Inflammation
and Repair - 6

  Dr.CSBR.Prasad, M.D.



       v3-CSBRP-May-2012
Out comes of Acute Inflammation
  May have one of three outcomes:

      1. Complete resolution
      2. Healing by fibrosis
      3. Chronic inflammation



              v3-CSBRP-May-2012
Out comes of Acute Inflammation
May have one of three outcomes:
     1. Complete resolution

Restoration of inflamed tissue to normal
No loss of cells
No architectural loss

Seen when:
Inflammation is short lived
There is little tissue destruction
The tissue can regenerate – eg: liver

It involves:
Removal of cellular debris and microbes by macrophages
      and
Resorption of edema fluid by lymphatics
                      v3-CSBRP-May-2012
v3-CSBRP-May-2012
v3-CSBRP-May-2012
Fulminant fatal acute viral hepatitis
v3-CSBRP-May-2012
Out comes of Acute Inflammation
May have one of three outcomes:
1.    Complete resolution
2. Healing by fibrosis:
It occurs:
     –   When there is substantial tissue loss
     –   When inflammation occurs in tissue incapable of
         regeneration
     –   When there is excessive fibrin exudation which can
         not be cleared

In these conditions connective tissue grows into
     the area of destruction - ORGANIZATION
                            v3-CSBRP-May-2012
Out comes of Acute Inflammation
May have one of three outcomes:
1.  Complete resolution
2.  Healing by fibrosis

3. Chronic inflammation
This occurs when:
• There is persistence of injurious agent
• There is interference with normal healing
    process
Eg: Peptic ulcer, Complicated pneumonia

                        v3-CSBRP-May-2012
v3-CSBRP-May-2012
Morphologic Patterns of Acute
             Inflammation
The morphologic hallmarks of all acute inflammatory
  reactions are:
• dilation of small blood vessels
• slowing of blood flow, and accumulation of leukocytes and
  fluid in the extravascular tissue
• However, special morphologic patterns are often
  superimposed on these general features, depending on the
  severity of the reaction, its specific cause, and the particular
  tissue and site involved
• The importance of recognizing the gross and microscopic
  patterns is that they often provide valuable clues about the
  underlying cause
                          v3-CSBRP-May-2012
Morphologic Patterns of Acute
       Inflammation

    SEROUS INFLAMMATION
    FIBRINOUS INFLAMMATION
    SUPPURATIVE INFLAMMATION
    ULCERATIVE INFLAMMATION



            v3-CSBRP-May-2012
Morphologic Patterns of Acute
          Inflammation
SEROUS INFLAMMATION
• marked by the outpouring of a thin fluid
• The skin blister resulting from a burn or
  viral infection represents a large
  accumulation of serous fluid




                  v3-CSBRP-May-2012
SEROUS INFLAMMATION
                    Catarrh

v3-CSBRP-May-2012
v3-CSBRP-May-2012
Vesicular and Bullous Lesions of Poison Ivy
                v3-CSBRP-May-2012
v3-CSBRP-May-2012
v3-CSBRP-May-2012
Serous inflammation




v3-CSBRP-May-2012
Morphologic Patterns of Acute Inflammation
1.   SEROUS INFLAMMATION
2. FIBRINOUS INFLAMMATION

        A fibrinous exudate develops when:
             Vascular leaks are large or
             Local procoagulant stimulus (e.g., cancer cells)
        Fibrinogen will be converted to fibrin

        Occurs in inflammations involving the body cavities

        Histology of fibrin: Eosinophilic meshwork of threads
         or amorphous coagulum

        Presence of fibrin stimulate the fibroblasts and blood
         vessels resulting in scarring

        Scarring (organization) may result in functional
         impairment eg: cardiac encasemnt
                          v3-CSBRP-May-2012
The typical “bread and butter” appearance of fibrinous pericarditis.
                         v3-CSBRP-May-2012
v3-CSBRP-May-2012
v3-CSBRP-May-2012
Fibrinous inflammation




FIGURE 2-19 Fibrinous pericarditis. A, Deposits of fibrin on the
pericardium. B, A pink meshwork of fibrin exudate (F) overlies the
pericardial surface (P).
                           v3-CSBRP-May-2012
v3-CSBRP-May-2012
Morphologic Patterns of Acute Inflammation
1.   SEROUS INFLAMMATION
2.   FIBRINOUS INFLAMMATION
3. Suppurative inflammation: Abscess

        Characterized by large amounts of PUS:
             PMNs, Necrotic tissue
             Edema fluid
             Bacteria
        Abscess: Localized collections of purulent
         inflammatory tissue

        Histologically:
             Central core of necrotic tissue
             Viable leucocytes at the periphery
             Wall composed of granulation tissue

        Walled off by fibrocollagenous tissue
                          v3-CSBRP-May-2012
v3-CSBRP-May-2012
v3-CSBRP-May-2012
v3-CSBRP-May-2012
Suppurative inflammation




FIGURE 2-20 Purulent inflammation. A, Multiple bacterial
abscesses in the lung, in a case of bronchopneumonia. B, The
abscess contains neutrophils and cellular debris, and is surrounded
by congested blood vessels.v3-CSBRP-May-2012
v3-CSBRP-May-2012
v3-CSBRP-May-2012
Morphologic Patterns of Acute Inflammation
1.   SEROUS INFLAMMATION
2.   FIBRINOUS INFLAMMATION
3.   Suppurative inflammation: Abscess
4. ULCERATIVE INFLAMMATION:

        Def: An ulcer is a discontinuity in the surface epithelial
         lining or tissue due to sloughing of necrotic cells
        Commonly encountered in
             Lining epithelia
             Skin and subcutaneous tissue

        Eg: Peptic ulcer, Ophthus ulcers

        Histologically:
             PMN infiltrates at the margins
             Granulation tissue formation
             Fibrosis with chronicity
                          v3-CSBRP-May-2012
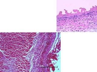
Ulcerative inflammation




FIGURE 2-21 The morphology of an ulcer. A, A chronic duodenal
ulcer. B, Low-power cross-section of a duodenal ulcer crater with an
acute inflammatory exudate in the base.
                          v3-CSBRP-May-2012
v3-CSBRP-May-2012
Gastric ulcer
  v3-CSBRP-May-2012
Gastric
                     ulcer




v3-CSBRP-May-2012
v3-CSBRP-May-2012
v3-CSBRP-May-2012
v3-CSBRP-May-2012
END


v3-CSBRP-May-2012
v3-CSBRP-May-2012

Inflammation 6

  • 1.
    Inflammation and Repair -6 Dr.CSBR.Prasad, M.D. v3-CSBRP-May-2012
  • 2.
    Out comes ofAcute Inflammation May have one of three outcomes: 1. Complete resolution 2. Healing by fibrosis 3. Chronic inflammation v3-CSBRP-May-2012
  • 3.
    Out comes ofAcute Inflammation May have one of three outcomes: 1. Complete resolution Restoration of inflamed tissue to normal No loss of cells No architectural loss Seen when: Inflammation is short lived There is little tissue destruction The tissue can regenerate – eg: liver It involves: Removal of cellular debris and microbes by macrophages and Resorption of edema fluid by lymphatics v3-CSBRP-May-2012
  • 4.
  • 5.
  • 6.
  • 7.
    Out comes ofAcute Inflammation May have one of three outcomes: 1. Complete resolution 2. Healing by fibrosis: It occurs: – When there is substantial tissue loss – When inflammation occurs in tissue incapable of regeneration – When there is excessive fibrin exudation which can not be cleared In these conditions connective tissue grows into the area of destruction - ORGANIZATION v3-CSBRP-May-2012
  • 8.
    Out comes ofAcute Inflammation May have one of three outcomes: 1. Complete resolution 2. Healing by fibrosis 3. Chronic inflammation This occurs when: • There is persistence of injurious agent • There is interference with normal healing process Eg: Peptic ulcer, Complicated pneumonia v3-CSBRP-May-2012
  • 9.
  • 10.
    Morphologic Patterns ofAcute Inflammation The morphologic hallmarks of all acute inflammatory reactions are: • dilation of small blood vessels • slowing of blood flow, and accumulation of leukocytes and fluid in the extravascular tissue • However, special morphologic patterns are often superimposed on these general features, depending on the severity of the reaction, its specific cause, and the particular tissue and site involved • The importance of recognizing the gross and microscopic patterns is that they often provide valuable clues about the underlying cause v3-CSBRP-May-2012
  • 11.
    Morphologic Patterns ofAcute Inflammation  SEROUS INFLAMMATION  FIBRINOUS INFLAMMATION  SUPPURATIVE INFLAMMATION  ULCERATIVE INFLAMMATION v3-CSBRP-May-2012
  • 12.
    Morphologic Patterns ofAcute Inflammation SEROUS INFLAMMATION • marked by the outpouring of a thin fluid • The skin blister resulting from a burn or viral infection represents a large accumulation of serous fluid v3-CSBRP-May-2012
  • 13.
    SEROUS INFLAMMATION Catarrh v3-CSBRP-May-2012
  • 14.
  • 15.
    Vesicular and BullousLesions of Poison Ivy v3-CSBRP-May-2012
  • 16.
  • 17.
  • 18.
  • 19.
    Morphologic Patterns ofAcute Inflammation 1. SEROUS INFLAMMATION 2. FIBRINOUS INFLAMMATION  A fibrinous exudate develops when:  Vascular leaks are large or  Local procoagulant stimulus (e.g., cancer cells)  Fibrinogen will be converted to fibrin  Occurs in inflammations involving the body cavities  Histology of fibrin: Eosinophilic meshwork of threads or amorphous coagulum  Presence of fibrin stimulate the fibroblasts and blood vessels resulting in scarring  Scarring (organization) may result in functional impairment eg: cardiac encasemnt v3-CSBRP-May-2012
  • 20.
    The typical “breadand butter” appearance of fibrinous pericarditis. v3-CSBRP-May-2012
  • 21.
  • 22.
  • 23.
    Fibrinous inflammation FIGURE 2-19Fibrinous pericarditis. A, Deposits of fibrin on the pericardium. B, A pink meshwork of fibrin exudate (F) overlies the pericardial surface (P). v3-CSBRP-May-2012
  • 24.
  • 25.
    Morphologic Patterns ofAcute Inflammation 1. SEROUS INFLAMMATION 2. FIBRINOUS INFLAMMATION 3. Suppurative inflammation: Abscess  Characterized by large amounts of PUS:  PMNs, Necrotic tissue  Edema fluid  Bacteria  Abscess: Localized collections of purulent inflammatory tissue  Histologically:  Central core of necrotic tissue  Viable leucocytes at the periphery  Wall composed of granulation tissue  Walled off by fibrocollagenous tissue v3-CSBRP-May-2012
  • 26.
  • 27.
  • 28.
  • 29.
    Suppurative inflammation FIGURE 2-20Purulent inflammation. A, Multiple bacterial abscesses in the lung, in a case of bronchopneumonia. B, The abscess contains neutrophils and cellular debris, and is surrounded by congested blood vessels.v3-CSBRP-May-2012
  • 30.
  • 31.
  • 32.
    Morphologic Patterns ofAcute Inflammation 1. SEROUS INFLAMMATION 2. FIBRINOUS INFLAMMATION 3. Suppurative inflammation: Abscess 4. ULCERATIVE INFLAMMATION:  Def: An ulcer is a discontinuity in the surface epithelial lining or tissue due to sloughing of necrotic cells  Commonly encountered in  Lining epithelia  Skin and subcutaneous tissue  Eg: Peptic ulcer, Ophthus ulcers  Histologically:  PMN infiltrates at the margins  Granulation tissue formation  Fibrosis with chronicity v3-CSBRP-May-2012
  • 33.
    Ulcerative inflammation FIGURE 2-21The morphology of an ulcer. A, A chronic duodenal ulcer. B, Low-power cross-section of a duodenal ulcer crater with an acute inflammatory exudate in the base. v3-CSBRP-May-2012
  • 34.
  • 35.
    Gastric ulcer v3-CSBRP-May-2012
  • 36.
    Gastric ulcer v3-CSBRP-May-2012
  • 37.
  • 38.
  • 39.
  • 40.
  • 41.