco-farmaco e quello con gli alimenti (Fig.2). Il profilo farmacodinamico e farmacocinetico di tale farmaco è, in sostanza, del tutto prevedibile e riproducibile ed è caratterizzato da una bassa variabilità intra-individuale.
  • #168 Le uniche interazioni farmacologiche possono avvenire a livello intestinale con gli inibitori e/o induttori della glicoproteina-P, responsabile del riassorbimento del Dabigatran nel lume intestinale.Potenti induttori di tale trasportatore, come rifampicina, carbamazepina, fenitoina, inibitori delle proteasi ed iperico (“erba di San Giovanni”), possono ridurre l’esposizione sistemica al Dabigatran e sono, perciò, non indicati in associazione. Forti inibitori di tale proteina, come gli antifungini (itraconazolo e ketoconazolo ad uso sistemico), la ciclosporina, il tacrolimus, e, tra i farmaci antiaritmici, il Dronedarone, ne aumentano il tempo di esposizione e sono, quindi, anch’essi, controindicati in associazione. In caso di co-somministrazione di inibitori meno potenti della glicoproteina-P, quali l’aspirina, i FANS, gli SSRI o SNRI e gli stessi antiaggreganti Clopridogrel e Ticagrelor (per i quali non ci sono dati circa le possibili interazioni con Dabigatran) è sufficiente un aggiustamento di dosaggio del Dabigatran. Tra i farmaci utilizzati per il controllo del ritmo e della frequenza nel paziente con F.A., quelli che richiedono una riduzione della posologia del Dabigatran (150-110 mg/die anziché 300 mg/die) sono rappresentati dall’Amiodarone, dalla Chinidina e dal Verapamil, poiché anch’essi inibitori della glicoproteina-P.
  • #169 Il dosaggio di 150 mg b.i.d. deve essere ridotto a 110 mg b.i.d. nei pazienti con più di 80 anni, con elevato rischio di sanguinamento (HAS-BLED ≥ 3), insufficienza renale cronica (filtrato glomerulare 30-49 ml/min) e già in terapia con Verapamil. In caso di sovradosaggio, non esiste un antidoto in grado di neutralizzarne gli effetti. L’emodialisi è in grado di rimuovere circa il 62% del farmaco a 2 ore e il 64% a 4 ore (dato il suo scarso legame con le proteine plasmatiche); in alternativa, è possibile utilizzare il carbone attivo per ridurne l’assorbimento essere somministrata subito dopo aver sospeso la UHF.
  • #170 Conclusioni Dabigatran etexilato potenzialmente è in grado di ridefinire la gestione del rischio di ictus nei pazienti con fibrillazione atriale. I due dosaggi di dabigatran forniscono vantaggi diversi e complementari rispetto a warfarin:1 Dabigatran etexilato 150 mg due volte al giorno è più efficace di warfarin, ma ha un profilo di sanguinamento simile Dabigatran etexilato 110 mg due volte al giorno è altrettanto efficace rispetto a warfarin, ma ha un profilo di sanguinamento migliore. Il beneficio clinico finale dei due dosaggi di dabigatran etexilato è sovrapponibile. Rif. Bibl. Connolly SJ, Ezekowitz MD, Yusuf S, et al. Dabigatran versus warfarin in patients with atrial fibrillation. N Engl J Med 2009;361:1139–1151.