DR :MohanadRahmanAlwan
ANATOMYOF THE MOUTH (2)
QAP 20704
THE TONGUE
 The tongue is a muscular organ
in the mouth.
 It forms part of the floor of the
oral cavity and part of the
anterior wall of the oropharynx.
 The apex of tongue is anterior
part in oral cavity and directly
sits behind the incisor teeth
 The root of tongue is attached
to the mandible and the hyoid
bone.
THE TONGUE
• It is covered with moist, pink tissue
called mucosa.
• Tiny bumps called papillae give
the tongue its rough texture.
• Thousands of taste buds cover the
surfaces of the papillae.
• Taste buds are collections of
nerve-like cells that connect to
nerves running into the brain.
THE TONGUE
 Its ventral surface is
covered by non-
keratinized stratified
squamous epithelium and
the dorsal surface is
covered by various
papillae.
DORSAL SURFACE OF TONGUE
Posterior 1/3 (pharyngeal Part) residing in the
oropharynx
Anterior 2/3 (Oral Part) residing in the oral cavity
Sulcus terminalis – groove
separates the tongue into two areas:
The dorsal surface of the tongue is divided into
an anterior 2/3 or oral part and a posterior 1/3
or pharyngeal part by a prominent sulcus
terminalis
DORSAL SURFACE OF TONGUE (ORAL PART)
 The oral part of the tongue has a velvety appearance, since
its mucous membrane is covered by small projections called
Papillae.
 Most of papillae are pointed filiform papillae: look like
“hooks” that are composed of hard keratinized epithelium.
 The fungiform papillae: Mushroom-shaped and slightly
higher than surrounding filiform papillae. To the naked eye,
they appear as red spots on the tongue, containing taste buds
at their base.
 The circumvallate papillae are much larger than fungiform
papillae, with numerous taste buds.
DORSAL SURFACE OF TONGUE (ORAL PART)
DORSAL SURFACE OF TONGUE (PHARYNGEAL
PART)
 The pharyngeal surface of the tongue lies just behind a row
of very large vallate papillae which form the sulcus
terminalis .
 The mucosa covering the pharyngeal surface of tongue is
irregular contour because of the many small nodules of
lymphoid tissue in the submucosa.
 These nodules are collectively the lingual tonsil
DORSAL SURFACE OF TONGUE
DORSAL SURFACE OF TONGUE
MUSCLES OF THE TONGUE
 The muscles of the tongue
can be divided into:
I. Extrinsic muscles
II. Intrinsic muscles (allow
for shape change with fibers
in various directions)
(superior longitudinal,
inferior longitudinal
,transverse and vertical
muscles)
EXTRINSIC MUSCLES OF TONGUE
• There are four major extrinsic
tongue muscles:
• Hyoglossus
• Styloglossus
• Genioglossus
• Palatoglossus
MUSCLES OF THE TONGUE
 Extrinsic muscles serve to
move the tongue about in
the oral cavity.
 Intrinsic muscles act to
change the shape of the
tongue.
EXTRINSIC MUSCLES
Muscle Origin Insertion Innervation Function
Genioglossus
Superiormental
tubercles
Body of hyoid;
entire lengthof
tongue
Hypoglossalnerve
[XII]
Protrudes tongue;
depresses center of
tongue
Hyoglossus Greater horn and
adjacent part of
body of hyoid bone
Lateral surfaceof
tongue
Hypoglossalnerve
[XII]
Depresses tongue
Styloglossus Styloid process
(anterolateral
surface)
Lateral surfaceof
tongue
Hypoglossalnerve
[XII]
Elevates and
retracts tongue
Palatoglossus
Inferior surfaceof
palatine
aponeurosis
Lateral margin of
tongue
Vagus nerve [X]
(via pharyngeal
branch to
pharyngealplexus)
Depressespalate;
moves
palatoglossal fold
toward midline;
elevates back of
the tongue
BLOOD SUPPLY OF TONGUE
 Arterial blood supply :
 The main artery is the
which a
external
lingual artery
branch of the
carotid artery.
 Venous drainage
 Dorsal lingual and deep
lingual veins.
LYMPHATIC OF THE TONGUE
1. Tip of tongue to
submental LN group.
2. Rest of anterior 2/3 of tongue
to submandibular LN
group and deep cervical LN
group
3. Posrerior 1/3 of tongue to
deep cervical LN group
SENSORY INNERVATIONS
 Theanterior 2/3ofthetongue is
carriedby :
1. Thelingualnerve,amajor branchofthemandibularnerve
(abranchofthetrigeminal nerve,(CNV)forgeneral
sensation.
2. Thechordatympani(abranch ofthefacialnerve(CNVII)
that runsin thelingualnerve)for taste.
SENSORY INNERVATIONS
 Theposterior1/3ofthe tongueandthevallate papillaeare
suppliedbythe glossopharyngealnerve (CNIX)forboth
general sensation and taste.
 Vagus Nerve (CN X)– Taste of Posterior Part
 Motor innervations
 Muscles of the tongue are innervated by the
hypoglossal nerve (the twelfth cranial nerve,
(CN XII)
SENSATION OF
TASTE
• Structure of Taste Buds Each
Taste Bud is a bundle of
receptor cells.
• It contains about 40 cells
which are the modified
epithelial cells
• Cells are divided into 4
groups 1) Type 1 cells 2) Type
2 cells 3) Type 3 cells 4) Type
4 cells
TYPES OF TASTE
Sweet Taste- Produced by Organic Substances like
Monosaccharides, Polysaccharides, Glycerol, Aldehydes,
Ketones.
 Salt Taste- Produced by Chlorides and Nitrates of Na, K &
Ammonia.
 Sour Taste- Produced because of Hydrogen ions. •
Bitter Taste- Produced due to organic substances like
Strychnine, Morphine, Piric Acid, Bile Salts, Salts of Ca, Mg &
Ammonium. •
Umami- Produced due to Glutamate, particularly Monosodium
Glutamate.
PALATE
 Palate is a roof of the
mouth; the partition
separating the nasal and
oral cavities.
 consisting of an anterior
bony portion (hard
palate) and a posterior
muscular portion (soft
palate)
PALATE
• Hard Palate (anterior
2/3)
• Bones: Maxilla (Palatine
processes + Palatine
Bone)
• Assists the tongue in
chewing
PALATE
 Soft palate (posterior 1/3)
 Mobile fold formed mostly of
skeletal muscle
 Closes off the nasopharynx
during swallowing
 Uvula projects downward from
its free edge
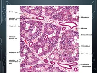
SALIVARY GLANDS
 The salivary glands are
exocrine glands, glands
with ducts, that produce
saliva.
 They secrete amylase, an
enzyme that breaks down
starch into maltose.
SALIVARY GLANDS
 Three pairs of extrinsic glands:
parotid, submandibular, and
sublingual.
 Intrinsic salivary glands
scattered throughout the oral
mucosa (Nose, lip, buccal
mucosa, palate, pharynx).
 > 400 minor salivary glands
SALIVARY GLANDS
Parotid Gland
 The parotid gland is found below the level of the external
auditory canal, between the mandible and
the sternocleidomastoid Muscle.
Parotid Duct
 Arises from anterior border
 1.5 cm inferior to Zygomatic
arch
 4-6 cm in length
SUBMANDIBULAR GLAND
 It is a salivary gland located
beneath the floor of the
mouth
 It lies along the medial
aspect of the mandibular
body
 It is hook shaped
 It is divided into superficial
and deep lobes, which are
separated by the mylohyoid
muscle.
 Wharton’s duct: About 5cm
in length.
SUBLINGUAL GLANDS
 They lie anterior to the
submandibular gland under the
tongue, beneath the mucous
membrane of the floor of the
mouth.
 sublingual gland is
immediately lateral to the
submandibular duct
 The ducts of the sublingual
glands are called
Bartholin’s ducts.
BLOOD SUPPLY OF SALIVARY GLANDS
 Blood Supply to the parotid gland originate from
the external carotid artery.
 The submandibular and sublingual glands are
supplied by branches of the facial and lingual
arteries.
 Veins from the parotid gland drain into the external
jugular vein, and those from the submandibular
and sublingual glands drain into lingual and facial
veins.
FUNCTIONS
Protection . lubricant (glycoprotein)
Buffering (phosphate ions and bicarbonate)
Digestion
Antimicrobial. Lysozyme hydrolyzes cell walls of
some bacteria
Maintenance of tooth integrity (calcium and phosphate ions)
Tissue repair. Bbleeding time of oral tissues shorter than
other tissues
Taste. solubilizing of food substances that can be sensed
by receptors
• Composition of Saliva: 97-99.5% water
• pH 6.75-7.0
• Sodium, potassium, chloride, phosphate, and
bicarbonate
• Mucin
• Salivary amylase
39
REGULATION OF SALIVARY SECRETION
Simple or unconditioned: The presence of food in
the mouth results in reflex secretion of saliva.
• Stimulus: presence of food in the mouth.
• Receptors: taste buds.
• Afferent: nerves from taste buds carry
impulses to salivary center.
• Centre: salivary center in medulla oblongata
(in brain stem).
• Efferent: autonomic nerves supplying salivary
glands.
CLASS ACTIVITY
Draw a diagram shows Salivary
glands nerves Innervations
QUESTIONS?

Chapter 2- salivary glands

  • 1.
  • 2.
    THE TONGUE  Thetongue is a muscular organ in the mouth.  It forms part of the floor of the oral cavity and part of the anterior wall of the oropharynx.  The apex of tongue is anterior part in oral cavity and directly sits behind the incisor teeth  The root of tongue is attached to the mandible and the hyoid bone.
  • 3.
    THE TONGUE • Itis covered with moist, pink tissue called mucosa. • Tiny bumps called papillae give the tongue its rough texture. • Thousands of taste buds cover the surfaces of the papillae. • Taste buds are collections of nerve-like cells that connect to nerves running into the brain.
  • 4.
    THE TONGUE  Itsventral surface is covered by non- keratinized stratified squamous epithelium and the dorsal surface is covered by various papillae.
  • 5.
    DORSAL SURFACE OFTONGUE Posterior 1/3 (pharyngeal Part) residing in the oropharynx Anterior 2/3 (Oral Part) residing in the oral cavity Sulcus terminalis – groove separates the tongue into two areas: The dorsal surface of the tongue is divided into an anterior 2/3 or oral part and a posterior 1/3 or pharyngeal part by a prominent sulcus terminalis
  • 7.
    DORSAL SURFACE OFTONGUE (ORAL PART)  The oral part of the tongue has a velvety appearance, since its mucous membrane is covered by small projections called Papillae.  Most of papillae are pointed filiform papillae: look like “hooks” that are composed of hard keratinized epithelium.  The fungiform papillae: Mushroom-shaped and slightly higher than surrounding filiform papillae. To the naked eye, they appear as red spots on the tongue, containing taste buds at their base.  The circumvallate papillae are much larger than fungiform papillae, with numerous taste buds.
  • 8.
    DORSAL SURFACE OFTONGUE (ORAL PART)
  • 9.
    DORSAL SURFACE OFTONGUE (PHARYNGEAL PART)  The pharyngeal surface of the tongue lies just behind a row of very large vallate papillae which form the sulcus terminalis .  The mucosa covering the pharyngeal surface of tongue is irregular contour because of the many small nodules of lymphoid tissue in the submucosa.  These nodules are collectively the lingual tonsil
  • 10.
  • 11.
  • 12.
    MUSCLES OF THETONGUE  The muscles of the tongue can be divided into: I. Extrinsic muscles II. Intrinsic muscles (allow for shape change with fibers in various directions) (superior longitudinal, inferior longitudinal ,transverse and vertical muscles)
  • 13.
    EXTRINSIC MUSCLES OFTONGUE • There are four major extrinsic tongue muscles: • Hyoglossus • Styloglossus • Genioglossus • Palatoglossus
  • 14.
    MUSCLES OF THETONGUE  Extrinsic muscles serve to move the tongue about in the oral cavity.  Intrinsic muscles act to change the shape of the tongue.
  • 15.
    EXTRINSIC MUSCLES Muscle OriginInsertion Innervation Function Genioglossus Superiormental tubercles Body of hyoid; entire lengthof tongue Hypoglossalnerve [XII] Protrudes tongue; depresses center of tongue Hyoglossus Greater horn and adjacent part of body of hyoid bone Lateral surfaceof tongue Hypoglossalnerve [XII] Depresses tongue Styloglossus Styloid process (anterolateral surface) Lateral surfaceof tongue Hypoglossalnerve [XII] Elevates and retracts tongue Palatoglossus Inferior surfaceof palatine aponeurosis Lateral margin of tongue Vagus nerve [X] (via pharyngeal branch to pharyngealplexus) Depressespalate; moves palatoglossal fold toward midline; elevates back of the tongue
  • 16.
    BLOOD SUPPLY OFTONGUE  Arterial blood supply :  The main artery is the which a external lingual artery branch of the carotid artery.  Venous drainage  Dorsal lingual and deep lingual veins.
  • 17.
    LYMPHATIC OF THETONGUE 1. Tip of tongue to submental LN group. 2. Rest of anterior 2/3 of tongue to submandibular LN group and deep cervical LN group 3. Posrerior 1/3 of tongue to deep cervical LN group
  • 18.
    SENSORY INNERVATIONS  Theanterior2/3ofthetongue is carriedby : 1. Thelingualnerve,amajor branchofthemandibularnerve (abranchofthetrigeminal nerve,(CNV)forgeneral sensation. 2. Thechordatympani(abranch ofthefacialnerve(CNVII) that runsin thelingualnerve)for taste.
  • 19.
    SENSORY INNERVATIONS  Theposterior1/3ofthetongueandthevallate papillaeare suppliedbythe glossopharyngealnerve (CNIX)forboth general sensation and taste.  Vagus Nerve (CN X)– Taste of Posterior Part  Motor innervations  Muscles of the tongue are innervated by the hypoglossal nerve (the twelfth cranial nerve, (CN XII)
  • 21.
    SENSATION OF TASTE • Structureof Taste Buds Each Taste Bud is a bundle of receptor cells. • It contains about 40 cells which are the modified epithelial cells • Cells are divided into 4 groups 1) Type 1 cells 2) Type 2 cells 3) Type 3 cells 4) Type 4 cells
  • 22.
    TYPES OF TASTE SweetTaste- Produced by Organic Substances like Monosaccharides, Polysaccharides, Glycerol, Aldehydes, Ketones.  Salt Taste- Produced by Chlorides and Nitrates of Na, K & Ammonia.  Sour Taste- Produced because of Hydrogen ions. • Bitter Taste- Produced due to organic substances like Strychnine, Morphine, Piric Acid, Bile Salts, Salts of Ca, Mg & Ammonium. • Umami- Produced due to Glutamate, particularly Monosodium Glutamate.
  • 24.
    PALATE  Palate isa roof of the mouth; the partition separating the nasal and oral cavities.  consisting of an anterior bony portion (hard palate) and a posterior muscular portion (soft palate)
  • 25.
    PALATE • Hard Palate(anterior 2/3) • Bones: Maxilla (Palatine processes + Palatine Bone) • Assists the tongue in chewing
  • 26.
    PALATE  Soft palate(posterior 1/3)  Mobile fold formed mostly of skeletal muscle  Closes off the nasopharynx during swallowing  Uvula projects downward from its free edge
  • 27.
    SALIVARY GLANDS  Thesalivary glands are exocrine glands, glands with ducts, that produce saliva.  They secrete amylase, an enzyme that breaks down starch into maltose.
  • 28.
    SALIVARY GLANDS  Threepairs of extrinsic glands: parotid, submandibular, and sublingual.  Intrinsic salivary glands scattered throughout the oral mucosa (Nose, lip, buccal mucosa, palate, pharynx).  > 400 minor salivary glands
  • 29.
  • 30.
    Parotid Gland  Theparotid gland is found below the level of the external auditory canal, between the mandible and the sternocleidomastoid Muscle. Parotid Duct  Arises from anterior border  1.5 cm inferior to Zygomatic arch  4-6 cm in length
  • 31.
    SUBMANDIBULAR GLAND  Itis a salivary gland located beneath the floor of the mouth  It lies along the medial aspect of the mandibular body  It is hook shaped  It is divided into superficial and deep lobes, which are separated by the mylohyoid muscle.  Wharton’s duct: About 5cm in length.
  • 32.
    SUBLINGUAL GLANDS  Theylie anterior to the submandibular gland under the tongue, beneath the mucous membrane of the floor of the mouth.  sublingual gland is immediately lateral to the submandibular duct  The ducts of the sublingual glands are called Bartholin’s ducts.
  • 34.
    BLOOD SUPPLY OFSALIVARY GLANDS  Blood Supply to the parotid gland originate from the external carotid artery.  The submandibular and sublingual glands are supplied by branches of the facial and lingual arteries.  Veins from the parotid gland drain into the external jugular vein, and those from the submandibular and sublingual glands drain into lingual and facial veins.
  • 37.
    FUNCTIONS Protection . lubricant(glycoprotein) Buffering (phosphate ions and bicarbonate) Digestion Antimicrobial. Lysozyme hydrolyzes cell walls of some bacteria Maintenance of tooth integrity (calcium and phosphate ions) Tissue repair. Bbleeding time of oral tissues shorter than other tissues Taste. solubilizing of food substances that can be sensed by receptors
  • 38.
    • Composition ofSaliva: 97-99.5% water • pH 6.75-7.0 • Sodium, potassium, chloride, phosphate, and bicarbonate • Mucin • Salivary amylase
  • 39.
    39 REGULATION OF SALIVARYSECRETION Simple or unconditioned: The presence of food in the mouth results in reflex secretion of saliva. • Stimulus: presence of food in the mouth. • Receptors: taste buds. • Afferent: nerves from taste buds carry impulses to salivary center. • Centre: salivary center in medulla oblongata (in brain stem). • Efferent: autonomic nerves supplying salivary glands.
  • 40.
    CLASS ACTIVITY Draw adiagram shows Salivary glands nerves Innervations
  • 41.