Dr. Parag Moon
Senior resident
GMC, Kota
๏ฝ Paired venous sinus, on either side of body of
sphenoid.
๏ฝ 2cm in length, height of 1cm
๏ฝ Traversed by numerous trabeculae, dividing it
into a several caverns (spaces) hence
cavernous.
๏ฝ Relations:
โ—ฆ Medial โ€“ pituitary above, sphenoidal air cell below
โ—ฆ Lateral โ€“ temporal lobe, uncus
โ—ฆ Anterior - superior orbital fissure
โ—ฆ Posterior - petrous apex
โ—ฆ Superior โ€“ optic chiasm
๏ฝ Tributaries:
โ€“ Superior and inferior opthalmic veins
โ€“ Sphenoparietal sinus
โ€“ Inferior cerebral veins
โ€“ Superficial middle cerebral veins
โ€“ Central vein of retina
๏ฝ Drainage:
โ€“ Superior petrosal sinus---> transverse sinus
โ€“ Inferior petrosal sinus --->internal jugular vein
๏ฝ Communication:
โ€“ Intercavernous sinuses โ€“ communication between
the 2
โ€“ Pterygoid plexus โ€“ via emissary veins passing
through foramen ovale, emissary sphenoidal
foramen and foramen lacerum.
โ€“ Pharyngeal plexus โ€“ via a vein passing through
carotid canal.
โ€“ Facial vein โ€“ via superior opthalmic vein.
Contents of cavernous sinus
๏ฝ - Internal Carotid artery with sympathetic
plexus
๏ฝ - CN 3
๏ฝ - CN 4
๏ฝ - CN 5 (1st and 2nd divisions)
๏ฝ - CN 6
๏ฝ Includes cases of phlebitis, thrombo-phlebitis
and aseptic thrombosis
๏ฝ Septic type (most common) - coagulase
positive staphylococcus
๏ฝ Aseptic types may follow trauma, local stasis
or a failing circulation.
Septic CST
๏ฝ Infectious
Aseptic CST
๏ฝ Trauma
๏ฝ Post surgery
Rhinoplasty
Base of skull
Tooth extraction
๏ฝ Hematologic
๏ฝ Malignancy
Nasopharyngeal Ca.
๏ฝ Dehydration
๏ฝ More commonly seen with sphenoid and
ethmoid and to a lesser degree with frontal
sinusitis
๏ฝ Staphylococcus aureus -70% of all infections.
Streptococcus pneumoniae, gram-negative
bacilli, and anaerobes can also be seen.
๏ฝ Fungi are a less common pathogen and may
include Aspergillus and Rhizopus
species(more common in diabetics)
๏ฝ No valves in dural sinuses, cerebral and
emissary veins
๏ฝ Infection of upper lip, vestibule of nose and
eyelids-> spread by way of angular,
supraorbital, supratrochlear veins to
ophthalmic veins=commonest route
๏ฝ Intranasal operation of septum, turbinates,
ethmoid/sphenoid sinus infection->through
ethmoidal veins
๏ฝ Operation of tonsil, peritonsillar abcess,
maxillary osteomyelitis/surgery, dental
extraction->spread by pterygoid plexus or
direct extension in internal jugular vein
๏ฝ Involvement of middle ear/mastoid ->
retrograde spread through petrosal sinus to
cavernous sinus
Sources:
๏ฝ Nose โ€“ Paranasal 40%
๏ฝ Orbit- Face 35%
๏ฝ Mouth โ€“ Teeth 13%
๏ฝ Ear 9%
๏ฝ Other โ€“ tonsil, soft palate, pharynx, posterior
portions of the superior and inferior alveolar
arches 3%
1. Sepsis
2. Venous obstruction
3. Involvement of cranial nerves
๏ฝ Pyrexia
๏ฝ Rapid, weak, thready pulse
๏ฝ Chills and sweats
๏ฝ Delirium - meningitis supervenes terminally
๏ฝ Septic emboli to various other parts of body.
๏ฝ Proptosis (first oedema & chemosis)
๏ฝ Oedema of eyelids and bridge of nose
๏ฝ Dilatation and tortuosity of retinal veins
๏ฝ Retinal hemorrhages
๏ฝ Involvement of the contralateral eye โ€“ (48
hours)
๏ฝ When pterygoid plexus is occluded along with
sinus, - oedema of the pharynx or tonsil
๏ฝ First CN involved is VI
๏ฝ Ptosis - paralysis of oculomotor nerve
๏ฝ Dilatation of pupil- third nerve and
stimulation of sympathetic plexus
๏ฝ Decreased abduction (paralysis of abducens
nerve)
๏ฝ Complete opthalmoplegia
๏ฝ Loss of vision
๏ฝ Retro-orbital pain and supra-orbital
headache->V
๏ฝ Strong clinical suspicion
1)Orbital venography
๏ฝ Not recommended
๏ฝ Difficult to puncture facial veins in odema
๏ฝ May help in dissemination of infection
2) Contrast enhanced CT
๏ฝ Slice thickness 3mm or less
๏ฝ Shows enlargement and expansion of
cavernous sinus cavity with flatening or
convexity of lateral wall
๏ฝ Multiple or single filling defect with
enhancing CS.
๏ฝ Exopthalmos, soft tissue edema
๏ฝ Dilation of superior ophthalmic vein
3) MRI:
๏ฝ โ€“ A sensitive, noninvasive
๏ฝ Can be combined with venography to
demonstrate lack of blood flow in the
cavernous sinus
๏ฝ Show associated meningitis, involvement of
pituitary gland
4) CSF examination
๏ฝ Elevated protein
๏ฝ Normal sugar
๏ฝ Mild pleocytosis
5) Complete blood count
๏ฝ Elevated TLC
๏ฝ Leucocytosis
6) Blood culture
7) Local tissue culture
๏ฝ Intracranial extension of infection->
meningitis, encephalitis, brain abcess,
pituitary infection,epidural, subdural
empyema
๏ฝ Cortical vein thrombosis->hemorrhagic
infarction
๏ฝ Extension to other sinuses
๏ฝ Orbital cellulitisโ€“differentiated from CST by B/L
involvement, papillodema, dilated pupil,
decreased periocular sensation, abnormal spinal
fluid in latter
๏ฝ Preseptal cellulitis- no proptosis
๏ฝ Orbital apex syndrome- more visual loss,
opthalmoplegia, less proptosis, periorbital
odema
๏ฝ Sinusitis
๏ฝ Orbital malignancy
๏ฝ Facial Cellulitis
๏ฝ Glaucoma-angle closure
๏ฝ Immediate empiric antibiotic coverage must
include gram-positive, gram-negative and
anaerobic bacteria.
๏ฝ Later treatment can be narrowed, adjusted to
cultures and sensitivities
๏ฝ Third generation cephalosporin+vancomycin
with metronidazole
๏ฝ Duration- 3-4 weeks
๏ฝ Used in setting of fungal sinusitis
๏ฝ More common in diabetics
๏ฝ Aspergillus more common
๏ฝ Parentral amphotericin B for 3 weeks followed
by posaconazole(400mg BD) prophylaxis
๏ฝ Dose-0.5-1.5mg/kg/day(deoxycholate), 5-
10mg/kg/day(liposomal)
๏ฝ Intravenous heparin (maintaining the partial
thromboplastin time or thrombin clot time at
1.5 to 2 times that of the control)->24,000-
30,000 U/day.
๏ฝ Warfarin sodium (maintaining the
prothrombin time at 1.3ยฑ1.5 times the
control) -continued for 4 to 6 weeks to allow
adequate collateral channels to develop
๏ฝ Mortality was lower among patients who
received heparin treatment, 14% vs. 36%
๏ฝ Early administration of heparin may serve to
prevent spread of thrombosis to the other
cavernous sinus as well as to the inferior and
superior petrosal sinuses.
๏ฝ Not influence mortality
๏ฝ May prevent residual cranial nerve
dysfunction caused by inflammation.
๏ฝ Dexamethasone used most commonly
๏ฝ Surgical drainage of affected sinuses
๏ฝ Endoscopic sinus surgery
๏ฝ Surgical debridement in fungal sinusitis
๏ฝ Surgical drainage of any collection
๏ฝ 100% mortality prior to antibiotics
๏ฝ 30% mortality despite aggressive treatment
๏ฝ 44% of survivors remain with chronic
sequelae,
๏ฝ Roughly one sixth of patients are left with
some degree of visual impairment
๏ฝ One half have cranial nerve deficits
๏ฝ Hypopituitarism- rare, can occur before or
after 1 year.
๏ฝ Septic cavernous sinus thrombosis-Neurology
and Neurosciences;2014;4:117-118
๏ฝ Treatment of Cavernous Sinus Thrombosis;
IMAJ 2002;4:468ยฑ469
๏ฝ Septic thrombosis of cavernous sinus-Arch
Intern Med;2001;161:2671-2676

Cavernous sinus thrombosis

  • 1.
    Dr. Parag Moon Seniorresident GMC, Kota
  • 3.
    ๏ฝ Paired venoussinus, on either side of body of sphenoid. ๏ฝ 2cm in length, height of 1cm ๏ฝ Traversed by numerous trabeculae, dividing it into a several caverns (spaces) hence cavernous.
  • 4.
    ๏ฝ Relations: โ—ฆ Medialโ€“ pituitary above, sphenoidal air cell below โ—ฆ Lateral โ€“ temporal lobe, uncus โ—ฆ Anterior - superior orbital fissure โ—ฆ Posterior - petrous apex โ—ฆ Superior โ€“ optic chiasm
  • 5.
    ๏ฝ Tributaries: โ€“ Superiorand inferior opthalmic veins โ€“ Sphenoparietal sinus โ€“ Inferior cerebral veins โ€“ Superficial middle cerebral veins โ€“ Central vein of retina ๏ฝ Drainage: โ€“ Superior petrosal sinus---> transverse sinus โ€“ Inferior petrosal sinus --->internal jugular vein
  • 6.
    ๏ฝ Communication: โ€“ Intercavernoussinuses โ€“ communication between the 2 โ€“ Pterygoid plexus โ€“ via emissary veins passing through foramen ovale, emissary sphenoidal foramen and foramen lacerum. โ€“ Pharyngeal plexus โ€“ via a vein passing through carotid canal. โ€“ Facial vein โ€“ via superior opthalmic vein.
  • 7.
    Contents of cavernoussinus ๏ฝ - Internal Carotid artery with sympathetic plexus ๏ฝ - CN 3 ๏ฝ - CN 4 ๏ฝ - CN 5 (1st and 2nd divisions) ๏ฝ - CN 6
  • 10.
    ๏ฝ Includes casesof phlebitis, thrombo-phlebitis and aseptic thrombosis ๏ฝ Septic type (most common) - coagulase positive staphylococcus ๏ฝ Aseptic types may follow trauma, local stasis or a failing circulation.
  • 11.
    Septic CST ๏ฝ Infectious AsepticCST ๏ฝ Trauma ๏ฝ Post surgery Rhinoplasty Base of skull Tooth extraction ๏ฝ Hematologic ๏ฝ Malignancy Nasopharyngeal Ca. ๏ฝ Dehydration
  • 12.
    ๏ฝ More commonlyseen with sphenoid and ethmoid and to a lesser degree with frontal sinusitis ๏ฝ Staphylococcus aureus -70% of all infections. Streptococcus pneumoniae, gram-negative bacilli, and anaerobes can also be seen. ๏ฝ Fungi are a less common pathogen and may include Aspergillus and Rhizopus species(more common in diabetics)
  • 13.
    ๏ฝ No valvesin dural sinuses, cerebral and emissary veins ๏ฝ Infection of upper lip, vestibule of nose and eyelids-> spread by way of angular, supraorbital, supratrochlear veins to ophthalmic veins=commonest route ๏ฝ Intranasal operation of septum, turbinates, ethmoid/sphenoid sinus infection->through ethmoidal veins
  • 14.
    ๏ฝ Operation oftonsil, peritonsillar abcess, maxillary osteomyelitis/surgery, dental extraction->spread by pterygoid plexus or direct extension in internal jugular vein ๏ฝ Involvement of middle ear/mastoid -> retrograde spread through petrosal sinus to cavernous sinus
  • 15.
    Sources: ๏ฝ Nose โ€“Paranasal 40% ๏ฝ Orbit- Face 35% ๏ฝ Mouth โ€“ Teeth 13% ๏ฝ Ear 9% ๏ฝ Other โ€“ tonsil, soft palate, pharynx, posterior portions of the superior and inferior alveolar arches 3%
  • 17.
    1. Sepsis 2. Venousobstruction 3. Involvement of cranial nerves
  • 18.
    ๏ฝ Pyrexia ๏ฝ Rapid,weak, thready pulse ๏ฝ Chills and sweats ๏ฝ Delirium - meningitis supervenes terminally ๏ฝ Septic emboli to various other parts of body.
  • 19.
    ๏ฝ Proptosis (firstoedema & chemosis) ๏ฝ Oedema of eyelids and bridge of nose ๏ฝ Dilatation and tortuosity of retinal veins ๏ฝ Retinal hemorrhages ๏ฝ Involvement of the contralateral eye โ€“ (48 hours) ๏ฝ When pterygoid plexus is occluded along with sinus, - oedema of the pharynx or tonsil
  • 20.
    ๏ฝ First CNinvolved is VI ๏ฝ Ptosis - paralysis of oculomotor nerve ๏ฝ Dilatation of pupil- third nerve and stimulation of sympathetic plexus ๏ฝ Decreased abduction (paralysis of abducens nerve) ๏ฝ Complete opthalmoplegia ๏ฝ Loss of vision ๏ฝ Retro-orbital pain and supra-orbital headache->V
  • 22.
    ๏ฝ Strong clinicalsuspicion 1)Orbital venography ๏ฝ Not recommended ๏ฝ Difficult to puncture facial veins in odema ๏ฝ May help in dissemination of infection
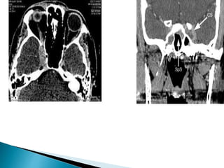
  • 23.
    2) Contrast enhancedCT ๏ฝ Slice thickness 3mm or less ๏ฝ Shows enlargement and expansion of cavernous sinus cavity with flatening or convexity of lateral wall ๏ฝ Multiple or single filling defect with enhancing CS. ๏ฝ Exopthalmos, soft tissue edema ๏ฝ Dilation of superior ophthalmic vein
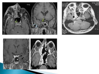
  • 25.
    3) MRI: ๏ฝ โ€“A sensitive, noninvasive ๏ฝ Can be combined with venography to demonstrate lack of blood flow in the cavernous sinus ๏ฝ Show associated meningitis, involvement of pituitary gland
  • 27.
    4) CSF examination ๏ฝElevated protein ๏ฝ Normal sugar ๏ฝ Mild pleocytosis 5) Complete blood count ๏ฝ Elevated TLC ๏ฝ Leucocytosis 6) Blood culture 7) Local tissue culture
  • 28.
    ๏ฝ Intracranial extensionof infection-> meningitis, encephalitis, brain abcess, pituitary infection,epidural, subdural empyema ๏ฝ Cortical vein thrombosis->hemorrhagic infarction ๏ฝ Extension to other sinuses
  • 29.
    ๏ฝ Orbital cellulitisโ€“differentiatedfrom CST by B/L involvement, papillodema, dilated pupil, decreased periocular sensation, abnormal spinal fluid in latter ๏ฝ Preseptal cellulitis- no proptosis ๏ฝ Orbital apex syndrome- more visual loss, opthalmoplegia, less proptosis, periorbital odema ๏ฝ Sinusitis ๏ฝ Orbital malignancy ๏ฝ Facial Cellulitis ๏ฝ Glaucoma-angle closure
  • 31.
    ๏ฝ Immediate empiricantibiotic coverage must include gram-positive, gram-negative and anaerobic bacteria. ๏ฝ Later treatment can be narrowed, adjusted to cultures and sensitivities ๏ฝ Third generation cephalosporin+vancomycin with metronidazole ๏ฝ Duration- 3-4 weeks
  • 32.
    ๏ฝ Used insetting of fungal sinusitis ๏ฝ More common in diabetics ๏ฝ Aspergillus more common ๏ฝ Parentral amphotericin B for 3 weeks followed by posaconazole(400mg BD) prophylaxis ๏ฝ Dose-0.5-1.5mg/kg/day(deoxycholate), 5- 10mg/kg/day(liposomal)
  • 33.
    ๏ฝ Intravenous heparin(maintaining the partial thromboplastin time or thrombin clot time at 1.5 to 2 times that of the control)->24,000- 30,000 U/day. ๏ฝ Warfarin sodium (maintaining the prothrombin time at 1.3ยฑ1.5 times the control) -continued for 4 to 6 weeks to allow adequate collateral channels to develop
  • 34.
    ๏ฝ Mortality waslower among patients who received heparin treatment, 14% vs. 36% ๏ฝ Early administration of heparin may serve to prevent spread of thrombosis to the other cavernous sinus as well as to the inferior and superior petrosal sinuses.
  • 35.
    ๏ฝ Not influencemortality ๏ฝ May prevent residual cranial nerve dysfunction caused by inflammation. ๏ฝ Dexamethasone used most commonly
  • 36.
    ๏ฝ Surgical drainageof affected sinuses ๏ฝ Endoscopic sinus surgery ๏ฝ Surgical debridement in fungal sinusitis ๏ฝ Surgical drainage of any collection
  • 37.
    ๏ฝ 100% mortalityprior to antibiotics ๏ฝ 30% mortality despite aggressive treatment ๏ฝ 44% of survivors remain with chronic sequelae, ๏ฝ Roughly one sixth of patients are left with some degree of visual impairment ๏ฝ One half have cranial nerve deficits ๏ฝ Hypopituitarism- rare, can occur before or after 1 year.
  • 39.
    ๏ฝ Septic cavernoussinus thrombosis-Neurology and Neurosciences;2014;4:117-118 ๏ฝ Treatment of Cavernous Sinus Thrombosis; IMAJ 2002;4:468ยฑ469 ๏ฝ Septic thrombosis of cavernous sinus-Arch Intern Med;2001;161:2671-2676