Inflammation and Cellular
Responses
Dr.Mohanad
QPT10203
Inflammation
 Is a protective response of the body’s to
injury
 Consist of complex biological process by
body responds to pathogens and irritants
 Eliminate the initial cause of cell injury
destroying and neutralizing the harmful
agents
 Remove the damaged tissue
 Generate new tissue
Causes of inflammation
 Bacterial
 Viral
 Protozoal
 Metazoal
 Fungal
 Immunological
 Tumours
 Chemicals, toxins etc
 Radiation
Signs of inflammation
Inflammation
The basis of the five cardinal signs
 Increased blood flow due to vascular dilatation gives
redness and heat.
 Increased vascular permeability gives oedema
causing tissue swelling.
 Certain chemical mediators stimulate sensory nerve
endings giving pain. Nerves also stimulated by
stretching from oedema.
 Pain and swelling result in loss of function.
Signs of inflammation
Vascular
changes
Vasodilatation
Capillary
permeability
Heat /
redness
Temporary
loss of
function
Fever
Swelling Pain
All roads lead to inflammation
Inflammation
Neutrophils
Monocytes /macrophages
NK cells
TLRs
Cytokines /IFN
C` proteins
Coagulation proteins
Cellular Extracellular
Cardinal signs of inflammation
Acute inflammation
Cardinal signs of inflammation
Cardinal signs of inflammation
Cardinal signs of inflammation
Summary: role of Inflammation in
innate immunity
 Initiation of phagocytosis – killing of pathogen
 Limiting the spread of infection
 Stimulate adaptive immune response
 Initiate tissue repair
Cardinal signs of inflammation
Cell of the acute inflammatory
response
 Polymorphonuclear leukocyte
15
The phases of inflammatory response at the
injured site
1. Changes in vascular caliber (Vasodilatation) and
increased blood flow
2. Increased vascular permeability
3. Fluid and leukocyte exudation
4. Phagocytosis and killing
 First event in an acute inflammatory response to injury is
vasodilatation (i.e. dilatation of blood vessels) of arterioles
around the injured area.
 Due to dilatation of arterioles, more blood flows to the
injured site.
 Due to increased blood flow, the injured area becomes red
and warm.
 Redness and heat are the first two signs of inflammation in
the injured area.Due to increased blood flow, the injured
area becomes red and warm.
1. Changes in Vascular Caliber (Vasodilatation)
and Increased Blood Flow:
Inflammation and vascular changes
 Vasodilatation
 Increased capillary
permeability
Normal blood vessel Dilated blood vessel
Normal blood vessel
Leaky blood vessel
 The small blood vessel wall is made of thin endothelium
(called vascular endothelium).
 Normally the vascular endothelium permits free exchange of
water and small molecules between blood and tissue
spaces; but limits the passage of plasma proteins (whose
molecular sizes are large) from the blood into tissue spaces.
But after tissue injury, the permeability of blood vessels in the
injured area increases.
 Consequently, the plasma proteins (including the antibody
molecules), leukocytes, and more fluid from the blood exude
into tissue spaces
2. Increased Vascular Permeability:
Local vascular manifestations of acute inflammation
 Apart from fluid and plasma proteins, the leukocytes,
especially neutrophils and monocytes come out of the blood
vessels and accumulate in vast numbers in the injured area
(The sequence of events with respect to the movement of
leukocytes from blood vessels into tissue spaces is
described later).
 In most of the acute inflammations, neutrophils predominate
in the first 6 to 24 hours, being replaced by monocytes in 24
to 48 hours.
3. Leucocytic Exudation and
Chemotaxis:
Leukocyte migration in inflammation
Molecules modulating endothelial-neutrophil interactions
 The leukocytes engulf (phagocytose) the microbes and kill
them. Phagocytosis and intracellular killing of ingested
microbe (such as bacteria) can be described in three
interrelated steps.
 i. Recognition and attachment of leukocyte to bacteria
 ii. Engulfment (phagocytosis) of bacteria
 Killing or degradation of bacteria
 Recognition and Attachment of Leukocytes to Bacteria:
 The leukocytes recognize the microorganisms through serum factors called
opsonins. There are two major opsonins.
 1. IgG (subtypes IgGl and IgG3) and
 2. C3b (opsonic fragment of C3), which is generated by activation of complement
system by direct or alternative pathway.
4. Phagocytosis and Intracellular
Killing:
Inflammation and innate immunity
Mast cells – similar to basophils in blood;
mast cells are present in tissues and release histamines in response to wound / infection /irritant
Histamin
e
Pathogen
removal
Adaptive immune
response
+ + +
Acute inflammation: tissue effects
Acute inflammation: tissue effects
Inflammatory cells in protein exudate
Acute inflammation: tissue effects
Blood vessel involved in the acute inflammatory process
Acute inflammation: Tissue effects
Bronchopneumonia
Acute inflammation: tissue effects
Abscess: collection of acute inflammatory cells
 Vasoactive amines
 Histamine
 Serotonin (5-HT)
 Neuropeptides
 Substance P
 Plasma proteases and the complement system
 Action of Hageman factor
 Arachidonic acid metabolites
 Prostaglandins
 Leukotrienes
 Lipoxins
 Cytokines
 IL-1, TNF etc.
 Chemokines (CXC and CC)
 Nitric oxide and oxygen-derived free radicals
Chemical mediators of inflammation
Chemical mediators of inflammation
 PREFORMED
Histamine, Serotonin
 NEWLY SYNTHESISED
Prostaglandins
Leucotrienes
Platelet activating factor
Cytokines
Nitric oxide
 LOCAL AND SYSTEMIC
Chemical mediators of inflammation
(local and systemic)
Cytokines (IL-1 and TNF)
 What is a Phagocyte?
 A cell that engulfs and digests material such as cell
debris and microbes, including invading organisms.
 Surface of cell contains pattern recognition
receptors to recognize material to be ingested.
The Process of Phagocytosis
~A series of complex steps allowing
phagocytes to engulf and destroy
invading microorganisms.
~Most pathogens have evolved an ability
to evade one or more of the steps
(resistance).
Phagocytic Cells
• Peripheral Blood Leukocytes (nrml. 4.5-
11,000cells/ul)
– Lymphocytes (~ 30%)
– Granulocytes (~ 70%)
• Granulocytes:
– Neutrophils (~ 60% of total leukocytes in blood)
– Eosinophils (~ 3%)
– Basophils (<1%, rare)
– Monocytes (~ 6%)
– Monocytes Macrophages
(tissues)
• Kupffer cells (lining liver sinusoids)
Peripheral Blood Smear
Neutrophil
Lymphocyte
Regents of the University of Michigan
Lymphocyte
Platelets
Regents of the University of Michigan
Neutrophil
Regents of the University of Michigan
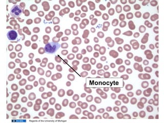
Monocyte
Regents of the University of Michigan
Step 1
 Chemotaxis- Phagocytic cells are recruited to
site of infection or tissue damage by chemical
stimuli (chemoattractants).
Step 2
 Recognition & Attachment- Receptors located on
outside of phagocyte recognize and bind (directly
or indirectly).
~Direct binding-receptors recognize and bind to
patterns of compounds found on invaders
~Indirect binding-particle is opsonized, coating
particle with antibody substance for easier
ingestion
Step 3
 Engulfment-Phagocytic cell engulfs invader, forming a
membrane-bound vacuole called a phagosome.
~Cytoskeleton of phagocyte rearranges to form armlike
extensions (pseudopods) that surround material being
engulfed.
Step 4
 Fusion of the phagosome with the lysosome -
within the phagocyte, the phagosome moves
along the cytoskeleton to where it can fuse with
lysosomes.
~ Lysosomes-membrane bound bodies filled with
various digestive enzymes like lysozyme and
proteases.
~ Fusion creates a phagolysosome.
~ In neutrophils, membrane-bound bodies are
granules.
Step 5
 Destruction & Digestion-Oxygen consumption increases,
sugars metabolized (aerobic respiration), highly toxic
oxygen products produced (superoxide, hydrogen
peroxide, singlet oxygen, hydroxyl radicals).
~As available O2 in phagolysosome is consumed metabolic
pathway switches to fermentation, producing lactic acid
and lowering pH.
~Enzymes degrade peptidoglycan of the bacterial cell walls,
and other parts of the cell.
Step 6
 Exocytosis-membrane-bound vesicle
containing digested material fuses with the
plasma membrane. Material is expelled to
the external environment.
What do neutrophils do?
Phagocytosis
Contact, Recognition, Internalisation.
Opsonins: e.g. Fc and C3b receptors
Cytoskeletal changes (as with chemotaxis);
‘zipper’ effect.
THE PHAGOCYTES
 Margination
 Endothelium-phagocyte interactions; adhesion molecules.
 Histamine & thrombin activate P-selectin on endothelium
(minutes)
 IL-1, TNF activate E selectin on endothelium (hours)
 ICAM-1 (Intercellular Adhesion Molecule 1) and VCAM-1(vascular cell
adhesion molecule) also upregulated on endothelium
 Lymphocyte function-associated antigen 1 (LFA-1), VLA-4 (very late
activation antigen) activation on neutrophils
How do neutrophils escape from vessels?
 Relaxation of inter-endothelial cell junctions
 Digestion of vascular basement membrane
 Movement
Margination, emigration,
chemotaxis
V essel W all
Circulation
Tissues
How do neutrophils move?
Diapedesis and Emigration; Chemotaxis.
 Chemotaxis implies detection of concentration
gradients
 Receptor-ligand binding
 Phospholipase C activation
 Local release of free intracellular Ca+
 Rearrangement of cytoskeleton
 Production of pseudopod
What do neutrophils do?
Microbial killing
 Phagosomes fuse with lysosomes to produce secondary
lysosomes.
Mechanisms:
 O2 dependent
 NADPH oxidase activated; produces superoxide ion. This
converts to hydrogen peroxide.
 H2O2-Myeloperoxidase-halide system: produces HOCl.
(i.e. bleach!)
 Myeloperoxidase independent:
 Uses superoxide and hydroxyl radicals. Less efficient.
O2 independent killing mechanisms
 Lysozyme & hydrolases
 Lactoferrin
 Bactericidal Permeability Increasing Protein (BPI)
 Cationic proteins (‘Defensins’)
 Major Basic Protein (MBP; Eosinophils)
SYSTEMIC EFFECTS OF ACUTE
INFLAMMATION
 Fever
 ‘Endogenous pyrogens’ produced: IL1 and TNFa
 IL1 - prostaglandins in hypothalamus
hence aspirin etc. reduce fever
 Leukocytosis
 IL1 and TNFa produce an accelerated release from marrow
 Macrophages, T lymphocytes produce colony-stimulating
factors
 Bacterial infections - neutrophils, viral - lymphocytes
 Clinically useful
PROBLEMS CAUSED BY ACUTE INFLAMMATION
 Local
 Swelling: Blockage of tubes, e.g. bile duct, intestine
 Exudate: Compression e.g. cardiac tamponade
Loss of fluid e.g. burns
 Pain & loss of function - especially if prolonged
PROBLEMS CAUSED BY ACUTE
INFLAMMATION
 Systemic
 Acute phase response
 Spread of micro-organisms and toxins
 SHOCK
Immunogens / Antigens
Immunogens and antigens
• Immunogen / antigen: a substance that elicits
an immune response [i.e. a humoral (antibody
response) or cell-mediated immune response]
Immune response generator
Though the two terms are used interchangeably – there are differences between
the two
Antigen: any substance that binds to an antibody (or a T-cell
receptor) – But some antigens cannot elicit an immune
response.
All immunogens are antigens but not all antigens are
immunogens
Epitope
• Epitope: the portion of an antigen that is recognized
and bound by an antibody (Ab) or a T-cell receptor
(TCR)
• Epitope = antigenic determinant
Epitopes
•Epitope: the portion of an antigen that is recognized and bound by an Ab or a T Cell receptor
One protein may have multiple antigenic determinant
Epitopes
• B-cell Epitopes – recognized by B-cells
• T-cell Epitopes – recognized by T cells
Immunogenicity
• Immunogencity: is the ability to induce a humoral
(antibody) and/or cell-mediated immune response.
• Weak immunogens
• Strong immunogens
What determines immunogenicity ?
• Foreignness: essential for immunogenicity (self-responsive
immune cells are eliminated during lymphocyte development)
• Size: Bigger>Smaller
• Chemical composition: Proteins > nucleic acids /
polysaccharides / lipids
• Structure: Primary /secondary /tertiary structures play a role
• Physical form: Particulate> Soluble
Host factors affecting immunogencity
• Difference across species (interspecies)
• Differences within a species (intraspecies)
- Responders / non-responders to vaccine
- differences in disease severity in epidemics
Genetics
Age
Isoantigens
• Isoantigens: Antigens present in some but not all
members of a species
• Blood group antigens – basis of blood grouping
• MHC (major histocompatibility complex)- cell surface
glycoproteins
Autoantigens
• Autoantigens are substances capable of immunizing
the host from which they are obtained.
• Self antigens are ordinarily non-antigenic
• Modifications of self-antigens are capable of eliciting
an immune response
Haptens
• Haptens are small molecules which are non-
immunogenic, thus could never induce an
immune response by themselves.
Examples of haptens
DO NOT ELICIT an immune response by themselves
Immunogens / Antigens
What is an antibody?
• Produced by Plasma cell (B-lymphocytes producing Ab)
• Essential part of adaptive immunity
• Specifically bind a unique antigenic epitope (also called an
antigenic determinant)
• Possesses antigen binding sites
• Members of the class of proteins called immunoglobulins
What does an antibody look like ?
• 2 identical heavy chains
• 2 identical light chains
• Each heavy chain – has a
constant and a variable
region
• Each light chain has a
constant and a variable
region
H H
L L
Constant
region
Variable
region
Antibody: structure and function
• Fab – fragment antigen
binding
• Fc- Fragment constant
Antibody: Fab
Fab region
• Variable region of the
antibody
• Tip of the antibody
• Binds the antigen
• Specificity of antigen
binding determined by
VH and VL
Antibody: Fc
Fc region
• Constant region
• Base of the antibody
• Can bind cell receptors
and complement
proteins
• Antibodies occur in 2 forms
– Soluble Ag: secreted in blood and tissue
– Membrane-bound Ag: found on surface of B-cell, also
known as a B-cell receptor (BCR)
Antibodies exist in two forms
Case: A 3-year-old boy is brought to the
emergency department
• CC: a productive cough, fever (temp 102.1 C),
and headache.
• PEx: healthy boy with rales present on
auscultation of the left lower chest.
• CxR:intra-alveolar infiltrate in the left lower lobe.
• Hx: mother reports multiple episodes (approx. 5
per year) of recurrent bacterial infections
including otitis media, sinusitis, pneumonia, and
purulent skin lesions. These infections usually
responded to antibiotic treatment.
QUESTIONS?

Lect 3-inflammation

  • 1.
  • 2.
    Inflammation  Is aprotective response of the body’s to injury  Consist of complex biological process by body responds to pathogens and irritants  Eliminate the initial cause of cell injury destroying and neutralizing the harmful agents  Remove the damaged tissue  Generate new tissue
  • 3.
    Causes of inflammation Bacterial  Viral  Protozoal  Metazoal  Fungal  Immunological  Tumours  Chemicals, toxins etc  Radiation
  • 4.
  • 5.
    Inflammation The basis ofthe five cardinal signs  Increased blood flow due to vascular dilatation gives redness and heat.  Increased vascular permeability gives oedema causing tissue swelling.  Certain chemical mediators stimulate sensory nerve endings giving pain. Nerves also stimulated by stretching from oedema.  Pain and swelling result in loss of function.
  • 6.
    Signs of inflammation Vascular changes Vasodilatation Capillary permeability Heat/ redness Temporary loss of function Fever Swelling Pain
  • 7.
    All roads leadto inflammation Inflammation Neutrophils Monocytes /macrophages NK cells TLRs Cytokines /IFN C` proteins Coagulation proteins Cellular Extracellular
  • 8.
    Cardinal signs ofinflammation Acute inflammation
  • 9.
    Cardinal signs ofinflammation
  • 10.
    Cardinal signs ofinflammation
  • 11.
    Cardinal signs ofinflammation
  • 12.
    Summary: role ofInflammation in innate immunity  Initiation of phagocytosis – killing of pathogen  Limiting the spread of infection  Stimulate adaptive immune response  Initiate tissue repair
  • 13.
    Cardinal signs ofinflammation
  • 14.
    Cell of theacute inflammatory response  Polymorphonuclear leukocyte
  • 15.
  • 16.
    The phases ofinflammatory response at the injured site 1. Changes in vascular caliber (Vasodilatation) and increased blood flow 2. Increased vascular permeability 3. Fluid and leukocyte exudation 4. Phagocytosis and killing
  • 17.
     First eventin an acute inflammatory response to injury is vasodilatation (i.e. dilatation of blood vessels) of arterioles around the injured area.  Due to dilatation of arterioles, more blood flows to the injured site.  Due to increased blood flow, the injured area becomes red and warm.  Redness and heat are the first two signs of inflammation in the injured area.Due to increased blood flow, the injured area becomes red and warm. 1. Changes in Vascular Caliber (Vasodilatation) and Increased Blood Flow:
  • 18.
    Inflammation and vascularchanges  Vasodilatation  Increased capillary permeability Normal blood vessel Dilated blood vessel Normal blood vessel Leaky blood vessel
  • 19.
     The smallblood vessel wall is made of thin endothelium (called vascular endothelium).  Normally the vascular endothelium permits free exchange of water and small molecules between blood and tissue spaces; but limits the passage of plasma proteins (whose molecular sizes are large) from the blood into tissue spaces. But after tissue injury, the permeability of blood vessels in the injured area increases.  Consequently, the plasma proteins (including the antibody molecules), leukocytes, and more fluid from the blood exude into tissue spaces 2. Increased Vascular Permeability:
  • 20.
    Local vascular manifestationsof acute inflammation
  • 21.
     Apart fromfluid and plasma proteins, the leukocytes, especially neutrophils and monocytes come out of the blood vessels and accumulate in vast numbers in the injured area (The sequence of events with respect to the movement of leukocytes from blood vessels into tissue spaces is described later).  In most of the acute inflammations, neutrophils predominate in the first 6 to 24 hours, being replaced by monocytes in 24 to 48 hours. 3. Leucocytic Exudation and Chemotaxis:
  • 22.
  • 23.
  • 24.
     The leukocytesengulf (phagocytose) the microbes and kill them. Phagocytosis and intracellular killing of ingested microbe (such as bacteria) can be described in three interrelated steps.  i. Recognition and attachment of leukocyte to bacteria  ii. Engulfment (phagocytosis) of bacteria  Killing or degradation of bacteria  Recognition and Attachment of Leukocytes to Bacteria:  The leukocytes recognize the microorganisms through serum factors called opsonins. There are two major opsonins.  1. IgG (subtypes IgGl and IgG3) and  2. C3b (opsonic fragment of C3), which is generated by activation of complement system by direct or alternative pathway. 4. Phagocytosis and Intracellular Killing:
  • 25.
    Inflammation and innateimmunity Mast cells – similar to basophils in blood; mast cells are present in tissues and release histamines in response to wound / infection /irritant Histamin e Pathogen removal Adaptive immune response + + +
  • 26.
  • 27.
    Acute inflammation: tissueeffects Inflammatory cells in protein exudate
  • 28.
    Acute inflammation: tissueeffects Blood vessel involved in the acute inflammatory process
  • 29.
    Acute inflammation: Tissueeffects Bronchopneumonia
  • 30.
    Acute inflammation: tissueeffects Abscess: collection of acute inflammatory cells
  • 33.
     Vasoactive amines Histamine  Serotonin (5-HT)  Neuropeptides  Substance P  Plasma proteases and the complement system  Action of Hageman factor  Arachidonic acid metabolites  Prostaglandins  Leukotrienes  Lipoxins  Cytokines  IL-1, TNF etc.  Chemokines (CXC and CC)  Nitric oxide and oxygen-derived free radicals Chemical mediators of inflammation
  • 34.
    Chemical mediators ofinflammation  PREFORMED Histamine, Serotonin  NEWLY SYNTHESISED Prostaglandins Leucotrienes Platelet activating factor Cytokines Nitric oxide  LOCAL AND SYSTEMIC
  • 35.
    Chemical mediators ofinflammation (local and systemic)
  • 36.
  • 37.
     What isa Phagocyte?  A cell that engulfs and digests material such as cell debris and microbes, including invading organisms.  Surface of cell contains pattern recognition receptors to recognize material to be ingested.
  • 38.
    The Process ofPhagocytosis ~A series of complex steps allowing phagocytes to engulf and destroy invading microorganisms. ~Most pathogens have evolved an ability to evade one or more of the steps (resistance).
  • 39.
    Phagocytic Cells • PeripheralBlood Leukocytes (nrml. 4.5- 11,000cells/ul) – Lymphocytes (~ 30%) – Granulocytes (~ 70%) • Granulocytes: – Neutrophils (~ 60% of total leukocytes in blood) – Eosinophils (~ 3%) – Basophils (<1%, rare) – Monocytes (~ 6%) – Monocytes Macrophages (tissues) • Kupffer cells (lining liver sinusoids)
  • 40.
  • 41.
  • 42.
    Neutrophil Regents of theUniversity of Michigan
  • 43.
    Monocyte Regents of theUniversity of Michigan
  • 44.
    Step 1  Chemotaxis-Phagocytic cells are recruited to site of infection or tissue damage by chemical stimuli (chemoattractants).
  • 45.
    Step 2  Recognition& Attachment- Receptors located on outside of phagocyte recognize and bind (directly or indirectly). ~Direct binding-receptors recognize and bind to patterns of compounds found on invaders ~Indirect binding-particle is opsonized, coating particle with antibody substance for easier ingestion
  • 46.
    Step 3  Engulfment-Phagocyticcell engulfs invader, forming a membrane-bound vacuole called a phagosome. ~Cytoskeleton of phagocyte rearranges to form armlike extensions (pseudopods) that surround material being engulfed.
  • 47.
    Step 4  Fusionof the phagosome with the lysosome - within the phagocyte, the phagosome moves along the cytoskeleton to where it can fuse with lysosomes. ~ Lysosomes-membrane bound bodies filled with various digestive enzymes like lysozyme and proteases. ~ Fusion creates a phagolysosome. ~ In neutrophils, membrane-bound bodies are granules.
  • 48.
    Step 5  Destruction& Digestion-Oxygen consumption increases, sugars metabolized (aerobic respiration), highly toxic oxygen products produced (superoxide, hydrogen peroxide, singlet oxygen, hydroxyl radicals). ~As available O2 in phagolysosome is consumed metabolic pathway switches to fermentation, producing lactic acid and lowering pH. ~Enzymes degrade peptidoglycan of the bacterial cell walls, and other parts of the cell.
  • 49.
    Step 6  Exocytosis-membrane-boundvesicle containing digested material fuses with the plasma membrane. Material is expelled to the external environment.
  • 50.
    What do neutrophilsdo? Phagocytosis Contact, Recognition, Internalisation. Opsonins: e.g. Fc and C3b receptors Cytoskeletal changes (as with chemotaxis); ‘zipper’ effect.
  • 52.
    THE PHAGOCYTES  Margination Endothelium-phagocyte interactions; adhesion molecules.  Histamine & thrombin activate P-selectin on endothelium (minutes)  IL-1, TNF activate E selectin on endothelium (hours)  ICAM-1 (Intercellular Adhesion Molecule 1) and VCAM-1(vascular cell adhesion molecule) also upregulated on endothelium  Lymphocyte function-associated antigen 1 (LFA-1), VLA-4 (very late activation antigen) activation on neutrophils
  • 53.
    How do neutrophilsescape from vessels?  Relaxation of inter-endothelial cell junctions  Digestion of vascular basement membrane  Movement
  • 54.
  • 57.
    How do neutrophilsmove? Diapedesis and Emigration; Chemotaxis.  Chemotaxis implies detection of concentration gradients  Receptor-ligand binding  Phospholipase C activation  Local release of free intracellular Ca+  Rearrangement of cytoskeleton  Production of pseudopod
  • 58.
    What do neutrophilsdo? Microbial killing  Phagosomes fuse with lysosomes to produce secondary lysosomes. Mechanisms:  O2 dependent  NADPH oxidase activated; produces superoxide ion. This converts to hydrogen peroxide.  H2O2-Myeloperoxidase-halide system: produces HOCl. (i.e. bleach!)  Myeloperoxidase independent:  Uses superoxide and hydroxyl radicals. Less efficient.
  • 59.
    O2 independent killingmechanisms  Lysozyme & hydrolases  Lactoferrin  Bactericidal Permeability Increasing Protein (BPI)  Cationic proteins (‘Defensins’)  Major Basic Protein (MBP; Eosinophils)
  • 60.
    SYSTEMIC EFFECTS OFACUTE INFLAMMATION  Fever  ‘Endogenous pyrogens’ produced: IL1 and TNFa  IL1 - prostaglandins in hypothalamus hence aspirin etc. reduce fever  Leukocytosis  IL1 and TNFa produce an accelerated release from marrow  Macrophages, T lymphocytes produce colony-stimulating factors  Bacterial infections - neutrophils, viral - lymphocytes  Clinically useful
  • 61.
    PROBLEMS CAUSED BYACUTE INFLAMMATION  Local  Swelling: Blockage of tubes, e.g. bile duct, intestine  Exudate: Compression e.g. cardiac tamponade Loss of fluid e.g. burns  Pain & loss of function - especially if prolonged
  • 62.
    PROBLEMS CAUSED BYACUTE INFLAMMATION  Systemic  Acute phase response  Spread of micro-organisms and toxins  SHOCK
  • 63.
  • 64.
    Immunogens and antigens •Immunogen / antigen: a substance that elicits an immune response [i.e. a humoral (antibody response) or cell-mediated immune response] Immune response generator Though the two terms are used interchangeably – there are differences between the two Antigen: any substance that binds to an antibody (or a T-cell receptor) – But some antigens cannot elicit an immune response. All immunogens are antigens but not all antigens are immunogens
  • 65.
    Epitope • Epitope: theportion of an antigen that is recognized and bound by an antibody (Ab) or a T-cell receptor (TCR) • Epitope = antigenic determinant
  • 66.
    Epitopes •Epitope: the portionof an antigen that is recognized and bound by an Ab or a T Cell receptor One protein may have multiple antigenic determinant
  • 67.
    Epitopes • B-cell Epitopes– recognized by B-cells • T-cell Epitopes – recognized by T cells
  • 68.
    Immunogenicity • Immunogencity: isthe ability to induce a humoral (antibody) and/or cell-mediated immune response. • Weak immunogens • Strong immunogens
  • 69.
    What determines immunogenicity? • Foreignness: essential for immunogenicity (self-responsive immune cells are eliminated during lymphocyte development) • Size: Bigger>Smaller • Chemical composition: Proteins > nucleic acids / polysaccharides / lipids • Structure: Primary /secondary /tertiary structures play a role • Physical form: Particulate> Soluble
  • 70.
    Host factors affectingimmunogencity • Difference across species (interspecies) • Differences within a species (intraspecies) - Responders / non-responders to vaccine - differences in disease severity in epidemics Genetics Age
  • 71.
    Isoantigens • Isoantigens: Antigenspresent in some but not all members of a species • Blood group antigens – basis of blood grouping • MHC (major histocompatibility complex)- cell surface glycoproteins
  • 72.
    Autoantigens • Autoantigens aresubstances capable of immunizing the host from which they are obtained. • Self antigens are ordinarily non-antigenic • Modifications of self-antigens are capable of eliciting an immune response
  • 73.
    Haptens • Haptens aresmall molecules which are non- immunogenic, thus could never induce an immune response by themselves.
  • 74.
    Examples of haptens DONOT ELICIT an immune response by themselves
  • 75.
  • 76.
    What is anantibody? • Produced by Plasma cell (B-lymphocytes producing Ab) • Essential part of adaptive immunity • Specifically bind a unique antigenic epitope (also called an antigenic determinant) • Possesses antigen binding sites • Members of the class of proteins called immunoglobulins
  • 77.
    What does anantibody look like ? • 2 identical heavy chains • 2 identical light chains • Each heavy chain – has a constant and a variable region • Each light chain has a constant and a variable region H H L L Constant region Variable region
  • 78.
    Antibody: structure andfunction • Fab – fragment antigen binding • Fc- Fragment constant
  • 79.
    Antibody: Fab Fab region •Variable region of the antibody • Tip of the antibody • Binds the antigen • Specificity of antigen binding determined by VH and VL
  • 80.
    Antibody: Fc Fc region •Constant region • Base of the antibody • Can bind cell receptors and complement proteins
  • 81.
    • Antibodies occurin 2 forms – Soluble Ag: secreted in blood and tissue – Membrane-bound Ag: found on surface of B-cell, also known as a B-cell receptor (BCR) Antibodies exist in two forms
  • 82.
    Case: A 3-year-oldboy is brought to the emergency department • CC: a productive cough, fever (temp 102.1 C), and headache. • PEx: healthy boy with rales present on auscultation of the left lower chest. • CxR:intra-alveolar infiltrate in the left lower lobe. • Hx: mother reports multiple episodes (approx. 5 per year) of recurrent bacterial infections including otitis media, sinusitis, pneumonia, and purulent skin lesions. These infections usually responded to antibiotic treatment.
  • 83.