Respiratory Diseases
Bhawna
Introduction
• Respiratory diseases can be broadly divided into
obstructive and restrictive. However, but most
patient have components of both.
• Obstructive diseases include conditions in which
there is a resistance to airflow either through
reversible factors or through irreversible factors.
• Restrictive diseases are characterized by reduced
lung compliance leading to the loss of lung
volume.
Introduction About Respiratory Tract
• Respiration means breathing. In this you will learn
about the respiratory tract, also called the
respiratory system.
• This is the passage that air goes through as we
breathe in and out.
• The respiratory tract contains these important parts:
The Upper Respiratory Tract
• Nose—warms the air breathed and filters out bacteria
and debris. Nasal breathing is important for best lung
function.
• Sinuses—cavities (holes) in the skull. They connect to the
nasal passage and are lined with nasal tissue.
• Pharynx—passageway that conducts air from the nose to
the voice box. The pharynx also conducts food from the
mouth to the esophagus, the tube that leads to the
stomach.
• Epiglottis—flap that covers the entrance to the voice box
when we swallow. It prevents food and liquids from
getting into the lungs.
• Larynx—the voice box, located between the pharynx and
the windpipe (trachea).
• Trachea—windpipe. This is the airway connecting the
larynx to the tubes leading to the lungs (bronchi).
The Lower Respiratory Tract
• Bronchi—two tubes that lead from the trachea to
the lungs. The bronchi divide into many smaller
airways, called bronchioles.
• Lungs—pair of large spongy organs that take
oxygen out of the air we breathe and exchange it
for carbon dioxide in our blood.
• Alveoli—millions of tiny air sacs in the lungs,
surrounded by tiny blood vessels called
capillaries. This is where the exchange of
oxygen and carbon dioxide takes place. These
sacs look like bunches of grapes.
• Pleura—a membrane that covers the lungs and
helps them move freely.
Upper Respiratory Infections
• Influenza (Flu) - Influenza is a highly contagious
infection of the upper respiratory tract. It is
caused by a virus and spreads easily through
coughing and sneezing. Influenza can lead to
pneumonia and death, and is responsible for
epidemics that occur almost every winter.
Introduction
• COPD also known as chronic obstructive
pulmonary disease, chronic obstructive airway
disease (COAD), chronic obstructive lung
disease (COLD), chronic airflow limitation
disease (CALD) and chronic obstructive
respiratory disease (CORD).
• COPD is the internationally preferred term
encompassing chronic bronchitis, emphysema
and some cases of bronchial asthma.
Emphysema
• Emphysema occurs when some of the air sacs
deep in the lungs are damaged, often because
of long-term infection and irritation. When lung
tissue is damaged, the airways collapse,
trapping stale air and blocking intake of fresh air.
• The lungs try to take in more air and become
over-inflated and stretched out, gradually getting
so big they completely fill the chest cavity.
• Many with severe emphysema develop a barrel
shaped chest because of this.
• Emphysema – an anatomical defined condition
characterized by abnormal and permanent
enlargement of the airspaces distal to the
terminal bronchioles.
Chronic Bronchitis
• Chronic bronchitis is defined in terms of sputum
production and just reflects mucus
hypersecretion in the airways.
• Bronchitis is an inflammation of the bronchi.
• In chronic bronchitis the airways become
narrow, scarred, and partly clogged with mucus,
making it difficult to breathe.
Risk factors
 Environmental factors
• Cigarette smoking
• Second hand smoke
• Indoor pollutions.
• Cooking with biomass fuel
• Toxic industrial inhalants (coal dust, silica)
• Respiratory infection
• Lung growth
• Cannabis smoking
 Host factors
• Genetic factors
• Airway hyper - responsiveness
Incidence
• Age – middle and late adult life
• Gender – more common in males more than in
females.
• More common in smokers than in non –
smokers.
• More often develops in urban than in rural
dwellers.
Clinical features
• Cough – initially, the cough is present in winter
seasons which shows a steady increase in
severity and duration.
• Sputum production – scanty, mucoid and more
in the morning. It may be occasionally blood
stained.
• Exertional dyspnea – shortness of breath.
• Breathless severity can be assessed by the
modified MRC dyspnea scale.
Other symptoms
• Over weight
• Rhonchi
• Forced expiratory time >4 sec.
• Exercise intolerance – 6 minutes walk test
• C:UsersAdministratorDesktopmdrespirato
ryThe Six-Minute Walk Test- Why and How --
BAVLS.mp4
Investigations
• Radiological examination – chest X- ray, CT
scan.
• Pulmonary function test
• Arterial blood gases study
• Lung volumes
• Exercise testing – 6 minutes walk test
• Blood – hemoglobin increased, α1-
antiproteinase deficiency
Management
• Weight loss if patient obese
• Regular exercise and management of nutrional
status.
• Smoking cessation
• Reduce smoke
• Treatment of respiratory infection
• Drug therapy – bronchodilators (β2-adrenergic
agonists, anticholinergic drugs, corticosteroids)
• Oxygen therapy
• Physiotherapy
Definition
• Asthma is defined as a chronic inflammatory
disorder of the airways, characterized by
reversible airflow obstruction causing cough,
wheeze, chest tightness and shortness of breath.
• The severity of the narrowing varies over short
period and is reversible either spontaneously or
as a result of treatment.
Characteristics Of Asthma
1. Airflow narrowing
• It is due to combination of muscle edema and
viscid bronchial secretion.
• It is generally reversible spontaneously or with
treatment.
2. Airway hyper–reactivity
• It is characterized by increased tendency for
airways to narrowing response to triggers that
have little or no effect in normal individuals.
3. Bronchial inflammation
• Inflammation of the bronchial walls by T
lymphocytes, mast cells, eosinophils with
associated plasma exudation, edema, smooth
muscle hypertrophy, mucus plugging and
epithelial damage.
Classification
1. Early onset asthma/Atopic asthma/Extrinsic
asthma
2. Late onset asthma/Non-atopic
asthma/Intrinsic asthma
Early onset asthma/Atopic asthma/
Extrinsic asthma
• Early age usually begins in childhood
• Atopic (allergic) individuals
• External allergens have strong role
• Positive family history of allergic disease eg.
Eczema, urticaria, hay fever
• Triggering events are environment allergens
eg. Dusts, pollens, animal dander and foods
• Serum level of IgE is increased
• Skin hypersensitive test to common inhalant
allergens are positive.
• Response to provocation tests is positive.
Eczema
Urticaria
Hay fever
Late onset asthma/Non-atopic
asthma/Intrinsic asthma
• Onset in late age
• Non-atopic individuals
• No role of external allergens
• Less common or absent family history
• Respiratory infection due to viruses
eg. Rhinovirus, parainfluenza virus
• Inhaled air pollutants ( eg. Smoke, fumes)
• Serum level of IgE normal
• Skin hypersensitive test to common inhalant
allergens are negative.
• Response to provocation tests is negative.
Clinical features
• Bronchial asthma may be either episodic or
chronic.
• There is a tendency for atopic individuals to
develop episodic asthma and non-atopic
individuals chronic asthma.
Episodic asthma
• No respiratory symptoms or signs between
episodes of asthma
• Frequency and duration are vary
• Present with relatively sudden onset of paroysms
of wheezing and dyspnea.
• paroxysm definition: a sudden and powerful
expression of strong feeling, especially which
cannot control.
• May develop spontaneous or triggered by
allergens, exercise or viral infection.
• Mild to severe and may last for hours, days or
even weeks.
Severe acute asthma
• Most severe form of asthma
• Presents with severe dyspnea and unproductive
cough.
• Severe acute asthma term has replaced status
asthmatics – life threatening attacks of asthma.
• Physical signs include sweating, central cyanosis,
tachycardia and pulsus paradoxus.
• Pulsus paradoxus, sometimes called
paradoxic pulse, refers to a blood pressure
drop of at least 10 mm Hg with each breath
in.
• May causes severe airflow obstruction leading to
severe cyanosis and even death.
Chronic asthma
• Chest tightness
• Wheeze
• Breathlessness on exertion
• Symptoms worst during night
• Chronic productive cough with mucoid sputum
• Patients prone to repeated attacks of severe
acute asthma.
• Severe asthma persisting from childhood may
cause a pigeon chest deformity.
Investigation – clinical and based on
characterized history
• Pulmonary function test
• Peek expiratory flow rate (PEFR)
• Carbon monoxide transfer test – increased
asthma
• Exercise tests – used in the diagnosis of asthma
in children
• Radiological examination – chest X-ray, CT scan
• Skin prick tests – intradermal injections (+ in
extrinsic asthma)
• Arterial blood gas analysis - hypoxia
Management
• Avoid identified aggravating factors
• Control of risk factors
• Drug therapy – bronchodilators, systemic
corticosteroids
• Oxygen therapy
• Bronchodilators – β2-adrenoceptor, salbutamol,
terbutaline.
• systemic corticosteroids – intravenous
hydrocortisone or prednisolone.
Introduction
• Acute respiratory illness
• Either segmental or affecting more than one lobe
• Pneumonia defined as inflammation with
exudative solidification of the lung parenchyma.
• Lung parenchyma is the portion of
the lung involved in gas transfer - the alveoli,
alveolar ducts and respiratory bronchioles.
Classification of pneumonia
1. Classification depending on the anatomic
distribution
2. Etiological classification
3. Clinical setting in which the infection occurs
Classification depending on the
anatomic distribution
1. Lobar pneumonia/ alveolar or air space
pneumonia eg. pneumococcal pneumonia
2. Bronchopneumonia eg. Staphylococcal
pneumonia
3. Interstitial pneumonia eg. Mycoplasma
pneumonia
Etiological classification
1. Primary pneumonia – caused by specific
pathogenic organism and there is no pre-
existing abnormality of the respiratory system.
2. Secondary pneumonia – including aspiration
pneumonia
3. Suppurative pneumonia
Clinical setting in which the infection
occurs
1. Community acquired pneumonia
2. Nosocomial pneumonia or hospital acquired
pneumonia
3. Pneumonia in immuno compromised host
4. Health care associated pneumonia
It is defined as an acute inflammatory infection in a patient who
is not hospitalised.
Community-Acquired pneumonia
• Affects all ages
• Most cases are spread by droplet infection
• Upper respiratory tract infections
• Cigarette smoking
• Alcohol
• Corticosteroid therapy
• Indoor air pollution
• Streptococcus pneumonia is the most common
cause
• Causative agents in CAP- bacteria, fungi, viruses and
protozoa
Clinical features
• Fever
• Rigors
• Shivering
• Malaise (discomfort or uneaseness)
• Chest pain
• Cough – short, dry, painful
• Breathlessness
• Appetite is lost
• Headache
• fatigue
Investigation
• Radiological examination
• Microbiological investigation
• Arterial blood gas measurements
• General blood test
Radiological examination
• Chest x-ray: An x-ray exam will allow your doctor to
see your lungs, heart and blood vessels to help
determine if you have pneumonia
• CT of the lungs: A CT scan of the chest may be done
to see finer details within the lungs and detect
pneumonia that may be more difficult to see on a
plain x-ray.
• MRI of the chest: MRI is not generally used to
evaluate for pneumonia but may be used to look at
the heart, vessels of the chest and chest wall
structures.
Microbiological investigation
• Sputum
• Blood culture
• Throat/ nasopharyngeal swabs
• Pleural fluid investigation
Management
• Oxygen therapy
• Antibiotic therapy
• Treatment of pleural pain – paracetamol or
pethidine or morphine
• Physiotherapy – administration of analgesic
drugs should be coordinated with this fporm of
physiotherapy to op.timize cooperation
Antibiotic therapy
• Amoxycillin 500 mg 8 hourly orally
• If patient allergic to penicillin – clarthromycin
500 mg 12 hourly orally, erythromycin 500mg 6
hourly orally
Hospital – acquired pneumonias are pulmonary infections
acquired in the course of a hospital stay (development of
pneumonia after more than 48 hours of hospitalization)
Etiology
• The organism causing HAP are different from those
causing CAP.
• Risk factors for nosocomial pneumonia
1. Severe underlying disease
2. Malnutrition
3. Uremia
4. Alcoholism
5. Cigarette smoking
6. Immunosuppression
7. Increasing age
8. Nasogastric tube
9. Endotracheal tube
10. Decreased level of consciousness
11. Decreased gastric acidity
12. Upper abdominal surgery
Ventilator associated Pneumonia (VAP)
• It is a subcategory of nasocomial pneumonia
that occurs in patients who have been on
ventilator support for any reason.
• Risk factors for VAP
1. Re-intubation
2. Supine positioning
3. Enteral nutriton
4. Heavy sedation
5. Paralytic agents
6. H2 antagonists and antacids
Enteral nutriton
• Enteral nutrition generally refers to any
method of feeding that uses the gastrointestinal
(GI) tract to deliver part or all of a person's
caloric requirements.
• It can include a normal oral diet, the use of
liquid supplements or delivery of part or all of
the daily requirements by use of a tube
(tube feeding).
Clinical features
• The diagnosis should be considered in any
hospitalized or ventilated patient who develops
1. Purulent sputum
2. Rise in temperature
3. Breathlessness
4. Central cyanosis
5. Unexplained increase in oxygen requirement
6. leukopenia
Investigation
• Blood culture
• Microbiological confirmation
• Full blood count
• Urea and electrolyte test
• ESR
• C – reactive protein (CRP)
• Arterial blood gas analysis
• Chest X ray
C – reactive protein (CRP)
• A c-reactive protein test checks for
inflammation in the body.
• The C-reactive protein (CRP) test measures the
concentration of CRP, a protein that's produced
in your liver, in your blood
Management
• Aspiration pneumonia can be treated with co-
amoxiclav 1.2 gm 8 hourly plus metronidazole
500 mg 8 hourly
• Adequate oxygen therapy
• Physiotherapy is of particular importance in the
immobile and elderly patients
• Fluid support
• Monitoring
• Mortality from HAP is high
Definition
• Bronchiectasis is defined as an irreversible
(permanent), abnormal dilation of the cartilage -
containing airways bronchi and brpnchioles.
Aetiology and pathogenesis
• Abnormal dilatation of the bronchi and
bronchioles
• Destruction of the muscle and elastic tissue of
bronchial wall
• It may be acquired or less commonly congenital
• Bronchiectosis is usually secondary to sever
bacterial infection in childhood, as a
complication of whooping cough and measles.
• Secretion leads to mechanical obstruction
• Obstruction impairs clearing mechanism of lung
• Results in accumulation of secretions distal to
the obstruction
• Leads to secondary infection
• Inflammation
• Weakness and dilates airway.
Classification
• According to the shape of the bronchial dilation
• According to the extent of involvement
• According to the underlying disease
According to the shape of the bronchial
dilation (Reid’s classification)
1. Tubular (cylindrical) characterized by smooth
dilation of the bronchi
2. Varicose (bulbous) in which bronchi are
dilated with multiple indentations
3. Cystic (saccular/balloon appearance) in which
dilated bronchi terminate in blind ending sacs.
According to the extent of
involvement
1. Diffuse (generalized) bronchiectasis
2. Focal (local) bronchiectasis
According to the underlying disease
1. Congenital / aquired
2. Cystic fibrosis
3. Associated with post fibrosis- traction
bronchiectasis
4. Without much expectorant- dry bronchiectasis
Clinical features
• Sever persistent (chronic) productive cough
1. Most common symptoms
2. Cough is chronic, daily and persistent
• Foul smelling thick sputum
• Hemoptysis
• Chest pain (pleuritic)
• Increased sputum volumes with fever, malaise
Physical findings
• Anemia
• Fever
• Weight loss
• Night sweat
• Weakness
• Crackles and wheezing sound
Investigation
• Blood
1. Anemia
2. Raised ESR
• Sputum examination –
1. Bacteriological and mycological examination of
sputum
2. Three layered – top mucoid, middle mucopurulent
and purulent layer at the bottom
• Chest radiography
• CT scan
• Assessment of ciliary function test
• Pulmonary function test
Management
• Postural drainage
• Antibiotic therapy
• Surgical treatment
Definitions
• Pleural effusion- excessive accumulation of
fluid in the pleural space
1. Unilateral or bilateral
2. Bilateral effusions often occurs in cardiac failure
• Empyema – accumulation of purulent fluid
(frank pus) with in pleural cavity
1. Neutrophil leucocytes are present in large
number
2. Almost unilateral
Types of Pleural effusion
1. Transudative pleural effusions - is caused
by fluid leaking into the pleural space.
2. Exudative pleural effusion - is caused by
blocked blood vessels or lymph vessels,
inflammation, lung injury, and tumors
Transudative pleural effusions
• Congestive heart failure
• Cirrhosis - chronic disease of the liver
• Nephrotic syndrome
• Kidney failure
• Myxoedema- swelling of the skin and underlying
tissues
• Hypoalbuminemia
• Atelectasis - partial collapse or incomplete
inflation of the lung.
• Sarcoidosis - enlargement of lymph nodes in
many parts of the body
• Pulmonary embolism
Exudative pleural effusion
• Neoplastic diseases
• Metastatic diseases
• Mesothelioma
• Lymphoma
• Infectious diseases
• Bacterial infections
• Tuberculosis
• Fungal infections
• Parasitic infections
• Viral infections
Clinical features
• Pain on inspiration and coughing (symptoms)
• Pleurisy ( pleural rub) (signs)
• Breathlessness – its severity depends on the size
and rate of accumulation of fluid.
Physical findings in the chest
• Inspection – tachypnea (shift of trachea to
opposite side)
• Palpation
1. Reduced chest movements
2. Diminished chest expansion
3. Reduced vocal fremitus
• Percussion - Stony dullness
• Auscultations –
1. Breath sounds – diminished or absent over the
fluid
2. Crackles
Investigations
• Chest X-ray
• Ct scan
• Ultrasonography
• Fluid analysis
• Pleural aspiration
Management
• Treatment of underlying causes – heart failure,
pneumonia, pulmonary embolism etc.
• Prevent pleural thickening
• Drainage
• Necessary to relieve breathlessness
Empyema
• Empyema thoracic is defined as collection of pus
in the pleural space
• It usually involves whole pleural space and
unilateral
• If only a part of the pleural space is involved, it is
termed encysted or loculated empyema
Etiology
• Spread of infection from neighboring structure
• Direct infection from external source – eg
penetrating chest injury, chest tube placement,
thoracic surgery
Clinical features
• High grade and remittent fever (pyrexia)
• Sweating
• Weight loss
• Malaise
• Breathlessness
• Cough
• Copious purulent sputum
Investigation
• Radiological examination
• Aspiration of pus –
1. Numerous polymorphonuclear leuckocytes
2. Identify causative organism
• Bacteriological examination of pus
Management
• Treatment of non tuberculous empyema
• Acute
1. Antibiotics
2. Drainage of pus
1. Aspiration – aspiration of the fluid with a wide
bore needle is attempted
2. Tube drainage
3. Limited thoracotomy – if tube drainage fails or pus
is thick or loculated limited thoracotomy is
performed.
• Chronic
1. Surgery
2. Surgery is also required if a bronchopleural
fistula develops
• Tuberculous empyema
1. Antituberculous chemotherapy
2. Repeated aspiration – through a wide bore
needle or tube drainage
3. Rarely , surgical treatment may be required
Definition
• Presence of air/gas in the pleural cavity/space is
known as pneumothorax.
• Pneumothorax may be localized or generalized.
Classification
1. Spontaneous
1. Primary/simple spontaneous pneumothorax
2. Secondary spontaneous pneumothorax
2. Traumatic
1. Iatrogenic
2. Noniatrogenic
Primary/simple spontaneous
pneumothorax
• Occurs in individual without any underlying
lung disease
• Occurs between the age group of 20 – 40
• Risk factors – smoking, tall stature and familial
• Both lungs are affected with equal frequency
Secondary spontaneous pneumothorax
• Presence of an underlying lung disease
• Most common causes are COPD and cavitary
pulmonary active tuberculosis
• Other causes – bronchial asthma, cystic fibrosis,
pneumonia.
Iatrogenic traumatic pneumothorax
• These includes-
1. Transthoracic and transbronchial needle
aspiration/biopsy
2. Subclavian vessel puncture
3. Thoracocentasis
4. Plueral biopsy
5. Mechanical ventilation
Non-iatrogenic traumatic pneumothorax
• Blunt and penetrating injuries to chest wall,
bronchi, lung or esophagus.
Clinical features
• A small pneumothorax may be asymptomatic
without any abnormal physical sign in the chest
• Most common symptoms –
1. Sudden onset pleuritic chest pain
2. Breathlessness (dyspnea)
3. Cyanosis
4. Tachycardia
Physical signs
• General examination – patient will be
1. Cyanosed
2. Tachypnea
3. Hypotension
• Inspection and palpation –
1. Trachea shift to opposite side
2. Fullness of chest
3. Diminished chest movement
4. Diminished vocal fremitus
• Percussion – hyper-resonant note over affected
hemithorax
Auscultation
• On the affected side – diminished or absent of
breath sound, absence of adventitious sound
Investigation
• X-ray –
1. Mediastinal shift
2. Absence of bronchovascular marking (lung
marking)
3. Reveal the Presence or absence of pleural fluid
• CT scan – recommended only in difficult cases
Types of spontaneous pneumothorax
• Closed spontaneous pneumothorax
1. Pleural tear is sealed
2. Pleural cavity pressure is less than atmospheric
pressure
3. Infection of pleural cavity is uncommon
4. Trapped air is slowly and spontaneously
reabsorbed
5. Breathlessness
• Open spontaneous pneumothorax-
1. Pleural tear is open
2. Pleural cavity pressure is = to the atmospheric
pressure
3. Bronchopleural fistula
4. Brethlessness
5. Infection of pleural space
6. Fever
7. Hydropneumothorax physical sign is present
• Tension spontaneous pneumothorax –
1. Pleural tear act as a ball and valve mechanism
2. Pleural cavity pressure is more than atmospheric
pressure
3. Progressive breathlessness
4. Central cyanosis
5. Peripheral circulatory failure
Treatment
• Goals
1. To promote lung expansion
2. Eliminate pathogenesis
3. Decrease recurrence of pneumothorax
• Hospitalization and observation
• Intercostal tube and under water seal drainage
Cystic fibrosis
• CF is a fatal multisystem genetic disorder
because of abnormal ion transport function
causing inability to adequately hydrate mucus.
• The precise incidence of CF among Indians is
unknown
• Most patients present in infancy
Pathogenesis
• It is transmitted as an autosomal recessive
disorder
• Characterized by mutation in a gene on the long
arm of chromosome 7
• The basic defect in CF is a mutation in the cystic
fibrosis transmembrane conductance regulator
(CFTR) gene that regulates chloride conductance
channel
Clinical features
• Recurrent lower respiratory tract infection
• Pulmonary manifestation occur
• Chronic lung disease
• Bronchiectasis
• Pancreatic insufficiency is present in more than
85% of CF patients
• Malabsorption
Diagnosis
• Diagnosis is confirmed by the demonstration of
a high sweat chloride on repeated measurement.
Management
• The treatment of CF in children includes
1. Respiratory management
2. Nutrional care
3. Anticipation
4. Early diagnosis of liver disease
5. Early diagnosis of diabetes
6. Early diagnosis of other organ dysfunction
Respiratory management
• Airway clearance techniques – postural
drainage, chest clapping for infant and children
• Flutter therapy
• Mucolytic agents – N-acetyl cystein breaks the
sulphydryl bonds of the mucous glycoprotein
thereby reducing the viscosity of airway
secretions
• Antibiotic therapy – ceftazidime, cefoperazone,
piperacillin and bronchodilator and inhalation
steroid therapy is required.
Flutter therapy
• The flutter is a respiratory device that produces
an oscillatory positive expiratory pressure that
can be used as an alternative for removal of
secretions.
• The device has demonstrated its beneficial effect
on removal of secretions increasing the volume
of expectoration and a decrease in the viscosity
of secretions, increasing in vitro transport of
secretions from cystic fibrosis and
bronchiectasis patients
Definition
• Lung abscess is defined as a severe, local
suppurative process within the lung associated
with cavity formation.
• It is characterized by necrotic area of lung
parenchyma containing pus accompanied by th
destruction of lung tissues
Necrotizing pneumonia
• Often used to described similar pathologic process
with multiple small (less than 2 cm) cavities in
contiguous are as of the lung.
• In children, necrotizing pneumonia (NP) is an
uncommon, severe complication of pneumonia.
• It is characterized by destruction of the underlying
lung parenchyma resulting in multiple small, thin-
walled cavities and is often accompanied by
empyema and bronchopleural fistulae.
Classification
• Duration of symptoms – prior to diagnosis
1. Acute more than 1 month
2. Chronic more than 1 month
• Primary and secondary
Primary cryptogenic lung abscesses
• This type of lung abscess has no apparent cause
and most of them develop as consequence of
aspiration of infected material.
• Aspiration of infected material
• Aspiration of gastric content
Secondary lung abscess
• Develops as a complication of several conditions.
• Complications of necrotizing pneumonia
• Pulmonary tuberculosis
• Septic embolism
• Bronchial obstruction
Etiology
• Infectious causes – any pathogens can produce
lung abscess
• Noninfectious causes
Noninfectious causes
• Neoplasm
• Pulmonary infarction
• Septic embolism
• Vasculitis
• Airway disease
• other
Infectious causes
• Bacteria
• Fungi
• Parasites
Clinical features of a lung abscess
• The most noticeable symptom of a lung abscess is a productive
cough.
• The contents that are coughed up may be bloody or pus-like, with a
foul odor.
• bad breath
• chest pain
• shortness of breath
• sweating or night sweats
• Loss of appetite and weight loss
• Fatigue
• Fever and chills (fever of 101°F or higher)
• Being sick for several weeks or months
• Rapid heart rate
• General feeling of poor health
• Deep cough that may produce foul-tasting or bloody sputum
• Clubbing of the fingers
• Bluish discoloration of the skin
Physical findings
• Respiratory system examination
1. Early stages may be normal
2. Later – sign of consolidation, sign of cavitation
• sign of consolidation - dullness on percussion,
increased vocal fremitis, plueral rub
Investigation
• Blood – normocytic anemia
• Chest X ray – the wall of abscess cavity
completely surrounds the radiolucent area
• CT scan of thorax shows lung abscess
• Bronchoscopy – to exclude malignancy, to
obtain specimens for studies and removal of
secretion
Possible complications
• Empyema. This is a large collection of infected
fluid around the lung that occurs where the abscess
is. It can be life-threatening and requires immediate
medical attention so it can be removed.
• Bronchopleural fistula. This is when a
connection develops between a large airway inside
your lung and the space in the lining around the
outside of your lung. It’s corrected through a scope
or surgery.
• Bleeding from your lung or chest wall. This
can be a small amount of blood or a lot of blood,
which is life-threatening.
• Infection spreading to other parts of the
body. If the infection leaves your lung, it can then
produce abscesses in other parts of your body
including your brain.
Treatment
• Postural drainage and chest physiotherapy
• Antibiotic therapy – choice of drug depends on
culture and sensitivity result.
• Oral treatment – ampicillin 500 mg four times
daily
• Duration of antibiotic therapy – usually given
for 4 – 6 weeks
• Large lung abscess – pigtail catheters may be
useful
• Resectional surgery – lobectomy or
pneumonectomy (more than 8 cm)
Respiratory diseases
Respiratory diseases

Respiratory diseases

  • 1.
  • 2.
    Introduction • Respiratory diseasescan be broadly divided into obstructive and restrictive. However, but most patient have components of both. • Obstructive diseases include conditions in which there is a resistance to airflow either through reversible factors or through irreversible factors. • Restrictive diseases are characterized by reduced lung compliance leading to the loss of lung volume.
  • 3.
    Introduction About RespiratoryTract • Respiration means breathing. In this you will learn about the respiratory tract, also called the respiratory system. • This is the passage that air goes through as we breathe in and out. • The respiratory tract contains these important parts:
  • 4.
    The Upper RespiratoryTract • Nose—warms the air breathed and filters out bacteria and debris. Nasal breathing is important for best lung function. • Sinuses—cavities (holes) in the skull. They connect to the nasal passage and are lined with nasal tissue. • Pharynx—passageway that conducts air from the nose to the voice box. The pharynx also conducts food from the mouth to the esophagus, the tube that leads to the stomach. • Epiglottis—flap that covers the entrance to the voice box when we swallow. It prevents food and liquids from getting into the lungs. • Larynx—the voice box, located between the pharynx and the windpipe (trachea). • Trachea—windpipe. This is the airway connecting the larynx to the tubes leading to the lungs (bronchi).
  • 7.
    The Lower RespiratoryTract • Bronchi—two tubes that lead from the trachea to the lungs. The bronchi divide into many smaller airways, called bronchioles. • Lungs—pair of large spongy organs that take oxygen out of the air we breathe and exchange it for carbon dioxide in our blood. • Alveoli—millions of tiny air sacs in the lungs, surrounded by tiny blood vessels called capillaries. This is where the exchange of oxygen and carbon dioxide takes place. These sacs look like bunches of grapes. • Pleura—a membrane that covers the lungs and helps them move freely.
  • 10.
    Upper Respiratory Infections •Influenza (Flu) - Influenza is a highly contagious infection of the upper respiratory tract. It is caused by a virus and spreads easily through coughing and sneezing. Influenza can lead to pneumonia and death, and is responsible for epidemics that occur almost every winter.
  • 13.
    Introduction • COPD alsoknown as chronic obstructive pulmonary disease, chronic obstructive airway disease (COAD), chronic obstructive lung disease (COLD), chronic airflow limitation disease (CALD) and chronic obstructive respiratory disease (CORD). • COPD is the internationally preferred term encompassing chronic bronchitis, emphysema and some cases of bronchial asthma.
  • 14.
    Emphysema • Emphysema occurswhen some of the air sacs deep in the lungs are damaged, often because of long-term infection and irritation. When lung tissue is damaged, the airways collapse, trapping stale air and blocking intake of fresh air. • The lungs try to take in more air and become over-inflated and stretched out, gradually getting so big they completely fill the chest cavity. • Many with severe emphysema develop a barrel shaped chest because of this.
  • 16.
    • Emphysema –an anatomical defined condition characterized by abnormal and permanent enlargement of the airspaces distal to the terminal bronchioles.
  • 19.
    Chronic Bronchitis • Chronicbronchitis is defined in terms of sputum production and just reflects mucus hypersecretion in the airways. • Bronchitis is an inflammation of the bronchi. • In chronic bronchitis the airways become narrow, scarred, and partly clogged with mucus, making it difficult to breathe.
  • 22.
    Risk factors  Environmentalfactors • Cigarette smoking • Second hand smoke • Indoor pollutions. • Cooking with biomass fuel • Toxic industrial inhalants (coal dust, silica) • Respiratory infection • Lung growth • Cannabis smoking  Host factors • Genetic factors • Airway hyper - responsiveness
  • 23.
    Incidence • Age –middle and late adult life • Gender – more common in males more than in females. • More common in smokers than in non – smokers. • More often develops in urban than in rural dwellers.
  • 24.
    Clinical features • Cough– initially, the cough is present in winter seasons which shows a steady increase in severity and duration. • Sputum production – scanty, mucoid and more in the morning. It may be occasionally blood stained. • Exertional dyspnea – shortness of breath. • Breathless severity can be assessed by the modified MRC dyspnea scale.
  • 27.
    Other symptoms • Overweight • Rhonchi • Forced expiratory time >4 sec. • Exercise intolerance – 6 minutes walk test • C:UsersAdministratorDesktopmdrespirato ryThe Six-Minute Walk Test- Why and How -- BAVLS.mp4
  • 28.
    Investigations • Radiological examination– chest X- ray, CT scan. • Pulmonary function test • Arterial blood gases study • Lung volumes • Exercise testing – 6 minutes walk test • Blood – hemoglobin increased, α1- antiproteinase deficiency
  • 29.
    Management • Weight lossif patient obese • Regular exercise and management of nutrional status. • Smoking cessation • Reduce smoke • Treatment of respiratory infection • Drug therapy – bronchodilators (β2-adrenergic agonists, anticholinergic drugs, corticosteroids) • Oxygen therapy • Physiotherapy
  • 31.
    Definition • Asthma isdefined as a chronic inflammatory disorder of the airways, characterized by reversible airflow obstruction causing cough, wheeze, chest tightness and shortness of breath. • The severity of the narrowing varies over short period and is reversible either spontaneously or as a result of treatment.
  • 33.
  • 34.
    1. Airflow narrowing •It is due to combination of muscle edema and viscid bronchial secretion. • It is generally reversible spontaneously or with treatment.
  • 35.
    2. Airway hyper–reactivity •It is characterized by increased tendency for airways to narrowing response to triggers that have little or no effect in normal individuals.
  • 36.
    3. Bronchial inflammation •Inflammation of the bronchial walls by T lymphocytes, mast cells, eosinophils with associated plasma exudation, edema, smooth muscle hypertrophy, mucus plugging and epithelial damage.
  • 37.
    Classification 1. Early onsetasthma/Atopic asthma/Extrinsic asthma 2. Late onset asthma/Non-atopic asthma/Intrinsic asthma
  • 38.
    Early onset asthma/Atopicasthma/ Extrinsic asthma • Early age usually begins in childhood • Atopic (allergic) individuals • External allergens have strong role • Positive family history of allergic disease eg. Eczema, urticaria, hay fever • Triggering events are environment allergens eg. Dusts, pollens, animal dander and foods • Serum level of IgE is increased • Skin hypersensitive test to common inhalant allergens are positive. • Response to provocation tests is positive.
  • 39.
  • 40.
  • 41.
  • 42.
    Late onset asthma/Non-atopic asthma/Intrinsicasthma • Onset in late age • Non-atopic individuals • No role of external allergens • Less common or absent family history • Respiratory infection due to viruses eg. Rhinovirus, parainfluenza virus • Inhaled air pollutants ( eg. Smoke, fumes) • Serum level of IgE normal • Skin hypersensitive test to common inhalant allergens are negative. • Response to provocation tests is negative.
  • 43.
    Clinical features • Bronchialasthma may be either episodic or chronic. • There is a tendency for atopic individuals to develop episodic asthma and non-atopic individuals chronic asthma.
  • 44.
    Episodic asthma • Norespiratory symptoms or signs between episodes of asthma • Frequency and duration are vary • Present with relatively sudden onset of paroysms of wheezing and dyspnea. • paroxysm definition: a sudden and powerful expression of strong feeling, especially which cannot control. • May develop spontaneous or triggered by allergens, exercise or viral infection. • Mild to severe and may last for hours, days or even weeks.
  • 45.
    Severe acute asthma •Most severe form of asthma • Presents with severe dyspnea and unproductive cough. • Severe acute asthma term has replaced status asthmatics – life threatening attacks of asthma. • Physical signs include sweating, central cyanosis, tachycardia and pulsus paradoxus. • Pulsus paradoxus, sometimes called paradoxic pulse, refers to a blood pressure drop of at least 10 mm Hg with each breath in. • May causes severe airflow obstruction leading to severe cyanosis and even death.
  • 47.
    Chronic asthma • Chesttightness • Wheeze • Breathlessness on exertion • Symptoms worst during night • Chronic productive cough with mucoid sputum • Patients prone to repeated attacks of severe acute asthma. • Severe asthma persisting from childhood may cause a pigeon chest deformity.
  • 49.
    Investigation – clinicaland based on characterized history • Pulmonary function test • Peek expiratory flow rate (PEFR) • Carbon monoxide transfer test – increased asthma • Exercise tests – used in the diagnosis of asthma in children • Radiological examination – chest X-ray, CT scan • Skin prick tests – intradermal injections (+ in extrinsic asthma) • Arterial blood gas analysis - hypoxia
  • 50.
    Management • Avoid identifiedaggravating factors • Control of risk factors • Drug therapy – bronchodilators, systemic corticosteroids • Oxygen therapy • Bronchodilators – β2-adrenoceptor, salbutamol, terbutaline. • systemic corticosteroids – intravenous hydrocortisone or prednisolone.
  • 52.
    Introduction • Acute respiratoryillness • Either segmental or affecting more than one lobe • Pneumonia defined as inflammation with exudative solidification of the lung parenchyma. • Lung parenchyma is the portion of the lung involved in gas transfer - the alveoli, alveolar ducts and respiratory bronchioles.
  • 55.
    Classification of pneumonia 1.Classification depending on the anatomic distribution 2. Etiological classification 3. Clinical setting in which the infection occurs
  • 56.
    Classification depending onthe anatomic distribution 1. Lobar pneumonia/ alveolar or air space pneumonia eg. pneumococcal pneumonia 2. Bronchopneumonia eg. Staphylococcal pneumonia 3. Interstitial pneumonia eg. Mycoplasma pneumonia
  • 57.
    Etiological classification 1. Primarypneumonia – caused by specific pathogenic organism and there is no pre- existing abnormality of the respiratory system. 2. Secondary pneumonia – including aspiration pneumonia 3. Suppurative pneumonia
  • 58.
    Clinical setting inwhich the infection occurs 1. Community acquired pneumonia 2. Nosocomial pneumonia or hospital acquired pneumonia 3. Pneumonia in immuno compromised host 4. Health care associated pneumonia
  • 59.
    It is definedas an acute inflammatory infection in a patient who is not hospitalised.
  • 60.
    Community-Acquired pneumonia • Affectsall ages • Most cases are spread by droplet infection • Upper respiratory tract infections • Cigarette smoking • Alcohol • Corticosteroid therapy • Indoor air pollution • Streptococcus pneumonia is the most common cause • Causative agents in CAP- bacteria, fungi, viruses and protozoa
  • 61.
    Clinical features • Fever •Rigors • Shivering • Malaise (discomfort or uneaseness) • Chest pain • Cough – short, dry, painful • Breathlessness • Appetite is lost • Headache • fatigue
  • 62.
    Investigation • Radiological examination •Microbiological investigation • Arterial blood gas measurements • General blood test
  • 63.
    Radiological examination • Chestx-ray: An x-ray exam will allow your doctor to see your lungs, heart and blood vessels to help determine if you have pneumonia • CT of the lungs: A CT scan of the chest may be done to see finer details within the lungs and detect pneumonia that may be more difficult to see on a plain x-ray. • MRI of the chest: MRI is not generally used to evaluate for pneumonia but may be used to look at the heart, vessels of the chest and chest wall structures.
  • 64.
    Microbiological investigation • Sputum •Blood culture • Throat/ nasopharyngeal swabs • Pleural fluid investigation
  • 65.
    Management • Oxygen therapy •Antibiotic therapy • Treatment of pleural pain – paracetamol or pethidine or morphine • Physiotherapy – administration of analgesic drugs should be coordinated with this fporm of physiotherapy to op.timize cooperation
  • 66.
    Antibiotic therapy • Amoxycillin500 mg 8 hourly orally • If patient allergic to penicillin – clarthromycin 500 mg 12 hourly orally, erythromycin 500mg 6 hourly orally
  • 67.
    Hospital – acquiredpneumonias are pulmonary infections acquired in the course of a hospital stay (development of pneumonia after more than 48 hours of hospitalization)
  • 68.
    Etiology • The organismcausing HAP are different from those causing CAP. • Risk factors for nosocomial pneumonia 1. Severe underlying disease 2. Malnutrition 3. Uremia 4. Alcoholism 5. Cigarette smoking 6. Immunosuppression 7. Increasing age 8. Nasogastric tube 9. Endotracheal tube 10. Decreased level of consciousness 11. Decreased gastric acidity 12. Upper abdominal surgery
  • 71.
    Ventilator associated Pneumonia(VAP) • It is a subcategory of nasocomial pneumonia that occurs in patients who have been on ventilator support for any reason. • Risk factors for VAP 1. Re-intubation 2. Supine positioning 3. Enteral nutriton 4. Heavy sedation 5. Paralytic agents 6. H2 antagonists and antacids
  • 72.
    Enteral nutriton • Enteralnutrition generally refers to any method of feeding that uses the gastrointestinal (GI) tract to deliver part or all of a person's caloric requirements. • It can include a normal oral diet, the use of liquid supplements or delivery of part or all of the daily requirements by use of a tube (tube feeding).
  • 75.
    Clinical features • Thediagnosis should be considered in any hospitalized or ventilated patient who develops 1. Purulent sputum 2. Rise in temperature 3. Breathlessness 4. Central cyanosis 5. Unexplained increase in oxygen requirement 6. leukopenia
  • 76.
    Investigation • Blood culture •Microbiological confirmation • Full blood count • Urea and electrolyte test • ESR • C – reactive protein (CRP) • Arterial blood gas analysis • Chest X ray
  • 77.
    C – reactiveprotein (CRP) • A c-reactive protein test checks for inflammation in the body. • The C-reactive protein (CRP) test measures the concentration of CRP, a protein that's produced in your liver, in your blood
  • 78.
    Management • Aspiration pneumoniacan be treated with co- amoxiclav 1.2 gm 8 hourly plus metronidazole 500 mg 8 hourly • Adequate oxygen therapy • Physiotherapy is of particular importance in the immobile and elderly patients • Fluid support • Monitoring • Mortality from HAP is high
  • 80.
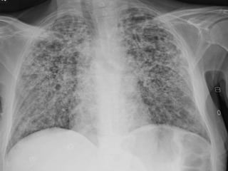
    Definition • Bronchiectasis isdefined as an irreversible (permanent), abnormal dilation of the cartilage - containing airways bronchi and brpnchioles.
  • 83.
    Aetiology and pathogenesis •Abnormal dilatation of the bronchi and bronchioles • Destruction of the muscle and elastic tissue of bronchial wall • It may be acquired or less commonly congenital • Bronchiectosis is usually secondary to sever bacterial infection in childhood, as a complication of whooping cough and measles.
  • 84.
    • Secretion leadsto mechanical obstruction • Obstruction impairs clearing mechanism of lung • Results in accumulation of secretions distal to the obstruction • Leads to secondary infection • Inflammation • Weakness and dilates airway.
  • 87.
    Classification • According tothe shape of the bronchial dilation • According to the extent of involvement • According to the underlying disease
  • 88.
    According to theshape of the bronchial dilation (Reid’s classification) 1. Tubular (cylindrical) characterized by smooth dilation of the bronchi 2. Varicose (bulbous) in which bronchi are dilated with multiple indentations 3. Cystic (saccular/balloon appearance) in which dilated bronchi terminate in blind ending sacs.
  • 90.
    According to theextent of involvement 1. Diffuse (generalized) bronchiectasis 2. Focal (local) bronchiectasis
  • 91.
    According to theunderlying disease 1. Congenital / aquired 2. Cystic fibrosis 3. Associated with post fibrosis- traction bronchiectasis 4. Without much expectorant- dry bronchiectasis
  • 92.
    Clinical features • Severpersistent (chronic) productive cough 1. Most common symptoms 2. Cough is chronic, daily and persistent • Foul smelling thick sputum • Hemoptysis • Chest pain (pleuritic) • Increased sputum volumes with fever, malaise
  • 93.
    Physical findings • Anemia •Fever • Weight loss • Night sweat • Weakness • Crackles and wheezing sound
  • 94.
    Investigation • Blood 1. Anemia 2.Raised ESR • Sputum examination – 1. Bacteriological and mycological examination of sputum 2. Three layered – top mucoid, middle mucopurulent and purulent layer at the bottom • Chest radiography • CT scan • Assessment of ciliary function test • Pulmonary function test
  • 95.
    Management • Postural drainage •Antibiotic therapy • Surgical treatment
  • 97.
    Definitions • Pleural effusion-excessive accumulation of fluid in the pleural space 1. Unilateral or bilateral 2. Bilateral effusions often occurs in cardiac failure • Empyema – accumulation of purulent fluid (frank pus) with in pleural cavity 1. Neutrophil leucocytes are present in large number 2. Almost unilateral
  • 101.
    Types of Pleuraleffusion 1. Transudative pleural effusions - is caused by fluid leaking into the pleural space. 2. Exudative pleural effusion - is caused by blocked blood vessels or lymph vessels, inflammation, lung injury, and tumors
  • 103.
    Transudative pleural effusions •Congestive heart failure • Cirrhosis - chronic disease of the liver • Nephrotic syndrome • Kidney failure • Myxoedema- swelling of the skin and underlying tissues • Hypoalbuminemia • Atelectasis - partial collapse or incomplete inflation of the lung. • Sarcoidosis - enlargement of lymph nodes in many parts of the body • Pulmonary embolism
  • 104.
    Exudative pleural effusion •Neoplastic diseases • Metastatic diseases • Mesothelioma • Lymphoma • Infectious diseases • Bacterial infections • Tuberculosis • Fungal infections • Parasitic infections • Viral infections
  • 105.
    Clinical features • Painon inspiration and coughing (symptoms) • Pleurisy ( pleural rub) (signs) • Breathlessness – its severity depends on the size and rate of accumulation of fluid.
  • 106.
    Physical findings inthe chest • Inspection – tachypnea (shift of trachea to opposite side) • Palpation 1. Reduced chest movements 2. Diminished chest expansion 3. Reduced vocal fremitus • Percussion - Stony dullness • Auscultations – 1. Breath sounds – diminished or absent over the fluid 2. Crackles
  • 107.
    Investigations • Chest X-ray •Ct scan • Ultrasonography • Fluid analysis • Pleural aspiration
  • 110.
    Management • Treatment ofunderlying causes – heart failure, pneumonia, pulmonary embolism etc. • Prevent pleural thickening • Drainage • Necessary to relieve breathlessness
  • 111.
    Empyema • Empyema thoracicis defined as collection of pus in the pleural space • It usually involves whole pleural space and unilateral • If only a part of the pleural space is involved, it is termed encysted or loculated empyema
  • 112.
    Etiology • Spread ofinfection from neighboring structure • Direct infection from external source – eg penetrating chest injury, chest tube placement, thoracic surgery
  • 113.
    Clinical features • Highgrade and remittent fever (pyrexia) • Sweating • Weight loss • Malaise • Breathlessness • Cough • Copious purulent sputum
  • 114.
    Investigation • Radiological examination •Aspiration of pus – 1. Numerous polymorphonuclear leuckocytes 2. Identify causative organism • Bacteriological examination of pus
  • 115.
    Management • Treatment ofnon tuberculous empyema • Acute 1. Antibiotics 2. Drainage of pus 1. Aspiration – aspiration of the fluid with a wide bore needle is attempted 2. Tube drainage 3. Limited thoracotomy – if tube drainage fails or pus is thick or loculated limited thoracotomy is performed.
  • 116.
    • Chronic 1. Surgery 2.Surgery is also required if a bronchopleural fistula develops • Tuberculous empyema 1. Antituberculous chemotherapy 2. Repeated aspiration – through a wide bore needle or tube drainage 3. Rarely , surgical treatment may be required
  • 119.
    Definition • Presence ofair/gas in the pleural cavity/space is known as pneumothorax. • Pneumothorax may be localized or generalized.
  • 120.
    Classification 1. Spontaneous 1. Primary/simplespontaneous pneumothorax 2. Secondary spontaneous pneumothorax 2. Traumatic 1. Iatrogenic 2. Noniatrogenic
  • 121.
    Primary/simple spontaneous pneumothorax • Occursin individual without any underlying lung disease • Occurs between the age group of 20 – 40 • Risk factors – smoking, tall stature and familial • Both lungs are affected with equal frequency
  • 122.
    Secondary spontaneous pneumothorax •Presence of an underlying lung disease • Most common causes are COPD and cavitary pulmonary active tuberculosis • Other causes – bronchial asthma, cystic fibrosis, pneumonia.
  • 123.
    Iatrogenic traumatic pneumothorax •These includes- 1. Transthoracic and transbronchial needle aspiration/biopsy 2. Subclavian vessel puncture 3. Thoracocentasis 4. Plueral biopsy 5. Mechanical ventilation
  • 124.
    Non-iatrogenic traumatic pneumothorax •Blunt and penetrating injuries to chest wall, bronchi, lung or esophagus.
  • 125.
    Clinical features • Asmall pneumothorax may be asymptomatic without any abnormal physical sign in the chest • Most common symptoms – 1. Sudden onset pleuritic chest pain 2. Breathlessness (dyspnea) 3. Cyanosis 4. Tachycardia
  • 126.
    Physical signs • Generalexamination – patient will be 1. Cyanosed 2. Tachypnea 3. Hypotension • Inspection and palpation – 1. Trachea shift to opposite side 2. Fullness of chest 3. Diminished chest movement 4. Diminished vocal fremitus • Percussion – hyper-resonant note over affected hemithorax
  • 127.
    Auscultation • On theaffected side – diminished or absent of breath sound, absence of adventitious sound
  • 128.
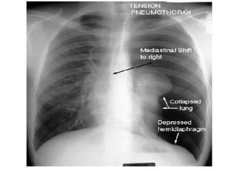
    Investigation • X-ray – 1.Mediastinal shift 2. Absence of bronchovascular marking (lung marking) 3. Reveal the Presence or absence of pleural fluid • CT scan – recommended only in difficult cases
  • 130.
    Types of spontaneouspneumothorax • Closed spontaneous pneumothorax 1. Pleural tear is sealed 2. Pleural cavity pressure is less than atmospheric pressure 3. Infection of pleural cavity is uncommon 4. Trapped air is slowly and spontaneously reabsorbed 5. Breathlessness
  • 131.
    • Open spontaneouspneumothorax- 1. Pleural tear is open 2. Pleural cavity pressure is = to the atmospheric pressure 3. Bronchopleural fistula 4. Brethlessness 5. Infection of pleural space 6. Fever 7. Hydropneumothorax physical sign is present
  • 132.
    • Tension spontaneouspneumothorax – 1. Pleural tear act as a ball and valve mechanism 2. Pleural cavity pressure is more than atmospheric pressure 3. Progressive breathlessness 4. Central cyanosis 5. Peripheral circulatory failure
  • 134.
    Treatment • Goals 1. Topromote lung expansion 2. Eliminate pathogenesis 3. Decrease recurrence of pneumothorax • Hospitalization and observation • Intercostal tube and under water seal drainage
  • 137.
    Cystic fibrosis • CFis a fatal multisystem genetic disorder because of abnormal ion transport function causing inability to adequately hydrate mucus. • The precise incidence of CF among Indians is unknown • Most patients present in infancy
  • 140.
    Pathogenesis • It istransmitted as an autosomal recessive disorder • Characterized by mutation in a gene on the long arm of chromosome 7 • The basic defect in CF is a mutation in the cystic fibrosis transmembrane conductance regulator (CFTR) gene that regulates chloride conductance channel
  • 141.
    Clinical features • Recurrentlower respiratory tract infection • Pulmonary manifestation occur • Chronic lung disease • Bronchiectasis • Pancreatic insufficiency is present in more than 85% of CF patients • Malabsorption
  • 144.
    Diagnosis • Diagnosis isconfirmed by the demonstration of a high sweat chloride on repeated measurement.
  • 145.
    Management • The treatmentof CF in children includes 1. Respiratory management 2. Nutrional care 3. Anticipation 4. Early diagnosis of liver disease 5. Early diagnosis of diabetes 6. Early diagnosis of other organ dysfunction
  • 146.
    Respiratory management • Airwayclearance techniques – postural drainage, chest clapping for infant and children • Flutter therapy • Mucolytic agents – N-acetyl cystein breaks the sulphydryl bonds of the mucous glycoprotein thereby reducing the viscosity of airway secretions • Antibiotic therapy – ceftazidime, cefoperazone, piperacillin and bronchodilator and inhalation steroid therapy is required.
  • 147.
    Flutter therapy • Theflutter is a respiratory device that produces an oscillatory positive expiratory pressure that can be used as an alternative for removal of secretions. • The device has demonstrated its beneficial effect on removal of secretions increasing the volume of expectoration and a decrease in the viscosity of secretions, increasing in vitro transport of secretions from cystic fibrosis and bronchiectasis patients
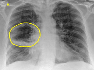
  • 151.
    Definition • Lung abscessis defined as a severe, local suppurative process within the lung associated with cavity formation. • It is characterized by necrotic area of lung parenchyma containing pus accompanied by th destruction of lung tissues
  • 152.
    Necrotizing pneumonia • Oftenused to described similar pathologic process with multiple small (less than 2 cm) cavities in contiguous are as of the lung. • In children, necrotizing pneumonia (NP) is an uncommon, severe complication of pneumonia. • It is characterized by destruction of the underlying lung parenchyma resulting in multiple small, thin- walled cavities and is often accompanied by empyema and bronchopleural fistulae.
  • 155.
    Classification • Duration ofsymptoms – prior to diagnosis 1. Acute more than 1 month 2. Chronic more than 1 month • Primary and secondary
  • 156.
    Primary cryptogenic lungabscesses • This type of lung abscess has no apparent cause and most of them develop as consequence of aspiration of infected material. • Aspiration of infected material • Aspiration of gastric content
  • 157.
    Secondary lung abscess •Develops as a complication of several conditions. • Complications of necrotizing pneumonia • Pulmonary tuberculosis • Septic embolism • Bronchial obstruction
  • 158.
    Etiology • Infectious causes– any pathogens can produce lung abscess • Noninfectious causes
  • 159.
    Noninfectious causes • Neoplasm •Pulmonary infarction • Septic embolism • Vasculitis • Airway disease • other
  • 160.
  • 161.
    Clinical features ofa lung abscess • The most noticeable symptom of a lung abscess is a productive cough. • The contents that are coughed up may be bloody or pus-like, with a foul odor. • bad breath • chest pain • shortness of breath • sweating or night sweats • Loss of appetite and weight loss • Fatigue • Fever and chills (fever of 101°F or higher) • Being sick for several weeks or months • Rapid heart rate • General feeling of poor health • Deep cough that may produce foul-tasting or bloody sputum • Clubbing of the fingers • Bluish discoloration of the skin
  • 162.
    Physical findings • Respiratorysystem examination 1. Early stages may be normal 2. Later – sign of consolidation, sign of cavitation • sign of consolidation - dullness on percussion, increased vocal fremitis, plueral rub
  • 163.
    Investigation • Blood –normocytic anemia • Chest X ray – the wall of abscess cavity completely surrounds the radiolucent area • CT scan of thorax shows lung abscess • Bronchoscopy – to exclude malignancy, to obtain specimens for studies and removal of secretion
  • 166.
    Possible complications • Empyema.This is a large collection of infected fluid around the lung that occurs where the abscess is. It can be life-threatening and requires immediate medical attention so it can be removed. • Bronchopleural fistula. This is when a connection develops between a large airway inside your lung and the space in the lining around the outside of your lung. It’s corrected through a scope or surgery. • Bleeding from your lung or chest wall. This can be a small amount of blood or a lot of blood, which is life-threatening. • Infection spreading to other parts of the body. If the infection leaves your lung, it can then produce abscesses in other parts of your body including your brain.
  • 167.
    Treatment • Postural drainageand chest physiotherapy • Antibiotic therapy – choice of drug depends on culture and sensitivity result. • Oral treatment – ampicillin 500 mg four times daily • Duration of antibiotic therapy – usually given for 4 – 6 weeks • Large lung abscess – pigtail catheters may be useful • Resectional surgery – lobectomy or pneumonectomy (more than 8 cm)