Upper limb amputees
MBBS(Mal),AM(Mal),FRCS(Ed),FRCS(Glasg),FICS(USA),MBA(USA),
Dip Hand Surgery(Eur),Dip MedEd(Dundee),
FHEA(UK), FFSTEd, FAcadMEd(UK)
Senior Consultant Hand Surgeon, KTPH Alexandra Health,
Honorary Senior Lecturer, YYL School of Medicine, National
University of Singapore,
Core Faculty for Orthopaedic Surgery and Hand
and Reconstructive Micro Surgery, NHG Residency Program ,
SINGAPORE
Dr Vaikunthan Rajaratnam
The issues and challenges
• 2 million people living with limb loss in the
United States
• main causes are vascular disease (54%) –
including diabetes and peripheral arterial
disease –
• trauma (45%) and
• cancer (less than 2%)
185,000 amputations/year
hospital costs associated with amputation totaled
more than $8.3 billion
half of the individuals who have an amputation
due to vascular disease will die within 5 years
• Trauma accounted for 54 per cent of these of which mechanical
trauma was most common. Neoplasia accounted for 14 per cent of
referrals. There has been an increase in the number of referrals
following upper limb amputation due to a primary malignancy from 7
per cent in 2002/03 to 13 per cent in 2003/04. Dysvascularity as a
cause of upper limb amputation was recorded in 8 per cent of
referrals.Trauma was the most common cause within the 16 – 54 age
group, but in the older age groups more referrals are made due to
neoplasia.T
reasons for an upper extremity amputation
• Trauma
• Correction of a congenital deformity
• Tumor
• medical disease
• Upper limb
prosthetics are
devices designed to
replace, as much as
possible, the function
or appearance of a
missing upper limb.
• Upper limb orthoses
are devices designed
to support,
supplement, or
augment the
function of an
existing upper limb
Amputation levels
• Transphalangeal amputation: Resection of the thumb or fingers at distal interphalangeal (DIP),
proximal interphalangeal (PIP), or metacarpophalangeal (MCP) levels, or at any level in between
• Transmetacarpal amputation: Resection through the metacarpals
• Transcarpal amputation: Resection through the carpal bones; transmetacarpal and transcarpal
amputations are less advised because, except for select circumstances, they provide for
decreased functional outcomes
• Wrist disarticulation: Transection between the carpals and radius/ulna
• Transradial amputation: Below-elbow amputation (may be classified as long, medium, or short)
• Elbow disarticulation: Transection through the elbow joint
• Transhumeral amputation - Above-elbow (Standard length is 50-90% of humeral length.)
• Shoulder disarticulation: Transection through the shoulder joint
• Interscapulothoracic disarticulation (forequarter): Amputation removing the entire shoulder
girdle (scapula and all or part of the clavicle) (some surgeons choose to leave part of the medial
clavicle)
relevant terminology
• Residual limb: The preferred term for the remaining portion of the
amputated limb
• Relief: A concavity within the socket that is designed for areas that are
sensitive to high pressure (bony prominences)
• Buildup: A convexity that is designed for areas that are tolerant to high
pressure (such as a bulge)
• Terminal device: The most distal part of a prosthesis that substitutes for the
hand; it may be a prosthetic hand, a hook, or another device.
• Myodesis: Direct suturing of residual muscle or tendon to
bone/periosteum
• Myoplasty: Suturing of agonist-antagonist muscles pairs to each other
• Prehensile: Grasp
Upper limb transplantation
• Issues
• Challenges
considerations when choosing a prosthesis
• Amputation level
• Contour of the residual limb
• Expected function of the prosthesis
• Cognitive function of the patient
• Vocation of the patient (eg, desk job vs manual
labor)
• Avocational interests of the patient (ie, hobbies)
• Cosmetic importance of the prosthesis
• Financial resources of the patient
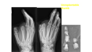
 43 year-old female, right-handed, cook
Traumatic amputation of right thumb and index finger
Underwent emergency debridement on day of injury
Unreplantable
thumb
Underwent right thumb reconstruction
with right big toe osteoplastic wrap-
around flap 1 week post-injury, after
counseling and consenting
Toe wrap based on
dorsalis pedis
10 months post op: flap debulking and scar revision
timeline for an amputation/prosthesis fitting
• Preamputation
• Surgical procedure
• Acute postsurgery
• Prosthesis fitting and
testing
• Preparatory vs definitive
prosthesis
Characteristics of a successful prosthesis
• comfortable to wear
• easy to put on and remove
• light weight,
• durable, and
• cosmetically pleasing
• function well mechanically and
• require only reasonable maintenance
• motivation of the individual
Principles
best type of surgical technique for an upper limb–deficient individual
is a myodesis approach, in which the surgeon sutures the residual
muscles to the bone rather than to one another
Complications
• postoperative pain
• Phantom sensation
• telescoping
Challenges
• upper limb amputations result from a traumatic event - no
preoperative stage
• difficult to disguise the loss of an upper limb
• extremely high expectations
• seeking counseling
Passive prostheses
variable rejection rates 6% (Kejlaa 1993) to 100% (van Lunteren et al. 1983)
Recent evidence suggests that cosmetic prostheses tend to have a higher rate of permanent use both in adult
and pediatric populations (Dudkiewicz et al. 2004; Crandall and Tomhave 2002)
life-like silicone gloving
higher prevalence of passive devices in UK /Sweden
myoelectric/body-powered more in West Germany /United States
elicit the fewest user concerns
wear temperature
glove problems,
excessive weight,
wear on clothes, and
strap irritation
osseointegration may in the future alleviate many areas of user dissatisfaction related to
discomfort with sockets and sleeves,
Various Upper Limb Prostheses
Type Pros Cons
Cosmetic Most
lightweight
Best cosmesis
Less
harnessing
High cost if
custom-made
Least function
Low-cost glove
stains easily
Body powered Moderate cost
Moderately lightweight
Most durable
Highest sensory feedback
Variety of prehensors available for various
activities
Most body movement needed to operate
Most harnessing
Least satisfactory appearance
Increased energy expenditure
Battery powered (myoelectric
and/or switch controlled)
Moderate or no harnessing
Least body movement needed to
operate
Moderate cosmesis
More function-proximal areas
Stronger grasp in some cases
Heaviest
Most expensive
Most maintenance
Limited sensory feedback
Extended therapy time for training
Hybrid (cable to elbow or TD and
battery powered)
If excursion to elbow and battery-
powered TD
If excursion to TD and battery-
powered elbow
All-cable excursion to elbow or TD
All-cable excursion to elbow
Increased TD pinch
All-cable excursion to TD
Low effort to position TD
Low-maintenance TD
Battery-powered TD weights forearm
(harder to lift but good for elbow
disarticulation or long THA)
Lower pinch for TD and least
cosmetic
Body-powered prostheses
popular choice in upper limb prosthetics
Overall rejection rates 16% to 66% (Bhaskaranand et al. 2003, Kruger
and Fishman 1993) Body-powered hands rejection rates as high as 80% (Millstein et al.
1986) and 87% (Kejlaa 1993), complaints targeting
• slowness in movement,
• awkward use,
• difficulty in cleaning and maintenance,
• excessive weight,
• insufficient grip strength and
• high-energy expenditure needed to operate (Millstein et al. 1986;
Kejlaa 1993).
Body-powered hooks on the other hand are
• functional value,
• durability,
• lower weight and
• good visibility of objects being handled and, overall,
• are more acceptable to users (Millstein et al. 1986)
Suspension
Options
Harness Figure-8 Transradial
Transhumeral
Light to normal activities
Simple, durable, adjustable Axillarypressure produces discomfort
Shoulder saddle and chest strap Transradial
Transhumeral
Heavy lifting
Greater liftingability, more
comfortable than figure-8 harness
Reduced control compared with
figure-8 harness; difficultto adjust in
women, because straps cross breasts
Self-suspending Munster Northwestern Supracondylar Wrist disarticulation
Elbow disarticulation
Short transradial Myoelectric
transradial
Ease of use Limitedlifting capacity compared with
harness systems, compromised
cosmesis, reduced elbow flexion
Suction Suction socket with air valve Transhumeral with good soft-tissue
cover
Secure suspension, eliminationof
suspension straps
Requires stable residual volume,
harder to put on than other
suspension systems
Gel sleeve with locking pin Transradial
Transhumeral Compromised limbs
with scarring or impairedskin
integrity
Accommodatelimb volume change
with socks,
reduced skin shear
Greater cleaning and hygiene
requirements,
can be uncomfortablein hot climates
Issues body-driven prostheses
• excessive wear temperatures,
• abrasion of clothes,
• wire failure,
• unattractive appearance,
• harness discomfort and/or breakage
Challenges -body-powered prostheses
• provision of more durable cables,
• more comfortable harnesses
• improved gloving material,
• increased wrist movement
• improved control mechanisms requiring less visual attention and
• Enabling coordination of multiple joints.
Electric prostheses advantages
Pros
appearance
increased pinch strength,
ease of operation, and
lack of harness
sensory feedback, overall function, and comfort,
Cons
increased maintenance
glove and battery replacement,
higher cost
higher weight
The main reasons reported for primary non-wear were
a perceived lack of need and discrepancies between the perceived need and the prostheses
The main reasons reported for secondary prosthesis rejection were
dissatisfaction with prosthetic comfort,
function and
control.
Implications for Rehabilitation
• Major upper-limb amputees (ULAs) are fitted with prostheses after the
amputation.
• This population-based study shows that proximal ULAs, elderly ULAs
and women have an increased risk of prosthesis rejection.
• Emphasising individual needs may facilitate successful prosthetic fitting.
• Improved prosthesis quality and individualised prosthetic training may
increase long-term prosthesis use.
J Med Eng Technol. 2011 Jan;35(1):1-18.
Making sense of artificial hands. Chappell PH.
The sensing of force, position (angle), object-slip and temperature
allows for the control of these hands automatically and frees the
user from cognitive burden. To make the best possible use of
individual sensing elements, future controllers will need to
combine data from different types of sensor. They may also have
an integral power supply using a small battery or harvest energy
from their environment and transmit data wirelessly.
sensing of force, position (angle), object-slip and temperature allows for the control of these
hands automatically and frees the user from cognitive burden.
Journal of Medical Engineering & Technology
The silicone gloves required less work and dissipated less
energy during flexing. They also had a lower joint stiffness and
required a lower maximum joint torque. Based on energy
requirements, joint stiffness, and required joint torque, the
tested silicone glove is most suitable for application on an
articulating hand prosthesis.
J Rehabil Res Dev. 2013 Aug;50(5):723-32.
• targeted muscle reinnervation, surgeons transfer nerves that
previously carried signals to the amputated limb to muscles in the
chest and upper arm.
• http://www.technologyreview.com/view/411996/patients-test-an-
advanced-prosthetic-arm/
Brain. 1996 Apr;119 ( Pt 2):593-609.
Action recognition in the premotor cortex.
Gallese V, Fadiga L, Fogassi L, Rizzolatti G.
Istituto di Fisiologia Umana, Università di Parma, Italy.
• Visualization , mental practice, visuo-motor imagery
• ventral pre-motor area are motor "command" neurons,
inferior frontal gyrus,making muscles do certain things;
• any given mirror neuron will also fire when one observes
another performing the same action
• Action words
Surgical skill acquisition
Mirror neurons
Electromyogram pattern recognition for control of powered upper-limb prostheses: State of the art and challenges for
clinical use. Erik Scheme, MSc, PEng; Kevin Englehart, PhD, PEng*
Institute of Biomedical Engineering, University of New Brunswick, Fredericton, Canada
JRRD Volume 48, Number 6, 2011 Pages 643–660
Journal of Rehabilitation Research & Development
DEKA
• The DEKA Arm is an advanced upper limb prosthesis, not yet available
for commercial use
• three configurations: radial configuration, humeral configuration, and
shoulder configuration.
• 6 preprogrammed grip patterns and four wrist movements.
Defense Advanced Research Project Agency to design a prosthetic arm system that
would be a dramatic improvement compared with the existing state of the art
Psychology graduate student /
Congenital below elbow left arm
amputee
http://aannggeellll.tumblr.com/post/56878186543/t
esting-out-the-new-deka-luke-arm-videos-will
Thank you
• www.handsurgeryedu.com
• www.handtherapyedu.com
• www.mbamedicine.com
• http://www.linkedin.com/gro
ups/Hand-Surgery-
International-3804094
• vaikunthan@gmail.com

Upper limb amputation rehabilitation

  • 1.
    Upper limb amputees MBBS(Mal),AM(Mal),FRCS(Ed),FRCS(Glasg),FICS(USA),MBA(USA), DipHand Surgery(Eur),Dip MedEd(Dundee), FHEA(UK), FFSTEd, FAcadMEd(UK) Senior Consultant Hand Surgeon, KTPH Alexandra Health, Honorary Senior Lecturer, YYL School of Medicine, National University of Singapore, Core Faculty for Orthopaedic Surgery and Hand and Reconstructive Micro Surgery, NHG Residency Program , SINGAPORE Dr Vaikunthan Rajaratnam
  • 2.
    The issues andchallenges
  • 4.
    • 2 millionpeople living with limb loss in the United States • main causes are vascular disease (54%) – including diabetes and peripheral arterial disease – • trauma (45%) and • cancer (less than 2%) 185,000 amputations/year hospital costs associated with amputation totaled more than $8.3 billion half of the individuals who have an amputation due to vascular disease will die within 5 years
  • 5.
    • Trauma accountedfor 54 per cent of these of which mechanical trauma was most common. Neoplasia accounted for 14 per cent of referrals. There has been an increase in the number of referrals following upper limb amputation due to a primary malignancy from 7 per cent in 2002/03 to 13 per cent in 2003/04. Dysvascularity as a cause of upper limb amputation was recorded in 8 per cent of referrals.Trauma was the most common cause within the 16 – 54 age group, but in the older age groups more referrals are made due to neoplasia.T
  • 6.
    reasons for anupper extremity amputation • Trauma • Correction of a congenital deformity • Tumor • medical disease
  • 7.
    • Upper limb prostheticsare devices designed to replace, as much as possible, the function or appearance of a missing upper limb. • Upper limb orthoses are devices designed to support, supplement, or augment the function of an existing upper limb
  • 8.
    Amputation levels • Transphalangealamputation: Resection of the thumb or fingers at distal interphalangeal (DIP), proximal interphalangeal (PIP), or metacarpophalangeal (MCP) levels, or at any level in between • Transmetacarpal amputation: Resection through the metacarpals • Transcarpal amputation: Resection through the carpal bones; transmetacarpal and transcarpal amputations are less advised because, except for select circumstances, they provide for decreased functional outcomes • Wrist disarticulation: Transection between the carpals and radius/ulna • Transradial amputation: Below-elbow amputation (may be classified as long, medium, or short) • Elbow disarticulation: Transection through the elbow joint • Transhumeral amputation - Above-elbow (Standard length is 50-90% of humeral length.) • Shoulder disarticulation: Transection through the shoulder joint • Interscapulothoracic disarticulation (forequarter): Amputation removing the entire shoulder girdle (scapula and all or part of the clavicle) (some surgeons choose to leave part of the medial clavicle)
  • 9.
    relevant terminology • Residuallimb: The preferred term for the remaining portion of the amputated limb • Relief: A concavity within the socket that is designed for areas that are sensitive to high pressure (bony prominences) • Buildup: A convexity that is designed for areas that are tolerant to high pressure (such as a bulge) • Terminal device: The most distal part of a prosthesis that substitutes for the hand; it may be a prosthetic hand, a hook, or another device. • Myodesis: Direct suturing of residual muscle or tendon to bone/periosteum • Myoplasty: Suturing of agonist-antagonist muscles pairs to each other • Prehensile: Grasp
  • 10.
    Upper limb transplantation •Issues • Challenges
  • 11.
    considerations when choosinga prosthesis • Amputation level • Contour of the residual limb • Expected function of the prosthesis • Cognitive function of the patient • Vocation of the patient (eg, desk job vs manual labor) • Avocational interests of the patient (ie, hobbies) • Cosmetic importance of the prosthesis • Financial resources of the patient
  • 17.
     43 year-oldfemale, right-handed, cook Traumatic amputation of right thumb and index finger Underwent emergency debridement on day of injury
  • 18.
  • 19.
    Underwent right thumbreconstruction with right big toe osteoplastic wrap- around flap 1 week post-injury, after counseling and consenting
  • 20.
    Toe wrap basedon dorsalis pedis
  • 21.
    10 months postop: flap debulking and scar revision
  • 23.
    timeline for anamputation/prosthesis fitting • Preamputation • Surgical procedure • Acute postsurgery • Prosthesis fitting and testing • Preparatory vs definitive prosthesis
  • 24.
    Characteristics of asuccessful prosthesis • comfortable to wear • easy to put on and remove • light weight, • durable, and • cosmetically pleasing • function well mechanically and • require only reasonable maintenance • motivation of the individual
  • 25.
    Principles best type ofsurgical technique for an upper limb–deficient individual is a myodesis approach, in which the surgeon sutures the residual muscles to the bone rather than to one another
  • 26.
    Complications • postoperative pain •Phantom sensation • telescoping
  • 27.
    Challenges • upper limbamputations result from a traumatic event - no preoperative stage • difficult to disguise the loss of an upper limb • extremely high expectations • seeking counseling
  • 28.
    Passive prostheses variable rejectionrates 6% (Kejlaa 1993) to 100% (van Lunteren et al. 1983) Recent evidence suggests that cosmetic prostheses tend to have a higher rate of permanent use both in adult and pediatric populations (Dudkiewicz et al. 2004; Crandall and Tomhave 2002) life-like silicone gloving higher prevalence of passive devices in UK /Sweden myoelectric/body-powered more in West Germany /United States elicit the fewest user concerns wear temperature glove problems, excessive weight, wear on clothes, and strap irritation osseointegration may in the future alleviate many areas of user dissatisfaction related to discomfort with sockets and sleeves,
  • 29.
    Various Upper LimbProstheses Type Pros Cons Cosmetic Most lightweight Best cosmesis Less harnessing High cost if custom-made Least function Low-cost glove stains easily
  • 30.
    Body powered Moderatecost Moderately lightweight Most durable Highest sensory feedback Variety of prehensors available for various activities Most body movement needed to operate Most harnessing Least satisfactory appearance Increased energy expenditure
  • 31.
    Battery powered (myoelectric and/orswitch controlled) Moderate or no harnessing Least body movement needed to operate Moderate cosmesis More function-proximal areas Stronger grasp in some cases Heaviest Most expensive Most maintenance Limited sensory feedback Extended therapy time for training
  • 32.
    Hybrid (cable toelbow or TD and battery powered) If excursion to elbow and battery- powered TD If excursion to TD and battery- powered elbow All-cable excursion to elbow or TD All-cable excursion to elbow Increased TD pinch All-cable excursion to TD Low effort to position TD Low-maintenance TD Battery-powered TD weights forearm (harder to lift but good for elbow disarticulation or long THA) Lower pinch for TD and least cosmetic
  • 33.
    Body-powered prostheses popular choicein upper limb prosthetics Overall rejection rates 16% to 66% (Bhaskaranand et al. 2003, Kruger and Fishman 1993) Body-powered hands rejection rates as high as 80% (Millstein et al. 1986) and 87% (Kejlaa 1993), complaints targeting • slowness in movement, • awkward use, • difficulty in cleaning and maintenance, • excessive weight, • insufficient grip strength and • high-energy expenditure needed to operate (Millstein et al. 1986; Kejlaa 1993). Body-powered hooks on the other hand are • functional value, • durability, • lower weight and • good visibility of objects being handled and, overall, • are more acceptable to users (Millstein et al. 1986)
  • 34.
    Suspension Options Harness Figure-8 Transradial Transhumeral Lightto normal activities Simple, durable, adjustable Axillarypressure produces discomfort Shoulder saddle and chest strap Transradial Transhumeral Heavy lifting Greater liftingability, more comfortable than figure-8 harness Reduced control compared with figure-8 harness; difficultto adjust in women, because straps cross breasts Self-suspending Munster Northwestern Supracondylar Wrist disarticulation Elbow disarticulation Short transradial Myoelectric transradial Ease of use Limitedlifting capacity compared with harness systems, compromised cosmesis, reduced elbow flexion Suction Suction socket with air valve Transhumeral with good soft-tissue cover Secure suspension, eliminationof suspension straps Requires stable residual volume, harder to put on than other suspension systems Gel sleeve with locking pin Transradial Transhumeral Compromised limbs with scarring or impairedskin integrity Accommodatelimb volume change with socks, reduced skin shear Greater cleaning and hygiene requirements, can be uncomfortablein hot climates
  • 35.
    Issues body-driven prostheses •excessive wear temperatures, • abrasion of clothes, • wire failure, • unattractive appearance, • harness discomfort and/or breakage
  • 36.
    Challenges -body-powered prostheses •provision of more durable cables, • more comfortable harnesses • improved gloving material, • increased wrist movement • improved control mechanisms requiring less visual attention and • Enabling coordination of multiple joints.
  • 37.
    Electric prostheses advantages Pros appearance increasedpinch strength, ease of operation, and lack of harness sensory feedback, overall function, and comfort, Cons increased maintenance glove and battery replacement, higher cost higher weight
  • 38.
    The main reasonsreported for primary non-wear were a perceived lack of need and discrepancies between the perceived need and the prostheses The main reasons reported for secondary prosthesis rejection were dissatisfaction with prosthetic comfort, function and control.
  • 39.
    Implications for Rehabilitation •Major upper-limb amputees (ULAs) are fitted with prostheses after the amputation. • This population-based study shows that proximal ULAs, elderly ULAs and women have an increased risk of prosthesis rejection. • Emphasising individual needs may facilitate successful prosthetic fitting. • Improved prosthesis quality and individualised prosthetic training may increase long-term prosthesis use.
  • 40.
    J Med EngTechnol. 2011 Jan;35(1):1-18. Making sense of artificial hands. Chappell PH. The sensing of force, position (angle), object-slip and temperature allows for the control of these hands automatically and frees the user from cognitive burden. To make the best possible use of individual sensing elements, future controllers will need to combine data from different types of sensor. They may also have an integral power supply using a small battery or harvest energy from their environment and transmit data wirelessly.
  • 41.
    sensing of force,position (angle), object-slip and temperature allows for the control of these hands automatically and frees the user from cognitive burden. Journal of Medical Engineering & Technology
  • 42.
    The silicone glovesrequired less work and dissipated less energy during flexing. They also had a lower joint stiffness and required a lower maximum joint torque. Based on energy requirements, joint stiffness, and required joint torque, the tested silicone glove is most suitable for application on an articulating hand prosthesis. J Rehabil Res Dev. 2013 Aug;50(5):723-32.
  • 44.
    • targeted musclereinnervation, surgeons transfer nerves that previously carried signals to the amputated limb to muscles in the chest and upper arm. • http://www.technologyreview.com/view/411996/patients-test-an- advanced-prosthetic-arm/
  • 45.
    Brain. 1996 Apr;119( Pt 2):593-609. Action recognition in the premotor cortex. Gallese V, Fadiga L, Fogassi L, Rizzolatti G. Istituto di Fisiologia Umana, Università di Parma, Italy. • Visualization , mental practice, visuo-motor imagery • ventral pre-motor area are motor "command" neurons, inferior frontal gyrus,making muscles do certain things; • any given mirror neuron will also fire when one observes another performing the same action • Action words
  • 46.
  • 47.
    Electromyogram pattern recognitionfor control of powered upper-limb prostheses: State of the art and challenges for clinical use. Erik Scheme, MSc, PEng; Kevin Englehart, PhD, PEng* Institute of Biomedical Engineering, University of New Brunswick, Fredericton, Canada JRRD Volume 48, Number 6, 2011 Pages 643–660 Journal of Rehabilitation Research & Development
  • 49.
    DEKA • The DEKAArm is an advanced upper limb prosthesis, not yet available for commercial use • three configurations: radial configuration, humeral configuration, and shoulder configuration. • 6 preprogrammed grip patterns and four wrist movements. Defense Advanced Research Project Agency to design a prosthetic arm system that would be a dramatic improvement compared with the existing state of the art
  • 51.
    Psychology graduate student/ Congenital below elbow left arm amputee http://aannggeellll.tumblr.com/post/56878186543/t esting-out-the-new-deka-luke-arm-videos-will
  • 53.
    Thank you • www.handsurgeryedu.com •www.handtherapyedu.com • www.mbamedicine.com • http://www.linkedin.com/gro ups/Hand-Surgery- International-3804094 • vaikunthan@gmail.com

Editor's Notes

  • #20  bone graft from ipsilateral olecranon was harvested