Thyroid Gland DisordersSMS3023By: Dr. Mohanad
Thyroid Gland: IntroductionThe largest pure endocrine gland (15-25 gm), located in the anterior neck Consists of two lateral lobes connected by a median tissue mass called the isthmus.2
Thyroid Gland: introductionBlood supply Arterial blood supplySuperior thyroid artery from external carotidInferior thyroid artery from subclaviansBlood flow 4-6 ml/min/gmVenous blood supplyThree pairs of veins supply blood to the gland
Thyroid Gland: introductionThe thyroid gland is made up of closely packed sacs called thyroid follicles.The structural and functional unite of thyroid gland.Cyst-like structure 0.2 – 0.9 mm in diameter Simple cuboidal epithelial (follicular cells) surrounding a lumen filled with colloid.T4 and  T3 present in colloid bound to a large protein called thyroglobulin.
Thyroid follicles
Thyroid follicles
Thyroid Follicles
Thyroid Gland: IntroductionThyroid gland secret 3 hormonesThyroxin or (T4) Tri-iodotyronine or (T3)Main hormones secreted by thyroid glandSecreted by follicular cellsAmino acid derivatives (tyrosine)CalcitoninProduced by parafollicular cells – C cells
Hypothalamus-Pituitary-Thyroid Axis
Thyroid Gland: IntroductionSynthesis of T4 and T3 are stimulated by:↑TSHSynthesis of T4 and T3 are reduced by:↓ TSH Glucocorticoid, dopamin and somatostatine.
Actions of Thyroid HormonesIncrease the body’s overall basal metabolic rate Increase oxygen consumptionEssential for normal growthMental developmentSexual maturationIncrease the sensitivity of CVS and CNS to catecholamines (↑COP and HR)
Diseases of the Thyroid GlandCongenital diseasesInflammationFunctional abnormalityDiffuse and Multinodular goitersNeoplasia
Congenital Thyroid DiseasesAgenesis /AplasiaHypoplasiaAccessory or aberrant thyroid glandsThyroglossal duct cyst
Thyroglossal Duct CystA thyroglossal duct cyst is a neck mass or lump that develops from cells and tissues remaining after the formation of the thyroid gland during embryonic development. ChildrenFailure of regressionNeck, medialSquamous or columnar liningoften appears after an upper respiratory infection when it enlarges and becomes painful.Complications: inflammation,   sinus tracts
InflammationThyroiditisAcute illness with painInfectiousAcuteChronicSubacute or granulomatous (De Quervain’s)Little inflammation with dysfunctionSubacute lymphocytic thyroiditisFibrous (Riedel) thyroiditisAutoimmuneHashimoto thyroiditis
HASHIMOTO THYROIDITISMost common cause of hypothyroidismAutoimmune, non-Mendelian inheritance45-65 years, F:M = 10-20:1Painless symmetrical enlargementRisk of developing B-cell non-Hodgkin’s lymphomaOther concomitant autoimmune diseasesEndocrine and non-endocrine
Hashimoto ThyroiditisPathogenesisImmune systems reacts against a variety of thyroid antigensProgressive depletion of thyroid epithelial cells which are  gradually replaced by   mononuclear cells -> fibrosisImmune mechanisms may includes:CD8+ cytotoxic T cell-mediated cell deathCytokine-mediated cell death Binding of antithyroid antibodies -> antibody dependent cell-mediated cytotoxicity
Morphology-Hashimoto ThyroiditisDiffuse enlargementFirm or rubberyPale, yellow-tan, firm & somewhat nodular cut surfacefirm consistency: may be confused with carcinomanot stony hard as in Riedel's thyroiditisa distinctly multinodularqualityfascial attachment to the tracheal wall slightly thickened, but no strong fixation
MorphologyNecrosisCalcificationResembles a hyperplastic lymph nodeResembles a hyperplastic lymph node
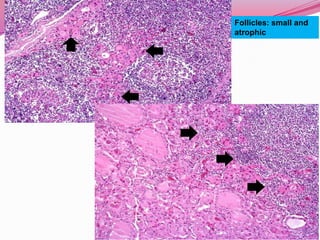
Histopathology-Hashimoto ThyroiditisMassivelymphoplasmcyticinfiltration with lymphoid follicles formation Destruction of thyroid folliclesRemaining follicles are small and many are lined by Hurthle cellsIncreased interstitial connective tissueplasma cells, histiocytesscattered intrafollicular multinucleated giant cellsPolyclonal lymphoplasmacytic populationashimoto's thyroiditis showing lymphoid follicles with prominent germinal centers and oncocytic follicular epithelium.
Histopathology-Hashimoto ThyroiditisFollicles: small and atrophicmost lined by variably sized Hürthle cellsNuclei of Hürthle cells may be: enlarged and hyperchromaticoptically clear and overlapping (reminiscent of papillary carcinoma)Squamous nests: thought to arise from metaplasia of follicular cellsHashimoto's thyroiditis with extensive fibrosis, atrophy of follicular epithelium, and squamous metaplasia.
Follicles: small and atrophic
Hashimoto's thyroiditisThis symmetrically small thyroid gland demonstrates atrophy. This is the end result of Hashimoto's thyroiditis.
Hashimoto's thyroiditisA lymphocytic infiltration with prominent follicles with germinal centers
SymptomsFatigue, Depression    Modest weight gain,  Cold intolerance    Excessive sleepiness,  Dry, coarse hair, Dry skin    Constipation, Increased cholesterol levelsMuscle cramps, Decreased concentration    Vague aches and pains,     Swelling of the legs
Thyroid disorders HypothyroidismUnderactive thyroidHyperthyroidism Overactive thyroid Goiter Thyroid enlargement
Hypothyroidism OutlinesDefinition Causes Clinical features Investigation Treatment
HypothyroidismDefinitionA clinical and biochemical syndrome that results from a deficiency in thyroid hormone secretion from thyroid gland or in the actionThe disease ranges from subclinical hypothyroidism to primary and secondary hypothyroidism and the extreme medical emergency, myxoedema coma.28
29Hypothyroidism PrevalenceIt is a common disorder with prevalence ranges from 2-15% population♀ > ♂ Female to male ratio = 10:1↑ with age; ♀ = ♂Mean age at diagnosis is 50 years
Primary HypothyroidismDisease of the thyroid gland Secondary Hypothyroidism Hypothalamic-pituitary diseases (reduced TSH)Hypothyroidism
Causes of HypothyroidismPRIMARYCongenitalAgenesis Ectopic thyroid remnants Defects of hormone synthesisIodine deficiency DyshormonogenesisAntithyroid drugs Other drugs (e.g. lithium, amiodarone, interferon)
Causes of HypothyroidismAutoimmuneAtrophic thyroiditisHashimoto's thyroiditisPostpartum thyroiditisInfectivePost-subacutethyroiditis
Causes of Hypothyroidismpost-surgeryPost-irradiationRadioactive iodine therapy External neck irradiation InfiltrationTumourSECONDARYHypopituitarismIsolated TSH deficiency
Symptoms and Signs
Investigation of primary hypothyroidism Serum TSH The investigation of choice. A high TSH level confirms primary hypothyroidism. Serum T4low free T4 level confirms the hypothyroid state.Thyroid and other organ-specific antibodies .
Investigations of other abnormalities:Anaemia.Increased serum aspartatetransferaselevels, from muscle and/or liver Increased serum creatinekinaselevels, with associated myopathyHypercholesterolaemiaHyponatraemia due to an increase in ADH and impaired free water clearance.
Treatment Replacement therapy with levothyroxine(thyroxine, i.e. T4) is given for life. In the young and fit, 100 μg daily is suitable.thyroid function tests after at least 6 weeks on a steady dosethe aim is to restore T4 and TSH to well within the normal rangeAn annual thyroid function test is recommended .
Myxoedema coma Severe hypothyroidism, associated with:   - confusion or even coma.   - hypothermia.  - severe cardiac failure.   - Hypoventilation.   - Hypoglycaemia.  - hyponatraemia. patients require full intensive care.
Pathogenesis Myxedema coma/crisis occurs most commonly in older women with long-standing, undiagnosed or undertreated hypothyroidism who experience an additional significant stress, such as infection, a systemic disease, certain medications, and exposure to a cold environment.
When hypothyroidism is long-standing, physiologic adaptations occur.
Reduced metabolic rate and decreased oxygen consumption result in peripheral vasoconstriction, which maintains core temperature.
The number of beta-adrenergic receptors is reduced, usually with preservation of alpha-adrenergic receptors and circulating catecholamines, causing beta/alpha-adrenergic imbalance, diastolic hypertension, and reduced total blood volume.
Myxedema coma/crisis is a form of decompensated hypothyroidism in which adaptations are no longer sufficient.
Essentially, all organ systems are affected. MetabolicThyroid hormones are critical for cell metabolism and organ function. With an inadequate supply, organ tissues do not grow or mature, energy production declines, and the action of other hormones is affected. Although weight gain is common, severe obesity is rarely secondary to hypothyroidism alone. However, long-standing, untreated hypothyroidism may result in years of inactivity, eventually with a large increase in weight. Because of decreased drug metabolism, overdoses of medications (eg, morphine, hypnotics, anesthetic agents, sedatives) can occur and can even precipitate myxedema crisis.
NeurologicAlthough the condition is called myxedema coma, the absence of coma does not exclude the diagnosis of this disorder. The presenting mental status may be lethargy or stupor. The exact mechanisms causing changes in mental status are not known. Brain function is influenced by reductions in cerebral blood flow and oxygen delivery, a lack of thyroxine (T4) and triiodothyronine (T3), and reductions in oxygen and glucose consumption; all of these factors are probably involved. Hyponatremiabrought on by renal dysfunction may be an additional cause of altered mental function.
Myxoedema coma Treatment:T3 orally or intravenously in doses of 2.5-5 μg every 8 hours, then increasing the dose. oxygen (by ventilation if necessary) monitoring of cardiac output and pressures gradual rewarming hydrocortisone 100 mg i.v. 8-hourly glucose infusion to prevent hypoglycaemia.
Hyperthyroidism (Thyroid Overactivity, Thyrotoxicosis)
HyperthyroidismA common disorder.affecting females more than males sex ratio of 5 : 1. most often between ages 20 and 40 years. Nearly all cases (> 99%) are caused by intrinsic thyroid disease.A pituitary cause is extremely rare
Causes of hyperthyroidismCommon Graves' disease (autoimmune) Toxic multinodulargoitreSolitary toxic nodule/adenoma
Causes of hyperthyroidismUncommon Acute thyroiditisviral autoimmune post-irradiation  Gestational thyrotoxicosisNeonatal thyrotoxicosis (maternal thyroid antibodies) Exogenous iodine Drugs - amiodarone
Graves' diseaseThe most common cause of hyperthyrodismIt is an autoimmune  disorder. where the thyroid is overactive, producing an excessive amount of thyroid hormones (a serious metabolic imbalance known as hyperthyroidism and thyrotoxicosis)More common in young adults.Can be familial and associated with other autoimmune diseasesThe resulting is a dramatic constellation of neuropsychological and physical signs and symptoms.Characterized by hyperthyroidism, ophthalmopathy with exophthalmos and dermopathy (pretibialmyxedema)
Graves’ DiseaseAutoimmune disease with breakdown of helper-T-cell toleranceExcessive production of TWO thyroid autoantibodies: Thyroid-stimulating antibody (TSAb) &Growth-stimulating antibody (GSAb)Antibodies bind to the TSH receptor of the follicular cellStimulation of the cell resulting in:Increased levels of thyroid hormones &Hyperplasia of the thyroid glandHyperthyroidism and Thyroid gland enlargement
PATHOGENESISType II reaction:-  autoimmune antibodies target somatic tissues such as extraocular muscles causing an antigen-antibody reaction.A large number of lymphokines are implicated in the inflammatory process.Inflammation results in production of mucopolysaccharidesby fibroblasts leading to swelling followed by collagen production resulting in restriction.There is a high concentration of macrophages in the inferior rectus muscle as well as CD4+ memory T cells and CD8 T cells.  This may account for the clinical observation of maximal disease activity in this muscle.
Graves' diseaseMorphology:Grossly : the thyroid gland is diffusely enlarged because of the presence of diffuse hypertrophy and hyperplasia of thyroid follicular epithelial cells
Graves' diseasenote the prominent infoldings of the hyperplastic epithelium
Graves' diseaseThe tall columnar thyroid epithelium lines the hyperplasticinfoldingsinto the colloid. Note the clear vacuoles in the colloid next to the epithelium.
HyperthyrodismClinical features: due toHypermetabolic state Overactivity of sympathetic nervous system
Symptoms Weight lossIncreased appetiteIrritabilityTremorGoiter RestlessnessStiffnessMuscle weaknessBreathlessness  Palpitation
Heat intolerance
Excessive sweating
Itching
Thirst
Vomiting
Diarrhoea

Lect 3-thyroid disorders

  • 1.
  • 2.
    Thyroid Gland: IntroductionThelargest pure endocrine gland (15-25 gm), located in the anterior neck Consists of two lateral lobes connected by a median tissue mass called the isthmus.2
  • 3.
    Thyroid Gland: introductionBloodsupply Arterial blood supplySuperior thyroid artery from external carotidInferior thyroid artery from subclaviansBlood flow 4-6 ml/min/gmVenous blood supplyThree pairs of veins supply blood to the gland
  • 4.
    Thyroid Gland: introductionThethyroid gland is made up of closely packed sacs called thyroid follicles.The structural and functional unite of thyroid gland.Cyst-like structure 0.2 – 0.9 mm in diameter Simple cuboidal epithelial (follicular cells) surrounding a lumen filled with colloid.T4 and T3 present in colloid bound to a large protein called thyroglobulin.
  • 5.
  • 6.
  • 7.
  • 8.
    Thyroid Gland: IntroductionThyroidgland secret 3 hormonesThyroxin or (T4) Tri-iodotyronine or (T3)Main hormones secreted by thyroid glandSecreted by follicular cellsAmino acid derivatives (tyrosine)CalcitoninProduced by parafollicular cells – C cells
  • 9.
  • 10.
    Thyroid Gland: IntroductionSynthesisof T4 and T3 are stimulated by:↑TSHSynthesis of T4 and T3 are reduced by:↓ TSH Glucocorticoid, dopamin and somatostatine.
  • 11.
    Actions of ThyroidHormonesIncrease the body’s overall basal metabolic rate Increase oxygen consumptionEssential for normal growthMental developmentSexual maturationIncrease the sensitivity of CVS and CNS to catecholamines (↑COP and HR)
  • 12.
    Diseases of theThyroid GlandCongenital diseasesInflammationFunctional abnormalityDiffuse and Multinodular goitersNeoplasia
  • 13.
    Congenital Thyroid DiseasesAgenesis/AplasiaHypoplasiaAccessory or aberrant thyroid glandsThyroglossal duct cyst
  • 14.
    Thyroglossal Duct CystAthyroglossal duct cyst is a neck mass or lump that develops from cells and tissues remaining after the formation of the thyroid gland during embryonic development. ChildrenFailure of regressionNeck, medialSquamous or columnar liningoften appears after an upper respiratory infection when it enlarges and becomes painful.Complications: inflammation, sinus tracts
  • 15.
    InflammationThyroiditisAcute illness withpainInfectiousAcuteChronicSubacute or granulomatous (De Quervain’s)Little inflammation with dysfunctionSubacute lymphocytic thyroiditisFibrous (Riedel) thyroiditisAutoimmuneHashimoto thyroiditis
  • 16.
    HASHIMOTO THYROIDITISMost commoncause of hypothyroidismAutoimmune, non-Mendelian inheritance45-65 years, F:M = 10-20:1Painless symmetrical enlargementRisk of developing B-cell non-Hodgkin’s lymphomaOther concomitant autoimmune diseasesEndocrine and non-endocrine
  • 17.
    Hashimoto ThyroiditisPathogenesisImmune systemsreacts against a variety of thyroid antigensProgressive depletion of thyroid epithelial cells which are gradually replaced by mononuclear cells -> fibrosisImmune mechanisms may includes:CD8+ cytotoxic T cell-mediated cell deathCytokine-mediated cell death Binding of antithyroid antibodies -> antibody dependent cell-mediated cytotoxicity
  • 18.
    Morphology-Hashimoto ThyroiditisDiffuse enlargementFirmor rubberyPale, yellow-tan, firm & somewhat nodular cut surfacefirm consistency: may be confused with carcinomanot stony hard as in Riedel's thyroiditisa distinctly multinodularqualityfascial attachment to the tracheal wall slightly thickened, but no strong fixation
  • 19.
    MorphologyNecrosisCalcificationResembles a hyperplasticlymph nodeResembles a hyperplastic lymph node
  • 20.
    Histopathology-Hashimoto ThyroiditisMassivelymphoplasmcyticinfiltration withlymphoid follicles formation Destruction of thyroid folliclesRemaining follicles are small and many are lined by Hurthle cellsIncreased interstitial connective tissueplasma cells, histiocytesscattered intrafollicular multinucleated giant cellsPolyclonal lymphoplasmacytic populationashimoto's thyroiditis showing lymphoid follicles with prominent germinal centers and oncocytic follicular epithelium.
  • 21.
    Histopathology-Hashimoto ThyroiditisFollicles: smalland atrophicmost lined by variably sized Hürthle cellsNuclei of Hürthle cells may be: enlarged and hyperchromaticoptically clear and overlapping (reminiscent of papillary carcinoma)Squamous nests: thought to arise from metaplasia of follicular cellsHashimoto's thyroiditis with extensive fibrosis, atrophy of follicular epithelium, and squamous metaplasia.
  • 22.
  • 23.
    Hashimoto's thyroiditisThis symmetricallysmall thyroid gland demonstrates atrophy. This is the end result of Hashimoto's thyroiditis.
  • 24.
    Hashimoto's thyroiditisA lymphocyticinfiltration with prominent follicles with germinal centers
  • 25.
    SymptomsFatigue, Depression Modest weight gain, Cold intolerance Excessive sleepiness, Dry, coarse hair, Dry skin Constipation, Increased cholesterol levelsMuscle cramps, Decreased concentration Vague aches and pains, Swelling of the legs
  • 26.
    Thyroid disorders HypothyroidismUnderactivethyroidHyperthyroidism Overactive thyroid Goiter Thyroid enlargement
  • 27.
    Hypothyroidism OutlinesDefinition CausesClinical features Investigation Treatment
  • 28.
    HypothyroidismDefinitionA clinical andbiochemical syndrome that results from a deficiency in thyroid hormone secretion from thyroid gland or in the actionThe disease ranges from subclinical hypothyroidism to primary and secondary hypothyroidism and the extreme medical emergency, myxoedema coma.28
  • 29.
    29Hypothyroidism PrevalenceIt isa common disorder with prevalence ranges from 2-15% population♀ > ♂ Female to male ratio = 10:1↑ with age; ♀ = ♂Mean age at diagnosis is 50 years
  • 30.
    Primary HypothyroidismDisease ofthe thyroid gland Secondary Hypothyroidism Hypothalamic-pituitary diseases (reduced TSH)Hypothyroidism
  • 31.
    Causes of HypothyroidismPRIMARYCongenitalAgenesisEctopic thyroid remnants Defects of hormone synthesisIodine deficiency DyshormonogenesisAntithyroid drugs Other drugs (e.g. lithium, amiodarone, interferon)
  • 32.
    Causes of HypothyroidismAutoimmuneAtrophicthyroiditisHashimoto's thyroiditisPostpartum thyroiditisInfectivePost-subacutethyroiditis
  • 33.
    Causes of Hypothyroidismpost-surgeryPost-irradiationRadioactiveiodine therapy External neck irradiation InfiltrationTumourSECONDARYHypopituitarismIsolated TSH deficiency
  • 34.
  • 35.
    Investigation of primaryhypothyroidism Serum TSH The investigation of choice. A high TSH level confirms primary hypothyroidism. Serum T4low free T4 level confirms the hypothyroid state.Thyroid and other organ-specific antibodies .
  • 36.
    Investigations of otherabnormalities:Anaemia.Increased serum aspartatetransferaselevels, from muscle and/or liver Increased serum creatinekinaselevels, with associated myopathyHypercholesterolaemiaHyponatraemia due to an increase in ADH and impaired free water clearance.
  • 37.
    Treatment Replacement therapywith levothyroxine(thyroxine, i.e. T4) is given for life. In the young and fit, 100 μg daily is suitable.thyroid function tests after at least 6 weeks on a steady dosethe aim is to restore T4 and TSH to well within the normal rangeAn annual thyroid function test is recommended .
  • 38.
    Myxoedema coma Severehypothyroidism, associated with: - confusion or even coma. - hypothermia. - severe cardiac failure. - Hypoventilation. - Hypoglycaemia. - hyponatraemia. patients require full intensive care.
  • 39.
    Pathogenesis Myxedema coma/crisisoccurs most commonly in older women with long-standing, undiagnosed or undertreated hypothyroidism who experience an additional significant stress, such as infection, a systemic disease, certain medications, and exposure to a cold environment.
  • 40.
    When hypothyroidism islong-standing, physiologic adaptations occur.
  • 41.
    Reduced metabolic rateand decreased oxygen consumption result in peripheral vasoconstriction, which maintains core temperature.
  • 42.
    The number ofbeta-adrenergic receptors is reduced, usually with preservation of alpha-adrenergic receptors and circulating catecholamines, causing beta/alpha-adrenergic imbalance, diastolic hypertension, and reduced total blood volume.
  • 43.
    Myxedema coma/crisis isa form of decompensated hypothyroidism in which adaptations are no longer sufficient.
  • 44.
    Essentially, all organsystems are affected. MetabolicThyroid hormones are critical for cell metabolism and organ function. With an inadequate supply, organ tissues do not grow or mature, energy production declines, and the action of other hormones is affected. Although weight gain is common, severe obesity is rarely secondary to hypothyroidism alone. However, long-standing, untreated hypothyroidism may result in years of inactivity, eventually with a large increase in weight. Because of decreased drug metabolism, overdoses of medications (eg, morphine, hypnotics, anesthetic agents, sedatives) can occur and can even precipitate myxedema crisis.
  • 45.
    NeurologicAlthough the conditionis called myxedema coma, the absence of coma does not exclude the diagnosis of this disorder. The presenting mental status may be lethargy or stupor. The exact mechanisms causing changes in mental status are not known. Brain function is influenced by reductions in cerebral blood flow and oxygen delivery, a lack of thyroxine (T4) and triiodothyronine (T3), and reductions in oxygen and glucose consumption; all of these factors are probably involved. Hyponatremiabrought on by renal dysfunction may be an additional cause of altered mental function.
  • 46.
    Myxoedema coma Treatment:T3orally or intravenously in doses of 2.5-5 μg every 8 hours, then increasing the dose. oxygen (by ventilation if necessary) monitoring of cardiac output and pressures gradual rewarming hydrocortisone 100 mg i.v. 8-hourly glucose infusion to prevent hypoglycaemia.
  • 47.
  • 48.
    HyperthyroidismA common disorder.affectingfemales more than males sex ratio of 5 : 1. most often between ages 20 and 40 years. Nearly all cases (> 99%) are caused by intrinsic thyroid disease.A pituitary cause is extremely rare
  • 49.
    Causes of hyperthyroidismCommonGraves' disease (autoimmune) Toxic multinodulargoitreSolitary toxic nodule/adenoma
  • 50.
    Causes of hyperthyroidismUncommonAcute thyroiditisviral autoimmune post-irradiation Gestational thyrotoxicosisNeonatal thyrotoxicosis (maternal thyroid antibodies) Exogenous iodine Drugs - amiodarone
  • 51.
    Graves' diseaseThe mostcommon cause of hyperthyrodismIt is an autoimmune disorder. where the thyroid is overactive, producing an excessive amount of thyroid hormones (a serious metabolic imbalance known as hyperthyroidism and thyrotoxicosis)More common in young adults.Can be familial and associated with other autoimmune diseasesThe resulting is a dramatic constellation of neuropsychological and physical signs and symptoms.Characterized by hyperthyroidism, ophthalmopathy with exophthalmos and dermopathy (pretibialmyxedema)
  • 52.
    Graves’ DiseaseAutoimmune diseasewith breakdown of helper-T-cell toleranceExcessive production of TWO thyroid autoantibodies: Thyroid-stimulating antibody (TSAb) &Growth-stimulating antibody (GSAb)Antibodies bind to the TSH receptor of the follicular cellStimulation of the cell resulting in:Increased levels of thyroid hormones &Hyperplasia of the thyroid glandHyperthyroidism and Thyroid gland enlargement
  • 53.
    PATHOGENESISType II reaction:- autoimmune antibodies target somatic tissues such as extraocular muscles causing an antigen-antibody reaction.A large number of lymphokines are implicated in the inflammatory process.Inflammation results in production of mucopolysaccharidesby fibroblasts leading to swelling followed by collagen production resulting in restriction.There is a high concentration of macrophages in the inferior rectus muscle as well as CD4+ memory T cells and CD8 T cells. This may account for the clinical observation of maximal disease activity in this muscle.
  • 54.
    Graves' diseaseMorphology:Grossly :the thyroid gland is diffusely enlarged because of the presence of diffuse hypertrophy and hyperplasia of thyroid follicular epithelial cells
  • 55.
    Graves' diseasenote theprominent infoldings of the hyperplastic epithelium
  • 56.
    Graves' diseaseThe tallcolumnar thyroid epithelium lines the hyperplasticinfoldingsinto the colloid. Note the clear vacuoles in the colloid next to the epithelium.
  • 57.
    HyperthyrodismClinical features: duetoHypermetabolic state Overactivity of sympathetic nervous system
  • 58.
    Symptoms Weight lossIncreasedappetiteIrritabilityTremorGoiter RestlessnessStiffnessMuscle weaknessBreathlessness Palpitation
  • 59.
  • 60.
  • 61.
  • 62.
  • 63.
  • 64.