BLOWOUT FRACTURE
ARUNACHALAM.L
Definition
• An orbital blowout fracture is a traumatic deformity of the
orbital floor or medial wall, typically resulting from impact of
a blunt object larger than the orbital aperture, or eye socket.
• Originally defined as orbital floor fractures without fracture
orbital rim, but with entrapment one or more soft tissue
structures
Anatomy
Seven bones form the bony orbit
I. Maxilla
II. Zygoma
III. Lacrimal
IV. Ethmoid
V. Palatine
VI. Sphenoid
VII. Frontal
• Intra-orbital neurovascular structures.
1-Superior orbital fissure
• III - Oculomotor nerve (Motor)
• IV - Trochlear nerve (Motor)
• VI - Abducens nerve
• V1 - Ophthalmic (Sensory)
2-Inferior orbital fissure
• V2 - Infra-orbital nerve.
3-Optic nerve foramen
• II - Optic nerve.
Ocular muscles:
• Lateral rectus muscle.
• Medial rectus muscle
• Superior rectus muscle
• Inferior rectus muscle
• Superior oblique muscle
• Inferior oblique muscle
Pathophysiology of Blowout fracture
• The bony defect is filled with soft tissue and fat from the orbit
• Alters support mechanisms for Extra ocular muscle
• EOM can become entrapped
• Direct muscle damage can result
Signs and symptoms:
• Orbital and lid subcutaneous ecchymosis or emphysema.
• Diplopia and enophthalmos.
• Limitation of eye movement.
• Orbital pain
• Loss of sensation due to infraorbital nerve injury.
Clinical significance of intra-orbital
structures:-
• II = Optic (vision)
• III = Oculomotor nerve (Motor)
double vision (diplopia)
eyelid drooping (ptosis)
pupil dilation (mydriasis)
• IV = Trochlear nerve (Motor) Sup. Oblique muscle
Double vision (diplopia) Squint [lateral superior]
• VI = Abducens nerve. Lateral Rectus M
Double vision (diplopia) Squint.[medial]
• V1 = Ophthalmic (Sensory) Corneal anaesthesia.
• V2 = Infra-Orbital (Sensory)
Skin of lower eye lid-nose-upper lip.
Injuries associated with blowout
fractures
• Ruptured globe
• Retroorbital haemorrhage
• Vitreous haemorrhage
• Hyphema
• Anterior chamber angle recession
• Dislocated lens.
• Secondary glaucoma
• Retinal detachment
Clinical examination
• Ocular motility:
Test eye movements in all possible directions. Presence of squint or improper eye movement
denoting muscle entrapment or neural damage. Forced duction test used for differentiation.
• Pupillary function test:
Pupillary light reflex provides a useful diagnostic tool for testing the integrity of the sensory
(CN II) and motor (CN III) functions of the eye.
Diagnosis:
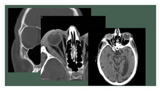
Imaging:
• Water’s view shows a convex opacity bulging into the antrum from the above.
• C.T: (coronal cut) teardrop sign, polypoid mass consists of herniated orbital contents, periorbital
fat and inferior rectus muscle. The affected sinus is partially opacified on radiograph. Air-fluid
level in maxillary sinus due to presence of blood.
• MRI: Detection of Inflammatory myopathy, Optic nerve condition, Vitreous haemorrhage.
Treatment
• Conservative
• Surgical
Conservative treatment:
• Ice affected area for 48 hours
• Elevation Head of bed
• Use of nasal decongestants
• Broad spectrum antibiotics like Augmentin
• Oral steroids to prevent fibrosis
• No nose blowing
(most blowout fracture heals spontaneously without
complication)
Surgery
• Indication
1. Diplopia
2. Enophthalmos >2cm
3. Large fracture >50% and entrapment of extraocular muscle.
• Contraindication
1. Hyphema
2. Retinal detachment
3. Globe perforation
4. Only seeing eye
5. Medically unstable patient
Pre-operative preparation:
• Surgical repair of a "blowout" is safely postponed for up to two weeks, if necessary, to let the
swelling subside.
• All patients should follow-up with an ophthalmologist within one week of the fracture (Retinal
examination, Intra-ocular pressure).
• To prevent orbital emphysema, patients are advised to avoid blowing of the nose.
• Nasal decongestants are commonly used. It is also common practice to administer prophylactic
antibiotics when the fracture enters a sinus. (Amoxicillin-clavulanate and azithromycin).
• Corticosteroids are used to decrease swelling.
Surgical approach:
• Transantral
• Transconjunctival
• Transcutaneous
• Sub ciliary
Orbital implant
• Use of implants based on degree of comminution and size of fracture
• Various implant material used
1. Autogenous bone and cartilage
2. Alloplastic material
Teflon, Marlex, polydioxanone , Etc.
Complication
• Ectropion
• Sunken eyes
• Graft morbidity
Thank you

Blowout fracture

  • 1.
  • 2.
    Definition • An orbitalblowout fracture is a traumatic deformity of the orbital floor or medial wall, typically resulting from impact of a blunt object larger than the orbital aperture, or eye socket. • Originally defined as orbital floor fractures without fracture orbital rim, but with entrapment one or more soft tissue structures
  • 4.
    Anatomy Seven bones formthe bony orbit I. Maxilla II. Zygoma III. Lacrimal IV. Ethmoid V. Palatine VI. Sphenoid VII. Frontal
  • 6.
    • Intra-orbital neurovascularstructures. 1-Superior orbital fissure • III - Oculomotor nerve (Motor) • IV - Trochlear nerve (Motor) • VI - Abducens nerve • V1 - Ophthalmic (Sensory) 2-Inferior orbital fissure • V2 - Infra-orbital nerve. 3-Optic nerve foramen • II - Optic nerve.
  • 7.
    Ocular muscles: • Lateralrectus muscle. • Medial rectus muscle • Superior rectus muscle • Inferior rectus muscle • Superior oblique muscle • Inferior oblique muscle
  • 8.
    Pathophysiology of Blowoutfracture • The bony defect is filled with soft tissue and fat from the orbit • Alters support mechanisms for Extra ocular muscle • EOM can become entrapped • Direct muscle damage can result
  • 9.
    Signs and symptoms: •Orbital and lid subcutaneous ecchymosis or emphysema. • Diplopia and enophthalmos. • Limitation of eye movement. • Orbital pain • Loss of sensation due to infraorbital nerve injury.
  • 10.
    Clinical significance ofintra-orbital structures:- • II = Optic (vision) • III = Oculomotor nerve (Motor) double vision (diplopia) eyelid drooping (ptosis) pupil dilation (mydriasis) • IV = Trochlear nerve (Motor) Sup. Oblique muscle Double vision (diplopia) Squint [lateral superior] • VI = Abducens nerve. Lateral Rectus M Double vision (diplopia) Squint.[medial] • V1 = Ophthalmic (Sensory) Corneal anaesthesia. • V2 = Infra-Orbital (Sensory) Skin of lower eye lid-nose-upper lip.
  • 11.
    Injuries associated withblowout fractures • Ruptured globe • Retroorbital haemorrhage • Vitreous haemorrhage • Hyphema • Anterior chamber angle recession • Dislocated lens. • Secondary glaucoma • Retinal detachment
  • 12.
    Clinical examination • Ocularmotility: Test eye movements in all possible directions. Presence of squint or improper eye movement denoting muscle entrapment or neural damage. Forced duction test used for differentiation. • Pupillary function test: Pupillary light reflex provides a useful diagnostic tool for testing the integrity of the sensory (CN II) and motor (CN III) functions of the eye.
  • 14.
    Diagnosis: Imaging: • Water’s viewshows a convex opacity bulging into the antrum from the above. • C.T: (coronal cut) teardrop sign, polypoid mass consists of herniated orbital contents, periorbital fat and inferior rectus muscle. The affected sinus is partially opacified on radiograph. Air-fluid level in maxillary sinus due to presence of blood. • MRI: Detection of Inflammatory myopathy, Optic nerve condition, Vitreous haemorrhage.
  • 15.
  • 16.
    Conservative treatment: • Iceaffected area for 48 hours • Elevation Head of bed • Use of nasal decongestants • Broad spectrum antibiotics like Augmentin • Oral steroids to prevent fibrosis • No nose blowing (most blowout fracture heals spontaneously without complication)
  • 17.
    Surgery • Indication 1. Diplopia 2.Enophthalmos >2cm 3. Large fracture >50% and entrapment of extraocular muscle. • Contraindication 1. Hyphema 2. Retinal detachment 3. Globe perforation 4. Only seeing eye 5. Medically unstable patient
  • 18.
    Pre-operative preparation: • Surgicalrepair of a "blowout" is safely postponed for up to two weeks, if necessary, to let the swelling subside. • All patients should follow-up with an ophthalmologist within one week of the fracture (Retinal examination, Intra-ocular pressure). • To prevent orbital emphysema, patients are advised to avoid blowing of the nose. • Nasal decongestants are commonly used. It is also common practice to administer prophylactic antibiotics when the fracture enters a sinus. (Amoxicillin-clavulanate and azithromycin). • Corticosteroids are used to decrease swelling.
  • 19.
    Surgical approach: • Transantral •Transconjunctival • Transcutaneous • Sub ciliary
  • 21.
    Orbital implant • Useof implants based on degree of comminution and size of fracture • Various implant material used 1. Autogenous bone and cartilage 2. Alloplastic material Teflon, Marlex, polydioxanone , Etc.
  • 22.
    Complication • Ectropion • Sunkeneyes • Graft morbidity
  • 24.