Assessment of
Prosthetic Valve Function
PRESENTED BY : DR PAWAN KUMAR
MODERATOR : DR P J BHATTACHARYYA
DEPARTMENT OF CARDIOLOGY, GMCH, GUWAHATI.
TOPICS
1. Prosthetic Valves: Introduction
2. Classification of Prosthetic Valve Types and Fluid Dynamics
3. Aortic Prosthetic Valves
4. Mitral Prosthetic Valves
5. Tricuspid Prosthetic Valves
6. Periprosthetic Leaks
1 Introduction
• Valvular disease remains prevalent around the world
• In 2009, the American Society of Echocardiography published
the first guidelines
• Nevertheless,there is no ideal valve, and all prosthetic valves
are prone to dysfunction.
• bileaflet and tilting disc mechanical valves, stented porcine
and pericardial xenografts, stentless porcine xenografts, and
cadaveric homografts.
• clinical information, the clinical indication of the examination,
symptoms, blood pressure, heart rate, height, weight, and
derived body surface area (BSA).
• Height, weight, and BSA are invaluable in diagnosing
prosthesis-patient mismatch
• multiple views is recommended with particular attention to
the motion of the leaflets or occluder,
• along with a comprehensive Doppler evaluation of velocity,
gradient, and derivation of effective orifice area,
Auscultatory characteristics
EVALUATION
• Chest X-ray ( CXR )
• Cinefluoroscopy ( CF )
• Echocardiography
• Multi Detector Computed Tomography ( MDCT )
Allows full evaluation with less artifacts from metal compositions as
compared to echo.
ESSENTIAL PARAMETERS
1 Chest X-ray
• The location of the cardiac valves is best determined on the
lateral radiograph.
• A line is drawn on the lateral radiograph from the carina to
the cardiac apex.
• The pulmonic and aortic valves generally sit above this line
and the tricuspid and mitral valves sit below this line.
• Sometimes the aortic root can be inferiorly displaced which
will shift the aortic valve below this line.
CXR- lateral view
lateral view - A line is drawn on the lateral radiograph from the carina
to the cardiac apex.
aortic valve orifice directed at the left ventricular outlet/aortic root. Conversely
the mitral valve orifice directed towards the left ventricle/cardiac apex.
Bjork Shiley valve
CXR PA VIEW
On a PA chest radiograph a reference line can be drawn from the left
atrial appendages to the right cardiophrenic angle
2 ROLE OF CINE-FLUOROSCOPY
• Identify type of valve
• Determine disc mobility
• Assess stability of sewing ring
• Opening and closing angles
The “en face”
projection
The “tilting disk”
projection
Side ( Pivot )
view
BileafletMechanicalProstheticHeartValves
FluoroscopyofanormallyfunctioningCarboMedics
bileafletprosthesisinmitralposition.
•
Bileaflet Mechanical Prosthetic Heart
Valves
• Normal values for opening and closing angles
( cinefluoroscopy )
Values of OA and CA is obtained by averaging the values over 3 or 5
consecutive cardiac cycles, in the presence of sinus rhythm or atrial
fibrillation, respectively.
Normal reference values for OA and CA is obtained from the manufacturer
Obstruction
• Fluoroscopic criteria :
*Persistent restriction of leaflet(s) motion
*Opening angle greater than the normal
reference value
GUIDELINES
• CLASS IIa : Fluoroscopy or CT is reasonable in patients
with suspected valve thrombosis to assess valve motion.
(Level of Evidence: C)
• Fluoroscopy and CT are alternative imaging techniques for
evaluation of mechanical valve “leaflet” motion, particularly
in patients with prosthetic aortic valves, which are difficult to
image by either TTE or TEE.
• CT is best suited for measurement of valve opening angles.
2014 AHA/ACC guidelines for the management with patients with valvular heart disease:
3 ECHOCARDIOGRAPHY
• TTE/Doppler examination in general should be the first line
for evaluation,
• TEE is performed in selected cases for evaluation of suspected
structural abnormalities (disc motion, thrombus formation)
• Visualization of occluder motion by TEE is best in mitral
prostheses and less in aortic and other prostheses.
• most prosthetic valves are inherently mildly stenotic and
velocities and gradients differ significantly among valves
SHADOWING
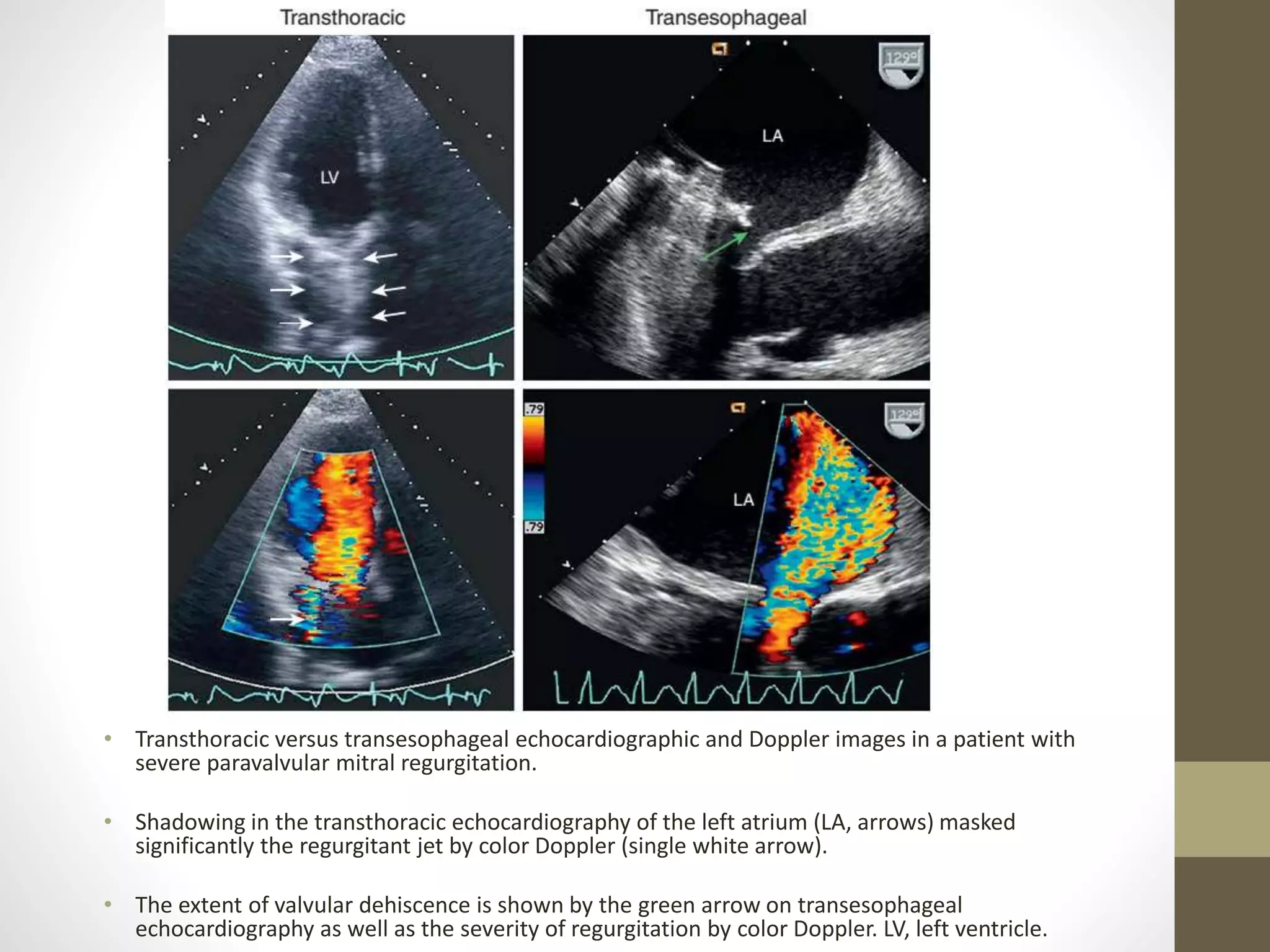
• Transthoracic versus transesophageal echocardiographic and Doppler images in a patient with
severe paravalvular mitral regurgitation.
• Shadowing in the transthoracic echocardiography of the left atrium (LA, arrows) masked
significantly the regurgitant jet by color Doppler (single white arrow).
• The extent of valvular dehiscence is shown by the green arrow on transesophageal
echocardiography as well as the severity of regurgitation by color Doppler. LV, left ventricle.
Indications for Transesophageal
Echocardiographyin ProstheticValves
• Valvular regurgitation: Severity and mechanism (mitral and
tricuspid valves> aortic valves)
• Suspected valve obstruction: Assessment of valve motion,
thrombus versus pannus
• Evaluation of associated structural abnormalities:
Vegetations, thrombi, ring abscess, pseudoaneurysm, fistulas
• Atrial, atrial appendage thrombi
• Inadequate transthoracic echocardiographic study
GeneralConsiderationsForEvaluation
OfProstheticValveFunction
• A variable amount of normal or “physiologic” regurgitation is
visualized
• physiologic transvalvular regurgitation must be recognized
and differentiated from pathologic regurgitation.
• Imaging of mitral or tricuspid prostheses results in acoustic
shadowing in the region behind the valve
• Normal prosthetic valves are inherently mildly stenotic
compared with native valves
• gradients across prosthetic valves estimated with Doppler by
the modified Bernoulli equation (Pressure gradient = 4 V2)
• the effective orifice area (EOA, in cm2) of the prosthesis,
derived by the continuity equation
• calculated as: EOA = Stroke volume/VTIPrV,
• where VTIPrV is the velocity time integral through the prosthetic
valve determined by continuous wave Doppler
Doppler velocity index (DVI)
• a comparison of VTIPrV to VTI in the LV outflow tract
(VTILVOT)
• For prosthetic aortic valves, it is derived as VTILVOT/VTIPrV
• DVI as calculated for aortic valves is always less than unity
because velocity will always accelerate through the prosthesis;
it is normally greater than 0.25.
• prosthetic mitral valves, DVI is proposed as the inverse of that
in the aortic position: VTIPrV/VTILVOT.
• It is normally less than 2.2 for mechanical prostheses.
COMPLICATIONSOf ProstheticValves
• Valvular dysfunction early after surgery is usually related to technical
challenges during surgery or early infection.
• Paravalvular leak is more frequent after debridement of calcium,
after repeat valvular surgery, and in older patients.
• The incidence and nature of late valve dysfunction varies more with
the type of prosthesis used, its durability, and its thrombogenicity, as
well as patient factors such as the risk of endocarditis.
• Thromboembolism is determined by the type of heart valve as well
as by patient-related factors.
• Mechanical valves are associated with a higher incidence of
thromboembolic complications, although critical valve thrombosis
is uncommon.
• The cause is usually inadequate anticoagulation.
• Both mechanical and tissue valves are also at risk of
interaction between the prosthesis and host to create
pannus, which can lead to progressive obstruction.
• Valve degeneration leading to stenosis and/or regurgitation
remains the most frequent complication of biologic valves
despite advances in valve design.
• Echocardiography, particularly TEE, offers a powerful tool to
assess these various complications
Real-time 3D Imaging
Recent advances in real-time 3D imaging, particularly from the transesophageal
approach, offer an important additional dimension in the echocardiographic evaluation
of prosthetic valve function.
Guidelines
2 Classification of Prosthetic
Valve Types and Fluid Dynamics
Introduction
• ideal valve substitute should mimic the characteristics of a normal
native valve with excellent hemodynamics, long durability, high
thromboresistance, and excellent implantability.
• DIFFERENT TYPES OF PROSTHETIC VALVES
• mechanical valves and tissue valves.
• The stented bioprosthetic valves are by far the most frequently used
tissue valves, followed by stentless bioprostheses, homografts, and
autografts.
SURGICAL PROSTHETIC VALVES
• Mechanical Valves
• The three basic types of mechanical valves are ball-cage,
tiltingdisc, and bileaflet valves.
• normal regurgitant volume that includes a backflow related to
the backward motion of the occluder
• This “built-in” regurgitation theoretically prevents blood stasis
and thrombus formation by a washing effect.
Mechanical valves
• Ball-Cage Valves - Starr-Edwards 1260, Antegrade blood flows around
the ball, and a large wake is generated in the central part, no longer
implanted
• Monoleaflet Valves- use a single circular disc, opening angle of the disc
relative to the valve annulus ranges from 60 to 80 degrees, resulting in
two orifices of different size
• Bileaflet Valves- two pyrolytic carbon semicircular leaflets attached by
small hinges to a rigid valve ring.
• The angle of the leaflets with annulus ranges from 75 to 90 degrees,
• three orifices: a smaller, slitlike central orifice between the two open
leaflets and two larger semi-circular orifices laterally
Tissue Valves
• 1 Stented Bioprostheses –
• heterograft valve consists of three biologic leaflets made from the
porcine aortic valve or bovine pericardium treated with
glutaraldehyde to reduce its antigenicity.
• The leaflets are mounted on a metal or polymeric stented ring
• the EOAs are generally smaller for stented bioprostheses than for
bileaflet mechanical valve
• 2 Stentless Bioprostheses - Stentless bioprostheses are
manufactured from intact porcine aortic valves or from bovine
pericardium.
• Stentless bioprosthetic valves have been used only in the aortic
position;
• 3 Sutureless Bioprostheses
•
The sutureless stent-mounted bioprosthetic valves , replace a diseased
native or malfunctioning prosthetic aortic valve via open heart surgery
• 4 Aortic Homografts
• Aortic valve homografts are harvested from human cadavers Within 24
hours of death as blocks of tissue comprising the ascending aorta, aortic
valve, a portion of interventricular septum, and the anterior mitral valve
leaflet
• most commonly implanted in the form of a total root replacement with
reimplantation of the coronary arteries
5 Pulmonary Autografts (Ross Procedure)
• The native pulmonary valve is harvested as a small cylinder
consisting of the pulmonary valve, annulus, and proximal main
pulmonary artery
• Autografts are most often implanted as complete root replacement
with reimplantation of the coronaries.
TRANSCATHETERBIOPROSTHETICVALVES
• Balloon-Expandable Valves
The first two generations of the Edwards balloon-expandable valves
comprised three leaflets fabricated with equine pericardium
(Cribier-Edwards, Edwards Lifesciences) or bovine pericardium
(Edwards SAPIEN) mounted in a stainless steel frame, available in
two sizes, 23 and 26 mm.
• The Edwards SAPIEN XT (Edwards Lifesciences) is the third
generation and consists of a three-leaflet pericardial bovine valve
mounted in a cobalt chromium frame. It is available in 20-, 23-, 26-,
and 29-mm sizes
• The transfemoral retrograde approach is most often used today and
consists of entering through the femoral artery and backtracking
through the aorta to the aortic valve.
• The normal EOAs of the SAPIEN valves range between 1.3 and 2.0 cm
• balloon-expandable valves have larger EOAs and lower gradients compared to
surgical bioprosthetic valves.
• On the other hand, unlike surgical bioprosthetic valves, paravalvular
regurgitation is common following transcatheter aortic valveimplantation.
• Mild to moderate regurgitation occurs in 30% to 80% of cases, with 5% to 20%
being moderate to severe.
• Moderate to severe paravalvular regurgitation is associated with a twofold
increase in mortality.
• Paravalvular leak can also cause high blood shear stress and thereby damage to
blood cells and coagulation factors, which could increase the risk of hemolysis,
thromboembolic events, and/or bleeding.
• Self-expanding Valves
• The first generation of the CoreValve system consisted of a
selfexpanding nitinol frame with a bovine pericardial heart valve
• The second generation of the CoreValve system consisted of three
leaflets of porcine pericardium seated higher in the nitinol frame to
provide true supra-annular placement
• The third generation differs slightly from the previous one in the
sealing skirt to reduce paravalvular regurgitation,
• The CoreValve (Medtronic) is mostly implanted using the
transfemoral approach.
PRESSURE RECOVERY
• As blood flow velocity decelerates between the aortic valve and the
ascending aorta, part of the kinetic energy is reconverted back to
static energy (i.e., pressure) because of a phenomenon called
pressure recovery, and
• hence the net gradient between the left ventricle and the ascending
aorta (i.e., the gradient measured by catheter) is less than the
maximum pressure gradient measured by Doppler at the level of
the vena contracta
• Hence, pressure recovery generally becomes clinically relevant in
patients with smaller aortas, that is, those with an aorta diameter
of 30 mm or less at the sinotubular junction
LocalizedHighGradient In Bileaflet
MechanicalValves
• A localized high gradient may indeed be recorded through the
central orifice of bileaflet mechanical valves, and
• this phenomenon may yield to overestimation of gradient and
underestimation of EOA regardless of the position (aortic or
mitral) of the prosthesis
PROSTHESIS-PATIENT MISMATCH
• occurs when the EOA of a normally functioning prosthesis is
too small in relation to the patient’s body size (and thus
cardiac output requirements), resulting in abnormally high
postoperative gradients.
• Hence, PPM is not an intrinsic prosthesis dysfunction per se
• PPM may be quite frequent both in the aortic (20% to 70%)
and mitral ( 30 % to 70 % ) positions ,
• where as the prevalence of severe PPM ranges from 2% to
10% in both positions .
3 Aortic Prosthetic Valves
StandardTransthoracicEchocardiographicAssessmentOf
AorticProstheticValveFunction
• apical five chamber view can provide an improved view of the
leaflets/occluder, acoustic shadowing across the plane of the valve
is reduced
• As per ASE guidelines, the cross-sectional area is derived
from the LVOTd measured just underneath the prosthesis from
the parasternal long-axis view taking care to measure to the outer
margins of the valve sewing ring.
• Compared with surgically implanted prostheses, transcatheter
aortic valve implantation (TAVI) valve designs have longer valve
stents, which project lower into the LVOT.
• EAE/ASE recommend that the LVOT velocity be measured prestent
in the LVOT
DIAGNOSISOFAORTICPROSTHETICVALVE
DYSFUNCTION
• Interpretation of Elevated Valve Gradients
• The potential causes to be considered are
• (1) prosthetic valve obstruction; (2) prosthesis-patient mismatch
(PPM); (3) the phenomenon of rapid pressure recovery (RPR); (4)
significant aortic regurgitation; and (5) high-flow states
• Prosthetic Valve Obstruction
• In mechanical valves, the usual causes of valve obstruction are (1)
thrombosis or (2) ingrowth of fibrous tissue called pannus below the
inflow orifice of the valve restricting occluder motion.
• In bioprosthetic valves, structural valve degeneration (SVD) is the
usual cause
• On Doppler examination, the hemodynamic diagnosis of aortic
valve obstruction is suggested by
• (1) increased gradients for valve subtype and size,
• (2) decreased EOA and DVI below the normal reference range,
• (3) significant deviation of EOA or DVI from the baseline study.
• Although individual EOA and DVI values should always be
referenced against normal values for the valve subtype and
size,
• an EOA less than 0.8 cm2 and a DVI below 0.251 will almost
always be abnormal and are useful numbers to memorize
Prosthesis-Patient Mismatch
• A value of 0.85 cm2/m2 or less is considered the threshold value
for the presence of PPM, with severe mismatch defined as an IEOA
less than 0.65 cm2/m.
• PPM should be suspected if abnormally elevated Doppler gradients
are obtained despite
• (1) no detectable structural abnormality of the prosthetic valve
leaflets/occluders,
• (2) normal values for EOA and DVI for valve subtype and size,
• (3) IEOA in the mismatch range.
Rapid Pressure Recovery
• RPR should be suspected in patients with small bileaflet
prostheses who have
• (1) reduced EOA, IEOA, and DVI for valve subtype and size and
• (2) normal occluder motion.
AORTICPROSTHETICVALVEREGURGITATION
• Physiologic or “ Normal” Regurgitation
• Most mechanical prostheses have mild valvular regurgitation that is
“normal” and must be recognized and differentiated from pathological
leaks.
• The commonest form is so-called leakage volume, where regurgitation
occurs through the gaps adjacent to the closed occluder.
• These jets are also termed “washing jets,” as they are thought to
prevent blood stasis and secondary thrombus formation and are
typically transvalvular, multiple, short in length, and of low turbulence.
• Mild central aortic regurgitation can also be seen in normally
functioning bioprosthetic aortic valves.
Pathologic Regurgitation
• The origin of regurgitation (valvular vs. perivalvular) is best assessed in the
parasternal short-axis view, where the full circumference of the annulus can be
visualized.
• The grading of perivalvular regurgitation is often technically difficult, as
regurgitant jets are frequently multiple, crescentic in shape, and wall hugging
within the LVOT.
• Careful interrogation of the neck of the jet just below the sewing ring is required
to accurately define its circumferential extent,
• which can then be expressed as a percentage of the total sewing ring
circumference and used to estimate severity (<10% ¼ mild; 10% to 20% ¼
moderate; >20% ¼ severe).
• This method can be used when assessing all types of prosthetic aortic valve,
including TAVI
• The transesophageal
echocardiographic (TEE)
longaxis view shows a core
valve sitting low in the left
ventricular outflow tract
with significant perivalvular
regurgitation.
• B, The short-axis view is
useful in quantifying the
regurgitation severity by
calculating its
circumferential extent,
which can then be
expressed as a percentage
of the total sewing ring
circumference.
• In this case, approximately
45% of the circumference is
involved, indicating severe
perivalvular regurgitation.
4 Mitral Prosthetic Valves
Interpretationof ElevatedValveGradients
• The initial suspicion of prosthetic valve dysfunction is often
raised by the detection of elevated valve gradients during
routine TTE assessment.
• The potential causes to be considered are
• (1) prosthetic valve obstruction,
• (2) prosthesis-patient mismatch (PPM),
• (3) significant mitral regurgitation, and
• (4) high-flow states such as postsurgery , anemia, or sepsis
Prosthetic Valve Obstruction
• In mechanical valves, the usual causes of valve obstruction are thrombosis or
ingrowth of fibrous tissue called pannus below the inflow orifice of the valve,
restricting occluder motion.
• On Doppler examination, the hemodynamic diagnosis of valve obstruction is
suggested by
• (1) increased gradients for valve subtype and size,
• (2) decreased EOA below the normal reference range,
• (3) significant deviation of EOA from the baseline study,
• (4) increased PHT above the normal reference range, and
• (5) elevated DVI.
• Although individual EOA, PHT, and DVI values should always be referenced
against normal values for the valve subtype and size,
• an EOA less than 1.5 cm2, PHT greater than 150 msec and a DVI greater than
2.22 will almost always be abnormal and are useful numbers to memorize.
• Clinical suspicion of prosthetic valve thrombosis should be raised by symptoms of
heart failure, thromboembolism, or low cardiac output, coupled with a decrease in
the intensity of the valve closure sounds (mechanical valves), new and pathologic
murmurs, or documentation of inadequate anticoagulation
• Thrombosis is more common in the mitral and tricuspid positions than in the aortic
position
Prosthesis-Patient Mismatch
• Definitions of mitral PPM vary, but a value less than 1.2
cm2/m2 for the EOA indexed to BSA (IEOA) have been
proposed7 and is predictive of poorer late survival.
• PPM should be suspected if abnormally elevated Doppler
gradients are obtained despite
• (1) no detectable structural abnormality of the prosthetic
valve leaflets/occluders,
• (2) normal values for EOA and DVI for valve subtype and size,
• (3) IEOA in the mismatch range.
Pathologic Regurgitation
• Abnormal regurgitation of prosthetic valves may arise from valvular
and/or perivalvular sites.
• signs include (1) an elevated DVI, (2) elevated mitral E velocity (>1.9
m/sec), (3) a dense continuous wave regurgitant jet with early
systolic peaking, (4) a large zone of systolic flow convergence on the
left ventricular side of the prosthesis, and (5) elevated estimated
pulmonary artery pressure.
• As the DVI is elevated both by prosthetic valve obstruction (as
discussed earlier) and by regurgitation, a normal PHT (<130 msec) in
the presence of an elevated DVI (>2.2)
• strongly suggests the presence of hemodynamically significant
regurgitation, with a predictive accuracy greater than 80%,
OPTIMALUSEOF TRANSESOPHAGEAL
ECHOCARDIOGRAPHY
• TEE provides excellent imaging of mitral prostheses and is
recommended in the following scenarios:
• (1) Doppler hemodynamic evidence of prosthetic valve
obstruction at TTE,
• (2) suspected prosthetic valve regurgitation, and
• (3) suspected or proven infective endocarditis.
• Features favoring thrombus over pannus include “soft”
echogenicity and large size, together with clinical factors such
as short duration of symptoms and inadequate
anticoagulation.
• Mitral prosthesis occluder motion is well seen on TEE, making
CT or cine-fluoroscopy a rare requirement.
• The sensitivity of TEE in detecting vegetations in prosthetic
valve endocarditis verified at surgery or autopsy was 82%
compared with 36% for TTE.
5 Tricuspid Prosthetic Valves
• Tricuspid valve replacement (TVR) is a relatively uncommon procedure
and has been reported in less than 2% of all valve operations in one
study.
• Prosthetic valve failure is usually due to valve stenosis, regurgitation, or
both.
• The most common causes of prosthetic valve stenosis are leaflet
degeneration in bioprosthetic valves, endocarditis leading to leaflet
destruction, and valve thrombosis and pannus formation in
mechanical valves, which are associated with valve obstruction.
• Structural valve degeneration ranges from 0.4% to 2.2% per patient
years in bioprosthetic valves.
• Incidence of valve thrombosis has been reported at 0.5% to 3.3% per
patient years in different studies.
• Patients with normally functioning valves have a normal
physical examination, and the prosthesis appears to have
normal motion and flow pattern by TTE and TEE.
• Current guidelines recommend the early evaluation of
tricuspid prosthesis post implantation.
• It is important to average Doppler measurements from at
least five cardiac cycles
• because measurements may vary significantly because of
respiration in the tricuspid position.
Mean Gradient
• Recent guidelines recognize a mean gradient less than 6 mm
Hg as normal and values of 6 mm Hg or greater as suggesting
prosthetic valve stenosis.
• A recent study that included a larger number of patients with
bioprosthetic valves early after operation demonstrated that
a mean gradient greater than 9 mm Hg is highly suggestive of
tricuspid bioprosthetic valve stenosis,
• and thus further imaging with TEE should be considered in
these circumstances
Obstruction
• In line with the foregoing guidelines, a large study reported a
normal mean gradient at 5 mm Hg or less for bileaflet
mechanical tricuspid valve prosthesis,
• whereas values greater than 6 mm Hg were seen in patients
with mechanical valve obstruction
• PHT of 200 msec or greater as indicating bioprosthetic valve
stenosis,
• whereas a PHT of 130 msec or greater indicates bileaflet
mechanical valve obstruction.
Normal Doppler Parameters
Velocity Time Interval Ratio for
Tricuspid Valve Prostheses
• For normal bioprosthetic tricuspid valves, the VTI ratio is less
than 3.3.
• A peak tricuspid E velocity of 2.1 m/sec or greater,
• VTITVP/VTILVOT at or above 3.3, and
• PHT less than 200 msec are
• predictive of significant regurgitation in bioprosthetic valves,
• whereas a peak tricuspid E velocity of at least 1.9 m/sec,
• VTITVP/VTILVOT of 2.0 or more, and
• PHT less than130 msec occur in
• hemodynamically significant regurgitation in mechanical
valves.
PROSTHETIC VALVE REGURGITATION
Normal Doppler Parameters
TransesophagealEchocardiographyInPatientsWith
ProstheticTricuspidValves
• TEE is indicated for the evaluation of patients with the
possible diagnosis of prosthetic valve endocarditis or
valvular thrombosis, including reevaluation when a change in
therapy is anticipated.
• TEE is the modality of choice for guidance of transcatheter
procedures and whenever TTE is nondiagnostic.
6 PERIPROSTHETIC LEAKS
• It is defined as an abnormal retrograde communication
between the two cardiac chambers connected by the
prosthetic valve,
• arising outside the prosthetic valve ring (between the sewing
ring and the native annulus).
• Patients who undergo mitral valve repair may also develop a
“para-ring” leak between the mitral annuloplasty ring and the
native valve annulus.
Causes
• PPL is caused by abnormal traction or pressure forces on the
prosthetic valve and can occur early or late after valve replacement
surgery.
• Early PPL is usually the result of technical issues during the surgery,
• limiting proper suturing of the prosthetic valve ring and the native
annulus.
• These can include annular calcifications, incomplete apposition of
the prosthetic ring and the native annulus (due to geometric
incompatibility), or suture dehiscence related to suturing technique.
• Late PPLs are often the result of prosthetic valve endocarditis with
inflammation and destruction of the perivalve tissue.
Incidence
• The overall reported incidence of any PPL after surgical valve
replacement has been as high as 47%;
• however, the rate of clinically significant PPL is considerably
lower.
• Most registries estimate an approximate prevalence of
symptomatic PPL at 1% to 5% of all valve replacements.
Risk factors
• Intraoperative risk factors that have been found to be associated
with increased risk of PPL include
• longer cardiopulmonary bypass time, supra-annular aortic implant,
continuous sutures in the mitral position, and, in several studies, the
type of prosthesis used.
• Clinical risk factors for development of PPL include
• presence of significant annular calcification, preoperative atrial
fibrillation, and postoperative creatinine increase
• The incidence of PPL after TAVR is higher compared with PPL after
surgical aortic valve replacement
• Overall, early significant perivalvular aortic regurgitation has been
reported in 12% to 17% of patients.
CLINICAL PRESENTATION
• Larger PPLs can give rise to symptoms that can be disabling and
even life threatening.
• Hemolysis is an important complication of PPL.
• It results from shear forces acting upon the red blood cells as they
traverse the PPL site.
• Serum markers of intravascular hemolysis can be found and include
elevated lactate dehydrogenase (LDH), decreased hemoglobin level,
decreased haptoglobin level, and increased reticulocyte count.
• Another important presenting manifestation of PPL is congestive
heart failure.
• The more anterior location of the aortic valve makes it visible
on TTE, and often the origin and severity of the paravalvular
regurgitation can be delineated by TTE.
• Aortic PPL jets tend to be eccentric and may flow in somewhat
unusual directions
Periprosthetic Leak After TAVR
• Assessing severity of PPL TAVR after is particularly challenging.
• Acoustic shadowing from the prosthetic valve, as well as from extensive
calcifications of the root and the retained native aortic valve cusps, may further
limit accurate delineation of the jet origin and size
• Volumetric methods for calculating regurgitant volume and fraction may play a
role in assessing the severity of PPL.
• Recently a new AI index has been proposed for evaluating the severity and
hemodynamic significance of post-TAVR PPL.
• The index is calculated as 100 X (ADP - LVEDP)/ASP (ADP, aortic diastolic
pressure; LVEDP, left ventricular end-diastolic pressure; ASP, aortic systolic
pressure).
• An AI index less than 25 was found to be associated with worse 1-year survival
after TAVR as compared with an index of 25 or above.
TREATMENT
• Traditionally, treatment of PPL required reoperation with
either correction of the PPL or replacement with a new
prosthetic valve.
• Although surgical treatment can improve survival and
symptoms, it carries a significant risk of perioperative
morbidity and mortality.
• RT3D TEE is paramount for the success of the procedure.
• The success rate for percutaneous closure of PPL has been
reported to be around 85% to 90%.
SUMMARY
SUMMARY - Normal Values
•
SUMMARY - Normal Values
THANK YOU

Assessment of prosthetic valve function

  • 1.
    Assessment of Prosthetic ValveFunction PRESENTED BY : DR PAWAN KUMAR MODERATOR : DR P J BHATTACHARYYA DEPARTMENT OF CARDIOLOGY, GMCH, GUWAHATI.
  • 2.
    TOPICS 1. Prosthetic Valves:Introduction 2. Classification of Prosthetic Valve Types and Fluid Dynamics 3. Aortic Prosthetic Valves 4. Mitral Prosthetic Valves 5. Tricuspid Prosthetic Valves 6. Periprosthetic Leaks
  • 3.
    1 Introduction • Valvulardisease remains prevalent around the world • In 2009, the American Society of Echocardiography published the first guidelines • Nevertheless,there is no ideal valve, and all prosthetic valves are prone to dysfunction. • bileaflet and tilting disc mechanical valves, stented porcine and pericardial xenografts, stentless porcine xenografts, and cadaveric homografts.
  • 4.
    • clinical information,the clinical indication of the examination, symptoms, blood pressure, heart rate, height, weight, and derived body surface area (BSA). • Height, weight, and BSA are invaluable in diagnosing prosthesis-patient mismatch • multiple views is recommended with particular attention to the motion of the leaflets or occluder, • along with a comprehensive Doppler evaluation of velocity, gradient, and derivation of effective orifice area,
  • 5.
  • 6.
    EVALUATION • Chest X-ray( CXR ) • Cinefluoroscopy ( CF ) • Echocardiography • Multi Detector Computed Tomography ( MDCT ) Allows full evaluation with less artifacts from metal compositions as compared to echo.
  • 7.
  • 8.
    1 Chest X-ray •The location of the cardiac valves is best determined on the lateral radiograph. • A line is drawn on the lateral radiograph from the carina to the cardiac apex. • The pulmonic and aortic valves generally sit above this line and the tricuspid and mitral valves sit below this line. • Sometimes the aortic root can be inferiorly displaced which will shift the aortic valve below this line.
  • 9.
    CXR- lateral view lateralview - A line is drawn on the lateral radiograph from the carina to the cardiac apex.
  • 10.
    aortic valve orificedirected at the left ventricular outlet/aortic root. Conversely the mitral valve orifice directed towards the left ventricle/cardiac apex. Bjork Shiley valve
  • 11.
    CXR PA VIEW Ona PA chest radiograph a reference line can be drawn from the left atrial appendages to the right cardiophrenic angle
  • 12.
    2 ROLE OFCINE-FLUOROSCOPY • Identify type of valve • Determine disc mobility • Assess stability of sewing ring • Opening and closing angles The “en face” projection The “tilting disk” projection Side ( Pivot ) view
  • 13.
  • 14.
  • 15.
    Bileaflet Mechanical ProstheticHeart Valves • Normal values for opening and closing angles ( cinefluoroscopy ) Values of OA and CA is obtained by averaging the values over 3 or 5 consecutive cardiac cycles, in the presence of sinus rhythm or atrial fibrillation, respectively. Normal reference values for OA and CA is obtained from the manufacturer
  • 16.
    Obstruction • Fluoroscopic criteria: *Persistent restriction of leaflet(s) motion *Opening angle greater than the normal reference value
  • 17.
    GUIDELINES • CLASS IIa: Fluoroscopy or CT is reasonable in patients with suspected valve thrombosis to assess valve motion. (Level of Evidence: C) • Fluoroscopy and CT are alternative imaging techniques for evaluation of mechanical valve “leaflet” motion, particularly in patients with prosthetic aortic valves, which are difficult to image by either TTE or TEE. • CT is best suited for measurement of valve opening angles. 2014 AHA/ACC guidelines for the management with patients with valvular heart disease:
  • 18.
    3 ECHOCARDIOGRAPHY • TTE/Dopplerexamination in general should be the first line for evaluation, • TEE is performed in selected cases for evaluation of suspected structural abnormalities (disc motion, thrombus formation) • Visualization of occluder motion by TEE is best in mitral prostheses and less in aortic and other prostheses. • most prosthetic valves are inherently mildly stenotic and velocities and gradients differ significantly among valves
  • 21.
  • 22.
    • Transthoracic versustransesophageal echocardiographic and Doppler images in a patient with severe paravalvular mitral regurgitation. • Shadowing in the transthoracic echocardiography of the left atrium (LA, arrows) masked significantly the regurgitant jet by color Doppler (single white arrow). • The extent of valvular dehiscence is shown by the green arrow on transesophageal echocardiography as well as the severity of regurgitation by color Doppler. LV, left ventricle.
  • 23.
    Indications for Transesophageal EchocardiographyinProstheticValves • Valvular regurgitation: Severity and mechanism (mitral and tricuspid valves> aortic valves) • Suspected valve obstruction: Assessment of valve motion, thrombus versus pannus • Evaluation of associated structural abnormalities: Vegetations, thrombi, ring abscess, pseudoaneurysm, fistulas • Atrial, atrial appendage thrombi • Inadequate transthoracic echocardiographic study
  • 24.
    GeneralConsiderationsForEvaluation OfProstheticValveFunction • A variableamount of normal or “physiologic” regurgitation is visualized • physiologic transvalvular regurgitation must be recognized and differentiated from pathologic regurgitation. • Imaging of mitral or tricuspid prostheses results in acoustic shadowing in the region behind the valve • Normal prosthetic valves are inherently mildly stenotic compared with native valves
  • 25.
    • gradients acrossprosthetic valves estimated with Doppler by the modified Bernoulli equation (Pressure gradient = 4 V2) • the effective orifice area (EOA, in cm2) of the prosthesis, derived by the continuity equation • calculated as: EOA = Stroke volume/VTIPrV, • where VTIPrV is the velocity time integral through the prosthetic valve determined by continuous wave Doppler
  • 26.
    Doppler velocity index(DVI) • a comparison of VTIPrV to VTI in the LV outflow tract (VTILVOT) • For prosthetic aortic valves, it is derived as VTILVOT/VTIPrV • DVI as calculated for aortic valves is always less than unity because velocity will always accelerate through the prosthesis; it is normally greater than 0.25. • prosthetic mitral valves, DVI is proposed as the inverse of that in the aortic position: VTIPrV/VTILVOT. • It is normally less than 2.2 for mechanical prostheses.
  • 27.
    COMPLICATIONSOf ProstheticValves • Valvulardysfunction early after surgery is usually related to technical challenges during surgery or early infection. • Paravalvular leak is more frequent after debridement of calcium, after repeat valvular surgery, and in older patients. • The incidence and nature of late valve dysfunction varies more with the type of prosthesis used, its durability, and its thrombogenicity, as well as patient factors such as the risk of endocarditis. • Thromboembolism is determined by the type of heart valve as well as by patient-related factors. • Mechanical valves are associated with a higher incidence of thromboembolic complications, although critical valve thrombosis is uncommon.
  • 28.
    • The causeis usually inadequate anticoagulation. • Both mechanical and tissue valves are also at risk of interaction between the prosthesis and host to create pannus, which can lead to progressive obstruction. • Valve degeneration leading to stenosis and/or regurgitation remains the most frequent complication of biologic valves despite advances in valve design. • Echocardiography, particularly TEE, offers a powerful tool to assess these various complications
  • 30.
    Real-time 3D Imaging Recentadvances in real-time 3D imaging, particularly from the transesophageal approach, offer an important additional dimension in the echocardiographic evaluation of prosthetic valve function.
  • 31.
  • 32.
    2 Classification ofProsthetic Valve Types and Fluid Dynamics
  • 33.
    Introduction • ideal valvesubstitute should mimic the characteristics of a normal native valve with excellent hemodynamics, long durability, high thromboresistance, and excellent implantability. • DIFFERENT TYPES OF PROSTHETIC VALVES • mechanical valves and tissue valves. • The stented bioprosthetic valves are by far the most frequently used tissue valves, followed by stentless bioprostheses, homografts, and autografts.
  • 34.
    SURGICAL PROSTHETIC VALVES •Mechanical Valves • The three basic types of mechanical valves are ball-cage, tiltingdisc, and bileaflet valves. • normal regurgitant volume that includes a backflow related to the backward motion of the occluder • This “built-in” regurgitation theoretically prevents blood stasis and thrombus formation by a washing effect.
  • 35.
    Mechanical valves • Ball-CageValves - Starr-Edwards 1260, Antegrade blood flows around the ball, and a large wake is generated in the central part, no longer implanted • Monoleaflet Valves- use a single circular disc, opening angle of the disc relative to the valve annulus ranges from 60 to 80 degrees, resulting in two orifices of different size • Bileaflet Valves- two pyrolytic carbon semicircular leaflets attached by small hinges to a rigid valve ring. • The angle of the leaflets with annulus ranges from 75 to 90 degrees, • three orifices: a smaller, slitlike central orifice between the two open leaflets and two larger semi-circular orifices laterally
  • 38.
    Tissue Valves • 1Stented Bioprostheses – • heterograft valve consists of three biologic leaflets made from the porcine aortic valve or bovine pericardium treated with glutaraldehyde to reduce its antigenicity. • The leaflets are mounted on a metal or polymeric stented ring • the EOAs are generally smaller for stented bioprostheses than for bileaflet mechanical valve • 2 Stentless Bioprostheses - Stentless bioprostheses are manufactured from intact porcine aortic valves or from bovine pericardium. • Stentless bioprosthetic valves have been used only in the aortic position;
  • 39.
    • 3 SuturelessBioprostheses • The sutureless stent-mounted bioprosthetic valves , replace a diseased native or malfunctioning prosthetic aortic valve via open heart surgery • 4 Aortic Homografts • Aortic valve homografts are harvested from human cadavers Within 24 hours of death as blocks of tissue comprising the ascending aorta, aortic valve, a portion of interventricular septum, and the anterior mitral valve leaflet • most commonly implanted in the form of a total root replacement with reimplantation of the coronary arteries
  • 40.
    5 Pulmonary Autografts(Ross Procedure) • The native pulmonary valve is harvested as a small cylinder consisting of the pulmonary valve, annulus, and proximal main pulmonary artery • Autografts are most often implanted as complete root replacement with reimplantation of the coronaries.
  • 43.
    TRANSCATHETERBIOPROSTHETICVALVES • Balloon-Expandable Valves Thefirst two generations of the Edwards balloon-expandable valves comprised three leaflets fabricated with equine pericardium (Cribier-Edwards, Edwards Lifesciences) or bovine pericardium (Edwards SAPIEN) mounted in a stainless steel frame, available in two sizes, 23 and 26 mm. • The Edwards SAPIEN XT (Edwards Lifesciences) is the third generation and consists of a three-leaflet pericardial bovine valve mounted in a cobalt chromium frame. It is available in 20-, 23-, 26-, and 29-mm sizes • The transfemoral retrograde approach is most often used today and consists of entering through the femoral artery and backtracking through the aorta to the aortic valve.
  • 44.
    • The normalEOAs of the SAPIEN valves range between 1.3 and 2.0 cm • balloon-expandable valves have larger EOAs and lower gradients compared to surgical bioprosthetic valves. • On the other hand, unlike surgical bioprosthetic valves, paravalvular regurgitation is common following transcatheter aortic valveimplantation. • Mild to moderate regurgitation occurs in 30% to 80% of cases, with 5% to 20% being moderate to severe. • Moderate to severe paravalvular regurgitation is associated with a twofold increase in mortality. • Paravalvular leak can also cause high blood shear stress and thereby damage to blood cells and coagulation factors, which could increase the risk of hemolysis, thromboembolic events, and/or bleeding.
  • 45.
    • Self-expanding Valves •The first generation of the CoreValve system consisted of a selfexpanding nitinol frame with a bovine pericardial heart valve • The second generation of the CoreValve system consisted of three leaflets of porcine pericardium seated higher in the nitinol frame to provide true supra-annular placement • The third generation differs slightly from the previous one in the sealing skirt to reduce paravalvular regurgitation, • The CoreValve (Medtronic) is mostly implanted using the transfemoral approach.
  • 47.
    PRESSURE RECOVERY • Asblood flow velocity decelerates between the aortic valve and the ascending aorta, part of the kinetic energy is reconverted back to static energy (i.e., pressure) because of a phenomenon called pressure recovery, and • hence the net gradient between the left ventricle and the ascending aorta (i.e., the gradient measured by catheter) is less than the maximum pressure gradient measured by Doppler at the level of the vena contracta • Hence, pressure recovery generally becomes clinically relevant in patients with smaller aortas, that is, those with an aorta diameter of 30 mm or less at the sinotubular junction
  • 48.
    LocalizedHighGradient In Bileaflet MechanicalValves •A localized high gradient may indeed be recorded through the central orifice of bileaflet mechanical valves, and • this phenomenon may yield to overestimation of gradient and underestimation of EOA regardless of the position (aortic or mitral) of the prosthesis
  • 49.
    PROSTHESIS-PATIENT MISMATCH • occurswhen the EOA of a normally functioning prosthesis is too small in relation to the patient’s body size (and thus cardiac output requirements), resulting in abnormally high postoperative gradients. • Hence, PPM is not an intrinsic prosthesis dysfunction per se • PPM may be quite frequent both in the aortic (20% to 70%) and mitral ( 30 % to 70 % ) positions , • where as the prevalence of severe PPM ranges from 2% to 10% in both positions .
  • 51.
  • 52.
    StandardTransthoracicEchocardiographicAssessmentOf AorticProstheticValveFunction • apical fivechamber view can provide an improved view of the leaflets/occluder, acoustic shadowing across the plane of the valve is reduced • As per ASE guidelines, the cross-sectional area is derived from the LVOTd measured just underneath the prosthesis from the parasternal long-axis view taking care to measure to the outer margins of the valve sewing ring. • Compared with surgically implanted prostheses, transcatheter aortic valve implantation (TAVI) valve designs have longer valve stents, which project lower into the LVOT. • EAE/ASE recommend that the LVOT velocity be measured prestent in the LVOT
  • 54.
    DIAGNOSISOFAORTICPROSTHETICVALVE DYSFUNCTION • Interpretation ofElevated Valve Gradients • The potential causes to be considered are • (1) prosthetic valve obstruction; (2) prosthesis-patient mismatch (PPM); (3) the phenomenon of rapid pressure recovery (RPR); (4) significant aortic regurgitation; and (5) high-flow states • Prosthetic Valve Obstruction • In mechanical valves, the usual causes of valve obstruction are (1) thrombosis or (2) ingrowth of fibrous tissue called pannus below the inflow orifice of the valve restricting occluder motion. • In bioprosthetic valves, structural valve degeneration (SVD) is the usual cause
  • 55.
    • On Dopplerexamination, the hemodynamic diagnosis of aortic valve obstruction is suggested by • (1) increased gradients for valve subtype and size, • (2) decreased EOA and DVI below the normal reference range, • (3) significant deviation of EOA or DVI from the baseline study. • Although individual EOA and DVI values should always be referenced against normal values for the valve subtype and size, • an EOA less than 0.8 cm2 and a DVI below 0.251 will almost always be abnormal and are useful numbers to memorize
  • 57.
    Prosthesis-Patient Mismatch • Avalue of 0.85 cm2/m2 or less is considered the threshold value for the presence of PPM, with severe mismatch defined as an IEOA less than 0.65 cm2/m. • PPM should be suspected if abnormally elevated Doppler gradients are obtained despite • (1) no detectable structural abnormality of the prosthetic valve leaflets/occluders, • (2) normal values for EOA and DVI for valve subtype and size, • (3) IEOA in the mismatch range.
  • 58.
    Rapid Pressure Recovery •RPR should be suspected in patients with small bileaflet prostheses who have • (1) reduced EOA, IEOA, and DVI for valve subtype and size and • (2) normal occluder motion.
  • 59.
    AORTICPROSTHETICVALVEREGURGITATION • Physiologic or“ Normal” Regurgitation • Most mechanical prostheses have mild valvular regurgitation that is “normal” and must be recognized and differentiated from pathological leaks. • The commonest form is so-called leakage volume, where regurgitation occurs through the gaps adjacent to the closed occluder. • These jets are also termed “washing jets,” as they are thought to prevent blood stasis and secondary thrombus formation and are typically transvalvular, multiple, short in length, and of low turbulence. • Mild central aortic regurgitation can also be seen in normally functioning bioprosthetic aortic valves.
  • 60.
    Pathologic Regurgitation • Theorigin of regurgitation (valvular vs. perivalvular) is best assessed in the parasternal short-axis view, where the full circumference of the annulus can be visualized. • The grading of perivalvular regurgitation is often technically difficult, as regurgitant jets are frequently multiple, crescentic in shape, and wall hugging within the LVOT. • Careful interrogation of the neck of the jet just below the sewing ring is required to accurately define its circumferential extent, • which can then be expressed as a percentage of the total sewing ring circumference and used to estimate severity (<10% ¼ mild; 10% to 20% ¼ moderate; >20% ¼ severe). • This method can be used when assessing all types of prosthetic aortic valve, including TAVI
  • 61.
    • The transesophageal echocardiographic(TEE) longaxis view shows a core valve sitting low in the left ventricular outflow tract with significant perivalvular regurgitation. • B, The short-axis view is useful in quantifying the regurgitation severity by calculating its circumferential extent, which can then be expressed as a percentage of the total sewing ring circumference. • In this case, approximately 45% of the circumference is involved, indicating severe perivalvular regurgitation.
  • 62.
  • 63.
    Interpretationof ElevatedValveGradients • Theinitial suspicion of prosthetic valve dysfunction is often raised by the detection of elevated valve gradients during routine TTE assessment. • The potential causes to be considered are • (1) prosthetic valve obstruction, • (2) prosthesis-patient mismatch (PPM), • (3) significant mitral regurgitation, and • (4) high-flow states such as postsurgery , anemia, or sepsis
  • 64.
    Prosthetic Valve Obstruction •In mechanical valves, the usual causes of valve obstruction are thrombosis or ingrowth of fibrous tissue called pannus below the inflow orifice of the valve, restricting occluder motion. • On Doppler examination, the hemodynamic diagnosis of valve obstruction is suggested by • (1) increased gradients for valve subtype and size, • (2) decreased EOA below the normal reference range, • (3) significant deviation of EOA from the baseline study, • (4) increased PHT above the normal reference range, and • (5) elevated DVI. • Although individual EOA, PHT, and DVI values should always be referenced against normal values for the valve subtype and size, • an EOA less than 1.5 cm2, PHT greater than 150 msec and a DVI greater than 2.22 will almost always be abnormal and are useful numbers to memorize.
  • 65.
    • Clinical suspicionof prosthetic valve thrombosis should be raised by symptoms of heart failure, thromboembolism, or low cardiac output, coupled with a decrease in the intensity of the valve closure sounds (mechanical valves), new and pathologic murmurs, or documentation of inadequate anticoagulation • Thrombosis is more common in the mitral and tricuspid positions than in the aortic position
  • 66.
    Prosthesis-Patient Mismatch • Definitionsof mitral PPM vary, but a value less than 1.2 cm2/m2 for the EOA indexed to BSA (IEOA) have been proposed7 and is predictive of poorer late survival. • PPM should be suspected if abnormally elevated Doppler gradients are obtained despite • (1) no detectable structural abnormality of the prosthetic valve leaflets/occluders, • (2) normal values for EOA and DVI for valve subtype and size, • (3) IEOA in the mismatch range.
  • 67.
    Pathologic Regurgitation • Abnormalregurgitation of prosthetic valves may arise from valvular and/or perivalvular sites. • signs include (1) an elevated DVI, (2) elevated mitral E velocity (>1.9 m/sec), (3) a dense continuous wave regurgitant jet with early systolic peaking, (4) a large zone of systolic flow convergence on the left ventricular side of the prosthesis, and (5) elevated estimated pulmonary artery pressure. • As the DVI is elevated both by prosthetic valve obstruction (as discussed earlier) and by regurgitation, a normal PHT (<130 msec) in the presence of an elevated DVI (>2.2) • strongly suggests the presence of hemodynamically significant regurgitation, with a predictive accuracy greater than 80%,
  • 69.
    OPTIMALUSEOF TRANSESOPHAGEAL ECHOCARDIOGRAPHY • TEEprovides excellent imaging of mitral prostheses and is recommended in the following scenarios: • (1) Doppler hemodynamic evidence of prosthetic valve obstruction at TTE, • (2) suspected prosthetic valve regurgitation, and • (3) suspected or proven infective endocarditis.
  • 70.
    • Features favoringthrombus over pannus include “soft” echogenicity and large size, together with clinical factors such as short duration of symptoms and inadequate anticoagulation. • Mitral prosthesis occluder motion is well seen on TEE, making CT or cine-fluoroscopy a rare requirement. • The sensitivity of TEE in detecting vegetations in prosthetic valve endocarditis verified at surgery or autopsy was 82% compared with 36% for TTE.
  • 72.
    5 Tricuspid ProstheticValves • Tricuspid valve replacement (TVR) is a relatively uncommon procedure and has been reported in less than 2% of all valve operations in one study. • Prosthetic valve failure is usually due to valve stenosis, regurgitation, or both. • The most common causes of prosthetic valve stenosis are leaflet degeneration in bioprosthetic valves, endocarditis leading to leaflet destruction, and valve thrombosis and pannus formation in mechanical valves, which are associated with valve obstruction. • Structural valve degeneration ranges from 0.4% to 2.2% per patient years in bioprosthetic valves. • Incidence of valve thrombosis has been reported at 0.5% to 3.3% per patient years in different studies.
  • 73.
    • Patients withnormally functioning valves have a normal physical examination, and the prosthesis appears to have normal motion and flow pattern by TTE and TEE. • Current guidelines recommend the early evaluation of tricuspid prosthesis post implantation. • It is important to average Doppler measurements from at least five cardiac cycles • because measurements may vary significantly because of respiration in the tricuspid position.
  • 77.
    Mean Gradient • Recentguidelines recognize a mean gradient less than 6 mm Hg as normal and values of 6 mm Hg or greater as suggesting prosthetic valve stenosis. • A recent study that included a larger number of patients with bioprosthetic valves early after operation demonstrated that a mean gradient greater than 9 mm Hg is highly suggestive of tricuspid bioprosthetic valve stenosis, • and thus further imaging with TEE should be considered in these circumstances
  • 78.
    Obstruction • In linewith the foregoing guidelines, a large study reported a normal mean gradient at 5 mm Hg or less for bileaflet mechanical tricuspid valve prosthesis, • whereas values greater than 6 mm Hg were seen in patients with mechanical valve obstruction • PHT of 200 msec or greater as indicating bioprosthetic valve stenosis, • whereas a PHT of 130 msec or greater indicates bileaflet mechanical valve obstruction.
  • 79.
  • 80.
    Velocity Time IntervalRatio for Tricuspid Valve Prostheses • For normal bioprosthetic tricuspid valves, the VTI ratio is less than 3.3. • A peak tricuspid E velocity of 2.1 m/sec or greater, • VTITVP/VTILVOT at or above 3.3, and • PHT less than 200 msec are • predictive of significant regurgitation in bioprosthetic valves, • whereas a peak tricuspid E velocity of at least 1.9 m/sec, • VTITVP/VTILVOT of 2.0 or more, and • PHT less than130 msec occur in • hemodynamically significant regurgitation in mechanical valves.
  • 81.
  • 82.
  • 83.
    TransesophagealEchocardiographyInPatientsWith ProstheticTricuspidValves • TEE isindicated for the evaluation of patients with the possible diagnosis of prosthetic valve endocarditis or valvular thrombosis, including reevaluation when a change in therapy is anticipated. • TEE is the modality of choice for guidance of transcatheter procedures and whenever TTE is nondiagnostic.
  • 85.
    6 PERIPROSTHETIC LEAKS •It is defined as an abnormal retrograde communication between the two cardiac chambers connected by the prosthetic valve, • arising outside the prosthetic valve ring (between the sewing ring and the native annulus). • Patients who undergo mitral valve repair may also develop a “para-ring” leak between the mitral annuloplasty ring and the native valve annulus.
  • 86.
    Causes • PPL iscaused by abnormal traction or pressure forces on the prosthetic valve and can occur early or late after valve replacement surgery. • Early PPL is usually the result of technical issues during the surgery, • limiting proper suturing of the prosthetic valve ring and the native annulus. • These can include annular calcifications, incomplete apposition of the prosthetic ring and the native annulus (due to geometric incompatibility), or suture dehiscence related to suturing technique. • Late PPLs are often the result of prosthetic valve endocarditis with inflammation and destruction of the perivalve tissue.
  • 87.
    Incidence • The overallreported incidence of any PPL after surgical valve replacement has been as high as 47%; • however, the rate of clinically significant PPL is considerably lower. • Most registries estimate an approximate prevalence of symptomatic PPL at 1% to 5% of all valve replacements.
  • 88.
    Risk factors • Intraoperativerisk factors that have been found to be associated with increased risk of PPL include • longer cardiopulmonary bypass time, supra-annular aortic implant, continuous sutures in the mitral position, and, in several studies, the type of prosthesis used. • Clinical risk factors for development of PPL include • presence of significant annular calcification, preoperative atrial fibrillation, and postoperative creatinine increase • The incidence of PPL after TAVR is higher compared with PPL after surgical aortic valve replacement • Overall, early significant perivalvular aortic regurgitation has been reported in 12% to 17% of patients.
  • 89.
    CLINICAL PRESENTATION • LargerPPLs can give rise to symptoms that can be disabling and even life threatening. • Hemolysis is an important complication of PPL. • It results from shear forces acting upon the red blood cells as they traverse the PPL site. • Serum markers of intravascular hemolysis can be found and include elevated lactate dehydrogenase (LDH), decreased hemoglobin level, decreased haptoglobin level, and increased reticulocyte count. • Another important presenting manifestation of PPL is congestive heart failure.
  • 90.
    • The moreanterior location of the aortic valve makes it visible on TTE, and often the origin and severity of the paravalvular regurgitation can be delineated by TTE. • Aortic PPL jets tend to be eccentric and may flow in somewhat unusual directions
  • 92.
    Periprosthetic Leak AfterTAVR • Assessing severity of PPL TAVR after is particularly challenging. • Acoustic shadowing from the prosthetic valve, as well as from extensive calcifications of the root and the retained native aortic valve cusps, may further limit accurate delineation of the jet origin and size • Volumetric methods for calculating regurgitant volume and fraction may play a role in assessing the severity of PPL. • Recently a new AI index has been proposed for evaluating the severity and hemodynamic significance of post-TAVR PPL. • The index is calculated as 100 X (ADP - LVEDP)/ASP (ADP, aortic diastolic pressure; LVEDP, left ventricular end-diastolic pressure; ASP, aortic systolic pressure). • An AI index less than 25 was found to be associated with worse 1-year survival after TAVR as compared with an index of 25 or above.
  • 94.
    TREATMENT • Traditionally, treatmentof PPL required reoperation with either correction of the PPL or replacement with a new prosthetic valve. • Although surgical treatment can improve survival and symptoms, it carries a significant risk of perioperative morbidity and mortality. • RT3D TEE is paramount for the success of the procedure. • The success rate for percutaneous closure of PPL has been reported to be around 85% to 90%.
  • 95.
  • 96.
    SUMMARY - NormalValues •
  • 97.
  • 98.