Inflammation
and Repair - 7

  Dr.CSBR.Prasad, M.D.



       v3-CSBRP-May-2012
Out comes of Acute Inflammation
  May have one of three outcomes:

      1. Complete resolution
      2. Healing by fibrosis
      3. Chronic inflammation



              v3-CSBRP-May-2012
Out comes of Acute Inflammation
May have one of three outcomes:
1.  Complete resolution
2.  Healing by fibrosis

3. Chronic inflammation
This occurs when:
• There is persistence of injurious agent
• There is interference with normal healing
    process
Eg: Peptic ulcer, Complicated pneumonia

                        v3-CSBRP-May-2012
v3-CSBRP-May-2012
Chronic Inflammation
• It’s inflammation of prolonged duration
  (weeks or months)
• Here tissue injury, and attempts at repair
  coexist




                  v3-CSBRP-May-2012
Chronic Inflammation


• May follow an acute inflammation or
• May begin insidiously




             v3-CSBRP-May-2012
v3-CSBRP-May-2012
Chronic Inflammation
CAUSES:

1. Persistent infections
     Mycobacteria, viruses, fungi, & parasites
2. Immune-mediated inflammatory diseases
     Autoimmune diseases
     Allergic diseases
3. Prolonged exposure to toxic agents
     Silicosis (Silica)
     Atherosclerosis (Lipid)
                      v3-CSBRP-May-2012
Chronic Inflammation
MORPHOLOGIC FEATURES:

 1.   Mononuclear infiltrates
 2.   Tissue destruction
 3.   Angiogenesis &
 4.   Fibrosis

        Vvvvvvvv
 In acute inflammation:
   1.Vascular changes
         2.Edema
 3.Neutrophilic infiltration
        v3-CSBRP-May-2012
v3-CSBRP-May-2012
Chronic Inflammation
            ROLE OF MACROPHAGES

The macrophage is the dominant cellular player in chronic
    inflammation
Macrophages are one component of the mononuclear
    phagocyte system
The half-life of blood monocytes is about 1 day, whereas
    the life span of tissue macrophages is several months
    or years
Emigrate into extravascular tissues quite early in acute
    inflammation, and within 48 hours
Extravasation is governed by: Adhesion molecules &
    chemical mediators
                      v3-CSBRP-May-2012
Maturation of mononuclear phagocytes
             v3-CSBRP-May-2012
Chronic Inflammation
        ROLE OF MACROPHAGES


Macrophages may be activated by a variety of
  stimuli:

Microbial products binding with TLRs
Cytokines (e.g., IFN-γ) and
other chemical mediators


                 v3-CSBRP-May-2012
Chronic Inflammation
          ROLE OF MACROPHAGES


The products of activated macrophages

1. serve to ELIMINATE injurious agents &
2. to initiate the process of REPAIR
3. responsible for much of the TISSUE INJURY



                  v3-CSBRP-May-2012
Chronic Inflammation
          ROLE OF MACROPHAGES

Activation of macrophages results in:
1. increased levels of lysosomal enzymes
2. reactive oxygen and nitrogen species
3. production of cytokines, growth factors
4. other mediators of inflammation
5. Some of these products are toxic to microbes
   and host cells
6. Cytokines, chemotactic factors
7. Growth factors – PDGF, Angiogenesis
                  v3-CSBRP-May-2012
v3-CSBRP-May-2012
IFN-ɣ
                    IL-4




v3-CSBRP-May-2012
Chronic Inflammation
OTHER CELLS IN CHRONIC INFLAMMATION



          Lymphocytes
          Plasma cells
          Eosinophils &
          Mast cells


             v3-CSBRP-May-2012
Chronic Inflammation
 OTHER CELLS IN CHRONIC INFLAMMATION

Lymphocytes & macrophages interact
  biderectionally:

Lymphocytes: IFNɣ arms MØ
Macrophages: IL12 acts on T-cells


               v3-CSBRP-May-2012
v3-CSBRP-May-2012
Chronic Inflammation
    OTHER CELLS IN CHRONIC INFLAMMATION

Plasma cells:
•   Develop from activated B lymphocytes
•   Produce antibodies
•   Abs may act against persistent foreign or self
    antigens




                     v3-CSBRP-May-2012
Chronic Inflammation
    OTHER CELLS IN CHRONIC INFLAMMATION

Eosinophils:
•   Immune reactions mediated by IgE
•   Parasitic infections
•   Chemokine that recruits EØ is eotaxin
•   Eosinophilic granules that contain major basic protein
•   MBP is toxic to parasites
•   EØs are of beneficial in controlling parasitic infections, but
    they contribute to tissue damage


                         v3-CSBRP-May-2012
Chronic Inflammation
  OTHER CELLS IN CHRONIC INFLAMMATION

Mast cells:
Widely distributed in connective tissues
Participate in acute and chronic inflammations
Mast cell receptor (FcεRI) binds Fc portion of IgE
Degranulation – releases histamine and prostaglandins
Allergic reactions – sometimes fatal - anaphylactic shock
Secrete a plethora of cytokines
Have the ability to both promote and limit inflammatory
    reactions in different situations
                        v3-CSBRP-May-2012
v3-CSBRP-May-2012
GRANULOMATOUS
         INFLAMMATION
• It’s a distinctive pattern of chronic
  inflammation
• Seen in some infectious and noninfectious
  conditions
• It’s an attempt to contain an offending
  agent that is difficult to eradicate


                 v3-CSBRP-May-2012
GRANULOMATOUS
          INFLAMMATION
Infective causes:            Non-Infective causes:
• Tuberculosis               • Sarcoidosis
• Leprosy                    • Berylliosis
• Cat-scratch disease        • Reactions to irritant
• LGV                          lipids
• Brucellosis                • Autoimmune diseases
• Syphilis                   • Crohn’s disease
• Mycotic infections

                   v3-CSBRP-May-2012
Granuloma
Def: A granuloma is a focus of chronic
 inflammation consisting of a microscopic
 aggregation of macrophages that are
 transformed into epithelium-like cells,
 surrounded by a collar of mononuclear
 leukocytes, principally lymphocytes and
 occasionally plasma cells.



                 v3-CSBRP-May-2012
Granuloma
Components:

Epithelioid cells: have a pale pink granular
  cytoplasm with indistinct cell boundaries, often
  appearing to merge into one another. The
  nucleus is oval or elongate, and may show
  folding of the nuclear membrane (boomarang)
Giant cells: Epithelioid cells fuse to form giant cells
  in the periphery or sometimes in the center of
  granulomas. - Langhans-type giant cell / foreign
  body–type giant cell
Older granulomas develop an enclosing rim of
  fibroblasts and connective tissue
                     v3-CSBRP-May-2012
Granuloma
Types:

There are two types of granulomas, which
   differ in their pathogenesis:

1. Foreign body granulomas Eg: Silica
2. Immune granulomas Eg: TB


                v3-CSBRP-May-2012
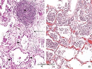
Granuloma




   v3-CSBRP-May-2012
v3-CSBRP-May-2012
Caseating granuloma of TB
Non-caseating granulomas of sarcoidosis
               v3-CSBRP-May-2012
Silica granulomas – under polarized light
              v3-CSBRP-May-2012
v3-CSBRP-May-2012
Lipid granulomas
END


v3-CSBRP-May-2012
v3-CSBRP-May-2012

Inflammation 7

  • 1.
    Inflammation and Repair -7 Dr.CSBR.Prasad, M.D. v3-CSBRP-May-2012
  • 2.
    Out comes ofAcute Inflammation May have one of three outcomes: 1. Complete resolution 2. Healing by fibrosis 3. Chronic inflammation v3-CSBRP-May-2012
  • 3.
    Out comes ofAcute Inflammation May have one of three outcomes: 1. Complete resolution 2. Healing by fibrosis 3. Chronic inflammation This occurs when: • There is persistence of injurious agent • There is interference with normal healing process Eg: Peptic ulcer, Complicated pneumonia v3-CSBRP-May-2012
  • 4.
  • 5.
    Chronic Inflammation • It’sinflammation of prolonged duration (weeks or months) • Here tissue injury, and attempts at repair coexist v3-CSBRP-May-2012
  • 6.
    Chronic Inflammation • Mayfollow an acute inflammation or • May begin insidiously v3-CSBRP-May-2012
  • 7.
  • 8.
    Chronic Inflammation CAUSES: 1. Persistentinfections  Mycobacteria, viruses, fungi, & parasites 2. Immune-mediated inflammatory diseases  Autoimmune diseases  Allergic diseases 3. Prolonged exposure to toxic agents  Silicosis (Silica)  Atherosclerosis (Lipid) v3-CSBRP-May-2012
  • 9.
    Chronic Inflammation MORPHOLOGIC FEATURES: 1. Mononuclear infiltrates 2. Tissue destruction 3. Angiogenesis & 4. Fibrosis Vvvvvvvv In acute inflammation: 1.Vascular changes 2.Edema 3.Neutrophilic infiltration v3-CSBRP-May-2012
  • 10.
  • 11.
    Chronic Inflammation ROLE OF MACROPHAGES The macrophage is the dominant cellular player in chronic inflammation Macrophages are one component of the mononuclear phagocyte system The half-life of blood monocytes is about 1 day, whereas the life span of tissue macrophages is several months or years Emigrate into extravascular tissues quite early in acute inflammation, and within 48 hours Extravasation is governed by: Adhesion molecules & chemical mediators v3-CSBRP-May-2012
  • 12.
    Maturation of mononuclearphagocytes v3-CSBRP-May-2012
  • 13.
    Chronic Inflammation ROLE OF MACROPHAGES Macrophages may be activated by a variety of stimuli: Microbial products binding with TLRs Cytokines (e.g., IFN-γ) and other chemical mediators v3-CSBRP-May-2012
  • 14.
    Chronic Inflammation ROLE OF MACROPHAGES The products of activated macrophages 1. serve to ELIMINATE injurious agents & 2. to initiate the process of REPAIR 3. responsible for much of the TISSUE INJURY v3-CSBRP-May-2012
  • 15.
    Chronic Inflammation ROLE OF MACROPHAGES Activation of macrophages results in: 1. increased levels of lysosomal enzymes 2. reactive oxygen and nitrogen species 3. production of cytokines, growth factors 4. other mediators of inflammation 5. Some of these products are toxic to microbes and host cells 6. Cytokines, chemotactic factors 7. Growth factors – PDGF, Angiogenesis v3-CSBRP-May-2012
  • 16.
  • 17.
    IFN-ɣ IL-4 v3-CSBRP-May-2012
  • 18.
    Chronic Inflammation OTHER CELLSIN CHRONIC INFLAMMATION Lymphocytes Plasma cells Eosinophils & Mast cells v3-CSBRP-May-2012
  • 19.
    Chronic Inflammation OTHERCELLS IN CHRONIC INFLAMMATION Lymphocytes & macrophages interact biderectionally: Lymphocytes: IFNɣ arms MØ Macrophages: IL12 acts on T-cells v3-CSBRP-May-2012
  • 20.
  • 21.
    Chronic Inflammation OTHER CELLS IN CHRONIC INFLAMMATION Plasma cells: • Develop from activated B lymphocytes • Produce antibodies • Abs may act against persistent foreign or self antigens v3-CSBRP-May-2012
  • 22.
    Chronic Inflammation OTHER CELLS IN CHRONIC INFLAMMATION Eosinophils: • Immune reactions mediated by IgE • Parasitic infections • Chemokine that recruits EØ is eotaxin • Eosinophilic granules that contain major basic protein • MBP is toxic to parasites • EØs are of beneficial in controlling parasitic infections, but they contribute to tissue damage v3-CSBRP-May-2012
  • 23.
    Chronic Inflammation OTHER CELLS IN CHRONIC INFLAMMATION Mast cells: Widely distributed in connective tissues Participate in acute and chronic inflammations Mast cell receptor (FcεRI) binds Fc portion of IgE Degranulation – releases histamine and prostaglandins Allergic reactions – sometimes fatal - anaphylactic shock Secrete a plethora of cytokines Have the ability to both promote and limit inflammatory reactions in different situations v3-CSBRP-May-2012
  • 24.
  • 25.
    GRANULOMATOUS INFLAMMATION • It’s a distinctive pattern of chronic inflammation • Seen in some infectious and noninfectious conditions • It’s an attempt to contain an offending agent that is difficult to eradicate v3-CSBRP-May-2012
  • 26.
    GRANULOMATOUS INFLAMMATION Infective causes: Non-Infective causes: • Tuberculosis • Sarcoidosis • Leprosy • Berylliosis • Cat-scratch disease • Reactions to irritant • LGV lipids • Brucellosis • Autoimmune diseases • Syphilis • Crohn’s disease • Mycotic infections v3-CSBRP-May-2012
  • 27.
    Granuloma Def: A granulomais a focus of chronic inflammation consisting of a microscopic aggregation of macrophages that are transformed into epithelium-like cells, surrounded by a collar of mononuclear leukocytes, principally lymphocytes and occasionally plasma cells. v3-CSBRP-May-2012
  • 28.
    Granuloma Components: Epithelioid cells: havea pale pink granular cytoplasm with indistinct cell boundaries, often appearing to merge into one another. The nucleus is oval or elongate, and may show folding of the nuclear membrane (boomarang) Giant cells: Epithelioid cells fuse to form giant cells in the periphery or sometimes in the center of granulomas. - Langhans-type giant cell / foreign body–type giant cell Older granulomas develop an enclosing rim of fibroblasts and connective tissue v3-CSBRP-May-2012
  • 29.
    Granuloma Types: There are twotypes of granulomas, which differ in their pathogenesis: 1. Foreign body granulomas Eg: Silica 2. Immune granulomas Eg: TB v3-CSBRP-May-2012
  • 30.
    Granuloma v3-CSBRP-May-2012
  • 31.
  • 32.
    Non-caseating granulomas ofsarcoidosis v3-CSBRP-May-2012
  • 33.
    Silica granulomas –under polarized light v3-CSBRP-May-2012
  • 34.
  • 35.
  • 36.