ECHO ASSESSMENT OF ASD FOR
DEVICE CLOSURE
DR SASINTHAR
SR, CARDIOLOGY
JIPMER
VARIOUS ECHO MODALITIES
• TTE
• TEE
• 3D ECHO
• ICE
WHEN TO SUSPECT IN 2D ECHO
•RIGHT VENTRICULAR DILATION
ABNORMAL MOTION OF IVS- brisk anterior
movement in early systole or flattened
movement throughout systole
•? IAS DROP OUT IN APICAL 4C VIEW
•RELATIVE ATRIAL INDEX
2D ECHO
RA RV VOLUME OVERLOAD
SEPTAL FLATTENING IN DIASTOLE
The Relative Atrial Index (RAI)—A Novel, Simple, Reliable, and Robust
Transthoracic Echocardiographic Indicator of Atrial Defects
Cutoff value of >0.92 predicted patients with ASDs v/s matched
controls with 99.1% sensitivity and 90.5% specificity
Natalie A Kelly -Journal of the American Society of Echocardiography
Volume 23, Issue 3 , Pages 275-281, March 2010
SUB COSTAL 4C VIEW
• Keeps the atrial septum perpendicular to the ultrasound
beam
• Distinguishes OS , OP & SV ASDs
• SV ASD are consistently visualised in the SUBCOSTAL 4C
VIEW
• Anomalous drainage of pulmonary veins
• Atrial septal aneurysm
• Viewed with breath held in inspiration- index marker in 3o`
clock position
SUB COSTAL SHORT AXIS
• Index marker at 12o`clock position and sweeping the transducer
from midline to Rt side of patient
SUBCOSTAL 4C VIEW
SUB COSTAL SHORT AXIS VIEW
ALSO SHOWS IVC DRAINING TO RA
AND EUSTACHIAN VALVE
Other TTE -views for ASD
• PSAX-IAS separates Rt &Lt atrium and runs
posteriorly from NCC of aortic valve. Not seen in
entirety as a result of drop out artefact
• APICAL 4C- Posterior aspect of Interatrial septum
is clearly delineated in this view but drop out
artefact is seen in region of fossa ovalis.
• Pulmonary venous drainage- 3 veins draining to
LA
• APICAL 5C VIEW- Anterior aspect of interatrial
septum
PSAX VIEW
IAS AGAINST NCC OF AORTA
APICAL 4C VIEW SHOWING THE IAS AND 3 VEINS
DRAINING TO LA, RT LOWER PULMONARY VEIN
IS USUALLY NOT SEEN
ANOMALOUS PULMONARY VEIN
• Can be associated with ASD or can
occur as an isolated anomaly
• 95% of SV ASD a/w RUPV-SVC
• RUPV-SVC; LUPV- innominate vein ;
RLPV- IVC
• Isolated LLPV – extremely rare
`Crab view` showing absent Rt upper
and Rt lower pulmonary vein
En face view in 2D
• First the apical 4c view was taken.
The image index marker was at approximately
kept at 1 o'clock.
Keeping the atrial septum and ASD in the
region of interest, the transducer was rotated
counterclockwise approximately 45° to 60°
Xinseng et al Journal of the American Society of Echocardiography Volume 23, Issue 7 , Pages 714-721, July
2010
A-4c view & B-En face view
Morphological variations
1.MC- Deficient aortic rim (42.1%)
2.Central defects (24.2%)
3.Deficient Inferoposterior rim (12.1%)
4.Perforated aneurysm of the septum (7.9%)
5.Multiple defects (7.3%)
6.Combined deficiency of mitral and aortic rims
(4.1%),
7.Deficient SVC rim (1%),
8.Deficient coronary sinus rim (1%).
Podnar T, Martanovic P, Gavora P,Masura J. Morphological variations of secundum-
type atrial septal defects: feasibility for percutaneous closure using Amplatzer
septal occluders. Catheter Cardiovasc Interv 2001;53:386 –91.
ATRIAL SEPTAL ANEURYSM
CRITERIA
A-PROTRUSION OF ANEURYSM ATLEAST
15MM OF PLANE OF IAS OR IAS SHOWING
15MM OF PHASIC EXCURSION DURING
CARDIORESPIRATORY CYCLE
B- BASE WIDTH≥ 15MM
TRANSVERSE PLANE VIEWS VERTICAL PLANE SWEEP
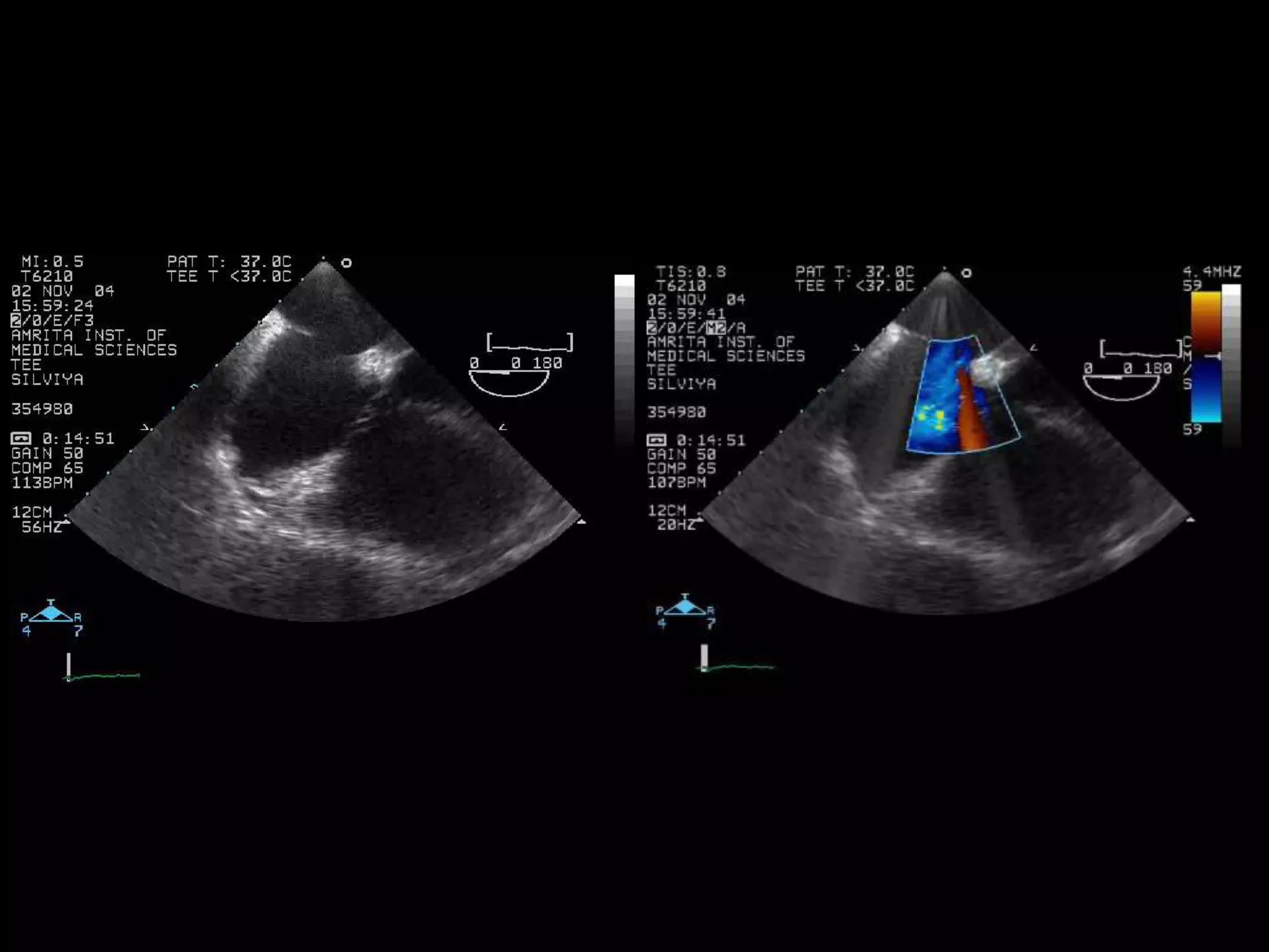
TEE
Centrally located ASD imaged at 0°
ASD with deficient Aortic margin
Large ASD with deficient posterior and
Aortic margins
Multiple ASDs; larger anterior defect
(block arrow) and a smaller posterior
defect
RIMS OF ASD
Aortic - Superoanterior
Atrioventricular (AV) valve -mitral or inferoanterior
Superior Vena Caval SVC – Superoposterior
Inferior venacaval (IVC or Inferoposterior) Posterior
(from the posterior free wall of the atria).
IVC AND SVC RIMS
OTHER RIMS
TEE
TTE
Measurement of the ASD rims
• Atleast 5 mm
• IVC rim-most important
Schematic representation of the
locations of the ASD rims
TEE 4-chamber view depicting an adequate
posterior rim for percutaneous closure of
20 mm.
Transesophageal 4-chamber view:
The AV rim measures 9.5 mm, which
is adequate for PCT
TEE upper-esophageal 4-chamber view with rightward (clockwise) rotation of
the probe revealing an adequate RUPV rim of 15 mm . Beside, Doppler color
image shows in red the inflow of the RUPV (white arrow). Note the correct ECG
timing of the measure at the end of the ventricular systole while the atrio-
ventricular valves are still closed.
Mid-esophageal short axis
view of the aortic rim at 56
degrees with an adequate
aortic rim (11 mm) for
percutaneous closure
• Absent aortic rim makes the procedure more
challenging but does not, preclude device
closure of the defect
Mid-esophageal bi-caval view at 97
degrees, an adequate SVC rim is noted,
measuring 13 mm .
Mid-esophageal bi-caval view at 97
degrees with an adequate IVC rim
of 10 mm
Special tee views for Inferoposterior
rims
No Infero posterior rim with probe in normal position
Catheter Closure of Atrial Septal Defects With Deficient IVC Rim Under
TEE Guidance
K.S. Remadevi, MD, FNB, Edwin Francis, DM, and Raman Krishna Kumar, DM, FACC .
Catheterization and Cardiovascular Interventions (2008)
Retroflexed probe in the stomach and bought towards the esophagus and viewed
In the 70-90o view
3D ECHO
• Matrix transducers – pyramid shaped volumes
• Full volume 3D dataset in 4-7 cardiac cycles
• Ideal window is the mid esophageal basal long
axis (bicaval view)
• Subcostal 4c view- enface septum
• Low parasternal 4c view case of suboptimal
windows
• 3D tee overcomes 3D TTE if suboptimal windows
• Real-time 3D imaging demonstrates the
changing shape of the ASD during a cardiac
cycle, with maximum size in diastole
• As we take the Bicaval view structures – we
first remove the right atrial free wall .
• Images are taken with suspended respiration
and ECG gating with optimal gain settings
• Low gain – drop outs and high gain – blurring
of structural details
Gain settings
For
Best view
Cropping to
Get the IAS
TUPLE (TILT UP & LEFT)-ENFACE VIEW
OF IAS FROM LT ATRIAL PERSPECTIVE
RIMS OF ASD
ASD IN VARIOUS PHASES OF CARDIAC CYCLE
ATRIAL SEPTUM ANEURYSM
WITH ASD
MULTIPLE ASDs
DEFECT NEAR THE IVC
3D echo- En face 3D reconstruction of a secundum ASD with
a relatively deficient
IVC and posterior rim
multiple ASDs with the thin atrial
septum (*) separating the 2 defects
The correlations between the ASD maximal diameter by RT-3DE and operation or balloon sizing were excellent
(r > 0.95). All surrounding rims of the atrial septum could be assessed on 3D reconstruction; except for the
aortic rim, a cross-sectional reconstruction was created mimicking the transesophageal echocardiographic
cross section (r > 0.92)
• Maximal criteria for transcatheter closure with
ASO device are
(1) ASD secundum with a maximum TEE
diameter of 34 mm
(2) rims, except the anterosuperior rim, of at
least 5 mm, and
(3) the dimensions of the total length of the
atrial septum were not smaller than the left
atrial disk of the chosen device
Measurement of ASD size
• Maximal ASD
diameter must be
measured at the end
of ventricular systole
• Atleast two
orthogonal views
• SBP = Max in TEE + 4
to 6mm
Mid-esophageal 4-chamber
view at 0 degree depicting
an ostium secundum ASD
with a maximal transverse
diameter of 18 mm .
Mid-esophageal bi-caval view at
97 degrees showing an ASD
with a maximal longitudinal
diameter of 14 mm
• Max size of device used -44 mm
• Device embolisation in 3/169 patients
• 2- deficient posterior rim and large size (38
mm, 35 mm) were the reasons for instability,
• In the third patient, the complete absence of
aortic rim with malaligned septum made the
procedure difficult
CONCLUSION
• Proper case selection
• It is important to have inferior and posterior
rims
• An anterior rim is not as important as the
device will grasp the aorta
• A superior rim is less important as the device
will grasp the SVC orifice

ECHO ASSESSMENT OF ASD FOR DEVICE CLOSURE

  • 1.
    ECHO ASSESSMENT OFASD FOR DEVICE CLOSURE DR SASINTHAR SR, CARDIOLOGY JIPMER
  • 2.
    VARIOUS ECHO MODALITIES •TTE • TEE • 3D ECHO • ICE
  • 3.
    WHEN TO SUSPECTIN 2D ECHO •RIGHT VENTRICULAR DILATION ABNORMAL MOTION OF IVS- brisk anterior movement in early systole or flattened movement throughout systole •? IAS DROP OUT IN APICAL 4C VIEW •RELATIVE ATRIAL INDEX
  • 4.
    2D ECHO RA RVVOLUME OVERLOAD SEPTAL FLATTENING IN DIASTOLE
  • 5.
    The Relative AtrialIndex (RAI)—A Novel, Simple, Reliable, and Robust Transthoracic Echocardiographic Indicator of Atrial Defects Cutoff value of >0.92 predicted patients with ASDs v/s matched controls with 99.1% sensitivity and 90.5% specificity Natalie A Kelly -Journal of the American Society of Echocardiography Volume 23, Issue 3 , Pages 275-281, March 2010
  • 6.
    SUB COSTAL 4CVIEW • Keeps the atrial septum perpendicular to the ultrasound beam • Distinguishes OS , OP & SV ASDs • SV ASD are consistently visualised in the SUBCOSTAL 4C VIEW • Anomalous drainage of pulmonary veins • Atrial septal aneurysm • Viewed with breath held in inspiration- index marker in 3o` clock position SUB COSTAL SHORT AXIS • Index marker at 12o`clock position and sweeping the transducer from midline to Rt side of patient
  • 7.
    SUBCOSTAL 4C VIEW SUBCOSTAL SHORT AXIS VIEW ALSO SHOWS IVC DRAINING TO RA AND EUSTACHIAN VALVE
  • 8.
    Other TTE -viewsfor ASD • PSAX-IAS separates Rt &Lt atrium and runs posteriorly from NCC of aortic valve. Not seen in entirety as a result of drop out artefact • APICAL 4C- Posterior aspect of Interatrial septum is clearly delineated in this view but drop out artefact is seen in region of fossa ovalis. • Pulmonary venous drainage- 3 veins draining to LA • APICAL 5C VIEW- Anterior aspect of interatrial septum
  • 9.
    PSAX VIEW IAS AGAINSTNCC OF AORTA APICAL 4C VIEW SHOWING THE IAS AND 3 VEINS DRAINING TO LA, RT LOWER PULMONARY VEIN IS USUALLY NOT SEEN
  • 11.
    ANOMALOUS PULMONARY VEIN •Can be associated with ASD or can occur as an isolated anomaly • 95% of SV ASD a/w RUPV-SVC • RUPV-SVC; LUPV- innominate vein ; RLPV- IVC • Isolated LLPV – extremely rare
  • 12.
    `Crab view` showingabsent Rt upper and Rt lower pulmonary vein
  • 13.
    En face viewin 2D • First the apical 4c view was taken. The image index marker was at approximately kept at 1 o'clock. Keeping the atrial septum and ASD in the region of interest, the transducer was rotated counterclockwise approximately 45° to 60° Xinseng et al Journal of the American Society of Echocardiography Volume 23, Issue 7 , Pages 714-721, July 2010
  • 14.
    A-4c view &B-En face view
  • 15.
    Morphological variations 1.MC- Deficientaortic rim (42.1%) 2.Central defects (24.2%) 3.Deficient Inferoposterior rim (12.1%) 4.Perforated aneurysm of the septum (7.9%) 5.Multiple defects (7.3%) 6.Combined deficiency of mitral and aortic rims (4.1%), 7.Deficient SVC rim (1%), 8.Deficient coronary sinus rim (1%). Podnar T, Martanovic P, Gavora P,Masura J. Morphological variations of secundum- type atrial septal defects: feasibility for percutaneous closure using Amplatzer septal occluders. Catheter Cardiovasc Interv 2001;53:386 –91.
  • 17.
    ATRIAL SEPTAL ANEURYSM CRITERIA A-PROTRUSIONOF ANEURYSM ATLEAST 15MM OF PLANE OF IAS OR IAS SHOWING 15MM OF PHASIC EXCURSION DURING CARDIORESPIRATORY CYCLE B- BASE WIDTH≥ 15MM
  • 18.
    TRANSVERSE PLANE VIEWSVERTICAL PLANE SWEEP TEE
  • 19.
    Centrally located ASDimaged at 0°
  • 22.
    ASD with deficientAortic margin
  • 24.
    Large ASD withdeficient posterior and Aortic margins
  • 25.
    Multiple ASDs; largeranterior defect (block arrow) and a smaller posterior defect
  • 26.
    RIMS OF ASD Aortic- Superoanterior Atrioventricular (AV) valve -mitral or inferoanterior Superior Vena Caval SVC – Superoposterior Inferior venacaval (IVC or Inferoposterior) Posterior (from the posterior free wall of the atria).
  • 27.
  • 28.
  • 29.
    Measurement of theASD rims • Atleast 5 mm • IVC rim-most important Schematic representation of the locations of the ASD rims
  • 30.
    TEE 4-chamber viewdepicting an adequate posterior rim for percutaneous closure of 20 mm. Transesophageal 4-chamber view: The AV rim measures 9.5 mm, which is adequate for PCT
  • 31.
    TEE upper-esophageal 4-chamberview with rightward (clockwise) rotation of the probe revealing an adequate RUPV rim of 15 mm . Beside, Doppler color image shows in red the inflow of the RUPV (white arrow). Note the correct ECG timing of the measure at the end of the ventricular systole while the atrio- ventricular valves are still closed.
  • 32.
    Mid-esophageal short axis viewof the aortic rim at 56 degrees with an adequate aortic rim (11 mm) for percutaneous closure
  • 33.
    • Absent aorticrim makes the procedure more challenging but does not, preclude device closure of the defect
  • 34.
    Mid-esophageal bi-caval viewat 97 degrees, an adequate SVC rim is noted, measuring 13 mm . Mid-esophageal bi-caval view at 97 degrees with an adequate IVC rim of 10 mm
  • 35.
    Special tee viewsfor Inferoposterior rims No Infero posterior rim with probe in normal position
  • 36.
    Catheter Closure ofAtrial Septal Defects With Deficient IVC Rim Under TEE Guidance K.S. Remadevi, MD, FNB, Edwin Francis, DM, and Raman Krishna Kumar, DM, FACC . Catheterization and Cardiovascular Interventions (2008) Retroflexed probe in the stomach and bought towards the esophagus and viewed In the 70-90o view
  • 37.
    3D ECHO • Matrixtransducers – pyramid shaped volumes • Full volume 3D dataset in 4-7 cardiac cycles • Ideal window is the mid esophageal basal long axis (bicaval view) • Subcostal 4c view- enface septum • Low parasternal 4c view case of suboptimal windows • 3D tee overcomes 3D TTE if suboptimal windows
  • 38.
    • Real-time 3Dimaging demonstrates the changing shape of the ASD during a cardiac cycle, with maximum size in diastole • As we take the Bicaval view structures – we first remove the right atrial free wall . • Images are taken with suspended respiration and ECG gating with optimal gain settings • Low gain – drop outs and high gain – blurring of structural details
  • 39.
  • 40.
    TUPLE (TILT UP& LEFT)-ENFACE VIEW OF IAS FROM LT ATRIAL PERSPECTIVE
  • 41.
    RIMS OF ASD ASDIN VARIOUS PHASES OF CARDIAC CYCLE
  • 42.
    ATRIAL SEPTUM ANEURYSM WITHASD MULTIPLE ASDs
  • 43.
  • 44.
    3D echo- Enface 3D reconstruction of a secundum ASD with a relatively deficient IVC and posterior rim
  • 45.
    multiple ASDs withthe thin atrial septum (*) separating the 2 defects
  • 47.
    The correlations betweenthe ASD maximal diameter by RT-3DE and operation or balloon sizing were excellent (r > 0.95). All surrounding rims of the atrial septum could be assessed on 3D reconstruction; except for the aortic rim, a cross-sectional reconstruction was created mimicking the transesophageal echocardiographic cross section (r > 0.92)
  • 48.
    • Maximal criteriafor transcatheter closure with ASO device are (1) ASD secundum with a maximum TEE diameter of 34 mm (2) rims, except the anterosuperior rim, of at least 5 mm, and (3) the dimensions of the total length of the atrial septum were not smaller than the left atrial disk of the chosen device
  • 49.
    Measurement of ASDsize • Maximal ASD diameter must be measured at the end of ventricular systole • Atleast two orthogonal views • SBP = Max in TEE + 4 to 6mm Mid-esophageal 4-chamber view at 0 degree depicting an ostium secundum ASD with a maximal transverse diameter of 18 mm . Mid-esophageal bi-caval view at 97 degrees showing an ASD with a maximal longitudinal diameter of 14 mm
  • 54.
    • Max sizeof device used -44 mm • Device embolisation in 3/169 patients • 2- deficient posterior rim and large size (38 mm, 35 mm) were the reasons for instability, • In the third patient, the complete absence of aortic rim with malaligned septum made the procedure difficult
  • 55.
    CONCLUSION • Proper caseselection • It is important to have inferior and posterior rims • An anterior rim is not as important as the device will grasp the aorta • A superior rim is less important as the device will grasp the SVC orifice