Thyroid Gland
Disorders
By: Dr. Mohanad
QPT 20603
Thyroid Gland: Introduction
 The largest pure endocrine
gland (15-25 gm), located in
the anterior neck
 Consists of two lateral lobes
connected by a median
tissue mass called the
isthmus.
2
Its size depends on:
1. age … age   size.
2. sex … female > male.
3. physiological condition …
(pregnancy, lactation)
Thyroid Gland: introduction
 Blood supply
 Arterial blood supply
 Superior thyroid artery from
external carotid
 Inferior thyroid artery from
subclavians
 Blood flow 4-6 ml/min/gm
 Venous blood supply
 Three pairs of veins supply
blood to the gland
The thyroid gland is made up of closely packed sacs called
Thyroid Follicles.
 The structural and functional unite of thyroid gland.
 Cyst-like structure
 0.2 – 0.9 mm in diameter
 Simple cuboidal epithelial (follicular cells) surrounding a lumen filled
with colloid.
 T4 and T3 present in colloid bound to a large protein called
Thyroglobulin.
Parafollicular cells or “C-cells:
- Spherical cell, which has no relation to colloid or cuboidal cells.
- Secrete Calcitonin, which is involved in calcium
homeostasis.
Thyroid Gland
Thyroid Follicles
Thyroid follicles
Thyroid Follicles
 Thyroid gland secret 3 hormones
 Thyroxin or (T4)
 Tri-iodotyronine or (T3)
 Main hormones secreted by thyroid gland
 Secreted by follicular cells
 Amino acid derivatives (tyrosine)
 Calcitonin
 Produced by parafollicular cells – C cells
 Important hormone for Ca2+ metabolism &
homeostasis
Thyroid Gland: Introduction
Hypothalamus-Pituitary-Thyroid Axis
Synthesis of T4 and T3 are stimulated by:
 ↑TSH
Synthesis of T4 and T3 are reduced by:
 ↓ TSH
 Glucocorticoid, dopamin and somatostatine.
Thyroid Gland: Introduction
Actions of Thyroid Hormones
 Increase the body’s overall basal metabolic rate
 Increases metabolic heat, by  mitochondrial no
& activity   ATP
 Help regulating lipid & CHO metabolism
 Increase oxygen consumption
 Essential for normal growth
 Mental development
 Sexual maturation
 Increase the sensitivity of CVS and CNS to
catecholamines (↑COP and HR)
Test Lower limit Upper limit Unit
Total
triiodothyronine
60- 75 175-181 ng/dL
0.9-1.1 2.5- 2.7 nmol/L
Triiodothyronine (Free T3)
Lower limit Upper limit Unit
4- 5.5 11-12.3 μg/dL
60 140- 160 nmol/L
Thyroxine (free T4)
Diseases of the Thyroid Gland
Congenital diseases
Inflammation
Functional abnormality
Diffuse and Multinodular goiters
Neoplasia
Congenital Thyroid Diseases
 Agenesis /Aplasia
 Hypoplasia
 Accessory or aberrant thyroid glands
 Thyroglossal duct cyst
Thyroglossal Duct Cyst
 A thyroglossal duct cyst is a neck mass or lump that
develops from cells and tissues remaining after the
formation of the thyroid gland during embryonic
development.
 Children
 Failure of regression
 Neck, medial
 Squamous or columnar lining
 often appears after an upper respiratory infection when it
enlarges and becomes painful.
 Complications: inflammation,
sinus tracts
Inflammation
Thyroiditis
Acute illness with pain
 Infectious
 Acute
 Chronic
 Subacute or granulomatous (De Quervain’s)
Little inflammation with dysfunction
 Subacute lymphocytic thyroiditis
 Fibrous (Riedel) thyroiditis
Autoimmune
 Hashimoto thyroiditis
HASHIMOTO THYROIDITIS
 Most common cause of hypothyroidism
 Autoimmune, non-Mendelian inheritance
 45-65 years, F:M = 10-20:1
 Painless symmetrical enlargement
 Risk of developing
 B-cell non-Hodgkin’s lymphoma
 Other concomitant autoimmune diseases
 Endocrine and non-endocrine
Hashimoto Thyroiditis
Pathogenesis
 Immune systems reacts against a variety of thyroid
antigens
 Immune mechanisms may includes:
 CD8+ cytotoxic T cell-mediated cell death
 Cytokine-mediated cell death
 Binding of antithyroid antibodies → antibody dependent
cell-mediated cytotoxicity
 Progressive depletion of thyroid epithelial cells which are
gradually replaced by mononuclear cells → fibrosis
Autoimmune Thyroiditis
 Activated, autoreactive T-helper recruit in the
thyroid:
cytotoxic T cells
(T cells may kill directly thyroid cells or also cause
tissue injury by release of cytokines)
and B cells
(are transformed into plasmacytes which produce
antithyroid antibodies)
 Two common antibodies that cause
thyroid problems are directed against
thyroid cell proteins: thyroid peroxidase
and thyroglobulin.
Hashimoto’s- Pathogenesis
Morphology-Hashimoto Thyroiditis
 Diffuse enlargement
 Firm or rubbery
 Pale, yellow-tan but not stony
hard as in Riedel's thyroiditis
 A distinctly multinodular
quality fascial attachment to
the tracheal wall slightly
thickened, but no strong
fixation
 Necrosis
 Calcification
Morphology
Resembles a hyperplastic lymph node
Histopathology-Hashimoto Thyroiditis
 Massive Lymphoplasmcytic
infiltration with lymphoid follicles
formation
 Plasma cells, Histiocytes
 Destruction of Thyroid follicles
 Remaining follicles are small and
many are lined by Hurthle cells
 Increased interstitial connective
tissue
ashimoto's thyroiditis showing lymphoid
follicles with prominent germinal centers
and oncocytic follicular epithelium.
Histopathology-Hashimoto Thyroiditis
 Scattered intrafollicular
multinucleated Giant cells
 Squamous nests: thought to
arise from metaplasia of
follicular cells
Hashimoto's thyroiditis with extensive fibrosis, atrophy of
follicular epithelium, and squamous metaplasia.
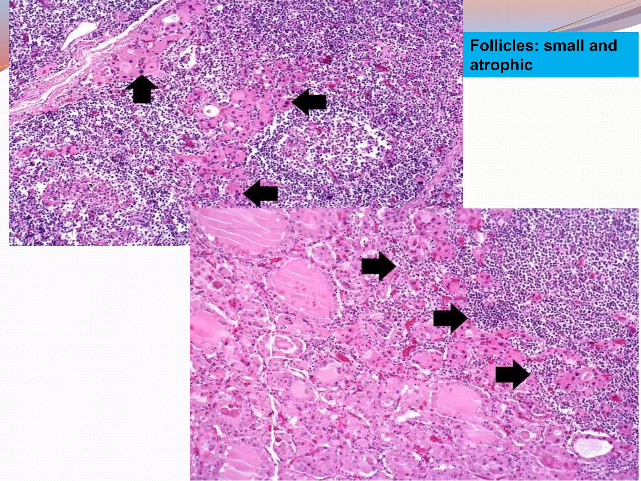
Follicles: small and
atrophic
Hashimoto's thyroiditis
This symmetrically small thyroid gland demonstrates atrophy.
This is the end result of Hashimoto's thyroiditis.
Hashimoto's thyroiditis
A lymphocytic infiltration with prominent follicles with germinal centers
Symptoms
 Fatigue
 Depression, Decreased concentration
 Modest weight gain, Cold intolerance
 Excessive sleepiness, Dry, coarse hair, Dry skin
 Constipation, Increased cholesterol levels
 Muscle cramps
 Vague aches and pains,
 Swelling of the legs
Thyroid disorders
 Hypothyroidism
 Underactive thyroid
 Hyperthyroidism
 Overactive thyroid
 Goiter
 Thyroid enlargement
Hypothyroidism
 Outlines
 Definition
 Causes
 Clinical features
 Investigation
 Treatment
33
Hypothyroidism
Definition
 A clinical and biochemical syndrome that results
from a deficiency in thyroid hormone secretion
from thyroid gland or in the action
 The disease ranges from subclinical
hypothyroidism to primary and secondary
hypothyroidism and the extreme medical
emergency, myxoedema coma.
34
Hypothyroidism
Prevalence
 It is a common disorder with prevalence
ranges from 2-15% population
 ♀ > ♂
 Female to male ratio = 10:1
 ↑ with age; ♀ = ♂
 Mean age at diagnosis is 50 years
 Primary Hypothyroidism
 Disease of the thyroid gland
 Secondary Hypothyroidism
 Hypothalamic-pituitary diseases (reduced
TSH)
Hypothyroidism
Causes of Hypothyroidism
PRIMARY
 Congenital
 Agenesis
 Ectopic thyroid remnants
 Defects of hormone synthesis
 Iodine deficiency
 Dyshormonogenesis
 Antithyroid drugs
 Other drugs (e.g. lithium, amiodarone, interferon)
Causes of Hypothyroidism
 Autoimmune
 Hashimoto's thyroiditis
 Atrophic thyroiditis
 Postpartum thyroiditis
 Infective
 Post-subacute thyroiditis
Causes of Hypothyroidism
 Post-irradiation (Post-surgery)
 Radioactive iodine therapy
 External neck irradiation
 Infiltration
 Tumour
SECONDARY
 Hypopituitarism
 Isolated TSH deficiency
Symptoms and Signs
Investigation of Primary Hypothyroidism
Serum TSH
 The investigation of choice.
 A high TSH level confirms primary hypothyroidism.
(NR-0.4 mU/L to 4.0 mU/L)
Serum T4
 low free T4 level confirms the hypothyroid state.
Thyroid peroxidase and Antithyroglobulin
Antibodies.
Investigations of other abnormalities:
Increased serum aspartate transferase levels, from
muscle and/or liver
Increased serum creatine kinase levels, with
associated myopathy
Hypercholesterolaemia
Hyponatraemia due to an decrease in ADH and
impaired free water clearance.
Anaemia.
Treatment
 Replacement therapy with Levothyroxine
(thyroxine, i.e. T4) is given for life.
 In the young and fit, 100 μg daily is suitable.
 Thyroid function tests after at least 6 weeks on a
steady dose
 The aim is to restore T4 and TSH to well within the
normal range
 An annual thyroid function test is recommended .
Myxoedema coma
 Severe hypothyroidism, associated with:
- Confusion or even coma.
- Hypothermia.
- Severe cardiac failure.
- Hypoventilation.
- Hypoglycaemia.
- Hyponatraemia.
 Patients require full intensive care.
Pathogenesis
 Myxedema coma/crisis occurs most commonly in older women with
long-standing, undiagnosed or undertreated hypothyroidism who
experience an additional significant stress, such as infection, a systemic
disease, certain medications, and exposure to a cold environment.
 When hypothyroidism is long-standing, physiologic adaptations occur.
 Reduced metabolic rate and decreased oxygen consumption result in
peripheral vasoconstriction, which maintains core temperature.
 The number of beta-adrenergic receptors is reduced, usually
with preservation of alpha-adrenergic receptors and
circulating catecholamines, causing beta/alpha-adrenergic
imbalance, diastolic hypertension, and reduced total blood
volume.
 Hypothyroidism adaptations are no longer sufficient.
Metabolic
 With an inadequate supply of TH, organ tissues do not grow
or mature, energy production declines, and the action of
other hormones is affected.
 Because of decreased drug metabolism, overdoses of
medications (eg, morphine, hypnotics, anesthetic agents,
sedatives) can occur and can even precipitate myxedema
crisis.
Neurologic
 The presenting mental status may be lethargy or stupor. The
exact mechanisms causing changes in mental status are not
known.
 Brain function is influenced by reductions in cerebral blood
flow and oxygen delivery and reductions in oxygen and
glucose consumption; all of these factors are probably
involved.
 Hyponatremia brought on by renal dysfunction may be an
additional cause of altered mental function.
Myxoedema coma
 Treatment:
 T3 orally or intravenously in doses of 2.5-5 μg every 8
hours, then increasing the dose.
 Oxygen (by ventilation if necessary)
 Monitoring of cardiac output and pressures
 Gradual rewarming
 Hydrocortisone 100 mg i.V. 8-hourly
 Glucose infusion to prevent hypoglycaemia.
(Thyroid Overactivity, Thyrotoxicosis)
Hyperthyroidism
 A common disorder.
 affecting females more than males
 sex ratio of 5 : 1.
 most often between ages 20 and 40 years.
 Nearly all cases (> 99%) are caused by intrinsic thyroid
disease.
 A pituitary cause is extremely rare
Causes of Hyperthyroidism
Common
 Graves' disease (autoimmune)
 Toxic multinodular goitre
 Solitary toxic nodule/adenoma
Causes of Hyperthyroidism
Uncommon
 Acute thyroiditis
 viral
 autoimmune
 post-irradiation
 Gestational thyrotoxicosis
 Neonatal thyrotoxicosis (maternal thyroid antibodies)
 Exogenous iodine
 Drugs - amiodarone
Graves' disease
 The most common cause of hyperthyrodism
 It is an autoimmune disorder. where the thyroid is
overactive, producing an excessive amount of thyroid
hormones (a serious metabolic imbalance known as
hyperthyroidism and thyrotoxicosis)
 More common in young adults.
 Can be familial and associated with other autoimmune
diseases
 The resulting is a dramatic constellation of
neuropsychological and physical signs and symptoms.
 Characterized by hyperthyroidism, ophthalmopathy with
exophthalmos and dermopathy (pretibial myxedema)
Graves’ Disease
Autoimmune disease with breakdown of helper-T-cell tolerance
Excessive production of TWO thyroid autoantibodies:
1) Thyroid-stimulating antibody (TSAb) &
2) Growth-stimulating antibody (GSAb)
Antibodies bind to the TSH receptor of the follicular cell
Stimulation of the cell resulting in:
Increased levels of thyroid hormones &
Hyperplasia of the thyroid gland
Hyperthyroidism and Thyroid gland enlargement
PATHOGENESIS
 Type II reaction:- autoimmune antibodies target somatic
tissues such as extraocular muscles causing an antigen-
antibody reaction.
 A large number of lymphokines are implicated in the
inflammatory process.
 Inflammation results in production of mucopolysaccharides
by fibroblasts leading to swelling followed by collagen
production resulting in restriction.
 There is a high concentration of macrophages in the inferior
rectus muscle as well as CD4+ memory T cells and CD8 T
cells.
 This may account for the clinical observation of maximal
disease activity in this muscle.
Graves' disease
 Morphology:
 Grossly : the thyroid gland is diffusely enlarged because of
the presence of diffuse hypertrophy and hyperplasia of
thyroid follicular epithelial cells
Graves' disease
note the prominent infoldings of the hyperplastic epithelium
Graves' disease
The tall columnar thyroid epithelium lines the hyperplastic infoldings
into the colloid. Note the clear vacuoles in the colloid next to the epithelium.
Hyperthyrodism
 Clinical features: due to
 Hypermetabolic state
 Overactivity of sympathetic nervous system
Symptoms
 Weight loss
 Increased appetite
 Irritability
 Tremor
 Restlessness
 Stiffness
 Breathlessness
 Goiter
 Heat intolerance
 Excessive sweating
 Itching
 Thirst
 Vomiting
 Diarrhoea
 Oligomenorrhoea
 Loss of libido
Signs
 Muscle weakness
 Proximal myopathy
 Proximal muscle wasting
 Psychosis
 Tachycardia or atrial fibrillation
 Palpitation
 Palpitation
 Warm vasodilator peripheries
 Systolic hypertension
 Cardiac failure
Signs
 Exophthalamus
 Lid lag
 Conjunctival oedema
 Ophthalamoplegia
(Muscle paralysis)
 Periorbital oedema
 Onycholysis
 Palmar erythema
Thyroid Eye Disease
 Infiltration
 Soft tissue involvement:
chemosis, conjunctival
injection over the recti
insertions, puffy lids
Eye Disease
Investigation
 Thyroid Function Test:
 Serum TSH is suppressed in hyperthyroidism .
 Diagnosis is confirmed with a raised free T4 or T3.
Treatment
Antithyroid drugs:
1. Carbimazole.
2. Propylthiouracil.
 These drugs inhibit the formation of thyroid
hormones.
 Thyroid hormone synthesis is reduced very quickly.
 T4 has long half-life (7 days) means that clinical
benefit is not apparent for 10-20 days.
Treatment
• Antithyroid drugs:
• Relapse
• About 50% of patients will relapse after a course of
carbimazole or propylthiouracil, mostly within 2 years
Treatment
 Radioactive iodine
 RAI accumulates in the thyroid and destroys the gland
by local radiation.
 It takes several months to be fully effective.
Treatment
 Surgery:
 subtotal Thyroidectomy
 Only in patient who have previously been rendered
euthyroid.
 Stop the antithyroid drugs 10-14 days
 Give potassium iodide – reduce vascularity of the
gland
Thank
you

Thyroid disorders

  • 1.
  • 2.
    Thyroid Gland: Introduction The largest pure endocrine gland (15-25 gm), located in the anterior neck  Consists of two lateral lobes connected by a median tissue mass called the isthmus. 2
  • 3.
    Its size dependson: 1. age … age   size. 2. sex … female > male. 3. physiological condition … (pregnancy, lactation)
  • 4.
    Thyroid Gland: introduction Blood supply  Arterial blood supply  Superior thyroid artery from external carotid  Inferior thyroid artery from subclavians  Blood flow 4-6 ml/min/gm  Venous blood supply  Three pairs of veins supply blood to the gland
  • 5.
    The thyroid glandis made up of closely packed sacs called Thyroid Follicles.  The structural and functional unite of thyroid gland.  Cyst-like structure  0.2 – 0.9 mm in diameter  Simple cuboidal epithelial (follicular cells) surrounding a lumen filled with colloid.  T4 and T3 present in colloid bound to a large protein called Thyroglobulin. Parafollicular cells or “C-cells: - Spherical cell, which has no relation to colloid or cuboidal cells. - Secrete Calcitonin, which is involved in calcium homeostasis. Thyroid Gland
  • 6.
  • 7.
  • 8.
  • 9.
     Thyroid glandsecret 3 hormones  Thyroxin or (T4)  Tri-iodotyronine or (T3)  Main hormones secreted by thyroid gland  Secreted by follicular cells  Amino acid derivatives (tyrosine)  Calcitonin  Produced by parafollicular cells – C cells  Important hormone for Ca2+ metabolism & homeostasis Thyroid Gland: Introduction
  • 10.
  • 11.
    Synthesis of T4and T3 are stimulated by:  ↑TSH Synthesis of T4 and T3 are reduced by:  ↓ TSH  Glucocorticoid, dopamin and somatostatine. Thyroid Gland: Introduction
  • 12.
    Actions of ThyroidHormones  Increase the body’s overall basal metabolic rate  Increases metabolic heat, by  mitochondrial no & activity   ATP  Help regulating lipid & CHO metabolism  Increase oxygen consumption  Essential for normal growth  Mental development  Sexual maturation  Increase the sensitivity of CVS and CNS to catecholamines (↑COP and HR)
  • 13.
    Test Lower limitUpper limit Unit Total triiodothyronine 60- 75 175-181 ng/dL 0.9-1.1 2.5- 2.7 nmol/L Triiodothyronine (Free T3) Lower limit Upper limit Unit 4- 5.5 11-12.3 μg/dL 60 140- 160 nmol/L Thyroxine (free T4)
  • 14.
    Diseases of theThyroid Gland Congenital diseases Inflammation Functional abnormality Diffuse and Multinodular goiters Neoplasia
  • 15.
    Congenital Thyroid Diseases Agenesis /Aplasia  Hypoplasia  Accessory or aberrant thyroid glands  Thyroglossal duct cyst
  • 16.
    Thyroglossal Duct Cyst A thyroglossal duct cyst is a neck mass or lump that develops from cells and tissues remaining after the formation of the thyroid gland during embryonic development.  Children  Failure of regression  Neck, medial  Squamous or columnar lining  often appears after an upper respiratory infection when it enlarges and becomes painful.  Complications: inflammation, sinus tracts
  • 17.
    Inflammation Thyroiditis Acute illness withpain  Infectious  Acute  Chronic  Subacute or granulomatous (De Quervain’s) Little inflammation with dysfunction  Subacute lymphocytic thyroiditis  Fibrous (Riedel) thyroiditis Autoimmune  Hashimoto thyroiditis
  • 18.
    HASHIMOTO THYROIDITIS  Mostcommon cause of hypothyroidism  Autoimmune, non-Mendelian inheritance  45-65 years, F:M = 10-20:1  Painless symmetrical enlargement  Risk of developing  B-cell non-Hodgkin’s lymphoma  Other concomitant autoimmune diseases  Endocrine and non-endocrine
  • 19.
    Hashimoto Thyroiditis Pathogenesis  Immunesystems reacts against a variety of thyroid antigens  Immune mechanisms may includes:  CD8+ cytotoxic T cell-mediated cell death  Cytokine-mediated cell death  Binding of antithyroid antibodies → antibody dependent cell-mediated cytotoxicity  Progressive depletion of thyroid epithelial cells which are gradually replaced by mononuclear cells → fibrosis
  • 20.
    Autoimmune Thyroiditis  Activated,autoreactive T-helper recruit in the thyroid: cytotoxic T cells (T cells may kill directly thyroid cells or also cause tissue injury by release of cytokines) and B cells (are transformed into plasmacytes which produce antithyroid antibodies)  Two common antibodies that cause thyroid problems are directed against thyroid cell proteins: thyroid peroxidase and thyroglobulin.
  • 21.
  • 22.
    Morphology-Hashimoto Thyroiditis  Diffuseenlargement  Firm or rubbery  Pale, yellow-tan but not stony hard as in Riedel's thyroiditis  A distinctly multinodular quality fascial attachment to the tracheal wall slightly thickened, but no strong fixation  Necrosis  Calcification
  • 23.
  • 24.
    Histopathology-Hashimoto Thyroiditis  MassiveLymphoplasmcytic infiltration with lymphoid follicles formation  Plasma cells, Histiocytes  Destruction of Thyroid follicles  Remaining follicles are small and many are lined by Hurthle cells  Increased interstitial connective tissue ashimoto's thyroiditis showing lymphoid follicles with prominent germinal centers and oncocytic follicular epithelium.
  • 25.
    Histopathology-Hashimoto Thyroiditis  Scatteredintrafollicular multinucleated Giant cells  Squamous nests: thought to arise from metaplasia of follicular cells Hashimoto's thyroiditis with extensive fibrosis, atrophy of follicular epithelium, and squamous metaplasia.
  • 26.
  • 27.
    Hashimoto's thyroiditis This symmetricallysmall thyroid gland demonstrates atrophy. This is the end result of Hashimoto's thyroiditis.
  • 28.
    Hashimoto's thyroiditis A lymphocyticinfiltration with prominent follicles with germinal centers
  • 29.
    Symptoms  Fatigue  Depression,Decreased concentration  Modest weight gain, Cold intolerance  Excessive sleepiness, Dry, coarse hair, Dry skin  Constipation, Increased cholesterol levels  Muscle cramps  Vague aches and pains,  Swelling of the legs
  • 31.
    Thyroid disorders  Hypothyroidism Underactive thyroid  Hyperthyroidism  Overactive thyroid  Goiter  Thyroid enlargement
  • 32.
    Hypothyroidism  Outlines  Definition Causes  Clinical features  Investigation  Treatment
  • 33.
    33 Hypothyroidism Definition  A clinicaland biochemical syndrome that results from a deficiency in thyroid hormone secretion from thyroid gland or in the action  The disease ranges from subclinical hypothyroidism to primary and secondary hypothyroidism and the extreme medical emergency, myxoedema coma.
  • 34.
    34 Hypothyroidism Prevalence  It isa common disorder with prevalence ranges from 2-15% population  ♀ > ♂  Female to male ratio = 10:1  ↑ with age; ♀ = ♂  Mean age at diagnosis is 50 years
  • 35.
     Primary Hypothyroidism Disease of the thyroid gland  Secondary Hypothyroidism  Hypothalamic-pituitary diseases (reduced TSH) Hypothyroidism
  • 36.
    Causes of Hypothyroidism PRIMARY Congenital  Agenesis  Ectopic thyroid remnants  Defects of hormone synthesis  Iodine deficiency  Dyshormonogenesis  Antithyroid drugs  Other drugs (e.g. lithium, amiodarone, interferon)
  • 37.
    Causes of Hypothyroidism Autoimmune  Hashimoto's thyroiditis  Atrophic thyroiditis  Postpartum thyroiditis  Infective  Post-subacute thyroiditis
  • 38.
    Causes of Hypothyroidism Post-irradiation (Post-surgery)  Radioactive iodine therapy  External neck irradiation  Infiltration  Tumour SECONDARY  Hypopituitarism  Isolated TSH deficiency
  • 39.
  • 41.
    Investigation of PrimaryHypothyroidism Serum TSH  The investigation of choice.  A high TSH level confirms primary hypothyroidism. (NR-0.4 mU/L to 4.0 mU/L) Serum T4  low free T4 level confirms the hypothyroid state. Thyroid peroxidase and Antithyroglobulin Antibodies.
  • 42.
    Investigations of otherabnormalities: Increased serum aspartate transferase levels, from muscle and/or liver Increased serum creatine kinase levels, with associated myopathy Hypercholesterolaemia Hyponatraemia due to an decrease in ADH and impaired free water clearance. Anaemia.
  • 43.
    Treatment  Replacement therapywith Levothyroxine (thyroxine, i.e. T4) is given for life.  In the young and fit, 100 μg daily is suitable.  Thyroid function tests after at least 6 weeks on a steady dose  The aim is to restore T4 and TSH to well within the normal range  An annual thyroid function test is recommended .
  • 44.
    Myxoedema coma  Severehypothyroidism, associated with: - Confusion or even coma. - Hypothermia. - Severe cardiac failure. - Hypoventilation. - Hypoglycaemia. - Hyponatraemia.  Patients require full intensive care.
  • 45.
    Pathogenesis  Myxedema coma/crisisoccurs most commonly in older women with long-standing, undiagnosed or undertreated hypothyroidism who experience an additional significant stress, such as infection, a systemic disease, certain medications, and exposure to a cold environment.  When hypothyroidism is long-standing, physiologic adaptations occur.  Reduced metabolic rate and decreased oxygen consumption result in peripheral vasoconstriction, which maintains core temperature.  The number of beta-adrenergic receptors is reduced, usually with preservation of alpha-adrenergic receptors and circulating catecholamines, causing beta/alpha-adrenergic imbalance, diastolic hypertension, and reduced total blood volume.  Hypothyroidism adaptations are no longer sufficient.
  • 46.
    Metabolic  With aninadequate supply of TH, organ tissues do not grow or mature, energy production declines, and the action of other hormones is affected.  Because of decreased drug metabolism, overdoses of medications (eg, morphine, hypnotics, anesthetic agents, sedatives) can occur and can even precipitate myxedema crisis.
  • 47.
    Neurologic  The presentingmental status may be lethargy or stupor. The exact mechanisms causing changes in mental status are not known.  Brain function is influenced by reductions in cerebral blood flow and oxygen delivery and reductions in oxygen and glucose consumption; all of these factors are probably involved.  Hyponatremia brought on by renal dysfunction may be an additional cause of altered mental function.
  • 48.
    Myxoedema coma  Treatment: T3 orally or intravenously in doses of 2.5-5 μg every 8 hours, then increasing the dose.  Oxygen (by ventilation if necessary)  Monitoring of cardiac output and pressures  Gradual rewarming  Hydrocortisone 100 mg i.V. 8-hourly  Glucose infusion to prevent hypoglycaemia.
  • 49.
  • 50.
    Hyperthyroidism  A commondisorder.  affecting females more than males  sex ratio of 5 : 1.  most often between ages 20 and 40 years.  Nearly all cases (> 99%) are caused by intrinsic thyroid disease.  A pituitary cause is extremely rare
  • 51.
    Causes of Hyperthyroidism Common Graves' disease (autoimmune)  Toxic multinodular goitre  Solitary toxic nodule/adenoma
  • 52.
    Causes of Hyperthyroidism Uncommon Acute thyroiditis  viral  autoimmune  post-irradiation  Gestational thyrotoxicosis  Neonatal thyrotoxicosis (maternal thyroid antibodies)  Exogenous iodine  Drugs - amiodarone
  • 53.
    Graves' disease  Themost common cause of hyperthyrodism  It is an autoimmune disorder. where the thyroid is overactive, producing an excessive amount of thyroid hormones (a serious metabolic imbalance known as hyperthyroidism and thyrotoxicosis)  More common in young adults.  Can be familial and associated with other autoimmune diseases  The resulting is a dramatic constellation of neuropsychological and physical signs and symptoms.  Characterized by hyperthyroidism, ophthalmopathy with exophthalmos and dermopathy (pretibial myxedema)
  • 54.
    Graves’ Disease Autoimmune diseasewith breakdown of helper-T-cell tolerance Excessive production of TWO thyroid autoantibodies: 1) Thyroid-stimulating antibody (TSAb) & 2) Growth-stimulating antibody (GSAb) Antibodies bind to the TSH receptor of the follicular cell Stimulation of the cell resulting in: Increased levels of thyroid hormones & Hyperplasia of the thyroid gland Hyperthyroidism and Thyroid gland enlargement
  • 55.
    PATHOGENESIS  Type IIreaction:- autoimmune antibodies target somatic tissues such as extraocular muscles causing an antigen- antibody reaction.  A large number of lymphokines are implicated in the inflammatory process.  Inflammation results in production of mucopolysaccharides by fibroblasts leading to swelling followed by collagen production resulting in restriction.  There is a high concentration of macrophages in the inferior rectus muscle as well as CD4+ memory T cells and CD8 T cells.  This may account for the clinical observation of maximal disease activity in this muscle.
  • 57.
    Graves' disease  Morphology: Grossly : the thyroid gland is diffusely enlarged because of the presence of diffuse hypertrophy and hyperplasia of thyroid follicular epithelial cells
  • 58.
    Graves' disease note theprominent infoldings of the hyperplastic epithelium
  • 59.
    Graves' disease The tallcolumnar thyroid epithelium lines the hyperplastic infoldings into the colloid. Note the clear vacuoles in the colloid next to the epithelium.
  • 60.
    Hyperthyrodism  Clinical features:due to  Hypermetabolic state  Overactivity of sympathetic nervous system
  • 61.
    Symptoms  Weight loss Increased appetite  Irritability  Tremor  Restlessness  Stiffness  Breathlessness  Goiter  Heat intolerance  Excessive sweating  Itching  Thirst  Vomiting  Diarrhoea  Oligomenorrhoea  Loss of libido
  • 62.
    Signs  Muscle weakness Proximal myopathy  Proximal muscle wasting  Psychosis  Tachycardia or atrial fibrillation  Palpitation  Palpitation  Warm vasodilator peripheries  Systolic hypertension  Cardiac failure
  • 64.
    Signs  Exophthalamus  Lidlag  Conjunctival oedema  Ophthalamoplegia (Muscle paralysis)  Periorbital oedema  Onycholysis  Palmar erythema
  • 65.
    Thyroid Eye Disease Infiltration  Soft tissue involvement: chemosis, conjunctival injection over the recti insertions, puffy lids
  • 66.
  • 67.
    Investigation  Thyroid FunctionTest:  Serum TSH is suppressed in hyperthyroidism .  Diagnosis is confirmed with a raised free T4 or T3.
  • 68.
    Treatment Antithyroid drugs: 1. Carbimazole. 2.Propylthiouracil.  These drugs inhibit the formation of thyroid hormones.  Thyroid hormone synthesis is reduced very quickly.  T4 has long half-life (7 days) means that clinical benefit is not apparent for 10-20 days.
  • 69.
    Treatment • Antithyroid drugs: •Relapse • About 50% of patients will relapse after a course of carbimazole or propylthiouracil, mostly within 2 years
  • 70.
    Treatment  Radioactive iodine RAI accumulates in the thyroid and destroys the gland by local radiation.  It takes several months to be fully effective.
  • 71.
    Treatment  Surgery:  subtotalThyroidectomy  Only in patient who have previously been rendered euthyroid.  Stop the antithyroid drugs 10-14 days  Give potassium iodide – reduce vascularity of the gland
  • 72.