BRONCHIECTASIS




  DR.CSBR.PRASAD, M.D.
CSBRP-Dec-2012
CSBRP-Dec-2012
Definition:
 Is a chronic necrotising infection of the
  bronchi and bronchioles leading to or
  associated with abnormal dilation of
  these airways.
 Prevalence:
   * 1.5 per 1000 population
   * Has decreased in recent times
                   CSBRP-Dec-2012
Clinical features
   Cough, fever, copious foul smelling sputum
   The dilation is permanent.



   Reversible dilation occurs in viral and
    bacterial pneumonia.


                     CSBRP-Dec-2012
Causes:

 Bronchial obstruction
 Congenital / Hereditary conditions
 Necrotizing pneumonias




                 CSBRP-Dec-2012
Causes:
Bronchial obstruction –
   Tumor
   Foreign body
   Mucous impaction [complication of atopic
    asthma, chronic bronchitis]




                      CSBRP-Dec-2012
CSBRP-Dec-2012
CSBRP-Dec-2012
CSBRP-Dec-2012
   The three
                     layers are
                     purulent
                     sediment,
                     clear middle
                     liquid and
                     top foamy
                     layer.
CSBRP-Dec-2012
Causes : cont…..

   Congenital / Hereditary conditions
    •   Congenital bronchiectasis (developmental anomaly)
    •   Cystic fibrosis
    •   Immunodeficiency states
    •   Immotile cilia & Kartagener syndromes
   Necrotizing pneumonia
     [Post infective bronchiectasis - TB, Staph, mixed
    infection]

                             CSBRP-Dec-2012
Ciliary dyskinesia:
[Immotile cilia syndrome]
 [Kartagener’s syndrome]




             CSBRP-Dec-2012
Ciliary dyskinesia:
  [Immotile cilia syndrome]
  [ Kartagener syndrome ]



                 Ciliary beating

             Mucociliary clearance

      Increased susceptibility to infections

                         CSBRP-Dec-2012
CSBRP-Dec-2012
CSBRP-Dec-2012
CSBRP-Dec-2012
CSBRP-Dec-2012
CSBRP-Dec-2012
NORMAL          CILIARY DYSKINESIA


         DYNEIN ARM




                CSBRP-Dec-2012
Commonest abnormalities:

 Absence of either outer or inner
   dynein arms
 Defects in radial spokes etc.




                CSBRP-Dec-2012
Clinical features of
     Ciliary dyskinesia:
 Repeated bouts of otitis & sinusitis
 Recurrent chest infections
 Situs inversus - [ 50% ]
   [ Kartagener syndrome - triad ]
 Males --- Infertility


                CSBRP-Dec-2012
Kartagener’s syndrome
1. Bronchiectasis
2. Situs inversus
3. Sinusitis
4. Infertility in men
Characterised by ultrastructural changes in
   microtubules causing immotility of cilia of
   respiratory epithelium, sperms.
                   CSBRP-Dec-2012
CSBRP-Dec-2012
CSBRP-Dec-2012
Kartagener’s syndrome


  Why “Situs inversus” ?




           CSBRP-Dec-2012
Cystic fibrosis (CF)
  [Mucoviscidosis]


         CSBRP-Dec-2012
Cystic fibrosis [Mucoviscidosis]
   Systemic disease
   Prevalence: 1 in 2500 live births
   Common in western countries
   Uncommon in Asians & Africans
   Pulmonary involvement dominates
   Inheritance - AR
   95% deaths - pulmonary disease
        [ Bronchiectasis ]
                   CSBRP-Dec-2012
Sterility
                                                 Increased
                                                Na+ and Cl-
Bronchiectasis
                     Vas deferens                 in sweat
                   seminal vesicles
                                            Sweat
     Lungs                                  glands
                    CYSTIC
                   FIBROSIS
                                            Biliary
             Gut
                                            system
Meconium              Pancreas                        Jaundice
  ileus
                                                      cirrhosis
      Malabsorption
         of fat                     Fibrosis
                           CSBRP-Dec-2012
Pathogenesis of CF:
Thick viscous mucus

Impaired mucociliary clearance

Repeated bouts of pulmonary infections

Parenchymal fibrosis
 [ Bronchiectasis ]
                 CSBRP-Dec-2012
Molecular defect:
   Gene - CFTR
   Chromosome - 7q31 - 32
   Function - Anion channel
   Defect in cystic fibrosis ( 550 mutations )
     --- deletion of codon 508 [phenylalanine]

CFTR: Cystic Fibrosis Transmembrane conductance Regulator


                              CSBRP-Dec-2012
CSBRP-Dec-2012
Normal                    Cystic Fibrosis

             AIRWAY




         Na+ H20                     Na+    H2O
                                Cl
   Cl




                   CSBRP-Dec-2012
CSBRP-Dec-2012
CSBRP-Dec-2012
Pathogenesis:


   Thick mucus
   Obstruction to the bronchus
   Infection




                     CSBRP-Dec-2012
Morphology - Gross
   Affects lower lobes
   Bilateral
   Air passages that are vertical
   Tumor/FB aspiration – localized single
    segment
   Severe involvement - more distal bronchi
   Airways are 4x dilated than normal
                    CSBRP-Dec-2012
Gross contd….
1. Cylindrical – most common, tube like
   dilation
2. Fusiform – spindle shaped dilation.
3. Saccular – sac like distension.
4. Varicose – irregular bronchial
   enlargement.
 Cut sections shows HONEY COOMBED
   appearance.
                 CSBRP-Dec-2012
CSBRP-Dec-2012
CSBRP-Dec-2012
OBSTRUCTING LESION

    BRONCHIECTASIS

POSSIBLE LIPID OR
INFECTIVE PNEUMONIA


                      CSBRP-Dec-2012
This is a
                 bronchogram
                 that
                 demonstrates
                 saccular
                 bronchiectasis
                 on the right in
                 the lower lobe.
                 The contrast
                 media fills
                 dilated bronchi,
                 giving a
                 saccular, dilated
                 outline.

CSBRP-Dec-2012
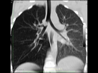
Dilatation of Bronchi
    & Bronchioles

                                         2cms




                        CSBRP-Dec-2012
Bronchiectasis, secondary
      to obstruction involving
       the right middle lobe.




CSBRP-Dec-2012
A closer view of the lung demonstrates the focal area of
                           CSBRP-Dec-2012
       dilated bronchi typical of bronchiectasis.
Fig15-3 Bronchiectasis
        in a patient with cystic
        fibrosis, who underwent
        lung transplantation. Cut
        surface of lung shows
        markedly distended
        peripheral bronchi filled
        with mucopurulent
        secretions.



CSBRP-Dec-2012
CSBRP-Dec-2012
Bronchiectasis is seen here. The repeated episodes of inflammation can result in
scarring, which has resulted in fibrous adhesions between the lobes. Fibrous pleural
adhesions are common in persons who have had past episodes of inflammation of the
lung that involve the pleura. With extensiveCSBRP-Dec-2012 the pleural space may be
                                             involvement,
obliterated.
CSBRP-Dec-2012
CSBRP-Dec-2012
CSBRP-Dec-2012
Clinical course:
 Cough - severe, persistent
 Expectoration - copious, foul smelling
 Fever
 Dyspnoea
 Orthopnea         Severe cases
 Cyanosis



                CSBRP-Dec-2012
Complications of
bronchiectasis:
    Metastatic abscesses ( brain abscess)
    Recurrent pulmonary infection
    Right sided cardiac failure
       [ chronic cor pulmonale ]
    Massive haemoptysis
    Reactive systemic amyloidosis
          [ Nephrotic syndrome ]

                    CSBRP-Dec-2012
E N D


  CSBRP-Dec-2012
DYNEIN ARM



                 SCHEMATIC
                 DIAGRAM
                 OF A
                 CILIUM
CSBRP-Dec-2012

Bronchiectasis

  • 1.
  • 2.
  • 3.
  • 4.
    Definition:  Is achronic necrotising infection of the bronchi and bronchioles leading to or associated with abnormal dilation of these airways.  Prevalence: * 1.5 per 1000 population * Has decreased in recent times CSBRP-Dec-2012
  • 5.
    Clinical features  Cough, fever, copious foul smelling sputum  The dilation is permanent.  Reversible dilation occurs in viral and bacterial pneumonia. CSBRP-Dec-2012
  • 6.
    Causes:  Bronchial obstruction Congenital / Hereditary conditions  Necrotizing pneumonias CSBRP-Dec-2012
  • 7.
    Causes: Bronchial obstruction –  Tumor  Foreign body  Mucous impaction [complication of atopic asthma, chronic bronchitis] CSBRP-Dec-2012
  • 8.
  • 9.
  • 10.
  • 11.
    The three layers are purulent sediment, clear middle liquid and top foamy layer. CSBRP-Dec-2012
  • 12.
    Causes : cont…..  Congenital / Hereditary conditions • Congenital bronchiectasis (developmental anomaly) • Cystic fibrosis • Immunodeficiency states • Immotile cilia & Kartagener syndromes  Necrotizing pneumonia [Post infective bronchiectasis - TB, Staph, mixed infection] CSBRP-Dec-2012
  • 13.
    Ciliary dyskinesia: [Immotile ciliasyndrome] [Kartagener’s syndrome] CSBRP-Dec-2012
  • 14.
    Ciliary dyskinesia: [Immotile cilia syndrome] [ Kartagener syndrome ] Ciliary beating Mucociliary clearance Increased susceptibility to infections CSBRP-Dec-2012
  • 15.
  • 16.
  • 17.
  • 18.
  • 19.
  • 20.
    NORMAL CILIARY DYSKINESIA DYNEIN ARM CSBRP-Dec-2012
  • 21.
    Commonest abnormalities:  Absenceof either outer or inner dynein arms  Defects in radial spokes etc. CSBRP-Dec-2012
  • 22.
    Clinical features of Ciliary dyskinesia:  Repeated bouts of otitis & sinusitis  Recurrent chest infections  Situs inversus - [ 50% ] [ Kartagener syndrome - triad ]  Males --- Infertility CSBRP-Dec-2012
  • 23.
    Kartagener’s syndrome 1. Bronchiectasis 2.Situs inversus 3. Sinusitis 4. Infertility in men Characterised by ultrastructural changes in microtubules causing immotility of cilia of respiratory epithelium, sperms. CSBRP-Dec-2012
  • 24.
  • 25.
  • 26.
    Kartagener’s syndrome Why “Situs inversus” ? CSBRP-Dec-2012
  • 27.
    Cystic fibrosis (CF) [Mucoviscidosis] CSBRP-Dec-2012
  • 28.
    Cystic fibrosis [Mucoviscidosis]  Systemic disease  Prevalence: 1 in 2500 live births  Common in western countries  Uncommon in Asians & Africans  Pulmonary involvement dominates  Inheritance - AR  95% deaths - pulmonary disease [ Bronchiectasis ] CSBRP-Dec-2012
  • 29.
    Sterility Increased Na+ and Cl- Bronchiectasis Vas deferens in sweat seminal vesicles Sweat Lungs glands CYSTIC FIBROSIS Biliary Gut system Meconium Pancreas Jaundice ileus cirrhosis Malabsorption of fat Fibrosis CSBRP-Dec-2012
  • 30.
    Pathogenesis of CF: Thickviscous mucus Impaired mucociliary clearance Repeated bouts of pulmonary infections Parenchymal fibrosis [ Bronchiectasis ] CSBRP-Dec-2012
  • 31.
    Molecular defect:  Gene - CFTR  Chromosome - 7q31 - 32  Function - Anion channel  Defect in cystic fibrosis ( 550 mutations ) --- deletion of codon 508 [phenylalanine] CFTR: Cystic Fibrosis Transmembrane conductance Regulator CSBRP-Dec-2012
  • 32.
  • 33.
    Normal Cystic Fibrosis AIRWAY Na+ H20 Na+ H2O Cl Cl CSBRP-Dec-2012
  • 34.
  • 35.
  • 36.
    Pathogenesis:  Thick mucus  Obstruction to the bronchus  Infection CSBRP-Dec-2012
  • 37.
    Morphology - Gross  Affects lower lobes  Bilateral  Air passages that are vertical  Tumor/FB aspiration – localized single segment  Severe involvement - more distal bronchi  Airways are 4x dilated than normal CSBRP-Dec-2012
  • 38.
    Gross contd…. 1. Cylindrical– most common, tube like dilation 2. Fusiform – spindle shaped dilation. 3. Saccular – sac like distension. 4. Varicose – irregular bronchial enlargement. Cut sections shows HONEY COOMBED appearance. CSBRP-Dec-2012
  • 39.
  • 40.
  • 41.
    OBSTRUCTING LESION BRONCHIECTASIS POSSIBLE LIPID OR INFECTIVE PNEUMONIA CSBRP-Dec-2012
  • 42.
    This is a bronchogram that demonstrates saccular bronchiectasis on the right in the lower lobe. The contrast media fills dilated bronchi, giving a saccular, dilated outline. CSBRP-Dec-2012
  • 43.
    Dilatation of Bronchi & Bronchioles 2cms CSBRP-Dec-2012
  • 44.
    Bronchiectasis, secondary to obstruction involving the right middle lobe. CSBRP-Dec-2012
  • 45.
    A closer viewof the lung demonstrates the focal area of CSBRP-Dec-2012 dilated bronchi typical of bronchiectasis.
  • 46.
    Fig15-3 Bronchiectasis in a patient with cystic fibrosis, who underwent lung transplantation. Cut surface of lung shows markedly distended peripheral bronchi filled with mucopurulent secretions. CSBRP-Dec-2012
  • 47.
  • 48.
    Bronchiectasis is seenhere. The repeated episodes of inflammation can result in scarring, which has resulted in fibrous adhesions between the lobes. Fibrous pleural adhesions are common in persons who have had past episodes of inflammation of the lung that involve the pleura. With extensiveCSBRP-Dec-2012 the pleural space may be involvement, obliterated.
  • 49.
  • 50.
  • 51.
  • 52.
    Clinical course:  Cough- severe, persistent  Expectoration - copious, foul smelling  Fever  Dyspnoea  Orthopnea Severe cases  Cyanosis CSBRP-Dec-2012
  • 53.
    Complications of bronchiectasis:  Metastatic abscesses ( brain abscess)  Recurrent pulmonary infection  Right sided cardiac failure [ chronic cor pulmonale ]  Massive haemoptysis  Reactive systemic amyloidosis [ Nephrotic syndrome ] CSBRP-Dec-2012
  • 54.
    E N D CSBRP-Dec-2012
  • 55.
    DYNEIN ARM SCHEMATIC DIAGRAM OF A CILIUM CSBRP-Dec-2012