Trans Septal Puncture (TSP) in Cardiology
Dr Raghu Kishore Galla
Trans Septal Puncture(TSP) in Cardiology
• The left atrium(LA) is the most difficult cardiac chamber to access per
cutaneously.
• Although it can be reached via the left ventricle and mitral valve,
manipulation of catheters that have made two 180° turns is cumbersome.
• The trans septal puncture permits a direct route to the LA via the intra
atrial septum and systemic venous system
• The technique of trans septal puncture was developed to gain access to the
left atrium (LA) for pressure measurement
Trans Septal Puncture(TSP) in Cardiology
Trans Septal Puncture(TSP) in Cardiology
Trans Septal Puncture(TSP) in Cardiology
• Although the Radner technique meant that
the needle could traverse the pulmonary
artery or aorta on its way to the LA, it had a
very good safety record.
• These methods illustrated that the walls of
the cardiac chambers and great vessels
could tolerate passage of a very thin sterile
needle.
Trans Septal Puncture(TSP) in Cardiology
• The transseptal puncture was developed by Ross, Braunwald and Morrow at the
National Heart Institute (now the National Heart, Lung, and Blood Institute), Bethseda
in the late 1950s to allow left heart catheterisation, principally for the evaluation of
valvular heart disease.
• Important refinements were made to the needle and catheter such that
Brockenbrough’s description of the technique in 1962 differs little from that used now.
• Mullins developed a combined catheter and dilator set designed precisely to fit over
the Brockenbrough needle, which gives a smooth taper from the tip of the needle,
over the dilator to the shaft of the sheath
Trans Septal Puncture(TSP) in Cardiology
Ross J Jr. Trans-septal left heart catheterization:
a new method of left atrial puncture.
Ann Surg 1959;149:395– 401.
Dr John Ross
Trans Septal Puncture(TSP) in Cardiology
Safety feature was incorporated into the
transseptal equipment when the originalRoss
needle was modified to have the distal 1.5 cm of
the needle of smaller caliber.
The needle has at its hub a direction arrow that
corresponds to the needle curve, necessary when
viewing the needle on fluoroscopy.
The Brockenbrough catheter allows the distal 1.5
cm of the needle to protrude beyond its tip. It distal
side holes for contrast injection.
The Brockenbrough needle can also be used with
the Mullins catheter, which has a more tapered tip
without side holes . It allows the distal 1 cm of the
needle to protrude
Trans Septal Puncture(TSP) in Cardiology
• In 1966, William Rashkind, an
American pediatric cardiologist at
the Children’s Hospital, Philadelphia,
invented the lifesaving procedure
that bears his name.
• Atrial Septostomy (AS), or Rashkind
Septostomy, is an endovascular inter
vention that maintains this vitally
important opening between the right
and left atria until definitive surgery
is performed in TGA.
Trans Septal Puncture(TSP) in Cardiology
• Previously the technique was used frequently by interventional cardiologists for
mitral valvuloplasty..
• Explosion of interest in catheter ablation of AF has meant the transseptal
puncture is a routine skill of the modern cardiac electrophysiologist.
• Over the last 25 years, cardiac electrophysiologists have become the most
proficient in performing trans septal puncture and are by far the most common
cardiac subspecialists called upon to effectively and safely puncture the
interatrial septum.
Trans Septal Puncture(TSP) in Cardiology
Trans Septal Puncture(TSP) in Cardiology
Embryology of inter atrial septum
• The primitive sinuatrium is separated into right and left atria by the downward
growth of the septum primum from the roof of the sinuatrium toward the AV canal,
thereby creating an inferior intera-trial opening known as the ostium primum.
• Soon after, numerous perforations form in the anterior–superior portion of the
septum primum, eventually coalescing to form the ostium secundum.
• The septum secundum begins to develop to the right of the septum primum and
eventually leads to complete separation of the left and right atria with the exception
of a small central opening the Fossa Ovalis (FO).
Trans Septal Puncture(TSP) in Cardiology
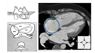
• The FO usually located posteriorly at the
junction of the mid- and lower third of
the right atrium has traditionally been
the targeted site for (TSP) given the
relatively thin tissue overlying this
region which facilitates needle puncture
and advancement of the transseptal
dilator and sheath apparatus across the
atrial septum.
Embryology of inter atrial septum
Trans Septal Puncture(TSP) in Cardiology
Anatomy of the inter atrial septum
Trans Septal Puncture(TSP) in Cardiology
Indications for trans-septal catheterization
• BMV
• Edge-to-edge MV repair
• PFO/ASD closure
• Antegrade BAV
• LAA occlusion
• Paravalvular leak closure
• Percutaneous LVAD
(Tandem Heart)
• EP – LA and LV arrhythmias
• Dilation/Stenting of PV stenosis (post-ablation)
• Left heart hemodynamics
• Rarely Aortic stent grafts
• Historically Transeptal TAVI
Trans Septal Puncture(TSP) in Cardiology
Contraindications
Absolute!
LA cavity or septal thrombus/tumour
Relative
Distorted anatomy –
heart/thorax/spine
Huge LA/RA enlargement
Enlarged aortic root
Interrupted IVC
Post ASD patch repair
Experts can find a way around!
Trans Septal Puncture(TSP) in Cardiology
WE need 3 things
Anatomical
Landmarks
HARDWARE
Imaging Guidance
Trans Septal Puncture(TSP) in Cardiology
21
gauge
18
gauge
270° curve
71 cm
67 cm
59 cm
Trans Septal Puncture(TSP) in Cardiology
MULLINS SHEATH AND DILATOR SYSTEM (Medtronic Inc.)
Size Sheath length Dilator length Wire size max.
ADULT
8 Fr +/- hemostatic valve 59 cm 67 cm .032 in
PEDIATRIC
8 Fr 44 cm 52 cm .025 in
6 Fr 44 cm 52 cm .025 in
BROCKENBROUGH NEEDLE (Medtronic Inc.)
Shaft Size Tip Size Length
ADULT
18 gauge 21 gauge 71 cm
PEDIATRIC
19 gauge 22 gauge 56 cm
Trans Septal Puncture(TSP) in Cardiology
Trans Septal Puncture(TSP) in Cardiology
• BRK-1 may be easier for flat septum, normal size LA
• BRK may be better for curved LA septum eg mitral stenosis
• You can bend the needle to alter the curve
Trans Septal Puncture(TSP) in Cardiology
Trans Septal Puncture(TSP) in Cardiology
WE need 3 things
ANATOMICAL
LANDMARKS
Hardware
Imaging Guidance
Trans Septal Puncture(TSP) in Cardiology
Trans Septal Puncture(TSP) in Cardiology
12
9 3
6
Trans Septal Puncture(TSP) in Cardiology
12
9 3
6
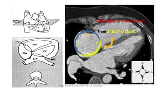
IAS plane in supine patient
From 2’ to 7’ o clock
Trans Septal Puncture(TSP) in Cardiology
12
9 3
6
Normal Fossa ovalis plane
4’ to 6’ o clock
Trans Septal Puncture(TSP) in Cardiology
12
9 3
6
Trans Septal Puncture(TSP) in Cardiology
12
9 3
6
Huge LA with Bulging septum –
Fossa ovalis shifts inferiorly and posteriorly
to 7’ or even 8’ o clock
Trans Septal Puncture(TSP) in Cardiology
12
9 3
6
Small LA with inward septum –
Fossa ovalis shifts more anteriorly
3’ to 4’ o clock
Trans Septal Puncture(TSP) in Cardiology
RAO VIEW
Trans Septal Puncture(TSP) in Cardiology
AP VIEW
Trans Septal Puncture(TSP) in Cardiology
LATERAL VIEW
Trans Septal Puncture(TSP) in Cardiology
Trans Septal Puncture(TSP) in Cardiology
WE need 3 things
Anatomical
Landmarks
Hardware
IMAGING
GUIDANCE
Trans Septal Puncture(TSP) in Cardiology
IMAGING guidance
• FLUOROSCOPY
• TTE
• TEE
• ICE
• CT
• MRI
• ECG
Trans Septal Puncture(TSP) in Cardiology
INUOE Angiographic method
Cath Cardiovasc Diagn. 1993;28:119-25
Trans Septal Puncture(TSP) in Cardiology
INUOE Angiographic method
Cath Cardiovasc Diagn. 1993;28:119-25
Trans Septal Puncture(TSP) in Cardiology
INUOE Angiographic method
Cath Cardiovasc Diagn. 1993;28:119-25
PM=1.2 times vertebral width
Trans Septal Puncture(TSP) in Cardiology
HUNG’S MODIFIED METHOD
(no Angio – only aortic root pigtail)
Cath Cardiovasc Diagn. 1992;26:275-84
Trans Septal Puncture(TSP) in Cardiology
Cath Cardiovasc Diagn. 1992;26:275-84
HUNG’S MODIFIED METHOD
(no Angio – only aortic root pigtail)
Trans Septal Puncture(TSP) in Cardiology
TRANS-SEPTAL PUNCTURE
Trans Septal Puncture(TSP) in Cardiology
Transseptal Procedure Steps
1. Prepare equipment. Sheath, dilator, BRK needle.
2. Introduce sheath/dilator into SVC over 0.032” wire.
3. Position BRK needle inside assembly.
4. Drag assembly into RA in PA view, it will move medially to the left and
engage the Fossa Ovalis.
5. Confirm correct position in RAO (ant-post: needle should be post to pigtail
in aorta parallel with spine.
Trans Septal Puncture(TSP) in Cardiology
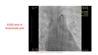
0.032 wire in
innominate vein
Trans Septal Puncture(TSP) in Cardiology
Sheath dilator assembly
in innominate vein
1. Advance sheath + dilator
over 0.032” wire to SVC
2. Advance BRK needle to 1cm
of end of dilator
Trans Septal Puncture(TSP) in Cardiology
Steps for TS Puncture
Withdraw the TS catheter in PA view until it moves medially
PA or mild LAO RAO
Trans Septal Puncture(TSP) in Cardiology
TSP Points
• Withdrawing the transseptal sheath/dilator/needle assembly from the
superior vena cava (SVC) into the RA in the left anterior oblique (LAO)
view.
• Two distinct jumps of the assembly should be visible:
– First marking passage of the sheath/dilator/needle from the SVC into the RA.
– Second marking passage of the assembly over the muscular limbus and into
the FO.
Trans Septal Puncture(TSP) in Cardiology
Descent from SVC –
RA
RA – fossa
Trans Septal Puncture(TSP) in Cardiology
Imaginary mid-line
(If LA silhouette not visible – Take RA
± PA angiogram for LA)
Trans Septal Puncture(TSP) in Cardiology
In the RAO
projection it is vital to keep
the tip of the needle
posterior to the pigtail or
running parallel
to the coronary sinus
catheter to avoid
puncturing the aortic root
Trans Septal Puncture(TSP) in Cardiology
Check in RAO
(check needle tip away from Aorta
and CS)
Trans Septal Puncture(TSP) in Cardiology
Check in LAO/lateral
(check needle tip away from Aorta and in
inferoposterior third)
Trans Septal Puncture(TSP) in Cardiology
TSP Points
• For the puncture the needle should be held in the fingers of the right
hand with the left hand holding the sheath and dilator controlling
movement of the whole assembly.
• With the x ray positioned at 30 left anterior oblique (LAO) the sheath
and catheter are rotated so that both are pointing approximately to the
4–5 o’clock position.
Trans Septal Puncture(TSP) in Cardiology
Heart 2009;95:85–92. doi:10.1136/hrt.2007.135939
Trans Septal Puncture(TSP) in Cardiology
6. Confirm in LAO: needle should be directed posterior.
7. Advance needle into LA. Confirm by pressure, LA injection of
contrast by fluoroscopy.
8. Advance sheath/dilator into LA. Careful about tenting septum and not
pushing needle too far into LA.
9. Remove dilator and needle.
Transseptal Procedure Steps
Trans Septal Puncture(TSP) in Cardiology
Push assembly/
needle puncture
(If satisfied by anatomical
landmarks and/or pulsation)
Trans Septal Puncture(TSP) in Cardiology
Check in AP/RAO view
by angio / pressure / saturation
(If satisfied – advance dilator/sheath)
Trans Septal Puncture(TSP) in Cardiology
Transseptal Puncture: Pressure Monitoring
Pressure tracing from the tip of the transseptal needle during a successful puncture of the intra-atrial septum.As the assembly is
pulled down from the SVC to the right atrium and into the fossa ovalis, the pressure tracing gradually dampens and then becomes a
straight line to indicate the dilator is abutting the septum. When the puncture is made (arrow) there is a sudden elevation of pressure
as the needle passes through the septum before a definite left atrium pressure wave is seen.
Trans Septal Puncture(TSP) in Cardiology
Giant RA
Small LA Normal LA
Septal
bulge Giant
RA
Forceful torque
to middle
of IAS
Enlarged LA
6’ or 7’o clock
Enlarged RA
Bend the needle
No jumps/pulsation
Anatomic landmarks
Trans Septal Puncture(TSP) in Cardiology
ICE & TEE
• The use of Intra-Cardiac Echocardiography (ICE) can also facilitate double
TSP when the use of multiple sheaths in the LA is required.
• Both Transesophageal Echocardiography (TEE) and ICE can accomplish
these goals, ICE has the additional advantages of not requiring a second
operator or general anesthesia.
Heart 2009;95:85–92. doi:10.1136/hrt.2007.135939
Trans Septal Puncture(TSP) in Cardiology
TEE Should Make it Safer and Easier than Fluoro Guided
Puncture
Trans Septal Puncture(TSP) in Cardiology
TEE Guided TSP
heart.bmj.com on 16 June 2009 Trans Septal Puncture(TSP) in Cardiology
TEE Guided: Tenting Atrial Septum
Trans Septal Puncture(TSP) in Cardiology
Sheath enters LA and tents or pulls the septum, then “pops” through. You
have to be well inside the LA with the sheath, or the sheath may spring back
into the RA when you remove the dilator or guidewire.
Trans Septal Puncture(TSP) in Cardiology
Thick Atrial Septum
Trans Septal Puncture(TSP) in Cardiology
ICE
• Intracardiac echocardiography in preventing serious or even fatal
complications in transseptal procedures when the cardiac anatomy is
unusual or distorted.
• It also helps to understand the possible mechanisms of mechanical
complications in cases where fluoroscopic images are apparently
normal.
Trans Septal Puncture(TSP) in Cardiology
ICE
• Steerable and deflectable ICE 8F and 10F diagnostic ultrasound
catheter :
– 64-element vector phased-array transducer (5.5-10 MHz) with
full Doppler capabilities including color Doppler, tissue Doppler
and spectral Doppler.
– Biplane fluoroscopy is recommended to safely advance the
catheter to the desired position.
Trans Septal Puncture(TSP) in Cardiology
ICE
Trans Septal Puncture(TSP) in Cardiology
Radiofrequency Perforation of LA Septum
Trans Septal Puncture(TSP) in Cardiology
Alternate Techniques
• Application of Bovie electrocautery
at hub of BRK
• Puncture septum with stiff end
of 0.014 guidewire
• SafeSept Guidewire
Trans Septal Puncture(TSP) in Cardiology
SafeSept trans-septal guidewire
• The “SafeSept” is a trans-septal guidewire designed to easily cross
the IAS through the trans-septal needle thanks to a special sharp tip
that allows it to penetrate the fossa ovalis without the use of a
particular hard contact.
• SafeSept is non-traumatic when advanced into the left atrium
because of its rounded J shape.
World J Cardiol 2015 August 26; 7(8): 499-503 ISSN 1949-8462
Trans Septal Puncture(TSP) in Cardiology
SafeSept trans-septal guidewire
World J Cardiol 2015 August 26; 7(8): 499-503 ISSN 1949-8462
Trans Septal Puncture(TSP) in Cardiology
SafeSept trans-septal guidewire
World J Cardiol 2015 August 26; 7(8): 499-503 ISSN 1949-8462
Trans Septal Puncture(TSP) in Cardiology
Trans Septal Puncture(TSP) in Cardiology
(A) Fixed-curve sheath. (B) Steerable sheath (Agillis). (C) BRK (Brockenbrough) transseptal
needle. (D) SafeSept wire. (E) NRG radiofrequency needle.
Trans Septal Puncture(TSP) in Cardiology
Complications of TSP
Pericardial Effusion Tamponade
RA and LA needle puncture
Aortic Puncture/Perforation
Death
Air Embolism or TIA
Transient ST Elevation
Persistent ASD
Trans Septal Puncture(TSP) in Cardiology
• Overall Mortality <1%
• MUST LEARN
PERICARDIOCENTASIS
BEFORE SEPTAL
PUNCTURE
• Echo must be readily
available
Trans Septal Puncture(TSP) in Cardiology
Pericardial Tamponade
Reverse Anticoagulation
Heparin: Protamine
Coumadin: FFP
Pericardiocentesis and placement of pericardial drain
Trans Septal Puncture(TSP) in Cardiology
STITCH PHENOMENA
In large LA - no septum beyond or near the
right lateral and inferior border of LA -
Overlapping walls of RA and LA form this region
- If this region punctured - both RA and LA get
involved in effusion!
(Puncture- RA free wall - PERICARDIAL SPACE –
LA lateral wall)
Needs emergency surgery!
Trans Septal Puncture(TSP) in Cardiology
Think before pulling out!
After septal puncture – always wait for 2 minutes, watch hemodynamics/echo, then give heparin
MANAGEMENT OF STITCH/EFFUSION
• Only a needle puncture-wait and watch. defer the procedure and repeat echo in regular intervals
• If effusion is small and Balloon in left atrium - do BMV as reduction in LA pressure will decreases
the leak
• If septum is dilated, don’t remove the dilator - Pigtail insertion and SHIFT TO CTVS with dilator in
situ
• Reverse Heparin (1 mg protamine per 100 U of UFH)
• Autotransfusion
Trans Septal Puncture(TSP) in Cardiology
AORTIC ROOT STAIN
• Abandon procedure
• Observe for
hemodynamics/effusion
• Only a needle puncture -
wait and watch.
• defer the procedure and
repeat echo in regular
intervals
Trans Septal Puncture(TSP) in Cardiology
Aortic root perforation
Trans Septal Puncture(TSP) in Cardiology
Transcatheter Repair of Aortic Perforation
Webber MR et al. J Invasive Cardiol 2013 May;25(5):E10-13
Trans Septal Puncture(TSP) in Cardiology
THROMBOEMBOLISM
• A higher than expected incidences of intraoperative thrombus detected on the
transseptal sheath and in the LA during PVI procedures (8% to 11%), PBMV and
MV repair.
• Routinely administer 2,000 to 5,000 U of unfractionated heparin before TSP and a
total of 200 U/kg to achieve an ACT >300 s after obtaining access to the LA.
• Cerebral protection with bilateral carotid filters can be used in patients undergoing
TSP who are at higher risk for stroke (e.g., those with LAA thrombus or dense
spontaneous echocardiographic contrast).
• If detected on TEE or ICE, intracardiac thrombus can be effectively removed with
vigorous aspiration
Trans Septal Puncture(TSP) in Cardiology
THROMBOEMBOLISM
(A, B) Thrombus on the transseptal sheath in the right atrium detected on transesophageal echocardiography (arrow). (C, D) Large
thrombus formed on the transseptal sheath in the LA detected on intracardiac echocardiography.
Trans Septal Puncture(TSP) in Cardiology
AIR EMBOLISM
• Air embolism is often a clinically silent event because of its transient nature and
the procedural sedation.
• Coronary ischemia, stroke, hypotension, and cardiac arrest have been reported
• Air emboli may enter the LA because of accidental injection of air or inadequate
de-airing of the system.
• Prompt interventions including volume loading, oxygenation, lidocaine, manual
thrombectomy, vasopressors, and hyperbaric oxygen can be effective in treating
patients with large air emboli and those with dramatic symptoms.
Trans Septal Puncture(TSP) in Cardiology
Transient ST Elevation
• Transient ST elevation in the inferior ECG leads with or without chest pain has
been reported in 0.6% of cases.
• a vagal response to the direct mechanical disruption of the autonomic network
of the heart by the catheter during the puncture
• coronary air embolism which may occur by not paying rigorous attention to
delaying the assembly.
Trans Septal Puncture(TSP) in Cardiology
IATROGENIC ATRIAL SEPTAL DEFECT
• Not uncommon, especially when large-bore
transseptal sheaths are used.
• Possible detrimental effects (hypoxemia,
heart failure, and systemic embolization) in
some patients
• Systematic surveillance with serial
echocardiography following large-bore access
into the LA might be necessary,
• Elective closure of the iatrogenic septal defect
should be considered in selected patients
Trans Septal Puncture(TSP) in Cardiology
Rare complications
• Vena cava perforation
• Coronary artery dissection
• Detachment of the tip of the transseptal sheath
• Acute pericarditis
Trans Septal Puncture(TSP) in Cardiology
Complications of Transseptal Puncture
De Ponti et al. JACC 2006;47:1037-1042
Italian Multicenter Survey: 5520 procedures over 12 years
Trans Septal Puncture(TSP) in Cardiology
Emerging techniques requiring TSP
Trans Septal Puncture(TSP) in Cardiology
TS catheterization in electrophysiology (EP)
• The cardiac subspecialty of EP accounts for the single most common context in
which TS punctures are performed
• Interest in the refinement and perfection of the TS technique has paralleled the
dramatic increase in the number of ablative procedures performed AF in the last
10 years
• In addition to RF ablation of AF, TSP is routine for
- accessory pathways along the mitral annular region
- LA tachycardias and flutters
- variants of AVNRT.
Trans Septal Puncture(TSP) in Cardiology
TS catheterization in electrophysiology (EP)
• The TSP is also a useful alternative to the
retroaortic approach for ablation within the left
ventricle and left ventricular outflow tract.
• In most centers, TS puncture is performed
under fluoroscopic biplanar guidance .
• a diagnostic catheter in the coronary sinus aids
in the localization of the fossa ovalis.
Trans Septal Puncture(TSP) in Cardiology
TS catheterization in electrophysiology (EP)
Fluoroscopic images demonstrating the correct positioning of the TS assembly on the FO using a decapolar coronary sinus
(CS) catheter as an anatomical guide. The proximal poles of the catheter have been positioned at the os of the CS. A second
sheath is also visible in the RA. In the LAO projection the needle is pointing medially and is superior to the CS os. In the RAO
projection it can be appreciated that the needle is posterior to the CS os and runs approximately parallel to the decapolar
catheter. By confirming this position inadvertent puncture of the aortic root is avoided.
Trans Septal Puncture(TSP) in Cardiology
TS catheterization in electrophysiology (EP)
• Often, EP procedures require 2 or more sheaths across the fossa ovalis.
• This can be accomplished by 2 separate TS punctures or a single pass with the
Brockenbrough needle.
• The initial sheath, which is already across the atrial septum, can be withdrawn into
the RA over a guidewire in the LA.
• A second sheath or ablation catheter can then pass through the previously created
rent in the septum. The initial sheath is then reinserted over the guidewire.
• On occasion, patients require repeat TS procedures for AF ablation
Trans Septal Puncture(TSP) in Cardiology
(a) A RAO projection where the first transseptal sheath (with circular mapping catheter) can be visualized in the LA. The second
transseptal needle/dilator apparatus can be seen engaging the IAS in a more anterior position (slightly to the right of the spine) in
anticipation of the second transseptal puncture. The ICE catheter can be seen in the body of the RA (overlying the spine) with
slightly posterior tilt to bring the IAS into view. A duodecapolar catheter is positioned in the coronary sinus. (B) A corresponding
left anterior oblique (LAO) projection is shown after the second transseptal sheath has been position in the LA.
Trans Septal Puncture(TSP) in Cardiology
TS catheterization in electrophysiology (EP)
• If previous punctures have been performed, the fossa ovalis can become thickened
and fibrotic.
• This can obscure the physical landmarks, prevent the characteristic leftward
movement of the TS needle into the fossa, and require significant forward pressure
for puncture with the needle.
• In this situation and in the case of prior aortic root surgery adjuncts to fluoroscopic
visualization, such as intracardiac or TEE, are most useful.
Trans Septal Puncture(TSP) in Cardiology
Transcatheter mitral valve repair
• Percutaneous edge-to-edge mitral valve repair
using the MitraClip device (Abbott Vascular, Santa
Clara, California) demonstrated superior safety and
similar improvement in clinical outcomes compared
with conventional surgery in patients with severe
degenerative MR who are at high risk for surgery.
• The MitraClip device has been used in more than
30,000 patients worldwide for both functional and
degenerative MR.
Trans Septal Puncture(TSP) in Cardiology
Transcatheter mitral valve-in-valve therapy
• Initial results with transcatheter transseptal
mitral valve-in-valve implantation are
promising.
• If this therapy is proved durable, it would
provide an excellent alternative to re-
operation for patients with failed mitral bio
prostheses.
Trans Septal Puncture(TSP) in Cardiology
Transcatheter mitral valve implantation
• Several dedicated transcatheter
mitral valve systems are in the early
phase of development.
• The CardiAQ valve (CardiAQ, Irvine,
California) is currently the only trans
catheter mitral valve with a trans
femoral transseptal delivery system
under testing
Trans Septal Puncture(TSP) in Cardiology
Mitral paravalvular leak (PVL) repair
• PVL occurs in 5% to 17% of patients after valve
replacement surgery.
• Repeat surgery has been the traditional
treatment for PVL, but it is associated with high
operative mortality and variable results.
• Percutaneous repair of mitral PVL using a
transseptal route is an effective alternative to
surgery, with feasibility and efficacy
demonstrated in multiple studies
Trans Septal Puncture(TSP) in Cardiology
Mitral valve interventions
• Proper guiding catheter position is the most important initial step of the MitraClip
procedure. Targeted TSP facilitates suitable guide position and allows the clip to
reach the middle of the mitral orifice.
• A suboptimal TSP site may result in inadequate treatment of MR .
• For central MR jets, the operator aims for a posterior and slightly superior TSP.
• Higher TSP heights are needed for more medial jets, while lower transseptal sites
are more appropriate when lateral jets are targeted.
• The position of the TSP for mitral PVL closure requires similar forethoughts.
Trans Septal Puncture(TSP) in Cardiology
Mitral valve interventions
• For defects away from the IAS, the location of the puncture is less
critical.
• However, for medial defects, a posterior and slightly superior puncture
provides the appropriate working height within the LA and allows readily
access to the defect.
• In PBMV and transseptal mitral valve-in-valve implantations, a
midposterior puncture is usually adequate and provides a favorable
working height in the LA and a coaxial plane with the MV.
Trans Septal Puncture(TSP) in Cardiology
• The efficacy of PVI in treating drug-refractory
AF has been established, with more than 15
years of clinical studies.
• This indication has accounted for most of the
growth in the use of TSP in the past 2 decades.
• Ensuring adequate reach of the radiofrequency
(RF) or cryoballoon (CB) catheter is essential to
achieve successful ablation, especially when
addressing right-sided veins
Pulmonary Vein Isolation(PVI)
Trans Septal Puncture(TSP) in Cardiology
Pulmonary Vein Isolation(PVI)
• In RF ablation, some experts prefer a relatively anterior crossing of the IAS to allow
adequate room for deflectable sheaths and catheters.
• Others suggest that a posterior TSP allows better angling of the ablation catheters
toward the PVs.
• In CB ablation, the CB catheter uses the anterior balloon surface to push against the
atrial tissue around the PV ostium.
• Therefore, a more anterior crossing of the IAS provides the most favorable approach
for accessing all PVs with the CB, particularly the right inferior PV.
Trans Septal Puncture(TSP) in Cardiology
LA appendage(LAA) closure
• Percutaneous occlusion of the LAA is equivalent
to warfarin in preventing stroke in patients with
nonvalvular AF and is associated with a lower
bleeding risk.
• Percutaneous LAA closure can be achieved with a
transseptal approach with the Watchman device
(Boston Scientific, Marlborough, Massachusetts)
and the Amplatzer Cardiac Plug (St. Jude
Medical, St. Paul, Minnesota),
• an epicardial approach with the Aegis system
(Aegis Medical, Vancouver, British Columbia,
Canada), or a hybrid approach with the LARIAT
system (SentreHEART, Palo Alto, California).
• The Watchman device is the only LAA occluder to
receive approval in the United States.
Trans Septal Puncture(TSP) in Cardiology
LA appendage(LAA) closure
• The long axis of the LAA is oriented anteriorly, and the plane of the LAA ostium is
perpendicular to that axis.
• Successful coaxial device deployment depends on the ability to position the
delivery sheath with sufficient depth into the LAA.
• This is best accomplished with a posterior-anterior trajectory of the sheath.
Therefore, a posterior TSP provides the most favorable sheath orientation
• For the Watchman device and the Amplatzer Cardiac Plug, midseptal to slightly
inferior TSP is ideal.
• For the LARIAT device, a more superior location has been suggested.
• A TSP that is too superior or too anterior can make it difficult to align the sheath
with the long axis of the LAA and poses a challenge to device delivery, especially
with retroverted LAAs Trans Septal Puncture(TSP) in Cardiology
Percutaneous LV assist Devices
• Percutaneous left ventricular assist devices such as
the TandemHeart (Cardiac Assist, Pittsburgh, Penn -
sylvania) can be used to support patients in
cardiogenic shock or as a temporary application
during high-risk coronary intervention.
• Another form of percutaneous LV assist device is
transseptal ECMO
• This technique is applied in patients with persistent
pulmonary edema despite traditional venoarterial
extracorporeal membrane oxygenation.
Trans Septal Puncture(TSP) in Cardiology
Percutaneous LV assist Devices
• In these cases, a “venting” cannula is placed in LA through a TSP and is
incorporated into the extracorporeal membrane oxygenation circuit using
a Y connection
• Mid-FO access for central transseptal catheter positioning allows more
room in the left atrium and reduces the likelihood of device malfunction
because of cannula–LA wall contact.
Trans Septal Puncture(TSP) in Cardiology
Different sites of TSP
• Mitra clip or paravalvular leak closure
• Trans septal PFO closure
•Percutaneous LV assist device placement
• LAA closure
• Pulmonary vein interventions
Trans Septal Puncture(TSP) in Cardiology
DIFFICULT TSP
Trans Septal Puncture(TSP) in Cardiology
DIFFICULTY WITH ACCESS TO THE RIGHT ATRIUM
• Sometimes obtaining a TSP through RFV access is challenging or not
possible
• Extreme venous tortuosity - the transseptal sheath can be exchanged with
a long (45-cm) sheath that is 2 F larger in diameter
• Attempting to the needle in a kinked sheath can result in perforation of
the sheath
• A secondary bend in the transseptal needle 2 to 3 cm proximal to the
primary bend provides adequate reach and allows a targeted TSP
Trans Septal Puncture(TSP) in Cardiology
DIFFICULTY WITH ACCESS TO THE RIGHT ATRIUM
• Presence of an IVC filter does not preclude successful execution of the procedure,
even when large sheaths and cannulas must be advanced through the filter
• Iliofemoral veins and/or the IVC are patent but have severe stenosis, percutaneous
revascularization may be considered to allow access
• Alternative access should be considered - Left FV and right IJV access has been
successfully used to perform catheter ablation of AF and BMV .
• Transapical access is the alternative access of choice. On rare occasions, direct
right atrial access can be used as a last resort
Trans Septal Puncture(TSP) in Cardiology
DIFFICULTY WITH ENGAGEMENT OF THE FO
• Severe kyphoscoliosis
• Abnormally rotated heart due to ventricular hypertrophy or prior surgery
• Enlarged left or right atrium
• dilated ascending aorta
• excessive cardiac motion with respiration
Can overcome by…
• using a large-curved transseptal needle
• manually adding a secondary bend to the transseptal needle
• using adjunctive real-time imaging guidance
Trans Septal Puncture(TSP) in Cardiology
DIFFICULTY WITH NEEDLE ADVANCEMENT
Thickened septum…
• Many patients with AF or SHD had prior TSP or a hypertrophied or fibrotic IAS.
• Repeat TSPs are more difficult, less often successful, and potentially associated with more
complications
Can overcome by….
• Large-curved transseptal needle (e.g., BRK-1),
• advancement of transseptal needle stylet or sharp-tipped wires (e.g., SafeSept)
through the needle to facilitate needle crossing
• using an RF transseptal needle
• Adjunctive imaging with ICE
Trans Septal Puncture(TSP) in Cardiology
Prior septal occluder
• In case of a prior septal occluder device, transseptal access can be obtained in
portions of the native IAS in the majority of cases.
• Direct transoccluder puncture is rarely necessary but has been reported .
• In patients with surgically repaired IAS, puncture can be performed through
neighboring native IAS tissue or through the patch itself in case of a pericardial or
Dacron patch, but not in case of a Gore-Tex patch because of its resistant texture
Trans Septal Puncture(TSP) in Cardiology
DIFFICULTY WITH SHEATH AND GUIDE ADVANCEMENT.
• Even if the transseptal needle is able to cross the IAS, significant difficulty may be
encountered with advancing the sheath across the FO
• Particularly a problem with braided or steerable sheaths because of the “step” in
size between the dilator and the sheath.
• Forceful advancement of the transseptal apparatus can reduce fine control and
potentially lead to atrial perforation.
Can overcome by…
• Redirecting the sheath and dilator apparatus with careful clockwise or counter
clockwise torsion often allows the apparatus to penetrate the resistant IAS.
Trans Septal Puncture(TSP) in Cardiology
DIFFICULTY WITH SHEATH AND GUIDE ADVANCEMENT.
• This is best done over a SafeSept or a coronary wire to avoid perforating the left
atrium.
• Alternatively, lower profile sheath-dilator combinations (e.g., SR0, Mullins) may be
used to further dilate the FO.
• Finally, balloon septostomy may be needed to adequately dilate the FO.
• Balloon septostomy is often required in transseptal interventions that use large-
bore sheaths (e.g., mitral valve-in-valve)
Trans Septal Puncture(TSP) in Cardiology
Conclusion:
1.Understand the Anatomy
2.Know the Fluoroscopic Landmarks
3.Use TEE or ICE
4.Be Prepared to Deal With Challenging
Anatomy
5.Be Prepared to Deal with Complications
Trans Septal Puncture(TSP) in Cardiology
THANK YOU
Trans Septal Puncture(TSP) in Cardiology

Trans septal Puncture in Cardiology

  • 1.
    Trans Septal Puncture(TSP) in Cardiology Dr Raghu Kishore Galla Trans Septal Puncture(TSP) in Cardiology
  • 2.
    • The leftatrium(LA) is the most difficult cardiac chamber to access per cutaneously. • Although it can be reached via the left ventricle and mitral valve, manipulation of catheters that have made two 180° turns is cumbersome. • The trans septal puncture permits a direct route to the LA via the intra atrial septum and systemic venous system • The technique of trans septal puncture was developed to gain access to the left atrium (LA) for pressure measurement Trans Septal Puncture(TSP) in Cardiology
  • 3.
  • 4.
  • 5.
    • Although theRadner technique meant that the needle could traverse the pulmonary artery or aorta on its way to the LA, it had a very good safety record. • These methods illustrated that the walls of the cardiac chambers and great vessels could tolerate passage of a very thin sterile needle. Trans Septal Puncture(TSP) in Cardiology
  • 6.
    • The transseptalpuncture was developed by Ross, Braunwald and Morrow at the National Heart Institute (now the National Heart, Lung, and Blood Institute), Bethseda in the late 1950s to allow left heart catheterisation, principally for the evaluation of valvular heart disease. • Important refinements were made to the needle and catheter such that Brockenbrough’s description of the technique in 1962 differs little from that used now. • Mullins developed a combined catheter and dilator set designed precisely to fit over the Brockenbrough needle, which gives a smooth taper from the tip of the needle, over the dilator to the shaft of the sheath Trans Septal Puncture(TSP) in Cardiology
  • 7.
    Ross J Jr.Trans-septal left heart catheterization: a new method of left atrial puncture. Ann Surg 1959;149:395– 401. Dr John Ross Trans Septal Puncture(TSP) in Cardiology
  • 8.
    Safety feature wasincorporated into the transseptal equipment when the originalRoss needle was modified to have the distal 1.5 cm of the needle of smaller caliber. The needle has at its hub a direction arrow that corresponds to the needle curve, necessary when viewing the needle on fluoroscopy. The Brockenbrough catheter allows the distal 1.5 cm of the needle to protrude beyond its tip. It distal side holes for contrast injection. The Brockenbrough needle can also be used with the Mullins catheter, which has a more tapered tip without side holes . It allows the distal 1 cm of the needle to protrude Trans Septal Puncture(TSP) in Cardiology
  • 9.
    • In 1966,William Rashkind, an American pediatric cardiologist at the Children’s Hospital, Philadelphia, invented the lifesaving procedure that bears his name. • Atrial Septostomy (AS), or Rashkind Septostomy, is an endovascular inter vention that maintains this vitally important opening between the right and left atria until definitive surgery is performed in TGA. Trans Septal Puncture(TSP) in Cardiology
  • 10.
    • Previously thetechnique was used frequently by interventional cardiologists for mitral valvuloplasty.. • Explosion of interest in catheter ablation of AF has meant the transseptal puncture is a routine skill of the modern cardiac electrophysiologist. • Over the last 25 years, cardiac electrophysiologists have become the most proficient in performing trans septal puncture and are by far the most common cardiac subspecialists called upon to effectively and safely puncture the interatrial septum. Trans Septal Puncture(TSP) in Cardiology
  • 11.
  • 12.
    Embryology of interatrial septum • The primitive sinuatrium is separated into right and left atria by the downward growth of the septum primum from the roof of the sinuatrium toward the AV canal, thereby creating an inferior intera-trial opening known as the ostium primum. • Soon after, numerous perforations form in the anterior–superior portion of the septum primum, eventually coalescing to form the ostium secundum. • The septum secundum begins to develop to the right of the septum primum and eventually leads to complete separation of the left and right atria with the exception of a small central opening the Fossa Ovalis (FO). Trans Septal Puncture(TSP) in Cardiology
  • 13.
    • The FOusually located posteriorly at the junction of the mid- and lower third of the right atrium has traditionally been the targeted site for (TSP) given the relatively thin tissue overlying this region which facilitates needle puncture and advancement of the transseptal dilator and sheath apparatus across the atrial septum. Embryology of inter atrial septum Trans Septal Puncture(TSP) in Cardiology
  • 14.
    Anatomy of theinter atrial septum Trans Septal Puncture(TSP) in Cardiology
  • 15.
    Indications for trans-septalcatheterization • BMV • Edge-to-edge MV repair • PFO/ASD closure • Antegrade BAV • LAA occlusion • Paravalvular leak closure • Percutaneous LVAD (Tandem Heart) • EP – LA and LV arrhythmias • Dilation/Stenting of PV stenosis (post-ablation) • Left heart hemodynamics • Rarely Aortic stent grafts • Historically Transeptal TAVI Trans Septal Puncture(TSP) in Cardiology
  • 16.
    Contraindications Absolute! LA cavity orseptal thrombus/tumour Relative Distorted anatomy – heart/thorax/spine Huge LA/RA enlargement Enlarged aortic root Interrupted IVC Post ASD patch repair Experts can find a way around! Trans Septal Puncture(TSP) in Cardiology
  • 17.
    WE need 3things Anatomical Landmarks HARDWARE Imaging Guidance Trans Septal Puncture(TSP) in Cardiology
  • 18.
    21 gauge 18 gauge 270° curve 71 cm 67cm 59 cm Trans Septal Puncture(TSP) in Cardiology
  • 19.
    MULLINS SHEATH ANDDILATOR SYSTEM (Medtronic Inc.) Size Sheath length Dilator length Wire size max. ADULT 8 Fr +/- hemostatic valve 59 cm 67 cm .032 in PEDIATRIC 8 Fr 44 cm 52 cm .025 in 6 Fr 44 cm 52 cm .025 in BROCKENBROUGH NEEDLE (Medtronic Inc.) Shaft Size Tip Size Length ADULT 18 gauge 21 gauge 71 cm PEDIATRIC 19 gauge 22 gauge 56 cm Trans Septal Puncture(TSP) in Cardiology
  • 20.
  • 21.
    • BRK-1 maybe easier for flat septum, normal size LA • BRK may be better for curved LA septum eg mitral stenosis • You can bend the needle to alter the curve Trans Septal Puncture(TSP) in Cardiology
  • 22.
  • 23.
    WE need 3things ANATOMICAL LANDMARKS Hardware Imaging Guidance Trans Septal Puncture(TSP) in Cardiology
  • 24.
  • 25.
    12 9 3 6 Trans SeptalPuncture(TSP) in Cardiology
  • 26.
    12 9 3 6 IAS planein supine patient From 2’ to 7’ o clock Trans Septal Puncture(TSP) in Cardiology
  • 27.
    12 9 3 6 Normal Fossaovalis plane 4’ to 6’ o clock Trans Septal Puncture(TSP) in Cardiology
  • 28.
    12 9 3 6 Trans SeptalPuncture(TSP) in Cardiology
  • 29.
    12 9 3 6 Huge LAwith Bulging septum – Fossa ovalis shifts inferiorly and posteriorly to 7’ or even 8’ o clock Trans Septal Puncture(TSP) in Cardiology
  • 30.
    12 9 3 6 Small LAwith inward septum – Fossa ovalis shifts more anteriorly 3’ to 4’ o clock Trans Septal Puncture(TSP) in Cardiology
  • 31.
    RAO VIEW Trans SeptalPuncture(TSP) in Cardiology
  • 32.
    AP VIEW Trans SeptalPuncture(TSP) in Cardiology
  • 33.
    LATERAL VIEW Trans SeptalPuncture(TSP) in Cardiology
  • 34.
  • 35.
    WE need 3things Anatomical Landmarks Hardware IMAGING GUIDANCE Trans Septal Puncture(TSP) in Cardiology
  • 36.
    IMAGING guidance • FLUOROSCOPY •TTE • TEE • ICE • CT • MRI • ECG Trans Septal Puncture(TSP) in Cardiology
  • 37.
    INUOE Angiographic method CathCardiovasc Diagn. 1993;28:119-25 Trans Septal Puncture(TSP) in Cardiology
  • 38.
    INUOE Angiographic method CathCardiovasc Diagn. 1993;28:119-25 Trans Septal Puncture(TSP) in Cardiology
  • 39.
    INUOE Angiographic method CathCardiovasc Diagn. 1993;28:119-25 PM=1.2 times vertebral width Trans Septal Puncture(TSP) in Cardiology
  • 40.
    HUNG’S MODIFIED METHOD (noAngio – only aortic root pigtail) Cath Cardiovasc Diagn. 1992;26:275-84 Trans Septal Puncture(TSP) in Cardiology
  • 41.
    Cath Cardiovasc Diagn.1992;26:275-84 HUNG’S MODIFIED METHOD (no Angio – only aortic root pigtail) Trans Septal Puncture(TSP) in Cardiology
  • 42.
    TRANS-SEPTAL PUNCTURE Trans SeptalPuncture(TSP) in Cardiology
  • 43.
    Transseptal Procedure Steps 1.Prepare equipment. Sheath, dilator, BRK needle. 2. Introduce sheath/dilator into SVC over 0.032” wire. 3. Position BRK needle inside assembly. 4. Drag assembly into RA in PA view, it will move medially to the left and engage the Fossa Ovalis. 5. Confirm correct position in RAO (ant-post: needle should be post to pigtail in aorta parallel with spine. Trans Septal Puncture(TSP) in Cardiology
  • 44.
    0.032 wire in innominatevein Trans Septal Puncture(TSP) in Cardiology
  • 45.
    Sheath dilator assembly ininnominate vein 1. Advance sheath + dilator over 0.032” wire to SVC 2. Advance BRK needle to 1cm of end of dilator Trans Septal Puncture(TSP) in Cardiology
  • 46.
    Steps for TSPuncture Withdraw the TS catheter in PA view until it moves medially PA or mild LAO RAO Trans Septal Puncture(TSP) in Cardiology
  • 47.
    TSP Points • Withdrawingthe transseptal sheath/dilator/needle assembly from the superior vena cava (SVC) into the RA in the left anterior oblique (LAO) view. • Two distinct jumps of the assembly should be visible: – First marking passage of the sheath/dilator/needle from the SVC into the RA. – Second marking passage of the assembly over the muscular limbus and into the FO. Trans Septal Puncture(TSP) in Cardiology
  • 48.
    Descent from SVC– RA RA – fossa Trans Septal Puncture(TSP) in Cardiology
  • 49.
    Imaginary mid-line (If LAsilhouette not visible – Take RA ± PA angiogram for LA) Trans Septal Puncture(TSP) in Cardiology
  • 50.
    In the RAO projectionit is vital to keep the tip of the needle posterior to the pigtail or running parallel to the coronary sinus catheter to avoid puncturing the aortic root Trans Septal Puncture(TSP) in Cardiology
  • 51.
    Check in RAO (checkneedle tip away from Aorta and CS) Trans Septal Puncture(TSP) in Cardiology
  • 52.
    Check in LAO/lateral (checkneedle tip away from Aorta and in inferoposterior third) Trans Septal Puncture(TSP) in Cardiology
  • 53.
    TSP Points • Forthe puncture the needle should be held in the fingers of the right hand with the left hand holding the sheath and dilator controlling movement of the whole assembly. • With the x ray positioned at 30 left anterior oblique (LAO) the sheath and catheter are rotated so that both are pointing approximately to the 4–5 o’clock position. Trans Septal Puncture(TSP) in Cardiology
  • 54.
  • 55.
    6. Confirm inLAO: needle should be directed posterior. 7. Advance needle into LA. Confirm by pressure, LA injection of contrast by fluoroscopy. 8. Advance sheath/dilator into LA. Careful about tenting septum and not pushing needle too far into LA. 9. Remove dilator and needle. Transseptal Procedure Steps Trans Septal Puncture(TSP) in Cardiology
  • 56.
    Push assembly/ needle puncture (Ifsatisfied by anatomical landmarks and/or pulsation) Trans Septal Puncture(TSP) in Cardiology
  • 57.
    Check in AP/RAOview by angio / pressure / saturation (If satisfied – advance dilator/sheath) Trans Septal Puncture(TSP) in Cardiology
  • 58.
    Transseptal Puncture: PressureMonitoring Pressure tracing from the tip of the transseptal needle during a successful puncture of the intra-atrial septum.As the assembly is pulled down from the SVC to the right atrium and into the fossa ovalis, the pressure tracing gradually dampens and then becomes a straight line to indicate the dilator is abutting the septum. When the puncture is made (arrow) there is a sudden elevation of pressure as the needle passes through the septum before a definite left atrium pressure wave is seen. Trans Septal Puncture(TSP) in Cardiology
  • 59.
    Giant RA Small LANormal LA Septal bulge Giant RA Forceful torque to middle of IAS Enlarged LA 6’ or 7’o clock Enlarged RA Bend the needle No jumps/pulsation Anatomic landmarks Trans Septal Puncture(TSP) in Cardiology
  • 60.
    ICE & TEE •The use of Intra-Cardiac Echocardiography (ICE) can also facilitate double TSP when the use of multiple sheaths in the LA is required. • Both Transesophageal Echocardiography (TEE) and ICE can accomplish these goals, ICE has the additional advantages of not requiring a second operator or general anesthesia. Heart 2009;95:85–92. doi:10.1136/hrt.2007.135939 Trans Septal Puncture(TSP) in Cardiology
  • 61.
    TEE Should Makeit Safer and Easier than Fluoro Guided Puncture Trans Septal Puncture(TSP) in Cardiology
  • 62.
    TEE Guided TSP heart.bmj.comon 16 June 2009 Trans Septal Puncture(TSP) in Cardiology
  • 63.
    TEE Guided: TentingAtrial Septum Trans Septal Puncture(TSP) in Cardiology
  • 64.
    Sheath enters LAand tents or pulls the septum, then “pops” through. You have to be well inside the LA with the sheath, or the sheath may spring back into the RA when you remove the dilator or guidewire. Trans Septal Puncture(TSP) in Cardiology
  • 65.
    Thick Atrial Septum TransSeptal Puncture(TSP) in Cardiology
  • 66.
    ICE • Intracardiac echocardiographyin preventing serious or even fatal complications in transseptal procedures when the cardiac anatomy is unusual or distorted. • It also helps to understand the possible mechanisms of mechanical complications in cases where fluoroscopic images are apparently normal. Trans Septal Puncture(TSP) in Cardiology
  • 67.
    ICE • Steerable anddeflectable ICE 8F and 10F diagnostic ultrasound catheter : – 64-element vector phased-array transducer (5.5-10 MHz) with full Doppler capabilities including color Doppler, tissue Doppler and spectral Doppler. – Biplane fluoroscopy is recommended to safely advance the catheter to the desired position. Trans Septal Puncture(TSP) in Cardiology
  • 68.
  • 69.
    Radiofrequency Perforation ofLA Septum Trans Septal Puncture(TSP) in Cardiology
  • 70.
    Alternate Techniques • Applicationof Bovie electrocautery at hub of BRK • Puncture septum with stiff end of 0.014 guidewire • SafeSept Guidewire Trans Septal Puncture(TSP) in Cardiology
  • 71.
    SafeSept trans-septal guidewire •The “SafeSept” is a trans-septal guidewire designed to easily cross the IAS through the trans-septal needle thanks to a special sharp tip that allows it to penetrate the fossa ovalis without the use of a particular hard contact. • SafeSept is non-traumatic when advanced into the left atrium because of its rounded J shape. World J Cardiol 2015 August 26; 7(8): 499-503 ISSN 1949-8462 Trans Septal Puncture(TSP) in Cardiology
  • 72.
    SafeSept trans-septal guidewire WorldJ Cardiol 2015 August 26; 7(8): 499-503 ISSN 1949-8462 Trans Septal Puncture(TSP) in Cardiology
  • 73.
    SafeSept trans-septal guidewire WorldJ Cardiol 2015 August 26; 7(8): 499-503 ISSN 1949-8462 Trans Septal Puncture(TSP) in Cardiology
  • 74.
  • 75.
    (A) Fixed-curve sheath.(B) Steerable sheath (Agillis). (C) BRK (Brockenbrough) transseptal needle. (D) SafeSept wire. (E) NRG radiofrequency needle. Trans Septal Puncture(TSP) in Cardiology
  • 76.
    Complications of TSP PericardialEffusion Tamponade RA and LA needle puncture Aortic Puncture/Perforation Death Air Embolism or TIA Transient ST Elevation Persistent ASD Trans Septal Puncture(TSP) in Cardiology
  • 77.
    • Overall Mortality<1% • MUST LEARN PERICARDIOCENTASIS BEFORE SEPTAL PUNCTURE • Echo must be readily available Trans Septal Puncture(TSP) in Cardiology
  • 78.
    Pericardial Tamponade Reverse Anticoagulation Heparin:Protamine Coumadin: FFP Pericardiocentesis and placement of pericardial drain Trans Septal Puncture(TSP) in Cardiology
  • 79.
    STITCH PHENOMENA In largeLA - no septum beyond or near the right lateral and inferior border of LA - Overlapping walls of RA and LA form this region - If this region punctured - both RA and LA get involved in effusion! (Puncture- RA free wall - PERICARDIAL SPACE – LA lateral wall) Needs emergency surgery! Trans Septal Puncture(TSP) in Cardiology
  • 80.
    Think before pullingout! After septal puncture – always wait for 2 minutes, watch hemodynamics/echo, then give heparin MANAGEMENT OF STITCH/EFFUSION • Only a needle puncture-wait and watch. defer the procedure and repeat echo in regular intervals • If effusion is small and Balloon in left atrium - do BMV as reduction in LA pressure will decreases the leak • If septum is dilated, don’t remove the dilator - Pigtail insertion and SHIFT TO CTVS with dilator in situ • Reverse Heparin (1 mg protamine per 100 U of UFH) • Autotransfusion Trans Septal Puncture(TSP) in Cardiology
  • 81.
    AORTIC ROOT STAIN •Abandon procedure • Observe for hemodynamics/effusion • Only a needle puncture - wait and watch. • defer the procedure and repeat echo in regular intervals Trans Septal Puncture(TSP) in Cardiology
  • 82.
    Aortic root perforation TransSeptal Puncture(TSP) in Cardiology
  • 83.
    Transcatheter Repair ofAortic Perforation Webber MR et al. J Invasive Cardiol 2013 May;25(5):E10-13 Trans Septal Puncture(TSP) in Cardiology
  • 84.
    THROMBOEMBOLISM • A higherthan expected incidences of intraoperative thrombus detected on the transseptal sheath and in the LA during PVI procedures (8% to 11%), PBMV and MV repair. • Routinely administer 2,000 to 5,000 U of unfractionated heparin before TSP and a total of 200 U/kg to achieve an ACT >300 s after obtaining access to the LA. • Cerebral protection with bilateral carotid filters can be used in patients undergoing TSP who are at higher risk for stroke (e.g., those with LAA thrombus or dense spontaneous echocardiographic contrast). • If detected on TEE or ICE, intracardiac thrombus can be effectively removed with vigorous aspiration Trans Septal Puncture(TSP) in Cardiology
  • 85.
    THROMBOEMBOLISM (A, B) Thrombuson the transseptal sheath in the right atrium detected on transesophageal echocardiography (arrow). (C, D) Large thrombus formed on the transseptal sheath in the LA detected on intracardiac echocardiography. Trans Septal Puncture(TSP) in Cardiology
  • 86.
    AIR EMBOLISM • Airembolism is often a clinically silent event because of its transient nature and the procedural sedation. • Coronary ischemia, stroke, hypotension, and cardiac arrest have been reported • Air emboli may enter the LA because of accidental injection of air or inadequate de-airing of the system. • Prompt interventions including volume loading, oxygenation, lidocaine, manual thrombectomy, vasopressors, and hyperbaric oxygen can be effective in treating patients with large air emboli and those with dramatic symptoms. Trans Septal Puncture(TSP) in Cardiology
  • 87.
    Transient ST Elevation •Transient ST elevation in the inferior ECG leads with or without chest pain has been reported in 0.6% of cases. • a vagal response to the direct mechanical disruption of the autonomic network of the heart by the catheter during the puncture • coronary air embolism which may occur by not paying rigorous attention to delaying the assembly. Trans Septal Puncture(TSP) in Cardiology
  • 88.
    IATROGENIC ATRIAL SEPTALDEFECT • Not uncommon, especially when large-bore transseptal sheaths are used. • Possible detrimental effects (hypoxemia, heart failure, and systemic embolization) in some patients • Systematic surveillance with serial echocardiography following large-bore access into the LA might be necessary, • Elective closure of the iatrogenic septal defect should be considered in selected patients Trans Septal Puncture(TSP) in Cardiology
  • 89.
    Rare complications • Venacava perforation • Coronary artery dissection • Detachment of the tip of the transseptal sheath • Acute pericarditis Trans Septal Puncture(TSP) in Cardiology
  • 90.
    Complications of TransseptalPuncture De Ponti et al. JACC 2006;47:1037-1042 Italian Multicenter Survey: 5520 procedures over 12 years Trans Septal Puncture(TSP) in Cardiology
  • 91.
    Emerging techniques requiringTSP Trans Septal Puncture(TSP) in Cardiology
  • 92.
    TS catheterization inelectrophysiology (EP) • The cardiac subspecialty of EP accounts for the single most common context in which TS punctures are performed • Interest in the refinement and perfection of the TS technique has paralleled the dramatic increase in the number of ablative procedures performed AF in the last 10 years • In addition to RF ablation of AF, TSP is routine for - accessory pathways along the mitral annular region - LA tachycardias and flutters - variants of AVNRT. Trans Septal Puncture(TSP) in Cardiology
  • 93.
    TS catheterization inelectrophysiology (EP) • The TSP is also a useful alternative to the retroaortic approach for ablation within the left ventricle and left ventricular outflow tract. • In most centers, TS puncture is performed under fluoroscopic biplanar guidance . • a diagnostic catheter in the coronary sinus aids in the localization of the fossa ovalis. Trans Septal Puncture(TSP) in Cardiology
  • 94.
    TS catheterization inelectrophysiology (EP) Fluoroscopic images demonstrating the correct positioning of the TS assembly on the FO using a decapolar coronary sinus (CS) catheter as an anatomical guide. The proximal poles of the catheter have been positioned at the os of the CS. A second sheath is also visible in the RA. In the LAO projection the needle is pointing medially and is superior to the CS os. In the RAO projection it can be appreciated that the needle is posterior to the CS os and runs approximately parallel to the decapolar catheter. By confirming this position inadvertent puncture of the aortic root is avoided. Trans Septal Puncture(TSP) in Cardiology
  • 95.
    TS catheterization inelectrophysiology (EP) • Often, EP procedures require 2 or more sheaths across the fossa ovalis. • This can be accomplished by 2 separate TS punctures or a single pass with the Brockenbrough needle. • The initial sheath, which is already across the atrial septum, can be withdrawn into the RA over a guidewire in the LA. • A second sheath or ablation catheter can then pass through the previously created rent in the septum. The initial sheath is then reinserted over the guidewire. • On occasion, patients require repeat TS procedures for AF ablation Trans Septal Puncture(TSP) in Cardiology
  • 96.
    (a) A RAOprojection where the first transseptal sheath (with circular mapping catheter) can be visualized in the LA. The second transseptal needle/dilator apparatus can be seen engaging the IAS in a more anterior position (slightly to the right of the spine) in anticipation of the second transseptal puncture. The ICE catheter can be seen in the body of the RA (overlying the spine) with slightly posterior tilt to bring the IAS into view. A duodecapolar catheter is positioned in the coronary sinus. (B) A corresponding left anterior oblique (LAO) projection is shown after the second transseptal sheath has been position in the LA. Trans Septal Puncture(TSP) in Cardiology
  • 97.
    TS catheterization inelectrophysiology (EP) • If previous punctures have been performed, the fossa ovalis can become thickened and fibrotic. • This can obscure the physical landmarks, prevent the characteristic leftward movement of the TS needle into the fossa, and require significant forward pressure for puncture with the needle. • In this situation and in the case of prior aortic root surgery adjuncts to fluoroscopic visualization, such as intracardiac or TEE, are most useful. Trans Septal Puncture(TSP) in Cardiology
  • 98.
    Transcatheter mitral valverepair • Percutaneous edge-to-edge mitral valve repair using the MitraClip device (Abbott Vascular, Santa Clara, California) demonstrated superior safety and similar improvement in clinical outcomes compared with conventional surgery in patients with severe degenerative MR who are at high risk for surgery. • The MitraClip device has been used in more than 30,000 patients worldwide for both functional and degenerative MR. Trans Septal Puncture(TSP) in Cardiology
  • 99.
    Transcatheter mitral valve-in-valvetherapy • Initial results with transcatheter transseptal mitral valve-in-valve implantation are promising. • If this therapy is proved durable, it would provide an excellent alternative to re- operation for patients with failed mitral bio prostheses. Trans Septal Puncture(TSP) in Cardiology
  • 100.
    Transcatheter mitral valveimplantation • Several dedicated transcatheter mitral valve systems are in the early phase of development. • The CardiAQ valve (CardiAQ, Irvine, California) is currently the only trans catheter mitral valve with a trans femoral transseptal delivery system under testing Trans Septal Puncture(TSP) in Cardiology
  • 101.
    Mitral paravalvular leak(PVL) repair • PVL occurs in 5% to 17% of patients after valve replacement surgery. • Repeat surgery has been the traditional treatment for PVL, but it is associated with high operative mortality and variable results. • Percutaneous repair of mitral PVL using a transseptal route is an effective alternative to surgery, with feasibility and efficacy demonstrated in multiple studies Trans Septal Puncture(TSP) in Cardiology
  • 102.
    Mitral valve interventions •Proper guiding catheter position is the most important initial step of the MitraClip procedure. Targeted TSP facilitates suitable guide position and allows the clip to reach the middle of the mitral orifice. • A suboptimal TSP site may result in inadequate treatment of MR . • For central MR jets, the operator aims for a posterior and slightly superior TSP. • Higher TSP heights are needed for more medial jets, while lower transseptal sites are more appropriate when lateral jets are targeted. • The position of the TSP for mitral PVL closure requires similar forethoughts. Trans Septal Puncture(TSP) in Cardiology
  • 103.
    Mitral valve interventions •For defects away from the IAS, the location of the puncture is less critical. • However, for medial defects, a posterior and slightly superior puncture provides the appropriate working height within the LA and allows readily access to the defect. • In PBMV and transseptal mitral valve-in-valve implantations, a midposterior puncture is usually adequate and provides a favorable working height in the LA and a coaxial plane with the MV. Trans Septal Puncture(TSP) in Cardiology
  • 104.
    • The efficacyof PVI in treating drug-refractory AF has been established, with more than 15 years of clinical studies. • This indication has accounted for most of the growth in the use of TSP in the past 2 decades. • Ensuring adequate reach of the radiofrequency (RF) or cryoballoon (CB) catheter is essential to achieve successful ablation, especially when addressing right-sided veins Pulmonary Vein Isolation(PVI) Trans Septal Puncture(TSP) in Cardiology
  • 105.
    Pulmonary Vein Isolation(PVI) •In RF ablation, some experts prefer a relatively anterior crossing of the IAS to allow adequate room for deflectable sheaths and catheters. • Others suggest that a posterior TSP allows better angling of the ablation catheters toward the PVs. • In CB ablation, the CB catheter uses the anterior balloon surface to push against the atrial tissue around the PV ostium. • Therefore, a more anterior crossing of the IAS provides the most favorable approach for accessing all PVs with the CB, particularly the right inferior PV. Trans Septal Puncture(TSP) in Cardiology
  • 106.
    LA appendage(LAA) closure •Percutaneous occlusion of the LAA is equivalent to warfarin in preventing stroke in patients with nonvalvular AF and is associated with a lower bleeding risk. • Percutaneous LAA closure can be achieved with a transseptal approach with the Watchman device (Boston Scientific, Marlborough, Massachusetts) and the Amplatzer Cardiac Plug (St. Jude Medical, St. Paul, Minnesota), • an epicardial approach with the Aegis system (Aegis Medical, Vancouver, British Columbia, Canada), or a hybrid approach with the LARIAT system (SentreHEART, Palo Alto, California). • The Watchman device is the only LAA occluder to receive approval in the United States. Trans Septal Puncture(TSP) in Cardiology
  • 107.
    LA appendage(LAA) closure •The long axis of the LAA is oriented anteriorly, and the plane of the LAA ostium is perpendicular to that axis. • Successful coaxial device deployment depends on the ability to position the delivery sheath with sufficient depth into the LAA. • This is best accomplished with a posterior-anterior trajectory of the sheath. Therefore, a posterior TSP provides the most favorable sheath orientation • For the Watchman device and the Amplatzer Cardiac Plug, midseptal to slightly inferior TSP is ideal. • For the LARIAT device, a more superior location has been suggested. • A TSP that is too superior or too anterior can make it difficult to align the sheath with the long axis of the LAA and poses a challenge to device delivery, especially with retroverted LAAs Trans Septal Puncture(TSP) in Cardiology
  • 108.
    Percutaneous LV assistDevices • Percutaneous left ventricular assist devices such as the TandemHeart (Cardiac Assist, Pittsburgh, Penn - sylvania) can be used to support patients in cardiogenic shock or as a temporary application during high-risk coronary intervention. • Another form of percutaneous LV assist device is transseptal ECMO • This technique is applied in patients with persistent pulmonary edema despite traditional venoarterial extracorporeal membrane oxygenation. Trans Septal Puncture(TSP) in Cardiology
  • 109.
    Percutaneous LV assistDevices • In these cases, a “venting” cannula is placed in LA through a TSP and is incorporated into the extracorporeal membrane oxygenation circuit using a Y connection • Mid-FO access for central transseptal catheter positioning allows more room in the left atrium and reduces the likelihood of device malfunction because of cannula–LA wall contact. Trans Septal Puncture(TSP) in Cardiology
  • 110.
    Different sites ofTSP • Mitra clip or paravalvular leak closure • Trans septal PFO closure •Percutaneous LV assist device placement • LAA closure • Pulmonary vein interventions Trans Septal Puncture(TSP) in Cardiology
  • 111.
    DIFFICULT TSP Trans SeptalPuncture(TSP) in Cardiology
  • 112.
    DIFFICULTY WITH ACCESSTO THE RIGHT ATRIUM • Sometimes obtaining a TSP through RFV access is challenging or not possible • Extreme venous tortuosity - the transseptal sheath can be exchanged with a long (45-cm) sheath that is 2 F larger in diameter • Attempting to the needle in a kinked sheath can result in perforation of the sheath • A secondary bend in the transseptal needle 2 to 3 cm proximal to the primary bend provides adequate reach and allows a targeted TSP Trans Septal Puncture(TSP) in Cardiology
  • 113.
    DIFFICULTY WITH ACCESSTO THE RIGHT ATRIUM • Presence of an IVC filter does not preclude successful execution of the procedure, even when large sheaths and cannulas must be advanced through the filter • Iliofemoral veins and/or the IVC are patent but have severe stenosis, percutaneous revascularization may be considered to allow access • Alternative access should be considered - Left FV and right IJV access has been successfully used to perform catheter ablation of AF and BMV . • Transapical access is the alternative access of choice. On rare occasions, direct right atrial access can be used as a last resort Trans Septal Puncture(TSP) in Cardiology
  • 114.
    DIFFICULTY WITH ENGAGEMENTOF THE FO • Severe kyphoscoliosis • Abnormally rotated heart due to ventricular hypertrophy or prior surgery • Enlarged left or right atrium • dilated ascending aorta • excessive cardiac motion with respiration Can overcome by… • using a large-curved transseptal needle • manually adding a secondary bend to the transseptal needle • using adjunctive real-time imaging guidance Trans Septal Puncture(TSP) in Cardiology
  • 115.
    DIFFICULTY WITH NEEDLEADVANCEMENT Thickened septum… • Many patients with AF or SHD had prior TSP or a hypertrophied or fibrotic IAS. • Repeat TSPs are more difficult, less often successful, and potentially associated with more complications Can overcome by…. • Large-curved transseptal needle (e.g., BRK-1), • advancement of transseptal needle stylet or sharp-tipped wires (e.g., SafeSept) through the needle to facilitate needle crossing • using an RF transseptal needle • Adjunctive imaging with ICE Trans Septal Puncture(TSP) in Cardiology
  • 116.
    Prior septal occluder •In case of a prior septal occluder device, transseptal access can be obtained in portions of the native IAS in the majority of cases. • Direct transoccluder puncture is rarely necessary but has been reported . • In patients with surgically repaired IAS, puncture can be performed through neighboring native IAS tissue or through the patch itself in case of a pericardial or Dacron patch, but not in case of a Gore-Tex patch because of its resistant texture Trans Septal Puncture(TSP) in Cardiology
  • 117.
    DIFFICULTY WITH SHEATHAND GUIDE ADVANCEMENT. • Even if the transseptal needle is able to cross the IAS, significant difficulty may be encountered with advancing the sheath across the FO • Particularly a problem with braided or steerable sheaths because of the “step” in size between the dilator and the sheath. • Forceful advancement of the transseptal apparatus can reduce fine control and potentially lead to atrial perforation. Can overcome by… • Redirecting the sheath and dilator apparatus with careful clockwise or counter clockwise torsion often allows the apparatus to penetrate the resistant IAS. Trans Septal Puncture(TSP) in Cardiology
  • 118.
    DIFFICULTY WITH SHEATHAND GUIDE ADVANCEMENT. • This is best done over a SafeSept or a coronary wire to avoid perforating the left atrium. • Alternatively, lower profile sheath-dilator combinations (e.g., SR0, Mullins) may be used to further dilate the FO. • Finally, balloon septostomy may be needed to adequately dilate the FO. • Balloon septostomy is often required in transseptal interventions that use large- bore sheaths (e.g., mitral valve-in-valve) Trans Septal Puncture(TSP) in Cardiology
  • 119.
    Conclusion: 1.Understand the Anatomy 2.Knowthe Fluoroscopic Landmarks 3.Use TEE or ICE 4.Be Prepared to Deal With Challenging Anatomy 5.Be Prepared to Deal with Complications Trans Septal Puncture(TSP) in Cardiology
  • 120.
    THANK YOU Trans SeptalPuncture(TSP) in Cardiology